Метастатическое поражение височной кости - лучевая диагностика
Добавил пользователь Евгений Кузнецов Обновлено: 11.12.2025
КТ, МРТ при метастазах в основание черепа
а) Определение:
• Метастатическое поражение костей основания черепа и/или прилежащей твердой мозговой оболочки
б) Визуализация:
1. Общая характеристика:
• Лучший диагностический критерий:
о Контрастное деструктивное объемное образование костного основания черепа у пациента с диагностированной экстракраниальной первичной злокачественной опухолью
о Нередко наиболее крупный метастаз выявляется в сочетании с множественными другими метастазами основания и свода черепа, позвоночника и т.д.
• Локализация:
о Поражение костей:
- Развивается в местах наибольшего скопления костного мозга: скат затылочной кости, непневматизированная часть верхушки пирамиды височной кости и большое крыло клиновидной кости
о Поражение твердой мозговой оболочки:
- Встречаются в твердой мозговой оболочке любого отдела основания черепа - переднего, среднего или заднего
• Размеры:
о Иногда после выявления наиболее крупного основного вызывающего жалобы метастаза обнаруживаются другие, более мелкие, опухоли
о Мелкие новообразования, локализующихся в «стратегически важных» зонах, могут поражать черепные нервы
2. Рекомендации по визуализации:
• Лучший метод визуализации:
о МРТ с контрастированием позволяет наилучшим образом изучить внутрикостные новообразования основания черепа и оценить границы инвазии прилегающих мягких тканей:
- Без подавления сигнала от жира или не сравнивая результаты с преконтрастными Т1 томограммами, можно не заметить контрастные новообразования
• Рекомендации по протоколу исследования:
о На аксиальных и корональных преконтрастных Т1 томограммах без подавления сигнала жира определяются низкоинтенсивные новообразования головного мозга
о На томограммах в тех же проекциях в режиме Т1 с КУ и с подавлением сигнала от жира описываются опухоли костей и внекостной локализации

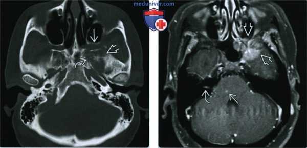
(Слева) При аксиальной КТ в костном окне у пациента, страдающего раком легких, с жалобами на боли в области лица слева и головокружение определяется литическое новообразование левой половины тела клиновидной кости. Обратите внимание на эрозию видиева канала, неровность краев крылонебной ямки и инвазию мягких тканей.
(Справа) При МРТ Т1 FS c КУ b аксиальной проекции определяется контрастное объемное образование крыла клиновидной кости, прорастающее в твердую мозговую оболочку. При более внимательном рассмотрении обнаружены лептоменингеальная опухоль в правом внутреннем слуховом проходе и мелкий метастаз в мост.
3. КТ при метастазах в основание черепа:
• КТ с КУ:
о Метастазы в основание и свод черепа: контрастные объемные образования, инфильтрирующие костный мозг
• КТ в костном окне:
о Картина поражения трабекулярной кости и кортикального слоя вариабельна: литические, склеротические, по типу «траченной молью»
о Склеротические опухоли могут симулировать доброкачественный эностоз (костный островок): при сцинтиграфии костей истинный эностоз представляет собой холодный очаг
4. МРТ при метастазах в основание черепа:
• Т1ВИ: гипоинтенсивное новообразование костного мозга, замещающее высокоинтенсивный жир
• Т2ВИ: вариабельный сигнал костного мозга в зависимости от клеточной плотности и/или от наличия склероза
• Т1ВИ FS с КУ:
о Контрастное объемное образование костномозгового канала ± внекостное распространение опухоли
о Обратите внимание: без подавления сигнала от жира интенсивный сигнал контрастируемой опухоли на фоне высокоинтенсивного жира может быть плохо заметен
5. Сцинтиграфия:
• ПЭТ/КТ:
о Литические деструктивные новообразования с умеренным или интенсивным захватом фтордезоксиглюкозы

(Слева) При МРТ Т1 с КУ в корональной проекции у пациентки 60 лет, страдающей раком молочной железы и парезом правого лицевого нерва, вдоль чешуи височной кости и каменистого гребня определяется контрастный метастаз в твердой мозговой оболочке с ровными контурами. Опухоль достигает коленчатого ганглия. Обратите внимание на экстракраниальную опухоль с латеральной стороны пораженной чешуи височной кости.
(Справа) При МРТ Т1 с КУ в аксиальной проекции определяется опухоль твердой мозговой оболочки, инфильтрирующая каменистый гребень, распространяющаяся периневрально и достигающая коленчатого ганглия ЧН VII и дна внутреннего слухового прохода.
в) Дифференциальная диагностика метастазов в основание черепа:
1. Миеломная болезнь:
• Новообразование, состоящее из плазматических клеток
• Множественные контрастные литические новообразования основания и свода черепа
2. Неходжкинская лимфома:
• Лимфопролиферативное новообразование
• Может сопровождаться мультифокальными экстранодальными и внелимфатическими новообразованиями основания черепа и твердой мозговой оболочки
3. Менингиома основания черепа:
• Первичное фиксированное к твердой мозговой оболочке контрастное новообразование (-я), сопровождающееся вторичным склерозом или прорастающее основание черепа
• Бывает множественной и может симулировать метастазы
4. Солитарное новообразование центрального отдела основания черепа:
• Инвазивная макроаденома гипофиза
• Хордома
• Хондросаркома
5. Идиопатический воспалительный псевдотумор:
• Неопухолевый фиброзно-воспалительный процесс верхушки глазницы, кавернозного синуса или основания черепа; определяется контрастное объемное образование
г) Патология. Общая характеристика:
• Этиология:
о Источник метастазов: рак молочной железы (40%) > рак легкого (14%) > рак предстательной железы (12%)
д) Клинические особенности:
1. Проявления:
• Типичные признаки/симптомы:
о Головные боли, боли в краниофациальной области и прогрессирующая односторонняя нейропатия ЧН
2. Демография:
• Эпидемиология:
о Первичные экстракраниальные злокачественные опухоли метастазируют в основание черепа у 4% больных
3. Лечение:
• Основным методом лечения при очаговом/изолированном поражении является лучевая терапия
д) Диагностическая памятка. Советы по интерпретации изображений:
• При обследовании головного мозга на предмет диагностики метастазов не забудьте исследовать основание черепа и прилегающую твердую мозговую оболочку
е) Список использованной литературы:
1. Bag АК et al: Neuroimaging: intrinsic lesions of the central skull base region. Semin Ultrasound CT MR. 34(5):412-35, 2013
2. Mitsuya К et al: Metastatic skull tumors: MRI features and a new conventional classification. J Neurooncol. 104(1):239-45, 2011
3. Nayak L et al: Intracranial dural metastases. Cancer. 115(9): 1947-53, 2009
Метастазы в кости
Метастазы в кости – вторичные злокачественные очаги в костной ткани, обусловленные распространением раковых клеток из первичной опухоли другого органа. Проявляются нарастающими болями, гиперкальциемией и патологическими переломами. В ряде случаев в пораженной области может обнаруживаться плотное опухолевидное образование. При сдавлении крупных сосудов возникают нарушения кровообращения, при сдавлении нервных стволов – неврологическая симптоматика. Диагноз устанавливается на основании анамнеза, жалоб, данных объективного осмотра, результатов лабораторных и инструментальных исследований. Лечение – радиотерапия, химиотерапия, оперативные вмешательства.

Общие сведения
Метастазы в кости – поражение костной ткани в результате распространения злокачественных клеток с током крови или лимфы. Возникают на поздних стадиях онкологического заболевания. 80% вторичных опухолей костной ткани выявляются при раке молочной железы и раке предстательной железы. Кроме того, метастазирование в кости нередко встречается при злокачественных новообразованиях щитовидной железы, раке легкого, злокачественных опухолях почки, саркоме, лимфоме и лимфогранулематозе. Для других новообразований поражение костной ткани менее характерно. При раке яичников, раке шейки матки, опухолях мягких тканей и желудочно-кишечного тракта метастазы в кости диагностируются очень редко. Лечение осуществляют специалисты в области онкологии, травматологии-ортопедии.
Виды метастазов в кости
В костной ткани постоянно происходят процессы резорбции и костеобразования. В норме эти процессы сбалансированы. Злокачественные клетки в области метастаза нарушают это равновесие, излишне активизируя остеокласты (клетки, разрушающие костную ткань) или остеобласты (молодые клетки новой костной ткани). С учетом преимущественной активизации остеокластов или остеобластов выделяют два типа метастазов в кости: остеолитические, при которых преобладает разрушение костной ткани и остеопластические, при которых наблюдается уплотнение участка кости. На практике чистые типы метастазов в кости встречаются редко, преобладают смешанные формы.
Чаще всего вторичные очаги выявляются в костях с богатым кровоснабжением: в позвоночнике, ребрах, тазовых костях, костях черепа, бедренных и плечевых костях. На начальных стадиях метастазы в кости могут протекать бессимптомно. В последующем сопровождаются нарастающими болями. Причиной болей становится как механическая (за счет сдавления), так и химическая (в результате выделения большого количества простагландинов) стимуляция болевых рецепторов, расположенных в области надкостницы. Болевой синдром при метастазах в кости усиливается по ночам и после физических нагрузок. Со временем боли становятся мучительными, непереносимыми, состояние пациентов облегчается только после приема наркотических анальгетиков.
Достаточно крупные метастазы в кости могут вызывать видимую деформацию, выявляться при пальпации в виде опухолевидного образования либо просматриваться на рентгенограммах в виде участка деструкции. Серьезным осложнением метастазов в кости являются патологические переломы, в 15-25% случаев возникающие в области трубчатых костей, почти в половине случаев – в области позвонков. Иногда в процессе роста метастазы в кости сдавливают близлежащие крупные сосуды или нервы. В первом случае возникают нарушения кровообращения, во втором – неврологические расстройства. К числу тяжелых осложнений данной патологии также относятся компрессия спинного мозга и гиперкальциемия. Локальные симптомы метастазов в кости сочетаются с общими проявлениями онкологического заболевания: слабостью, потерей аппетита, снижением массы тела, тошнотой, апатией, быстрой утомляемостью, анемией и повышением температуры тела.
Симптомы метастазов в кости
Гиперкальциемия
Гиперкальциемия – опасное для жизни осложнение, выявляющееся у 30-40% больных с метастазами в кости. Причиной развития становится повышенная активность остеокластов, в результате которой в кровь из разрушенной кости поступает количество кальция, превышающее выделительные способности почек. У пациентов с метастазами в кости возникают гиперкальциемия и гиперкальциурия, нарушается процесс обратного всасывания воды и натрия в почечных канальцах. Развивается полиурия. Образуется замкнутый круг: из-за полиурии уменьшается объем жидкости в организме, что влечет за собой снижение клубочковой фильтрации. Снижение клубочковой фильтрации, в свою очередь, вызывает увеличение обратного всасывания кальция в почечных канальцах.
Гиперкальциемия при метастазах в кости вызывает нарушения деятельности различных органов и систем. Со стороны ЦНС наблюдаются психические расстройства, заторможенность, аффективные нарушения, проксимальная миопатия, спутанность сознания и потеря сознания. Со стороны сердечно-сосудистой системы выявляются снижение артериального давления, уменьшение частоты сердечных сокращений и аритмия. Возможна остановка сердца. Со стороны желудочно-кишечного тракта отмечаются тошнота, рвота, запоры и нарушения аппетита. В тяжелых случаях развивается панкреатит или кишечная непроходимость.
Со стороны почек обнаруживаются полиурия и нефрокальциноз. Общая клиническая симптоматика включает в себя слабость, повышенную утомляемость, обезвоживание, потерю массы тела и кожный зуд. Гиперкальциемия при метастазах в кости может долгое время оставаться нераспознанной, поскольку врачи трактуют проявления данной патологии, как признаки прогрессирования основного онкологического заболевания либо как побочный эффект химиотерапии или лучевой терапии.
Патологические переломы
Патологические переломы возникают при разрушении более 50% кортикального слоя. Чаще всего выявляются в позвонках, второе место по распространенности занимают переломы бедренной кости, обычно – в области шейки или диафиза. Отличительной особенностью патологических переломов позвоночника при метастазах в кости является множественность поражения (одновременно выявляется нарушение целостности нескольких позвонков). Как правило, страдает грудной или поясничный отдел. Повреждения могут сопровождаться компрессией нервных корешков или спинного мозга.
Причиной патологического перелома при метастазах в кости может стать незначительное травмирующее воздействие, например, слабый удар или даже неловкий поворот в постели. Иногда такие переломы выглядят спонтанными, то есть, возникшими без каких-либо внешних причин. Перелом может сопровождаться смещением отломков. Нарушения функции конечностей при переломах длинных трубчатых костей и неврологические расстройства при переломах позвоночника становятся одним из ведущих факторов ухудшения качества жизни больного.
Компрессия спинного мозга
Компрессия спинного мозга выявляется у 1-5% пациентов с метастатическими поражениями позвоночника. В 70% случаев причиной нарушений становятся метастазы в грудные позвонки, в 20% - в поясничные и крестцовые позвонки, в 10% случаев – в шейные позвонки. При метастазах в кости могут выявляться как острые (при сдавлении костным фрагментом), так и постепенно прогрессирующие (при сдавлении растущей опухолью) расстройства. При сдавлении растущим новообразованием пациентов с метастазами в кости беспокоят нарастающие боли. Развивается мышечная слабость, выявляются нарушения чувствительности. На заключительной стадии возникают парезы, параличи и нарушения функции тазовых органов.
При сдавлении фрагментом кости клиническая картина компрессии спинного мозга развивается внезапно. На начальных стадиях оба вида компрессии обратимы (полностью или частично). При отсутствии своевременной медицинской помощи в течение нескольких часов или дней паралич становится необратимым. Своевременное адекватное лечение позволяет уменьшить выраженность симптомов, однако восстановление способности к самостоятельному передвижению отмечается всего у 10% больных с уже развившимся параличом.
Диагностика
Диагноз устанавливается на основании анамнеза (данных о наличии первичного злокачественного новообразования), клинической картины и результатов дополнительных исследований. Отсутствие информации об уже диагностированном онкологическом заболевании не является основанием для исключения метастазов в кости, поскольку первичная опухоль может протекать бессимптомно. При наличии неврологических нарушений проводят неврологический осмотр. На начальном этапе обследования выполняют сцинтиграфию. Затем больных направляют на рентгенографию, КТ или МРТ кости для уточнения характера и распространенности поражения. Для выявления гиперкальциемии назначают биохимический анализ крови.
Лечение метастазов в кости
Тактику лечения определяют с учетом типа и локализации первичной опухоли, количества и расположения метастазов в кости, наличия метастазов в другие органы и ткани, наличия или отсутствия осложнений, возраста и общего состояния больного. Хирургические вмешательства носят паллиативный характер и показаны при наличии осложнений (патологических переломов, компрессии спинного мозга). Целью операций при метастазах в кости является устранение или ослабление болей, восстановление функции конечности или спинного мозга и создание более благоприятных условий для ухода за пациентом.
При принятии решения о проведении оперативного вмешательства учитывают прогноз. Прогностически благоприятными факторами являются медленный рост первичного новообразования, продолжительный период отсутствия рецидивов, небольшой одиночный метастаз в кости, наличие рентгенологических признаков склероза кости после консервативного лечения и удовлетворительное состояние пациента. В подобных случаях могут проводиться обширные хирургические вмешательства (установка пластин, штифтов, аппаратов Илизарова).
При агрессивном росте первичного новообразования, частых рецидивах, множественных метастазах, особенно – с одновременным поражением внутренних органов, большом размере метастаза в кости, отсутствии признаков склероза на рентгенограмме и неудовлетворительном состоянии пациента хирургические вмешательства на трубчатых костях не рекомендуется даже при наличии патологического перелома. В случаях, когда хирургическое вмешательство противопоказано, используют щадящие методы фиксации (например, деротационный сапожок при переломе шейки бедра).
Неотложная помощь при метастазах в кости, осложнившихся компрессией спинного мозга, включает в себя сосудистые препараты, средства для улучшения метаболизма нервной ткани и высокие дозы дексаметазона. При сдавлении нервной ткани вследствие роста метастаза в кость выполняют декомпрессионную ламинэктомию, при компрессии спинного мозга в результате патологического перелома позвонка проводят декомпрессионно-стабилизирующие операции: фиксацию пластиной или транспедикулярную фиксацию, восстановление позвонков с использованием костного цемента, ауто- и аллотрансплантатов и т. д.
Химиотерапию и лучевую терапию при метастазах в кости используют в процессе комбинированной консервативной терапии, в ходе подготовки к оперативному вмешательству и в послеоперационном периоде. При гиперкальциемии осуществляют регидратацию, проводя внутривенные инфузии солевых растворов. Больным с метастазами в кости назначают «петлевые диуретики» (фуросемид), кортикостероидные препараты и бисфосфонаты. Эффект терапии сохраняется в течение 3-5 недель, затем курс лечения повторяют.
Прогноз
Прогноз при метастазах в кости более благоприятен по сравнению с метастазами во внутренние органы. Средняя продолжительность жизни составляет 2 года. Качество, а в некоторых случаях и продолжительность жизни зависят от наличия или отсутствия осложнений, что обуславливает важность профилактических мероприятий при обнаружении метастазов в костях скелета. При метастазах в позвоночник рекомендуют исключить поднятие тяжестей и несколько раз в течение дня отдыхать в лежачем положении. В некоторых случаях на определенном этапе терапии показано ношение корсета или головодержателя. При поражении бедренной кости в период лечения советуют максимально разгружать конечность, используя трость или костыли. Физиолечение при любых метастазах в кости противопоказано. Больным необходимо регулярно проходить осмотры для своевременного выявления рецидивов заболевания.
Метастатическое поражение височной кости - лучевая диагностика
КТ, МРТ при метастатическом поражении височной кости
а) Определения:
• Гематогенное метастазирование отдаленной первичной опухоли в височную кость
• Метастатическое поражение костей вершины пирамиды (ВП) или сосцевидного отростка/среднего уха
1. Общая характеристика:
• Лучший диагностический критерий:
о КТ в костном окне: очаговое деструктивное поражение височной кости
• Локализация:
о Чаще всего в ВП
• Размер:
о Варьирует, 2-8 см
• Морфология:
о Литическая, пермеативная деструкция, ± нечеткие края

(Слева) При КТ височной кости у младенца с правосторонним параличом ЧН VII определяется литическая, пермеативная деструкция вершины пирамиды; плотная костная слуховая капсула интактна. Опухоль распространяется в полость среднего уха и обусловливает эрозию передней стенки яремного отверстия.
(Справа) При аксиальной MPT Т2 ВИ FS у этого же пациента определяется гипоинтенсивное образование вершины пирамиды, сопоставимое с целлюлярной опухолью, распространяющейся в правый ВСК и мосто-мозжечковый угол. При биопсии подтвердилась нейробластома. При последующих исследованиях обнаружилась первичная опухоль надпочечника.
2. КТ при метастатическом поражении височной кости:
• КТ с КУ:
о Мягкотканный компонент значительно накапливает контраст в большинстве случаев
• КТ в костном окне:
о Литическое или пермеативное, редко бластическое поражение:
- Часто имеются метастазы в других костях
о Разрушение кортикальной пластинки височной кости
о Метастазы в пневматизированных участках височной кости едва различимы
3. МРТ при метастатическом поражении височной кости:
• Т1 ВИ:
о Неспецифический сигнал низкой или промежуточной интенсивности:
- Гипоинтенсивные метастазы легко отличить от прилежащего нормального костного мозга у взрослых
• Т2 ВИ:
о Вариабельный, гипер- или гипоинтенсивный сигнал:
- В зависимости от целлюлярности первичного поражения
• Т1 ВИ С+:
о Вариабельное контрастное усиление; может сочетаться с нормальным жировым костным мозгом
о FS: подавление сигнала от нормального жирового костного мозга
о Легкое контрастирование твердой оболочки мозга, скорее всего, реактивное
о Выраженное узловое или иррегулярное контрастирование твердой оболочки: вероятно, трансдуральная опухоль
4. Сцинтиграфия:
• Остеосцинтиграфия:
о Патологическое неспецифическое ↑ радиофармпрепарата
• ПЭТ:
о Накопление в височной кости, других костях, первичной опухоли
5. Рекомендации по визуализации:
• Лучший метод визуализации:
о Если предполагается операция, требуется и КТ, и МРТ
• Выбор протокола:
о МРТ Т1: гипоинтенсивное поражение по сравнению с нормальным жировым костным мозгом
о МРТ Т1 С+ FS: для дифференцировки опухоли с нормальным жировым костным мозгом и определения внутричерепного распространения

(Слева) При аксиальной МРТ Т1 ВИ у пациента с онемением правой половины лица определяется типичный метастаз в вершине пирамиды, замещающий жировой костный мозг, с распространением в полость Меккеля справа. Обратите внимание на нормальный сигнал в коаном мозге вершины пирамиды слева и ЦСЖ в полости Меккеля.
(Справа) При КТ определяется метааатическое поражение сосцевидного отростка с деструкцией кортикального слоя с внутренней аороны/сигмовидной пластинки с риском инвазии/тромбоза сигмовидного синуса. Из-за особенностей строения/пневматизации височной кости маленькие метастазы легко пропускаются.
в) Дифференциальная диагностика метастатического поражения височной кости:
1. Сливной апикальный петрозит:
• Клиника: симптомы инфекции
• Визуализация: деструктивное поражение ВП + утолщение твердой оболочки
2. Холестериновая гранулема ВП:
• Клиника: хронический средний отит в анамнезе
• Визуализация: обширное поражение ВП; ↑ сигнал на Т1
3. Лангергансоклеточный гистиоцитоз:
• Визуализация: деструктивная опухоль сосцевидного отростка/среднего уха
4. Плазмоцитома височной кости:
• Клиника: множественная миелома (часто)
• Визуализация: деструктивное поражение ВП
г) Патология. Общая характеристика:
• Этиология:
о ВП, заполненная костным мозгом, может быть предрасположена к метастатическому поражению
• Нужно исключить прямое распространение локальной первичной опухоли (носоглотки, околоушной железы, верхнечелюстной пазухи, наружного уха)
1. Проявления:
• Типичные признаки/симптомы:
о Тугоухость - наиболее типичный симптом
о Отсутствие симптомов или боль в основании черепа/ухе
• Другие признаки/симптомы:
о Паралич ЧН (VIII, VII, V или VI)
2. Демография:
• Эпидемиология:
о У взрослых: рак молочной железы > легкого > почки > предстательной железы
о У детей преимущественно нейробластома и лейкоз
3. Течение и прогноз:
• Неблагоприятный, зависит от типа первичной опухоли
4. Лечение:
• Хирургическое при изолированной опухоли сосцевидного отростка/среднего уха
• Паллиативное в зависимости от типа первичной опухоли и метастатического поражения других костей
е) Диагностическая памятка:
1. Советы по интерпретации изображений:
• Не стоит забывать о частой асимметрии костного мозга/пневматизации ВП
• Изолированное поражение височной кости менее вероятно является метастазом
2. Рекомендации по отчетности:
• Необходимо выявить инвазию твердой оболочки, дуральных венозных синусов, головного мозга
ж) Список использованной литературы:
1. Wierzbicka М et al: Efficacy of petrosectomy in malignant invasion of the temporal bone. Br J Oral Maxillofac Surg. ePub, 2016
2. Morris LG et al: Predictors of survival and recurrence after temporal bone resection for cancer. Head Neck. 34(9): 1231-9, 2012
3. Connor SE et al: Imaging of the petrous apex: a pictorial review. Br J Radiol. 81 (965):427-35, 2008
Метастатические опухоли мозга
Метастатические опухоли мозга – вторичные очаги, возникающие вследствие местного агрессивного роста, гематогенного и лимфогенного метастазирования злокачественных новообразований других локализаций. У 30% больных протекают бессимптомно. В остальных случаях опухоли головного мозга проявляются головными болями, головокружениями, тошнотой, рвотой, очаговой симптоматикой, психическими и эмоциональными нарушениями. При поражении спинного мозга возникают боли, чувствительные и двигательные расстройства. Диагноз выставляется с учетом анамнеза, симптомов, КТ, МРТ и других исследований. Лечение – радиотерапия, реже оперативное удаление или химиотерапия.

Метастатические опухоли мозга – группа злокачественных новообразований различного происхождения, возникших в спинном либо головном мозге в результате распространения клеток первичной опухоли. Метастазы в головной мозг выявляются у каждого пятого онкологического больного. Метастатическое поражение спинного мозга по различным данным наблюдается у 30-70% пациентов. По данным исследователей, вторичные поражения ЦНС встречаются примерно в 10 раз чаще первичных.
Пик заболеваемости приходится на 50-70 лет, мужчины и женщины страдают одинаково часто. Иногда симптомы метастатической опухоли мозга становятся первым сигналом о появлении другого новообразования. К примеру, 10% пациентов с раком легких впервые обращаются за помощью из-за возникновения неврологических расстройств. Прогноз обычно неблагоприятный, вторичное поражение мозга является одной из ведущих причин смертности при злокачественных опухолях. Лечение осуществляют специалисты в сфере онкологии и неврологии.
Причины
Метастазы в ЦНС могут возникать при злокачественных новообразованиях любой локализации. От 30 до 60% от общего количества метастатических опухолей мозга появляются при раке легких, от 20 до 30% - при новообразованиях молочной железы. Третье место по распространенности занимают метастазы при меланомах (10%), четвертое – при раке толстого кишечника (5%). Реже метастатические опухоли мозга встречаются при лимфомах, саркоме и новообразованиях щитовидной железы.
Иногда причиной вторичных процессов в головном мозге становится инфильтративный рост новообразований назофарингеальной области. Вторичное поражение спинного мозга в результате агрессивного роста первичного очага может выявляться при новообразованиях позвонков, абдоминальной форме лимфомы Беркитта и других объемных процессах, локализующихся рядом со спинномозговым каналом. В числе редких онкологических заболеваний, иногда осложняющихся метастатическими опухолями мозга – тератома яичка и хориокарцинома. По неизвестным причинам в мозг редко метастазируют злокачественные опухоли яичников, шейки матки и мочевого пузыря.
80% метастатических опухолей головного мозга располагаются в зоне больших полушарий, 15% – в мозжечке, 5% - в стволе мозга. Большинство вторичных очагов в спинном мозге локализуются на уровне нижних грудных либо верхних поясничных позвонков. Поражения твердой мозговой оболочки составляют около 10% от общего количества метастатических опухолей мозга. Более 70% метастазов множественные, что ухудшает прогноз. Гистологическое строение вторичной опухоли – как у первичного новообразования. Симптомы обусловлены как непосредственным давлением узла на нервные структуры, так и перифокальным отеком окружающих тканей.
Симптомы метастатических опухолей головного мозга
Метастатическая опухоль мозга проявляется головными болями, головокружениями, тошнотой, рвотой, припадками, нарушениями сознания, сенсорными расстройствами и очаговой неврологической симптоматикой. Возможны психические и эмоциональные нарушения: эмоциональная неустойчивость, сонливость, заторможенность, когнитивные расстройства, личностные изменения и т. д. Выраженность симптомов метастатической опухоли мозга сильно варьирует – от незначительных нарушений памяти или настроения до тяжелых эпиприпадков.
Распирающие головные боли, тошнота и расстройства сознания свидетельствуют о повышении внутричерепного давления. Особенно упорная тошнота наблюдается у детей. У 30% больных метастатическими опухолями мозга выявляются эпилептиформные судороги, от них страдают преимущественно люди старше 45 лет. Очаговая симптоматика различается. Возможны снижение либо потеря чувствительности, нарушения зрения, нарушения слуха, параличи и парезы конечностей. Расстройства возникают на стороне, противоположной расположению метастатической опухоли мозга.
Динамика неврологических расстройств также различается. У одних пациентов наблюдается постепенное усугубление нарушений, у других расстройства развиваются внезапно, по типу инсульта. Причиной внезапного появления симптомов может стать кровоизлияние в метастатическую опухоль мозга либо эмболия сосуда фрагментом новообразования. Иногда наблюдается ремитирующее течение заболевания, при котором очаговые и внемозговые нарушения волнообразно усиливаются и ослабевают.
Симптомы метастатических опухолей спинного мозга
Первым проявлением метастатической опухоли мозга обычно становятся боли. Вначале болевой синдром неинтенсивный и непостоянный, возникает только при кашле и резких движениях. В последующем боли усиливаются, появляются спонтанно, беспокоят постоянно, не исчезают даже после сна или продолжительного отдыха. Выявляются прогрессирующие нарушения чувствительности и двигательные расстройства. Развивается гиперестезия, сменяющаяся гипестезией, а затем анестезией.
Пациенты с метастатическими опухолями мозга отмечают мышечную слабость и быструю утомляемость при физических нагрузках. Со временем мышечная слабость переходит в парезы, а парезы – в параличи. Зона чувствительных и двигательных нарушений определяется уровнем и локализацией метастатической опухоли мозга. При поражении боковых отделов может выявляться синдром Броун-Секара. При опухолях в задних либо передних отделах обычно наблюдаются симметричные расстройства.
При поражениях шейного отдела возникает спастическая тетраплегия, при новообразованиях грудного отдела – спастическая нижняя параплегия, при процессах в поясничном отделе – вялая нижняя параплегия, при метастазах в зоне крестца – паралич мышц-сгибателей нижних конечностей. Для всех метастатических опухолей мозга характерны нарастающие тазовые расстройства. Возможно быстрое образование пролежней, особенно – при поражении нижних отделов спинного мозга.
Диагностика метастатических опухолей мозга
Диагноз устанавливается онкологом и нейрохирургом с учетом клинических проявлений и данных дополнительных исследований. Важную роль играют анамнестические данные: подозрение на злокачественную опухоль либо наличие уже диагностированного новообразования внемозговой локализации, а также состояние после оперативного или консервативного лечения по поводу данной патологии. Необходимо учитывать, что иногда симптомы метастатической опухоли мозга становятся первым проявлением патологического процесса в другом органе.
Настораживающими признаками в отношении новообразований головного мозга являются головные боли, тошнота, эпилептиформные припадки (обнаруживаются у 35% пациентов) и прогрессирующая очаговая симптоматика. Подозрение на вторичный процесс в спинном мозге возникает при продолжительных нарастающих болях, двигательных и чувствительных нарушениях и расстройствах деятельности тазовых органов. Основные инструментальные методы диагностики метастатических опухолей мозга – КТ и МРТ. Обычно исследования начинают с более доступной КТ головного мозга и КТ позвоночника, а полную информацию о количестве, размере и расположении очагов получают при проведении МРТ с контрастным усилением. При поражении спинного мозга также информативна люмбальная пункция с ликвородинамическими пробами.

Лечение метастатических опухолей
Пациентам назначают противосудорожные препараты, стероиды, обезболивающие и психотропные средства. Основным методом лечения метастатических новообразований головного мозга обычно становится радиотерапия, которая используется отдельно, в сочетании с химиотерапией либо хирургическим вмешательством. Показанием к оперативному лечению является наличие операбельного солитарного метастаза (вторичного очага при невыявляемом первичном процессе) либо одиночного метастаза при контролируемом первичном новообразовании.
Обычно операции выполняют при метастатических опухолях мозга, расположенных в мозжечке, височных и лобных долях, то есть, в зонах с относительно невысоким операционным риском. После операции назначают радиотерапию либо химиотерапию. Иногда целью хирургического лечения является не удаление метастатической опухоли мозга, а экстренное снижение опасного для жизни внутричерепного давления. При необходимости подобные вмешательства могут проводиться многократно.
Химиотерапия обычно неэффективна. Исключением являются ситуации, когда первичное новообразование хорошо реагирует на цитостатики, например, при раке молочной железы, мелкоклеточном раке легкого либо лимфоме. Пациентам с метастатической опухолью мозга, чувствительной к химиотерапии, назначают лекарственные средства, способные проникать через гематоэнцефалический барьер. Химиотерапию обязательно дополняют другими способами лечения (обычно – радиотерапией).
Перспективным современным методом лечения метастатических опухолей мозга является 3D-конформная лучевая терапия – облучение тонкими пучками радиации, направленными на опухоль. Эта методика позволяет обеспечить максимальное воздействие на опухоль при минимальной лучевой нагрузке на здоровые ткани. Процедура проводится под контролем МРТ либо КТ. Метод имеет ряд преимуществ перед традиционными операциями (безболезненность, неинвазивность, отсутствие наркоза и послеоперационного периода). Показан при множественных метастатических опухолях мозга и при высоком операционном риске, обусловленном особенностями расположения метастаза.
При вторичных очагах в спинном мозге применяют те же методы, что при поражении головного мозга. Назначение кортикостероидных препаратов позволяет уменьшить боли у 85% больных, радиотерапия – у 70% больных. У половины пациентов на фоне радиотерапии отмечается улучшение двигательных функций. Оперативные вмешательства осуществляют при нечувствительности метастатических опухолей мозга к радиотерапии, при прогрессировании неврологических расстройств либо сдавлении нервной ткани отломком кости. Выполняют переднюю декомпрессию либо ламинэктомию. После операции назначают локальную радиотерапию (за исключением новообразований, нечувствительных к лучевой терапии).
Прогноз при метастатических опухолях мозга обычно неблагоприятный. Средняя продолжительность жизни с момента выявления вторичного очага составляет 6-8 недель. При солитарных метастазах и одиночных метастазах в сочетании с первичными новообразованиями, хорошо реагирующими на терапию, своевременно начатое лечение позволяет продлить среднюю продолжительность жизни больных с метастатическими опухолями мозга до 10 месяцев с момента постановки диагноза.
Метастазы в костях могут развиться абсолютно при любом злокачественном процессе, для некоторых раков это практически обязательная локализация, при других заболеваниях — редкость. В метастатическом рейтинге первое место по частоте встречаемости достанется метастазам в лёгкие, второе — печеночным очагам и третье — скелетным метастазам.

Метастазы в костях трудно лечатся и обещают боли, тем не менее, скелетные очаги менее прочих локализаций опухоли сокращают жизнь, но способны испортить её переломом или сдавлением спинного мозга.
Какими могут быть метастазы в костях?
По клинико-рентгенологическим признакам все костные очаги подразделяют на три группы:
- остеобластические — с преобладанием уплотнения сверх физиологической меры, но дополнительно наросшая опухолевая ткань не придаёт кости прочности и может сдавливать проходящие по соседству нервы;
- остеолитические — превалирует разрушение структуры и вероятность перелома увеличивается по мере разрастания рака;
- смешанные — сочетание двух видов и это ситуация встречается чаще всего.
Практически не случает такого, чтобы у пациента были исключительно остеолитические или только остебластические очаги, как правило, диагностируется сочетание с превалированием либо разреженной литической, либо избыточной бластической структуры.
При каких раках развиваются?
Лидер среди всех злокачественных процессов, протекающих с метастатическим поражением скелета, миеломная болезнь — разрушение кости начинается в самом начале заболевания и в 100% клинических случаев отмечается множественная деструкция костной ткани.
При раке молочной и предстательной желёз у двух третей больных диагностируются скелетные метастазы, а патологоанатомические наблюдения выявляют вовлечение костей в злокачественный процесс практически у 90% пациентов. При раке молочной железы (РМЖ) превалируют смешанные и остеолитические варианты, при раке простаты — остеобластические.
Высокая частота метастазирования в кости отмечается при раке легкого, но при мелкоклеточном варианте — вдвое чаще и множественные костные дефекты, тогда как при немелкоклеточном — у 40% больных с тяготением к очагам единичным или солитарным, то есть единственному.
Каждый четвёртый, страдающий раком почки, имеет скелетные метастазы, при карциноме мочевого пузыря костные новообразования встречаются много реже.
При раке толстой кишки костное метастазирование выявляется у каждого восьмого больного, при раке желудка — не часто, поскольку раньше и обильнее рак поражает печень и брюшную полость. Рак кишечника тяготеет к мелкоочаговым и множественным вторичным образованиям.
Когда появляются скелетные метастазы?
При злокачественных процессах время появления метастазов в кости различается, тогда как скорость роста очага зависит исключительно от индивидуальных биологических характеристик опухолевой ткани, меняющихся под воздействием лечения и по мере раковой диссеминации.
При первичном обращении костные очаги при отсутствии других проявлений ракового процесса имеются едва ли у 20% пациентов, в подавляющем большинстве случаев опухолевое поражение костей признак диссеминации рака — распространения по системам или генерализации. При РМЖ, немелкоклеточной карциноме легких и раке толстой кишки именно так и происходит.
При раке предстательной железы нередко скелетная патология обнаруживается одновременно с опухолью простаты или в ближайшие сроки после диагностики неблагополучия в половой железе.
При карциноме почки часто сначала находят метастазы в костях и легочной ткани, а после обнаруживается первичная опухоль.
Какие отделы скелета поражаются чаще всего?
Локализация метастаза в кости определяется не нозологической принадлежностью первичной злокачественной опухоли, а функциональной нагрузкой и связанной с нею развитостью кровоснабжения. Множественные очаги в скелете более характерны для высоко агрессивного рака, единичные и тем более один метастаз свидетельствует в пользу благоприятного прогноза заболевания.

- Чаще всего вторичные отсевы рака возникают в обильно питаемых кровью губчатых костях — позвонках, причём преимущественно в испытывающих высокую нагрузку поясничных и грудных отделах позвоночника.
- Далее по частоте следуют метастазы в костях таза — почти половина всех случаев, типичные локализации — подвздошная и лонные кости.
- Вполовину реже отмечается метастазирование в костях черепа и нижней конечности, где превалирует поражение бедренной кости.
- Грудная клетка, преимущественно ребра и грудина, вовлекаются в злокачественный процесс практически в 30% случаев.
Клинические проявления костного метастазирования
Вопреки сложившимся мифам, скелетное метастазирование часто протекает без выраженной боли и даже вовсе без симптомов. Остеобластические очаги реже сопровождаются болевыми ощущениями, нежели остеолитические.
Опасные проявления метастатического костного поражения:
- гиперкальциемия — значительное повышение концентрации кальция из-за разрушения костного матрикса приводит к тяжелейшему состоянию, требующему коррекции метаболизма фактически реанимационными мерами;
- перелом — для возникновения достаточно разрушения половины поперечника кости или позвонка, каждому одиннадцатому пациенту с патологическим переломом необходима срочная хирургическая помощь;
- синдром сдавления или компрессии спинного мозга осколками сломанного грудного или поясничного позвонка осложняется тяжелыми неврологическими нарушениями ниже зоны повреждения;
- нарушение двигательной активности вплоть до паралича возможно при сдавлении спинного мозга в шейном отделе остеобластическим очагом или повреждении отломками при литическом разрушении.
Осложнения метастазирования в кости фатально отражаются на состоянии пациента и активно мешают проведению адекватного лечения, что может сократить срок жизни при безусловном отсутствии качества.
Почему возникает боль?
Боль обусловлена тремя причинами:
- разрушением раковым конгломератом обильно иннервированной надкостницы;
- раздражением в надкостнице болевых рецепторов биологически активными продуктами жизнедеятельности раковых клеток;
- вовлечением в метастатический узел нервных окончаний мышц.
Невыносимая боль далеко не всегда связана со скелетным метастазированием, как правило, это следствие высокой агрессивности опухолевых клеток в терминальной стадии процесса, когда в крови огромна концентрация биологически активных веществ — цитокинов, которые буквально «жгут» нервные окончания даже не поражённых опухолью тканей.
При высокой степени злокачественности первичной опухоли болевой синдром отмечается чаще и более интенсивный. Наиболее наглядный пример, распространенные и постоянные боли в абсолютно целых костях при аденокарциноме легкого, операция с удалением пораженного легкого полностью излечивает боль.
Как обнаруживают метастазы в кости?
Диагностика скелетных повреждений не сложная, но высокотехнологичная, начинают с изотопного обследования — остеосцинтиграфии, выявляющей минимальные раковые новообразования. Затем засвеченные изотопом «горячие очаги» подвергают рентгенографии или, что лучше, компьютерной томографии (КТ). ПЭТ — «королева» доказательств, к сожалению, дорогое исследование, поэтому для контроля эффективности терапии не очень подходит.

Для выявления очагов в скелете маркеры костной резорбции не подходят, в практической онкологии активного применения не нашли.
Анализы крови позволяют заподозрить опухолевое поражение костного мозга, что часто сопровождает метастазирование в грудину.
Лечение скелетных поражений
Можно ли вылечить метастазы в костях? Однозначно лечением можно продлить жизнь при хорошем самочувствии. С одной стороны, скелетные поражения — манифестация распространения рака по организму, с другой — признак относительно благоприятного прогноза заболевания при отсутствии опухоли в других тканях и висцеральных (внутренних) органах, что даёт годы жизни при стабилизации процесса.
На этапе костного метастазирования вопрос о радикальном лечении уже не стоит, но операция не исключается при благоприятной гистологической структуре и солитарном — единственном костном поражении. Так при раке легкого или почки с метастазом в плечевую кость или бедро можно выполнить одномоментное вмешательство с удалением больного органа и резекцией кости с протезированием, но после нескольких месяцев химиотерапии.
Химиотерапия — главный метод лечения костных поражений, лекарственная схема определяется первичной опухолью. При раке молочной и предстательной железы хорошие результаты демонстрирует гормональная терапия.
Дополнение химиотерапии локальным облучением позволяет повысить общий результат терапии, снять боль и уменьшить вероятность перелома. Так при поражении шейных позвонков лучевая терапия обязательна уже на первом этапе.
Операция необходима при угрозе сдавления (компрессии) спинного мозга поломанным позвонком, как правило, удаляется поражённая часть позвонка — ламинэктомия. При длительной — более полугода стабилизации в результате химиотерапии можно поставить вопрос об удалении поражённой кости конечности с заменой на протез, если больше нет других проявлений рака.
Зачем нужны бисфосфонаты?
Использование бисфосфонатов при метастатическом поражении скелета стало стандартом адекватной терапии.

Человеческие кости постоянно обновляются: остекласты разрушают, а остеобласты наращивают ткани, в норме процессы уравновешены, в присутствии злокачественной опухоли остеокласты приобретают избыточную активность. Бисфосфонаты по своему строению схожи с костным матриксом, поэтому после введения в организм направляются в кости, где губительно действуют на активизированные раковыми продуктами остеокласты, параллельно снимая боль и оберегая от переломов.
Бисфосфонатами можно лечиться около двух лет, при утрате чувствительности к ним аналогичную роль выполняет моноклональное тело деносумаб. Демосумаб и бисфосфонаты относят к остеомодифицирующим агентам (ОМА).
Для назначения ОМА недостаточно выявления «горячих» очагов при остеосцинтиграфии, их применяют при доказанном рентгенологическими методами опухолевом поражении.
Химиотерапия и ОМА — основные методы лечения скелетных поражений, но не единственные. Лечение костных метастазов должно быть комплексным, только комбинацией облучения и лекарств, с коррекцией метаболизма и присоединением паллиативной хирургии можно избавить от боли и вернуть пациенту активную жизнь.
Когда и что нужно и возможно в каждом конкретном клиническом случае онкологического заболевания знают специалисты нашей клиники. Узнайте больше, звоните:
Читайте также:
- КТ, МРТ при хроническом риносинусите
- Психоневрозы полового цикла. Спермо-недостаточный невроз
- Декстраны. Полиглюкин и реополиглюкин при гиповолемическом шоке. Ингибиторы протеолитических ферментов при шоковых состояниях.
- Парентеральное питание в хирургии. Принципы парентерального питания
- Прогноз при инфравезикальной обструкции у плода. Удвоение почек плода
