Лучевые признаки легочной гипертензии
Добавил пользователь Евгений Кузнецов Обновлено: 13.12.2025
Согласно данным ВОЗ, легочная гипертензия занимает одно из первых мест среди самых опасных заболеваний сердечно-сосудистой системы. По количеству серьезных осложнений ей практически нет равных. Опасно и то, что в стадии компенсации эта болезнь может не проявляться никакими симптомами и давать о себе знать только по мере развития тяжелых форм. Поэтому необходимо не забывать о визитах к кардиологу и периодически проверять функциональность сердечно-сосудистой системы даже в том случае, даже если Вас ничего не беспокоит.
Для проведения комплексной диагностики, лечения сердца, сосудов и предотвращения развития осложнений специалисты Международного медицинского центра ОН КЛИНИК используют самые современные методики с доказанной эффективностью. Результат работы наших врачей – тысячи спасенных жизней и множество пациентов, которые после лечения смогли вернуться к активной жизни.
При подозрении на легочную гипертензию не медлите, сразу же обращайтесь к врачам-кардиологам ОН КЛИНИК, которые сразу же займутся восстановлением Вашего здоровья и сделают все, чтобы добиться успеха и вернуть Вам хорошее самочувствие.
Что такое легочная (артериальная) гипертензия?
Легочная гипертензия является патологическим состоянием, при котором давление в стволе легочной артерии в покое превышает 25 мм рт.ст. (нормальные показатели – 9-16 мм рт. ст.) Это заболевание может быть как самостоятельным (первичным), так и вторичным. Первичная форма легочной гипертензии – достаточно редкий недуг, который встречается с частотой до 1% от общего количества пациентов, страдающих этим заболеванием. Чаще всего артериальная гипертензия является осложнением, развившимся вследствие болезней сердца, сосудов и других органов и систем.
Различают четыре группы пациентов с нарушениями сердечно-легочного кровообращения.
- Первая группа – это пациенты, которые при наличии артериальной гипертензии могут быть физически активными без каких-либо неприятных симптомов со стороны сердечно-сосудистой системы.
- Вторая группа – это пациенты, чья физическая активность затруднена и приводит к одышке, головокружению и болям в грудной клетке. При этом в состоянии покоя дискомфорт отсутствует и сердце не беспокоит.
- Третья группа – пациенты, которые плохо переносят даже незначительную физическую нагрузку, включая медленную ходьбу.
- Четвертая группа пациентов, страдающих легочной гипертензией, ощущает значительную одышку, сильные боли в грудной клетке, вялость и слабость как при нагрузке, так и в состоянии покоя.
Отсутствие лечения при легочной гипертензии может привести к сердечной недостаточности и летальному исходу. Благополучный исход заболеваний напрямую зависит от своевременной диагностики и правильно подобранного медикаментозного лечения. Чем раньше Вы обратитесь к врачу, тем больше шансы, что болезнь удастся победить и продлить себе годы активной жизни!
Симптомы легочной гипертензии
Среди самых распространенных симптомов артериальной гипертензии:
- сильная одышка, которая усиливается при малейшей физической нагрузке;
- сжимающие боли за грудиной;
- потеря веса;
- повышенная усталость после физической активности, в том числе ходьбы;
- учащенное сердцебиение;
- головокружения;
- длительно не прекращающийся кашель.
Причины развития легочной гипертензии
К развитию артериальной гипертензии могут привести такие заболевания, как ишемическая болезнь сердца, миокардит, митральный стеноз, дефект межпредсердной перегородки, хронические обструктивные заболевания легких, цирроз печени и другие недуги, при наличии которых необходимо быть особенно внимательным к своему здоровью. По мнению специалистов, появление легочной гипертензии может спровоцировать даже бесконтрольный прием оральных контрацептивов и препаратов, которые подавляют аппетит.
Коллектив ОН КЛИНИК гордится тем, что оказывает услуги самого высокого качества, доступные всем пациентам. Квалификация наших специалистов, высокие международные стандарты лечения и доброжелательность персонала – вот то, что помогает нашим пациентам выздоравливать!

Перебои в работе сердца. Аритмия. Ответы на вопросы кардиолога ОН КЛИНИК
Диагностика легочной гипертензии
Для диагностики легочной гипертензии привлекаются кардиолог и пульмонолог. Пациенту с подозрением на легочную гипертензию назначают ЭКГ, эхокардиографию, компьютерную томографию, рентгенографию легких, спирометрию, оценку диффузионной способности легких и другие методы, позволяющие поставить правильный диагноз в самые краткие сроки. Тесты с ходьбой применяются для того, чтобы врач мог оценить переносимость пациентом физической нагрузки и определить функциональный класс легочной гипертензии.
У нас в центре без выходных работает собственная клинико-диагностическая лаборатория, поэтому результаты исследований (анализы мочи, крови) пациенты получают в день обращения.
Лечение легочной гипертензии в ОН КЛИНИК
Лечение артериальной гипертензии основано на приеме лекарственных препаратов, которые расслабляют гладкомышечный слой сосудов и снижают вязкость крови. Также могут потребоваться прием мочегонных препаратов и ингаляции кислорода для борьбы с тяжелой одышкой и гипоксией. Эффективность терапии легочной гипертензии зависит от готовности пациента следовать рекомендациям врачей, избегать самолечения и вести тот образ жизни, который будет способствовать нормальной работе сердца и сосудов.
Обратившись в ОН КЛИНИК с подозрением на легочную гипертензию или с уже поставленным диагнозом, Вы можете быть уверены – наши специалисты проведут подробное обследовании. На основе данных, полученных при диагностике, Вам предложат индивидуальную схему лечения, куда будут входить не только рекомендации по приему лекарственных препаратов, но и советы по составлению ежедневного меню и дозированной физической нагрузке.
Наши врачи пройдут бок о бок весь Ваш путь выздоровления и будут готовы помочь и поддержать Вас в любой момент. Звоните и записывайтесь к нам на прием в любое удобное Вам время!
Легочная гипертензия

Легочная гипертензия — заболевание сердечно-сосудистой системы, связанное с патологическим увеличением давления в легочной артерии и вызывающее развитие сердечной недостаточности. Давление повышается в связи с закрытием просвета средних и мелких сосудов в легких. Отмечается высокий процент летальных исходов при этом заболевании.
Легочный ствол — крупнейший сосуд малого круга кровообращения, связанный с правым желудочком сердца и отвечающий за транспортировку венозной крови к легким. Делится на две артерии: правую и левую, каждая из которых идет к одноименному легкому. Гипертензия приводит к правожелудочковой недостаточности (или симптомокомплексу «легочное сердце»).
Заболевание в 4 раза чаще встречается у женщин, наиболее уязвимая возрастная группа пациентов — 30-40 лет. Компенсированная легочная гипертензия развивается практически бессимптомно, что затрудняет своевременную диагностику.
Признаки легочной гипертензии
Болезнь протекает у пациентов по-разному. Степень выраженности симптомов легочной гипертензии зависит от стадии заболевания и особенностей каждого случая. К общим признакам легочной гипертензии относятся:
- Одышка (при физической нагрузке);
- Быстрая утомляемость и резистентность к физическим нагрузкам;
- Хронический непродуктивный кашель;
- Дискомфорт в груди;
- Обмороки с кратковременной потерей сознания и мышечной слабостью;
- Отек голеней и стоп;
- Расширение, пульсация шейных вен (признак ПЖ декомпенсации);
- Гепатоюгулярный рефлюкс (набухание шейных вен при надавливании на правое подреберье);
- Хрипы в легких, выявляемые при аускультации;
- Выявленные заболевания легких и сердца, такие как ХОБЛ, поражение левых отделов сердца, наличие интерстициального компонента;
- Перенесенная тромбоэмболия легочной артерии (ТЭЛА);
- Некоторые кожные проявления («сосудистые звездочки», изменение цвета покровов);
- Кашель с кровью (редко, на поздних стадиях заболевания).
При подозрении на ЛГ ранее проводилась катетеризация сердца с одномоментной манометрией. Гемодинамический признак легочной гипертензии — давление >25 мм рт.ст. в покое. Сейчас диагностируют легочную гипертензию преимущественно посредством ЭХО-КГ (УЗИ сердца).
Причины легочной гипертензии
Очертить ясный и узкий круг причин легочной гипертензии невозможно. Чтобы их установить, необходимо обследование. Причиной легочной гипертензии могут быть:
- Генетическая предрасположенность;
- Аутоиммунные заболевания (склеродермия, волчанка, ревматоидный артрит);
- Некоторые респираторные заболевания. ХОБЛ, эмфизема или фиброз (приводят к разрушению паренхимы и сокращению площади капилярного русла). Хроническая гипоксемия или воспаление, ставшее причиной дисфункции эндотелия сосудов.
- Тромбоз легочных вен и артерии;
- Первичные патологии сердечно-сосудистой системы: ишемическая болезнь сердца (ИБС), стеноз митрального клапана, миокардит;
- Ожирение;
- Отсутствие физической нагрузки.
К причинам легочной гипертензии, вернее к «спусковым механизмам» для ее развития также относятся:
- Цирроз печени;
- ВИЧ-инфекция;
- Употребление наркотиков;
- Прием препаратов для подавления аппетита;
- Прием оральных контрацептивов;
- Прием некоторых медикаментов.
Иногда причину легочной гипертензии установить так и не удается, в таком случае врачи ставят диагноз «идиопатическая легочная гипертензия».
Виды легочной гипертензии
У этого заболевания более десятка наименований. По этиологии легочную гипертензию классифицируют на первичную и вторичную.
Первичная гипертензия возникает сама по себе, например, как наследственное заболевание (порок развития) или по неустановленным причинам, когда отсутствуют видимые нарушения в других органах и системах (первичная идиопатическая легочная гипертензия). Вторичная возникает на фоне других заболеваний, как их осложнение.
В зависимости от локализации и патогенеза легочная гипертензия может быть:
- артериальной;
- венозной;
- гипоксической;
- тромбоэмболической;
- смешанной.
Легочную гипертензию также классифицируют в зависимости от стадии развития заболевания:
Легочная гипертензия 1 степени — ранняя стадия заболевания. Видимые симптомы отсутствуют, то есть физические нагрузки переносятся благоприятно, при этом на некоторых участках легочной артерии и сосудистого русла имеются признаки нарушения кровообращения.
Легочная гипертензия 2 степени — наблюдаются первые признаки резистентности к физическим нагрузкам. Во время привычных занятий спортом начинает беспокоить одышка, головокружение, слабость. В состоянии покоя дискомфорт отсутствует.
Легочная гипертензия 3 степени — небольшая физическая нагрузка причиняет серьезный дискомфорт, вызывает нехватку воздуха, синкопальное состояние.
Легочная гипертензия 4 степени — слабость и нехватка воздуха ощущаются даже в состоянии покоя, пациент не может вести привычную жизнь и находится в тяжелом состоянии.
Текст подготовил
Котов Максим Анатольевич, главный врач центра КТ «Ами», кандидат медицинских наук, доцент. Стаж 20 лет
Текст подготовил
Котов Максим Анатольевич, главный врач центра КТ «Ами», кандидат медицинских наук, доцент. Стаж 20 лет
- Котов М.А. Опыт применения компьютерной томографии в диагностике заболеваний органов дыхания у детей / Материалы X Невского радиологического Форума (НРФ-2018). – СПб., 2018, Лучевая диагностика и терапия. 2018. № 1 (9). — С. 149.
- Панов А.А. Пневмония: классификация, этиология, клиника, диагностика, лечение, 2020.
- Бова А.А. Пневмонии: этиология, патогенез, клиника, диагностика, 2016.
- Chl Hong, M.M Aung , K. Kanagasabai , C.A. Lim , S. Liang , K.S Tan. The association between oral health status and respiratory pathogen colonization with pneumonia risk in institutionalized adults, 2018.
- Yang-Pei Chang, Chih-Jen Yang, Kai-Fang Hu, A-Ching Chao, Yu-Han Chang, Kun-Pin Hsieh, Jui-Hsiu Tsai, Pei-Shan Ho, Shen-Yang Lim. Risk factors for pneumonia among patients with Parkinson's disease: a Taiwan nationwide population-based study, 2016.
- Клинические рекомендации по диагностике, лечению и профилактике тяжелой внебольничной пневмонии у взрослых. Министерство здравоохранения РФ, 2019.
Мы перезвоним, подберём удобное для записи время и ответим на вопросы.
Оператор обрабатывает входящие заявки с 8:00 до 22:00
Нажимая на кнопку, вы даете согласие на обработку персональных данных в соответствии с Федеральным законом от 27.07.2006 г. № 152-ФЗ «О персональных данных».
Если вы оставили ее с 8:00 до 22:00, мы перезвоним вам для уточнения деталей в течение 15 минут.
Легочная гипертензия
Развитие легочной гипертензии связано с постепенным закрытием просвета средних и мелких сосудов легких, в результате чего повышается давление в сосудах легких и страдает насосная функция правых камер сердца.
Основными жалобами больных с легочной гипертензией являются повышенная утомляемость, слабость, одышка при физической нагрузке, дискомфорт в левой половине грудной клетке, реже сжимающие боли за грудиной при физической нагрузке, обморочные состояния, а также клинические проявления недостаточности насосной функции правого сердца: отеки ног и жидкость в брюшной полости.
В зависимости от тяжести клинических проявлений выделяют 4 класса легочной гипертензии. К первому функциональному классу относятся больные, физическая активность которых страдает при высоких физических нагрузках. Ко второму классу легочной гипертензии относятся пациенты, которые в покое ощущают себя комфортно, но умеренная физическая нагрузка приводит к появлению одышки, слабости, болей в грудной клетке или головокружения. К третьему функциональному классу относятся больные с легочной гипертензией, у которых даже бытовые нагрузки могут вызывать появление вышеописанных жалоб. Больные с четвертым классом легочной гипертензии не способны выполнять никакой физической нагрузки, и даже в покое у них могут присутствовать слабость и одышка.
При появлении вышеперечисленных клинических симптомов пациент должен немедленно обратиться к врачу. Для того, чтобы представлять весь объем обследования, который потребуется для диагностики данного заболевания, прежде всего, необходимо остановиться на механизмах развития легочной гипертензии. Среди причин легочной гипертензии важное место занимает хроническая обструктивная болезнь легких и её наиболее частый вариант хронический бронхит, возникающий у 90% курящих.
Наряду с патологией легких, к развитию легочной гипертензии нередко приводят повторные тромбэмболии в легочные сосуды. Легочная гипертензия является наиболее частым осложнением поражения сердечной мышцы у больных ишемической болезнью сердца, воспалительными заболеваниями миокарда и пороками сердца. Кроме заболеваний левых камер сердца, повышенное давление в легочной артерии — основное осложнение и причина смерти больных с врожденными пороками сердца, которым отказано в хирургическом лечении. Однако легочная гипертензия может развиваться и у больных ранее прооперированных по поводу врожденных пороков сердца. Наряду с вышеперечисленными заболеваниями, легочная гипертензия часто встречается у больных с аутоиммунной патологией: системной красной волчанкой, системной склеродермией и ревматоидным артритом. Легочная гипертензия осложняет тяжелые заболевания печени с развитием цирроза. Кроме того, повышение давления в сосудах легких может возникать у пациентов с ВИЧ-инфекцией, гематологическими заболеваниями.
В случае, когда при обследовании не находят причины для развития легочной гипертензии, диагностируют идиопатическую легочную гипертензию. Данное название возникло от двух греческих слов: idios и pathos — «своеобразное страдание». Идиопатическая легочная гипертензия является самостоятельным заболеванием в отличие от вторичной легочной гипертензии, возникающей как осложнение различных болезней органов кровообращения и дыхания. Идиопатическая легочная гипертензия впервые была описана в 1901 году аргентинскими терапевтами.
По статистике наиболее подвержены развитию идиопатической легочной гипертензией молодые женщины, в возрасте от 20 до 40 лет. Заболевание мужчин встречается гораздо реже. В среднем идиопатическая легочная гипертензия регистрируется всего в 2 случаях на миллион населения. Причины возникновения данного заболевания неизвестны. В последние годы изучению этого вопроса уделяется значительное внимание. Среди факторов риска развития идиопатической легочной гипертензии называют препараты для лечения ожирения, амфетамины, кокаин, триптофан, гормональные контрацептивы, курение и даже беременность. Высказывается мнение о роли генетических факторов развитии данного заболевания. Однако точного ответа о причине возникновения идиопатической легочной гипертензии пока не получено.
Диагноз легочной гипертензии
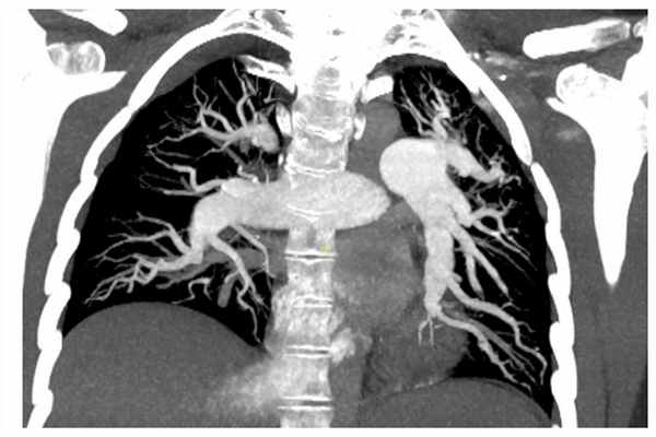
Диагноз ставится в том случае, если среднее давление в легочной артерии оказывается более 25 мм ртутного столба в покое при катетеризации правых камер сердца и манометрии. Основным неинвазивным методом диагностики легочной гипертензии является эхокардиография. Для диагностики легочной гипертензии, связанной с патологией легких, пациенту дополнительно необходимо выполнить бодиплетизмографию или, в крайнем случае, спирографию. Многоспиральная компьютерная томография легких в сосудистом режиме является обязательным исследованием, позволяющим не только подтвердить наличие легочной гипертензии, но и установить её причину: тромбэмболическая болезнь или патология легких. И только в случае малой информативности компьютерной томографии легких оправдано проведение ангиопульмонографии. Обязательным методом диагностики легочной гипертензии является такой инвазивный метод как катетеризация правых камер сердца, которая выполняется только в специализированных центрах, занимающихся лечением больных с легочной гипертензией.
Лечение больных с легочной гипертензией
Лечение больных с легочной гипертензией — одна из труднейших задач, стоящих перед кардиологом и врачем-терапевтом. Поэтому во всем мире создаются специализированные центры по лечению данной патологии. В Санкт-Петербурге такой центр существует в отделе некоронарогенных заболеваний сердца на базе Национального медицинского исследовательского центра имени В. А. Алмазова. В нашем центре накоплен богатый опыт не только диагностики, но и современного эффективного лечения легочной гипертензии. Сегодня в арсенале врачей появились новые группы препаратов, ранее не используемые в лечении данной патологии. Среди этих препаратов антагонисты эндотелиновых рецепторов, ингибиторы фосфодиэстеразы 5 типа и синтетические аналоги простациклина, которые не только улучшают качество жизни пациентов, но и существенно увеличивают её продолжительность. Однако среди больных и даже врачей существует ошибочное представление о том, что единственным методом лечения легочной гипертензии является трансплантация легких. Итоги 10-летней работы центров, занимающихся пересадкой органов, показали, что результаты трансплантации легких у больных с идиопатической легочной гипертензией хуже, чем у пациентов с патологией легких. Так выживаемость больных с идиопатической легочной гипертензией в течение 1 года после трансплантации составляет 70% и 50-60% в течение 3 лет. Поэтому трансплантацию легких у больных с легочной гипертензией следует рассматривать в качестве альтернативного метода лечения в случае низкой эффективности медикаментозной терапии. В последние годы в лечении больных с тромбозами и тромбэмболиями легочной артерии активно используется метод хирургического удаления тромба. Однако отдаленные результаты этого метода зависят от выраженности легочной гипертензии на момент проведения операции. Поэтому медикаментозное лечение с использованием всего арсенала лекарственных средств может использоваться в качестве «мостика» при подготовке больных к операции.
Вторичная и первичная легочная гипертензия
Легочная артериальная гипертензия развивается постепенно, на начальных стадиях заболевания понемногу ухудшается кровообращение в легких. Постепенно накапливается утомляемость, затрудняется сердечная деятельность. В дальнейшем происходит патологическое изменение кровеносных сосудов в легких. Все меньше кислорода доходит до альвеол легких, вызывая сердечную недостаточность. В конечном итоге это приводит к смерти человека.

Виды гипертонии легочной артерии
Это коварное и сложное патологическое состояние неизлечимо. Чаще всего диагностируется у женщин от 30 до 50 лет. Выделяют два вида заболевания:
Первичная легочная гипертензия встречается не часто, это наследственное заболевание невыясненной этиологии. Передается от родителей к детям, иногда через одно или два поколения. Патологическое состояние быстро прогрессирует, без надлежащего лечения приводит к инвалидности и смерти пациента.
Вторичная гипертензия возникает как осложнение заболеваний соединительной ткани, ВИЧ-инфекций, врожденных сердечных пороков. Проявляется после тромбоэмболии легочной артерии, ограниченной функции левого желудочка. Существует классификация патологического состояния:
- без нарушения уровня физической нагрузки;
- с незначительными проблемами при любой активности;
- затруднена физическая нагрузка;
- характерные признаки нарушения присутствуют даже в состоянии покоя.
Основные симптомы заболевания
На начальных этапах болезнь протекает бессимптомно. Первые видимые признаки проявляются, если артериальное давление в сосудах превышает показатели в два раза по сравнению с общепринятой нормой. С развитием легочной гипертензии симптомы усиливаются, появляются:
- нарушение частоты дыхания, недостаток воздуха;
- общая слабость;
- быстрая утомляемость;
- учащенный пульс;
- рефлекторный кашель;
- головокружение;
- кратковременные потери сознания;
- чувство сдавленности в загрудинном пространстве;
- избыточное скопление жидкости в голенях и стопах;
- болевые ощущения в области печени;
- охриплость в голосе.
Обусловлены такие проявления значительным сужением кровеносных сосудов. Изменяется их толщина стенок и форма, что приводит к отечности стенок и образованию сгустков крови.

Как поставить диагноз правильно
Установить верно первопричину плохого самочувствия и одышки достаточно сложно. Поможет в этом опытный врач-кардиолог, терапевт и пульмонолог. Важно своевременно поставить точный диагноз. Рекомендуется провести комплексные исследования, которые включают в себя:
- электрокардиографию;
- эхокардиографию;
- компьютерную томографию;
- рентгенографию;
- ангиопульмонографию;
- вентиляционно-перфузионную сцинтиграфию;
- магнитно-резонансную томографию;
- катетеризацию отделов сердца с правой стороны и легочной артерии.
Клинические исследования состоят из общего и биохимического анализа крови, определяется уровень гормонов щитовидной железы, делается тест на ВИЧ, коагулограмма.
Легочная гипертензия: лечение и профилактика
Основное лечение сконцентрировано на устранение первопричины, необходимо снизить артериальное давление в сосудах и предотвратить тромбообразования. Занимается терапией квалифицированный специалист. Медикаментозное лечение включает в себя антикоагулянты, диуретики, сердечные гликозиды, вазодилататоры, кислородотерапию.
В сложных случаях проводится трансплантация сердца и легких. Это хирургическое вмешательство выполняется при наличии донорских органов в оснащенных всем необходимым медицинских центрах. При подтвержденной легочной гипертензии, кроме терапевтического лечения, важно вести здоровый образ жизни, отказаться от вредных привычек, избегать больших нагрузок на сердце.
Легочная гипертензия
Легочная гипертензия (ЛГ) — угрожающее жизни состояние, при котором повышается давление в легочных артериях за счет их сужения на почве разных патологий. Если в норме оно составляет от 9 до 16 мм рт. ст., то при гипертензии повышается до 25 в покое и 50 при нагрузках.
Что такое легочная гипертензия?
При легочной гипертензии начинают разрастаться эндотелиальные и гладкомышечные клетки, что ведет к утолщению сосудистых стенок и потере их эластичности.
Кровяное русло механически сужается, что нарушает питание тканей и ведет к гипоксии. С патологией чаще сталкиваются женщины.
Различают первичную (самостоятельное заболевание) и вторичную (осложненный вариант болезней сердца и легких) легочную гипертензию. Также патология подразделяется на острую и хроническую.
Острая форма возникает в результате перенесенного инфаркта, гипертонического криза, тромбэмболии легочной артерии и т. д. Хроническая — развивается на фоне гипертензии и обструктивных легочных заболеваний.
Специалисты выделяют четыре степени тяжести патологии:

- Симптомов нет, пациент не предъявляет жалоб. При умеренной двигательной активности у него нет одышки, болей и слабости.
- При небольшом увеличении привычной физической активности признаков также нет, но при усилении нагрузок они появляются: временная усталость и легкое головокружение.
- Даже незначительная нагрузка вызывает болевые ощущения, головокружение и одышку. Сатурация снижена до 60 %. На данном этапе уже нужно срочное лечение.
- Все признакит присутствуют даже в покое. Сатурация ниже 50 %.
Причины возникновения
Точные причины не установлены. Первичная легочная гипертензия выявляется редко. Предполагается, что ее возникновению способствуют аутоиммунные заболевания (СКВ, склеродермия, ревматоидный артрит). В развитии вторичной ЛГ играют роль пороки сердца, сосудов и легких, ИБС, миокардит, цирроз печени, ВИЧ.
Симптомы и признаки
Начальные симптомы появляются при повышении давления в легочной артерии в 2 и более раза по сравнению с нормой: необъяснимая одышка, похудание, постоянное чувство усталости, сердцебиение, кашель, охриплость голоса. Дополнительные проявления: частое головокружение и обморочные состояния, аритмии, инсульты.
На последних стадиях появляются кровохарканье, загрудинная боль, отеки ног, боли в области печени. Изменяются пальцы больного: цианоз и деформация дистальных фаланг в форме «барабанных палочек», а ногтей — в виде «часовых стеклышек».
Методы диагностики
Диагностика легочной гипертензии проводится совместно кардиологом и пульмонологом:
- ЭКГ — выявляет гипертрофию правых отделов сердца.
- ЭхоКГ — позволяет измерить кровяное давление и скорость кровотока в легочной артерии. —показывает увеличенные легочные артерии, а также сопутствующие заболевания сердца и легких.
- Рентген грудной клетки — определяет увеличение правых отделов сердца, выбухание главного ствола легочной артерии, расширение ее главных ветвей и сужение мелких.
- Катетеризация легочной артерии и правых отделов сердца — самый достоверный метод диагностики, который позволяет определить кровяное давление в легочной артерии.
Какой врач лечит?
Лечением занимается пульмонолог и кардиолог. Все эти специалисты работают в нашей клинике. Здесь высокое качество совмещается с индивидуальным подходом и доступными ценами. Доброжелательное отношение персонала не осавит равнодушным ни одного пациента.
Методы лечения
Основные цели лечения — устранение причин заболевания, снижение давления в легочной артерии и предотвращение развития тромбов. Для этого применяются:
- Вазодилататоры — расслабляют гладкомышечный слой сосудов.
- Дезагреганты и антикоагулянты непрямого действия — снижают вязкость крови.
- Ингаляции кислорода — при одышке и гипоксии не менее 16 часов в день.
- Мочегонные препараты — при наличии сердечных отеков.
- Трансплантация сердца и легких — применяют только в крайне тяжелых случаях.
- Легочная эндартерэктомия — хирургическое удаление пробок, закупоривающих легочные сосуды. Возможна установка баллонного катетера.
- Септостомия предсердий — создание отверстия в межпредсердной перегородке для сброса крови, что снижает давление в правых отделах сердца.
Реабилитация и восстановление образа жизни
Программа реабилитации начинается еще во время лечения в стационаре. Больные занимаются ЛФК и дыхательной гимнастикой, которую продолжают и дома.
Образ жизни при легочной гипертензии
Чтобы снизить риск развития гипертензивного синдрома, необходимо отказаться от вредных привычек, исключить психоэмоциональные нагрузки, лечить хронические заболевания сердца, сосудов и легких. Пациентам рекомендуется регулярно заниматься спортом легкой интенсивности (ходить пешком, плавать, заниматься йогой), лечить сопутствующие патологии. Также необходимо встать на учет к кардиологу и пульмонологу, регулярно проходить у них обследования.
Читайте также:
