Лучевая диагностика ускоренной дегенерации позвоночника
Добавил пользователь Евгений Кузнецов Обновлено: 09.01.2026
Лучевая диагностика дегенеративного поражения межпозвоночных дисков
а) Терминология:
1. Синонимы:
• Дегенеративное поражение диска (ДПД), дегенерация диска, спондилез
2. Определения:
• Генерализованный и многофакторный процесс, характеризующийся поражением диско-позвоночного сегмента и приводящий к его биомеханическим/морфологическим изменениям
• Протекает бессимптомно или сопровождается болевым синдромом в спине/шее ± радикулопатией
б) Визуализация:
1. Общие характеристики:
• Наиболее значимый диагностический признак:
о Снижение интенсивности сигнала межпозвонкового диска в Т2-режиме
• Локализация:
о Межпозвонковый диск, смежные замыкательные пластинки
• Размеры:
о Нормальная высота с небольшим снижением интенсивности сигнала → выраженное снижение высоты диска
• Морфология:
о Изменения пульпозного ядра/фиброзного кольца межпозвонкового диска, дегенеративные изменения смежных дугоотростчатых суставов/межпозвонковых отверстий
2. Рентгенологические данные:
• Рентгенография:
о На поздних стадиях заболевания отмечается снижение высоты межпозвонковых дисков, формирование спондилофитов, эбурнеация замыкательных пластинок — «дискогенный склероз», феномен вакуума
3. КТ при дегенеративном поражении межпозвоночных дисков:
• Бесконтрастная КТ:
о Информативна в отношении диагностики пролабирования, фокальных грыж дисков, спондилофитов, артропатии дугоотростчатых суставов, центрального стеноза
4. МРТ при дегенеративном поражении межпозвоночных дисков:
• Т1-ВИ:
о Снижение высоты межпозвонкового диска, феномен вакуума, определяемый как зона низкого сигнала в толще диска
о Дегенеративные изменения замыкательных пластинок I → III
• Т2-ВИ:
о Снижение интенсивности сигнала пульпозного ядра, исчезновение горизонтальной щели
о Дегенеративные изменения замыкательных пластинок I → III
• Т1-ВИ с КУ:
о При дегенеративном поражении диски могут характеризоваться линейным усилением сигнала при контрастировании, также усиливают сигнал при контрастировании узлы Шморля
5. Несосудистые рентгенологические исследования:
• Миелография:
о Неспецифические экстрадуральные дефекты наполнения с центральным стенозом спинномозгового канала, спондилофиты, грыжи дисков
6. Радиоизотопные исследования:
• Костная сцинтиграфия:
о Дегенеративное поражения дисков, спондилофиты и дегенеративная артропатия дугоотростчатых суставов характеризуются диффузным усилением захвата изотопа
7. Другие методы исследования:
• Дискография у пациентов с ДПД имеет ограниченное применение:
о Применяется с целью подтверждения диагноза и оценки дегенеративного поражения смежных дисков
о Провокационная дискография применяется для выбора уровней спондилодеза при предоперационном планировании
8. Рекомендации по визуализации:
• Наиболее оптимальный метод диагностики:
о МРТ-позволяет оценить изменения сигнала вещества диска, диагностировать разрывы фиброзного кольца, пролабирование, грыжи дисков, стеноз позвоночника
• Протокол исследования:
о Стандартные Т1- и Т2-режимы в сагиттальной/аксиальной плоскостях (максимальная толщина среза - 4 мм)
(Слева) Микрофотограмма (окраска гематоксилином и эозином) нормального дисковертебрального перехода: нормальная замыкательная пластинка с пульпозным ядром, ровный хрящевой слой, тонкие костные трабекулы и нормальный кроветворный костный мозг.
(Справа) Т2-ВИ, сагиттальный срез: различные аспекты дегенеративного поражения межпозвонковых дисков, включающие грыжи Шморля нижних замыкательных пластинок L3 и Т12, диффузную дегенерацию дисков на различных уровнях со снижением их высоты, выраженный стеноз спинномозгового канала на нескольких уровнях вследствие протрузий межпозвонковых дисков и гипертрофии связок. (Слева) Микрофотограмма (окраска гематоксилином и эозином): признаки выраженных дегенеративных изменений диско вертебрального перехода в виде дегенерации замыкательной пластинки с разрушением хряща, образования полостей в пульпозном ядре, формирования очагов грануляционной ткани и грыжевых дефектов в хрящевом слое замыкательной пластинки.
(Справа) На аксиальной КТ-дискограмме отмечается распространение контраста из центральной части, соответствующей пульпозному ядру, в срединный дефект фиброзного кольца, распространяющийся до эпидурального пространства. (Слева) Т1-ВИ: выраженные из -менения замыкательных пластинок II типа на уровне L4-L5 (жировая перестройка) со значительным снижением высоты диска. На соседнем уровне L3-L4 признаки I типа изменений в виде снижения интенсивности сигнала костного мозга и незначительно выраженный спондилолистез.
(Справа) На сагиттальном STIR МР-И на уровне L3-L4 отмечаются выраженные дегенеративные изменения замыкательных пластинок I типа. Также здесь видны незначительный антеролистез L3 и признаки дегенерации межпозвонковых дисков на различных уровнях.
в) Дифференциальная диагностика дегенеративного поражения межпозвоночных дисков:
1. Инфекционное поражение диска:
• Деструкция замыкательных пластинок
2. Диализная спондилоатропатия:
• Снижение интенсивности сигнала в Т1-режиме, бывает невозможно дифференцировать с неспецифическим инфекционным поражением
3. Серонегативная спондилоартропатия:
• Воспалительные изменения замыкательных пластинок могут быть похожи на дегенеративные их изменения I типа
г) Патология:
1. Общие характеристики:
• Этиология:
о Причины дегенеративного поражения межпозвонковых дисков включают множество факторов
о Риск подобного поражения выше у лиц, чья работа связана с ручным физическим трудом, подъемом тяжестей
о Более спорной является связь болевого синдрома в спине с психосоциальными факторами:
- Депрессия, эмоциональный стресс, неудовлетворение своей работой, работа в высоком ритме, отсутствие профессиональной поддержки
о В некоторых исследованиях отмечается наличие связи болевого синдрома в спине с курением и избыточным весом
о Имеются свидетельства в пользу наличия четкой связи между физическим трудом и длительно существующим болевым синдромом в нижней части спины
• Генетика:
о Имеется связь ишиалгий и грыж межпозвонковых дисков с двумя различными аллелями гена, кодирующего структуру коллагена IX типа
о Дегенерация межпозвонковых дисков связана с полиморфи-зом гена, кодирующего структуру аггрекана с аллельными модификациями генов, кодирующих структуру матричных металлопротеиназ 3 и 7
о В ряде исследований показано наличие семейной предрасположенности к развитию дискогенного болевого синдрома в спине
• Сочетанные изменения:
о Пролабирование фиброзного кольца, грыжи дисков, формирование спондилофитов, центральный и фораминальный стеноз позвоночника
о Дегенеративный спондилолистез:
- М• Этиология клинически выраженного ДПД до конца не ясна
• У пациентов с симптомами ДПД могут выявляться самые различные изменения, в т.ч. снижение высоты межпозвонковых дисков, склероз замыкательных пластинок, спондилофиты, феномен вакуума
2. Стадирование, степени и классификация дегенеративного поражения межпозвоночных дисков:
• Классификационные системы
о Система стадирования МР-изменений межпозвонковых дисков I → V
о Гистологическая классификация возрастных изменений дисков
P.S. Белок, также известный как хрящевой специфичный протеогликановый ядерный белок или протеогликановый хондроитинсульфат 1, - один из важнейших компонентов матрикса гиалинового хряща, имеющийся только у позвоночных.
3. Макроскопические и хирургические особенности:
• Изменения диска:
о Дегидратация диска с уменьшением числа гидратированных молекул протеогликанов
о Увеличения числа коллагеновых волокон
о Исчезновение у молекул протеогликана отрицательно заряженных боковых цепей
о Пролабирование фиброзного кольца с формированием дефектов, грыж
о Прогрессирующая дезорганизация пульпозного ядра, замещение его фиброзной тканью и волокнистым хрящом и стирание границы между ядром и фиброзным кольцом
о Уменьшение числа клеток в тканях фиброзного кольца с относительным увеличением объема коллагена II типа
• Изменения замыкательных пластинок:
о Прогрессирующее истончение и гиалинизация замыкательных пластинок
о Утрата ими питающей функции и снижение диффузионной способности
о Конверсия смежных с замыкательными. пластинками участков костного мозга I → III типа, конечная стадия - костная эбурнеация замыкательных пластинок
о Формирование спондилофитов
• Дугоотростчатые суставы:
о Снижение высоты межтелового пространства → краниокаудальный подвывих в дугоотростчатых суставах, гипермобильность капсульно-связочного аппарата, утолщение/пролабирование капсульно-связочного комплекса
о Смещение вектора аксиальной нагрузки, приводящее к ускоренному развитию дегенеративной артропатии, формирование остеофитов
4. Микроскопия:
• Прогрессивная дезорганизация пульпозного ядра и его фиброзная перестройка, формирование в нем дефектов и расщелин
• Фрагментация и нарушение целостности замыкательных пластинок с формированием очагов костеообразования и роста грануляционной ткани
• Жировая или фиброзная перестройка костного мозга (соответственно, I и II тип изменений)
(Слева) Случай естественной инволюции крупной экструзии межпозвонкового диска. На данном Т2-ВИ видна крупная левосторонняя экструзия межпозвонкового диска, вызывающая компрессию дурального мешка.
(Справа) При последующем исследовании после консервативного лечения отмечается значительное уменьшение размеров экструзии. (Слева) На аксиальном Т2-ВИ, выполненном через семь месяцев после выявления типичной экструзии межпозвонкового диска, на месте грыжи диска определяется жидкостное образование, соответствующее «дисковой кисте». Подобная картина может отражать инволюцию очага кровоизлияния, которое сопутствовало формированию грыжи диска.
(Справа) Т1-ВИ, сагиттальный срез: случай хронического спон-дилолиза L5, сочетающегося с многоуровневым фораминальным стенозом, вызванным распространением протрузий дисков и спондилофитов в соответствующие межпозвонковые отверстия. (Слева) КТ: снижение высоты межтелового пространства L5-51 с формированием краниокаудального подвывиха в дугоотростчатых суставах и фораминального стеноза. Спондилофиты, распространяющиеся в просвет отверстия, еще более усиливают выраженность стеноза.
(Справа) КТ: снижение высоты межтелового пространства L5-51 с формированием феномена вакуума. Выраженная дегенеративная гипертрофическая артропатия дугоотростчатого сустава S3 стала причиной тяжелого стеноза межпозвонкового отверстия.
д) Клинические особенности:
1. Клиническая картина дегенеративного поражения межпозвоночных дисков:
• Наиболее распространенные симптомы/признаки:
о Чаще всего протекает бессимптомно, неврологическая симптоматика отсутствует
о Боль в нижней части спины или шее:
- ± радикулопатия
о Другие симптомы/признаки:
- Ограничение объема движений
- Боль может усиливаться при разгибании позвоночника
2. Демография:
• Возраст:
о Пик заболеваемости приходится на возраст 45-65 лет
• Пол:
о М = Ж
• Эпидемиология:
о Общая заболеваемость, если говорить о болевом синдроме в спине, составляет около 45 случаев на 1000 человек
о Вероятность развития болевого синдрома в спине на протяжении жизни в США составляет 50-80%
о Частота его среди взрослого населения варьирует в пределах 15-30%
о 2-5% людей ежегодно получают лечение по поводу боли в спине
о В 1990 году по поводу боли в спине за медицинской помощью обратились 15 млн. человек
о Трудоспособность из-за болевого синдрома в спине утрачивают 1% всех людей
о Болевой синдром в спине является наиболее распространенной причиной нетрудоспособности среди лиц моложе 45 лет
о Наиболее высокая частота развития болевого синдрома в спине приходится на возраст 40-60 лет
3. Течение заболевания и прогноз:
• Болевой синдром в нижней части спины характеризуется доброкачественным течением
• Симптоматика его самоограничивается и обычно разрешается спонтанно (< двух недель)
• У 7% пациентов с остро развившейся симптоматикой формируется хронический болевой синдром
• Из пациентов, страдающих хроническим болевым синдромом (> трех месяцев) 1/3 становятся нетрудоспособными
• В течение пяти лет наблюдения примерно у 70% наблюдается положительная клиническая динамика
4. Лечение дегенеративного поражения межпозвоночных дисков:
• Консервативное лечение включает покой, лечебную физкультуру, медикаментозную терапию, мануальную терапию и эпидуральное введение глюкокортикоидов:
о Мануальная терапия эффективна в раннем лечении болевого синдрома в нижней части спины
• Хирургическое лечение:
о Среди методов хирургического лечения дегенеративного поражения межпозвонковых дисков наибольшее распространение имеет спондилодез
(Слева) Т1-ВИ, сагиттальный срез: признаки дегенеративного сколиоза, выраженного многоуровневого фораминального стеноза и спондилолиза на уровне L5-S1. На каждом из уровней имеет место дегенеративное поражение межпозвонковых дисков со значительным снижением их высоты и ретролистезом.
(Справа) Т2-ВИ: у пациента с дегенеративным сколиозом отмечается усиление Т2-сигнала межпозвонковых дисков на различных уровнях, что является проявлением дегенерации дисков, а не инфекционного процесса. (Слева) КТ с КУ, сагиттальный -срез: типичный случай многоуровневого спондилеза шейного отдела позвоночника с выраженным стенозированием спинномозгового канала, снижением высоты межпозвонковых дисков и эбурнеацией замыкательных пластинок от уровня С2-СЗ до С5-С6. Также здесь видны признаки кальцификации межпозвонковых дисков и задней продольной связки.
(Справа) STIR МР-И, сагиттальная проекция: признаки тяжелого спондилеза шейного отдела позвоночника, сопровождающего сужение субарахноидального пространства на нескольких уровнях, изменением Т2-сигнала спинного мозга на уровне С4-С5 Случайной находкой здесь стал врожденный блок С6-С7 позвонков. (Слева) На сагиттальном STIR МР-И позади зубовидного отростка виден характеризующийся низкой интенсивностью сигнала дегенеративный псевдопаннус, вызывающий компрессию передней камеры дурального мешка и вентральной поверхности спинного мозга. Также видны признаки диффузного дегенеративного поражения межпозвонковых дисков субаксиальных позвоночных сегментов с формированием блока на уровне С5-С6.
(Справа) Т2-ВИ, сагиттальный срез: признаки многоуровневого спондилеза шейного отдела позвоночника, наиболее выраженные на уровнях С5-С6 и С6-С7. На обоих этих уровнях отмечается центральный стеноз спинномозгового канала, вызванный протрузиями дисков и спондилофитами, деформирующими вентральную поверхность дурального мешка. На уровне С6-С7 в толще спинного мозга виден фокус миеломаляции.
е) Диагностическая памятка:
1. Следует учесть:
• Изменение сигнала межпозвонковых дисков при МРТ наблюдают у 30% здоровых людей
2. Советы по интерпретации изображений:
• Дискография должна учитывать четыре основных параметра исследования:
о Морфология исследуемого диска
о Внутридисковое давление/объем вводимого раствора
о Субъективные болевые ощущения пациента
о Отсутствие болевого ответа на смежных уровнях
ж) Список использованной литературы:
1. Jacobs WC et al: The evidence on surgical interventions for low back disorders, an overview of systematic reviews. EurSpineJ. 22(9): 1 936—49, 2013
2. Hadjipavlou AG et al: The pathophysiology of disc degeneration: a critical review. J Bone Joint Surg Br. 90(10): 1 261 -70, 2008
3. Jandial R et al: Stem cell-mediated regeneration of the intervertebral disc: cellular and molecular challenge. Neurosurg Focus. 24(3-4): E21,2008
4. Walker J 3rd et al: Discography in practice: a clinical and historical review. Curr Rev Musculoskelet Med. 1 (2):69—83, 2008
5. Modic MT et al: Lumbar degenerative disk disease. Radiology. 245(1):43—61, 2007
6. Pfirrmann CW et al: Magnetic resonance classification of lumbar intervertebral disc degeneration. Spine. 26( 1 7): 1873-8, 2001
7. Jensen MC et al: Magnetic resonance imaging of the lumbar spine in people without back pain. N Engl J Med. 331 (2):69—73, 1994
8. Modic MT et al: Degenerative disk disease: assessment of changes in vertebral body marrow with MR imaging. Radiology. 1 66( 1 Pt 1): 193—9, 1988
Лучевая диагностика ускоренной дегенерации позвоночника
МРТ при ускоренной дегенерации позвоночника
а) Терминология:
• Ускорение дегенерации межпозвонкового диска/дугоотростчатых суставов сегментов, смежных с блокированными хирургическим путем уровнями
б) Визуализация ускоренной дегенерации позвоночника:
• Дегенеративные изменения межпозвонковых дисков/дугоотростчатых суставов непосредственно выше или ниже уровня костного блока
• Аналогичные изменения наблюдаются на уровнях, смежных с уровнями врожденных аномалий сегментации позвоночника
• На дегенеративно измененных смежных уровнях могут быть признаки избыточной подвижности
• Функциональные рентгенограммы в положении сгибания/разгибания для диагностики нестабильности
• Стандартная рентгенография является наиболее простым и дешевым методом диагностики дегенеративных изменений смежных сегментов и оценки прогрессирования этих изменений в динамике
• МРТ используется для оценки состояния мягкотканных структур, не видимых на рентгенограммах
(Слева) На схеме сагиттального среза показан прочный костный блок и последствия ляминэктомии на уровне L4-L5. Обратите внимание на признаки тяжелого дегенеративного поражения на уровне L3-L4 с развитием на этом уровне спондилолистеза, полного исчезновения межпозвонкового диска, формирования остеофитов, стенозирующих спинномозговой канал, а также дегенеративного поражения сегмента L5-S1, что связано с изменением нормальной биомеханики этих сегментов.
(Справа) Сагиттальный срез, Т1-ВИ: признаки костного блока на уровне С5-С6, о чем можно судить по сигналу нормального жирового костного мозга. На смежном уровне С6-С7 определяются признаки дегенерации диска в виде снижения его высоты и формирования крупной грыжи диска, вызывающей сдавление спинного мозга. (Слева) Сагиттальный срез, Т2-ВИ, пациент перенесший спондилодез С4-С7 с фиксацией вентральной пластиной (низкоинтенсивный артефакт на передней поверхности позвоночника): на смежном вышележащем уровне СЗ-С4 визуализируется крупная синовиальная киста, характеризующаяся центральной гиперинтенсивностью сигнала.
(Справа) Миелография в прямой проекции (слева): на уровне L1-L2 определяется ликворный блок на уровне верхней границы спондилодеза. На миелограмме в боковой проекции (справа) также видны признаки ликворного блока и выраженные дегенеративные изменения L1-L2 сегмента.
в) Дифференциальная диагностика:
• Инфекция межпозвонкового диска
• Ложный сустав
• Спондилолиз
• Спондилолистез
• Нормальные послеоперационные изменения
г) Патология:
• Причиной ускоренных дегенеративных изменений смежных сегментов является их перегрузка вследствие изменения нормальной биомеханики позвоночника
• Прочный костный блок на уровне одного сегмента приводит к изменению биомеханики смежных, сохранивших подвижность сегментов
• Дегенеративные изменения чаще развиваются при блокировании нескольких позвоночно-двигательных сегментов, однако могут наблюдаться и при блоке только одного сегмента
• Наличие остеопении на момент хирургического вмешательства (спондилодеза) на уровне шейного отдела позвоночника увеличивает риск дегенеративного поражения смежных сегментов в послеоперационном периоде
• Сопутствующие дегенеративные изменения поясничного отдела позвоночника на момент хирургического вмешательства на шейном отделе позвоночника также увеличивают риск дегенеративного поражения смежных сегментов на уровне вмешательства
Каскадный процесс дегенеративных изменений позвоночника и его лучевая диагностика
МРТ поясничного отдела позвоночника. Т2-взвешенная сагиттальная МРТ. Дегенеративные изменения дисков. Цветовая обработка изображения.
Понятие нормы для позвоночника в МРТ изображении довольно условно. Считается, что диск в норме двояковыпуклый, пульпозное ядро светлое на Т2-зависимых МРТ изображениях, в центре может быть горизонтальная линия соединительной ткани.
Термин “дегенеративные изменения позвоночника” обобщает целый ряд заболеваний.
С третьей декады жизни начинается постепенная дегидратация межпозвоночного диска с потерей им эластичности. Увеличивается соотношение кератин сульфат/хондроэтин сульфат и среди хондроэтинов также меняется соотношение в пользу хондроэтин-4-сульфата. Снижается синтез и уменьшается концентрация протеогликанов и неколагеновых протеинов. Деполимеризация мукополисахаридов приводит к потереводы. Поступление в диск кислорода и питающих веществ ухудшается, а продукты обмена, наоборот, накапливаются. Происходит постепенная дегидратация межпозвоночного диска. Пульпозное ядро накапливает коллаген, и замещается фибрознохрящевой тканью. Процесс начинается с задней части диска, затем распространяется на весь диск, граница пульпозного ядра и фиброзного кольца стирается. Это может быть названо термином остеохондроз. Диск теряет эластичность. Снижение давления внутри диска приводит к засасыванию азота в ядро и возникновению пузырей – “вакуум-феномена”, наиболее отчетливо видимого при КТ.
Важно отметить, что дегенерация диска и его естественное старение это по сути один процесс, но идущий разными темпами.
Клинические проявления дегенеративных процессов носят каскадный характер: дисфункция-нестабильность-восстановление стабильности. Патологоанатомические изменения в первую фазу в виде протрузии диска, разрушения хряща и артрита дугоотростчатых суставов могут приводить к болям в спине (или шее), обычно, локального типа. Вскоре наблюдается гипермобильность и напряжение мышц спины.
Дегенерация периферических волокон фиброзного кольца приводит к ослабеванию их связи с кортикальной костной тканью, образованию щелей и смещению диска кпереди. Это вызывает натяжение прободающих волокон на месте их примыкания к замыкательной пластине и формированию остеофитов. Первоначально они образуются в горизонтальной плоскости, но сзади в этом направлении их сдерживает задняя продольная связка. Поэтому остеофиты передне-латеральные и клювовидно загнуты. Остеофиты рентгенологически выявляются у 60-80% людей старше 50 лет.
Увеличение нагрузки приводит к вторичной дегенерации дугоотростчатых суставов – эрозии и щелям в хряще – “остеоартриту”, а затем костеобразованию -“остеоартрозу”. При рентгенографии и КТ видно уменьшение суставной щели, костный склероз и краевой остеофитоз. При МРТ позвоночника в суставе часто видно избыточное количество жидкости. Остеоартроз имеется у всех старше 60 лет. Он, в свою очередь, приводит к тропизму суставов, когда один или оба направлены более сагиттально. Возникает их асимметрия и сколиоз. Сагиттальная ориентация дугоотростчатых суставов на уровня L4 и L5 способствует дегенеративному спондилолистезу и возникновению грыж дисков.

МРТ поясничного отдела позвоночника. Остеоартрит и остеоартроз дугоотростчатых суставов. Аксиальная Т2-взвешенная МРТ.
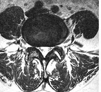
Остеоартроз приводит к уменьшению бокового кармана (в норме 5 мм на поясничном уровне). Синовиальная суставная жидкость может выходить через щели в капсуле сустава и осумковываться, образуя кисту. Типичное место расположения синовиальных кист – уровень диска L4-5. На КТ киста гипо- или гиперденсна, в ее стенке могут быть кальцинаты. При МРТ позвоночника синовиальная киста гипо- или слегка гиперинтенсивна на Т2-зависимых МРТ изображениях.

МРТ поясничного отдела позвоночника. Синовиальная киста справа. Аксиальная Т2-взвешенная МРТ.
Дегенеративные процессы на второй стадии проявляются в виде дальнейшего снижения высоты дисков, формирования грыж и артроза дугоотростчатых суставов. Клинически эта стадия наиболее ярко проявляется в виде болевого и корешкового синдрома.
Дальнейшая дегенерация суставного аппарата приводит к ослабеванию связок и их кальцификации. Костные мосты между телами 4 смежных позвонков за счёт обызвествления передней продольной связки наблюдается у 15-20% взрослых. Уменьшение высоты диска приводит к смыканию остистых отростков. В результате образуются псевдосуставы, вокруг которых развивается гранулематозное воспаление. С остеоартрозом связан также дегенеративный спондилолистез. Обычно это антелистез 4 поясничного позвонка на 5. В отличие от других этиологий может быть и не только антелистез, но и ретролистез. Степень листеза всегда небольшая.

МРТ поясничного отдела позвоночника. Болезнь Бааструпа. Псевдосустав обозначен стрелками. Сагиттальная Т2-взвешенная МРТ.
Комплекс дегенеративных изменений позвоночника может приводить к сужению позвоночного канала и/или бокового кармана, видимое при КТ и МРТ позвоночника. Часто это состояние обозначают термином “спондилёз”. Этому способствует также врождённая узость канала вследствие коротких корней дуг.

МРТ шейного отдела позвоночника. Стеноз позвоночного канала . Сагиттальная Т2-взвешенная МРТ.
Подвижность в позвоночных сегментах постепенно уменьшается, боли становятся не столь острыми, однако, имеется постоянное напряжение мышц, формируется сколиоз. Процесс переходит в третью стадию. Клинические проявления также во многом зависят от влияния грыжи на корешок.
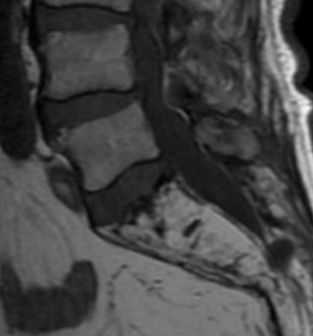
Грыжи дисков – общий термин, отражающий смещение диска. До 90% грыж дисков наблюдаются на уровне двух нижних поясничных сегментов. МРТ поясничного отдела позвоночника служит методом выбора для их диагностики.

МРТ поясничного отдела позвоночника. Парамедиальная грыжа (экструзия) диска L5/S1 слева с компрессией экстрадурального сегмента корешка. Сагиттальная и аксиальная Т2- взвешенные МРТ.
Сопоставление размеров и расположения грыж, определяемых при МРТ, с болевым синдромом показывает,что нет прямой связи между болевым синдромом и величиной грыжи. До 30% грыж видимых при МРТ позвоночника бессимптомные. Нет и прямой связи между болевым синдромом и размером позвоночного канала. В то же время, вокруг грыжи, по данным МРТ позвоночника, формируется грануляционная ткань а костном мозге смежных позвонков наблюдается асептический спондилит, что говорит о большом значении воспалительного процесса.
МРТ поясничного отдела позвоночника. Реактивный эпидурит вокруг грыжи диска. Сагиттальная Т1-взвешенная МРТ после контрастирования.
МРТ СПб позволяет выбирать место выполнения МРТ, мы рекомендуем воспользоваться нашим огромным опытом в этой области. МРТ в СПб мы проводим в нескольких центрах на аппаратах закрытого типа и открытых МРТ в тесном сотрудничестве с неврологами и нейрохирургами для выбора оптимальной тактики лечения.
МРТ позвоночника при патологиях костного мозга
Костный мозг занимает примерно 5% общей массы тела и играет активную роль в гемапоэзе (формировании крови). Состоит костный мозг, в основном, из стволовых клеток (всех видов клеточных элементов крови), окружающих поддерживающих клеток – макрофагов, адипоцитов и большого числа других, участвующих в питании, пролиферации (росте) и дифференциации стволовых клеток. Красный костный мозг содержит около 40% жира, желтый до 80%. Эта особенность помогает в выявлении различных патологий, связанных с изменением этого соотношения, при МРТ позвоночника.
К жировой ткани наиболее чувствительны Т1-взвешенные МРТ. Они являются основой протокола МРТ. В дополнение используются Т2-взвешенные МРТ с подавлением сигнала от жира. Ниже мы остановимся на основных патологиях, проявляющихся на МРТ позвоночника, как патология костного мозга, в первую очередь.
- Гемангиома, одиночная или множественная, составляет 10-12% изменений в позвонках. Она относится к сосудистым аномалиям и имеет характерные признаки при МРТ позвоночника – округлая или трабекулярная, светлая на Т1-взвешенных и Т2-взешенных МРТ, не меняется МРТ методиками подавления сигнала от жира.
- Локальные жировые депозиты появляются с возрастом и являются вариантом нормы. Жировые отложения также наблюдаются при остеохондрозе вдоль замыкательных пластинок (жировая дегенерация, или тип 2 по классификации Modic). Они яркие на Т1-взвешенных МРТ позвоночника и становятся темными при МРТ подавлении сигнала от жира. Иногда встречаются смешанные варианты изменений костного мозга при остеохондрозе, полностью не подавляющиеся при применении МРТ последовательности STIR.
- Болезнь Пэджета относится к метаболическим нарушениям и наблюдается у 1-3% лиц старше 40 лет. Поражение позвонков занимает второе место после костей таза. В диагностике болезни Пэджета очень помогает выявление литических очагов в костях черепа. Болезнь Пэджета проходит 3 стадии – литическую, смешанную и бластическую. В соответствии с этими стадиями при МРТ позвоночника наблюдается разная картина. В литической стадии сигнал от очага яркий на Т2-взвешенных МРТ и низкий на Т1-взвешеенных МРТ, затем сменяется на гипоинтенсивный на МРТ обоих типов взвешенности по мере увеличения склероза и фиброза. При МРТ позвоночника обнаруживаются и другие характерные черты болезни Пэджета – утолщение кортикальных пластинок тел позвонков, жировое перерождение на поздней стадии и в ходе успешного лечения.

МРТ позвоночника. Т1-взвешенная сагиттальная МРТ пояснично-крестцового отдела. Замещение костного мозга крестца жиром при болезни Пэджета.
- Липома относится к доброкачественным опухолям из жировой ткани. Они составляют около 1% всех первичных опухолей костей и не больше 4% из них локализуются в позвонках. При МРТ позвоночника липомы трудно отличимы от жировых депозитов, однако, они более четко очерчены и могут подвергаться внутреннему некрозу и кальцификации
- кровоизлияния в позвонки встречаются при травмах. При МРТ позвоночника прослеживается характерная динамика крови в зависимости от давности кровоизлияния.
- Последствие лучевой терапии сводятся к замещению красного костного мозга на желтый. При поглощенной дозе, превышающей 36Гр этот процесс становится необратимым. При МРТ позвоночника видно диффузное увеличение сигнала на Т1-взвешенных МРТ с четкой границей, соответствующей полю облучения. После лучевой терапии и химиотерапии также может развиваться миелофиброз – замещение костного мозга фиброзной тканью. При МРТ позвоночника сигнал очень низкий как на Т1-взвешенных, так и на Т2-взвешенных МРТ.

МРТ позвоночника. Т1-взвешенная сагиттальная МРТ грудного отдела. Жировая дегенерация костного мозга после лучевой терапии.
- Остеопороз приводит к уменьшению клеточного состава костного мозга и увеличению жира. При МРТ позвоночника чаще видно диффузное увеличение сигнала от тел позвонков на Т1-взвешенных МРТ. Встречаются также очаговые изменения, требующие при МРТ позвоночника дифференциальной диагностики с гемангиомами. МРТ диагностика при остеопорозе представлена также в отдельной статье.
- Спондилоартропатии при МРТ позвоночника часто проявляются “светящимися” углами на Т2-взвешенных МРТ. Особенно это характерно для острой стадии анкилозирующего спондилита. Смена острой фазы на хроническую приводит к превращению воспалительной реакции в депо жировой ткани, светлой на Т1-взвешенных МРТ. МРТ позвоночника при различных заболеваниях, относящихся к группе спондилоартропатий, посвящена специальная статья на нашем другом сайте.
- Анорексия сопровождается разными изменениями в организме, в том числе и остеопорозу и снижению интенсивности сигнала на Т1-взвешенных МРТ, а также отеку костного мозга, что обозначается термином “желатинозная трансформация”. На Т2-взвешенных МРТ (особенно с подавлением сигнала от жира) появляется слабое диффузное увеличение сигнала от позвонков. При МРТ позвоночника с контрастированием отмечается аморфное усиление сигнала.

МРТ позвоночника. Т2-взвешенная сагиттальная МРТ. Желатинозная трансформация при нарушении питания.
- Гемосидероз – явление наблюдающееся при гемолитической анемии. При МРТ позвоночника костный мозг приобретает низкий сигнал. В дифференциальной диагностики важно, что такой же низкий сигнал приобретает печень и селезенка.
- Болезнь Гоше – аутосомно-рецессивное наследственное заболевание классифицируемое как сфинголипидоз и проявляющееся в накоплении глюкоцереброзидов в гистиоцитах. Диагноз ставится на основании пункции селезенки и обнаружении специфических клеток. При МРТ позвоночника красный костный мозг замещается клетками Гоше, которые гипоинтенсивны на Т1- и Т2-взвешенных МРТ. Кроме того, при МРТ позвоночника часто наблюдаются костные инфаркты.

МРТ позвоночника. Т1-взвешенная МРТ грудного отдела позвоночника. Болезнь Гоше.
- Миелопролиферативные и миелодиспластические синдромы к которым относится хронический миелолейкоз и другие хронические лейкозы, полицитемия, мастоцитоз, эссенциальная тромбоцитопения при МРТ позвоночника проявляются однородно сниженным сигналом на Т1-взвешенных МРТ. На Т2-взвешенных МРТ позвоночника нередко наблюдается “обратная” яркость межпозвоночных дисков, они становятся светлее тел позвонков. МРТ головного мозга при опухолях кроветворной системы также может выявить его поражение.

МРТ позвоночника. Т2-взвешенная сагиттальная МРТ шейного отдела позвоночника. Хронический миелолейкоз.
- Саркоидоз поражает костный мозг в 1-3% случаев. Поражение головного мозга и спинного мозга при саркоидозе встречается гораздо чаще. При МРТ позвоночника наблюдаются склеротические очаги, очень напоминающие метастазы, часто множественные. Очаги могут быть смешанными литическими со склеротическими ободками. При МРТ позвоночника с контрастированием может наблюдаться усиление сигнала от очагов.
- Талассемия – большая группа аутосомно-рецессивных заболеваний проявляющаяся в нарушении синтеза цепей глобина эритроцитов. Заболевание проявляется гемолитической анемией. Диагноз ставится на основании пунктата костного мозга. При МРТ позвоночника сигнал от позвонков очень низкий и встречается экстрамедуллярный гемопоэз.
- Множественная миелома (плазмоцитома) относится к гематологическим заболеваниям. МРТ позвоночника при множественной миеломе рассматривается в отдельной статье.
При МРТ в СПб в наших клиниках мы поводим дифференциальный диагноз с метастазами и первичными опухолями позвоночника. Кроме того, при МРТ позвоночника надо исключить воспалительные процессы – туберкулезный спондилит и спондилодисцит.
а) Терминология:
1. Синонимы:
• «Переходный» дегенеративный синдром, ускоренная сегментарная дегенерация
• Дегенерация смежных сегментов
2. Определения:
• Ускорение дегенерации межпозвонкового диска/дугоотростчатых суставов сегментов, смежных с блокированными хирургическим путем уровнями
1. Общие характеристики:
• Наиболее значимый диагностический признак:
о Дегенеративные изменения межпозвонковых дисков/дугоотростчатых суставов непосредственно выше или ниже уровня костного блока
о Аналогичные изменения наблюдаются на уровнях, смежных с уровнями врожденных аномалий сегментации позвоночника
• Локализация:
о Межпозвонковые диски/дугоотростчатые суставы смежных с блокированными уровней
• Размеры:
о От минимальных до выраженных дегенеративных изменений с деформацией позвоночника
• Морфология:
о Дегенеративные изменения, ограниченные дисками, замыкательными пластинками и дугоотростчатыми суставами
2. Рентгенологические данные ускоренной дегенерации позвоночника:
• Рентгенография:
о Рентгенография позволяет увидеть как послеоперационные изменения непосредственно в области вмешательства, так и дегенеративные изменения смежных сегментов
о Функциональные рентгенограммы в положении сгибания/разгибания для диагностики нестабильности
3. Флюороскопия:
• Возможно увеличение подвижности смежных с блокированными позвоночно-двигательных сегментов
4. КТ при ускоренной дегенерации позвоночника:
• Бесконтрастная КТ:
о Признаки дегенеративного поражения смежных сегментов:
- Снижение высоты межпозвонкового диска
- Феномен вакуума в области диска
- Эбурнеация замыкательных пластинок
- Остеофиты
- Дегенеративная артропатия дугоотростчатых суставов с фораминальным стенозом
- Антеро- или ретролистез
- Пролапс, протрузия или экструзия диска
- Центральный стеноз позвоночника
5. МРТ при ускоренной дегенерации позвоночника:
• Т1-ВИ:
о Типичные признаки дегенеративных изменений дисков и дугоотростчатых суставов
- Снижение высоты диска
- Фокусы низкого сигнала в толще диска: феномен вакуума и/или кальцинаты
- Дегенеративные изменения замыкательных пластинок I и II типа
- Грыжи диска
- Центральный и/или фораминальный стеноз
- Дегенеративная артропатия дугоотростчатых суставов
- Деформация позвоночника
• Т2-ВИ:
о Типичные признаки дегенеративных изменений дисков и дугоотростчатых суставов:
- Снижение интенсивности сигнала межпозвонкового диска
- Дегенеративные изменения замыкательных пластинок I и II типа
• STIR:
о Высокая интенсивность сигнала вследствие отека костного мозга при дегенеративных изменениях замыкательных пластинок I типа на переходных уровнях
• Т1-ВИ с КУ:
о Возможно достаточно выраженное контрастное усиление сигнала тел позвонков смежных с блокированными уровней как проявление дегенеративных изменений замыкательных пластинок I типа
о Линейное контрастное усиление в толще межпозвонкового диска как проявление его дегенерации:
- Отсутствие признаков деструкции замыкательных пластинок
6. Несосудистые интервенционные рентгенологические исследования:
• Миелография:
о Неспецифические экстрадуральные изменения (стеноз, грыжи) на переходных уровнях
о При тяжелых изменениях на уровне поражения возможно развитие ликворного блока
7. Радиоизотопные исследования:
• Костная сцинтиграфия:
о Усиление захвата изотопа как проявление дегенерации межпозвонкового диска
• ПЭТ:
о Гипометаболизм РФП характерен для дегенеративного поражения межпозвонкового диска
о Гиперметаболизм РФП встречается при инфекционном поражении (спондилодисците)
о ПЭТ является достаточно чувствительным и специфичным методом дифференциальной диагностики дегенеративных и инфекционных поражений позвоночника
8. Рекомендации по визуализации:
• Стандартная рентгенография является наиболее простым и дешевым методом диагностики дегенеративных изменений смежных сегментов и оценки прогрессирования этих изменений в динамике
• МРТ используется для оценки состояния мягкотканных структур, не видимых на рентгенограммах:
о Грыжи диска, недостаточность желтой связки, пролиферативные изменения синовиальной оболочки

(Слева) Сагиттальная МР-томограмма в режиме Т1, пациент после вентрального спондилодеза СЗ-С5 с костной пластикой. Признаки дегенеративных изменений С5-С6 сегмента с развитием на этом уровне центрального стеноза позвоночника. Врожденный костный блок на уровне С6-С7 еще более увеличивает биомеханические перегрузки на уровне С5-С6 сегмента.
(Справа) Сагиттальная МР-томограмма этого же пациента в режиме Т2. На уровне С5-С6 видны признаки дегенерации и центрального стеноза с сужением субарахноидального пространства. Зона гиперинтенсивности паренхимы спинного мозга на уровне С5-С6 представляет собой очаг миеломаляции.
в) Дифференциальная диагностика:
1. Нормальные послеоперационные изменения:
• Межтеловые кейджи характеризуются низкой интенсивностью сигнала и типичными пространственными искажениями сигнала окружающих структур
2. Инфекция межпозвонкового диска:
• Низкая интенсивность сигнала двух смежных замыкательных пластинок, напоминающая дегенеративные изменения I типа
• Деструкция замыкательных пластинок
• ± признаки флегмонозных изменения/абсцессов в паравертебральных тканях или эпидуральном пространстве
3. Ложный сустав:
• Ускоренные дегенеративные изменения на уровне смежных с блокированными сегментов в конечном итоге могут вести к формированию ложного сустава и поражению задних элементов/связок позвоночника
• Горизонтальная линия патологически измененного сигнала, продолжающаяся от межпозвонкового диска к задним элементам или межостистой связке
4. Спондилолиз:
• Дефект межсуставной части дуги позвонка как причина нестабильности
5. Спондилолистез:
• Диагноз формулируется исходя из уровня листеза и наличия или отсутствия в анамнезе спондилодеза, стабилизации позвоночника
• Нестабильность и патологическая биомеханика на уровне костного блока может вести к стрессовым переломам на переходных (смежных) уровнях

(Слева) Сагиттальная КТ-миелограмма: признаки костного блока на уровне С3-С6 и фиксации этого сегмента пластиной и винтами. Ниже костного блока на уровне С6-С7 отмечается выраженное снижение высоты межпозвонкового диска. На этом же уровне определяются признаки тяжелого центрального стеноза позвоночника в виде нарушения непрерывности колонны контраста.
(Справа) Аксиальный КТ-срез с КУ: на уровне С6-С7 определяются признаки выраженного стеноза спинномозгового канала ниже уровня костного блока, а также признаки тяжелого двустороннего костного стеноза невральных отверстий за счет гипертрофических изменений дугоотростчатых и унковертебральных суставов.
1. Общие характеристики:
• Этиология:
о Причиной ускоренных дегенеративных изменений смежных сегментов является их перегрузка вследствие изменения нормальной биомеханики позвоночника:
- Закон Вольффа: живые ткани меняют свою структуру в ответ на нагрузки, которым они подвергаются
о Прочный костный блок на уровне одного сегмента приводит к изменению биомеханики смежных, сохранивших подвижность сегментов
о Увеличение подвижности этих мобильных сегментов гипотетически приводит к ускоренному развитию в них дегенеративных изменений:
- Сегментарная подвижность и внутридисковое давление на уровнях выше и ниже костного блока увеличиваются
о Дегенеративные изменения чаще развиваются при блокировании нескольких позвоночно-двигательных сегментов, однако могут наблюдаться и при блоке только одного сегмента:
- На поясничном уровне дегенерации чаще подвергаются проксимальные смежные сегменты
о Не у всех пациентов, находящихся в группе риска, можно видеть ускоренную дегенерацию
о Наблюдаемые патологические изменения являются типичными проявлениями дегенеративного поражения межпозвонковых дисков и дугоотростчатых суставов
о Наличие остеопении на момент хирургического вмешательства (спондилодеза) на уровне шейного отдела позвоночника увеличивает риск дегенеративного поражения смежных сегментов в послеоперационном периоде
о Сопутствующие дегенеративные изменения поясничного отдела позвоночника на момент хирургического вмешательства на шейном отделе позвоночника также увеличивают риск дегенеративного поражения смежных сегментов на уровне вмешательства
о Исходные дегенеративные изменения дугоотростчатых суставов характеризуются высоким риском развития проблем на уровне смежных сегментов после спондилодеза поясничного отдела позвоночника
2. Стадирование, степени и классификация ускоренной дегенерации позвоночника:
• Спондилолистез в зависимости от степени смещения позвонка классифицируется на степени от I до IV
3. Макроскопические и хирургические особенности:
• Снижение высоты диска, пролапс или грыжи диска, центральный стеноз позвоночника, дегенеративные изменения дугоотростчатых суставов
4. Микроскопия:
• Дегидратация диска, расслоение фиброзного кольца, разрыв фиброзного кольца, протрузии и экструзии вещества диска

(Слева) На сагиттальных Т2-ВИ (слева) и Т1-ВИ с КУ (справа) видны артефакты от педикулярных винтов, ниже которых определяется крупная грыжа межпозвонкового диска, характеризующаяся периферическим контрастным усилением и сдавливающая дуральный мешок.
(Справа) Сагиттальный срез, Т1-ВИ, пациент после вентрального спондилодеза С4-Т1 и передней стабилизации этих сегментов пластиной и винтами выше уровня костного блока: на уровне СЗ-С4 на фоне кифотической деформации этого сегмента определяется грыжа диска, ставшая причиной импинджмента спинного мозга.
1. Клиническая картина:
• Наиболее распространенные симптомы/признаки:
о Возможно бессимптомное течение
о Боль механического характера
о Корешковая симптоматика или миелопатия, топически связанные с уровнем изменений
о Грыжи вышележащего смежного диска - < 2%
• Особенности клинической картины:
о Пациенты, перенесшие в прошлом спондилодез, с жалобами на вновь развившийся и прогрессирующий болевой синдром другого характера и локализации по сравнению с болевым синдромом, имевшим место до операции
2. Демография:
• Возраст:
о Взрослые
• Пол:
о М = Ж
• Эпидемиология:
о Ускоренная дегенерация позвоночно-двигательных сегментов чаще развивается после спондилодеза и реже в случаях, когда вмешательство на позвоночнике ограничивается только декомпрессией
о Под синдромом Бертолотти подразумевается болевой синдром в спине на фоне переходных пояснично-крестцовых позвонков:
- Грыжи дисков у таких пациентов на уровне смежного с переходным позвонком диска развиваются в девять раз чаще, чем на других уровнях
3. Течение заболевания и прогноз:
• Естественно текущее дегенеративное поражение межпозвонкового диска очень сложно отличить от ускоренной дегенерации на фоне послеоперационного костного блока позвоночно-двигательного сегмента
• Прогрессирование процесса:
о Характер течения характеризуется значительной вариабельностью
• Снижение интенсивности Т2-сигнала смежных с уровнем блока межпозвонковых дисков может возникать уже через 12 месяцев после операции
• При операциях по поводу сколиоза вероятность развития грыж дисков на нижележащих по отношению к блокированным уровнях достигает 34%, а изменения сигнала этих дисков обнаруживаются у 50% пациентов
4. Лечение ускоренной дегенерации позвоночника:
• Декомпрессия и спондилодез клинически значимых уровней
е) Диагностическая памятка:
1. Следует учесть:
• Диагноз ложного сустава ставится при выраженных изменениях лучевой картины передних и задних элементов позвоночника, если все эти изменения ограничены одним горизонтальным уровнем
2. Советы по интерпретации изображений:
• Признаки хирургического костного блока, стабилизирующие металлоконструкции
• Обращайте внимание на переходные пояснично-крестцовые позвонки как одну из причин ускоренной дегенерации смежных сегментов поясничного отдела позвоночника
Читайте также:
- Отравление нервно-мышечными блокаторами и их побочные эффекты
- Признаки перелома диафиза плечевой кости
- Систолический шум при митральных пороках. Гипертрофия левого желудочка при пороке
- Лекарства в терапии предменструального синдрома (ПМС). Медикаменты
- Рак желчных протоков: симптомы и стадии рака желчных протоков, опухоль желчных протоков
