Мешотчатая аневризма на КТ, ангиограмме
Добавил пользователь Евгений Кузнецов Обновлено: 08.01.2026
Рекомендовано
Экспертным советом
РГП на ПХВ «Республиканский центр
развития здравоохранения»
Министерства здравоохранения
и социального развития
Республики Казахстан
от «30» октября 2015 года
Протокол № 14
Аневризма сосудов головного мозга – представляет собой ограниченное или диффузное выпячивание стенки артерии или расширение её просветавследствие её истончения или растяжения [1].
Название протокола: Аневризма сосудов головного мозга
Код протокола:
Код (ы) МКБ – 10:
I67.1- Аневризма мозга без разрыва
Сокращения, используемые в протоколе:
| КТ – компьютерная томография АлТ – аланинтрансфераза АсТ – аспартатаминотрансфераза КТА – компьютерная томография – ангиография МРА – магнитно-резонансная томография - артериография МРТ – магнитно-резонансная томография ФГДС – фиброгастродуоденоскопия ЭКГ – электрокардиограмма ЭхоКГ – эхокардиография |
Дата разработки/пересмотра протокола: 2015 год.
Категория пациентов: взрослые.
Пользователи протокола: нейрохирурги, неврологи, анестезиологи-реаниматологи.
Оценка на степень доказательности приводимых рекомендаций.
Шкала уровня доказательности:
| А | Высококачественный мета-анализ, систематический обзор РКИ или крупное РКИ с очень низкой вероятностью (++) систематической ошибки, результаты которых могут быть распространены на соответствующую популяцию. |
| В | Высококачественный (++) систематический обзор когортных или исследований случай-контроль или высококачественное (++) когортное или исследований случай-контроль с очень низким риском систематической ошибки или РКИ с не высоким (+) риском систематической ошибки, результаты которых могут быть распространены на соответствующую популяцию. |
| С | Когортное или исследование случай-контроль или контролируемое исследование без рандомизации с невысоким риском систематической ошибки (+). Результаты которых могут быть распространены на соответствующую популяцию или РКИ с очень низким или невысоким риском систематической ошибки (++или+), результаты которых не могут быть непосредственно распространены на соответствующую популяцию. |
| D | Описание серии случаев или неконтролируемое исследование, или мнение экспертов. |
| GPP | Наилучшая фармацевтическая практика. |

Автоматизация клиники: быстро и недорого!
- Подключено 300 клиник из 4 стран
- 800 RUB / 4500 KZT / 27 BYN - 1 рабочее место в месяц

Автоматизация клиники: быстро и недорого!
- Подключено 300 клиник из 4 стран
- 1 место - 800 RUB / 4500 KZT / 27 BYN в месяц
Мне интересно! Свяжитесь со мной

13-15 октября, Алматы, "Атакент"
600 брендов, более 150 компаний-участников из 20 стран.
Новинки рынка стоматологии. Цены от производителей
Классификация
Классификация: Аневризма сосудов головного мозга подразделяется на мешотчатые и фузиформные. Выделяют одиночные и множественные аневризмы. По размерам выделяют мешотчатые аневризмы (до 1 см), крупные от 1 до 2,5 см и гигантские более 2,5 см [1,2,4,5].
Диагностика
Перечень основных и дополнительных диагностических мероприятий.
Основные (обязательные) диагностические обследования, проводимые на амбулаторном уровне:
· МРТ головного мозга;
или
· КТА сосудов головного мозга.
Минимальный перечень обследования, который необходимо провести при направлении на плановую госпитализацию: согласно внутреннему регламенту стационара с учетом действующего приказа уполномоченного органа в области здравоохранения.
Основные (обязательные) диагностические обследования, проводимые на стационарном уровне(при экстренной госпитализации проводятся диагностические обследования, непроведенные на амбулаторном уровне):
· группа крови и резус фактор;
· ЭКГ.
Дополнительные диагностические обследования, проводимые на стационарном уровне (при экстренной госпитализации проводятся диагностические обследования непроведенные на амбулаторном уровне):
· общий анализ крови;
· общий анализ мочи;
· биохимический анализ крови: общий белок, глюкоза крови, креатинин, мочевина, билирубин общий, билирубин прямой, АЛТ, АСТ;
· определение времени свертываемости капиллярной крови;
· коагулология (ПВ, МНО, фибриноген, АЧТВ);
· компьютерная томографияголовного мозга;
· магнитно-резонансная томография головного мозга;
· селективная церебральная ангиография;
· флюорография органов грудной клетки;
· ФГДС;
· ЭхоКГ.
Диагностические критерии постановки диагноза:
Жалобы и анамнез:
Жалобы [2,3,5] (УД – С):
· головные боли различной локализации и интенсивности.
Анамнез [2,3,4,5] (УД – С):
· аневризматическое внутричерепное кровоизлияние в анамнезе;
· курение;
· артериальная гипертония;
· употребление алкоголя;
Физикальное обследование [3,4,6](УД – В).
Неврологический статус:
· общемозговая симптоматика;
· поражение черепно-мозговых нервов в зависимости от размеров и локализации аневризмы;
· патологическая и\или менингиальная симптоматика.
Лабораторные исследования:нет специфических изменений со стороны анализов крови и мочи.

Инструментальные исследования[1,2,3,4,5,6](УД – А):
· Компьютерная томография головного мозга. На КТ головного мозга выявляется картина внтутричерепного кровоизлияния, наличие смещения срединных структур, состояние желудочковой системы.Картина аневризматического субарахноидального кровоизлияния представлена наличием гиперинтенсивного сигнала в субарахноидальном пространстве, цистернах головного мозга.
· Компьютерная томография – ангиография головного мозгаявляется наиболее достоверным неинвазивным методом диагностики аневризм сосудов головного мозга.На КТА выявляются признаки аневризмы сосудов головного мозгав виде локального выпячивания стенки артерии.
· Магнитно-резонансная томография головного мозга выявляет характерную картину мешотчатого образования в проекции сосудов головного мозга.Магнитно-резонансная томография головного мозга в артериальном режиме выявляет локальное выпячивание стенки церебрального сосуда.
· Церебральная ангиография является наиболее достоверным, инвазивным методом диагностики аневризм сосудов головного мозга. На церебральной ангиографии определяется локальное выпячивание стенки артерии головного мозга.
Схема 1. Алгоритм диагностики субарахноидального кровоизлияния и источника кровотечения[8] (УД - С).
Показания для консультации специалистов:
Консультация узкого специалиста при наличии сопутствующей патологии внутренних органов или систем в стадии обострения и/или декомпенсации.
Дифференциальный диагноз
Дифференциальный диагноз [2,5](УД – С):
Таблица 1. Основные клинические дифференциально-диагностические критерии аневризм сосудов головного мозга.
| Аневризмасосудовголовногомозга | Опухолиголовногомозга | Паразитарные заболевания головногомозга | |
| Клиническая картина | Аневризмы сосудов головного мозга без разрыва чаще протекают бессимптомно. Обращает на себя внимание наличие нетравматических внутричерепных кровоизлияний в анамнезе. В анамнезе имеется длительная артериальная гипертония, курение, употребление алкоголя. Имеются факторы наследственности носителей аневризм. При объективном осмотре патогномоничных симптомов может не быть. Заболевание чаще проявляется общемозговой симптоматикой, очаговая неврологическая симптоматика встречается при больших размерах аневризм. | Клиническая картина при опухолях головного мозга сопровождается общемозговой и очаговой неврологической симптоматикой. Анамнез заболевания может носить длительный или прогредиентный характер. Могут быть указания на факторы окружающей среды (проживание в экологически не благополучном районе, воздействие ионизирующего излучения и др.). При объективном осмотре обращает на себя внимание наличие очаговой и общемозговой неврологической симптоматики в зависимости от локализации и размеров опухоли. В лабораторныханализахспецифическиеизменениянеопределяются. | Клиническая картина при паразитарных поражениях головного мозга сопровождается общемозговой и очаговой неврологической симптоматикой. В анамнезе пациенты указывают на проживание в эндемичном районе, употребление в пищу термически не обработанного мяса мелкого и крупного рогатого скота. Наличие первичных очагов паразитарного поражения организма (легкие, печень и др.). При объективном осмотре выявляется очаговая и общемозговая неврологическая симптоматика в зависимости от локализации и размеров патологического процесса. Прииммунологическомисследованиикровивыявляютсяантитела к паразитам. |
| Инструментальные исследования | На КТ, МРТ головного мозга аневризма определяется как округлое образование, с четкими границами, по локализации совпадает с магистральными сосудами головного мозга. При контрастировании аневризмы выявляется четкий контур мешка и несущего сосуда. | На КТ, МРТ головного мозга опухоли головного мозга определяется как округлое или не правильной формы образование, с четкими или не четкими границами, структура образования не однородная, по периферии образование наблюдается перифокальный отек, различной локализации в головном мозге. Приконтрастномисследованииопухолиактивнонакапливаютконтрастноевещество. | На КТ, МРТ головного мозга паразитарная киста головного мозга имеет четкие контуры, округлую форму, неоднородность структуры, перифокальный отек, может быть множественный характер поражения. Паразитарные кисты контрастное вещество не накапливают. |
Лечение
Цели лечения[1,2,3,4,5,6,8](УД – А):
· выключение аневризмы из кровотока;
· профилактика разрыва аневризмы.
Тактика лечения.
· Первым этапом лечения является нейрохирургическое вмешательство.
· Медикаментозная терапия проводится в дооперационном периоде, во время операции и продолжается после операции в зависимости от клинической ситуации.
· В случаях наличия неврологического дефицита проводится нейрореабилитационное лечение.
Немедикаментозное лечение:
режим общий, диета №10.
Хирургическоевмешательство[2,3,4,5,6,8] (УД – А).
· Микрохирургическое клипирование аневризм сосудов головного мозга.
· Эндоваскулярная эмболизация аневризм сосудов головного мозга.
Медикаментозное лечение [3,4,6,9](УД – С):
Дальнейшее ведение.
При наличии неврологического дефицита показаны курсы нейрореабилитационного лечения:
· лечебная физкультура;
· занятия с логопедом, психологом.
Индикаторы эффективности лечения.
· Выключение аневризмы из кровотока. В ряде случаев выключение из кровотока только купола и тела аневризмы с остаточным кровотоком в области шейки аневризмы.
· Тромбирование аневризмы.
· Уменьшение общемозгового синдрома.
· Улучшение зрительных функций или прекращение прогрессирования зрительных нарушений при аневризмах внутренней сонной артерии.
Препараты (действующие вещества), применяющиеся при лечении
| Ацетилсалициловая кислота (Acetylsalicylic acid) |
| Ванкомицин (Vancomycin) |
| Гепарин натрия (Heparin sodium) |
| Дексаметазон (Dexamethasone) |
| Диклофенак (Diclofenac) |
| Кетопрофен (Ketoprofen) |
| Клопидогрел (Clopidogrel) |
| Надропарин кальция (Nadroparin calcium) |
| Нимодипин (Nimodipine) |
| Тикагрелор (Ticagrelor) |
| Цефазолин (Cefazolin) |
| Цефуроксим (Cefuroxime) |
Госпитализация
Показания к госпитализации с указанием типа госпитализации:
Показания к экстренной госпитализации: верифицированное аневризматическое внутричерепное кровоизлияние.
Показания к плановой госпитализации: наличие верифицированной аневризмы сосудов головного мозга при наличии в анамнезе аневризматического кровоизлияния, наличие признаков компрессии аневризмой структур головного мозга.
При разрыве аневризмы, хирургическое лечение показано вне зависимости от размера аневризмы. Показания к оперативному лечению при неразорвавшейся аневризме расширяются при росте размеров аневризмы при динамическом наблюдении с помощью методов нейровизуализации, наличие дивертикулов на стенке аневризмы.
Профилактика
Профилактические мероприятия.
· Соблюдение режима, исключение курения, употребления алкоголя.
· С целью послеоперационного контроля состояния аневризмы, исключения реканализации аневризмы, образования новой аневризмы, через 3-6 месяцев после операции выполняется МРТ головного мозга (режим МРТ, МРА+TOF).
· Контроль и лечение артериальной гипертонии.
· Диета с ограничением поваренной соли, жирной пищи.
· Исключение курения и употребления алкоголя.
· КТ головного мозга через 3-6 месяцев при массивном субарахноидальном кровоизлиянии и/или вентрикулярном кровоизлиянии, с целью исключения гидроцефалии.
Информация
Источники и литература
Информация
Список разработчиков с указанием квалификационных данных:
1) Махамбетов Ербол Таргынович – кандидат медицинских наук, АО «Национальный Центр Нейрохирургии», заведующий отделением сосудистой и функциональной нейрохирургии, Лауреат государственной премии Республики Казахстан, врач нейрохирург высшей категории.
2) Шпеков Азат Салимович – АО «Национальный Центр Нейрохирургии» врач нейрохирург первой категории отделения сосудистой и функциональной нейрохирургии.
3) Калиев Асылбек Бактбекович –АО «Национальный Центр Нейрохирургии» врач нейрохирург отделения сосудистой и функциональной нейрохирургии.
Конфликт интересов: отсутствует.
Рецензенты:
1) Карабаев Игорь Шамансурович – заведующий отделением нейрохирургии ФГБУ Всероссийский центр экстренной и радиационной медицины имени А.М. Никифорова, главный нештатный нейрохирург МЧС России, Ph.D., доцент кафедры хирургии и инновационных технологий Института ДПО «Экстремальная медицина», заслуженный врач России и Узбекистана, г. Санкт-Петербург, РФ.
2) Махамбаев Габит Джангельдинович – кандидат медицинских наук, заведующий отделением нейрохирургии КГП «Областной медицинский центр» города Караганды, главный нейрохирург Управление здравоохранения Карагандинской области.
Условия пересмотра протокола: пересмотр протокола через 3 года после его опубликования и с даты его вступления в действие или при наличии новых методов с уровнем доказательности.
Мешотчатая аневризма на КТ, ангиограмме
Диагностика мешотчатой аневризмы по КТ, МРТ, ангиограмме
а) Терминология:
1. Сокращения:
• Внутричерепная мешотчатая аневризма (МА)
2. Синонимы:
• Ягодная аневризма, истинная аневризма
3. Определения:
• Локальное выпячивание стенки артерии, затрагивающее только часть длины ее окружности:
о Внутренняя эластическая мембрана ± средняя оболочка отсутствуют
б) Визуализация:
1. Общие характеристики мешотчатой аневризмы головного мозга:
• Лучший диагностический критерий:
о Округлое/дольчатое выпячивание артериальной стенки:
- Обычно возникает в области бифуркации сосудов виллизиева круга (ВК), супраклиноидных отделах ВСА, СМА, артерий мозжечка
• Локализация:
о 90% локализуются на сосудах передней циркуляции:
- Наиболее часто - ПСоА, ЗСоА, бифуркация СМА, терминальные отделы внутренней сонной артерии
- Другие: параклиноидный отдел ВСА, верхняя гипофизарная, передняя хороидальная артерии (ПХА)
о 10% локализуются на сосудах задней циркуляции: верхушка основной артерии, мозжечковые артерии (наиболее часто-ЗНМА)
о Редкие (< 1 %): тройничная артерия, тройничная артерия, фенестрация вертебробазилярного перехода
о Аневризма в области бифуркации сосуда > аневризма на боковой стенке сосуда (например, блистерная аневризма)
• Размеры:
о От малых ( < 3 мм) до гигантских (>2,5 см)
• Морфология:
о Округлая, овоидная дочерняя аневризма(ы)
о Широкая или узкая шейка
о Ветвь сосуда может объединяться с шейкой аневризмы (что может препятствовать coil-эмболизации)
2. КТ при мешотчатой аневризме головного мозга:
• Бесконтрастная КТ:
о Разрыв МА приводит к субарахноидальному кровоизлиянию (САК):
- Характер распределения САК может помочь в определении локализации МА
о Если МА содержит тромб -> гиперденсная по отношению к мозговой ткани
о Может наблюдаться кальцификация стенки
• КТ с контрастированием:
о Равномерное контрастирование просвета проходимой МА
о При полном тромбозе МА возможно контрастирование в виде ободка
• КТ-ангиография:
о Чувствительность многосрезовой КТ-ангиографии в выявлении МА > 2 мм составляет > 95%
о Выполните поиск и других аневризм, поскольку у 20% пациентов наблюдаются множественные МА
о При разрыве МА выполните поиск ассоциированного с САК вазоспазма
о Альтернатива ЦСА в качестве первоочередного метода визуализации САК

(а) Проходимые мешотчатые аневризмы визуализируются на МР-изображениях как округлые гипоинтенсивные участки потери сигнала за счет эффекта потока. Представленная мешотчатая аневризма, локализующаяся в области бифуркации ВСА, обнаружена случайно на Т2-ВИ при МРТ головного мозга пожилого пациента.
(б) Тромбированные мешотчатые аневризмы (МА) могут быть значительно гиперденсными. Этот пациент поступил в приемное отделение по поводу внезапного появления правостороннего гемипареза. При проведении бесконтрастной КТ, как первоочередного исследования при подозрении на инсульт, была выявлена овоидная гиперденсная зона, а также структура в проксимальном отделе левой ВСА, по-видимому, представляющая собой тромб.
3. МРТ при мешотчатой аневризме головного мозга:
• Т1-ВИ:
о Проходимая аневризма (различные характеристики сигнала)
- В 50% мешотчатых аневризм (МА) отмечается потеря сигнала за счет эффекта потока
- 50% мешотчатые аневризмы (МА) характеризуются изо-/гетерогенной интенсивностью сигнала (медленный/турбулентный поток, эффекты насыщения, фазовая дисперсия)
о Частичный/полный тромбоз аневризмы:
- Характеристики сигнала зависят от возраста тромба
- Часто: сигнал смешанной интенсивности, слоистость тромба
- Гипоинтенсивный сигнал + зона «выцветания» изображения на последовательностях магнитной восприимчивости (GRE, SWI)
• Т2-ВИ:
о Обычно гипоинтенсивный сигнал (потеря сигнала за счет эффекта потока)
о Возможна визуализация слоистой структуры с очень гипоинтенсивным ободком
• FLAIR:
о Острое САК: высокий уровень сигнала от просвета борозд, цистерн
• ДВИ:
о Возможно ограничение диффузии, вторичное по отношению к ишемии, вызванной САК-ассоциированным вазоспазмом
о Визуализация последствий тромбоэмболии внутрианевризмальным тромбом (редко)
• Постконтрастные Т1-ВИ:
о Возможно контрастирование проходимого просвета аневризмы, в которой отмечается медленный кровоток
о Усиление фазового артефакта в проходимой МА
• МР-ангиография:
о 3D TOF: в > 90% случаев чувствительна к аневризмам > 3 мм
о Субстанции с коротким временем Т1, такие как подострое кровоизлияние, могут имитировать кровоток на МР-ангиографии в режиме TOF
4. Ангиография при мешотчатой аневризме головного мозга:
• Традиционная ЦСА:
о Техника:
- Инъекция обеих сонных артерий + доминирующей позвоночной артерии с рефлюксом в контрлатеральную ЗНМА или «четырехсосудистая» церебральная ЦСА
- Для оценки ПСоА может быть необходима перекрестная компрессия контрлатеральной сонной артерии
- Может быть полезна ротационная ЦСА с 3D-реконструкцией изображений в режиме оттененных поверхностей (SSD); но данный метод склонен к артефактам, обусловленным вариантом настройки окна
о Редко: экстравазация контрастного вещества при активном САК
о Выполните поиск соска Мерфи, (пузырек в участке недавнего разрыва аневризмы) дочерняя аневризма (меньшее в размерах выпячивание дна аневризмы, что вероятно указывает на фокальное ослабление ее стенки, ↑ риск ее разрыва)
5. Рекомендации по визуализации мешотчатой аневризмы головного мозга:
• Лучший инструмент визуализации:
о Бесконтрастная КТ, КТ-ангиография для диагностики САК
о КТ-ангиография или МР-ангиография для скрининга групп высокого риска
• Советы по протоколу исследования:
о КТ-ангиография в режиме двойной энергии с постпроцессинговым удалением костных структур для оценки МА в области основания черепа/параклиноидных отделов
о 3D SSD реконструкции весьма полезны для визуализации ПСоА и бифуркации СМА
(а) КТ-ангиография, исходный снимок: у этого же пациента определяются крутой «обрыв» левой ВСА, а также отсутствие заполнения контрастным веществом крупной полностью тромбированной мешотчатой аневризмы.
(б) КТ-перфузия: у этого же пациента определяется выраженное снижение мозгового кровотока в бассейне левой ВСА. При этом в области базальных ганглиев (питаемые лентикулостриарными ветвями неокклюзированной СМА) выраженных изменений не наблюдается. Ишемический инсульт может быть вызван дистальной миграцией тромба из тромбированной МА. (а) В стенках некоторых аневризм может отмечаться кальцификация. На изображении, полученном при бесконтрастной КТ представлена случайно обнаруженная МА, визуализированная здесь как хорошо очерченная округлая структура с ободком из кальцификатов.
(б) Вс последствии данному пациенту была проведена КТ-ангиография. Проекция максимальной интенсивности, корональный срез: в области бифуркации левой ВСА определяется проходимая мешотчатая аневризма.
в) Дифференциальная диагностика мешотчатой аневризмы головного мозга:
1. Сосудистая петля:
• Выполняйте оценку в нескольких проекциях
2. Сосудистая воронка:
• < 3 мм, коническая форма, начало сосуда непосредственно от вершины
• Обычно в области устьев соединительной артерии (ЗСоА) и передней хороидальной артерии (ПХА)
3. Веретеновидная аневризма:
• Колбасовидная форма, обособленные пути притока и оттока
• На длинном протяжении, как правило, локализуется на дистальных по отношению к ВК сосудах
• Может быть вторичной по отношению к атеросклеротическому повреждению
• Часто имеет этиологию, характерную для псевдоаневризмы:
о Травма, микотическое поражение, васкулит, заболевания соединительной ткани
4. Структуры, имитирующие потерю сигнала за счет эффекта потока (при МРТ):
• Пневматизация переднего клиновидного отростка
г) Патология:
1. Общие характеристики мешотчатой аневризмы головного мозга:
• Этиология:
о Развитие МА и риск ее разрыва отражают комплексную причину ее формирования: наследственная предрасположенность + механическое воздействие кровотока на стенки сосудов в течение жизни
о Аномальная сосудистая гемодинамика → ↑ механического воздействия:
- Вызванное кровотоком нарушение морфологии стенки сосуда наиболее вероятно при асимметрии ВК → ↑ развитие МА в области аномалии:
Аплазия А1 сегмента, персистирующая тройничная артерия
Установленная связь между развитием аневризмы и артериальными фенестрациями отсутствует
• Генетика:
о Семейные внутричерепные аневризмы (СВА):
- Отсутствие известного наследственного заболевания соединительной ткани
- Встречаются «группами» (у родственников первой степени родства)
- Более молодые пациенты, отсутствие преобладания встречаемости у женщин (по сравнению со спорадическими МА)
- Необходимо рассматривать возможность проведения скринингового исследования (КТ-/МР-ангиография)
• Ассоциированные аномалии:
о ↑ заболеваемость у пациентов с:
- Фибромышечной дисплазией (ФМД): аутосомно-доминантные, спорадические формы
о Двустворчатый аортальный клапан
о Аутосомно-доминантная поликистозная болезнь почек (10% пациентов имеют МА)
о Внутричерепная АВМ: аневризмы питающей артерии («гемодинамические аневризмы») отмечаются в 30% случаев:
- Могут регрессировать после лечения АВМ
2. Макроскопические и хирургические особенности:
• Мешок округлой/дольчатой формы, тонкая или толстая стенка + САК
3. Микроскопия:
• Разрушение/отсутствие внутренней эластической мембраны
• Отсутствие мышечного слоя
• Возможно наличие «соска» хрупкой адвентиции
д) Клинические проблемы мешотчатой аневризмы головного мозга:
1. Проявления:
• Наиболее частые признаки/симптомы:
о Подавляющее большинство неразорванных мешотчатых аневризм (МА) бессимптомны:
- Редко отмечается нейропатия черепных нервов (например, парез ЧН III с нарушением функции зрачка вследствие аневризмы ЗСоА)
- ТИА/инсульт вследствие тромбоэмболии интрааневризмальным тромбом (редко)
о 80-90% нетравматических САК возникают вследствие разрыва мешотчатой аневризмы (МА):
- Головная боль (типична по типу «удара грома»)
• Клинический профиль:
о Два основных профиля:
- Пациент среднего возраста, жалующийся на «сильнейшую в жизни головную боль» вследствие разрыва мешотчатой аневризмы (МА) → САК
- Случайная находка при диагностической визуализации пациента любого возраста, выполняемой по поводу несвязанных с аневризмой симптомов
2. Демография:
• Возраст:
о ↑ заболеваемость с возрастом; редко встречается у детей
• Пол:
о М < Ж (особенно множественные аневризмы)
• Эпидемиология:
о Выявление при аутопсии неразорвавшейся мешотчатой аневризмы (МА) как случайной находки - 2-6%
о Ежегодный риск формирования аневризмы de novo у пациентов с МА в анамнезе = 0,8%
3. Естественная история и прогноз:
• Риск разрыва:
о Размеры: МА < 7 мм имеют низкий риск разрыва
о Увеличение в размерах, риск разрыва неразорвавшихся аневризм:
- Темп роста размеров = 3,9% в год
- Риск разрыва - 1,8% в год
о При 20% разорвавшихся нелеченых МА отмечается повторное кровотечение в течение двух недель, при 50% - в течение шести месяцев
о Форма: вероятное ↑ риска САК при наличии дочерних аневризм; сосок Мерфи = участок недавнего разрыва и источника возможного повторного кровотечения при отсутствии лечения
о ↑ у курящих женщин, женщин с артериальной гипертензией в анамнезе
4. Лечение:
• Эндоваскулярный койлинг:
о Разорвавшаяся мешотчатая аневризма (МА): при койлинге относительный (22,6%) и абсолютный (6,9%) риск ↓, чем при открытых хирургических вмешательствах (одно исследование)
о Неразорвавшиеся МА: койлинг по сравнению с клипированием:
- ↓ При койлинге отмечаются более низкие заболеваемость, смертность, затраты на лечение, более короткое пребывание в стационаре, более быстрое восстановление
• Клипирование (открытое хирургическое вмешательство):
о Более низкий риск рецидива МА по сравнению с койлингом, хотя риск повторного кровотечения низок и при других методах лечения
о Может иметь преимущество при аневризмах СМА и другой локализации, когда сосудистая ветвь, берущая начало от МА, должна быть сохранена
е) Диагностическая памятка:
1. Обратите внимание:
• У пациента с САК и отрицательными результатами КТ-ангиографии предположите наличие блистерной аневризмы → необходимо выполнение ЦСА
• У пациента с локализацией кровоизлияния в межножковой цистерне предположите перимезенцефальное кровотечение
2. Советы по интерпретации изображений:
• Диффузное САК без формирования ограниченной гематомы → наиболее вероятная локализация разорвавшейся аневризмы - ПСоА
• Отсутствие сильвиевых борозд может быть признаком подострого (изоденсного) САК
Диагностика блистерной аневризмы головного мозга по КТ, ангиограмме
а) Терминология:
1. Сокращения:
• Блистерная аневризма (БА)
2. Определения:
• Имеющее широкое основание выпячивание сосуда на его неветвящемся участке:
о Супраклиноидный отдел внутренней сонной артерии (ВСА) >> СМА, ПМА, основная артерия
1. Общие характеристики блистерной аневризмы:
• Лучший диагностический критерий:
о Полусферическое выпячивание на широком основании передневерхней (дорсальной) стенки супраклиноидного отдела ВСА
о Быстрое изменение размера/морфологии на ангиограммах в динамике
• Локализация:
о Наиболее частая локализация - неветвящиеся участки супраклиноидного отдела ВСА (дорсальная > вентральная стенка)
о СМА (М1), ПМА (А1) передняя соединительная артерия, основная артерия(редко)
• Размеры:
о Обычно небольшие размеры (< 6 мм; средний: 3 мм)
• Морфология:
о Блистероподобная форма или форма полукупола

(а) На рисунке сагиттального среза в области дорсальной (верхнелатеральной) стенки супраклиноидного отдела внутренней сонной артерии (ВСА) показана блистерная аневризма (БА). Стенка блистерной аневризмы (БА) образована только тонким слоем фиброзной ткани.
(б) КТ-ангиография, сагиттальная реформация: у пациента с субарахноидальным кровоизлиянием (САК) поданным бесконтрастной КТ определяется небольшое полусферическое на широком основании заполненное контрастом выпячивание ВСА в области ее большего изгиба.
2. КТ при блистерной аневризме:
• Бесконтрастная КТ:
о Аневризмальное субарахноидальное кровоизлияние (аСАК)
• КТ-ангиография:
о ± асимметричное выпячивание супраклиноидного отдела ВСА
о БА часто слабовыражена, что обусловливает частые отрицательные результаты КТ-ангиографии
3. МРТ при блистерной аневризме:
• FLAIR:
о Гиперинтенсивный сигнал от СМЖ при наличии САК
• МР-ангиография:
о ± визуализируются при высокоразрешающей МР-ангиографии
4. Ангиография при блистерной аневризме:
• Традиционная ЦСА:
о Блистерная аневризма (БА) часто слабо выражена, имеет малые размеры
о Легкая неровность/небольшое фокальное полусферическое выпячивание стенки артерии характерной локализации
о Полезно мультипроекционное исследование ± 3D ЦСА
5. Рекомендации по визуализации:
• Лучший инструмент визуализации:
о Высокоразрешающая ЦСА
- Несколько косых проекций ± 3D ЦСА

(а) ЦСА, боковая проекция: у этого же пациента определяются классические внешние признаки блистерной аневризмы, что подтверждает результаты КТ-ангиографии, где было обнаружено фокальное полусферическое выпячивание сосуда на широком основании.
(б) ЦСА правой ВСА и ее ветвей, боковая проекция: у пациента с САК определяется небольшое полусферическое выпячивание передней стенки ВСА в ее параклиноидном сегменте. Неровность просвета ВСА в ее более дистальных отделах наиболее вероятно отражает сочетающееся расслоение артерии или атеросклеротическое поражение. Кроме того, выявляется вазоспазм ПМА и воронка ЗСоА.
в) Дифференциальная диагностика:
1. Мешотчатая аневризма (МА):
• Истинная аневризма, типична локализация в области бифуркации артерии
2. Вазоспазм:
• Как правило симметричное, концентрическое сужение сосуда
3. Атеросклероз:
• Часто имеется у пациентов с БА, трудно дифференцировать
4. Сосудистая воронка:
• Воронкообразная форма начального отдела сосуда; < 3 мм
• Частая локализация-начальные отделы задней соединительной артерии (ПСоА), передней хороидальной артерии (ПХА)
г) Патофизиология:
1. Общие характеристики:
• Этиология:
о Атеросклероз с изъязвлением, формированием гематомы
о Расслоение ВСА, атеросклероз, артериальная гипертензия
2. Макроскопические и хирургические особенности:
• Фокальный дефект артериальной стенки, покрытый фиброзной тканью:
о ± тонкий слой адвентиции (псевдоаневризма)
д) Клиническая картина блистерной аневризмы:
1. Проявления:
• Наиболее частые признаки/симптомы:
о «Громоподобная» головная боль, обусловленная САК
• Клинический профиль:
о Пациент среднего возраста с ангиограммо-негативным САК
2. Демография:
• Пол:
о М:Ж= 1:2
• Эпидемиология:
о 1-6% всех внутричерепных аневризм вызывают САК
3. Течение и прогноз:
• Более агрессивное поведение, большая вероятность интраоперационных осложнений по сравнению с МА:
о По сравнению с МА характерен более ранний разрыв, при меньших ее размерах
о Большая по сравнению с МА частота повторных кровотечений
4. Лечение:
• Непрочны, трудно поддаются лечению:
о Клипирование, окутывание аневризмы сопряжены с высоким риском разрыва:
- Авульсия БА, разрыв ВСА
- Высокий риск разрыва БА при расслоении (45%)
• Эндоваскулярное вмешательство:
о Малый размер, широкая шейка обусловливают трудновыполнимость койлинга
о Альтернативой является установка потоконаправляющих стентов
е) Диагностическая памятка. Советы по интерпретации изображений:
• Ангиограммо-негативное САК может быть обусловлено разрывом блистерной аневризмы (БА):
о Рассмотрите возможность раннего повторения ЦСА, поскольку риск повторного кровотечения для аневризм данного типа выше, чем для типичных мешотчатых аневризм
о Если у пациента с САК методами визуализации не выявляется мешотчатая аневризма, выполните поиск слабо выраженного куполообразного выпячивания участка ВСА в его супраклиноидном отделе
а) Терминология:
• Внутричерепная мешотчатая аневризма (МА)
• Локальное выпячивание стенки артерии, затрагивающее только часть длины ее окружности:
о Внутренняя эластическая мембрана ± средняя оболочка отсутствуют
б) Визуализация мешотчатой аневризмы:
• Округлое/дольчатое выпячивание артериальной стенки:
о Обычно возникает в области бифуркации сосудов виллизиева круга (ВК), супраклиноидных отделах ВСА, СМА, артерий мозжечка
о 90% локализуются на сосудах передней циркуляции
о 10% локализуются на сосудах задней циркуляции: верхушка основной артерии, мозжечковые артерии (наиболее часто - ЗНМА)
о Редко (< 1 %): тройничная артерия, фенестрация вертебробазилярного перехода
• Разрыв мешотчатой аневризмы (МА) приводит к САК
• Может наблюдаться кальцификация стенки
• Чувствительность многосрезовой КТ-ангиографии в выявлении МА > 2 мм составляет > 95%
• 3D TOF: в > 90% случаев чувствительна к аневризмам > 3 мм
(а) Наиболее частыми локализациями мешотчатой аневризмы (МА) являются ПСоА и область перехода ВСА-ЗСоА. Другими частыми участками локализации мешотчатой аневризмы (МА) являются бифуркация СМА и верхушка основной артерии.
(б) Разрыв аневризмы ПСоА с продолжающимся направленным кверху кровоизлиянием (сосок Мерфи) мешотчатой аневризмы (МА) задней соединительной артерии, а также мелкая аневризма в области бифуркации левой ВСА также представлены на рисунке. Вероятность наличия нескольких аневризм у пациента с выявленной МА составляет 20%. (а) Мужчина 63 лет был найден лежащим на стоянке и доставлен в приемное отделение. Бесконтрастная КТ, аксиальный срез: определяется диффузное субарахноидальное кровоизлияние с формированием фокальной гематомы в передненижнем отделе межполушарной борозды.
(б) КТ-ангиография, проекция максимальной интенсивности, корональный срез: у того же пациента определяется мешотчатая аневризма диаметром 4 мм, располагающаяся кверху от передней соединительной артерии.
в) Дифференциальный диагноз мешотчатой аневризмы:
• Сосудистая петля
• Сосудистая воронка
• Веретеновидная аневризма
• Структуры, имитирующие потерю сигнала за счет эффекта потока (например, пневматизированный передний клиновидный отросток)
г) Клиническая картина мешотчатой аневризмы:
• Подавляющее большинство неразорванных мешотчатых аневризм (МА) бессимптомны:
о 2-6% являются случайными находками при аутопсии, диагностической визуализации
• 80-90% нетравматических САК возникают вследствие разрыва мешотчатой аневризмы (МА)
• Лечение:
о Эндоваскулярный койлинг или клипирование аневризмы (открытое хирургическое вмешательство)
о При койлинге относительный (22,6%) и абсолютный (6,9%) риск I, чем при других вмешательствах по поводу разрыва аневризмы
о При койлинге отмечается более низкие заболеваемость, смертность, затраты на лечение, более быстрое восстановление (при неразорвавшихся аневризмах)
Аневризма аорты
Аневризма аорты – патологическое локальное расширение участка магистральной артерии, обусловленное слабостью ее стенок. В зависимости от локализации аневризма аорты может проявляться болью в грудной клетке или животе, наличием пульсирующего опухолевидного образования, симптомами компрессии соседних органов: одышкой, кашлем, дисфонией, дисфагией, отечностью и цианозом лица и шеи. Основу диагностики аневризмы аорты составляют рентгенологические (рентгенография грудной клетки и брюшной полости, аортография) и ультразвуковые методы (УЗДГ, УЗДС грудной/брюшной аорты). Хирургическое лечение аневризмы предполагает выполнение ее резекции с протезированием аорты либо закрытого эндолюминального протезирования аневризмы специальным эндопротезом.
МКБ-10

Общие сведения
Аневризма аорты характеризуется необратимым расширением просвета артериального ствола на ограниченном участке. Соотношение аневризм аорты различной локализации примерно следующее: аневризмы брюшной части аорты составляют 37% случаев, восходящего отдела аорты – 23%, дуги аорты – 19%, нисходящего отдела грудной аорты – 19,5%. Т. о., на долю аневризм грудной аорты в кардиологии приходится почти 2/3 всей патологии. Аневризмы грудного отдела аорты часто сочетаются с другими аортальными пороками - аортальной недостаточностью и коарктацией аорты.
Причины
По этиологии все аневризмы аорты могут быть разделены на врожденные и приобретенные. Формирование врожденных аневризм связано с наследственными заболеваниями стенки аорты:
Приобретенные аневризмы аорты могут иметь воспалительную и невоспалительную этиологию:
- Поствоспалительные аневризмы возникают вследствие специфического и неспецифического аортита при грибковых поражениях аорты, сифилисе, послеоперационных инфекциях.
- Невоспалительные дегенеративные аневризмы обусловлены атеросклерозом, дефектами шовного материала и протезов аорты .
- Гемодинамически-постстенотических и травматические аневризмы связаны с механическими повреждениями аорты
- Идиопатические аневризмы развиваются при медионекрозе аорты.
Факторами риска формирования аневризм аорты считаются пожилой возраст, мужской пол, артериальная гипертензия, табакокурение и злоупотребление алкоголем, наследственная отягощенность.
Патогенез
Кроме дефектности стенки аорты в формировании аневризмы принимают участие механические и гемодинамические факторы. Аневризмы чаще возникают в функционально напряженных зонах, испытывающих повышенную нагрузку вследствие высокой скорости кровотока, крутизны пульсовой волны и ее формы. Хроническая травматизация аорты, а также повышенная активность протеолитических ферментов вызывают деструкцию эластического каркаса и неспецифические дегенеративные изменения в стенке сосуда.
Сформировавшаяся аневризма аорты прогрессирующе увеличивается в размерах, поскольку напряжение на ее стенки возрастает пропорционально расширению диаметра. Кровоток в аневризматическом мешке замедляется и приобретает турбулентный характер. В дистальное артериальное русло поступает лишь около 45% крови от объема, находящегося в аневризме. Это связано с тем, что, попадая в аневризматическую полость, кровь устремляется вдоль стенок, а центральный поток сдерживается механизмом турбулентности и присутствием в аневризме тромботических масс. Наличие тромбов в полости аневризмы является фактором риска тромбоэмболий дистальных разветвлений аорты.
В сосудистой хирургии предложено несколько классификаций аневризм аорты с учетом их локализации по сегментам, формы, структуры стенок, этиологии. В соответствии с сегментарной классификацией выделяют
Оценка морфологического строения аневризм аорты позволяет подразделить их на истинные и ложные (псевдоаневризмы):
- Истинная аневризма характеризуется истончением и выпячиванием наружу всех слоев аорты. По этиологии истинные аневризмы аорты обычно атеросклеротические или сифилитические.
- Псевдоаневризма. Стенка ложной аневризмы представлена соединительной тканью, образовавшейся вследствие организации пульсирующей гематомы; собственные стенки аорты в формировании ложной аневризмы не задействованы. По происхождению чаще бывают травматическими и послеоперационными.
По форме встречаются мешотчатые и веретенообразные аневризмы аорты: первые характеризуются локальным выпячиванием стенки, вторые – диффузным расширением всего диаметра аорты. В норме у взрослых диаметр восходящей аорты составляет около 3 см, нисходящей грудной аорты - 2,5 см, брюшной аорты - 2 см. Об аневризме аорты говорят при увеличении диаметра сосуда на ограниченном участке в 2 и более раза.
С учетом клинического течения различают неосложненные, осложненные, расслаивающиеся аневризмы аорты. К числу специфических осложнений аневризм аорты относятся разрывы аневризматического мешка, сопровождающиеся массивным внутренним кровотечением и образованием гематом; тромбозы аневризмы и тромбоэмболии артерий; флегмоны окружающих тканей вследствие инфицирования аневризмы.
Особый тип представляет собой расслаивающаяся аневризма аорты, когда через разрыв внутренней оболочки кровь проникает между слоями стенки артерии и распространяется под давлением по ходу сосуда, постепенно расслаивая его.
Симптомы аневризмы аорты
Клинические проявления аневризм аорты вариабельны и обусловлены локализацией, размерами аневризматического мешка, его протяженностью, этиологией заболевания. Аневризмы могут протекать бессимптомно или сопровождаться скудной симптоматикой и выявляться на профилактических осмотрах. Ведущим проявлением служит боль, обусловленная поражением стенки аорты, ее растяжением или компрессионным синдромом.
Аневризма брюшной аорты
Клиника аневризмы брюшной аорты проявляется преходящими или постоянными разлитыми болями, дискомфортом в области живота, отрыжкой, тяжестью в эпигастрии, ощущением переполнения желудка, тошнотой, рвотой, дисфункцией кишечника, похуданием. Симптоматика может быть связана с компрессией кардиального отдела желудка, 12-перстной кишки, вовлечением висцеральных артерий. Часто больные самостоятельно определяют наличие усиленной пульсации в животе. При пальпации определяется напряженное, плотное, болезненное пульсирующее образование.
Аневризма грудной аорты
Для аневризмы восходящего отдела аорты типичны боли в области сердца или за грудиной, обусловленные сдавлением или стенозированием венечных артерий. Пациентов с аортальной недостаточностью беспокоит одышка, тахикардия, головокружение. Аневризмы больших размеров вызывают развитие синдрома верхней полой вены с головными болями, отечностью лица и верхней половины туловища.
Аневризма дуги аорты приводит к компрессии пищевода с явлениями дисфагии; в случае пережатия возвратного нерва возникает осиплость голоса (дисфония), сухой кашель; заинтересованность блуждающего нерва сопровождается брадикардией и слюнотечением. При компрессии трахеи и бронхов развиваются одышка и стридорозное дыхание; при сдавлении корня легкого - застойные явления и частые пневмонии.
При раздражении аневризмой нисходящей аорты периаортального симпатического сплетения возникают боли в левой руке и лопатке. В случае вовлечения межреберных артерий может развиваться ишемия спинного мозга, парапарезы и параплегии. Компрессия позвонков сопровождается их узурацией, дегенерацией и смещением с формированием кифоза. Сдавление сосудов и нервов клинически проявляется радикулярными и межреберными невралгиями.
Осложнения
Аневризмы аорты могут осложняться разрывом с развитием массивного кровотечения, коллапса, шока и острой сердечной недостаточности. Прорыв аневризмы может происходить в систему верхней полой вены, перикардиальную и плевральную полость, пищевод, брюшную полость. При этом развиваются тяжелые, подчас фатальные состояния – синдром верхней полой вены, гемоперикард, тампонада сердца, гемоторакс, легочное, желудочно-кишечное или внутрибрюшное кровотечение.
При отрыве тромботических масс из аневризматической полости развивается картина острой окклюзии сосудов конечностей: цианоз и болезненность пальцев стоп, ливедо на коже конечностей, перемежающаяся хромота. При тромбозе почечных артерий возникает реноваскулярная артериальная гипертензия и почечная недостаточность; при поражении мозговых артерий – инсульт.
Диагностический поиск при аневризме аорты включает оценку субъективных и объективных данных, проведение рентгенологических, ультразвуковых и томографических исследований. Аускультативным признаком аневризмы служит присутствие систолического шума в проекции расширения аорты. Аневризмы брюшной аорты обнаруживаются при пальпации живота в виде опухолевидного пульсирующего образования. Инструментальная диагностика:
- Рентгенография. В план рентгенологического обследования пациентов с аневризмой грудной или брюшной аорты включается рентгеноскопия и рентгенография грудной клетки, обзорная рентгенография брюшной полости, рентгенография пищевода и желудка.На заключительном этапе обследования выполняют аортографию, по данным которой уточняются локализация, размеры, протяженность аневризмы аорты и ее отношение к соседним анатомическим структурам.
- УЗИ. При распознавании аневризм восходящего отдела аорты используется эхокардиография; в остальных случаях проводится УЗДГ (УЗДС) грудной/брюшной аорты.
- Компьютерная томография. КТ (МСКТ) грудной/брюшной аорты позволяет точно и наглядно представить аневризматическое расширение, выявить наличие расслоения и тромботических масс, парааортальной гематомы, очагов кальциноза.
По результатам комплексного инструментального обследования принимается решение о показаниях к оперативному лечению. Аневризму грудной аорты следует дифференцировать от опухолей легких и средостения; аневризму брюшной аорты – от объемных образований брюшной полости, поражения лимфоузлов брыжейки, забрюшинных опухолей.

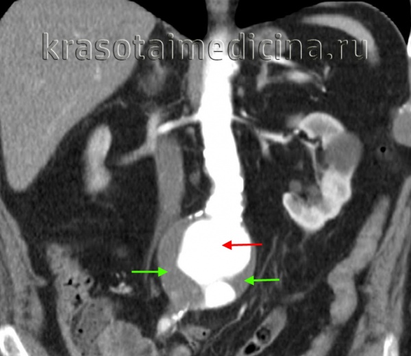
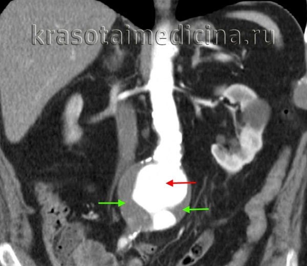
КТ-ангиография аорты. Аневризма брюшной аорты над бифуркацией. Просвет аневризмы (красная стрелка), пристеночный тромб (зеленая стрелка).
Лечение аневризмы аорты
При бессимптомном непрогрессирующем течении аневризмы аорты ограничиваются динамическим наблюдением сосудистого хирурга и рентгенологическим контролем. Для снижения риска возможных осложнений проводится гипотензивная и антикоагулянтная терапия, снижение уровня холестерина.
Оперативное вмешательство показано при аневризмах брюшной аорты диаметром более 4 см; аневризмах грудной аорты диаметром 5,5-6,0 см или при увеличении аневризм меньшего размера более чем на 0,5 см за полгода. При разрыве аневризмы аорты показания к экстренному хирургическому вмешательству абсолютные.
Хирургическое лечение аневризмы аорты заключается в иссечении аневризматически измененного участка сосуда, ушивании дефекта либо его замещении сосудистым протезом. С учетом анатомической локализации выполняется резекция аневризмы брюшной аорты, грудной аорты, дуги аорты, торакоабдоминальной части аорты, подпочечного отдела аорты.
При гемодинамически значимой аортальной недостаточности резекцию восходящей грудной аорты сочетают с протезированием аортального клапана. Альтернативой открытому сосудистому вмешательству служит эндоваскулярное протезирование аневризмы аорты с установкой стента.
Прогноз и профилактика
Прогноз аневризмы аорты, главным образом, определяется ее размерами и сопутствующим атеросклеротическим поражением сердечно-сосудистой системы. В целом естественное течение аневризмы неблагоприятное и связано с высоким риском смерти от разрыва аорты или тромбоэмболических осложнений. Вероятность разрыва аневризмы аорты диаметром 6 и более см составляет 50% в год, меньшего диаметра – 20% в год. Раннее выявление и плановое хирургическое лечение аневризм аорты оправдано низкой интраоперационной (5 %) летальностью и хорошими отдаленными результатами.
Профилактические рекомендации включают контроль АД, организацию правильного образа жизни, регулярное наблюдение у кардиолога и ангиохирурга, медикаментозную терапию сопутствующей патологии. Лицам из групп риска по развитию аневризмы аорты следует проходить скрининговое ультразвуковое обследование.
Читайте также:
