Лучевая диагностика злокачественной амелобластомы и амелобластического рака челюсти
Добавил пользователь Евгений Кузнецов Обновлено: 27.10.2025
КТ при злокачественной амелобластоме и амелобластическом раке челюсти
а) Определения:
• Амелобластический рак обладает гистологическими признаками злокачественного новообразования
• Злокачественная амелобластома гистологически неотличима отамелобластомы, но дает метастазы:
о Иногда из-за схожести эти термины используются как взаимозаменяемые, но, тем не менее, амелобластический рак и злокачественная амелобластома являются различными заболеваниями
б) Визуализация:
1. Общая характеристика:
• Лучший диагностический критерий:
о Деструкция кортикальной пластинки, распространение за пределы кости, обширный солидный компонент
• Локализация:
о Нижняя > верхняя челюсть; преимущественно область премоляров/моляров
• Морфология:
о Четкие, фестончатые края с кортикальной пластинкой по краю
о Злокачественная амелобластома: могут обнаруживаться признаки злокачественности, такие как деструкция кортикальной пластинки с инвазией окружающих тканей
о Одно- или, чаще, многокамерное образование с трабекулярной картиной «пчелиных сот»/»мыльных пузырей»; «мощные» и толстые перегородки

(Слева) На аксиальной КЛКТ в области правого клыка/премоляра определяется амелобластический рак. Обратите внимание на вздутие и перфорацию щечной кортикальной пластинки.
(Справа) Реформатированная КЛКТ альвелярного отростка у этого же пациента позволяет детально оценить вздутие и различимую глазом перфорацию щечной кортикальной пластинки, а также выраженную резорбцию корня 1-го премоляра.
2. Рентгенография при злокачественной амелобастоме и амелобастическом раке:
• Рентгенологические признаки:
о Напоминает доброкачественную амелобластому:
- Медленно растущее экспансивное образование
- Смещение или резорбция соседних зубов
- Возможно смещение ближайших структур
3. КТ при злокачественной амелобастоме и амелобастическом раке:
• Кистозные участки низкой плотности с разбросанными изоденсными включениями
• Опухоль может также приводить к эрозии кортикальной пластинки, распространяясь в окружающую слизистую оболочку полости рта
• В структуре могут обнаруживаться множественные грубые кальцинаты
4. МРТ при злокачественной амелобастоме и амелобастическом раке:
• Т1 ВИ:
о Солидные участки с сигналом промежуточной интенсивности
о Кистозные участки с однородным сигналом промежуточной интенсивности
• Т2 ВИ:
о Солидные участки с сигналом высокой интенсивности, накапливающие контраст на основе гадолиния
о Кистозные участки с сигналом высокой интенсивности контраст на основе гадолиния не накапливают
• Может обнаруживаться муральный узел или утолщение стенки
5. Рекомендации по визуализации:
• Выбор протокола:
о Панорамная рентгенография, дополняемая КЛКТ ил КТ с КУ
о МРТ при наличии солидного и кистозного компонентов

(Слева) На панорамной реформатированной КЛКТ у этого же пациента определяется резорбция корня зуба наряду с хорошо отграниченным рентгенонегативным образованием.
(Справа) На аксиальной КТ с КУ определяется деформация левой половины лица в результате предыдущей резекции амелобластомы, метастазирующей в мягкие ткани шеи и шейные позвонки. Злокачественная амелобластома в этом примере гистологически выглядит доброкачественной (отличной от амелобластического рака), но метастазирует в лимфоузлы и в отдаленные органы.
в) Дифференциальная диагностика злокачественной амелобастомы и амелобастического рака:
1. Амелобластома:
• Хорошо отграниченная экспансивная одно- или многокамерная рентгенонегативная опухоль с трабекулярной структурой в виде «пчелиных сот»/»мыльных пузырей»; резорбция корней зубов
2. Одонтогенная кератокиста:
• Обычно не приводит к вздутию; резорбция корней зубов (редко)
3. Одонтогенная миксома (миксофиброма):
• Тонкие прямые перегородки, напоминающие теннисную ракетку, умеренно выраженное вздутие
4. Центральная мукоэпидермоидная опухоль:
• Рентгенологические признаки доброкачественности; длительно нарастающее вздутие; Ж>М
5. Рак из зубной кисты:
• Возникает в стенке зубной (фолликулярной) кисты
• Местно инвазивная опухоль
6. Центральная гигантоклеточная гранулема:
• Пациенты моложе
• Спереди от постоянного второго моляра
г) Патология. Микроскопия:
• Амелобластический рак: патологические митозы, крупные гиперхромные ядра
• Злокачественная амелобластома: пролиферативные пласты/ островки одонтогенного эпителия типичны для плексиформного, фолликулярного, зернистоклеточного вариантов амелобластомы
д) Клинические особенности:
• 3-5 десятилетие
1. Течение и прогноз:
• Метастазы могут быть неочевидны месяцы и годы спустя после начала лечения как при доброкачественной амелобластоме
• Наиболее часто опухоль метастазирует в головной мозг, лимфоузлы, кости
2. Лечение:
• Хирургическое (резекция единым блоком) с захватом 2-3 см от края
• Стартовое лечение часто недостаточно, т.к. клиническая, рентгенологическая, гистологическая картина аналогична амелобластоме
• Лучевая терапия и химиотерапия имеет ограниченное значение за исключением случаев, когда хирургическое лечение невозможно
е) Список использованной литературы:
1. Yunaev М et al: A rare case of ameloblastic carcinoma. Ear Nose Throat J. 93(9):E34-6, 2014
2. Lai H et al: Benign metastasizing ameloblastoma or malignant ameloblastoma? J Craniofac Surg. 22(3):995-7, 2011
3. Matsuzaki H et al: Ameloblastic carcinoma: a case report with radiological features of computed tomography and magnetic resonance imaging and positron emission tomography. Oral Surg Oral Med Oral Pathol Oral Radiol Endod. 112(1):e40-7, 2011
Лучевая диагностика злокачественной амелобластомы и амелобластического рака челюсти
а) Терминология:
1. Синонимы:
• Адамантобластома, адамантинома (старые неспецифические термины, которые сейчас не используются)
2. Определение:
• Доброкачественное объемное образование местно агрессивного характера роста, возникающее из одонтогенного эпителия нижней или верхней челюсти
1. Общая характеристика:
• Лучший диагностический критерий:
о Многокамерное объемное образование кистозно-солидной структуры (в виде «пузырьков»), расположенное в задних отделах верхней или нижней челюсти, связанное с непрорезавшимся 3-м моляром
• Локализация:
о Нижняя челюсть: область 3-го моляра и ветви
о Верхняя челюсть: область премоляра или 1-го моляра:
- Поражает верхнечелюстную пазуху раньше, чем полость носа
• Размер:
о В большинстве случаев >2 см на момент обнаружения
• Морфология
о Нижняя челюсть: опухоль ограничена толстой кортикальной пластинкой
о Верхняя челюсть: в связи с истончением кортикальной пластинки опухоль легче распространяется за пределы кости в верхнечелюстную пазуху и полость носа
о Лучевые признаки отражают патоморфологический вариант опухоли: солидно-поликистозный, десмопластический, уникистозный ± муральные узлы
2. Рентгенологические данные:
• Рентгенография:
о Одно- или многокамерное (80%) «прозрачное» объемное образование, с фестончатыми краями, приводящее к истончению кортикальной пластинки
о В матриксе обызвествления отсутствуют

(Слева) При аксиальной КТ в коаном окне в теле нижней челюсти справа визуализируется большое многокамерное объемное образование экспансивного характера. Агрессивный характер этого образования проявляется в экспансивном воздействии на щечную и язычную кортикальную пластинку в совокупности с ее истончением и фокальным нарушением целостности.
(Справа) При аксиальной КТ в костном окне визуализируется небольшое объемное образование солидно-поликистозного характера, расположенное между боковым резцом и клыком. Обратите внимание, что в образовании, несмотря на его малый размер, присутствуют перегородки, а щечная кортикальная пластинка перфорирована.
3. КТ при амелобластоме:
• КТ с контрастным усилением:
о Небольшие опухоли характеризуются лишь краевым контрастным усилением
о Большие объемные образования с распространением за пределы кости, содержат солидный компонент, умеренно накапливающий контраст, и кистозные участки низкой плотности
- Распространение за пределы кости нетипично
• КТ в костном окне:
о Одно- (20%) или многокамерное (80%) объемное образование с фестончатыми краями
о Вид «пузырьков» типичен, но не является патогномоничным признаком
о Связь с непрорезавшимся моляром
о Резорбция ближайших зубов
о Выраженное истончение кортикального слоя нижней или верхней челюсти
о Остеолитический очаг низкой плотности без минерализации матрикса
4. МРТ при амелобластоме:
• Т1ВИ:
о Сигнал смешанной интенсивности
о Типичный гипоинтенсивный сигнал на Т1ВИ (киста), но в некоторых случаях отмечается также гиперинтенсивный сигнал
• Т2ВИ:
о Сигнал смешанной интенсивности
о Гиперинтенсивный сигнал (Т2ВИ) позволяет отличить большую амелобластому с экстраоссальным распространением от злокачественного новообразования
• STIR:
о Гиперинтенсивный сигнал в кистозных участках
• DWI:
о ↓ коэффициента диффузии в солидном компоненте
о ↑ коэффициента диффузии в кистозном компоненте > чем в кератокистозной одонтогенной опухоли
• Т1ВИ с контрастным усилением:
о Небольшие опухоли: муральный узел, накапливающий контраст:
- Узел представляет «центр роста опухоли» и должен быть полностью удален с целью достижения излечения
о Перегородки также часто накапливают контраст
о Солидные участки быстро накапливают контраст на МРТ с динамическим контрастированием, максимальное контрастное усиление обнаруживается на 60 секунде
о Кистозные участки не накапливают контраст
о На томограммах с контрастным усилением можно переоценить область истинного опухолевого поражения
о Признаки периневральной инвазии опухоли отсутствуют
5. Рекомендации по визуализации:
• Лучший метод диагностики:
о Тонкосрезовая КТ с контрастным усилением в костном и мягкотканном режиме
• Тонкосрезовая КТ с контрастным усилением позволяет лучше визуализировать фокальные муральные узлы, накапливающие контраст: а также дает возможность оценить взаимное расположение кости и опухоли
• МРТ с контрастным усилением позволяет лучше всего оценить внекостный компонент и отношение к жизненно важным сосудисто-нервным структурам:
о Особенно применимо к верхней челюсти: отношение опухоли к верхнечелюстной пазухе, полости носа, орбите
• Для дифференциальной диагностики с другими кистозными новообразованиями нижней челюсти могут потребоваться оба метода исследования (КТ и МРТ)

(Слева) На аксиальной МР-томограмме (STIR) визуализируется крупная амелобластома нижней челюсти, в составе которой находится массивный кистозный компонент (с правой стороны) с наличием уровней «жидкость-жидкость». Обратите внимание на многокамерный компонент с гиперинтенсивным сигналом на Т2ВИ (с левой стороны).
(Справа) При МРТ Т1ВИ FS сКУ в аксиальной проекции у это го же пациента с амелобластомой нижней челюсти определяется выраженное контрастное усиление стенок крупной однокамерной кисты, расположенной справа. Видны также множественные кисты меньшего размера с левой стороны.
в) Дифференциальная диагностика амелобластомы:
1. Периапикальная (радикулярная) киста:
• Болезненная киста, возникающая на фоне кариеса или заболеваний периодонта
• КТ в костном окне: нарушение твердой пластинки и расширение пространства периодонтальной связки:
о Большие кисты являются деструктивными (не экспансивными)
2. Фолликулярная киста:
• КТ в костном окне: однокамерное кистозное образование вокруг коронки зуба
• Не содержит муральных узлов, накапливающего контраст
• Однокамерная и небольшая многокамерная амелобластома может напоминать фолликулярную кисту
3. Кератокистозная одонтогенная опухоль:
• КТ в костном окне: одно- или многокамерное кистозное образование нижней челюсти, связанное с непрорезавшимся зубом:
о Опухоль окружает или интегрирует коронку и корень зуба
• Характеризуется менее выраженным экспансивным воздействием на щечную и язычную кортикальную пластинку по сравнению с амелобластомой
• Не содержит узлов, накапливающих контраст
• Однокамерная и небольшая многокамерная амелобластома может имитировать кератокистозную одонтогенную опухоль
4. Одонтогенная миксома (миксофиброма):
• Редкая доброкачественная опухоль из зубного сосочка
• КТ в костном окне: одно- или многокамерное кистозное образование в задних отделах верхней или нижней челюсти
о Экспансивное объемное образование экспансивного характера с более тонкими перегородками по сравнению с таковыми в амелобластоме
• Миксоматозный матрикс имеет ↑ плотность на КТ и ↓ интенсивность на MPT (Т2ВИ) по сравнению с амелобластомой и керато-кистозной одонтогенной опухолью
5. Оссифицирующая фиброма верхней и нижней челюсти:
• КТ в костном окне: фиброзная опухоль литического характера, выглядящая как многокамерное кистозное экспансивное образование (в виде «пузырьков»):
о Располагается вокруг корня зуба, имеет бугристые края
о Содержит тонкие перегородки, вызывающее расширение кости
• Центральный оссификат, ↑ HU, ↓ Т1 и Т2ВИ
6. Аневризматическая костная киста нижней и верхней челюсти:
• Чаще встречается у детей, чем у взрослых
• КТ в костном окне: большое, многокамерное округлое образование
• КТ без контрастного усиления или МРТ: уровни «жидкость-жидкость»
• Отсутствуют муральные узлы, накапливающие контраст

(Слева) При MPT Т2ВИ с КУ в аксиальной проекции у пациента с амелобластомой верхней челюсти определяется солидный и кистозный (многокамерный) компонент. Обратите внимание на типичный интенсивный (Т2ВИ) сигнал в кистозном компоненте, а также экспансивное воздействие опухоли на заднюю стенку верхнечелюстной пазухи.
(Справа) На корональной (T1ВИ) томограмме с контрастным усилением и жироподавлением у этого же пациента определяется характерное контрастное усиление перегородок. Местно агрессивный характер амелобластомы также подтверждается ее распроаранением в полость носа и ячейки пазухи решетчатой кости.
г) Патология:
1. Общая характеристика:
• Этиология:
о Доброкачественная эпителиальная одонтогенная опухоль из амелобластов (эпителиальных клеток самого внутреннего слоя эмали)
• Сопутствующие патологические изменения:
о 20% амелобластом возникают из зубной кисты
• Нижняя челюсть: верхняя челюсть = 5:1
о Область моляров и ветви > область премоляров > симфиз
о Сопутствующей находкой часто оказывается непрорезавшийся 3-й моляр
2. Макроскопические и хирургические особенности:
• Экспансивное многокамерное объемное образование нижней или верхней челюсти
• Смешанные объемные образования, такие как амелобласгная одонтома, амелобластная фиброма или амелобластная фиброодонтома, встречаются редко:
о Возникают у детей
3. Микроскопия:
• Не имеет капсулы
• Пролиферативные листки или островки одонтогенного эпителия
• Одонтогенная опухоль из эпителия:
о Краевые, палисадные, цилиндрические клетки с мелкими гиперхромными ядрами, расположенные на удалении от базальной мембраны
• Гистологические типы: плексиформный, десмопластический, фолликулярный, гранулярноклеточный
• Злокачественные варианты: амелобластический рак, злокачественная амелобластома (могут метастазировать)
д) Клинические особенности:
1. Проявления:
• Типичные признаки/симптомы:
о Плотное болезненное новообразование нижней челюсти
о Другие признаки/симптомы:
- Расшатывание зубов, отек, болезненность
- Кровотечение, медленное заживление ранки после удаления зуба
- Ранняя симптоматика может отсутствовать
• Клинический профиль
о Взрослый пациент с болезненным, медленно растущим объемным образованием нижней челюсти
2. Демография:
• Возраст:
о Чаще всего 30-50 лет
о В младшей возрастной группе чаще наблюдаются однокамерные образования
• Эпидемиология:
о 2-я по распространенности одонтогенная опухоль (35%)
о 2-я наиболее частая доброкачественная опухоль нижней челюсти
о 1 % всех опухолей нижней и верхней челюсти
3. Течение и прогноз:
• Доброкачественная, медленно растущая (иногда индолентная) опухоль
• До возникновения симптоматики часто проходит несколько лет
• Злокачественная трансформация происходит редко (1%):
о С развитием амелобластической карциномы
• Опухоль часто рецидивирует (33%):
о Рецидив может потребовать более «агрессивной» операции: 2-й резекции единым блоком
о Однокамерные опухоли намного реже рецидивируют (15%), чем многокамерные
4. Лечение:
• Хирургическое (тотальная эксцизия) при небольших опухолях:
о Выскабливание больше не считается приемлемым методом лечения
• Опухоли большого размера удаляются единым блоком
• Лучевая и химиотерапия противопоказаны
е) Диагностическая памятка:
1. Следует учесть:
• Крупные фолликулярные кисты и кератокистозные одонтогенные опухоли сложнее всего отличить от амелобластомы
• Ключевыми моментами являются отношение к зубу и отсутствие нодулярного контрастного усиления
2. Советы по интерпретации изображений:
• Амелобластома часто приводит к резорбции корней прилежащих зубов
• Амелобластома, в отличие от более агрессивных новообразований, характеризуется гиперинтенсивным сигналом на Т2ВИ
3. Рекомендации по отчетности:
• Отношение опухоли к каналу нижнего альвеолярного нерва в нижней челюсти (или его вовлечение)
• Экстраальвеолярное распространение в подъязычное/поднижнечелюстное пространство, щечное пространство, жевательное пространство, верхнечелюстную пазуху, крыловидно-небную щель, глазницу
ж) Список использованной литературы:
1. Fujita М et al: Diagnostic value of MRI for odontogenic tumours. Dentomaxillofac Radiol. 42(5):20120265, 2013
2. Sumi M et al: Diffusion-weighted MR imaging of ameloblastomas and keratocystic odontogenic tumors: differentiation by apparent diffusion coefficients of cystic lesions. AJNR Am J Neuroradiol. 29(10): 1897-901, 2008
3. Asaumi J et al: Application of dynamic MRI to differentiating odontogenic myxomas from ameloblastomas. Eur J Radiol. 43(1 ):37-41, 2002
4. Hayashi К et al: Dynamic multislice helical CT of ameloblastoma and odontogenic keratocyst: correlation between contrast enhancement and angiogenesis. J Comput Assist Tomogr. 26(6):922-6, 2002
5. Mosier KM: Lesions of the Jaw. Semin Ultrasound CTMR. 36(5):444-50, 2015
6. Mosier KM: Magnetic resonance imaging of the maxilla and mandible: signal characteristics and features in the differential diagnosis of common lesions. Top Magn Reson Imaging. 24(1):23-37, 2015
Амелобластома - симптомы и лечение
Что такое амелобластома? Причины возникновения, диагностику и методы лечения разберем в статье доктора Куфтарева Виталия Александровича, стоматолога со стажем в 10 лет.
Над статьей доктора Куфтарева Виталия Александровича работали литературный редактор Вера Васина , научный редактор Елена Страндстрем и шеф-редактор Маргарита Тихонова

Определение болезни. Причины заболевания
Амелобластома (Ameloblastoma) — это доброкачественная опухоль, которая развивается из зубообразующих тканей. По мере её роста деформируются черты лица, смещаются и расшатываются зубы.
Амелобластома развивается медленно и бессимптомно, чаще возникает в области угла и ветви нижней челюсти. Почти никогда не вызывает воспаления.
![Амелобластома [11]](/pimg3/luchevaya-diagnostika-zlokachestvennoy-5D128C9.jpeg)
Существует редкий аналог данной опухоли — злокачественная амелобластома, относящаяся к группе одонтогенных раков. Она может давать метастазы в другие органы, например в кости, селезёнку, печень и лёгкие [1] .
Распространённость амелобластомы
Амелобластомы составляют примерно 1 % от всех случаев опухолей лица. В большинстве случаев они возникают в возрасте 30–40 лет. Мужчины и женщины болеют одинаково часто [1] [10] .
Причины развития амелобластомы
Точные причины появления амелобластомы не установлены. По одной из версий, она возникает из-за патологии развития зубного зачатка, по другой — происходит из одонтогенных эпителиальных остатков (островков Малассе).
При обнаружении схожих симптомов проконсультируйтесь у врача. Не занимайтесь самолечением - это опасно для вашего здоровья!
Симптомы амелобластомы
Чаще всего амеобластома возникает в области угла и ветви нижней челюсти, в области зубов мудрости [9] . На ранних стадиях заболевание протекает без симптомов.
Амелобластома относится к доброкачественным опухолям, которые развиваются внутри кости нижней челюсти. Как правило, она растёт медленно [10] . Если болезнь не лечить, то расшатываются и смещаются зубы, деформируется прикус. В дальнейшем, при достижении больших размеров опухоли, нарушается симметрия лица. Таким пациентам требуются обширные хирургические вмешательства и длительная реабилитация.
Иногда амелобластомы сочетаются с зубными кистами и непрорезавшимися зубами [9] . Но эти процессы могут развиваться и независимо друг от друга.
Патогенез амелобластомы
Амелобластома возникает из-за бесконтрольного деления клеток-предшественников тканей зуба (эмалевого органа), которые остались после его формирования. В большинстве случаев сами клетки не меняются, от нормальных они отличаются расположением относительно друг друга и высокой скоростью роста. В результате образуется опухоль, которая постепенно увеличивается, но не причиняет беспокойства, пока не достигнет больших размеров.
Что именно запускает развитие амелобластомы, пока неизвестно [10] .
Классификация и стадии развития амелобластомы
По Международной классификации болезней (МКБ-10) амелобластоме присвоены коды D16.4, D16.5: доброкачественное новообразование костей черепа и лица; доброкачественное новообразование нижней челюсти костной части.
Выделяют два типа амелобластом:
- Доброкачественные:
- солидная (поликистозная);
- уникистозная;
- внекостная (периферическая);
- десмопластическая.
- Злокачественные:
- метастазирующая амелобластома;
- амелобластная карцинома [1][10] .
Все эти формы проявляются одинаково: растут и деформируют лицо. Они различаются только по своему строению, что определяет тактику лечения.
Поликистозная форма встречается чаще всего, как правило поражает нижнюю челюсть. Возникает из остатков однотогенного эпителия, из которого образовались зубы. По структуре напоминает пчелиные соты или мыльные пузыри. Опухоль состоит из каркаса эпителиальных клеток, между которыми содержатся коллагеновые волокна. В клеточном компоненте выделяют периферическую и центральную части. Периферическая часть состоит из вытянутых и многоугольных клеток (столбчатых и звёздчатых). Клетки центральной части по своему строению отдалённо напоминают зубной зачаток.
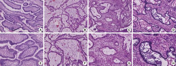
Если рассматривать срез опухоли под микроскопом, можно условно выделить шесть подтипов:
- фолликулярную амелобластому — состоит из множества мелких островков клеток, при таком строении чаще всего формируется киста (пустое ограниченное пространство, заполненное жидкостью);
- плексиформную — образована из « склеившихся » островков эпителия с двойными рядами клеток-столбиков, расположенных « спина к спине » ;
- акантоматозную — полигональные клетки ( « звёздочки » ) теряют свои отростки и образуют кератиновый жемчуг в центре опухоли;
- базально-клеточную — клетки менее столбчатые, расположены в виде листов;
- гранулярную — в цитоплазме звёздчатых клеток появляются крупнозернистые включения (гранулы);
- десмопластическую — наблюдается плотная коллагеновая строма.
![Формы амелобластом: A, E — фолликулярная; B, F — плексиформная; C, G — акантоматозная; D, H — десмопластическая [12]](/pimg3/luchevaya-diagnostika-zlokachestvennoy-CCE8D8B.jpeg)
Уникистозная форма — вторая по распространённости после поликистозной амелобластомы. Эта опухоль, как правило, развивается в возрасте 20–30 лет. Часто возникает повторно, примерно раз в семь лет [1] . На рентгеновском снимке опухоль выглядит как фолликулярная киста, но без зачатка зуба. Делится на два подтипа: люминальный и интралюминальный. В первом случае стенка кисты выстилается эпителием амелобластомы, во втором — эпителий выступает внутрь полости. Чаще всего на рентгенограмме определяется одна такая полость, но может быть и несколько.
Периферическая форма — самый редкий вариант. Мужчины болеют примерно в два раза чаще, чем женщины, средний возраст пациентов составляет 50 лет [10] . Опухоль возникает в мягких тканях и не проникает в кости, ограничивается слизистой оболочкой десны и альвеол. Растёт медленно и безболезненно. При исследовании среза опухоли напоминает акантоматозный тип поликистозной амелобластомы [1] .
Десмопластическая форма отличается от остальных необычным гистологическим и рентгенологическим рисунком. На рентгенограмме у неё нет чётких границ, чередуются плотные и прозрачные структуры с неровными краями. Это говорит о большей агрессивности такой формы по сравнению с остальными доброкачественными вариантами. Под микроскопом видна изменённая рыхлая соединительная ткань, окружающая островки эпителиальных клеток. Иногда изменения заметны и в костной ткани.
Метастазирующая амелобластома появляется как следствие озлокачествления одной из доброкачественных форм. Даёт метастазы во внутренние органы, чаще всего в лёгкие. По своему рентгенологическому или гистологическому строению может не отличаться от доброкачественной формы.
Амелобластическая карцинома может развиваться самостоятельно или в результате озлокачествления доброкачественной формы. Амелобластная и амелобластическая — по сути одно и то же, хотя есть незначительные отличия на клеточном уровне. Клетки карциномы становятся низкодифференцированными, т. е. после деления никак не развиваются и не меняются. Опухоль быстро и агрессивно растёт, её клетки обладают повышенной митотической активностью — стараются быстрее разделиться пополам, образуя две опухолевые клетки из одной. Новообразование становится болезненным, может выходить за пределы костной ткани. Диагностируется гистологически, т. е. изучается срез под микроскопом.
Характерные признаки амелобластической карциномы:
- много незрелых клеток с ярко выраженными ядрами (ядерный гиперхроматизм);
- есть очаги некроза — часть клеток опухоли может погибать из-за неадекватного обмена питательных веществ и выведения продуктов жизнедеятельности [1][4][6][10] .
Осложнения амелобластомы
Все осложнения амелобластомы связаны с её инвазивным ростом. При запущенных доброкачественных опухолях может деформироваться лицо и зубные ряды.
К отдалённым осложнениям относится озлокачествление опухоли. Этот процесс протекает бессимптомно, вплоть до поздних стадий, на которых диагностируется несколько опухолей и в других органах. При этом резко снижается вес, появляются сильные боли. Может нарушиться работа поражённых органов, например:
- при поражении лёгких будут проблемы с дыханием [1] ;
- при запущенном поражении костей возникают патологические переломы;
- при метастазировании в область ворот печени может возникнуть механическая желтуха; на ранних стадиях патология выявляется только с помощью биохимического анализа крови (уровня АСТ, АЛТ и щелочной фосфатазы).
Диагностика амелобластомы
При подозрении на амелобластому применяются следующие методы:
- Рентгенограмма (ортопантомограмма) — на двухмерном снимке видна опухоль с характерными признаками амелобластомы (поражение в виде мыльных пузырей), что позволяет предположить этот диагноз.
- КЛКТ (конусно-лучевая компьютерная томография) — трёхмерный снимок даёт больше информации о положении опухоли в костной ткани, её размерах и строении. Но даже с помощью этого метода можно поставить лишь предварительный диагноз [2][3] .
- МРТ (магнитно-резонансная томография) — покажет патологию в мягких тканях.
- Цитологический и гистологический метод — пункция и трепан-биопсия.
Выбор способа диагностики зависит не столько от оснащения лечебного учреждения, сколько от клинической ситуации и информации, которая нужна в данный момент. Первые три метода приведут врача к финальному гистологическому методу, который чаще всего проводится уже после того, как опухоль была удалена хирургическим путём. С его помощью можно установить форму амелобластомы.
Хотя амелобластома крайне редко становится злокачественной (описано около 30 случаев метастазирующей амелобластомы [1] ), целесообразно провести комплексное обследование: МРТ всего организма и анализ крови на онкомаркеры (Ki-67, SOX2). Эти исследования помогут заподозрить наличие злокачественной амелобластомы. Достоверно определить злокачественность опухоль можно только гистологическим методом после операции.
Только проведя весь комплекс диагностических мер и тщательно проанализировав результаты, можно поставить окончательный диагноз и назначить адекватное лечение [2] [3] [7] [9] [10] .
Дифференциальная диагностика
Лечение амелобластомы
Доброкачественные амелобластомы удаляются хирургически с иссечением 1 см здоровых тканей. Чтобы избежать рецидива, очень важно удалить всю опухоль целиком. Как правило, одновременно проводят реконструктивную пластику нижней челюсти с использованием титановых пластин и аутотрансплантата.
Амелобластная карцинома тоже удаляется хирургически, но иссекается больше здоровых тканей — 2–3 см. Затем проводится химио- и лучевая терапия: участок, где располагалась опухоль, облучают рентгеновскими лучами и принимают специальные препараты — цитостатики, которые замедляют пролиферацию (размножение) клеток , но, к сожалению, не только опухолевых, но и и всех быстро делящихся клеток организма.
Злокачественная амелобластома удаляется с иссечением 1–2 см здоровых тканей. Химио- и лучевая терапия обычно не требуются. Злокачественная амелобластома может давать метастазы, в остальном у неё сохраняются признаки доброкачественной опухоли, т. е. сами клетки не претерпевают злокачественного изменения. Лучевая терапия в этом случае не нужна.
Операцию должен проводить хирург, прошедший специальную подготовку: челюстно-лицевой хирург, пластический хирург, хирург-онколог, оториноларинголог.
Целесообразно выбрать более щадящий хирургический метод, сохраняющий функцию нижней челюсти, не обезображивающий лицо пациента и позволяющий избежать рецидива. При расположении опухоли в костном массиве производят частичную резекцию нижней челюсти с сохранением её непрерывности. При обширных амелобластомах, распространяющихся на край нижней челюсти, показана сквозная резекция нижней челюсти, при значительном разрушении ветви с поражением мыщелкового отростка — экзартикуляция нижней челюсти (вместе с опухолью) в пределах здоровых тканей [13] .

Хирургическое лечение зачастую не ограничивается непосредственно операцией по удалению опухоли. Из-за полного отсутствия симптомов на ранних сроках амелобластому обычно диагностируют достаточно поздно, когда она достигает крупных размеров. После её удаления могут оставаться значительные дефекты, нарушающие работу зубочелюстной системы и внешний вид пациента. Поэтому после удаления опухоли, как правило, следуют одна или несколько реконструктивных операций с длительной реабилитацией [5] [7] .
К реконструктивным операциям относятся:
- пересадка костного трансплантанта;
- пересадка кожи и тканевых трансплантантов — проводится, если деформированы мягкие ткани.
После таких операций пациентам рекомендуется находиться в стационаре или дома на больничном. Чаще всего требуется иммобилизация челюстей, т. е. их обездвиживание.
Прогноз. Профилактика
Доброкачественная амелобластома очень часто возникает повторно. В таких случаях снова требуется операция и, вероятнее всего, восстановительная хирургия. Метастазирующая амелобластома и амелобластная карцинома встречается очень редко, поэтому о прогнозе говорить сложно [1] [10] .
Профилактика амелобластомы
Профилактики нет, так как до сих пор не известны причины заболевания. Главным фактором в лечении будет ранняя диагностика, поэтому при появлении первых симптомов следует обратиться к врачу. Ранней диагностике также способствуют регулярные визиты к стоматологу (каждые полгода). Особенно внимательно нужно следить за своим состоянием пациентам, у которых уже была обнаружена и удалена амелобластома.
Амелобластома
Амелобластома – это доброкачественная одонтогенная опухоль челюстно-лицевой локализации, вызывающая деструкцию костной ткани. По мере развития амелобластомы возникает асимметрия лица, происходит постепенная деформация челюсти, расшатывание и смещение зубного ряда, нарушение жевательной функции. Амелобластома диагностируется на основании анамнеза, выявленных во время осмотра симптомов и необходимых исследований: рентгенографии, компьютерной томографии, цитологического анализа и др. Лечение заболевания осуществляется исключительно хирургическим способом и заключается в резекции пораженного участка челюстной кости или экзартикуляции челюсти.
МКБ-10
Общие сведения
Амелобластома является самой частой формой одонтогенной опухоли, которая встречается в практике хирургической стоматологии. Более чем в 80% случаев амелобластома возникает на нижней челюсти, верхняя челюсть поражается реже. Встречается с одинаковой частотой у мужчин и у женщин, обычно в возрасте 20–60 лет. Возможно развитие амелобластомы у детей и подростков - это заболевание составляет 6–7% от числа всех доброкачественных образований зубочелюстной локализации в детском возрасте.
По статистике, у значительной части больных амелобластома выявляется на относительно ранних стадиях (1–6 месяцев), что является очень важным для успешного лечения. Нередко амелобластома обнаруживается после рентгенографии по поводу другого стоматологического заболевания, хотя имеют место и поздние обращения к врачу (при длительности заболевания от 1 года до нескольких лет), когда опухоль развилась уже на значительном участке. Амелобластома довольно часто рецидивирует, а при неблагоприятном течении и запущенности заболевания возможна малигнизация (озлокачествление) доброкачественного образования.
Причины амелобластомы
В настоящее время существует несколько гипотез о причинах развития данной опухоли. Некоторые ученые предполагают связь заболевания с патологией развития зубного зачатка, другие считают, что амелобластома возникает из одонтогенных эпителиальных остатков (так называемых островков Малассе). Как бы то ни было, точные причины развития патологии пока не установлены.
Классификация
Клинически выделяют две формы заболевания – кистозную и солидную (массивную). Кистозная амелобластома является наиболее распространенной, она характеризуется наличием обособленных или частично соединенных кист, которые изнутри выстланы тонкой эпителиальной оболочкой. Отличием массивной амелобластомы служит наличие губчатой ткани и иногда рентгенологически не определяемых кист различной величины, которые при длительном развитии патологии постепенно сливаются в одну или несколько крупных полостей.
Микроскопически различают несколько типов опухоли: фолликулярный, плеоморфный, акантоматозный, базально-клеточный и гранулярно-клеточный. Первые два типа амелобластомы встречаются наиболее часто, но зачастую в пределах одной опухоли можно встретить разные типы гистологического строения.
- Для фолликулярной амелобластомы характерно наличие отдельных островков (фолликулов) из эпителиальных клеток, которые располагаются в строме из соединительной ткани.
- Плеоморфная амелобластома представляет собой разветвленную сеть одонтогенных эпителиальных тяжей.
- При акантоматозной амелобластоме наблюдается выраженная плоскоклеточная метаплазия с образованием кератина внутри областей опухолевых клеток.
- Базально-клеточная амелобластома очень схожа с базально-клеточным раком.
- Гранулярно-клеточная форма характеризуется большим содержанием ацидофильных гранул в эпителии.
Для амелобластомы характерно наличие клеток двух видов: звездчатых и цилиндрических. Последние имеют значение в рецидивах заболевания, поскольку обладают длинными эпителиальными отростками, выходящими в здоровую ткань за границы опухоли.
Развитие амелобластомы происходит очень медленно, и пациент длительное время может не замечать никаких симптомов. Однако с прогрессированием заболевания челюсть деформируется. Первым видимым проявлением болезни служит нарушение симметрии лица, припухлость со стороны поражения. Нужно отметить, что степень асимметрии может различаться: от небольшой до значительно выраженной. Амелобластома верхней челюсти встречается гораздо реже, но может протекать еще более незаметно визуально, поскольку опухоль распространяется в верхнечелюстную пазуху.
Когда опухоль начинает повреждать структуру костной ткани, у пациента появляется боль, которую он может принимать за зубную. Происходит расшатывание и смещение зубов. Челюсть в месте поражения постепенно деформируется, а при дальнейшем прогрессировании патологии истончается кортикальная пластинка – появляется характерный пергаментный хруст. При пальпации определяется гладкий или бугристый веретенообразно вздутый участок кости, при истончении костная ткань легко прогибается и пружинит. Со стороны полости рта можно наблюдать деформацию альвеолярного отростка.
Кожные покровы над пораженной областью долгое время остаются неизмененными, подвижными, легко собираются в складку. При развитии амелобластомы на верхней челюсти альвеолярный отросток и твердое нёбо деформируются, существует высокая вероятность распространения опухоли в носовую полость и глазницу.
Осложнения
Течение заболевания может быть осложнено воспалительными процессами - нередко в полости рта обнаруживаются свищи с серозно-гнойными выделениями. При неблагоприятном развитии или длительном некорректном лечении возможно озлокачествление опухоли, это происходит примерно в 4% случаев.
Диагностика
Амелобластома диагностируется челюстно-лицевым хирургом на основании анамнеза, клинических проявлений и данных, полученных в ходе обследования: рентгенографии, компьютерной томографии, цитологического исследования и т. д.:
- Рентген. Большое значение в диагностике имеет рентгенографическое исследование: ортопантомография, осевая (аксиальная) рентгенография, снимок в боковой проекции и рентгенография альвеолярного отростка «в прикусе» при необходимости. Рентгенограммы пораженной области в различных проекциях позволяют достаточно точно определить степень и размеры образования, структуру очага, границы опухоли, состояние кортикальной пластинки и др.
- Цитология. Самым информативным для точной диагностики амелобластомы является цитологическое исследование пунктата образования. При анализе обнаруживаются жирно-зернистые клетки, форменные элементы крови, клетки плоского эпителия, волокнистый фибрин, звездчатые клетки и кристаллы холестерина. Это исследование позволяет точно подтвердить наличие доброкачественной опухоли.
Амелобластома дифференцируется от дентальных кист воспалительной этиологии, цистаденоидной карциномы слюнной железы и плоскоклеточного рака.
Лечение заболевания заключается в хирургическом удалении пораженного опухолью участка челюсти в пределах здоровых тканей. Объем резекции костной ткани зависит от размеров, локализации и запущенности патологии.
В настоящее время редко встречаются случаи, когда амелобластома достигает больших размеров, чаще всего ее обнаруживают на ранних стадиях. При ранней диагностике опухоли современные хирургические методы позволяют удалить ее без резекции или частичной экзартикуляции челюсти. Такие операции не нарушают непрерывность челюсти, нередко позволяют сохранить ее функции и избежать обезображивания лица пациента. Для предотвращения развития рецидива заболевания, стенки послеоперационной полости обрабатывают концентрированным раствором фенола, чтобы эпителиальные элементы амелобластомы подверглись некрозу.
В случае значительного развития опухоли, производится резекция челюсти или ее частичная экзартикуляция (с нарушением непрерывности). При амелобластоме, осложненной нагноением, проводится одновременная хирургическая ликвидация воспалительного процесса и удаление опухоли. Перед хирургическим вмешательством обязательно производится санация полости рта. Сама операция осуществляется под общим или местным наркозом.
Послеоперационное комплексное лечение всегда включает в себя антибактериальную, симптоматическую и корригирующую терапию. Рацион после удаления опухоли не должен содержать грубых и твердых продуктов, после принятия пищи обязательно нужно промывать послеоперационную полость. В случае утраты пациентом значительного объема костной ткани для восстановления функции челюсти применяют костную пластику и изготавливают ортопедические конструкции. Кроме того, при обезображивании лица вследствие операции большое значение имеет социальный аспект реабилитации пациента, в которой может принимать участие психолог.
Прогноз и профилактика
Огромное значение для успешного лечение амелобластомы с наименьшими последствиями имеет ранняя диагностика заболевания. В случае своевременного обнаружения и правильного хирургического лечения амелобластомы прогноз обнадеживающий. Для того, чтобы избежать тяжелых последствий и невосполнимых потерь костной ткани, необходимо при первых подозрительных симптомах получить консультацию стоматолога и пройти обследование. Кроме того, для обеспечения ранней диагностики амелобластомы рекомендуется регулярно (1 раз в полгода) посещать врача для проведения профилактического осмотра.
1. Особенности морфологического строения, диагностики, клинического течения и лечения амелобластом челюстей/ Тимофеев А. А., Ушко Н.А.// Современная стоматология. - 2017.
2. Амелобластическая карцинома нижней челюсти (клинический случай)/ Давудов М.М., Рагимов Ч.Р. и др.// Опухоли головы и шеи. - 2018.
3. К вопросу об особенностях хирургического лечения различных гистологических вариантов амелобластомы/ Цимбалист Н.С., Рыбальская В.Ф. и др./ Медицинский совет. - 2017.
Опухоли челюстей
Опухоли челюстей - новообразования челюстных костей, исходящие непосредственно из костной ткани или структур одонтогенного аппарата. Опухоли челюстей могут проявлять себя клинически болевым синдромом, деформацией кости, асимметрией лица, смещением и подвижностью зубов, нарушением функции ВНЧС и глотания, нередко - прорастанием в полость носа, верхнечелюстную пазуху, орбиту и т. д. Диагностика опухолей челюстей предполагает рентгенологическое обследование, КТ, сцинтиграфию; при необходимости консультации окулиста, отоларинголога, риноскопию. Лечение доброкачественных опухолей челюстей - только хирургическое (выскабливание, резекция фрагмента челюсти, удаление зубов); злокачественных – комбинированное (лучевая терапия и операция).

Опухоли челюстей - остеогенные и неостеогенные, доброкачественные и злокачественные новообразования челюстных костей. На долю опухолей челюстно-лицевой области приходится около 15% всех заболеваний в стоматологии. Опухоли челюстей могут возникать в любом возрасте, в т. ч. довольно часто они встречаются у детей. Опухоли челюстей разнообразны по своему гистогенезу и могут развиваться из костной и соединительной ткани, костного мозга, тканей зубного зачатка, околочелюстных мягких тканей.
По мере своего роста опухоли челюстей вызывают значительные функциональные нарушения и эстетические дефекты. Лечение опухолей челюстей представляет собой технически непростую задачу, требующую объединения усилий специалистов в области челюстно-лицевой хирургии, отоларингологии, офтальмологии, нейрохирургии.
Причины
Вопрос о причинности возникновения опухолей челюстей находится в процессе изучения. На сегодняшний день доказана связь опухолевого процесса со следующими состояниями:
- одномоментной или хронической травмой (ушибом челюсти, повреждением слизистой оболочки полости рта разрушенными кариесом зубами, зубным камнем, краями пломб, некорректно подогнанными коронками и протезами и пр.)
- длительно текущими воспалительными процессами (хроническим периодонтитом, остеомиелитом челюсти, актиномикозом, синуситами и т. д.)
- не исключается вероятность развития опухолей челюсти на фоне инородных тел верхнечелюстной пазухи: пломбировочного материала, корней зубов и пр.
- воздействием неблагоприятных физических и химических факторов (ионизирующего излучения, радиойодтерапии, курения и пр.).
Вторичные злокачественные опухоли челюстей могут являться метастазами рака молочной железы, предстательной железы, щитовидной железы, почки, результатом местного распространения рака языка и др. Рак челюсти может развиваться на фоне предраковых процессов – лейкоплакии полости рта, доброкачественных опухолей полости рта (папиллом), лейкокератоза и т. п.
Среди опухолей челюстей различают одонтогенные (органоспецифические) новообразования, связанные с зубообразующими тканями, и неодонтогенные (органонеспецифические), связанные с костью. Одонтогенные опухоли челюстей, в свою очередь, могут быть доброкачественными и злокачественными; эпителиальными, мезенхимальными и смешанными (эпителиально-мезенхимальными).
- Доброкачественные одонтогенные опухоли челюстей представлены амелобластомой, обызвествленной (кальцифицирующейся) эпителиальной одонтогенной опухолью, дентиномой, аденоамелобластомой, амелобластической фибромой, одонтомой, одонтогенной фибромой, миксомой, цементомой, меланоамелобластомой и др.
- Злокачественные одонтогенные опухоли челюстей включают одонтогенный рак и одонтогенную саркому. К остеогенным опухолям челюстей относятся костеобразующие (остеомы, остеобластомы), хрящеобразующие (хондромы), соединительнотканные (фибромы), сосудистые (гемангиомы), костно-мозговые, гладкомышечные и др.
Симптомы опухолей челюстей
Доброкачественные одонтогенные опухоли челюстей
Амелобластома – наиболее частая одонтогенная опухоль челюстей, склонная к инвазивному, местно-деструирующему росту. Поражает преимущественно нижнюю челюсть в области ее тела, угла или ветви. Развивается внутрикостно, может прорастать в мягкие ткани дна полости рта и десны. Чаще проявляется в возрасте 20-40 лет.
В начальном периоде амелобластома протекает бессимптомно, однако по мере увеличения размеров опухоли возникает деформация челюсти, асимметрия лица. Зубы в области поражения часто становятся подвижными и смещаются, может отмечаться зубная боль. Опухоль верхней челюсти может прорастать в полость носа, гайморову пазуху, орбиту; деформировать твердое нёбо и альвеолярный отросток. Нередки случаи нагноения, рецидивирования и малигнизации амелобластомы. Клиническое течение таких опухолей челюсти, как амелобластическая фиброма и одонтоамелобластома, напоминает амелобластому.
Одонтома чаще возникает у детей в возрасте до 15 лет. Обычно опухоли имеют небольшие размеры, протекают бессимптомно, однако могут вызывать задержку прорезывания постоянных зубов, диастемы и тремы. Опухоли большой величины могут приводить к деформации челюсти, образованию свищей.
Одонтогенная фиброма развивается из соединительной ткани зубного зачатка; чаще возникает в детском возрасте. Рост опухоли медленный; локализация – на верхней или нижней челюсти. Одонтогенная фиброма обычно бессимптомна; в некоторых случаях могут отмечаться ноющие боли, ретенция зубов, воспалительные явления в области опухоли.
Цементома – доброкачественная опухоль челюсти, практически всегда спаянная с корнем зуба. Чаще развивается в области премоляров или моляров нижней челюсти. Протекает бессимптомно или с нерезко выраженной болезненностью при пальпации. Изредка встречается множественная гигантская цементома, которая может являться наследственным заболеванием.
Доброкачественные неодонтогенные опухоли челюстей
Остеома может иметь внутрикостный или поверхностный (экзофитный) рост. Опухоль может распространяться в верхнечелюстную пазуху, полость носа, глазницу; препятствовать припасовке зубных протезов. Остеомы нижнечелюстной локализации вызывают боль, асимметрию нижней части лица, нарушение подвижности челюсти; верхнечелюстной локализации – нарушения носового дыхания, экзофтальм, диплопию и другие нарушения.
Остеоид-остеома сопровождается интенсивным болевым синдромом, обостряющимся по ночам, во время приема пищи; асимметрией лица. При осмотре полости рта определяется выбухание кости (чаще в области премоляров и моляров нижней челюсти), гиперемия слизистой оболочки.
Остеобластокластома (гигантоклеточная опухоль челюсти) преимущественно встречается в молодом возрасте (до 20 лет). Развитие клинической картины характеризуется нарастанием боли в челюсти, асимметрии лица и подвижности зубов. Ткани над опухолью изъязвляются; образуются свищи; отмечается повышение температуры тела. Истончение кортикального слоя приводит к возникновению патологических переломов нижней челюсти.
Гемангиома челюсти сравнительно редко бывает изолированной и в большинстве случаев сочетается с гемангиомой мягких тканей лица и полости рта. Сосудистые опухоли челюстей проявляются повышенной кровоточивостью десен, кровотечениями из корневых каналов при лечении пульпита или периодонтита, из лунки при удалении зуба и пр. При осмотре может выявляться флюктуация, расшатанность зубов, синюшность слизистой оболочки.
Злокачественные опухоли челюстей
Злокачественные опухоли челюстей встречаются в 3-4 раза реже доброкачественных. При раке челюсти рано возникают боли, имеющие иррадиирующий характер, подвижность и выпадение зубов, возможны патологические переломы челюсти. Злокачественные опухоли челюстей разрушают костную ткань; прорастают околоушные и поднижнечелюстные железы, жевательные мышцы; метастазируют в шейные и поднижнечелюстные лимфоузлы.
Карцинома верхней челюсти может прорастать в глазницу, полость носа или решетчатый лабиринт. В этом случае отмечаются рецидивирующие носовые кровотечения, односторонний гнойный ринит, затруднение носового дыхания, головные боли, слезотечение, экзофтальм, диплопия, хемоз. При вовлечении ветвей тройничного нерва беспокоят оталгии.
Злокачественные опухоли нижней челюсти рано инфильтрируют мягкие ткани дна полости рта и щек, изъязвляются, кровоточат. Вследствие контрактур крыловидной и жевательной мышц затрудняется смыкание и размыкание зубов. Остеогенные саркомы отличаются стремительным ростом, быстро прогрессирующей инфильтрацией мягких тканей, асимметрией лица, нестерпимой болью, ранним метастазированием в легкие и другие органы.
В большинстве случаев опухоли челюстей диагностируются уже в поздних стадиях, что объясняется неспецифичностью симптоматики или бессимптомным течением, низкой онкологической настороженностью населения и специалистов (стоматологов, отоларингологов и др.). В выявлении опухолей челюстей могут помочь тщательный сбор анамнеза, визуальное и пальпаторное исследование мягких тканей лица и полости рта. Обязательным этапом диагностики является:
- Рентгенологическое обследование. Рентгенография и КТ челюстей, рентгенография и КТ придаточных пазух носа. Определенную диагностическую ценность может представлять сцинтиграфия, термография.
- Биопсия. При обнаружении увеличенных шейных или подчелюстных лимфоузлов выполняется пункционная биопсия лимфатического узла.
- Консультации смежных специалистов. При подозрении на злокачественную опухоль челюсти необходима консультация отоларинголога с проведением риноскопии и фарингоскопии; офтальмолога с комплексным офтальмологическим обследованием.
- Диагностические операции. В ряде случаев приходится прибегать к диагностической гайморотомии или диагностической пункции околоносовой пазухи с последующим цитологическим исследованием промывных вод. Окончательная гистологическая верификация осуществляется с помощью морфологического исследования биоптата.

Лечение опухолей челюстей
Лечение большей части доброкачественных опухолей челюстей – хирургическое. Наиболее оптимальным является удаление новообразования с резекцией челюстной кости в пределах здоровых границ; такой объем вмешательства позволяет предотвратить рецидивы и возможную малигнизацию опухоли. Зубы, прилегающие к опухоли, также часто подлежат экстракции. Возможно удаление некоторых доброкачественных опухолей челюстей, не склонных к рецидивированию, щадящим методом с помощью кюретажа.
При злокачественных опухолях челюстей используется комбинированный метод лечения: гамма-терапия с последующим хирургическим лечением (резекцией или экзартикуляцией челюсти, лимфаденэктомией, экзентерацией глазницы, операцией на околоносовых пазухах и пр.). В запущенных случаях назначается паллиативная лучевая терапия или химиотерапевтическое лечение.
В послеоперационном периоде, особенно после обширных резекций, больным может потребоваться ортопедическое лечение с помощью специальных шин, реконструктивные операции (костная пластика), длительная функциональная реабилитация для восстановления функций жевания, глотания, речи.
Прогноз
При своевременном и радикальном лечении доброкачественных одонтогенных и неодонтогенных опухолей челюстей прогноз для жизни хороший. В случае нерадикально выполненной операции или неправильной оценки характера опухоли есть вероятность рецидива или малигнизации. Течение злокачественных опухолей челюстей крайне неблагоприятное. При раке и саркоме челюсти пятилетняя выживаемость пациентов после комбинированного лечения составляет менее 20%.
Читайте также:
