Методы обследования паховой грыжи
Добавил пользователь Владимир З. Обновлено: 08.01.2026
Методы обследования паховой грыжи
а) Определения:
• Грыжа: слабость или дефект фибромышечной стенки, сопровождающиеся протрузией через дефект органа или части органа:
о Грыжи паховой области включают в себя косые и прямые паховые и бедренные грыжи
• Вправимые: грыжа вправляется самостоятельно или при надавливании (рукой или датчиком)
• Фиксированная: невправимая
• Ущемленная: нарушение кровоснабжения содержимого грыжевого мешка
б) Визуализация:
1. Общая характеристика:
• Локализация:
о Паховый канал:
- 4 см длиной, 1,2 см выше паховой связки, идет от передней верхней ости подвздошной кости к лобковому бугорку:
У мужчин содержит семенной канатик и подвздошно-паховый нерв, у женщин - круглую связку матки и подвздошно-паховый нерв
о Бедренный канал:
- 2 см длиной, прилегает к бедренной вене с медиальной стороны, лежит глубже и дистальнее паховой связки
о Косая паховая грыжа:
- Проходит через глубокое паховое кольцо по паховому каналу и выходит из поверхностного пахового кольца
- Шейка локализуется латеральнее нижней надчревной артерии и выше паховой связки
- У мужчин обычно тянется вдоль семенного канатика в мошонку
- У женщин может спускаться вдоль круглой связки матки в большие половые губы
о Прямая паховая грыжа:
- Проходит через дефект поперечной фасции в треугольнике Гессельбаха
- Пролабирует вперед через стенку живота
- Широкая шейка лежит медиальнее надчревной артерии и выше паховой связки
- Не проходит в семенной канатик и обычно не спускается в мошонку
о Бедренная грыжа:
- По бедренному каналу проходит в верхне-медиальную область бедра
- Узкая шейка лежит медиальнее бедренной вены и ниже паховой связки
о Двойная грыжа:
- Одновременное развитие прямой и непрямой паховых грыж в одной и той же паховой области - грыжа типа «переметной сумы»
2. УЗИ при грыже паховой области:
• Серошкальное исследование:
о Точный метод диагностики грыж и оценки их содержимого, а также выявления дефекта фасции в положении покоя и при выполнении нагрузочных проб:
- Размеры грыж увеличиваются при кашле, пробе Вальсальвы или в положении стоя
о Содержимое:
- Жировая клетчатка сальника: эхогенная, не перистальтирует
- Петли кишки: слоистые; «мишеневидный»» УЗ рисунок с интенсивным эхосигналом в центре, отображающим наличие жидкости или воздуха в просвете кишки:
Перистальтика кишки лучше всего заметна при исследовании в режиме реального времени
- Жидкость
о Вправимая грыжа: уменьшение размеров грыжи при снижении внутрибрюшного давления или при надавливании на грыжевой мешок рукой или датчиком
о Грыжа, не осложненная непроходимостью: активная перистальтика ± движение содержимого кишки
о Ущемленная грыжа: утолщение стенок грыжевого мешка, жидкость, утолщение стенок кишки, эхогенная жировая клетчатка
о Грыжа, осложненная кишечной непроходимостью: отсутствие перистальтики или интенсивная перистальтика петель кишки в грыжевом мешке, утолщение стенок/расширение петель кишки в грыжевом мешке или брюшной полости
• Цветовая допплерография:
о Помогает идентифицировать нижнюю надчревную артерию и определить ее взаимоотношения с грыжевым мешком:
- Следует дифференцировать прямые и косые паховые грыжи
о Ущемленная грыжа: поздний симптом-отсутствие признаков кровотока в стенке кишки и брыжейке
(Левый) На рисунке показана прямая паховая грыжа. Обратите внимание, что шейка прямой паховой грыжи находится с медиальной стороны от нижних надчревных сосудов. Прямая паховая грыжа выходит через дефект поперечной фасции в треугольнике Гессельбаха.
(Правый) На поперечном УЗ срезе левой паховой области при выполнении пробы Вальсальвы с медиальной стороны от нижних надчревных сосудов визуализируется прямая паховая грыжа содержащая жировую клетчатку. (Левый) На поперечном УЗ срезе определяется прямая правосторонняя паховая грыжа, содержащая кишку Шейка грыжевого мешка лежит медиальнее надчревных сосудов.
(Правый) У этого же пациента при КТ с контрастным усилением, выполненной по другим показаниям, на аксиальной томограмме определяется правосторонняя прямая паховая грыжа, содержащая жировую клетчатку и жидкость. Кишка не визуализируется. Шейка грыжевого мешка лежит медиальнее надчревной артерии. Невозможность динамического исследования снижает информативность КТ. (Левый) На поперечном УЗ срезе определяются левосторонние сопутствующие прямая и косая паховые грыжи, обе содержат жировую клетчатку брыжейки. Шейки косой и прямой грыж лежат соответственно латеральнее и медиальнее надчревных сосудов. Такое сочетание известно под названием грыжи в виде «переметной сумы».
(Правый) На поперечном УЗ срезе определяется левосторонняя паховая грыжа косого типа, содержащая жидкость и жировую клетчатку (не показана). Шейка грыжевого мешка лежит латеральнее надчревных вены и артерии.
3. КТ и МРТ при грыже паховой области:
• Одинаково информативны при большинстве грыж, но при КТ используется ионизирующее излучение
• Выполняются при сомнительных результатах ультразвукового исследования; более информативны при диагностике альтернативных состояний, вызывающих появление выпячивания стенки живота, или при осложненных грыжах
• Динамическое ультразвуковое исследование более чувствительно при небольших вправимых грыжах
4. Рентгенологические данные:
• Рентгенография:
о Заполненные газом петли тонкой кишки в проекции паха
о ± тонко- или толстокишечная непроходимость
• Герниография/перитонеография:
о Введение растворимых низкоосмолярных контрастных сред в полость брюшины
о Инвазивная, но очень информативная методика диагностики скрытых паховых грыж
5. Рекомендации по визуализации:
• Оптимальный метод визуализации:
о Ультразвуковое исследование должно выполняться в качестве метода первичной диагностики, точность исследования определяется строгим соблюдением систематического подхода:
- Метод позволяет выполнять исследование в динамике, но результаты зависят от оператора
- При диагностике паховых грыж чувствительность составляет 97%, специфичность-85%, положительное прогностическое значение-93%
- Низкая точность при определении типа грыжи (прямая паховая, косая паховая, бедренная)
- Наиболее трудна для диагностики грыжа, содержащая исключительно жировую клетчатку
о КТ или МРТ выполняются при сомнительных результатах ультразвукового исследования
• Рекомендации по методике проведения исследования:
о Линейный датчик высокого разрешения
о Начните исследования латеральнее прямой мышцы живота и идентифицируйте нижнюю надчревную артерию:
- Спускайтесь по ходу нижней надчревной артерии до места ее отхождения от наружной подвздошной артерии; здесь находится глубокое паховое кольцо
о Установите датчик параллельно паховой связке
о Проведите сканирование в каудальном направлении, над бедренными сосудами; бедренную грыжу следует искать медиальнее в области сафено-бедренного соустья
о Проведите сканирование в краниальном направлении, на некотором расстоянии от медиальной огибающей артерии бедра найдите начало нижней надчревной артерии, проведите исследование на предмет косой паховой грыжи
о Проведите сканирование в медиальном направлении, исследуйте поверхностное кольцо и оцените наличие прямой паховой грыжи
о С целью выявления грыжи или слабости брюшной стенки исследование каждой зоны следует проводить в покое и при выполнении пробы Вальсальвы
о При обнаружении грыжи исследуйте контрлатеральную область, также области болезненности
о Настоятельно рекомендуем записывать и сохранять видеофайлы
о Повторите исследование в положении пациента стоя, в этом положении лучше визуализируются скопления жидкости в грыжевом мешке
(Левый) На рисунке изображена косая паховая грыжа, спускающаяся в правую половину мошонки. Обратите внимание, что шейка косой паховой грыжи локализуется с латеральной стороны от нижних надчревных сосудов.
(Правый) На продольном УЗ срезе правой паховой области при выполнении пробы Вальсальвы определяется косая паховая грыжа, содержащая кишку и, в нижней части грыжевого мешка, жидкость. Наблюдалась нормальная перистальтика. (Левый) На продольном УЗ срезе определяется крупная паховая грыжа В косого типа, спускающаяся в верхнюю часть мошонки. Грыжевой мешок содержит петлю кишки, заполненную газом. Отбрасываемая кишечными газами тень может скрывать содержимое грыжевого мешка.
(Правый) У этого же пациента при КТ с контрастным усилением на корональной томограмме подтверждено, что содержимым грыжевого мешка правосторонней косой пахово-мошоночной грыжи являются слепая кишка В и терминальный сегмент подвздошной кишки. (Левый) Пациент с ущемленной правосторонней косой паховой грыжей. Поперечный УЗ срез мошонки. Определяются расширенные отечные петли кишки и окружающая их жидкость. Также определяется гидроцеле слева. Ишемия яичка.
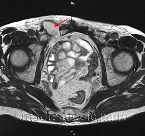
(Правый) У ребенка при панорамном УЗИ на продольном УЗ срезе левой па ховой области определяется незаращение влагалищного отростка, приведшее к развитию косой паховой грыжи; в грыжевом мешке определяется жировая клетчатка и жидкость. Яичко смещено книзу.
в) Дифференциальная диагностика паховой грыжи:
1. Липома семенного канатика:
• Не изменяется при выполнении пробы Вальсальвы, невправима
• Обычно не простирается глубоко в полость брюшины
2. Гидроцеле влагалищного отростка брюшины (канала Нюка):
• У эмбриона влагалищный отросток тянется из полости брюшины в мошонку:
о В семенном канатике влагалищный отросток в норме облитерируется, в мошонке сохраняется как влагалищная оболочка яичка (tunica vaginalis)
о Нарушение облитерации приводит к скоплению жидкости внутри канатика и развитию состояния, которое называется гидроцеле влагалищного отростка брюшины (канала Нюка):
- Заполнено анэхогенной жидкостью, не изменяется при проведении пробы Вальсальвы, невправимо
- Не простирается глубоко в полость брюшины
3. Новообразования пахового канала:
• Доброкачественные и злокачественные опухоли: нейрофиброма, десмоид, метастазы, лимфаденопатия, лимфома, саркомы
• Неопущение яичка
• Другие состояния: варикоцеле, абсцесс, гематома, гранулема, рубец
(Левый) На продольном УЗ срезе у взрослого мужчины определяется левосторонняя косая грыжа, спускающаяся в мошонку. Содержащаяся в грыжевом мешке жировая клетчатка прилежит к яичку.
(Правый) У этого же пациента при КТ с контрастным усилением, выполненной по поводу травмы нижней конечности, на аксиальной томограмме определяется косая паховая грыжа, содержащая жировую клетчатку. Грыжа не вызывала жалоб. (Левый) На рисунке изображена паховая грыжа. Обратите внимание, что шейка бедренной грыжи локализуется медиальнее общей бедренной вены и ниже паховой связки.
(Правый) На поперечном косом УЗ срезе бедренного канала в положении пациента стоя определяется бедренная грыжа, содержащая жировую клетчатку сальника. Грыжа локализуется с медиальной стороны от бедренных вены и артерии. (Левый) На поперечном косом УЗ срезе правого бедренного канала в покое определяются неизмененные бедренные вена и артерия, грыжа не визуализируется.
(Правый) На поперечном косом УЗ срезе правого бедренного канала при выполнении пробы Вальсальвы медиальнее бедренной вены определяется небольшая бедренная грыжа.
г) Патология:
1. Общая характеристика:
• Этиология:
о Полиэтиологическое заболевание:
- Хронические причины: повышение внутрибрюшного давления вследствие увеличения объема содержимого брюшной полости (асцит):
Слабость мускулатуры живота: хронический кашель, простатизм, запоры, физическая работа, беременность, прием стероидов, коллагенозы, курение
- Острые причины: внезапное резкое повышение внутрибрюшного давления
о Косая паховая грыжа: возникновение врожденных грыж обусловлено сохранением влагалищного отростка в младенческом и детском возрасте
2. Макроскопические и хирургические особенности:
• Содержимое грыжевого мешка: обычно-сальник, асцитическая жидкость, тонкая кишка или подвижный отдел ободочной кишки (сигмовидная кишка, слепая кишка, червеобразный отросток), изредка-мочевой пузырь, яичник:
о Грыжа Литре: содержимым грыжевого мешка является дивертикул Меккеля
о Грыжа Рихтера: в грыжевом мешке находится лишь сектор окружности кишки (свободного, противоположного брыжеечному, края)
д) Клинические особенности:
1. Проявления паховой грыжи:
• Наиболее частые симптомы/жалобы:
о Выпячивание или дискомфорт в области паха, положительный симптом кашлевого толчка (позволяет поставить диагноз клинически):
- Постоянное или появляющееся периодически
• Другие жалобы/симптомы:
о Признаки кишечной непроходимости
2. Демография:
• Возраст:
о Косая паховая грыжа чаще всего развивается у пациентов молодого или среднего возраста
о Частота прямых паховых грыж увеличивается с возрастом
о Бедренная грыжа чаще встречается среди пациентов среднего возраста или престарелых
• Пол:
о У мужчин косая паховая грыжа встречается в 5-10 раз чаще
о Прямая паховая грыжа почти всегда развивается у мужчин
о Бедренная грыжа чаще встречается у женщин:
- Однако наиболее часто встречающаяся грыжа среди женщин - косая паховая грыжа
3. Эпидемиология:
о Герниопластика - самая частая хирургическая операция в США
о У 5% мужчин развивается грыжа паховой области
о 75% составляют паховые грыжи, соотношение косых и прямых грыж-5:1
о 10-15% составляют бедренные грыжи
о Паховые грыжи у детей всегда развиваются вследствие открытого влагалищного отростка и, таким образом, представляют собой косые грыжи, спускающиеся в мошонку
4. Течение и прогноз:
• Частота рецидива после герниопластики: 1-15%:
о Прямая паховая грыжа может развиться после герниопластики косой паховой грыжи
• Осложнения: непроходимость, ущемление:
о Косые паховые грыжи вызывают 15% случаев кишечной непроходимости
о Непроходимость или ущемление гораздо чаще осложняют бедренные грыжи вследствие узости шейки грыжевого мешка
5. Лечение паховой грыжи:
• Выполняется лапароскопическая или открытая герниопластика
е) Диагностическая памятка. Следует учесть:
• При паховых грыжах обращайте внимание на взаиморасположение нижней надчревной артерии и шейки грыжевого мешка
• Бедренная грыжа выходит ниже паховой связки
Методы обследования грыжи брюшной стенки
а) Определения:
• Грыжа: слабость или дефект фибромышечной стенки с протрузией органа/части органа через дефект:
о Вправимая: вправляется спонтанно или при надавливании снаружи (рукой или датчиком)
о Фиксированная: невправимая
о Ущемленная: вызывает нарушение кровоснабжения содержимого грыжевого мешка
• Классификация: грыжи срединной линии и латеральные грыжи
1. Общая характеристика:
• Основные диагностические признаки:
о Выпячивание стенки живота вследствие пролабирования тканей через дефект брюшной стенки
• Локализация:
о Грыжи срединной линии:
- Эпигастарльные: между мечевидным отростком и пупком
- Пупочные: пупок или ближайшая параумбиликальная зона
- Гипогастральные: между пупком и лобковым симфизом
о Латеральные грыжи:
- Спигелиевы:
Дефект в апоневрозе поперечной мышцы живота, непосредственно прилегающий с латеральной стороны к влагалищу прямой мышцы живота (полулунная линия)
Чаще всего локализуется вблизи полукружной линии
- Поясничные: развиваются в двух потенциально слабых зонах фланков живота:
Верхний поясничный треугольник (грыжа Гринфельта) с медиальной стороны ограничен мышцей, выпрямляющей позвоночник, сверху — XII ребром, с латеральной стороны - внутренней косой мышцей
Нижний поясничный треугольник (грыжа Пети) с медиальной стороны ограничен широчайшей мышцей спины, снизу - гребнем подвздошной кости и с латеральной стороны - наружной косой мышцей
о Послеоперационная грыжа: локализуется в месте хирургического разреза
• Морфология:
о Эпигастральная грыжа:
- Обычно имеет небольшие размеры, содержит пролабирующую через белую линию экстраперитонеальную жировую клетчатку (жировая грыжа белой линии)
- Иногда достигает крупных размеров и содержит кишку
о Пупочная грыжа:
- Пупочная грыжа у детей:
Содержимое полости брюшины пролабирует через незаращенное пупочное кольцо
- Параумбиликальные и периумбиликальные грыжи у взрослых:
Внебрюшинная жировая клетчатка ± содержимое полости брюшины пролабируют с той или другой стороны от пупочного кольца
о Гипогастральная грыжа:
- Встречается очень редко
о Спигелиева грыжа:
- Обычно выходит в подкожный слой, но может располагаться между поперечной мышцей живота и внутренней косой мышцей или пролабировать во влагалище прямой мышцы живота:
Вытягиваясь в латеральную сторону, может проявляться как выпячивание фланка живота
- Иногда развивается вторично после травмы
- Более склонна к ущемлению
о Поясничная грыжа:
- Обычно безболезненна из-за широкой шейки грыжевого мешка
- Развивается вторично вследствие травмы или оперативного вмешательства
о Послеоперационная грыжа:
- Развивается у 10-30% пациентов после оперативных вмешательств
- Может развиваться годы спустя после операции, хотя обычно проявляет себя в течение первого года
- Может оставаться незамеченной со стороны пациента и случайно выявляться при лучевом исследовании
- Может достигать очень крупных размеров
2. УЗИ грыжи брюшной стенки:
• Серошкальной исследование:
о Используется линейный датчик высокого разрешения; конвексный низкочастотный датчик приберегается для исследования крупных грыж/обзорных исследований:
- Расширенное поле исследования (панорамное) при крупных грыжах, диастазах прямых мышц живота
о Следует идентифицировать мышечные ориентиры и фасциальные плоскости
о Исследуйте содержимое грыжи (сальник, кишка, предбрюшинная жировая клетчатка, жидкость), определите локализацию/размеры дефекта брюшной стенки и наличие осложнений:
- Жировая клетчатка сальника: эхогенная/гипоэхогенная ткань, не перистальтирует
- Кишка: «мишеневидный» рисунок, центральный эхосигнал определяется наличием воздуха в просвете кишки, визуализируется перистальтика:
Могут визуализироваться круговые складки тонкой кишки или каловые массы в толстой кишке
Из-за наличия воздушно-жидкостного содержимого картина вариабельна
о Диагностике грыж помогают проба Вальсальвы и исследование в положении стоя
- Сохраняйте результаты исследования в формате видеофайлов
о Надавив на грыжу, оцените ее вправимость
о Осложнения: невправимая грыжа может вызывать обструкцию кишки или ущемляться:
- За исключением паховых грыж, эти осложнения при грыжах передней стенки живота развиваются нечасто
- Обструкция кишки в грыжевом мешке: отсутствие перистальтики, узкая шейка грыжевого мешка, растянутая кишка, жидкость
- Ущемленная грыжа: отсутствие признаков кровотока в стенке кишки или брыжейке при допплерографии, отечная стенка кишки, отсутствие перистальтики, жидкость, эхогенность жировой клетчатки:
Обратите внимание, что отсутствие признаков кровотока - поздний симптом; кроме того, кровоток не определяется и в неущемленной в жировой клетчатке
- Другие признаки также малоинформативны, что затрудняет диагностику ущемления с помощью ультразвукового исследования
(Левый) Поперечный УЗ срез пациента с циррозом и асцитом. Определяется крупная пупочная грыжа, содержащая асцитическую жидкость и пролабирующая через пупок через дефект белой линии. Грыжевой мешок не содержит кишки. Петли кишки в брюшной полости не расширены.
(Правый) Продольный УЗ срез крупной грыжи средней линии, содержащей жировую клетчатку. Из-за ее размеров эту грыжу исследуют конвексным датчиком. Тем не менее, визуализируется дефект брюшной стенки. (Левый) Продольный УЗ срез болезненной пупочной грыжи, содержащей жидкость и мягкую ткань у пациента с циррозом и портальной гипертензией. Определяется небольшой дефект белой линии. Перистальтика не определяется.
(Правый) Этот же пациент с портальной гипертензией. Цветовая допплерография, продольный УЗ срез. Пупочные грыжи представляют собой зоны слабости (брюшной стенки), в которых могут ущемляться коллатеральные вены. Хотя грыжа и болезненна, вены не тромбированы. (Левый) Прицельное УЗИ, поперечный УЗ срез. Определяется мелкая эпигастральная грыжа, пролабирующая через дефект белой линии. Визуализируются прямые мышцы.
(Правый) У этого же пациента при КТ на аксиальной томограмме подтверждена мелкая эпигастральная грыжа средней линии, содержащая жировую клетчатку. Дефект белой линии не визуализируется. Прямые мышцы не изменены.
3. КТ при грыже брюшной стенки:
• Метод позволяет с высокой точностью диагностировать грыжу, идентифицировать содержимое грыжевого мешка, а также определить локализацию и размер дефекта передней брюшной стенки:
о Информативен при исследовании крупных глубоко залегающих грыж и развивающихся осложнений
• Грыжи могут быть плохо заметны в положении на спине, но КТ можно выполнить и при проведении пробы Вальсальвы
4. МРТ при грыже брюшной стенки:
• Метод используется аналогично КТ, кроме того, возможно построение динамических последовательностей во время выполнения пробы Вальсальвы
(Левый) На поперечном УЗ срезе в области пупка определяется содержащая жировую клетчатку и вызывающая жалобы периумбиликальная грыжа. Обратите внимание на узкую шейку грыжевого мешка.
(Правый) При панорамном УЗИ на поперечном УЗ срезе определяется послеоперационная грыжа средней линии, содержащая кишку. Грыжа развилась после лапаротомии, осложнившейся раневой инфекцией. Определяется широкое расхождение прямых мышц. (Левый) На поперечном УЗ срезе определяется послеоперационная грыжа срединной линии с широкой шейкой, содержащая кишку Видна правая прямая мышца.
(Правый) У этого же пациента при КТ с контрастным усилением на аксиальной томограмме определяется обширная послеоперационная грыжа, содержащая нерасширенную тонкую кишку. Визуализируются атрофичные прямые мышцы. (Левый) При КТ с контрастным усилением на аксиальной томограмме определяется ущемленная пупочная грыжа, в грыжевом мешке и проксимальнее грыжи визуализируется расширенная тонкая кишка. Отмечается контрастирование стенки находящейся в грыжевом мешке кишки; во время оперативного вмешательства признаков ущемления не выявлено.
(Правый) У пациента, перенесшего оперативное вмешательство по поводу аневризмы аорты при КТ с контрастным усилением на корональной томограмме определяется очень крупная послеоперационная грыжа, содержащая нерасширенную тонкую кишку. Отмечается утолщение стенок сигмовидной кишки вследствие колита, вызванного С. difficile.
в) Дифференциальная диагностика грыжи брюшной стенки:
1. Опухоль стенки живота:
• Первичная (липома, десмоидная опухоль, эндометриоз) или вторичная опухоль (метастаз в послеоперационном рубце, метастазы меланомы, узел сестры Mary Joseph)
• Эти состояния дифференцируют от грыж по их локализации, отсутствию дефекта фасции или изменений при проведении пробы Вальсальвы
• Окружающая липому тонкая капсула позволяет дифференцировать ее от пролабирующей через дефект брюшной стенки жировой клетчатки (хотя также имеет шейку)
2. Абсцесс или серома стенки живота:
• Отсутствует дефект фасции
3. Гематома стенки живота или влагалища прямой мышцы:
• Посттравматические или спонтанные: кровоизлияние при разрыве надчревного сосуда или мышцы
• Отсутствует дефект фасции, не изменяется при выполнении пробы Вальсальвы
4. Расхождение (диастаз) прямых мышц живота:
• Выпячивание полости живота вследствие растяжения или истончения белой линии:
о Особенно характерно для престарелых много рожавших женщин
5. Расширение сосудов стенки живота:
• Эластичное, трубчатое, определяется кровоток
6. Лигатурная гранулема:
• Послеоперационная, отсутствует дефект фасции, не изменяется при выполнении пробы Вальсывы
• В толще гранулемы может определяться эхогенный шовный материал
(Левый) В состоянии покоя на поперечном УЗ срезе определяется средних размеров посттравматическая правосторонняя спигелиева грыжа, пролабирующая через полулунную линию/апонев-роз поперечной мышцы живота. Определяется прямая мышца живота.
(Правый) Во время выполнения пробы Вальсальвы на поперечном УЗ срезе определяется та же правосторонняя пост-травматическая спигелиева грыжа, грыжа увеличилась в размерах. Визуализируется неизмененная прямая мышца живота. Изменения при выполнении пробы Вальсальвы более заметны в режиме реального времени. (Левый) При КТ на аксиальной томограмме, выполненной после травматического перелома правого бедра, определяется содержащая ободочную кишку спигелиева грыжа. Грыжевой дефект локализуется между прямой и косой мышцами.
(Правый) При КТ без контрастного усиления на аксиальной томограмме определяется верхняя поясничная грыжа, содержащая жировую клетчатку (грыжа Гриенфельта). (Левый) На рисунке показана верхняя поясничная грыжа (грыжа Гриенфельта), пролабирующая через верхний поясничный треугольник, ограниченный с медиальной стороны мышцей разгибателем позвоночника, сверху - XII ребром и с латераль ной стороны - внутренней косой мышцей.
(Правый) На рисунке показана нижняя поясничная грыжа (грыжа nemt), пролабирующая через нижний поясничный треугольник, ограниченный с медиальной стороны — широчайшей мышцей спины, снизу- гребнем подвздошной кости и наружной косой мышцей — латеральной.
г) Патология. Общая характеристика:
• Этиология:
о Первичные: врожденный дефект; эпигастральные и пупочные
о Вторичные:
- Слабость мускулатуры брюшной стенки
Хроническое повышение внутрибрюшного давления, растяжение брюшной полости (цирроз, асцит), растяжимость мышц (ожирение, возраст, беременность)
Физическое напряжение, хронический кашель, простатизм или запоры
- Травма: тупой удар или натяжение при переразгибании:
Внезапный подъем внутрибрюшного давления
Воздействие недостаточно сильное, чтобы повредить кожу, но достаточное, чтобы нарушить целостность мышцы и фасции
- Послеоперационная слабость стенки живота, хирургический рубец, недостаточность швов, раневая инфекция
1. Проявления:
• Наиболее частые жалобы/симптомы:
о Выпячивание живота, увеличивающееся в размерах при повышении внутрибрюшного давления
о Вправляемое выпячивание, определяется кашлевой толчок
о Дискомфорт, боли, периодическая кишечная непроходимость
2. Демография:
• Возраст:
о Пупочная грыжа: маленькие дети
о Параумбиликальная грыжа: взрослые
о Эпигастральная грыжа: 20-50 лет
о Послеоперационная грыжа: чаще у престарелых пациентов
• Пол:
о Эпигастральные грыжи вдвое чаще встречаются среди мужчин
• Эпидемиология:
о Наиболее часто встречающиеся при ультразвуковом исследовании образования брюшной стенки
3. Течение и прогноз:
• 1/3 пупочных грыж закрываются в течение месяца после рождения и редко сохраняются в возрасте старше 3-4 лет
• Все остальные грыжи персистируют и зачастую со временем увеличиваются в размерах
• 20% требуют неотложного вмешательства по поводу фиксации и ущемления грыжи:
о У грыж с очень маленькими (< 1 см) или очень большими шейками ущемление развивается реже
4. Лечение грыжи брюшной стенки:
• Закрытие дефекта мышц/фасций: открытым способом или лапароскопически, пластика сеткой
• Кишечная непроходимость/ущемленная грыжа; неотложная эксплоративная лапаротомия
е) Диагностическая памятка:
1. Следует учесть:
• Если при УЗИ не удается визуализировать задний край образования брюшной стенки, следует предполагать грыжу живота
2. Советы по интерпретации изображений:
• Исследуется дефект стенки живота, содержимое грыжевого мешка, оценивается наличие перистальтики и васкуляризация (если в грыжевом мешке содержится кишка)
ж) Список использованной литературы:
1. Murphy КР et al: Adult abdominal hernias. AJR Am J Roentgenol. 202(6):W506-11, 2014
2. Yeh DD et al: Hernia emergencies. Surg Clin North Am. 94(1):97-130, 2014
3. Arend CF: Static and dynamic sonography for diagnosis of abdominal wall hernias. J Ultrasound Med. 32(7):1251-9, 2013
4. Lee RKet al: Ultrasound of the abdominal wall and groin. Can Assoc Radiol J. 64(4):295-305, 2013
5. Stavros AT et al: Dynamic ultrasound of hernias of the groin and anterior abdominal wall. Ultrasound Q. 26(3): 135-69, 2010
6. Muysoms FE et al: Classification of primary and incisional abdominal wall hernias. Hernia. 13(4):407-14, 2009
Двусторонняя паховая грыжа без непроходимости или гангрены (K40.2)
Грыжей называют выхождение внутреннего органа или его части через анатомические дефекты и/или атипичные каналы брюшной стенки.
Паховая грыжа - это патологическое выпячивание брюшины вместе с внутренними органами брюшной полости (кишечником, большим сальником, мочевым пузырем, яичниками) в просвет пахового канала.
1. Бубоноцеле (устаревший описательный термин, означающий припухлость в паху, обусловленную бедренной или паховой грыжей) с двух сторон.

Автоматизация клиники: быстро и недорого!
- Подключено 300 клиник из 4 стран
- 800 RUB / 4500 KZT / 27 BYN - 1 рабочее место в месяц

Автоматизация клиники: быстро и недорого!
- Подключено 300 клиник из 4 стран
- 1 место - 800 RUB / 4500 KZT / 27 BYN в месяц
Мне интересно! Свяжитесь со мной

13-15 октября, Алматы, "Атакент"
600 брендов, более 150 компаний-участников из 20 стран.
Новинки рынка стоматологии. Цены от производителей
Классификация
Единой классификации паховых грыж не существует. На практике подавляющее большинство хирургов пользуется традиционным разделением паховых грыж на косые и прямые, выделяя среди них первичные и рецидивные.
Косая паховая грыжа проходит через паховый канал на внешнюю (латерально и кпереди) сторону семенного канатика. Шейка грыжевого мешка косой паховой грыжи находится латерально по отношению к надчревным сосудам.
Прямая паховая грыжа выходит непосредственно вперед через заднюю стенку пахового канала. Как правило, она возникает с медиальной по отношению к надчревным сосудам стороны (за исключением случаев "седельной сумки" или грыжи по типу "штанов", когда присутствует и латеральный, и медиальный компонент).


Разделение паховых грыж только на косые и прямые достаточно долго использовалось специалистами ввиду того, что при прямых грыжах проводили укрепление только задней стенки пахового канала, а при косых – передней. Со временем подобная тактика была пересмотрена, укрепление задней стенки стали выполнять как в случае прямых, так и косых паховых грыж, обосновав такой подход с патогенетической точки зрения. Помимо этого, в настоящее время начали применяться новые технологии реконструкции пахового канала по типу пластики без натяжения, с имплантацией сетчатых эндопротезов.
Тип II - косая паховая грыжа с расширением глубокого кольца до 2 см, но без вовлечения прямого пространства.
По МКБ-10 выделяют локализацию грыжи и наличие или отсутствие осложнений (ущемление с непроходимостью и/или гангреной):
| Тип грыжи | Интраоперационный вид грыжи |
| I | Косая грыжа, нерасширенное глубокое паховое кольцо |
| II | Косая грыжа, расширенное глубокое паховое кольцо |
| III | Косая или мошоночная грыжа, разрушенное глубокое паховое кольцо |
| IV | Прямая грыжа с большим дефектом задней стенки пахового канала |
| V | Прямая грыжа с небольним дефектом задней стенки пахового канала |
| VI | Сочетание косой и прямой грыжи |
| VII | Бедренная грыжа |
| VIII | Рецидивная грыжа |
Некоторые разновидности паховых грыж:
3. Косая паховая грыжа с выпрямленным каналом. Встречается, как правило, у пожилых пациентов, на фоне выраженной атрофии мышечно-апоневротических структур. Увеличение грыжи сопровождается расширением внутреннего пахового кольца, прежде всего в медиальную сторону. Вследствие этого внутреннее паховое кольцо все больше приближается к поверхностному, паховый канал теряет свое косое направление и преобразуется в прямое широкое отверстие, ведущее в брюшную полость.
4. Внутристеночная паховая грыжа - редкий вид. Грыжевой мешок выходит из оболочек семенного канатика и проникает между мышечными слоями передней брюшной стенки.
5. Осумкованная паховая грыжа (Грыжа Купера) - присутствуют два грыжевых мешка, заключенные один в другой; с брюшной полостью сообщается только внутренний мешок. Из наружного мешка невозможно проникнуть в брюшную полость, не вскрыв внутренний.
6. Околопаховая грыжа - грыжа выходит из пахового канала не через наружное паховое кольцо, а через щель в апоневрозе наружной косой мышцы живота.
7. Комбинированная грыжа паховой области - с одной стороны присутствуют несколько не связанных между собой грыжевых мешков, также имеется несколько грыжевых ворот. Чаще всего встречается сочетание косой и прямой грыж.
8. Рецидивная паховая грыжа - грыжа не имеет четких анатомических особенностей, а зависит от вида выполненной пластики и причин рецидива. Скорее может быть отнесена к послеоперационным грыжам, по своему течению и видам операций.
Этиология и патогенез
В зависимости от происхождения различают:
- врожденные грыжи - формируются сразу же после рождения ребенка или спустя какой-то промежуток времени;
- приобретенные грыжи.
Врожденная паховая грыжа
Данная грыжа тесно связана с процессом опускания яичка. Яичко формируется на уровне 2~3 поясничных позвонков, примыкая к первичной почке, с трех сторон покрыто брюшиной. По мере роста эмбриона яичко постепенно опускается вниз, следуя так называемому "проводнику", и 4-6-му месяцу внутриутробной жизни лежит у внутреннего пахового кольца. В течение 7-го месяца яичко проходит паховый канал, а на 9-м месяце опускается в мошонку. К моменту рождения ребенка яично достигает дна мошонки. Вместе с яичком и его придатком паховый канал проходят семявыносящий проток, артерии и вены яичка, образующие артериовенозное сплетение, лимфатические сосуды.
Проводник яичка атрофируется к моменту рождения ребенка. В случае если влагалищный отросток брюшины сохраняется, формируется врожденная паховая грыжа, а влагалищный отросток брюшины при этом становится грыжевым мешком.
Врожденная паховая грыжа часто сочетается с водянкой яичка или семенного канатика. Варианты:
1. От влагалищного отростка отшнуровывается его часть, непосредственно прилежащая к яичку (является полостью водянки), а верхняя часть отростка становится грыжевым мешком.
2. Влагалищный отросток, оставаясь незаращенным на уровне внутреннего пахового кольца, облитерируется на отдельных участках. Это обуславливает сочетание грыжи с кистами семенного канатика.
Согласно современным исследованиям, диффузная болезнь соединительной ткани выступает основным этиологическим фактором возникновения паховой грыжи. В связи с чем пересмотрена значимость наличия длительно, бессимптомно существующего незаращенного влагалищного отростка брюшины, что ранее считалось основной этиологической причиной возникновения грыж во взрослом возрасте.
Эпидемиология
Признак распространенности: Редко
У детей
Двусторонние врожденные паховые грыжи встречаются в 10-15% всех случаев паховых грыж. До 30-50% всех двусторонних врожденных паховых грыж по некоторым данным наблюдаются у девочек. Двусторонняя паховая грыжа у них ассоциируется, как правило, с другими врожденными дефектами (двусторонний врожденный вывих бедра и пр.).
У взрослых двусторонние паховые грыжи значительно чаще наблюдаются у мужчин. Двусторонняя приобретенная паховая грыжа у женщин считается редкостью.
Факторы и группы риска
- возраст (слабая брюшная стенка у детей первого года жизни, атрофия мышц передней брюшной стенки у пожилых людей);
- пол (особенности строения таза и размеры бедренного кольца у женщин, слабость паховой области и образование пахового канала у мужчин);
Клиническая картина
Клинические критерии диагностики
выпячивание в паху с обеих сторон, увеличение размеров мошонки у мужчин, боль в паху, боль усиливающаяся при физической нагрузке, дизурия, задержка стула, сильные боли, усиливающиеся при менструации у женщин, задержка газов, запоры, боль в паху при кашле или чихании.
Cимптомы, течение
Для неосложненных паховых грыж характерна однородная клиническая картина.
Основные жалобы:
- наличие опухолевидного выпячивания в паховой области;
- боли различной интенсивности в паху и нижних отделах живота с иррадиацией в поясницу и/или крестец;
- интенсивность болей возрастает при кашле, чихании и физическом напряжении.
Выраженность проявлений зависит от размеров грыжи и органа, который в ней находится. Маленькие выпячивания часто не причиняют никаких неудобств пациентам, поэтому иногда на них не обращают особого внимания. Двусторонняя грыжа может иметь различные размеры слева и справа. Чем больше по величине грыжевое выпячивание, тем более значительные неудобства оно доставляет во время ходьбы и при физической работе.
Нередко пациенты с паховой грыжей страдают от хронических запоров.
При скользящих грыжах мочевого пузыря, помимо обычных симптомов, наблюдается учащенное мочеиспускание, рези и дискомфорт в уретре и боли над лоном, которые исчезают либо уменьшаются после вправления грыжи. У пожилых пациентов часто отмечается задержка мочи.
Выход слепой кишки через грыжевые ворота вызывает не только боли, но также вздутие живота и задержку стула.
Женщины могут испытывать сильные боли, усиливающиеся при менструации, когда яичники и маточные трубы выходят в грыжевой мешок.
Физикальный осмотр выявляет видимое глазом грыжевое выпячивание. В случаях больших паховых грыж равного размера у мужчин мошонка сильно увеличена в объеме, кожа ее растянута, а половой член уклоняется в контрлатеральную сторону (при гигантских грыжах он совсем скрыт в складках кожи).
В ходе пальпации оцениваются форма и размеры грыжевого мешка с обеих сторон в положении пациента лежа и стоя.
При прямой грыже образование округлое либо овальное и расположено у медиальной части паховой связки, вблизи наружного края лона.
При косой грыже выпячивание, расположенное по ходу пахового канала, имеет характерную продолговатую форму и часто опускается в мошонку.
При расположении грыжевого выпячивания выше места проекции наружного отверстия пахового канала, следует заподозрить околопаховую или межстеночную грыжу.
Два выпячивания могут указывать на комбинированную грыжу.
В норме диаметр наружного отверстия пахового канала пропускает лишь кончик пальца. При паховой грыже, в зависимости от ее объема, диаметр наружного отверстия пахового канала увеличивается до 2-4 см и более. Хирург, ощупывая его и не извлекая палец, предлагает пациенту натужиться либо покашлять. При этом врач должен ощутить толчкообразное давление на верхушку своего пальца. Положительный симптом кашлевого толчка является крайне важным при диагностике канальной и начальной грыжи.
У женщин введение пальца во внешнее отверстие пахового канала почти невозможно. В связи с этим осуществляются только сбор анамнеза, визуальный осмотр и пальпация грыжи. При прямой грыже выпячивание располагается над паховой связкой, а при косой оно опускается в наружную половую губу.
У младенцев обследование паховой области выявляет выпячивание в проекции поверхностного отверстия пахового канала или в пределах мошонки. Данное выпячивание часто может вправляться. В некоторых случаях выпячивание обнаруживается только во время сильного натуживания, например при крике или дефекации.
Если младенец способен стоять, обследование осуществляют и в лежачем положении, и в положении стоя. Если нет, то родитель держит младенца вертикально, так, чтобы хирург мог осмотреть паховую область и область мошонки.
При паховой грыже перед обследованием следует удостовериться, что яичко расположено в пределах мошонки (втянутое яичко может быть ошибочно принято за грыжевое выпячивание). При отсутствии яичка в мошонке хирург должен помнить о возможности неопущения яичка или его эктопии , что более чем в 90% случаев связано с паховой грыжей.
Диагностика
Грыжа пахово-бедренной области выявляется при мануальном осмотре достаточно легко. Сложнее распознать ее вид и форму, которые определяются в дооперационном периоде лишь в 30,6% наблюдений. Во время операции диагноз уточняется в 35,2% случаев (Усов Д.В. с соавт., 1985).
Постановка точного диагноза может представлять трудную задачу по причине наличия у больных различных форм грыж пахово-бедренной области (доклинической, сочетанной или комбинированной). В случае, когда изменения носят двусторонний характер, частота дооперационных ошибок составляет 50-60%.
У пациентов с доклиническими и "трудными" формами для диагностики грыж пахово-бедренной области используются рентгеноконтрастная перитонеография Рентгенография брюшинной полости после введения в нее контрастного вещества.
и УЗИ паховых промежутков.
- болевой синдром неопределенного характера в пахово-бедренной области, при отсутствии объективных данных в пользу грыжи;
Паховая грыжа
Паховая грыжа – выпячивание органов брюшной полости за пределы своего анатомического расположения через паховый канал. Проявлениями паховой грыжи служат опухолевидное выбухание в паху, боли, дискомфорт при ходьбе. Диагностика паховой грыжи включает осмотр хирурга, проведение герниографии, ирригоскопии; УЗИ брюшной полости, паховых каналов и мошонки, мочевого пузыря; цистоскопии и цистографии. Лечение паховой грыжи проводится хирургическим путем с помощью грыжесечения (герниопластики).
МКБ-10

Общие сведения
Паховые грыжи встречаются в оперативной гастроэнтерологии чаще, чем другие виды грыж живота, составляя от них в общей сложности 75-80%. У мужчин паховые грыжи возникают чаще, чем у женщин (в соотношении 6:1), что объясняется различиями в анатомии пахового канала у лиц разного пола. Паховый канал образован паховой связкой (снизу), поперечной и внутренней косой мышцами (сверху), соединительными тканями (внутри). Паховый канал у мужчин короче и шире, кроме того, слабее укреплен мышечной тканью и сухожильными слоями, чем у женщин. Паховые грыжи могут образовываться даже в детском возрасте.
Причины паховых грыж
По этиологии паховые грыжи могут являться врожденными или приобретенными. Врожденные паховые грыжи образуются при опущении яичка (у мальчиков) или яичника (у девочек) из брюшной полости в мошонку или малый таз. При незаращении влагалищного листка брюшины вслед за гонадами за пределы брюшной полости могут смещаться и внутренние органы.
Приобретенные паховые грыжи появляются при слабости мышечно-сухожильных слоев брюшной стенки в области пахового канала. Предрасполагающими к развитию паховой грыжи факторами выступают возрастная деструкция соединительной ткани; неполноценность мускулатуры, обусловленная системными заболеваниями; повышение внутрибрюшного давления при хроническом кашле, ожирении, запорах, беременности, частом подъеме тяжестей и т. д. Все это постепенно приводит к образованию дефекта – грыжевых ворот в паховом канале и образованию паховой грыжи.
Реже приобретенные паховые грыжи развиваются вследствие операций на брюшной полости: резекции желудка и 12-перстной кишки, удаление желчного пузыря, аднексэктомии, гистерэктомии, операции при аппендиците и др.
По анатомическим особенностям выделяют косые, прямые и комбинированные паховые грыжи. Косые паховые грыжи могут иметь врожденное и приобретенное происхождение. В этом случае элементы грыжевого содержимого выходят в паховый канал через внутреннее паховое кольцо и располагаются вдоль пахового канала среди анатомических структур семенного канатика. Среди форм косой паховой грыжи различают канальную грыжу (дно грыжевого мешка располагается на уровне наружного отверстия пахового канала), канатиковую (дно грыжевого мешка располагается в паховом канале на разном уровне семенного канатика), пахово-мошоночную грыжу (дно грыжевого мешка спускается в мошонку, приводя к ее увеличению).
Прямые паховые грыжи всегда имеют приобретенный характер и характеризуются выпячиванием брюшины в паховый канал непосредственно через паховый промежуток, вне семенного канатика. Комбинированные паховые грыжи являются сложными образованиями, состоящими из нескольких грыжевых мешков, не сообщающихся между собой и выходящих через разные грыжевые отверстия. При данном варианте может иметь место несколько прямых или косых паховых грыж, а также их сочетание.
Также различают вправимые паховые грыжи, которые могут появляться и исчезать, и невправимые – самостоятельное устранение которых невозможно из-за спаянности грыжевого мешка с грыжевым содержимым. О скользящей паховой грыже говорят в том случае, если грыжевой мешок образован не только париетальной брюшиной, но и ее висцеральным листком, покрывающим соскальзывающий орган. В состав скользящей паховой грыжи может входить стенка мочевого пузыря, слепая кишка, яичники, трубы, матка и т. д.
Если паховая грыжа вновь возобновляется после операции, то ее расценивают как рецидивную. При этом могут встречаться многократно рецидивирующие паховые грыжи, обусловленные неправильным выбором метода герниопластики или техническими погрешностями операции. По клиническому течению выделяют неосложненные и осложненные паховые грыжи.
Симптомы паховой грыжи
Клиника паховой грыжи может развиваться постепенно или внезапно, остро. Обычно первым признаком служит появление опухолевидного выпячивания в паху. Припухлость может иметь различные размеры, увеличиваясь во время физической нагрузки, натуживания, кашля и уменьшаться либо исчезать в положении лежа. Опухолевидное образование вызывает постоянные или периодические тупые боли различной интенсивности с локализацией внизу живота или паху, отдающие в пояснично-крестцовую область.
Паховые грыжи большого размера создают неудобства при ходьбе, физической нагрузке. Если в грыжевой мешок входит слепая кишка, часто появляется метеоризм, запоры, боли в кишечнике. При скользящих грыжах мочевого пузыря отмечаются дизурические расстройства: учащение мочеиспускания, рези в уретре, боли над лобком, у пожилых пациентов – задержка мочи. В случае развития острого аппендицита - воспаления червеобразного отростка, входящего в состав грыжевого содержимого, появляются выраженные боли в животе, тошнота, рвота, повышение температуры, тахикардия.
При пахово-мошоночной грыже соответствующая сторона мошонки заметно увеличивается в размерах. У женщин, при попадании в грыжевой мешок яичника и маточной трубы, развиваются явления альгодисменореи.
Осложнения
При внезапном сдавлении грыжевого мешка с грыжевым содержимым в паховых воротах развивается ущемление грыжи. При ущемлении паховая грыжа становится напряженной невправимой, появляются тошнота и рвота, быстро нарастает боль в паху, развивается неотхождение газов. Осложнениями ущемленной паховой грыжи наиболее часто являются копростаз, ишемический орхит, воспаление и некроз участка кишки или других элементов грыжевого содержимого.
Первым этапом диагностики паховой грыжи является обследование у хирурга, включающее изучение жалоб, осмотр и пальпацию паховой области. При этом оцениваются величина и форма выпячивания в вертикальном и горизонтальном положениях пациента, вправляемость паховой грыжи.
Для определения структур, образующих содержимое грыжевого мешка, прибегают к выполнению герниографии, УЗИ брюшной полости, УЗИ органов мошонки, УЗИ малого таза у женщин. При скользящих грыжах может потребоваться проведение ирригоскопии, цистографии, цистоскопии, УЗИ мочевого пузыря и др. исследований.

Дифференциальный диагноз при паховой грыже проводят с бедренной грыжей, гидроцеле, варикозным расширением вен семенного канатика (варикоцеле), лимфаденитом.
Лечение паховой грыжи
Лечение паховых грыж включает хирургическое устранение и укрепление дефекта в брюшной стенке. Закрытие грыжевого дефекта и восстановление целостности брюшной стенки может производиться с помощью местных тканей – апоневроза (герниопластика паховой грыжи собственными тканями) или синтетического протеза (герниопластика с установкой сетчатого протеза).
На сегодняшний день в хирургии все чаще используются ненатяжные методы пластики с использованием сетчатого трансплантата. При этом грыжевые ворота изнутри укрепляются специальной полипропиленовой сеткой, которая в дальнейшем служит каркасом для прорастания соединительной ткани и препятствует выхождению внутренних органов. Ненатяжная герниопластика уменьшает вероятность рецидива паховой грыжи. Операция может выполняться в амбулаторных условиях с использованием паховой блокады.
Прогноз и профилактика
В отдаленном периоде возможен рецидив паховой грыжи. Особенно часто рецидивы развиваются после натяжной герниопластики. В остальных случаях прогноз для трудоспособности и качества жизни благоприятный.
Задачи профилактики паховой грыжи включают укрепление мышц брюшной стенки, борьбу с запорами, отказ от курения, приводящего к кашлю, контроль веса, ношение бандажа в период беременности.
Грыжа паховая - симптомы и лечение
Что такое грыжа паховая? Причины возникновения, диагностику и методы лечения разберем в статье доктора Свечкарь И. Ю., хирурга со стажем в 15 лет.
Над статьей доктора Свечкарь И. Ю. работали литературный редактор Елена Бережная , научный редактор Сергей Федосов
Определение болезни. Причины заболевания
Паховая грыжа — это патологическое состояние, при котором через «слабое место» нижней части брюшной стенки, а точнее, паховой области, происходит выход, или выпячивание, органов брюшной полости. Слабое место в данном случае — это паховый канал. Он имеется у всех людей, у мужчин через него проходит семенной канатик, у женщин — круглая связка матки.

В норме этот канал не расширен и пропускает лишь вышеуказанные образования. Иногда он расширяется, и тогда в нем формируется дополнительный — грыжевой канал. Формированию грыжи способствуют заболевания или ситуации, сопровождающиеся повышением внутрибрюшного давления (тяжелые физические нагрузки, особенно при их «взрывообразном» характере — например, толкание штанги у тяжелоатлетов, значительное увеличение массы тела, запоры, скопление жидкости, крупные опухоли брюшной полости и забрюшинного пространства, иногда — беременность). [3]
Определенную роль может играть так называемая «слабость соединительной ткани» — генетически обусловленное или приобретенное в течении жизни нарушение естественного баланса компонентов мышечной и соединительной ткани, приводящее к снижению их тонуса и увеличению растяжимости. Вопреки общепринятому мнению, травмы (падения, удары в паховую область) практически никогда не приводят к грыжеобразованию.
В разных возрастных группах встречаемость заболевания отличается. Если говорить о раннем возрасте, то у детей паховые грыжи бывают практически только у мальчиков, носят врожденный характер вследствие неполного заращения эмбриональных оболочек яичка и проявляются в первые годы жизни. У девочек паховые грыжи встречаются крайне редко. В молодом и зрелом возрасте паховая грыжа — это удел мужчин, занимающихся физическим трудом. Ближе к пожилому возрасту, в связи со снижением тонуса мышечной и соединительной ткани, паховые грыжи встречаются чаще и опять-таки у мужчин, [3] [8] у женщин — редко.
При обнаружении схожих симптомов проконсультируйтесь у врача. Не занимайтесь самолечением - это опасно для вашего здоровья!
Клинических симптомов паховой грыжи немного, но они достаточно яркие и в большинстве случаев легко распознаются человеком даже без медицинского образования:
1. Выпячивание в паховой области — это главный и самый заметный симптом, который чаще всего выявляется самим пациентом. Выпячивание может быть разных размеров и формы, располагаться ближе к срединной линии живота либо ближе к паховой складке. Оно может спускаться в мошонку и значительно увеличивать ее объем и деформировать — в таких случаях возникает потребность дифференцировки этого состояния с водянкой яичка.

2. Боль. Это симптом, который возникает далеко не всегда, менее чем в половине случаев. Локализуется в области самого узкого места грыжевого канала и чаще всего свидетельствует об увеличении размеров грыжи и периодическом сдавлении грыжевого содержимого в этом месте, что является тревожным сигналом. Проводить операцию в случае постепенного нарастания боли необходимо без длительных отсрочек. Кроме того, болевой синдром может появляться при сдавлении грыжевым мешком нервных стволов, проходящих в данной области — подвздошно-пахового нерва и его ветвей.
3. Дискомфорт в паховой области. Наблюдается чаще, чем боль, имеет то же происхождение, но выражено в меньшей степени.
4. Нарушение мочеиспускания (затруднение, болезненность, чувство неполного опорожнения мочевого пузыря). Происходит в тех случаях, когда часть мочевого пузыря является грыжевым содержимым в случае так называемой скользящей паховой грыжи, происходит его частичный перегиб, нарушение функции и опорожнения. Случаев острой полной задержки мочи на фоне грыжи практически не наблюдается.
5. Нарушение функции кишечника. Нахождение части тонкой или толстой кишки в грыже может приводить к ее деформации и нарушению пассажа содержимого, что проявляется запорами, вздутием живота, затруднением отхождения стула и газов, болями в разных отделах живота. Крайнее проявление этого симптома — развитие острой кишечной непроходимости, что требует неотложной хирургической помощи.
6. Нарушение фертильной функции у мужчин. Рядом научных исследований, проведенных в последние годы, доказана связь паховой грыжи с нарушением сперматогенеза, снижением активности и оплодотворительной способности сперматозоидов. Это связано как с механическим воздействием, так и с нарушением адекватного температурного режима в зоне сперматогенеза. В данном случае операция по устранению паховой грыжи может помочь устранить эту важную как с медицинской, так и с социальной точки зрения проблему.
Патогенез паховой грыжи
Как формируется косая паховая грыжа? При повышении внутрибрюшного давления (тяжелая физическая нагрузка, кашель, запоры и прочее) растягиваются и деформируются мышечные и сухожильные волокна внутреннего кольца пахового канала (изнутри — со стороны брюшной полости). В это расширенное кольцо проникает брюшина — тонкая прочная оболочка, выстилающая брюшную полость изнутри. Поскольку внутреннее паховое кольцо — самый прочный и устойчивый к нагрузке компонент пахового канала, дальнейшее расширение нижележащих отделов пахового канала происходит гораздо легче и быстрее. По мере этого вдавливающаяся интраабдоминальным давлением брюшина проникает все дальше по расширяющемуся паховому каналу, формируя грыжевой брюшинный мешок.

Ход и расположение грыжевого мешка различаются в зависимости от вида грыжи. В грыжевой мешок, особенно когда он крупный, могут выходить различные органы и ткани брюшной полости — часть большого сальника, толстая и тонкая кишка, аппендикс, придатки матки, мочевой пузырь.
Грыжевой мешок может расти долго и достигать значительных размеров. Описаны случаи гигантских пахово-мошоночных грыж объемом до 10 литров, содержащих большую часть мигрировавших туда органов брюшной полости.
Классификация и стадии развития паховой грыжи
Любая паховая грыжа должна устраняться в условиях операционной. Принципиально все паховые грыжи в зависимости от особенностей прохождения грыжевого канала делятся на:
1. Косые — выходят через внутреннюю латеральную паховую ямку, проходят через паховый канал и его внутреннее кольцо, у мужчин могут спускаться ниже в мошонку. У мужчин чаще бывают односторонними. У женщин практически всегда наблюдаются именно косые паховые грыжи. Чаще приводят к ущемлению, чем прямые грыжи.
2. Прямые — выходят через внутреннюю медиальную паховую ямку, не проходят через весь паховый канал, а путем ослабления его задней стенки выходят в подкожные ткани надлобковой области. Чаще бывают двусторонними и у мужчин. У женщин отмечаются крайне редко. Менее склонны к ущемлению, чем косая форма.
Также бывают скользящие грыжи — это грыжа, в которую как бы соскальзывает часть расположенного анатомически и фиксированного рядом органа брюшной полости — например, мочевой пузырь или ректосигмоидный переход толстой кишки.

Осложнения паховой грыжи
Единственное, но крайне грозное осложнение паховой грыжи — ее ущемление. Это происходит в случае, когда в какой-то момент грыжевое содержимое проходит в большом объеме в грыжевой мешок через узкое место — грыжевые ворота, и вследствие узости этих ворот не может вернуться обратно в родную брюшную полость.

В таком случае возникает нарушение кровоснабжения ущемленного органа (ишемия), которая с течением времени достаточно быстро может спровоцировать омертвение тканей (некроз) и развитие крайне нежелательных явлений — перитонита, флегмоны грыжевого мешка и флегмоны мягких тканей брюшной стенки. Ущемление может произойти с любым из перечисленных выше органов, но как правило ему подвергаются наиболее мобильные структуры брюшной полости — тонкая кишка и большой сальник. Если произошло ущемление паховой грыжи, необходима срочная операция. Чем быстрее будет выполнена операция, тем в меньшей степени будут выражены ишемические изменения ущемленных структур, тем меньше будет объем вмешательства и тем лучше будет общий прогноз выздоровления.
Других осложнений не бывает. Боль и невправимость грыжи при отсутствии ущемления (бывает и такое!) являются не осложнениями, как часто принято считать, а симптомами болезни.
Диагностика паховой грыжи
Выявление и установка диагноза паховой грыжи производятся врачом-хирургом. Как показывает жизнь, установка диагноза терапевтом, врачом общей практики или соседом Колей, у которого «три года назад была такая же, и ее вырезали» - частенько не подтверждается. Есть сомнения — идите на прием к хирургу. Желательно к хирургу, который сам проводит операции на паховых грыжах и обладает необходимым опытом. Врач собирает анамнез — опрашивает пациента, уточняет, как давно и при каких обстоятельствах появилась грыжа, увеличивалась ли она с течением времени и какими симптомами сопровождалась. Затем следует самая важная часть диагностического процесса (и это не УЗИ, как считают некоторые!) — осмотр и пальпация паховой области. По статистике, на этом этапе опытный хирург устанавливает диагноз в 97-99% случаев. Диагностическая мощь современной медицины в виде УЗИ, КТ и МРТ при рассматриваемой болезни не нужна. Хотя при желании недоверчивых и сомневающихся пациентов эти исследования подтвердят наличие паховой грыжи и помогут разрешить сомнения.
Любая паховая грыжа подлежит оперативному лечению. Никакие другие методы — прием медикаментов, ношение бандажей, следование советам целителей, гадалок и прочих адептов нетрадиционной медицины, ее не устранят.
Если имеется паховая грыжа — ее необходимо оперировать в плановом порядке в хирургическом отделении. Если вдруг произошло ущемление паховой грыжи, то порядок операции изменяется на экстренный. В идеале, операция должна быть проведена в течение двух часов с момента ущемления. Так что лучше отбросить страхи в сторону и решать проблему как можно раньше.
Теперь рассмотрим виды применяемых для лечения паховой грыжи операций. Отбросив в сторону исторические аспекты и десятки предложенных ранее авторских методик, которые уже применяются, можно сказать: осталось фактически 3-4 способа пластики пахового канала. Есть открытый способ и лапароскопический.
Открытый, или наружный способ грыжесечения — это когда под общим или спинномозговым (но не местным, это тоже уже ушло в прошлое!) обезболиванием производится разрез длиной 6-8 см в паховой области, вскрывается паховый канал. Потом устраняется грыжа — путем выделения, вскрытия и иссечения грыжевого мешка, возвращения грыжевого содержимого (кишка, сальник или мочевой пузырь) на свое место в брюшную полость. Далее следует самая важная часть операции — укрепление, или пластика пахового канала. Вся вариабельность авторских предложений заключалась именно в этом этапе. Сейчас практически всегда используется способ Лихтенштейна, связанный с вшиванием в заднюю стенку пахового канала полипропиленового сетчатого имплантата. [2] [3] [10]

Полипропилен — это практически тот же материал, из которого делают рыболовную леску, только тоньше, пластичнее и соответствующим образом стерилизованный. Он очень прочный, не рассасывается, и его разрыв практически исключен. Размер сетки подбирается индивидуально. Прикрепление сетки производится отдельными швами к прочным сухожильным структурам паховой области. Продолжительность операции в среднем от 30 минут до 2 часов. Метод надежный: 95-98% вероятность отсутствия рецидива. [2] [3] [7] [10] Из нюансов — возможность местных раневых осложнений (образование скоплений жидкости около сетки, возможность нагноения раны, болевой синдром после операции, иногда — стойкий длительный болевой синдром, связанный с повреждением нервных стволов, проходящих в зоне операции).
Лапароскопический способ грыжесечения. Полное название — трансперитонеальная предбрюшинная лапароскопическая герниопластика (ТАРР в англоязычной аббревиатуре) и тотальная экстраперитонеальная паховая герниопластика (ТЕР). [1] [4] [10] Предпочтителен открытому методу. Самый современный, продвинутый и надежный метод избавления от паховой грыжи. Впервые апробирован в 1991 г. в Европе, в широком клиническом применении в российской медицине сравнительно недавно — в течение 10 лет. Выполняется не в каждой клинике (необходимо наличие дорогостоящей лапароскопической стойки и инструментария) и не каждым специалистом (необходимы определенный уровень подготовки и опыта). Проводится под общим наркозом, как и любая лапароскопическая операция. Выполняется три разреза-прокола брюшной стенки длиной по 1-1,5 см. В брюшную полость вводится углекислый газ (это безопасно!), с дальнейшим введением через специальные полые трубки (троакары) видеокамеры и специальных длинных инструментов. В ходе операции изнутри, со стороны брюшной полости, происходит устранение грыжи. Затем изнутри же устанавливается сетчатый имплантат (есть вариации, но в целом соответствует тому, что устанавливается при открытом способе). Анатомический слой установки сетки — предбрюшинный — отличается от открытого способа. Размер устанавливаемой при лапароскопии сетки больше, чем при открытом способе Лихтенштейна — в среднем 15х10 см. И, что очень важно, зона анатомического перекрытия сетки тоже больше и охватывает места потенциального выхода 3 грыж — косой паховой, прямой паховой и бедренной с соответствующей стороны. Сетка крепится специальными скобами к сухожильным структурам паховой области и изнутри закрывается брюшинной оболочкой во избежание образования спаек. Надежность метода очень высока: вероятность образования рецидива 1-5 %. [5] [6] [7] [9] [10] Преимуществами лапароскопической методики, помимо высокой надежности, также являются: высокий косметический эффект (маленькие разрезы заживают с образованием практически незаметных рубчиков), низкая частота раневых осложнений, меньший уровень болевых ощущений, быстрая — в течение одних суток — активизация пациента, меньший срок пребывания в больнице. [4] [6] [8] [9]
Прогноз. Профилактика
Стопроцентной профилактики для предотвращения образования и ущемления паховой грыжи нет. Из разумных рекомендаций можно предложить лишь воздержание от тяжелых физических нагрузок, профилактику запоров, своевременное лечение заболеваний, сопровождающихся кашлем.
Прогноз при своевременном оперативном лечении благоприятный. Операция, выполненная в плановом порядке в хирургическом стационаре врачом-хирургом, имеющим достаточный опыт, редко сопровождается осложнениями и крайне редко приводит к рецидиву грыжи. Рецидив, к слову, не является чем-то ужасным, и также подлежит операции. [1]
При отказе пациента от лечения имеется два дальнейших варианта развития событий. Первый — паховая грыжа остается с человеком на всю жизнь в виде сопутствующей патологии и в той или иной степени влияет на его самочувствие. Второй — при ущемлении грыжи дальнейший прогноз весьма вариабелен и зависит уже от многих факторов (длительности ущемления, характера ущемленного грыжевого содержимого, степени ишемии или некроза, а также от возраста, общего состояния организма, наличия и степени компенсации сопутствующих заболеваний).
Поэтому, если у Вас диагностирована паховая грыжа — не пугайтесь, отбросьте сомнения и записывайтесь на плановую операцию, и в таком случае ваша проблема будет решена. Будьте здоровы!
Читайте также:
