Лучевые признаки пневмоцистной пневмонии
Добавил пользователь Евгений Кузнецов Обновлено: 27.01.2026
Представлена микробиологическая характеристика возбудителя пневмоцистой пневмонии, клиника и возможные методы диагностики. Уделяется внимание вопросам этиотропной терапии. Описаны критерии прогноза выживаемости от пневмоцистной пневмонии.
Список литературы:
1. Аналитический обзор эпидемии ВИЧ-инфекции в Сибирском федеральном округе в 2014 г. / Г. А. Калачева, А. Т. Тюменцев, Е. С. Довгополюк [и др.]. – Омск : ООО Издательский центр «Омский научный вестник», 2015. – 31 с.
2. Аравийский, Р. А. К вопросу о диагностике пневмоцистной пневмонии (применение реакции Бауэра для индикации Pneumocystis carinii в патологическом материале) / Р. А. Аравийский, Л. А. Семенова // Лаб. дело. – 1991. – № 6. – С. 44–46.
3. Байтугаева, С. А. Туберкулез как СПИД- ассоциированное заболевание у ВИЧ-инфицированных в Омской области / С. А. Байтугаева, А. Д. Сафонов, Н. И. Коваленко [и др.] // Омский научный вестник. – 2005. – Т. 4, № 33. – С. 16–18.
4. Баранов, А. А. Социальные и организационные проблемы педиатрии : избр. очерки / А. А. Баранов, В. Ю. Альбицкий. – Медицина, 2003. – 512 с.
5. Баянова, Т. А. Анализ вторичной заболеваемости и смертности ВИЧ-инфицированных больных, поступивших для стационарного лечения в инфекционную больницу (по материалам Иркутской области) / Т. А. Баянова, В. А. Борисова, А. Д. Ботвинкин // Сибирский медицинский журнал. – 2007. – № 6. –С. 69–73.
6. Боровицкий, В. С. Пневмоцистная пневмония. Этиология, патогенез, клиника, дифференциальная диагностика, лечение (лекция) / В. С. Боровицкий // Проблемы медицинской микологии. – 2012. – Т. 14, № 1. – С. 13–20.
7. Бочкова, Л. Г. Клинические особенности пневмоцистной пневмонии у новорожденных детей / Л. Г. Бочкова, А. С. Эйберман, Т. А. Гасанова // Саратовский научно-медицинский журнал. – 2012. – Т. 8, № 4. – С. 962–965.
8. Бурданова, Т. М. Особенности течения туберкулеза и пневмоцистной пневмонии при поздних стадиях ВИЧ-инфекции / Т. М. Бурданова, Л. С. Орлова, М. В. Лемешевская [и др.] // Бюллетень ВСНЦ СО РАМН. – 2011. – Т. 78, № 2. – С. 243–244.
9. Васильева, Т. Е. Легочная патология у больных ВИЧ-инфекцией / Т. Е. Васильева, Н. Г. Литвинова, В. И. Шахгильдян [и др.] // Терапевтический архив. –2007. – Т. 79, № 11. – С. 31–35.
10. Виноградова, Т. Н. ВИЧ-инфекция в Санкт-Петербурге / Т. Н. Виноградова, А. Г. Рахманова, О. Н. Леонова, В. В. Рассохин // Казанский медицинский журнал. – 2011. – Т. 92, № 2. – С. 269–272.
11. Волкова, Г. В. Летальные случаи у ВИЧ-инфицированных женщин, родивших детей / Г. В. Волкова, Е. Б. Ястребова // СПИД, секс, здоровье. – 2009. – № 2. – С. 16–18.
12. Ермак, Т. Н. Вторичные заболевания у больных ВИЧ- инфекцией в России / Т. Н. Ермак, А. В. Кравченко, О. Г. Юдин // Эпидемиология и инфекционные болезни. – 1998. – № 5. – С. 32–35.
13. Ермак, Т. Н. Лечение пневмоцистной пневмонии при ВИЧ-инфекции / Т. Н. Ермак // Фарматека. – 2003. – № 3. – С. 7–21.
14. Ермак, Т. Н. Оппортунистические (вторичные) заболевания у больных ВИЧ-инфекцией в Российской Федерации: структура, клиническая диагностика, лечение. Часть 1. Туберкулез и пневмоцистная пневмония / Т. Н. Ермак // Фарматека. – 2010. – Т. 198, № 4. – С. 52–56.
15. Ермак, Т. Н. Пневмоцистная пневмония в сочетании с туберкулезом как первые клинические проявления на поздних стадиях ВИЧ-инфекции / Т. Н. Ермак, Н. Г. Литвинова, Э. Р. Самитова [и др.] // Терапевтический архив. – 2005. – № 11. – С. 21–23.
16. Ермак, Т. Н. Причины летальных исходов больных ВИЧ-инфекцией в России: ситуация в последние годы / Т. Н. Ермак, A. B. Кравченко, H. H. Ладная, В. И. Шахгильдян // Инфекционные болезни. – 2009. – № 7. – С. 65–66.
17. Ерохин, В. В. Клеточная биология легких в норме и патологии / В. В. Ерохин, Л. К. Романова. – М. : Медицина, 2000. – 496 с.
18. Зюзя, Ю. Р. Морфологические особенности пневмоцистной пневмонии при ВИЧ-инфекции / Ю. Р. Зюзя, Ю. Г. Пархоменко, В. Н. Зимина, О. А. Тишкевич // Пульмонология. – 2012. – № 5. – С. 56–61.
19. Зюзя, Ю. Р. Сочетанные ВИЧ-ассоциированные инфекции легких – особенности морфологической верификации и дифференциальной диагностики / Ю. Р. Зюзя, Ю. Г. Пархоменко, В. Н. Зимина, Д. М. Флигиль // Клин. и экспер. морфол. – 2012. – № 1. – С. 21–26.
20. Каражас, Н. В. Пневмоцистная пневмония: клинические и микробиологические аспекты / Н. В. Каражас, А. В. Дехнич // Клиническая микробиология и антимикробная химиотерапия. – 1999. – № 1. – С. 12–14.
21. Каражас, Н. В. Пневмоцистоз. Современное состояние проблемы / Н. В. Каражас // Альманах клинической медицины. – 2010. – № 23. – С. 49–55.
22. Карев, В. Е. Случай летального исхода у ребенка с ВИЧ-инфекцией и пневмоцистной пневмонией / В. Е. Карев, Н. В. Скрипченко, А. В. Вахнина // Журнал инфектологии. – 2013. – Т. 5, № 2. – С. 103–108.
23. Климко, Н. Н. Фармакоэпидемиологический анализ использования противогрибковых средств в многопрофильном стационаре / Н. Н. Климко, А. С. Колбин, И. В. Карабельская // Клиническая микробиология и антимикробная химиотерапия. – 2008. – № 4. – С. 355–361.
24. Коротяев, А. И. Медицинская микробиология, иммунология и вирусология / А. И. Коротяев, С. А. Бабичев. – СПб. : СпецЛит, 2008. – 767 с.
25. Куделя, Л. М. Особенности течения пневмоцистной пневмонии у пациентов с ВИЧ-инфекцией / Л. М. Куделя, В. Г. Каширских, Ю. В. Балабанова // Медицина и образование в Сибири. – 2012. – № 1. – С. 15–20.
26. Лепеха, Л. Н. Пневмоцистоз легкого в эксперименте и клинике / Л. Н. Лепеха, Т. Г. Бархина, Ю. Г. Пархоменко // Арх. патологии. – 1998. – № 5. – С. 46–52.
27. Михайловский, А. М. Пневмоцистная пневмония у больных с сочетанной патологией туберкулеза и ВИЧ-инфекцией по данным патоморфологических исследований / А. М. Михайловский, С. А. Чуркин // Вестник современной клинической медицины. – 2015. – Т. 8, № 2. – С. 28–32.
28. Мордык, А. В. Опыт применения противотуберкулезной и антиретровирусной терапии у больных туберкулезом с ВИЧ-инфекцией / А. В. Мордык, С. В. Ситникова, Л. В. Пузырева // Журнал инфектологии. – 2014. – Т. 6, № 3. – С. 51–55.
29. Мордык, А. В. Оценка проявлений ВИЧ-инфекции и результатов лечения пациентов от туберкулеза в специализированном стационаре / А. В. Мордык, С. В. Ситникова, Л. В. Пузырева [и др.] // ВИЧ- инфекция и иммуносупрессии. – 2015. – Т. 7, № 1. – С. 69–75.
30. Мордык, А. В. Туберкулез в сочетании с ВИЧ- инфекцией на территории Омской области за период с 2008 по 2012 гг. / А. В. Мордык, Л. В. Пузырева, С. В. Ситникова, О. Г. Иванова // ВИЧ-инфекция и иммуносупрессии. – 2014. – Т. 6, № 2. – С.106–110.
31. Насникова, И. Ю. Мультиспиральная компьютерная томография в диагностике поражения легких у больного терминальной стадией ВИЧ-инфекции / И. Ю. Насникова, С. П. Морозов, А. В. Девяткин [и др.] // Кремлевская медицина. – 2009. – № 4. –
С. 87–91.
32. Потехин, Н. П. СПИД-ассоциированная пневмоцистная пневмония / Н. П. Потехин, А. Ф. Шепеленко, М. Б. Миронов [и др.] // Воен.-мед. журн. – 2005. – № 10. – С. 42–48.
33. Самитова, Э. Р. Пневмоцистная пневмония у больных ВИЧ-инфекцией: особенности клиники, диагностики и лечения: автореф. дис. . канд. мед. наук / Самитова Э. Р. – М., 2011. – 21 с.
34. Самитова, Э. Р. Случай сочетания пневмоцистной пневмонии с диссеминированным туберкулезом легких у больного ВИЧ-инфекцией / Э. Р. Самитова, Т. Н. Ермак, Б. М. Груздев // Вестник РУДН, серия Медицина. – 2007. – № 1. – С. 81–83.
35. Сафонов, А. Д. Анализ эпидемиологических особенностей сочетанной формы туберкулеза и ВИЧ- инфекции на территориях, существенно отличающихся уровнем пораженности населения вирусом иммунодефицита человека / А. Д. Сафонов, И. Ф. Копылова, О. Н. Конончук [и др.] // Омский научный вестник. – 2006. – Т. 37, № 3, ч. III. – С. 228–234.
36. Тюрин, И. Е. Компьютерная томография органов грудной полости / И. Е. Тюрин. – СПб. : ЭЛБИ-СПб., 2003. – 371 с.
37. Ходош, Э. М. Симптом «матового стекла»: клинико-лучевая параллель / Э. М. Ходош, О. А. Ефремова, Д. А. Хорошун // Научные ведомости. – 2014. – Т.189, № 18. – С. 11–23.
38. Холкина, Ю. В. Неонатальная пневмоцистная пневмония / Ю. В. Холкина, М. А. Мартынова // Бюллетень медицинских интернет-конференций. – 2013. – Т. 3, № 3. – С. 720–722.
39. Шахгильдян, В. И. Молекулярная диагностика пневмоцистной пневмонии у ВИЧ-инфицированных больных с легочной патологией / В. И. Шахгильдян, О. Ю. Шипулина, Д. А. Куевда [и др.] // Эпидемиол. и инфекц. болезни. – 2008. – № 3. – С. 58–60.
40. Carmona, E. M. Update on the Diagnosis and Treatment of Pneumocystis Pneumonia / E. M. Carmona, A. H. Limper // Ther. Adv. Resp. Dis. – 2011. – Vol. 5, № 1. – P. 41–59.
41. Demirkazik, F. B. CT findings in immunocompromised patients with pulmonary infections / F. B. Demirkazik, A. Akin, O. Uzun [et al.] // Diagn. Interv. Radiol. – 2008. – Vol. 14, № 2. – P. 75–82.
42. Huang, L. HIV-associated Opportunistic Pneumonias / L. Huang, K. Crothers // Respirology. – 2009. – Vol. 14, № 4. – P. 474–485.
43. Morris, A. Current Epidemiology of Pneumocystis Pneumonia / A. Morris, J. D. Lundgren, H. Masur [et al.] // Emerg. Infect. Dis. – 2004. – Vol. 10, № 10. – P. 1713–1720.
44. Weverling, G. J. Discontinuation of Pneumocystis carinii prophylaxis after star of highly active antiretroviral therapy in HIV-1 infection / G. J. Weverling // Lancet. – 1999. – № 53. – P.1293–1298.
Ключевые слова: ВИЧ-инфекция, пневмоцистная пневмония, лечение
Учредители:
Ставропольская государственная медицинская академия
Государственный научно-исследовательский институт курортологии
Пятигорская государственная фармацевтическая академия
Пневмоцистная пневмония
Пневмоцистная пневмония – пневмония, которую вызывает дрожжеподобный гриб Pneumocystis jirovecii, чаще встречается у пациентов с синдромом приобретенного иммунного дефицита.
Диагностика
Рентгенография
Изменения при рентгенографии, хотя и выявляются в 90% случаев, являются неспецифичными. У 10-15% пациентов с пневмоцистной пневмонией не выявляется изменений, почти в 30% случаев имеются неспецифичные изменения [2-4, 6-7]. Признаки высокоспецифичные у пациентов с количеством CD4 ниже 200/мм3 включают [5]:
- небольшие пневматоцеле, субплевральные блеб
- нежный ретикулярный интерстициальный паттерн
- часто с перихиллярным распространением
Плевральный выпот не является характерным признаком, и встречается менее чем в 5% случаев [9].
Компьютерная томография
Высокоразрешающая компьютерная томография - более специфический метод, который может использоваться для для дифференциальной диагностики у пациентов с нормальными данными рентгенографии, но клинически подозрительных на пневмоцистную пневмонию [3]. Признаки включают [2-3,7]:
- считается основной находкой
- преобладает поражение в области ворот и средней зоне
- на фоне профилактического аэрозольного лечения, распространенность может преобладать в верхней, средней или нижней зоне
- может встречатся относительное щажение ранее пораженных отделов
- может встречатся щажение периферических отделов (~40%) [10]
- варьируют по форме размерам и толщине стенок
- встречаются в 30% случаев [7]
У пациентов получающих профилактическое лечение чаще встречаются не типичные проявления, которые включают [7]:
- : может встречаться чаще у ВИЧ негативных пациентов, как правило развивается более быстро, за счет повреждения легочной ткани в результате иммунного ответа.
- узелки (гранулемы)
- возможны кавитации
- маленькие узелки и дерево в почках не характерны для пациентов с пневмоцистной пневмонией на фоне ВИЧ и обычно указывают на наличие инфекционного бронхиолита вызванного иными микроорганизмами
Кистозная форма пневмоцистной пневмонии чаще встречается у пациентов получающих аэрозольное профилактическое лечение. Для данной формы характерны [7]:
- тонкостенные кисты: в большинстве случаев - пневматоцеле
- локализация в верхних долях
- могут иметь билатеральное распределение
- повышают риск пневмоторакса
Дифференциальный диагноз
Дифференциальный диагноз при ВРКТ рассматривается с позиции ВИЧ статуса и количества CD4 лимфоцитов. У ВИЧ положительных пациентов дифференциальный диагноз включает:
- вирусный пневмонит: схож, но отсутствуют кисты
- ЦМВ пневмонит
Среди прочих причин, которые также встречаются у ВИЧ негативных пациентов, следует рассматривать:
Пневмоцистная пневмония
![Фото]()
Пневмоцистная пневмония возникает у людей с ослабленной иммунной системой. ВИЧ-инфицированные больные относятся к основной группе риска. Симптомами развития патологии являются лихорадка, общая слабость, сильный кашель с мокротой и дискомфорт в грудной клетке. У больного может значительно снизиться масса тела, и появиться одышка. Пневмония у людей с ВИЧ-инфекцией развивается в течение нескольких месяцев. При вялом протекании патологии кашель и одышка могут отсутствовать. Без соответствующего лечения пациентов во взрослом возрасте в 90 % случаев наступает летальный исход.
![Фото Пневмоцистная пневмония]()
Информацию из данного раздела нельзя использовать для самодиагностики и самолечения. В случае боли или иного обострения заболевания диагностические исследования должен назначать только лечащий врач. Для постановки диагноза и правильного назначения лечения следует обратиться к профильному специалисту.
![Онлайн-консультация врача в Московской клинике]()
Причины болезни
Дрожжеподобный гриб — возбудитель пневмоцистной пневмонии. Это одноклеточный микроорганизм. Его называют пневмоциста. Возбудитель проживает в легочной ткани и при иммунодефицитном состоянии провоцирует образование воспалительного процесса в легких. Пневмония чаще всего встречается у:
- людей с ВИЧ-инфекцией;
- детей младше года;
- больных, проходящих лучевую терапию.
Довольно часто воспаление легких образуется у пациентов преклонного возраста. К группе риска также относятся люди с заболеваниями крови. Пневмоцистная пневмония развивается у пациентов, которые находятся на лечении глюкокортикостероидами. Образованию воспалительного процесса в легких способствуют различные хронические патологии. Основными из них являются:
Возбудитель пневмонии передается воздушно-капельным путем. Заразиться можно от больного человека. Многие животные являются носителями пневмоцист, среди них крысы, мыши, кошки и собаки. Возможно также заражение ребенка от матери во время беременности. Инкубационный период патологии составляет около семи дней.
К какому врачу обратиться?
Сначала больному необходимо пройти осмотр у терапевта. Если доктор заподозрит развитие пневмонии, то он направит пациента к пульмонологу. В некоторых случаях необходима консультация опытного иммунолога. Пульмонолог должен собрать полный анамнез больного. Вопросы специалиста на приеме будут приблизительно следующие:
![]()
- Когда появились первые признаки патологии?
- Где именно вы ощущаете дискомфорт?
- У вас есть ВИЧ-инфекция?
- Вы болели туберкулезом?
- Какие у вас хронические недуги?
Лечение пневмоцистной пневмонии
- бактериостатические антибиотики;
- противолепрозные препараты;
- муколитики;
- отхаркивающие средства;
- противовоспалительные лекарства.
При терапии пневмоцистной пневмонии людям с ВИЧ-инфекцией необходимо принимать кортикостероиды. Они помогают замедлить протекание воспалительного процесса и значительно облегчить дыхание пациента. В особо сложных случаях больного подключают к аппарату искусственной вентиляции легких. Специалисты должны контролировать дыхательную активность пациента. Все больные обязаны:
- придерживаться сбалансированной диеты;
- соблюдать постельный режим;
- принимать иммуномодуляторы.
Лечение пневмоцистной пневмонии обычно занимает около двух недель. ВИЧ-инфицированные при правильно назначенной терапии избавляются от неприятных симптомов за двадцать дней. Употребление медицинских препаратов позволяет облегчить состояние больного уже через неделю. Опытные пульмонологи рекомендуют в целях профилактики:
- избегать контактов с зараженными пациентами;
- соблюдать гигиенические нормы;
- проводить дезинфекцию в очагах пневмоцистоза.
Больные, которые относятся к группе риска, должны употреблять специальные лекарственные средства. Своевременное обращение к высококвалифицированному специалисту позволяет избежать тяжелых последствий. Патология может привести к дыхательной недостаточности, которая довольно часто является причиной летального исхода.
Пневмоцистоз
Пневмоцистоз – широко распространенная оппортунистическая инфекция, вызываемая внеклеточным паразитическим дрожжеподобным грибом Pneumocystis jirovecii (старое название – Pneumocystis carinii, Pneumocystis carinii forma especialis Spanish hominis). P.jirovecii (carinii), обладает выраженным тропизмом к легочной ткани, поражая при этом пневмоциты первого и второго порядков. Цикл развития представлен двумя фазами: половой и бесполой. Различают три основные морфологические формы P.jirovecii (carinii): трофозоит, циста, спорозоит.
Инкубационный период заболевания составляет от 8–10 дней до 2–5 недель, в ряде случаев определить его невозможно, т.к. при иммунодефицитных состояниях оно развивается при реактивации латентной инфекции (человек может быть заражен еще в раннем детстве). Инфекция, вызванная Р.jirovecii, при дефиците гуморального и клеточного иммунитета характеризуется манифестным течением. Рецидивы пневмоцистной пневмонии отмечаются у 10% детей и взрослых с иммунодефицитами, при СПИДе – у 25–30% при отсутствии вторичной профилактики. Пневмоцистоз – ведущая опппортунистическая инфекция. Пневмоцистная пневмония является частым осложнением у больных гемобластозами (49,0%), реже у больных солидными опухолями (4,0%). Применение иммуносупрессивной терапии у реципиентов при трансплантации органов также может привести к развитию пневмоцитоза.
У здоровых людей пневмоцистоз – достаточно редкое заболевание. У детей раннего возраста болезнь протекает как классическая интерстициальная пневмония с четким соответствием стадиям патологического процесса. Пневмоцистоз у детей может протекать также под маской острого ларингита, обструктивного бронхита или бронхиолита. На фоне грубого нарушения клеточного иммунитета пневмоцистоз может проявляться не только поражением легких, но и надпочечников, щитовидной железы, печени, селезенки, ЖКТ, сердца, кожи, а также могут развиться отиты, мастоидиты и гаймориты пневмоцистной этиологии.
Патогномоничных симптомов при пневмоцистной пневмонии нет, но триада клинических симптомов – сухой кашель, субфебрильная температура и постепенно нарастающая одышка при физической нагрузке – характерна особенно при развитии болезни у ослабленных детей. У детей до года заболевание может протекать не только как интерстициальная пневмония, но и в виде ларингита, обструктивного бронхита или бронхиолита, у детей старше года – как астматический бронхит. При развитии отека легких возможен летальный исход заболевания в результате острой дыхательной недостаточности, связанной с резким нарушением вентиляции легких и газообмена. При длительном рецидивирующем течении (при неадекватной терапии) у больных с выраженным иммунодефицитным состоянием возможно развитие полостей в легких. Любые диагностические и лечебные манипуляции в разгар болезни (получение индуцированной мокроты, бронхоскопия, установка подключичного катетера и пр.) и даже изменение положения тела больного могут привести к спонтанному пневмотораксу. Никогда не бывает плеврита (за исключением сочетания пневмоцистоза с туберкулезным процессом). В большинстве случаев при пневмоцистозе рентгенологическая картина не имеет характерных особенностей и характеризуется как двустороннее симметричное поражение интерстиция легких (описана как «завуалированные», «ватные» легкие»). Достаточно часто у больных ВИЧ-инфекцией при физикальном и рентгенологическом обследовании не выявляют никаких изменений, несмотря на прогрессирующую легочную недостаточность.
Показания к обследованию. Наличие выраженной легочной патологии у лиц следующих категорий:
- пациенты с иммунодефицитом различной природы;
- дети: недоношенные, ослабленные новорожденные, раннего возраста с гипогаммаглобулинемией, гипотрофией и рахитом;
- дети из домов ребенка;
- пожилые люди из домов престарелых;
- больные лейкозом, онкологические больные, реципиенты органов, получающие иммунодепрессанты;
- больные туберкулезом;
- больные ЦМВИ;
- больные ВИЧ-инфекцией на поздних стадиях болезни, имеющие признаки дыхательной недостаточности;
- больные, длительно получающие стероидную терапию;
- пациенты с лучевой болезнью.
Дифференциальная диагностика. В случае интерстециальных изменений в легких: туберкулез, микоплазменная инфекция, ЦМВИ, токсоплазмоз, гистоплазмоз, криптоспоридиоз (с поражением легких), фиброзирующий альвеолит.
Материал для исследования
- Мокрота, индуцированная мокрота, БАЛ, биоптаты легочной ткани, аспираты из трахеи, смывы и мазки из ротоглотки – микроскопические исследования, выявление ДНК, выявление АГ;
- сыворотка крови – определение АТ.
Этиологическая лабораторная диагностика включает визуальное выявление возбудителя при использовании микроскопии, обнаружение его АГ или ДНК, определение специфических АТ к P.jirovecii (carinii).
Сравнительная характеристика методов лабораторной диагностики, показания к применению различных лабораторных исследований и интерпретация их результатов. Наиболее часто используемым в рутинной лабораторной диагностике пневмоцистной пневмонии является микроскопическое исследование окрашенных мазков, мазков-отпечатков препаратов различного биологического материала: мокрота, индуцированная мокрота, БАЛ, биоптаты, у детей раннего возраста – аспираты из трахеи, смывы и мазки из ротоглотки. Выбор метода окрашивания и типа исследуемого биологического материала во многом влияет на достоверность результатов анализа.
При окрашивании соответствующих препаратов с целью выявления P.jirovecii (carinii) используют классические методы, подразделяемые на две группы. Первая группа методов позволяет дифференцировать внутреннюю структуру клетки без окрашивания оболочки (окраска по Романовскому, по Граму и др.). Такое окрашивание предназначено для проведения скринингового исследования, требующего дополнительной верификации. При использовании второй группы методов (импрегнация метенамин-серебряным нитратом по Гомори, окраска толуидиновым синим и др.) визуализируется клеточная стенка возбудителя без определения внутренней структуры. Наиболее универсальным способом окрашивания препаратов биологического материала, позволяющим выявлять все морфологические формы пневмоцист, является окраска по Романовскому–Гимзе.
Диагностическая чувствительность микроскопического исследования индуцированной мокроты составляет (в зависимости от способа окрашивания) 80–90%. К несомненным достоинствам процедуры получения образца относятся: отсутствие необходимости проведения инвазивных медицинских манипуляций, легкость выполнения и низкая себестоимость. Однако при выборе данного вида биологического материала следует учитывать, что эффективность выявления P.jirovecii (carinii) в индуцированной мокроте у больных, неинфицированных ВИЧ, значительнее ниже, чем у пациентов с ВИЧ–инфекцией. При отрицательном результате тестирования препаратов индуцированной мокроты рекомендуют исследование БАЛ, диагностическая чувствительность возрастает при исследовании двустороннего БАЛ по сравнению с односторонним. Комплексное исследование трансбронхиального биоптата и БАЛ позволяет обнаружить пневмоцисты практически в 100% случаев. При исследовании трансбронхиального биоптата (содержащего не менее 25 неповрежденных альвеол), полученного при проведении фибробронхоскопии, диагностическая чувствительность составляет 66–98%. У пациентов, которым противопоказано проведение трансбронхиальной биопсии при прогрессирующем течении заболевания, возможно получение исследуемого материала с помощью чрезкожной интраторакальной аспирации. Метод открытой биопсии легкого дает наилучшие (100%) результаты, но применяется в крайне редких случаях, когда невозможно установить диагноз другим способом.
Выявление АГ P.jirovecii (carinii) с использованием метода РИФ (РНИФ) проводят в мазках различного биологического материала: мокрота, индуцированная мокрота, БАЛ, биоптаты; у детей раннего возраста – аспираты из ротоглотки и трахеи, смывы и мазки из ротоглотки.
Диагностическая чувствительность выявления ДНК P.jirovecii (carinii) методом ПЦР при исследовании образцов индуцированной мокроты у пациентов с лабораторно подтвержденной пневмоцистной пневмонией составляет 100%. Однако обнаружение ДНК возбудителя в мокроте и даже в БАЛ не является однозначным доказательством болезни, а может свидетельствовать о носительстве. Наиболее перспективным при диагностике пневмоцистоза представляется определение концентрации ДНК P.jirovecii (carinii) в образцах мокроты, индуцированной мокроты, БАЛ, биоптатах, аспиратах из трахеи, смывах и мазках из ротоглотки.
Выявление специфических АТ IgG и IgM к P.jirovecii (carinii) в крови играет значительную роль в диагностике пневмоцистоза, особенно при эпидемиологических исследованиях, оценке течения латентной инфекции или невозможности проведения лабораторных исследований других видов биологического материала. Для определения АТ IgG и IgM к P.jirovecii (carinii) используют методы РНИФ и ИФА. Определение АТ необходимо проводить в динамике, для исследования отбирают образцы крови, взятые с интервалом 14 дней. У больных с иммунодефицитами определение АТ не информативно.
Особенности интерпретации результатов лабораторных исследований. Результаты лабораторных исследований должны быть сопоставлены с клиническими данными. При выраженных клинических проявлениях легочной патологии обнаружение P.jirovecii (carinii) ее АГ или ДНК в биологическом материале из респираторного тракта (БАЛ, мокрота, индуцированная мокрота, аспират трахеи, биоптаты легочной ткани) является лабораторным подтверждением диагноза “пневмоцистоз”.
Выявление 4-х кратного нарастания титра/уровня АТ IgG и/или выявление АТ IgM к Pneumocysti sjiroveci говорит об остром инфекционном процессе, вызванном этим возбудителем. Обнаружение только АТ IgG без увеличения уровня во втором образце указывает на наличие анамнестических АТ. Следует учитывать, что АТ IgG к АГ пневмоцисты среди здорового населения выявляют в 60–80%.
Пневмоцистная пневмония, мимикрирующая под COVID-19
![Обложка]()
Обоснование. Новая коронавирусная инфекция COVID-19, вызываемая зоонозным бетакоронавирусом SARS-CoV-2, во многом перевернула наши представления об участии иммунной системы в инфекционном процессе. Успешное применение антиинтерлейкиновых моноклональных антител и ингибиторов Янус-киназ при COVID-19, традиционно противопоказанных при инфекциях, свидетельствует о том, что иммунный ответ на возбудителя может быть опаснее самой инфекции. Однако, назначая иммуносупрессивную терапию пациентам с COVID-19, не следует забывать, что некоторые интерстициальные пневмонии, вызываемые оппортунистической микрофлорой, такой как Pneumocystis jirovecii, имеют сходные клинические и рентгенологические проявления.
Описание клинического случая. Пациентка Я., 29 лет, поступила в инфекционный стационар с жалобами на фебрильную лихорадку, одышку в покое, малопродуктивный кашель, выраженную слабость. Больна в течение 14 дней, на догоспитальном этапе выявлена РНК SARS-CoV-2. При поступлении выполнена компьютерная томография грудной клетки, выявившая субтотальное повреждение легких с характерными рентгенологическими проявлениями интерстициальной пневмонии в виде зон «матового стекла», наличия «воздушных ловушек», что первоначально было расценено как проявления двусторонней вирусной пневмонии (КТ3/4). Дальнейшее обследование, подтвердившее впервые выявленную ВИЧ-инфекцию и положительный анализ мокроты на P. jirovecii, позволило поставить правильный клинический диагноз пневмоцистной пневмонии на фоне ВИЧ-инфекции и легкого течения COVID-19, провести терапию ко-тримоксазолом и получить благоприятный исход.
Заключение. Данное наблюдение демонстрирует необходимость индивидуализированного подхода к каждому пациенту, поступающему в ковидный стационар, и проведения дифференциального диагноза даже при наличии лабораторно подтвержденного COVID-19, чтобы не пропустить другие интерстициальные пневмонии, в частности пневмоцистную пневмонию, возникающую на фоне иммунодефицита.
Ключевые слова
Полный текст
ОБОСНОВАНИЕ
В период пандемии COVID-19 при массовом поступлении пациентов в стационары, перепрофилированные для оказания помощи больным коронавирусной инфекцией, внимание врачей сосредоточено прежде всего на данном заболевании. Однако болезни, имеющие сходные клинические и рентгенологические проявления, не исчезли из популяции и могут мимикрировать под коронавирусную пневмонию. Это относится прежде всего к интерстициальным пневмониям, вызванным оппортунистическими возбудителями, чаще Pneumocystis jirovecii. Данный возбудитель является сапрофитным дрожжеподобным грибком, активирующимся только в условиях тяжелого T-клеточного иммунодефицита, чаще всего вследствие инфицирования вирусом иммунодефицита (ВИЧ). Если при поступлении в ковидный госпиталь анамнез ВИЧ-инфекции или другого иммунодефицитного состояния отсутствует, то рентгенологи и клиницисты по результатам клинико-рентгенологической картины первично расценивают пациента как больного c вероятным COVID-19.
КЛИНИЧЕСКИЙ ПРИМЕР
О пациенте
В качестве клинического примера можно привести историю пациентки Я., 29 лет, домохозяйки, не курящей (с ее слов), не имевшей профессиональных вредностей и хронических заболеваний. Женщина поступила в ФНКЦ ФМБА России (в период перепрофилирования для оказания медицинской помощи пациентам с COVID-19) с жалобами на повышение температуры до фебрильной (40°C), одышку 4-й степени по шкале mMRC (modified Medical Research Council) при минимальной физической нагрузке и в покое, малопродуктивный кашель со слизистой мокротой, выраженную общую слабость.
Из анамнеза известно, что пациентка больна 14 дней, с момента, когда отметила кратковременное повышение температуры до субфебрильных цифр, сухой кашель, астению. При амбулаторном обследовании методом полимеразной цепной реакции (ПЦР) выявлена РНК SARS-CoV-2; компьютерная томография (КТ) органов грудной клетки в тот период не выполнялась. Лечилась амбулаторно антибактериальными, симптоматическими препаратами с положительным клиническим эффектом: температура тела нормализовалась, кашель не беспокоил. Через 2 нед от начала симптомов заболевания отметила повышение температуры тела и появление нарастающей одышки, в связи с чем была доставлена в ФНКЦ с подозрением на коронавирусную инфекцию.
Диагностические процедуры
Состояние при поступлении расценивалось как тяжелое. При осмотре: кожные покровы бледные, повышенной влажности, чистые. При осмотре ротовой полости — орофарингеальный кандидоз. Частота дыхания 28/мин. Сатурация О2 на атмосферном воздухе 88%, на малопоточной кислородотерапии со скоростью потока 4 л/мин — 95%. Гемодинамические показатели стабильны.
Инструментальная и лабораторная диагностика
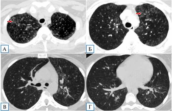
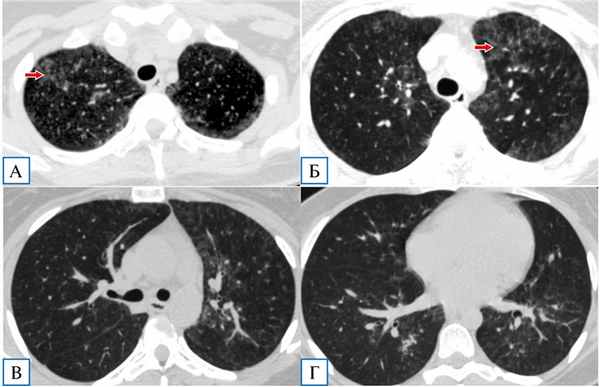
При компьютерной томографии органов грудной полости выявлены распространенные субтотальные зоны «матового стекла», в верхних отделах на фоне наиболее интенсивных зон — «воздушные ловушки»: первоначально КТ-картина расценена как проявления двусторонней вирусной пневмонии (КТ3/4) (рис. 1).
![]()
Рис. 1. Пациентка Я., 29 лет: компьютерная томография грудной клетки в день госпитализации
Примечание. Диффузные сливные зоны «матового стекла», почти равномерно распределенные как в верхних (А, Б), так и в нижних отделах легких (В, Г), на фоне которых визуализируются участки повышенной прозрачности — «воздушные ловушки» (показаны стрелками на А и Г).
По лабораторным данным в день поступления: в клиническом анализе крови: лейкоциты 14×10 9 /л, гемоглобин 112 г/л, тромбоциты 236,1×10 9 /л, лимфоциты 1,8% (в абсолютных значениях 0,25), скорость оседания эритроцитов по Вестергрену 110 мм/ч; биохимические показатели без существенных отклонений от нормы: ферритин 660,6 нг/мл; D-димер 0,45 (норма 0,02–0,5) мкг/мл, С-реактивный белок 96 мг/л, интерлейкин 6 (ИЛ6) 1316 пг/мл, прокальцитонин (колич.) 1,93 нг/мл; ПЦР-тест на РНК SARS-CoV-2 отрицательный.
Предварительный диагноз
С учетом анамнеза заболевания, клинико-рентгенологической картины и положительной ПЦР на РНК SARS-CoV-2 на амбулаторном этапе был установлен диагноз подтвержденного COVID-19, двусторонней полисегментарной вирусной пневмонии тяжелого течения, острой дыхательной недостаточности.
Лечение и исходы
В связи с прогрессирующим течением, выраженными лабораторными воспалительными изменениями, высоким уровнем ИЛ6, а также в соответствии с временными Методическими рекомендациями Минздрава России пациентке было проведено внутривенное введения моноклональных антител к рецепторам ИЛ6 сарилумаба в дозе 400 мг внутривенно капельно с быстрым клиническим эффектом в виде снижения температуры тела до субфебрильных цифр в течение 6 ч, улучшения общего самочувствия, но с сохранением дыхательной недостаточности.
При пересмотре КТ-данных заведующим отделением рентгенологии было высказано мнение, что в данном случае с учетом диффузного характера распределения «матового стекла» и наличия «воздушных ловушек» КТ- картина более всего соответствует пневмоцистной пневмонии, а не COVID-19. В этой связи, а также с учетом того, что из клинико-диагностической лаборатории к этому моменту поступил положительный результат анализа на антитела к ВИЧ и в дальнейшем ВИЧ-инфекция была подтверждена с помощью иммуноблота, пациентке назначено исследование методом ПЦР мокроты на P. jirovecii, давшее положительный результат.
Диагноз коронавирусной инфекции изменен на диагноз пневмоцистной пневмонии на фоне ВИЧ-инфекции, в связи с чем начата терапия ко-тримоксазолом (в дозе 1920 мг внутривенно капельно 4 раза в день), глюкокортикостероидами (метилпреднизолон по 250 мг внутривенно капельно в первые трое суток, далее перорально по 16–12 мг/сут), а также антикоагулянтная, дезинтоксикационная терапия. В течение первых 12 ч от начала терапии отмечалась дальнейшая положительная клиническая динамика в виде полной нормализации температуры тела, регресса дыхательной недостаточности (сатурация О2 на атмосферном воздухе составляла 97%), уменьшения кашля и астении. В дальнейшем отмечено улучшение лабораторных показателей: нормализация уровней лейкоцитов, С-реактивного белка (3,1 мг/л), ИЛ6, прокальцитонина, снижение лимфопении до 7,5% (0,67 в абсолютных значениях). Также была обнаружена положительная КТ-динамика в виде значительного регресса зон «матового стекла» (рис. 2). Пациентка была выписана с рекомендациями продолжения терапии ко-тримоксазолом и метилпреднизолоном перорально еще не менее 2 нед и обращения в СПИД-центр для дальнейшего обследования и назначения антиретровирусной терапии.
![]()
Рис. 2. Пациентка Я., 29 лет: контрольная компьютерная томография грудной клетки на 7-й день госпитализации
Примечание. Отмечается существенная положительная динамика: сохраняются отдельные фокусы «матового стекла» преимущественно в верхних долях (А, Б, показаны стрелками), в нижних долях минимальные интерстициальные изменения (В, Г). «Воздушные ловушки» не визуализируются.
ОБСУЖДЕНИЕ
Данное наблюдение демонстрирует необходимость индивидуализированного подхода к каждому пациенту, поступающему в ковидный стационар, сохранения настороженности к другим похожим заболеваниям и проведения дифференциального диагноза. Случай интересен тем, что у пациентки уже была подтверждена коронавирусная инфекция, а клинические, рентгенологические и лабораторные симптомы вполне соответствовали диагнозу COVID-19.
Клинически пневмоцистная пневмония проявляется обычно фебрильной лихорадкой и нарастающей дыхательной недостаточностью [1]. Коронавирус, поражая иммунную систему, при тяжелом течении также вызывает существенное снижение уровня лимфоцитов в крови, поэтому изменения в периферической крови также могут быть очень похожи на те, что выявляются при иммунодефицитном состоянии, на фоне которого развивается пневмоцистная пневмония. КТ-характеристики P. jirovecii-обусловленного поражения легких в целом неспецифичны и включают в себя фокусы или зоны «матового стекла» в начале заболевания, тяготеющие сначала к распределению в верхних отделах легких и захватывающие бóльшую часть паренхимы по мере прогрессирования заболевания. Возможно утолщение междольковых перегородок, создающее картину «булыжной мостовой», и появление «воздушных ловушек» [2]. Похожая картина может наблюдаться при COVID-19, экзогенном аллергическом альвеолите и десквамативной интерстициальной пневмонии, однако для двух последних не характерны высокая лихорадка и лимфопения в крови [3].
В нашем случае коронавирусная инфекция COVID-19, имевшая исходно нетяжелое течение, по-видимому, явилась катализатором развития пневмоцистной пневмонии у иммунокомпрометированной пациентки с ВИЧ-инфекцией, усугубив исходно имеющуюся лимфопению и другие иммунологические сдвиги. Однако, поскольку оба заболевания очень похожи, нельзя полностью исключить одновременное поражение легких коронавирусом и P. jirovecii, хотя быстрый регресс клинической и рентгенологической симптоматики на фоне отсутствия этиотропной терапии COVID-19, все-таки более характерен для пневмоцистной пневмонии.
Новый коронавирус SARS-CoV-2 во многом перевернул наши представления об участии иммунной системы в инфекционном процессе. Так, по данным Р. Vizcarra и др. [4], у 32% пациентов ВИЧ в целом не утяжелял течения COVID-19, но способствовал более длительному — свыше 40 дней — персистированию коронавируса. Успешное применение антиинтерлейкиновых моноклональных антител и ингибиторов Янус-киназ при COVID-19 традиционно противопоказанных при инфекциях, свидетельствует о том, что иммунный ответ на возбудителя может быть опаснее самой инфекции. В нашем случае до установления диагноза ВИЧ больной был введен сарилумаб с быстрым клиническим эффектом. По-видимому, с учетом высокого уровня ИЛ6 «цитокиновый шторм» у пациентки мог быть обусловлен поражением P. jirovecii.
Возможно, в будущем при фульминантном течении как пневмоцистной пневмонии, так и других инфекций с диффузным поражением легких показатели ИЛ6 следует рассматривать в качестве маркера гипериммунного ответа, а антиинтерлейкиновые препараты использовать для купирования данного состояния.
ЗАКЛЮЧЕНИЕ
Описываемый клинический случай продемонстрировал необходимость проведения дифференциального диагноза у пациентов, поступающих в ковидный стационар, даже при наличии лабораторно подтвержденного COVID-19, с тем чтобы не пропустить другие интерстициальные пневмонии, в частности пневмоцистную, возникающую на фоне иммунодефицита.
ИНФОРМИРОВАННОЕ СОГЛАСИЕ
От пациента получено письменное добровольное информированное согласие на участие в клиническом исследовании и публикацию описания клинического случая.
ИСТОЧНИК ФИНАНСИРОВАНИЯ
Исследование выполнено в рамках финансирования на перепрофилирование и работу ФГБУ ФНКЦ ФМБА России в качестве инфекционного стационара.
КОНФЛИКТ ИНТЕРЕСОВ
Авторы декларируют отсутствие конфликта интересов.
УЧАСТИЕ АВТОРОВ
А.В. Аверьянов — идея описания клинического случая, консультирование пациентки, корректура; А.Г. Сотникова — ведение пациентки, написание текста статьи; А.В. Лесняк — проведение и интерпретация МСКТ пациентки, подготовка рисунков в статью. Все авторы внесли существенный вклад в проведение поисково-аналитической работы и подготовку статьи, прочли и одобрили финальную версию до публикации.
Об авторах
Александр Вячеславович Аверьянов
Федеральный научно-клинический центр специализированных видов медицинской помощи и медицинских технологий Федерального медико-биологического агентства России; Научно-исследовательский институт пульмонологии Федерального медико-биологического агентства России
д.м.н., профессор, заслуженный врач Российской Федерации
Анна Геннадиевна Сотникова
Федеральный научно-клинический центр специализированных видов медицинской помощи и медицинских технологий Федерального медико-биологического агентства России
Виктор Николаевич Лесняк
Федеральный научно-клинический центр специализированных видов медицинской помощи и медицинских технологий Федерального медико-биологического агентства России
Список литературы
Дополнительные файлы
![]()
2. Рис. 2. Пациентка Я., 29 лет: контрольная компьютерная томография грудной клетки на 7-й день госпитализации
![]()
Комментарии к статье
- Situs Judi DominoQQ dan Dewa Poker Online Terpercaya
Permin Gada (23.12.2020) - Situs Judi Casino Online & Slot Online Terlengkap di Indonesia
ygg drasil (11.02.2021) - Situs IDN Poker Online Terpercaya di Indonesia
dewa poker (19.02.2021) - Situs Judi Slot Terbaik dan Terpercaya No 1
Patong Lolo (18.10.2021) - Situs Judi Slot Online Jackpot Terbesar 2021
Barly Gosan (19.10.2021)
© Аверьянов А.В., Сотникова А.Г., Лесняк В.Н., 2020
Эта статья доступна по лицензии Creative Commons Attribution-NonCommercial-ShareAlike 4.0 International License.Читайте также:







