Лучевая диагностика несовершенного амелогенеза
Добавил пользователь Евгений Кузнецов Обновлено: 24.10.2025
Статья была ранее опубликована в журнале European Archives of Paediatric Dentistry 11 (выпуск № 4), 2010.
Предпосылки и материалы исследования
Дети, страдающие несовершенным амелогенезом (amelogenesis imperfecta, AI), испытывают множество трудностей в отношении полости рта, включая повышенную чувствительность зубов и эстетическую неудовлетворенность. Спектр методов лечения детей с AI ограничен, а потому целью данного исследования являлась оценка специализированной программы лечения с точки зрения ее эффективности в таких аспектах, как профилактическое и реставрационное лечение.
Исследуемые клинические случаи
Оценивалась нерандомизированная удобная выборка из 12 пациентов с AI. Сначала по каждому пациенту был собран всесторонний анамнез, затем проведена клиническая и рентгенографическая оценка состояния здоровья полости рта. У 8/12 пациентов была диагностирована гипопластическая форма AI, в 2/12 случаев было отмечено гипосозревание (гипоматурация) и в 2/12 случаев гипокальцификация. Жалобы пациентов в основном сводились к неудовлетворительной эстетике и повышенной чувствительности зубов. У 8 пациентов наблюдался активный кариес. Также у большинства пациентов отмечен гингивит, хотя уровень гигиены полости рта удовлетворительный. Наконец, у 9 пациентов зафиксированы аномалии зубов, не связанные с эмалью.
Материалы и методы лечения
У всех пациентов в первую очередь проведена тщательная профилактика. Начальные этапы непосредственного лечения включали в себя меры, выбираемые в зависимости от типа AI и общего уровня здоровья полости рта пациента. Во время переходного периода проводилось лечение жевательных зубов с использованием как традиционных, так и модифицированных композитом стеклоиономерных цементов, а также реставрационных стоматологических композитов. Для улучшения внешнего вида зубов фронтальной группы были выполнены прямые реставрации из композитных материалов. У 4 пациентов потребовалось комплексное долговременное лечение, включавшее в себя ортодонтическую терапию, установку металлокерамических коронок и частичных фиксированных протезов, а также выполнение прямых композитных реставраций.
Последующее наблюдения
Сроки изучения отдаленных результатов исследования варьировались от 2 до 11 лет. Всех детей вызывали на повторные осмотры с периодичностью раз в три месяца. На протяжении всего наблюдаемого послеоперационного периода частота случаев развития кариеса у пациентов оставалась низкой, и все пациенты отметили свою удовлетворенность проведенным лечением.
Выводы
AI сопровождается многими аномалиями, не связанными непосредственно с эмалью, а потому требует комплексного лечения. При планировании лечения следует принимать во внимание возраст пациента, тип и тяжесть заболевания, а также общий уровень состояния здоровья полости рта пациента. Ранняя диагностика, профилактические меры и своевременное лечение имеют важнейшее значение для улучшения состояния здоровья полости рта у детей, страдающих AI.
Введение
Несовершенный амелогенез (Amelogenesis imperfecta, AI) — это состояние, включающее в себя генетически и клинически различные группы наследственных нарушений, которые в основном затрагивают объем, структуру и состав зубной эмали (Witkop, 1988). Количество зафиксированных случаев AI различается в зависимости от популяции: от 1:14,000 в США до 1:4,000 в Швеции (Witkop, 1988; Sundell, 1986). Тип наследования заболевания может быть аутосомно-доминантный, аутосомно-рецессивный или связанный с Х-хромосомой (Bailleul-Forestier et al., 2008). Для классификации AI предлагались различные системы, но система классификации Уиткопа (Witkop, 1986), основанная на родословной и фенотипе, является самой распространенной.
Классификация
Согласно классификации Уиткопа, позднее уточненной Nusier et al. (2004), существует четыре основных формы AI: гипопластическая форма, гипокальцификационная форма, гипоматурационная форма и AI в сочетании с тауродонтизмом. Различия между типами связаны с тем, на какой стадии формирования находилась эмаль зуба на момент развития нарушения. Гипопластический AI характеризуется дефектами секреторного процесса амелобластов, в результате чего образуется тонкая или покрытая ямками эмаль, которая может как быть нормальной, так и иметь изменения структуры или состава. Гипокальцификационная форма AI развивается в случае неспособности эмалевых призм нормально образовать ядро, что приводит к атипичному росту эмалевых призм и снижению количества минеральных веществ в эмали. Нарушение переработки матриксных протеинов на стадии созревания приводит к развитию гипоматурационного AI — это происходит либо в результате аномальной сегментации матриксных протеинов эмали, либо в результате атипичной активности протеиназы.
Генетические факторы
Хотя традиционно считается, что AI провоцируется генами, вовлеченными в первую очередь в формирование эмали, этому нарушению может также сопутствовать целый ряд других явлений, не связанных с эмалью (Collins et al., 1999). Неизвестно, являются ли неэмалевые проявления, ассоциирующиеся с AI, прямым результатом тканеспецифической экспрессии генов или же лишь побочными эффектами. Возможно, что некоторые неэмалевые проявления, ассоциирующиеся с AI, могут быть результатом воздействия ген-модификаторов или влияния окружающей среды (Collins et al., 1999). Неэмалевые проявления, часто ассоциирующиеся с AI, — это тауродонтизм (Seow, 1993a), позднее прорезывание зубов и/или их неудавшееся прорезывание, резорбция коронки зуба и кальцификация пульпы. Кроме того, было доказано, что AI часто сопровождает некоторые черепно-лицевые аномалии, такие как суженная верхнечелюстная дуга (в форме омеги), обратная кривая Шпее, вертикальный тип роста, а также открытый прикус с наличием либо отсутствием выраженной щели между передними зубами, приводящим к окклюзионной нестабильности (Aren et al., 2003; Rowley et al., 1982).
Клиническое проявление
Клинические проявления AI заметно различаются в зависимости от типа AI; самые явно выраженные нарушения встречаются у гипопластического типа AI — вплоть до почти полного отсутствия эмали, не выявляемой ни клинически, ни рентгенографически. Однако чаще всего при гипопластическом AI эмаль тонкая, покрытая ямками, имеет желто-коричневый оттенок и высокую твердость. При гипоматурационном AI эмаль мягкая, опаковая, покрытая белыми, желтыми или коричневыми пятнами. При гипокальцифицированном AI наблюдается высокая истертость эмали, кроме того, она легко отделяется от подлежащего дентина. Дентин, затронутый AI, подвергается гистологическим изменениям вследствие утраты гипопластической эмали и становится гиперминерализированным; таким образом, морфологическая картина, наблюдаемая у дентина, пораженного AI, схожа со склеротизированным дентином (Sanchez-Quevedo et al, 2004).
Требования к лечению
Основные клинические проблемы, возникающие у пациентов с AI независимо от типа нарушения, — это неудовлетворительная эстетика, повышенная чувствительность зубов и уменьшение вертикального окклюзионного расстояния вследствие быстрого истирания зубов (Seow, 1993b). Пациенты, страдающие AI, испытывают трудности с поддержанием надлежащего уровня гигиены полости рта, их самооценка занижена из-за внешнего вида зубов, и в целом они считают, что их состояние оказывает значительное негативное влияние на качество их жизни (Coffield et al., 2005). На сегодняшний день AI все еще с трудом поддается диагностике из-за отсутствия объективных рентгенографических и клинических критериев. Полная оральная реабилитация пациентов, страдающих AI, важна не только с точки зрения эстетики и функциональности зубов, но и для предотвращения возможных психологических проблем. Все еще не существует стандартных формул, протоколов или методических указаний для успешного лечения подобных пациентов. Эффективность адгезии композитных материалов к зубам, пораженным AI, может во многом зависеть от того, как эмаль пациента среагирует на протравливание кислотой (Seow and Amaratunge, 1998). Существует целый ряд методов протравливания эмали, и следует тщательно подходить к выбору метода в каждом случае, стремясь сохранить пораженную эмаль; данный принцип может стать одним из основополагающих, особенно при работе с детьми. Таким образом, возможно отложить более радикальные методы лечения на более поздний срок. Имеющаяся литература по клиническим и реставрационным аспектам лечения AI в основном сводится к анализу отдельных клинических случаев. И, хотя для некоторых пациентов более консервативные методы лечения вполне подходят, в наиболее тяжелых случаях заболевания достичь баланса между эстетичностью реставрации и функциональностью и стабильностью окклюзии зачастую непросто. Целью данного исследования было, таким образом, оценить уровень состояния здоровья полости рта и клиническую эффективность проведенного профилактического и реставрационного лечения у детей, страдающих AI.
Материалы и методы исследования
Субъекты исследования. Нерандомизированная удобная выборка данного исследования состояла из 12 детей с AI без дополнительных патологий. Пациенты с дефектами развития эмали иного происхождения, а также те, у кого AI ассоциировался с иными синдромами, не были включены в исследование. Дополнительным критерием отбора явился тот факт, что все пациенты в прошлом проходили лечение только в Клинике педиатрической стоматологии (Белград). Был проведен тщательный сбор анамнеза, чтобы исключить прочие системные состояния, расстройства питания, а также другие наследственные заболевания, схожие по симптомам с AI. Также была изучена история схожих дефектов у членов семьи (отец, мать, братья, сестры). Были составлены списки всех терапевтических мероприятий, предшествовавших данному исследованию, а также времени их проведения.
Стоматологическое лечение. На следующем этапе была произведена оценка потребности пациентов в стоматологическом лечении, по результатам которой каждому рекомендован профилактический режим. Произведены все необходимые стоматологические процедуры, после которых пациентов регулярно вызывали для повторного осмотра каждые 3 месяца. При поступлении в клинику для каждого пациента проводился осмотр и диагностировался тип AI на основе классификации Уиткопа (Witkop, 1988). Диагностические процедуры во время обследования у всех пациентов проводил один и тот же исследователь (DM). Всех пациентов фотографировали во время их первого визита. Позднее к исследованию подключились два других специалиста (ТР и ВР) для подтверждения диагноза, изначальный же диагноз ставился слепым методом. Что касается фотографий и рентгеновских снимков субъектов исследования, каждый из исследователей был аттестован для оценки снимков, и по результатам индекс согласованности заключений исследователей Kappa равнялся 0.89. Во время первого визита для каждого пациента были записаны основные жалобы и комментарии по состоянию здоровья, а также проведена диагностика кариеса согласно критериям ВОЗ (1997). Уровни гигиены полости рта и здоровья десен оценивались с помощью упрощенного индекса гигиены полости рта OHI (Green and Vermillion, 1964) и гингивального индекса (GI) (Loe, 1967) соответственно. Также у всех 12 пациентов, страдающих AI, были сделаны панорамные снимки зубных рядов для составления индивидуальных списков аномалий зубов. На предмет аномалий оценивались все постоянные зубы, за исключением третьих моляров. Дентальная панорамная томография использовалась для подтверждения наличия тауродонтизма, гиподонтии, запоздалого прорезывания зубов, патологической резорбции корней зубов и кальцификации пульпы. Состояние классифицировалось как тауродонтизм в тех случаях, когда размер удлинения пульпарной камеры за счет апикального смещения зоны разделения корней превышал половину значения коронально-апикального диаметра на снимке. Зуб классифицировался как врожденно отсутствующий в тех случаях, когда наблюдалось его полное отсутствие на рентгеновском снимке, а в истории болезни не имелось упоминаний об удалении этого зуба. Запоздалое прорезывание зубов определялось как наличие зуба с полностью сформированной верхней частью, целиком находящегося под поверхностью слизистой оболочки. Резорбция коронковой части зуба определялась как наличие неровных, пятнистых областей в коронковой части зуба, наблюдаемых только на непрорезавшихся зубах. Резорбция корня зуба фиксировалась только для полностью прорезавшихся постоянных зубов с явно выраженными признаками резорбции корня, наблюдаемыми визуально. Кальцификация пульпы фиксировалась как для прорезавшихся, так и для непрорезавшихся зубов; признаком ее наличия было принято считать присутствие опаковых областей внутри пульпарной камеры.
План лечения. Для каждого пациента был разработан индивидуальный профилактический и терапевтический протокол лечения совместно со специалистами смежных областей. Предлагаемые лечебные процедуры были обсуждены с пациентами и их родителями. Далее один специалист (DM) производил все реставрационные процедуры, а два других терапевта (ТР и ВР) проводили профилактические процедуры. Решение о дальнейших схемах профилактического лечения принималось на основании консенсуса между всеми тремя специалистами, участвовавшими в данном исследовании.
Последующее наблюдение. Во время периода последующего наблюдения тот же специалист (DM) оценивал клиническую эффективность лечения и уровень удовлетворенности пациентов результатами лечения. Клиническая эффективность оценивалась с точки зрения функциональной целостности реставраций (неповрежденная/растрескавшаяся реставрация, мобильная реставрация, утраченная реставрация), наличия вторичного кариеса (наличие кариеса в области границы реставрации очевидно при визуальном осмотре и при тестировании зондом) и признаков патологии пульпы (повышенная чувствительность, боль, отек), а также эстетической реабилитации. Уровень удовлетворенности пациента результатами лечения оценивался спустя две недели после завершения каждого из этапов лечения.
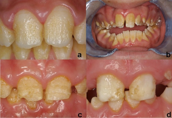
Диагностика. Выборка для исследования состояла из 12 пациентов (5 мальчиков и 7 девочек) в возрасте от 4 до 17 лет (10.6±4.6 лет) на момент обращения. Во всех случаях имелся доступ к семейному анамнезу. Наличие схожих дефектов развития эмали у членов семьи было подтверждено у 9 пациентов. У 8/12 пациентов была диагностирована гипопластическая форма AI, в 2/12 случаев была отмечена гипоматурация и в 2/12 случаев гипокальцификация. Жалобы пациентов в основном сводились к неудовлетворительной эстетике и повышенной чувствительности зубов. Состояние здоровья полости рта пациентов на момент начала исследования суммировано в таблице № 1. У 8 пациентов наблюдался активный кариес (рис. 1).
Рис. 1. Снимок полости рта пациента, страдающего amelogenesis imperfecta и демонстрирующего высокую кариозную активность.
Также у большинства пациентов отмечен гингивит, хотя уровень гигиены полости рта удовлетворительный. Наконец, у 9 пациентов зафиксированы аномалии зубов, не связанные с эмалью (табл. № 2).
Таблица № 1. Состояние здоровья полости рта на момент начала исследования и рекомендованная начальная терапия для группы сербских детей, страдающих amelogenesis imperfecta
Композитные реставрации: 2 постоянных моляра, 6 верхнечелюстных фронтальных зубов
Несовершенный дентиногенез
Несовершенный дентиногенез – наследственный порок развития дентина. При 1 типе заболевания зубы приобретают серый цвет, форма коронок чаще в пределах нормы, наблюдается патологическая стираемость. Дети жалуются на повышенную кровоточивость десен, появление подвижности зубов. При 2 типе выявляют зубы янтарного цвета с прогрессирующим стиранием эмали, вследствие чего возникает гиперестезия дентина. Диагностика включает сбор анамнеза, клинический осмотр, рентгенографию, ЭОД. При наличии показаний проводят эндодонтическое лечение с последующим покрытием зубов коронками. При утрате нескольких зубов целостность зубных рядов восстанавливают с помощью съемных протезов.
Общие сведения
Несовершенный дентиногенез (наследственная опалесцентность дентина) – генетически обусловленное заболевание, которое возникает вследствие нарушения закладки мезодермальной зародышевой ткани (или мезодермальной и эктодермальной при синдроме Стентона-Капдепона). В 50% случаев несовершенный дентиногенез 1 типа сочетается с несовершенным остеогенезом. Основной тип наследования - аутосомно-доминантный. Частота диагностирования несовершенного дентиногенеза 1 типа составляет 1:50000. Заболевание чаще выявляют у представителей мужского пола. Поражаться могут как временные, так и постоянные зубы, но во временном прикусе несовершенный дентиногенез выявляют чаще.
Несовершенный дентиногенез 2 типа передается аутосомно-доминантным путем с полной пенетрантностью. Является наиболее распространенной формой заболевания, частота встречаемости в популяции 1:8000. Поражаются в равной степени временные и постоянные зубы. Заболевание было описано в 1892 году Стентоном, через 13 лет в 1905 году - Капдепоном. Несовершенный дентиногенез 3 типа выявляют очень редко в изолированных популяциях США и среди евреев-ашкенази.
Причины несовершенного дентиногенеза
Несовершенный дентиногенез развивается в результате нарушения формирования дентина на этапе дифференцировки тканей. Вследствие этого образуется аморфный, неорганизованный, атубулярный дентин с высоким содержанием органических веществ. Несовершенный дентиногенез 1 типа проявляется дефицитом образования коллагена. 2 тип заболевания связан с мутацией дентин-сиало-фосфопротеинового гена (DSPP), который кодирует образование специфического матричного белка (расположен в четвертой хромосоме). Причиной 3 типа несовершенного дентиногенеза являются нарушения дентинового матрикса фосфопротеина 1 (DMPI).
Гистологические изменения при трех формах несовершенного дентиногенеза выглядят следующим образом: в поверхностном слое нормальная структура дентина сохранена. В околопульпарном дентине наряду с участками, содержащими аномальные дентинные канальцы, встречаются и зоны полного их отсутствия.
Классификация несовершенного дентиногенеза
Наиболее часто в стоматологии используют классификацию несовершенного дентиногенеза по Shields:
- 1 тип несовершенного дентиногенеза. Строение эмали в пределах нормы. Нарушается структура околопульпарного дентина. Дентинные трубочки сужены, облитерированы. Наблюдается гипоминерализация дентина. Преколлагеновые волокна не превращаются в коллагеновые.
- Синдром Стентона-Капдепона (2 тип). Характеризуется нарушением строения эмали, уменьшением ее толщины, неоднородной структурой дентина, прогрессирующей кальцификацией пульповой камеры, дегенеративными изменениями в цементе. В дентине уменьшено количество трубочек, отмечается низкое содержание минеральных веществ.
- 3 тип несовершенного дентиногенеза. Дентинный матрикс атипичен, с характерными проявлениями фиброза. Наблюдается увеличенное количество интерглобулярного дентина, неоднородное строение припульпарного дентина, расширение пульповой камеры.
Симптомы несовершенного дентиногенеза
При несовершенном дентиногенезе 1 типа величина и размеры зубов, сроки прорезывания - в пределах нормы. Основные жалобы сводятся к появлению кровоточивости десен, может наблюдаться подвижность зубов 1-2 степени. Иногда встречается луковицеобразная форма коронок. Зубы приобретают более интенсивную водянисто-серую окраску. Часто диагностируют переломы корней, признаки патологической стираемости. Если несовершенный дентиногенез 1 типа ассоциирован с несовершенным остеогенезом, то тяжесть поражения зубов не коррелирует с тяжестью основного заболевания.
Синдром Стентона-Капдепона, как правило, является изолированной патологией. Зубы янтарного, водянисто-серого цвета, опалесцируют. Зафиксированы редкие случаи фиолетовой окраски. Иногда встречаются укороченные клинические коронки в форме луковицы. При несовершенном дентиногенезе 2 типа наблюдается прогрессирующая облитерация пульповых камер, которая начинается еще до момента прорезывания. Эмаль быстро скалывается, что приводит к оголению дентина, снижению высоты прикуса, смещению головки височно-нижнечелюстного сустава.
Вследствие окрашивания дентина зубы приобретают коричневый оттенок. Корни искривлены и истончены. Возможна ретенция постоянных зубов или, наоборот, их ранняя смена. При несовершенном дентиногенезе 3 типа коронки постоянных зубов имеют форму колокола. Цвет может изменяться от желто-коричневого до серо-голубого. Наблюдаются множественные вскрытия пульповой камеры временных зубов.
Диагностика несовершенного дентиногенеза
Важным этапом диагностики является сбор анамнеза с целью выявления наследственных факторов заболевания. Клинические признаки варьируют в зависимости от формы несовершенного дентиногенеза. В ходе физикального осмотра врач-стоматолог определяет изменение цвета зубов. Коронки приобретают атипичную шаровидную форму вследствие значительного сужения в области шейки. Также выявляют патологическую стираемость, снижение нижней трети лица.
Рентгенологическими признаками несовершенного дентиногенеза 1 типа являются истончение кортикального слоя челюсти, крупноячеистое строение губчатого вещества, медленно прогрессирующее кальцифицирование корней после прорезывания. При синдроме Стентона-Капдепона с помощью рентгенографии выявляют уменьшенные пульповые камеры, облитерированные каналы. Часто диагностируют периапикальные очаги разрежения костной ткани. При проведении электроодонтодиагностики определяют снижение показателей возбудимости пульпы.
Дифференцировать несовершенный дентиногенез необходимо не только с несовершенным амелогенезом, дисплазией дентина, кислотным некрозом, аномалиями развития зубов, но и с другими изменениями дентина, ассоциированными с общими заболеваниями. Речь идет о брахиоскелетогенитальном синдроме, мраморной болезни, гипофосфатазии, синдроме Элерса-Данлоса. С целью выявления генетически детерминированных факторов заболевания показана медико-генетическая консультация.
Лечение несовершенного дентиногенеза
Лечение несовершенного дентиногенеза требует комплексного подхода. Основная задача – максимально щадящим способом сохранить зубы. С этой целью показана реминерализирующая терапия. В качестве препаратов для восстановления минерального состава используют кальций- и фторсодержащие средства. При наличии апикальных очагов разрежения костной ткани проводят эндодонтическое лечение с последующим покрытием зубов коронками. В случае утраты зубов показано ортопедическое лечение. Для замещения дефектов зубных рядов, а также с целью предотвращения развития зубочелюстных деформаций применяют съемные протезы. Несъемные мостовидные конструкции при несовершенном дентиногенезе используют редко. Повышение высоты прикуса проводят с помощью съемных капп.
Если несовершенный дентиногенез является изолированной патологией, прогноз более благоприятный. При раннем обращении пациентов, эффективном эндодонтическом лечении, своевременном покрытии пораженных зубов коронками функциональную целостность зубочелюстной системы удается сохранить.
Несовершенный амелогенез
Несовершенный амелогенез – это генетически детерминированные нарушения структуры эмали зубов. Основные жалобы сводятся к изменению цвета зубов, повышению их чувствительности, появлению на поверхности эмали углублений, борозд, ямок. Постановка диагноза «несовершенный амелогенез» базируется на основе собранного анамнеза, данных физикального осмотра, результатов рентгенографии. Лечение направлено на устранение эстетического и функционального дефектов. При несовершенном амелогенезе показаны реминерализирующая подготовка, восстановление формы и цвета зубов с помощью реставраций или путем протезирования.
Несовершенный амелогенез (коричневая дистрофия эмали) – наследственное заболевание, которое возникает вследствие нарушения закладки и формирования эктодермальных листов, проявляется дефектами эмали временных и постоянных зубов. Различают 3 типы наследования несовершенного амелогенеза: аутосомно-доминантный, аутосомно-рецессивный и Х-сцепленный. Популяционная частота - 1:7000-1:14000. Из всех наследственных поражений эмали наиболее часто встречается гипокальцификация с аутосомно-доминантным типом наследования, частота диагностирования которой достигает 1:20000. Страдают в равной степени представители женского и мужского пола. Несовершенный амелогенез может быть не только изолированной патологией, но и сочетаться с другими системными нарушениями. Часто встречаются комбинации несовершенного амелогенеза с суженной дугой верхней челюсти, обратной кривой Шпее, вертикальным типом роста, открытым скелетным прикусом.
Причины несовершенного амелогенеза
Несовершенный амелогенез является наследственным пороком развития эмали. Передача мутантного генетического материала осуществляется как через половую Х-хромосому, так и через аутосомы. При аутосомно-доминантном типе наследования вероятность проявления заболевания у потомства составляет 50%, при аутосомно-рецессивном – 25%. Основной причиной несовершенного амелогенеза являются мутации гена амелогенина, который связан с Х-хромосомой. Всего различают до 14 таких мутаций.
Ген KLK4 (относится к семейству генов калликреина) расположен в участке теломеры 19 хромосомы. При патологической активности KLK4 формируются кристаллы эмали меньшей толщины. Ген MMP-20 кодирует образование фермента - кальций-зависимой протеиназы, влияет на образование органического матрикса эмали. Ген DLX3 регулирует процессы остеогенеза, ассоциирован с развитием несовершенного амелогенеза, также находится в непосредственной связи с возникновением трихо-денто-оссального синдрома, тауродонтизма. Роль генов, локализированных в 4 хромосоме (энамелина, амелобластина, амелотина), в происхождении несовершенного амелогенеза остается недостаточно изученной.
Классификация несовершенного амелогенеза
В стоматологии различают четыре основные формы несовершенного амелогенеза:
- Гипопластический тип. Возникает при нарушении дифференцировки тканей. При развитии гипопластической формы нарушается секреторная деятельность амелобластов.
- Гипоматурация. Развивается при сбое на этапах формирования и первичной минерализации эмалевой матрицы. Толщина эмали в пределах нормы, но содержание минеральных веществ снижено. При гипоматурации наблюдаются следующие изменения: патологическое расщепление эмалевых матричных белков – протеинов, аномальная протеиназная активность.
- Гипокальцификационная форма несовершенного амелогенеза. Возникает при нарушении фазы минерализации. Сопровождается аномальным ростом кристаллитов и уменьшением минеральной составляющей эмали.
- Гипоматурация с гипоплазией и тауродонтизмом. Сбой происходит на этапах дифференцировки тканей и наслоения эмалевой матрицы.
Симптомы несовершенного амелогенеза
Выраженность клинической картины зависит от формы несовершенного амелогенеза. Для всех четырех типов характерны следующие проявления: истончение эмали, изменение ее цвета, нарушение прозрачности, появление на щечных поверхностях углублений, частичное или полное отсутствие эмали, наличие патологической стираемости зубов.
При гипопластическом типе несовершенного амелогенеза зубы нормальной формы. Наблюдается снижение толщины эмали, вследствие чего развивается дизокклюзия. На щечных стенках в продольном направлении расположены точечные дефекты. Чашеобразные углубления часто встречаются и на жевательных поверхностях моляров, что в последующем приводит к сколу бугров, снижению высоты прикуса, смещению суставной головки височно-нижнечелюстного сустава. Цвет зубов варьирует от светло-желтого до темно-коричневого. При гипопластической форме несовершенного амелогенеза происходит задержка прорезывания зубов с резорбцией их корней.
Гипоматурационный тип несовершенного амелогенеза характеризуется нормальной толщиной эмали со сниженным содержанием минеральных веществ. Это приводит к низкой рентгеновской плотности эмали. Цвет изменяется от молочного, матово-белого (при «снежной шапке») до янтарного. Вестибулярная поверхность зубов покрыта мелкими точками, вертикальными полосами. Для гипокальцификационной формы несовершенного амелогенеза характерны следующие признаки: изменение цвета, утрата блеска, нарушение структуры, появление частых сколов. Эмаль становится мягкой, вследствие чего происходит постепенное отделение ее от дентина.
При несовершенном амелогенезе сохраняется достаточная толщина слоя эмали, как правило, только в пришеечной области, что объясняется более высоким уровнем кальцификации. Также часто наблюдается рассасывание непрорезавшихся зубов. При гипоматурации с гипоплазией и тауродонтизмом эмаль временных и постоянных зубов имеет разнообразную окраску, покрыта непрозрачными крапинками. Из-за сколов зубы при несовершенном амелогенезе приобретают различную форму: конусовидную, закругленную, цилиндрическую с изъеденными режущими краями.
Диагностика несовершенного амелогенеза
Весомое значение при проведении диагностики несовершенного амелогенеза отводится сбору анамнеза и выявлению генетически детерминированных факторов заболевания. Во время клинического обследования врач-стоматолог определяет нарушение структуры эмали в виде борозд, ямок, крапинок. Отсутствует естественный блеск, зубы выглядят «гипсовыми». При локализации поражений в участке жевательной поверхности диагностируют снижение высоты прикуса. Вследствие истончения эмали оголяется дентин, окрашивание которого приводит к изменению цвета зубов от желтого до темно-коричневого. Часто стоматологи выявляют сочетание несовершенного амелогенеза с открытым прикусом.
При проведении рентгенографии определяется меньшая толщина эмали, на коронках зубов проецируются участки различной формы неодинаковой плотности. В большинстве случаев при гипопластической форме несовершенного амелогенеза, гипоматурации и гипокальцификации пульповая камера, корневые каналы, форма корней без патологических изменений. Изредка встречается облитерация каналов по причине дистрофической кальцификации пульпы. Гипоматурация с гипоплазией и тауродонтизмом имеет характерные рентгенографические признаки: расширенная пульповая камера, укороченный корень, увеличенное расстояние от окклюзионной плоскости до участка бифуркации.
Несовершенный амелогенез необходимо дифференцировать с проявлениями несовершенного дентиногенеза, а также с такими некариозными поражениями зубов, как гипоплазия эмали, флюороз, эрозия, некроз эмали. Для определения наследственного характера несовершенного амелогенеза и выявления сочетанной системной патологии показана медико-генетическая консультация.
Лечение несовершенного амелогенеза
Основой лечения несовершенного амелогенеза является симптоматическая терапия. На первом этапе проводится реминерализирующая подготовка. С этой целью используют аппликации фтор- и кальцийсодержащих препаратов. Процедуры проводят через каждые 3 месяца. Также стоматологи рекомендуют покрывать пораженные участки эмали фторидами и в домашних условиях. Хорошего эффекта удается достичь при использовании препарата, содержащего в качестве действующего вещества казеин фосфопептид и аморфный кальций фосфат. С профилактической целью проводят герметизацию фиссур боковых зубов стеклоиономерными материалами, выделяющими фтор.
Устранение эстетического дефекта при несовершенном амелогенезе может осуществляться как с помощью реставраций, так и путем протезирования. Так как кислотное протравливание агрессивно воздействует на твердые ткани зубов, композиционные материалы рекомендуют использовать позже. На начальном этапе для восстановления жевательных поверхностей боковых зубов применяют стеклоиономерные цементы. Это обусловлено их биосовместимостью, хорошей адгезией к эмали и дентину, приемлемой эстетикой.
Использование гибридных композиционных материалов стоматологи считают временной мерой. При истончении эмали в дентине происходят компенсаторные процессы, вследствие чего его структура становится гиперминерализированной. Это в разы снижает силу химического сцепления, так как во время протравливания дентинные канальцы остаются закрытыми. Оптимальным методом восстановления эстетики и функции является ортодонтическая подготовка с последующим протезированием.
При использовании в качестве основного метода лечения несовершенного амелогенеза прямой реставрации композиционными материалами прогноз неблагоприятный, так как зубы и дальше продолжают разрушаться. Хороших стойких результатов удается достичь при выравнивании окклюзионных кривых съемной ортодонтической аппаратурой с последующим покрытием зубов коронками.
Лучевая диагностика несовершенного амелогенеза
Рентгенограмма при несовершенном амелогенезе
а) Определения:
• Несовершенный амелогенез: группа состояний, характеризующихся врожденным нарушением структуры эмали:
о Гипопластический несовершенный амелогенез (I тип): недостаток матрикса эмали
о Гипоматурационный несовершенный амелогенез (II тип): нарушение созревания нормального матрикса эмали
о Гипоминерализационный несовершенный амелогенез (III тип): нарушение минерализации нормального матрикса эмали
о Гипоматурационный/гипопластический несовершенный амелогенез (IV тип): сочетание недостатка матрикса эмали с дефектом его созревания, часто в совокупности с тауродонтизмом
б) Визуализация:
1. Общая характеристика:
• Лучший диагностический критерий:
о Тонкая эмаль
о Одинаковая плотность эмали и дентина
• Морфология:
о Гипопластический тип:
- Тонкий периферический слой рентгеноконтрастной эмали
- Открытые контакты: свободное пространство между зубами:
Зубы выглядят «подготовленными к протезированию коронок» (процедура подготовки к установке протеза, при которой удаляется часть коронки)
- Часто обнаруживается резорбция непрорезавшихся зубов
о Агенезия эмали: отсутствие рентгеноконтрастной эмали, покрывающей дентин
о Гипоматурационный тип: плотность эмали равна плотности дентина
о Гипоминерализационный тип:
- Эмаль имеет такую же плотность, как и дентин
- Присутствуют непрорезавшиеся зубы
- Волнистый, неравномерный слой эмали на окклюзионных поверхностях
о Гипоматурационный/гипопластический тип:
- Тонкая, но рентгеноконтрастная эмаль или
- Эмаль нормальной толщины, но одинаковой плотности с дентином
- Иногда обнаруживается тауродонтизм

(Слева) На кадрированной панорамной рентгенограмме у мальчика определяются признаки гипопластического варианта несовершенного амелогенеза. Визуализируются множественные непрорезавшиеся зубы и патологически измененные корни. Кроме того, определяется легкое увеличение нескольких зубных фолликулов.
(Справа) На кадрированной панорамной рентгенограмме определяются признаки гипопластического варианта несовершенного амелогенеза у сестры предыдущего пациента. Аналогично поражены временные и постоянные зубы.
2. Рекомендации по визуализации несовершенного амелогенеза:
• Лучший метод визуализации:
о Интраоральные рентгенограммы: периапикальные и с межзубным фиксатором:
- Оптимально для детальной визуализации эмали и дентина
о Панорамные рентгенограммы:
- Позволяют оценить картину в целом
- А также несоответствие окклюзионных поверхностей: открытый передний прикус
о КЛКТ:
- Сложно различить тонкие детали из-за артефактов от металлических материалов для восстановления зубов
в) Дифференциальная диагностика несовершенного амелогенеза:
1. Дефекты эмали в результате внешних влияний:
• Гипоплазия:
о Ямки или канавки
о Обширные области отсутствия эмали
• Диффузные затемнения:
о Нормальная толщина эмали
о Повышение плотности без четкой границы с прилежащей эмалью
• Отграниченные затемнения:
о Нормальная толщина эмали
о Повышение плотности с четкой границей с прилежащей эмалью
• Системное распределение в соответствии с временем поражения:
о Первые два года жизни: передние зубы, первые моляры
о Четвертый и пятый годы жизни: клыки, премоляры, вторые моляры
• Множественные причины:
о Травма
о Химические вещества или лекарства
о Инфекционные агенты
2. Флюороз зубов:
• Гипоминерализация эмали
• Белая, «известковая» эмаль; возможно, с ямками
• Двухстороннее симметричное распределение, соотносящееся со временем воздействия
3. Волосо-зубо-костный синдром:
• Аутосомно-доминантное заболевание
• Остеосклероз основания черепа и сосцевидного отростка
• Укорочение ветви и тупой угол нижней челюсти
• Кудрявые волосы и ломкие ногти
• Тонкая эмаль одинаковой рентгеновской плотности с дентином
• Большие пульповые камеры, тауродонтизм
4. Синдром Моркио:
• Мукополисахаридоз IV типа
• У пациентов часто наблюдаются психические нарушения, множественные дизостозы, заболевания сердца и сосудов, аномалии глаз, утолщение кожи
• К изменениям эмали относится генерализованная гипоплазия, имитирующая несовершенный амелогенез

(Слева) На фотографии видна тонкая шероховатая поверхность остатков эмали коричневого цвета у пациента с гипоминерализационным несовершенным амелогенезом. Обратите внимание на передний открытый прикус.
(Справа) На кадрированной панорамной рентгенограмме визуализируется эмаль такой же рентгеновской плотности, как и подлежащий дентин, что характерно для гипоминерализационного и гипоматурационного типов. Зубы выглядят заостренными, проксимальные контакты отсутствуют.
г) Патология:
1. Общая характеристика:
• Генетика:
о В большинстве случаев аутосомно-доминантный тип
о Аутосомно-рецессивный: 1 форма гипоминерализационного, гипоматурационного, гипопластического типов
о Х-сцепленный доминантный: 1 форма гипопластического типа
о Х-сцепленный рецессивный: 1 форма гипоматурационного типа
2. Стадирование, классификация несовершенного амелогенеза:
• Гипопластический тип:
о Картина генерализованных вдавлений эмали:
- Вдавления на поверхности зубов размером от острия булавки до булавочной головки
- Не соотносятся с картиной повреждений от внешних воздействий
- Эмаль, не имеющая вдавлений, не изменена о Картина местных вдавлений эмали:
- Горизонтальные ряды ямок, вытянутые канавки, либо одна большая область гипоплазии эмали, окруженная зоной гипоминерализации
- В средней трети щечных поверхностей:
Резцовые/оккпюзионные области интактны
- Возможно поражение временных зубов либо временных и постоянных зубов
- Могут поражаться все зубы или только один
о Диффузный гладкий тип:
- Тонкий слой гладкой и твердой эмали на всех зубах
- Маленькие заостренные зубы с открытыми контактами
- Цвет зубов колеблется от матового белого до глянцевого коричневого
о Х-сцепленный доминантный диффузный гладкий тип:
- Мужчины: тонкая гладкая и блестящая эмаль всех временных и постоянных зубов
- Женщины: вертикальные канавки истонченной эмали, чередующиеся с грядами нормальной эмали
о Диффузный шероховатый тип:
- Тонкая твердая и шероховатая эмаль всех зубов
- Эмаль плотнее, чем при гладких типах
- Маленькие заостренные зубы с открытыми контактами
о Агенезия эмали:
- Редкое аутосомно-рецессивное состояние
- Полное отсутствие эмали
- Форма и цвет зубов соответствуют дентину
• Гипоматурационный тип:
о Пигментная картина:
- Коричневые пятна на эмали
- Мягкая, легко повреждаемая зондом-эксплорером эмаль
о Х-сцепленная картина:
- Мужчины:
Временные зубы белого матового цвета с глянцевыми пятнами
Постоянные зубы белого матового цвета с желтоватым опенком, темнеют с возрастом
Эмаль легко откалывается и может быть повреждена зондом-эксплорером
- Женщины:
Одинаковая картина временных и постоянных зубов
Беспорядочные асимметричные гряды белой матовой эмали и нормальной блестящей эмали
Изменения могут быть неочевидными под обычным светом; необходима трансиллюминация
Изменения неочевидны на рентгенограммах
о Картина «заснеженных вершин»:
- Матовая белая эмаль на резцовых или окклюзионных участках коронок (от 1/4 до 1/3)
- Поражаются временные и постоянные зубы
• Гипоминерализационный тип:
о Зубы обычной формы с желтовато-оранжевой эмалью, окрашивающейся затем в коричневый цвет
о Эмаль мягкая и легко стирается
о Быстро возникает зубной камень
• Гипоматурационный-гипопластический тип:
о Картина нарушения созревания-гипоплазии:
- Пятнистая желтоватая эмаль нормальной толщины
- Углубления с щечной стороны
- Крупные пульповые камеры
- Тауродонтизм различной степени
о Картина гипоплазии-нарушения созревания:
- Тонкая эмаль
- Возможны крупные пульповые каналы
- Тауродонтизм различной степени

(Слева) На рентгенограмме с использованием межзубного фикса тора эмаль практически не определяется. Обратите внимание на кариозные поражения и очевидную резорбцию окклюзионных поверхностей частично прорезавшегося третьего моляра. Резорбция непрорезавшихся зубов наблюдается при гипопла-стическом типе несовершенного амелогенеза.
(Справа) На периапикальной рентгенограмме резцов нижней челюсти визуализируется очень тонкий слой эмали - типичный признак гипопластического типа несовершенного амелогенеза. Обратите внимание на открытые контакты и левый боковой резец в виде прямоугольника.
д) Клинические особенности несовершенного амелогенеза:
1. Проявления:
• Типичные признаки/симптомы:
о Изменение цвета эмали, ее истончение, и/или наличие ямок на всех зубах
• Другие признаки/симптомы:
о Значительный износ резцовых и окклюзионных поверхностей
2. Демография:
• Эпидемиология:
о Частота варьирует от 1:700 до 1:14000
3. Лечение:
• Список проблем:
о Эстетические нарушения
о Чувствительность зубов
о Уменьшение высоты зубов
о Высокая заболеваемость кариесом
о Открытый передний прикус
о Непрорезавшиеся зубы
• Полное протезирование коронок сразу же, как это возможно
• Съемные зубные протезы в случаях существенного износа или утраты зубов
• Коррекция эстетических нарушений (бондинг, виниры) в менее тяжелых случаях

Несовершенный амелогенез (amelogenesis imperfecta) — это тяжёлое наследственное нарушение эмалеобразования, которое выражается в нарушении структуры и минерализации временных и постоянных зубов, изменении их цвета и последующей частичной или полной потерей ткани. НА относится к числу наиболее редких и недостаточно изученных пороков развития твёрдых тканей зубов, имеет различные формы, разные клинические проявления, а также разные типы наследования. Распространённость варьирует от 1:700 до 1:14000 в зависимости от исследуемой популяции.
Минерализация, формирование и созревание эмали являются сложными процессами и находятся под контролем многих белков и ферментов, важнейшими из которых являются энамелин (ENAM), амелогенин (AMELX), амелобластин, амелотин, туфтелин, дентинный сиалофосфопротеин, калликреин-4 (KLK4) и матриксная металлопротеиназа 20 (MMP20 или энамелизин). Когда изменяется структура и функционирование этих белков, нарушаются минерализация и дальнейшее созревание эмали, что приводит к изменению цвета эмали, её истончению, уменьшению величины коронок зубов, появлению на поверхности коронок ямок, углублений и бороздок. Было показано, что в Х-сцепленном типе наследования имеются мутации в гене AMELX, а при аутосомно-доминантном/рецессивном типе наследовании — в гене ENAM. Интересно, что до сих пор ни одна мутация в гене амелотина не была связана с несовершенным амелогенезом.
В основе классификации НА лежит фенотип и тип наследования. Возникновение той или иной формы НА обусловлено нарушениями, происходящими в матрице эмали. Клиническая картина зависит от формы заболевания и типов наследования:
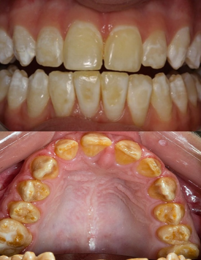
- Гипопластическая форма (рис.1)
Имеются количественные изменения в процессе формирования матрицы. То есть, эмаль правильно сформировалась, но она имеет недостаточную толщину. Эта форма наследуются аутосомно-доминантно/рецессивно и Х-сцепленно. Поражённые участки эмали чаще локализованы на вестибулярной (щёчной) поверхности зубов. Видны ямки (или овальные углубления) различных размеров и глубины, бороздки различной протяжённости, имеющие продольное направление. Эмаль достаточно твердая, и её поверхность может быть гладкой, шероховатой, гранулообразной, но непоражённые участки сохраняют свой блеск. Стоит отметить, что глубина дефекта определяет интенсивность окраски эмали (чем глубже дефект, тем интенсивнее окрашивается истонченная эмаль и обнажённый дентин). Эмаль становится светло-желтой или светло-коричневой. Наблюдается гиперестезия (на холод и горячее), скол эмали, уменьшение величины зуба, тремы между зубами (не всегда). Гипопластическая форма встречается чаще остальных форм НА (61,2 %)

Рисунок 1 | Гипопластическая форма

Рисунок 2 | Гипоматурационная форма

Рисунок 3 | Гипоминерализованная форма
Диагностика дефектов эмали, особенно НА несложна в силу вышеописанных характерных клинических проявлений, но его часто приходится дифференциально диагностировать от флюороза, у которого немного другие клинические проявления, анамнез и рентгенограмма зубов.
В норме эмаль имеет высокую рентгеноконтрастность по сравнению с дентином. При гипоматурационной форме НА эмаль и дентин имеют равную рентгеноконтрастность, а при гипоминерализованной форме — рентгеноконтрастность дентина выше. При гипопластической форме на рентгенограмме сразу виден тонкий слой эмали.
Читайте также:
