Лучевая диагностика ахалазии кардиального отдела пищевода
Добавил пользователь Евгений Кузнецов Обновлено: 08.11.2025
Синонимы:
- Диффузный спазм пищевода (ДСП).
- Возрастные изменения пищевода или неспецифическое расстройство моторики пищевода (НРМП).
Определение: первичные и вторичные нарушения сократительной функции гладкой мускулатуры пищевода.
Лучевая диагностика нарушений моторики пищевода - спазмов
а) Наиболее типичный симптом.
- Ахалазия: деформированный по типу «птичьего клюва» и расширенный пищевод с плавным конусообразным сужением в направлении эзофагогастрального перехода.
- Склеродермия: расширенный атоничный пищевод, стриктура дистального отдела.
б) Другие особенности.
- Классификация нарушений сократительной активности пищевода:
• первичные: ахалазия, диффузный спазм пищевода, возрастные изменения пищевода;
• вторичные: склеродермия;
- Ахалазия: идиопатическое или неврогенное заболевание.
• отсутствие первичной перистальтики;
• одновременные низкоамплитудные сокращения;
• давление на нижнем сфинктере пищевода в покое увеличенное или нормальное;
• неполное расслабление нижнего сфинктера пищевода при глотании или его полное отсутствие;
• нормальное функционирование верхнего сфинктера пищевода;

Диффузный спазм пищевода.
При рентгенологическом исследовании проявляется, как периодическое отсутствие первичной перистальтики в грудном отделе пищевода.
Спиралевидная или четкообразная деформация просвета пищевода.
- Диффузный спазм пищевода: возникает при различных степенях неврогенных повреждений:
• одновременные сокращения и периодически возникающая первичная перистальтика;
• повторяющиеся или удлиненные сокращения;
• высокая амплитуда и частые спонтанные сокрщения;
• нормальная функция НПС, а также его полное расслабление при глотании;
• периодическое прекращение первичной перистальтики, связанное с одновременно возникающей локальной спастической облитерацией;
- Возрастные (сенильные) изменения пищевода: нарушения сократительной функции пищевода, связанные с возрастом. Также называются неспецифическими расстройствами моторики пищевода (НРМП):
• уменьшение частоты нормальных перистальтических сокращений;
• увеличение частоты неперистальтических сокращений;
• реже — неполное расслабление нижнего сфинктера пищевода.
- Склеродермия: системное поражение мелких сосудов и соединительной ткани:
• снижение или отсутствие давления на нижнем сфинктере пищевода в покое;
• отсутствие перистальтики в нижних 2/3 пищевода.

Рентгено-семиотика нарушений моторики пищевода
а) Рентгенологическое исследование с бариевой взвесью.
- Ахалазия:
• выраженное расширение пищевода;
• отсутствие нормальной перистальтики.
• деформация по типу «птичьего клюва»: V-образное, плавное конусообразное сужение в направлении эзофагогастрального перехода.
- Диффузный спазм пищевода:
• первичная перистальтика в шейном отделе пищевода;
• периодическое отсутствие первичной перистальтики в грудном отделе пищевода + локальная спастическая облитерация;
• повторяющиеся сокращения, спиралевидная или четкообразная деформация просвета пищевода.
- Возрастные изменения пищевода или неспецифическое расстройство моторики пищевода: множественные неперистальтирующие спастические сужения просвета и нарушенная первичная перистальтика.
- Склеродермия:
• умеренное расширение проксимальных отделов пищевода;
• отсутствие перистальтики в нижних 2/3 пищевода;
• расширение зоны эзофагогастрального перехода в сочетании с рефлюксом ведет к формированию веретенообразной дистальной пептической стриктуры, а также в некоторых случаях — грыжи пищеводного отверстия диафрагмы;
• эрозии и поверхностные язвы дистального отдела пищевода;
• при склеродермии в 70% наблюдается гастро-эзофагеальный рефлюкс, с трансформацией в пищевод Баретта в 35%.
Рекомендации по лучевой диагностике
- Проведение рентгенологического исследования с бариевой взвесью.
- Определение времени прохождения бария и опорожнения пищевода. Используется при постановке диагноза и выборе лечебной тактики.
Дифференциальный диагноз нарушений моторики пищевода
1) Стриктуры пищевода при эзофагите
- Слизистая оболочка: узловатый и зернистый рельеф или наличие бляшковидных утолщений.
- Язвы: множественные мелкие язвы на фоне утолщенных складок слизистой оболочки.
- Пептические стриктуры: плавное сужение дистального сегмента пищевода.
а) Обычно встречаются на фоне грыжи пищеводного отверстия диафрагмы и гастроэзофагеального рефлюкса.
б) Иногда могут симулировать ахалазию при отсутствии грыжи пищеводного отверстия диафрагмы и гастроэзофагеального рефлюкса.
в) Отличаются от расстройств моторики наличием нормальной перистальтики.

2) Рак пищевода
- Асимметричный контур, обрыв проксимальной границы суженного дистального сегмента (деформация по типу «крысиного хвоста»).
- Неровность, выпячивание слизистой оболочки, масс-эффект.
- Может наблюдаться периэзофагеальное и дистальное распространение поражения.
- Плавное конусообразное сужение нижних отделов пищевода на фоне отсутствия перистальтики может симулировать ахалазию или склеродермию.
- Рак желудка, распространяющийся на подслизистый слой пищевода, может напоминать ахалазию.
- Диагностика на основании данных анамнеза и эндоскопического исследования с забором материала для биопсии.
3) Состояние после фундопликации
- Расширенный пищевод, сужение эзофагогастрального перехода.
- Является частым результатом или осложнением фундопликации, особенно в старших возрастных группах.
Лучевая диагностика ахалазии кардиального отдела пищевода
Лучевая диагностика перстневидно-глоточной ахалазии
а) Терминология:
• Нарушение способности к расслаблению перстневидно-глоточной мышцы, составляющей основу верхнего пищеводного сфинктера, вследствие ее гипертрофии или спазма
б) Визуализация перстневидно-глоточной ахалазии:
• Выбухание перстневидно-глоточной мышцы в области глоточно-пищеводного перехода с задержкой бариевой взвеси в глотке, выявляемой на рентгенограммах в боковой проекции:
о Глоточно-пищеводный переход находится на уровне 5-6 шейного позвонка
• Рентгеноскопию (с записью кадров) необходимо проводить в положении пациента прямо, сбоку и под углом:
о Быстрая смена кадров для демонстрации акта глотания и т. д.
(Слева) На рисунке показана гипертрофированная перстневидно-глоточная мышца в области глоточно-пищеводного перехода (расположенная обычно на уровне 5-6 шейного позвонка).
(Справа) На рентгенограмме глотки и верхних отделов пищевода в боковой проекции визуализируются типичные проявления перстневидно-глоточной ахалазии в виде большого дефекта наполнения со стороны зад ней стенки глоточно-пищеводного перехода на уровне 5-6 шейного позвонка. Обратите внимание на растяжение отделов глотки, расположенных над дефектом наполнения. (Слева) На рентгенограмме в боковой проекции, выполненной женщине с признаками рефлюкса и нарушением проглатывания таблеток, во время рентгеноскопии, определяется выбухающий участок перстневидно-глоточной мышцы на уровне 5-6 шейного позвонка.
(Справа) На рентгенограмме нижних отделов пищевода (кадр из рентгеноскопического исследования) у этой же па -циентки визуализируется грыжа пищеводного отверстия диафрагмы; при рентгеноскопии также были выявлены признаки выраженного гастроэзофагеального рефлюкса. Ахалазия верхнего пищеводного сфинктера часто наблюдается у пациентов с другими заболеваниями пищевода, такими как рефлюкс-эзофагит, или нарушение моторики.
в) Дифференциальная диагностика:
• Вдавление стенки из-за остеофитов шейных позвонков:
о Передние остеофиты шейных позвонков могут сдавливать область перехода глотки в пищевод, симулируя ахалазию верхнего пищеводного сфинктера
• Опухоль пищевода:
о Опухоль глоточно-пищеводного перехода вызывает концентрическое или неправильное сужение просвета органа
г) Патология:
• Обычно ахалазия обусловлена лишь нетипично продолжительным сокращением перстневидно-глоточной мышцы:
о Возникает из-за нарушения моторики пищевода в результате его дегенеративных изменений с возрастом или других причин
• Может возникать изолированно
д) Клинические особенности перстневидно-глоточной ахалазии:
• Периодически повторяющиеся симптомы: дисфагия, «застревание пищи в горле» (на уровне выше грудины)
• Необходима коррекция патологических изменений, послуживших причиной развития заболевания
о Например, рефлюкс-эзофагита и спазма мышц пищевода
• Реже требуется крикофарингеальная миотомия или инъекционное введение ботулотоксина
е) Диагностическая памятка:
• Постоянное или преходящее сужение просвета
• Четко очерченный «выступ» в виде губы со стороны задней стенки на уровне 5-6 шейного позвонка с наличием «эффекта струи» при прохождении бариевой взвеси через область сужения просвета
Рентгенограмма, КТ при ахалазии кардиального отдела пищевода
а) Определение:
• Комплекс патологических изменений пищевода, его моторики, возникающий вследствие нарушения иннервации нижнего пищеводного сфинктера
б) Визуализация:
1. Общая характеристика:
• Лучший диагностический критерий:
о Деформация в виде «птичьего клюва»: равномерное симметричное коническое сужение просвета пищевода в области перехода в желудок на фоне дилятации вышележащих отделов
• Внешний вид:
о В значительной степени выраженное расширение пищевода с равномерным сужением его дистальных отделов
• Другие общие моменты:
о Ахалазия кардиального отдела в зависимости от причин возникновения подразделяется на:
- Первичную (идиопатическую)
- Вторичную (псевдоахалазию)
о Данные манометрии пищевода при ахалазии:
- Отсутствие первичной перистальтики
- Увеличение давления в нижнем пищеводном сфинктере в состоянии покоя либо его нормальное значение
- Частичное либо полное отсутствие расслабления нижнего пищеводного сфинктера в момент глотания
о Варианты ахалазии: патологические изменения при манометрии:
- Ранняя: отсутствие перистальтики пищевода при нормальном давлении в нижнем пищеводном сфинктере
- Гипертоническая: синхронные высокоамплитудные повторяющиеся сокращения стенки пищевода
- В обоих случаях в конечном счете развивается «классическая» ахалазия
о Классическая (первичная) ахалазия: синхронные низкоамплитудные сокращения
о Моторная функция глотки и верхнего пищеводного сфинктера не страдает
2. Рентгенологические данные при ахалазии кардиального отдела пищевода:
• Рентгенография:
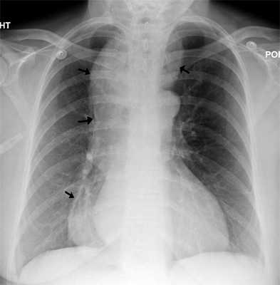
о Рентгенография органов грудной клетки в прямой и боковой проекциях:
- В далеко зашедших случаях ахалазии кардиального отдела:
Расширение тени средостения, двойной контур ее границ
Наружный контур обусловлен тенью расширенного пищевода, накладывающейся на тень аорты и сердца
Смещение трахеи кпереди
- Наличие уровня «жидкость-газ» в средостении, отсутствие или уменьшение размеров газового пузыря желудка
- В проекции нижних долей легких могут определяться затемнения линейной формы и протяженные просветления:
Признаки аспирационного пневмонита
• Рентгеноскопия пищевода с бариевой взвесью:
о Первичная ахалазия:
- Выраженная дилятация пищевода
- Отсутствие первичной перистальтики
- Деформация пищевода в виде «птичьего клюва»: равномерное, симметричное, коническое сужение просвета дистальных отделов пищевода в области пищеводно-желудочного перехода
- Прохождение контраста в желудок происходит при повышении гидростатического давления столба жидкости
в пищеводе и при преодолении им тонуса нижнего пищеводного сфинктера
- Протяженность суженного сегмента пищевода обычно о Вторичная ахалазия (псевдоахалазия):
- Минимальная дилятация пищевода (меньше 4 см в наиболее широкой области)
- Ослабление или отсутствие перистальтики
- Неравномерное сужение, наличие узлов, смещение тканей, окружающих дистальный отдел пищевода
- Протяженность сужения в области дистального сегмента пищевода обычно составляет более 3,5 см
3. КТ при ахалазии кардиального отдела пищевода:
• Дилятация пищевода от средней до значительной степени выраженности, диаметр пищевода обычно превышает 4 см
• Утолщение стенки пищевода (не всегда)
• Уровень «жидкость-газ» в расширенном просвете пищевода
• Резкое равномерное сужение пищевода в дистальных отделах возле пищеводно-желудочного перехода
• В случаях длительно существующей ахалазии может возникать плоскоклеточный рак пищевода, для которого характерно:
о Неравномерное утолщение стенки пищевода
о Эксцентрическое сужение просвета пищевода с распространением на кардиальный отдел
о Объемное воздействие на окружающие ткани и кровеносные сосуды
о Увеличение лимфоузлов средостения
4. Рекомендации по визуализации:
• Лучший метод визуализации:
о Рентгенография пищевода с бариевой взвесью
• Видеорентгеноскопия с бариевой взвесью
• Спиральная КТ с сагиттальными реконструкциями
• Рентгенография пищевода через определенные временные промежутки после проглатывания бариевой взвеси:
о Для оценки ахалазии и определения тактики ведения пациента
• Рентгеновское исследование прохождения контраста и опустошения пищевода:
о С целью оценки степени задержки контраста в пищеводе до и после лечения
о Рентгенограммы выполняются в положении пациента стоя через 1, 2 и 5 минут после приема внутрь 200 мл бариевой взвеси

(Слева) На рентгенограмме пищевода, выполненной во время рентгеноскопии перед оперативным вмешательством — миотомией по Геллеру, определяются типичные признаки ахалазии в виде «птичьего клюва» в области дистального отдела пищевода, значительное расширение просвета вышележащих отделов пищевода, а также отсутствие перистальтических сокращений.
(Справа) На рентгенограмме пищевода у этого же пациента после миотомии по Геллеру определяется значительное уменьшение степени дилятации пищевода. Пищевод легко опорожняется в положении пациента стоя, его содержимое проходит в желудок под влиянием силы тяжести, т. к. перистальтика пищевода все еще отсутствует.
в) Дифференциальная диагностика ахалазии кардиального отдела пищевода:
1. Поражение пищевода при склеродермии:
• Неосложненные случаи: расширение пищевода, зияние нижнего пищеводного сфинктера
• Поздние изменения:
о Отсутствие перистальтики, дилятация пищевода
о Пептическая стриктура в дистальной трети пищевода:
- Может симулировать первичную ахалазию
2. Рак пищевода:
• Асимметричные контуры, «обрубленные» проксимальные края в области сужения дистальных отделов пищевода, симптом «мышиного хвоста»
• Неравномерность контура слизистой оболочки, наличие признаков объемного воздействия
• Может быть выявлено распространение опухоли дистально (в сторону желудка) и в мягкие ткани, окружающие пищевод
• В некоторых случаях (редко) может обнаруживаться ровное коническое сужение просвета нижних отделов пищевода в сочетании с отсутствием перистальтики, что может симулировать ахалазию
• Диагноз устанавливается на основании эндоскопической биопсии и истории заболевания
3. Рак желудка:
• Злокачественная опухоль кардиального отдела желудка, распространяющаяся на дистальные отделы пищевода:
о Обусловливает равномерное/неправильное сужение нижних отделов пищевода в сочетании с отсутствием перистальтики, что может привести к ошибочному заключению об ахалазии
• Необходимо исследовать дно желудка на предмет наличия объемных образований
• Диагноз подтверждается путем эндоскопической биопсии
4. Эзофагит со стриктурой пищевода:
• Пептическая стриктура: равномерное коническое сужение короткого участка пищевода в дистальных отделах:
о Практически всегда сочетается с грыжей пищеводного отверстия диафрагмы и гастроэзофагеальным рефлюксом
о Редко наблюдается полное отсутствие перистальтики и выраженное расширение просвета
• Диагноз устанавливается на основании данных эндоскопической биопсии и истории заболевания
5. Болезни нервно-мышечных синапсов:
• Диффузный спазм пищевода:
о Характеризуется появлением боли в грудной клетке, отдающей в плечо (как при стенокардии), а также дисфагией
о В некоторых случаях сокращения пищевода могут повторяться, в результате чего просвет пищевода принимает вид «штопора» или «четок»
о Функция нижнего пищеводного сфинктера практически не нарушена: сфинктер полностью расслабляется во время акта глотания
о Диагноз выставляется на основании клинических, рентгеновских данных и результатов манометрии пищевода
6. Послеоперационные изменения пищевода:
• Стриктура и последствия нарушения иннервации пищевода могут симулировать ахалазию
• После ваготомии перистальтика пищевода становится менее выраженной

(Слева) На рентгенограмме пищевода определяются типичные признаки ахалазии, а также множественные бляшки неправильной формы, свидетельствующие о кандидозном эзофагите.
(Справа) На рентгенограмме пищевода со взвесью сульфата бария в вертикальном положении, полученной у женщины 78 лет с дисфагией, визуализируется не прошедшая в желудок пища и жидкость Ев на фоне выраженной дилятации просвета пищевода. Визуализируются также непропульсивные третичные сокращения пищевода. Этот пример является иллюстрацией гипертонической ахалазии, при которой стенка пищевода сокращается, но эти сокращения не являются эффективными. При манометрии была подтверждена ахалазия.
г) Патология:
1. Общая характеристика ахалазии кардиального отдела пищевода:
• Этиология:
о Патогенез первичной ахалазии:
- Идиопатическое заболевание, заключающееся в патологическом уменьшении количества миэнтерических ганглиев в сплетении Ауэрбаха
- Дегенеративные изменения блуждающего нерва
о Вторичная ахалазия возникает в результате внутрипросветной опухоли, либо объемного образования, сдавливающего пищевод снаружи, пептической стриктуры, склеродермии, болезни Шагаса, а также после ваготомии
• Сопутствующие патологические изменения:
о Выраженное утолщение стенки пищевода, риск разрыва
о Могут быть выявлены следующие изменения со стороны слизистой оболочки:
- Изменения воспалительного характера, язвы, утолщенные бляшки белесого цвета (лейкоплакия)
- Суперинфекция (например, кандидоз пищевода)
- В патологически измененных участках слизистой оболочки возникают зоны дисплазии или неоплазии:
В десятки раз повышается риск развития рака
2. Макроскопические хирургические особенности:
• В значительной степени расширенный пищевод с равномерным сужением в дистальных отделах
3. Микроскопия:
• Уменьшение числа ганглиев в пищеводном сплетении Ауэрбаха

(Слева) На рентгенограмме пищевода, выполненной пациенту с длительно существующей ахалазией, визуализируется объемное образование, неравномерно суживающее просвет пищевода в виде «огрызка яблока». Позже было подтверждено, что образование представляет собой плоскоклеточный рак пищевода.
(Справа) На рентгенограмме определяется расширение просвета пищевода, а также третичные сокращения — изменения, напоминающие таковые при ахалазии. Резкое сужение просвета пищевода с «подрытыми» краями и наличие узловидно утолщенных складок слизистой оболочки позволяет заподозрить рак желудка, обусловливающий наличие признаков псевдоахалазии.
д) Клинические особенности:
1. Проявления ахалазии кардиального отдела пищевода:
• Наиболее частые признаки/симптомы:
о Первичная ахалазия:
- Продолжительная дисфагия, снижение веса тела
- Регургитация, неприятный запах изо рта (у 90% пациентов)
- Аспирационный пневмонит
о Вторичная ахалазия:
- Не продолжительная дисфагия
- Боль в грудной клетке или во время глотания
2. Демография:
• Возраст:
о Первичная ахалазия наблюдается в 30-50 лет:
- Частота встречаемости: в одном случае из 10000
о Вторичная ахалазия чаще встречается у пациентов в более пожилом возрасте
• Пол:
о М=Ж
3. Течение и прогноз:
• Осложнения:
о Аспирация содержимого пищевода, воспаление легких, формирование абсцесса легкого
о Рак пищевода (в 0,1-7% случаев)
• Прогноз:
о Существующие методы лечения не способны скорректировать расстройства моторики пищевода и нарушение функции нижнего пищеводного сфинктера
о Целью терапии является улучшение опорожнения пищевода путем снижения давления нижнего пищеводного сфинктера
4. Лечение ахалазии кардиального отдела пищевода:
• Паллиативное, направленное на временное облегчение симптомов:
о Блокаторы кальциевых каналов, инъекции ботулотоксина
о Пневматическая дилатация (применяется в течение последних 5-10 лет)
• Миотомия по Геллеру (тонкий частичный надрез нижнего пищеводного сфинктера):
о В сочетании с «частичной» фундопликацией по Тупе (Toupet), с «обворачиванием» пищевода «муфтой», сформированной из стенки дна желудка, на 270° градусов по окружности
• Пероральная эндоскопическая миотомия:
о «Неинвазивное» вмешательство, направленное на снижение давления нижнего пищеводного сфинктера и устранение дисфагии с низким риском осложнений
• Возможные осложнения терапии:
о Пневматическая дилатация пищевода: риск перфорации
о Миотомия: риск перфорации и возникновения гастроэзофагеального рефлюкса:
- Частичная фундопликация по Тупе (Toupet) часто выполняется во время миотомии
е) Диагностическая памятка. Следует учесть:
• Признаки рака, выполненного ранее хирургического вмешательства, выраженной гастроэзофагеальной рефлюксной болезни
а) Визуализация ахалазии кардиального отдела пищевода:
• В зависимости от причины, ахалазия кардиального отдела может быть первичной либо вторичной
• Первичная (идиопатическая):
о Деформация в виде «птичьего клюва»: дилатация пищевода на фоне равномерного концентрического сужения его просвета в области пищеводно-желудочного перехода
о Порционное поступление жидкостного содержимого в желудок: порция жидкости «проваливается» в просвет желудка, когда гидростатическое давление «столба» жидкости в пищеводе превышает давление, оказываемое нижним пищеводным сфинктером
о Протяженность суженного сегмента составляет менее 3,5 см; ширина вышележащих сегментов пищевода может превышать 4 см
• Вторичная (псевдоахалазия):
о Внутрипросветная опухоль либо объемное образование, сдавливающее пищевод снаружи, пептическая стриктура, состояние после ваготомии, болезнь Шагаса
о Частичное или полное отсутствие расслабления нижнего пищеводного сфинктера во время глотания
(Слева) На рентгенограмме в прямой проекции в положении пациента стоя визуализируется расширенный пищевод с конусообразным сужением просвета в виде «птичьего клюва» сразу же над областью перехода в желудок. Обратите внимание на отсутствие газового пузыря желудка и на границу между бариевой взвесью и жидкостью в просвете пищевода.
(Справа) На рентгенограмме визуализируется в значительной степени расширенный, извитой пищевод, выглядящий как сигмовидная кишка: этот пример иллюстрирует последствия длительно существующей ахалазии нижнего пищеводного сфинктера. (Слева) На рентгенограмме органов грудной клетки в прямой проекции в вертикальном положении, полученной у женщины 28 лет с жалобами на недавно возникшее нарушение глотания и появление неприятного запаха изо рта, определяется отсутствие уровня «жидкость-газ» в просвете желудка.
(Справа) На рентгенограмме пищевода, выполненной при рентгеноскопии этой же пациентке, определяется выраженное расширение просвета пищевода с наличием сужения и деформации в его дистальных отделах в виде «птичьего клюва».
б) Дифференциальная диагностика:
• Поражение пищевода при склеродермии
• Рак пищевода
• Эзофагит, сопровождающийся развитием стриктуры
в) Патология:
• Осложнения:
о Аспирационный пневмонит
о Суперинфекция (с развитием, например, кандидозного эзофагита)
о Повышение риска развития рака в десятки раз
г) Клинические особенности:
• Лечение:
о Миотомия по Геллеру (частичный тонкий надрез нижнего пищеводного сфинктера):
- Частичная фундопликация по Тупе (Toupet) часто выполняется одновременно с миотомией
о Пероральная эндоскопическая миотомия:
- Приводит к устранению симптомов заболевания, при этом обусловливает наименьшее количество осложнений
Ахалазия кардии. Ахалазия кардиальной части пищевода (K22.0)

рис. Ахалазия кардии. Общее представление
Период протекания
Информации о периоде протекания нет.
Клиническая картина ахалазии кардии характеризуется медленным, но неуклонным прогрессированием всех основных симптомов заболевания

Автоматизация клиники: быстро и недорого!
- Подключено 300 клиник из 4 стран
- 800 RUB / 4500 KZT / 27 BYN - 1 рабочее место в месяц

Автоматизация клиники: быстро и недорого!
- Подключено 300 клиник из 4 стран
- 1 место - 800 RUB / 4500 KZT / 27 BYN в месяц
Мне интересно! Свяжитесь со мной
13-15 октября, Алматы, "Атакент"
600 брендов, более 150 компаний-участников из 20 стран.
Новинки рынка стоматологии. Цены от производителей
Классификация
Общепринятой классификации ахалазии кардии в настоящее время не существует.
Выделяют два типа заболевания.
Тип 1 (субкомпенсированный) - тонус стенок и форма пищевода сохранены.
Тип 2 (декомпенсированный) - тонус стенок потерян, пищевод искривлен и значительно расширен.
В зависимости от клинических проявлений и наличия осложнений, также применяют деление на несколько стадий заболевания.
1 Стадия (функциональная) - непостоянные нарушения прохождения пищи, вследствие кратковременных нарушений расслабления НПС . Расширения пищевода нет.
2 Стадия - стабильное повышение базального тонуса НПС , значительное нарушение его расслабления при глотании и умеренное расширение пищевода выше места постоянного функционального спазма НПС .

3 Стадия - наблюдаются рубцовые изменения дистальной части пищевода, что сопровождается ее резким органическим сужением (стенозом) и значительным (не менее чем в 2 раза) расширением вышележащих отделов.


Этиология и патогенез
Этиология ахалазии кардии до настоящего времени не известна.
Наблюдаются семейные случаи заболевания. Существует теория врожденного происхождения ахалазии кардии (Василенко В.Х., 1976). Предполагается возможность инфекционно-токсического поражения нервных сплетений пищевода и нарушения регуляции моторики пищевода со стороны ЦНС ЦНС - центральная нервная система
.
Традиционно считается, что имеются многочисленные факторы, способствующие развитию данной патологии: психогенные факторы, вирусные инфекции, гиповитаминозы и другие.
Однако, современные исследования с помощью ПЦР показали, что ахалазия не сопровождается ни одной из известных вирусных инфекций. Развитие ахалазии кардии в зрелом и пожилом возрасте позволяет усомниться также и во врожденном характере патологии. Не исключается роль ГЭР ГЭР - гастроэзофагеальный рефлюкс
Подробно в происхождении заболевания. Существуют некоторые факты, позволяющие обсуждать аутоиммунный генез данного заболевания (выявление антинейтрофильных антител, сочетание ахалазии с некоторыми антигенами HLA II класса).
Эпидемиология
Возраст: преимущественно от 20 до 60 лет
Признак распространенности: Редко
Соотношение полов(м/ж): 0.3
Ахалазия кардии может развиваться в любом возрасте, но наиболее часто встречается в возрасте от 20-25 до 50-60 лет.
Дети составляют 4-5% от общего количества пациентов.
Распространенность заболевания составляет 0,5 -2,0 на 100 000 населения.
Факторы и группы риска
Иногда ахалазия кардии развивается в рамках наследственных синдромов, например, синдрома трех "А" ( Ахалазия, Алакримия, невосприимчивость к АКТГ), синдрома Альпорта, других редких заболеваний.
Клиническая картина
Клинические критерии диагностики
Cимптомы, течение
Основные симптомы ахалазии кардии.
Дисфагия - ощущение затруднения прохождения пищи, "застревание" на уровне глотки или пищевода. Является наиболее ранним и постоянным симптомом ахалазии кардии (95-100% больных).
При данном заболевании дисфагия имеет некоторые важные особенности:
- отсутствуют симптомы, характерные для дисфагии, вызванной двигательными нарушениями на уровне глотки (попадание пищи в носоглотку или трахеобронхиальная, возникающая непосредственно во время глотания, осиплость голоса, хрипота и др.);
- дисфагия усиливается в результате нервного возбуждения, быстрого приема пищи, особенно плохо прожеванной;
- дисфагия уменьшается при применении различных приемов, найденных самими больными (ходьба, запивание пищи большим количеством воды, задержка дыхания, заглатывание воздуха, выполнение гимнастических упражнений).
Дисфагия при ахалазии кардии возникает при употреблении как твердой, так и жидкой пищи. Это позволяет отличить ее от механической дисфагии, обусловленной органическим сужением пищевода при раке и стриктуре пищевода Стриктура пищевода - сужение, уменьшение просвета пищевода различной природы.
, а также других заболеваний, при которых затруднение прохождения пищи возникает только при употреблении твердой пищи.
Существует альтернативная точка зрения, согласно которой дисфагия при ахалазии носит следующий характер: нарушается проглатывание только твердой пищи, а обратная закономерность (нарушения проглатывания только жидкой пищи) практически не встречается.
В большинстве случаев при ахалазии кардии проявления пищеводной дисфагии постепенно усиливаются, хотя этот процесс может растягиваться на достаточно длительный срок.
Регургитация (срыгивание) - это пассивное поступление в полость рта содержимого пищевода или желудка, которое представляет собой слизистую жидкость или не переваренную пищу, съеденную несколько часов назад. Симптом встречается у 60-90% больных. Регургитация обычно усиливается после приема достаточно большого количества пищи, а также при наклоне туловища вперед или ночью, когда больной принимает горизонтальное положение («синдром мокрой подушки»).
Боли в грудной клетке (боли в области нижней и средней третей грудины) присутствуют у около 60% больных. Они возникают при переполнении пищевода пищей и исчезают после срыгивания или прохождения пищи в желудок. Боли могут быть связаны со спазмом гладкой мускулатуры пищевода и тогда проявляются не только во время еды, но и после волнений, психо-эмоционального напряжения. Боль может локализоваться за грудиной, в межлопаточном простанстве и нередко иррадиирует Иррадиация - распространение болевых ощущений за пределы пораженного участка или органа.
в шею, нижнюю челюсть и т.п.
Как правило, боли такого типа купируются нитроглицерином, атропином, нифедипином, блокаторами медленных кальциевых каналов.
Похудание - типичный симптом, особенно на 3-4 стадии (при значительном расширении пищевода), часто характеризует тяжесть течения болезни. Потери массы тела могут достигать 10-20 кг и более. Чаще всего похудание связанно с сознательным сокращением больными приема пищи из-за боязни появления болей и дисфагии после еды.
Другие симптомы
При прогрессировании заболевания могут проявлятся симптомы так называемого застойного эзофагита: отрыжка тухлым, тошнота, повышение слюноотделения, неприятный запах изо рта (эти симптомы связаны с длительным застоем и разложением пищи в пищеводе).
Изредка у больных возникает изжога, вызванная процессами ферментативного расщепления пищи в самом пищеводе с образованием большого количества молочной кислоты.
У больных ахалазией икота возникает чаще чем у пациентов, страдающих дисфагией, обусловленной другими причинами.
У детей
Ахалазия кардии у детей проявляется наличием регургитации, дисфагии при проглатывании твердой и жидкой пищи, внезапной рвоты без тошноты перед ее появлением, при этом рвотные массы состоят из неизмененной пищи. Характерны жалобы на боли в области нижней и средней трети грудины. У детей наблюдаются икота и отрыжка воздухом, часто - похудание и полидефицитная анемия. Могут возникать срыгивание пищей во время сна и ночной кашель, нередки легочные осложнения: бронхиты и пневмонии. Возможно появление и таких осложнений, как эзофагит, сдавление возвратного нерва, сдавление правого бронха, сдавление блуждающего нерва.
Клинические симптомы ахалазии кардии у детей могут появляться в возрасте от 5 дней до 15 лет (Ашкрафт К.У., 1996).
Диагностика
Физикальное исследование
На начальных стадиях развития заболевания, как правило, не удается выявить существенные отклонения. Внешние признаки обнаруживаются в основном в более тяжелых и осложненных случаях - на 3-4 стадии заболевания. Потеря веса указывает на нарушение питания, понижение тургора Тургор - напряженность и эластичность ткани, изменяющиеся в зависимости от ее физиологического состояния.
кожи - на обезвоживание, а также наблюдаются признаки, свидетельствующие о развитии аспирационной пневмонии.
Анамнез
Подозрение на ахалазию возникает, когда больные жалуются на дисфагию, боли в за грудиной после приема пищи, частые приступы икоты, срыгивание, отрыжку и похудание.
Инструментальные исследования
4. Эндоскопическое исследование пищевода.
Эндоскопические признаки ахалазии кардии: расширенный просвет пищевода и наличие в нем пищевых масс; сужение кардиальнго отверстия пищевода и его минимальное открытие при нагнетании в пищевод воздуха; незначительное сопротивление при проведении кончика эндоскопа через отверстие кардии; отсутствие грыжи пищеводного отверстия диафрагмы и пищевода Барретта.
Визуальные материалы ( с) James Hailman, MD)

Лабораторная диагностика
Лабораторные исследования
Рекомендуются следующие исследования:
- общий анализ крови (с определением содержания ретикулоцитов);
- коагулограмма;
- уровень креатина сыворотки крови;
- уровень альбумина сыворотки крови;
- общий анализ мочи.
Дифференциальный диагноз
Дифференциальный диагноз проводят со следующими заболеваниями:
3. ИБС (Ишемическая болезнь сердца).
По клиническим характеристикам боли при ИБС аналогичны болям при ахалазии, однако для стенокардии не характерна дисфагия. Постановка диагноза может затрудняться тем фактом, что боли при ахалазии могут купироваться нитроглицерином.
Необходимо проводить ЭКГ и, при сомнениях в диагнозе, комплексное обследование, чтобы выявить ишемию миокарда.
4. Врожденные мембраны пищевода, стриктуры, в том числе обусловленные опухолями.
Характерна дисфагия, в первую очередь при приеме плотной пищи. В некоторых случаях бывают рвота и регургитация Регургитация - перемещение содержимого полого органа в направлении, противоположном физиологическому в результате сокращения его мышц.
задержавшимся пищеводным содержимым.
5. Неврогенная анорексия.
Возможной неврогенной дисфагии обычно сопутствует рвота желудочным содержимым и похудание.
Осложнения
Согласно некоторым исследованиям, ахалазия увеличивает риск развития опухолей (обычно ороговевающих, преимущественно в средней трети пищевода) в 16 раз в течение 24 лет.
Лечение
Режим
Ограничение физических (особенно на мышцы брюшного пресса) и психологических нагрузок.
Сон - не менее 8 часов в сутки.
Диета
Рекомендуется дробное питание (4-5 раз в сутки) и исключение из рациона острой, жареной, слишком горячей пищи и алкоголя.
В плане питания необходимо следовать следующим рекомендациям:
- После приема пищи и во время сна избегать строго горизонтального положения тела. Это связано стем, что пища может задерживаться в пищеводе до нескольких часов, а при расслаблении верхнего пищеводного сфинктера во время сна возникают предпосылки для аспирации.
- Тщательно пережевывать пищу.
- Пища не должна быть сильно горячей или холодной, рацион должен исключать продукты, которые могут усиливать дисфагию у конкретных людей.
- Объем порции пищи не должен быть чрезмерным.

Проведение кардиодилатации противопоказано в следующих ситуациях:
- некорригируемое нарушение свертываемости крови;
- сопутствующее варикозное расширение вен пищевода или стриктура пищевода;
- неэффективность трехкратного проведения процедуры;
- наличие в анамнезе перфорации пищевода после кардиодилатации;
- наличие сопутствующих заболеваний, которые существенно повышают риск хирургического лечения (риск перфорации пищевода при кардиодилатации).
Вероятность перфорации пищевода при пневмокардиодилатации составляет около 3%.
Лекарственная терапия
Наиболее эффективны блокаторы кальциевых и нитраты.
Применяемые препараты:
- Нитрендипин в дозе 10-30 мг за 30 минут до еды сублингвально;
- Изосорбида динитрат в дозе 5 мг за 30 минут до еды сублинвально или в дозе 10 мг внутрь.
Показания к лекарственной терапии:
- Необходимость облегчить симптоматику до проведения кардиодилатации или кардиомиотомии.
- Неэффективность (или малый эффект) от применения других методов лечения.
- Наличие сопутствующих заболеваний, исключающих возможность проведения кардиодилатации или кардиомиотомии.
Хирургическое лечение
1. Кардиомиотомия.
При ахалазии кардии 2-3 ст показана лапароскопическая эзофагокардиомиотомия с фундопликацией по Toupe. Пневмокардиодалатация - не эффективный метод лечения ахалазии кардии, который дает частые рецидивы и не предотвращает прогрессирования заболевания, приводит к рубцовым изменениям пищеводно- желудочного перехода и развитию рефлюкс эзофагита.
Противопоказания:
- Наличие сопутствующих заболеваний, увеличивающих риск хирургического лечения.
- Некорригируемое нарушение свертываемости крови.
- Наличие варикозно- расширенных вен пищевода.
2. Эзофагоэктомия.
Возможность рассматривается при неэффективности других методов лечения, а также при наличии операбельного рака пищевода, развившегося на фоне ахалазии кардии.
Прогноз
При современном лечении ахалазии кардии прогноз благоприятный, даже с учетом того, что принципиально заболевание не излечимо.
С помощью лечебных мероприятий обычно достигается симптоматическое улучшение состояния пациента, однако ему необходимо постоянное амбулаторное наблюдение и периодическое наблюдение в специализированном стационаре.
При пневмокардиодилатации или кардиомиотомии ремиссия сохраняется дольше, чем при применении ботулотоксина.
Эффективность хирургического лечения на ранних сроках наблюдения составляет около 90%; отдаленные результаты несколько хуже - около 66%.
У детей
Проведение операции показывает хорошие отдаленные результаты у 88% детей с ахалазией кардии (Ашкрафт К.У., 1996).
Госпитализация
Показания к госпитализации:
- Невозможность принимать пищу через рот.
- Развитие аспирационной пневмонии и необходимость внутривенного введения антибиотиков либо ИВЛ ИВЛ - искусственная вентиляция легких
.
Профилактика
Профилактики непосредственно ахалазии кардии не существует, а профилактические меры сводятся к предотвращению возникновения осложнений.
После установления диагноза необходимо проводить работу с больными, заключающуюся в следующем:
1. Предоставить больному информацию о предстоящих лечебных мероприятиях.
2. Сформировать у больного понимание, что исчезновение симптомов заболевания под влиянием проводимой терапии не означает полного излечения, поэтому необходимо все равно продолжать соблюдать врачебные рекомендации.
3. Следует предостеречь больного от применения препаратов, содержащих вещества, которые могут оказать повреждающее действие на слизистую оболочку пищевода (ацетилсалициловой кислоты, НПВН, аскорбиновой кислоты, сульфата железа, хлорида калия, алендроната, доксициклина, хинидина в виде таблеток с замедленным высвобождением).
Читайте также:
