Лучевая диагностика диффузных микроабсцессов печени
Добавил пользователь Владимир З. Обновлено: 08.11.2025
а) Определения:
• Абсцессы в паренхиме печени около 1 см в диаметре
• Как правило, речь идет о грибковых микроабсцессах печени у пациентов с иммунодефицитом
б) Визуализация:
1. Общая характеристика:
• Ключевые диагностические признаки:
о Множественные мелкие образования в печени у пациента с нейтропенической лихорадкой (грибковые абсцессы)
о Реже наблюдаются при инфекциях ЖКТ или желчевыводящих путей и положительной культурой крови (пиогенные микроабсцессы)
• Локализация:
о Диффузное распространение в печени ± селезенке
• Размер:
о Около 1 см
• Морфология:
о Обычно округлые
2. УЗИ диффузных микроабсцессов печени:
• Серошкальное исследование:
о Множественные мелкие гипоэхогенные образования по всей паренхиме печени (чаще всего)
о Симптом мишени или конфигурация по типу «бычьего глаза»:
- Гиперэхогенное воспаление в середине, окруженное зоной гипоэхогенности
о Вид круга в круге может наблюдаться при крупных грибковых абсцессах:
- Гиперэхогенное скопление клеток в месте воспаления, окруженное гипоэхогенной зоной фиброза
- Гипоэхогенная область (некроз) в центре гиперэхогенного образования
о Множественные мелкие гиперэхогенные очаги по всей печени (на поздних стадиях):
- Очаги могут полностью разрешиться или кальцифицироваться после успешного лечения
о В селезенке могут обнаруживаться аналогичные очаги
3. КТ диффузных микроабсцессов печени:
• КТ с контрастированием:
о Множественные мелкие, гиподенсивные образования в печени ± в селезенке
о Нечеткие границы
о Не контрастируются

(Левый) Поперечный ультразвуковой срез с цветовой допплерографией. Визуализируется грибковый абсцесс печени с характерным видом круга в круге или мишени. Обратите внимание на отсутствие васкуляризации в грибковом абсцессе.
(Правый) Продольный серошкальный ультразвуковой срез. Визуализируются множественные гипоэхогенные грибковые абсцессы по всей паренхиме печени у пациента с иммунодефицитом.
в) Дифференциальная диагностика диффузных микроабсцессов печени:
1. Простые кисты:
• Обычно однокамерные, гипоэхогенное/анэхогенное содержимое
2. Некротизировавшиеся метастазы:
• Могут также давать симптом мишени (гипоэхогенный ободок)
• Множественные
• Первичная опухоль в анамнезе
3. Лимфома печени:
• Часто наблюдается сопутствующая лимфаденопатия
• Гепатоспленомегалия
4. Саркоидоз:
• Отмечаются у 5-15% пациентов с саркоидозом
• Также выявляются саркоидозные узелки в легких ± в селезенке
• Протекает бессимптомно
5. Гамартома печени:
• Малые пороки развития внутрипеченочных желчных протоков
• Гипоэхогенные или гиперэхогенные, • Протекает бессимптомно
г) Патология. Общая характеристика:
• Этиология:
о Грибковая инфекция: чаще всего вызвана Candida albicans, однако причиной также могут служить криптококкоз, гистоплазмоз, мукоромикоз и аспергиллез.
о Бактериальные инфекции могут проявляться схожим образом у пациентов с инфекцией желчевыводящей системы или ЖКТ

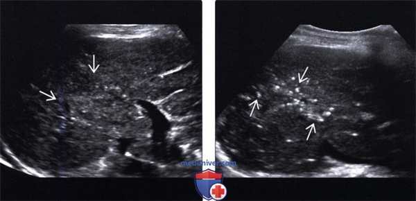
(Левый) Поперечный трансабдоминальный ультразвуковой срез. Отмечается неоднородность эхоструктуры паренхимы печени в виде пятен, вызванная диффузным распространением кандидозных микроабсцессов.
(Правый) Продольный ультразвуковой срез у того же пациента через два года после лечения диссеминированного кандидоза. Визуализируются множественные гиперэхогенные точечные кальфикаты в паренхиме, типичные для кандидозных микроабсцессов после лечения.
д) Клинические особенности:
1. Проявления:
• Наиболее распространенные:
о Лихорадка не купирующаяся лечением антибиотиками
о Боли в животе
о Нарушение функций печени
• Эпидемиология:
о Большинство грибковых абсцессов вызваны: Candida albicans
о Бактериальных: Staphylococcus aureus
о Реже: Escherichia coli, ЦМВ
2. Лечение диффузных микроабсцессов печени:
• Противогрибковые средства: амфотерицин В, флуконазол
• Перед лечением часто необходима биопсия печени с последующим культуральным исследованием для определения инфекционного агента.
