Лучевая анатомия (КТ, МРТ анатомия) надпочечника
Добавил пользователь Евгений Кузнецов Обновлено: 09.11.2025
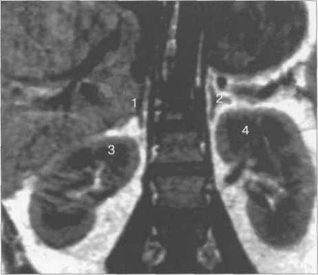
Локализация, размеры и форма надпочечников в МРТ-изображении не отличаются от указанных параметров при КТ. Исследование в корональной плоскости позволяет более четко оценить месторасположение железы, ее высоту (рис. 12.6).
МРТ позволяет визуализировать правый надпочечник у 99% взрослых пациентов, левый надпочечник — у 91 % обследуемых.
Нормальные надпочечники на Т1- и Т2-ВИ представляют собой однородные, гипоинтен-сивные структуры, которые хорошо дифференцируются на фоне окружающей жировой клетчатки (рис. 12.7). При использовании Т2-В И сигнал от паренхимы надпочечников сравним с таковым от паравертебральных мышц; незначительно превышает сигнал от печени и коркового вещества почек и значительно превосходит сигнал от ножек диафрагмы (рис. 12.8).
Применение STIR ИП дает возможность подавить сигнал от ретроперитонеальной жировой клетчатки и хорошо визуализировать надпочечники, которые имеют умеренно гиперинтенсивный сигнал. Ни одна из импульсных последовательностей не позволяет различить корковое и мозговое вещество железы. После введения контрастирующего препарата его накопление наступает через 2—5 минут. Надпочечники представляют собой яркие гиперинтенсивные структуры. «Вымывание» контрастирующего вещества происходит быстро — в течение 5 минут.
Характерные КТ- и МРТ-признаки имеют надпочечники новорожденного (в первые две недели постнатального развития). Их отличают большие размеры, обусловленные значительным объемом зародышевой фетальной зоны. Клетки фетальной зоны бедны липидами, поэтому на Т2-ВИ и STIR ИП сигнал от надпоче-ников превышает данный показатель у взрослого человека [11].

Рис. 12.6. МРТ надпочечников. Т1-ВИ, корональная плоскость.
1 — правый надпочечник; 2 — левый надпочечник; 3 — правая почка; 4 — левая почка.

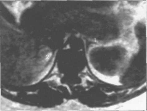
Рис. 12.7. МРТ надпочечников. Т1-ВИ, аксиальная плоскость.
1 —левый надпочечник; 2 — правый надпочечник.

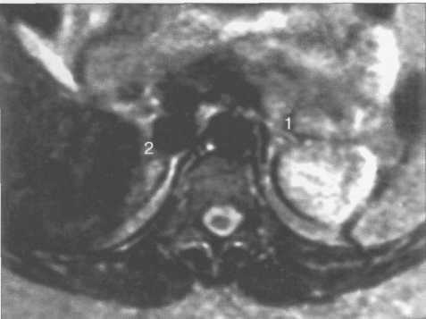
Рис. 12.8. МРТ надпочечников. Т2-ВИ, аксиальная плоскость.
1 — левый надпочечник; 2 — правый надпочечник.
Литература
1. Баранов В.Г., Нечай А.И. Синдром Иценко-Кушинга.— Л.: Медицина, 1988.— 222 с.
2. Борисов А. Е., Трофимова Т.Н., Краснов Л.М. и др. Ультразвуковая диагностка заболеваний надпочечников и их пункционная биопсия под контролем ультразвука: Уче. пос— СПб.: Издательский дом СПбМАПО, 2002.— 19 с.
3. Габуния Р.И., Колесникова Е.К. Компьютерная томография в клинической диагностике: Руководство для врачей.— М.: Медицина, 1991.— 352 с.
4. Гистология (введение в патологию) / Под ред. Э.Г.Улумбекова, Ю.А.Челышева.— М.: ГЭОТАР, 1997.- 960 с.
5. Дедов И.И., Мельниченко ТА., Фадеев В.В. Эндокринология: Учебник.— М.: Медицина, 2000.- 632 с.
6. Калинин А.П., Майстренко Н.А. Хирургия надпочечников.— М.: Медицина, 2000.— 216 с.
7. Синельников Р.Д. Атлас анатомии человека: В 3 тт.— 4-е изд.— М.: Медицина, 1973.— Т. П.— 468 с.
8. Старкова Н.Т. Клиническая эндокринология: Руководство для врачей.— М.: Медицина, 1991.-512 с.
9. Тодуа Ф.И., Федоров В.Д., Кузин М.И. Компьютерная томография органов брюшной полости. Атлас— М.: Медицина, 1991.— 448 с.
10. Lee J.K., Sagel S.S., Stanley R.J. Computed body tomography.— N.-Y: Raven Press, 1989.— P. 221—830.
11. Stark D.D., Bradley W.G. Magnatic Resonans Imaging.— St. Lois — Toronto: Mosby, Year Book, 1992.- 1043 p.
Анатомия надпочечников и методика сканирования.

Поскольку надпочечники погружены в жир забрюшинного пространства, они отчетливо визуализируются при KT почти у каждого пациента, но нередко сливаются с изображением печени и с капсулой почки.
Оба надпочечника локализуются в верхней части параренального пространсгва и окружены ренальной фасцией.

Форма и размеры
Правый надпочечник занимает переднемедиальное положение относительно верхнего полюса правой почки и находится несколько выше нее, в углу между правой долей печени и правой ножкой диафрагмы, сразу позади нижней полой вены.
Левый надпочечник располагается позади и латерально от аорты и расположен больше спереди и медиально, чем выше верхнего полюса левой почки. Иногда нижний полюс надпочечника располагается очень близко к сосудистой ножке почки.
Аксиальные КТ-срезы через надпочечники показывают, что каждый из них состоит из тела и двух ответвлений. Правый надпочечник обычно отображается в виде линии или напоминает по форме запятую или имеет V-образную форму, тогда как левый надпочечник чаше треугольной или Y-образной формы. Контуры надпочечника слегка вогнутые и четкие. Иногда при МСКТ с контрастированием дифференцируют кортикальный и медуллярный слои надпочечников.
Вертикальный размер надпочечников достигает 4-6 см, ширина их - 2—3 см. Ножки имеют толщину 6-8 мм. Измерение желез не имеет значения вследствие широко варьирующих в норме размеров этих органов. Более важны для диагностики качественная оценка формы, размеров и контуров.
Методика сканирования:
Подготовка кишечника
- контрастирование кишечника рентген-позитивным препаратом:
- в течение 0,5 часа перед исследованием необходимо принять внутрь около 500 мл раствора контрастного вещества (20 мл йодсодержащего препарата на 500 мл воды);
- также может использоваться специальная суспензия сульфата бария для КТ.
Контрастирование внутривенное:
- Объем контрастного препарата, 90-120 мл
- Объем физиологического раствора, 50 мл (для двухколбового инжектора)
- Скорость введения, 4 мл/с
- Задержка начала томографии - секунды
- Портально-венозная фаза - 60-80 секунд.
- Отсроченная фаза - 10-15 минут.
Фаза дыхания:
Диапазон томографии:
Параметры томографии:
коллимация 0,5-0,625 мм;
нативное исследование (может выполняться при понижен- ном напряжении на рентгеновской трубке – 40-50 мАс);
портально-венозная фаза (наиболее информативная для дифференциации очаговых образований надпочечников);
отсроченная фаза (дифференциальная диагностика аденом надпочечников проводится с учетом степени вымывания контрастного препарата).
Лучевая анатомия (КТ, МРТ анатомия) надпочечника
КТ, МРТ, УЗИ при аденоме надпочечника
а) Визуализация:
• Небольшое гомогенное образование надпочечника низкой плотности с четкими контурами
о Низкая плотность связана с наличием большого количества внутриклеточных липидов
о Визуальные признаки типичной аденомы с высоким содержанием липидов:
- Бесконтрастная КТ: менее 10 HU (чувствительность - 71%, специфичность - 98%)
- МРТ: значительное снижение ИС на противофазном Т1-ВИ (за счет интравоксельных липидов и воды)
о Аденомы с низким содержанием липидов (10-40% случаев): для диагностики используют оценку относительного или абсолютного вымывания контрастного вещества на КТ
• Служит причиной подавляющего большинства «инциденталом» надпочечника:
о Для случайно выявленных поражений надпочечника рекомендовано проведение интенсивного алгоритма лучевой диагностики, несмотря на то, что подавляющее большинство образований-доброкачественные и гормонально неактивные
о Первичный гиперальдостеронизм (синдром Конна): в 80% случаев возникает, как правило, вследствие небольшой (менее 2 см) односторонней аденомы
о Синдром Кушинга: в 80-85% случаев возникает вследствие гиперплазии коры надпочечников(Слева) УЗИ, поперечная и сагиттальная плоскости: у женщины 70 лет с повышенными показателями функциональных проб печени визуализировано случайно обнаруженное солидное образование правого надпочечника кзади от НПВ. По статистическим данным, признаки аденомы при УЗИ неспецифичны, поэтому проведена бесконтрастная КТ, на которой была подтверждена аденома с высоким содержанием липидов.
(Справа) Бесконтрастная КТ: у мужчины 45 лет выявлено гомогенное поражение левого надпочечника низкой плотности (ОНИ) размером 2 см. В последующем была выполнена МРТ, однако методом выбора для описания образований надпочечника обычно служит бесконтрастная КТ. (Слева) МРТ, синфазное Т1-ВИ: у этот же пациента выявлено четко отграниченное поражение левого надпочечника с умеренной ИС.
(Справа) МРТ: на соответствующем противофазном Т1 -ВИ выявлено равномерное подавление сигнала от левого надпочечника. Низкая плотность (менее 10 HU) на бесконтрастной КТ и выпадение сигнала на МРТ с химическим сдвигом-характерные черты аденомы с высоким содержанием липидов.б) Дифференциальная диагностика:
• Метастатические опухоли надпочечников и лимфома
• Миелолипома надпочечника
• Гиперплазия надпочечников(макронодулярная)
• Феохромоцитома
• Рак надпочечника
• Дивертикул желудка
• Киста надпочечникав) Диагностическая памятка аденомы надпочечника:
• Бессимптомное образование: как правило, аденомы без функциональной активности, даже у больных с диагностированным раком
• Бесконтрастная КТ и МРТ одинаково информативны в диагностике аденом с высоким содержанием липидов
• Для диагностики аденом с низким содержанием липидов используют специальный протокол КТ с контрастным усилением для визуализации надпочечниковМетоды лучевого обследования надпочечников
а) Анатомия, эмбриология и физиология. Надпочечники расположены в околопочечном пространстве, обычно краниально по отношению к почкам. Правый надпочечник расположен над почкой, латерально по отношению к ножкам диафрагмы, медиальнее печени и прилежит к задней поверхности нижней полой вены (НПВ). Левый надпочечник, как правило, находится спереди от верхнего полюса левой почки и позади селезеночной вены и поджелудочной железы.
Селезеночная вена - важный ориентир при определении происхождения опухоли в левом верхнем квадранте, место происхождения которой может быть неизвестно. Опухоли надпочечника обычно смещают селезеночную вену кпереди, в то время как опухоли желудка и поджелудочной железы смещают ее кзади.
Кора и мозговое вещество надпочечников-по существу разные органы, расположенные в одном структурном образовании. Кора надпочечников представляет собой эндокринную железу, секретирующую преимущественно кортизол, альдостерон и андрогенные стероиды; все они образуются из эфиров холестерина. Это способствует высокому содержанию липидов, что служит характерным признаком большинства аденом коры надпочечников. Мозговое вещество надпочечника-производное нервного гребня, секретирует адреналин и норадреналин.
Физиологию надпочечников контролируют сложные взаимодействия между гипоталамусом, гипофизом и надпочечниками. Стресс приводит к высвобождению адреналина и цитокинов, что вызывает выделение адренокортикотропного гормона (АКТГ) гипофизом, который, в свою очередь, стимулирует секрецию кортизола надпочечниками. Кортизол и адреналин часто рассматривают в качестве «гормонов стресса». Повышение уровня кортизола в сыворотке крови оказывает подавляющее действие на гипоталамус и гипофиз, вызывая снижение высвобождения АКТГ
Синдром Кушинга, возникающий вследствие избытка кортизола, характеризуется ожирением в верхней части туловища, гирсутизмом, аменореей, артериальной гипертензией, слабостью и стриями на брюшной стенке. Это состояние обусловлено гиперплазией надпочечников (75-80% случаев), но также может возникать вследствие аденомы надпочечника (20-25% случаев), рака надпочечников (менее 5% случаев) или экзогенной терапии глюкокортикоидами.
Синдром Конна - эпоним, который иногда используют для обозначения повышения уровня альдостерона, характеризуется артериальной гипертензией, гипокалиемией, алкалозом, мышечной слабостью и сердечной недостаточностью. В отличие от синдрома Кушинга, синдром Конна обычно возникает вследствие аденомы надпочечника (65-70% случаев). На гиперплазию надпочечников приходится большая часть оставшихся (25-30%) случаев, в то время как рак надпочечников является редкой причиной.
Поскольку у пациентов с синдромом Кушинга имеются клинические проявления, уровень поражения (гипофиз или надпочечники), как правило, устанавливают по биохимическим данным до визуализации. С помощью визуализации (МРТ или КТ), проведенной после постановки диагноза, обычно без труда выявляют аденому гипофиза или надпочечника, вызвавшую развитие синдрома Кушинга, что, как правило, позволяет избежать выполнение катетерной ангиографии или других инвазивных исследований. Однако аденома при синдроме Конна может быть весьма небольшой, и определение источника повышенного синтеза альдостерона, при использовании традиционных методов визуализации, может стать проблематичным
Болезнь (синдром) Аддисона представляется собой надпочечниковую недостаточность и характеризуется артериальной гипотензией, потерей веса, гиперпигментацией. Среди причин «медленного возникновения» надпочечниковой недостаточности аутоиммунные заболевания составляют самую частую причину в развитых странах. Туберкулез и другие инфекции - частые причины развития синдрома Аддисона в развивающихся странах, в то время как метастатическую болезнь и СПИД встречают во всех популяциях.
Наиболее частая причина внезапного развития надпочечниковой недостаточности - кровоизлияние в надпочечники, которое может возникнуть вследствие сепсиса, шока, повышенной антикоагуляционной активности или васкулитов. Резкая отмена глюкокортикоидов и послеродовой некроз гипофиза, также известный как синдром Шихана, также могут привести к острой надпочечниковой недостаточности. В этих случаях необходимы незамедлительная диагностика и лечение данных состояний.
(Слева) На рисунке показана типичная анатомия надпочечников. Обратите внимание на множественные источники кровоснабжения. Венозный отток от правого надпочечника осуществляется через надпочечниковую вену непосредственно в НПВ, в то время как левая надпочечниковая вена впадает в почечную вену.
(Справа) Правый надпочечник прилежит к НПВ, расположен латеральнее правой диафрагмальной ножки и медиальнее печени. Левый надпочечник обычно расположен вентрально по отношению к верхнему полюсу левой почки и позади селезеночной вены. Левый надпочечник выглядит в виде перевернутой «Y», а правый больше напоминает перевернутую «V». (Слева) На рисунке показана стимуляция передней доли гипофиза адреналином и цитокинами, гормонами гипоталамуса — кортиколиберин-рилизинг-гормоном (КРГ) или антидиуретическим гормоном (АДГ). Это приводит к высвобождению АКТГ, что вызывает секрецию кортизола надпочечниками. Избыточный уровень циркулирующего кортизола в крови ингибирует дальнейшую гипофизарную секрецию.
(Справа) Бесконтрастная КТ, аксиальная проекция: визуализировано случайно выявленное гиподенсное образование правого надпочечника с плотностью менее 10 HU. Этот признак имеет специфичность более 90% для диагностики аденом с высоким содержанием жира.б) Методы и протоколы визуализации:
1. КТ-протокол для визуализации надпочечников. Проведение бесконтрастной КТ часто бывает достаточным для диагностики аденомы коры надпочечников, которая выглядит в виде узелка гомогенной низкой плотности (менее 10 HU). Если патологический очаг не определяют или выявляют только при контрастном исследовании, определяют контрастирование образования, а затем повторно выполняют серию тонких срезов через надпочечники и измеряют относительную или абсолютную задержку вымывания контраста.
2. MPT-протокол для визуализации надпочечников. Аденома надпочечника с высоким содержанием жира может быть выявлена с помощью Т1 -ВИ в последовательности градиентного эха, которая включает как синфазное, так и противофазное построение изображения. Потеря сигнала от образования надпочечника на противофазном изображении по существу служит диагностическим критерием аденомы. Аденомы с низким содержанием жира можно не определить на МРТ, они лучше всего могут быть оценены с помощью КТ-протокола для визуализации надпочечников.
в) Тактика при опухоли надпочечника:
1. Это аденома? Аденомы надпочечника встречают крайне часто, несмотря на то, что большинство из них-«нефункционирующие» (точнее-«без гиперфункции»). По оценкам, около 2% общей популяции имеет аденому надпочечника, что делает ее самой распространенной причиной образования надпочечника, даже у пациентов с выявленной вненадпочечниковой злокачественной опухолью.
Высокая распространенность аденом надпочечников в общей популяции, а также крупномасштабные исследования, показавшие, что подавляющее большинство «инциденталом» надпочечника служит доброкачественными находками и не имеет клинического значения, побудили некоторых авторов предложить гораздо более консервативный подход к случайно выявленным образованиям надпочечников малых размеров. Однако большинство профессиональных обществ продолжает выступать за визуализацию и агрессивную клиническую тактику при случайно выявленных на КТ-образованиях надпочечника.
Большинство аденом содержит большое количество внутриклеточного и внеклеточного жира, который обусловливает характерное проявление в виде гомогенной плотности, близкой к водной (от -5 до +10 HU) на бесконтрастной КТ. Аденомы, содержащие большое количество жира, имеют такие же характерные признаки и на МРТ. Лучший метод визуализации для меньшей части аденом надпочечника, содержащих низкое количество жира, - «надпочечниковый протокол» КТ. Аденомы отличаются от метастазов и большинства других опухолей надпочечника характерным симптомом «вымывания» контраста - быстрое возвращение к исходному уровню контрастирования после внутривенного введения контрастного вещества.
2. Это не аденома, тогда что это? Несмотря на то, что остальные опухоли надпочечника могут иметь схожие признаки, поставить точный диагноз нетрудно, принимая во внимание визуальные признаки образования, клинические и лабораторные данные конкретного пациента.
Причинами гетерогенного образования надпочечника больших размеров могут быть как феохромоцитома, так и метастазы. Однако корреляция с анамнезом заболевания, данные лабораторного эндокринологического исследования и физикального обследования, как правило, позволяют избежать расширенной или дорогостоящей дополнительной визуальной оценки.
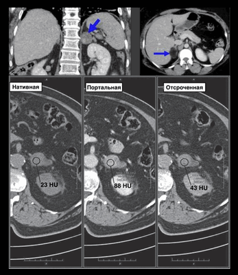
(Слева) При образованиях надпочечника, не идентифицированных (более 70 HU) на бесконтрасной КТ, может быть выполнена оценка процента вымывания контраста на КТ надпочечников для выявления скрытых аденом с низким содержанием жира. На рисунке изображена формула определения процента вымывания контраста на КТ. Для расчета доступны веб-калькуляторы.
(Справа) Показан КТ-протокол для визуализации надпочечников. На бесконтрастной КТ (А) выявлено образование надпочечника с плотностью 30 HU. На КТ с контрастированием (Б) образование имеет плотность 60 HU, на отсроченной КТ (В) — 40 HU. Абсолютный процент вымывания контраста, составляющий 67%, служит характерным признаком аденомы с низким содержанием жира. (Слева) Схема алгоритма визуализации случайно выявленных образований надпочечника. Большое значение имеют история заболевания и предшествующие исследования. Большинство образований надпочечника-доброкачественные, однако диагностика может иметь решающее значение у пациентов с онкологическими заболеваниями. К/Н -контрольное наблюдение.
(Справа) Оценка повышения уровня кортизола или адреналина также служит определяющим фактором в диагностике образований надпочечники. (Слева) На синфазном Т1-ВИ в последовательности градиентного эха у пациента с двусторонними узелками или опухолями небольших размеров в надпочечниках достоверно выявлен узел только в левом надпочечнике.
(Справа) На Т1-ВИ в последовательности градиентного эха у этого же пациента выявлено выпадение сигнала от узелков в надпочечнике, что указывает на сочетание липидов и протонов воды. Это служит характерным признаком аденомы с высоким содержанием липидов.3. Все ли опухоли надпочечника, содержащие жир, — аденомы? Аденомы редко содержат макроскопический жир. Липиды в аденомах надпочечников представлены микроскопическим жиром, а наличие макроскопических отложений жира характерно для менее распространенного новообразования надпочечника-миелолипомы (не путать с почечной ангиомиолипомой, отличающейся во всех отношениях). Миелолипома - редкая доброкачественная опухоль надпочечника, которая, как правило, может быть точно диагностирована на КТ или МРТ при наличии отложений зрелой жировой ткани с наличием или без кальцификатов или мягкотканных элементов.
4. Какой метод визуализации следует использовать при подозрении на феохромоцитому? Перед применением дорогостоящих методов визуализации рекомендовано уточнить анамнез заболевания, провести физикальное обследование, а также соответствующее биохимическое исследование. Это позволяет определить отсутствие или наличие данной опухоли у большинства пациентов.
С помощью КТ или М РТ легко выявить большинство симптоматических феохромоцитом, так как их диаметр, как правило, составляет 3-5 см. Часто в связи с большими размерами опухоли нет необходимости в исследовании с контрастным усилением. Однако при необходимости его следует проводить, поскольку данные о неблагоприятных эффектах внутривенного введения неионного контраста у пациентов с феохромоцитомой отсутствуют.
5. Какой метод визуализации следует использовать при подозрении на метастазы в надпочечниках? Надпочечники - частая локализация метастазов (и лимфомы), однако редко это единственная локализация. Следует помнить, что изолированное поражение надпочечников небольших размеров, скорее всего, представляет собой аденому надпочечника, особенно, если оно имеет гомогенную низкую плотность.
ПЭТ/КТ чаще используют для установления стадии заболевания у пациентов с раком и лимфомой, а большинство метастазов в над-почечниках-ФДГ-положительные. Стоимость ПЭТ/КТ обусловливает целесообразность применения данного метода для оценки стадии подтвержденного рака, а не для последующей оценки поражения надпочечников, выявленного другими методами визуализации.
(Слева) КТ с контрастированием, аксиальная проекция: у пациента с лимфомой надпочечников (диссеминированной) выявлено образование левого надпочечника, которое имеет такую же мягкотканную плотность, как и инфильтраты в поджелудочной железе, селезенке и лимфатических узлах.
(Справа) На КТ с контрастированием у пациента с раком пищевода и метастазами в надпочечниках обнаружены гетерогенные дольчатые образования надпочечников с обеих сторон. Перед плановой эзофагэктомией была выполнена ПЭТ/КТ. Это образование оказалось ФДГ-положительным, что привело к отмене запланированной эзофагэктомии. (Слева) МРТ, Т2-ВИ, аксиальная проекция: у пациента с феохромоцитомой выявлена крупная гетерогенная опухоль левого надпочечника, гиперинтенсивная на Т2-ВИ и гипоинтенсивная на Т2-ВИ. Такая картина характерна, но не патогномонична для феохромоцитомы. Диагноз был подтвержден посредством резекции.
(Справа) МРТ, Т2-ВИ, коронарная проекция: у этого же пациента выявлена гетерогенная гиперинтенсивная опухоль, что характерно для феохромоцитомы. (Слева) На рисунке показаны локализации феохромоцитомы (синим) и параганглиомы (зеленым). Обратите внимание на орган Цуккеркандля в области бифуркации аорты.
(Справа) КТ с контрастированием, аксиальная проекция: гиперваскуляризированное образование в области малого таза. Это образование оказалось параганглиомой с клиническим течением, характерным для феохромацитомы.в) Список использованной литературы:
1. Berland LL et al: Managing incidental findings on abdominal CT: white paper of the ACR incidental findings committee. J Am Coll Radiol. 7(10):754-73, 2010
Тактика ведения инциденталом надпочечников по данным КТ и МРТ
![]()
ИНСИДЕНТАЛОМЫ — это случайные находки в надпочечниках.
- Инсиденталомы обнаруживаются в ≈5% от всех исследований.
- Меньше 10% имеют эндокринные проявления и меньше 5% являются злокачественными.
- До сих пор однозначно не ясно что делать:
- — признаки доброкачественности = не дообследовать;
- — нет динамики за год = высокая вероятность доброкачественности
![]()
Анатомия: положение
- Поскольку надпочечники погружены в жир забрюшинного пространства, они отчетливо визуализируются при KT почти у каждого пациента, но нередко сливаются с изображением печени и с капсулой почки. Оба надпочечника локализуются в верхней части параренального пространсгва и окружены ренальной фасцией.
- Правый надпочечник занимает переднемедиальное положение относительно верхнего полюса правой почки и находится несколько выше нее, в углу между правой долей печени и правой ножкой диафрагмы, сразу позади нижней полой вены.
- Левый надпочечник располагается позади и латерально от аорты и расположен больше спереди и медиально, чем выше верхнего полюса левой почки. Иногда нижний полюс надпочечника располагается очень близко к сосудистой ножке почки.
![]()
Анатомия: форма
- Аксиальные КТ-срезы через надпочечники показывают, что каждый из них состоит из тела и двух ответвлений (ножек).
- Правый надпочечник обычно отображается в виде линии или напоминает по форме запятую или имеет V-образную форму, тогда как левый надпочечник чаше треугольной или Y-образной формы. Контуры надпочечника слегка вогнутые и четкие. Иногда при МСКТ с контрастированием дифференцируют кортикальный и медуллярный слои надпочечников.
- Вертикальный размер надпочечников достигает 4-6 см, ширина их - 2—3 см. Ножки имеют толщину 6-8 мм. Измерение желез не имеет значения вследствие широко варьирующих в норме размеров этих органов. Более важны для диагностики качественная оценка формы, размеров и контуров.
![]()
Сосудистая система:
- Артерии:
- Верхние – из диафрагмальных артерий.
- Средние – из брюшной аорты.
- Нижние – из почечных артерий.
- Слева в левую почечную вену или в низшую диафрагмальную вену.
- Справа – в нижнюю полую вену.
![]()
Слои надпочечника и гормоны:
- Клубочковая зона производит минералокортикоиды.
- Пучковая зона производит глюкокортикоиды.
- Сетчатая зона производит гонадокортикоиды.
- Мозговое вещество надпочечника производит катехоламины.
Мозговое вещество:
- адреналин, норадреналин, пептиды, выполняющие регуляторную функцию в центральной нервной системе и желудочно-кишечном тракте:
- Вещество Р
- Вазоактивный интестинальный пептид
- Соматостатин
- Бета-энкефалин
Клубочковая зона:
- В клубочковой зоне образуются минералокортикоиды:
- Альдостерон
- Кортикостерон — малоактивный глюкокортикоид, обладающий также некоторой минералкортикоидной активностью
- Дезоксикортикостерон — малоактивный минералокортикоид
Пучковая зона:
- В пучковой зоне образуются глюкокортикоиды:
- Кортизол
- Кортизон
- Глюкокортикоиды оказывают важное действие почти на все процессы обмена веществ. Они стимулируют образование глюкозы из жиров и аминокислот (глюконеогенез), угнетают воспалительные, иммунные и аллергические реакции, уменьшают разрастание соединительной ткани, а также повышают чувствительность органов чувств и возбудимость нервной системы.
Сетчатая зона:
- В сетчатой зоне производятся гонадокортикоиды (андрогены, являющиеся веществами — предшественниками эстрогенов).
- Данные половые гормоны играют роль несколько иную, чем гормоны, выделяемые половыми железами.
- Они активны до полового созревания и после созревания половых желёз; в том числе они влияют на развитие вторичных половых признаков.
- Недостаток этих половых гормонов вызывает выпадение волос; избыток ведёт к вирилизации — появлению у человека черт, характерных для противоположного пола.
Проявления при синдроме Кушинга:
![]()
- Синдром Конна (альдостерома, первичный гиперальдостеронизм)
- Чрезмерная продукция альдостерона клубочковой зоной коры надпочечников
- ≈ 2% от всех И. ≈60% двусторонняя идиопатическая гиперплазия коры надпочечников
- ≈35% аденома коры надпочечников, продуцирующая альдостерон
- Стойкая АГ, снижение плазменной активности ренина, возможна гипокалиемия
- Хроническое воздействие избытка гормонов коры надпочечников (кортизола)
- От 2-15% аденом коры надпочечников производят кортизол. Размер часто до 2см. увеличение веса, увеличение жира, АГ, аменорея, гирсутизм, диабет, угри, слабость мышц.
- феохромоцитомы ≈3-6% от всех инциденталом
- эпизодические головные боли, потоотделения и тахикардия, с или без АГ.
- диагноз ставят после 24-часовое измерение мочи на катехоламины и метанефрины
- обычно связаны со злокачественными опухолями.
Методы исследования
![]()
Методы исследования:
Основными методами исследования являются КТ и МРТ.
На рентгенограмме возможно визуализировать надпочечники с кальцификацией.
Ангиографию используют для заборы крови из вены надпочечников, чтобы разрешить вопрос при двухстороннем поражении о том какая из аденом функционирующая.
УЗИ не является методом выбора для диагностики инциденталом надпочечников, но позволяет выполнять тонкоигольную биопсию под контролем УЗИ.
ОФЭКТ/КТ позволяет достоверно говорить об этиологии при размере образования от 2 см.
ПЭТ/КТ используется у пациентов в анамнезе, которых есть рак для поиска метастазов.
Методика КТ сканирования
Контрастирование внутривенное:
- Объем контрастного препарата, 90-120 мл
- Объем физиологического раствора, 50 мл (для двухколбового инжектора)
- Скорость введения, 4 мл/с
Задержка начала томографии - секунды
- Портально-венозная фаза - 60-80 секунд.
- Отсроченная фаза - 10-15 минут.
- контрастирование кишечника рентген-позитивным препаратом:
- в течение 0,5 часа перед исследованием необходимо принять внутрь около 500 мл раствора контрастного вещества (20 мл йодсодержащего препарата на 500 мл воды);
- также может использоваться специальная суспензия сульфата бария для КТ.
• Объем контрастного препарата, 90-120 мл
• Объем физиологического раствора, 50 мл (для двухколбового инжектора)
• Скорость введения, 4 мл/с
• Задержка начала томографии - секунды
• Портально-венозная фаза - 60-80 секунд.
• Отсроченная фаза - 10-15 минут.
• задержка дыхания на вдохе.
• от диафрагмы до нижних полюсов почек.
• коллимация 0,5-0,625 мм;
• нативное исследование (может выполняться при пониженном напряжении на рентгеновской трубке – 40-50 мАс);
• портально-венозная фаза (наиболее информативная для дифференциации очаговых образований надпочечников);
• отсроченная фаза (дифференциальная диагностика аденом надпочечников проводится с учетом степени вымывания контрастного препарата).
• у пациентов с избыточной массой тела рекомендуется проведение томографии с более высокими значениями напряжения на рентгеновской трубке (120-140 кВ) и реконструкция томограмм с толщиной среза 1,0-1,5 мм;
• многоплоскостные реконструкции во фронтальной и сагиттальной плоскостях
![]()
Методика МРТ сканирования:
- В и противофазу T1-GRE-в аксиальной и коронарной плоскости.
- HASTE (SSFSE) T2-изображения в аксиальной и коронарной плоскости.
- T1 FS GRE
- Постконтрастные T1FS
Наибольшее значение имеют изображения в фазу и противофазу так, как по ним возможно отдифференцировать аденому от злокачественного новообразования.
![]()
Тактика по ведению инциденталом надпочечников, предложенная ACR (American Colleague of Radiology) в рамках тактики инциденталом в брюшной полости (Managing incidental findings on abdominal CT: white paper of the ACR Incidental Findings Committee, 754–773, 2010, with permission from Elsevier).
![]()
![]()
Признаки позволяющие поставить диагноз:
- Миелолипома, Са2+ = доброкачественное образование, П/И не нужны
- HU
- Из обозначений к таблице:
- 1-Если пациенты имеют клинические проявления или симптомы гиперфункции надпочечников, то необходимо оценить изменения в биохимическом анализе крови.
- На представленных изображениях верхний ряд - это миелолипома, в нижнем ряде, соответственно, представлена кальцификация правого надпочечника и аденома правого надпочечника.
![]()
ХС-МРТ
Формула:
- Отношение сигнала от надпочечника к селезенке (ОСНС)=(ROI от аденомы/ROI от селезенки в противофазу)/(ROI от аденомы/ROI от селезенки в фазу)
- Индекс интенсивности сигнала от надпочечника (ИИСН)=(ROI от аденомы в фазу - ROI от аденомы в противофазу)/(ROI от аденомы в фазу).
- Отношение сигнала от надпочечника к селезенке (доброкачественное образование)
- Индекс интенсивности сигнала от надпочечника (>5%=>доброкачественное образование)
Пример расчетов.
- ОСНС=(31/120)/166/119)=0,25/1,39=17,9%
- ИИСН=(166-31)/166=81%
![]()
![]()
Признаки не позволяющие поставить диагноз, образование размером >4
- В анамнезе нет рака. Рассмотреть вопрос о резекции (2).
- В анамнезе есть рак. Проведение ПЭТ/КТ для поиска вторичных поражений или биопсии для верификации (2).
- 2-Рекомендуются лабораторные исследования для исключения феохромоцитомы.
![]()
Данная группа является наиболее часто встречаемой в клинической практике, поэтому ей должно быть уделено максимальное количество внимания.
![]()
Группа пациентов, у которых есть предшествующие изображения.
Обязательно не забывайте у пациентов поинтересоваться о наличии предшествующих изображений так, как это обуславливает дальнейшую тактику.
![]()
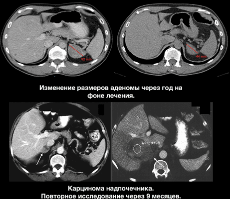
Признаки, не позволяющие поставить диагноз, образование размером 1-4 см. Есть предшествующие изображения.
В верхнем ряду представлены изображения изменения размеров аденомы на фоне лечения. Обратите внимание, как производится измерение данной функционирующей аденомы.
- Следовательно характеризуем данное образование, как
- Стабильное в размерах в течение года и более образование.
- NB! образование должно быть измерено одним и тем же специалистом.
- Сравнение по описанию само собой не допускается!
- Рекомендуем биохимические исследование и консультацию эндокринолога.
В нижнем ряду представлены изображения пациента с верифицированной карциномой надпочечника. Данному пациенту был назначен КТ контроль через год, но не были рекомендованы консультация эндокринолога и биохимические исследования. При КТ контроле через 9 месяцев образование существенно увеличилось в размерах.
Читайте также:

















