Лучевая диагностика саркомы жевательного пространства
Добавил пользователь Евгений Кузнецов Обновлено: 22.01.2026
Информацию из данного раздела нельзя использовать для самодиагностики и самолечения. В случае боли или иного обострения заболевания диагностические исследования должен назначать только лечащий врач. Для постановки диагноза и правильного назначения лечения следует обращаться к Вашему лечащему врачу.
Саркома: причины появления, симптомы, диагностика и способы лечения.
Определение
Саркома — это злокачественная (раковая) опухоль, которая развивается в разных типах соединительной ткани. Различают несколько видов опухолей: остеогенную саркому (костная ткань), хондросаркому (хрящевая ткань), миосаркому (мышцы), липосаркому (жировая ткань), синовиальную (процесс затрагивает суставы, чаще страдают колени), фибросаркому (часто поражаются молочные железы), а также ангиосаркому (опухоли сосудистых стенок). Зачастую эти опухолевые процессы характеризуются быстрым ростом, частыми рецидивами и отдаленным метастазированием.
Причины возникновения саркомы
Точные причины развития саркомы мягких тканей точно не известны, но на развитие опухолевого процесса могут влиять следующие факторы:
Стадирование саркомы мягких тканей основано на размере образования, его расположении в отношении поверхностной фасции и степени злокачественности.
Саркомы низкой степени злокачественности сопряжены с низким (менее 5%) риском метастазирования (распространения на другие участки организма). Для саркомы высокой степени злокачественности характерен высокий риск метастазирования, чаще всего в легкие. Поражение близлежащих (регионарных) лимфоузлов встречается редко (5-10%).
Классификация заболевания
По происхождению:
- опухоль, растущая из костной ткани: остеосаркома, хондросаркома, саркома Юинга;
- опухоль, растущая из мягких тканей: липосаркома, лимфосаркома, фибросаркома, саркома Капоши.
- липосаркома, которая выглядит как жировая ткань;
- лейомиосаркома, которая выглядит как гладкие мышцы:
- матки,
- стенки пищеварительного тракта,
- стенки кровеносных сосудов;
При правильном и своевременном лечении при саркомах 5-летняя выживаемость составляет в среднем до 75%.
Симптомы саркомы
Начальными симптомами онкопроцесса становятся увеличение лимфатических узлов, выраженная слабость и быстрая утомляемость даже после отдыха.
Признаки и симптомы саркомы зависят от местонахождения опухоли. Некоторые симптомы саркомы:- боль в месте формирования опухоли;
- тошнота, рвота;
- выраженная слабость, быстрая утомляемость, упадок сил;
- потеря аппетита и снижение веса;
- опухоль (бугорок, «шишка») визуально определяется над поверхностью кожи;
- деформация костей, позвоночника;
- увеличение групп лимфатических узлов;
- полиорганная недостаточность – ухудшение функционирования всех органов и систем наблюдается при метастазировании опухоли;
- патологические переломы – характерный признак саркомы Юинга;
- цианозные (синюшные) пятна, бляшки или узлы – типичные проявления саркомы Капоши.
Если саркома растет в соединительной ткани внутренних органов, забрюшинного пространства, то манифестируют другие симптомы. Их характер зависит от места развития опухоли и ее размера, а также от проникновения в здоровые окружающие ткани. Так, например, при лейомиосаркоме матки могут быть кровотечения или длительные и болезненные менструации, а если саркома развивается в кишечнике, первым признаком может стать кишечная непроходимость (сначала частичная, потом полная).
Диагностика саркомы
Основополагающим диагностическим исследованием саркомы, на основании которого определяется тактика лечения и прогноз, является гистологическое исследование биопсийного материала и иммуногистохимическое исследование, дополненные молекулярными методами. Биопсия должна быть выполнена до начала комплексного лечения. В настоящее время широко используются два типа биопсий: игольная (тонкоигольная аспирация) и открытая биопсия.
Взятие биоматериала оплачивается отдельно. Согласно требованиям п. 17 Правил проведения патолого-анатомических исследований, утв. Приказом Минздрава Росс.
Согласно требованиям п. 17 Правил проведения патолого-анатомических исследований, утв. Приказом Минздрава России от 24.03.2016 № 179н, в целях уточнения диагноза.
Неспецифическая лабораторная диагностика включает:
Метод определения Определение физико-химических параметров выполняется на автоматическом анализаторе методом «сухой химии». Аппаратная микроскоп.
Синонимы: Общий анализ крови, ОАК. Full blood count, FBC, Complete blood count (CBC) with differential white blood cell count (CBC with diff), Hemogram. Краткое описание исследования Клинический анализ крови: общий.
Синонимы: Общий белок сыворотки крови; Общий сывороточный белок. Total Protein; Serum Тotal Protein; Total Serum Protein; TProt; ТР. Краткая характеристика определяемого вещества Общий бе�.
Синонимы: Общий билирубин крови; Общий билирубин сыворотки. Totalbilirubin; TBIL. Краткая характеристика определяемого вещества Билирубин общий Билирубин – пигмент �.
Синонимы: Диамид угольной кислоты; Карбамид; Мочевина в крови; Азот мочевины. Urea nitrogen; Urea; Blood Urea Nitrogen (BUN); Urea; Plasma Urea. Краткая характеристика аналита Мочевина Моче�.
Синонимы: Анализ крови на креатинин; Сывороточный креатинин; Креатинин сыворотки, оценка СКФ. Сreat; Сre; Blood Creatinine; Serum Creatinine; Serum Creat. Краткая характеристика определя�.
Синонимы: Глутамино-щавелевоуксусная трансаминаза; Глутамат-оксалоацетат-трансаминаза сыворотки крови (СГОТ); L-аспартат 2-оксоглутарат аминотрансфераза; ГЩТ. As.
Аланинаминотрансфераза − внутриклеточный фермент, участвующий в метаболизме аминокислот. Тест используют в диагностике поражений печени, сердечной и скелетн�.
Синонимы: Анализ крови на ЛДГ; Лактатдегидрогеназа; L-лактат; НАД+Оксидоредуктаза; Дегидрогеназа молочной кислоты. Lactate dehydrogenase, Total; Lactic dehydrogenase; LDH; LD. Кра.
Синонимы: Анализ крови на щелочную фосфатазу; Фосфатаза щёлочная. ALK PHOS; ALKP; ALPase; Alk Phos. Краткое описание определяемого вещества Щелочная фосфатаза Щелочная фо�.
Синонимы: Анализ крови на электролиты; Электролиты в сыворотке крови. Electrolyte Panel; Serum electrolyte test; Sodium, Potassium, Chloride; Na/K/Cl. Краткая характеристика определяемых �.
Общий кальций – основной компонент костной ткани и важнейший биогенный элемент, обладающий важными структурными, метаболическими и регуляторными функциями в .
Синонимы: Гемостазиограмма. Coagulation studies (coagulation profile, coag panel, coagulogram). Краткая характеристика исследования «Гемостазиограмма (коагулограмма) расширенная» .
Другие инструментальные методы:
- рентгенография костей скелета, суставов ;
- ультразвуковое исследование пораженной области:
- предстательной железы ,
- сосудов ,
- мочевыделительной системы ,
- щитовидной железы ,
- молочных желез,
Лечение саркомы
Долгое время единственным способом лечения больных с саркомами являлся хирургический метод, который остается наиболее часто применяемым и сегодня. Методами выбора являются радикальные операции (удаление опухоли с захватом здоровой ткани), резекция (удаление только опухоли) с последующей лучевой терапией или комплексное лечение с химиотерапией и лучевой терапией перед резекцией опухоли. Также существуют методики, подразумевающие проведение операций гамма- или киберножами.
Лучевая или химиотерапия перед операцией используются для сокращения размеров опухоли и увеличения возможности радикальной органосохраняющей резекции. После операции возможно продолжение лучевой терапии.
Широкие органосохраняющие резекции с пред- и/или послеоперационной химиотерапией показывают удовлетворительные отдаленные результаты при саркомах конечностей с высокой степенью злокачественности. При таких же саркомах туловища, области головы и шеи хирургический метод вместе с лучевой или химиотерапией также дают хороший локальный контроль заболевания.
Лечение забрюшинных сарком более сложное, т.к. радикальное удаление опухолей бывает затруднено, а возможность лучевой терапии с адекватной дозой облучения ограничена.
У больных с IV стадией процесса хирургический метод может быть также использован в случае операбельных легочных метастазов. Если удаление первичной опухоли при этом возможно, то в ряде случаев оперативное удаление метастазов обеспечивает длительную безрецидивную выживаемость и даже излечение. Чаще всего это наблюдается при изолированных легочных метастазах, когда их удаление возможно при отсутствии плеврального выпота и метастазов в лимфатические узлы средостения, а также при отсутствии противопоказаний для операции на грудной клетке.
Химиотерапия саркомы мягких тканей в последние годы претерпевает значительные изменения: меняются подходы к выбору лекарственных комбинаций в зависимости от вида саркомы, появляются новые лекарства, приобретает клинические перспективы таргетная терапия.
Выбор препаратов для химиотерапии индивидуален и основан на виде саркомы, ее расположении и степени злокачественности, а также от состояния больного.
Химиотерапия необходима при поражении костей (остеосаркоме).
![Остеосаркома.jpg]()
Таргетные препараты направлены на поражение или связывание определенных молекулярных мишеней в опухолевых клетках, не затрагивая при этом здоровые ткани. Эффективность и безопасность применения этой группы лекарств при разных онкологических заболеваниях постоянно изучаются. В результате расширяются возможности их назначения как самостоятельно, так и в комбинации с препаратами стандартной химиотерапии.
Правильно подобранная терапия даже в запущенных случаях может продлить жизнь, улучшить общее состояние и качество жизни пациента.
Рекомендуются следующие реабилитационные мероприятия:
- экзопротезирование для пациентов, перенесших калечащие операции;
- курсы ранней и отсроченной реабилитации для пациентов после органосохраняющего лечения.
Саркомы мягких тканей могут достигать больших размеров, давить на здоровые ткани и вызывать боль.
При распространении саркомы на другие органы нарушаются функции пораженного органа (например, при распространении саркомы в легкие развивается одышка).
Неблагоприятные факторы, влияющие на исход лечения:
- присоединение инфекции;
- наличие патологического перелома;
- развитие анемии, тромбоцитопенического синдрома, которые требуют трансфузии компонентов крови;
- удлинение интервалов между введением химиопрепаратов;
- редукция доз химиопрепаратов;
- несоблюдение пациентом рекомендаций в ходе лечения и при динамическом наблюдении.
Профилактика саркомы
Поскольку до сих пор не выяснены точные причины развития саркомы, профилактических мероприятий не существует. Профилактика по большей части касается пациентов, прошедших лечение саркомы. Она заключается в наблюдении у специалиста после окончания этапа комбинированного лечения: динамическое наблюдение проводится каждые 3 месяца в течение первых 2 лет, далее – раз в 6 месяцев до 5 лет. Обязательными процедурами являются: КТ грудной клетки, УЗИ области послеоперационного рубца.
- Клинические рекомендации «Саркомы мягких тканей» (взрослые). Разраб.: Ассоциация онкологов России, Восточно-Европейская группа по изучению сарком, Российское общество клинической онкологии. – 2020.
- Бенберин В.В., Байзаков Б.Т., Шаназаров Н.А., Зинченко С.В. Саркомы мягких тканей – современный взгляд на проблему // Вестник Авиценны. – 2019;21(2):291-7.
- Громова Е.Г., Бирюкова Л.С., Джумабаева Б.Т., Курмуков И.А. Практические рекомендации по коррекции нефротоксичности противоопухолевых препаратов // Злокачественные опухоли: Практические рекомендации RUSSCO №3s2, 2017 (Т. 7). – С. 540–552.
- Клинические рекомендации «Саркомы мягких тканей» (дети). Разраб.: Национальное общество детских гематологов. – 2020.
Лучевая диагностика саркомы жевательного пространства
а) Терминология:
1. Синонимы:
• Саркома жевательного пространства (СаЖП)
• Другие саркомы: рабдомиосаркома, лейомиосаркома, саркома Юинга, синовиальная саркома, липосаркома, фибросаркома2. Определение:
• СаЖП: злокачественная опухоль мягких тканей (жировой, мышечной, нервной; суставов, кровеносных сосудов, глубоких слоев кожи) в жевательном пространстве (ЖП) надподъязычной области шеиб) Визуализация:
1. Общая характеристика:
• Лучший диагностический критерий:
о Агрессивная, плохо отграниченная опухоль ЖП с деструкцией кости и инвазией соседних фасциальных пластинок/про-странств
• Локализация:
о ЖП; часто распространяется за пределы ЖП
• Размер:
о Часто большой (> 4 см) несмотря на поверхностное расположение ЖП
• Морфология:
о Расплывчатые ± бугристые контуры![КТ, МРТ при саркоме жевательного пространства]()
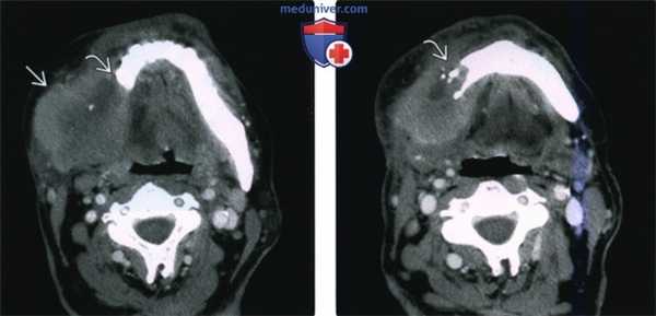
(Слева) На аксиальной КТ с КУ в жевательном пространстве справа визуализируется злокачественная фиброзная гистиоцитома нижней челюсти в виде минимально контрастирующегося солидного объемного образования, разрушающего ветвь и тело нижней челюсти. Жевательное пространство является известным местом возникновения сарком глубоких областей ли ца.
(Справа) На аксиальной КТ с КУ у этого же пациента визуализируется опухоль в жевательном пространстве справа, приводящая к обширной деструкции нижней челюсти. Обратите внимание на асимметрию лица на стороне поражения.2. КТ при саркоме жевательного пространства:
• КТ с КУ:
о Вариабельная картина контрастирования:
- Обычно неоднородное
• КТ в костном окне:
о Инвазивная опухоль в ЖП с деструкцией нижней челюсти, скуловой дуги или крыловидной пластинки
о В любой саркоме может наблюдаться продукция костной ткани или обызвествление:
- Преимущественно в остеосаркоме, хондросаркоме, синовиальной саркоме, саркоме Юинга
• КЛКТ:
о Метод аналогичен КТ в костном окне; ниже разрешающая способность для мягких тканей
о Иногда единственным признаком является воздействие на окружающую костную ткань (напр., периостальная реакция)3. МРТ при саркоме жевательного пространства:
• Т1 ВИ:
о Изо- или гиперинтенсивный сигнал (часто неоднородный) относительно нормальных мышц
о Замещение нормального жирового сигнала при поражении нижней челюсти
• Т2 ВИ:
о Неоднородный гиперинтенсивный сигнал относительно мышц
• STIR:
о Неоднородный гиперинтенсивный сигнал по сравнению с мышцами
• Т1 ВИ С+:
о Типичное неравномерное контрастное усиление4. Сцинтиграфия:
• Остеосцинтиграфия:
о Вспомогательный метод: остеосцинтиграфия с Тс-99m
• ПЭТ:
о Накопление F18 ФДГ
о Играет роль в планировании биопсии, прогнозировании степени злокачественности опухоли, оценке ответа на терапию5. Рекомендации по визуализации:
• Лучший метод визуализации:
о Тонкосрезовая КТ в костном окне в сочетании с MPT (Т1 ВИ С+):
- МРТ для оценки мягких тканей, возможной инвазии нижней челюсти, периневрального распространения опухоли вдоль ЧМН V3
- КТ в костном окне для оценки матрикса саркомы ± деструктивных изменений костей![КТ, МРТ при саркоме жевательного пространства]()
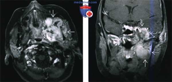
(Слева) На аксиальной МРТ (Т1 ВИ C+) в жевательном пространстве визуализируется лейомиосаркома высокой степени злокачественности, неравномерно накапливающая контраст и поражающая нижнюю челюсть. Большинство типов сарком жевательного пространства сложно дифференцировать в отсутствие костного или хондроидного матрикса.
(Справа) На корональной МРТ (Т1 ВИ С+ FS) у этого же пациента визуализируется контрастирующаяся опухоль с интракраниальным распространением через овальное отверстие а и поражением кавернозного синуса.в) Дифференциальная диагностика саркомы жевательного пространства:
1. Венозная мальформация жевательного пространства:
• Многокамерное объемное образование с вероятными участками «выпадения» сигнала и кальцинатами (флеболитами)2. Абсцесс жевательного пространства:
• Скопление жидкости в ЖП, окруженное контрастирующимся ободком ± остеомиелит нижней челюсти3. Остеомиелит нижней челюсти:
• Деструкция кости без формирования остеоида
• Может обнаруживаться секвестрация
• Возможна линейная периостальная реакция4. Инвазивный плоскоклеточный рак:
• Плоскоклеточный рак (ПКР) небной миндалины:
о Опухоль небной миндалины с инвазией подлежащего ЖП
• ПКР позадимолярного треугольника:
о Опухоль небной миндалины с инвазией ЖП5. Периневральная опухоль ЧМН V3 в жевательном пространстве:
• ПКР кожи подбородка, первичный ПКР полости рта или ротоглотки
• Злокачественная опухоль, распространяющаяся вдоль ЧМН V3 в ЖП6. Метастазы в нижней челюсти:
• Агрессивные деструктивные изменения костей
• Отсутствие периостальной реакции или кальцинатов в опухоли![КТ, МРТ при саркоме жевательного пространства]()
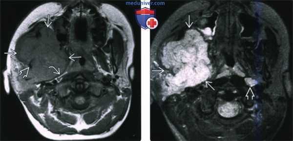
(Слева) На аксиальной МРТ (Т1ВИ) в жевательном пространстве визуализируется саркома Юинга в виде огромного объемного образования с гиперинтенсивным относительно мышц сигналом. Ветвь нижней челюсти разрушена, на этом изображении виден лишь ее мелкий фрагмент. Полоска окологлоточного жира смещена кнутри.
(Справа) На аксиальной МРТ (Т2ВИ FS) у этого же пациента определяется неоднородный сигнал крайне высокой интенсивности в опухоли. Хорошо различимый заглоточный лимфоузел слева является случайной находкой.г) Патология:
1. Общая характеристика:
• Этиология:
о Ионизирующее излучение (ЛТ), преимущественно по поводу других опухолей:
- Обусловливает - Среднее время между ЛТ и выявлением саркомы - 10 лет
о Наследственность:
- Синдром Гарднера: риск десмоидных опухолей (фибросаркомы низкой степени злокачественности) в брюшной полости
- Синдром Ли-Фраумени: повышенный риск развития мягкотканных и костных сарком
- Ретинобластома (врожденная форма): повышенный риск развития сарком мягких тканей и костей
о Повреждение лимфоузла:
- Лимфангиосаркомы редко обнаруживаются после лимфодиссекции или в поле облучения
• Генетика:
о В мягкотканной саркоме часто встречаются мутации ДНК2. Стадирование, градации, классификация саркомы жевательного пространства:
• Гистологическая градация:
о G1: микроскопически нормальная ткань (медленный рост)
о G2: ткань, микроскопически напоминающая нормальную (несколько более быстрый рост)
о G3: ткань, микроскопически лишь слегка напоминающая нормальную (более быстрый рост)
о G4: микроскопически патологическая ткань (наиболее быстрый рост)
• Стадия Т:
о T1: опухоль о T2: опухоль >5 см:
- а: поверхностная опухоль
- b: глубокая опухоль
• Анатомические стадии/прогностические группы АОКР:
о Стадия IA: G1—2, T1(а или b), N0, M0
о Стадия IB: G1-2, T2a, N0, M0
о Стадия IIA: G1-2, T2b, N0, M0
о Стадия IIB: G3-4, T1 (a или b), N0, M0
о Стадия IIC: G3-4, T2a, N0, M0
о Стадия III: G3-4, T2b, N0, M0
о Стадия IVA: любая G, любая Т, N1, M0
о Стадия IVB: любая G, любая Т, любая N, M13. Макроскопические и хирургические особенности:
• Патоморфологические изменения зависят от типа саркомы
• Неоднородная опухоль с оссифицированным (желтовато-белым, твердым) или неоссифицированным (мягким, цвета загара, с очагами кровоизлияний ± некроз) компонентом
• Периостальная реакция: пластинки вновь сформированной кости на периферии опухоли4. Микроскопия:
• Опухоли низкой степени злокачественности:
о Малое количество фигур митоза, минимальная клеточная атипия (если присутствует), относительно неинфильтративная картина роста
• Опухоли высокой степени злокачественности:
о Выраженная клеточная атипия, гиперхроматизм, плеоморфизм ядер, инфильтративная картина ростад) Клинические особенности:
1. Проявления:
• Типичные признаки/симптомы:
о Увеличивающееся мягкотканное объемное образование в области нижней челюсти, нарастание боли
о Другие признаки/симптомы:
- Дефицит ЧМН (онемение, паралич жевательной мышцы) часто сопровождает поражение основания черепа2. Демография:
• Возраст:
о Средний возраст: 35 лет
• Пол:
о М:Ж = 2:1
• Эпидемиология:
о 8000 новых случаев в год (в США)3. Течение и прогноз:
• Стадия I: пятилетняя выживаемость: 99%; рецидив: 20%
• Стадия II: пятилетняя выживаемость: 80%; рецидив: 35%
• Стадия III: пятилетняя выживаемость: 50%; рецидив: 65%
• Стадия IVB: пятилетняя выживаемость: 10%4. Лечение:
• При планировании лечения важно учитывать локализацию саркомы, ее патоморфологию и стадию TNM:
о Обычно рекомендуется мультимодальный подход
• Стадия I: хирургическое удаление; в сочетании с ЛТ в случае наличия опухоли в крае резектата:
о ЛТ может использоваться как основной метод при нерезекта-бельных опухолях (например, в случае обрастания жизненно важных структур)
• Стадия II: хирургическое лечение (эксцизия) с захватом 2 см здоровых тканей от края опухоли:
о Часто в сочетании с пред- и послеоперационной ЛТ, реже с химиотерапией
• Стадия III: оперативное лечение и ЛТ, часто в сочетании с химиотерапией, для снижения уровня рецидивов
• Стадия IV: оперативное лечение и ЛТ, хирургическое удаление метастазов
• Исследуются экспериментальные методы лечения, такие как иммунотерапия интерлейкином-2
• В нетипичных случаях используется адъювантная химиотерапия
• При рецидивирующей рабдомиосаркоме применяется радиочастотная абляцияе) Диагностическая памятка:
1. Следует учесть:
• В отсутствие известной злокачественной опухоли (системной; головы и шеи) или симптомов сепсиса (абсцесс ЖП) наличие объемного образования в ЖП позволяет заподозрить саркому
• Деструкция нижней челюсти ± периневральное распространение опухоли по ходу ЧМН V3 к основанию черепа: подозрительные лучевые признаки саркомы2. Советы по интерпретации изображений:
• КТ или МРТ при подозрении на злокачественную опухоль в ЖП:
о Тщательно исследуйте нижний альвеолярный канал, подбородочное отверстие, овальное отверстие, и другие отделы ЧМН V3 на предмет периневрального распространения опухоли1. Синонимы:
• Саркома жевательного пространства (ЖП)
• Множество вариантов: рабдомиосаркома, лейомиосаркома, саркома Юинга, синовиальная саркома, липосаркома, фибросаркома2. Определение:
• Саркома жевательного пространства (ЖП): злокачественная опухоль мягкотканного происхождения (жировая клетчатка, мышцы, нервы, суставы, кровеносные сосуды, глубокие ткани кожи), которая расположена в жевательном пространстве надподъязычной области шеи1. Общая характеристика:
• Лучший диагностический критерий:
о Агрессивное новообразование с неровными контурами, которое разрушает костные ткани и прорастает в близлежащие фасциальные пространства
• Локализация:
о Жевательное пространство, часто распространяется за его пределы
• Размер:
о Часто крупное (>4см), несмотря на поверхностную локализацию
• Морфология:
о Нечеткие границы ± многодольчатое строение![КТ, МРТ при саркоме жевательного пространства]()
(Слева) КТ с КУ, аксиальная проекция. Злокачественная фиброзная гистиоцитома жевательного пространства и нижней челюсти. Солидная опухоль, которая умеренно накапливает контраст, располагается в правом жевательном пространстве и разрушает нижнюю челюсть, в том числе ее ветвь и тело. Жевательное пространство представляет собой глубокую область лица, в которой может возникать саркома.
(Справа) КТ с КУ, аксиальная проекция, тот же пациент. Солидная опухоль, умеренно накапливающая контраст, разрушает значительную часть нижней челюсти.2. КТ при саркоме жевательного пространства:
• КТ с КУ:
о Возможны различные варианты накопления контраста:
- Обычно неоднородное накопление
• КТ в костном окне:
о Инвазивная опухоль жевательного пространства, разрушающая нижнюю челюсть, скуловую дугу или крыловидные отростки:
- Остеосаркомы челюсти прорастают в мягкие ткани в большинстве случаев (72%)
о Кальцификаты или образование костной ткани могут наблюдаться при любом варианте сарком:
- Чаще всего при остеосаркоме (72%), хондросаркоме, синовиальной саркоме или саркоме Юинга
- Периостальная реакция отмечается при 62% всех остеосарком челюсти3. МРТ при саркоме жевательного пространства:
• Т1ВИ:
о Изо- или гиперинтенсивный относительно здоровых мышц сигнал, часто неоднородный
о Замещение нормального сигнала от костного мозга
• Т2ВИ:
о Неоднородный гиперинтенсивный относительно мышц сигнал
• STIR:
о Неоднородный гиперинтенсивный относительно мышц сигнал
• ДВИ:
о Количественные значения кажущегося коэффициента диффузии помогают дифференцировать инфекционный процесс от саркомы
о Ключевым значением считается 1,20 х 10 -3 мм 2c-1
- Более высокие цифры говорят об инфекционном процессе
- Более низкие цифры говорят о злокачественном процессе
• Т1 ВИ с КУ:
о Типично неоднородное накопление контраста5. Рекомендации по визуализации:
• Лучший метод визуализации:
о КТ в костном окне тонкими срезами + MPT Т1ВИ с контрастированием:
- МРТ: оценка состояния мягких тканей, наличии периневрального распространения
- КТ в костном окне: позволяет оценить матрикс саркомы ± наличие костно-деструктивных изменений![КТ, МРТ при саркоме жевательного пространства]()
(Слева) МРТ Т1ВИ FS с КУ, аксиальная проекция. Лейомиосаркома жевательного пространства высокой степени злокачественности. Опухоль неоднородно накапливает контраст и прорастает в нижнюю челюсть. Только по данным лучевой диагностики дифференцировать различные типы сарком невозможно, за исключением случаев обнаружения матрикса остео- или хондросаркомы.
(Справа) МРТ Т1ВИ FS с КУ, коронарная проекция, тот же пациент. Новообразование, накапливающее контраст, распространяется в полость черепа через овальное отверстие. Отсюда опухоль может прорастать в пещеристый синус.в) Дифференциальная диагностика:
1. Абсцесс жевательного пространства:
• Скопление жидкости в жевательном пространстве с периферическим кольцом накопления контраста ± остеомиелит нижней челюсти2. Остеомиелит нижней челюсти:
• Деструкция кости без формирования остеоидной ткани
• Возможно формирование секвестров3. Инвазивный плоскоклеточный рак:
• Плоскоклеточный рак небной миндалины:
о Новообразование небной миндалины прорастает в расположенное рядом жевательное пространство
• Плоскоклеточный рак позадимолярного треугольника:
о Новообразование позадимолярного треугольника прорастает в расположенное рядом жевательное пространство4. Метастазы в нижней челюсти:
• Агрессивные деструктивные изменения в кости
• Кальцификация или периостальная реакция отсутствуют5. Кератокистозная одонтогенная опухоль (одонтогенная кератокиста):
• Кистозное образование, происходящее из нижней челюсти, которое характеризуется доброкачественным ростом и смещает окружающие ткани6. Периневральное распостранение опухоли по нижнечелюстному нерву:
• Плоскоклеточный рак кожи подбородка или первичный рак полости рта и ротоглотки
• Опухоль распространяется по нижнечелюстному нерву в жевательное пространство![КТ, МРТ при саркоме жевательного пространства]()
(Слева) МРТ Т1ВИ в аксиальной проекции. Саркома Юинга, локализующаяся в жевательном пространстве. Обратите внимание, что сигнал относительно здоровых мышц гиперинтенсивный. Нижняя челюсть разрушена, определяется лишь небольшой ее фрагмент. Жировая клетчатка окологлоточного пространства смещена в медиальную сторону.
(Справа) МРТ Т2ВИ FS, аксиальная проекция, тот же пациент. Неоднородный сигнал высокой интенсивности. Крупный лимфоузел в заглоточном пространстве слева представляет собой случайную находку.1. Общая характеристика:
• Этиология:
о Ионизирующее излучение (чаще всего вследствие лучевой терапии по поводу других опухолей):
- На него приходится - Между проведением лучевой терапии и постановкой диагноза проходит около 10 лет
о Семейный анамнез:
- Синдром Гарднера: повышен риск образования десмоид-ных опухолей (фибросаркомы низкой степени злокачественности) в брюшной полости
- Синдром Ли-Фраумени: повышен риск образования сарком мягких тканей и костей
- Ретинобластома (наследственная форма): повышен риск образования саркомы костей или мягких тканей
о Повреждение лимфоузла:
- Лифангиосаркомы изредка обнаруживают после хирургического удаление лимфоузла или после лучевой терапии
• Генетические факторы:
о Мутации ДНК в саркомах мягких тканей встречаются часто2. Стадирование, классификация саркомы жевательного пространства:
• Гистологическая классификация:
о G1: микроскопические характеристики здоровой ткани (медленный рост)
о G2: микроскопические характеристики напоминают здоровую ткань (более быстрый рост)
о G3: микроскопические характеристики лишь отдаленно напоминают здоровую ткань (быстрый рост)
о G4: микроскопические характеристики радикально отличаются от нормы (самый быстрый рост)• Т-система стадирования:
о Т1: опухоль < 5см
о Т2: опухоль > 5см:
- а: поверхностное расположение
- b: глубокое расположение• Анатомические стадии/прогностические группы согласно Американскому объединенному комитету по раку:
о Стадия IA: G1-2, Т1 (а или b), N0, М0
о Стадия IB: G1-2, Т2а, N0, М0
о Стадия IIА: G1-2, Т2b, N0, М0
о Стадия IIB: G3-4, Т1 (а или b), N0, М0
о Стадия IIС: G3-4, Т2а, N0, М0
о Стадия III: G3-4, Т2b, N0, М0
о Стадия IVA: Любая G, любая Т, N1, М0
о Стадия IVB: Любая G, любая Т, любая N, М13. Макроскопические и хирургические особенности:
• Патоморфологические характеристики зависят от варианта саркомы
• Неоднородное образование с оссифицированными (желто-белые, плотные) и неоссифицированными участками (мягкие, бурого цвета, с участками кровоизлияния и некроза)
• Периостальная реакция: участки формирования новой ткани на периферии опухоли4. Микроскопия:
• Опухоли с низкой степенью злокачественности:
о Мало митозов, клеточная атипия выражена слабо или отсутствует, относительно неинфильтративный характер роста
• Опухоли с высокой степенью злокачественности:
о Выраженная клеточная атипия, гиперхроматизм, ядерный плеоморфизм, инфильтративный характер роста1. Проявления:
• Типичные признаки/симптомы:
о Увеличивающееся в размерах болезненное новообразование, расположенное над нижней челюстью
о Другие признаки/симптомы:
- При поражении основания черепа достаточно часто встречаются нарушения со стороны черепных нервов2. Демография:
• Возраст:
о Средний возраст: 35 лет
• Пол:
о М:Ж=2:1
• Эпидемиология:
о В США регистрируется около 8000 новых случаев в год3. Течение и прогноз:
• Стадия I = пятилетняя выживаемость 99%; рецидив 20%
• Стадия II = пятилетняя выживаемость 80%; рецидив 35%
• Стадия III = пятилетняя выживаемость 50%; рецидив 65%
• Стадия IV = пятилетняя выживаемость 10%4. Лечение саркомы жевательного пространства:
• При планировании лечения значение имеет не только патоморфология и стадия по TNM, но и локализация опухоли:
о Лечение обычно мультимодальное
• Стадия I: хирургическое удаление; лучевая терапия в случае, если опухоль не была полностью удалена:
о Лучевая терапия при неоперабельных опухолях (например, если она окружает жизненно важные структуры)
• Стадия II: цель - хирургическое удаление с захватом здоровых тканей в 2 см:
о Достаточно часто используется пред- или послеоперационная лучевая терапия; химиотерапия используется реже
• Стадия III: для снижения риска рецидива хирургическое лечение обычно сочетается с химио- и лучевой терапией
• Стадия IV: хирургическое и лучевое лечение, хирургическое удаление метастазов
• В настоящее время исследуются экспериментальные методы лечения, например, иммунотерапия интерлейкином-2
• В особенных случаях возможно проведение адъювантной химиотерапии
• При рецидивах рабдомиосаркомы используется радиочастотная абляция1. Следует учесть:
• Отсутствие известной первичной опухоли и клиники инфекционного поражения должно насторожить врача в отношении саркомы
• Деструкция нижней челюсти ± периневральное распространение опухоли по нижнечелюстному нерву в сторону основания черепа являются лучевыми признаками саркомы2. Советы по интерпретации изображений:
• Подозрение на злокачественную природу опухоли по данным КТ или МРТ:
о Следует тщательно оценить состояние нижнего альвеолярного канала, отверстия нижней челюсти, овального отверстия и нижнечелюстного нерва на предмет наличия периневральной опухолевой инвазииж) Список использованной литературы:
1. Abdel Razek АА et al: Role of diffusion-weighted MRI in differentiation of masticator space malignancy from infection. Dentomaxillofac Radiol. 42(4):20120183, 2013
2. Wang S et al: Osteosarcoma of the jaws: demographic and CT imaging features. Dentomaxillofac Radiol. 41(1 ):37-42, 2012
3. Makimoto Y et al: Imaging findings of radiation-induced sarcoma of the head and neck. Br J Radiol. 80(958):790-7, 2007
4. Pandey M et al: Soft tissue sarcoma of the head and neck region in adults. Int J Oral MaxillofacSurg. 32(1):43-8, 2003
5. Potter BO et al: Sarcomas of the head and neck. Surg Oncol Clin N Am. 12(2):379-417, 2003
6. Folpe AL et al: (F-18) fluorodeoxyglucose positron emission tomography as a predictor of pathologic grade and other prognostic variables in bone and soft tissue sarcoma. Clin Cancer Res. 6(4): 1279-87, 2000
7. Patel SG et al: Radiation induced sarcoma of the head and neck. Head Neck. 21(4):346-54, 1999
8. Som PM et al: A re-evaluation of imaging criteria to assess aggressive masticator space tumors. Head Neck. 19(4):335-41, 1997
9. Lyos AT et al: Soft tissue sarcoma of the head and neck in children and adolescents. Cancer. 77(1): 193-200, 1996
10. Le Vay J et al: An assessment of prognostic factors in soft-tissue sarcoma of the head and neck. Arch Otolaryngol Head Neck Surg. 120(9):981-6,1994
11. Wanebo HJ et al: Head and neck sarcoma: report of the Head and Neck Sarcoma Registry. Society of Head and Neck Surgeons Committee on Research. Head Neck. 14(1): 1-7,1992Рак челюсти
![рак челюсти]()
Рак челюсти – злокачественное новообразование, поражающее костную ткань. Заболевание не имеет возрастных ограничений, для него характерны стремительный рост, метастазирование, а также ярко выраженный болевой синдром. Особенности строения челюстно-лицевого отдела, близость к важным сосудам и нервным центрам дополнительно усложняют лечение.
Природа новообразований
Причины возникновения онкологических процессов в костях челюстей пока недостаточно изучены. Раковые клетки развиваются из надкостницы, губчатого вещества костного мозга, нервных клеток и сосудов. Иногда источник их зарождения невозможно установить, как в случае саркомы Юинга.
Рак челюсти бывает двух видов:
Факторы риска
В группу риска входят пациенты, у которых:
- постоянно травмируется одна и та же область ротовой полости (например, протез натирает десну);
- организм подвергался ионизирующему облучению;
- слизистая оболочка поражена хроническим воспалительным процессом.
Вероятность развития онкологических заболеваний значительно повышается у курильщиков и людей, злоупотребляющих алкоголем.
Симптомы рака челюсти
При зарождении раковой опухоли в верхней челюсти симптомов практически нет или они идентичны проявлениям патологий другого рода, например, гайморита. Именно поэтому злокачественную опухоль редко удается диагностировать на начальных стадиях.
При раке челюсти у пациентов наблюдаются:
- головная боль;
- онемение щеки;
- ноющая боль в челюсти;
- резкий запах изо рта;
- гнойные выделения из носа.
Позднее начинают проявляться следующие признаки:
- опухание шеи;
- боль или онемение в ближайших к опухоли зубах;
- расшатывание зубов (симптом остеопороза);
- могут увеличиваться альвеолярные отростки;
- опухоль из кости верхней челюсти может прорастать в глазницу, вызывая смещение глазного яблока;
- невралгические боли;
- головные боли с иррадиацией в лоб и виски;
- кровотечения из носа без видимой причины;
- когда опухоль достигает тройничного нерва, появляются боли в ухе;
- ограничивается подвижность нижней челюсти.
Саркома нижней челюсти сопровождается такими специфическими симптомами:
- немеет нижняя губа;
- болят контактные зубы;
- зубы расшатываются и выпадают без причины;
- появляются кровоточащие язвы на слизистой оболочке;
- боль при пальпации.
Диагностика
Чаще всего заболевание удается диагностировать только на стадии метастазирования из-за стертой симптоматики вначале болезни.
Рентген-диагностика
Прямая и боковая рентгенография челюсти способствует обнаружению опухоли в кости. Новообразование из одонтогенного клеточного материала также хорошо просматривается на рентгенограмме. При наличии опухоли снимок покажет, что зубы не контактируют с костью, а альвеолярный край имеет недостаточно четкий контур.
Общее клиническое обследование
Пациент с подозрением на рак челюсти обязательно сдает общий анализ крови, мочи, биохимические исследования.
КТ, биопсия, другие методы диагностики
Чтобы получить представление о локации и распространении новообразования, делают компьютерную томографию челюстей. Пункционная биопсия подчелюстных лимфатических узлов и позитронно-эмиссионная томография нужна для обнаружения метастазов.
Наиболее точный диагноз позволяет поставить гистологическое исследование опухолевого материала. В зависимости от природы раковых клеток, анализ можно взять через лунку выпавшего зуба или посредством трепанации челюсти.
Дополнительно может понадобиться консультация офтальмолога, отоларинголога, стоматолога, хирурга.
Лечение
Специфика болезни выражается в том, что для лечения не используют химиотерапию – она в данном случае не дает результатов. Назначают гамма-терапию, чтобы остановить распространение опухоли и уменьшить ее размеры. Через 3 недели после облучения проводят хирургическое удаление челюсти (резекцию или экзартикуляцию). На поздней стадии бывает необходимо более масштабное оперативное вмешательство: экзентерация глазницы, санация околоносовых пазух, лимфаденэктомия.
Реабилитация, восстановление речи, жевательной и глотательной функций занимает длительное время. Через 2 года после полного выздоровления делают коррекцию методами костной пластики, а также при помощи специальных шин.
2019 © Хорошая стоматология — сеть стоматологических клиник.
Стоматологические услуги около м. Верхние Лихоборы, м. Митино, м. Тушинская, м. Речной вокзал, м. Отрадное, м. ЩелковскаяДанная страница носит информационно-справочный характер и не является публичной офертой.
МРТ при плоскоклеточном раке ротоглотки
Плоский эпителий выстилает слизистую ротоглотки, гортаноглотки, и полости рта. Плоскоклеточный рак языка, миндалин, гортаноглотки, и и полости рта, включая губы, очень распространен. В ротоглотке, наиболее частой локализацией плоскоклеточного рака служит передняя миндалина. Плоскоклеточный рак с этого места может глубоко распространяться под невовлеченной слизистой оболочкой. Типично распространение через межмышечные щели в окологлоточное пространство и сонное пространство. Часто поражаются цепочки лимфатических узлов вдоль внутренней яремной вены. При клиническом обследовании очень трудно правильно оценить поражение слизистых оболочек и распространение рака.
В статье МРТ и КТ мягких тканей шеи мы подробно описываем пространства шеи, разграничиваемые при МРТ мягких тканей.
Постановка ротоглоточного плоскоклеточного рака основывается на размерах опухоли и инвазии в соседние структуры. Поэтому при МРТ мягких тканей этой области нужно обратить особое внимание на переход опухоли в глубокие пространства, особенно в окологлоточное, сонное, и превертебральное. При МРТ сонных пространств также важно оценить лимфаденит.
МРТ мягких тканей шеи с контрастированием. Распространения рака ротоглотки на парафарингеальное пространство.
Плоскоклеточный рак основания языка также может прорасти в соседние глубокие пространства. Встречается периневральное распространение. Кроме того, следует определить линии пересечения опухоли, как это имеет значения для выбор объема операции. Плоскоклеточный рак основания языка имеет склонность вторгаться книзу в подчелюстное пространство и спускаться вплоть до надгортанника. Кроме того, при МРТ мягких тканей следует оценить инвазию нижней челюсти.
![rotoglotka-submandibulyarnoe]()
МРТ мягких тканей шеи с контрастированием. Распространение рака ротоглотки на подчелюстное пространство.
Плоскоклеточный рак губы, особенно нижней губы, является второй наиболее частой локализацией плоскоклеточного рака головы и шеи после рака кожи. Плоскоклеточный рак губы может распространиться по щечной слизистой оболочке и в нижнюю челюсть, и также уходить в глубокие пространства.
Плоскоклеточный рак гортаноглотки наиболее часто включает грушевидные синусы. Раки, которые возникают в этом месте, как правило, долго не проявляются и очень агрессивные. Они прорастают в глубокие пространства и сразу поражают многочисленные лимфатические узлы. Опухоль может прорастать хрящ и даже гортань. При МРТ мягких тканей правильная оценка характера роста плоскоклеточного рака гортаноглотки очень важно для стадирования процесса и хирургической тактики лечения.
Что касается глубинных структур, особое внимание при МРТ мягких тканей шеи следует уделить распространению опухоли на превертебральное пространство. Инвазия глубокой фасции шеи, длинных мышц шеи, или самого позвоночника, определяемые при МРТ мягких тканей шеи, ставят вопрос об обширной операции. Кроме того, поражение сонной артерии ставит вопрос о резектабельности. Некоторые хирурги считают, что если опухоль по данным МРТ мягких тканей шеи охватывает меньше 50% сонной артерии она может быть от нее отделена. Вероятность невозможности удаления опухоли заметно увеличивается, когда по данным МРТ мягких тканей шеи она окружает более 75% сонной артерии. Вовлечение в процесс жевательного пространства может происходить с ротоглотки. Вовлечение жевательного пространства должно насторожить в плане прорастания основания черепа, особенно, через овальное окно и/или вдоль крылонебной ямки. Другие пути распространения через основание черепа идут вдоль сонного канала, через яремное отверстие, и евстахиеву трубку
![yazyk-karotidnoe]()
МРТ мягких тканей шеи с контрастированием. Распространение опухоли корня языка на каротидное пространство.
При МРТ в СПб в наших клиниках, учитывая нейрохирургическую специфику, мы особое внимание уделяем инвазии плоскоклеточного рака в полость черепа.
Читайте также:










