Лучевая анатомия (рентген, КТ анатомия) плевры
Добавил пользователь Валентин П. Обновлено: 11.12.2025
В 1886 году, на следующий год после открытия Вильгельмом Рентгеном «икс-лучей», знаменитый изобретатель Томас Эдисон публично заявил, что намерен получить первый рентгеновский снимок «живого мозга». Однако уже через несколько недель работы великому ученому пришлось признать свою неудачу — ему так и не удалось создать технологию, позволяющую рентгеновским лучам «заглянуть внутрь» плотной структуры костей черепа, сохранив данные о мягкой ткани мозга. Такой возможности человечеству пришлось подождать до конца следующего века, пока в 1972 году не был предложен метод компьютерной томографии.
Сегодня компьютерная томография считается сравнительно простым, доступным и повсеместно используемым диагностическим методом.
Принцип получения изображений
Компьютерная томография базируется на рентгеновском излучении и его детектировании. Это особый вид электромагнитного излучения, которое способно проходить через непрозрачные для обычного света среды. Нужно помнить, что это излучение:
- ослабляется в среде (тканях) тем больше, чем плотнее среда, сквозь которую они прошли;
- имеет непрямой ионизирующий эффект, то есть отрыв электронов от атомов вещества, через которое проходит рентген-излучение, что и обуславливает лучевую нагрузку на пациента при исследовании;
Линию, по которой проходит рентген-излучение от излучателя к детектору, как правило называют осью х, линию, которая проходит, проще говоря, от «право» к «лево» для пациента — осью у, а линию «верх-низ» пациента, то есть толщину среза — осью z.

В современном компьютерном томографе рентгеновская трубка совершает спиральное вращение вокруг тела пациента в аксиальной плоскости, постоянно генерируя излучение. Если точнее, трубка вращается по кругу, и одновременно с этим непрерывно смещается вперед или назад стол с пациентом.
В традиционных пошаговых томографах происходит цикл «вращение — шаг стола — вращение».
При этом пучок излучения сформирован в виде тонкого веера — широкий по оси у, узкий по оси z. Проходя сквозь тело пациента, рентгеновское излучение ослабляется соответственно плотности ткани, через которую оно прошло, затем попадает на детекторы и регистрируется.
Детекторы в современных КТ-аппаратах расположены в несколько рядов, причем наружный ряд шире, чем внутренний. Это позволяет многократно регистрировать излучение от каждого среза, получая более точные данные и сокращая время исследования. В наиболее распространенных на сегодня типах томографов может быть от 4 или 16 до 320 рядов детекторов, как в представленном фирмой Toshiba в 2007 году AQUILION ONE. Когда Вы слышите термин «16-срезовый КТ», имеется ввиду именно количество рядов детекторов. Детекторы могут быть расположены дугой напротив излучателя и вращаться одновременно с трубкой (томографы 3-го поколения), а могут быть неподвижными и занимать всю окружность, в то время как вращается только рентгеновская трубка (4-е поколение томографов).
А дальше начинается именно то, за что Аллан Кормак и Годфри Хаунсфилд получили Нобелевскую премию в 1979 году: на основе имеющихся данных о том:
- какое количество излучения покинуло рентгеновскую трубку;
- какое количество излучения зарегистрировалось детекторами;
- и где находилась трубка и детекторы в каждый момент времени происходит реконструкция и построение изображений с помощью итеративных алгоритмов.
Для реконструкции используются данные от каждого луча, который проходил через выбранное поле обзора от трубки до детектора. Коэффициент ослабления для каждой точки изображения рассчитывают с помощью усреднения значений ослабления для всех лучей, пересекающих эту точку. Полученные таким образом данные называют исходными, или «сырыми». Эти необработанные данные уже представляют изображения срезов, отображенные в оттенках серой шкалы, однако нуждаются в дальнейшей обработке.
Шкала Хаунсфилда
Во время реконструкции изображения каждому пикселю приписывается числовое значение, выраженное в единицах ослабления, или единицах Хаунсфилда, которое определяется тем, насколько ослабляется луч, проходя через данный воксель (единицу объема) — проще говоря, эта шкала показывает примерную плотность вещества.
Само изображение среза, каким мы увидим его на экране, получается благодаря тому, что каждый пиксель будет отображен каким-то оттенком серого в зависимости от плотности вокселя и настроек окна. Шкала Хаунсфилда начинается со значения –1000 HU (hounsfield unit) для воздуха, значение 0 HU задано для воды, жир занимает значения от –120 до –90 HU, нормальная ткань печени — 60–70 HU, кровь — 50–60, костная ткань — 250 и выше. Верхний предел шкалы колеблется от +1000 до более чем +3000 для разных томографов. Программы-просмотрщики КТ-изображений всегда имеют возможность вычислить среднюю плотность выделенной области, ведь отличить разницу в 10–15 HU «на глаз» трудно, но разница эта может быть значима, например, для диагностики жирового гепатоза, степени накопления новообразованием контраста и т. д.

Для визуальной оценки КТ-изображений важны настройки окна. Дело в том, что человеческий глаз не способен различить несколько тысяч оттенков серого, и, чтобы различить близкие по значению плотности, но все же разные структуры, изображение рассматривают в определенном окне. Например, ширина костного окна — 2000 HU, уровень — 500 HU. Это значит, что структуры плотностью 500 HU отобразятся на экране в виде средне-серого цвета, значениям 500 HU до –500 HU будут присвоены оттенки от средне- до очень темно-серого, а структуры плотностью ниже –500 будут отображены слишком темными, чтобы четко их дифференцировать. Структуры плотность выше 1500 HU будут, соответственно, слишком светлыми.

Но вернемся к полученным в результате первичной алгебраической обработки данным. Если перевести «сырые» данные в изображения, то они получатся нерезкими и с размытыми контурами, поэтому для дальнейшей обработки применяют математическую фильтрацию с усилением контуров (конволюцию).
Кернель, или ядро конволюции заложено в протоколе исследования и обработки данных, однако радиолог может менять его по своему усмотрению, задав более «жесткий» или «мягкий» кернель. Например, для сред с высоким естественным контрастом (ткань легкого, костные структуры) применяют жесткий кернель, для органов брюшной полости (низкий естественный контраст) — мягкий. Есть возможность применить разный кернель конволюции к одному и тому же массиву сырых данных, например, после сканирования головы пациента с подозрением на черепно-мозговую травму создать одну серию изображений с жестким кернелем для четкой визуализации костей черепа, а вторую — с мягким кернелем, на ней будут хорошо визуализированы ткани мозга и мозговых оболочек. Каждая серия анализируется радиологом отдельно.
Еще один важный параметр реконструкции изображения — толщина среза. Его минимальное значение определено параметрами сканирования (проще говоря, толщиной луча). Тонкие срезы используются там, где нужно визуализировать множество мелких контрастных структур — например, при томографии височной кости. Однако чем тоньше срезы, тем больше время сканирования и лучевая нагрузка на пациента.
Для дальнейшей удобной работы с полученными после первичной обработки исходными данными в КТ применяют инструменты постпроцессинга. Наиболее частые — это мультипланарная реконструкция (MPR), позволяющая из аксиальных сканов построить коронарные и саггитальные изображения.
Проекция максимальной интенсивности (MIP) строится таким образом: для каждой координаты XY представлен только пиксель с наивысшим номером Хаунсфилда вдоль оси z, так что в одном двумерном изображении наблюдаются все самые плотные структуры в данном объеме. MIP используют для визуализации костных структур или контрастированных сосудов.
Другой метод — 3D-рендеринг, позволяющий восстановить из исходных данных, подходящих по определенный критерий (чаще всего это также структуры наивысшей плотности — кости и кровь, содержащая контрастное вещество) трехмерную модель. Работая на станции, радиолог может рассматривать модель со всех сторон и «отрезать» лишние фрагменты изображений. Одним из видов 3D рендеринга является виртуальная эндоскопия — технология, позволяющая вывести в трехмерном изображении полый орган (чаще всего проводят виртуальные колоноскопию и бронхоскопию). Это исследование не заменяет реальной скопической процедуры, но может предоставить дополнительные данные или помочь в планировании реальной процедуры.
4D-рендеринг широко используется в основном для КТ-исследования сердца. Для этой технологии необходим томограф с возможностью синхронизировать сканирование и сердечный ритм пациента; используются томографы 4-го поколения либо мультисрезовые томографы с количеством детекторов от 64 и выше. Сканирование проводится в разные фазы сердечного цикла, затем из полученных изображений строится последовательность 3D-моделей, по очереди соединенных в «фильм», позволяющий отследить изменения во время сердечного цикла.

Для большинства исследований в КТ используют контрастные вещества (КВ) — вещества, содержащие йод и повышающие значения плотности среды, в которой находятся. В настоящее время выделяют ионные и неионные, мономерные и димерные йодсодержащие рентгеноконтрастные средства. Ионные КВ имеют повышенную осмолярность и в настоящее время не рекомендованы для парентерального контрастирования из-за высокой частоты побочных эффектов. Ионные КС могут быть использованы для перорального контрастирования, сиалографии (контрастирования слюнных желез) и т.д.
Существуют различные методики КТ-исследования с помощью контрастного препарата.
«Классическая» многофазная КТ предполагает введение сравнительно большого (обычно от 70 до 120 мл) контрастного средства со скоростью 3–4 мл/с. За этим следует несколько сканирований нужной области в определенные моменты времени — фазы. Например, исследование печени при подозрении на новообразование чаще выполняется в нативную (бесконтрастную), артериальную (контрастное вещество преимущественно в артериях, 15–40 с от начала введения), портовенозную (КВ в системе портальной вены и печеночных венах, 55–60 с) и отсроченную, или паренхиматозную (несколько минут после введения КВ) фазы. Полученные изображения позволяют не только оценить анатомию сосудов органа, но и дифференцировать найденные образования по характеру накопления КВ.
Образование активно накапливает контраст и в артериальную фазу «светится» интенсивнее остальной паренхимы, а в венозную и отсроченную фазы контраст «вымывается» и образование выглядит менее плотным или таким же по плотности, как и остальная паренхима? Вероятно, это гиперваскулярная опухоль или метастаз. Не накапливает контраст (или накапливает в пределах 10 HU) и выглядит гиподенсным во всех фазах? Скорее всего, это киста.
Учитывая накопление КВ в определенных фазах, характер этого накопления, а также размеры, расположение и структуру образования, рентгенолог делает предположение о характере образования. Внутривенное контрастирование используется также для проведения КТ-ангиографии.
Перфузионная КТ используется чаще всего для диагностики нарушений мозгового кровообращения и нарушений перфузии миокарда, а также для оценки раннего ответа на химиотерапию. Эта методика позволяет отграничить зону некроза от пенумбры — зоны обратимой ишемии. Перфузионная КТ может быть выполнена на любом мультиспиральном компьютерном томографе, однако, чем больше он имеет детекторов, тем большую зону можно охватить при сканировании. Начальным этапом выполнения перфузионной КТ является нативное сканирование для исключения геморрагии, а также для выявления иной патологии головного мозга. Перфузионная КТ выполняется после внутривенного болюсного введения 40–50 мл контрастного препарата и 2030 мл физиологического раствора со скоростью 5 мл/с. После внутривенного болюсного введения контрастного препарата выполняются многократные сканирования на одном или нескольких уровнях, следующие друг за другом с минимальными промежутками времени или при непрерывной работе рентгеновской трубки. Общая длительность перфузионного исследования составляет около 1 минуты. Для получения графика контрастного усиления (зависимость плотности в единицах Хаунсфилда от времени) для каждого воксела в зоне интереса необходимо зарегистрировать множественные фазы и находить зоны, где скорость кровотока и времени транзита контрастного препарата не соответствуют объему кровотока, что и будет показателем обратимой ишемии.
Можно выделить несколько основных факторов, затрудняющих чтение томограммы:
- бывает сложно «узнать» анатомические структуры, рассматривая их на аксиальных срезах;
- затруднять чтение могут также артефакты (чаще встречаются артефакты от движения и от присутствия металлических объектов);
- эффекты частного объема.
О последних поговорим подробнее.
Один срез на экране представляет собой плоскостное изображение, построенное из пикселей. Однако нужно помнить, что одному пикселю на экране соответствует трехмерный воксель в реальной жизни и толщина этого вокселя соответствует толщине среза.
Допустим, в срез попала структура, которая на всей толщине среза имеет приблизительно одинаковую ширину, например, сосуд. В данном случае проблем не возникает, и структура будет иметь на сканах четкие контуры.
Но что, если срез пришелся на край позвонка? В воксель попала часть позвонка и часть межпозвоночного диска. Они имеют разную плотность и немного разные размеры. Полученные от вокселей данные суммировались, и в результате на скане появляется структура с нечеткими контурами, плотность которой представляется средней между плотностью позвонка и диска.
Еще один пример: округлой формы образование или лимфоузел. При сканировании в срез попадает часть лимфоузла, остальное — окружающая жировая клетчатка. На скане мы увидим нечеткую округлую структуру, а если захотим измерить ее плотность, значения будут средними между реальной плотностью узла и плотностью жира.
Если структура имеет коническую форму и сужается «в срезе», она также будет иметь нечеткие контуры. Примером может служить размытость контуров почки в области полюсов на томограммах. Такая же размытость появится, если, например, сосуд «делает поворот» в срезе.
Исходя из сказанного, можно дать несколько советов врачу или студенту, который осмелился открыть диск с КТ-исследованием пациента (или сесть за рабочую станцию радиолога) и проанализировать его самостоятельно:
- Пользуйтесь атласами посрезовой и специальными атласами КТ- и МРТ-анатомии наряду с обычными анатомическими атласами;
- Не анализируйте только аксиальные срезы: откройте в просмотрщике несколько окон и прослеживайте интересующую Вас структуру на аксиальных, сагиттальных и корональных срезах одновременно;
- Внимательно проанализируйте изображения, используя разные настройки окна, чтобы хорошо изучить структуры разной плотности; вы увидели образование легкого в «легочном» окне? Изучив его, перейдите в «костное» окно, чтобы выявить возможные метастазы в костные структуры;
- Также внимательно изучите исследование в разных фазах контрастирования; некоторые образования могут иметь схожую с окружающей тканью плотность на бесконтрастных сканах и выделяться только после введения контраста;
- Узнайте, проводилось ли пациенту контрастное исследование до проведенного КТ? Возможно, он проходил рентгеноскопию с применением сульфата бария, и увиденные вами ярко светящиеся области в просвете кишечника — это остатки бариевой взвеси; пациенту проводилось КТ с внутривенным контрастированием накануне? Контрастное вещество может оставаться в мочевыводящих путях (время его выведения зависит от используемого препарата и функции почек), а в случае экстравазации контрастного средства — в мягких тканях пациента;
- Держите в памяти тот факт, что больной во время исследования лежит на спине. Поэтому, например, жидкость в плевральной полости не собирается в плевральных синусах, а «растекается» по нижней стенке плевральной полости;
- Будьте внимательны, проводя денситометрию: помните, что в срез может попадать не только интересующая Вас структура, особенно, если эта структура небольших размеров из-за эффектов частного объема. Всегда измеряйте плотность в нескольких разных областях органа; проводите денситометрию только на бесконтрастных сканах (или сравнивайте показатели денситометрии на при нативном и контрастном исследовании; в этом случае следите, чтобы показатели были взяты из одной области). Интерпретировать результаты денситометрии также следует с осторожностью: жидкость высокой плотности в плевральной полости может быть кровью, транссудатом, гноем, смесью крови и экссудата и т. д; повышение плотности ткани печени — следствием цирротических изменений, диффузной формы злокачественного образования, а может быть и следствием нарушения обмена веществ, например, в виде отложений меди при болезни Вильсона-Коновалова.
А потому — главное правило: оценивайте изменения комплексно. Отмечайте не только изменение плотности, но и форму, объем, структуру органа; положение, форму, распространенность, контуры и структуру найденного образования и паттерн контрастного накопления. Сопоставляйте обнаруженные изменения с данными анамнеза и лабораторных исследований пациента. И помните, что любой метод имеет ограничения.
Нормальная рентгеноанатомия легких 4.9/5 (194)
Нормальная рентгеноанатомия легких
Топография и сегментарное строение легких
Для организации корректного диагностического и терапевтического процесса, установки правильного дифференциального ряда, необходимо знать точную локализацию патологического процесса. При визуализации легких, расположение изменений принято описывать с указанием долей или сегментов.
Доли легких разделены междолевыми щелями. Границы между долями в прямой проекции обычно визуализируются при инфильтрации легочной ткани, граничащей с плеврой или при утолщении междолевой плевры. Точные границы долей определяются в боковой проекции. Косые (главные) междолевые щели идут от третьего грудного позвонка до промежутка между средней и передней третями купола диафрагмы. Горизонтальная (малая) междолевая щель располагается горизонтально от середины главной щели до грудины.
Бронхолегочный сегмент – часть легкого, представляющая собой третичный (сегментарный) бронх, вену и легочную артерию. Сегменты легких отделяются друг от друга соединительной тканью. Следовательно, каждый бронхолегочный сегмент представляет собой дискретную анатомическую и функциональную единицу. Проведение снимка в прямой и боковой проекции позволяет точно установить локализацию и сегмент патологического процесса в легких.
Ацинус – функционально-анатомическая единица легкого. Состоит из всех структур дистальнее терминальной бронхиолы: дыхательных бронхиол, альвеолярных ходов и альвеолярных мешочков с альвеолами, также включая сосуды, нервы и соединительную ткань. Терминальная (концевая) бронхиола, которая дихотомически ветвясь дает начало дыхательным бронхиолам трех порядков. Главное отличие дыхательных бронхиол то, что на их стенках уже присутствуют альвеолы, но не в большом количестве. От каждой дыхательной бронхиолы радиально отходят альвеолярные ходы, которые заканчиваются слепо альвеолярными мешочками. Альвеолярные мешочки, почти полностью состоят из альвеол, и стенку каждого альвеолярного мешочка оплетает густая сеть кровеносных капилляров. Через стенку альвеол происходит газообмен.
Альвеолярные ходы и мешочки, относящиеся к одной дыхательной бронхиоле последнего порядка, составляют первичную дольку, которых в ацинусе 10 — 20. Диаметр ацинуса составляет 4-8 мм. Вторичная долька уже содержит 3-12 ацинусов, и достигает в размерах 1 – 2,5 см. Всего же в обоих легких число ацинусов достигает 30 тысяч, а альвеол – 300-350 млн.
При инфильтрации ацинус появляется на рентгенограмме как неясное затемнение приблизительно 0,5 см в диаметре (ацинарная тень). Перибронхиальная инфильтрация или уплотнение могут иметь сходные рентгенологические признаки.
В правом легком выделяют 10 сегментов:
- Верхняя доля
- Апикальный (верхушечный) сегмент (S I)
- Передний сегмент (S III)
- Задний сегмент (S II)
- Средняя доля
(отделена от верхней доли косой междолевой щелью)
- Латеральный сегмент (S IV)
- Медиальный сегмент (S V)
- Нижняя доля
(отделена от средней доли горизонтальной междолевой щелью)
- Верхний сегмент (S VI)
- Медиальнобазальный (коронарный) сегмент (S VII)
- Передний сегмент (S VIII)
- Боковой сегмент (S IX)
- Задний сегмент (S X)
В левом легком выделяют 8,9 или 10 сегментов (по различным литературным данным):[1,2,3]
- Верхняя доля
- Апикально-задний сегмент (слияние S I + S II)
- Передний сегмент (S III)
- Верхний язычковый сегмент (S IV)
- Нижний язычковый сегмент (S V)
- Верхний сегмент (S VI)
- Медиальнобазальный (S VII) (не выделяется некоторыми авторами)
- Переднемедиальный сегмент (S VIII)
- Латеральный сегмент (S IX)
- Задний сегмент (S X)
Средостение
Средостение — анатомическое пространство грудной полости, которое включает в себя все органы и структуры грудной клетки, за исключением легких. Средостение находится между плевральными полостями, и ограничено спереди грудиной, грудным отделом позвоночника сзади. Вверху средостение ограничено верхней апертурой грудной клетки, внизу – диафрагмой. [4]
Средостение можно разделить на 2 этажа: верхний и нижний. Условной границей служит линия, проведённая между углом грудины и межпозвоночным диском IV и V грудных позвонков.
Верхнее средостение включает вилочковую железу у детей, трахею, верхний отдел пищевода, грудной лимфатический проток, блуждающий и диафрагмальные нервы. Также в нем находятся правая и левая плечеголовные вены, начальный отдел верхней полой вены, дуга аорты и начало плечеголовного ствола, левая общая сонная артерия и левая подключичная артерия.
Нижнее средостение больше верхнего, и в свою очередь, делится на 3 отдела: передний, средний и задний.
Передний отдел нижнего средостения расположен между телом грудины и передней поверхностью перикарда, и является наименьшим отделом нижнего средостения. Включает в себя внутренние грудные артерии и вены, окологрудные и предперикардиальные лимфатические узлы.
Средний отдел нижнего средостения, содержит сердце с окружающим его перикардом и крупные магистральные сосуды (восходящую часть аорты, легочный ствол, конечные части верхней и нижней полых вен), а также главные бронхи, легочные артерии и вены, диафрагмальные нервы и лимфатические узлы.
Задний отдел нижнего средостения расположен между перикардом и грудным отделом позвоночного столба. Содержит пищевод, грудную часть аорты, непарную и полунепарную вены, блуждающий нерв, грудной лимфатический проток. [5]
Рентгеноанатомия средостения
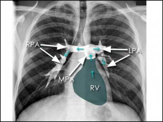
На обзорной рентгенограмме органов грудной клетки (ОГК) в прямой проекции органы средостения формируют тень по форме напоминающую неправильную трапецию. Нижняя половина формируется за счет тени сердца, и небольшой участок за счет нижней полой вены. Верхняя половина за счет теней магистральных кровеносных сосудов (верхняя полая вена, дуга аорты, легочная артерия). По бокам средостения визуализируются корни легких, и легочные поля, снизу купол диафрагмы (Рис. 14).
На обзорной рентгенограмме ОГК в боковой проекции наиболее четко контурируются сердце, восходящая и нисходящая часть аорты, и дуга аорты, трахея. У детей в переднем средостении также визуализируется тимус. (Рис. 15).
Для вычисления отклонений от нормы используют кардиоторакальный индекс (КТИ) — отношение поперечного размера сердца к поперечному размеру грудной клетки, измеряемому на уровне правого сердечно-диафрагмального угла (Рис.14).
КТИ = ((Mr+Ml)·100%) / Базальный диаметра грудной клетки. Выделяют 3 степени увеличения КТИ: нормальная величина не превышает 50%; увеличение I степени — 50 — 55%; II степени — 56 — 60%; III степени — более 60%. [5,6]
На компьютерных томограммах в аксиальной проекции визулизируются (Рис.7 — 13, 16-19):
1 – Правое легкое
2 – Левое легкое
4 — Левый главный бронх
5 – Правый главный бронх
6 – Непарная вена
7 — Нисходящая часть аорты
8 – Восходящая часть аорты
9 – Левый желудочек сердца
10 – Левое предсердие
11 – Правый желудочек
12 – Правое предсердие
13 – Легочный ствол, с отходящими от него левой и правой легочными артериями
15 – Плечеголовной ствол
16 – Левая общая сонная артерия
17 – Левая подключичная артерия
18 – Правая общая сонная артерия
19 – Правая подключичная артерия
20 – Верхняя полая вена
21 – Левая плечеголовная вена
22 — Правая плечеголовная вена
Костные структуры на рентгенограмме органов грудной клетки
Несмотря на то, что обзорная рентгенограмма органов грудной клетки способна помочь нам в оценке патологий легких и органов средостенья, не стоит забывать про грудную клетку и кости плечевого пояса, которые мы также видим на рентгенограмме ОГК. (Рис. 20)
В первую очередь на обзорной рентгенограмме мы видим 12 пар ребер (7 истинных, 3 ложных и 2 пары свободных) (7), которые прикрепляются к телу и поперечному отростку (11) грудных позвонков Th1-Th12 (15). У ребра выделяют три части: заднюю часть(13) (в нее входит головка (16), шейка и бугорок), тело ребра (14) и переднюю часть (17). Так же выделяют верхний (8) и нижний (9) края ребер. Стоит отметить I ребро, которое более широкое, чем остальные ребра и на рентгенограмме хорошо виден бугорок (10) этого ребра. [8]
Ребра отходят от позвонков под прямым углом только у детей до года, у детей старше года и взрослых образуют острый угол в каудальном направлении, и затем через реберные хрящи, которые мы в норме не видим на рентгенограмме, соединяются с грудиной. Грудина на обзорном снимке в сливается с тенью средостения и не визуализируется. Только в некоторых случаях тень рукоятки грудины может симулировать расширение средостения.
Из костей плечевого пояса в область исследования чаще всего попадает только лопатка (4) и ключица (12). Так как рентгенограмма это суммационное изображение, то невозможно отчетливо увидеть все их структуры, но мы четко можем различить границы: медиальный (5) и латеральный (6) края и верхний угол (2) лопатки, клювовидный отросток лопатки (3) и грудинный конец ключицы (1). [8]
Анатомия легких: сегменты на рентгенограмме и КТ, ход бронхов.
Сегмент S1 (апикальный или верхушечный) правого лёгкого. Относится к верхней доле правого лёгкого. Топографически проецируется на грудную клетку по передней поверхности 2 ребра, через верхушку лёгкого до ости лопаточной кости.
Сегмент S2 (задний) правого лёгкого. Относится к верхней доле правого лёгкого. Топографически проецируется на грудную клетку по задней поверхности паравертебрально от верхнего края лопатки до её середины.
Сегмент S3 (передний) правого лёгкого. Относится к верхней доле правого лёгкого. Топографически проецируется на грудную клетку спереди от 2 до 4 рёбер.
Сегмент S4 (латеральный) правого лёгкого. Относится к средней доле правого лёгкого. Топографически проецируется на грудную клетку в передней подмышечной области между 4 и 6 рёбрами.
Сегмент S5 (медиальный) правого лёгкого. Относится к средней доле правого лёгкого. Топографически проецируется на грудную клетку жду 4 и 6 рёбрами ближе к грудине.
Сегмент S6 (верхний базальный) правого лёгкого. Относится к нижней доле правого лёгкого. Топографически проецируется на грудную клетку в паравертебральной области от середины лопатки до её нижнего угла.
Сегмент S7 правого лёгкого. Топографически локализуется с внутренней поверхности правого легкого, располагается ниже корня правого лёгкого. Проецируется на грудную клетку от 6 ребра до диафрагмы между грудинной и срединноключичной линиями.
Сегмент S8 (передний базальный) правого лёгкого. Относится к нижней доле правого лёгкого. Топографически отграничен спереди главной междолевой бороздой, снизу диафрагмой, сзади — задней подмышечной линией.
Сегмент S9 (латеральный базальный) правого лёгкого. Относится к нижней доле правого лёгкого. Топографически проецируется на грудную клетку между лопаточной и задней подмышечной линиями от середины лопаточной кости до диафрагмы.
Сегмент S10 (задний базальный) правого лёгкого. Относится к нижней доле правого лёгкого. Топографически проецируется на грудную клетку от нижнего угла лопатки до диафрагмы, по бокам отграничен околопозвоночной и лопаточной линиями.
Сегмент S1+2 (верхушечно-задний) левого лёгкого. Представляет комбинацию из С1 и С2 сегментов, что обусловлено наличием общего бронха. Относится к верхней доле левого лёгкого. Топографически проецируется на грудную клетку по передней поверхности от 2 ребра и вверх, через верхушку до середины лопаточной кости.
Сегмент S3 (передний) левого лёгкого. Относится к верхней доле левого лёгкого. Топографически проецируется на грудную клетку спереди от 2 до 4 ребра.
Сегмент S4 (верхний язычковый) левого лёгкого. Относится к верхней доле левого лёгкого. Топографически проецируется на грудную клетку по передней поверхности от 4 до 5 ребра.
Сегмент S5 (нижний язычковый) левого лёгкого. Относится к верхней доле левого лёгкого. Топографически проецируется на грудную клетку по передней поверхности от 5 ребра до диафрагмы.
Сегмент S6 (верхний базальный) левого лёгкого. Относится к нижней доле левого лёгкого. Топографически проецируется на грудную клетку в паравертебральной области от середины лопатки до её нижнего угла.
Сегмент S8 (передний базальный) левого лёгкого. Относится к нижней доле левого лёгкого. Топографически отграничен спереди главной междолевой бороздой, снизу диафрагмой, сзади — задней подмышечной линией.
Сегмент S9 (латеральный базальный) левого лёгкого. Относится к нижней доле левого лёгкого. Топографически проецируется на грудную клетку между лопаточной и задней подмышечной линиями от середины лопаточной кости до диафрагмы.
Сегмент S10 (задний базальный) левого лёгкого. Относится к нижней доле левого лёгкого. Топографически проецируется на грудную клетку от нижнего угла лопатки до диафрагмы, по бокам отграничен околопозвоночной и лопаточной линиями.
Представлена рентгенограмма правого лёгкого в боковой проекции с указанием топографии междолевых щелей.
Лёгкие располагаются в грудной клетке, занимая большую ее часть, и отделены друг от друга средостением. Размеры лёгких неодинаковые вследствие более высокого положения правого купола диафрагмы и положения сердца, смещенного влево.
В каждом лёгком различают доли, разделенные глубокими щелями. Правое лёгкое состоит из трёх долей, левое — из двух. На правую верхнюю долю приходится 20% лёгочной ткани, на среднюю — 8%, правую нижнюю — 25%, левую верхнюю — 23%, левую нижнюю — 24%.
![15]()
Главные междолевые щели проецируются справа и слева одинаково — от уровня остистого отростка 3 грудного позвонка они направляются косо вниз и вперед и пересекают 6 ребро у места перехода его костной части в хрящевую.
Дополнительная междолевая щель правого лёгкого проецируется на грудную клетку по ходу 4 ребра от средней подмышечной линии до грудины.
На рисунке обозначены: Upper Lobe — верхняя доля, Middle Lobe — средняя доля, Lower Lobe — нижняя доля
![Z5nCBUx5gEQ]()
![Y5vKbPvH4zc]()
Левый бронх
Left main bronchus — левый главный бронх
Left upper lobe bronchus — левый верхнедолевой бронх
Сегмент S1+2 (верхушечно-задний) левого лёгкого. Представляет комбинацию из С1 и С2 сегментов, что обусловлено наличием общего бронха. Относится к верхней доле левого лёгкого. Топографически проецируется на грудную клетку по передней поверхности от 2 ребра и вверх, через верхушку до середины лопаточной кости.
Сегмент S3 (передний) левого лёгкого. Относится к верхней доле левого лёгкого. Топографически проецируется на грудную клетку спереди от 2 до 4 ребра.
Сегмент S4 (верхний язычковый) левого лёгкого. Относится к верхней доле левого лёгкого. Топографически проецируется на грудную клетку по передней поверхности от 4 до 5 ребра.
Сегмент S5 (нижний язычковый) левого лёгкого. Относится к верхней доле левого лёгкого. Топографически проецируется на грудную клетку по передней поверхности от 5 ребра до диафрагмы.Left lower lobar bronchus — левый нижнедолевой бронх
Сегмент S6 (верхний базальный) левого лёгкого. Относится к нижней доле левого лёгкого. Топографически проецируется на грудную клетку в паравертебральной области от середины лопатки до её нижнего угла.
Сегмент S8 (передний базальный) левого лёгкого. Относится к нижней доле левого лёгкого. Топографически отграничен спереди главной междолевой бороздой, снизу диафрагмой, сзади — задней подмышечной линией.
Сегмент S9 (латеральный базальный) левого лёгкого. Относится к нижней доле левого лёгкого. Топографически проецируется на грудную клетку между лопаточной и задней подмышечной линиями от середины лопаточной кости до диафрагмы.
Сегмент S10 (задний базальный) левого лёгкого. Относится к нижней доле левого лёгкого. Топографически проецируется на грудную клетку от нижнего угла лопатки до диафрагмы, по бокам отграничен околопозвоночной и лопаточной линиями.Правый бронх
Right main bronchus — правый главный бронх
Intermediate bronchus — средний бронхRight upper lobar bronchus — правый верхнедолевой бронх
Сегмент S1 (апикальный или верхушечный) правого лёгкого. Относится к верхней доле правого лёгкого. Топографически проецируется на грудную клетку по передней поверхности 2 ребра, через верхушку лёгкого до ости лопаточной кости.
Сегмент S2 (задний) правого лёгкого. Относится к верхней доле правого лёгкого. Топографически проецируется на грудную клетку по задней поверхности паравертебрально от верхнего края лопатки до её середины.
Сегмент S3 (передний) правого лёгкого. Относится к верхней доле правого лёгкого. Топографически проецируется на грудную клетку спереди от 2 до 4 рёбер.Right middl lobar bronchus — правый среднедолевой бронх
Сегмент S4 (латеральный) правого лёгкого. Относится к средней доле правого лёгкого. Топографически проецируется на грудную клетку в передней подмышечной области между 4 и 6 рёбрами.
Сегмент S5 (медиальный) правого лёгкого. Относится к средней доле правого лёгкого. Топографически проецируется на грудную клетку жду 4 и 6 рёбрами ближе к грудине.Right lower lobar bronchus — правый нижнедолевой бронх
Сегмент S6 (верхний базальный) правого лёгкого. Относится к нижней доле правого лёгкого. Топографически проецируется на грудную клетку в паравертебральной области от середины лопатки до её нижнего угла.
Сегмент S7 правого лёгкого. Топографически локализуется с внутренней поверхности правого легкого, располагается ниже корня правого лёгкого. Проецируется на грудную клетку от 6 ребра до диафрагмы между грудинной и срединноключичной линиями.
Сегмент S8 (передний базальный) правого лёгкого. Относится к нижней доле правого лёгкого. Топографически отграничен спереди главной междолевой бороздой, снизу диафрагмой, сзади — задней подмышечной линией.
Сегмент S9 (латеральный базальный) правого лёгкого. Относится к нижней доле правого лёгкого. Топографически проецируется на грудную клетку между лопаточной и задней подмышечной линиями от середины лопаточной кости до диафрагмы.
Сегмент S10 (задний базальный) правого лёгкого. Относится к нижней доле правого лёгкого. Топографически проецируется на грудную клетку от нижнего угла лопатки до диафрагмы, по бокам отграничен околопозвоночной и лопаточной линиями.Рак легкого (бронхогенная карцинома) стал одним из самых грозных заболеваний человека в последние годы. По своей частоте в промышленно развитых странах он уступает только злокачественным заболеваниям желудка.
Обратите внимание!
- Рентгеновская диагностика периферического рака легкого нередко сложна вследствие схожести его семиотических признаков с другими заболеваниями
- Обязательным этапом обследования больных с подозрением на рак легкого должна быть рентгеновская КТ
- Специфичность КТ выше, чем у рентгенографии, и достигает 70%
- Только гистологическое исследование по-прежнему является наиболее точным диагностическим методом. В настоящее время распространение получила тонкоигольная биопсия под контролем КТ
- КТ позволяет уточнить риск и определить, насколько оправданно оперативное вмешательство, оценить возможность осложнений, построить прогноз лечения больного
- Радикальным способом лечения рака легкого остается хирургический
Особенности строения легких
Сами легкие являются органами, обеспечивающими газообмен между кровью и окружающей средой. Борозды делят легкие на несколько долей. Правое легкое состоит из трех, а левое – из двух долей. Доли, в свою очередь, состоят из сегментов. Они представляют собой усеченные конусы, которые вершиной направлены в сторону легочных корней. Последние являются углублениями на обеих легких со стороны средостения, через которые в легкие входят легочные артерии и выходят вены легких. Из них в каждый сегмент попадает ветвь легочных артерий, и сегментарные бронхи, на которые делятся два главных бронха.
![Особенности строения легких]()
![Особенности строения легких]()
Легочные артерии — ветви легочного ствола отходящего от правого желудочка
![Особенности строения легких]()
![Особенности строения легких]()
Они занимают центральное положение в сегменте, а между ними, внутри перегородок из соединительной ткани, проходят вены. Количество сегментов в долях легких разное. Справа их 10:
![Особенности строения легких]()
![Особенности строения легких]()
- Верхняя доля – 3 сегмента.
- Средняя доля – 2 сегмента.
- Нижняя доля – 5 сегментов.
![Особенности строения легких]()
![Особенности строения легких]()
Слева в обеих долях имеется по 4 сегмента, всего 8.
![Особенности строения легких]()
![Особенности строения легких]()
Upper Lobe — верхняя доля; Middle Lobe — средняя доля; Lower Lobe — нижняя доля
![Особенности строения легких]()
![Особенности строения легких]()
![Особенности строения легких]()
Очаги в лёгких на КТ — что это может быть и как выглядят очаговые изменения
КТ – один из современных и эффективных методов диагностики. Суть процедуры состоит в том, что с помощью рентгеновского излучения и компьютерной программы выполняется послойный снимок нужного органа. Внутри томографа зафиксирована рентгеновская трубка.
Во время сеанса часть аппарата вращается вокруг пациента и может сделать тысячу снимков в секунду. Компьютерная программа сводит их в одну картинку и создает объемное изображение. Полный цикл обследования органов грудной клетки производится за 5-10 минут.
Компьютерную томографию назначают для исследования любых органов и систем организма. Томограмма ОГК (органов грудной клетки) — наиболее информативна, ведь по ее результатам пульмонолог видит бронхи, сосуды в легких, форму альвеол, трахею и размер лимфоузлов. Рассмотрим, как расшифровывается снимок, что означают очаги на легких, разберемся в их разновидностях.
В каких случаях проводится кт легких?
Если врач по результатам осмотра, жалобам пациента или иным признакам заподозрит какое-либо легочное заболевание, есть вероятность, что будет назначена КТ органов грудной клетки. Рассмотрим основные показания к этому исследованию:
- врач подозревает наличие образования в легких либо в области средостения, плевры;
- если рентген показал затемнение неясного характера в отдельных участках легких;
- при пневмонии, туберкулезе легких;
- выявление опухоли в легких на начальной стадии, если у пациента обнаружены злокачественные клетки в мокроте;
- после операции по удалению раковой опухоли для выявления рецидивирующего процесса.
Есть масса иных показаний к проведению КТ органов грудной клетки. Это весьма эффективное исследование, его часто назначают после рентгенографии, если снимок малоинформативен.
Что может показать снимок томографии легких?
Компьютерная томография ОГК позволяет диагностировать многие заболевания. По ее результатам специалист сможет:
- поставить уточненный диагноз;
- определить локализацию процесса, его стадию;
- назначить эффективное лечение;
- контролировать динамику терапии, назначив повторную томографию;
- оценить состояние легких, плотности тканей, внешний вид альвеол, измерить дыхательный объем;
- рассмотреть большинство легочных сосудов, легочную артерию, верхнюю полую вену, трахею, бронхи, лимфатические узлы.
Причины появления в легких субплевральных очагов
Характерно, что патологические образования могут никак не проявляться. Многие пациенты не предъявляют жалоб — у них отсутствует кашель, слабость, боль в грудине.
Одиночный очаг определяется как уплотнение легочной ткани, диаметр которого — 1-10 мм. Чаще изменения тканей легких визуализируются при таких состояниях:
- пневмония;
- первичный или хронический очаговый туберкулез;
- эмболия легочных сосудов;
- опухолевые заболевания, их последствия (метастазы, лимфогранулематоз, ретикулез);
- отечные явления как результат аллергии;
- повреждения грудной клетки, кровотечения.
Субплевральные очаги – это ограниченные участки измененных тканей, расположенные под плеврой, которая представляет собой оболочку легкого. Как правило, данный вид образований незаметен на плановой флюорографии или рентгенограмме, зато он обнаруживается на КТ.
Причины появления субплевральных очагов:
- туберкулез;
- злокачественные образования;
- очаговый фиброз.
Долевое и сегментарное строение легких
В правом легком различают три доли и десять сегментов, в левом — две доли и девять, иногда десять, сегментов. Доли легких разделены листками междолевой плевры. Между отдельными сегментами располагаются соединительнотканные прослойки, не видимые на компьютерных томограммах.
При использовании стандартной методики КТ неизмененные листки плевры в междолевых щелях на поперечных срезах не видны. Косвенно об их расположении можно судить по особенностям сосудистого рисунка.
Легочные сосуды не видны в непосредственной близости от висцеральной плевры, поэтому в зоне расположения междолевых щелей образуется бессосудистая зона.
При уменьшении толщины слоя до 1,5-2 мм и, особенно, при использовании высокоразрешающей КТ неизмененные листки междолевой плевры отчетливо видны.
Рис. Схема бронхолегочных сегментов при КТ. Правое легкое:
1 —верхушечный сегмент верхней доли
2 —задний сегмент верхней доли
3 —передний сегмент верхней доли
4 —латеральный сегмент средней доли
5 — медиальный сегмент средней доли
6 —верхушечный сегмент нижней доли
7 — внутренний (кардиальный) сегментнижней доли
8 — передней сегмент нижней доли
9 — наружный сегментнижней доли 10—заднийсегментнижнейдоли
1 — верхушечный сегмент верхней доли
4 — верхний язычковый сегмент верхней доли
5 — нижний язычковый сегмент верхней доли
8 —передней сегмент нижней доли
9 —наружный сегмент нижней доли 10—задний сегментнижней дол и
или косая междолевая щель располагается во фронтальной плоскости, от грудной стенки до средостения.
Она начинается от задней грудной стенки на уровне III грудного позвонка, пересекает корень легкого и заканчивается у передней грудной стенки на уровне передней трети диафрагмы.
На тонких аксиальных срезах главная междолевая щель изображается как тонкая ровная линия, расположенная горизонтально.
Добавочная или горизонтальная междолевая щель обычно выражена только в правом легком. Она располагается на уровне V грудного позвонка почти в аксиальной плоскости, соответствующей плоскости сканирования. Междолевая щель имеет форму полусферы, выпуклостью обращенной вверх.
На стандартных поперечных срезах, обычно чуть ниже верхнедолевого бронха, она изображается как бессосудистая зона, занимающая передние две трети легочного поля.
Эту зону не следует принимать за участок вздутия или эмфизему, поскольку плотность легочной ткани соответствует обычным показателям.
Реже неизмененная добавочная междолевая щель становится видна на поперечных срезах. В этом случае бессосудистая зона в центре правого легкого окружена низкоплотной полосой кольцевидной формы без четких контуров.
Такое изображение обусловлено влиянием частичного объемного эффекта. Аналогичная картина возникает и при утолщении междолевой плевры при патологических процессах.
Однако при этом плотность плеврального листка значительно выше.
![Долевое и сегментарное строение легких]()
Рис. Бронхи и листки междолевой плевры при высокоразрешающей КТ
(П) — междолевая плевра Правое легкое:
ГБ — главный бронх БВД — бронх верхней доли БСД — бронх средней доли БНД — бронх нижней доли
1 — верхушечный сегментарный бронх верхней доли
2 — задний сегментарный бронх верхней доли
3 — передний сегментарный бронх верхней доли
4 —латеральный сегментарный бронх средней доли
5 — медиальный сегментарный бронх средней доли
6 — верхушечный сегментарный бронх нижней
7 — внутренний (кардиальный) сегментарный бронх нижней доли
8 — передней сегментарный бронх нижней доли
9 — наружный сегментарный бронх нижней доли
10 — задний сегментарный бронх нижней доли
ГБ — главный бронх
БВД — бронх верхней доли
БНД — бронх нижней доли
Я — язычковый сегментарный бронх
2 — задний сегментарный бронх верхней доли 1+2 — верхушечно-задний сегментарный бронх
4 — верхний язычковый сегментарный бронх верхней доли
5 — нижний язычковый сегментарный бронх верхней доли
6 — верхушечный сегментарный бронх нижней доли
Основные закономерности изображения добавочных междолевых щелей зависят от их расположения по отношению к плоскости сканирования и совпадают с особенностями изображения обычных междолевых листков.
Расположение отдельных бронхолегочных сегментов можно определить по направлению сосудов и бронхов в каждой доле. Каждый из сегментов основанием обращен к грудной стенке или диафрагме, а вершиной — к корню легкого.
В области корня отчетливо видны сегментарные бронхи и артериальные сосуды в продольном или поперечном сечении.
По направлению к основанию сегмента калибр сосудов уменьшается, а их расположение строго соответствует пространственному расположению каждого сегмента.
Какие заболевания связаны с Легкими :
Пороки развития бронхиального дерева и легочной паренхимы
Пороки развития сосудов легких
Грибковые заболевания легких (микозы)
Хронический абсцесс легкого
Инфильтративный туберкулез легких
Кавернозный туберкулез легких
Кандидоз легких (легочный кандидоз)
Острый милиарный туберкулез легких
Очаговый туберкулез легких
Первичный туберкулезный комплекс
Подострый диссеминированный туберкулез легких
Хронический гематогенно-диссеминированный туберкулез легких
Цирротический туберкулез легких
Сегменты легкого на рентгенограмме
В легких происходит газообмен. Этот процесс представляет собой поглощение из воздуха альвеол кислорода кровяными эритроцитами и выделение углекислоты, распадающейся в просвете на воду и газ.
Так, в легких осуществляется достаточно тесное объединение нервов, лимфатических и кровеносных сосудов, а также воздухоносных путей.
Правая нижняя доля легкого. Нижний … Топография лёгких: доли, сегменты … Дыхательная система — online presentation Лёгкие — Медицинская энциклопедия Анатомия: Сегментарное строение легких …
Последнее начинается с ранних стадий филогенетического и эмбрионального развития.
От степени вентиляции, а также от интенсивности кровотока, диффузной скорости газов сквозь альвеолярно-капиллярную мембрану, упругости и толщины эластического каркаса, насыщенности гемоглобином и прочих факторов зависит уровень обеспеченности организма кислородом. При изменении какого-либо одного показателя происходит нарушение физиологии дыхания и может возникнуть ряд функциональных расстройств.
Как определяют сегменты на компьютерной томографии
Метод томографии принципиально отличается от рентгена. Сегменты лёгких на КТ и их структуру можно просмотреть послойно в нескольких проекциях.
На поперечных срезах при КТ не видны листки плевры, соединительнотканные прослойки между частями лёгкого, щели. Предполагать их место расположения можно по сосудистому рисунку. В районе плевры не визуализируются артерии в вены, поэтому в местах, где должны быть междолевые щели определяется участок без сосудов. Томография с высоким разрешением, при которой толщину рисунка можно уменьшить до 1,5 мм, позволяет увидеть листки лёгочной оболочки.
При фронтальной проекции основная междолевая линия отходит от грудной клетки и направляется к средостению. Заканчивается со стороны спины на уровне 3-го грудного позвонка. Проходя через орган, она затрагивает корень и треть диафрагмы. Если произвести тонкий осевой срез, то главная щель между долями будет выглядеть в виде ровной горизонтальной линии белого цвета.
Если на изображении есть добавочная междолевая щель – это правое лёгкое. В районе белой зоны без сосудов есть кольцевидные полосы низкой плотности со стёртыми контурами. Это связано с тем, что правое лёгкое объёмнее левого. Такой признак также характерен при утолщении плевральной плёнки между долями и свидетельствует о воспалительном процессе.
Локализацию бронхолёгочных сегментов различают по направлению кровеносных сосудов и бронхов разного калибра. Каждый сегментарный участок верхушкой смотрит к корню, а основанием – к мышечной перегородке и грудной стенке. В корневой области отчётливо видны артериальные и венозные сосуды, бронхи в поперечной и продольной проекции. В районе основания каждой секции сосуды уменьшаются в размерах.
Описание и классификация бронхолёгочных сегментов
Бронхолёгочной сегмент – это функциональная частица главного органа дыхания. В медицине есть несколько версий классификации долевых участков. Специалисты разных профилей (рентгенологи, торакальные хирурги, патологоанатомы) разделяют доли лёгкого в среднем на 4-12 сегментов. Применительно к официальной классификации в соответствии с анатомической номенклатурой принято выделять 10 сегментов органа.
![Описание и классификация бронхолёгочных сегментов]()
Все сектора образно напоминают пирамидки или неправильные конусы. Они располагаются в горизонтальной плоскости, основанием к наружной поверхности лёгкого, верхушкой – к воротам (место входа нервов, главных бронхов, кровеносных сосудов). Секции отличаются пигментацией, поэтому визуально видны их границы.
Рентгенография грудной клетки
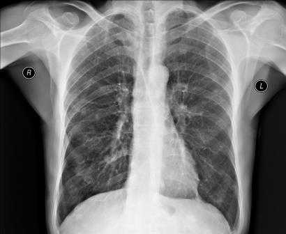
Рентгенография грудной клетки – это метод диагностики, позволяющий получить изображение органов грудной полости с помощью облучения рентгеновыми лучами. Различные ткани организма в зависимости от своей плотности по-разному пропускают рентгеновы лучи, а значит, по-разному отображаются на снимке (рентгенограмме).
Рентген грудной клетки дает возможность изучить костные структуры (ребра, грудину, позвоночник), легкие, плевру, бронхи и трахею, сердце и средостение, а также оценить состояние мягких тканей этой области.
Прежде всего, рентген грудной клетки используется для диагностики заболеваний легких.
Часто возникает вопрос, что лучше сделать рентген легких или флюорографию? Свои преимущества есть у каждого метода. Обычно флюорография используется для общей оценки состояния легких: есть ли признаки патологии или нет. Рентген легких позволяет получить более качественное изображение, а значит его диагностическая ценность выше. Зато флюорография дешевле.
Что показывает рентген грудной клетки?
Рентген грудной клетки способен выявить:
- присутствие в легких очагов воспаления, в том числе характерных для таких заболеваний как пневмония и туберкулёз;
- наличие опухолевых образований и отеков, которые могут быть следствием сердечной недостаточности;
- наличие патологических скоплений газов и жидкостей;
- скопление жидкости в околосердечной сумке, увеличение размера сердца, аорты и лимфатических узлов;
- инородные предметы в легких, пищеводе и дыхательных путях.
Какие заболевания помогает диагностировать рентген грудной клетки?
![Изображение 1: Рентгенография грудной клетки - клиника Семейный доктор]()
Рентген грудной клетки
Рентген грудной клетки назначается в целях диагностики и оценки состояния при таких заболеваниях, как:
- пневмония. В сложных случаях данные рентгена легких являются базовыми для постановки диагноза острой пневмонии;
- туберкулёз;
- воспалительные заболевания плевры (плеврит, эмпиема плевры);
- опухолевые заболевания легких, бронхов, трахеи;
- тромбоэмболия легочной артерии;
- профессиональные заболевания легких, вызванные длительным вдыханием пыли и других мелких частиц;
- пневмотракс (механический разрыв легочной ткани);
- паразитарные заболевания грудной клетки (эхинококкоз);
- заболевания грудного отдела позвоночника.
Показания к назначению рентгена легких (рентгена грудной клетки)
Показаниями к рентгену легких являются:
- длительный кашель;
- отхаркивание большого количества мокроты;
- кровь в мокроте;
- одышка;
- систематические боли в груди или боли в области спины;
- длительное повышение температуры тела.
Как делается рентген легких (рентген грудной клетки)
В большинстве случаев специальной подготовки к рентгену грудной клетки не требуется.
Необходимо будет раздеться до пояса, а также снять все металлические предметы и украшения. Рентгенография обычно делается в передней или задней проекции в положении стоя. В некоторых случаях рентген делается в боковой проекции, в том числе в положении лежа. В момент, когда делается снимок, нельзя двигаться. Надо быть готовым на некоторое время задержать дыхание.
Где сделать рентген грудной клетки в Москве?
Сделать рентген легких(обзорную рентгенографию грудной клетки) вы можете в рентгенологическом отделении любой из поликлиник «Семейного доктора».
Оставьте телефон –
и мы Вам перезвонимНе занимайтесь самолечением. Обратитесь к нашим специалистам, которые правильно поставят диагноз и назначат лечение.
Читайте также:
- Плечеголовной ствол. Топография плечеголовного ствола. Левая общая сонная артерия. Левая подключичная артерия.
- Показания к алло-трансплантации гемопоэтических стволовых клеток (алло-ТГСК)
- Зуд
- Заворот толстой кишки. Заворот сигмовидной кишки.
- Пример дифференциации лимфогранулематоза. Клиническая дифференциация лимфогранулематоза



















