Методы обследования рака эндометрия
Добавил пользователь Евгений Кузнецов Обновлено: 31.10.2025
Методы диагностики рака эндометрия и их эффективность
Расходы на скрининг аденокарциномы и предраковых изменений эндометрия среди населения в целом будут чрезмерно высокими. Женщины не нуждаются в биопсии эндометрия перед началом или в ходе ЗГТ (комбинация эстрогена и прогестерона) при условии, что у них нет кровотечения из половых путей. Регулярные (ежемесячные) кровотечения отмены не считаются патологическими. С другой стороны, при возникновении кровотечения прорыва следует провести обследование. Длительный прием только эстрогенов увеличивает риск аденокарциномы эндометрия.
Прием эстрогенного препарата в комбинации с прогестероном снижает этот риск и поэтому считается предпочтительным. Периодическое скрининговое обследование показано пациенткам с высоким риском рака эндометрия (РЭ), даже при отсутствии симптомов. Все женщины в постменопаузе с маточными кровотечениями должны пройти обследование на рак эндометрия (РЭ), хотя только у 20 % этих пациенток будет выявлено злокачественное новообразование. После наступления менопаузы вероятность того, что маточное кровотечение обусловлено РЭ, прогрессивно возрастает с каждым годом. Feldman и соавт. обнаружили, что возраст — наиболее существенный независимый фактор риска рака или сложной гиперплазии эндометрия. Для женщин 70 лет и старше относительный риск составляет 9,1.
Если присутствует сложная гиперплазия, он возрастает до 16. Вероятность наличия рака эндометрия (РЭ) составляет 50% при появлении у женщины старше 70 лет влагалищных кровотечений. Если, кроме того, она не рожала и страдает сахарным диабетом, то риск возрастает до 87 %. Женщин в пременопа-узе с маточными кровотечениями, характерными для РЭ, часто не обследуют, т. к. и больные, и врачи расценивают возникшие кровотечения как «результат менопаузы». В этот период жизни менструации становятся скудными, менее длительными, интервалы между ними удлиняются.
Любые другие кровянистые выделения из половых путей следует рассматривать как проявление рака эндометрия (РЭ), пока не будет доказано его отсутствие.
Необходимо проявлять особую настороженность при постановке диагноза рака эндометрия (РЭ) у молодых больных. Продолжительные и обильные менструации, а также кровянистые выделения в межменструальный период могут указывать на рак эндометрия (РЭ), поэтому рекомендуется гистологическое исследование ткани эндометрия.
Для большинства молодых больных раком эндометрия (РЭ) характерна избыточная масса тела, во многих случаях — выраженное ожирение и, часто, ановуляторные менструальные циклы. Последовательные пероральные контрацептивы, которым приписывали роль в развитии рака эндометрия (РЭ) у молодых пациенток, больше не представляют угрозы, т. к. эти препараты уже отсутствуют в продаже.
Исторически сложилось так, что диагностической процедурой для окончательного исключения рака эндометрия (РЭ) служит раздельное выскабливание матки. В 1920-е годы Kelly указывал на необходимость получения в амбулаторных условиях адекватного количества ткани эндометрия для его морфологического исследования. В настоящее время большинство специалистов рекомендуют проводить биопсию эндометрия в амбулаторных условиях с целью установить окончательный диагноз, что избавляет пациентку от необходимости госпитализации и анестезии. Ряд исследований показал, что статистическая значимость этой процедуры в отношении выявления РЭ составляет приблизительно 90 %.

а - высокодифференцированная аденокарцинома эндометрия (G1): железы расположены тесно, строма между ними скудная.
Железы выстланы высокими цилиндрическими опухолевыми клетками.
Окраска гематоксилином и эозином, х20
б - низкодифференцированная аденокарцинома эндометрия (G3) характеризуется утратой железистой структуры практически во всей опухоли.
По форме клетки округлые полигональные, но не цилиндрические. При данной патологии часто наблюдается некроз клеток (вверху справа).
Окраска гематоксилином и эозином, х20.
Hofmeister обратил внимание на то, что в 17 % случаев рака эндометрия (РЭ), диагностированный с помощью рутинной биопсии эндометрия в амбулаторных условиях, протекал бессимптомно у женщин в перименопау-зе. К сожалению, в этом исследовании было пропущено несколько случаев РЭ, т. к. диагностическое выскабливание матки после биопсии эндометрия было выполнено не всем больным. Koss и соавт. обследовали 2586 женщин с отсутствием каких-либо симптомов по программе скрининга РЭ и определили показатель заболеваемости на уровне 1,71 на 1000 человеко-лет. Вскрытия у женщин, умерших от причин, не связанных с онкологической патологией, показывают, что скрыто протекающий РЭ встречается с частотой 2,2—3,1 па 1000.
Были разработаны другие диагностические методики, применяемые на амбулаторном этапе, не только для диагностики, но и для скрининга. Тс из них, в которых для диагностики РЭ применяется цитологическое исследование, оказались менее успешными, чем тс, в которых исследуется ткань эндометрия.
Цитологическая диагностика рака эндометрия (РЭ) посредством Пап-мазка остается неудовлетворительной по сравнению с эффективностью этого метода при выявлении ранней онкопатологии шейки матки. По данным нескольких исследований, только у 1/3 — 1/2 пациенток с аденокарциномой эндометрия отмечаются признаки патологии в Пап-мазках при рутинном скрининговом исследовании шейки матки. Основная причина плохой диагностики РЭ с помощью Пап-мазка заключается в том, что клетки в мазок не попадают непосредственно из участка поражения, как это происходит в случае исследования шейки матки. Если же цитологический препарат подготовить из материала, полученного непосредственно из полости матки, злокачественные клетки присутствуют в большем количестве, чем при рутинном получении материала с поверхности шейки матки или влагалища.
Программы обследования, основанные только на цитологическом исследовании неэффективны, если применяются изолированно, без других дополнительных методов исследования эндометрия.
Доступно несколько коммерческих устройств, предназначенных для забора материала из полости матки в амбулаторных условиях. Приспособления, позволяющие получить ткань из полости матки, в объеме, достаточном для выполнения гистологического исследования, в целом хорошо себя зарекомендовали. Stovall и соавт. оценили эффективность одного из них — устройства Pipelle — у 40 пациенток с уже установленным диагнозом РЭ. На момент обследования 90% женщин находились в постменопаузе. Только у 1 больной РЭ не был идентифицирован на основании гистологического исследования ткани, полученной с помощью изучаемогс аспиратора.
Ранее этой пациентке было выполнено диагностическое выскабливание матки с последующим гистологическим исследованием, позволившим установить высокодифференцированную аденокарциному. В ткани, полученной с помощью Pipelle, обнаружена атипическая аденоматозная гиперплазия эндометрия.В операционном материале после гистерэктомии выявлен очаг аденокарциномы. Патоморфолог подтвердил, что ткань, пригодная для анализа, была получена у 100% больных. При аспирации эндометрия с помощью устройства Pipelle чувство дискомфорта отметило 80% женщин и только 2 (5 %) жаловались на сильную боль. Goldchmil и соавт., обследовав с помощью этого аспиратора 176 больных, подвергшихся раздельному диагностическому выскабливанию матки, получили одинаковые результаты этих исследований.
Ранее мы успешно пользовались кюретками Duncan и Kevorkian; однако в последние годы предпочитаем использовать тонкие одноразовые аспирационные кюретки, т. к. по эффективности применения они не уступают многоразовым инструментам и при этом их использование менее болезненное для пациенток. Больным с наличием симптомов, подозрительных на РЭ, у которых с помощью одноразовых кюреток получена непригодная для морфологического исследования ткань (или ее вообще не удалось получить), показано раздельное диагностическое выскабливание матки.
По-видимому, для улучшения результатов выявления рака эндометрия (РЭ) на амбулаторном этапе целесообразно использовать нескольких диагностических методов. Одновременное применение цитологического и гистологического исследований увеличит процент выявления РЭ. Возможность постановки этого диагноза в амбулаторных условиях позволит избежать госпитализации и малых хирургических вмешательств. Любые патологические изменения, выявленные при цитологическом или гистологическом исследовании, за исключением явного инвазивно-го рака, диктуют необходимость выполнения фракционного выскабливания матки, чтобы не пропустить небольшой участок инвазивного поражения. Всем больным с симптомами, подозрительными па РЭ, несмотря на нормальные результаты биопсии, также следует провести раздельное выскабливание матки.
В качестве дополнительных методов исследования в рамках диагностики рака эндометрия (РЭ) и определения степени распространения заболевания были предложены гистерография и гистероскопия. Детальные данные, получаемые при гистерографии, совпадают с результатами ревизии удаленной матки. С помощью гистерографии получают информацию об объеме и происхождении опухоли, распространении ее в пределах матки, переходе процесса на шейку, а также о форме полости матки. На сегодня гистерографию в качестве диагностической процедуры используют крайне редко, если вообще применяют.
Раньше этот метод часто использовали для обследования пациенток с маточными кровотечениями на амбулаторном этапе. Как уже говорилось, многим больным диагноз РЭ можно установить на основании биопсии эндометрия в амбулаторных условиях, для нас этот подход представляет оптимальный первый этап диагностики. Если результат биопсии отрицательный и есть необходимость в дальнейшем обследовании, тогда мы проводим гистероскопию. С ее помощью хирурги выполняют прицельные биопсии очаговых поражений, которые могут быть пропущены при рутинном выскабливании матки. Гистероскопию можно использовать и для оценки состояния цервикального канала. При наличии ациклических маточных кровотечений в репродуктивный период и, особенно, кровянистых выделений в постменопаузе в качестве диагностического метода было предложено УЗИ.
Определяемая с помощью трансвагинального датчика полоска эндометрия отражает толщину последнего. Данные нескольких исследований свидетельствуют о том, что если наблюдается тонкая полоска эндометрия, то нет необходимости в гистологической диагностике, т. к. будет выявлена картина атрофии эндометрия. Varner и соавт. обследовали 80 женщин в постменопаузе; у 65 из них никаких симптомов не наблюдалось, 27 женщин получали гормональную терапию, а 38 — не получали. У 60 пациенток по данным УЗИ толщина эндометрия составляла не более 4 мм, кроме того, во всех этих случаях при гистологической оценке отмечалась атрофия эндометрия или недостаточная его стимуляция эстрогенами. У женщин с толщиной эндометрия 5—8 мм отличить про-лиферативный эндометрий от гиперпластического или от высокодифференцированной аденокарци-номы (1 случай) было невозможно.
Большие полипы и еще 1 случай инвазивного рака распознали без проблем. В результате только у 2 больных был выявлен РЭ. Granberg и соавт. обследовали женщин в постменопаузе: 205 — с кровотечениями (1-я группа), 30 — без каких-либо симптомов (2-я группа) и 30 — с установленным диагнозом РЭ (3-я группа). Во 2-й и 3-й группах, включавших 60 пациенток, толщина эндометрия составляла в среднем 3,2 и 17,7 мм соответственно. В 1-й группе у 18 из 205 женщин был обнаружен РЭ. Ни одного случая рака среди пациенток с толщиной эндометрия не более 8 мм выявлено не было. Во всех гистологических группах наблюдалось значимое наложение (перекрест) диапазонов толщины эндометрия. Авторы заметили, что в случае если за пороговое значение принять толщину 5 мм, то ложноотрица-тельные результаты отсутствовали. При подобном измерении прогностическая ценность положительного результата составляла 87 %, при 96 % специфичности и 100% чувствительности в отношении определения патологических изменений эндометрия.
Bourne и соавт. обследовали 183 женщины в постменопаузе, из которых у 34 симптомы отсутствовали, а у 12 установлен РЭ, и обнаружили наложение (перекрест) показателей толщины эндометрия при наличии рака и без него. Другие исследования дали аналогичные результаты. Возникло предположение, что если благодаря УЗИ можно предотвратить выполнение большого количества неоправданных биопсий эндометрия, то это обеспечит значительную экономию средств, не говоря уже о возможности избежать болевых ощущений у пациентки во время обследования. Однако последнюю проблему можно преодолеть с помощью нового одноразового биопсийного инструмента, ощутимая боль при использовании которого, как указывалось выше, возникает лишь у небольшой части больных. Кроме того, женщинам со значительной толщиной эндометрия в любом случае потребуется взятие его ткани для исследования. К сожалению, малигни-зация развивается и при толщине эндометрия менее 5 мм. Несмотря на то что исследования могут охватывать несколько сотен женщин, РЭ диагностируют у немногих.

(А) Ультразвуковое изображение матки: тройная линия, указывающая толщину эндометрия.
(В) Ультразвуковое изображение матки: утолщенный эндометрий более 10 мм.
(С) Инстилляция физиологического раствора в полость матки позволяет хорошо рассмотреть подслизистый фиброматозный узел и неутолщенный эндометрий.
Wang и соавт. провели обзор результатов УЗИ у 52 больных, у которых были диагностированы серозно-папиллярный, светлоклеточный или другие варианты рака высокой степени злокачественности.
Из 52 пациенток у 34 (65 %) толщина эндометрия составляла 5 мм и более, у 9 (17 %) — менее 5 мм и еще у 9 (17 %) женщин эндометрий визуализировался нечетко. У женщин как с нормальным, так и утолщенным эндометрием дополнительно выявляли другие патологические изменения: наличие жидкости или спаек в полости матки, фиброматозные узлы, увеличение матки или новообразования придатков. На толщину эндометрия влияют различные факторы: эстрогены, эстрогены в комбинации с прогестинами, индекс массы тела, сахарный диабет, прогностически неблагоприятный гистологический тип, раса и постменопауза.
В настоящее время нет общепризнанного порогового значения толщины эндометрия, при котором не требуется взятие его образца для анализа. На первом диагностическом этапе мы предпочитаем исследовать эндометрий у женщин в постменопаузе с подозрительными на РЭ симптомами. Если результаты гистологического исследования биоп-тата отрицательные, в дальнейшем рекомендуют наблюдение. Выскабливание полости матки выполняют только в том случае, если после получения отрицательного результата биопсии симптоматика сохраняется.

В качестве метода, позволяющего определить глубину инвазии в миометрий, изучали эффективность УЗИ. Gordon и соавт. обследовали 15 больных с уже установленным диагнозом РЭ с помощью УЗИ и МРТ. Инвазию не менее 50 % толщины мио-метрия считали глубокой, а менее 50% — поверхностной. На основании этого критерия исследователи пришли к выводу, что в 5 случаях УЗИ было более информативным, чем МРТ; результаты МРТ были более точными в 3 случаях, оба метода были равнозначны — в 4, и ни один из методов не был информативным в 3 наблюдениях. По данным некоторых специалистов, с помощью УЗИ можно точно определить инвазию в миометрий примерно в 75 % случаев. Хотя информация о глубине инвазии, полученная до операции, будет полезной для врача, данные, полученные в исследованиях, подобных приведенному выше, на сегодня выглядят слишком преждевременными и весьма дорогостоящими для их рутинного применения. Мы предпочитаем определять глубину инвазии в миометрий во время операции путем макроскопической оценки операционного материала или срочного гистологического исследования.
Достоверность УЗИ в отношении определения толщины эндометрия у женщин в постменопаузе оказывается неприемлемой для тех, кто получает тамоксифен. По данным всех исследований, эндометрий у женщин, которые принимают тамоксифен, намного толще, чем у пациенток контрольной группы. При этом у большинства принимавших этот препарат гистологическое исследование показывает атрофию эндометрия. Учитывая это несоответствие, Lahti и соавт. обследовали 103 женщин в постменопаузе, не имевших никаких симптомов (51 — получала тамоксифен, 52 — входили в группу контроля), с помощью УЗИ, гистероскопии и гистологического исследования эндометрия.
По данным УЗИ в группе получавших тамоксифен у 84 % пациенток толщина эндометрия составляла 5 мм и более по сравнению с 19% в контрольной группе; толщина более 10 мм наблюдалась у 51 и 8 % соответственно. Результаты гистероскопии показали, что эндометрий был атрофичным в 28% случаев в основной группе и в 87% — в контрольной. Гистологическое исследование выявило атрофию эндометрия у 60 % пациенток, получавших тамоксифеп, и у 79 % — в группе контроля. Наибольшее различие между двумя группами заключалось в том, что у 18 % больных, получавших тамоксифен, обнаружены полипы по сравнению с 0% в группе контроля. Полипы — частая находка у женщин, принимающих тамоксифен. Описаны так называемые мегаполипы размером до 12 см. Тамоксифену приписывают и другие патологические изменения, включая увеличение объема матки, уменьшение сопротивления кровотоку в артериях матки, эндометриоз, фокальное перигландулярное скопление стромальных клеток и эпителиальную метаплазию. Современные данные указывают на то, что «явно утолщенный эндометрий» (вплоть до 40 мм)у больных, получающих тамоксифен, на самом деле представляет собой подлежащий миометрий.
Goldstein считает, что УЗИ с инсталляцией физиологического раствора может способствовать разграничению истинного от подлежащего миометрия.
С помощью этой методики ему удавалось идентифицировать большие полиповидные образования, а также другие акустически прозрачные кистозные изменения, которые изначально принимались за признаки утолщения эндометрия.
После гистологического подтверждения рака эндометрия (РЭ) пациентка передначалом лечения должна бытьтщательно обследована. До 1988 г. стадию РЭ определяли клинически. Ввиду значительного расхождения между стадиями, определяемыми клиническими методами и имеющимися вдействительности, FIGO предложила патоморфологическую (хирургическую) классификацию стадий РЭ. Приблизительно у 75 % больных диагностируют I стадию заболевания. Всем пациенткам проводят общий анализ крови и коагулограмму. Предоперационный алгоритм поиска метастазов включает рентгенографию грудной клетки и позитронно-эмиссионную томографию. Кроме того, многие клиницисты рекомендуют КТ с контрастным усилением. Ректороманоскопия и ирригоскопия показаны больным с пальпаторно определяемыми новообразованиями за пределами матки, а также при подозрении на распространение процесса на кишечник. Исследование головного мозга, печени и костей показано при наличии признаков диссеминированного заболевания.
Классификация стадий рака эндометрия


Редактор: Искандер Милевски. Дата обновления публикации: 18.3.2021
Методы обследования рака эндометрия
а) Терминология:
1. Аббревиатура:
• Рак эндометрия (РЭ)
2. Определение:
• Злокачественная пролиферация аномальных эндометриальных желез
б) Визуализация:
1. Общая характеристика:
• Лучший диагностический критерий:
о Объемное образование в полости матки с наличием внутреннего кровотока
о Неравномерно утолщенный эндометриальный эхо-комплекс у пациенток в постменопаузальном периоде с вагинальным кровотечением
• Локализация:
о Может распространяться на миометрий, шейку матки, параметрий
• Морфология:
о Полиповидные объемные образования или диффузное утолщение эндометрия
2. УЗИ при раке эндометрия:
• В-режим:
о Утолщенный эндометрий:
- Очаговое утолщение настораживает больше, чем диффузное
- Участки смешанной эхогенности вызывают большие подозрения, чем гомогенная гиперэхогенность
о Эндометриально-миометриальная переходная зона:
- Ровная граница на ранней стадии заболевания (стадия 1А)
- Нарушение целостности субэндометриального ореола указывает на прорастание миометрия (стадия 1В)
о В случае обструкции полости матки или шейки матки образуется гематометра
• Импульсная допплерография:
о Признаки неспецифичны: значительное совпадение результатов с данными при доброкачественной этиологии
• Цветовая допплерография:
о Множественные питающие сосуды

(Слева) Трансвагинальное УЗИ в продольной плоскости: определяется гетерогенное гипоэхогенное объемное образование, растягивающее полость матки. Передняя граница миометрия нечеткая, что указывает на инвазию. Визуализируется небольшое количество эхогенного эндометрия.
(Справа) МРТ, Т2-ВИ, сагиттальный срез: у этой же пациентки определяется гипоинтен-сивная опухоль, гиперинтенсивный эндометрий, и нарушение переднего участка переходной зоны, что указывает на прорастание миометрия. Результаты патологического исследования подтвердили наличие признаков эндометриоидного и папиллярного типов рака.
3. КТ при раке эндометрия:
• Очаговое или диффузное утолщение эндометрия
• Центрально расположенное объемное образование матки, гипоконтрастное по отношению к миометрию
• Метод применяется для оценки лимфаденопатии и метастазов:
о При выявлении ранней стадии заболевания и стадии первичной опухоли применение ограничено
4. МРТ при раке эндометрия:
• Т1-ВИ:
о Гипо- или изоинтенсивность сигнала по отношению к неизмененному эндометрию /миометрию
о Гиперинтенсивность сигнала в случае наличия гематометры
• Т2-ВИ:
о Гипо- или изоинтенсивность сигнала по отношению к неизмененному эндометрию
о Интактность переходной зоны исключает глубокое прорастание миометрия
• ДВИ:
о Ограниченная диффузия в ткани опухоли и вовлеченных лимфатических узлах
• Постконтрастные Т1-ВИ:
о Гипоконтрастирование относительно миометрия в раннюю и равновесную фазу
о Прорастание миометрия: гипоконтрастная ткань, распространяющаяся на переходную зону
о Следует различать накапливающую контраст опухоль от не накапливающей контраст крови в полости матки
• Нарушение зональной анатомии патологически опасно у женщин в постменопаузе, которые принимают тамоксифен
5. Радионуклидная диагностика:
• ПЭТ/КТ с 18F-фтордезоксиглюкозой (ФДГ) применяется для выявления метастазов, мониторинга рецидивирования опухоли
6. Рекомендации по визуализации:
• Лучший метод визуализации:
о Для первичного выявления применяется трансвагинальное УЗИ (ТВУЗИ)
о МРТ с получением высокочастотныхТ2-ВИ и постконтрастных Т1 -ВИ для определения стадии первичной опухоли
о КТ с контрастированием или МРТ (с контрастированием и диффузионным взвешиванием) для оценки лимфаденопатии, метастатической болезни
• Советы по протоколу исследования:
о Визуализируйте весь эндометрий:
- Измерьте матку в сагиттальном разрезе в самой широкой ее части
- Исключите из измерения гипоэхогенный слой миометрия
- Исключите из измерения имеющуюся в полости матки жидкость
о В случае если данные ТВУЗИ оказались недостаточными (5—10%) — проведите дополнительную оценку с помощью соногистерографии (СГГ) или МРТ
о У женщин в постменопаузе с толщиной двуслойного эндометрия более 5 мм необходимо проведение биопсии
о Соногистерография с инфузией физиологического раствора (СИФ) применяется для дальнейшей маршрутизации:
- Диффузное утолщение: слепая биопсия эндометрия
- Очаговое утолщение: гистероскопия с биопсией необходима для того, чтобы обеспечить получение образца аномального участка эндометрия

(Слева) Трансвагинальная цветовая допплерография в поперечной плоскости: визуализируется гиперваскулярное эхогенное объемное образование, растягивающее полость матки, которое по результатам патологического исследования было диагностировано как рак эндометриоидного типа. Прорастание миометрия на УЗИ выявлено не было. Имеется незначительная гематометра.
(Справа) КТ, поперечный срез: у этой же пациентки определяется накапливающее контраст объемное образование эндометрия внутри растянутой полости матки. Лимфаденопатия не выявлена.
в) Дифференциальная диагностика рака эндометрия:
1. Гиперплазия эндометрия:
• С помощью визуализации невозможно дифференцировать гиперплазию и рак, в частности, на стадии 1А
• Вероятнее всего имеется гомогенное утолщение
2. Полип эндометрия:
• Представляет собой скорее очаговое овальное или веретенообразное объемное образование, чем диффузное утолщение
• В фиброваскулярной ножке проходит одиночный питающий сосуд
• Наличие внутреннего кистозного компонента наиболее вероятно, чем при раке
3. Субсерозная фиброма:
• Гипоэхогенное объемное образование/образования в полости матки
• Объемное образование произрастает из миометрия, смещая, но не вовлекая эндометрий
• СГГ: «кольцо» эндометрия покрывает поверхность фибромы
4. Саркома матки:
• Обычно более крупного размера, гетерогенная, более агрессивная
• Встречается гораздо реже, чем рак матки
5. Аденомиоз:
• Располагается в миометрии, может имитировать рак на стадии 1В с прорастанием миометрия
• Кисты миометрия/субэндометриальные кисты
• Массивная матка с участками акустического затенения

(Слева) Трансабдоминальная цветовая допплерография в поперечной плоскости: у пациентки в постменопаузе, которая обратилась с жалобами на вздутие живота, определяется крупное эхогенное объемное образование, растягивающее полость матки, и имеющее незначительный внутренний кровоток. Данные биопсии и мазка-отпечатка по Папаниколау подтвердили наличие светлоклеточного рака.
(Справа) Совмещенная ПЭТ/КТ с ФДГ, аксиальный срез: у этой же пациентки выявляется значительная метаболическая активность внутри объемного образования матки Также были выявлены метастазы в брюшине (не изображены).
г) Патология:
1. Общая характеристика:
• Этиология:
о Факторы риска:
- Ожирение, сахарный диабет, артериальная гипертония, хроническая ановуляция
- Синдром поликистозных яичников: спорная причинно-следственная связь, т. к. оба заболевания имеют аналогичные факторы риска
- Предшествующее облучение малого таза
о Атипическая гиперплазия:
- Обеспечивает 25% риска развития распространенного рака эндометрия
- Гиперплазия без атипии — риск составляет 2%
о Эндометриоидный подтип: несбалансированная (прогестеронами) стимуляция выработки эстрогена:
- Заместительная гормональная терапия без прогестинового компонента
- Ранее менархе и позднее наступление менопаузы
- Прием тамоксифена
- Наличие эстроген-секретирующей опухоли
• Генетика:
о Ген-супрессор опухоли ТР53: неэндометриоидные подтипы:
- Наибольшая распространенность среди афроамериканок, ассоциированная с более неблагоприятным исходом
о Наследственный неполипозный колоректальный рак (ННКРР) (синдром Линча)
о Синдром множественной гамартомы и неоплазии, ассоциированный с геном PTEN (синдром Каудена):
- Наибольшая распространенность среди кавказских женщин, ассоциированная с более благоприятным исходом
о Синдром Пейтца-Егерса (СПЕ)
2. Стадирование, дифференцировка и классификация рака эндометрия:
• Стадия I: опухоль ограничена маткой
• Стадия II: опухоль распространяется на шейку матки, но не выходит за пределы матки
• Стадия III: опухоль распространяется за пределы матки, но ограничена малым тазом
• Стадия IV: диссеминированное метастазирование или вовлечение мочевого пузыря/кишечника
3. Микроскопия:
• В большинстве случаев опухоль представлена аденокарциномой, в 75% - эндометриоидный тип (ассоциирован со стимуляцией выработки эстрогена)
• Встречаются серозный (папиллярный серозный), светлоклеточный типы (не ассоциированы со стимуляцией выработки эстрогена):
о Чем старше пациентка, тем агрессивнее ведет себя опухоль
о Серозный тип характеризуется проникновением в лимфососудистые пространства — метастазирует без распространения в глубокие слои миометрия
д) Клинические особенности:
1. Проявления рака эндометрия:
• Наиболее частые признаки/симптомы:
о Аномальные кровотечения в 90% случаев
• Другие признаки/симптомы:
о Эндометриальные клетки в мазке-отпечатке по Папаниколау
о Симптомы, связанные с метастазированием
• Клинический профиль:
о Женщины в постменопаузе с аномальными вагинальными кровотечениями
2. Демография:
• Возраст:
о Наиболее часто встречается в возрастной группе 50-65 лет:
- 75% случаев приходится на период постменопаузы, 25% - на пременопаузальный период
• Эпидемиология:
о Наиболее распространенное злокачественное новообразование женской репродуктивной системы
о Занимает четвертое место в структуре онкологических заболеваний у женщин
о Заболевание наиболее распространено в странах с высоким уровнем жизни, наименее - в Индии/Юго-Восточной Азии
3. Течение и прогноз:
• Зависит от стадии, на которой было выявлено заболевание:
о Стадия I или II: пятилетняя выживаемость равна 96%
о Стадия III: пятилетняя выживаемость равна 63%
о Стадия IV: пятилетняя выживаемость равна 8%
• У афроамериканок прогноз чаще более неблагоприятный, чем у женщин европеоидной расы:
о Летальность выше в 1,8 раз
о Выявление заболевания на более поздней стадии о Более агрессивные типы опухолей (папиллярный серозный, светлоклеточный рак)
4. Лечение рака эндометрия:
• Зависит от стадии заболевания:
о Стадия I или II: хирургическое лечение с лучевой терапией (ЛТ) или без нее
о Стадия III: комбинированное хирургическое лечение, ЛТ
о Стадия IV: комбинированное хирургическое лечение, химиотерапия, ЛТ
• Хирургическое лечение:
о Гистерэктомия, двусторонняя сальпингоофорэктомия, лимфаденэктомия
о Хирургическое определение стадии заболевания является жизненно важным, поскольку визуальные методы исследования пропускают микроскопические опухоли
е) Диагностическая памятка:
1. Следует учесть:
• Рак эндометрия является наиболее серьезной причиной постменопаузальных кровотечений:
о 10% женщин с постменопаузальными кровотечениями будут иметь рак эндометрия
о Другие этиологии, включая гиперплазию, полипы, атрофию или фибромы
• ТВУЗИ является хорошим методом выявления РЭ:
о Использование показателя толщины двуслойного эндометрия, равного 5 мм, в качестве порогового значения для вмешательства, поможет выявить 96% РЭ
о ТВУЗИ безопасно использовать в качестве первоначального диагностического теста:
- Переносится лучше, чем биопсия эндометрия
о Нормальный двуслойный эндометрий, имеющий толщину менее 5 мм:
- Отрицательный результат для рака эндометрия
- Избавляет от необходимости дополнительного обследования пациенток с постменопаузальными кровотечениями и неинформативной офисной биопсией
2. Советы по интерпретации изображений:
• С помощью одной лишь визуализации отличить гиперплазию от рака невозможно
• Рак может возникать внутри полипа эндометрия
Рак эндометрия (рак тела матки) - симптомы и лечение
Что такое рак эндометрия (рак тела матки)? Причины возникновения, диагностику и методы лечения разберем в статье доктора Ильина Антона Алексеевича, онколога-гинеколога со стажем в 13 лет.
Над статьей доктора Ильина Антона Алексеевича работали литературный редактор Вера Васина , научный редактор Сергей Федосов и шеф-редактор Маргарита Тихонова

Определение болезни. Причины заболевания
Рак эндометрия (endometrial cancer) — это злокачественная опухоль, которая развивается из клеток внутреннего слоя матки. Основным симптомом, который появляется уже на начальной стадии болезни, являются кровянистые выделения из половых путей.
Рак эндометрия ещё называют раком тела матки и аденокарциномой эндометрия.

Распространённость
Рак эндометрия — это самая частая злокачественная опухоль женских половых органов. Но если болезнь выявлена своевременно и проведено адекватное лечение, большинство пациенток выздоравливает [1] .
В основном раком эндометрия заболевают женщины в постменопаузе: более 90 % случаев диагностируются после 50 лет. Чаще всего болезнь встречается среди пациенток в возрасте 65–69 лет — заболеваемость среди них составляет 98,1 на 100 тыс. женщин. Средний возраст на момент начала болезни — 63 года. До 49 лет рак эндометрия встречается относительно редко: в 4–5 % от всех случаев [11] .
Факторы риска
Около 5 % случаев рака эндометрия имеют наследственный характер. Злокачественная опухоль эндометрия может развиться при наследственном неполипозном колоректальном раке (синдроме Линча) [12] . Болезнь возникает из-за поломки генов MLH1, MSH2, MSH6 или PMS2. При таких мутациях риск развития рака эндометрия и колоректального рака составляет 24–51 %, рака яичников — 11–15 % [13] .
Помимо генетической предрасположенности, на заболеваемость влияют следующие факторы:
- лишний вес (риск развития рака эндометрия повышается в 1,32 раза); (в 2,54 раза); (в 2,1 раза);
- раннее начало и позднее прекращение менструаций: до 10–12 и после 55 лет (в 2,1 раза); (в 2,9 раза);
- приём Тамоксифена — гормонального препарата для лечения рака молочной железы (в 2,5 раза);
- монотерапия эстрогенами более пяти лет (в 10–30 раз); ;
- лучевая терапия на органы малого таза.
Ожирение является одним из основных факторов риска. Жировая ткань преобразует в эстрогены другие гормоны — андрогены. Если уровень эстрогенов значительно повышен, то риск развития опухолей эндометрия также увеличивается. Получается, чем больше жировой ткани, тем выше вероятность заболеть раком эндометрия.
Тамоксифен — это препарат, который используется при лечении рака груди. В ткани молочной железы он действует как антиэстроген, но в матке механизм действия иной, аналогичный гормону эстрогену. При лечении Тамоксифеном рекомендуется ежегодно наблюдаться у гинеколога.
При синдроме поликистозных яичников значительно повышается уровень андрогенов и эстрогена, а также снижается уровень прогестерона. Изменение соотношения эстрогена и прогестерона является одной из основных причин развития рака эндометрия.
Предшествующая лучевая терапия. Радиация используется для лечения некоторых типов опухолей. При облучении сложно, а иногда невозможно не затронуть смежные органы. Радиация повреждает ДНК здоровых тканей и может приводить к развитию рака в прежде здоровых органах.
При обнаружении схожих симптомов проконсультируйтесь у врача. Не занимайтесь самолечением - это опасно для вашего здоровья!
Симптомы рака эндометрия
Эффективных программ скрининга рака эндометрия пока не существует. Единственный способ обнаружить заболевание на ранней стадии — это ежегодно посещать гинеколога. Также к доктору нужно обратиться, если болит низ живота или появились кровянистые выделения из половых путей между менструациями или в постменопаузе. Кровянистые выделения при раке эндометрия встречаются у 90 % пациенток. Чаще всего выделения слабые или умеренные, их характер зависит от распространения опухоли.
Признаком злокачественной опухоли также может быть изменение характера выделений, даже без примеси крови [2] . Боль, потеря веса и тяжесть в животе появляются уже на поздних стадиях болезни.
Патогенез рака эндометрия
Матка состоит из двух частей: тела и шейки. В теле матки выделяют три слоя:
- наружный — серозная оболочка;
- средний — миометрий, или мышечный слой;
- внутренний — эндометрий, который частично отторгается вместе с кровью при каждой менструации.
Аденокарцинома развивается непосредственно из эндометрия.

В 1963 году была предложена и обоснована теория о двух основных типах аденокарциномы матки. Первый вариант наблюдается у 60–70 % пациенток и протекает с нарушениями углеводного и жирового обмена на фоне избыточного количества эстрогенов [14] [15] . Женщины с этим типом рака страдают маточными кровотечениями, бесплодием, ожирением и сахарным диабетом. У них поздно наступает менопауза и развиваются гиперпластические процессы в эндометрии (качественно-количественное изменение его клеток).
Второй патогенетический вариант болезни встречается у 30–40 % пациенток. У них описанные выше нарушения выражены слабо или отсутствуют [14] [15] . Изменения в эндометрии носят атрофичный характер, развиваются полипы, атипическая гиперплазия и рак.
Отнести заболевание к первому типу можно в следующих случаях:
- присутствует более половины перечисленных признаков;
- симптомы гиперэстрогении (болезненные менструации и маточные кровотечения вне их) сочетаются с обменными нарушениями, например с ожирением и сахарным диабетом.
Согласно другому разделению, к первому типу рака эндометрия относят эндометриоидный рак, ко второму — неэндометриоидный (серозный или светлоклеточный). Они встречаются в 80–90 % и 10–20 % случаев соответственно [3] . Такое разделение связано с различиями в молекулярном профиле опухолей, методах лечения и прогнозе.
Чаще всего раковые опухоли образуются из-за повреждения гена-супрессора PTEN, который подавляет развитие и рост раковых клеток. Данная аномалия встречается у 83 % пациенток с раком эндометрия [4] .
Болезнь также может развиваться при поломке в системе репарации (т. е. исправления) ошибок спаривания нуклеотидов. Эта система отвечает за важный этап нормального деления здоровых клеток. Рак эндометрия первого типа, как правило, связан с мутациями в генах KRAS и CTNNB. Второй тип часто протекает на фоне хромосомной нестабильности, генетических расстройств и мутации в гене р53.
Классификация и стадии развития рака эндометрия
В онкологии существуют две системы TNM, т. е. стадирования рака — FIGO (International Federation of Gynecology and Obstetrics) и AJCC (American Joint Committee on Cancer). Обе системы используют следующие ключевые параметры для описания рака и установки стадии:
- размер опухоли (Tumor);
- наличие или отсутствие опухоли в лимфатических узлах (Node);
- наличие или отсутствие метастазов опухоли (Metastasis) [5] .
Исходя из этих признаков, выделяют четыре основные стадии. Чем меньше стадия, тем лучше прогноз. Рак обычно стадируется дважды. Первый раз — до лечения, такое стадирование называется клиническим. Второй раз — после операции, такое стадирование называется патологоанатомическим и считается более точным и окончательным. Со временем опухоль может расти или распространяться на органы, в которых её раньше не было, а также повторно развиваться после полного излечения. В этом случае стадия, установленная однажды, меняться не будет.
Стадии рака эндометрия по системе TNM
Более схематично стадии рака эндометрия отражены на рисунке:

Согласно международной гистологической классификации рака тела матки, выделяют несколько видов опухолей:
- Злокачественные эпителиальные опухоли. В эту группу входят различные виды рака, среди которых эндометриальная аденокарцинома, серозный и светлоклеточный рак.
- Злокачественные смешанные эпителиальные и мезенхимальные опухоли — аденосаркома и карциносаркома.
- Мезенхимальные опухоли — леймиосаркома, эпителиоидная и миксоидная леймиосаркома, эндометриальная стромальная саркома низкой и высокой степени злокачественности.
Лучший прогноз имеет эндометриоидная форма, худший — серозная и светлоклеточная, но основным прогностическим критерием является стадия заболевания. Например, выживаемость с IV стадией эндометриоидного рака ниже, чем с I стадией светлоклеточного.
Рак тела матки также классифицируется на основании вида клеток, из которых он развился. Чтобы установить разновидность рака и его дифференцировку, исследуются удалённые органы или их части. Тип опухоли устанавливает эксперт-патолог, работающий с тканями под микроскопом.
Дифференцировка — это схожесть раковой клетки со здоровой. Она отражает, насколько быстро опухоль может расти и распространяться. Описаны три степени дифференцировки: G1, G2, G3, где G3 — самая неблагоприятная с быстрым ростом опухоли. Сейчас чаще выделяют только два класса: низкой злокачественности (low grade) и высокой (high grade). Low grade включает G1 и G2, a high grade — G3.
Осложнения рака эндометрия
Без специализированного лечения рак эндометрия неизбежно прогрессирует: боль и кровотечение из половых путей усиливаются, мочевой пузырь и прямая кишка сдавливаются, их функции нарушаются. У пациенток учащается мочеиспускание и стул либо, наоборот, возникают запоры.
Если опухоль проросла в мочевой пузырь и кишку, в моче и кале может появиться кровь. Очаги опухоли могут также образоваться в других органах и тканях: печени, лёгких и брюшной полости. При метастазах в лёгких появляется кашель, боль в грудной клетке и одышка; метастазы в печени проявляются болью в правом подреберье [6] .
Диагностика рака эндометрия
В отличие от рака шейки матки для рака эндометрия не существует программ скрининга. Диагноз устанавливается после комплексного обследования, которое включает:
- осмотр на гинекологическом кресле;
- подтверждение наличия опухолевых клеток;
- магнитно-резонансную томографию (МРТ) с контрастированием;
- ультразвуковое исследование (УЗИ);
- компьютерную томографию (КТ).
Осмотр на гинекологическом кресле позволяет оценить, где расположена и насколько распространилась опухоль, а также выявить, поражены ли смежные органы малого таза.
Подтверждение наличия опухолевых клеток, или верификация, — это необходимый компонент обследования. Получить клетки можно двумя способами:
- Пайпель-биопсия — процедура, при которой эндометрий забирается из полости матки с помощью тонкого зонда. Не требует общего наркоза и специальных условий.
- Гистерорезектоскопия — операция, при которой перед забором эндометрия врач может осмотреть полость матки. Гистероскопия предпочтительна при безоперационном лечении, проводится под наркозом и редко занимает более 15 минут. Точность гистероскопии выше, чем пайпель-биопсии, и составляет около 72 % [7] .
Ультразвуковое исследование может быть выполнено через брюшную стенку и интравагинально, т. е. через влагалище. Интравагинальное УЗИ позволяет лучше оценить состояние эндометрия, аномальное утолщение которого может косвенно указывать на онкологическое заболевание. Данная процедура является относительно простой и не требует специальной подготовки, поэтому часто назначается пациенткам на первом этапе диагностики. Правильно интерпретировать результаты УЗИ может только врач-онкогинеколог.
Магнитно-резонансная томография с контрастированием является более точным методом диагностики по сравнению с УЗИ. МРТ назначается при планировании лечения и позволяет определиться с объёмом операции.
Компьютерную томографию (КТ) с контрастированием применяют, чтобы определить, есть ли метастазы в органах грудной клетки и брюшной полости.
Специфических онкомаркеров для диагностики рака эндометрия не существует. Один из немногих маркеров с относительной чувствительностью — Са-125, но такой анализ не входит в стандартное обследование. Этот онкомаркер выявляется при лимфоме, раке яичников, поджелудочной и молочной железы. Также его уровень может повышаться при беременности, различных воспалительных заболеваниях или доброкачественных образованиях, например кистах яичников и миоме матки.
Лечение рака эндометрия
Основной метод лечения рака эндометрия — это операция, при которой удаляются тело и шейка матки с придатками.
Операция может проводиться через три вида доступа:
- лапаротомный (разрез передней брюшной стенки);
- лапароскопический (через проколы 5–10 мм);
- влагалищный.
Чаще всего применяется лапароскопия, так как после неё пациентки быстрее всего восстанавливаются.
Необходимость лимфодиссекции (удаления лимфатических узлов) зависит от наличия факторов риска метастазирования опухоли, результатов морфологического заключения и данных инструментальной диагностики. При удалении лимфатических узлов важно оценить, есть ли в них опухолевые клетки, что имеет решающее значение при планировании лечения после операции.
Чем больше объём операции, тем выше риски послеоперационных осложнений. При удалении лимфоузлов примерно в половине случаев образуются лимфокисты — отграниченные скопления лимфатической жидкости в малом тазу [8] . Чтобы минимизировать риски их развития и избежать лимфодиссекции, в некоторых клиниках используется технология определения сигнальных лимфоузлов (СЛУ). Во время процедуры в шейку матки вводится краситель, который по лимфатическим сосудам попадает в лимфоузлы. Затем хирург находит лимфоузлы, в которых накопился краситель, и удаляет узел, расположенный ближе всего к матке. Далее, непосредственно во время операции, проводится гистологическое исследование, позволяющее подтвердить или исключить наличие метастазов в СЛУ и избежать их полного удаления.

Если женщина планирует беременность, то в некоторых случаях допустимо безоперационное лечение. Оно возможно при эндометриоидном типе рака, стадии IA и высокой дифференцировке. Лечение проводится гормональными препаратами, которые блокируют работу яичников и оказывают терапевтический эффект на опухоль. Применяются два основных препарата: Мегестрола ацетат и Медроксипрогестерон.
Продолжительность гормонального лечения, как правило, составляет 6–12 месяцев. Затем при хорошем эффекте врач может разрешить беременность. После родов зачастую рекомендуется удалить матку, так как опухоль часто развивается повторно.
Лучевая терапия или химиотерапия на первом этапе менее эффективны, чем хирургическое лечение. Они назначаются, если нельзя провести операцию, например при тяжёлых хронических заболеваниях, распространённости опухоли и лечении рецидивов.
Чтобы предотвратить повторное появление опухоли, после операции могут проводиться дистанционное облучение малого таза и брахитерапия (контактная лучевая терапия, при которой источник излучения вводится внутрь поражённого органа).
Метод подбирается врачом в зависимости от типа и стадии рака, состояния лимфатических узлов. Например, при неэндометриоидном раке после операции назначается химиотерапия в сочетании с брахитерапией, а при эндометриальном раке I стадии может быть достаточно брахитерапии или наблюдения.
Прогноз. Профилактика
Без лечения рак эндометрия неизбежно прогрессирует и со временем приводит к гибели пациентки.
Для оценки прогнозов в онкологии используется термин «пятилетняя выживаемость», который сравнивает пациентов с конкретной стадией болезни с людьми из общей популяции. Например, если пятилетняя выживаемость при первой стадии болезни достигает 95 %, то такие пациенты по сравнению со здоровыми людьми с вероятностью 95 % проживут пять лет.
При своевременном выявлении и лечении рак эндометрия имеет самые благоприятные прогнозы среди всех злокачественных опухолей женских половых органов:
- для I стадии пятилетняя выживаемость составляет 85–95 %;
- для II — 65–70 %;
- для III — 29 % [9] .
Стадия болезни является самым значимым фактором при определении прогноза, но далеко не единственным. Онкологи оценивают гистологический тип опухоли, её дифференцировку, размеры, расположение в матке, прорастание или метастазирование в другие органы и лимфатические узлы. Точный прогноз врач сможет дать только после всестороннего анализа этих параметров.
Цветовое допплеровское картирование в диагностике рака эндометрия

Доступная эффективность. Универсальный ультразвуковой сканер, компактный дизайн и инновационные возможности.
Рак эндометрия является доcтаточно частой патологией и занимает второе место среди всех злокачественных заболеваний женских половых органов. Статистические данные последних лет свидетельствуют о существенном возрастании заболеваемости раком эндометрия - в нашей стране ежегодное увеличение составляет приблизительно 6% в год [1]. За последние 20 лет заболеваемость раком эндометрия увеличилась в России в 2 раза [2]. Максимальная заболеваемость раком тела матки отмечается в возрасте 50-59 лет [3,4].
В большинстве случаев рак эндометрия является вторичным и возникает на фоне предраковых заболеваний. Г.М. Савельева и В.Н. Серов наблюдали переход доброкачественных неопластических процессов в рак у 79% больных, Я.В. Бохман - у 73% и Т.В. Савинова - у 26% [5,3,6]. К предраковым заболеваниям относят атипическую гиперплазию, аденоматозные полипы, железистокистозную гиперплазию в менопаузе (особенно рецидивирующую) или развившуюся на фоне нейроэндокринных нарушений [3,5,6]. Наиболее частый клинический признак рака эндометрия - аномальные кровяные выделения из половых путей. Несмотря на то, что рак эндометрия требует как можно более раннего проведения терапии, тем не менее от появления первых признаков заболевания до постановки окончательного диагноза проходит приблизительно 6 мес [1].
Стандартным методом дифференциальной диагностики злокачественных и доброкачественных изменений является гистопатологическое исследование ткани, полученной при раздельном диагностическом выскабливании матки с гистероскопическим контролем. Сегодня актуален вопрос изыскания возможностей неинвазивной типизации тканей с помощью цветового допплеровского картирования, энергетического допплера, импульсной допплерометрии. Согласно данным литературы, систематическое использование эхографии способствует более ранней диагностике рака эндометрия, повышению частоты встречаемости рака I стадии на 50% и уменьшению заболеваемости раком III-IV стадий в 1,5 раза [7,8].
По мнению большинства авторов, применение комплексного ультразвукового исследования с анализом кривых скоростей кровотока является высокоинформативным методом неинвазивной диагностики карциномы эндометрия, так как в подавляющем большинстве случаев заболевания отмечаются патологические кривые скоростей кровотока, характерные для сосудистой сети с низким уровнем периферического сопротивления. Индексы резистентности и пульсации позволили доказать отсутствие мышечной оболочки в стенке артериальных сосудов в бассейне неоваскуляризации при злокачественном росте опухоли. Индекс резистентности (RI) при карциноме эндометрия составляет 0,42+0,02, тогда как в норме, при атрофии эндометрия и при простой гиперплазии, эндометриальный кровоток не регистрируется [9,10-14]. Однако ультразвуковых исследований, позволяющих выявить возможности цветовой допплерографии в диагностике рака эндометрия, крайне недостаточно.
Цель работы - изучение возможностей комплексного ультразвукового исследования с использованием цветового допплеровского картирования, энергетического допплера, импульсной допплерометрии в дифференциальной диагностике доброкачественной и злокачественной патологии эндометрия в определении стадии, степени дифференцировки и глубины инвазии опухолевого процесса в миометрий.
Материалы и методы
Нами обследовано 40 больных в пре- и постменопаузальном периоде с патологией эндометрия. Использован стандартный алгоритм обследования этой группы больных. Диагноз был верифицирован при морфологическом исследовании удаленного препарата. Обнаружено 17 (42,5%) случаев гиперпластических и 23 (57,5%) случая злокачественны nх процессов эндометрия. Средний возраст больных при доброкачественной патологии составил 46,8±8,1 года, при раке эндометрия - 58,5±7 лет. Данные морфологического исследования больных представлены в табл. 1.
| Морфологическая форма | Количество | % |
|---|---|---|
| Гиперпластические процессы | 17 | 42,5 |
| Железисто-кистозная гиперплазия Железисто-фиброзные полипы Атрофический эндометрий Атипическая гиперплазия | 9 4 1 3 | 22,5 10 2,5 7,5 |
| Злокачественная патология | 23 | 57,5 |
| Аденокарцинома Плоскоклеточный рак Аденоакантома Сочетание аденокарциномы и эндометриальной стромальной саркомы | 17 3 2 1 | 42,5 7,5 5 2,5 |
| Итого | 40 | 40 |
У 10 (58,8%) больных с гиперпластическими процессами и у 14 (60,9%) больных с аденокарциномой эндометрия наблюдалась сопутствующая миома матки небольших размеров (5-9 недель беременности). Длительное существование миомы матки (6-10 и более 10 лет) отмечено у всех пациентов с аденокарциномой.
Ультразвуковое исследование в сочетании с цветовым допплеровским картированием, энергетического допплера и импульсной допплерометрии выполнены всем пациентам на современных ультразвуковых аппаратах трансабдоминальным (конвексным датчиком с частотой 3,5 МГц) и трансвагинальным (конвексным датчиком с частотой 6,5 и 7 МГц) доступом. При эхографии оценивали размеры матки, величину, структуру, состояние полости матки и яичников. Допплеровский анализ включал определение: характера кровотока (артериальный или венозный), количества цветовых сигналов от сосудов в каждой опухоли, локализации внутриопухолевого кровотока (центральная или периферическая), наименьшего и среднего индекса резистентности (RImin и RImed) в маточных, аркуатных и опухолевых сосудах, максимальной скорости артериального (VAmax) и венозного кровотока (VVmax).
Для исключения субъективизма в оценке интенсивности внутриопухолевого кровотока нами предложена шкала. В 5-6 стопкадрах регистрировали количество цветовых сигналов от сосудов новообразования:
- "бедный" внутриопухолевый кровоток был представлен единичными цветовыми сигналами от сосудов - не более 5;
- умеренно выраженный - 5-10 цветовых сигналов;
- интенсивный, выраженный кровоток - более 10 цветовых сигналов от сосудов.
Для маточных артерий использовался частотный фильтр 100 и 50 Гц, для аркуатных и внутриопухолевых сосудов при размере "пробного объема" допплеровского луча 4 и 2 мм соответственно.
Результаты и их обсуждение
1 группа - гиперпластические процессы эндометрия (n=17). Клинически доброкачественная патология эндометрия проявлялась нарушениями менструального цикла по типу менометроррагии, анемией I-II степени у 47,1% больных. Их обследование выявило увеличение толщины М-эхо при доброкачественной патологии эндометрия в среднем - 13,8 мм (колебания 6-23 мм). При трансвагинальной эхографии железисто-кистозная гиперплазия определялась как образование повышенной эхогенности, однородной губчатой структуры с множественными точечными анэхогенными включениями и эффектом акустического усиления. При атипической гиперплазии в полости матки обнаруживалась неоднородная гиперэхогенная структура. Полипы отмечались как овальные или округлые гиперэхогенные образования, деформирующие полость матки, с небольшим количеством жидкости. При доброкачественных новообразованиях эндометрия выявлялся четкий и ровный наружный контур М-эхо.
Цветовая допплерография не зарегистрировала внутриопухолевый кровоток у 23,5% больных: при атрофическом эндометрии и в 3 случаях железисто-кистозной гиперплазии. У 76,5% пациенток обнаружен различной интенсивности периферический кровоток со средними значениями индекса резистентности. При железисто-кистозной гиперплазии отмечались единичные цветовые сигналы от сосудов, расположенные по периферии, со средними и высокими значениями индекса резистентности. При фиброзно-железистых полипах визуализировался умеренно выраженный венозный и артериальный периферический кровоток со средними показателями периферического сосудистого сопротивления. При атипической гиперплазии регистрировался интенсивный центральный и периферический внутриопухолевый кровоток со средним уровнем резистентности сосудов.
Минимальный индекс резистентности (RImin) при гиперпластических процессах эндометрия составил 0,56+0,05; максимальная скорость артериального кровотока - 9,3 см/с (колебания 5-13 см/с), максимальная скорость венозного кровотока-5 см/с (колебания 3-5 см/с).
2 группа - злокачественная патология эндометрия (n=23). Злокачественная трансформация эндометрия в большинстве случаев сопровождалась кровянистыми выделениями в постменопаузе, анемией различной степени у 73,9% пациенток.
Определение стадии рака осуществлено согласно Международной классификации рака тела матки (FIGO,1988). Сопоставление стадии и гистотипа представлено в табл. 2.
| Стадия | Аденокарцинома | Другие* | Всего | |
|---|---|---|---|---|
| высоко- дифферен- цированная | умеренно-дифферен- цированная | |||
| Ia | 4 | - | 1 | 5 |
| Ib | 4 | 4 | 4 | 12 |
| Ic | - | - | - | - |
| II | - | 2 | 1 | 3 |
| III | - | 2 | - | 2 |
| IVc | - | 1 | - | 1 |
| Итого: | 8 | 9 | 6 | 23 |
Примечание. * Аденоакантома Ia, Ib стадий - 2 случая, плоскоклеточный рак Ib стадии - 3 случая, сочетание аденокарциномы и эндометриальной стромальной саркомы II стадии - 1 случай.
В нашем исследовании степень дифференцировки опухоли коррелировала со стадией заболевания: высокодифференцированный процесс ограничивался телом матки, при умеренно дифференцированной аденокарциноме отмечены II, III и IV стадии (распространение опухоли за пределы органа). Обследование больных с подозрением на рак эндометрия выявило увеличение толщины М-эхо до 18,1 мм (колебания 7-38 мм). При Ia стадии - толщина М-эхо составила 11,6 мм (колебания 7-20 мм), при Ib стадии - 16,5 мм (колебания 7-38 мм), при II стадии - 31 мм (колебания 27-33 мм), при III стадии-17,5 мм (колебания 16-19 мм), при IV стадии - 29 мм.
Ультразвуковыми признаками злокачественной патологии эндометрия были: неоднородость внутренней структуры образования, более высокая эхогенность по сравнению с миометрием, повышенная звукопроводимость ткани, неровный, "изъеденный" контур, проникающий в миометрий на различную глубину, наличие гипоэхогенного ободка вокруг новообразования.
У 30,4% больных с карциномой эндометрия при трансвагинальной эхографии обнаруживались локальные гиперэхогенные образования неоднородной внутренней структуры с преимущественной инвазией в определенном направлении одной из стенок матки или локализация в области дна либо одного из трубных углов. При морфологическом исследовании выявлена экзофитная форма роста опухоли I стадии. В остальных 69,6% клинических наблюдениях отмечалась эндофитная форма роста с равномерной инвазией в миометрий. У этих больных обнаружены неровные, "изъеденные" контуры опухоли, проникающей в миометрий на различную глубину, стертая граница между новообразованием и миометрием. Некроз опухоли с деформацией полости матки и наличие некоторого количества жидкости выявлены при III и IV стадиях процесса.
Неоваскуляризация эндометрия имела место у 91,3% (21) больных. Из них "бедный" и умеренно выраженный кровоток с низкими цифрами индекса резистентности наблюдался в 13% наблюдений высокодифференцированной аденокарциномы Ia стадии. Такой тип неоваскуляризации отмечен при экзофитной форме роста опухоли.
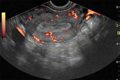
Интенсивность кровотока зависела от формы роста опухоли: при экзофитной форме отмечен интраопухолевый тип неоваскуляризации, при эндофитной - интенсивный интра- и периопухолевый тип кровотока, богатая васкуляризация миометрия (рис. 1).
Читайте также:
- Оболочки мозга. Оболочки головного мозга. Твердая оболочка головного мозга. Твердая оболочка мозга. Артерии твердой оболочки.
- КТ, МРТ при плоскоклеточном раке небной миндалины
- Методика фиксации гастростомической трубки
- Недостаток и избыток кальция, магния у новорожденного с неврологическими проявлениями
- Генетика мышечных дистрофий Дюшенна и Беккера. Наследование, молекулярные основы
