Лучевые признаки врожденной гемангиомы печени у плода
Добавил пользователь Владимир З. Обновлено: 24.10.2025
Вскоре после рождения ребёнка родители могут заметить образование на коже синего, красного, розового цвета, которое может быстро расти, захватывая новые территории на крохотном тельце малыша. Скорее всего, это доброкачественная сосудистая опухоль, гемангиома, с присущими ей всеми признаками доброкачественной опухоли.
Особенностью течения сосудистых новообразований – гемангиом у детей раннего возраста является непредсказуемость их «поведения». Точечная гемангиома щеки у месячного ребёнка в течение 2-3 недель может превратиться в обширную и глубокую опухоль со сложной анатомической локализацией и без тенденции к остановке роста. Это приводит к нарушению функций различных важных органов, отвечающих за зрение, слух, дыхание и т.д. В связи с непредсказуемостью развития гемангиом у детей до года надеяться на самостоятельное рассасывание крупных и глубоких гемангиом, используя выжидательную тактику, означает добровольно идти на сознательный риск здоровьем и жизнью малыша. Необходимо различать сосудистую опухоль и другие образования: медиальное пятно, невусыУнна, купероз и т.д.
Поэтому при обнаружении любых пятен, пятнышек, сосудиков на тельце малыша незамедлительно обращаться к специалистам-детским хирургам, онкологам.
Почему появляется гемангиома?
Считается, что опухоль как болезнь возникает вследствие реакции организма на вредные внешние и внутренние воздействия. Поэтому для предупреждения сосудистых опухолей во время беременности надо соблюдать простые правила: следует полностью исключить контакты с вредными канцерогенными веществами; нельзя курить, не следует находиться в помещении, где курят или курили; категорически запрещается бесконтрольное применение любых лекарственных препаратов. Есть мнение, что появление гемангиом связано со сложными нарушениями внутриутробного развития плода, особенно в первом триместре беременности, когда закладывается сосудистая система будущего малыша. В этот период особенно опасны эмоциональные, химические стрессы, низкочастотные электромагнитные воздействия, травмы, инфекции, гормональные расстройства и любые неблагоприятные факторы физической или химической природы, обладающие эмбриотоксическими свойствами. К особо опасным факторам физической природы относятся ультрафиолетовое излучение (солярии!), ионизирующая радиация, механические травмы и повышенная температура у беременной при долговременном воздействии. Среди биологических факторов можно назвать вирусные и бактериальные заболевания, снижение иммунитета, паразитарные инфекции матери во время беременности. Иногда достаточно в ранние сроки беременности покрасить волосы и вот у ребёнка формируется «поцелуй аиста», как часто называют гемангиомы.
До сих пор у специалистов ведётся спор: являются ли гемангиомы истинными опухолями или это врождённый порок развития сосудистой системы. Эти опухоли обладают способностью к саморассасыванию и к злокачественному перерождению. Сейчас гемангиомы встречаются у каждого десятого новорождённого. У девочек в 2-3 раза чаще, чем у мальчиков. Если у ребёнка уже есть одна гемангиома, то в течение первых шести месяцев жизни у 75% таких детей возможно появление гемангиом на других участках тела. В последнее время возросло число детей с множественными гемангиомами до 43%.Гемангиомы могут расти неравномерно. Наряду с бурным ростом, приводящим нередко к тяжёлым необратимым нарушениям, иногда имеет место полное отсутствие роста, а в некоторых редких случаях даже обратное развитие.
Какие осложнения могут происходить с гемангиомами?
У подавляющего числа гемангиом не бывает осложнений. Однако в ряде случаев на них встречаются язвы и изъязвления, некоторые гемангиомы осложняются кровотечениями. Особенностью течения гемангиом в области промежности и наружных половых органов является их склонность к частому изъязвлению. Загрязнение этих мест мочой и испражнениями, трение пелёнками или одеждой может приводить к формированию язвочек и капельным кровотечениям, инфицированием. В случаях внутренних гемангиом, к примеру, гортани или внутренней части носового хода, осложняется процесс дыхания. Сосудистые опухоли глаза могут быть причиной окклюзии и амблиопии. Гемангиомы слизистой рта, области губ нарушают процессы сосания и пищеварения. При очень больших размерах новообразований может происходить нарушение сердечной деятельности из-за большого количества крови, которая должная быть перекачана в избыточные кровеносные сосуды гемангиомы. Ангиомы, прилегающие к кости, также могут привести к её эрозии. У детей с гемангиомами может развиться тромбоцитопения, обусловленная гибелью тромбоцитов в сосудистой опухоли. Встречаются гигантских размеров гемангиомы скелетных мышц, состоящие из тонкостенных капилляров, инфильтрирующих целую конечность.
Как самому оценить состояние гемангиомы у ребёнка?
Признаки роста, стабилизации и регресса:
1.Цвет- быстрорастущая опухоль ярко-красная, напряжённая, выбухающая, поверхность блестит или шелушится
2.быстрое увеличение размеровопухоли: нужно проводить динамическое измерение опухоли. Можно перенести контуры на целлофан, получить трафарет, отражающий её размеры и площадь. Отметить на трафарете дату и общий рост ребёнка на момент измерения опухоли или длину и окружность части тела в месте измерения. Через 3-4 недели провести повторное измерение для создания повторного трафарета, соблюдая такое же положение тела ребёнка (стоя, лёжа, сидя). Снова поставить дату и сведения о росте ребёнка. Оценка проводится простым математическим сопоставлением. Если увеличение размеров площади гемангиомы в миллиметрах равно или превышает по цифровому значению количество сантиметров, на которое вырос ребёнок, то это является показателем прогрессирующего развития самого новообразования. Такая растущая гемангиома требует незамедлительного лечения.Признаком стабилизации роста или начавшейся регрессии является её побледнение, уменьшение объёма, появление участков белесого окрашивания в массиве опухоли-симптом «мухомора».При наличии гемангиомы в интересах ребёнка с учётом непредсказуемости её развития необходимо проводить лечебные или профилактические мероприятия, и чем скорее, тем лучше.
Какие методы лечения гемангиом существуют?
В настоящее время известно более 60 способов лечения гемангиом: хирургический, склерозирующий, электрокоагуляционный, радиационный, гормональный, лазерный, криогенный ,медикаментозный и др. Каждый из методов обладает определёнными преимуществами и недостатками, и вопрос состоит в том, какой из них является наиболее рациональным с точки зрения простоты, доступности, удобства для больного, эффективности по косметическому и функциональному результату. Выбор метода лечения должен основываться на всесторонней оценке каждого случая с учётом вида, локализации, клинической формы, размеров, характера течения гемангиомы, возраста больного. Для лечения гемангиом используются методы консервативного и инвазивного воздействия. Из консервативных наиболее часто используют гормонотерапию, лечение пропранололом, методами лучевого воздействия, фотохромотерапию.Из инвазивных методов наиболее популярны хирургическое иссечение, криотерапия ( лечение холодом), электрокоагуляция, лазерная терапия, склерозирующая терапия, эмболизация региональных сосудов. К сожалению, каждый из этих методов не даёт гарантированный результат излечения, но обладает рядом побочных эффектов.В НИИ Онкологии г.Ростова-на-Дону был разработан и запатентован неинвазивный, безболезненный метод лечения гемангиом у детей фотохромотерапия( метод лечения, при котором используется определённым образом модифицированный красный свет). Эта медицинская технология защищена патентом РФ № 2240159 на изобретение «Способ лечения новообразований кожи у детей до года», широко и успешно используется уже более 10 лет.
Фотохромотерапия – применение метода основано на способности монохромного красного света индуцировать в организме ребёнка фотобиоадаптивные процессы, приводящие к активации гуморальных факторов регуляции локального кровотока и индукции репаративных, реакций тканей , что способствует стабилизации роста и регрессу сосудистых новообразований кожи. Эта методика является неинвазивной, позволяет её использовать как с лечебной, так и с профилактической целью. Разработанный способ лечения новообразований кожи пригоден для детей любого возраста - как до одного года жизни, так и старше.
Противопоказания: индивидуальная непереносимость светотерапии, тяжёлая неврологическая симптоматика, острые инфекционные заболевания с неясным генезом. Учитывая простоту, безвредность, безболезненность и высокую эффективность этого метода, можно активно рекомендовать его для лечения гемангиом у детей.
Ошибки в лечении гемангиом
Традиционной ошибкой является выжидательная тактика в надежде на самопроизвольное рассасывание. Надеяться на спонтанную регрессию крупных и глубоких гемангиом не представляется возможным ввиду их стремительного роста или других осложнений.
Другой часто встречаемой ошибкой является назначение аппликаций троксевазина на область гемангиом. Мониторинг детей после назначения троксевазина на ранних стадиях показал стимуляцию роста опухоли у 98% детей. Это относится и к лиотону, другим гепаринсодержащим средствам. Одним из ошибочных назначений является прикладывание льда, после такого воздействия наступает фаза резкого расширения сосудов, гемангиома растёт. Нет смысла использовать линимент Вишневского, а применение отваров зверобоя, первоцвета, овса, продуктов пчеловодства, уксусной и серной кислот могут значительно ухудшить процесс, привести к опасным кровотечениям и разрастанию опухоли. Очевидный вред-упущенное время , запущенный процесс.
Чего надо опасаться детям с гемангиомами?
1.Травмы. Опасность кровотечения при травме -вызвать скорую помощь при кровотечении.Необходимо приложить гемостатическую губку и сильно прижать. Холодовой компресс-ледовые кубики, лучше из отвара коры дуба, но держать его можно не более 10-15 мин, затем снять на 15 мин и повторить процедуру. Применяют перекись водорода 1-2%, дезинфицирующие антисептические средства (мирамистин или хлоргексидин).
2.Солнце. Следует опасаться прямого солнечного света.Гулять нужно летом до 10 часов утра и с 18 часов вечера. С 11 до 17 часов прямые солнечные лучи наносят коже непоправимый вред. Перед прогулкой на солнце дайте малышу подсолёную водичку или чай с лимоном. Используйте солнцезащитные средства.
Солнцезащитные средства для малышей:AVEN: солнцезащитный крем для младенцев spf 50+, Garnier АМБР СОЛЕР:солнцезащитное молочко-экран детское spf 50,спрей, солнцезащитный цвет, контроль для малышей,spf30, Виши Капиталь Солей, спрей детский солнцезащитный,spf 50, солнцезащитный гипоаллергичный детский крем, spf 30.Ля Рош Позе антигелиосдермоКИДс:молочко ( для малышей),spf 50.Мустелла молочко солнцезащитное для младенцев spf 50+, спрей солнцезащитный детский, spf 30.Урьяж молочко солнцезащитное детское для сверхчувствительной кожи spf50 spf 30.Флоресан, молочко солнцезащитное для младенцев spf25.Бюбхен спрей солнцезащитный детский spf 30, молочко солнцезащитное детское spf 20, пенка солнцезащитная детская spf 15 и 25.Нивея сан спрей солнцезащитный цветной детский spf 30, лосьон детский солнцезащитный spf 50+.Орифлейм детский солнцезащитный крем spf 40, спрей spf30."Наша мама" Россия детский солнцезащитный крем spf 15, мусс детский солнцезащитный с водооталкивающимэффектом,spf 20, молочко детское солнцезащитное spf15."Наше солнышко", Россия детский солнцезащитный крем кремspf 20.1.Нужно правильно выбрать средство для защиты:кремы полезны детям, имеющим сухую кожу, наиболее удобны спреи.2. Проверить безопасность: нанести крем за ушко, на локтевой и коленный сгибы, наблюдать в течение суток за кожей и реакцией ребёнка на запах.3.Наносить средство за полчаса до выхода на улицу.4.Грамотно распределять по всей поверхности кожи-удобны цветные спреи.5.Хранение солнцезащитных средств в холодильнике-максимум полгода.
3.Купание.Не рекомендуется купание в горячей воде-до 37 градусов, не стоит купать в растворе марганца, нейтральное мыло на область гемангиомы 1 раз в 10 дней.
4.До выздоровления не рекомендуется делать плановые профилактические прививки, так как не исключена возможность провоцирования стремительного роста гемангиом у детей после вакцинации.
Фотохромотерапия.
Это вид лечения видимым электромагнитным излучением (квантами света) с определённой длиной волны. Применение в клинике красного света с длиной волны 0,67 мкм позволяет обеспечить лечебный эффект за счёт фотолитического расщепления биомолекул, что приводит к нарастанию свободных форм, обладающих высокой биологической активностью. Данная медицинская технология защищена патентом РФ№2240159 на изобретение «Способ лечения новообразований кожи у детей до года». Методика неиинвазивная, что позволяет использовать её при лечении детей раннего грудного возраста с гемангиомами критических локализаций (голова и шея, половые органы, грудные железы, места естественных складок кожи, суставные поверхности. Высокая эффективность метода ФХТ заключается не только в достижении локального лечебного результата ( фотоиндуцированный регресс самой сосудистой опухоли), но и в повышении общего защитно-компенсаторного потенциала у ребёнка, достигая иммуностимулирующего и антистрессорного влияния на его организм.
Лучевые признаки врожденной гемангиомы печени у плода
Лучевые признаки злокачественной опухоли печени у плода
а) Лучевая диагностика:
• Гепатобластома:
о Самая частая первичная злокачественная опухоль
о Четко очерченное солидное образование
о Фиброзные перегородки создают картину «колеса со спицами»
о Дезорганизованная сосудистая сеть; васкуляризация от скудной до умеренной:
- Крупные сосуды, в отличие от врожденной гемангиомы печени, отсутствуют
о Возможно повышение уровня α-фетопротеина сыворотки крови матери
о Обнаружение заболевания во внутриутробном периоде связано с неблагоприятным прогнозом
• Метастатическая нейробластома:
о Самая частая злокачественная опухоль плода, метастазирующая в печень
о 25% нейробластом метастазируют в печень
о Первичную опухоль находят в области надпочечника
о Метастазы в печени имеют вид отдельных опухолей или диффузной инфильтрации:
- Инфильтрирующие метастазы могут не визуализироваться, однако их стоит заподозрить при наличии гепатомегалии
о Прогноз при стадии 4S (уникальная форма, при которой метастазирование ограничено кожей, печенью и
• Лейкоз:
о 15-20-кратное повышение риска при Т21
о Самая частая находка - гепатоспленомегалия
о Водянка плода (часто)
о При большинстве подтипов прогноз в перинатальном периоде благоприятный
(Слева) УЗИ гепатобластомы, поперечная плоскость. Определяется крупное, четко очерченное солидное образование печени. Чередующуюся эхогенность образования называют картиной «колеса со спицами».
(Справа) Тот же случай. Фотография печени, полученная при аутопсии. Определяется четко очерченное образование с крупными фиброзными тяжами, доходящими до псевдокапсулы. Макроскопическая картина соответствует ультразвуковой. (Слева) Рентгенография брюшной полости новорожденного с пальпируемым образованием в брюшной полости. Отмечается смещение газов в кишечнике, обусловленное выраженным увеличением печени.
(Справа) ЦДК, выполненное у того же пациента. Визуализируется крупное, умеренно гетерогенное солидное образование, замещающее большую часть правой доли печени (для сравнения размеров стрелкой отмечена нормальная правая почка). В составе образования присутствует небольшое количество дезорганизованных сосудов, однако, в отличие от врожденной гемангиомы печени, крупные сосуды отсутствуют.
б) Клинические особенности:
• 5% опухолей плода возникают в печени, большинство из них являются доброкачественными:
о Врожденная гемангиома печени, мезенхимальная гамартома
• Злокачественные опухоли печени встречаются редко:
о При наличии крупного одиночного образования следует заподозрить гепатобластому
о При наличии Т21 и гепатоспленомегалии следует заподозрить лейкоз
о При нейробластоме необходимо тщательно исследовать печень на наличие метастазов
Редактор: Искандер Милевски. Дата обновления публикации: 23.10.2021
УЗИ, МРТ при врожденной гемангиоме печени у плода
а) Терминология:
1. Синонимы:
• Патогенез сосудистых поражений печени изучен не до конца, поэтому в терминологии существует путаница:
о Для описания одной и той же патологии употребляют несколько терминов
о Наиболее часто употребляемый термин - младенческая гемангиоэндотелиома
2. Определения:
• Международное общество исследования сосудистых аномалий (ISSVA) классифицирует данное заболевание плода как врожденную гемангиому:
о Истинно доброкачественная сосудистая опухоль, возникающая в мягких тканях или внутренних органах (как правило, в печени):
- Следует отличать данное заболевание от кавернозной гемангиомы, встречающейся во взрослом возрасте (некорректный термин), которая в действительности является венозной мальформацией, а не опухолью
о Классификация по биологическому поведению:
- Быстро инволюционирующая врожденная гемангиома (rapidly involuting congenital hemangioma, RICH):
Самый частый тип у плодов
- Неинволюционирующая врожденная гемангиома (noninvoluting congenital hemangioma, NICH)
о Младенческая гемангиома - самостоятельный гистологический тип опухоли, возникающий в младенчестве (сразу после рождения отсутствует)

(Слева) МРТ плода в 34 нед., Т2-ВИ, поперечная плоскость. В толще нормальной гипоинтенсивной печени плода визуализируется четко очерченное умеренно гиперинтенсивное образование.
(Справа) УЗИ того же плода, сагиттальная плоскость, косой срез. Визуализируется гиперэхогенное образование с кистозными включениями. Предположить сосудистую природу образования можно по крупной отводящей вене (допплерография подтвердила наличие кровотока). В 38 нед. появились признаки водянки плода, было выполнено экстренное родоразрешение.
б) Лучевая диагностика:
1. УЗИ при врожденной гемангиоме печени плода:
• Четко очерченное солидное образование, центральная часть которого может подвергаться некрозу и фиброзу, особенно при крупных размерах:
о Многоочаговое поражение встречается только при младенческой гемангиоме печени и не характерно для плода
• При ЦДК определяется кровоток, в частности выраженное артериовенозное шунтирование:
о Часто виден периферический кровоток вокруг образования с более скудной васкуляризацией центральной части
о Отводящая вена и нижняя полая вена расширены
• В исходе сердечной недостаточности с высоким сердечным выбросом могут развиться кардиомегалия, многоводие и водянка плода
• Могут развиться тромбоцитопения, анемия
2. МРТ при врожденной гемангиоме печени плода:
• Т1-ВИ: гипоинтенсивное образование; могут присутствовать гиперинтенсивные очаги (кровоизлияния)
• Т2-ВИ: интенсивность сигнала от образования, по сравнению с печенью, повышена; интенсивность сигнала в центральной части опухоли может варьировать в зависимости от наличия сгустков крови, некроза или фиброза:
о Изменения сигнала в центральной части опухоли обычно наблюдают в постнатальном периоде:
- Вероятнее всего, связаны с кровоизлиянием и тромбозом, возникающими при переходе кровообращения плода в кровообращение новорожденного
- Отмечаются в RICH печени во время инволюции
3. Рекомендации по лучевой диагностике:
• Советы по проведению исследования:
о Повторные исследования с короткими интервалами с целью наблюдения за ростом опухоли и развитием водянки плода

(Слева) Тот же случай. Клиническая фотография новорожденного. Видно выпячивание живота, вызванное крупной опухолью печени.
(Справа) При УЗИ печени, выполненном в первые сутки жизни, были выявлены те же находки, что и во время пренатального исследования. В опухоли визуализируется выраженное артериовенозное шунтирование, характерное для врожденной гемангиомы печени. Состояние новорожденного стабилизировалось, проводилось консервативное лечение. Врожденные гемангиомы печени обычно регрессируют (RICH) к 14-му месяцу жизни и не требуют хирургического лечения.
в) Дифференциальная диагностика врожденной гемангиомы печени плода:
1. Гепатобластома:
• Гиперэхогенное солидное образование
• ЦДК: васкуляризация более скудная, кровоток не организован, крупные сосуды отсутствуют
2. Мезенхимальная гамартома:
• Преимущественно кистозная или смешанная кистозно-солидная опухоль
3. Метастатическая нейробластома:
• Множественные образования или диффузно инфильтрирующие печень
• Находят солидное образование в области надпочечника
г) Патологоанатомические особенности. Гистологические особенности:
• Разных размеров дольки, состоящие из капилляров, окруженные плотной миксоидной стромой и крупными сосудами с признаками мальформации
• Очаги кровоизлияния, некроза, фиброза, экстрамедуллярного гемопоэза, кальцификации
• Отрицательное иммуногистохимическое окрашивание с антителами к глюкозному транспортеру 1-го типа (GLUT-1):
о Окрашивание младенческой гемангиомы печени с антителами к GLUT-1 дает положительный результат
д) Клинические особенности:
1. Клиническая картина:
• У плода:
о Образование в печени, многоводие, водянка плода
о Чаще всего выявляется в III триместре
• У новорожденного:
о Увеличение размеров живота, пальпируемое образование
о Застойная сердечная недостаточность с высоким сердечным выбросом, дыхательная недостаточность
о Тромбоцитопения, анемия (обычно преходящие)
о В 15% случаев присутствуют гемангиомы кожи, наличие которых может дать начало диагностическому поиску опухоли в печени
2. Демографические особенности:
• Эпидемиология:
о 5% опухолей печени у плода: 60% - врожденные гемангиомы печени
3. Естественное течение и прогноз:
• Водянка плода может быть детальна
• После стабилизации состояния новорожденного прогноз благоприятный
• Инволюция RICH завершается к 14 мес.
• NICH не исчезают и могут потребовать иссечения
4. Лечение врожденной гемангиомы печени плода:
• Тщательное наблюдение в отношении водянки плода; при появлении первых признаков сердечно-сосудистой недостаточности показано досрочное родоразрешение
• Увеличение ОЖ может стать причиной затрудненных родов
• В случае стремительного роста опухоли показано введение кортикостероидов:
о Введение может выполняться как матери, так и плоду (через ПВ)
• Лечение в постнатальном периоде, как правило, не требуется:
о До полной инволюции опухоли выполняют УЗИ с интервалом в 1 мес.
• При застойной сердечной недостаточности показана активная поддерживающая терапия:
о Медикаментозное лечение, трансартериальная эмболизация и хирургическое иссечение
е) Список использованной литературы:
1. Dasgupta R et al: ISSVA classification. Semin Pediatr Surg. 23(4): 158—61, 2014
2. Hsi Dickie В et al: Hepatic vascular tumors. Semin Pediatr Surg. 23(4): 168—72, 2014
- Вернуться в оглавление раздела "Акушерство."
Редактор: Искандер Милевски. Дата обновления публикации: 21.10.2021
Гемангиома печени
Гемангиома печени – это доброкачественная сосудистая опухоль, поражающая одну или обе доли печени. Чаще всего ее размер не превышает 5 см, а стертая симптоматика появляется только при значительных размерах образования. Первичная диагностика обычно является случайной и происходит при обследовании по поводу другой патологии. Заподозрить неоплазию позволят УЗИ, КТ или МРТ гепатобилиарной системы. Уточняют диагноз с помощью статической сцинтиграфии печени – метод позволяет доказать доброкачественный характер новообразования. Лечение только оперативное - при достижении опухолью больших размеров, сдавлении сосудов и соседних органов, кровотечении показано удаление части печени.


Общие сведения
Гемангиома печени – сосудистое новообразование, локализующееся в паренхиме печени, не склонное к малигнизации. О происхождении гемангиом до сих пор ведутся споры, однако большинство ученых склоняются к врожденному генезу данного вида новообразований. Вероятнее всего, формирование гемангиоматозного узла в печени происходит в первом триместре беременности, в период закладки кровеносных сосудов плода, вследствие патологического воздействия на организм беременной.
Гемангиома печени встречается у 7% населения. Несмотря на бытующее мнение о редкости данного вида новообразований, неоплазия занимает второе место среди всех опухолей печени. До 80% сосудистых новообразований, обнаруженных в первые три месяца жизни, в последующем подвергаются спонтанному регрессу. Заболевание чаще выявляют у молодых женщин – это связывают со стимулирующим влиянием эстрогенов на рост сосудистых опухолей. Опасность данного образования в том, что первым его проявлением может быть массивное кровотечение с вероятным летальным исходом. Следует отметить, что распространенность патологии среди населения в последние годы неуклонно растет.
Причины
Считается, что гемангиома печени начинает формироваться еще внутриутробно из эмбриональной ткани, как дефект закладки сосудов венозного русла. Многочисленные исследования морфологического субстрата сосудистых опухолей ставят гемангиомы на промежуточную ступень между пороками развития и эмбриональными бластомами. Среди всех гемангиом внутренних органов самая частая локализация – в печени, при этом в 7-10% случаев диагностируются гигантские опухоли (более 5 см). В практической гастроэнтерологии гемангиома лидирует среди всех доброкачественных опухолей печени.
Несмотря на множество исследований, посвященных сосудистым опухолям, до сих пор не принято единого решения – является ли гемангиома истинной опухолью или же это аномалия развития сосудов. В пользу опухолевой теории говорит инвазивный рост, гормонозависимость, рецидивирование после удаления. На сторону порока развития склоняет частое возникновение множественных гемангиом, что нехарактерно для опухолей. Нередок и гемангиоматоз печени, когда практически вся паренхима поражена мелкими (от нескольких миллиметров до 2 см) гемангиомами. Иногда тотальный гемангиоматоз приводит к тяжелой печеночной недостаточности и циррозу.
Ученые связывают рост новообразования не только с размножением клеток, а также с кровоизлияниями, тромбозом и расширением опухолевых сосудов. Наибольшая из известных доброкачественных сосудистых опухолей весила более пяти килограммов, хотя средний диапазон веса составляет 300-1500 г. Обычно новообразования растут очень медленно, к зрелому возрасту достигая размеров не более нескольких сантиметров. Кавернозные гемангиомы обычно растут быстрее капиллярных. У женщин рост сосудистых опухолей более интенсивный из-за высокого уровня эстрогенов, которые стимулируют деление клеток гемангиомы.
Классификация
Само понятие "гемангиома печени" является собирательным, многие авторы сюда относят разнообразные доброкачественные сосудистые новообразования печени: доброкачественную гемангиоэндотелиому, кавернозную, гроздевидную, венозную ангиомы. Гемангиома может быть кавернозной или капиллярной. Кавернозная гемангиома состоит из полостей больших размеров, которые объединяются в одну. Многие авторы в понятие каверномы включают не только опухоль, но и пороки развития, телеангиэктазии. Капиллярная гемангиома печени состоит из множества мелких полостей, каждая из которых содержит сосуд.
Симптомы гемангиомы печени
В 70% случаев выявленная неоплазия не превышает в размерах пяти сантиметров. Такие маленькие сосудистые опухоли никак не проявляются ни клинически, ни лабораторно. При достижении больших размеров (иногда до 20 см) может появиться стертая симптоматика: увеличение печени, боли в правом подреберье, тошнота. Чаще всего проявления гемангиомы бывают связаны со сдавлением крупных сосудов и соседних органов.
Иногда первым проявлением гемангиомы печени может быть массивное внутреннее кровотечение. Вызвать разрыв сосудов гемангиомы и кровопотерю могут разнообразные факторы: резкие движения, травмы живота (даже незначительные), высокие нагрузки. Кровотечение может быть столь массивным, что приводит к смерти пациента. Именно поэтому при возникновении резких болей в животе, после травмы брюшной полости пациентам с данной неоплазией следует незамедлительно обратиться к врачу.
Диагностика
Консультация врача-гепатолога редко позволяет своевременно выявить гемангиому печени, поскольку она практически никак не проявляет себя. Обычно доброкачественная сосудистая опухоль печени обнаруживается как случайная находка во время обследования по поводу другой патологии. УЗИ печени и желчного пузыря может обнаружить в паренхиме округлое образование с четкими контурами, неоднородным содержимым. Те же данные, но гораздо более точные, получают и при МРТ печени и желчевыводящих путей, МСКТ брюшной полости.

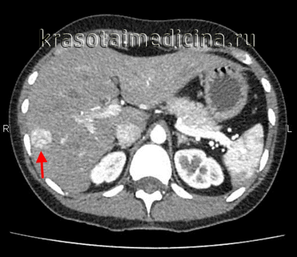
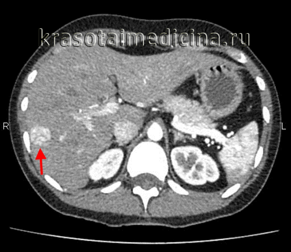
КТ ОБП С+. Гиперваскулярное объемное образование в правой доле печени, соответствующее плотности пула крови во всех фазах – гемангиома
Убедиться, что выявленная опухоль является гемангиомой печени, позволят ангиография чревного ствола (целиакография), статическая сцинтиграфия печени. Гепатосцинтиграфия используется для дифференцировки злокачественных и доброкачественных новообразований. Биохимические пробы печени (печеночные пробы) при гемангиоматозе обычно не изменены, если у пациента нет другой сопутствующей патологии (например, цирроза печени, гепатита). Клинические анализы также остаются в пределах нормы. Пункционная биопсия печени для диагностики сосудистой опухоли не используется, так как может привести к массивному кровотечению.
Большое внимание уделяется изучению генетических маркеров заболевания. Так, доказана связь А (II) группы крови с повышенным риском развития гемангиомы печени. Ученые предполагают, что развитие опухолевого процесса может иметь наследственную природу. Если исследования в данном направлении увенчаются успехом, то в будущем станет возможным выявлять группу риска по данной патологии, проводить диспансеризацию таких пациентов и диагностировать патологию еще на субклиническом этапе развития новообразования. Дифференцировать гемангиому печени следует с другими доброкачественными и злокачественными опухолями, кистами паразитарной и неинфекционной этиологии.
Лечение гемангиомы печени
От того, какого размера опухоль будет выявлена при обследовании, зависит дальнейшая тактика ведения и лечения данного пациента. Так как опухолевидное образование не всегда имеет шаровидную форму, принята единая методика измерения усредненного размера – фиксируется диаметр гемангиомы в трех взаимно перпендикулярных плоскостях ее наибольшего сечения. Неоплазии небольших размеров (до 5 сантиметров) не требуют каких-либо лечебных мероприятий. При первичном выявлении небольшой гемангиомы рекомендуют повторить УЗИ печени через 3 месяца для оценки динамики роста опухоли и общего состояния больного. В дальнейшем следует проводить ультразвуковое обследование каждые 6-12 месяцев, чтобы при повторной консультации гастроэнтеролога вовремя выявить показания к оперативному вмешательству.
Показания к удалению гемангиомы печени постоянно пересматриваются и дополняются. Специалисты сходятся во мнении, что необходимость операции должна оцениваться в каждом случае индивидуально. При этом учитываются размеры, локализация и количество новообразований, общее состояние пациента, сопутствующая патология. Главным критерием при определении показаний является сопоставление эффективности и риска операции. На сегодняшний день в пользу оперативного вмешательства свидетельствуют:
- Размеры опухоли более 50 мм.
- Быстрый рост опухоли – более чем на 50% ежегодно.
- Разрыв тканей опухоли с кровотечением.
- Тяжелая симптоматика, вызванная сдавлением опухолью сосудов или соседних органов.
- Сомнения в доброкачественности новообразования.
Однако существуют и противопоказания к проведению оперативного вмешательства – это прорастание основных венозных сосудов печени, цирроз печени, множественные гемангиомы в обеих долях печени.
При оперативном удалении неоплазий могут использоваться различные хирургические методики, в зависимости от размеров и локализации узла: сегментарная резекция печени, резекция доли печени (лобэктомия), гемигепатэктомия. Достаточно эффективными являются склерозирование и эмболизация. Указанные методы интервенционной радиологии могут использоваться и при множественных гемангиоматозных узлах, когда радикальная операция невозможна. В качестве подготовки к операции может применяться гормонотерапия – она позволяет уменьшить сосудистый узел в размерах, что в дальнейшем сводит объем операции и риск послеоперационных осложнений к минимуму.
В настоящее время разрабатывается множество современных неинвазивных методик лечения доброкачественных опухолей печени. Один из таких способов экспериментальной терапии заключается во введении в ткани гемангиомы ферромагнитных частиц с последующим созданием высокочастотного электромагнитного поля. При этом локальная температура в области опухолевого узла значительно повышается, вызывая асептический некроз, а затем – лизис поврежденных тканей.
Прогноз и профилактика
Прогноз при гемангиоме небольших размеров благоприятный. Так как данное новообразование закладывается еще внутриутробно, то единственным методом профилактики является тщательная подготовка к беременности, соблюдение здорового образа жизни и правильное питание, особенно в первом триместре. Методы профилактики возникновения неоплазия после завершения беременности не разработаны. Женщинам с данной патологией следует сообщить о своем диагнозе гинекологу, поскольку назначение данным специалистом эстрогенов может привести к росту опухоли и кровотечению.
Читайте также:
