Лучевая диагностика нейроэндокринной опухоли поджелудочной железы
Добавил пользователь Владимир З. Обновлено: 29.01.2026
Лучевая диагностика нейроэндокринной опухоли поджелудочной железы
а) Терминология:
1. Синонимы:
• Гастроэнтеропанкреатическая нейроэндокринная опухоль/нейроэндокринная опухоль (neuroendocrine tumor - NET) поджелудочной железы; эндокринная опухоль поджелудочной железы (pancreatic endocrine tumor - рЕТ)
• Исторические названия: опухоль островковых клеток; карциноид
2. Определения:
• Солидное эпителиальное новообразование, источником которого, как считается, являются плюрипотентные клетки протоков поджелудочной железы, способные к нейроэндокринной дифференцировке
б) Визуализация:
1. Общая характеристика:
• Основные диагностические признаки:
о Четко отграниченное округлое гиперваскуляризованное объемное образование (образования); дилатации панкреатического протока не развивается
о В крупных опухолях развиваются кальциноз, некроз и кистозные изменения
• Локализация:
о 85% в толще ткани поджелудочной железы: обычно тело/ хвост; 15% эктопические
- Двенадцатиперстная кишка, желудок, лимфоузлы, яичники
о Может быть множественной
• Размеры:
о Вариабельны: варьируют от 20 см; обычно 1-5 см:
- Активные опухоли: на момент развития клинических проявлений имеют небольшие размеры
- Неактивные опухоли: обычно на момент постановки диагноза имеют более крупные размеры
• Морфология: активные и неактивные подтипы опухолей:
о Активные опухоли: мелкие, округлые, контрастные объемные образования
- Могут быть плохо различимы
о Неактивные: крупные хорошо отграниченные дольчатые образования неоднородной контрастности
- Зоны кистозных изменений/некроза и кальциноза
- Смещает прилегающие структуры, а не прорастает их
2. УЗИ органов брюшной полости при нейроэндокринной опухоли поджелудочной железы:
• Округлое гипоэхогенное образование с четкими контурами; может выглядеть изоэхогенным (фокальная асимметрия контуров [железы])
• Крупные опухоли могут быть эхогенными ± кальциноз и/или содержать центральную гипоэхогенную зону (некроз)
о Внутриопухолевый кальциноз указывает на озлокачествление
о 60-90% на момент развития клинических проявлений уже сопровождаются лимфаденопатией и метастазами в печени:
- Новообразование гипоэхогенное, гиперэхогенное или имеет рисунок в виде мишени
• Цветовая допплерография: определяется внутриопухолевый кровоток
• Чувствительность при выявлении мелких опухолей оценивается в 25-60%:
о Невысокая роль исследования при диагностике активных нейроэндокринных опухолей обусловлена малыми размерами опухолей и особенностями телосложения таких больных
3. Эндоскопическое УЗИ при нейроэндокринной опухоли поджелудочной железы:
• ↑ чувствительность при выявлении мелких опухолей (до 94%)
• Может использоваться как метод контроля при биопсии или заборе жидкости кисты

(Левый) При КТ с контрастным усилением на корональной томограмме в головке поджелудочной железы определяется крупное гетерогенное объемное образование пониженной плотности; наблюдается внутриопухолевый кальциноз, что указывает на злокачественную природу опухоли. Обратите внимание на расширение панкреатического протока вследствие наличия объемного образования головки поджелудочной железы.
(Правый) При эндоскопическом УЗИ на соответствующем УЗ срезе визуализируется четко отграниченное гипоэхогенное солидное объемное образование поджелудочной железы.
4. Интраоперационное ультразвуковое исследование:
• Наивысшая чувствительность при мелких новообразованиях (75-100%)
5. КТ при нейроэндокринной опухоли поджелудочной железы:
• КТ с контрастным усилением:
о Гиперваскуляризованные (артериальная фаза/фаза воротной вены) опухоли с ровными контурами
о Крупные новообразования: гетерогенные вследствие наличия бесконтрастных зон-кист/некроза ± кальциноза
о Кистозный вариант: гиперваскулярный поясок, центральная зона некроза (этот признак отличает данную опухоль от других кистозных новообразований поджелудочной железы)
о В редких случаях выявляется картина инфильтративной опухоли (низкодифференцированная нейроэндокринная опухоль)
о Метастазы в печени и лимфоузлах: гиперваскулярные; метастазы в печени зачастую с контрастным пояском
6. МРТ при нейроэндокринной опухоли поджелудочной железы:
• Т1-ВИ + подавление жира: опухоль гипоинтенсивна по сравнению с нормальной тканью поджелудочной железы
о Наибольшую чувствительность (75%) имеет МРТ в режиме Т1-ВИ без контрастного усиления с подавлением жира
• Т2-ВИ + подавление жира: опухоль обычно гиперинтенсивна по сравнению с нормальной тканью поджелудочной железы
• Т1 с контрастным усилением: гиперваскулярная опухоль:
о Мелкие опухоли: гомогенное контрастирование опухоли
о Крупные опухоли: более гетерогенные, с бесконтрастными зонами кист, некроза/кровоизлияний и гиперконтрастной опухолью
о Метастазы в печени и лимфоузлах: выраженное контрастирование, в печени-кольцевидное
8. Рекомендации по визуализации:
• Оптимальный метод визуализации:
о КТ или МРТ с контрастным усилением
о Эндоскопическое УЗИ: ↑ частоту выявления мелких опухолей по сравнению с УЗИ брюшной полости:
- Инвазивное исследование
- Выполняется для локализации опухоли при отрицательных результатах КТ/МРТ в сочетании с типичными клиническими проявлениями или как контрольный метод при выполнении биопсии
о Даже при отрицательных результатах первичных исследований-КТ с контрастным усилением/МРТ/УЗИ, при положительных результатах биохимических анализов большое значение имеют дополнительные методы исследования:
- Показана радионуклидная визуализация активности соматостатиновых рецепторов
о Интраоперационное ультразвуковое исследование помогает удостовериться втачной локализации/полной резекции опухоли
• Рекомендации по методике проведения исследования:
о КТ: следует применять двухфазный протокол исследования поджелудочной железы (поздняя артериальная и портальная венозная фазы):
- В артериальную фазу исследования гораздо лучше определяются мелкие опухоли
о МРТ: в том числе Т1/Т2 + подавление жира и контрастное усиление, динамическая Т1-взвешенная МРТ с подавлением жира

(Левый) При КТ с контрастным усилением на аксиальной томограмме в головке поджелудочной железы визуализируется крупное гиперваскулярное объемное образование, содержащее мелкий очаг слабого коэффициента ослабления - зону централь ного некроза.
(Правый) При эндоскопическом УЗИ на соответствующем УЗ срезе определяется дольчатое четко отграниченное изоэхогенное солидное объемное образование, содержащее гипоэхогенный очаг кистозных изменений.
в) Дифференциальная диагностика нейроэндокринной опухоли поджелудочной железы:
1. Муцинозная кистозная опухоль поджелудочной железы:
• Многокамерное кистозное образование с перегородками
• Может выглядеть очень похоже на кистозный вариант нейроэндокринной опухоли
• Обычно содержит более крупный кистозный компонент и не имеет широкого контрастного ободка
2. Солидная псевдопапиллярная опухоль:
• Редкое солидное и кистозное образование, которое может быть очень похожим на неактивную нейроэндокринную опухоль
• Обе эти опухоли чаще всего встречаются в группе пациентов молодого возраста
• Инкапсулированное новообразование, для которого более характерны некротические изменения и кровоизлияния
3. Карцинома протока поджелудочной железы:
• Инфильтративное солидное образование, вызывающее обструкцию протока
• Низкодифференцированная нейроэндокринная опухоль также может быть инфильтративной
• В карциноме панкреатического протока некроз или кальциноз развиваются редко
4. Метастазы в поджелудочной железе:
• Единичные/множественные мелкие четко отграниченные гиперваскулярные новообразования(новообразование)
• Наиболее частые первичные опухоли: почечноклеточный рак и меланома
5. Лимфома поджелудочной железы:
• Солидное гипоэхогенное образование, сопровождающееся внутрибрюшной лимфаденопатией
6. Серозная цистаденома поджелудочной железы:
• Новообразование типа пчелиных сот, при УЗИ может иметь гетерогенную структуру
• Для кистозных компонентов характерна периферическая локализация, присутствуют контрастные перегородки и центральный рубец:
о Это отличает серозную цистаденому от кистозной нейроэндокринной опухоли; для последней характерно наличие центральной кистозной зоны и солидной ткани на периферии

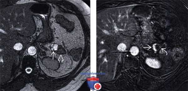
(Левый) При Т2 МРТ в режиме true FISP на аксиальной томограмме в теле поджелудочной железы определяется четко отграниченное объемное образование, содержащее два Т2-ярких компонента. Обратите внимание на нерасширенный панкреатический проток и внешне неизмененную паренхиму поджелудочной железы дистальнее опухоли.
(Правый) У этого же пациента при Т1 МРТ с контрастным усилением и подавлением жира на аксиальной томограмме в медиальной части объемного образования определяется контрастная опухолевая ткань , тогда как кистозная/некротическая латеральная часть опухоли не контрастируется.
г) Патология:
1. Общая характеристика:
• Этиология:
о Большинство случаев спорадические
• Генетика:
о 1-2% случаев связаны с семейными синдромами: множественной эндокринной неоплазией I типа (multiple endocrine neoplasia, type I - MEN1); синдромом Гиппеля Линдау (von Hippel-Lindau (VHL), нейрофиброматозом I типа (neurofibromatosis, type I - NF1); комплексом туберозного склероза (tuberous sclerosis complex - TSC1 и TSC2):
- Обычно множественные, манифестируют в более молодом возрасте
2. Стадирование, степени и классификация нейроэндокринной опухоли поджелудочной железы:
• Классификация: неактивные (60-80%) и активные:
о Для неактивных опухолей характерны более крупные размеры и неблагоприятный прогноз
• Активные опухоли: чаще всего инсулиномы:
о Инсулинома: как правило, солитарная и доброкачественная (90%)
о Гастринома: около 60% злокачественное течение
о Глюкагонома, випома, соматостатинома: редкие, в большинстве случаев злокачественные опухоли
• Степень злокачественности эндокринных опухолей поджелудочной железы (ВОЗ, 2010) определяется частотой митозов и пролиферацией клеток:
о Высокодифференцированные эндокринные опухоли:
- Низкая и промежуточная степени злокачественности
о Низкодифференцированная эндокринная карцинома:
- Высокая степень злокачественности
о Большинство таких опухолей высоко дифференцированы (97%)
о Гистологических критериев дифференцировки доброкачественных и злокачественных опухолей не существует (за исключением метастазов):
- Все опухоли > 5 мм считаются злокачественными
• Стадии по классификации TNM: размеры (2 см); экстрапанкреатическое распространение; инвазия прилегающих структур
3. Макроскопические и хирургические особенности:
• Округлые, высокодифференцированные, капсула отсутствует
• Крупные новообразования: часто наблюдаются мелкие участки дегенеративного некроза/кровоизлияний
о Обычно центрально расположенная единая камера ± кальциноз в 20% случаев
о В 5-10% случаев развивается обширная дегенерация
4. Микроскопия:
• Пласты мелких округлых клеток, одинаковые ядра/цитоплазма, напоминают нормальные островковые клетки (однинаковые полигональные клетки)
• Рассеянный в виде «соли и перца» хроматин; эозинофильная зернистая цитоплазма
• Электронная микроскопия: наблюдается положительная реакция на нейронспецифическую энолазу
• ↑ хромогранин А сыворотки (независимо от активности):
о Чувствительность при выявлении эндокринных опухолей поджелудочной железы составляет 70%
д) Клинические особенности:
1. Проявления нейроэндокринной опухоли поджелудочной железы:
• Наиболее часто встречающиеся жалобы/симптомы:
о При размерах о Неактивные опухоли: обычно бессимптомны; могут манифестировать болями в животе или симптомами объемного образования
о Инсулинома (триада Шарко):
- Гипогликемия, сердцебиения, потливость, тремор, головная боль, кома → внутривенное введение глюкозы купирует симптомы
о Гастринома (синдром Золлингера-Эллисона):
- Пептическая язва, эзофагит и понос
о Глюкагонома (синдром четырех D):
- Дерматит, диабет, тромбоз глубоких вен, депрессия (dermatitis, diabetes, deep vein thrombosis - DVT, depression)
2. Демография:
• Возраст:
о Пик заболеваемости: 4-б-е десятилетия жизни, при семейных синдромах - в более молодом возрасте
• Пол:
о В общем, половой предрасположенности не наблюдается; но по типам опухолей:
- Инсулинома: Ж>М; гастринома: М>Ж
3. Эпидемиология:
о Распространенность 1/100000 населения о Составляют 2-3% всех опухолей поджелудочной железы
4. Течение и прогноз:
• Все опухоли размерами > 5 мм считаются злокачественными
• Кистозные изменения/некроз и кальциноз → прогноз хуже
• Медленный рост; метастазы в лимфоузлах, печени, костях
• Инсулиномы: наиболее благоприятный прогноз, выживаемость такая же, как и в общей популяции
о На момент манифестации опухоль обычно еще не стала источником метастазов и имеет маленькие размеры
• Нейроэндокринные опухоли - не инсулиномы рецидивируют или метастазируют в 50-80% случаев:
о Пятилетняя выживаемость-50-65%
5. Лечение нейроэндокринной опухоли поджелудочной железы:
• Единственный радикальный метод лечения нейроэндокринных опухолей-хирургическая резекция:
о Выполняется энуклеация (опухоли) или резекция поджелудочной железы
• Химиотерапия: при низкодифференцированных опухолях
• Радионуклидная терапия: опухоли, несущие соматостатиновые рецепторы
• При метастазах в печени-трансартериальная эмболизация или радиочастотная абляция
Методы обследования нейроэндокринной опухоли поджелудочной железы
а) Визуализация:
• Объемное образование поджелудочной железы (ПЖ) с четкими ровными контурами без признаков инфильтративного роста:
о Синдромальные опухоли имеют малые размеры (о Несиндромные опухоли обычно намного больше (>5 см) и часто подвергаются кистозной и некротической дегенерации
• Интенсивно накапливают контраст в артериальной фазе и становятся не столь хорошо заметными в венозной фазе
• Могут прорастать в брыжеечные вены, формируя в них опухолевые тромбы
• Обычно не вызывают обструкцию общего желчного протока (ОЖП) или протока поджелудочной железы (ППЖ), пока не достигают больших размеров
• Кистозные нейроэндокринные опухоли могут имитировать другие кистозные новообразования:
о Признаками, позволяющими сделать верное заключение, являются периферическое контрастное усиление в виде «кольца» или наличие узлов, накапливающих контраст
• Могут обнаруживаться гиперваскулярные лимфоузлы и метастазы в печени:
о Наличие уровней «жидкость-жидкость» в метастазах печени является специфическим признаком нейроэндокринной опухоли
о Метастазы в печени часто обладают сигналом очень высокой интенсивности на Т2 ВИ и могут напоминать кисты или гемангиомы
(Слева) На аксиальной КТ в артериальной фазе контрастного усиления у пациента с инсулиномой визуализируется гиперваскулярное объемное образование субсантиметрового диапазона в хвосте поджелудочной железы.
(Справа) На фотографии макро-препарата удаленной части поджелудочной железы видна подтвержденная нейроэндокринная опухоль В неинфильтративного характера с четкими контурами. Патологи используют термин «нейроэндокринные опухоли», поскольку при электронной микроскопии в них обнаруживается нейронспецифическая энолаза. Название опухоли (например инсулинома) соотносится с тем, какие гормоны она вырабатывает. (Слева) На аксиальной КТ с контрастным усилением у пациента с метастатической несиндромной нейроэндокринной опухолью визуализируется большое гиперваскулярное новообразование в поджелудочной железе, а также метастазы в печени. Эти находки типичны для злокачественной нейроэндокринной опухоли ПЖ, в этом случае — глюкагономы. Злокачественная глюкагонома встречается чаще по сравнению с инсулиномой.
(Справа) На аксиальной КТ с контрастным усилением визуализируется кистозное образование В в крючковидном отростке поджелудочной железы. Нодулярный гиперваскулярный «ободок» вокруг образования позволяет предположить, что оно представляет собой нейроэндокринную опухоль.
б) Клинические особенности:
• Нейроэндокринные опухоли поджелудочной железы подразделяются на синдромальные (вызывающие появление клинической симптоматики и изменения лабораторных данных) и несиндромные
• Наиболее часто встречающиеся синдромальные опухоли: инсулинома, глюкагонома, гастринома, соматостатинома, випома:
о Инсулинома обычно представляет собой солитарную доброкачественную опухоль (90%):
- Триада Уиппла: гипогликемия, низкий уровень глюкозы крови натощак, исчезновение симптоматики после внутривенного введения глюкозы
о Гастриномы часто бывают множественными, в 60% случаев являются злокачественными, и ассоциированы с множественной эндокринной неоплазией первого типа:
- Гастринома проявляется синдромом Золлингера-Эллисона: тяжелая пептическая язвенная болезнь желудка, повышение кислотности, диарея
• Лечение:
о Для устранения симптоматики, обусловленной опухолями, используются аналоги соматостатина, такие как октреотид
о Варианты лечения: резекционное вмешательство (энуклеация или панкреатэктомия), химиоэмболизация или резекция метастазов в печени, химиотерапия, выжидательная тактика
а) Терминология:
1. Аббревиатура:
• Нейроэндокринная опухоль (НЭО) поджелудочной железы
2. Синоним:
• Островковоклеточная опухоль
3. Определение:
• Опухоль из эндокринных клеток ПЖ (островков Лангерганса)
4. Ассоциированные синдромы:
• Множественная эндокринная неоплазия первого типа (МЭН 1, гастриномы), синдром Гиппеля-Линдау, нейрофиброматоз первого типа, туберозный склероз
1. Общая характеристика:
• Лучший диагностический критерий:
о Гиперваскулярное объемное образование поджелудочной железы, хорошо отграниченное от окружающих тканей, дающее гиперваскулярные метастазы в печени
• Локализация:
о В 85% случаев опухоли располагаются в поджелудочной железе, в 15% случаев являются эктопическими:
- Наиболее часто встречающиеся локализации эктопических нейроэндокринных опухолей: двенадцатиперстная кишка, желудок, лимфоузлы, яичники
о Гастриномы в 90% случаев возникают в т. н. «треугольнике гастрином»:
- Треугольник ограничен сверху пузырным протоком и ОЖП, снизу второй и третьей частью двенадцатиперстной кишки, с внутренней стороны шейкой и телом ПЖ
- Эктопические гастриномы чаще всего возникают в стенке двенадцатиперстной кишки
• Размер:
о От нескольких миллиметров до 10 см
• Общие концепции:
о Встречаются реже, чем опухоли экзокринной части ПЖ
о Согласно классификации ВОЗ подразделяются на доброкачественные (эндокринные опухоли высокой степени дифференцировки) и злокачественные (высоко- или низкодифференцированный нейроэндокринный рак)
о Больше не подразделяются на функционирующие и нефункционирующие, поскольку в настоящее время все нейроэндокринные опухоли расцениваются как гормонально активные
о Выделяются синдромальные (вызывающие развитие клинического синдрома и изменения лабораторных данных) и несиндромные опухоли:
- Синдромальные опухоли: секретируют различные гормоны ПЖ; развивается определенный клинический синдром:
Инсулинома, глюкагонома, гастринома, соматостатинома, випома (опухоль, продуцирующая вазоактивный интестинальный полипептид), карциноид
- Внесиндромные опухоли:
Являются гипофункциональными или клинически «немыми», имеют большой размер
На момент установления диагноза имеют больший размер по сравнению с синдромальными опухолями, поскольку не приводят к появлению симптоматики или изменениям лабораторных данных
Кистозные нейроэндокринные опухоли чаще бывают внесиндромными и не продуцируют инсулин
(Слева) На КТ в артериальной фазе контрастного усиления в шейке поджелудочной железы определяется объемное образование, активно накапливающее контраст (нейроэндокринная опухоль). Вышележащие отделы поджелудочной железы в значительной степени атрофированы что не является типичным признаком нейроэндокринных опухолей, которые чаще всего не становятся причиной обструкции панкреатического протока и атрофии паренхимы поджелудочной железы.
(Справа) На аксиальной КТ в венозной фазе контрастного усиления у этого же пациента опухоль по-прежнему накапливает контраст, но в значительно меньшей степени, чем в артериальной фазе. (Слева) На аксиальной КТ с контрастным усилением определяется кистозное образование в хвосте поджелудочной железы. В этом случае нельзя исключать внутрипротоковую папиллярно-муцинозную опухоль или муцинозную кистозную опухоль, но периферический характер контрастного усиления и наличие мягкотканного компонента, накапливающего контраст, позволяет сделать заключение о кистозной нейроэндокринной опухоли.
(Справа) На корональной КТ с контрастным усилением визуализируется гиповаскулярное объемное образование в крючковидном отростке поджелудочной железы на фоне многочисленных метастазов в печени.Опухоль прорастает в верхнюю брыжеечную вену, что не типично для аденокарциномы, и больше характерно для нейроэндокринной опухоли. (Слева) На аксиальной КТ в артериальной фазе контрастного усиления визуализируется массивная гиперваскулярная нейроэндокринная опухоль, практически полностью замещающая поджелудочную железу. Несиндромные опухоли, как в этом случае, часто имеют большие размеры на момент их обнаружения.
(Справа) На аксиальной Т2 взвешенной томограмме у этого же пациента визуализируются гиперинтенсивные очаги в печени. Несмотря на то, что они могут с легкостью быть ошибочно расценены как кисты или гемангиомы, нужно учитывать, что метастазы нейроэндокринных опухолей в печень также могут обладать крайне высокой интенсивностью сигнала на Т2 ВИ.
2. КТ признаки нейроэндокринной опухоли поджелудочной железы:
• Объемное образование ПЖ неинфильтративного характера с четкими контурами, которое обычно (но не всегда) является гиперваскулярным и наиболее хорошо заметно в артериальной фазе:
о В венозной фазе чаще всего накапливают контраст не так интенсивно, из-за чего небольшие опухоли сложно различить:
- Могут становиться заметнее в венозной фазе (редко)
о Синдромальные опухоли обычно имеет меньшие размеры на момент обнаружения (о Несиндромные опухоли больше на момент их обнаружения (их средний размер >5 см):
- Обычно являются гиперваскулярными, но не в такой степени, как синдромальные опухоли
- В крупных опухолях вероятнее наличие центрального некроза, кистозных изменений, кальцинатов
• В нейроэндокринных опухолях часто обнаруживаются кальцинаты (в центре или с диффузным распределением)
• В большинстве случаев НЭО (за исключением крупных) не приводят к панкреатобилиарной обструкции и атрофии паренхимы вышележащих отделов поджелудочной железы:
о Редко некоторые небольшие опухоли могут продуцировать серотонин, что приводит к фиброзу и обструкции протока поджелудочной железы (ППЖ)
• Опухоль чаще прорастает в воротную или верхнюю брыжеечную вену, а не охватывает их
• Кистозные нейроэндокринные опухоли могут имитировать другие кистозные новообразования поджелудочной железы:
о Периферическое нодулярное накопление контраста в артериальной фазе является характерным признаком нейроэндокринной опухоли
• Метастазы в печени и вторично измененные лимфатические узлы выглядят так же, как первичная опухоль, и являются гиперваскулярными:
о Чаще всего метастазы выявляются в печени, лимфоузлах возле опухоли, а также в костях (склеротического характера)
о Уровень «жидкость-жидкость» в метастазах эндокринных опухолей в печени описывается как специфический признак
• Синдром Золлингера-Эллисона (при гастриноме): утолщение стенки проксимальных отделов желудка и интенсивное накопление ею контраста
3. МРТ признаки нейроэндокринной опухоли поджелудочной железы:
• Нейроэндокринные опухоли имеют тенденцию быть гипоинтенсивными по сравнению с паренхимой поджелудочной железы в норме на Т1 ВИ, являются гиперинтенсивными на Т2 ВИ, и накапливают контраст на Т1 ВИ с контрастным усилением, так же, как и на КТ:
о Небольшие опухоли • Метастазы в печени часто могут быть крайне гиперинтенсивными на Т2 ВИ, напоминая гемангиомы или кисты:
о Во вторичных очагах печени могут обнаруживаться уровни «жидкость-жидкость», преимущественно на Т2 ВИ о На Т1 ВИ метастазы в печени обычно являются гипоинтенсивными, однако при кровоизлиянии в опухоль наблюдается повышение интенсивности сигнала
• DWI: значения ADC могут быть различны, тем не менее, диффузионно-взвешенная томография позволяет обнаружить маленькие опухоли, не различимые другим способом
4. УЗИ признаки нейроэндокринной опухоли поджелудочной железы:
• Эндоскопическая ультрасонография: чувствительность и специфичность метода превышают 90%:
о Метод может быть полезным в обнаружении небольших нейроэндокринных опухолей, заподозренных клинически, которые могут быть пропущены на КТ/МРТ
о Позволяет «промаркировать» опухоль для осуществления лапароскопического вмешательства
о Нейроэндокринные опухоли не имеют специфических сонографических признаков и обычно гипо- или изоэхогенны по сравнению с окружающей их паренхимой ПЖ
• Интраоперационное УЗИ помогает выявить мелкие непальпируемые образования и сориентироваться при выполнении резекции
5. Ангиография:
• Исследование образцов крови из печеночных вен после интраартериальной стимуляции поджелудочной железы:
о ↑ уровня гормонов позволяет заподозрить скрытую функционирующую опухоль, особенно, гастриному и инсулиному
7. Рекомендации по визуализации:
• Многофазная КТ с контрастным усилением или МРТ: наиболее важными являются изображения, полученные в артериальной фазе контрастного усиления
(Слева) На корональной КТ с контрастным усилением определяется выраженное утолщение складок и повышенное контрастное усиление стенки проксимальных отделов желудка. Стенка желудка в более дистальных отделах имеет нормальную толщину. Эти изменения типичны для синдрома Золлингера-Эллисона.
(Справа) На аксиальной КТ в венозной фазе контрастного усиления у этого же пациента, на фоне выраженного утолщения складок в проксимальных отделах желудка, визуализируется объемное образование в теле поджелудочной железы, слабо накапливающее контраст, и представляющее собой гастриному. В этом случае образование не было различимо в артериальной фазе, что нетипично для нейроэндокринных опухолей. (Слева) На аксиальной КТ с контрастированием в теле поджелудочной железы визуализируется гиподенсное объемное образование с кальцинатами в центре. Обратите внимание на атрофию дистальных отделов поджелудочной железы, нетипичную для нейроэндокринных опухолей. Приблизительно 15% нейроэндокринных опухолей содержат кальцинаты (аденокарциномы поджелудочной железы практически никогда не обызвествляются).
(Справа) На аксиальной КТ с кон -трассированием визуализируется нейроэндокринная опухоль, прорастающая в селезеночную вену и вызывающая ее расширение. Нейроэндокринные опухоли в отличие от аденокарцином поджелудочной железы не вызывают окклюзию брыжеечных вен, но могут прорастать в них, образуя гиперваскулярные опухолевые тромбы. (Слева) На аксиальной КТ с контрастным усилением у пациента с клиническим подозрением на инсулиному определяется маленькое гиперваскулярное образование в головке поджелудочной железы.
(Справа) На сонограмме (интраоперационная ультрасонография) у этого же пациента определяется гиперваскулярное гипоэхогенное образование, не обнаруживаемое при пальпации. Пациенту была выполнена операция Уиппла, при патоморфологическом исследовании обнаружилась инсул и нома. Интраоперационная ультрасонография имеет очень большое значение для определения местоположения маленьких нейроэндокринных опухолей и контроля при выполнении резекционного вмешательства.
1. Интрапанкреатическая долька селезенки:
• Хвост поджелудочной железы - второе по распространенности место расположения добавочной селезенки
• Характеристики контрастного усиления добавочной селезенки аналогичны основной
2. Протоковый рак поджелудочной железы:
• Гиповаскулярная опухоль инфильтративного характера, вызывающая обструкцию ППЖ и/или ОЖП и атрофию паренхимы ПЖ
• В отличие от нейроэндокринных опухолей практически никогда не содержит обызвествления
• Охватывает брыжеечные вены и вызывает сужение их просвета, но не приводит к появлению опухолевых тромбов
3. Вторичное поражение поджелудочной железы:
• Гиперваскулярные метастазы в поджелудочной железе (преимущественно почечноклеточного рака) неотличимы от НЭО
4. Серозная цистаденома поджелудочной железы:
• Опухоль в виде «губки», состоящая из множественных мелких кист, разделенных перегородками, накапливающими контраст
• Солидный вариант, выглядящий как гиперваскулярное объемное образование, иногда невозможно отличить от НЭО
5. Гастроинтестинальная стромальная опухоль, прилежащая к поджелудочной железе:
• Новообразование желудка или двенадцатиперстной кишки может имитировать НЭО ПЖ, особенно, если активно накапливает контраст
(Слева) На аксиальной КТ с контрастным усилением у пациента с нейроэндокринной опухолью визуализируются множественные метастазы в печени с уровнями «жидкость-жидкость». Наличие уровней жидкости описывается как специфичный, хотя и нечасто встречающийся, признак метастазов нейроэндокринных опухолей в печени.
(Справа) На аксиальной КТ с контрастным усилением визуализируется гиперваскулярное объемное образование в хвосте поджелудочной железы, сопоставимое с нейроэндокринной опухолью. Обратите внимание, что крупный метастаз в печени накапливает контраст примерно так же, как первичная опухоль в поджелудочной железе. (Слева) На аксиальной КТ с контрастным усилением определяется НЭО поджелудочной железы, прорастающая в воротную вену. Виден также крупный метастаз в печени. Паллиативное лечение (химиоэмболизация) дает возможность на несколько лет облегчить состояние пациента. Злокачественные НЭО часто прорастают в воротную вену и метастазируют в печень.
(Справа) На аксиальной КТ в артериальной фазе контрастного усиления в печени визуализируются многочисленные гиперваскулярные метастазы первичной НЭО поджелудочной железы. Первичная опухоль и ее метастазы, как наблюдается и в этом случае, часто представляют собой образования с повышенной васкуляризацией, обнаруживаемой в артериальной фазе. (Слева) На аксиальной КТ с контрастным усилением (объемный рендеринг) у пациента с подозрением на инсулиному визуализируется гиперваскулярное объемное образование в головке поджелудочной железы.
(Справа) На аксиальной КТ с контрастным усилением у этого же пациента в печени визуализируются множественные гиподенсные участки стеатоза, окружающие маленькие гиперваскулярные метастазы. Возникновение стеатоза вокруг очагов, скорее всего, обусловлено влиянием инсулина, продуцируемого функционирующими метастазами, являясь хотя и редким, но известным проявлением метастатической инсулиномы.
г) Патология. Общая характеристика:
• Этиология:
о Опухоль возникает из апудоцитов (APUD-клеток), в которых происходит накопление аминов-предшественников о Патогенез и проявления:
- Инсулинома: опухоль из бета-клеток → гиперинсулинемия — гипогликемия
- Гастринома: островковоклеточная опухоль → повышение секреции гастрина → повышение кислотности желудочного сока → пептические язвы
- Глюкагонома: опухоль из альфа-клеток → ↑ уровня глюкагона → классическая кожная сыпь и сахарный диабет
• Генные изменения:
о МЭН 1 (гиперпаратиреоз, аденома гипофиза, НЭО ПЖ):
- Заболевание с аутосомно-доминантным типом наследования
- В 80% случаев приводит к развитию НЭО, часто множественных
1. Проявления:
• Типичные признаки/симптомы:
о Синдромальные опухоли:
- Инсулинома: симптомы гипогликемии, I уровня глюкозы (Тахикардия, потливость, тремор, головная боль, кома
- Гастринома (синдром Золлингера-Эллисона): тяжелая пептическая язвенная болезнь, повышение кислотности, диарея
- Глюкагонома: кожная сыпь (некролитическая мигрирующая эритема): диарея, сахарный диабет, снижение веса, тромбоз глубоких вен, тромбоэмболия легочной артерии
- Випома: водянистый жидкий стул, гипокалиемия, ахлоргидрия
о Несиндромные опухоли могут не давать симптоматику или приводить к возникновению симптомов, обусловленных объемным воздействием опухоли и наличием метастазов
2. Демография:
• Возраст:
о Инсулинома: 4-6 десятилетие жизни
о Гастринома: 4-5 десятилетие жизни
о В случае МЭН 1 НЭО могут возникать до 30 лет
• Пол:
о Инсулинома чаще встречается у женщин, гастринома у мужчин
• Эпидемиология:
о Общая заболеваемость составляет - 2,2:1 млн; тем не менее, частота наблюдения НЭО при аутопсии может достигать 10%
о Инсулинома является наиболее распространенной нейроэндокринной опухолью (определяется в 15% случаев)
- Обычно представляет собой солитарное доброкачественное образование (в 90% случаев), в 10% случаев инсулинома является злокачественной
о Гастринома - вторая по частоте опухоль (25% случаев):
- Часто бывает множественной и злокачественной (60%)
- 20-60% гастрином ассоциированы с МЭН 1
о Внесиндромные опухоли занимают третье место по частоте встречаемости (около 20% случаев):
- В 80-100% случаев являются злокачественными
- Размер опухоли (в частности, > 2 см) напрямую связан с вероятностью ее злокачественности
3. Течение и прогноз:
• Прогноз намного лучше, чем при аденокарциноме ПЖ
• Прогноз при инсулиноме - обычно доброкачественной опухоли, очень благоприятный; при гастриноме - неблагоприятный
• При несиндромных опухолях пятилетняя выживаемость составляет лишь 44%
• Пациенты могут жить с метастазами в течение многих лет
4. Лечение:
• Аналоги соматостатина, такие как октреотид, применяются для снижения выраженности симптоматики при синдромальных опухолях за исключением соматостатиномы
• При синдромальных или доброкачественных несиндромных НЭО при отсутствии метастазов необходимо хирургическое вмешательство (резекция)
• НЭО, распространяющиеся за пределы ПЖ, при отсутствии метастазов должны удаляться если это возможно, даже если не удается добиться отсутствия клеток опухоли по краю резекции:
о Оперативное вмешательство позволяет снизить выраженность симптоматики и улучшить выживаемость
• Резекция первичной НЭО, даже при наличии метастазов в печени, может способствовать увеличению выживаемости
о В некоторых случаях может быть выполнена резекция или циторедуктивная операция (при метастазах в печени)
• У пациентов с печеночной недостаточностью и метастазами, ограниченными печенью, возможна трансплантации печени
е) Список использованной литературы:
1. Kawamoto S et аI.: Pancreatic neuroendocrine tumor with cystlike changes: evaluation with MDCT. AJR Am J Roentgenol. 200(3):W283-90, 2013
Нейроэндокринные опухоли желудка

Нейроэндокринные новообразования желудка, также известные как эндокринные новообразования или карциноиды, составляют относительно небольшую и гетерогенную группу опухолей, значительно различающихся по клинико-патологическому течению, степени дифференцировки, скорости пролиферации и исходу [1].
Хотя по морфологическим и функциональным свойствам в слизистой оболочке желудка человека выделяют до 5 типов эндокринных клеток, большинство желудочных НЭО развиваются из энтерохромаффиноподобных клеток. Эти новообразования могут быть множественными, возникающими на фоне длительной гипергастринемии из-за атрофического гастрита и ахлоргидрии (тип 1), или вследствие сочетанной множественной эндокринной неоплазии — синдрома Золлингера-Эллисона с гипертрофической гастропатией (тип 2), или они могут появляться в слизистой оболочке без предшествующих патологических изменений (тип 3), иногда возникает «атипичный» карциноидный синдром [1].
Нейроэндокринные новообразования желудка значительно различаются по гистологии, клинико-патологическим формам, стадиям и возможным исходам, что подразумевает необходимость большого количества лечебных и диагностических мероприятий. Также стоит отметить необходимость улучшения диагностических и прогностических критериев для выбора соответствующей терапии [1].
Локализация опухоли [2]:
• Кардиальный отдел,
• Дно желудка,
• Тело желудка,
• Преддверие желудка,
• Привратник,
• Малая кривизна желудка,
• Большая кривизна желудка,
• Поражение, выходящее за пределы желудка.
Классификация
Классификация ВОЗ 2010 [2]:
- Нейроэндокринная опухоль (НЭО);
- НЭО G1 (карциноид),
- НЭО G2,
- Нейроэндокринный рак (НЭР);
- Крупноклеточный НЭР,
- Мелкоклеточный НЭР, - Смешанный железисто-нейроэндокринный рак;
- Опухоль из серотонин-продуцирующих энтерохромаффинных клеток (серотонин-продуцирующая НЭО),
- Гастрин-продуцирующая опухоль (гастринома).
Классификация по степени злокачественности [2,4]
- Классификации ВОЗ для НЭО ЖКТ и поджелудочной железы:
- Grade I — нейроэндокринная опухоль (NET G1) — высокодифференцированная, количество митозов
- Grade 2 (NET G2) — высокодифференцированная опухоль, количество митозов 2–20, индекс Ki67 2–20 %;
- Grade 3 нейроэндокринный рак (NEC G3) — низкодифференцированная, количество митозов >20, индекс Ki67 >20 %;
- Смешанная аденонейроэндокринная карцинома (MANEC);
- Гиперпластические и предопухолевые процессы.
Алгоритм лечения зависит от типа и распространенности опухоли и ориентирован на классификации ВОЗ (2010) и рекомендации Европейского общества по изучению НЭО (ENETS) (2016). В настоящее время ENETS и ВОЗ предложено делить НЭО ЖКТ по степени их злокачественности (Grade) на 3 основные группы — Gl, G2, G3, а также по TNM [2].
Таблица 1. Характеристика клинико-патологических форм НЭО желудка [3,4]

Клинико-патологические формы НЭО желудка
I тип
70–80 % нейроэндокринных опухолей желудка являются опухолями I типа: диаметр менее 10 мм, опухоли множественные. Часто у пациентов хронический атрофический гастрит в анамнезе. Опухоли локализуются в дне или теле желудка. При микроскопии трабекулярное или плотное расположение клеток. Опухолевые клетки мономорфные, среднего размера, правильной формы, с округлыми ядрами. Митозы либо отсутствуют, либо редкие. Распространение опухоли ограничено слизистой или подслизистым слоем. Гастрин-зависимые НЭО желудка последовательно связаны с генерализованной пролиферацией эндокринных клеток в слизистой оболочке части органа, не пораженной опухолевым процессом. Гистопатологическая классификация была сформулирована для спектра пролиферативных поражений, представленных фундальными эндокринными клетками пациентов с гипергастринемией. Эта классификация распределяет опухоли I типа в последовательности, предположительно отражающей временную эволюцию процесса и увеличивающийся онкологический риск для пациентов. Диагностика НЭО желудка требует эффективного гистопатологического, биохимического и диагностического анализа изображений [3].
Большинство опухолевых клеток первого типа являются позитивными в отношении эндокринных маркеров, таких как хромогранин А (CgA), нейрон-специфическая енолаза (NSE) и транспортер везикулярного моноамина 2, которые характеризуют клетки как гистамин-продуцирующие. Определение экспрессии CgA может быть полезным диагностическим тестом при подозрении на НЭО желудка первого типа. Но концентрация CgA коррелирует с количеством энтерохромаффиноподобных клеток; таким образом, патологически высокая концентрация CgA не является ни патогномоничной, ни необходимой для диагностики НЭО желудка первого типа. Маркер пролиферации MKI67 обычно экспрессируется менее чем в 2 % опухолевых клеток. Опухоли обычно развиваются бессимптомно, диагноз ставят случайно во время гастроскопии. Разрушение париетальных клеток из-за хронического атрофического гастрита в течение длительного времени может привести к снижению секреции внутреннего фактора Касла и, как следствие, к нарушению всасывания витамина B12. Таким образом, дефицит витамина B12 и гиперхромная макроцитарная анемия часто связаны с аутоиммунным атрофическим гастритом и гипергастринемией [3].
НЭО желудка первого типа очень редко метастазируют (5 % для локальных лимфатических узлов, менее 2 % с отдаленными метастазами), без связанных с этим случаев смерти и при стопроцентной длительной выживаемости. Эндоскопическое ультразвуковое исследование может быть полезным для получения картины локализованного заболевания (то есть отсутствия инфильтрации в подслизистом слое), в то время как компьютерная томография (КТ) может выявить метастазы в печени. В зависимости от размера и количества поражений эндоскопическая резекция опухоли является методом выбора [3].
II тип
III тип
14–25 % НЭО желудка относятся к III типу и являются гастрин-независимыми, опухоли большие (>2 см, в среднем 5,1 см), обычно встречаются поодиночке и растут из тела/дна желудка. Находящиеся рядом участки слизистой оболочки желудка без атрофических изменений. НЭО желудка III типа агрессивны и отличаются глубокой инвазией, ранним формированием метастазов. Прогноз неблагоприятный. Как правило, более 2 % опухолевых клеток экспрессируют маркер пролиферации MKI67, но отрицательны на CgA. Гистологически этот тип опухоли характеризуется большими, плохо определяющимися твердыми агрегатами или диффузными массами круглых или веретенообразных клеток. Обнаружены обильные митозы (>1 в поле зрения микроскопа при большом увеличении), часто встречается очаговый некроз. Ультраструктурные исследования подтверждают наличие эндокринных гранул.
Хирургическая резекция и диссекция лимфатического узла являются методом выбора. В зависимости от локальных характеристик роста злокачественных опухолей типа III, лечение может включать расширенную радикальную операцию резекции желудка и регионарную лимфаденэктомию [3].
IV тип
НЭО желудка IV типа — это редкие, крупные, слабо дифференцированные опухоли, которые являются крайне злокачественными. Самая большая из известных НЭО желудка IV типа составляет 16 см. В большинстве случаев во время диагностики НЭО желудка IV типа уже видна инвазия в лимфатические и кровеносные сосуды. Картина при низкодифференцированных НЭО желудка IV характеризуется тяжелой патологией с преобладающей твердой структурой, обильным центральным некрозом и выраженным клеточным атипизмом с частыми атипичными митозами и высоким уровнем MKI67 (>30). CgA обычно отсутствует или экспрессируется только в очаге, что согласуется с небольшим количеством электронно-плотных гранул в ультраструктуре. Выражена экспрессия синаптофизина и цитозольных маркеров NSE и PGP9.5. Несмотря на редкость, низкодифференцированные опухоли IV типа заслуживают особого внимания из-за их агрессивного характера и неблагоприятного прогноза: медиана выживаемости составляет от 6,5 до 14,9 месяцев [3].
НЭО желудка IV типа требует хирургической резекции с последующей химиотерапией и комбинированной адъювантной терапией [3].
Нейроэндокринные опухоли

Нейроэндокринные опухоли — гетерогенная группа новообразований, происходящих из нейроэндокринных клеток эмбриональной кишки, обладающих биологически активными свойствами. Впервые нейроэндокринная опухоль (НЭО) была описана Отто Лурбаршем в 1867 году [1]. Гиперфункция нейроэндокринных клеток, связанная с секрецией регуляторных пептидов, обуславливает развитие определенных синдромов [2].
Эпидемиология
Ранее НЭО считали редкими заболеваниями, но согласно последним эпидемиологическим данным, распространенность значительно возросла за последние 30 лет без существенных изменений в выживаемости [3]. Как правило, диагноз пациентам ставят довольно поздно (через 5–7 лет), поскольку эти опухоли не имеют специфических симптомов и отсутствуют чувствительные и специфические методы раннего выявления. Как следствие, большинство пациентов не получают необходимую медицинскую помощь на ранней стадии. В таком случае существует ограниченное число специфических противоопухолевых методов лечения. Доступные методы лечения продлевают жизнь, но не излечивают болезнь [5].
В России пока нет статистических данных по заболеваемости нейроэндокринными опухолями.
Данные реестра SEER (Surveillance, Epidemiology, and End Results) в США
Заболеваемость НЭО на 1 января 2004 года составила 5,25 случаев на 100 000 населения. Наиболее частая локализация опухолей (66 %) — желудочно-кишечный тракт, а преобладающее место расположения — слепая кишка (17,1%), прямая кишка (16,3 %). Около 30 % НЭО встречаются в бронхопульмональной системе. По данным SEER, 50 % больных на момент установления диагноза уже имеют метастазы в лимфатических узлах или отдаленные метастазы [4].
В период с декабря 2015 года по февраль 2017 года было проводилось ретроспективное популяционное исследование с использованием данных из программы SEER. В рамках исследования были изучены карты 64 971 пациента с НЭО в период с 1973 по 2012 год. Данные были использованы для определения годовой заболеваемости с учетом возраста, распространенности и пятилетней общей выживаемости. Тенденции выживаемости с 2000 по 2012 годы оценивались для всей когорты, а также для конкретных подгрупп, включая запущенные опухоли ЖКТ.
Результаты
Из 64 971 случая НЭО 34 233 (52,7 %) были женщины. Коэффициент заболеваемости с учетом возраста увеличился в 6,4 раза с 1973 года (1,09 на 100 000) до 2012 года (6,98 на 100 000). Это увеличение произошло в отношении всех локализаций и стадий. В базе данных SEER (2000–2012 годы) самые высокие показатели заболеваемости: 1,49 на 100 000 опухоли легкого, 3,56 на 100 000 в ЖКТ и 0,84 на 100 000 в НЭО с неизвестным первичным участком.
Согласно многомерному анализу, средний показатель пятилетней выживаемости значительно варьировался в зависимости от стадии, степени, возраста на момент постановки диагноза, первичного участка и периода диагностики. Уровень общей выживаемости для всех НЭО улучшился с периода 2000–2004 гг. до периода 2009-2012 гг. Еще большее увеличение общей выживаемости между этими периодами было отмечено в отношении запущенных опухолей ЖКТ и в НЭО поджелудочной железы [6].
Среди НЭО есть функционирующие опухоли — синтезируют пептиды, и нефункционирующие опухоли, не синтезирующие пептиды.
Классификация по локализации первичной опухоли [2]:
• НЭО тонкой кишки, двенадцатиперстной кишки;
• НЭО поджелудочной железы:
— Гастринома (продукция гастрина, проявление — синдром Золлингера-Эллисона);
— Инсулинома (продукция инсулина, проявление — гипогликемия);
— ВИПома (продукция вазоинтестинального пептида, проявление — диарея, гипокалиемия, ахлоргидрия);
— Соматостатинома (продукция соматостатина, проявление — диабет, стеаторея, желчнокаменная болезнь);
— Глюкагонома (продукция глюкагона, проявление — некротическая сыпь, диабет, кахексия);
— Кальцитонинома (продукция кальцитонина);
— АКТГома (продукция АКТГ, проявление — синдром Кушинга).
• Другие очень редкие гормонпродуцирующие опухоли:
— НЭО червеобразного отростка;
— НЭО ободочной кишки;
— НЭО прямой кишки;
— Опухоли надпочечника (феохромоцитома, параганглинома).
• Множественная эндокринная неоплазия I типа (МЭН 1):
— Гиперпаратиреоз;
— Гастринома;
— Глюкагонома, инсулинома;
— ВИПома, полипептидома поджелудочной железы, соматостатинома, нефункционирующие опухоли;
— Опухоли гипофиза: пролактинома, синдрома Кушинга, акромегалия, аденома (продуцирующая ТТГ), нефункционирующая аденома;
— Опухоль надпочечника;
— Бронхиальный карционоид и тимуса;
• Множественная эндокринная неоплазия II типа (МЭН 2):
— Медуллярный рак щитовидной железы;
— Феохромоцитома;
— Гиперпаратиреоз;
— Марфаноподобный синдром;
— Слизистые невромы;
— Амилоидоз Lichen planus.
• НЭО без выявленного первичного очага;
• Карцинома из клеток Меркеля.
Классификация НЭО по злокачественности (информация на основании гистологического исследования) [6]:
G2 — умеренно дифференцированные;
G4 — недифференцированные, или анапластические, — самые агрессивные.
Диагностика
Рекомендуется тщательный сбор жалоб и анамнеза у пациента. Клинические проявления связаны в основном с локализацией опухоли, а также при функционирующих опухолях с синдромами, вызванными продукцией биологически активных веществ. В связи с разнообразием возникающих синдромов болезнь может длительно маскироваться под другие заболевания, что очень затрудняет постановку правильного диагноза. Нефункционирующие опухоли могут протекать бессимптомно в течение длительного времени и часто бывают случайной находкой при обследовании по другим причинам. Клинические симптомы при нефункционирующих НЭО неспецефичны. Они могут быть обусловлены локальным распространением опухоли или метастатическим процессом [2].
Окончательный диагноз ставится на основании морфологических исследований: гистологическое и +/- цитологическое + иммуногистохимическое [2].
Биохимическими маркерами являются те гормоны или амины, которые секретируются нейроэндокринными клетками, из которых происходят эти опухоли. Некоторые из них не являются специфичными для какой-либо опухоли, но вырабатываются и секретируются большинством опухолей, тогда как другие биохимические маркеры более специфичны для типа опухоли и их количественное определение может привести к подозрению или подтверждению наличия такой опухоли. К сожалению, не существует идеального маркера НЭО. Чувствительность и специфичность каждого маркера варьируются, и, как правило, можно выбрать те, которые имеют наибольшую ценность для конкретного клинического синдрома [5].
Нейроэндокринные опухоли ЖКТ могут быть обнаружены случайно при лапароскопии из-за боли в животе, во время хирургического удаления аппендикса или даже во время компьютерной томографии брюшной полости для необъяснимых симптомов. НЭО легкого могут проявляться симптомами кровохарканья или астмы, а НЭО кишечника могут быть перепутаны с синдромом раздраженного кишечника. Анамнез этого заболевания неизменно сопровождается длинной историей неопределенных абдоминальных симптомов, сериями посещений врача терапевта и обращением к гастроэнтерологу, часто с ошибочным диагнозом. К моменту постановки правильного диагноза опухоль метастазирует и прогрессирует, пока пациент не умрет [5].
Генетика нейроэндокринного онкогенеза вариативна в зависимости от конкретной опухоли.
Источники:
1. Lubarsch O. Ueber den primären Krebs des Ileum nebst Bemerkungen über das gleichzeitige Vorkommen von Krebs und Tuberculose //Archiv für pathologische Anatomie und Physiologie und für klinische Medicin. – 1888. – Т. 111. – №. 2. – С. 280-317.
2. Бохян В. Ю. и др. Клинические рекомендации по диагностике и лечению нейроэндокринных опухолей // Ассоциация онкологов России. Российское общество клинической онкологии. – 2018.
3. Modlin I. M. et al. Gastroenteropancreatic neuroendocrine tumours //The lancet oncology. – 2008. – Т. 9. – №. 1. – С. 61-72.
4. Yao, J-C. One hundred years after "carcinoid": epidemiology of and prognostic factors for neuroendocrine tumors in 35,825 cases in the United States./ J-C. Yao, M.Hassan, A.Phan. et al. // J Clin Oncol 2008.- 26. - 3063–3072.
5. Öberg K., Castellano D. Current knowledge on diagnosis and staging of neuroendocrine tumors //Cancer and Metastasis Reviews. – 2011. – Т. 30. – №. 1. – С. 3-7.
6. Dasari A. et al. Trends in the incidence, prevalence, and survival outcomes in patients with neuroendocrine tumors in the United States //JAMA oncology. – 2017. – Т. 3. – №. 10. – С. 1335-1342.
Читайте также:
