Лучевая диагностика острого пиелонефрита
Добавил пользователь Евгений Кузнецов Обновлено: 17.11.2025
Лучевая диагностика хронического пиелонефрита и рефлюкс-нефропатии
а) Терминология:
1. Синонимы:
• Хронический атрофический пиелонефрит
2. Определение:
• Рубцевание и сморщивание почки, вторичные по отношению к множественным эпизодам острого пиелонефрита в раннем детстве
о Большинство случаев вторичны по отношению к пузырномочеточниковому рефлюксу
б) Визуализация:
1. Общая характеристика хронического пиелонефрита и рефлюкс-нефропатии:
• Лучший диагностический критерий:
о Глубокие кортикальные рубцы, покрывающие деформированные чашечки, обычно в верхнем полюсе
• Локализация:
о Шрамы обычно визуализируют на полюсах почек (чаще на верхних)
• Морфология:
о Обычно асимметричные, сегментированные и односторонние
о Компенсаторная гипертрофия контрлатеральной почки при одностороннем варианте
2. Рентгенологические признаки:
• Микционная цистоуретрография:
о Информативна при оценке степени рефлюкса у детей
3. КТ при хроническом пиелонефрите и рефлюкс-нефропатии:
• Сегментарное истончение коркового и мозгового вещества (обычно на полюсах)
• Гипертрофия оставшейся нормальной ткани (может имитировать объемное образование)
• Сглаживание чашечек (вторично к ретракции сосочка)
• Дистрофическая кальцификация
4. УЗИ при хроническом пиелонефрите и рефлюкс-нефропатии:
• Небольшая почка с потерей сегментарности паренхимы
• Повышение эхогенности в области рубцов
• Расширение эхо-комплекса синуса почки к периферии в области рубцов

(Слева) На рисунке показана классификация пузырно-мочеточникового рефлюкса, отражающая прогрессирующие уровни рефлюкса, сглаживание чашечек и повреждение коры почек от первой степени слева до пятой степени справа.
(Справа) КТ с контрастированием, аксиальная проекция, экскреторная фаза: глубокие рубцы коркового вещества почки, что предполагает наличие хронического пиелонефрита.
в) Дифференциальная диагностика хронического пиелонефрита и рефлюкс-нефропатии:
1. Туберкулез почки:
• Множественные кортикальные рубцы, возможна кальцификация
• Стриктуры собирательной системы и мочеточника
2. Инфаркт почки:
• Локализованная или обширная область ишемического некроза без каликоэктазии
• Не окрашиваемая клиновидная область с окрашиваемым кортикальным ободком
3. Радиационный нефрит:
• Линейная область низкой плотности, соответствующая облученной части почки
• Тотальная атрофия и отсутствие функционирования в случае облучения целой почки
4. Хроническая почечная недостаточность:
• Уменьшенные почки; истончение коркового вещества
• Дилатация собирательной системы в случае обструкции

(Слева) УЗИ, продольная плоскость сканирования, правая почка: глубокий кортикальный рубец, ассоциированный с деформированной и расширенной чашечкой в верхнем полюсе.
(Справа) Бесконтрастная КТ, коронарная проекция: у данного пациента обнаружен кортикальный рубец в верхнем полюсе правой почки, ассоциированный с кальцификацией небольших размеров. При хроническом пиелонефрите рубцы обычно локализуются на полюсах почки (чаще на верхних).
г) Патология:
1. Общая характеристика:
• Этиология:
о Большинство случаев возникает из-за рефлюкса инфицированной мочи из мочевого пузыря:
- В некоторых случаях отсутствует подтвержденная инфекция или рефлюкс
о Острый пиелонефрит у взрослых разрешается и не приводит к образованию рубцов
• Патофизиология. Предполагаемые механизмы повреждения включают:
о Повторяющиеся эпизоды острого пиелонефрита
о Стабильные изменения вследствие отдаленного единичного эпизода острого пиелонефрита
2. Стадирование и классификация хронического пиелонефрита и рефлюкс-нефропатии:
• Классификация пузырно-мочеточникового рефлюкса:
о 1-я степень: рефлюкс только в мочевом пузыре
о 2-я степень: рефлюкс в мочевом пузыре, почечной лоханке и чашечках без дилатации
о 3-я степень: легкая дилатация мочеточника и незначительное сглаживание сводов чашечек
о 4-я степень: умеренная дилатация и потеря остроты сводов чашечек
о 5-я степень: выраженная дилатация мочеточника и чашечек
3. Макроскопические и хирургические признаки:
• Сегментарные глубокие рубцы, охватывающие корковое и мозговое вещество
• Обычно вовлечены полюса
д) Клинические особенности:
1. Клиническая картина хронического пиелонефрита и рефлюкс-нефропатии:
• Наиболее частые признаки/симптомы:
о Отсутствие прибавки в весе, боли в боку, артериальная гипертензия, дизурия
о Скорость прогрессирования от пузырно-мочеточникового рефлюкса до хронической почечной недостаточности и ее терминальной стадии дискутабельна
• Другие признаки/симптомы:
о Лихорадка, тошнота, рвота
2. Демография:
• Возраст: начало в раннем детстве (младше четырех лет)
• Пол: М:Ж=1:2
• Эпидемиология: в три раза чаще встречают у кавказцев
3. Течение и прогноз:
• Спонтанное разрешение в большинстве случаев; время разрешения пузырно-мочеточникового рефлюкса зависит от его степени
4. Лечение хронического пиелонефрита и рефлюкс-нефропатии:
• Профилактическая антибиотикотерапия
• Хирургическое лечение
Лучевая диагностика острого пиелонефрита
а) Определение:
• Острая инфекция паренхимы почки
1. Общая характеристика:
• Лучший диагностический критерий:
о Клиновидные исчерченные очаги пониженного контрастирования и увеличение размеров почки при контрастной КТ
• Морфология:
о Пораженные области обычно имеют клиновидную форму; могут быть круглыми или опухолевидными
2. КТ при остром пиелонефрите:
• КТ с контрастированием:
о Локализованный или генерализованный отек
о Одностороннее или двустороннее (реже) поражение
о Клинообразные или закругленные участки скудного/полосатого окрашивания:
- Лучшая визуализация в нефрографическую и экскреторную фазы
- Мелкие очаги пиелонефрита могут быть пропущены на изображениях в кортико-медуллярную фазу
о Иногда опухолевидные; могут искажать нормальный контур почки
о Признаки могут сохраняться после клинического улучшения
о Околопочечные воспалительные изменения:
- Утолщение фасции Герота
- Тяжистое уплотнение околопочечной клетчатки
- Почечный, околопочечный абсцесс
3. МРТ при остром пиелонефрите:
• Т2-ВИ:
о Повышение ИС в пораженных областях почечной паренхимы
о Околопочечные воспалительные изменения
• ДВИ:
о Повышение ИС на изображениях, полученных с высоким фактором диффузии, и снижение ИС на карте измеряемого коэффициента диффузии
• Постконтрастное Т1-ВИ:
о Снижение контрастирования, проявляющееся полосами (подобно изображению при КТ с контрастированием)
4. УЗИ при остром пиелонефрите:
• Исследование в режиме серой шкалы:
о Локализованный или генерализованный отек
о Единственным признаком может быть одностороннее увеличение почки
о Плохая дифференциация в кортико-медуллярную фазу
о Очаговые области повышения или понижения эхогенности
о Более чем в 50% случаев значимые признаки отсутствуют
• Цветовая допплерография:
о Снижение перфузии в области пиелонефрита
• Энергетическая допплерография:
о Снижение перфузии в области пиелонефрита
5. Радионуклидная диагностика:
• Сцинтиграфия почки:
о Tc-99m-DMSA (димеркаптосукциновая кислота)
о Снижение накопления почечных кортикальных агентов в клиновидных участках, указывающих на ворота почки
о Трудно дифференцировать острые патологические очаги от рубцов
о Точечная коллимация, ОФЭКТ (однофотонная эмиссионная компьютерная томография) изображения улучшают диагностическую чувствительность и точность
6. Рекомендации по визуализации:
• Лучший метод визуализации:
о КТ с контрастированием или МРТ с контрастированием Гд
• Совет по протоколу:
о «Полосатую» нефрограмму лучше визуализировать на томограммах, полученных во время нефрографической (через 60-100 с после инъекции контраста) или экскреторной (2-3 мин после инъекции) фаз

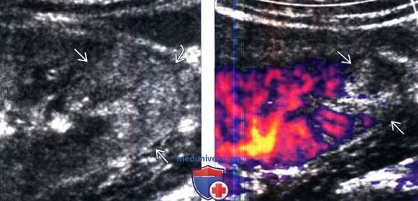
(Слева) УЗИ в режиме серой шкалы, сагиттальная плоскость сканирования: при остром геморрагическом пиелонефрите обнаружены клиновидные области повышенной эхогенности в нижнем полюсе и тонкий ободок прилежащей околопочечной жидкости.
(Справа) Энергетическая допплерография, сагиттальная плоскость сканирования: у данного пациента выявлено отсутствие потока в области пиелонефрита.
в) Дифференциальная диагностика острого пиелонефрита:
1. Инфаркт почки:
• Клиновидная картина отсутствия перфузии
• Симптом кортикального ободка при контрастной КТ (контрастирование из капсулярной артерии):
о Эмболы, васкулит, травма, расслаивающая аневризма аорты, атеросклероз
2. Почечноклеточный рак:
• Контрастируемое объемное образование, выбухающее из контура почки
• Инвазия околопочечного пространства, почечной вены
• Забрюшинная лимфаденопатия
3. Лимфома почки:
• Множественные визуализационные проявления
• Множественные объемные образования почки низкой плотности
• Чаще двусторонние
• Лимфаденопатия
4. Васкулит:
• Узелковый периартериит, системная красная волчанка, склеродермия, наркомания

(Слева) МРТ почек, Т1-ВИ, коронарная проекция: аномалии не обнаружены.
(Справа) МРТ, контрастирование Гд, Т1-ВИ, коронарная проекция: у этого пациента выявлено снижение перфузии по всей правой почке из-за тяжелого пиелонефрита.
1. Общая характеристика:
• Этиология:
о Восходящая инфекция (чаще):
- Факторы риска:
Пузырно-мочеточниковый рефлюкс
Нейрогенный мочевой пузырь
Гипертрофия предстательной железы
- Патогенез:
Escherichia coli (E. coli) (>80%)
Другие: Klebsiella, Proteus mirabilis, Enterococcus faecalis
о Гематогенная инфекция:
- Факторы риска:
Иммуносупрессия, внутривенная наркомания
- Патогенез:
Staphylococcus aureus, Е. coli
• Ассоциированные аномалии:
о Доброкачественная гиперплазия предстательной железы, пузырно-мочеточниковый рефлюкс, обструкция мочевыводящих путей
2. Макроскопические и хирургические признаки:
• Увеличенная почка
• Гнойные абсцессы, визуализируемые на поверхности коркового вещества
3. Микроскопия:
• Тубулоинтерстициальный нефрит
• Нейтрофильный инфильтрат
• Очаговое распределение

(Слева) КТ с контрастированием, аксиальная проекция, кортико-медуллярная фаза: аномалии левой почки не обнаружены.
(Справа) КТ с контрастированием, аксиальная проекция, экскреторная фаза: у этого пациента выявлено снижение перфузии верхнего полюса левой почки в связи с пиелонефритом.
1. Клиническая картина острого пиелонефрита:
• Наиболее частые признаки/симптомы:
о Лихорадка, боли в боку, в реберно-позвоночном углу, тошнота, рвота, дизурия
• Лабораторные исследования:
о Лейкоцитоз
о Иногда положительная гемокультура
о Общий анализ мочи:
- Пиурия
о Бактериальный посев мочи:
- Положительная уринокультура (24%)
- Чаще преобладает Е. Coli
2. Демография:
• Пол:
о М:Ж= 1:5
о Повышенная заболеваемость у женщин до 40 лет и мужчин старше 65 лет
• Эпидемиология:
о Заболеваемость: 250000 случаев/год в США
о Госпитализация: 100000/год
о Высокая заболеваемость при обструкции, двойных почках, других аномалиях
3. Естественное течение и прогноз:
• Прогноз благоприятный при отсутствии осложнений или рецидивирующих инфекций
• Осложнения:
о Абсцесс почки
о Околопочечный абсцесс
о Рубцы почки
о Рекуррентные инфекции
о Терминальная стадия почечной недостаточности
4. Лечение:
• Антибактериальная терапия
е) Диагностическая памятка острого пиелонефрита:
1. Следует учесть:
• Диагноз острого пиелонефрита обычно клинический, основан на сочетании клинических и лабораторных данных
• При атипичных проявлениях, тяжелых случаях, отсутствии эффекта от антибактериальной терапии необходима визуализация
• Дифференцирование пиелонефрита от васкулита или инфаркта почки часто требует клинической корреляции
• Исключение основной врожденной аномалии у детей
2. Советы по интерпретации изображений:
• КТ с контрастированием и МРТ с контрастированием Гд: патологический очаг плохо визуализируется при раннем сканировании (кортико-медуллярная фаза):
о «Полосатую» нефрограмму лучше визуализировать в нефрографическую и/или экскреторную фазы
о Области гипоконтрастирования плохо визуализируются в кортико-медуллярную фазу
Острый пиелонефрит
Острый пиелонефрит – это неспецифическое воспалительное поражение паренхимы почек. Для патологии характерна высокая лихорадка с ознобами и потоотделением, головная боль, миалгии, артралгии, общее недомогание, боль в пояснице, изменения в моче по типу лейкоцитурии и пиурии. Диагностика включает микроскопическое и бактериологическое исследование мочи, УЗИ почек; при необходимости – проведение экскреторной урографии, радиоизотопных исследований, томографии. Назначается диета, обильное питье, антибиотики, нитрофураны, спазмолитики. При обструктивном пиелонефрите показана установка мочеточникового катетера-стента или пункционная нефростомия; при гнойно-деструктивных процессах – декапсуляция почки или нефрэктомия.
МКБ-10

Общие сведения
Острый пиелонефрит является наиболее частым заболеванием почек в современной урологии. Патология нередко возникает в детском возрасте, когда нагрузка на почки очень интенсивна, а их морфо-функциональное развитие еще не завершено. Девочки страдают в 10 раз чаще мальчиков. В возрасте до 40 лет среди больных преобладают женщины, в старшей возрастной группе отмечается превалирование пациентов мужского пола. Возможно поражение одной или обеих почек.
Причины
Острый пиелонефрит развивается при эндогенном или экзогенном проникновении патогенных микроорганизмов в почку. Обычно патология вызывается кишечной палочкой (в 50% случаев), протеем, синегнойной палочкой, реже – стафилококками или стрептококками. При первичном процессе инфекция может попадать в почку гематогенным путем из первичных очагов воспаления в мочеполовых органах (при аднексите, цистите, простатите и др.) или из отдаленных органов. Реже инфицирование происходит по восходящему механизму, по стенке или просвету мочеточника (при пузырно-мочеточниковом рефлюксе).
Вторичный острый пиелонефрит связан с нарушением пассажа мочи на фоне стриктур мочеточника, обструкции мочеточника камнем, стриктур и клапанов уретры, аденомы предстательной железы, рака простаты, фимоза, нейрогенного мочевого пузыря. Предрасполагающими моментами к развитию данной формы заболевания служат переохлаждение, обезвоживание, гиповитаминоз, переутомление, респираторные инфекции, беременность, сахарный диабет.
Патогенез
Воспаление связано не только с микробной инвазией, но и попаданием содержимого лоханки в интерстициальную ткань, что обусловлено обратным током мочи, т. е. форникальным рефлюксом. Почки полнокровны, несколько увеличены. Слизистая почечных лоханок отечна, воспалена, изъязвлена; в лоханках может находиться воспалительный экссудат. В дальнейшем в мозговом и корковом слое почки могут формироваться многочисленные гнойники или абсцессы; иногда отмечается гнойно-деструктивное расплавление почечной паренхимы. Стадии острого пиелонефрита отвечают морфологическим изменениям, происходящим в почке.
Начальная фаза серозного воспаления характеризуется увеличением и напряжением почки, отеком околопочечной клетчатки, периваскулярной инфильтрацией межуточной ткани. При своевременном соответствующем лечении данная стадия подвергается обратному развитию; в противном случае – переходит в стадию гнойно-деструктивного воспаления. В стадии гнойного воспаления выделяют фазы апостематозного пиелонефрита, карбункула и абсцесса почки. Апостематозный (гнойничковый) пиелонефрит протекает с образованием в корковом слое почки множественных мелких гнойничков размером 1-2 мм.
В случае слияния гнойничков может образовываться локальный нагноительный очаг - карбункул почки, не имеющий наклонности к прогрессирующему абсцедированию. Карбункулы имеют размер от 0,3 до 2 см, могут быть одиночными или множественными. При гнойном расплавлении паренхимы формируется почечный абсцесс. Опасность абсцесса почки заключается в возможности опорожнения сформировавшегося гнойника в паранефральную клетчатку с развитием гнойного паранефрита или забрюшинной флегмоны.
При благоприятном исходе инфильтративные очаги постепенно рассасываются, замещаясь соединительной тканью, что сопровождается образованием рубцовых втяжений на поверхности почки. Рубцы вначале имеют темно-красный, затем - бело-серый цвет и клиновидную форму, на разрезе доходящую до лоханки.
Классификация
Острый пиелонефрит может быть первичным (необструктивным) и вторичным (обструктивным). Первичный вариант заболевания протекает на фоне нормального оттока мочи из почек; вторичный связан с нарушением проходимости верхних мочевых путей вследствие их внешнего сдавления или обструкции. По характеру воспалительных изменений патология может носить серозный или гнойно-деструктивный характер (пиелонефрит апостематозный, абсцесс или карбункул почки).
Симптомы острого пиелонефрита
Течение характеризуется местной симптоматикой и признаками выраженного общего инфекционного процесса, которые различаются в зависимости от стадии и формы заболевания. Серозный пиелонефрит протекает более спокойно; при гнойном воспалении развиваются ярко выраженные клинические проявления. При остром необструктивном процессе преобладают общие симптомы инфекции; при обструктивном – местная симптоматика.
Клиника острого необструктивного пиелонефрита развивается молниеносно (от нескольких часов до одних суток). Появляется недомогание, слабость, потрясающие ознобы со значительным повышением температуры до 39-40 °С, обильное потоотделение. Значительно ухудшает самочувствие головная боль, тахикардия, артралгия, миалгия, тошнота, запор или понос, метеоризм.
Из местных симптомов отмечается боль в пояснице, распространяющаяся по ходу мочеточника в область бедра, иногда – в живот и спину. По характеру боль может быть постоянной тупой или интенсивной. Мочеиспускание, как правило, не нарушено; суточный диурез уменьшается за счет обильной потери жидкости с потом. Пациенты могут обращать внимание на помутнение мочи и ее необычный запах.
Вторичный пиелонефрит, вызванный обструкцией мочевых путей, обычно манифестирует с почечной колики. На высоте болевого приступа возникает лихорадка с ознобом, головная боль, рвота, жажда. После обильного потоотделения температура критически снижается до субнормальных или нормальных цифр, что сопровождается некоторым улучшением самочувствия. Однако если фактор обструкции мочевых путей не будет ликвидирован в ближайшие часы, то приступ колики и подъема температуры повторится вновь.
Гнойные формы патологии протекают с упорной болью в пояснице, лихорадкой гектического типа, ознобами, резким напряжением мышц брюшной стенки и поясничной области. На фоне выраженной интоксикации может отмечаться спутанность сознания и бред.
Диагностика
В процессе распознавания острого пиелонефрита важны данные физикального обследования. При пальпации поясничной области и подреберья оценивают размеры почки, консистенцию, структуру поверхности, подвижность, болезненность. Почка обычно увеличена, мышцы поясницы и живота напряжены, поколачивание ребром ладони по XII ребру – болезненно, симптом Пастернацкого положителен. У мужчин необходимо проведение ректального осмотра простаты и пальпации мошонки, у женщин - вагинального исследования. Дифференциальная диагностика проводится с аппендицитом, холециститом, холангитом, аднекситом.
- Лабораторная диагностика. В моче отмечается тотальная бактериурия, незначительная протеинурия, лейкоцитурия, при вторичном поражении – эритроцитурия. Бактериальный посев мочи позволяет определиться с видом возбудителя и его чувствительностью к противомикробным препаратам. Показатели крови характеризуются анемией, лейкоцитозом, повышением СОЭ, токсической зернистостью нейтрофилов.
- УЗИ почек. Используется не только при диагностике, но и для динамического контроля процесса лечения. Ценность данных эхоскопии заключается в возможности визуализации деструктивных очагов в паренхиме, состояния паранефральной клетчатки, выявления причины обструкции верхних мочевых путей.
- Рентгеновские методики. При обзорной урографии обращает внимание увеличение размеров почек, выбухание контура при абсцессе или карбункуле, нечеткость очертаний паранефральной клетчатки. С помощью экскреторной урографии определяется ограничение подвижности почки при дыхании, что является характерным признаком острого воспалительного процесса. Точное выявление деструктивных очагов, причин и уровня обструкции при остром гнойном пиелонефрите возможно при помощи КТ почек.
Лечение острого пиелонефрита
Проводится госпитализация пациента; лечение осуществляется под контролем врача-уролога. Терапевтическая тактика при необструктивном и обструктивном остром пиелонефрите, серозной и гнойно-деструктивной форме различается. К общим мероприятиям относится назначение постельного режима, обильного питья (до 2–2,5 л в сутки), фруктово-молочной диеты, легкоусвояемого белкового питания.
При первичном варианте воспаления сразу начинается патогенетическая терапия, основу которой составляют антибиотики, активные в отношении грамотрицательной флоры, - цефалоспорины, аминогликозиды, фторхинолоны. При выборе противомикробного препарата также учитываются результаты антибиотикограммы. Дополнительно назначаются НПВС, нитрофураны, иммунокорректоры, дезинтоксикационная терапия.
При выявлении обструкции первоочередной мерой служит декомпрессия - восстановление уродинамики в пораженной почке. С этой целью предпринимается катетеризация лоханки мочеточниковым катетером или катетером-стентом, в некоторых случаях – пункционное наложение чрескожной нефростомы.
При наличии гнойно-деструктивных очагов прибегают к декапсуляции почки и наложению нефростомы, с помощью чего достигается уменьшение внутрипочечного давления. При обнаружении сформировавшихся гнойников производится их вскрытие. В случае тотального поражения почечной паренхимы и невозможности органосохраняющей тактики выполняется нефрэктомия.
Прогноз и профилактика
Своевременная адекватная терапия позволяет достичь излечения острого пиелонефрита у большинства пациентов в течение 2-3 недель. В трети случаев отмечается переход в хроническую форму (хронический пиелонефрит) с последующим склерозированием почки и развитием нефрогенной артериальной гипертензии. Среди осложнений может встречаться паранефрит, ретроперитонит, уросепсис, почечная недостаточность, бактериотоксический шок, интерстициальная пневмония, менингит. Тяжелые септические осложнения ухудшают прогноз и нередко становятся причиной летального исхода.
Профилактикой является санация очагов хронического воспаления, которые могут служить источниками потенциального гематогенного заноса возбудителей в почки; устранение причин возможной обструкции мочевых путей; соблюдение гигиены мочеполовых органов для недопущения восходящего распространения инфекции; соблюдение условий асептики и антисептики при проведении урологических манипуляций.
Пиелонефрит
Пиелонефрит – это неспецифическое инфекционное заболевание почек, вызываемое различными бактериями. Острая форма заболевания проявляется повышением температуры, симптомами интоксикации и болями в поясничной области. Хронический пиелонефрит может протекать бессимптомно или сопровождаться слабостью, нарушением аппетита, учащением мочеиспускания и неинтенсивными болями в пояснице. Диагноз выставляется на основании результатов лабораторных анализов (общий и биохимический анализы мочи, бакпосев), урографии и УЗИ почек. Лечение - антибактериальная терапия, иммуностимуляторы.


Пиелонефрит – широко распространенная патология. Пациенты, страдающие острым и хроническим пиелонефритом, составляют около 2/3 всех урологических больных. Болезнь может протекать в острой или хронической форме, поражать одну или обе почки. Диагностику и лечение осуществляет специалист в сфере клинической урологии и нефрологии. В случае отсутствия своевременной терапии пиелонефрит может привести к таким тяжелым осложнениям как почечная недостаточность, карбункулу или абсцессу почки, сепсису и бактериальному шоку.

Причины пиелонефрита
Заболевание может возникнуть в любом возрасте. Чаще пиелонефрит развивается:
Любые органические или функциональные причины, препятствующие нормальному оттоку мочи, увеличивают вероятность развития патологии. Нередко пиелонефрит появляется у больных мочекаменной болезнью. К неблагоприятным факторам, способствующим возникновению пиелонефрита, относится сахарный диабет, иммунные нарушения, хронические воспалительные болезни и частые переохлаждения. В ряде случаев (обычно у женщин) пиелонефрит развивается после перенесенного острого цистита.
Бессимптомное течение нередко является причиной несвоевременной диагностики хронического пиелонефрита. Больные начинают получать лечение, когда функция почек уже нарушена. Поскольку патология очень часто возникает у пациентов, страдающих мочекаменной болезнью, таким больным необходимо специальная терапия даже при отсутствии симптоматики пиелонефрита.
Симптомы пиелонефрита
Острый пиелонефрит
Для острого процесса характерно внезапное начало с резким повышением температуры до 39-40°С. Гипертермия сопровождается обильным потоотделением, потерей аппетита, выраженной слабостью, головной болью, иногда – тошнотой и рвотой. Тупые боли в поясничной области различной интенсивности, чаще односторонние, появляются одновременно с повышением температуры. Физикальное обследование выявляет болезненность при поколачивании в области поясницы (положительный симптом Пастернацкого).
Неосложненная форма острого пиелонефрита не вызывает нарушений мочеиспускания. Моча становится мутной или приобретает красноватый оттенок. При лабораторном исследовании мочи выявляется бактериурия, незначительная протеинурия и микрогематурия. Для общего анализа крови характерен лейкоцитоз и повышение СОЭ. Примерно в 30% случаев в биохимическом анализе крови отмечается повышение азотистых шлаков.
Хронический пиелонефрит
Хронический пиелонефрит нередко становится исходом недолеченной острой формы. Возможно развитие первичного хронического процесса. Иногда патология обнаруживается случайно при исследовании мочи. Больные предъявляют жалобы на слабость, снижение аппетита, головные боли и учащенное мочеиспускание. Некоторых пациентов беспокоят тупые ноющие боли в поясничной области, усиливающиеся в холодную сырую погоду. Симптомы, свидетельствующие об обострении, совпадают с клинической картиной острого процесса.
Осложнения
Двухсторонний острый пиелонефрит может стать причиной острой почечной недостаточности. К числу наиболее грозных осложнений следует отнести сепсис и бактериальный шок. В некоторых случаях острая форма заболевания осложняется паранефритом. Возможно развитие апостеноматозного пиелонефрита (формирование множественных мелких гнойничков на поверхности почки и в ее корковом веществе), карбункула почки (нередко возникает вследствие слияния гнойничков, характеризуется наличием гнойно-воспалительного, некротического и ишемического процессов) абсцесса почки (расплавление почечной паренхимы) и некроза почечных сосочков.
Если лечение не проводится, наступает терминальная стадия гнойно-деструктивного острого процесса. Развивается пионефроз, при котором почка полностью подвергается гнойному расплавлению и представляет собой очаг, состоящий из полостей, заполненных мочой, гноем и продуктами тканевого распада. При прогрессировании хронического двухстороннего пиелонефрита функция почек постепенно нарушается, что приводит к снижению удельного веса мочи, артериальной гипертензии и развитию хронической почечной недостаточности.
Постановка диагноза обычно не представляет затруднений для врача-уролога из-за наличия ярко выраженных клинических симптомов. В анамнезе часто отмечается наличие хронических заболеваний или недавно перенесенные острые гнойные процессы. Клиническую картину формирует характерное сочетание выраженной гипертермии с болью в пояснице (чаще односторонней), болезненными мочеиспусканиями и изменениями мочи. Моча мутная или с красноватым оттенком, имеет выраженный зловонный запах. В рамках диагностических мероприятий выполняются:
- Лабораторные исследования. Лабораторным подтверждением диагноза служит обнаружение в моче бактерий и небольших количеств белка. Для определения возбудителя проводят бакпосев мочи. О наличии острого воспаления свидетельствует лейкоцитоз и увеличение СОЭ в общем анализе крови. При помощи специальных тест-наборов проводится идентификация вызвавшей воспаление микрофлоры. Концентрационную способность почек оценивают при помощи пробы Зимницкого.
- Лучевая диагностика. В ходе обзорной урографии выявляется увеличение объема одной почки. Экскреторная урография свидетельствует о резком ограничении подвижности почки при проведении ортопробы. При апостематозном пиелонефрите отмечается снижение выделительной функции на стороне поражения (тень мочевыводящих путей появляется с запозданием или отсутствует). При карбункуле или абсцессе на экскреторной урограмме определяется выбухание контура почки, сдавление и деформация чашечек и лоханки. Диагностику структурных изменений почечной ткани при пиелонефрите проводят при помощи УЗИ почек. Для исключения мочекаменной болезни и анатомических аномалий выполняют КТ почек.

Лечение пиелонефрита
Лечение острого пиелонефрита
Неосложненный острый процесс лечится консервативно в условиях стационара. Проводится антибактериальная терапия. Медикаменты подбираются с учетом чувствительности обнаруженных в моче бактерий. Для того, чтобы максимально быстро ликвидировать воспалительные явления, не допустив перехода пиелонефрита в гнойно-деструктивную форму, лечение начинают с самого эффективного препарата.
Проводится дезинтоксикационная терапия, коррекция иммунитета. При лихорадке назначается диета с пониженным содержанием белков, после нормализации температуры пациента переводят на полноценное питание с повышенным содержанием жидкости. На первом этапе терапии вторичного острого пиелонефрита следует устранить препятствия, затрудняющие нормальный отток мочи: как правило, для этого производится установка мочеточникового катетера-стента. Назначение антибактериальных препаратов при нарушенном пассаже мочи не дает желаемого эффекта и может привести к развитию серьезных осложнений.
Лечение хронического пиелонефрита
Осуществляется по тем же принципам, что и терапия острого процесса, но отличается большей длительностью и трудоемкостью. Терапевтическая программа предусматривает устранение причин, которые привели к затруднению оттока мочи или вызвали нарушения почечного кровообращения, антибактериальную терапию и нормализацию общего иммунитета.
При наличии препятствий необходимо восстановить нормальный пассаж мочи. Восстановление оттока мочи производится оперативно (нефропексия при нефроптозе, удаление камней из почек и мочевыводящих путей, удаление аденомы предстательной железы и т. д.). Устранение препятствий, мешающих пассажу мочи, во многих случаях позволяет достичь стойкой длительной ремиссии. Антибактериальные препараты назначаются с учетом данных антибиотикограммы. До определения чувствительности микроорганизмов проводится терапия антибактериальными препаратами широкого спектра действия.
Пациентам с хроническим пиелонефритом требуется длительная систематическая терапия сроком не менее года. Лечение начинают с непрерывного курса антибактериальной терапии продолжительностью 6-8 недель. Такая методика позволяет устранить гнойный процесс в почке без развития осложнений и образования рубцовой ткани. Если функция почек нарушена, требуется постоянный контроль фармакокинетики нефротоксичных антибактериальных препаратов. Для коррекции иммунитета при необходимости применяют иммуностимуляторы и иммуномодуляторы. После достижения ремиссии назначают прерывистые курсы антибактериальной терапии.
В период ремиссии больным показано санаторно-курортное лечение (Джермук, Железноводск, Трускавец и др.). Следует помнить об обязательной преемственности терапии. Начатое в стационаре антибактериальное лечение необходимо продолжать амбулаторно. Назначаемая врачом санатория схема лечения должна включать в себя прием антибактериальных препаратов, рекомендуемых врачом, постоянно наблюдающим пациента. В качестве дополнительного метода лечения применяется фитотерапия.
Хронический пиелонефрит
Хронический пиелонефрит – это хроническое неспецифическое бактериальное воспаление, протекающе преимущественно с вовлечением интерстициальной ткани почек и чашечно-лоханочных комплексов. Проявляется недомоганием, тупыми болями в пояснице, субфебрилитетом, дизурическими симптомами. В процессе диагностирования проводят лабораторные исследования мочи и крови, УЗИ почек, ретроградную пиелографию, сцинтиграфию. Лечение заключается в соблюдении диеты и щадящего режима, назначении противомикробной терапии, нитрофуранов, витаминов, физиотерапии.
В нефрологии и урологии хронический пиелонефрит составляет 60-65% случаев от всей воспалительной патологии мочеполовых органов. В 20–30 % наблюдений хроническое воспаление является исходом острого пиелонефрита. Патология преимущественно развивается у девочек и женщин, что связано с морфо-функциональными особенностями женской уретры, облегчающими проникновение микроорганизмов в мочевой пузырь и почки. Заболевание чаще носит двусторонний характер, однако степень поражения почек может различаться.
Для течения хронического пиелонефрита характерно чередование периодов обострения и стихания (ремиссии) патологического процесса. Поэтому в почках одновременно выявляются полиморфные изменения – очаги воспаления в различных стадиях, рубцовые участки, зоны неизмененной паренхимы. Вовлечение в воспаление все новых участков функционирующей почечной ткани вызывает ее гибель и развитие хронической почечной недостаточности (ХПН).
Этиологическим фактором, вызывающим хронический пиелонефрит, является микробная флора. Преимущественно это колибациллярные бактерии (паракишечная и кишечная палочка), энтерококки, протей, стафилококки, синегнойная палочка, стрептококки и их микробные ассоциации. Особую роль в развитии болезни играют L-формы бактерий, образующиеся в результате неэффективной антимикробной терапии и изменений рН среды. Подобные микроорганизмы отличаются резистентностью к терапии, трудностью идентификации, способностью длительно сохраняться в межуточной ткани и активизироваться под воздействием определенных условий.
В большинстве случаев хроническому пиелонефриту предшествует острая атака. Встречаются случаи сочетания пиелонефрита с хроническим гломерулонефритом. Хронизации воспаления способствуют:
- неустраненные нарушения оттока мочи, вызванные камнями в почках, стриктурой мочеточника, пузырно-мочеточниковым рефлюксом, нефроптозом, аденомой простаты;
- другие бактериальные процессы в организме (уретрит, простатит, цистит, холецистит, аппендицит, энтероколит, тонзиллит, отит, синуситы и пр.);
- общесоматические заболевания (сахарный диабет, ожирение), состояния хронического иммунодефицита и интоксикаций.
У молодых женщин толчком к развитию хронического пиелонефрита может явиться начало половой жизни, беременность или роды. У детей младшего возраста заболевание часто связано с врожденными аномалиями (уретероцеле, дивертикулами мочевого пузыря), нарушающими уродинамику.
Хронический пиелонефрит характеризуется протеканием трех стадий воспаления в почечной ткани.
- На I стадии обнаруживается лейкоцитарная инфильтрация интерстициальной ткани мозгового вещества и атрофия собирательных канальцев; почечные клубочки интактны.
- При II стадии воспалительного процесса отмечается рубцово-склеротическое поражение интерстиции и канальцев, что сопровождается гибелью терминальных отделов нефронов и сдавлением канальцев. Одновременно развиваются гиалинизация и запустевание клубочков, сужение или облитерация сосудов.
- В конечной, III стадии почечная ткань замещается рубцовой, почка имеет уменьшенные размеры, выглядит сморщенной с бугристой поверхностью.
По активности воспалительных процессов в почечной ткани в развитии хронического пиелонефрита выделяют фазы активного воспаления, латентного воспаления, ремиссии (клинического выздоровления). Под влиянием лечения или в его отсутствие активная фаза сменяется латентной фазой, которая, в свою очередь, может переходить в ремиссию или вновь в активное воспаление. Фаза ремиссии характеризуется отсутствием клинических признаков болезни и изменений в анализах мочи. По клиническому развитию выделяют стертую (латентную), рецидивирующую, гипертоническую, анемическую, азотемическую формы патологии.
Симптомы хронического пиелонефрита
Латентная форма заболевания характеризуется скудными клиническими проявлениями. Пациентов обычно беспокоит общее недомогание, быстрая утомляемость, субфебрилитет, головная боль. Мочевой синдром (дизурия, боли в пояснице, отеки), как правило, отсутствует. Симптом Пастернацкого может быть слабо положительным. Отмечается небольшая протеинурия, перемежающаяся лейкоцитурия, бактериурия. Нарушение концентрационной функции почек проявляется гипостенурией и полиурией. У некоторых пациентов может выявляться незначительная анемия и умеренная гипертония.
Рецидивирующий вариант хронического пиелонефрита протекает волнообразно с периодической активизацией и затиханием воспаления. Проявлениями данной клинической формы служат тяжесть и ноющая боль в пояснице, дизурические расстройства, периодические лихорадочные состояния. В фазе обострения развивается клиника типичного острого пиелонефрита. При прогрессировании может развиваться гипертонический или анемический синдром. Лабораторно, особенно при обострении, определяется выраженная протеинурия, постоянная лейкоцитурия, цилиндрурия и бактериурия, иногда – гематурия.
При гипертонической форме преобладающим становится гипертензивный синдром. Артериальная гипертензия сопровождается головокружением, головными болями, гипертоническими кризами, нарушениями сна, одышкой, болью в сердце. Гипертония нередко носит злокачественный характер. Мочевой синдром, как правило, не выражен или носит перемежающееся течение. Анемический вариант болезни характеризуется развитием гипохромной анемии. Гипертонический синдром не выражен, мочевой – непостоянный и скудный. В азотемическую форму объединяют случаи, когда заболевание выявляется лишь на стадии ХПН. Клинические и лабораторные данные азотемической формы аналогичны таковым при уремии.
Трудность диагностики хронического пиелонефрита обусловлена многообразием клинических вариантов заболевания и его возможным латентным течением. Диагностическая тактика включает:
- Анализы мочи. В общем анализе мочи выявляется лейкоцитурия, протеинурия, цилиндрурия. Исследование мочи по методике Аддиса-Каковского характеризуется преобладанием лейкоцитов над другими элементами мочевого осадка. Бактериологический посев мочи способствует выявлению бактериурии, идентификации возбудителей хронического пиелонефрита и их чувствительности к антимикробным препаратам. Для оценки функционального состояния почек применяются пробы Зимницкого, Реберга, биохимическое исследование крови и мочи.
- Общий анализ крови. В крови обнаруживается гипохромная анемия, ускорение СОЭ, нейтрофильный лейкоцитоз.
- Инструментальные исследования. Степень нарушения функций почек уточняется с помощью проведения хромоцистоскопии, экскреторной и ретроградной урографии, нефросцинтиграфии. Уменьшение размеров почек и структурные изменения в почечной ткани выявляются по данным УЗИ, МРТ и КТ почек. Инструментальные методы объективно указывают на уменьшение размеров почек, деформацию чашечно-лоханочных структур, снижение секреторной функции почек.
- Биопсия почки. В клинически неясных случаях хронического пиелонефрита показана биопсия почки. Между тем, забор в ходе биопсии непораженной почечной ткани может давать ложноотрицательный результат при морфологическом исследовании биоптата.
В процессе дифференциальной диагностики исключается амилоидоз почек, хронический гломерулонефрит, гипертоническая болезнь, диабетический гломерулосклероз.
Лечение хронического пиелонефрита
Пациентам показано соблюдение щадящего режима с исключением факторов, провоцирующих обострение (переохлаждения, простуды). Необходима адекватная терапия всех интеркуррентных заболеваний, периодический контроль анализов мочи, динамическое наблюдение врача-нефролога.
Диета
Рекомендации по пищевому рациону включают отказ от острых блюд, специй, кофе, алкогольных напитков, рыбных и мясных наваров. Диета должна быть витаминизированной, с содержанием молочных продуктов, овощных блюд, фруктов, отварной рыбы и мяса. В сутки необходимо употреблять не менее 1,5–2 л жидкости, чтобы не допустить чрезмерной концентрации мочи и обеспечить промывание мочевых путей. При обострениях хронического пиелонефрита и при его гипертонической форме накладываются ограничения на прием поваренной соли. Полезны клюквенный морс, арбузы, тыква, дыни.
Консервативная терапия
Обострение требует назначения антибактериальной терапии с учетом микробной флоры (пенициллинов, цефалоспоринов, аминогликозидов, фторхинолонов) в сочетании с нитрофуранами (фуразолидон, нитрофурантоин) или препаратами налидиксовой кислоты. Системная химиотерапия продолжается до прекращения бактериурии по лабораторным результатам.
В комплексной медикаментозной терапии используются витамины В, А, С; антигистаминные средства (мебгидролин, прометазин, хлоропирамин). При гипертонической форме назначаются гипотензивные и спазмолитические препараты; при анемической – препараты железа, витамин В12, фолиевая кислота.
Из физиотерапевтических методик особенно хорошо зарекомендовали себя СМТ-терапия, гальванизация, электрофорез, ультразвук, хлоридные натриевые ванны и пр. В случае развития уремии требуется проведение гемодиализа.
Хирургическое лечение
Далеко зашедший хронический пиелонефрит, не поддающийся консервативному лечению и сопровождающийся односторонним сморщиванием почки, артериальной гипертензией, является основанием для нефрэктомии.
При латентном хроническом варианте воспаления пациенты длительное время сохраняют трудоспособность. При других формах трудоспособность резко снижается или утрачивается. Сроки развития хронической почечной недостаточности вариабельны и зависят от клинического варианта хронического пиелонефрита, частоты обострений, степени нарушения функций почек. Гибель пациента может наступить от уремии, острых нарушений мозгового кровообращения (геморрагический и ишемический инсульт), сердечной недостаточности.
Профилактика состоит в своевременной и активной терапии острых мочевых инфекций (уретрита, цистита, острого пиелонефрита), санации очагов инфекции (хронического тонзиллита, гайморита, холецистита и др.); ликвидации местных нарушений уродинамики (удалении камней, рассечении стриктур и др.); коррекции иммунитета.
Читайте также:
- Диагностика миелодиспластических синдромов - нарушения грануломоноцитопоэза
- Диагностический амниоцентез при двойне. Лечебные вмешательства при многоплодной беременности
- Концентрация антибиотика. Механизмы взаимодействия антибиотиков
- Гипохромные анемии - причины, классификация
- Морфология болезни Иценко-Кушинга и ее клиника
