Лучевая диагностика инфаркта почки
Добавил пользователь Евгений Кузнецов Обновлено: 18.11.2025
Лучевая диагностика инфаркта почки
а) Определение:
• Ограниченная или тотальная зона ишемического некроза почки вследствие нарушения ее кровоснабжения:
о В большинстве случаев инфаркт почки развивается вследствие окклюзии главной почечной артерии
б) Визуализация:
1. Общая характеристика:
• Лучший диагностический критерий:
о Клиновидная область отсутствия накопления контраста с ободком коркового вещества, накапливающего контраст
• Локализация:
о Различная, зависит от этиологии:
- Тромбоэмболия:
Обычно многоочаговая и двусторонняя
- Тромбоз in situ:
Односторонний (сегментарный или тотальный)
- Венозный инфаркт:
Чаще всего левосторонний (вероятно, из-за большей длины левой почечной вены)
о Двустороннее поражение наблюдают в 15% случаев
• Морфология:
о Различная, зависит от давности процесса:
- Острый инфаркт:
Клиновидный; почки нормального или немногоувеличенного размера, возможны субкапсулярное скопление жидкости и уплотнение околопочечной жировой клетчатки
- Хронический инфаркт:
Клиновидный; атрофия пораженного сегмента с ретракцией капсулы
2. Рентгенографические признаки инфаркта почки:
• Внутривенная пиелография:
о Сегментарный или субсегментарный инфаркт:
- Очаговое отсутствие или снижение площади нефрограммы
о Тотальный инфаркт:
- Полное отсутствие нефрограммы и экскреции
3. КТ при инфаркте почки:
• Признаки на КТ различны и зависят от этиологии и длительности инфаркта:
о Тромбоэмболический тип: обычно многоочаговый и двусторонний:
- Можно четко увидеть инфаркт других органов (селезенка)
о Тромботический инфаркт in situ: односторонний (сегментарный или тотальный)
• Острый инфаркт:
о Наиболее часто-сегментарный или субсегментарный
о Сегментарный или субсегментарный инфаркт:
- Четко отграниченный, дорсальные или вентральные сегментарные (или субсегментарные) области пониженного накопления контраста
- Демаркационная граница между нормальной, накапливающей контраст паренхимой, и измененной неконтрастируемой паренхимой
- Основание клина направлено в сторону почечной капсулы, верхушка - в сторону ворот почки
о Тотальный инфаркт:
- Нормальные или увеличенные почки; гладкий контур, возможно субкапсулярное скопление жидкости
- Отсутствие или уменьшение площади нефрограммы
- Возможна исчерченностьмозговогослоя: накопление контраста по типу «колеса со спицами» (коллатеральная циркуляция):
Отрыв почечной артерии: полное отсутствие контрастирования почки, большая околопочечная гематома
Тромбоз почечной артерии: полное отсутствие контрастирования почки, экскреции и околопочечной гематомы; сохранение контура почки
о Признак кортикального ободка:
- Сохранение капсулярного/субкапсулярного накопления контраста
- Встречают в 50% случаев инфаркта почки (интактный околопочечный коллатеральный кровоток)
- Обычно встречают спустя 6-8 ч после инфаркта
• Хронический инфаркт:
о Отсутствие/снижение накопления контрастного вещества в зоне инфаркта; отсутствие признака кортикального ободка
о Небольшой размер области инфаркта с ретракцией капсулы; гладкий или неровный контур
4. МРТ при инфаркте почки:
• Т1-ВИ:
о Различная картина; чаще всего гиперинтенсивный Т1-сигнал (по сравнению с нормальной почечной паренхимой)
• Т2-ВИ:
о Т2-сигнал зависит от давности инфаркта:
- Обычно изо- или гиперинтенсивный сигнал в острую фазу
- Гипоинтенсивный по отношению к паренхиме почки в хроническую фазу
• ДВИ:
о Острый инфаркт характеризуется ограниченной диффузией (не входит в перечень рутинных исследований)
• Постконтрастное Т1-ВИ:
о Отсутствие накопления контраста в области инфаркта
о Четкое отграничение от нормальной паренхимы, накапливающей контраст
5. УЗИ при инфаркте почки:
• Исследование в режиме серой шкалы:
о В зависимости от давности инфаркта поврежденные области могут иметь различную эхоструктуру; обнаружение в режиме серой шкалы может быть затруднительным
о Области хронического инфаркта обычно гиперэхогенные
о Тромбоз почечной вены: эхогенный дефект наполнения внутри просвета
• Цветовое допплеровское картирование:
о Отсутствие кровотока в области инфаркта
о Исследование может быть информативно для определения уровня артериальной окклюзии
6. Ангиография при инфаркте почки:
• Традиционная ангиография имеет диагностическую и лечебную цели:
о Лучшая визуализация уровня окклюзии и/или расслоения артерии:
- Помогает выявить основную патологию (фибромускулярную дисплазию, васкулит и др.)
о В области инфаркта наблюдают отсутствие перфузии и накопления контраста
7. Радионуклидная диагностика:
• ФЭКТ c Tc-99m DMSA
о Отсутствие поглощения радиометки в области инфаркта
P.S. DMSA - димеркаптосукцинат 99m-технеция.
8. Рекомендации по визуализации:
• Лучший метод визуализации:
о МСКТ с контрастным усилением; цветовое допплеровское исследование; селективная почечная ангиография
(Слева) МРТ, постконтрастное Т1-ВИ, аксиальная проекция: женщине 55 лет с фибрилляцией предсердий в анамнезе было проведено обследование на наличие образования почки; в правой почке была выявлена клиновидная зона с отсутствием контрастирования. Наличие кортикального ободка контрастирования и неизмененный контур почки указывают на то, что инфаркт острый или подострый.
(Справа) На соответствующем Т2-ВИ у этой же пациентки было выявлено снижение интенсивности Т2-сигнала в зоне инфаркта. (Слева) КТ в динамике, аксиальная проекция: у этой же пациентки спустя год выявлено прогрессирование инфаркта с атрофией и деформацией контура в поврежденной области.
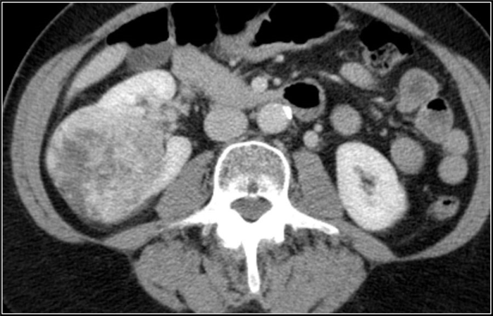
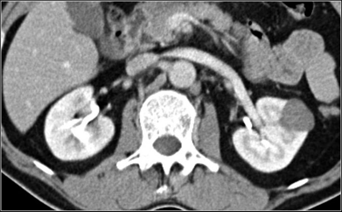
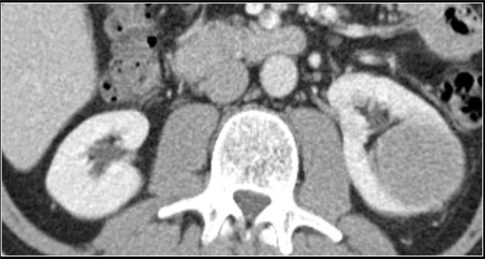
(Справа) КТ с контрастированием, аксиальная проекция: у мужчины 47 лет с остро возникшей болью в правом боку после мотоциклетной аварии выявлен травматический инфаркт правой почки вследствие тупой травмы. (Слева) КТ с контрастированием, аксиальная проекция: у мужчины 38 лет, получившего тупую травму из-за автокатастрофы, выявлен обширный инфаркт почки с отсутствием контрастирования. Обратите внимание на слабое контрастирование кортикального ободка.
(Справа) КТ с контрастированием, аксиальная проекция: у этого же пациента обнаружена только небольшая контрастируемая область левой почки. Выявлен тромбоз левой почечной артерии в результате травматического расслоения.
в) Дифференциальная диагностика инфаркта почки:
1. Пиелонефрит:
• Клиническая картина и основное заболевание могут помочь в дифференциальной диагностике двух состояний
• Острый:
о Клиновидный или исчерченный корковый слой на нефрограмме:
- Может имитировать сегментарный или субсегментарный инфаркт
о Потеря нормального отграничения коркового и мозгового слоев
о Увеличение почек, фокальный отек
о Утолщение фасции Героты и уплотнение околопочечной клетчатки
о Сглаживание чашечек, расширение лоханки и мочеточника
• Хронический:
о Почки уменьшенных размеров с рубцами коркового слоя поверх расширенных чашечек
о Односторонний с компенсаторной гипертрофией контрлатеральной почки
2. Опухоль почки:
• Острый инфаркт редко имитирует опухоль почки (особенно на УЗИ)
• Отсутствие контрастного усиления, наличие кортикального ободка, накапливающего контраст, клиновидная форма и линейная демаркация помогают дифференциальной диагностике
3. Туберкулез почек:
• Множественные рубцы коркового слоя
• Паренхиматозные кальцификаты
• Стриктуры собирательной системы и мочеточника:
о «Окаменелая» почка на последней стадии кальцификации
4. Разрыв или гематома почки:
• Прерывистый, линейный или сегментарный участок ткани, не накапливающий контраст; субкапсулярная или околопочечная гематома
5. Васкулит:
• Узелковый периартериит, системная красная волчанка, склеродермия, наркотическое опьянение(кокаин)
• Обычно двусторонний, многоочаговый и субсегментарный
• Микроаневризматическое расширение малых сосудов
(Слева) УЗИ в режиме серой шкалы: у женщины с трансплантированной почкой выявлена клиновидная область пониженной эхогенности верхнего полюса трансплантата.
(Справа) На соответствующем цветовом допплеровском исследовании у этой же пациентки выявлено отсутствие кровотока в пределах верхнего полюса. Инфаркты часто плохо выявляют в режиме серой шкалы. (Слева) На изображении артериального В-потока выявлен участок предполагаемого инфаркта.
(Справа) Недостаток кровоснабжения наиболее очевиден на данном изображении венозного В-потока. Пациенту в тот же день была выполнена биопсия почки, на которой была выявлена обширная область инфаркта, предположительно вследствие васкулита или хронического отторжения. (Слева) УЗИ в режиме серой шкалы: у женщины 60 лет с трансплантацией почки и поджелудочной железы в анамнезе, а также жалобами на боль в нижней части живота выявлен сниженный внутрипочечный кровоток. Обратите внимание на небольшое расширение собирательной системы.
(Справа) КТ, аксиальная проекция: у этой же пациентки выявлены значительное увеличение и смещение трансплантированной почки (почка была пересажена в нижний левый квадрант). Пациентке проведено экстренное хирургическое вмешательство, при котором был обнаружен перекрут интраперитонеального трансплантата.
г) Патология:
1. Общая характеристика:
• Этиология:
о В большинстве случаев причиной служит внезапная окклюзия главной почечной артерии или ее сегментарных ветвей:
- Венозный инфаркт чаще возникает у детей (вследствие венозного тромбоза); исключительно редко у взрослых
о Отсутствие причины инфаркта (идиопатический) у 1/3 пациентов
о Артериальный инфаркт:
- Тромбоэмболия
о Сердечного или аортального происхождения:
Частые причины: фибрилляция предсердий, эндокардит, инфаркт миокарда, искусственный клапан, расслоение аорты
- Тромбоз in situ:
Возникает вследствие травмы, васкулита, гиперкоагуляционных состояний и ятрогенных повреждений
Редкие причины-васкулиты (узелковый периартериит и др.) и употребление кокаина
Тромбоз сосудов аллотраплантата почки может возникнуть в случае отторжения аллотрансплантата
- Расслоение:
Возникает вследствие травмы, спонтанного расслоения, васкулита или ятрогенного поражения
Спонтанное расслоение может развиться в случае фибромускулярной дисплазии, синдрома Элерса-Данлоса и др.
о Венозный инфаркт (редко у взрослых):
- Наиболее частый фактор риска у детей-дегидратация
- Другие причины:
Нефротический синдром, гиперкоагуляционные состояния и ПКР
- Тромбоз почечной вены у взрослых редко вызывает инфаркт
о Перекручивание (редко):
- Редкое осложнение интраперитонеальной трансплантации почки
- Для того чтобы избежать этого осложнения, выполняют технику экстраперитонеальной трансплантации или профилактическую нефропексию
• Ассоциированные аномалии:
о Аномалии сердца, гиперкоагуляционные состояния, аневризма или расслоение аорты, инфаркт селезенки
2. Стадирование, степень дифференцировки и классификация инфаркта почки:
• Классификация по характеру процесса:
о Острый, подострый, хронический
• Классификация, основанная на анатомии и кровоснабжении:
о Сегментарный или субсегментарный (кора, иногда мозговой слой); наиболее часто:
- Одиночный или множественный, часто ассоциирован с другими повреждениями почки
о Тотальный
3. Макроскопические и хирургические признаки:
• Острый:
о Клиновидная область коагуляционного некроза белового или бледного цвета
о Сохранение непосредственно субкортикальной зоны (эквивалент признака кортикального ободка)
о Тромбоз или травматический разрыв почечной артерии
• Хронический:
о Клиновидная область атрофии
4. Микроскопия:
• Очаговый или тотальный
• Острый:
о Коагуляционный некроз клубочков и канальцев с областью гиперемии и ишемии вокруг
• Хронический:
о Клиновидные области атрофии и рубцевания
д) Клинические особенности:
1. Клиническая картина:
• Наиболее частые признаки/симптомы:
о Острое начало, боли в боку или в животе, тошнота, рвота
о Лейкоцитоз, гематурия
о Симптомы/признаки неспецифичны и проявляются сразу лишь в менее 50% случаев
2. Демография:
• Возраст:
о Заболевает любая возрастная группа
о Водной из когорт исследуемых средний возраст составил 53 года
• Пол:
о Мужчины и женщины заболевают одинаково часто
• Эпидемиология:
о Редкая патология (по данным аутопсии, распространенность составляет 1,5%)
о В большинстве случаев заболевание клинически не диагностируют, либо диагностируют поздно вследствие неспецифично-сти симптомов
3. Течение и прогноз:
• Осложнения (редко):
о Инфекция, формирование абсцесса
• Прогноз:
о Очаговый инфаркт: благоприятный
о Тотальный инфаркт: неблагоприятный
4. Лечение инфаркта почки:
• В острых случаях:
о Терапия антикоагулянтами
о Чрескожная эндоваскулярная терапия:
- Тромболизис, тромбэктомия, ангиопластика
о Нефрэктомия в случае необратимого травматического тотального инфаркта
• Антигипертензивная терапия (ингибиторы АПФ) показана в отдельных случаях артериальной гипертензии, вызванной инфарктом почки
е) Диагностическая памятка:
1. Следует учесть:
• Связь с анамнезом: травма, заболевания сердца/аорты, тромбоэмболический феномен
2. Советы по интерпретации изображений:
• Пиелонефрит и острый инфаркт могут иметь схожую клиническую картину
• Демаркационная граница и кортикальный ободок характерны для инфаркта
• Уплотнение околопочечной клетчатки характерно для пиелонефрита
Методы обследования инфаркта почки
а) Определение:
• Тотальная или локальная гиполерфузия почки → ишемия тканей и, в конечном итоге, потеря паренхимы
1. Общая характеристика:
• Важнейшие диагностические признаки:
о ± Изменение внешнего вида при серошкальном исследовании со ↓ кортико-медуллярной дифференциацией
о Локальное снижение или отсутствие кровотока при допплерографии
• Локализация:
о Возможно поражение обеих почек или части одной почки
о Поражение добавочных почечных артерий приводит к инфарктам полюсов
• Размер:
о Варьирует
• Морфология:
о Клиновидная форма, соответствующая бассейну кровоснабжения в почке
2. УЗИ при инфаркте почки:
• Серошкальное ультразвуковое исследование:
о Снижение кортико-медуллярной дифференциации
о Может быть гипо- или гиперэхогенным, в зависимости от пройденного времени
о Сегментарные инфаркты чаще имеют клиновидную форму и охватывают область от ворот почки до капсулы
• Цветовая допплерография:
о Локальное или полное отсутствие кровотока в паренхиме
о Оптимизируйте настройки с целью выявления медленных токов: - Используйте энергетическую допплерографию для повышения чувствительности исследования
о УЗИ с контрастным усилением (CEUS), если доступно, используется для оценки перфузии
3. КТ при инфаркте почки:
• КТ с контрастированием:
о Снижение контрастирования, отсроченное контрастирование или его отсутствие на нефрограмме
о Отсроченная экскреция или ее отсутствие при тотальном инфаркте
о При КТА можно визуализировать пораженные сосуды
4. Рекомендации по визуализации:
• Важнейшие методы визуализации:
о Цветовая и энергетическая допплерография помогают дифференцировать ишемию от других заболеваний почки
о КТ с контрастированием обладает наилучшей чувствительностью для выявления инфаркта и его причин
• Рекомендации по исследованию:
о Следует оптимизировать параметры допплерографии с целью выявления медленных токов

(Левый) У пациента с дилатационной кардиомиопатией в нижнем полюсе правой почки при УЗИ визуализируется слабо выраженный клиновидный гиперэхо генный инфаркт. На соответствующем КТ срезе с контрастированием визуализируется дефект контрастирования в этой области. Обратите внимание на неизмененное контрастирование капсулы (симптом «кортикального края»), обусловленное интактностью капсулярных артерий, кровоснабжающих капсулу.
(Правый) При цветовой допплерографии в верхнем полюсе почки у пациента с сегментарным инфарктом почки кровоток не визуализируется.
1. Пиелонефрит:
• Ключевую роль играют клинические данные; часто выявляется утолщение уротелия
• Очаговый нефрит может иметь похожую гиперэхогенную клиновидную картину
2. Лучевое поражение:
• Скорее неанатомическое поражение, чем сегментарное
3. Опухоль почки:
• Чаще всего округлой или овальной формы ± внутренний цветовой поток
4. Разрыв почки:
• Предшествующий анамнез травмы, часто наличие жидкости в околопочечном пространстве

(Левый) При цветовой допплерографии визуализация кровотока в нижнем полюсе почки у пациента с инфарктом почки на фоне фибрилляции предсердий отсутствует. Наиболее чувствительным методом выявления медленных токов является энергетическая допплерография, которая должна использоваться для подтверждения диагноза инфаркта.
(Правый) При КТ с контрастированием у того же пациента визуализируется отсутствие перфузии в переднем отделе коркового вещества почки.
1. Общая характеристика:
• Этиология:
о Болезни артерий: повреждение, атеросклероз, васкулит, расслоение
о Тромбоэмболия: эндокардит, аритмии с развитием тромбов
о Тромбоз: травма или гиперкоагуляционные состояния
о Ятрогенные: мелкие полярные артерии часто не сохраняют при лечении аневризмы брюшного отдела аорты или при выделении трансплантата
2. Стадирование, степени и классификация инфаркта почки:
• Клиническое значение зависит от объема поражения паренхимы почки
3. Макроскопические и хирургические особенности:
• Ишемизированные ткани-бледные или белые
• В отдаленном периоде-склероз почки и дольчатое строение коркового вещества
1. Проявления инфаркта почки:
• Основные симптомы:
о Часто бессимптомное течение; зависит от этиологии
• Другие симптомы:
о Боль в боку, гипертензия; гематурия
2. Демография:
• Возраст:
о Учитывая множество причин, может возникать в любом возрасте
3. Течение и прогноз:
• Сегментарные инфаркты хорошо переносятся и редко имеют отдаленные последствия
• Тотальный инфаркт может привести к «аутонефрэктомии»
4. Лечение инфаркта почки:
• Возможно консервативное ведение, ангиопластика и/или эндоваскулярное стентирование
е) Диагностическая памятка:
1. Следует учесть:
• При дифференциальной диагностике клинические данные обычно помогают исключить другие причины
2. Советы по интерпретации изображений:
• С целью сужения диагностического поиска ищите косвенные признаки инфекции или травмы при КТ
• Небольшие полярные инфаркты часто встречаются после эндоваскулярного лечения АБОА
ж) Список использованной литературы:
1. Piccoli GB et al: Renal infarction versus pyelonephritis in a woman presenting with fever and flank pain. Am J Kidney Dis. 64(2):311-4, 2014
2. Stenberg B et al: Post-operative 3-dimensional contrast-enhanced ultrasound (CEUS) versus Tc99m-DTPA in the detection of post-surgical perfusion defects in kidney transplants-preliminary findings. Ultraschall Med. 35(3):273-8, 2014
Инфаркт почки
Инфаркт почки – это редкое нефрологическое заболевание, обусловленное эмболией артериальных сосудов органа с последующим некрозом его тканей и нарушением функциональной активности. Симптомы зависят от объема поражения, варьируются от полного отсутствия проявлений до резких болей в пояснице, гематурии, почечной недостаточности, увеличения уровня артериального давления. Диагностика производится на основании данных анамнеза, результатов анализов крови и мочи, УЗДГ сосудов почки, почечной ангиографии. Лечение преимущественно симптоматическое, также включает в себя применение антиагрегантных и антикоагулянтных средств, иногда показано хирургическое вмешательство.

Общие сведения
Инфаркт почки встречается намного реже других ишемических расстройств органов мочевыделительной системы. Данное состояние практически никогда не является изолированным нарушением, а выступает в качестве осложнений других, преимущественно сердечно-сосудистых патологий. Точные статистические данные относительно встречаемости болезни отсутствуют, поскольку определенная доля больных не обращается к специалистам из-за слабой выраженности симптомов.
Заболевание следует дифференцировать с мочекислым инфарктом почек у детей, являющимся одним из этапов адаптации мочевыделительной системы к внеутробному существованию. Из-за особенностей эпидемиологии болезней, способных осложняться инфарктом почки, патология чаще возникает у лиц старшего возраста, страдающих ожирением и обменными нарушениями.

Причины
В подавляющем большинстве случаев состояние имеет ишемический характер и вызывается эмболией магистральных почечных сосудов. Чаще всего эмбол представлен тромботическим сгустком, реже в таком качестве могут выступать фрагменты атеросклеротических бляшек, жировые массы. Картину, схожую с эмболией ветвей почечной артерии, иногда провоцируют артериовенозные фистулы или кровотечения. Таким образом, основной причиной заболевания является наличие в артериальной части большого круга кровообращения эмболов, которые могут образовываться при следующих патологиях:
- Эндокардит. Воспаление внутренней оболочки левого желудочка или предсердия часто осложняется формированием пристеночного тромба. Его фрагменты периодически попадают в большой круг кровообращения и могут закупоривать просвет артерий почек.
- Аритмии и пороки сердца. Различные нарушения сердечного ритма сопровождаются нарушениями гемодинамики внутри полостей сердца, что иногда приводит к тромбообразованию. Схожий механизм возникновения тромбов отмечается при недостаточности митрального клапана или пролапсе его створок.
- Атеросклеротическое поражение. Выраженный атеросклероз аорты или венечных артерий являются одной из наиболее частых причин инфаркта почки. Закупорка сосуда может быть обусловлена как фрагментом собственно атеросклеротической бляшки, так и тромбом, который образовался на ее поверхности. Атеросклероз почечных сосудов может приводить к расслоению их стенок, что также провоцирует закупорку просвета и острую ишемию.
- Узелковый периартериит. Данное состояние неясной этиологии в случае вовлечения в патологический процесс сосудистой сети почек может становиться причиной инфарктов.
- Медицинские манипуляции. Различные диагностические и лечебные манипуляции на органах мочевыделительной системы могут осложняться стенозом сосудов с развитием острой ишемии почечной ткани.
Косвенной причиной патологии иногда является наркотическая зависимость, связанная с частыми внутривенными вливаниями (опиоидная или эфедриновая наркомания). В случае использования нестерильного инструментария развивается специфический эндокардит с образованием многочисленных тромбов. Различные формы инфаркта почки обнаруживаются у 20-30% инъекционных наркоманов. Множественные очаги инфарктов в почечной ткани возникают и при диссеминированном внутрисосудистом свертывании крови (ДВС-синдроме).
Патогенез
Основополагающим звеном патогенеза более чем в 90% случаев инфаркта почки считается образование эмболов, которые вызывают закупорку сосудов органа. В результате нарушается снабжение участка почечной ткани кислородом и питательными веществами. По своей кислородной потребности почки уступают только нервной ткани и миокарду, из-за чего в результате ишемии довольно быстро возникают дистрофические изменения в клетках нефронов. Размер поражения зависит от калибра артериального сосуда, перекрытого эмболом – чем он больше, тем распространеннее зона инфаркта. Характерная форма зоны ишемии – клиновидная или треугольная с вершиной у ворот почки и обращенным к корковому веществу основанием. Это обусловлено особенностями распределения кровеносных сосудов в органе.
После прекращения поступления артериальной крови дистрофия клеток нефронов постепенно нарастает, сменяясь их гибелью и формированием участков некроза. Одновременно возникает раздражение юкстагломерулярного аппарата с образованием больших количеств гормона ангиотензина 2, что приводит к развитию вазоренальной гипертензии и каскаду связанных с этим нарушений (повышается риск инфаркта миокарда или инсульта). Продукты распада некротизированных тканей всасываются в системный кровоток и становятся причиной интоксикации организма, проявляющейся повышением температуры, головными болями, тошнотой. Исходом некроза становится разрастание фиброзной ткани и формирование рубца.
Симптомы инфаркта почки
Клиническая картина заболевания характеризуется различной выраженностью симптомов, которая, прежде всего, зависит от объема ишемизированной и некротизированной ткани почек. При незначительных инфарктах субъективные жалобы отсутствуют, патология выявляется случайно по измененным данным диагностических исследований. В случае более обширных поражений симптоматика становится выраженной, однако большинство проявлений неспецифичны – боль в пояснице, гематурия, уменьшение объема выделяемой мочи.
Болезненные ощущения, возникающие сначала с двух сторон, постепенно смещаются в сторону пораженной почки – двухсторонние инфаркты встречаются крайне редко. Интенсивность болевого синдрома иногда сопоставима с почечной коликой, боль устраняется только приемом сильных наркотических анальгетиков. Степень выраженности гематурии при инфаркте почки также может сильно варьироваться – от микроскопических количеств эритроцитов в моче до ее ярко алой окраски и профузного почечного кровотечения.
Иногда наблюдается реальная почечная колика, обусловленная прохождением кровяного сгустка или кусочка некротизированной ткани по мочевыводящим путям. Проявления почечной недостаточности обычно выражены слабо, особенно при сохраненной функциональной активности второй почки. При тотальном инфаркте возможно токсическое поражение парного органа, что проявляется развитием ОПН – анурией, запахом аммиака изо рта и от кожных покровов больного.
Общие симптомы заболевания сводятся к повышению температуры тела до 38 градусов, явлениям интоксикации (тошноте, рвоте, разбитому состоянию), ознобу. В некоторых случаях из-за нарушенного кровоснабжения почки возникает стимуляция юкстагломерулярного аппарата, провоцирующая рост артериального давления. Вышеперечисленные проявления обычно сочетаются с симптомами основной патологии, которая спровоцировала ишемию и инфаркт почечной ткани. Таковыми могут быть боли в области сердца, нарушения сердечного ритма, признаки циркуляторных расстройств при пороках клапанов (цианоз, повышение давления крови в малом круге кровообращения).
Осложнения
Ранним и наиболее тяжелым осложнением инфаркта почки является развитие острой почечной недостаточности. ОПН наблюдается достаточно редко, поскольку для этого необходимо наличие ряда условий – двухсторонний характер инфаркта либо наличие у больного только одной почки. При тотальной ишемии недостаточность может возникать из-за чрезмерной нагрузки на второй орган или по причине его токсического поражения. В отдаленной перспективе из-за формирования рубцов в пораженной почке снижается ее функциональная активность, что создает предпосылки для возникновения ХПН в будущем. У ряда больных после разрешения инфаркта сохраняется стойкое увеличение артериального давления, обусловленное нарушениями кровообращения в почках.
Диагностика
Определение инфаркта почки осложняется неспецифичностью симптомов, поскольку боли в пояснице, ухудшение общего состояния, гематурия характерны и для иных нефрологических заболеваний. Во многих случаях врачу-нефрологу или урологу требуется кооперация с другими медицинскими специалистами (например, с кардиологом) для уточнения диагноза. Особую важность имеет скорость определения болезни, так как от своевременности лечебных мер зависит ее исход, а при неправильном лечении повышается риск развития осложнений. В числе диагностических мероприятий выделяют следующие группы методов:
- Опрос и общий осмотр. При опросе акцентируют внимание на субъективных симптомах и жалобах больного. Имеет значение выраженность и локализация болезненных ощущений, наличие или отсутствие расстройств мочеиспускания. В анамнезе определяют наличие сердечно-сосудистых, гематологических или иных заболеваний, способных спровоцировать ишемию тканей почки.
- Лабораторные исследования. В общем анализе мочи практически всегда определяется наличие эритроцитов – от выраженной макрогематурии до микроскопических примесей крови, часто возникает протеинурия. При биохимическом исследовании мочи специфическим признаком инфаркта является увеличение уровня лактатдегидрогеназы (ЛДГ), аналогичное повышение наблюдается и в сыворотке крови. У большинства пациентов также обнаруживается незначительный лейкоцитоз, изменяются показатели коагулограммы – последняя выполняется для оценки необходимости использования антикоагулянтов.
- Инструментальные исследования. Обычно при подозрении на инфаркт почки производят ультразвуковую допплерографию (УЗДГ почечных артерий), позволяющую оценить показатели кровотока в основных сосудах органа. Еще больше информации дает селективная контрастная почечная ангиография, по результатам которой выявляется участок ишемизированной ткани, не накапливающей контраст. Как альтернативу последнему исследованию могут назначать МСКТ или МРТ с контрастом и последующим 3Д-моделированием почечной сосудистой сети.
- Эндоскопические исследования.Цистография при данном заболевании производится с целью дифференциальной диагностики. С помощью этого метода исключается вероятность кровотечения из мочевого пузыря (наблюдаемого при опухолях, травмах), уточняется односторонний характер поражения.
Дифференциальную диагностику инфаркта почки проводят с опухолевыми поражениями мочевыводящих путей (чашечно-лоханочной системы, мочеточников, мочевого пузыря и уретры) и кровотечениями из них. Иногда проявления заболевания создают ложную клиническую картину гломерулонефрита – он исключается при подтверждении одностороннего характера процесса и наличии ишемизированного участка тканей. При помощи дополнительных исследований инфаркт почки дифференцируют с почечной коликой при мочекаменной болезни и расслоением стенки брюшной аорты.
Лечение инфаркта почки
Основные цели терапии данного заболевания изменяются в зависимости от этапа патологического процесса. На начальных этапах первоочередной задачей является восстановление адекватного кровотока в органах выделения, что позволяет минимизировать негативные последствия ишемии. В дальнейшем на первый план выступает устранение кровотечения (макрогематурии), явлений общей интоксикации и сохранение функциональности оставшейся части органа. Зачастую для этих целей используют препараты с противоположным действием (например, антикоагулянты и гемостатики), поэтому от специалиста требуется особая осторожность при их назначении. Консервативная терапия инфаркта сводится к использованию следующих лекарственных средств:
- Обезболивающие препараты. Боли могут быть очень интенсивными, в ряде случаев болевой синдром устраняется только мощными наркотическими анальгетиками – морфином, фентанилом и другими.
- Тромболитические средства. К ним относят стрептокиназу и другие препараты данной группы, цель их применения – устранение тромба в сосуде, восстановления адекватного кровотока. Медикаменты используются только на первых этапах заболевания, до развития выраженной гематурии. После начала выделения крови с мочой назначение этих средств строго запрещено.
- Гемостатические препараты. Применяются при выраженной гематурии и профузном почечном кровотечении. Основным лекарственным средством данной группы является этамзилат натрия, введение которого позволяет минимизировать кровопотерю и улучшить прогноз заболевания.
- Антикоагулянты. На любом этапе патологии рекомендуется принимать меры по нормализации работы свертывающей системы крови, с этой целью назначаются антикоагулянты прямого действия (например, гепарин). Схема, дозировки и длительность применения строго индивидуальны, определяются после изучения коагулограммы больного.
- Антиагрегантные средства. Антиагреганты (например, ацетилсалициловая кислота) редко используются в остром периоде заболевания. Их назначают через 1-2 недели после исчезновения гематурии для снижения риска рецидива и отдаленных осложнений. Дозировка и длительность курса лечения определяется с учетом функциональной активности выделительной системы.
В тяжелых случаях (например, тотальный инфаркт почки) проводят хирургическое лечение, которое на начальных стадиях болезни сводится к восстановлению проходимости магистральных артерий и почечного кровотока. При поздней диагностике и развитии некротических изменений в почке по показаниям осуществляют оперативное удаление зоны инфаркта вплоть до нефрэктомии (при наличии у больного второго здорового органа). В числе вспомогательных лечебных мероприятий используют гемодиализ (при почечной недостаточности), назначают диуретические, гипотензивные и другие средства по показаниям.
Прогноз и профилактика
Прогноз инфаркта почки определяется объемом пораженных тканей – обычно страдает относительно небольшой фрагмент органа, после рубцевания это слабо отражается на работе выделительной системы. При ишемии значительной области органа возможно развитие острой или хронической почечной недостаточности, кровотечения и прочих жизнеугрожающих состояний. Существует риск рецидива, особенно при сохранении провоцирующего фактора (эндокардитов, пороков сердца, атеросклероза магистральных сосудов).
Поскольку заболевание часто является осложнением болезней сердечно-сосудистой системы, его профилактика заключается в правильном лечении основной патологии – использовании антиагрегантных средств, антибиотиков при эндокардитах, антихолестеринемических средств в случае атеросклероза.
КТ-дифференциальный диагноз при образованиях почки.
Большинство образований почки встречаются в практике, как случайные находки, из которых часть является почечно-клеточная карцинома. Задачей диагностики является дифференцировка доброкачественного и злокачественного образования почки, хотя во многих случаях это не представляется возможным.
В данной статье рассмотрены радиологические находки характерные для доброкачественных и злокачественных образований почки.

Алгоритм анализа при выявлении образования почки:
- определить кистозное образование или нет?
- если данное образование не кистозное — определите есть ли макроскопические включения жира, что в большей степени соответствует ангиомиолипоме.
- исключить рак почки, маскирующийся под инфаркт или инфекционное поражение, у пациентов с различными клиническими проявлениями.
- исключить лимфому или метастатическое поражение почек. Метастазирование в почки (менее 1%) и поражение почек при лимфоме (0,3%) — это редкость и свидетельствует о тотальном распространении заболевания.
Вы еще много раз столкнетесь с тем, что после выполнения данного алгоритма вы не придете к окончательному диагнозу, а на первом месте дифференциального ряда — почечно-клеточная карцинома.
Затем оцените КТ и МРТ-изображения и ответьте на вопрос, что больше соответствует доброкачественному образования почки, а что злокачественному выделив из этой группы признаки низкодифференцируемой опухоли и высокодифференцируемой почечно-клеточной карциномы.

КТ
Гиперденсное образование на бесконтрасном КТ.
Образование с плотностью выше 70HU на нативном (бесконтрастном) КТ-изображении является геморрагическая киста. Геморрагические кисты также могут быть с плотностью ниже, чем 70HU, но в данном случае должен осуществлен контроль за образованиями на пост-контрастных изображениях. Если на пост-контрастных изображениях отсутствует контрастное усиление, то, следственно, подтверждается кистозное происхождение образование.
Макроскопическое включение жира в образовании почки плотностью 20HU явный признак ангиомиолипомы. Тонкие срезы лучше при исследовании плотности. К сожалению 5% ангиомиолипом макроскопический жир не содержат. КТ-картина данных ангиомиолипом неотличимо схожа с почечно-клеточной карциномой. Как ни странно, но почечно-клеточная карцинома в некоторых случаях также содержит жир. При включениях жира и кальцификатов в образование почки дифференциальный диагноз должен склонятся в сторону почечно-клеточной карциномы.
Сомнительное усиление на 10-20HU псевдо-усиление в кисте, как результат увеличения жесткости излучения. МРТ в данных случаях является отличным методом в дифференциальном диагнозе. Сомнительное усиление также характерно для папиллярной карциномы почки, для которой характерно слабое усиление и которая менее агрессивная опухоль, чем светлоклеточная карцинома.
Гомогенное усиление, а также ослабление (> 40 HU) на нативных снимках в большей степени характерны для ангиомиолипомы с малым содержанием жира, хотя почечно-клеточную карциному нельзя также исключать.
Сильное усиление визуализируется при светло-клеточной карциноме, ангиомиолипомах с малым содержанием жира и онкоцитомах. Светло-клеточная карцинома встречается чаще, чем онкоцитома и ангиомиолипома с малым содержанием жира, поэтому диагноз карциномы ставится чаще в особенности в тех случаях, когда образование гетерогенное и больших размеров.
Системный подход — солидные образования почки
Большинство образований почки встречаются в практике, как случайные находки, из которых часть является почечно-клеточная карцинома. Задачей диагностики является дифференцировка доброкачественного и злокачественного образований почки, хотя во многих случаях это не представляется возможным.
МРТ при образованиях почки
Гиперинтенсивный сигнал на Т1-взвешенных изображениях, как правило, визуализируется при геморрагических кистах или кистах с белковым содержимым, а также при ангимиолипомах, содержащие макроскопический внеклеточный жир.
Если жир внутри клетки, то на Т1-изображениях не будет гиперинтенсивного сигнала, сигнал будет снижаться на out-phase изображениях, что не характерно для ангимиолипомы, а типичнее для светлоклеточной карциномы почки.
МРТ чувствительнее , чем КТ при определении кистозного образования, а также МРТ показано для дифференциации, если на КТ выявлено псевдо-усиление.
На Т2 гипоинтенсивный сигнал характерен в большей степени для папиллярной карциномы почки и в меньшей степени для ангиолипомы с малым содержанием жира.
На Т2 гиперинтенсивный сигнал характерен для светлоклеточной карциномы, но признак не является специфичным, потому как схожие изменения и при онкоцитомах.
По данным МРТ изображений также трудно, как и по данным КТ изображений сказать однозначно о доброкачественности и злокачественности процесса.

Размер и форма образования.
Ещё один способ в оценке солидных образований почки — это оценка формы образования. Солидные образования разделяют на шарообразные и бобообразные образования .
Шарообразные образования являются наиболее распространёнными образованиями почки. Данные образование чаще обширные деформирующие контур органа. Типичные представители шарообразных образований являются онкоцитома и почечно-клеточная карцинома.
Бобовидные образования не деформируют контур почки и «встроены» в паренхиме органа.
Бобовидные образования более трудно обнаружить и обычно не визуализируются на КТ без контраста.
Обратите внимание, что существует много подводных камней в дифференциальной диагностике шарообразных и бобовидных образований.

Бобовидные образования.
Радиологические признаки образований бобовидной формы обычно не специфичны. Данное явление заметно если обратить внимание на схожесть образований, представленных на рисунке. Дифференциальный диагноз обычно строят, исходя из клинических данных и, соответственно, данных визуализации.
Инфильтрирующее почку по центру образование у пожилого пациента соответствует переходно-клеточному раку почки. Инфильтрирующее почку по центру образование у молодого пациента с серповидной перегородкой внутри больше соответствует медуллярной карциноме почки. Мультифокальные и билатеральные или диффузные образования почки в сочетании с лимфоаденопатией, а также с вовлечением в патологический процесс других органов характерны для лимфомы.
Мультифокальные и двусторонние поражения почек характерны для злокачественных образований, в частности для метастазирования. У пациентов с клиникой характерной при инфекции, конечно же, в первую очередь нужно подозревать пиелонефрит. Для инфаркта почки характерно клиновидное поражение почки.

Размер образования.
Размер опухоли является наиболее важным показателем злокачественности опухоли вместе с гистологической оценки дифференцировки образования.
Риск возникновения метастазов зависит от размера опухоли.
Если размер опухоли меньше 3 см риск метастазирования незначительна.
Большинство образований почки в размере обычно меньше, чем 4 см. Многие из данных образований низкодифференцированная почечно-клеточная карцинома, безболезненно протекающие злокачественные или доброкачественные образования.
Образования размером от 1 до 2 см, которые удалили хирургически, в 56% доброкачественные образования. 13% образований размером от 6 до 7 см только являются доброкачественные.
Почечно-клеточный рак. Светлоклеточная карцинома почки.
Почечно-клеточная карцинома является типичным шарообразным образованием. Почечно-клеточная карцинома является случайной находкой выявленная у пациентов, обратившихся с жалобами не связанными с патологии мочевыделительной системы.
Пик заболеваемости 60-70 лет. Почечно-клеточная карцинома связана с наследственными синдромами такими, как синдром Хиппель-Линдау, туберозным склерозом и Бирт-Хогг-Дубе.
Самый распространённый подтип почечно-клеточной карциномы является светло-клеточная карцинома почек, затем папиллярная и хромофобная почечно-клеточная карцинома. Медуллярная и кистозных многокамерная почечно-клеточная карцинома встречается крайне редко.

Светло-клеточная карцинома.
Светло-клеточная карцинома почек составляет 70% случаев рака почек.
Данная опухоль чаще больших размеров и прорастает из почечной коры. Светло-клеточная карцинома является гиперваскулярным образованием с неоднородным содержимым, как следствие некроза, кровоизлияний, кальцинирования или образование внутри кист. В редких случаях почечно-клеточная карцинома содержит внеклеточный жир, соответственно, образование с включением жира и кальцинатов следует рассматривать, как почечно-клеточную карциному.

Характерной особенностью светлоклеточной карциномы явлечётся значительное усиление в кортикомедуллярную фазу.
Хотя трудности бывают, когда образование небольших размеров и локализуется в почечной коре, которая также хорошо контрастируется.
Поэтому нефрографическая фаза при образованиях такой локализации и размеров является для оценки наиболее важной так, как паренхима контрастируется гомогеннее и сильнее, чем опухоль, что хорошо заметно на ниже приведённых изображениях.
На МРТ светло-клеточная карцинома визуализируется, как гипоинтенсивное образование на Т1 и гиперинтенсивное на Т2. Как правило, почечно-клеточная карцинома не имеет экстрацеллюлярного жира, что, соответственно, отличает её от ангиомиолипомы. Хотя в 80% случаях светло-клеточной карциномы есть внутриклеточный жир, что приводит к снижению сигнала на Т1 opposed-phase в сравнении с in-phase изображениями. В данных ситуациях не стоит делать вывод о том, что жир внеклеточный, который характерен в большей степени для ангиомиолипомы. Болезнь Фон-Гиппель-Линдау ассоциирована с развитием светло-клеточной карциномы почек, чаще мультифокальной и билатеральной. Пациенты со светло-клеточной карциномой имеет 5-летнюю выживаемость, что является прогнозом хуже, чем у пациентов с папиллярной и хромофобной карциномой.

Порядка 5% всех светло-клеточных карцином имеют инфильтративный характер роста. Несмотря на то, что это лишь небольшая часть от всех почечно-клеточных карцинома, нельзя забывать про них при построении дифференциального ряда бобовидных образований почки с инфильтративным типом роста. Почечно-клеточные карциномы с инфильтративным типом роста являются агрессивными и гиперваскулярными, которые изменяют внутреннюю архитектуру почек, но не наружные контуры, а изменения лоханки схожи с изменениями при переходно-клеточном раке почки.

Папиллярная почечно-клеточная карцинома
Папиллярная почечно-клеточная карцинома встречается в 10-15% случаях от всех случаев почечно-клеточных карцином. Данные образования чаще гомогенные и гиповаскулярные, поэтому схожи с кистами. В отличии от светло-клеточной карциномы при контрастировании разница плотности образования до и после контрастирования составляет всего 10-20HU. Папиллярные почечно-клеточные карциномы больших размеров могут быть гетерогенными, в следствии геморрагий, некрозов и кальцификатов.
На МРТ данные образования на Т1 дают от изо- до гипотенсивный сигнал и на Т2 гипоинтенсивный. Включения макроскопического жира встречается чаще с кальцификатами.
Образования обычно билатеральные и мультифокальные, что в свою очередь намного чаще встречается в сравнении с другими почечно-клеточными карциномами. 5-летняя выживаемость составляет 80-90%.

Хромофобная почечно-клеточная карцинома
5% от почечно-клеточных карцином типа хромофобная ПКК.
Это твердое, резко ограниченное и иногда с дольчатым строением образование.
Данное образование имеют схожее строение с онкоцитомой так, как в центре визуализируется перегородка или паттерн с радиальным строением, поэтому её невозможно отличить от онкоцитомы при визуализации, хотя и при гистологии тоже сложно.
При контрастировании хромофобная почечно-клеточная карцинома чаще однородная и менее интенсивная, чем светло-клеточная почечная карцинома при контрастировании.
Прогноз хромофобной ПКК схожий с прогнозом папиллярной ПКК и равен 5-летней выживаемости в 80-90% случаях.

Синдром Бёрта — Хога — Дьюба (англ. Birt–Hogg–Dubé syndrome) — редко встречающееся аутосомно-доминантное генетическое заболевание, обусловленное мутацией в гене FLCN и проявляющееся развитием доброкачественных опухолей волосяного фолликула (фиброфолликулом), кистами в лёгких и повышенным риском возникновения рака почки (хромофобная почечной карциномы) и рака толстого кишечника.

Стадирование почечно-клеточной карциномы.
Почечно-клеточная карцинома может распространяться на почечную фасцию и надпочечники, в почечную вену, полую вену.
Для хирурга при планировании операции важно знать, если тромб в нижней полой вене. Это важно в ситуациях, когда тромб поднялся выше диафрагмы, тогда необходимо планирование манипуляций вместе с торакальным хирургом.
Читайте также:
- Лучевая диагностика рака желудка
- Поражение глаз при синдроме Klippel-Trenaunay-Weber
- Глотание. Акт глотания. Фазы глотания. Пищевой комок.
- Клиника и проявления крымской лихорадки. Лечение крымской геморрагической лихорадки
- Кровоснабжение тонкой кишки. Верхняя брыжеечная артерия. Топография верхней брыжеечной артерии. Аркады кишки.
