Лучевая анатомия (КТ, МРТ анатомия) полости брюшины

Добавил пользователь Евгений Кузнецов
Обновлено: 18.12.2025

а) Определения:
• Полость брюшины: потенциальное пространство в брюшной полости между висцеральным и париетальным листками брюшины, обычно содержащее лишь малое количество перитонеальной жидкости (для смазки)
• Брюшная полость: не тождественна полость брюшины, но включает в себя все пространство между мускулатурой брюшной стенки, ниже диафрагмы и выше (произвольно) края таза:
о Содержит все внутрибрюшинные и забрюшинные внутренние органы живота


На рисунке сагиттального среза брюшной полости показана брюшинная полость, искусственно расширенная воздухом. Обратите внимание на стенки сальниковой сумки в этой плоскости, включающие хвостатую долю печени сверху, желудок и желудочно-ободочную связку спереди и поджелудочную железу сзади. Желудочно-печеночная связка является частью малого сальника и содержит печеночную артерию и воротную вену, идущие к печени. Брыжейка является многослойной складкой брюшины, заключающая в себя слой жировой ткани, кровеносные сосуды, нервы и лимфатические сосуды внутрибрюшинных органов. Большой сальник является четырехслойной складкой брюшины, идущей вниз от желудка и покрывающей большую часть толстой и тонкой кишки. Обычно слои срастаются ниже поперечно-ободочной кишки. Желудочно-ободочная связка является частью большого сальника.

Сальниковая сумка граничит спереди и справа с малым сальником, в котором проходят общий желчный проток, печеночная артерия, воротная вена и желудочные сосуды. Левая граница включает желудочно-селезеночную связку (с короткими желудочными сосудами) и почечно-селезеночную связку (с селезеночными сосудами).

Боковые каналы брюшной полости образованы складками брюшины, покрывающей восходящую и нисходящую ободочные кишки и боковую стенку живота. Обратите внимание на многочисленные потенциальные углубления брюшины, лежащие между петлями кишечника и листками их сальника.

На этом изображении печень оттянута кверху, обнажая малый сальник. Малый сальник, состоящий из печеночно-двенадцатиперстной связки и печеночно-желудочной связки, образует часть передней стенки сальниковой сумки и содержит общий желчный проток, печеночную артерию, воротную вену и желудочные артерии. Через малый сальник можно увидеть аорту и чревный ствол, поскольку они лежат непосредственно позади сальниковой сумки. Большой сальник на этом рисунке изображен в виде крупного фартука из жировой ткани, идущего от желудка вниз по ходу передней стенки живота.

На рисунке фронтальной плоскости показана брюшная полость, из которой убраны все внутрибрюшинные органы. Корень брыжейки поперечно-ободочной кишки разделяет брюшинную полость на верхний и средний этажи, сообщающиеся между собой только через боковые каналы брюшной полости. Венечная и треугольная связки, идущие от диафрагмы, поддерживают печень. Верхние брыжеечные сосуды проходят в брыжейке тонкой кишки, корень которой проходит в косом направлении от верхнего отдела левой брюшной стенки до нижнего отдела правой брюшной стенки.

б) Брюшина:
• Тонкая серозная оболочка, состоящая из однослойного плоского эпителия (мезотелия) и двух разделенных непрерывных листков (париетального и висцерального листков брюшины):
о Париетальный листок брюшины выстилает внутреннюю поверхность брюшной стенки:
- Обладает общей соматической иннервацией с прилегающей стенкой живота и чувствителен к боли (с четкой локализацией)
о Висцеральный листок брюшины (серозная оболочка) выстилает и покрывает органы брюшной полости:
- Обладает общей иннервацией с внутренними органами и чувствителен к боли, обусловленной растяжением кишечника или сальника (с нечеткой локализацией)
- Боль, обусловленная растяжением или раздражением висцеральной брюшины может проецироваться в соответствующие кожные дерматомы

в) Отделы полости брюшины:
• Собственно полость брюшины: наиболее крупный отдел полости брюшины (за исключением сальниковой сумки)
• Сальниковая сумка:
о Сообщается с собственно полостью брюшины через сальниковое отверстие (винслово)
о Ограничена спереди хвостатой долей печени, желудком и большим сальником; сзади поджелудочной железой, левым надпочечником и почкой; слева селезеночно-почечной и желудочно-селезеночной связками; и справа сальниковым отверстием и малым сальником


КТ с контрастированием, исследование мужчины среднего возраста с циррозом и очерченными пространствами и складками брюшины, представлены первые четыре аксиальных среза. Асцитическая жидкость расширяет брюшинную полость, способствуя визуализации углублений и складок брюшины, не наблюдающихся в норме.

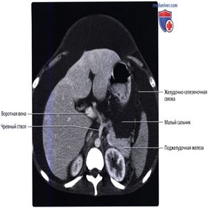
Сальниковая сумка и брюшинная полость расширены асцитической жидкостью. Желудочно-селезеночная связка и поджелудочная железа образуют границу сальниковой сумки, как и малый сальник, положение которого обозначается воротной веной и чревным стволом.

Серповидная связка поддерживает печень с передней брюшной стенки. Большой сальник лежит между кишечником и передней брюшной стенкой.

Внутрибрюшинные органы, такие как печень, поперечно-ободочная кишка и тонкая кишка взвешены в асцитической жидкости, при этом она не влияет на положение забрюшинных органов, таких как почки и поджелудочная железа.

КТ с контрастированием, исследование мужчины среднего возраста с циррозом и асцитической жидкостью, очерчивающей пространства и брыжейки брюшины, представлены первые четыре среза. Печень подвешена на передней брюшной стенке серповидной связкой и на диафрагме венечной связкой, между листками которых расположено свободное поле печени.

Малый сальник и желудочно-селезеночная связка образуют две из стенок сальниковой сумки. Малый сальник на этом изображении можно идентифицировать по расположению воротной вены и печеночной артерии.

Брыжейка легко обнаруживается за счет содержащихся в них жировой ткани и кровеносных сосудов. Забрюшинные органы, такие как поджелудочная железа и почки, сохраняют свою нормальную позицию в окружении забрюшинной жировой ткани, в которой проходят кровоснабжающие их сосуды.

Обратите внимание на забрюшинное положение двенадцатиперстной кишки. Горизонтальная часть двенадцатиперстной кишки проходит позади верхних брыжеечных сосудов, кровоснабжающих тонкую кишку. Ветви брыжеечных сосудов лежат между листкам брыжейки и окружены жировой тканью.

КТ с контрастированием, исследование пожилого мужчины с почечной недостаточностью, получающего перитонеальный диализ, представлены первые шесть срезов. К диализату была добавлена контрастная среда для определения потенциальных областей инкапсулированных скоплений жидкости, что обусловливает белый цвет жидкости. Обратите внимание на внутрибрюшинные скопления жидкости в поддиафрагмальных пространствах.

Обратите внимание, как печень и селезенка подвешены на диафрагме, за счет чего они не соприкасаются со стенкой грудной клетки. Свободное поле печени напрямую контактирует с диафрагмой, но не брюшинной полостью и, соответственно, промывная жидкость не контактирует со свободным полем.

Жидкость проникает в щель серповидной связки. Обратите внимание на отсутствие жидкости в сальниковой сумке. В большинстве случаев за исключением тех, когда

д) Сальник:
• Многослойная складка брюшины, идущая от желудка и проксимального отдела двенадцатиперстной кишки до прилегающих органов
• Малый сальник соединяет малую кривизну желудка и проксимальный отдел двенадцатиперстной кишки с печенью:
о Состоит из двух компонентов: печеночно-желудочной и печеночно-двенадцатиперстной связок
о Печеночно-двенадцатиперстная связка содержит общий желчный проток, печеночную артерию и воротную вену
о Печеночно-желудочная связка содержит правую и левую желудочные артерии
• Большой сальник является четырехслойной складкой брюшины, свисающей с большой кривизны желудка наподобие фартука, покрывая поперечно-ободочную кишку и большую часть тонкой кишки:
о Содержит варьирующее количество жировой ткани и большое число лимфатических узлов
о Мобилен и может как заполнять пространства между внутренними органами, так и служить барьером для генерализации внутрибрюшинной инфекции или опухоли

е) Связки брюшины:
• Все двухслойные складки брюшины кроме брыжейки и сальника обозначаются как связки брюшины
• Соединяют один орган с другим (например, селезеночно-почечная связка) или орган с брюшной стенкой (например, серповидная связка)
• Содержат кровеносные сосуды или остатки сосудов плода

ж) Складки брюшины:
• Изгибы брюшины с хорошо очерченными границами, часто отодвигающие брюшину от брюшной стенки (например, срединная пупочная складка покрывает урахус и идет от купола мочевого пузыря до пупка)

з) Углубления брюшины:
• Наиболее низко расположенные карманы, образованные складками брюшины
• Вследствие клинической значимости часто имеют эпонимы [например, карман Моррисона для заднего подпеченочного (печеночно-почечного) углубления, карман Дугласа для позадиматочного углубления)

Вопросы лучевой анатомии и патологии брюшины

а) Недостатки визуализации:
• Полость брюшины и ее брыжейки и углубления обычно не выявляются при визуализации за исключением тех случаев, когда они растянуты или их контуры подчеркиваются внутрибрюшинной жидкостью или воздухом


МРТ, постконтрастное Т1-ВИ, режим подавления сигнала от жира, аксиальный срез: у пациента с перфоративным аппендицитом определяются признаки перитонита с уплотнением и контрастированием брюшины и крупными инкапсулированными скоплениями асцитической жидкости. У здоровых пациентов брюшина не должна визуализироваться, она обычно видна только при уплотнении вследствие инфекции, воспаления или опухоли.

КТ с контрастированием, аксиальный срез: у пациента с сепсисом после хирургического вмешательства определяется выраженное накопление контрастного вещества брюшиной и ее уплотнение в сочетании с инкапсулированным скоплением жидкости по ходу края печени.

КТ с контрастированием, аксиальный срез: у этого же пациента определяются множественные инкапсулированные внутрибрюшинные скопления жидкости по всему объему полостей живота и таза, включая два крупных скопления, распространяющихся вниз по ходу боковых каналов брюшной полости. Брюшина, прилегающая к скоплениям, уплотнена и накапливает контрастное вещество. Сочетание этих признаков характерно для перитонита с формированием абсцесса.

КТ с контрастированием, пациент с циррозом и острыми болями в животе, первые два аксиальных среза. Аспирация асцитической жидкости под контролем УЗИ показала наличие инфекции, характерной для «спонтанного бактериального перитонита».

Каждый из листков брыжейки тонкой кишки выглядит жестким с выпрямленными брыжеечными сосудами и покрыт уплотненной брюшиной, накапливающей контрастное вещество. Париетальный листок брюшины также уплотнен и накапливает контраст, что обусловливает наличие у каждого инкапсулированного скопления жидкости капсулы или ободка. Срастание воспаленных поверхностей брюшины вносит вклад в инкапсулирование жидкости.

КТ с контрастированием, аксиальный срез: у пациента с длительным перитонеальным диализом определяется большой объем асцитической жидкости с распространенными кальцификатами и уплотнениями брюшинного покрытия. Фрагменты тонкой кишки слиплись между собой в «кокон» из уплотненного висцерального листка брюшины (серозной оболочки), сжимающий петли кишечника вместе. Это классическая картина фиброзирующего перитонита, наиболее часто наблюдающегося в условиях длительного перитонеального диализа.

КТ с контрастированием, аксиальный срез: у этого же пациента определяются более распространенные кальцификаты, окружающие тонкую кишку. Тонкая кишка собрана в центральном отделе брюшной полости и при этом заболевании часто описывается как «кокон» брюшной полости.

Рентгенография брюшной полости спустя два часа после приема бариевого контраста: определяется медленное прохождение бария и расширение тонкой кишки. Петли тонкой кишки также собраны вместе и фиксированы в одном положении, а не свободно двигаются в брюшной полости как при отсутствии патологических изменений. Это пример тяжелого фиброзирующего перитонита—редкого осложнения перитонеального диализа.

КТ с контрастированием, исследование женщины средних лет с раком яичника, первые два аксиальных среза. В жировой ткани сальника, лежащей выше толстой и тонкой кишок, определяются едва заметные узлы мягкотканной плотности. Эта картина характерна для метастатического поражения брюшины (например, при канцероматозе брюшины).

КТ с контрастированием, аксиальный срез: на этом срезе наиболее четко видны узловые метастазы опухоли в сальнике. Распространение опухоли по брюшине часто, но не всегда сопровождается злокачественным асцитом, в этом случае отсутствующим.

КТ с контрастированием, аксиальный срез: у пациента с канцероматозом брюшины определяются узловые опухолевые метастазы в сальниковой сумке и по ходу париетального листка брюшины мягкотканной плотности. Отмечается наличие объемного опухолевого образования в сальнике—так называемого сальникового пирога. Обратите внимание на наличие инкапсулированной жидкости в сальниковой сумке. Инкапсулирование асцитической жидкости наиболее часто обусловлено сращениями (вследствие перенесенного оперативного вмешательства), перитонитом или канцероматозом брюшины.

КТ с контрастированием, аксиальный срез: у пациента с раком толстой кишки определяются классические признаки канцероматоза брюшины, включая уплотнение и контрастирование брюшины, «складчатое» уплотнение сальника, обусловленное опухолевой инфильтрацией и выраженное сращение сальника с опухолью.

МРТ, Т2-ВИ, режим подавления сигнала от жира, аксиальный срез: определяется опухолевый «пирог», распространенный по всему сальнику, в этом случае имеющий относительно изоинтенсивный сигнал на Т2-ВИ по отношению к кишечнику. Обратите внимание на наличие прилегающей асцитической жидкости, что должно настроить врача на внимательный поиск канцероматоза у всех пациентов с опухолевыми заболеваниями.

МРТ, постконтрастное Т1-ВИ, режим подавления сигнала от жира: у этого же пациента с распространенным канцероматозом определяется как накопление контрастного вещества по всему сальнику, так и уплотнение брыжейки.

КТ с контрастированием, аксиальный срез: у пациента с раком толстой кишки определяется солидный пласт ткани, покрывающий толстую кишку. Эта структура называется сальниковым «пирогом» и, в сущности, позволяет диагностировать канцероматоз брюшины.

КТ с контрастированием, аксиальный срез: у пациента с метастатической нейроэндокринной опухолью в большом сальнике определятся опухолевый пирог с большим количеством сосудов с большим объемом асцитической жидкости, что согласуется с канцероматозом брюшины и злокачественным асцитом. Присутствуют несколько областей уплотнения и интенсивного накопления контрастного вещества брюшиной, прилегающей к асцитической жидкости.

КТ с контрастированием, аксиальный срез: у этого же пациента хорошо визуализируется схожая гиперваскуляризированная опухоль, инфильтрирующая брыжейку внутрибрюшинной тонкой кишки с распространенным метастатическим поражением, что обусловливает слипшийся или гроздевидный внешний вид тонкой кишки.

КТ с контрастированием, аксиальный срез: классическая картина псевдомиксомы брюшины: метастатическое поражение брюшины муцин-продуцирующей опухолью червеобразного отростка приводит к формированию скопления желатинообразного вещества в брюшинной полости. Формирование капсул и количество вещества обусловливают характерный масс-эффект, или вдавления, на внутренние органы полости живота и часто вызывают обструкцию кишечника.

КТ с контрастированием, аксиальный срез: у этого же пациента определяется сложный (с наличием перегородок) характер «асцитической жидкости», часто являющейся полужидким желатинообразным веществом. Метастазы наблюдаются по всей полости брюшины, включая метастазы, расположенные по поверхности печени, сальника и боковых каналов брюшной полости. Обратите внимание, что почки не подвержены влиянию опухоли благодаря своему забрюшинному положению.

КТ с контрастированием, объемный рендеринг, корональный срез: у пациента с миксомой брюшины определяются классические «вдавления» на поверхности печени, обусловленные муцинозными вставками и распространенным метастатическим поражением всей брюшинной полости.

б) Клиническое значение:
• Брюшина, обнаруживаемая при визуализации, уплотнена за счет воспалительного или опухолевого процесса:
о Узловой характер уплотнений обычно обусловлен злокачественным процессом, в то время как равномерное уплотнение брюшины может рассматриваться как результат инфекционного/неинфекционного перитонита или раннего опухолевого поражения
• Углубления брюшины часто являются областями скопления перитонеальной (асцитической) жидкости, гноя или метастазов опухоли
• Все углубления потенциально могут сообщаться между собой, но становятся функционально изолированными за счет процессов, вызывающих слипание слоев брюшины (например, при абсцессе)

-