Мегалэнцефалия с лейкоэнцефалопатией и кистами на МРТ
Добавил пользователь Владимир З. Обновлено: 27.01.2026
Прогрессирующая мультифокальная лейкоэнцефалопатия (ПМЛ) развивается вследствие реактивации JC-вируса. Как правило, это заболевание развивается на фоне ослабленного клеточного иммунитета, в частности, у пациентов с ВИЧ-инфекцией. ПМЛ приводит к подострой прогрессирующей демиелинизации в центральной нервной системе с развитием очаговой неврологической симптоматики и смерти, обычно в течение 9 мес. Диагноз ставится на основании данных МРТ и анализа спинномозговой жидкости с применением полимеразной цепной реакции. У пациентов со СПИДом высокоактивная антиретровирусная терапия может замедлить прогрессирование патологического процесса, а у пациентов, получающих иммуносупрессивные препараты, состояние может значительно улучшиться при их отмене. Немногочисленные данные свидетельствуют о том, что иногда эффективна терапия ингибиторами иммунных контрольных точек, которые активируют иммунный ответ на вирус JC. В любом случае лечение является симптоматическим.
Этиология прогрессирующей мультифокальной лейкоэнцефалопатии (ПМЛ)
Прогрессируящая мультифокальная лейкоэнцефалопатия развивается вследствие реактивации повсеместно распространенного JC-вируса из семейства паповавирусов, который обычно попадает в организм в детстве и пребывает в латентном состоянии в почках и других органах и тканях (например, в мононуклеарных клетках, центральной нервной системе [ЦНС]). Реактивированный вирус тропен к олигодендроцитам.
Большинство пациентов с развивающейся ПМЛ, имеют ослабление клеточного иммунитета, вызванное:
СПИД СПИД Инфекция вирусом иммунодефицита человека (ВИЧ) вызывается одним из 2 похожих ретровирусов (ВИЧ-1 и ВИЧ-2), которые разрушают CD4+ лимфоциты и ослабляют клеточный иммунитет, увеличивая риск оппортунистических. Прочитайте дополнительные сведенияРиск развития ПМЛ у больных СПИДом возрастает с увеличением вирусной нагрузки; в настоящее время распространенность ПМЛ уменьшилась в связи с широким применением более эффективных антиретровирусных препаратов.
В то же время возрастает количество случаев ПМЛ, таких как осложнения иммуномодулирующей терапии. Препараты, которые чаще всего назначают включают:
Моноклональные антитела натализумаб
Брентуксимаба ведотин – конъюгат антител с лекарственным средством
Но ПМЛ наблюдается у пациентов, принимающих другие препараты (например, ритуксимаб, финголимод, диметилфумарат). Измерение сывороточных антител к вирусу Джона Каннингема (индекс вируса Джона Каннингема) может помочь оценить риск ПМЛ у пациентов, принимающих натализумаб; более высокие уровни указывают на более высокий риск.
Симптомы и признаки ПМЛ
Первым проявлением заболевания может быть неловкость при мультифокальной лейкоэнцефалопатии. Очень часто при обследовании выявляется гемипарез. Также часто наблюдаются афазия, дизартрия и гемианопсия. У двух третей больных многоочаговое поражение коры больших полушарий приводит к развитию когнитивных нарушений. Могут наблюдаться поражения сенсорных структур, мозжечка и ствола головного мозга.
Головные боли и судорожные припадки редки и встречаются чаще всего у больных СПИДом.
Неуклонное прогрессирование заболевания приводит к смерти, как правило, спустя 1–9 месяцев после появления симптомов заболевания.
Диагностика ПМЛ
Исследование спинномозговой жидкости (СМЖ) на ДНК JC-вируса
Наличие прогрессирующей мультифокальной лейкоэнцефалопатии следует подозревать у пациентов с необъяснимыми прогрессирующими признаками поражения головного мозга, особенно у больных с иммунодефицитными состояниями.
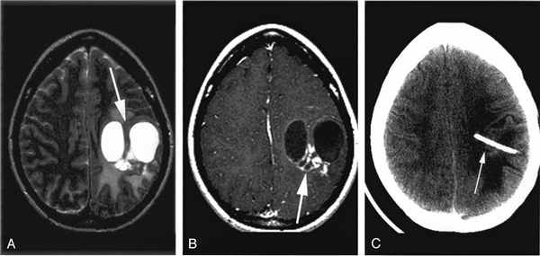
Предварительный диагноз ПМЛ ставится на основании данных МРТ с контрастом, выявившей единичные или множественные очаги поражения белого вещества на Т2-взвешенных изображениях. Контрастное вещество слабо накапливается, как правило, по периферии в 5–15% очагов. При КТ могут определяться очаги пониженной плотности, не накапливающие контраст, однако этот метод является менее чувствительным по сравнению с МРТ.
ЦСЖ исследуется на ДНК JC-вируса с использованием ПЦР; положительные результаты этого анализа в сочетании с характерными изменениями при нейровизуализации подтверждают диагноз ПМЛ. Общий анализ ЦСЖ, как правило, не изменен.
Серологические исследования неинформативны. Иногда с целью дифференциальной диагностики выполняют стереотактическую биопсию мозга, которая, впрочем, редко себя оправдывает.
Лечение ПМЛ
Лечение прогрессивной многоочаговой лейкодистрофи, в основном, поддерживающее.
Экспериментальное применение цидофовира и других противовирусных препаратов не подтвердило своей эффективности. Антиретровирусная терапия (АРТ) улучшает прогноз заболевания у ВИЧ-инфицированных пациентов с ПМЛ, увеличивая уровень годовой выживаемости с 10 до 50%. В то же время, агрессивная антиретровирусная терапия может приводить к развитию у пациентов воспалительного синдрома восстановления иммунной системы Воспалительный синдром восстановления иммунной системы (ВСВИС) Инфекция вирусом иммунодефицита человека (ВИЧ) вызывается одним из 2 похожих ретровирусов (ВИЧ-1 и ВИЧ-2), которые разрушают CD4+ лимфоциты и ослабляют клеточный иммунитет, увеличивая риск оппортунистических. Прочитайте дополнительные сведенияОтмена иммуносупрессантов может привести к улучшению самочувствия пациентов. В то же время у этих пациентов повышается риск развития ВСВИС.
При развитии ПМЛ у пациентов, получающих лечение натализумабом, иным иммуномодулирующим лекарственным средством или иммуносупрессантами, прием указанных лекарственных средств необходимо прекратить, с последующим проведением плазмафереза для удаления остатков препарата в циркулирующей крови.
Немногочисленные данные свидетельствуют о том, что лечение с помощью ингибиторов программируемой клеточной гибели 1 (PD-1) пембролизумаба или ниволумаба (ингибиторы иммунных контрольных точек) может уменьшить вирусную нагрузку в СМЖ, повысить противовирусную клеточную иммунную активность и привести к клиническому улучшению ( 1 Справочные материалы по лечению Прогрессирующая мультифокальная лейкоэнцефалопатия (ПМЛ) развивается вследствие реактивации JC-вируса. Как правило, это заболевание развивается на фоне ослабленного клеточного иммунитета, в. Прочитайте дополнительные сведения , 2 Справочные материалы по лечению Прогрессирующая мультифокальная лейкоэнцефалопатия (ПМЛ) развивается вследствие реактивации JC-вируса. Как правило, это заболевание развивается на фоне ослабленного клеточного иммунитета, в. Прочитайте дополнительные сведения ).
Справочные материалы по лечению
1. Cortese I, Muranski P, Enose-Akahata Y, et al: Pembrolizumab treatment for progressive multifocal leukoencephalopathy. N Engl J Med 380 (17):1597–1605, 2019. doi: 10.1056/NEJMoa1815039 Epub 2019 Apr 10.
2. Lambert N, El Moussaoui M, Maquet P: Immune checkpoint inhibitors for progressive multifocal leukoencephalopathy: Identifying relevant outcome factors. Eur J Neurol 2021 28 (11):3814–3819, 2021. doi: 10.1111/ene.15021 Epub 2021 Jul 26.
Ключевые моменты
ПМЛ развивается вследствие реактивации повсеместно распространенного JC-вируса, как правило, на фоне снижения клеточного иммунитета.
При ПМЛ чаще всего наблюдаются нарушение координации движений, гемипарезы, афазия, дизартрия, гемианопсия и когнитивные нарушения.
У пациентов со снижением клеточного иммунитета и необъяснимыми прогрессирующими признаками поражения головного мозга необходимы проведение МРТ головного мозга и исследование ЦСЖ на ДНК JC-вируса.
Проводите поддерживающую терапию пациентов и лечите основные заболевания согласно показаниям (например, прекратив прием натализумаба, другого иммуномодулирующего лекарственного средства или иммунодепрессантов, или у пациентов с СПИДом, инициируя антиретровирусную терапию и со всесторонним контролем за развитием воспалительного синдрома восстановления иммунитета).
Немногочисленные данные свидетельствуют о том, что лечение пембролизумабом или ниволумабом может уменьшить вирусную нагрузку в СМЖ, повысить противовирусную клеточную иммунную активность и привести к клиническому улучшению.
Авторское право © 2022 Merck & Co., Inc., Rahway, NJ, США и ее аффилированные лица. Все права сохранены.
Кисты на МРТ головного мозга - что покажет

Киста головного мозга - это нередкое новообразование, которое врачи обнаруживают в ходе МРТ головного мозга. Локализация кисты бывает разной - в белом веществе головного мозга, в оболочке, железах. Наиболее часто по статистике кисты поражают шишковидную железу, прозрачные перегородки, промежуточный парус головного мозга, мосто-мозжечковый угол.
Проблема с диагностикой кистозных образований заключается в том, что когда они маленького размера, они не проявляют себя никакой симптоматикой. С этими молчащими кистами человек может жить и не тужить годами. Они, как правило, становятся случайными находками при томографии головного мозга и не требуют активных лечебных действий. Основная угроза, исходящая от кист, это возможность их роста. Структуры большого кистозного образования начинают сдавливать или препятствовать нормальной работе мозговых систем. Это чревато проявлением неврологической симптоматики и в крайних случаях даже угрозой жизни человека.
Арахноидальные кисты на МРТ
МРТ оболочек головного мозга может показать арахноидальные кисты. Это врожденные внемозговые объемные образования, содержащие ликвор. Клинические проявления арахноидальной кисты зависят от локализации новообразования, но зачастую ее формирование протекает бессимптомно. Поскольку данное новообразование может вызывать нарушение ликвородинамики, оно часто сопровождается гидроцефалией. Крупные арахноидальные кисты иногда начинают сдавливать соседние участки головного мозга, вызывая атрофию и болевой синдром. Такие крупные кистозные образования требуют оперативного вмешательства. И здесь МРТ головного мозга позволит не только поставить точный диагноз, но и выработать план проведения операции. Если киста имеет малые размеры, тактика её лечения будет сводиться к наблюдению. Невролог или нейрохирург в такой ситуации будет рекомендовать пациенту делать МРТ головного мозга один раз в 6 месяцев, чтобы не пропустить момент роста.
МРТ головного мозга - киста прозрачной перегородки
Киста прозрачной перегородки – это вид арахноидальной кисты, когда жидкость скапливается между пластинками прозрачной перегородки мозга. Они могут носить как приобретенный характер из-за черепно-мозговых травм или инфекций, так и врожденный характер. Поскольку эти кисты локализуются в самом безопасном месте, их появление практически никогда не сопровождается неврологической симптоматикой. В подавляющем большинстве случаев такие кисты не требует ни оперативного, ни медикаментозного лечения. Пациентам с выявленной кистой прозрачной перегородки необходимо ходить на прием к неврологу и проверять результаты свежего шестимесячного МРТ головного мозга.
| МРТ здорового головного мозга | киста на МРТ головного мозга |
МРТ головного мозга - киста шишковидной железы
Шишковидная железа - это маленькое образование в человеческом мозге размером меньше полсантиметра, которое выделяет гормоны, отвечающие за регуляцию таких важных областей жизни человека, как рост, сон и иммунитет. Поскольку эта структура головного мозга очень маленького размера, любое давление со стороны новообразования приводит к сбою в гормональных функциях - нарушается секреция мелатонина. Кроме того, увеличение кисты этой железы может перекрыть ток ликвора - внутримозговой жидкости, что приводит к сильным головным болям. Основная опасность данного кистозного образования именно в этом и заключается. Визуализировать кисту шишковидной железы можно только на МРТ головного мозга. Чаще всего её проводят с контрастом, чтобы максимально четко отобразить такие мини структуры головы. МРТ головы, помимо выявления кисты шишковидной железы, позволяет дифференцировать ее от опухолевого образования - пинеаломы.
Суммируя, хотелось бы сказать, что если МРТ показала наличие кист в головном мозге, пугаться и паниковать здесь не нужно. Если кисты маленького размера, они вряд ли составляют угрозу здоровью человека. Сама структура кисты носит доброкачественный характер, и у нее нет злокачественного потенциала. Она не перерождается в раковых клетки. Самое важное, чтобы киста не продолжила свой рост и не начала оказывать давление на соседние ткани. Именно это приводит к возникновению симптомов боли и нарушения функций головного мозга.
Дифференциальная диагностика кист на МРТ головного мозга с контрастом
У пациентов детского возраста дифференцированную диагностику кист проводят в отношении пороков развития. Пороки развития обычно проявляются недоразвитием твердой мозговой оболочки. Эта патология в изолированном виде встречается редко, обычно она сочетается с пороками развития головного и спинного мозга. Нередко такая патология у детей сопровождается дефектами черепа или расщеплением дужек позвонков с образованием грыж. В зависимости от содержимого грыжевого мешка врачи выделяют:
- менингоцеле - ТМО + ликвор
- менингоэнцефалоцеле - ТМО + ликвор + мозговая ткань
- энцефалоцистоцеле - ТМО + ликвор + мозговая ткань с частью желудочков системы
- атретическое цефалоцеле - ТМО + ликвор+фиброзная ткань + дегенеративно измененная мозговая ткань глиальная киста.
При наличии щели содержимое черепной коробки начинает выходить из мозга, образуя различные менингоцеле или кистозные пузыри с содержанием ликвора. Такие изменения можно увидеть визуально у ребенка в виде выпячивания или шишки, но доказать, какой вид аномалии, можно только при МРТ головного мозга с контрастом.
Подобные изменения также могут быть со стороны позвоночника, когда есть расщелина в дужке позвонка и имеется расщелина в твердомозговой оболочке. Тогда содержимое начинает выпячиваться в виде позвоночных кист.
Опухоли головного мозга - еще одна патология, с которой проводят дифференциальную диагностику при подозрении на кисту. Здесь также важно применение контрастирования. Именно поведение тканей головного мозга в отношении контрастного препарата покажет, является ли новообразование опухолью или кистой, а если является опухолью, то какого качества - доброкачественной или злокачественной. Кроме того, контраст помогает улучшить контрастность ткани и точнее выявить размеры опухоли, нахождения областей распространения метастазов даже очень мелкого размера - 0,5-1 мм.
Киста головного мозга снимок МРТ
| Киста прозрачной перегородки на МРТ | Арахноидальная киста на МРТ |
![]() | ![]() |
МРТ процедура головного мозга с контрастом при кистах
Никакой особой подготовки томография головного мозга с контрастам не требует и проходит она безболезненно и комфортно для обследуемого. Пациент записывается на МРТ в клинику, приходит на сканирование, в комнате для подготовки оставляет все металлические и электронные объекты, заходит в диагностический кабинет, ложится на стол томографа, лежит неподвижно в ходе сканирования и через 30-40 минут по окончании обследования получает его результаты в виде МРТ снимков и заключения врача с подробным описанием и рекомендациями. Основную работу в ходе МР-диагностики делает высокотехнологичный томограф и высококвалифицированный врач. Именно аппарат МРТ в ходе сканирования сделает около 2000 снимков с шагом сканирования в 1-2 мм, сопоставит все данные и превратит их в четкие трехмерные изображения обследуемой области. Именно опытный врач в ходе процесса расшифровки скрупулезно оценит анатомию пациента, отметит все отклонения, аномалии и даст им медицинскую интерпретацию. Данные томографии лягут в основу окончательного диагноза, который поставит Ваш лечащий врач и определит тактику лечения кисты.
Чтобы обследования на томографе прошло безопасно, пациент обязательно должен рассказать врачу обо всех имплантах, которые есть в его теле. Если обследования проводят с введением контраста, обязательно нужно сообщить, имеются ли у Вас тяжелые заболевания почек, печени или есть ли вероятность беременности. Контрастное вещество при томографии головы пациенту вводят через вену, и оно не токсично. Однако этот состав - дополнительная нагрузка для выделительной системы организма, и если человек уже имеет серьезные почечные патологии, он может вызвать нежелательные осложнения. Действие контраста на плод до конца не изучено, поэтому МРТ головного мозга с контрастным усилением в медицинских центрах Санкт-Петербурга не делают беременным женщинам без жизненно важных показаний.
Противопоказания к МРТ
При МРТ исследовании на пациента действует магнитное поле, и все абсолютные противопоказания будут связаны с этим фактом:
Магнитное поле может привести в движение объекты, которым свойственно с ним взаимодействовать, это могут быть: клипсы на сосудах, металлоконструкции в любом участке тела. Поэтому если в организме установлен имплант, пациенту нужно будет предъявить документы, в которых указан состав материала. В случае, если это неферромагнитный материал (например, титан), проведение МРТ разрешено.
Магнитное поле может повлиять на работу электронных устройств: электокардиостимуляторы, инсулиновые помпы, слуховые протезы. Если в паспорте импланта не указано, что он совместим с МРТ, необходимо подобрать альтернативный метод диагностики.
Следует отметить, что иногда проведение МРТ не возможно в следующих случаях:
Киста головного мозга – всегда опасный диагноз?
Субстанция человеческого мозга тонкая и нежная. Любые посторонние образования, будь то опухоль или жидкость, ведут к нарушению функционирования этого органа, порой угрожая жизнедеятельности человеческого организма.
Субстанция человеческого мозга тонкая и нежная. Любые посторонние образования, будь то опухоль или жидкость, ведут к нарушению функционирования этого органа, порой угрожая жизнедеятельности человеческого организма.
Что такое киста головного мозга и насколько она опасна? Всегда ли необходима операция при кисте головного мозга или можно обойтись без хирургического вмешательства? Эти вопросы беспокоят многих. Ответы на них узнаем у исполнительного директора и главного врача ООО «МРТ Эксперт Липецк» Волковой Оксаны Егоровны.
- Оксана Егоровна, что такое киста головного мозга?
Киста (в переводе с греческого - пузырь) – одно из самых распространённых патологических образований, которое может возникнуть в любом месте нашего организма. Действительно, киста похожа на воздушный шарик, заполненный водой, увеличивающийся по мере поступления жидкости.
Такая патология действительно довольно часто появляется в головном мозге. Если говорить прицельно о кисте головного мозга, то чаще это – полость, заполненная спинномозговой жидкостью (ликвором), омывающей головной и спинной мозг.
Симптомы кисты головного мозга весьма разнообразны и зависят от месторасположения и сдавливания зоны черепной коробки. Однако, в течение долгого времени пузырь, наполненный жидкостью, может не доставлять беспокойства и обнаружиться только при проведении МРТ головного мозга.
Записаться на МРТ головы можно здесь
- Чем киста отличается от абсцесса?
Абсцессы на МРТ выглядят как крупные или мелкие кисты, но заполнены гнойным содержимым и окружённые зоной выраженного отека вещества мозга.
- Какими бывают кисты головного мозга и по каким причинам они возникают?
Кисты подразделяются на врождённые и приобретённые.
Врождённые кисты головного мозга являются результатом нарушения внутриутробного развития оболочек головного мозга. Чаще такого рода кисты локализуются в височных областях, в задней черепной ямке, так называемой пинеальной области (или области эпифиза). Врождёнными бывают и внутрижелудочковые кисты.
Приобретённые кисты, как правило - опухолевые кисты, и в таком случае киста – это «продукт» роста опухоли. Местами локализации таких кист являются доли мозга: лобная, височная, теменная, затылочная; полушария мозжечка.
Приобретённые кисты могут носить и посттравматический характер и возникать после излечения очагов ушиба головного мозга.
Также в своей практике мы встречаемся с кистами, возникающими после инсультов. В этом случае отмечается трансформация ишемического очага. Если ишемический инсульт был обширным и по локализации произошёл ближе к коре, его исходом являются кистозно-глиозные изменения, представляющие несколько мелких или крупных кист, как виноградная гроздь. Отмечу, что подобные изменения могут быть и последствием травм головного мозга, в том числе у детей.
Чем отличаются инсульт ишемический и геморрагический? Узнать здесь
В некоторых районах нашей страны, эндемичных по ряду инфекционных заболеваний, распространены паразитарные кисты, например, эхинококковые. Такие кисты заполнены жидкостью, представляющей продукт жизнедеятельности данного паразита.
- Кистозно-глиозные изменения бывают случайной находкой?
Да, если человек перенёс инсульт «на ногах». Не так давно в наш центр обратилась молодая пациентка, которую в течение трёх недель лечили от гипертонической болезни. Она жаловалась на шаткость походки, головокружение, слабость, головные боли и высокое давление. Участковый врач, решив, что симптоматика указывает на гипертонический криз, назначил соответствующее лечение.
Решение пройти МРТ головного мозга пациентка приняла самостоятельно. Мы выявили достаточно обширную зону недавних кистозно-глиозных изменений, что позволило сделать вывод, что в тот момент, когда у женщины произошёл резкий скачок давления, случился инсульт. Следовательно, и тактика лечения должна была быть иной. От серьёзных последствий пациентку спасло то, что инсульт произошёл в той области мозга, в которой нет жизненно важных центров. Можно сказать, что она «родилась в рубашке». Но так бывает не всегда. Поэтому если вы неважно себя чувствуете – скачет давление, кружится и болит голова, вы испытываете слабость – не тяните с обращением в центр МРТ-диагностики. Основываясь только на симптомах, поставить правильный диагноз зачастую бывает сложно.
- С какими типами так называемых «неопасных кист» головного мозга врачи центров «МРТ Эксперт» сталкиваются чаще всего?
Нередко мы находим у наших пациентов, как вариант врождённых образований, арахноидальные ликворные кисты. На снимках мы видим, что одна из долей мозга больше другой, а свободное место заполнено ликвором. Такие кисты появляются по причине того, что во время внутриутробного развития мозг формировался несимметрично и не влекут за собой никаких проблем для здоровья человека.
Я встречала пациентов, у которых с одной стороны не хватало четвёртой части мозга. Но при этом такая арахноидальная ликворная киста никак не отразилась на их самочувствии и мыслительной деятельности. Это происходит потому, что компенсаторные возможности центральной нервной системы высоки. Поэтому говорить о размерах, являющихся нормой для такого вида кисты, не совсем корректно. Из случая, который я описала, видно – даже огромная арахноидальная ликворная киста может не доставлять человеку никакого дискомфорта, кроме головных болей в случае повышения внутричерепного давления. Назначение лекарственных препаратов с целью нормализации оттока ликвора помогает таким пациентам снять головную боль.
Микрокисты эпифиза – другой вид неопасных кист, достаточно часто выявляемых при МРТ-исследованиях. Их размер обычно составляет от 3 до 5 мм. Если образование больше указанных параметров, мы рекомендуем провести МРТ с контрастным усилением. Это необходимо для того, чтобы исключить онкологию.
Когда применение контраста при МРТ – необходимость? Узнать здесь
Крупные кисты эпифиза нужно наблюдать в динамике, микрокисты не требуют такого внимания.
- Какими симптомами проявляют себя кисты головного мозга?
Что касается врождённых, то это, в основном, «молчащие» кисты, крайне редко увеличивающиеся в размерах и приводящие к какой-то симптоматике. Этот вид кист не представляет никаких угроз и в плане озлокачествления.
Вторичные кисты могут давать симптомы, порой достаточно грозные. Чаще это - головные боли, при нарушении ликвородинамики бывает тошнота и рвота, возможно появление фокальных судорог – в лице, руке или ноге. Если размер кисты настолько велик, что приводит к смещению определённых структур головного мозга, это может привести к парезам, параличам, угнетению сознания.
Как снять головную боль напряжения? Узнать здесь
- МРТ позволяет определить вид кисты?
МРТ головного мозга с внутривенным контрастированием на аппарате мощностью не менее 1,5 Тесла позволяет определить тип кисты с высокой точностью. Каждый вид кисты по-своему накапливает контрастное вещество.
- Диагноз «киста головного мозга» - это всегда показание для операции?
Нет. При врождённых кистах, не дающих симптоматику, операции не проводятся. Эти кисты показано наблюдать с выполнением МРТ-исследования раз в 6 или 12 месяцев.
При приобретённых кистах, если речь идёт о кистозных формах метастатических опухолей, первичных глиальных опухолях, паразитарных кистах или абсцессах, нейрохирург часто принимает решение в пользу хирургического вмешательства. А коллоидные кисты третьего желудочка представляют собой ургентные ситуации, требующие срочного оперативного вмешательства.
- При проведении хирургического вмешательства по поводу кист головного мозга всегда проводится трепанация черепа?
Нет. Это зависит от локализации и типа кисты. При некоторых видах кист показано кистоперитонеальное шунтирование или микрохирургическая фенестрация базальных цистерн.
- К врачу какой специальности необходимо обратиться за консультацией, если в заключении после проведения магнитно-резонансной томографии указан диагноз «киста головного мозга»?
К неврологу или нейрохирургу. Как правило, в рекомендациях, как письменных, так и устных, мы указываем, консультация врача какой специализации нужна пациенту.
Доброкачественные образования головного мозга арахноидальные кисты
Арахноидальные кисты являются доброкачественными кистами, которые случаются на оси цереброспинальной точки относительно арахноидной мембраны и не сообщаются с желудочковой системой. Они обычно содержат прозрачную, бесцветную жидкость, которая, чаще всего, является нормальной спинномозговой жидкостью; редко, они содержат ксантохромовую жидкость. Большинство из них — аномалии развития. Некоторое количество арахноидных кист возникают в связи с новообразованиями или в результате спаек, возникающих в связи с лептомененитом, кровоизлиянием или хирургическим вмешательством. Они составляют примерно 1% внутричерепных масс; 50-60% встречаются в средней черепной ямке. Кисты в средней черепной ямке встречаются чаще у мужчин, чем у женщин; они встречаются преимущественно с левой стороны. Большинство из них возникают как аномалии развития. Небольшое количество арахноидных кист связано с новообразованиями. Просмотр Media Gallery
Арахноидальные кисты также встречаются в пределах спинного канала; в таких случаях арахноидальные кисты или арахноидные дивертикулы могут располагаться субдурально или в эпидуральном пространстве соответственно.
Спинные арахноидные кисты обычно расположены дорсально хорды в грудной области. Киста в этом месте обычно является вторичной по отношению к врожденному или приобретенному дефекту и находится в экстрадуральном месте.
Интрадуральные спинальные арахноидальные кисты могут быть врожденными или являются результатом спаек, вызванных предыдущей инфекцией или травмой. Микроскопическое исследование показывает, что их стенки образованы из расщепления арахноидальной мембраны, с внутренней и внешней листочками, окружающими полость кисты.
Спинные арахноидальные кисты, как правило, неправильно диагностируются, потому что симптомы часто неспецифичны. Часто кисты являются случайным нахождением в магнитно-резонансной томографии (МРТ). Обычно арахноидальные кисты бессимптомны; это верно даже для кист, которые довольно велики. К наиболее часто встречающимся клиническим признакам относятся головная боль и судороги; фокальные неврологические признаки встречаются реже. Тактика лечения арахноидных кист вызывает споры и по сей день.
Некоторые клиницисты выступают за лечение только пациентов с симптоматическими кистами, тогда как другие считают, что даже бессимптомные кисты следует декомпрессировать, чтобы избежать будущих осложнений. Наиболее эффективным хирургическим лечением является удаление наружной мембраны кисты и цистоперитонеального шунтирования. Кисты, которые вызывают симптомы, лучше всего оценивают с помощью МРТ; они должны быть хирургически удалены, если это возможно.
Описана генетическая связь с арахноидальными кистами. Синдром Чудли-Маккалоу является аутосомно-рецессивным расстройством, связанным с тяжелой и глубокой сенсоневральной потерей слуха и частичной агенезией мозолистого тела. Другие аномалии головного мозга, сообщаемые с синдромом, включают лобную полимикрогирию и гетеротопию серого вещества, дисплазию мозжечка, вентрикуломегалию и арахноидальные кисты. Несмотря на эти значительные аномалии головного мозга, эти пациенты не проявляют клиники, за исключением потери слуха.
ДНК из пострадавших семей обнаружила 4 молекулярных вариации в гене G-белок-сигнальный модулятор 2, GPSM2. Последующая визуализация головного мозга у этих лиц выявила лобную полимикрию, аномальное мозолистое тело и гетеротопию серого вещества, что согласуется с диагнозом синдрома Чудли-Маккалоу, но без вентрикуломегалии. Генный продукт, GPSM2 необходим для ориентации митотического веретена во время деления клеток в нескольких тканях, что указывает на то, что пороки развития мозга обусловлены дефектами асимметричных клеточных делений во время развития [6].
Предпочтительные методы визуализации
МРТ является диагностической процедурой выбора из-за ее способности демонстрировать точное местоположение, степень и связь арахноидальной кисты с соседним мозгом или спинным мозгом. Миелография и компьютерная томография (КТ) остаются диагностически значимымми. Простые рентгенографические данные неспецифичны и мало что могут предложить при диагнозе арахноидальных кист, хотя изменения в черепе черепа могут быть обнаружены на рентгенограммах черепа, выполненных по другим показаниям, таким как травма.
Краниальная ультрасонография является важным диагностическим инструментом в течение первого года жизни. Хотя симптоматические арахноидные кисты сравнительно редки у младенцев, ультразвук полезен в качестве неинвазивного метода визуализации с высоким выходом в обнаружении и характеристике кистозных масс. Хотя ангиография может проявлять ассоциированные аномалии венозного дренажа и отношения поражения к нормальной сосудистой сети, которые могут быть полезны для хирургического планирования, на практике ангиография редко выполняется, потому что поскольку КТ-ангиография или магнитно-резонансная ангиография предоставляют такую же информацию но неинвазивно. Современные подходы таковы, что необходимо приложить все усилия для надежного обнаружения арахноидных кист, поскольку большинство арахноидных кист являются случайной находкой и бессимптомны. Арахноидальные кисты должны быть дифференцированы от более серьезных кистозных внутричерепных и внутриспиральных опухолей. В случаях, связанных с более крупными арахноидными кистами, следует учитывать возможность сканирования в динамике, поскольку такие кисты могут увеличиваться с течением времени; пациенты с такими кистами могут стать претендентами на хирургическое вмешательство.
На обзорную рентгенограмму черепа нельзя полагаться, поскольку признаки неспецифичны. Арахноидальные кисты возможно принять за другие внутричерепные кисты различной этиологии. Путаница гораздо чаще встречается при приминении КТ.
Наиболее важная дифференциация заключается между арахноидными кистами и эпидермоидными кистами; МРТ (DWI) облегчают дифференцировку этих нозологий. Некоторые арахноидные кисты содержат белковые жидкости или кровь; в таких случаях потеря сигнала на DWI может не маркироваться, что может представлять проблемы диагностики. Кроме того, контраст ткани с визуализацией с восстановлением обратной связи с флуоресценцией (FLAIR) аналогичен изображению с T2-взвешенным изображением, но FLAIR не показывает сигнал, возникающий из CSF. Таким образом, в отличие от эпидермоидных кист, арахноидальные кисты, содержащие CSF, демонстрируют подавленный (низкий) сигнал на FLAIR.
Киста на МРТ головного мозга

Киста является достаточно частой находкой на МРТ головного мозга. Ее появление может быть спровоцировано разными факторами. Например, киста головного мозга может быть следствием нарушенного ликворооттока (ликворные кисты) или врожденной патологией, как арахноидальная киста головного мозга у детей. Диагностировать кистозное образование в головном мозге можно с помощью любого томографа. Здесь модель и мощность аппарата не играют сильного влияния на качество диагностики. Оценку кистозного участка головного мозга по данным MP-томографии пациентам проводят для:
- первичного определения кисты;
- определения этиологии внутримозговой и оболочной кисты;
- оценки качественного состава содержимого кист и ликворопроводящих структур;
- назначения этиотропной терапии;
- своевременного проведения профилактики осложнений.
Симптомы кисты головного мозга
Киста головного мозга может проявляться симптоматически или долгое время существовать бессимптомно. Признаки кистозного образования достаточно серьезные - это головная боль, атаксия, то есть нарушение контроля движений, различные приступообразные состояния, в том числе эпилептические припадки. Каким образом киста головного мозга или оболочек заявит о себе, зависит от ее локации и размеров.
Зачастую в начале своего формирования киста головного мозга развивается бессимптомно, и у пациента заподозрить эту патологию без процедуры МРТ головного мозга невозможно. Когда киста достигает больших размеров и начинает давить на соседние мозговые структуры, появляются неврологические симптомы. Тогда больной приходит на прием к неврологу. Врач, собрав все жалобы, чтобы выявить истинные причины недомогания, направляет пациента сделать МРТ головного мозга.
У лиц более старшего возраста кисты очень часто являются случайной находкой на МРТ или КТ головы при поиске каких-либо других проблем со стороны головного мозга.
Цена на МРТ 3 Тесла
Признаки кисты на МРТ головного мозга
Основная задача МРТ головы при подозрении на кисту - выяснить, какова ее локализация, размеры, соответствует ли степень изменений и местоположения с теми неврологическими проявлениями, что имеются у пациента. Вторая задача томографии - дифференцировать кистозное образование от опухоли головного мозга, сосудов или оболочек. Здесь врач на МРТ снимках будет искать следующие признаки:
- шарообразное образование с круглыми четкими краями;
- признаки жидкости внутри капсулы кисты;
- отсутствие тканевой инвазии в соседние структуры головного мозга.
МРТ при арахноидальной кисте
Арахноидальная киста является чаще врожденной патологией и представляет собой ликворную кисту, которая образуется между мозгом и паутинной или арахноидальной оболочкой. При этом происходит небольшое аномальное развитие - дуплицируются и образуются две арахноидальные оболочки. Между оболочками имеется пространство, которое может заполниться спинномозговой жидкостью.
Иногда арахноидальная киста является последствием таких состояний, как менингит, или других воспалительных заболеваний со стороны головного мозга. Она также может сопутствовать некоторым наследственным заболеваниям.
В большинстве случаев врожденная арахноидальная киста образуется на этапе эмбрионального развития и представляет собой некоторую аномалию развития оболочек мозга и нервной системы. Стенками врожденной арахноидальной кисты является паутинная оболочка. У вторичной кисты стенкой может являться рубцовая ткань, та же самая арахноидальная оболочка или дополнительное наслоение коллагена.
Самые частые симптомы арахноидальной кисты - это головная боль и головокружение. Бывает, что человека впервые после 30 лет и старше начинает болеть или кружиться голова, ему при таких симптомах делается МРТ головного мозга и обнаруживается киста оболочек как случайный артефакт.
МРТ или УЗИ головного мозга при кисте
Ранее, когда в арсенале диагностических методов у врачей не было магнитно-резонансной томографии, диагностика кист головного мозга осуществлялась с помощью УЗ-энцефалографии. Такое исследование справлялось с выявлением кистозных образований у маленьких детей, но у взрослого пациента могло обнаружить только очень крупное новообразование.
Читайте также:


