Лучевая диагностика эктопии поджелудочной железы
Добавил пользователь Евгений Кузнецов Обновлено: 31.01.2026
Рентгенограмма, КТ, МРТ при эктопии поджелудочной железы
а) Определение:
• Ткань поджелудочной железы, расположенная за пределами нормальных границ основной поджелудочной железы, отделенная от нее и имеющая собственное кровоснабжение
б) Визуализация:
1. Общая характеристика:
• Лучший диагностический критерий:
о Небольшое объемное образование с центральным вдавлением, расположенное под слизистой оболочкой желудка:
- Вдавление в центре образования отмечается в 45% случаев и является выводным отверстием рудиментарного протока, дренирующего эктопическую ПЖ в просвет желудка
• Локализация:
о В 90% случаев эктопическая ткань поджелудочной железы обнаруживается в верхних отделах ЖКТ: желудке, двенадцатиперстной кишке, проксимальных отделах тощей кишки
- Чаще всего в антральном отделе желудка (на расстоянии до шести сантиметров от привратника)
о Возникает преимущественно в подслизистой оболочке (73%), в мышечном слое (17%), в субсерозном слое (10%)
• Размер:
о Узел: 0,5-2 см, но может достигать 5 см в поперечнике
о Вдавление: диаметр может достигать 5 мм, длина 10 мм
2. Рентгенография:
• Возможность визуализации эктопической ткани поджелудочной железы зависит от ее размера и локализации
• Хорошо отграниченное объемное образование с ровными контурами, округлой или вытянутой формы, с вдавлением в центре, расположенное в подслизистом слое:
о Образование размером 1-2 см с центральным вдавлением, располагающееся в области задней стенки антрального отдела желудка по большой кривизне в пределах 6 см от привратника
о Узел может иметь больший размер, узкое основание, напоминая полип; может также располагаться проксимальнее антрального отдела желудка
• Специфичным признаком является наличие заполняющейся контрастом центральной ямки, окруженной «валом»:
о Центральная ямка может быть ошибочно принята за язву
о Контрастное вещество может заполнять рудиментарную структуру, напоминающую проток, и распространяться глубже центрального вдавления
• При рентгеноскопии верхних отделов ЖКТ может обнаруживаться сужение пилорического канала, возможно, также объемное образование на широком основании (или полиповидное)

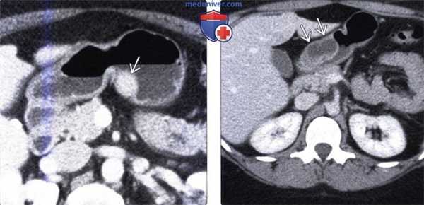
(Слева) На аксиальной КТ с контрастным усилением визуализируется объемное образование в стенке тела желудка. Образование накапливает контраст так же, как ПЖ в норме. Путем эндоскопической биопсии была подтверждена эктопическая ткань поджелудочной железы.
(Справа) На аксиальной КТ с контрастным усилением у пациента с жалобами на боль в животе визуализируется кистозное образование в стенке дистальных отделов желудка, как выяснилось после операции — эктопическая ткань поджелудочной железы. В зависимости от соотношения ацинусов, протоков и островковых клеток эктопическая ткань поджелудочной железы может выглядеть однородной или неоднородной, или даже кистозной.
3. КТ признаки эктопии поджелудочной железы:
• Часто эктопическая ткань имеет слишком малые размеры, чтобы ее можно было обнаружить
• Объемное образование округлой или овоидной формы с тенденцией к эндолюминальному росту (с протрузией в просвет кишечника):
о Края «образования» могут быть четкими или смазанными
• Картина контрастного усиления
о Эктопическая ткань поджелудочной железы с преобладанием ацинусов равномерно и интенсивно накапливает контраст
о При наличии ацинусов и протоков эктопическая ПЖ может выглядеть более неоднородной и временами даже кистозной
о Слизистая оболочка над эктопической ПЖ активно накапливает контраст в результате воспалительного процесса
• Центральная ямка обычно не видна на КТ
4. МРТ признаки эктопии поджелудочной железы:
• МР-характеристики эктопической ткани во всех пульсовых последовательностях аналогичны таковым для основной ПЖ
5. Другие методы исследования:
• Эндоскопия: наиболее приемлемый метод для выявления мелких эктопических узлов, расположенных в двенадцатиперстной кишке:
о В центре узла может находиться вдавление, при контрастировании наблюдается также рудиментарная протоковая система

(Слева) На рентгенограмме верхних отделов ЖКТ визуализируется небольшое объемное образование в стенке антрального отдела желудка, слизистая которого не изменена. Центральная «точка» обусловлена наличием рудиментарного протока, заполненного бариевым контрастом.
(Справа) На рентгенограмме верхних отделов ЖКТ в стенке желудка (по большой кривизне в антральном отделе) визуализируется небольшое объемное образование с ровными контурами без центрального вдавления. У 45% пациентов в эктопической ткани ПЖ отмечается центральная ямка, заполняющаяся бариевой взвесью. При отсутствии этого признака эктопическую ткань ПЖ сложно отличить от интрамуральных образований иной природы, таких как метастазы или гастроинтестинальная стромальная опухоль.
в) Дифференциальная диагностика эктопии поджелудочной железы:
1. Язва желудка:
• Язва имеет округлую форму, окружена отечным «валом»; складки слизистой оболочки сходятся к краю язвы; может определяться линия Хемптона, язвенный «воротничок»
2. Гастроинтестинальная стромальная опухоль желудка:
• Подслизистое объемное образование, часто - с изъязвлениями, с тенденцией к экзофитному росту, с вариабельной картиной контрастного усиления на КТ и МРТ
3. Другие подслизистые гиперваскулярные опухоли желудка:
• Гломусная опухоль, карциноид, некоторые гастроинтестинальные стромальные опухоли на КТ и МРТ выглядят как гиперваскулярные новообразования, расположенные в подслизистом слое
4. Рак поджелудочной железы:
• Полиповидное или циркулярное объемное образование, возможно, изъязвленное, в сочетании с утолщением стенки на ограниченном участке и деформацией слизистой оболочки
5. Метастазы в желудке и лимфома:
• Язва в центре опухоли может обусловливать появление симптома «бычьего глаза»
г) Патология. Микроскопия:
• Могут присутствовать все составляющие поджелудочной железы, обнаруживаемые в норме, или только некоторые из них: ацинусы, протоки, островковые клетки
д) Клинические особенности:
1. Проявления эктопии поджелудочной железы:
• У большинства пациентов эктопическая ткань поджелудочной железы никак себя не проявляет и является случайной находкой
• Наиболее частые симптомы: боль в животе и мелена:
о При локализации в желудке возможно появление симптоматики, связанной с обструкцией привратника
2. Демография:
• Эпидемиология:
о Частота встречаемости при аутопсии составляет 2-14%
3. Развитие и прогноз:
• Часто осложняется кровотечением/изъязвлением слизистой
• В эктопической поджелудочной железе могут наблюдаться те же воспалительные и неопластические процессы, что и в основной:
о Острый или хронический панкреатит и его типичные осложнения
о Развитие протоковой аденокарциномы
4. Лечение:
• Интервенционное вмешательство при обструкции/кровотечении
• Эндоскопическая резекция, если эктопическая поджелудочная железа ограничена подслизистой оболочкой
• При отсутствии симптоматики возможна выжидательная тактика
е) Диагностическая памятка. Следует учесть:
• При отсутствии центрального вдавления эктопическую ткань ПЖ трудно отличить от других опухолей в подслизистом слое
ж) Список использованной литературы:
1. Jang КМ et al: Ectopic pancreas in upper gastrointestinal tract: MRI findings with emphasis on differentiation from submucosal tumor. Acta Radiol. 54(10):1107-16, 2013
Лучевая диагностика эктопии поджелудочной железы
а) Терминология:
• Ткань поджелудочной железы (ПЖ), расположенная за пределами нормальных границ органа, не связанная с ним и имеющая собственное кровоснабжение
б) Визуализация эктопии поджелудочной железы:
• В 90% случаев эктопическая ткань ПЖ отмечается в верхних отделах ЖКТ: желудке, двенадцатиперстной и тощей кишке
• Рентгеноскопия:
о Хорошо отграниченное объемное образование с ровными контурами, округлой или вытянутой формы, с вдавлением в центре
о Может наблюдаться рефлюкс контрастного вещества в рудиментарную структуру, напоминающую проток, с распространением контраста глубже центральной ямки
• КТ:
о Часто эктопическая ткань имеет слишком малые размеры, чтобы ее можно было обнаружить
о Может выглядеть как объемное образование округлой или вытянутой формы, выбухающее в просвет кишечника
о Края «образования» могут быть четкими или расплывчатыми
о Картина контрастного усиления вариабельна:
- Эктопическая ткань с преобладанием ацинусов равномерно интенсивно накапливает контраст
- Другие типы эктопической ткани поджелудочной железы часто имеют более неоднородную структуру или даже выглядят кистозными
• МРТ: сигнальные характеристики эктопической ткани во всех пульсовых последовательностях, включая диффузионно-взвешенную томографию (ADC) аналогичны таковым для основной поджелудочной железы
(Слева) На аксиальной КТ с контрастным усилением визуализируется объемное образование в стенке тела желудка. Образование накапливает контраст так же, как ПЖ в норме. Путем эндоскопической биопсии была подтверждена эктопическая ткань поджелудочной железы.
(Справа) На аксиальной КТ с контрастным усилением у пациента с жалобами на боль в животе визуализируется кистозное образование в стенке дистальных отделов желудка, как выяснилось после операции — эктопическая ткань поджелудочной железы. В зависимости от соотношения ацинусов, протоков и островковых клеток эктопическая ткань поджелудочной железы может выглядеть однородной или неоднородной, или даже кистозной. (Слева) На рентгенограмме верхних отделов ЖКТ визуализируется небольшое объемное образование в стенке антрального отдела желудка, слизистая которого не изменена. Центральная «точка» обусловлена наличием рудиментарного протока, заполненного бариевым контрастом.
(Справа) На рентгенограмме верхних отделов ЖКТ в стенке желудка (по большой кривизне в антральном отделе) визуализируется небольшое объемное образование с ровными контурами без центрального вдавления. У 45% пациентов в эктопической ткани ПЖ отмечается центральная ямка, заполняющаяся бариевой взвесью. При отсутствии этого признака эктопическую ткань ПЖ сложно отличить от интрамуральных образований иной природы, таких как метастазы или гастроинтестинальная стромальная опухоль.
в) Дифференциальная диагностика:
• Гастроинтестинальная стромальная опухоль желудка
• Язва желудка
• Рак желудка
• Метастазы в желудке и лимфома
г) Клинические особенности:
• У большинства пациентов не обнаруживается какой-либо симптоматики, а эктопическая ткань поджелудочной железы выявляется случайно
• Может осложняться кровотечением или изъязвлением слизистой, что вызывает боль в животе и мелену
• В эктопической ткани могут возникать все те же воспалительные или неопластические процессы, что и в основной поджелудочной железе, включая острый или хронический панкреатит и злокачественные опухоли
Эктопированная поджелудочная железа.
(а) При гастроскопии в нижней части тела желудка выявлен небольшой четко отграниченный субэпителиальный узелок (звездочка).
(б) При УЗЭ обнаружено гетерогенное гиперэхогенное образование (звездочка), локализованное в 3-м гиперэхогенном подслизистом (ПС) слое.
(в, г) При КТ в аксиальной проекции в артериальную (в) и венозную (г) фазы контрастирования по задней стенке в области нижней части тела желудка визуализировано образование (стрелки) с гомогенным и стойким накоплением контраста. Соотношение длинной оси образования к его короткой оси составляет 2,5.
(д) На Т2-взвешенной МР-томограмме образование (стрелка) имеет гипоинтенсивный сигнал, так же как и расположенная рядом нормальная поджелудочная железа (ПЖ).
(е) На МР-томограмме в режиме Т1 до введения контрастного вещества опухоль (стрелка) гиперинтенсивна, что также совпадает с сигналом от прилежащей нормальной поджелудочной железы (ПЖ).
(ж-и) При динамическом МРТ в режиме T1 с контрастированием образование (стрелки) демонстрирует умеренное накопление контраста в артериальную фазу (ж) и стойкое — в венозную (з) и отсроченную (и) фазы.
(к) При микроскопии с малым увеличением (окраска гематоксилином и эозином, исходное увеличение х20) выявлена локализация опухоли (звездочка) в подслизистом (ПС) и мышечном слоях (МС). (л) При микроскопии с большим увеличением (окраска гематоксилином и эозином, исходное увеличение х40) выявлена ткань нормальной поджелудочной железы (звездочка), что подтверждает диагноз эктопической поджелудочной железы. Эктопированная поджелудочная железа.
(а) При гастроскопии в препилорическом антральном отделе визуализирован дольчатый субэпителиальный узелок (стрелки) (П — пилорус).
(б) При УЗЭ образование (звездочка) гетерогенно, гиперэхогенно и расположено в 3-м гиперэхогенном подслизистом (ПС) слое.
(в, г) При КТ в аксиальной (в) и коронарной (г) проекциях выявлена легкая гиподенсивность образования (звездочка). Соотношение длинной оси образования к его короткой оси составляет 2,6. Отмечена выраженная гиперденсивность слизистой оболочки, покрывающей образование (стрелка).
(д) На 3D КТ-изображении с восстановлением поверхности четко отображен дольчатый субэпителиальный узелок (стрелка), расположенный по малой кривизне антрального отдела желудка.
(е, ж) Опухоль была удалена с помощью эндоскопической подслизистой диссекции. На макропрепарате (е) и при микроскопии с малым увеличением (ж) визуализирован овоидный узелок (стрелка, звездочка), локализованный в подслизистом (ПС) слое желудка.
(з) При микроскопии с большим увеличением (окраска гематоксилином и эозином, исходное увеличение х40) выявлена ткань нормальной поджелудочной железы (*), что подтверждает диагноз эктопической поджелудочной железы.
Различные типы неопухолевых поражений могут проявляться в виде субэпителиальных новообразований, тем самым имитируя опухолевый процесс. К ним относят эктопическую поджелудочную железу, кистозный гастрит и амилоидому. Эктопическая поджелудочная железа (гете-ротопическая, добавочная, или аберрантная, поджелудочная железа) — ткань поджелудочной железы, которая не связана анатомически с самой железой и имеет отдельное от нее кровоснабжение. Эктопические участки обычно располагаются в желудке, двенадцатиперстной и тощей кишке (Kim et al., 2009).
При дифференциальной диагностике с субэпителиальными опухолями, такими как ГИСО и лейомиома, учитывают сочетание следующих КТ-признаков (Kim et al., 2009):
— активное контрастирование вышележащей слизистой оболочки
— антральное или дуоденальное расположение
— высокий индекс соотношения длинной оси к короткой оси
— эндофитный тип роста
— нечеткие границы поражения.
При кистозном гастрите выявляют эктопическую пролиферацию железистых структур желудка, чаще они располагаются глубже, чем в норме. Кистозный гастрит желудка — редкая патология подслизистого слоя, которая чаще всего возникает при наличии желудочно-кишечного анастомоза. Однако иногда она возникает и при отсутствии предшествующих операций на желудке.
Гистологически поражение распространяется в подслизистый слой желудка и состоит из удлиненных гипреплазированных желудочных ямок с гиперплазией и кистозной дилатацией желез желудка. При таком поражении выявляют гигантские складки желудка, подслизистое образование или изолированный полип (кистозный полипозный гастрит). КТ-проявления кистозного гастрита могут варьировать от гомогенно накапливающего контраст полипа до только кистозного субэпителиального поражения.
1. К субэпителиальным поражениям желудка относят различные типы опухолевых и неопухолевых заболеваний.
2. Самая распространенная субэпителиальная опухоль желудка— гастроинтестинальная стромальная опухоль (ГИСО).
3. Наиболее частое место возникновения ГИСО — желудок, следующие по частоте — тонкая кишка, колоректальная зона, пищевод, сальник и брыжейка.
4. Риск агрессивного клинического течения ГИСО желудка определяют на основании размера опухоли и митотического индекса.
5. Злокачественность процесса позволяют заподозрить такие КТ- или MPT-признаки, как размер (> 5 см), гетерогенное накопление контраста и некроз.
6. Наличие увеличенных лимфатических узлов в перигастральной или отдаленных регионах — дифференциальный признак, позволяющий отличить шванному от ГИСО.
7. Лейомиома желудка в основном локализуется в области кардии, и при КТ ее визуализируют в виде гомогенного гиподенсивного субэпителиального образования.
8. Отличительные КТ-признаки гломусных опухолей, позволяющие дифференцировать их от других субэпителиальных образований желудка, - расположение главным образом в антральном отделе, накопление контраста подобно гемангиоме при динамическом контрастировании, активное и постоянное накопление контраста в венозную фазу, утолщение вышележащей слизистой оболочки.
9. При дифференциальной диагностике эктопической поджелудочной железы с субэпителиальными опухолями, такими как ГИСО и лейомиома, учитывают сочетание следующих КТ-признаков: активное контрастирование вышележащей слизистой оболочки, антральное или дуоденальное расположение, высокий индекс соотношения длинной оси к короткой, эндофитный тип роста и нечеткие границы поражения.
а) Определение:
• Прогрессирующее необратимое повреждение поджелудочной железы, обусловленное воспалительным процессом, приводящим к фиброзу паренхимы, нарушению морфологии железы, и утрате эндокринной/экзокринной функции
1. Общая характеристика:
• Лучший диагностический критерий:
о Атрофия паренхимы поджелудочной железы (ПЖ) и неравномерное расширение главного протока поджелудочной железы (ГППЖ) в виде бус с наличием камней в просвете
2. КТ признаки хронического панкреатита:
• На ранних стадиях какие-либо отклонения могут отсутствовать:
о Деформация панкреатического протока с его расширением в виде бус, с наличием стриктур
о Обызвествления в паренхиме поджелудочной железы и протоках свидетельствуют о хроническом панкреатите о Атрофия поджелудочной железы (изменения часто более очевидны в области тела/хвоста)
о Интра- и перипанкреатические псевдокисты
• Часто возникает тромбоз селезеночной вены, приводящий к варикозному расширению вен и спленомегалии
• Фиброзно-воспалительное «объемное образование» при хроническом панкреатите иногда сложно отличить от опухоли:
о Возникает преимущественно в головке поджелудочной железы и характеризуется вариабельным контрастным усилением:
- Если в «образовании» преобладает фиброзная ткань, оно плохо накапливает контраст; если становится изоденсным, это позволяет предположить отсутствие фиброза

(Слева) На аксиальной КТ с контрастным усилением у пациента, страдающего хроническим панкреатитом, в поджелудочной железе визуализируется гиподенсное объемное образование инфильтративного характера, приводящее к расширению вышележащих отделов панкреатического протока. В паренхиме поджелудочной железы были обнаружены немногочисленные кальцинаты (не продемонстрированы). Была выполнена операция Уиппла, обнаружилось, что образование является фиброзно-воспалительным и обусловлено хроническим панкреатитом.
(Справа) На рентгенограмме (ЭРХПГ) визуализируется неравномерно расширенный главный панкреатический проток и его боковые ветви, что является характерным признаком хронического панкреатита.
3. МРТ признаки хронического панкреатита:
• МР-характеристики поджелудочной железы в норме:
о Т1 ВИ: гиперинтенсивный сигнал от паренхимы, равный по интенсивности сигналу от печени или интенсивнее его
о Т2 ВИ: вариабельная интенсивность сигнала в паренхиме
о Т1 ВИ с контрастным усилением: равномерное, интенсивное накопление контраста (в артериальной фазе сигнал становится гиперинтенсивным по сравнению с сигналом в печени, а в отсроченной фазе - изоинтенсивным)
о В норме ширина протока • МРТ более чувствительный метод для выявления ранних изменений при хроническом панкреатите по сравнению с КТ (хотя и не столь чувствительный для кальцинатов):
о Т1 ВИ: ↓ интенсивности сигнала в поджелудочной железе (ПЖ) вследствие замещения фиброзной тканью белковой жидкости в ее паренхиме
о Т1 ВИ с контрастным усилением: ↓ выраженности накопления контраста в артериальной фазе и повышенное накопление контраста в отсроченной фазе, обусловленное фиброзом
• Т2 ВИ или МРХПГ позволяют отчетливо продемонстрировать изменения протока поджелудочной железы (ППЖ), которые обычно являются поздней находкой:
о Расширение и деформация протока поджелудочной железы (ППЖ) с наличием стриктур и расширенных боковых ветвей в виде «цепочки озер» о Визуализация боковых ветвей протока поджелудочной железы (ППЖ) (в норме не определяются) может служить неявным признаком хронического панкреатита
о Конкременты в протоке поджелудочной железы (ППЖ) выглядят как участки выпадения сигнала о Кембриджские критерии для ЭРХПГ применимы и к МРХПГ
• Атрофия поджелудочной железы (ПЖ) и псевдокисты на поздних стадиях
• МРХПГ с секретином: визуализация ранних признаков хронического панкреатита и оценка экзокринной дисфункции поджелудочной железы (ПЖ):
о При хроническом панкреатите после введения секретина из-за снижения эластичности панкреатического протока не наблюдается его расширения, как это должно быть в норме
- В норме происходит расширение протока >1 мм от исходного значения; расширение о Секретин позволяет улучшить визуализацию боковых ветвей панкреатического протока (эти изменения позволяют сделать вывод о хроническом панкреатите)
о Уменьшение секреции жидкости в двенадцатиперстную кишку свидетельствует об экзокринной дисфункции, что также позволяет предположить хронический панкреатит:
- Экзокринная дисфункция I степени: жидкость в луковице двенадцатиперстной кишки (наиболее подозрительный признак экзокринной дисфункции ПЖ)
- II степени: жидкость во второй части двенадцатиперстной кишки
- III степени: жидкость в третьей части двенадцатиперстной кишки
о МРТ, как и КТ, не позволяет достоверно отличить фиброзно-воспалительное объемное образование (обусловленное хроническим панкреатитом) от злокачественной опухоли
4. Рентгенография при хронического панкреатита:
• Рентгенография:
о На рентгенограммах в проекции ПЖ могут выявляться мелкие кальцинаты, включения извести или обызвествления неправильной формы (очаговые или диффузные)
о Рентгеноскопия верхних отделов ЖКТ позволяет обнаружить изменения во второй части двенадцатиперстной кишки:
- Утолщение и деформация складок слизистой оболочки, сужение просвета кишки, атония различной степени выраженности, расширение проксимальных отделов двенадцатиперстной кишки ± желудка
• ЭРХПГ:
о «Золотой стандарт» диагностики хронического панкреатита
о Позволяет обнаружить расширение и деформацию ГППЖ в виде «бус», стриктуры, расширение боковых ветвей
о Конкременты в ГППЖ выглядят как дефекты наполнения
о Возможно ровное коническое сужение интрапанкреатической части общего желчного протока, а не внезапный его «обрыв», как в случае злокачественной опухоли:
- Из-за стриктуры дистальных отделов главного протока поджелудочной железы и холедоха может возникать симптом «двойного протока», аналогичный таковому при злокачественных опухолях
о Кембриджские критерии хронического панкреатита для ЭРХПГ:
- Норма: отсутствие патологических изменений со стороны главного панкреатического протока и боковых ветвей
- Сомнительные изменения: отсутствие патологических изменений со стороны главного панкреатического протока и расширение менее трех боковых ветвей
- Легкая степень тяжести: расширение трех и больше боковых ветвей при отсутствии патологических изменений главного панкреатического протока
- Средняя степень тяжести: патологически измененный ГППЖ и три или более расширенных боковых ветви
- Тяжелый панкреатит: изменения ГППЖ с наличием большой полости (>10 мм), обструкции, дефектов наполнения; или значительное расширение/деформация протока и трех (и более) измененных боковых ветвей

(Слева) На корональной МРХПГ (МIP-реконструкция) у пациента с хронической болью в животе определяется едва заметное расширение немногочисленных боковых ветвей панкреатического протока, что может являться ранним признаком хронического панкреатита; заключение о хроническом панкреатите у этого пациента впоследствии подтвердилось при эндоскопической ультрасонографии.
(Справа) На аксиальной КТ с контрастным усилением у пациента с известным хроническим панкреатитом алкогольной этиологии в расширенном главном панкреатическом протоке визуализируется отдельно лежащий камень большого размера Проток выглядит слегка деформированным и имеет вид «бус».
5. УЗИ признаки хронического панкреатита:
• Серошкальное УЗИ:
о Расширение ГППЖ (± ОЖП) с наличием эхогенных кальцинатов с задней акустической тенью в паренхиме ПЖ и протоке
о ПЖ может выглядеть гипоэхогенной и неоднородной
• Эндоскопическая ультрасонография:
о К критерии включают в себя изменения паренхимы (гиперэхогенные очаги, гиперэхогенные тяжи, бугристые края, кисты) и со стороны протоков (расширение, деформация ППЖ; повышение эхогенности стенок, визуализация боковых ветвей, кальцинаты)
6. Рекомендации по визуализации:
• МРТ/МРХПГ с секретином - лучший неинвазивный метод визуализации
• Эндоскопическая ультрасонография применима на ранних стадиях заболевания и используется в основном при интервенционных вмешательствах (удалении конкрементов, стентировании и т. д.)

(Слева) На КТ с контрастным усилением (реформатированнное изображение в плоскости панкреатического протока) определяется стриктура в области головки поджелудочной железы, ставшая причиной расширения вышележащих отделов панкреатического протока. Обратите внимание на характерные признаки хронического панкреатита: расширенные боковые ветви панкреатического протока и множественные обызвествления в паренхиме поджелудочной железы.
(Справа) На аксиальной КТ с контрастным усилением (МIP-реконструкция) в паренхиме поджелудочной железы определяются множественные обызвествления. В этом случае с целью коррекции экзокринной недостаточности необходима заместительная терапия препаратами панкреатических ферментов.
в) Дифференциальная диагностика хронического панкреатита:
1. Протоковый рак поджелудочной железы:
• Плохо отграниченное объемное образование, минимально накапливающее контраст, приводящее к атрофии паренхимы ПЖ выше уровня опухоли и обусловливающее внезапный «обрыв» (обструкцию) ГППЖ/ОЖП
• Опухоль распространяется забрюшинно кзади, обрастая кровеносные сосуды брыжейки и сдавливая их
• В некоторых случаях фиброзно-воспалительное объемное образование, возникающее при хроническом панкреатите, и рак поджелудочной железы невозможно дифференцировать без оперативного вмешательства и патоморфологического исследования
2. Внутрипротоковая папиллярная муцинозная опухоль (ВПМО) поджелудочной железы:
• Поражение ГППЖ может напоминать хронический панкреатит как клинически, так и на КТ или МРТ
• Расширение ГППЖ, и возможно, боковых ветвей; атрофия паренхимы поджелудочной железы
• ЭРХПГ позволяет легче дифференцировать хронический панкреатит и ВПМО, давая возможность визуализировать слизь, а также, возможно, полиповидные объемные образования в просвете ГППЖ
3. Возрастные изменения:
• Паренхима ПЖ с возрастом атрофируется (обычно после 70 лет), проток может слегка расширяться, а в паренхиме появляются небольшие очаговые обызвествления
• На МРТ может определяется ↓ выраженности контрастного усиления паренхимы и гипоинтенсивный сигнал в фиброзной ткани, обусловленной возрастом; изменения напоминают таковые при хроническом панкреатите
• Возрастное расширение ППЖ обычно выражено значительно меньше; деформация, стриктуры, конкременты отсутствуют
г) Патология. Общая характеристика:
• Этиология:
о Хронический панкреатит чаще всего обусловлен злоупотреблением алкоголем (в США - в 75% случаев):
- К возникновению хронического панкреатита обычно приводит постоянное употребление алкоголя в больших количествах > 10 лет
- Выделяют идиопатический (10-30% случаев), врожденный, тропический, аутоиммунный панкреатит; а также как следствие системных заболеваний (чаще муковисцидоза)
- Причиной обструктивного панкреатита становится сужение/стриктура протока:
Врожденные нарушения, которые могут предрасполагать к хроническому панкреатиту: разделенная поджелудочная железа (ПЖ), аннулярная ПЖ, дисфункция сфинктера Одди
- Причиной могут также послужить токсины (табакокурение)
о Желчные конкременты, гиперлипидемия, травмы, лекарственные препараты часто вызывают острый/рецидивирующий панкреатит, но редко приводят к хроническому воспалению ПЖ
о Возможно, заболевание обусловлено хроническим рефлюксом ферментов ПЖ, желчи, содержимого двенадцатиперстной кишки, а также повышением внутрипротокового давления:
- В итоге под воздействием токсинов происходит активация звездчатых клеток ПЖ, которые запускают фиброзно-воспалительный ответ
• Генетические нарушения:
о Врожденный панкреатит может быть обусловлен мутациями в нескольких генах, включая ген катионического трипсиногена PRSS1, ген ингибитора трипсина SPINK1, а также ген трансмембранного регулятора муковисцидоза (CTFR):
- Чаще всего характеризуется аутосомно-доминантным типом наследования с неполной пенетрантностью
о Генетическая предрасположенность к панкреатиту связана с алкоголем: у некоторых пациентов употребление даже умеренного количества алкоголя приводит к необратимому повреждению поджелудочной железы
1. Проявления хронического панкреатита:
• Типичные признаки/симптомы:
о Рецидивирующая или хроническая боль в центре эпигастральной области
о Признаки эндокринной и экзокринной недостаточности, обусловленные прогрессирующей деструкцией железы и стриктурой ОЖП: стеаторея, сахарный диабет, желтуха:
- Изменения, выявленные при лучевых исследованиях, свидетельствуют об эндокринной и экзокринной дисфункции:
Панкреатит с поражением крупных протоков характеризуется макроскопическими изменениями ГППЖ и часто проявляется стеатореей и сахарным диабетом
При панкреатите с поражением малых протоков изменения со стороны ГППЖ отсутствуют, ПЖ выглядит примерно так же, как в норме; возникновение стеатореи и развитие сахарного диабета маловероятно
• Лабораторные данные:
о Уровень амилазы и липазы не является достоверным показателем хронического панкреатита, поскольку может быть в пределах нормы или лишь незначительно повышен
2. Течение и прогноз:
• Осложнения:
о Желтуха как следствие обструкции желчных протоков
о Обструкция двенадцатиперстной кишки
о Значительное повышение заболеваемости раком ПЖ
3. Лечение:
• В большинстве случаев лечение заключается в купировании боли, изменении образа жизни (отказ от употребления алкоголя и курения, частый прием пищи мелкими порциями), а также в заместительной терапии панкреатическими ферментами
• При неэффективности медикаментозного лечения пациенту может быть предложена операция:
о При панкреатите с поражением крупных протоков (при выраженном расширении ППЖ) проводится декомпрессия путем создания анастомоза протока с петлей Ру
о Вариант хирургического лечения при поражении мелких протоков: операция Уиппла, дистальная резекция
е) Диагностическая памятка. Следует учесть:
• Хронический панкреатит нужно дифференцировать с другими заболеваниями, приводящими к расширению ГППЖ и атрофии ПЖ, в т. ч. внутрипротоковой папиллярной муцинозной опухолью и аденокарциномой
• Дифференциальная диагностика фиброзно-воспалительного объемного образования, обусловленного хроническим панкреатитом, и аденокарциномы поджелудочной железы может становиться очень сложной задачей
ж) Список использованной литературы:
1. Gupte AR et al: Chronic pancreatitis. Curr Opin Gastroenterol. 30(5):500-5, 2014
Аберрантная поджелудочная железа ( Добавочная поджелудочная железа , Хористома , Эктопия поджелудочной железы )
Аберрантная поджелудочная железа — это гетеротопия панкреатической железистой ткани в стенке желудка, кишечника или других органах брюшной полости. Аномалия характеризуется скудными клиническими проявлениями с преобладанием диспепсических расстройств. Осложненные формы патологии манифестируют симптомокомплексом «острого живота», желудочно-кишечными геморрагиями. Диагностика основана на инструментальных методах: УЗИ, рентгенографии с пероральным контрастированием, ЭФГДС. Диагноз подтверждают патоморфологическим исследованием биоматериала. Бессимптомные аномалии лечения не требуют, при осложнениях в основном прибегают к хирургическим вмешательствам.
МКБ-10
Общие сведения
В медицинской литературе аномалия имеет ряд синонимов: добавочная поджелудочная железа, хористома, эктопия ПЖ. Заболевание является самым частым пороком развития поджелудочной железы и выявляется у 0,2% пациентов в ходе оперативных вмешательств на органах брюшной полости. По данным аутопсий, гетеротопия встречается у 1,3% людей в популяции. Аномалия в 2 раза чаще наблюдается у мужчин. Преимущественно она обнаруживается случайно в возрасте 40-70 лет при инструментальном обследовании пищеварительной системы.
Причины
В современной гастроэнтерологии не существует единого мнения по поводу этиологических факторов. Большинство ученых утверждают, что патология возникает во внутриутробном периоде при сочетанном влиянии нескольких причин. К наиболее вероятным из них относят спонтанные генетические мутации, инфекции, перенесенные матерью во время беременности. Реже определяется связь аберрантной поджелудочной железы с приемом лекарств, обладающих тератогенным эффектом.
К факторам риска развития хористомы относят курение, употребление алкоголя и наркотических веществ беременной женщиной. Вероятность появления болезни увеличивается при проживании в экологически неблагоприятных регионах, воздействии ионизирующего излучения на ребенка в эмбриональном периоде внутриутробного развития. Риск формирования аберрантной ткани повышается при генетической предрасположенности — наличии различных аномалий у ближайших родственников.
Патогенез
Точный механизм образования аномалии до сих пор остается неясным. Наиболее вероятно, что аберрантная ткань — проявление атавизма в онтогенезе. Нарушение закладки и дифференцировки поджелудочной железы при антенатальном развитии приводит к аномальному расположению части органа. Сформированная добавочная железа имеет изолированное кровоснабжение и иннервацию, функционирует независимо от основной массы железистых клеток.
Классификация
Хористомы различаются по анатомической локализации. Аберрантная ткань железы может располагаться в различных органах:
- двенадцатиперстной кишке (31,83%);
- стенке желудка (31,46%);
- тощей кишке (21,7%);
- подвздошной кишке (9,36%);
- брыжейке (3,37%);
- желчных ходах (1,49%).
Среди желудочных аберрантных ПЖ большинство (58,2%) располагается в привратнике. По макроскопическим признакам выделяют 4 формы: узловатую, полипозную, диффузную и смешанную.
Симптомы
Подавляющее большинство гетеротопий протекает бессимптомно и выявляется случайно при гастроэнтерологической диагностике, проведении операций в полости живота. Симптоматика обычно возникает при осложненном течении заболевания и определяется локализацией аберрантной поджелудочной железы. Начальными признаками являются неспецифические диспепсические расстройства: тяжесть в животе после приема пищи, тошнота, неустойчивость стула.
Клиническое проявление крупной аберрантной железы возможно уже в раннем детском возрасте. Беспокоит срыгивание после еды, периодически бывает обильная рвота створоженным молоком или частично переваренной пищей. Дети плохо едят, медленно набирают вес, отстают в физическом развитии. Во взрослом возрасте аномалия, как правило, протекает под маской хронического гастрита, панкреатита, холецистита.
Типичный симптом осложненных форм патологии — сильные боли в животе различной локализации. Часто встречается рвота с примесями слизи и желчи. При поражении желчевыводящих протоков выделяется обесцвеченный кал. Редко аберрантная поджелудочная железа манифестирует желудочно-кишечным кровотечением, которое проявляется кровавой рвотой или меленой.
Осложнения
Зачастую при хористоме наблюдается стеноз пилорического отдела желудка, что затрудняет продвижение пищи в тонкий кишечник. В компенсированной стадии питание и энергетический обмен практически не нарушены. На этапе декомпенсации характерны истощение больных, анемия и признаки авитаминозов. При расположении аберрантной ткани в тонком кишечнике существует вероятность развития острой кишечной непроходимости, требующей неотложной хирургической помощи.
Добавочные поджелудочные железы часто подвергаются воспалению и некрозу. Начинается асептическое либо гнойное поражение аберрантной ткани, которое чревато прободением стенки пораженного органа. При расплавлении сосудистых стенок может открыться профузное кровотечение. Наличие гетеротопии повышает риск возникновения язвенной болезни, механической желтухи. Наиболее опасное последствие вовремя не диагностированной хористомы — малигнизация.
Диагностика
Выявление аберрантной железистой ткани стандартными методами исследования затруднительно, поскольку внешне аномальные образования напоминают доброкачественную опухоль. Для верификации диагноза врач-гастроэнтеролог назначает инвазивные методики с последующим гистологическим подтверждением. При подозрении на гетеротопию поджелудочной железы диагностический поиск включает следующие исследования:
- УЗИ брюшной полости. При сонографии возможно обнаружение аберрантной ткани только большого объема, которая визуализируется в виде гиперэхогенных участков в нетипичных местах. Результаты УЗИ не позволяют установить природу объемного образования. Чтобы оценить кровоток в добавочной поджелудочной железе, рекомендована допплерография.
- Рентгенологические методы. При рентгенографии пассажа бария по ЖКТ гетеротопия выглядит как округлый дефект наполнения. При осложненной форме заболевания на фоне дефекта выявляют нишу или пятно бария. Аберрантную поджелудочную железу можно увидеть при компьютерной томографии ОБП.
- ЭФГДС. При эндоскопическом осмотре хорошо заметны хористомы, локализованные в желудке или начальных отделах 12-перстной кишки. Они имеют вид полипов или отдельных узлов, на поверхности которых зачастую есть устье выводного протока.
- Изучение биоптатов. Морфологический анализ образца тканей является решающим при диагностике хористом. По гистологическому строению добавочная железистая ткань может полностью соответствовать нормальной либо содержать отдельные элементы — островки Лангерганса, ацинусы или выводные протоки.
- Лабораторные методы. Анализы имеют вспомогательный характер. Для оценки внешнесекреторной функции поджелудочной железы определяют уровень амилазы, липазы и трипсина в крови. В образцах кала исследуют количество фекальной эластазы. В крови измеряют содержание глюкозы натощак, проводят глюкозотолерантный тест.
Лечение аберрантной поджелудочной железы
Консервативная терапия
В гастроэнтерологии есть успешный опыт применения аналогов гормона соматостатина. Эти препараты тормозят пролиферацию железистых клеток, препятствуют трансформации доброкачественной гетеротопии в опухолевый процесс. При недостаточной экзокринной функции поджелудочной ткани назначают заместительную ферментную терапию. Для устранения неприятных симптомов используют анальгетики, желчегонные препараты, прокинетики.
Хирургическое лечение
В абдоминальной хирургии целесообразность оперативного вмешательства при аберрантной поджелудочной железе остается предметом научных дискуссий. При бессимптомном течении и нормальном функционировании органа с железистой геторотопией больным требуется наблюдение. Возможность проведения операции решается индивидуально для пациентов со сниженной функциональной активностью основной ПЖ.
Абсолютными показаниями к выполнению радикального лечения считают осложненные варианты аберрантной аномалии. Рекомендована максимально экономная резекция в пределах здоровых тканей. При формировании стеноза привратника или кишечника обеспечивается хирургическая коррекция, при необходимости накладывается анастомоз. Обязательному удалению подлежат хористомы с высоким риском малигнизации.
Прогноз и профилактика
Бессимптомные формы аберрантной ПЖ не представляют риска для здоровья и жизни человека, в таком случае прогноз считается благоприятным. Прогностически неблагоприятно расценивается появление осложнений со стороны желудка, кишечника, билиарной системы, быстрое увеличение размеров добавочной железы. Учитывая неясный этиопатогенез, специфические меры первичной профилактики не разработаны.
1. Аберрантная поджелудочная железа/ Ю.А. Кучерявый, И.В. Маев// Клинические перспективы в гастроэнтерологии, гепатологии. — 2005.
2. Аберрантная поджелудочная железа с локализацией в антральном отделе желудка/ С.А. Домрачев, М.А. Чиников// Вестник РУДН. — 2003.
3. Аберрантная поджелудочная железа у детей с патологией органов пищеварения/ И.Л. Бабий, Е.М. Платонова, И.Н. Федчук, Л.Л. Белова// Здоровье ребенка. — 2011.
4. Гетеротопия поджелудочной железы/ Е.Н. Самцов, М.В. Вусик, М.Б. Каракешишева// Сибирский онкологический журнал. — 2009.
Читайте также:
- Случай артроскопической декомпрессии кисты Беккера коленного сустава
- Пресбиопия: причины, симптомы и лечение
- Патогенез синдрома фето-фетальной трансфузии (СФФТ). Прогноз синдрома фето-фетальной трансфузии
- Оболочки мозга. Оболочки головного мозга. Твердая оболочка головного мозга. Твердая оболочка мозга. Артерии твердой оболочки.
- Катетеризация бедренной вены под ультразвуковым контролем
