Лучевая диагностика рака желчного пузыря
Добавил пользователь Евгений Кузнецов Обновлено: 22.10.2025
Рак желчного пузыря (РЖП) занимает 5-е место в структуре онкозаболеваний желудочно-кишечного тракта и в 1–3% случаев выявляется только при гистоморфологическом исследовании материалов после холецистэктомии.
Эпидемиология
В связи с поздней диагностикой нередко выявляется только на последних стадиях и наиболее часто (в 78% наблюдений) сочетается с желчнокаменной болезнью. Среди всех пациентов, страдающих желчнокаменной болезнью, рак ЖП, по данным ряда авторов, развивается у 0,3–3,5%. Причем заболеваемость раком ЖП среди женщин в 2–5 раз выше, чем среди мужчин.
Этиология
К предрасполагающим факторам РЖП относят желчнокаменную болезнь более 5 лет, кальцификацию стенок ЖП, ожирение, первичный склерозирующий холангит, а также аденому, папилломатоз и метаплазию эпителия ЖП. Относительный риск развития рака ЖП при семейном анамнезе очень высок и составляет 13,9%.
Патология
Выявляют различные гистологические формы рака желчного пузыря: аденокарцинома, плоскоклеточный рак, недифференцированный рак.

Недифференцированный рак встречается в 8–10% случаев рака ЖП в виде двух форм: мелкоклеточный и крупноклеточный. Приблизительное время прогрессирования заболевания от тяжелой дисплазии до инвазивного рака составляет 15 лет.
Макроскопически выделяют следующие формы рака ЖП: узловая, диффузно-инфильтративная и папиллярная.
Диффузно-инфильтративная форма является наиболее частой. В запущенных формах опухоль распространяется на печень, элементы гепатодуоденальной связки, ободочную кишку и ее брыжейку и двенадцатиперстную кишку.
Узловая форма встречается реже, опухоль имеет относительно четкие границы и растет в просвет пузыря или внепузырно.
Папиллярный рак ЖП представляет папиллярное образование, растущее в просвет ЖП. Инвазия субсерозного слоя органа резко повышает вероятность лимфогенного и гематогенного метастазированию.
Метастазирование
Рак ЖП относится к быстро прогрессирующим опухолям. Известны 4 пути генерализации опухолевых клеток:
Прямая инвазия на соседние органы, и в первую очередь на печень (на IV и V сегменты). Инвазия печени является характерной особенностью РЖП и выявляется на секции у 58,9–90% больных.
Лимфогенное и гематогенное метастазирование начинается при пенетрации мышечного слоя, где опухоль контактирует с многочисленными лимфатическими и кровеносными сосудами. На аутопсии лимфогенные метастазы обнаружива- ются у 68,1% умерших больных.
Четвертый путь распространения опухоли — перитонеальный (частота метастазов по брюшине достигает 60%).
Метастазы в печень чрезвычайно характерны для рака ЖП и отмечаются у 50–85% больных. Далее по частоте пораженных метастазами органов отмечают легкие и плевру — от 4,8 до 34,3% больных.
Клинические данные
Основными признаками и симптомами заболевания являлись боли в эпигастрии с эпицентром в правом подреберье (87,2% больных). Снижение аппетита, похудание, желтоватое окрашивание склер и кожи отмечены у 76,4% пациентов. Тошнота и рвота имела место в 35,8% наблюдений, жалобы на кожный зуд предъявляли 47,1% больных.
В запущенных случаях отмечается желтуха, нередко сопровождающаяся болью в животе, потерей аппетита и снижением массы тела.
Изменения в анализах крови были неспецифичны и, как правило, выявлялись в запущенных стадиях заболевания: анемия, лейкоцитоз, повышение уровня билирубина, активности ЩФ и ГГТП. Эти показатели обычно свидетельствовали об опухолевой инвазии печени и внепеченочных желчных протоков, а также развитии других осложнений: холецистита, холангита (у 79,5% пациентов).
Лучевая диагностика рака желчного пузыря
Методы обследования рака желчного пузыря
а) Терминология:
• КТ- и МР-признаки:
о Существует несколько различных вариантов:
- Объемное образование, полностью замещающее желчный пузырь (в 2/3 случаев)
- Неравномерное, ограниченное или распространенное утолщение стенки желчного пузыря (20-30%)
- Внутрипросветное полиповидное образование желчного пузыря (приблизительно в 20% случаев)
о Опухоль обычно является гиподенсной в венозной фазе и может накапливать контраст по периферии в артериальной фазе
о Часто инвазирует ворота печени
о В т. ч. выраженное увеличение лимфоузлов в области ворот печени
о Чаще всего метастазирует в печень и брюшину
о Может также сочетаться с кальцинированными камнями в желчном пузыре или «фарфоровым» желчным пузырем
• УЗ-признаки:
о Асимметричное утолщение стенок желчного пузыря или дискретное полиповидное образование в стенке, с неоднородной структурой, умеренно эхогенное
о В случае опухолевой инвазии печени стенка желчного пузыря, становится не различимой
о При цветовой допплерографии в образовании обнаруживается кровоток
(Слева) На рисунке показан рак желчного пузыря в виде объемного образования в ограниченном участке его стенки, прорастающего в печень и обусловливающего обструкцию общего печеночного протока. В просвете желчного пузыря видны множественные конкременты.
(Справа) На корональной КТ с контрастным усилением визуализируется мягкотканное объемное образование в стенке желчного пузыря, распространяющееся кверху, прорастающее в печень и вызывающее поражение структур ворот печени. Обратите внимание на множественные камни — известный фактор риска рака желчного пузыря. (Слева) На аксиальной КТ с контрастным усилением в желчном пузыре визуализируется полиповидное образование большого размера, накапливающее контраст (рак желчного пузыря). Такие полиповидные образования составляют около 20% всех вариантов рака желчного пузыря, обнаруживаемого на КТ.
(Справа) На сонограмме визуализируется мягкотканное объемное образование (карцинома), заполняющее дно желчного пузыря. Обратите внимание на интактную эхогенную стенку желчного пузыря? отделяющую опухоль от печени, что позволяет предположить отсутствие инвазии печени.
б) Дифференциальная диагностика:
• Осложненный или хронический холецистит
• Ксантогранулематозный холецистит
• Метастазы в желчном пузыре
• Полип желчного пузыря или аденомиоматоз
в) Патология:
• Главные факторы риска: холелитиаз, хронический холецистит, «фарфоровый» желчный пузырь, полипы желчного пузыря
г) Клинические особенности:
• Чаще всего обнаруживается у пожилых женщин
• У многих пациентов протекает бессимптомно и обнаруживается случайно при патоморфологическом исследовании желчного пузыря, удаленного по поводу желчных камней или холецистита
• Прогноз крайне неблагоприятен: пятилетняя выживаемость - 4%:
о У 75% пациентов на момент установления диагноза имеются метастазы
• Варианты хирургического лечения зависят от стадии Т и могут включать в себя простую или расширенную холецистэктомию, возможно, в сочетании с радикальной резекцией печени.
а) Терминология:
1. Аббревиатура:
• Карцинома желчного пузыря (gallbladder carcinoma - GBC)
2. Определение:
• Наиболее часто встречающееся новообразование желчных путей, характеризуется наихудшим прогнозом
б) Визуализация:
1. Общая характеристика:
• Основные диагностические признаки:
о Объемное образование ямки желчного пузыря с нечеткими контурами
о Прорастает в печень и прилегающие органы
о Метастатическая лимфаденопатия регионарных лимфоузлов
• Морфология:
о Три основных морфологических типа:
- Полипоидное объемное образование в просвете желчного пузыря: > 1 см, утолщенное основание, неровные края
- Диффузное или очаговое утолщение стенки желчного пузыря: асимметричное обширное утолщение неправильной формы
- Крупное мягкотканное объемное образование, инфильтрирующее ямку желчного пузыря/замещающее собой желчный пузырь ± прорастающее печень
2. УЗИ при раке желчного пузыря:
• УЗИ в черно-белом режиме:
о Опухоль обычно гипоэхогенна по сравнению с нормальной тканью печени
о Прорастающая за пределы желчного пузыря опухоль, инфильтрирующая его ямку и распространяющаяся в печень
о Гетерогенное утолщение стенки желчного пузыря неправильной формы:
- Признаки озлокачествления включают в себя толщину > 5 мм, неправильную форму и асимметрию
о Полипоидное образование умеренной эхогенности в просвете желчного пузыря:
- Размеры >1 см-независимый диагностический признак
- Дольчатая поверхность
- Гипоэхогенность глубоких тканей опухоли
о Конкременты ± кальциноз стенки желчного пузыря
о Дополнительные неблагоприятные факторы - признаки местной инвазии, лимфаденопатия и отдаленные метастазы
• Цветовая допплерография:
о Зоны васкуляризации в толще объемного образования
о Наличие у полипа крупнее 1 см васкуляризованной сердцевины
• УЗИ с контрастным усилением:
о Признаки, с большой вероятностью свидетельствующие о злокачественном характере утолщения стенки желчного пузыря:
- Нарушение целостности наружной или внутренней границы стенки
- Очаговое утолщение стенки > 10 мм
о Метод обеспечивает лучшую визуализацию полипа в просвете желчного пузыря
о В раннюю фазу более контрастный по сравнению с печенью, вымывание контраста в течение 35 секунд: позволяет более эффективно обнаружить, точнее охарактеризовать опухоль и оценить ее инвазию
о Извитые сосуды
• Современные методики УЗИ, находящиеся в стадии разработки:
о УЗИ высокого разрешения (high-resolution US-HRUS): комбинация высоко- и низкочастотных излучателей может способствовать более точной оценке размеров полипов в просвете желчного пузыря
3. КТ при раке желчного пузыря:
• КТ может использоваться в качестве дополнительного метода исследования, когда стенка желчного пузыря скрыта конкрементами
• Предоперационная оценка распространенности опухоли, лимфа-денопатии, отдаленных метастазов
4. МРТ при раке желчного пузыря:
• Т1-ВИ:
о Изо- или гипоинтенсивна по сравнению с нормальной тканью печени
• Т2-ВИ:
о Гетерогенна, гиперинтенсивна по сравнению с печенью
• Т1-ВИ с контрастированием
о Контрастирование в раннюю артериальную фазу, нечеткость контуров
о Фиброзные стромальные компоненты опухоли могут удерживать контрастный агент и в более поздние фазы
• МР холангиопанкреатография:
о Обтурация или инвазия протоков ± расширение желчных путей
• Используется в основном для определения стадии опухоли и степени ее инвазии:
о Т1-ВИ с контрастированием в различных режимах (с подавлением жира) -наиболее информативный метод выявления и оценки инвазии опухоли в прилегающие органы и сосудистые структуры (воротная вена, печеночная артерия), отсевов в брюшину
6. Рекомендации по визуализации:
• Оптимальный метод визуализации:
о УЗИ - для первичной диагностики и характеристики, КТ с контрастным усилением или МРТ-при предоперационной диагностике и определении стадии процесса

(Левый) У пациентки 67 лет с острым панкреатитом на сагиттальном УЗ срезе определяется крупное полипоидное объемное образование дна желчного пузыря, имеющее собственную сосудистую сеть.
(Правый) При МРТ в просвете желчного пузыря визуализируется дольчатое полипоидное образование, гетерогенное и гиперинтенсивное по сравнению с прилегающей печенью. Обратите внимание на угловатый конкремент в шейке желчного пузыря и отечность поджелудочной железы, вызванную острым интерстициальным отечным панкреатитом.
в) Дифференциальная диагностика рака желчного пузыря:
1. Полип желчного пузыря: гиперпластический или аденоматозный:
• Полипоидное объемное образование слизистой оболочки:
о Умеренно эхогенное не отбрасывающее тени образование
о Неподвижное, фиксированное к стенке желчного пузыря
о При допплерографии сосудистая сеть не определяется
• Как правило, размеры
2. Гиперпластический холецистоз:
• Очаговое или диффузное утолщение стенки желчного пузыря:
о Очаговое утолщение в области дна желчного пузыря
о Фокальное утолщение в средней части желчного пузыря (деформация типа «песочных часов»)
• Интрамуральные кристаллы холестерина в виде мелких эхогенных очагов с артефактами типа «хвоста кометы»:
о «Нитки жемчуга» на МРТ
• Инфильтрация прилегающих тканей и метастатическое поражение лимфоузлов отсутствуют
3. Хронический холецистит:
• Диффузное утолщение стенки желчного пузыря, контур гладкий или неровный
• Сморщенный желчный пузырь (возможна облитерация просвета)
• Конкременты желчного пузыря
4. Ксантогранулематозный холецистит:
• Инфильтративный интрамуральный воспалительный процесс, приводящий к формированию нечетко отграниченного утолщения стенки желчного пузыря
• Конкременты желчного пузыря
• Отличительные признаки:
о Наличие интрамуральных гипоэхогенных/сниженной плотности узлов
о Непрерывность слизистой оболочки
о Поражение лимфоузлов и инвазия в печень или в желчные пути отсутствуют
• До операции дифференцировать от карциномы желчного пузыря почти невозможно
5. Метастатическое поражение ямки желчного пузыря:
• Картина вариабельна (полипоидное, инфильтрация стенки, объемное образование ямки желчного пузыря)
• Метастазы: меланома может метастазировать непосредственно в слизистую желчного пузыря
• Прямая инвазия: первичные опухоли печени по желчным путям прорастают в желчный пузырь
• Симулирует: лимфаденопатия ворот печени:
о Наиболее часто-лимфома и карцинома ЖКТ
• Наличие данных о злокачественной опухоли в анамнезе

(Левый) У женщины 37 лет с острыми болями в правом верхнем квадранте живота на сагиттальном УЗ срезе желчного пузыря визуализируются отбрасывающие тень конкременты и сладж, а также опухолевидное дольчатое локальное утолщение стенки, прорастающее трансмурально.
(Правый) При КТ с контрастным усилением в режиме мульти планарной реконструкции в той же сагиттальной плоскости определяется полипоидное объемное образование стенки желчного пузыря, накапливающее контраст.
г) Патология:
1. Общая характеристика:
• Этиология:
о Патогенез:
- Чаще всего сопровождается конкрементами желчного пузыря — слущивание/изъязвление слизистой оболочки — регенерация — метаплазия/дисплазия
- Реже развивается в результате малигнизации аденоматозных полипов
• Обычно поражает дно или шейку желчного пузыря
• Тонкий мышечный слой и близость печени, лимфатических узлов и сосудистой сети — раннее местное, лимфогенное и гематогенное распространение:
о Прорастание сквозь серозную оболочку — диссеминация в брюшину (асцит, отсевы в сальник/брюшину)
2. Стадии, степени и классификация рака желчного пузыря:
• Стадия I: ограничена слизистой оболочкой
• Стадия II: поражены слизистая оболочка и мышечный слой
• Стадия III: распространяется на серозную оболочку
• Стадия IV: поражение лимфоузлов:
о Состояние лимфоузлов имеет наибольшее значение для общего прогноза
• Стадия V: распространение непосредственно в печень или отдаленные метастазы
3. Микроскопия:
• Аденокарцинома (80-95%)

(Левый) При динамической МРТ в постгадолиниевую фазу в корональной плоскости наблюдается отсроченное прогрессирующее накопление контраста дольчатым полипоидным образованием, также виден дефект контрастной стенки желчного пузыря.
(Правый) У этого же пациента при МР холангиопанкреатографии определяются конкременты шейки и тела желчного пузыря и дольчатое полипоидное образование, пролабирующее в просвет желчного пузыря.
д) Клинические особенности:
1. Проявления рака желчного пузыря:
• Наиболее частые жалобы/симптомы:
о Боли в правом верхнем квадранте живота, потеря веса, анорексия, лихорадка
о Желтуха: когда опухоль прорастает общий или правый печеночные или общий желчный протоки
2. Демография:
• Возраст:
о Средний возраст: 65 лет
• Пол:
о Ж:М 3:1; женский пол является независимым фактором риска
3. Эпидемиология:
о Частота 3-7%
• Факторы риска:
о Конкременты желчного пузыря
о Полипы:
- Установлено, что до 88% аденоматозных полипов > 10 мм у пациентов старше 50 лет имеют участки озлокачествления
о Хроническая инфекция:
- Salmonella typhi и S. paratyphi, Helicobacter pylori
о Аномальное слияние панкреатобилиарных протоков (anomalous union of the pancreaticobiliary ducts-AUPBD)
о "Фарфоровый" желчный пузырь: спорно:
- Более вероятно, что «фарфоровый» желчный пузырь является проявлением хронического воспаления,которое само по себе провоцирует развитие карциномы желчного пузыря
о Генетика: выраженная географическая вариабельность наследственной предрасположенности к карциноме желчного пузыря:
- Отягощенный семейный анамнез является значимым фактором риска
о Другие хронические воспалительные состояния, в том числе воспалительные заболевания кишечника (первичный склерозирующий холангит) и семейный аденоматозный полипоз, токсические воздействия (курение сигарет; рабочие, работающие с нефтепродуктами, резиной, на бумажных фабриках)
4. Течение и прогноз:
• Наиболее важными прогностическими факторами являются гистологический тип и стадия на момент постановки диагноза
• Распространяется путем местной инвазии в печень, поражает лимфоузлы ворот печени и парааортальные узлы, гематогенным путем распространяется в печень
5. Лечение рака желчного пузыря:
• На ранних стадиях (Tis или Т1а): традиционная холецистэктомия
• При распространении за пределы мышечного слоя: радикальная холецистэктомия ± частичная гепатэктомия ± диссекция лимфоузлов
• Профилактическое лечение: пациентам старше 50 лет при размерах полипов более 10 мм рекомендуется холецистэктомия
е) Диагностическая памятка:
1. Следует учесть:
• Чаще всего становится случайной диагностической находкой после холецистэктомии по поводу предположительно доброкачественного заболевания
2. Советы по интерпретации изображений:
• Объемное образование, инфильтрирующее ямку желчного пузыря и прорастающее в печень
• Крупное полипоидное образование слизистой желчного пузыря с собственной кровеносной системой
• Сопровождается лимфаденопатией близлежащих лимфоузлов
а) Определение:
• Злокачественное эпителиальное новообразование, возникающее в слизистой оболочке желчного пузыря
1. Общая характеристика:
• Лучший диагностический критерий:
о Объемное образование большого размера, полностью замещающее желчный пузырь и распространяющееся в печень
о Полиповидное образование в просвете желчного пузыря
о Асимметричное утолщение стенки желчного пузыря (диффузное или ограниченное)
2. Рентгенография:
• ЭРХПГ:
о Применимость метода ограничена, поскольку желчный пузырь обычно не визуализируется
о Позволяет обнаружить обструкцию общего печеночного протока и расширение внутрипеченочных протоков

(Слева) На аксиальной КТ с контрастным усилением определяется рак желчного пузыря с инвазией в печень и нисходящую часть двенадцатиперстной кишки. Такие опухоли, если признаются резектабельными, однозначно требуют выполнения расширенной холецистэктомии и радикальной резекции.
(Справа) На аксиальной КТ с контрастным усилением визуализируется объемное образование в ямке желчного пузыря, прорастающее в печень. Во многих случаях, в том числе и в этом, место происхождения опухоли сложно определить.
3. КТ признаки рака желчного пузыря:
• Точность КТ в диагностике рака желчного пузыря колеблется от 84% до 92%
• Внутрипросветное полиповидное образование желчного пузыря (приблизительно в 20% случаев), неправильное (ограниченное или диффузное) утолщение стенки желчного пузыря (20-30% случаев), полное замещение желчного пузыря опухолью (2/3 случаев):
о В случае если образование заполняет желчный пузырь и прорастает в печень, его становится сложно отличить от первичной опухоли печени
о При инвазии ворот печени новообразование желчного пузыря сложно дифференцировать с опухолью Клацкина (холангиокарциномой)
о Если рак желчного пузыря проявляется утолщением стенки, особенно, диффузным, его сложно дифференцировать с хроническим холециститом; необходимо обращать внимание на неравномерное утолщение стенки, наличие метастазов и увеличенных локальных и регионарных лимфоузлов:
- Утолщенная стенка желчного пузыря при контрастировании выглядит «двухслойной»: наружный слой не накапливает контраст и остается гиподенсным, в то время как плотность внутреннего слоя увеличивается (гиперемия)
- Может содержать кальцинаты (возможно, конкременты) и кистозный компонент (что характерно преимущественно для муцинозных опухолей)
• Часто приводит к инвазии печени и поражает структуры в области ее ворот
• Во многих случаях опухоль приводит к массивной лимфадено-патии ворот печени и увеличению парааортальных лимфатических узлов
• Чаще всего метастазирует в печень (контактным путем или по кровеносным сосудам) и брюшину (обычно происходит поражение сальника в верхнем правом квадранте)
• Могут обнаруживаться камни с включениями извести или «фарфоровый» желчный пузырь
4. МРТ признаки рака желчного пузыря:
• МР-признаки, отражающие морфологию опухоли, идентичны таковым при КТ
• Рак желчного пузыря обычно характеризуется гипоинтенсивным сигналом на Т1 ВИ, сигналом от промежуточной до высокой интенсивности на Т2 ВИ, и не накапливает контраст на Т1 ВИ с контрастным усилением
• МРТ имеет значение в определении стадии Т; чувствительность метода в обнаружении инвазии печени на ранних стадиях слегка выше по сравнению с КТ
• В злокачественных опухолях желчного пузыря часто обнаруживается рестрикция диффузии
5. УЗИ признаки рака желчного пузыря:
• Асимметричное утолщение стенки желчного пузыря или дискретное полиповидное образование желчного пузыря средней эхогенности, неоднородной структуры:
о Образование может полностью замещать желчный пузырь, затрудняя определение места происхождения опухоли
о Часто обнаруживается инвазия печени; стенка желчного пузыря, которая в норме является эхогенной и отделяет опухоль от печени, не визуализируется
• Опухоль не должна смещаться при изменении положения пациента
• Сочетается с желчными камнями и «фарфоровым» желчным пузырем
• При цветовой допплерографии в опухоли обнаруживается кровоток:
о Но и отсутствие кровотока не позволяет исключить злокачественный процесс при наличии подозрительного утолщения стенки или объемного образования
6. Радионуклидная диагностика:
• Гепатобилиарная сцинтиграфия: отсутствие заполнения желчного пузыря может имитировать холецистит
• ПЭТ/КТ: в большинстве случаев рак желчного пузыря накапливает ФДГ, но роль этого метода в оценке изменений перед оперативным вмешательством остается не до конца изученной:
о Позволяет выявить скрытые метастазы, что приводит к изменению тактики ведения приблизительно в 20% случаев
7. Рекомендации по визуализации:
• Лучший диагностический метод:
о УЗИ, КТ с контрастным усилением, МРТ

(Слева) На аксиальной КТ с контрастным усилением определяется распространенное круговое утолщение стенки желчного пузыря, которое проспективно было расценено как проявление ксантогранулематозного холецистита. Тем не менее, во время оперативного вмешательства обнаружился рак желчного пузыря.
(Справа) На сонограмме визуализируется объемное образование в ямке желчного пузыря и конкрементдающий акустическую тень. Образование не отделено от прилежащих отделов печени. На КТ (томограммы не продемонстрированы) была обнаружена локальная инвазия рака желчного пузыря в центральные отделы печени.
1. Осложненный или хронический холецистит:
• Сокращенный, гиперемированный желчный пузырь с утолщенной стенкой, в котором часто обнаруживаются конкременты, возможно, в сочетании с перипузырным абсцессом
• Может быть ошибочно принят за рак желчного пузыря при лучевых методах визуализации
2. Ксантогранулематозный холецистит:
• Редкий воспалительный процесс желчного пузыря, характеризующийся накоплением макрофагов, нагруженных липидами, и разрастанием фиброзной ткани
• Для дифференциальной диагностики с карциномой желчного пузыря требуется гистологическое исследование
3. Метастазы в желчном пузыре/ямке желчного пузыря:
• Меланома может напрямую метастазировать в слизистую оболочку желчного пузыря; метастазы меланомы выглядят как внутрипросветное объемное образование или утолщение стенки желчного пузыря на ограниченном участке
• Вторичное поражение (инвазия) желчного пузыря может быть обусловлено гепатоцеллюлярным раком и другими опухолями печени
• Некоторые опухоли, особенно злокачественные новообразования ЖКТ и лимфома, могут метастазировать в лимфатические узлы ворот печени, имитируя тем самым картину метастазов рака желчного пузыря
4. Полип желчного пузыря:
• Фиксированное объемное образование в слизистой оболочке желчного пузыря, умеренно эхогенное, в котором может обнаруживаться кровоток при допплерографии
• Риск злокачественности прямо пропорционален размеру полипа: большинство полипов размером меньше одного сантиметра характеризуются низким риском злокачественности
5. Аденомиоматоз:
• Ограниченное или диффузное утолщение стенки желчного пузыря с артефактом типа «хвоста кометы»
• Редко может выглядеть как дискретное объемное образование в области дна желчного пузыря

(Слева) На аксиальной КТ с контрастным усилением определяется выраженное неравномерное утолщение стенки желчного пузыря, непосредственная инвазия печени, а также перипанкреатическая/портокавальная и забрюшинная лимфаденопатия. Увеличение лимфатических узлов этих групп является типичным проявлением рака желчного пузыря.
(Справа) На аксиальной КТ с контрастным усилением визуализируется большое гиподенсное образование в печени. Это образование может быть опухолью печени, однако желчный камень в его центре и невозможность визуализации желчного пузыря позволяют предположить, что образование представляет собой рак желчного пузыря с инвазией печени.
1. Общая характеристика:
• Этиология:
о Факторы риска связаны в основном с хроническим воспалительным процессом: холелитиаз, хронический холецистит, хроническая сальмонеллезная инфекция, «фарфоровый» желчный пузырь, полипы желчного пузыря, аномалии панкреатобилиарного соустья, наблюдаемые при кистах холедоха, ожирение:
- В 70-90% рак желчного пузыря сочетается с холелитиазом:
Риск рака желчного пузыря ↑ с увеличением размеров конкрементов (при конкрементах > 3 см риск развития рака 10 х) и длительности желчнокаменной болезни
- Выраженность связи между «фарфоровым» желчным пузырем и раком желчного пузыря является спорной; риск рака выше, если стенка желчного пузыря содержит отдельные кальцинаты неправильной формы
- Полипы размером > 2 см ассоциированы с наибольшим риском рака желчного пузыря
- Аномалии панкреатобилиарного соустья (впадение ППЖ непосредственно в ОЖП) увеличивают риск развития рака желчного пузыря даже при отсутствии кист холедоха:
Самый высокий риск развития рака желчного пузыря выявлен среди населения стран Азии
• Генетические нарушения:
о Последовательность «аденома-карцинома» при раке желчного пузыря прослеживается хуже, чем при раке толстой кишки
- В развитии опухоли могут также играть роль мутации генов KRAS и CTNNB1, возможна семейная предрасположенность
• Сопутствующие патологические изменения:
о Язвенный колит, редко - болезнь Крона
о Первичный склерозирующий холангит
о Семейный полипоз толстой кишки
2. Стадирование, градации и классификация рака желчного пузыря:
• Стадирование по Невину (Nevin):
о Стадия I: рак, ограниченной слизистой оболочкой
о Стадия II: поражение слизистой и мышечной оболочки
о Стадия III: поражение серозной оболочки
о Стадия IV: поражение всех слоев стенки и лимфоузлов пузырного протока
о Стадия V: инвазия печени, метастазы в отдаленных органах, лимфоузлах
• Стадирование по TNM:
о Предпочтительная система стадирования: точнее соотносится с прогнозом, особенно стадия Т (лучшая корреляция с прогнозом и лечением)
о Имеет место выраженная взаимосвязь между стадией Т и метастазами в отдаленные органы и лимфатические узлы
о Опухоли на стадии Т1 ограничены собственной пластинкой или мышечным слоем стенки желчного пузыря
о Т2: распространение опухоли в околомышечную соединительную ткань (но не в серозную оболочку)
о Т3: выход опухоли за пределы стенки желчного пузыря и распространение в серозную оболочку, печень и другие органы, расположенные поблизости
о Т4: инвазия главного ствола воротной вены, печеночной артерии или двух органов (структур) за пределами печени
3. Микроскопия:
• В 90% случаев опухоль желчного пузыря - аденокарцинома
• Реже встречаются плоскоклеточный рак, аденосквамозный рак, мелкоклеточный рак, лимфома, саркома
1. Проявления:
• Наиболее частые признаки/симптомы:
о У большинства пациентов какой-либо симптоматики не возникает, а опухоль обнаруживается случайно при патоморфологическом исследовании после холецистэктомии, выполненной по поводу желчнокаменной болезни или холецистита
- До 50% рака желчного пузыря выявлено случайно
о Могут отмечаться следующие симптомы: боль в правом подреберье, отсутствие аппетита, тошнота, рвота, снижение веса тела, желтуха
• Клинический профиль:
о Повышение уровня ракового эмбрионального антигена и СА 19-9 (недостаточно чувствительный и специфичный признак)
о Повышение уровня билирубина и щелочной фосфатазы при билиарной обструкции
2. Демография:
• Возраст:
о Обычно наблюдается у пожилых (средний возраст 65 лет)
• Пол:
о М:Ж= 1:3
• Эпидемиология:
о Распространенность рака желчного пузыря варьирует в широких пределах в зависимости от местности (страны, континента) и соответствует распространенности холелитиаза и инфекций билиарного тракта:
- Самая высокая заболеваемость в Южной Америке и Азии
о Является наиболее часто встречающейся злокачественной опухолью билиарного тракта и шестой по распространенности раковой опухолью желудочно-кишечного тракта:
- Заболеваемость: 1-2 случая на сто тысяч человек
- 6500 летальных исходов в год (в США)
- Встречается в девять раз чаще по сравнению с холангио-карциномой внепеченочных желчных протоков
3. Течение и прогноз:
• Контактное метастазирование в печень, метастазирование в лимфоузлы ворот печени и парааортальные лимфоузлы, гематогенное распространение в печень и брюшину
• Прогноз крайне неблагоприятен: пятилетняя выживаемость - 4%:
о У 75% пациентов на момент установления диагноза имеются метастазы
о Средняя выживаемость на стадиях I-III составляет 12 месяцев
о Средняя выживаемость на стадии IV- б месяцев
4. Лечение:
• Опухоль на стадии I или II (Т1-Т2, N0, М0) можно удалить хирургически и тем самым добиться излечения, опухоль на стадии III (Т3 или Т1-Т2, N1) обычно (но не всегда) нерезектабельна; опухоли на стадии IV (Т4 или N2 или М1) практически всегда нерезектабельны
• Стадия Т является определяющей в выборе операции:
о Т1: простая холецистэктомия
о Т2: расширенная холецистэктомия (удаление желчного пузыря и участков печени вокруг ямки желчного пузыря)
- Если опухоль выявляется случайно, необходима повторная операция для оценки остаточной опухоли (Т2 и Т3)
о Т3 и Т4: расширенная холецистэктомия ± последующая резекция (печени, толстой кишки и др.) при местной инвазии
• При местной инвазии/метастазах опухоль считается нерезектабельной, лечение заключается в стентировании (при папиллярной или билиарной обструкции) и системной химиотерапии
е) Диагностическая памятка. Следует учесть:
• При крупном образовании, замещающем желчный пузырь и прорастающим печень, следует заподозрить рак желчного пузыря
• Увеличение лимфоузлов ворот печени и парааортальных лимфатических узлов или канцероматоз, особенно в правом верхнем квадранте, также позволяют предположить рак желчного пузыря
Желчный пузырь
Утолщение стенки желчного пузыря является диагностическим признаком, который встречается максимально часто при диагностике болезней желчного пузыря. Исторически так сложилось, что при утолщении стенки желчного пузыря врачи в первую очередь врачи думают о первичном заболевания желчного пузыря, а именно остром холецистите. В данной статье хотелось бы разобрать, какие патологические состояния приводят к утолщению стенки желчного пузыря так, как помимо воспалительных заболеваний желчного пузыря существует другие патологии, приводящие к тому же патоморфологическому признаку, как утолщение стенки желчного пузыря.

Схематичная патология. На данном рисунке продемонстрирован растянутый и гиперемичный желчный пузырь. Данные изменения встречаются при калькулезном холецистите, обусловленные обструкцией камнем желчного протока или шейки желчного пузыря.
УЗИ признаки калькулезного холецистита.
При помощи УЗИ, МРТ и КТ всегда возможно различить нормальную стенку желчного пузыря от утолщенной. Традиционно, УЗИ используется в качестве первого метода исследования при заболеваниях желчного пузыря так, как данный метод обладает высокой чувствительностью и специфичностью при обнаружении камней желчного пузыря. Также к достоинствам УЗИ относится:
- возможность оценки в реальном времени.
- дешевый метод.
- быстрый в выполнении.
- нет лучевой нагрузки.
Однако, компьютерная томография стала популярным методом при диагностике пациентов с симптомами острого живота. При остром животе КТ является первым методом исследования желчного пузыря во многих хирургических клиниках. Также КТ используют, как дополнительный метод исследования, если на УЗИ не выявили патологию или возникли какие-либо сомнения.
У МРТ также высокая диагностическая ценность при визуализации патологии желчного пузыря, но в связи с дороговизной метода и долгим временем выполнения диагностики, используют редко.
В норме стенки желчного пузыря на УЗИ визуализируется следующим образом:
- слизистой слой — гиперэхогенный.
- мышечный слой — гипоэхогенный.
- наружный или серозный слой — гиперэхогенный.
Толщина стенки желчного пузыря зависит от того насколько растянут желчный пузырь. Также толщина желчного пузыря увеличивается при следующих патологиях:
- холецистит.
- цирроз печени.
- асцит.
- острый вирусный гепатит.
- гипопротеинемия.
- злокачественное новообразование.
- правожелудочковая недостаточность.

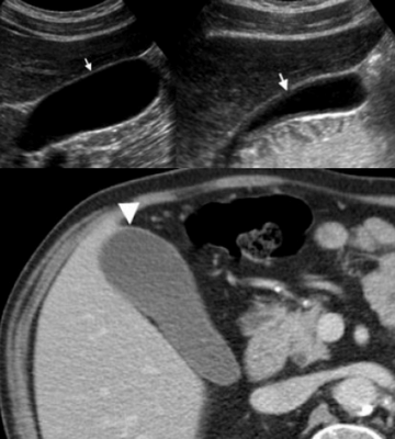
Сверху: УЗИ желчного пузыря стенка норма в виде «карандаша». Справа УЗИ картина псевдо-утолщения стенки желчного пузыря.
На КТ желчный пузырь в норме визуализируется, как образование с плотностью присущей мягким тканям. Указано стрелкой.
Утолщение стенки желчного пузыря — это частая диагностическая находка. Утолщением является размер стенки более 3 мм. При УЗИ утолщенная стенка имеет слоистый внешний вид, а на КТ выявляется гиподенсный слой, что соответствует субсерозному отеку.

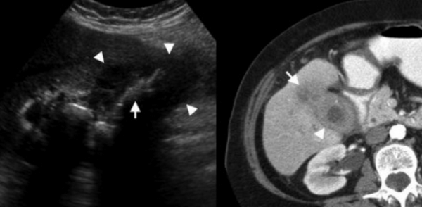
Слева — УЗИ — желчного пузыря у 59 летней женщины с острым холециститом. Субсерозный отек так, как гипоэхогенное утолщение между гиперэхогенными слоями (мышечным и слизистым). Справа — КТ брюшной полости с контрастным усилением. Также визуализируется субсерозный отек так, как наружный слой гиподенсный.

Острый холецистит стоит на четвертом месте среди заболеваний брюшной полости, требующих немедленной госпитализации. Если на УЗИ у пациентов, поступивших с острым животом, визуализируется утолщение стенки желчного пузыря, то первое о чем думают радиологи — это острый холецистит. Для постановки диагноза холецистита должны присутствовать также следующие признаки, как на УЗИ, так и на КТ:
- Дилатация желчного пузыря.
- Камни.
- Положительный симптом Мерфи при надавливании ультразвуковым датчиком в область желчного пузыря.
- Гиперемия стенки желчного пузыря в режиме Допплер.
- Воспалительный процесс в жировой клетчатке, окружающая желчный пузырь.

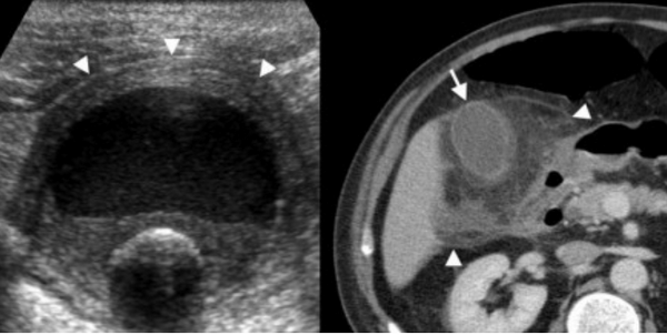
Острый калькулезный холецистит. После контрастного усиления визуализируется растянутый желчный пузырь (белые наконечники) со слегка утолщенной стенкой. Визуализируется камень в шейки желчного пузыря (белая стрелка).

Сверху изображения пациента 62 лет с калькулезным холециститом. На УЗИ визуализируется стенки желчного пузыря растянутые, с субсерозным отеком (указано белыми стрелками) и в просвете желчного пузыря камень и взвесь. На КТ визуализируется переход воспалительного процесса с желчного пузыря на соседние ткани (перихолецистит).
УЗИ некалькулезный холецистит.
Острый бескаменный холецистит возникает у пациентов во время поста, а также у пациентов, которые принимают лекарства, вызывающие холестаз. К признакам некалькулезного холецистита относятся все признаки острого калькулезного холецистита кроме наличия камней в просвете желчного пузыря, но при этом взвесь обычно присутствует.

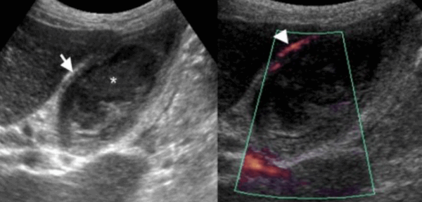
74 — летнему мужчине выполнено УЗИ желчного пузыря. Диагноз: острый некалькулезный холецистит. На левой сонограмме стрелкой указано утолщение стенок желчного пузыря. В просвете желчного пузыря взвесь. На правой сонограмме у того же пациента при исследовании в доплеровском режиме выявлен еще один признак воспаления — гиперемия.
УЗИ хронических холецистит
Термин хронического холецистита используют для обозначения вялотекущего воспалительного процесса с фиброзированием стенки желчного пузыря и образованием в просвете камней.

Представлен больной с хроническими болями в правом подреберье, который ежедневно воздерживался от еды с вечера. Утолщение слабо выраженное и не является физиологическим. Также визуализируются обструкция и камень. После УЗИ данному больному был поставлен диагноз — хронический холецистит.
Ксантогранулематозный холецистит.
Ксантогранулематозный холецистит — это воспалительное заболевание, характеризующаяся тем, что в стенке желчного пузыря образуются ксантомы и гранулемы. При исследовании выявляют утолщение стенки желчного пузыря, уменьшение органа в размере, а также интрамуральные узелки, которые визуализируются, как гипоэхогенные включения на УЗИ и гиподенсные на компьютерной томограмме. Данные включения схожи с включениями при карциноме желчного пузыря.

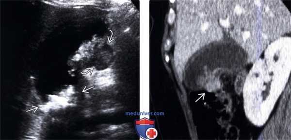
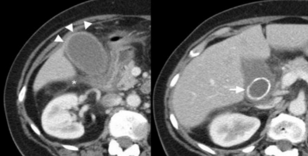
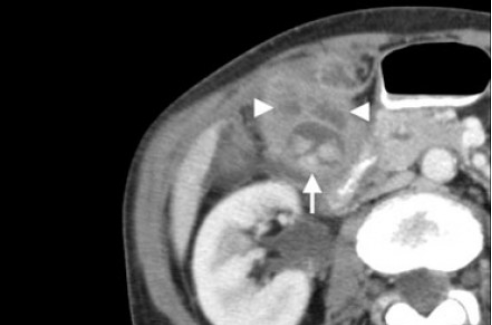
УЗИ и КТ желчного пузыря. Ксантогранулематозный холецистит. Слева на УЗИ визуализируется (помечено стрелками) утолщение стенки желчного пузыря с интрамуральным включением и с камнем в просвете органа. Справа на КТ выявляется утолщение стенки с гиподенсными включениями.

Выше представлено КТ пациента 71 года с ксантогранулематозным холециститом. Постконтрастное КТ. Визуализируется утолщение стенки желчного пузыря с включениями, которые соответствуют абсцессу или фокусам воспаления.
КТ желчного пузыря/Рак желчного пузыря
Наиболее часто встречаемый рак желчного пузыря является карцинома. Карцинома желчного пузыря занимает пятое место по частоте встречаемости среди раков желудочно-кишечного тракта. Чаще его обнаруживают случайно (в 2% случаях) при гистологической проверке после холецистэктомии. Карцинома желчного пузыря выявляется на последних стадиях заболевания так, как себя не проявляет клинически на ранних. Специфических признаков при карциноме желчного пузыря также нет. Рак может поражать желчный пузырь диффузно, целиком стенку или пристеночно. Карцинома желчного пузыря имеет схожую картину с ксантогрануломатозным холециститом, но при постановке диагноза радиологу помогают такие находки:
- Прорастание в соседние органы.
- Вторичная дилатация желчных протоков.
- Метастазирование в печень или лимфатические узлы.

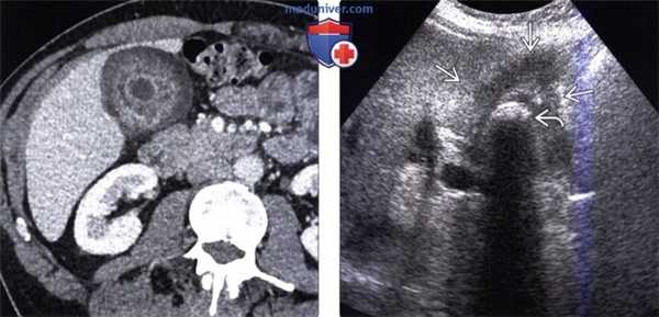
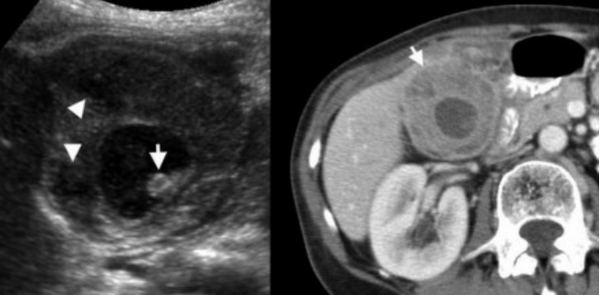
УЗИ (слева) и КТ (справа) желчного пузыря. На УЗИ ярко выраженное утолщение стенки желчного пузыря (указаны белыми стрелками). Множественные камни в просвете желчного пузыря (указано стрелкой). Компьютерная томография с контрастным усилением. На КТ визуализируются утолщение стенки с внутристеночными гиподенсными включениями. На КТ также выявлено, что процесс распространился на печень (указано стрелкой).
Читайте также:
