Методы обследования аденоматозной опухоли мошонки
Добавил пользователь Алексей Ф. Обновлено: 30.10.2025
Опухоли яичка – группа образований, развивающаяся из тканей яичек (мужских половых желез, расположенных в мошонке). Опухоли яичка могут быть злокачественными и доброкачественными. Данный вид опухолей относится к визуализируемым и часто обнаруживается пациентами самостоятельно.
Частота злокачественных опухолей составляет до 90 % от всех случаев опухолей яичка. Доброкачественные опухоли яичка встречаются очень редко. Особенность доброкачественных опухолей – отсутствие быстрого роста, они длительно не метастазируют. Лечение доброкачественных опухолей заключается в хирургическом удалении образования.
Рак яичка чаще встречается в молодом возрасте (25-35 лет), являясь самой часто встречающейся опухолью у мужчин до 50 лет.
Виды опухолей яичка
Яички состоят из различных клеток, каждая из которых может стать основной для развития нескольких видов злокачественной опухоли. Знание о том, из каких клеток образовалась опухоль, достаточно важно, поскольку это влияет на выбор тактики лечения и прогноз заболевания.
Определение типа опухоли возможно посредством микроскопического изучения.
Классификация
Наиболее часто из всех опухолей яичка встречаются герминогенные опухоли, они развиваются из зародышевых клеток. Данные опухоли при правильной тактики возможно полностью излечить, однако важным условием является своевременное их обнаружение и лечение в профильном центре.
Герминогенные опухоли (составляют 95 % опухолей яичка)
- семинома,
- несеминома (эмбриональная карцинома, опухоль желточного мешка, постпубертатная тератома).
Опухоли полового канатика и стромы (
  - опухоль из клеток Лейдига,
- опухоль из клеток Сертоли,
- гранулезно-клеточная опухоль.
Другие опухоли (доля всех случаев опухолей яичек точно не определена)
Факторы риска развития опухолей яичка
Однозначных факторов риска развития опухолей яичек не существует. К одной из наиболее вероятных причин относят крипторхизм – неопущение яичка. При нормальном развитии яички до рождения находятся в брюшной полости и к моменту рождения ребенка самостоятельно опускаются в мошонку. Примерно у 3 % детей одно или оба яичка могут не опуститься в мошонку. В таких случаях проводится оперативное вмешательство. Хирургическое лечение крипторхизма до пубертатного периода снижает риск развития опухолей яичка.

На увеличение вероятности развития опухоли яичка может повлиять профессиональная деятельность, считается, что у работников газовой, нефтяной промышленности, шахтеров и пожарных риск развития опухоли яичка повышен. Вероятность возникновения опухоли яичка среди белых мужчин в 5-10 раз превышает таковую у афроамериканских мужчин. У мужчин Азии и Африки риск возникновения опухоли яичка очень низкий. Травма и оперативное вмешательство на мочеполовых органах достоверно не увеличивают риск развития опухоли яичек.
Диагностика
Опухоль яичка может проявляться в виде безболезненного образования мошонки или яичка. Ниже в таблице указаны возможные симптомы.

При распространенном процессе больного могут беспокоить различные симптомы: кашель, одышка, боли в спине, головные боли, тошнота, рвота. Если у вас появились эти симптомы, то необходимо срочно обратиться к врачу-онкологу или урологу.
Симптомы опухоли яичка
Опухоль яичка может быть обнаружена пациентом или его половым партнером. При обнаружении любого образования в яичке необходимо срочно обратиться к врачу.
Для своевременного обнаружения опухоли яичка мы рекомендуем выполнять самообследование.

 

Чаще всего опухоли яичка путают с воспалительными заболеваниями. Эпидидимит – это воспаление придатка яичка, в большинстве случаев инфекционного характера, требующее проведения противовоспалительной терапии. Если болезненность, отек сохраняются после курса лечения, включающего антибиотики, необходима дальнейшая диагностика.

Обследование пациента на приеме у врача начинается с осмотра. Врач проведет процедуру осмотра, пальпацию грудной клетки на предмет гинекомастии (увеличение молочных желез), брюшной полости, яичек, оценит состояние паховых и периферических лимфатических узлов.
Инструментальные методы
Ультразвуковое исследование (УЗИ) мошонки является предпочтительным начальным визуализирующим исследованием для оценки образования яичка. УЗИ может подтвердить наличие новообразования, определить его расположение и оценить состояние противоположного яичка (рис. 4). Чувствительность метода достаточно высокая – от 92 % до 98 %.
Компьютерная томография органов грудной клетки, брюшной полости, малого таза используются для оценки распространения опухолевого процесса (рис.5).
Как дополнительная диагностическая процедура, может быть использована магнитно-резонансная томография головного мозга.
Обязательным условием диагностики опухолей яичка является анализ крови на биологические опухолевые маркеры. К ним относятся АФП (альфа-фетопротеин), β -ХГЧ (β единица хорионического гонадотропина человека) и ЛДГ (лактатдегидрогеназа).
Наличие опухолевого образования в яичке, выявленное при УЗИ, повышенный уровень опухолевых маркеров (всех или одного из них) требуют немедленного направления пациента на оперативное лечение в специализированный онкологический центр.
При обнаружении первичной опухоли в забрюшинном пространстве необходимо пройти полное обследование, предусмотренное для опухоли яичка.

Снимок УЗИ яичка
Стадии
При обнаружении злокачественной опухоли необходимо выяснить, насколько распространился опухолевый процесс, то есть определить стадию заболевания. От этого зависит дальнейшее лечение.
Доброкачественные опухоли яичка не стадируются.
Стадии злокачественного заболевания варьируются от I до III. Самая ранняя стадия рака яичка — это стадия 0 (или неоплазия зародышевых клеток in situ). Выделяют III стадии злокачественной опухоли яичка. В зависимости от стадии заболевания, прогностических признаков (уровень опухолевых маркеров, наличие вторичных опухолевых изменений в органах), согласно разработанным стандартам, принимается решение о лечебной тактике.
Лечение
Лечение пациентов с диагностированными злокачественными опухолями яичка должно проводиться в специализированном центре у онкологов, имеющих большой опыт ведения больных с данным заболеванием.
Если у вас или у вашего близкого появились симптомы, подозрительные на опухоль яичка, необходимо незамедлительно обратиться к врачу.
Хирургическое лечение
Хирургический метод является первичным этапом в лечении всех видов опухолей яичка. На первом этапе при обнаружении опухоли проводят операцию по удалению яичка (орхфуникулэктомию). Как правило, проводится радикальная паховая орхфуникулэктомия (хирургическое удаление яичка). Операция носит лечебно-диагностический характер, поскольку помимо удаления опухоли, позволяет установить морфологический диагноз (определить разновидность опухоли), что необходимо для определения дальнейшей тактики.
Радикальная паховая орхфуникулэктомия
Операция по удалению яичка при раке называется радикальной паховой орхфуникулэктомией. Опухоль удаляется вместе с яичком и семенным канатиком.
Орхфуникулэктомия может быть отложена, если пациент находится в крайне тяжелом состоянии (в этом случае лечение начинают с химиотерапии по жизненным показаниям).

Опухоль в яичке
После получения гистологического заключения о характере опухоли, данных обследования: КТ грудной клетки, брюшной полости, КТ/МРТ малого таза, уровень опухолевых маркеров, проводится стадирование, определение прогноза, и командой специалистов принимается решение о лечебной тактике.
При планировании химиотерапии необходимо обсудить с врачом риск нарушения фертильности и необходимость криоконсервации спермы. Процедура должна быть выполнена до начала химиотерапии.
Химиотерапия
Химиотерапия является одним из основных методов лечения при злокачественных опухолях яичка. Данные опухоли обладают высокой чувствительностью к химиотерапии, и полное излечение возможно даже при большом распространении опухолевого процесса. Химиотерапия не используется для лечения доброкачественных опухолей яичка.
Химиотерапия обычно проводится циклами длительностью 3 недели. При злокачественных опухолях яичка очень важно строго соблюдать интервалы между циклами химиотерапии.
Схема и длительность лечения зависят от стадии заболевания, группы прогноза, лечения, полученного ранее, и индивидуальных особенностей пациента.
Возможные побочные эффекты химиотерапии
Химиопрепараты действуют на быстро растущие клетки, делящиеся опухолевые клетки. Но при этом химиотерапия повреждает нормальные ткани организма, такие как клетки костного мозга (где образуются новые клетки крови), слизистой оболочки полости рта, кишечника и волосяных фолликулов. Побочные эффекты химиотерапии зависят от типа и дозы используемых лекарств и продолжительности лечения. Чаще всего из осложнений встречаются: снижение показателей крови (снижение уровня лейкоцитов, нейтрофилов, гемоглобина, тромбоцитов), выпадение волос, стоматит (воспаление слизистой полости рта: отечность, покраснение, появление налетов, язв), тошнота и рвота, слабость, диарея, снижение аппетита.
Большинство побочных эффектов кратковременны и проходят через некоторое время после окончания лечения, но некоторые из них могут длиться долгое время, такие как потеря слуха, повреждение почек или легких. Поэтому химиотерапия должна проводиться по абсолютным показаниям в соответствии с разработанными рекомендациями, и больной в течение длительного времени должен быть под наблюдением онколога.
После проведения химиотерапии и обследования обсуждается вопрос об удалении оставшихся опухолевых очагов. Одним из видов оперативного лечения является удаление забрюшинных лимфатических узлов (забрюшинная лимфодиссекция).
В зависимости от типа опухоли и стадии заболевания лимфатические узлы вокруг крупных кровеносных сосудов (аорта и нижняя полая вена) могут быть удалены после проведения химиотерапии. Не всем пациентам с опухолью яичка необходимо удалять лимфатические узлы, поэтому важно обсудить это (и возможные варианты) со своим врачом. Это сложная и долгая операция. В большинстве случаев делается большой разрез посередине живота для возможности удаления лимфатических узлов. Удаление забрюшинных лимфатических узлов должно выполняться хирургом, который делает это часто. Опыт имеет большое значение.
Последствия лимфодиссекции
Удаление забрюшинных лимфатических узлов – серьезная операция. Она не вызывает импотенции, у мужчин сохраняется эректильная функция. Но во время данной операции могут повреждаться некоторые нервы, контролирующие эякуляцию. Если эти нервы повреждаются, то когда мужчина эякулирует, сперма не выходит через уретру, а уходит обратно в мочевой пузырь. Это называется ретроградной эякуляцией, данное осложнение может затруднить отцовство.
При распространенном процессе (когда есть метастазы в других органах) для получения наилучшего результата и снижения риска возврата заболевания могут проводиться различные виды операций с целью удаления всех опухолевых очагов. Если оставшиеся опухолевые очаги не удаляются или удаляются не полностью, риск возврата заболевания увеличивается в несколько раз.
Чаще операция успешна, когда ее проводят опытные врачи.
Лучевая терапия
Лучевая терапия при опухолях яичка в настоящий момент практически не используется, так как имеет низкую эффективность. Применение лучевой терапии может использоваться в качестве локального (местного) контроля при метастазах в головном мозге.
Фертильность
Злокачественные опухоли яичка наиболее часто возникают у мужчин репродуктивного, молодого возраста, когда они заводят семью и детей. При проведении химиотерапии возникает высокий риск нарушения фертильности, поэтому необходимо до начала лечения обсудить с лечащим врачом необходимость криоконсервации спермы. Криоконсервация спермы – метод хранения эякулята, который подразумевает его замораживание (чаще всего в жидком азоте), с последующим восстановлением функций сперматозоидов после размораживания. Криоконсервация должна быть выполнена до начала химиотерапии.
Обследование перед проведением криоконсервации:
- спермограмма (метод исследования эякулята для оценки оплодотоворяющей способности);
- криотест спермы (проводится для того, чтобы выяснить, не снижается ли качество спермы после размораживания);
- анализ крови на инфекции: сифилис, ВИЧ 1,2 (IgG и IgM), гепатиты В и С;
- мазок из уретры на половые инфекции.
После прохождения обследования сперма собирается методом мастурбации. В течение нескольких минут после этого биоматериал попадает в эмбриологическую лабораторию. Проводятся манипуляции по очищению и концентрации сперматозоидов, добавляются специальные вещества для защиты сперматозоидов, и сперма помещается в специальные тонкие ёмкости. Ваш контейнер маркируется (отмечаются индивидуальные данные) и далее хранится при очень низких температурах.
Наблюдение
Все пациенты со злокачественной опухолью яичек должны тщательно длительно наблюдаться – до 10-15 лет после первичного лечения, так как, несмотря на проведенное лечение, остается риск развития рецидива заболевания. Риск рецидива опухоли наиболее высок в течение двух лет после первичного лечения.
Последующее наблюдение включает сбор анамнеза, осмотр, опухолевые маркеры, УЗИ мошонки с эластографией, пахово-подвздошных областей, брюшной полости и забрюшинного пространства, рентгенографию органов грудной клетки. График наблюдения зависит от стадии заболевания. При обнаружении рецидива варианты лечения включают химиотерапию, хирургическое лечение.
Прогноз
Достижения в лечении рака яичек являются одними из величайших достижений современной медицины. Сегодня излечение достижимо у 95 % всех пациентов с опухолями яичек, у 80 % пациентов с распространенной формой заболевания. Несмотря на это, метастатическая форма опухоли остается неизлечимой примерно у 10 % пациентов. Прогноз зависит от гистологического типа рака яичка, распространенности опухолевого процесса, проводимого лечения. В некоторых регионах Российской Федерации выживаемость пациентов с опухолью яичек достигает всего 60 %. Это связано с различными причинами (редкость опухоли, поздняя обращаемость пациентов, низкая осведомленность врачей).
НМИЦ онкологии им. Н. Н. Петрова является специализированным центром по лечению опухолей яичка с многолетним опытом терапии данной группы онкологических заболеваний. В нашем Центре работает команда высококвалифицированных профессионалов – врачей-онкологов, включая хирургов (урологов, торакальных и абдоминальных хирургов), специалистов по лекарственной терапии взрослых и детей (химиотерапевтов, онкопедиатров), лучевой диагностике, морфологов, анестезиологов, реаниматологов, радиологов. Тактика ведения каждого пациента с опухолью яичка неоднократно обсуждается мультидисциплинарной командой.
Если у вас или у вашего близкого появились симптомы, подозрительные на опухоль яичка, необходимо незамедлительно обратиться к врачу. Учитывая высокий процент полного излечения данной группы заболеваний, высокую эффективность лекарственной терапии, в нашем Центре вы сможете оперативно получить всю необходимую помощь у специалистов, имеющих большой опыт в лечении этой патологии.
Опухоли мошонки
Опухоли мошонки – новообразования, происходящие из эпителия, соединительной или мышечной ткани органа. Единственным проявлением в большинстве случаев становятся узлы различного размера, окраски и консистенции. Некоторые доброкачественные опухоли могут достигать значительных размеров, становиться причиной грубого косметического дефекта и создавать неудобства при ходьбе. При прогрессировании злокачественных опухолей мошонки возможно изъязвление, прорастание близлежащих органов и метастазирование в лимфатические узлы. На поздних стадиях наблюдаются истощение, слабость и гипертермия. Диагноз устанавливается на основании осмотра и данных дополнительных исследований. Лечение хирургическое.
Общие сведения
Опухоли мошонки – группа первичных и вторичных опухолевых образований мошоночной области. Первичные доброкачественные опухоли являются чрезвычайно редкой патологией (за исключением кист и папиллом), в отечественной литературе описаны единичные липомы, фибромиомы, хондрофибромы, гемангиомы и лимфангиомы и некоторые другие новообразования. Первичные злокачественные опухоли мошонки выявляются чаще доброкачественных, но также относятся к категории мало распространенных заболеваний. В большинстве случаев выявляются вторичные опухоли мошонки, обусловленные агрессивным ростом злокачественных новообразований, расположенных в близлежащих органах и тканях (например, при прорастании рака яичка, рака полового члена либо рака предстательной железы). Лечение осуществляют специалисты в области онкологии и андрологии.
Анатомия мошонки. Классификация опухолей мошонки
Мошонка – мешковидное образование в области промежности у мужчин. Представляет собой выпячивание брюшной стенки, состоит из кожи, мясистой оболочки, фасций и мышц. Является вместилищем для яичек, придатков яичек и семенных канатиков. Доброкачественные и злокачественные опухоли перечисленных органов рассматриваются отдельно, в категорию опухолей мошонки включают только поражения покровных мягких тканей. С учетом происхождения и гистологического строения различают следующие новообразования мошонки:
- Эпителиальные опухоли.
- Пигментные опухоли.
- Новообразования и опухолеподобные поражения мягких тканей.
- Новообразования и опухолеподобные поражения лимфоидной и гемопоэтической ткани.
- Вторичные очаги, возникшие при распространении злокачественных клеток из других органов.
- Неклассифицируемые опухоли.
Доброкачественные опухоли мошонки
Наиболее распространенными доброкачественными опухолями мошонки являются эпидермальные кисты (атеромы) и папилломы. Реже встречаются фибромы, липомы, эпителиомы, базалиомы и лейомиомы. Очень редко диагностируются лимфангиомы, гемангиомы, тератомы и дермоидные кисты. Эпидермальные кисты возникают у подростков или молодых мужчин, обычно бывают множественными. Представляют собой напряженные опухоли мошонки желтоватой окраски диаметром от 1 мм до 2 см. В большинстве случаев протекают бессимптомно, реже сопровождаются зудом. На поверхности кист могут выявляться небольшие отверстия, из которых при надавливании выделяется желтовато-белое содержимое. Возможно воспаление. Длительно существующие кисты могут кальцифицироваться. Лечение – хирургическое удаление атером мошонки.
Папилломы – опухоли мошонки эпителиального происхождения. Могут быть одиночными или множественными. Иногда сочетаются с папилломами промежности, паховых областей и полового члена. Представляют собой мелкие узлы телесного, розоватого или коричневатого цвета. Лечение – электроэксцизия или электрокоагуляция. Остальные опухоли мошонки, как правило, одиночные, протекают бессимптомно и не достигают значительных размеров. Исключением являются крупные лимфангиомы и гемангиомы, которые могут становиться причиной выраженного косметического дефекта и создавать затруднения во время ходьбы. Лечение доброкачественных опухолей мошонки оперативное.
Злокачественные опухоли мошонки
Чаще диагностируются новообразования эпидермального происхождения. Реже встречаются липосаркомы, нейрофибросаркомы, лийомиосаркомы и рабдомиосаркомы мошонки. Рак мошонки может быть плоскоклеточным или базальноклеточным. Плоскоклеточные опухоли мошонки – более распространенные, как правило, развиваются на фоне длительно существующих язв и свищей. При продолжительном профессиональном контакте с дегтем, сажей, мазутом и некоторыми другими канцерогенными веществами могут возникать на неизмененной коже. Установлено, что опухоли мошонки чаще диагностируются через 10-15 лет после контакта с канцерогеном. Средний возраст больных – 40-60 лет.
На ранних стадиях плоскоклеточный рак кожи мошонки представляет собой плотный безболезненный узел. В последующем наблюдаются изъязвление и инфильтрация окружающих тканей. Опухоль мошонки достаточно быстро метастазирует в пахово-бедренные лимфатические узлы. Из-за скудной клинической симптоматики пациенты нередко впервые обращаются к врачу только после появления язв или развития болевого синдрома, обусловленного распространением процесса на близлежащие анатомические образования.
Базальноклеточные опухоли мошонки диагностируются очень редко, в литературе описано всего около 30 случаев этого онкологического заболевания. Причины развития и факторы риска не установлены. Опухоль мошонки медленно растет и проявляет низкую склонность к метастазированию. Диагноз плоскоклеточного и базальноклеточного рака мошонки выставляется на основании анамнеза, данных внешнего осмотра, результатов УЗИ органов мошонки, УЗИ полового члена, УЗДГ простаты, МРТ простаты и других исследований.
Целью перечисленных исследований является определение размеров и распространенности опухоли мошонки, оценка вовлеченности регионарных лимфатических узлов и близлежащих органов, а также дифференциальная диагностика первичного и вторичного злокачественного поражения мошонки. Окончательный диагноз выставляется после проведения аспирационной биопсии либо хирургического удаления опухоли мошонки с последующим гистологическим исследованием.
Тактику лечения определяют в зависимости от распространенности онкологического процесса. При локальных узлах выполняют иссечение опухоли мошонки с 2-3 см здоровых тканей по периферии и подлежащим мясистым слоем. При крупных дефектах осуществляют пластические операции. При наличии метастазов в регионарных лимфоузлах производят лимфаденэктомию. Показания к профилактическому удалению лимфатических узлов пока не определены из-за малого количества случаев злокачественной опухоли мошонки.
Большинство онкологов при отсутствии явных признаков метастазирования опухоли мошонки осуществляют открытую либо аспирационную биопсию лимфатических узлов с последующим гистологическим исследованием, и удаляют лимфоузлы только при обнаружении злокачественных клеток в полученном материале. Прогноз определяется видом и стадией опухоли мошонки. Пятилетняя выживаемость при локальных процессах составляет 75%, при поражении лимфатических узлов и близлежащих органов – 8%.
Методы обследования аденоматозной опухоли мошонки
Методы обследования сперматоцеле и кисты придатка яичка
а) Определение: 
• Сперматоцеле: ретенционная киста сети яичка или придатка яичка, содержащая сперматозоиды 
• Киста головки придатка яичка: простое жидкостное образование
б) Визуализация:
1. Общая характеристика: 
• Лучший диагностический критерий: 
о Простое или минимально сложное кистозное образование внутри головки придатка яичка 
• Локализация: 
о Головка придатка яичка 
• Размеры: 
о От 3 мм до 10 см 
• Морфология: 
о Киста головки придатка яичка анэхогенная, тонкостенная и бессосудистая 
о Сперматоцеле могут содержать линейные перегородки и внутреннюю взвесь
2. Рекомендации по визуализации: 
• Лучший метод визуализации: 
о УЗИ 
• Советы по протоколу исследования: 
о В-режим УЗИ с цветовым допплеровским картированием
3. УЗИ при сперматоцеле и кисте придатка яичка: 
• Простое или сложное кистозное образование: может быть многокамерное; из-за наличия сперматозоидов может иметь диффузный низкоинтенсивный эхосигнал 
• Симптом «падающего снега»: механическое движение микрочастиц внутри кисты из-за воздействия акустической радиационной силы при проведении цветовой допплерографии

 (Слева) Типичные признаки случайно обнаруженной и клинически незначимой кисты придатка яичка. Анэхогенный бессосудистый очаг с нечетким контуром в головке придатка яичка. 
(Справа) В правой половине мошонки визуализируется крупная киста придатка яичка (отмечена калиперами) с единичной тонкой перегородкой, смещающая яичко книзу. Обратите внимание, что для выявления этого крупного очага потребовался не высокочастотный линейный датчик, а не абдоминальный датчик. 
в) Дифференциальная диагностика сперматоцеле и кисты придатка яичка:
1. Гематоцеле: 
• Наличие травмы в анамнезе 
• Сложное жидкостное образование в пределах влагалищной оболочки 
• Содержит эхогенные сгустки и фибриновые нити
2. Пиоцеле: 
• Ассоциировано с эпидидимоорхитом с гиперемией и увеличением придатка яичка и/или яичка 
• Сложное жидкостное образование, расположенное в пределах влагалищной оболочки 
• Содержит лейкоцитарный дебрис и нити фибрина, продуцирующие линейные перегородки и низкоинтенсивный эхосигнал
3. Гидроцеле: 
• Простое или сложное внутримошоночное жидкостное образование в пределах влагалищной оболочки
4. Киста белочной оболочки: 
• Обычно мелкие (2-5 мм) простые кисты между листками белочной оболочки

 (Слева) Крупное сперматоцеле кверху от правого яичка, содержащее точечный низкоинтенсивный эхосигнал с артефактами на соответствующей допплерографии. В режиме реального времени эти точечные очаги были подвижны. 
(Справа) УЗИ в продольной плоскости, В-режим: визуализируется сложное кистозное образование с многочисленными камерами с наличием взвеси, что является характерными признаками сперматоцеле. 
г) Патология:
1. Общая характеристика: 
• Этиология: 
о Рубцевание следствие перенесенного эпидидимита, травмы или вазэктомии 
• Ассоциированные аномалии: 
о Расширение сети яичка на уровне средостения яичка
2. Макроскопические и хирургические особенности: 
• Сложное кистозное образование, содержащее в зависимости от типа простую жидкость или хилезную жидкость и сперматозоиды
г) Клинические особенности:
1. Проявления сперматоцеле и кисты придатка яичка: 
• Наиболее частые признаки/симптомы: 
о Безболезненное объемное образование мошонки: 
- В редких случаях снижение фертильности или перекрут яичка 
о При физикальном исследовании кистозные образования могут просвечиваться подобно гидроцеле
2. Демография: 
• Возраст: 
о Могут быть подвержены мужчины любого возраста 
• Эпидемиология: 
о Наблюдается очень часто; имеется у 20-40% мужчин
3. Лечение сперматоцеле и кисты придатка яичка: 
• Лечение: в случае бессимптомного течения большинство пациентов может находиться под наблюдением 
• Хирургическое лечение (сперматоцелэктомия) производится только в случае крупного сперматоцеле, способного вызывать дискомфорт
д) Диагностическая памятка: 
1. Следует учесть: 
• Абсцесс: имеется взаимосвязь с недавно перенесенным эпидидимитом и сохраняющейся гиперемией 
• Паховая грыжа: должна быть верифицирована с помощью пробы Вальсальвы и иметь признаки вовлечения кишечника или эхогенного большого сальника 
2. Советы по интерпретации изображений: 
• Кистозное образование в головке придатка яичка с симптомом «падающего снега» по данным цветовой допплерографии 
• Экстратестикулярные кистозные очаги почти всегда доброкачественные; если нет ни васкуляризированных элементов мягких тканей, ни новообразований
Рак яичка
Рак яичка – это злокачественное поражение половых желез у мужчин. Симптомами патологии являются пальпируемое образование, увеличение и отек мошонки, болевой синдром. Диагностика болезни заключается в проведении осмотра, диафаноскопии, УЗИ мошонки, биопсии яичка, определении опухолевых маркеров, МРТ органов мошонки, КТ ОГП и ОБП. Лечение включает выполнение одно- или двусторонней орхифуникулэктомии, проведение лучевой терапии и химиотерапии. Прогноз заболевания зависит от клинической стадии и гистологического типа новообразования.
МКБ-10
Рак яичка – сравнительно редкая онкопатология, составляющая около 1,5-2% всех злокачественных опухолей, выявляемых у мужчин. В практической онкоурологии на рак яичка приходится 5% всех новообразований. При этом заболевание является крайне агрессивным, поражает преимущественно молодых мужчин в возрасте до 40 лет и является среди них наиболее частой причиной ранней онкологической смертности. Чаще выявляется односторонняя опухоль, реже (в 1-2% случаев) наблюдается двухстороннее поражение.
Причины
Выявлено три возрастных пика, связанных с возникновением рака яичка: у мальчиков до 10 лет, молодых мужчин от 20 до 40 лет и пожилых людей старше 60 лет. У детей патология в 90% случаев развивается на фоне малигнизации эмбриональной доброкачественной тератомы. В более старшем возрасте факторами, провоцирующими развитие новообразования, могут стать травмы мошонки, эндокринные заболевания (гипогонадизм, гинекомастия, бесплодие), радиационное излучение и др. Риск возникновения неоплазии возрастает при синдроме Клайнфельтера.
Наиболее часто болезнь выявляется у пациентов с крипторхизмом – неопущением желез в мошонку. Различные формы крипторхизма увеличивают риск возникновения рака в неопустившемся яичке в 10 раз. При одностороннем поражении яичка вероятность возникновения опухоли контралатеральной железы также велика. Вероятность развития рака выше у мужчин, чьи родственники первой степени (брат, отец) имели аналогичное заболевание. Патология в 5 раз чаще встречается у европейцев, особенно жителей Германии и Скандинавии; реже – в азиатских и африканских странах.
По гистологическому принципу выделяют герминогенные (исходящие из семенного эпителия), негерминогенные (возникающие из стромы яичка) и смешанные новообразования. Герминогенные опухоли яичка встречаются в 95% случаев и могут быть представлены семиномой, эмбриональным раком, хорионкарциномой, злокачественной тератомой и др. Около 40% случаев герминогенных неоплазий составляют семиномы; 60% - несеминомные опухоли. К опухолям стромы полового тяжа (негерминогенным) относятся сертолиома, лейдигома, саркома.
Определяющее значение для лечения патологии имеет стадирование заболевания по международным TNM-критериям.
- Т1 – опухоль локализована в границах яичка и придатка, возможно врастание в белочную оболочку.
- Т2 - опухоль расположена в пределах яичка и придатка, прорастает белочную и влагалищную оболочку.
- Т3 – опухоль инфильтрирует семенной канатик.
- Т4 – опухоль прорастает семенной канатик и ткани мошонки.
Для обозначения вовлеченности регионарных (подвздошных, забрюшинных лимфоузлов) используется критерий N:
- N1 – наличие регионарных метастазов в лимфоузлах до 2 см в диаметре
- N2 – метастазы в регионарных в лимфоузлах до 5 см
- N3 - метастазы в лимфоузлах более 5 см
Отдаленные метастазы обозначаются латинской буквой М и классифицируются следующим образом:
- М1 – выявляются отдаленные метастазы (М1а - в легких и нерегионарных лимфоузлах, М1b - в других органах).
Симптомы рака яичек
Клиника складывается из местных симптомов и проявлений метастазирования. Первым признаком рака яичек, как правило, становится уплотнение железы и появление в ней пальпируемого безболезненного узелка. В четверти случаев отмечается боль в пораженном яичке или мошонке, чувство тяжести или тупой боли внизу живота. Начальная симптоматика может напоминать острый орхоэпидидимит. При прогрессировании рака яичка мошонка становится асимметрично увеличенной и отечной. Дальнейшее развитие клинических проявлений обычно связано с метастазированием.
При сдавлении нервных корешков увеличенными забрюшинными лимфоузлами могут отмечаться боли в спине; при сдавлении кишечника – кишечная непроходимость. В случае блокады лимфатических путей и нижней полой вены развивается лимфостаз и отеки нижних конечностей. Сдавление мочеточников может сопровождаться развитием гидронефроза и почечной недостаточности. Метастазирование в лимфоузлы средостения вызывает кашель и одышку. При развитии раковой интоксикации отмечается тошнота, слабость, потеря аппетита, кахексия.
Негерминогенные формы рака яичка могут инициировать дисгормональные проявления. В этих случаях у мальчиков нередко развивается гинекомастия, преждевременная маскулинизация (гирсутизм, мутация голоса, макрогенитосомия, частые эрекции). У взрослых гормонально-активный рак может сопровождаться снижением либидо, импотенцией, феминизацией.
Поэтапная диагностика рака яичек включает физикальное обследование, диафаноскопию, ультразвуковую диагностику (УЗИ мошонки), исследование опухолевых маркеров, томографию, биопсию яичка с морфологическим исследованием тканей.
- Осмотр уролога. Первичное обследование начинается с пальпации органов мошонки (для выявления первичной опухоли), живота, паховой и надключичной области (с целью обнаружения пальпируемых лимфоузлов), грудных желез (для выявления гинекомастии). С помощью диафаноскопии – просвечивания тканей мошонки источником света удается дифференцировать кисту придатка яичка, гидроцеле и сперматоцеле от опухоли.
- Сонография. Проведение УЗИ органов мошонки имеет целью определение локализации рака, его величины и степени инвазии, а также исключение поражения контрлатеральной железы.
- Томографическая диагностика. Высокой чувствительностью и специфичностью при диагностике опухолей яичка обладает МРТ органов мошонки, позволяющая оценить предполагаемую глубину инвазии опухоли.
- Определение сывороточных маркеров. Является значимым фактором диагностики, стадирования и прогноза рака яичка. Необходимо исследовать АФП (a-фетопротеин), ХГЧ (хорионический гонадотропин), ЛДГ (лактатдегидрогеназу), ПЩФ (плацентарную щелочную фосфатазу). Увеличение уровня маркеров регистрируется у 51% пациентов, однако отрицательный результат также не исключает наличие опухоли.
- Биопсия. Окончательную морфологическую верификацию диагноза проводят в ходе открытой биопсии яичка через паховый доступ. Обычно в процессе диагностической операции осуществляется срочное морфологическое исследование биоптата и при подтверждении рака яичка производится удаление половой железы вместе с семенным канатиком (орхифуникулэктомия).
Отдаленные метастазы могут быть обнаружены при выполнении УЗИ брюшной полости и сонографии почек, рентгенографии грудной клетки, МРТ и КТ ОГК и БП, остеосцинтиграфии.
Лечение рака яичек
Возможность органосохраняющей операции рассматривается при двусторонней опухоли или поражении единственной железы. После резекции яичка всем пациентам показано проведение адъювантной лучевой терапии. Стандартом хирургического лечения патологии служит орхиэктомия, при необходимости с забрюшинной лимфаденэктомией. Удаление семиномных опухолей Т1-Т2 стадий дополняется лучевой терапией; при стадиях семиномы Т3-Т4, а также при несеминомном раке требуется назначение системной химиотерапии. В случае двухсторонней орхифуникулэктомии или низкого уровня тестостерона пациентам назначается гормонозаместительная терапия.
Комплексное лечение (орхиэктомия, радиотерапия, химиотерапия) могут привести к временному или длительному бесплодию и импотенции. Поэтому пациентам фертильного возраста перед началом терапии рекомендуется обследование у онкоуролога с оценкой уровня гормонов (тестостерона, ЛГ, ФСГ) и спермограммы. При намерении в дальнейшем иметь детей до начала лечения мужчина может прибегнуть к криоконсервации спермы.
Прогноз и профилактика
Многофакторный анализ прогноза учитывает клиническую стадию, гистотип опухоли, правильный и полный комплекс проведенного лечения. Так, при стадиях рака Т1-Т2 возможно выздоровление у 90-95% пациентов. Худший прогноз следует ожидать при ангиолимфатической инвазии опухоли, наличии метастазов. Профилактика заключается в своевременном устранении крипторхизма, предупреждении травм мошонки, исключении облучения гениталий. Своевременному выявлению патологии способствует регулярное самообследование и раннее обращение к урологу-андрологу при обнаружении каких-либо изменений.
а) Определение: 
• Доброкачественная солидная паратестикулярная опухоль мезенхимального происхождения
1. Общая характеристика: 
• Лучший диагностический критерий: 
о Солидное внутримошоночное объемное образование, обычно экстратестикулярное 
• Локализация: 
о Придаток яичка: в целом является наиболее частой локализацией: 
- Наиболее часто в хвосте придатка яичка 
о Белочная оболочка 
о Редко имеет интратестикулярное или иное расположение, например, в семенном канатике или в простате 
• Размер: 
о От 5 мм до 5 см 
• Морфология: 
о Образование округлой или овальной формы о Хорошо отграниченное от окружающих структур
2. Рекомендации по визуализации аденоматозной опухоли мошонки: 
• Лучший метод визуализации: 
о УЗИ 
• Советы по протоколу исследования: 
о В-режим УЗИ с цветовым допплеровским картированием
3. УЗИ при аденоматозной опухоли мошонки: 
• Солидное объемное образование внутри придатка яичка или белочной оболочки вариабельной эхогенности: 
о При легком надавливании датчика можно наблюдать, что объемное образование двигается независимо от яичка 
• При В-режиме УЗИ определяется рефракционная краевая акустическая тень 
• Гиповаскулярное или аваскулярное по данным цветовой допплерографии

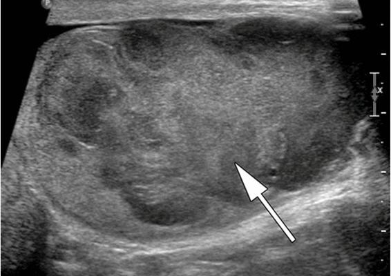
 (Слева) У мужчины 41 года внутри пальпируемой гипоэхогенной аденоматозной опухоли, расположенной в хвосте придатка яичка, внутренний кровоток не визуализируется. 
(Справа) У мужчины 50 лет в течение пяти лет проводилось ультразвуковое наблюдение за предположительно аденоматозной опухолью яичка. Представленное объемное образование овальной формы с четкими конкурами в хвосте придатка яичка является изоэхопенным по отношению к ткани яичка, также наблюдается минимальный внутренний кровоток. Обратите внимание на значительное различие эхогенности по сравнению с аналогичной опухолью, показанной у предыдущего пациента. 
в) Дифференциальная диагностика аденоматозной опухоли мошонки:
1. Лейомиома: 
• Солидное или кистозное образование, может содержать кальцификаты 
• Наиболее часто локализуется в головке придатка яичка
2. Липома: 
• 45% среди всех паратестикулярных объемных образований 
• Состоит из зрелых адипоцитов: 
о Гомогенное и гипоэхогенное образование на УЗИ 
о Высокая интенсивность сигнала на Т1-взвешенной МРТ
3. Цистаденома: 
• Встречается у 60% мужчин с болезнью Гиппеля-Линдау 
• Может возникать спорадически, обычно в зрелом возрасте 
• По данным УЗИ может быть преимущественно кистозной или смешанной солидно-кистозной

 (Слева) Представленная гиперэхогенная аденоматозная опухоль овальной формы в хвосте придатка яичка была обнаружена у мужчины 37 лет случайно. 
(Справа) Представленная аденоматозная опухоль белочной оболочки была случайно обнаружена у мальчика 12 лет на МРТ тазовой области. Опухолевый очаг является одновременно эндофитным и экзофитным по отношению к яичку, поскольку сосредоточен в его белочной оболочке. Обратите внимание на минимальный внутренний кровоток. 
1. Общая характеристика: 
• Этиология: 
о Неизвестна 
о Предположительно мезотелиальное происхождение
2. Макроскопические и хирургические особенности: 
• Солидный, гомогенный, желтоватый узел с ровной поверхностью: 
о Наиболее часто локализуется в хвосте придатка яичка 
• Редко может возникать в оболочке яичек, яичке или семенном канатике 
• Обычно не инкапсулируется
3. Микроскопия: 
• Очаг, состоящий из смешанных канальцев, выстланных плоским и кубическим эпителием или эндотелиальными клетками 
• Кератин-позитивная реакция при иммунопероксидазном окрашивании 
• Позитивная реакция клеток на маркеры мезотелия (кальретинин, НВМЕ1) 
• Укрепляются позиции ТИАБ в возможности обеспечить постановку точного диагноза
д) Клинические особенности:
1. Проявления аденоматозной опухоли мошонки: 
• Наиболее частые признаки/симптомы: 
о У многих пациентов протекает бессимптомно 
о Медленно растущее пальпируемое объемное образование 
• Другие признаки/симптомы: 
о 5% пациентов обращаются с болью
2. Демография: 
• Возраст: 
о 20 лет и старше: средний возраст-36 лет 
о Редко наблюдается у мальчиков 
• Пол: 
о У женщин также могут возникать объемные образования половых путей с подобной гистологической структурой 
• Эпидемиология: 
о Наиболее часто встречающееся солидное объемное образование придатка яичка 
о 36% среди всех паратестикулярных опухолей
3. Течение и прогноз: 
• Медленно увеличивается в течение многих лет
4. Лечение аденоматозной опухоли мошонки: 
• В большинстве случаев для подтверждения диагноза требуется хирургическое иссечение, обычно с сохранением яичка 
• Некоторые урологи и пациенты предпочитают наблюдение 
• Усиливается роль ТИАБ
е) Диагностическая памятка: 
1. Следует учесть: 
• Лейомиома 
2. Советы по интерпретации изображений: 
• Солидное паратестикулярное объемное образование 
• Гиповаскулярное или аваскулярное по данным цветовой допплерографии
Читайте также:
- Кровоснабжение кожи. Рецепторы кожи.
- Симптомы гастроэзофагеального рефлюкса (ГЭРБ) и его лечение
- Критерии инфекционно-токсического шока. Степени ИТШ
- Гомеостатические механизмы при изоосмотической гипергидратации. Болезнь Кушинга. Изоосмотическая гипердегидратация.
- Патогенез сапа. Механизм развития острого сапа
