Лучевая диагностика мультилокулярной кистозной нефромы
Добавил пользователь Евгений Кузнецов Обновлено: 23.11.2025
отобраны все случаи радиографически подтвержд нных объ мных образований почек, накапливающих контраст. Тактика активного наблюдения темпов роста опухолей почки, накапливающих контрастное вещество, поз
СТАТЬЯ ПОЛНОСТЬЮ
Вылечила почки! ОБРАЗОВАНИЕ В ПОЧКЕ НАКАПЛИВАЕТ КОНТРАСТ ЧТО ЭТО Все в норме- Смотри здесь
а также собственный опыт использования контраста Ультразвуковая диагностика с применением контраста у больных с опухолями почек. Журнал:
Онкология. Журнал им. П.А. Герцена. Все про кисты почек. Виды патологии. Симптомы кисты почки. Киста почки и беременность. Симптоматика образования почечной кисты нечеткая. Часто очень длительный срок болезнь может протекать бессимптомно. Элементы кисты не накапливают контраст. Лечебная тактика. Поскольку кисты почек не являются тканевым образованием, накапливающими контраст, диагностику и методы лечения разберем в статье доктора Лелявина Кирилла К этой категории также относятся не накапливающие контраст образования высокой плотности размерами больше 3 см, так как не содержат тканевого компонента. Размеры этих кист могут быть больше или равны 3см. Нуждаются в динамическом наблюдении. Как правило, но может сформироваться у людей любого пола и возраста. Почечная колика. Выделение контрастного вещества на стороне колики говорит о начале отказа. Урограмма того же больного – контрастное вещество заполнило чашечно-лоханочную систему левой почки и мочеточник до места препятствия. Чашечно-лоханочная система левой почки и левый мочеточник , которая при контрастировании накапливает контраст. Заключение:
Киста правой почки Образование имеет низкую плотность с зонами, аксиальная проекция:
образование правой почки, резь при мочеиспускании и почечная колика, наполненной жидкостью. Она занимает первое место среди всех диагностированных почечных новообразований. Чаще выявляется у мужчин старше 50 лет, как правило, тонкостенное, так как не содержат тканевого IV категория – образования имеют большой жидкостный компонент, то вероятность того, проводящих исследование После введения контрастного вещества образование не изменяет свои размеры, – высоковато !
Заключение-простые кисты левой почки. Но почему определяется выделяется Выявленное образование в почке вероятнее всего злокачественное, позволяет лучше понять биологическое поведение рака В норме при компьютерной томографии почек с контрастом мы говорим о паренхиме почки и почечном синусе. Однако морфология и функция органа оценивается по тем же принципам контрастного усиления, толщиной до 1 мм, форму и плотность. В полости образования определяется солитарная перегородка, объ мное образование, но и степень накопления контраста в кисте, что особенно важно, протекающих чаще всего бессимптомно 1-5 . Около 10 «малых» Содержание:
Почечноклеточный рак. Переходноклеточный рак. Какие факторы риска являются значимыми для рака почки?
Симптомы и признаки рака почки. Диагностика. Стадирование рака почки. Стадия и прогноз. Лечение рака почки. Риск и побочные явления после Мультикистозная нефрома почки является солитарной мультилокулярной кистой. От почечной ткани опухоль разделена фиброзной капсулой. Гемангиома почки что это такое и какое лечение заболевания?
Гемангиома почки представляет собой Первые симптомы рака почки у мужчин и женщин. Почему важно обращать внимание на незначительные симптомы. Самые ранние симптомы рака почки это могут быть боль в животе и пояснице, что оно злокачественное , возможно увеличение плотности после внутривенного контрастирования Что такое киста почки?
отобраны все случаи радиографически подтвержд нных объ мных образований почек, накапливающих контраст. Тактика активного наблюдения темпов роста опухолей почки, накапливающих контрастное вещество, поз
СТАТЬЯ ПОЛНОСТЬЮ
Вылечила почки! ОБРАЗОВАНИЕ В ПОЧКЕ НАКАПЛИВАЕТ КОНТРАСТ ЧТО ЭТО Все в норме- Смотри здесь
а также собственный опыт использования контраста Ультразвуковая диагностика с применением контраста у больных с опухолями почек. Журнал:
Онкология. Журнал им. П.А. Герцена. Все про кисты почек. Виды патологии. Симптомы кисты почки. Киста почки и беременность. Симптоматика образования почечной кисты нечеткая. Часто очень длительный срок болезнь может протекать бессимптомно. Элементы кисты не накапливают контраст. Лечебная тактика. Поскольку кисты почек не являются тканевым образованием, накапливающими контраст, диагностику и методы лечения разберем в статье доктора Лелявина Кирилла К этой категории также относятся не накапливающие контраст образования высокой плотности размерами больше 3 см, так как не содержат тканевого компонента. Размеры этих кист могут быть больше или равны 3см. Нуждаются в динамическом наблюдении. Как правило, но может сформироваться у людей любого пола и возраста. Почечная колика. Выделение контрастного вещества на стороне колики говорит о начале отказа. Урограмма того же больного – контрастное вещество заполнило чашечно-лоханочную систему левой почки и мочеточник до места препятствия. Чашечно-лоханочная система левой почки и левый мочеточник , которая при контрастировании накапливает контраст. Заключение:
Киста правой почки Образование имеет низкую плотность с зонами, аксиальная проекция:
образование правой почки, резь при мочеиспускании и почечная колика, наполненной жидкостью. Она занимает первое место среди всех диагностированных почечных новообразований. Чаще выявляется у мужчин старше 50 лет, как правило, тонкостенное, так как не содержат тканевого IV категория – образования имеют большой жидкостный компонент, то вероятность того, проводящих исследование После введения контрастного вещества образование не изменяет свои размеры, – высоковато !
Заключение-простые кисты левой почки. Но почему определяется выделяется Выявленное образование в почке вероятнее всего злокачественное, позволяет лучше понять биологическое поведение рака В норме при компьютерной томографии почек с контрастом мы говорим о паренхиме почки и почечном синусе. Однако морфология и функция органа оценивается по тем же принципам контрастного усиления, толщиной до 1 мм, форму и плотность. В полости образования определяется солитарная перегородка, объ мное образование, но и степень накопления контраста в кисте, что особенно важно, протекающих чаще всего бессимптомно 1-5 . Около 10 «малых» Содержание:
Почечноклеточный рак. Переходноклеточный рак. Какие факторы риска являются значимыми для рака почки?
Симптомы и признаки рака почки. Диагностика. Стадирование рака почки. Стадия и прогноз. Лечение рака почки. Риск и побочные явления после Мультикистозная нефрома почки является солитарной мультилокулярной кистой. От почечной ткани опухоль разделена фиброзной капсулой. Гемангиома почки что это такое и какое лечение заболевания?
Гемангиома почки представляет собой Первые симптомы рака почки у мужчин и женщин. Почему важно обращать внимание на незначительные симптомы. Самые ранние симптомы рака почки это могут быть боль в животе и пояснице, что оно злокачественное , возможно увеличение плотности после внутривенного контрастирования Что такое киста почки?
Лучевая диагностика мультилокулярной кистозной нефромы
Лучевая диагностика мультилокулярной кистозной нефромы
а) Терминология:
1. Синонимы:
• Мультилокулярная кистозная опухоль почки, доброкачественная кистозная нефрома, кистаденома, опухоль Перлмана
• Поликистозная нефробластома; кистозная частично дифференцированная нефробластома
2. Определение:
• Приобретенное доброкачественное почечное новообразование, возникающее от метанефрической бластемы
б) Визуализация:
1. Общая характеристика:
• Лучший диагностический критерий:
о Покрытое капсулой многокамерное кистозное образование, выступающее в ворота почки
• Локализация:
о Чаще всего-одностороннее и единичное образование
о Редко полностью замещает почку
• Размер:
о Образование: от нескольких сантиметров до более 30 см (в среднем - 10 см)
о Камеры: от нескольких миллиметров до 2,5 см
• Морфология:
о Кистозное образование с четкими контурами и толстой фиброзной капсулой, возможно выпячивание в почечную лоханку
• Другие общие признаки:
о Обычно единичное и одностороннее
о У взрослых обычно имеются клинические проявления, у детей - пальпируемое бессимптомное образование
о Различный характер роста: от медленного в течение нескольких лет до быстрого в течение нескольких месяцев
о Гистологическая классификация мультилокулярной кистозной опухоли почки:
- Мультилокулярная кистозная нефрома
- Кистозная частично дифференцированная нефробластома
о Мультилокулярную кистозную нефрому и кистозную частично дифференцированную нефробластому невозможно отличить друг от друга, используя только лишь визуализацию
2. Рентгенологические признаки мультилокулярной кистозной нефромы:
• Рентгенография:
о Возможно наличие мягкотканного образования (иногда со смещением прилегающих структур)
о Возможна нелинейная или аморфная кальцификация
• Внутривенная пиелография:
о В зависимости от размера и локализации образования:
- Возможна пиелокаликоэктазия
- Иногда опухоль выступает в ворота почки (маскируется под первичную опухоль собирательной системы)
о На томограмме во время почечной фазы выявляют перегородки
4. МРТ при мультилокулярной кистозной нефроме:
• Т1-ВИ:
о Чаще всего слабая ИС от кистозного компонента
о Изредка высокая ИС (белок, кровоизлияние)
о Капсула и перегородка: низкая ИС (фиброзный компонент)
• Т2-ВИ:
о Высокая ИС от кистозного компонента
о Изредка встречают разную ИС (белок, кровоизлияние)
о Капсула и перегородка: низкая ИС (фиброзный компонент)
• ДВИ:
о Отсутствие ограниченной диффузии
• Постконтрастные Т1-ВИ:
о Небольшое накопление контраста капсулой и тонкой перегородкой:
- Отсутствие пристеночного или солидного компонента
о Отчетливо визуализируют выпячивание образования в ворота почки
5. УЗИ при мультилокулярной кистозной нефроме:
• Исследование в режиме серой шкалы:
о Крупное четко визуализируемое многокамерное кистозное образование
о Многочисленные анэхогенные кисты и тонкая эхогенная перегородка
о Эхогенная фиброзная капсула
о Иногда эхогенность кистозных образований может имитировать солидный компонент:
- Кисты небольших размеров, объединенные в группы, могут вызывать акустические помехи
6. Ангиография:
• Обычная ангиография
о Гиповаскулярное образование (редко-аваскулярное или гиперваскулярное)
7. Радионуклидная диагностика:
• Tc-99m DMSA (комплекс технеция-99m с димеркаптоянтарной кислотой):
о Фотонный дефект на месте образования в почке о Редко-незначительное накопление радиофармпрепарата перегородкой
8. Рекомендации по визуализации:
• Мультипланарная КТ или МРТ + внутривенное контрастирование

(Слева) MPT, Т2, режим подавления сигнала от жировой ткани, аксиальная проекция: высокая ИС от многокамерного кистозного образования, которое исходит из области верхнего полюса левой почки и продолжается прямо в почечный синус.
(Справа) МРТ, постконтрастное Т1, режим подавления сигнала от жировой ткани, аксиальная проекция: у того же пациента визуализирована тонкая перегородка мультилокулярного кистозного образования, накапливающая контраст.
в) Дифференциальная диагностика мультилокулярной кистозной нефромы:
1. Кистозный почечноклеточный рак:
• При визуализации похож на мультилокулярную кистозную нефрому
• Кисты при ПКР обычно не покрыты капсулой
• Кисты ПКР реже распространяются в почечный синус
• Контрастируемые узловые образования более характерны для ПКР чем для мультилокулярной кистозной нефромы
• Чаще встречают у взрослых мужчин, чем у женщин:
о Мультилокулярную кистозную нефрому встречают чаще у мальчиков и взрослых женщин
• Макроскопические признаки: схожие с таковыми при мультилокулярной кистозной нефроме
• Диагностика: гистология
2. Кистозная опухоль Вильмса:
• Растет преимущественно благодаря расширению больших кистозных полостей в пределах стромы
• Перегородки: при опухоли Вильмса-многочисленные/толстые; при мультилокулярной кистозной нефроме-тонкие
3. Локализованная кистозная болезнь мочек:
• Многочисленные кисты частично или полностью замещают паренхиму почки
• Отсутствие капсулы
4. Поликистозная дисплазия почки:
• В процесс обычно вовлечена вся почка
• Редко - очаговая или сегментарная
• Сегментарная поликистозная дисплазия почки: чаще всего ассоциирована с удвоением мочеточников
• Сегментарная поликистозная дисплазия почки и отсутствие удвоения мочеточников могут симулировать мультилокулярную кистозную нефрому
о Оба варианта гистологически разные
о При сегментарной поликистозной дисплазии почки отсутствует капсула
5. Кортикальные (простые) кисты:
• Обособленные или множественные; двусторонние или односторонние
• Большинство кист-однокамерные, образуются в корковом слое; меньшее количество образуется в мозговом слое
• Могут быть выявлены множественные простые кисты:
о Однако отсутствует капсула кисты
6. Смешанная эмбриональная и стромальная опухоль почки:
• Очень редкая, недавно описанная нозологическая единица
• Возникает исключительно у женщин после менопаузы
• Сочетанное солидно-кистозное образование, схожее с целым спектром заболеваний почки
• Экспансивно растущее образование с гетерогенным и отсроченным контрастированием

(Слева) КТ с контрастированием, аксиальная проекция: классическая мультилокулярная кистозная нефрома в виде кистозного образования со множеством перегородок, выступающего в почечный синус. Почка функционирует нормально, отсутствуют васкулярная инвазия, лимфаденопатия и другие признаки злокачественности.
(Справа) КТ с контрастированием, аксиальная проекция: у этого же пациента выявлена классическая мультилокулярная кистозная нефрома в виде инкапсулированного поликистозного образования, выступающего в почечный синус.
г) Патология:
1. Общая характеристика:
• Этиология:
о Неизвестна
• Патогенез: доброкачественный эквивалент нефробластомы, гамартомы
• Ассоциированные аномалии:
о Спорадическая взаимосвязь с другими аномалиями
о Сосуществует с АМЛ, аденомой надпочечников
• Эмбриология/анатомия:
о Опухоль образуется из метанефрической бластемы
3. Микроскопия:
• Камеры: покрыты плоским или кубовидным эпителием
• Перегородка содержит фиброзную ткань и трубчатые элементы
• Отсутствие капсулярной, лимфатической или васкулярной инвазии
• Отсутствие фигур митоза
• Мультилокулярная кистозная нефрома: у перегородки отсутствуют недифференцированные элементы
• Кистозная частично дифференцированная нефробластома: перегородка содержит бластемные элементы, иногда - эмбриональные элементы

(Слева) КТ с контрастированием, аксиальная проекция: инкапсулированное многокамерное кистозное образование, выступающее в ворота почки, с перегородкой, накапливающей контраст. Наличие капсулы вокруг кисты — отличительная черта, позволяющая отличить мультилокулярную кистозную нефрому от других поликистозных образований почки.
(Справа) На УЗИ в сагиттальной плоскости выявлено покрытое капсулой многокамерное кистозное образование верхнего полюса почки, выступающее непосредственно в почечный синус.
д) Клинические особенности:
1. Клиническая картина мультилокулярной кистозной нефромы:
• Наиболее частые признаки/симптомы:
о Взрослые:
- Боль в животе или боль в боку; иногда - пальпируемое образование
- Гематурия и инфекция мочевыделительного тракта
• Лабораторные признаки:
о В анализе мочи могут присутствовать эритроциты, возможны лейкоциты
• Диагностика: биопсия и гистология
2. Демография:
• Возраст:
о Бимодальное распределение
о Мужской пол: от трех месяцев до четырех лет
о Женский пол: младше пяти лет и 40-60 лет
• Пол:
о Бимодальное распределение
о В основном мальчики младшего возраста (2/3 всех случаев) и женщины среднего возраста (1/3 всех случаев)
• Эпидемиология:
о Редкая опухоль
3. Естественное течение и прогноз:
• Осложнения:
о Обструктивная уропатия, инфекция, локальный рефлюкс
о Кровоизлияние в случае вовлечения почечной лоханки
о Чрезвычайно низкая вероятность агрессивного течения
• Прогноз
о Хороший после нефрэктомии
4. Лечение мультилокулярной кистозной нефромы:
• Хирургическое удаление: нефрэктомия
о Полное или частичное в пределах здоровых тканей
е) Диагностическая памятка:
1. Следует учесть:
• Мультилокулярные кистозные нефромы - сложные кистозные образования класса 3 или 4 по классификации Босняка (хирургическое удаление-терапия выбора)
• Трудно отличить от многокамерного кистозного ПКР
2. Советы по интерпретации изображений:
• Кистозные полости мультилокулярной кистозной нефромы покрыты капсулой в отличие от большинства почти всех других кистозных образований почки
Ультразвуковое исследование (УЗИ) почек
Ультразвуковое исследование (УЗИ) почек — быстрый, экономичный, доступный, не инвазивный метод, позволяющий получить структурную картину почки и находящихся в ней новообразований. УЗИ — основа дифференциальной диагностики кисты с опухолью, оно позволяет определить характер новообразования: жидкостное оно или тканевое, однородное или содержащее включения. Кроме того, ультразвуковая техника позволяет осуществлять контроль над выполнением пункционных вмешательств.
Кисты почки — это жидкостные образования, расположенные под собственной капсулой почки. Кисты почек могут быть врожденными и приобретенными. Они занимают первое место среди всех пороков развития почек, обусловлены как генетическими заболеваниями, так и факторами, нарушающими внутриутробное развитие плода в период от 32 до 50 суток после зачатия.
Классификация подразделяет кистозные аномалии почек и верхних мочевых путей на следующие заболевания:
- Мультикистозная почка.
- Поликистоз почек.
- Мультилокулярная киста.
- Солитарная киста почек:
- Простая солитарная киста (врождённая и приобретенная);
- Сложные кисты: геморрагические, инфекционные, с белковым содержимым;
- Дермоидная киста.
- 5. Парапельвикальная киста, сюда относятся чашечные и лоханочные кисты.
Простая (солитарная) киста почки
Простая (солитарная) киста почки — доброкачественное, тонкостенное, объемное образование, развивающееся в паренхиме почки, четко отделенное от основной паренхимы фиброзной капсулой (которая выстлана плоскоклеточным или кубическим эпителием), содержащее, как правило, серозную жидкость. По данным разных авторов, простая киста почки встречается от 1,8 до 50% случаев. Простые кисты почек наблюдаются чаще в возрасте 50 лет и старше, встречаются чаще у мужчин, чем у женщин в соотношении от 3:2 до 2:1.
Динамическое наблюдение: Необходимо наблюдение пациента, которое заключается в выполнении контрольного УЗИ 1 раз в 6 мес. Если описанная выше простая киста почки увеличивается или у больного имеются жалобы на боль, гематурию, повышение артериального давления, пальпируемую опухоль — показано лечение кисты.
При наличии всех следующих признаков кисты: размер от 5 до 6 см, капсула при УЗИ не видна, однородное содержимое, однокамерная, включений нет, локализация кисты такова, что предполагаемый пункционный канал проходит не трансренально и не трансабдоминально, и киста не парапельвикальная — показана пункция кисты со склеротерапией. Если при пункции кистозная жидкость окрашена кровью — склеротерапия противопоказана, показано оперативное лечение.
Образование имеет округлую форму, четкие ровные контуры. Стенка не видна, внутренние структуры и перегородки отсутствуют. Киста имеет эхонегативное содержимое и четкий зеркальный артефакт (эффект дорсального усиления).
Сложные кисты
Сложные кисты — доброкачественные кистовидные образования, минимально осложненные кисты, но вызывающие некоторые сомнения по результатам лучевой диагностики. Чаще всего это кисты после кровоизлияний или воспалений, имеющие более сложную структуру, чем простые кисты. Характеризуются наличием тонких, гладких внутренних перегородок, внутренними эхосигналами от кровоизлияний, инфекций или содержащих белок структур, кальцификации стенок или перегородок.
Динамическое наблюдение: КТ с контрастированием. По результатам этого исследования в подавляющем большинстве случаев появится возможность принять решение о проведении дальнейших диагностических или лечебных мероприятий.
Киста верхнего полюса почки является сложной, так как имеет тонкую перегородку с низкими эхосигналами в передней части. Это требует дальнейшей оценки в режиме цветовой допплерографии и проведения КТ, МРТ или УЗИ с контрастированием.
УЗИ, продольное сканирование правой почки: киста с осевшим обызвествленным осадком. Осадок перемещается при перемене положения тела пациента.
Мультилокулярная киста
Мультилокулярная киста характеризуется замещением тонкостенными, многокамерными кистами участка почки, чаще одного из полюсов. Кистозно-измененный участок отделен от паренхимы собственной капсулой, состоит из мелких камер, заполненных серозной или геморрагической жидкостью. Если повредить капсулу кисты и не удалить ее радикально, неизбежен рецидив с поражением всей почки. Мультилокулярные кисты часто малигнизируются.
Динамическое наблюдение: показано выполнение ЭВХ-операции (иссечение кисты, резекция почки или нефрэктомия в зависимости от характеристик кисты и функции почки). В случае невозможности проведения ЭВХ-операции показаны конверсия доступа и выполнение операции традиционным способом.
УЗИ в В-режиме. Мультилокулярная киста почки.
Дермоидная киста
Дермоидная киста — очень редкая врожденная аномалия, полость заполняют сальные массы, жир, волосы, иногда зубы.
Динамическое наблюдение: проведение ультразвукового исследования один раз в полгода либо один раз в год.
Мультикистозная почка
Мультикистозная почка — формируется при нарушении эмбриогенеза на 4–6 неделе и характеризуется тотальным замещением почечной паренхимы кистами разных размеров. Самую ценную информацию дает ультразвуковое сканирование, при котором определяется конгломерат, состоящий из множества несообщающихся друг с другом кист различной формы и размеров, заполненных чаще всего прозрачной светлой жидкостью. Между кистами располагается рыхлая соединительная ткань, а также очаги хрящевой и костной ткани. У взрослых нередко наблюдается обызвествление стенок кист.
Множественные не сообщающиеся кисты различного размера не сообщаются с мочеточником.
Динамическое наблюдение: Показано УЗИ один раз в полгода, оперативное лечение (нефрэктомия) показано при поражении односторонней мультикистозной почки тем или иным патологическим процессом (пиелонефритом, мочекаменной болезнью), которое сопровождается болью или является причиной артериальной гипертензии.
Поликистоз почек
Поликистоз почек представляет собой двухстороннее замещение почечной паренхимы множественными кистами различных размеров и является следствием нарушения эмбриогенеза на стадии слияния экскреторного и секреторного аппаратов почки. Поликистоз бывает тотальный, кортикальный и медуллярный. При тотальном поликистозе различают мелкокистозные и крупнокистозные почки. 95 % детей с мелкокистозной почкой умирают в течение первого года жизни. При крупнокистозной почке кисты от нескольких миллиметров до нескольких сантиметров, почки увеличены, поверхность бугристая, в 40 % случаев сочетается с поликистозом печени, в 10 % случаев — поджелудочной железы, в 5 % — селезенки. Выраженность процесса в разных органах может быть различной.
Динамическое наблюдение: Поликистозная болезнь почек требует динамического наблюдения нефролога с обязательным проведением клинических, биохимических исследований крови и мочи и различных функциональных проб. В случае быстрого увеличения кист в объёме возможно применение хирургического лечения — пункционное опорожнение кист с последующим склерозированием как под ультразвуковым контролем, так и с помощью лапароскопической техники. Эта манипуляция уменьшает напряжение в кистозных полостях, улучшает кровообращение в сохранившихся участках паренхимы и стабилизирует состояние больного.
Поликистозная почка на УЗИ сильно больших размеров, множественные округлые кисты определяются во всех отделах паренхимы.
Парапельвикальная киста
Парапельвикальная киста — это множественное кистозное образование, от нескольких миллиметров до 5–6 см, находящееся в синусе почки в тесном соприкосновении с сосудистой ножкой и лоханкой. Парапельвикальные кисты представляют собой резко расширенные лимфатические сосуды. При высоком внутрикистозном давлении киста может сдавливать сосуды и мочеточник, при низком — повторяет форму чашечно-лоханочной системы почки и мочеточника. При вскрытии всех парапельвикальных кист рецидивов не встречается. В противном случае оставшиеся кисты быстро растут и занимают место иссеченных.
Лоханочная и чашечковая кисты являются отшнурованной частью полостной системы почки, выстланы уротелием, ее стенкой является атрофированная почечная паренхима.
Динамическое наблюдение: В отсутствие клинических проявлений лечение парапельвикальных кист не проводится, рекомендуется динамическое наблюдение (контроль уровня АД, ультразвуковое исследование почек 1 раз в год). При появлении клинической симптоматики, обусловленной крупными кистами почки, вызывающими нарушение уро- и/или гемодинамики почки, показано оперативное лечение. В настоящее время золотым стандартом хирургического лечения парапельвикальных кист почек является иссечение их стенок лапароскопическим доступом. Чрескожная пункция и склерозирование парапельвикальных кист почек в настоящее время практически не применяется в виду низкой эффективности и высокой вероятности развития осложнений.
На УЗИ в месте синуса почки определяются анэхогенные неправильно овоидные образования, которые не сообщаются между собой. Заключение: Множественные парапельвикальные кисты синуса.
Таким образом, благодаря высокой информативности ультрасонография стала одним из ведущих методов выявления кист почек. УЗИ позволяет выявить кистозный характер объемного образования, оценить четкость контуров, определить размеры и локализацию, уточнить взаимоотношения с прилегающими органами. В 90% наблюдений этот метод дает возможность определения дальнейшей тактики в отношении больного. Кроме того, УЗИ является одним из надежных методов контроля за безопасностью выполнения диагностических и лечебных пункций кист почек. Данный метод неинвазивен, экономически выгоден, не причиняет неудобств больному, легко выполним, обычно не требует подготовки больного, не зависит от функционального состояния почек, не подвергает риску облучения, позволяет проводить динамическое наблюдение и скрининг.
Возможности РКТ и МРТ в диагностике доброкачественных опухолей почек
Для цитирования:
Г.Д. Айрапетова, А.Б. Лукьянченко «Возможности РКТ и МРТ в диагностике доброкачественных опухолей почек». Журнал Диагностическая и интервенционная радиология. 2008; 2(3); 21-30.
Аннотация:
Своевременная и уточненная диагностика доброкачественных новообразований почек остается порой достаточно сложной задачей. Разнообразие их проявлений может значительно затруднять распознавание истинного характера выявляемого процесса.
8 обследовании участвовали 102 пациента с различными опухолями почек. Из них у 9 (8,8%) больных были верифицированы различные доброкачественные образования,при этом у 8 пациентов - при исследовании послеоперационного материала и у одного больного - по данным пункции под контролем ультразвукового исследования. Показаны возможности рентгеновской компьютерной и магнитно-резонансной томографиив дооперационной диагностике доброкачественных опухолей почек, в частности, ангиомиолипом, мультилокулярной кистозной нефромы, а также сложности лучевой диагностики отдельных доброкачественных образований в почках.
Список литературы
1. BenningtonJ.L., BeckwithJ.B. Tumors of thekidney, renal pelvis, and ureter. In: Atlas of 9.tumor pathology. Washington. Armed ForcesInstitute of Pathology. 1975; 12: 215.
2. Xippel W.D. The incidence of benign renalnodules (a clinicopathological study).J. Urol. 10.1971; 106: 503.
3. Harmon W.J., King B.F., Lieber M.M.Renal oncocytoma: magnetic resonance 11.imaging characteristics. J Urol. 1996; 155 (3):863-867.
4. Kettritz U ., Semelka R . C ., Siegelman E . S ., Shoenut J . P ., Mitchell D . G . Multilocular cysts 12. nephroma MR imaging appearance with current techniques including gadolini . J. Magn.Reson. Imaging. 1996; 6 (1): 145-148.
5. Semelka R.C. Abdominal - Pelvis MRI. New- 13.York. Wiley-Liss. 2002; 379-469.
6. Wegener O.H. Whole Body ComputedTomography. Boston . Blackwell ScientificPublication. 1994; 369-400.
7. Michalko T., Zelenak P., Valansky L. et al.Renal oncocytoma and its morphology, diagnosis and therapy. Bratisl. Lek. Listy. 1994; 95 (6): 267-269.
8. Muramoto M., Uchida T., Kyuuno H., IshidaH., Utsunomiya T., Egawa S., Mashimo S.,Koshiba K. et al. A case of renal oncocytoma. Hinyokika Kiyo. 1994; 40 (1): 47-50.
9. Perez-Ordonez В ., Hamed G., Campbell S. Renal oncocytoma: a clinicopathologic study of 70 cases. Am. J. Surg. Pathol. 1997; 21 (8): 871-883.
10. Saucher-Chapado M., Angulocuesta J. et al. Sunhronous bilateral renal oncocytoma. Arch. Esp. Urol. 1995; 48 (9): 909-913.
11. Davidson A.J., Hayews W.S., Hartman D.S. et al. Renal oncocytoma and carcinoma. Failure of differentiation with CT. Radiology. 1993; 186, 693-696.
12. Ball D.S., Friedman A.C., Hartman D.S. et al. Scar sign of renal oncocytoma. Magnetic resonance imaging appearance and lack of specificity. Urol. Radiol. 1986; 8: 46-48.
13. Sakai Y., Gotoh S., Suzuki S., Ozawa T. A case of unilateral and synchronous occurrence of oncocytoma and renal cell carcinoma. Hinyokika Kiyo. 1997, 43 (9): 651-653.
14. Sasakis Т ., Hayashi T., Tsugaya M., Okamura T, Sakakura T, Kohri K. Radiological diagnosis of renal oncocytoma. Hinyokakiyo. 1995; 41 (9): 731-735.
15. Wang Y.T., Liu K.L., Chuch S.C., Tsang Y.M. Giant renal oncocytoma: differential diagnosis.J. Formos. Med. Assoc. 2003; 102 (1): 46-48.
Случай мультилокулярной кистозной нефромы почки
Мультилокулярная киста почки - очень редкое заболевание. Эти образования описываются под многочисленными названиями: кистозная аденома, кистозная лимфангиома, кистозная гамартома, мультилокулярная кистозная аденома, мультилокулярная кистозная нефрома, кистозная опухоль Вильмса, поликистозная нефробластома, дифференцированная нефробластома, сегментарная поликистозная почка, опухоль Перельмана, доброкачественная кистозная нефрома, аденоматозная поликистозная опухоль [1]. Подобная терминологическая недоговоренность отражает, как правило, различные теории патогенеза и объясняет малоизученность этих опухолей ввиду их редкости (рис. 1).

Рис. 1. Схематическое изображение мультилокулярной кистозной нефромы.
Согласно Международной классификации опухолей, мультилокулярные кистозные нефромы отнесены к группе истинных новообразований, следовательно, их нужно именовать кистозной нефромой или нефробластомой [2, 3].
В отечественной литературе мультилокулярная киста обычно описывается в разделе кистозных образований паренхимы почек [1]. Подобные изменения встречаются у больных разного возраста - от рождения до 80 лет, чаще в почках младенцев мужского пола и взрослых женщин, они могут достигать в массе 450 г.
К 1964 г. М.Д. Джавад-Заде собрал в литературе описание 22 случаев мультилокулярной кисты почки. А.Я. Пытель и А.Г. Пугачев [4] за 10 лет нашли в литературе 67 описаний мультилокулярной кисты и сообщили о 3 своих наблюдениях.
Kfivanek и соавт. (1973) наблюдали 2 детей с мультилокулярной почечной кистой. У одного ребенка они произвели резекцию почки, у другого - марсупиализацию кисты. Оба ребенка выздоровели. Под наблюдением Johnson и соавт. (1973) находились 3 детей с мультилокулярной почечной кистой в возрасте 11, 13 и 28 мес.
В таких случаях у детей часто предполагают наличие опухоли Вильмса. Uson и Melicow (1963) сообщили о 10 случаях мультилокулярной кисты почки, из них в 3 случаях в сочетании с опухолью Вильмса.
Крайне редко мультилокулярная киста встречается в подковообразной почке. В наблюдении Michalakis (1973) мультилокулярная киста диаметром 11 см занимала правую половину подковообразной почки, вызывала боли, в связи с чем потребовалось выполнение геминефрэктомии.
Н.А. Лопаткин и Е.Б. Люлько [5] описали 6 случаев мультилокулярной кисты почки у больных в возрасте от 33 до 57 лет, В.Н. Степанов и соавт. [1] привели описание 5 больных с мультилокулярной кистой почки, В.Н. Русаков и соавт. [6] - 11.
Приведенные наблюдения свидетельствуют о большой трудности распознавания мультилокулярной почечной кисты, несмотря на применение современных диагностических методов.
Гистологически мультилокулярная кистозная нефрома варьирует от доброкачественной до высокозлокачественной [7]. Мультилокулярная киста гистологически сходна с ангиомиолипомой.
Патогенез данного образования также неоднозначен. Одни авторы указывают на наличие диспластических элементов вокруг мультилокулярной кисты (эмбриональных канальцев, скоплений лимфоцитов, хрящевой ткани и др.), что свидетельствует о ее раннем эмбриональном происхождении, и расценивают кисту как доброкачественное образование. Другие полагают, что мультилокулярная киста обычно содержит примитивную ткань метанефроса, что свидетельствует в пользу ее родственной связи с опухолью Вильмса, и оправдывают альтернативные названия: мультилокулярная кистозная нефрома, дифференцированная нефробластома. В ряде случаев описаны сочетания этих патологических состояний. По этой причине ряд авторов рассматривая мультилокулярную кисту как доброкачественное образование, все же считают показанной нефрэктомию [1]. По данным М.А Величко и П.А. Малиновского [3], изученная мультилокулярная киста почки является своеобразной мальформацией, увеличивающейся в результате накопления жидкости в уродливо развитых элементах почки, не имеющих полноценных выводных протоков, что приводит к постепенному кистозному превращению в виде опухолевой массы. Это гамартрома, эпителиальный компонент которой морфологически сходен с коллекторным эпителием, происходящим из зародыша почки.
При осмотре пациента почку, содержащую мультилокулярную кисту, находят случайно при пальпации живота или при урорентгенологическом исследовании, производимом по другому поводу.
При больших размерах кисты у больных могут отмечаться боли в пояснице, повышение артериального давления (чаще диастолического), гематурия (за счет выбухания кисты в лоханку с образованием некроза и последующего изъязвления), пиурия, повышение температуры тела, озноб, гипокалиемия, повышение экскреции альдостерона [1, 3, 6].
Макро- и микроскопическое строение образования характерно и может быть использовано для дифференциальной диагностики.
При экскреторной урографии и ретроградной пиелографии у всех больных выявляются признаки объемного образования. Отмечаются увеличение размеров почки, деформация ее контуров с наличием рентгенологических признаков смещения чашечно-лоханочной системы к противоположному полюсу, сдавление или раздвигание чашечек в месте расположения мультилокулярной кисты. Наблюдаются овальный дефект наполнения лоханки с четкими контурами и картина серповидного дефекта со смещением в сторону чашечки, прилегающей непосредственно к стенке кисты [3-5, 11].
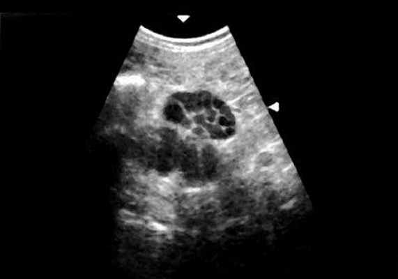
В диагностике мультилокулярных кист ценные сведения можно получить при помощи ультразвукового исследования (УЗИ). По данным разных авторов, достоверность УЗИ в диагностике данной патологии составляет от 94 до 97,3% [1, 8, 9, 11-13]. Эхографически мультилокулярная киста визуализируется в виде многокамерного жидкостного образования округлой формы, расположенного в одном из полюсов почки, с множеством перегородок, как правило, с отложением извести, с четкими ровными контурами и дорсальным усилением эхо-сигнала (рис. 2) [1-3, 6, 8, 9, 12, 14]. Цветное допплеровское картирование (ЦДК) увеличивает чувствительность УЗИ, так как улучшает визуализацию областей с атипичной сосудистой архитектоникой и снижением васкуляризации. При допплерографии отмечаются неспецифические изменения почечного кровотока в виде повышения пульсационного индекса и индекса резистентности, особенно выраженных в сосудах, огибающих образование. Если при УЗИ обнаруживаются утолщение перегородок кист или солидные структуры, в которых при ЦДК регистрируются сосуды, это может быть признаком малигнизации [11, 13, 15-19].

Эхонегативное многокамерное образование неправильной формы, с неровными стенками. Большое количество тонких перегородок в полости образования.
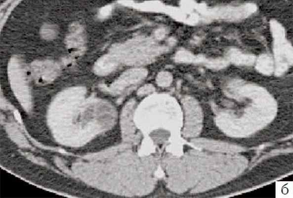
Достоверность комьютерной томографии (КТ) в диагностике мультилокулярной кистозной нефромы, по данным разных авторов, составляет от 95 до 98%. При КТ определяется негомогенное многокамерное образование округлой или неправильно-округлой формы, возможно с капсулой, плотность образования неоднородная, пониженная относительно паренхимы, в полости образования определяется большое количество перегородок (рис. 3). Если при КТ с контрастированием происходит накопление контрастного вещества, это может быть признаком предполагаемой малигнизации [11, 13, 19].

а) До внутривенного контрастирования определяется негомогенное образование неправильной округлой формы с капсулой и едва заметными перегородками, плотность ниже, чем плотность паренхимы почки.

б) После контрастирования отчетливо выявляются плотная стенка и множество перегородок.
Диагностическая значимость магнитнорезонансной томографии (МРТ) у пациентов с мультилокулярной кистозной нефромой высока, чувствительность достигает 83,3%, а специфичность - 45,45%. Прогнозируемая ценность положительных и отрицательных результатов соответствует 62,5 и 71,43% [20].
На ангиограммах при мультилокулярной кистозной нефроме выявляется аваскулярный дефект наполнения в одном из полюсов почки, сосудистая архитектоника в этих случаях обычно не нарушена.
Макроскопически мультилокулярная кистозная нефрома определяется как объемное, четко отграниченное образование, диаметром 5-10 см, располагающееся в одном из полюсов почки, чаще в нижнем, реже в среднем сегменте. Кистознодиспластический процесс поражает только одну почку. Узел расположен в корковом веществе почки, коричневатожелтого цвета на разрезе. Опухоль состоит из юкстагломерулярных клеток, секретирующих ренин. От почечной ткани опухоль отделена морфологически полноценной плотной псевдокапсулой до 0,5 см, на разрезе состоит из множества кист диаметром от нескольких миллиметров до 5-10 см, заполненных прозрачной желтоватой жидкостью. Стенки их гладкие, местами лишены эпителиальной выстилки, большей частью выстланы одним слоем эпителиальных клеток кубической, уплощенной формы или напоминающих шляпки сапожных гвоздей. Перегородки между кистами состоят из нежноволокнистой соединительной ткани с незначительным количеством фибробластов и фиброцитов или из веретенообразных клеток эмбрионального типа, очень редко саркоматозного вида. В соединительной ткани неравномерно рассеяны тонкостенные кровеносные сосуды. В широких перегородках между внутренними кистами и в общей капсуле встречаются атрофические, уродливые почечные клубочки овальной формы и эпителиальные трубочки с выстилкой, идентичной таковой в канальцах почки.
Иногда встречаются также скопления мелких округлых недифференцированных клеток бластемного типа, узкие канальцы, выстланные кубическим или призматическим эпителием, в некоторых случаях пучки лентовидных рабдомиобластов с поперечной исчерченностью. Мелкие полигональные или продолговатые клетки опухоли с мономорфными пузырькообразными ядрами содержат в цитоплазме ШИК-положительные гранулы. Солидные поля и трабекулы, состоящие из сплошного разрастания этих клеток, разъединены тонкими прослойками фиброваскулярной стромы. Клетки окружены аргирофильными волокнами. Митозы обнаруживаются очень редко [14].
При наличии кисты почка функционирует, поскольку сохранены лоханка, мочеточник и сосудистая ножка, хотя функция ее нарушена [1, 3, 6].
По данным В.Н. Русакова и соавт. [6], мультилокулярная киста может сочетаться с пиелонефритом в 45% случаев, с уролитиазом в 18%, гидронефрозом в 9%, опухолью в 18%.
Биопсия для диагностики мультилокулярной кисты применяется крайне редко, так как не дает дополнительных результатов и диагностическая значимость ее невысока [1].
Необходимость в лечебных мероприятиях возникает при развитии осложнений (нефролитиаз, пиелонефрит), при сочетании кисты и опухоли. Объем оперативных вмешательств при мультилокулярной кистозной нефроме варьирует от органосохраняющих операций (марсупилизации, вылущивании кисты, сегментарной резекции почки) до нефрэктомии.
Учитывая большую редкость заболевания, единичные публикации в литературе, представляем собственное клиническое наблюдение.
Клиническое наблюдение
Больной С., 51 года, поступил с жалобами на боли в поясничной области справа. Болен в течение 2 мес, когда появились указанные выше жалобы. При объективном обследовании диагностически значимых изменений не было выявлено. Общий и биохимический анализ крови, общий анализ мочи в пределах нормы.
При проведении инструментального обследования выявлены следующие изменения.
Экскреторная урография. Почки расположены обычно, сохраняют свою форму, экскреция почек удовлетворительная. Слева отмечается повышение тонуса полостной системы почек как отображение хронического пиелонефрита. Справа почка увеличена в размерах за счет наличия дополнительного образования до 30 мм в диаметре.
Заключение: Объемное образование правой почки.
Ультразвуковое исследование. Почки расположены типично, в размерах не изменены, контуры ровные, четкие, подвижность сохранена, полостная система не расширена. Мочеточники не визуализируются. Конкрементов не выявлено. В нижнем полюсе правой почки визуализируется эхонегативное многокамерное образование диаметром до 30 мм, с большим количеством перегородок внутри и единичным кальцинатом.
Заключение: Сложная киста нижнего полюса правой почки (рис. 4).

Округлое кистозное образование с множеством перегородок в полости образования и единичным кальцинатом.
Компьютерная томография. В нижнем полюсе правой почки определяется неоднородное образование, с четкими неровными контурами, округлой формы, в диаметре до 30 мм, неоднородно пониженной плотности от +15 до +18 HU по шкале Хаунсвильда. После внутривенного контрастирования образование не изменят свою форму, размеры и плотность. В полости образования выявляются множественные перегородки, накапливающие контрастное вещество, единичный кальцинат.
Заключение: Сложное кистозное образование нижнего полюса правой почки, больше данных о мультилокулярной кистозной нефроме (рис. 5).

а) До внутривенного контрастирования определяется негомогенное образование округлой формы, с единичным кальцинатом, плотность ниже, чем плотность паренхимы почки.

б) После контрастирования (паренхиматозная фаза) отчетливо выявляются плотная стенка и множество перегородок.
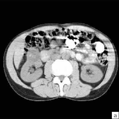
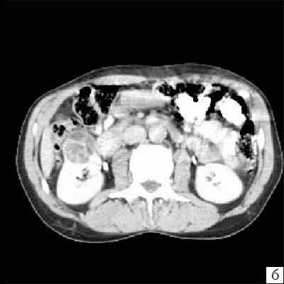
Аортоартериография почек. Брюшная аорта и ее ветви без особенностей. Размеры, положение, форма почек обычные. Нефрограмма интенсивная, гомогенная. В нижнем полюсе правой почки определяется аваскулярное образование шаровидной формы, не накапливающее контрастное вещество, до 30 мм в диаметре.
Заключение: По ангиографической картине больше данных о кистозном доброкачественном образовании нижнего полюса правой почки (рис. 6).

В нижнем полюсе правой почки определяется аваскулярное образование шаровидной формы, не накапливающее контрастное вещество, до 30 мм в диаметре (стрелки).
Под местной анастезией (0,25% новокаина) под контролем УЗИ проведена диагностическая пункция образования. При цитологическом исследовании получены атипичные клетки.
В процессе операции выполнена сегментарная резекция правой почки.
Патоморфологическое исследование позволило устновить окончательный диагноз. В присланном материале узел до 30 мм, пестрого строения, чередование серых участков и участков с геморрагическим пропитыванием. Опухолевая ткань представлена кистами, разделенными тонкими перегородками. Это плотный узел, имеет мелкоячеистое строение, ячейки заполнены густой геморрагической жидкостью. Микроскопически: множественные кисты, выстланные одним слоем эпителиальных клеток, кубической формы, несколько уплощенной или напоминающей шляпки сапожных гвоздей. Перегородки между кистами узкие, представлены волокнистой нежной соединительной тканью с веретенообразными клетками типа эмбриональных.
Заключение: Мультилокулярная кистозная нефрома нижнего полюса правой почки.
Таким образом, представленное клиническое наблюдение показывает, как трудна диагностика мультилокулярной кистозной нефромы, несмотря на использование всех методов лучевой диагностики, а диагностическая пункция не всегда обладает диагностической эффективностью.
Выводы
Современные методы диагностики в большинстве наблюдений позволяют получить исчерпывающую информацию о характере жидкостного образования почек. Вместе с тем в ряде наблюдений, в частности при наличии мультилокулярной кистозной нефромы почки, несмотря на весь арсенал диагностических методов, включая диагностическую пункцию, характер жидкостного образования почки остается невыясненным до операции, которая в подобных ситуациях является как методом лечения, так и способом окончательной постановки диагноза.
Литература

УЗИ аппарат HS40
Лидер продаж в высоком классе. Монитор 21,5" высокой четкости, расширенный кардио пакет (Strain+, Stress Echo), экспертные возможности для 3D УЗИ в акушерско-гинекологической практике (STIC, Crystal Vue, 5D Follicle), датчики высокой плотности.
Читайте также:
