Мегалобластные макроцитарные анемии
Добавил пользователь Евгений Кузнецов Обновлено: 07.01.2026
Комплексное исследование с учетом количественного и качественного состава клеток, биохимических и гормональных показателей крови, которое позволяет диагностировать и уточнить патогенетический вариант анемии.
Синонимы английские
Метод исследования
SLS (натрий лаурил сульфат) – метод, проточная цитофлуориметрия, иммунохемилюминесцентный анализ, колориметрический фотометрический метод, кинетический метод (метод Яффе), иммунотурбидиметрия, конкурентный твердофазный хемилюминесцентный иммуноферментный анализ.
Единицы измерения
*10^9/л (10 в ст. 9/л), *10^12/л (10 в ст. 12/л), г/л (грамм на литр), % (процент), fL (фемтолитр), пг (пикограмм), пг/мл (пикограмм на миллилитр), мкмоль/л (микромоль на литр), г/л (грамм на литр), нмоль/л (наномоль на литр), кг/л (микрограмм на литр).
Какой биоматериал можно использовать для исследования?
Как правильно подготовиться к исследованию?
- Исключить из рациона алкоголь в течение 24 часов до исследования.
- Не принимать пищу в течение 12 часов до исследования.
- Исключить прием лекарственных препаратов, содержащих железо, в течение 72 часов до исследования.
- Полностью исключить прием всех лекарственных препаратов в течение 24 часов перед исследованием (по согласованию с врачом).
- Исключить физическое и эмоциональное перенапряжение в течение 30 минут до исследования.
- Не курить в течение 30 минут до исследования.
Общая информация об исследовании
Анемия – патологическое состояние, характеризующееся снижением количества эритроцитов и/или гемоглобина в крови.
Эритроциты благодаря наличию в них гемоглобина выполняют функцию транспорта газов – кислорода к тканям и углекислоты из тканей. Уменьшение содержания кислорода и избыток углекислоты в организме неизбежно приводят к развитию гипоксии, накоплению недоокисленных продуктов и нарушению метаболических процессов в тканях и органах. Появляются клинические симптомы гипоксии: головная боль, снижение памяти, сонливость, ощущение мелькания мушек перед глазами, головокружение, обмороки, учащенное сердцебиение, снижение артериального давления, боль в области сердца, мышечная слабость. Иногда наблюдается повышение температуры тела до субфебрильных цифр в связи с накоплением недоокисленных продуктов метаболизма в тканях.
Причины анемий разнообразны и тесно связаны с хроническими соматическими заболеваниями (патологией почек и печени, аутоиммунными, инфекционными и воспалительными заболеваниями, сахарным диабетом, опухолями), острой и хронической потерей крови, наследственными болезнями и неполноценным питанием, нехваткой витаминов и микроэлементов. Анемии возникают при недостаточном образовании эритроцитов в костном мозге (например, при дефиците железа, витаминов В12 и В6, истощении костного мозга) или преждевременном и чрезмерном разрушении эритроцитов в кровяном русле (например, при гемолизе).
В зависимости от механизмов возникновения и первичных причин существует несколько патогенетических вариантов анемий. Степень тяжести зависит от снижения уровня гемоглобина в крови и может быть легкой, среднетяжелой и тяжелой. Лабораторно анемии различаются по размерам эритроцитов (микро-, макро- и нормоцитарные), по содержанию гемоглобина в эритроцитах (гипо-, гипер- и нормохромные) и по количеству предшественников эритроцитов – ретикулоцитов в крови (гипо-, гипер и норморегенераторные).
Железодефицитная анемия является наиболее распространенной формой малокровия и связана с хроническими кровопотерями, нарушением всасывания или повышенным расходованием железа. Лабораторно проявляется микроцитарной гипохромной анемией со снижением количества железа крови и насыщения железом трансферрина, повышением уровня общей железосвязывающей способности сыворотки (ОЖСС) и трансферрина.
Острая постгеморрагическая анемия возникает в связи с наружным или внутренним кровотечением. Её диагностируют обычно при осмотре и инструментальном исследовании. В лабораторных анализах обнаруживают нормохромную нормоцитарную анемию. На 5-7-е сутки после кровотечения отмечается повышение количества ретикулоцитов. При потере больших объемов крови и железа появляются микроцитарные и гипохромные эритроциты.
Мегалобластная (пернициозная) анемия, связанная с дефицитом витамина В12 и фолиевой кислоты, лабораторно проявляется макроцитарной гиперхромной гипорегенераторной анемией с повышенным содержанием железа в крови и сниженной ОЖСС.
При гемолитических анемиях (талассемии, серповидноклеточной анемии, гемолизе под воздействием медикаментов, токсинов и аутоантител) в анализах выявляется нормохромная (гипохромная – только при талассемии), гиперрегенераторная анемия. Для данного варианта анемии важно определить морфологию эритроцитов и уточнить этиологию преждевременного и избыточного разрушения клеток крови.
Гипопластическая (апластическая) анемия связана с резким угнетением костномозгового кроветворения. В анализах выявляется панцитопения (нормохромная гипорегенераторная анемия, уменьшение количества лейкоцитов и тромбоцитов).
Для чего используется исследование?
- Дифференциальная диагностика анемий;
- исследование вероятных причин и механизма развития анемии;
- диагностика нарушений кроветворения;
- обследование лиц с высоким риском развития анемии.
Когда назначается исследование?
- При наличии клинических признаков недостаточности железа в организме (бледность и/или желтушность кожных покровов, общая слабость, утомляемость, сонливость, головокружения, шум в ушах, мелькание мушек перед глазами, обмороки);
- при снижении количества эритроцитов и/или гемоглобина по данным клинического анализа крови;
- при обследовании пациентов с истощением и тяжелыми хроническими заболеваниями, нарушением кроветворения.
Что означают результаты?
Общий анализ крови
1) Количество эритроцитов
- эритремия;
- хроническая сердечная и легочная недостаточность;
- стресс, физические нагрузки, пребывание в высокогорье;
- синдром Кушинга.
- анемии различного генеза;
- острые и хронические лейкозы;
- лимфомы;
- миелодиспластический синдром;
- лучевая болезнь;
- почечная недостаточность;
- гипотиреоз;
- прием цитостатиков.
- эритроцитоз;
- полицитемия;
- обезвоживание;
- ожоги;
- синдром Кушинга;
- кисты почек;
- рак печени;
- сердечная недостаточность;
- хронические заболевания легких с дыхательной недостаточностью.
- анемии различного генеза;
- кровопотеря;
- миелодиспластический синдром;
- болезнь Аддисона;
- гипергидратация;
- острые и хронические лейкозы, лимфомы;
- множественная миелома;
- цирроз;
- хроническая инфекция;
- гипотиреоз;
- болезни почек;
- беременность;
- аутоиммунные заболевания;
- дефицит витаминов В6, В12.
Причины повышения (макроцитоза):
- мегалобластная анемия;
- миелодиспластический синдром;
- болезни печени;
- беременность;
- гипотиреоз;
- алкоголизм;
- лечение эстрогенами, барбитуратами.
Причины снижения (микроцитоза):
- анемии (микросфероцитарная, железодефицитная, сидеробластная, талассемия);
- анемии при хронических заболеваниях;
- гипогидратация;
- алюминиевая интоксикация.
4) Дисперсия распределения эритроцитов по объему (RDW)
Причины повышения (анизоцитоза):
- анемии (гемолитические, железодефицитная, мегалобластная);
- остеомиелофиброз.
5) Среднее содержание гемоглобина в эритроците (MCH)
Причины повышения (гиперхромии):
- мегалобластная анемия;
- цирроз печени;
- период новорождённости.
Причины снижения (гипохромия):
- железодефицитная анемия;
- талассемия;
- сидеробластная анемия.
6) Средняя концентрация гемоглобина в эритроците (MCHC)
- мегалобластная анемия;
- микросфероцитоз;
- продолжительная гипогидратация;
- период новорождённости.
Причины снижения (абсолютная гипохромия):
- железодефицитная анемия;
- талассемия;
- сидеробластная анемия;
- гидремия.
7) Гематокрит обычно снижается при анемиях различной этиологии.
8) Количество тромбоцитов может быть увеличено при железодефицитной анемии и гемолитическом кризе, снижено при апластической или мегалобластной анемии.
9) Количество лейкоцитов снижается при мегалобластной или апластической анемии.
Мегалобластные анемии у детей Текст научной статьи по специальности «Клиническая медицина»
Аннотация научной статьи по клинической медицине, автор научной работы — Аргунова Елена Филипповна, Кондратьева Саргылана Афанасьевна, Ядреева Ольга Валерьевна, Протопопова Надежда Николаевна
С 2003 по 2016 гг. через онкологическое отделение педиатрического центра (ПДЦ) ГАУ РС (Я) «РБ No 1-НЦМ» прошло 6 больных с диагнозом: мегалобластная анемия. Средний возраст детей составил 13 лет. В клинической картине преобладал выраженный анемический синдром. Со стороны желудочно-кишечного тракта были изменения воспалительного характера в виде эзофагита, гастрита, дуоденита. У одного мальчика выявлен атрофический гастрит. Изменения со стороны нервной системы, в виде онемения пальцев рук и ног, присутствовали только у одной девочки. В гемограмме пациентов отмечалисьмакроцитарная гиперхромная анемия тяжелой степени, лейкопения, тромбоцитопения. У троих детей были определены уровень фолатов , у четверых – активность витамина В12 в сыворотке крови,у двоих – уровень фолатов был ниже показателей нормы. Активность витамина В12 оказалась низкой у всех обследованных. Двоим детям определили уровень фолатов эритроцитов, который также оказался ниже нормы. По данным обследования,у двоих пациентовконстатирован сочетанный дефицит витамина В12 и фолиевой кислоты. Причиной развития мегалобластной анемии явились недостаточное питание (отказ от продуктов животного происхождения), дифиллоботриоз, атрофический гастрит. У троих детей причина анемии осталась невыясненной. При своевременном диагностировании и проведении адекватной терапии с учетом основной причины данное заболевание поддается лечению с благоприятным прогнозом.
Похожие темы научных работ по клинической медицине , автор научной работы — Аргунова Елена Филипповна, Кондратьева Саргылана Афанасьевна, Ядреева Ольга Валерьевна, Протопопова Надежда Николаевна
MEGALOBLASTIC ANEMIA IN CHILDREN
In the period 2003-2016, 6 patients with a diagnosis of megaloblastic anemia passed through the Oncology Department of the Pediatric Center (PDT) of the Republic’s Hospital 1– National Center of Medicine. The average age of children was 13 years. In the clinical picture, pronounced anemic syndrome prevailed. On the part of the gastrointestinal tract, inflammatory changes predominated, in the form of esophagitis, gastritis, duodenitis. One boy hadatrophic gastritis. Changes in the nervous system, in the form of numbness of the fingers and toes, were present only in one girl. The patients’ hemograms showed hyperchromic anemia of severe degree, leukopenia, and thrombocytopenia. In 3 children , the level of folate was determined; in 4 children – the activity of vitamin B12 in serum; in 2 – the level of folate was lower than normal; with the activity of vitamin B12 low in all the examined. Two children were assessed for the level of folate red blood cells, which also turned out to be below normal. According to the survey, a combination deficit of vitamin B12 and folic acid was found in two patients. The cause of megaloblastic anemia was insufficient nutrition (rejection of animal products), diphyllobothriasis, and atrophic gastritis. In three children , the cause of anemia remained unclear. With timely diagnosis and adequate therapy, taking into account the underlying cause, this disease can be treated with a favorable prognosis.
Текст научной работы на тему «Мегалобластные анемии у детей»
DOI 10.25587/SVFU.2018.3(13).18850 УДК 616.155.194.5
Е.Ф. Аргунова, С.А. Кондратьева, О.В. Ядреева, Н.Н. Протопопова
МЕГАЛОБЛАСТНЫЕ АНЕМИИ У ДЕТЕЙ
Аннотация. С 2003 по 2016 гг. через онкологическое отделение педиатрического центра (ПДЦ) ГАУ РС (Я) «РБ № 1-НЦМ» прошло 6 больных с диагнозом: мегалобластная анемия. Средний возраст детей составил 13 лет. В клинической картине преобладал выраженный анемический синдром. Со стороны желудочно-кишечного тракта были изменения воспалительного характера в виде эзофагита, гастрита, дуоденита. У одного мальчика выявлен атрофический гастрит. Изменения со стороны нервной системы, в виде онемения пальцев рук и ног, присутствовали только у одной девочки. В гемограмме пациентов отмечалисьмакроцитарная гиперхромная анемия тяжелой степени, лейкопения, тромбоцитопения. У троих детей были определены уровень фолатов, у четверых - активность витамина В12 в сыворотке крови,у двоих - уровень фолатов был ниже показателей нормы.Активность витамина В12 оказалась низкой у всех обследованных. Двоим детям определили уровень фолатов эритроцитов, который также оказался ниже нормы. По данным обследования,у двоих пациентовконстатирован сочетанный дефицит витамина В12 и фолиевой кислоты.
Причиной развития мегалобластной анемии явились недостаточное питание (отказ от продуктов животного происхождения), дифиллоботриоз, атрофический гастрит. У троих детей причина анемии осталась невыясненной.
При своевременном диагностировании и проведении адекватной терапии с учетом основной причины данное заболевание поддается лечению с благоприятным прогнозом.
Ключевые слова: меголобластная анемия, дети, уровень фолатов, активность витамина В12
E.F. Argunova, S.A. Kondrat'eva, O.VIadreeva, N.N. Protopopova
MEGALOBLASTIC ANEMIA IN CHILDREN
Abstract. In the period 2003-2016, 6 patients with a diagnosis of megaloblastic anemia passed through the Oncology Department of the Pediatric Center (PDT) of the Republic's Hospital 1- National Center of Medicine. The average age of children was 13 years. In the clinical picture, pronounced anemic syndrome prevailed. On the part of the gastrointestinal tract, inflammatory changes predominated, in the form of esophagitis, gastritis, duodenitis. One boy hadatrophic gastritis. Changes in the nervous system, in the form of numbness of the fingers and toes, were present only in one girl. The patients' hemograms showed hyperchromic anemia of severe degree, leukopenia, and thrombocytopenia. In 3 children, the level of folate was determined; in 4 children - the activity of vitamin B12 in serum; in 2 - the level of folate was lower than normal; with the activity of vitamin B12 low in all the examined. Two children were assessed for the level of folate red blood cells, which also turned out to be below normal. According to the survey, a combination deficit of vitamin B12 and folic acid was found in two patients.
The cause of megaloblastic anemia was insufficient nutrition (rejection of animal products), diphyllobothriasis, and atrophic gastritis. In three children, the cause of anemia remained unclear.
With timely diagnosis and adequate therapy, taking into account the underlying cause, this disease can be treated with a favorable prognosis.
Keywords:megaloblastic anemia, children, folate levels, vitamin B12 activity
Мегалобластные анемии - группа наследственных и приобретенных анемий, связанных с нарушением синтеза ДНК вследствие дефицита витамина В и/или фолиевой кислоты. Важнейшим признаком этих анемий является мегалобластный эритропоэз в костном мозге: эритро-идные клетки имеют больший, чем в норме, размер, нежную структуру ядерного хроматина и диссоциацию созревания ядра и цитоплазмы. В периферической крови выявляются макроциты и мегалоциты[1]. В среднем частота впервые выявленной В12-дефицитной анемии составляет 10-20 случаев на 100 тыс. населения в год. Фолиеводефицитные анемии встречаются реже В-дефицитных [1]. Мегалобластная анемия у детей встречается редко, статистические данные о ее распространенности в детском возрасте отсутствуют. Для В12-дефицитной анемии характерна триада: поражение крови, желудочно-кишечного тракта и нервной системы. При фолиеводе-фицитной анемии отсутствует поражение нервной системы[2, 3].
Дефицит витамина В может быть обусловлен недостаточным питанием, нарушенным всасыванием (дефицит внутреннего фактора, нарушенное освобождение витамина В из комплекса с белком, заболевания желудочно-кишечного тракта, дифиллоботриоз) или нарушением метаболизма (врожденная ферментная патология, дефицит транскобаламина, воздействие закиси азота). Дефицит фолиевой кислоты наблюдается в педиатрической практике главным образом в 4 случаях: у недоношенных детей, при инфекциях, мальабсорбции и хроническом гемолизе. Комбинированный дефицит витамина В и фолиевой кислоты бывает при глютеновойэнтеро-патии, болезни Крона, спру [1, 2, 3, 4].
Фолиевая кислота содержится в зеленых листьях растений, фруктах, печени, почках. Мега-лобластная анемия может развиться через 4 месяца полного отсутствия поступления фолатов с пищей. Цианкобаломин (вит. В12) содержится в пищевых продуктах животного происхожения. Запасы данного витамина содержатся у человека в печени. Полное истощение запасов В при отсутствии поступления его в организм наступает только через 3 года [2, 3].
Целью данного исследования явилось изучение клинической картины, лабораторно-инстру-ментальных данных, выявление причин, вызвавших мегалобластную анемию у детей.
Материалы и методы
Проведен ретроспективный анализ 6 историй болезни детей от 8 до 17 лет, госпитализированных в онкологическое отделениепедиатрического центра с диагнозом мегалобластная анемия (ПДЦ)ГАУ РС (Я) «РБ № 1-НЦМ» в период с 2003 по 2016 годы.
Результаты и обсуждение
Средний возраст детей (3 мальчика и 3 девочки), когда был выставлен диагноз мегалобласт-ная анемия, составил 13 лет.У всех детей при поступлении были жалобы на слабость, вялость, головную боль и головокружение. Одна девочка жаловалась на онемение пальцев рук и ног, что характерно для В12-дефицитной анемии. Состояние 5 детей при госпитализации расценено как тяжелое, 1 ребенка - как средней степени тяжести. У 5 из 6 больных отмечалось повышение температуры тела, средний показатель температуры тела - 37,8°С. При осмотреу всех пациентов кожные покровы и видимые слизистые были очень бледные, у троих кожные покровы бы-лииктеричные. У двоих детей отмечалась иктеричность склер, у одного ребенка был стоматит, у двоих детей - «лакированный язык». У троих пациентов выявлена гепатомегалия, печень выступала из подреберья на 1,5 см, селезенка не пальпировалась. Физиологические отправления были без особенностей.
Из анамнеза болезни стало известно, что один ребенок практически не употреблял продукты животного происхождения в течение многих лет.
В гемограмме у обследуемых отмечались макроцитарная гиперхромная анемия тяжелой степени, средний уровень гемоглобина составил 49,8±10,4 г/л (пределы колебаний от 34 до 69 г/л), МСУ - 101,24±4,3 фл (от 87,1 до 121,2), МСН -31,7±2,1 пг (от 26,8 до 34,3); снижение количества эритроцитов - 1,42±0,17 х 10/12л (от 1,01 до 2,01х 10/12л); снижение гематокрита -15,1 % (от 10,4 до 21,5 %); лейкопения - 2,44±0,38 х 109/л (от 1,43 до 3,6 х 10/9л); тромбоцито-пения - 94,8±22,5 х 109/л (от 37 до 150х 10/9л).
В миелограмме у 4 больных были изменения, характерные для мегалобластной анемии:пунктат костного мозга клеточный,бластные клетки до 2 %,миелоидный росток сохранен; увеличение размеров миелоцитов, метамиелоцитов, палочкоядерных, сегментоядерных нейтрофилов, гиперсегментация нейтрофилов;эритроидный росток гиперплазирован, мегало-бластический тип кроветворения;преобладалипромегалобласты и базофильныемегалобласты ;признаки дизэритропоэза: двуядерные клетки, межъядерные хроматиновые мостики, тельца Жолли; ядра мегалобластов имели нежно-сетчатую структуру, в цитоплазме ранняя гемоглоби-низация; в ядрах клеток - дегенеративные изменения, митозы; мегакариоцитарный ростоксох-ранен. У девочки 8 лет в миелограмме отмечалось усиление пролиферации элементов эритро-поэза с признаками мегалобластоидности и выраженными признаками дисгрануло-, эритроме-гакариоцитопоэза. У мальчика 16 лет в миелограмме и трепанобиоптате была картина диспоэза двух ростков кроветворения, мегакариоцитарного и эритроцитарного, признаки миелофиброза I степени.
В биохимическом анализе крови наблюдалось повышение уровня билирубина за счет непрямой фракции ивыраженное повышение ЛДГ, что свидетельствует о гемолизе эритроцитов. Уровень билирубина составил в среднем 29,18±7,9 мкмоль/л, ЛДГ - 2336,36±641,4 Ед/л.
У троих детейбыли определены уровень фолатов, у четверых - активность витамина В в сыворотке крови. Из них удвоих- уровень фолатов был ниже показателей нормы (0,3 и 2,1 нг/ мл при норме от 3,1 до 20,5 нг/мл). Активность витамина В оказалась низкой у всех обследованных, составила в среднем 7,4±1,4 пмоль/л при норме от 20,6 до 196,7 пмоль/л. Двоим детям определили уровень фолатов эритроцитов, у девочки 14 лет этот показатель составил 58,87 нг/мл, у мальчика 17 лет - 0,0 нг/мл при норме 126-651 нг/мл.
При УЗИ внутренних органов у двоих детей обнаружили увеличение размеров печени, у четверых - увеличение размеров селезенки. Пятерым пациентам была проведена фиброэзофа-гогастродуоденоскопия (ФЭГДС) со взятием биопсии у двоих, в основном выявлены изменения со стороны верхних отделов пищеварительного тракта воспалительного характера, такие, как-катаральный дистальный эзофагит - у одного, застойная гастродуоденопатия -у троих, дуоденит - у одного, активный гастрит выраженный -у двоих детей. В биоптате слизистой желудка обнаружены НеИсоЬайегру1оп. У одного мальчика 17 лет гистологически подтвержден хронический атрофический гастрит.
У всех детей исследовали кал на яйца глист не менее 3 раз. В ходе обследования только у одной девочки 14 лет были выявлены яйца широкого лентеца, притом яйца паразита были обнаружены при повторной ее госпитализации, у двоих найдены цисты лямблий. Необходимо
отметить, что 3 детей жили на берегу реки Лена, один мальчик жил в Алдане, одна девочка - на берегу реки Томпо (с. Тополиное Томпонского района), один мальчик - в оленеводческом стаде Эвено-Бытантайском улусе. Двое детей отрицали употребление рыбы.
Мальчику из Эвено-Бытантайского улуса диагноз мегалобластная анемия был поставлен при повторной госпитализации с разницей в 6 лет. При первой госпитализации в возрасте 9 лет была макроцитарная гиперхромная анемия тяжелой степени (Нв 49 г/л, эр 1,2х 10/12л, цветной показатель 1,2, лейк 2,2х 10/9л), протеинурия до 0,66 г/л, оксалурия, но указанный диагнозне был установлен. Лечили ребенка по месту жительства и в онкогематологическом отделении педиатрического центра «РБ № 1-НЦМ» с диагнозом железодефицитная анемия,получил ге-мотрансфузию, витамин В , феррум лек внутримышечно, фолиевую кислоту в течение 10 дней. При повторной госпитализации в возрасте 15 лет, кроме макроцитарной гиперхромной анемии тяжелой степени (Нв - 34 г/л, эр 1,01х1012/л,МСУ 102,8 фл, МСН 33,4 пг, лейк 2,0х109/л, тромб 53х109/л), у мальчика также была протеинуриядо 1,66 г/л в сутки, цилиндрурия (гиалиновые цилиндры 1-3-2 в поле зрения), фосфатурия, соли мочевой кислоты, оксалурия. Установлен сопутствующий диагноз: острый тубулоинтерстициальный нефрит, дисметаболическая нефропатия. Сочетание мегалобластной анемии с протеинурией характерно для наследственного нарушения транспорта кобаламина рецепторами энтероцитов подвздошной кишки, синдрома Имерслунд-Гресбека [4].
Мальчик 16 лет с диагнозом апластическая анемия был направлен в Национальный медицинский исследовательский центр детской гематологии, онкологии и иммунологии им. Дмитрия Рогачева, где был установлен диагноз В12-дефицитная анемия (фолаты 5,7 нг/мл, вит В12
В отделении онкологии все дети получили лечение: гемотрансфузию, лечение витамином В по схеме, 5 больным параллельно была назначенафолиевая кислота. Все пациенты ответили на терапию и выписались с улучшением. Девочке с дифиллоботриозом была проведена дегельминтизация празиквантелем.
Мегалобластная анемияу детей встречается редко. За 14 лет наблюдения через онкологическое отделение ПДЦ прошло всего 6 больных. В основном болеют дети школьного, подросткового возраста.В клинической картине заболевших детей преобладал выраженный анемический синдром.Со стороны желудочно-кишечного тракта были изменения воспалительного характера, в виде эзофагита, гастрита, дуоденита.У одного мальчика выявлен атрофический гастрит. Изменения со стороны нервной системы в виде онемения пальцев рук и ног присутствовали только у одной девочки. В гемограмме у всех пациентов была панцитопения (ма-кроцитарная гиперхромная анемия тяжелой степени, лейкопения, тромбоцитопения), в связи с чем возникла необходимость дифференциальной диагностики с апластической анемией. В свою очередь, при панцитопении необходимо определить уровень фолатов и витамина В в сыворотке крови, а также уровень фолатов в эритроцитах. По данным обследования, у двоих пациентов констатирован сочетанный дефицит витамина В и фолиевой кислоты.Причиной развитиямегалобластной анемии явилисьнедостаточное питание (отказ от продуктов животного происхождения), дифиллоботриоз, атрофический гастрит. К сожалению, не у всех детей выяснена причина анемии. Таких больных,согласно клиническим рекомендациям,необходимо очень тщательно обследовать для выявления причины мегалобластной анемии [2, 3]. В первую очередь,должны быть исключеныглистная инвазия, дифиллоботриоз, далее патология-желудочно-кишечного тракта. Без устранения причины заболевания анемия в дальнейшем может рецидивировать.
При своевременном диагностировании и проведении адекватной терапии с учетом основной причины данное заболевание поддается лечению с благоприятным прогнозом.
1. Богданов, А.Н., Мазуров, В.И. Мегалобластные анемии / А.Н. Богданов, В.И. Мазуров // Вестник Санкт-Петербургской медицинской академии последипломного образования.- 2010.- Т. 2, № 4. - С. 82-86.
2. Демихов, В.Г.Анемия, обусловленная дефицитом фолиевой кислоты / В.Г. Демихов, Е.В.Демихова, В.Б. Скобин // Клинические рекомендации. Детская гематология / Под ред. А.Г. Румянцева, А.А. Масчана, Е.В. Жуковской. - М.: ГЭОТАР-Медиа, 2015. - С. 41-44.
3. Демихов, В.Г.Анемия, обусловленная дефицитом В12/ В.Г. Демихов, В.Б.Скобин, О.Н. Журина // Клинические рекомендации. Детская гематология / Под ред. А.Г. Румянцева, А.А. Масчана, Е.В. Жуковской. - М.: ГЭОТАР-Медиа, 2015. - С. 41-44.
4. Сметанина, Н.С. Мегалобластные анемии / Н.С. Сметанина // Практическое руководство по детским болезням.Гематология/онкология детского возраста / Под общ. ред. В.Ф.Коколиной, А.Г.Румянцева. - М.: МЕДПРАКТИКА-М, 2004.Т. 4. - С. 144-163.
1. Bogdanov, A.N., Mazurov, V.I. Megaloblastnyeanemii / A.N. Bogdanov, V.I. Mazurov // VestnikSankt-Pet erbmgskojmedicinskojiakademiiposlediplomnogoobrazovaniyia. - 2010. - T. 2, № 4. - S. 82-86.
2. Demikhov, V.G. Anemiyia, obuslovlennayia deficitom folievoji kisloty / V.G. Demihov, E.V. Demikhova, V.B. Skobin // Klinicheskie rekomendacii. Detskayia gematologiyia / Pod red. A.G. Rumyiantsceva, A.A. Maschana, E.V. ZHhukovskoji. - M.: GEHOTAR-Media, 2015. - S. 41-44.
3. Demikhov, V.G. Anemiyia, obuslovlennayia deficitom V12 / V.G. Demikhov, V.B. Skobin, O.N. ZHhurina // Klinicheskie rekomendatscii. Detskayia gematologiyia / Pod red. A.G. Rumyiantsceva, A.A. Maschana, E.V. ZHhukovskoij. - M.: GEHOTAR-Media, 2015. - S. 41-44.
4. Smetanina, N.S. Megaloblastnye anemii / N.S. Smetanina // Prakticheskoe rukovodstvo po detskim boleznyiam. Gematologiyia/onkologiyia detskogo vozrasta / Pod obshch. red. V.F. Kokolinoji, A.G. Rumyiantsceva. - M.: MEDPRAKTIKA-M, 2004. T. 4. - S. 144-163.
Мегалобластная анемия

Одной из форм малокровия является мегалобластная. Еще она известна как В12-фолиеводефицитная анемия. Эта патология развивается на фоне нарушения процесса кроветворения из-за атипичного изменения синтеза в РНК и ДНК клетках. Также этот недуг сопровождается образованием в костном мозге большого числа видоизмененных предшественников эритроцитов — мегалобластов. Распространенность В12-фолиеводефицитной анемии составляет приблизительно 10 % от всех случаев этого заболевания. Диагностируется недуг у лиц всех возрастов и половой принадлежности. Однако в большей степени мегалобластная анемия поражает пожилых людей. Это заболевание требует незамедлительно обращения к квалифицированному специалисту.
Информацию из данного раздела нельзя использовать для самодиагностики и самолечения. В случае боли или иного обострения заболевания диагностические исследования должен назначать только лечащий врач. Для постановки диагноза и правильного назначения лечения следует обратиться к профильному специалисту.

Симптомы мегалобластной анемии
Клиническая картина недуга достаточно специфична. Одним из самых типичных признаков заболевания считается микроцитоз. Это патологическое состояние характеризуется увеличением среднего эритроцитарного объема более, чем 100 куб. мкм. Уровень лейкоцитов и тромбоцитов тоже находится ниже допустимого уровня. Симптомы мегалобластной анемии связаны с кислородным голоданием организма, они представляют собой такие проявления:
- постоянное ощущение общей слабости в теле;
- систематические приступы миалгии;
- подавленное состояние и отсутствие настроения;
- одышка даже при незначительных физических нагрузках;
- отечность конечностей;
- чувство дискомфорта во всем теле;
- отсутствие аппетита.
Часто заболевание сопровождается нарушением вкуса и снижением чувствительности языка. Также пациенты с мегалобластной анемией жалуются на расстройства стула, приступы тошноты и рвоты. Кроме того, эта форма малокровия негативно сказывается на состоянии нервной системы. Это проявляется в онемении рук и ног.

Причины
Чаще всего мегалобластная анемия развивается в результате нехватки в организме витамина В12 и фолиевой кислоты. Среди наиболее распространенных причин, провоцирующих этот дефицит медики выделяют:
- патологии желудочно-кишечного тракта;
- алкоголизм;
- нарушения усвоения пищи;
- употребление наркотических препаратов;
- кишечный гельминтоз.
Кроме того, мегалобластная анемия и ее симптомы могут появиться у лиц, увлекающихся вегетарианством. Несбалансированное питание, состоящее из одной только пищи растительного происхождения, тоже считается одной из наиболее распространенных причин возникновения анемии. Также нехватка фолиевой кислоты часто диагностируется у женщин, вынашивающих ребенка.
Отдельно стоит сказать, что мегалобластная анемия часто возникает после употребления определенных лекарственных препаратов. К таковым относятся:
- антиметаболиты;
- противовирусные препараты;
- противосудорожные средства;
- противотуберкулезные препараты.
На развитие заболевания влияет частота приема, дозировка и индивидуальная переносимость составляющих лекарственного средства.
К какому врачу обратиться?
Макроцитарна анемія
Анемія — патологічний синдром, що характеризується зниженням рівня гемоглобіну в крові, що викликає порушення функції кровотворної системи та транспорту кисню, розвиток гіпоксії.
Для макроцитарної анемії характерним є аномальне збільшення еритроцитів (макроцитоз) до об'єму ≥100 фл/кл (фемтолітрів на клітину) при нормі 80–100 фл. Через збільшення еритроцитів у розмірах знижується їхня концентрація у крові, що призводить до зменшення вмісту гемоглобіну. В результаті, кров недоотримує необхідну кількість кисню.
Ступінь насичення еритроцитів гемоглобіном визначають за колірним показником кров'яних тілець. У нормі він становить 0,86–1,1. За відхиленнями від коефіцієнта патологію ділять на 2 види:
- Макроцитарна гіпохромна анемія — колірний показник нижче 0,86. Поділяється на таласемію та залізодефіцитну анемію.
- Гіперхромна макроцитарна анемія — колірний показник понад 1,1. Поділяється на мієлодиспластичний синдром, фолієводефіцитну та вітамін B12-дефіцитну анемію.
Також виділяють нормохромну анемію, при якій ЦП у межах норми, але в організмі є інші патологічні процеси, наприклад, кровотеча, хвороба кісткового мозку, позакістковомозкова пухлина та ін. До цієї категорії належать постгеморагічні та гемолітичні анемії.
Причини макроцитарної анемії
Зазвичай захворювання розвивається внаслідок дефіциту вітаміну B12 (ціанкобаламіну) або B9 (фолієвої кислоти).
Дефіцит цих сполук часто виникає при незбалансованому харчуванні. До факторів ризику належить вегетаріанство, оскільки ціанкобаламін міститься переважно у продуктах тваринного походження.
У деяких людей вітаміни надходять до організму, але не засвоюються. Можливі причини такої патології:
- автоімунні порушення;
- запальні хвороби тонкого та товстого кишечника;
- кишкова мальабсорбція;
- злоякісні утворення;
- надмірне вживання алкоголю;
- наркоманія.
Гостра та хронічна макроцитарна анемія можлива на тлі таких захворювань:
- гіпотиреоз;
- порушення обміну речовин;
- хвороби печінки (наприклад, цироз) та селезінки;
- лейкоз;
- рідкісні метаболічні порушення;
- надбана сидеробластна анемія.
До групи ризику належать люди зі спадковою схильністю, алкоголізмом, курці, вагітні жінки та пацієнти, які приймають лікарські препарати, що порушують синтез ДНК (протипухлинні засоби та імуносупресанти).
За причиною походження макроцитоз умовно поділяють на великі групи:
- Мегалобластний — виникає за вітамінної недостатності.
- Немегалобластний — розвивається на тлі різних захворювань та клінічних станів, які не до кінця вивчені. Зазвичай це порушення, пов'язані зі збільшенням площі мембрани еритроцитів, що властиво хронічним патологіям печінки та селезінки.
Симптоми
На початковій стадії хвороби немає жодних симптомів. Вони поступово розвиваються зі зменшенням вмісту у крові нормальних еритроцитів. Незалежно від форми основні прояви патології однакові:
- загальна слабкість;
- швидка стомлюваність;
- часті головні болі;
- запаморочення;
- порушення сну;
- шум у вухах;
- миготіння «мушок» перед очима;
- пришвидшене серцебиття;
- задишка, особливо при фізичному навантаженні;
- погіршення апетиту;
- блідість шкірних покривів;
- зниження концентрації уваги;
- депресія;
- непритомність.
При дефіциті B12 нерідко спостерігаються такі порушення: зниження пам'яті, поколювання або оніміння рук, м'язова слабкість, нестійкість ходи, парестезія, труднощі при ходьбі.
При мегалобластній анемії можлива поява глоситу, розлад шлунка, розвиток анорексії.
Діагностика
Зважаючи на відсутність специфічних клінічних проявів хвороби, єдиний спосіб встановити діагноз — лабораторні дослідження:
- загальний аналіз (мазок) виявляє низький рівень гемоглобіну, гіпо-, нормо- або гіперхромію;
- біохімічний аналіз дає змогу визначити наявність чи відсутність дефіциту фолієвої кислоти чи ціанкобаламіну;
- мазок периферичної крові виявляє високий рівень розподілу еритроцитів та макроцитарні зміни у червоних кров'яних клітинах.
Оскільки макроцитарну анемію можуть спричинити різні патології та захворювання (по суті, вона є їхнім симптомом), проводять комплексну діагностику для встановлення точної причини — УЗД, КТ, МРТ, рентген, ендоскопію, гастроскопію та низку інших досліджень. Досить часто анемія виявляється випадково під час обстеження пацієнта з іншого приводу.
Лікування макроцитарної анемії
Терапевтична схема розробляється індивідуально для кожного пацієнта залежно від тяжкості стану та причини патології.
При легких формах, зумовлених вітамінною недостатністю, достатньо корекції режиму харчування. Дієта повинна містити велику кількість білка тваринного походження, вітамінів і заліза. Пацієнтам призначають такі вітамінні препарати для лікування макроцитарної анемії, як B12 Анкерманн (джерело ціанкобаламіну), Фолацин (джерело фолієвої кислоти).
При середньотяжких та тяжких формах пацієнта госпіталізують і вводять вітаміни парентерально.
Якщо анемія є наслідком якогось захворювання, обов'язково потрібне проведення відповідної терапії.
При надмірному зниженні рівня гемоглобіну здійснюють переливання еритроцитарної маси.
Ускладнення
Низький рівень гемоглобіну означає дефіцит кисню. Через це розвиваються тахікардія, підвищується артеріальний тиск. Якщо не розпочати лікування, це може призвести до дистрофії тканин та органів, порушення кровообігу, міокардіодистрофії зі збільшенням розміру серця, серцевої недостатності.
Дефіцит вітаміну В12 викликає різні неврологічні захворювання.
Якщо патологія зумовлена патологіями кісткового мозку, є ризик розвитку лейкемії.
Профілактика
Основу профілактики становлять збалансоване харчування та відмова від шкідливих звичок.
У таких випадках рекомендується профілактично приймати вітамінно-мінеральні комплекси:
- неповноцінний раціон;
- дотримання дієти;
- проживання у несприятливій екологічній обстановці;
- знижений імунітет;
- відновлювальний період після хвороби;
- емоційні потрясіння;
- періоди вагітності та лактації.
Список використаної літератури
Поширені запитання про макроцитарну анемію
Чим небезпечна патологія?
Через зниження рівня гемоглобіну організм не отримує достатньої кількості кисню, через що страждають усі органи та тканини. Анемія призводить до серцево-судинних та неврологічних захворювань.
До якого лікаря звертатись?
На захворюваннях крові спеціалізується гематолог.
Скільки лікується анемія?
Усе залежить від ступеня її тяжкості та етіології. Як правило, терапія триває 3–6 тижнів — стільки часу потрібно для поповнення дефіциту вітамінів. В інших випадках тривалість курсу здебільшого визначається ефективністю лікування основного захворювання, яке спричинило анемію.
Увага! Карта симптомов предназначена исключительно для образовательных целей. Не занимайтесь самолечением; по всем вопросам, касающимся определения заболевания и способов его лечения, обращайтесь к врачу. Наш сайт не несет ответственности за последствия, вызванные использованием размещенной на нем информации.
УВАГА! Увага! Ціни актуальні лише при оформленні замовлення в електронній медичній інформаційній системі Аптека 9-1-1. Ціни на товари при купівлі безпосередньо в аптечних закладах-партнерах можуть відрізнятися від тих, що зазначені на сайті!
Мегалобластные макроцитарные анемии
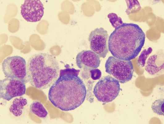
Мегалобластные анемии чаще всего являются следствием дефицита витамина B12 и фолата. Неэффективный гемопоэз оказывает влияние на все клеточные ростки, но в особенности на эритроидный. Диагностика, как правило, основана на данных общего анализа крови и мазка периферической крови, в которых обычно выявляют макроцитарную анемию с анизоцитозом и пойкилоцитозом, крупные эритроциты овальной формы (макроовалоциты), тельца Хауэлла-Жолли (остаточные фрагменты ядра), гиперсегментированные нейтрофилы и ретикулоцитопению. Лечение ориентировано на устранение первичного заболевания.
Мегалобласты представляют собой крупные ядерные предшественники эритроцитов с неконденсированным хроматином, вследствие нарушения синтеза ДНК. Макроцитами называют эритроциты увеличенных размеров (т.е. величина объема эритроцитов [MCV] > 100 фл/кл). Макроцитоз может наблюдаться в ряде клинических ситуаций, не связанных с созреванием мегалобластов.
Немегалобластный макроцитоз
Макроцитоз, связанный с избыточностью мембраны эритроцитов, встречается у пациентов с хроническим заболеванием печени, когда нарушена этерификация холестерина. Макроцитоз со средним объемом эритроцитов (MCV) от 100 до 105 фл/ячейку может встречатьсяпри хроническом употреблении алкоголя при отсутствии дефицита солей фолиевойкислоты. Слабо выраженный макроцитоз может встречаться при гипопластической анемии Апластическая анемия Апластическая анемия является патологией гемопоэтических стволовых клеток, которая приводит к потере предшественников гемопоэза, гипоплазии или аплазии костного мозга и цитопениям 2 или более. Прочитайте дополнительные сведения Немегалобластный макроцитоз подозревается у пациентов с макроцитарной анемией, когда при тестировании исключается дефицит витамина B12 или дефицит фолиевой кислоты. Эритроциты большого размера (макро-овалоциты) в мазке периферической крови и увеличенный показатель ширины распределения эритроцитов, типичные для классической мегабластной анемии, могут отсутствовать. Если немегалобластный макроцитоз не объясняется клиническими проявлениями (например, наличием апластической анемии Апластическая анемия Апластическая анемия является патологией гемопоэтических стволовых клеток, которая приводит к потере предшественников гемопоэза, гипоплазии или аплазии костного мозга и цитопениям 2 или более. Прочитайте дополнительные сведенияЭтиология
Наиболее частыми причинами мегалобластных состояний являются:
Нарушение утилизации витамина B12
Наиболее распространенной причиной дефицита витамина B12 является пернициозная анемия вследствие нарушения секреции внутреннего фактора (как правило, на фоне наличия аутоантител—смотрите Аутоиммунный метапластический атрофический гастрит Аутоиммунный метапластический атрофический гастрит Аутоиммунный метапластический атрофический гастрит – это наследственное аутоиммунное заболевание, поражающее париетальные клетки, что приводит к гипохлоргидрии и сниженной продукции внутреннего. Прочитайте дополнительные сведения Дефицит фолатов крайне редок в странах, где зерновые и крупы обогащены фолиевой кислотой. Тем не менее у пациентов с ограничительным диетой, хроническим употреблением алкоголя или анорексией может наблюдаться дефицит фолатов. Другими возможными причинами являются мальабсорбционные состояния, такие как целиакия Целиакия Целиакия - иммунологически опосредованное заболевание, развивающееся у генетически предрасположенных лиц и обусловленное непереносимостью глютена, что приводит к воспалению слизистой оболочки. Прочитайте дополнительные сведенияК другим причинам мегалобластоза относится прием лекарственных препаратов (обычно противоопухолевых, таких как гидроксимочевина, или иммуносупрессантов), которые нарушают синтез ДНК, и редкие метаболические нарушения (например, наследственная оротацидурия).
Патофизиология
Мегалобластные состояния являются результатом нарушения синтеза ДНК. Синтез РНК продолжается, при этом образуются крупные клетки с большими ядрами. Наблюдается нарушение синтеза клеток всех ростков, при этом созревание цитоплазмы опережает созревание ядра; это приводит к появлению мегалобластов в костном мозге, прежде чем они появляются в периферической крови. Нарушение образования клеток крови приводит к интрамедуллярной гибели клеток, что делает эритропоэз неэффективным. Поскольку нарушение гемопоэза охватывает все клеточные ростки, развивается ретикулоцитопения, а также на поздних стадиях лейкопения Обзор лейкопений (Overview of Leukopenias) Лейкопения – это снижение числа циркулирующих лейкоцитов 4000/мкл ( 9 /л). Она обычно характеризуется уменьшением числа циркулирующих нейтрофилов, хотя может отмечаться также уменьшение. Прочитайте дополнительные сведения и тромбоцитопения Обзор тромбоцитарных заболеваниях (Overview of Platelet Disorders) Тромбоциты – фрагменты клетки, которые функционируют в системе свертывания крови. Тромбопоэтин способствует контролю количества циркулирующих тромбоцитов, стимулируя костный мозг к выработке. Прочитайте дополнительные сведенияКлинические проявления
Мегалобластная анемия развивается постепенно и может протекать бессимптомно, пока не достигнет тяжелой степени. Распространенными являются желудочно-кишечные проявления, включая диарею, глоссит, и анорексию. Неврологические проявления, в том числе периферическая невропатия и неустойчивость походки, являются специфичными для дефицита витамина B12 и могут быть необратимыми при длительном дефиците. Парестезии могут быть проявлением дефицита витамина B12, даже до появления (или при отсутствии) анемии.
Диагностика
Общий анализ крови, эритроцитарные индексы, количество ретикулоцитов, мазок периферической крови
уровни витамина B12 и фолиевой кислоты
Мегалобластную анемию необходимо подозревать у всех пациентов с макроцитарной анемией. Его также следует рассматривать у пациентов с факторами риска, которые имеют необъяснимую парестезию и/или высокую ширину распределения эритроцитов (RDW). Диагностика, как правило, основана на исследовании мазка периферической крови Мазок периферической крови Анемия возникает при снижении числа эритроцитов (эритроциты измеряются количеством, гематокритом или содержанием гемоглобина в эритроцитах). У мужчин анемия определяется как уровень гемоглобина. Прочитайте дополнительные сведения 100 фл/кл при отсутствии железодефицита, малой талассемии или заболевания почек. В мазке периферической крови выявляется макроовалоцитоз, анизоцитоз (изменение размера эритроцитов) и пойкилоцитоз (изменение формы эритроцитов).
Уровень RDW высокий. Тела Хауэлла-Джолли распространены. Присутствует ретикулоцитопения. Гиперсегментация гранулоцитов развивается на ранней стадии; нейтропения развивается позже. В тяжелых случаях часто присутствует тромбоцитопения, и тромбоциты могут иметь аномальные размеры и форму. Хотя дефицит железа может маскировать наличие макроцитоза, по-прежнему должны присутствовать тельца Хауэлла-Жолли и гранулоцитарная гиперсегментация.
Следует определить сывороточные уровни витамина B12 фолиевой кислоты. Уровень витамина B12
Когда уровень витамина B12 не является диагностически ценным, необходимо определить уровни метилмалоновой кислоты (ММК) и гомоцистеина (ГЦ). Сывороточные уровни ММА и HCY повышены при дефиците витамина B12, в то время как при дефиците фолиевой кислоты повышается уровень только HCY. Почечная недостаточность повышает уровень ММК.
Если дефицит витамина B12 подтвержден, следует провести исследование на наличие аутоантител к внутреннему фактору.
Также необходимо провести оценку для определения причины дефицита витаминов.
Лечение
Соответствующие витаминные добавки
Необходимо восполняющее введение соответствующего витамина. Всегда необходимо исключить дефицит витамина B12 до начала восполняющего введения фолатов. Несоблюдение этого может маскировать сопутствующий дефицит витамина B12 и привести к прогрессированию неврологических осложнений.
Необходимо также лечить причину любого витаминодефицита.
Основные положения
Мегалобласты представляют собой крупные ядерные предшественники эритроцитов с неконденсированным хроматином.
Наиболее частой причиной мегабластной, макроцитарной анемии является дефицит или неполноценное использование витамина B12 или фолиевой кислоты.
Необходимо выполнить общий клинический анализ крови, анализ на эритроцитарные индексы, подсчет ретикулоцитов и анализ мазка периферической крови.
Определить уровни витамина B12 и фолиевой кислоты и рассмотреть определение уровней метилмалоновой кислоты и гомоцистеина.
Лечить причину дефицита витамина B12 или фолиевой кислоты.
Авторское право © 2022 Merck & Co., Inc., Rahway, NJ, США и ее аффилированные лица. Все права сохранены.
Читайте также:
- Имплантация, органогенез и плацентация.
- Иннервация барабанной полости. Нервы и сплетение барабанной полости
- Японский энцефалит. Возбудитель японского энцефалита
- Селективные модуляторы рецепторов эстрогенов (СМРЭ) в постменопаузе: тамоксифен и ралоксифен
- Ретикулярная формация. Глутамат, ГАМК, глицин, ацетилхолин
