Мезиальный правосторонний перекрестный буккальный прикус. Лечение перекрестного прикуса у подростка
Добавил пользователь Евгений Кузнецов Обновлено: 28.01.2026
Пример операции при аномалиях прикуса. Лечение мезиального прикуса
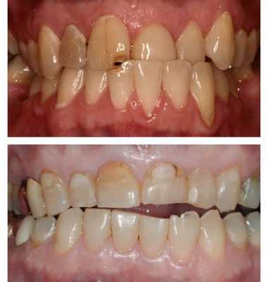
Пациентка Д. В., 26 лет. Диагноз: СЗЧЛА. Мезнальный открытый в переднем отделе прикус. Сужение зубных рядов. Тесное положение передних зубов.
Установлены элементы несъемной ортодонтической техники, сначала на верхний зубной ряд. Через полтора месяца — на нижний.
Через 11 месяцев пациентка была подготовлена к оперативному вмешательству. В течение двух последних месяцев были установлены стальные дуги максимального сечения (0,17x0,25).
В ходе коррекции за счет преимущественного использования прямоугольных дуг удалось избежать чрезмерной протрузии нижних передних зубов. Протрузия же верхних несколько уменьшилась за счет расширения верхнего зубного ряда.
План операции включал:
1) остеотомию верхней челюсти по нижнему типу Le Fort с перемещением фрагмента кверху для коррекции увеличения передней высоты лица и устранения «десневой улыбки»;
2) остеотомию нижней челюсти по Obwegeiser для исправления асимметрии и дистального перемещения нижней челюсти;
3) гениопластику для уменьшения передненижней высоты лица и создания губоподбородочной складки.

Несмотря на полную конгруэнтность зубных рядов и использование шины-позиционера в ходе операции, через несколько суток после вмешательства отмечается тенденция к раскрытию вертикальной щели в переднем отделе.
Через 7 месяцев после операции снят ортодонтический аппарат. В качестве ретейнеров использованы фиксируемые с нёбной стороны проволочные дуги. В настоящий момент — 6 месяцев ретенции.
Наложение обрисовок боковых телерентгенограмм свидетельствует о стабильности соотношения челюстей. Форма же зубных рядов претерпела незначительные изменения. На фоне использования межчелюстных эластичных тяг. которые в течение первых недель после операции полностью исключали возможность открывания рта, произошло зубоальвеолярное выдвижение передних зубов. Помимо этого, корни верхних резцов несколько отклонились вестибулярно. При этом зубы приняли более физиологичное положение.
Лечение мезиального прикуса
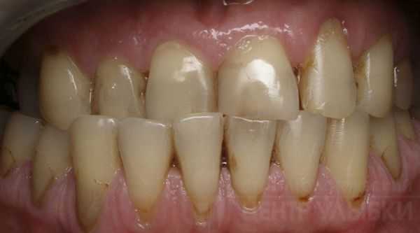
Пациент А. А., 18 лет. Диагноз: СЗЧЛА. Мезиальный прикус. Адентия верхних боковых резцов. Дистопия 45-го зуба.
Установлены элементы несъемной замковой ортодонтической техники на обе челюсти. План лечения на первом ортодонтическом этапе мог существенно различаться. Если в отношении перемещений на нижней челюсти разногласий быть не могло, то мероприятия на верхней допускали два варианта. Первый — раскрытие межзубных промежутков в области отсутствующих 12 и 22-го зубов с последующим протезированием. Второй — консолидация зубного ряда, предполагающая в дальнейшем эстетическую реставрацию верхних клыков, занявших положение боковых резцов.
Учитывая нежелание пациента сталкиваться с необходимостью протезирования по завершении лечения, а также стремление к изменению лицевых признаков аномалии за счет большей декомпенсации прикуса на первом этапе, был принят второй вариант.
Через 7 месяцев от начала лечения были установлены пассивные стальные дуги размером 0,17x0,25. Спустя несколько дней пациент был записан на госпитализацию.
Второй, хирургический, этап подразумевал проведение симультанного оперативного вмешательства на обеих челюстях: горизонтальная остеотомия верхней челюсти с ее выдвижением вперед и сагиттальная остеотомия ветвей нижней челюсти по Obwegeiser с перемещением ее тела кзади.
В послеоперационном периоде осуществлялась детализация положения зубов, создание окклюзи-онных контактов. Для улучшения смыкания зубных рядов выполнена сепарация аппроксимальных поверхностей 13 и 23-го зубов до соответствия их мезиодистальных размеров размерам отсутствующих боковых резцов. Особое внимание было уделено созданию резцового перекрытия для стабилизации результата.
В настоящее время лечение завершено (1 год ретенции). Удалены элементы ортодонтической техники. Установлены несъемные ретейнеры.
В настоящее время лечение завершено. Удалены элементы ортодонтической техники. Установлены несъемные ретейнеры.
Структурное наложение обрисовок контуров верхней и нижней челюсти по данным боковых телерентгенограмм свидетельствует о перестройке зубных рядов. В результате использования межчелюстных тяг произошло дистальное перемещение верхних зубов. Помимо этого, дистализация положения верхних резцов была предопределена неизбежностью сепарации верхних боковых резцов (клыков). При этом резцы сместились книзу. В области всего нижнего зубного ряда определяется эффект зубоальвеолярного выдвижения.
Информация на сайте подлежит консультации лечащим врачом и не заменяет очной консультации с ним.
См. подробнее в пользовательском соглашении.
Мезиальный правосторонний перекрестный буккальный прикус. Лечение перекрестного прикуса у подростка
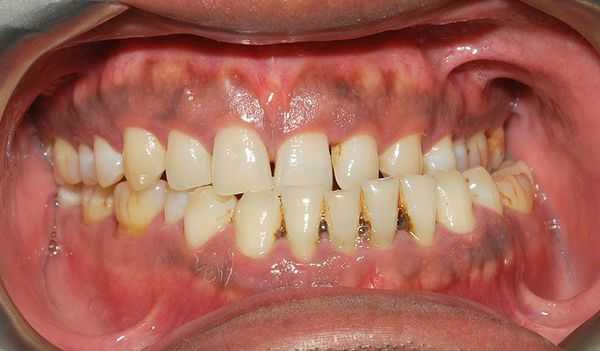
Пациентка Т. А., 16 лет. Диагноз: СЗЧЛА. Мезиальный правосторонний перекрестный буккальный прикус.
Учитывая хорошую форму зубных рядов, отсутствие выраженной скученности, торто-аномалий, лечение начато с установки дуги Cu-Ni-Ti (0,17x0,25). Уже через два месяца достигнута конгруэнтность зубных рядов, сопоставляющихся в конструктивном соотношении со множественными окклюзионными контактами.
В отличие от предыдущих случаев, у данной пациентки хирургический этап включал операцию только на нижней челюсти. В ходе операции мобилизованный срединный фрагмент перемещался кзади. При этом объем перемещения слева был вдвое больше, чем справа. По сравнению с вышеописанными случаями, у данной пациентки были самые неудачные условия и самый неблагоприятный, с точки зрения риска развития рецидива, прогноз. Проведение операции на нижней челюсти при мезиальном прикусе является самым спорным решением с позиций долговременной стабильности результата. Следуя такой логике, давление языка в условиях уменьшившегося объема полости рта должно привести к возникновению рецидива аномалии, особенно при «недостаточно надежной стабилизации» зубных рядов.
Тем не менее мы сочли возможным проведение операции при установленной в полости рта Cu-Ni-Ti-дуге. У этой пациентки прослежены наиболее отдаленные результаты из выборки пациентов, у которых применялся такой план лечения (3,5 года ретенции). А именно ненадежность достигнутого соотношения челюстей являлась одним из аргументов оппонентов данной методики.
Через 9 месяцев после операции удалены элементы ортодонтического аппарата. Установлены несъемные ретейнеры.
Пропорции лица были нормализованы. Прикус стабилен.
Но сопоставление боковых фотографий в раннем послеоперационном периоде и во время ретенции свидетельствуют о существенном изменении черт лица. Объяснение этих изменений открылось при сопоставлении обрисовок боковых телерентгенограмм.

Полученные данные свидетельствуют о максимальной выраженности перестройки зубных рядов по отношению к рассмотренным вариантам. Суть этих изменений состоит в увеличении высоты альвеолярных частей челюстей.
Чем объясняются эти изменения?
Операция проводится при установленной в полости рта пациента эластичной проволочной дуге прямоугольной формы максимального сечения. В послеоперационном периоде на фоне повышения пластичности костной ткани дуги полностью реализуют заложенные в них угловые характеристики паза замка (брекета). Помимо постоянно действующего на зубы давления дуги, используются межчелюстные эластичные резиновые тяги. Совокупное действие этих факторов приводит к активной перестройке тканей пародонта, причем пародонта всех зубов обоих зубных рядов. Тяга мышц, давление языка, воздействие вектора межчелюстных эластиков вызывают направленную перестройку альвеолярных частей, соответствующую новым условиям функционирования зубочелюстной системы. Отсюда столь выраженные изменения.
Наш опыт показал, что при условии достижения нейтрального соотношения челюстей, создания множественных окклюзионных контактов и внимательного наблюдения пациента в послеоперационном периоде, рецидив аномалии не происходит ни при использовании «мягких» термоактивных дуг, ни при использовании «жестких» стальных. Длительность использования стальных дуг перед операцией также не имела существенного значения. Во всех случаях в послеоперационном периоде происходит перестройка зубоальвеолярных частей челюстей. Но за счет мобилизации компенсаторных ресурсов зубочелюстной системы окклюзионные контакты удается сохранить. При этом положение зубов претерпевает изменения, которые достигают максимума при использовании в послеоперационном периоде дуг на основе никелид-титанового сплава.
Отмеченные изменения зубных рядов мы рассматриваем как проявления зубоальвеолярной компенсации, направленной на устранение частичного рецидива аномалии, тенденция к которому всегда имеет место в послеоперационном периоде. В свете этих данных основная ответственность за предупреждение частичного рецидива ложится на ортодонта, а важнейшим фактором, определяющим успех, являются регулярность на блюдения за пациентом в послеоперационном периоде хирургом, а в последующем — ортодонтом. Особенно этот вопрос актуален в тех случаях, когда перед операцией зубы в зубных рядах не были жестко фиксированы к дуге металлическими лигатурами.
В отдаленные сроки мы не обнаружили различия в состоянии паро-донта у пациентов при использовании стальных и эластичных дуг. Нами не выявлено какого-то выраженного негативного влияния на состояние пародонта раннего ортодонтического лечения. Но следует оговориться, что мы не применяли такую тактику лечения у пациентов с выраженными деструктивными изменениями в пародонте.
Приведенные данные свидетельствуют о том, как сильно может различаться состояние зубных рядов и окклюзии перед операцией. В зависимости от того, какая схема реабилитации применяется, критерии требований к качеству ортодонтической подготовки могут меняться. Важнейшим фактором, гарантирующим стабильность получаемого на хирургическом этапе результата, является достаточность окклюзионных контактов в конструктивном соотношении челюстей. Контакты должны быть как минимум трехточечными и должны обеспечивать устойчивое положение зубных рядов при смыкании. Зубы, не вступающие в окклю-зионный контакт из-за вертикального разобщения, должны находиться напротив своих антагонистов. При соблюдении этих условий после операции достижение смыкания по всему периметру зубного ряда будет обеспечено использованием межчелюстных тяг.
Перекрёстный прикус - симптомы и лечение
Что такое перекрёстный прикус? Причины возникновения, диагностику и методы лечения разберем в статье доктора Журавской Натальи Сергеевны, ортодонта со стажем в 6 лет.
Над статьей доктора Журавской Натальи Сергеевны работали литературный редактор Маргарита Тихонова , научный редактор Сергей Федосов
Определение болезни. Причины заболевания
Перекрёстный прикус — это зубочелюстная аномалия в поперечной плоскости, при которой размер или положение челюстей изменяется по горизонтали. У людей с таким прикусом наблюдается обратное смыкание зубов с одной или двух сторон, в переднем или боковых отделах.

Известно, что перекрёстный прикус встречается реже других патологий. Частота случаев зависит от возраста: у детей и подростков она составляет 0,39-1,9 % от общего числа заболеваний, у взрослых — 3 % [6] [7] [9] [10] .
Причины развития такого типа нарушения прикуса могут быть врождёнными и приобретёнными. К основным факторам относят [15] :
- Наследственность и врождённые аномалии развития, в том числе:
- задержка роста;
- укорочение или рост тела челюсти с одной стороны;
- нарушение обмена кальция в организме;
- уменьшение размеров одной половины лица (лицевая гемиатрофия или болезнь Парри — Ромберга);
- неправильная последовательность прорезывания зубов;
- нарушения прорезывания зубов — нетипичное расположение зачатков зубов, ретенированные зубы, поздняя смена молочных зубов на коренные.
- Функциональные причины и вредные привычки:
- неправильная позиция ребёнка во время сна — лёжа только на одном боку, подкладывая руку или кулака под щеку;
- гримасничанье, подпирание щеки рукой, сосание пальцев, щёк, губ, языка или предметов, одежды;
- нарушение носового дыхания, неправильное глотание;
- скрежет зубами (бруксизм);
- дисбаланс в работе жевательных мышц;
- неравномерный контакт одного зубного ряда с другим, нестёршиеся бугры молочных зубов. и его осложнения:
- раннее разрушение и потеря молочных моляров ("жевательных" зубов).
- Суставные нарушения:
- неподвижность височно-нижнечелюстного сустава.
- Иные причины:
- травмирование;
- воспаление, из-за которого нарушается рост челюсти;
- остаточные дефекты на нёбе после пластики его расщелины;
- новообразования.
Чаще всего (в 77 % случаев) перекрёстный прикус является следствием бокового смещения нижней челюсти [13] [14] .

При обнаружении схожих симптомов проконсультируйтесь у врача. Не занимайтесь самолечением - это опасно для вашего здоровья!
Симптомы перекрёстного прикуса
Развитие перекрёстного прикуса не происходит одномоментно — на появление выраженных его лицевых и ротовых симптомов нужно время.
Лицевые признаки
Помимо выраженной асимметрии развиваются и другие нарушения формы лица:
- смещение линии улыбки;
- разная высота уголков губ;
- смещение подбородка в сторону и другие видимые изменения.
Иногда пациенты обращают внимание на смещение или несоответствие центральной линии зубов верхней и/или нижней челюсти с центральной линией лица.
Ротовые признаки
При перекрёстном прикусе часто нарушается движение нижней челюсти и функции височно-нижнечелюстных суставов, особенно в случае аномалии прикуса со смещением нижней челюсти в сторону.

При открывании рта может возникать хруст и боль. Иногда нижняя челюсть блокируется и её движение в поперечной плоскости затрудняется. Это ведёт к неравномерному распределению нагрузки на зубы в момент жевания, а со временем — к травматической окклюзии (неправильному контакту одной челюсти с другой) и заболеванию тканей зубов и пародонта.
Неполноценная окклюзия зубов также может влиять на характер жевания и провоцировать хроническое напряжение мышц и, как следствие, появление болей. [1] [2] [5]
Нередкий признак прогрессирующей патологии с осложнениями — это некариозные поражения твёрдых тканей зубов: клиновидные дефекты, сколы эмали, патологическая стираемость зубов, недолговечность ортопедических конструкций или пломб.

Нередко пациенты жалуются на прикусывание слизистой оболочки щёк и отмечают неправильное произношение звуков речи.
Патогенез перекрёстного прикуса
На патогенез перекрёстного прикуса влияет сочетание различных анатомических нарушений [2] [8] [12] . Например, он может возникнуть в результате сужения или расширения базиса челюстей. Это происходит при наличии врождённых аномалиях: задержке роста, нарушении обмена кальция в организме и других причин. При этом развитие челюстей нарушается симметрично, но иногда возможно одностороннее недоразвитие (например, при лицевой гемиатрофии).

Ещё один анатомический фактор развития перекрёстного прикуса — нарушения в пределах зубных дуг и альвеолярных отростков, к которым крепятся зубы. Пусковыми механизмами в таких случаях становятся зачатки зубов, расположенные в нетипичном месте, их ретенция, прорезывание зубов в неправильном порядке, запоздалое появление коренных зубов на месте молочных, раннее разрушение жевательных зубов.

Функциональные причины и вредные привычки могут приводить как к изменению базиса челюстей, так к зубным и альвеолярным нарушениям. В этом случае ключевую роль в формировании патологии будут играть продолжительность действия привычки и возраст пациента.
Сбой работы височно-нижнечелюстного сустава может быть связан с его различными патологиями:
- хроническими заболеваниями сустава (артритом или артрозом);
- наследственными аномалиями (асимметрия ветвей нижней челюсти, аномалиями формы или размеров головок сустава);
- функциональными деформациями, возникшими, например, вследствие лечения кариеса и его осложнений.
При хроническом течении эти нарушения становятся причиной смещения челюстей, нарушения смыкания зубов и формирования перекрёстного прикуса [3] [4] [11] .
Наиболее редкими механизмом, приводящими к перекрёстному прикусу считаются травмы, остаточные дефекты после хирургических вмешательств, новообразования и прочие деформации (например, вследствие осложнённого воспалительного процесса).
Классификация и стадии развития перекрёстного прикуса
Перекрёстный прикус имеет различные формы. Все они могут быть односторонними и двусторонними, симметричными и асимметричными, а также сочетанными. В некоторых случаях сопровождаются смещением нижней челюсти [4] [5] [9] .
В зависимости от расположения зубов при при смыкании челюстей выделяют три типа перекрёстного прикуса:
- Буккальный — когда верхний зубной ряд сужен, а нижний ряд расширен с одной или двух сторон. При смыкании челюстей щёчные бугры нижних зубов перекрывают верхние. Этот тип может быть как со смещением нижней челюсти, так и без него.
- Лингвальный — когда верхний зубной ряд расширен, а нижний сужен также с одной или обеих сторон. При смыкании челюстей нёбные бугры верхних зубов перекрывают щёчные бугры нижних.
- Буккально-лингвальный — сочетает в себе признаки первых двух типов.

По причинам возникновения также различают три типа перекрёстного прикуса:
- Гнатический — возникает при недоразвитии или чрезмерном развитии базиса челюсти, т. е. нарушается форма альвеолярной дуги или других частей верхней и нижней челюсти.
- Зубоальвеолярный — когда основная причина неправильного перекрытия ряда связана с нетипичным положением или нарушением формы и размера зуба (чаще всего корней). При этом сужение или расширение зубоальвеолярной дуги может наблюдаться как на одной, так и на обеих челюстях.
- Суставной — боковое смещение нижней челюсти за счёт различных нарушений в височно-нижнечелюстном суставном комплексе (недоразвитие, деформации или смещения структур). Челюсть может быть сдвинута не только в сторону, но и по диагонали.

Осложнения перекрёстного прикуса
Положение зубов и челюстей в перекрёстном прикусе напрямую влияет на распределение жевательной нагрузки и направление действий жевательных сил. В процессе адаптации к особенностям прикуса организм постепенно переходит в стадию декомпенсации и возникает перегрузка всех структур челюстно-лицевого комплекса. Именно она ведёт к осложнениям, в том числе необратимым.
Осложнения со стороны твёрдых тканей зубов и пародонта
Эмаль — самая прочная ткань в организме, но под влиянием постоянно повышенной нагрузки на ней появляются микротрещины, которые затем приводят к сколам, появлению клиновидных дефектов и повышенной чувствительности зубов.

Периодонтальные связки, окружающие зуб, также имеют свой функциональный запас. При чрезмерной нагрузке, особенно на отдельные группы зубов, в этих связках развивается защитная реакция. Она может проявляется воспалением и дальнейшим разрушением структур.
Нарушение функции мышц
Изменения в работе мышц в перспективе приводят к появлению стойких парафункций тканей — неосознанной активности некоторых мышц, которая не связана с жеванием или речью и трудно поддаётся самоконтролю. Постоянное перенапряжение одних групп мышц при наличии перекрёстного прикуса ведёт к их гипертрофии и гиперфункции, что в дальнейшем может стать причиной бруксизма, стойких мышечных болей и зажимов [1] [5] [9] [12] .

Изменения в височно-нижнечелюстном суставе
При нарушении функций или ограничении подвижности головок и суставных элементов развивается гипомобильность сустава, нарушается трофика его тканей. В зависимости от индивидуальных особенностей организма это может приводить к смещениям диска, появлению болей, хрустов и щелчков в суставе, а позже — к атрофии и деформации диска и суставных поверхностей [1] [2] .
Диагностика перекрёстного прикуса
Диагностика перекрёстного прикуса не составляет труда для специалиста.
Сбор анамнеза и истории развития заболевания часто помогает выявить истинные причины патологии. Диагностически важен характер болей, беспокоящих пациента, усталость мышц, хруст и щелчки в суставе.
Клинический осмотр лица помогает выявить выраженную асимметрию и пропорциональные несоответствия. При осмотре полости рта определяют тип перекрёстного прикуса. Оценивается состояние твёрдых тканей зубов: обнаруженные клиновидные дефекты, патологическая стираемость, сколы эмали, а также короткий срок службы пломб может косвенно свидетельствовать о наличии окклюзионных перегрузок, тем самым подтверждая поставленный диагноз. Слизистая губ и щёк нередко имеет отпечатки зубов из-за накусывания слизистой в месте перекрёстного положения зубов.
Наблюдение за характером движений суставов, функциональные пробы и рентгенологические исследования (особенно ортопантомография) позволяют обнаружить осложнения со стороны височно-нижнечелюстного сустава и мышечной функции [4] [7] [8] [9] [12] . По показаниям проводятся КТ и МРТ данной области в положении открытого и закрытого рта.

Электромиография и аксилография также проводятся по показаниям и являются дополнительными методами диагностики [5] [8] .
Перекрёстный прикус может быть ложным — такое состояние называют вынужденным смещением челюсти. Отличить его помогает регистрация преждевременных и суперконтактов с помощью окклюзиограммы или специализированного оборудования T-scan.

Иногда для подтверждения диагноза требуется зарегистрировать положение челюстей относительно структур черепа. Для этого верхнюю челюсть фиксирую с помощью лицевой дуги, а для нижней челюсти используют прикусные шаблоны или регистраторы прикуса.

Лечение перекрёстного прикуса
Лечение перекрёстного прикуса напрямую зависит от возраста пациента, исходной клинической ситуации, материального и технического обеспечения.
Для исправления прикуса используют съёмные и несъёмные ортодонтические пластинки из пластмассы с различными видами крепления (кламмеры, минивинты, ортодонтические кольца и коронки), а также другие конструкции с активными элементами (винтами и пружинами). Такие аппараты могут быть одночелюстными, двучелюстными и одночелюстными с межчелюстным действием.


Самая распространённая ортодонтическая аппаратура для исправления прикуса — брекет-системы. Для этого используются различные дополнительные приспособления: кнопки и крючки, эластики и эластичные цепочки.
Срок лечения брекет-системами в среднем составляет 15-18 месяцев и проводится в обязательном порядке на двух челюстях с последующим ношением ретейнера (шины) не менее 1,5 сроков активного периода лечения.

Сейчас большую популярность набирает лечение с помощью элайнеров — прозрачных капп с заложенной траекторией перемещения зубов. Этот метод, как и другие, имеет свои преимущества и недостатки. При грамотном планировании лечения и ответственном подходе пациента добиться ожидаемых результатов можно за 12-15 месяцев.
Во время лечения к основные ортодонтические конструкции могут дополняться минивинтами. Чаще они применяются у взрослых пациентов для более стабильной опоры и прогнозируемого результата.
Прогноз. Профилактика
При своевременно начатом лечении перекрёстного прикуса, т. е. до развития дистрофических процессов и необратимых изменений, прогноз благоприятный независимо от возраста пациента [3] [7] [11] [12] .
Иногда для исправления патологии необходим более комплексный подход с привлечением других специалистов — остеопата, стоматолога-хирурга, стоматолога-терапевта, логопеда, отоларинголога и других.
Профилактика делится на первичную и вторичную. Первая включает в себя меры по предотвращению появления патологии прикуса:
- выявление групп риска;
- диспансерное наблюдение;
- отказ от вредных привычек и факторов, влияющих на полноценное развитие челюстно-лицевой области.

Вторичная профилактика направлена на то, чтобы не допустить развития осложнений уже существующей патологии. Для уменьшения факторов риска рекомендуется:
Комбинированное лечение аномалий прикуса. Варианты исправления прикуса у подростков
Вопрос об оптимальном возрасте для проведения реконструктивных операций на челюстях активно обсуждается в специальной литературе. Диапазон мнений необычайно широк: от проведения операций в раннем детском возрасте с момента обнаружения аномалии (вплоть до новорожденных) до ожидания завершения роста челюстей (старше 16-25 лет).
Нам представляется, что показания к проведению таких операций следует определять дифференцированно. Одна категория пациентов — дети и подростки с врожденными пороками развития челюстно-лицевой области, тяжелыми посттравматическими и послеоперационными деформациями челюстей. В таких ситуациях хирургическое вмешательство должно проводиться по факту обращения пациента и его родителей к врачу. Главная цель такого подхода — устранение функциональных нарушений и создание условий для нормализации дальнейшего роста лицевых структур. При этом лечение, как правило, осуществляется в нескольких этапов.
Совершенно другой подход применяется у пациентов с несоответствием соотношения челюстей. Каких-то резких функциональных нарушений, создающих серьезные препятствия для жизнедеятельности, как правило, не возникает. Более того, даже функция жевания зачастую оказывается компенсированной. При этом идеология поэтапной реабилитации становится несостоятельной. В таких случаях планирование лечения должно быть рассчитано на достижение стабильного результата после первого и единственного оперативного вмешательства. Проще всего этот вопрос решить у пациентов по завершении роста.
При сохранении потенциала роста лечение возможно, но его планирование требует особой тщательности. Мы полагаем, что остеотомия нижней челюсти в области тела, угла или ветви не может серьезным образом сказаться на ее росте.

Какие альтернативные варианты могут быть у данного пациента? Первый вариант: дождаться окончания роста. Но это потребует ношения ортодонтическои аппаратуры еще в течение 2-3 лет, что в свете длительного предоперационного ортодонтического этапа крайне затруднительно. Другой путь — снять аппаратуру на несколько лет с тем, чтобы повторно установить ее перед операцией — всегда связан с серьезными организационными и психологическими проблемами.
Второй вариант: проведение операции не на нижней, а на верхней челюсти, как это рекомендуют некоторые авторы. Но в этом случае, скорее всего, может потребоваться повторное хирургическое вмешательство еще и на нижней челюсти. При этом будет необходима установка ортодонтической аппаратуры перед второй операцией.
Избранный нами план лечения позволил сопоставить челюсти в правильном соотношении при сохранности зон роста. Сохраняющаяся после операции избыточная активность роста нижней челюсти жестко контролировалась с помощью ортодонтическои аппаратуры. До тех пор пока мы не научились эффективно подавлять рост нижней челюсти, другого способа завершить лечение в этом возрасте, по нашему мнению, нет.
Остеотомия верхней челюсти неизбежно приводит к травме ее основных зон роста: крыловидно-верхнечелюстного шва и перегородки носа. После операции рост в переднезаднем направлении существенно замедляется, хотя вертикальное перемещение может иметь место. Мы полагаем, что последний факт связан с действием межчелюстных эластиков на этапе создания окклюзионных контактов.
Определение потенциала роста на основе паспортного возраста или сроков прорезывания зубов (зубной возраст) является недостаточно точным. Гораздо более точно оно может осуществляться на основании боковой телерентгенограммы по состоянию тел позвонков шейного отдела позвоночника или на основании рентгенограммы кистей.
Перекрестный прикус

Перекрестный прикус встречается у 2% пациентов. Это дети и взрослые. Бывает множество его вариаций, довольно часто такой вид окклюзии сопрягается с другими аномалиям. Неправильный прикус поддается лечению, но начать его надо как только заметили отклонения от нормы. Иначе одной терапии может быть недостаточно.
Что такое перекрестный прикус
Перекрестный прикус — смыкания верхней и нижней челюсти в горизонтальной плоскости. Нарушение с одной стороны или обеих, во фронтальной зоне или боковой. Окклюзия происходит в перекрестном положении, зубные ряды, отдельные элементы расположены внахлест.
Признаки перекрестной окклюзии
Одним из видимых симптомов безусловно является несимметричность лица:
- уголки губ расположены на разной высоте из-за чего улыбка смещена (кривая);
- линия подбородка отклонена от центральной оси.

Визуальная асимметрия при перекрестном прикусе не единственный признак, также наблюдается:
- неправильное расположение зубов во рту, скученность;
- изменение работы ВНЧС (височно нижнечелюстного сустава). От этого появляется дискомфорт, неприятные ощущения, боли при зевании, широком раскрытии рта;
- неравномерная нагрузка на зубы приводит к быстрой стираемости и легкой доступности к поражению кариесом;
- клиновидный дефект;
- напряжение челюстных мышц ведущее к частым болям;
- травмирование слизистой щек из-за непроизвольного прикусывания их.
Кроме вышеперечисленных признаков перекрестное смещение прикуса иногда сопровождается дефектом речи при произношении свистящих, шипящих звуков.
Причины
Причины по которым появляется перекрестный прикус зубов следующие:
- сужение челюсти;
- атипичная позиция зачатков зубов;
- ранее/позднее прорезывание зубов или смена молочных, утрата жевательных единиц до срока. Соседние элементы просто заполняют свободное пространство;
- продолжительные пагубные привычки (закусывание губы, сосание пальца и т.п.);
- травмы, осложнения после хирургических манипуляций;
- болезни костной ткани могут вызвать глубокий прикус;
- ротовое дыхание. Когда дышишь ртом, язык уходит вниз и не давит на верхнюю челюсть как должен, а губы и щеки продолжают воздействовать в обратную сторону и, соответственно, верхняя челюстная дуга сужается и углубляется, возникает перекрестный прикус;
- наследственность, генетическая предрасположенность;
- врожденный дефект, патология возникающая во время беременности или родовая травма.
Нередко можно слышать утверждение, что на патологию прикуса влияет положение человека во время сна.
Виды перекрестного прикуса
Исправление перекрестного прикуса, метод лечения будет зависеть от установленного вида аномалии. А типы перекрестной окклюзии таковы:
- буккальный. Узкая недоразвитая верхняя челюсть и увеличенная подвижная нижняя. Встречается двустороннее перекрытие и одностороннее, со смещением зубного ряда или без. При данной окклюзии низ перекрывает верх.
- лингвальный. Верхняя челюсть расширена, подвижная — меньше, поэтому ее покрывают щечные бугры сверху. Патология бывает одно-, двусторонней.
- буккально-лингвальный — сочетающий два вышеупомянутых вида перекрестного прикуса, лечение его гораздо сложнее.
По этиологии классифицируют вид атипичного прикуса на:
- гнатический — патология формы челюсти;
- зубоальвеолярный — неправильные размеры зубов, корней и альвеолярных дуг;
- суставной — сдвиг челюсти, нарушение ВНЧС.
Варианты совмещения деокклюзий встречаются часто, мезиально-перекрестный прикус не редкость.
Возможные осложнения
Аномальное расположение зубов, челюстей непосредственно воздействует на работу всего челюстного аппарата, появляется декомпенсация, сверхнагрузка на всю систему. Так как жевательная нагрузка на зубной ряд, отдельные единицы распределяется неправильно, неравномерно. То же самое касается и мышц ВНЧС, возникает гипертонус. И если не проводить лечение перекрестного прикуса, то возможны неблагоприятные последствия:
- стираемость эмали, которая ведет к повышенной чувствительности, подверженности болезням;
- страдает пародонт;
- со стороны мышц челюстей — гипертрофия, спазмы, бруксизм, мышечные боли;
- суставы челюстные реагируют хрустом, болями, происходит атрофия диска;
- ответ на нетщательное пережевывание пищи со стороны пищеварительной системы в виде болезней органов ЖКТ.
Остается дефект речи, асимметрия черт лица при перекрестном прикусе и психологически неустойчивое состояние человека.
Диагностика
Для диагностики специалисты используют комплекс исследований, чтобы определить степень перекрестного смещения прикуса:
- визуальный осмотр: фиксирование асимметрии губ, подбородка, признаков в ротовой полости (скученность зубов, перекрытие щечных бугров), травмы от неправильного смыкания слизистой оболочки щек;
- использование прикусного валика;
- рентгеновский снимок, ортопантомограмма, телерентгенограмма, КТ, МРТ (по показаниям на выбор);
- аксилография как дополнительный метод.
Делаются фото до и после, чтобы видеть течение процесса коррекции.
Перекрестный прикус в переднем отделе очень часто похож на мезиальный прикус, но это кардинально разные патологии. Перекрестный в этом виде лечить значительно легче чем мезиальный прикус, их не стоит путать, поэтому нужна глубокая диагностика.
Варианты и этапы лечения перекрестного прикуса
Для разной возрастной категории пациентов разная схема лечения.
Коррекция перекрестного прикуса у детей
- миогимнастика назначается для отработки ежедневных упражнений. Задействуются мышцы влияющие на смещение челюстей;
- шлифовка зубов;
- трейнеры — силиконовые накладки, изготовленные по слепкам. Их носят ночью и несколько часов в день. Корректируют прикус и рост зубов;
- ортодонтические аппараты: пластинки, регулятор Френкеля, активатор Кламмта и др. Их действие направлено на максимально допустимое давление на зубной ряд, что контролируется фиксаторами, наклоном, винтами дуг и других частей конструкций.
Брекеты при перекрестном прикусе назначают начиная с подросткового возраста. Они прекрасно зарекомендовали себя в коррекции и имеют только положительный эффект после использования.
- аппарат Энгля для расширения/сужения челюстной дуги. Дуга конструкции требует периодической корректировки для уточнения ее давления с лингвальной стороны. Другие аппараты для быстрого небного расширения, небные эспандеры.

- элайнеры все больше набирают популярности. Это поликарбонатные прозрачные капы, напоминающие трейнеры. Направлены для перемещения по определенной траектории зубов. Они незаметны, подходят для легкой и средней степени патологии. Через год можно видеть положительную динамику.

- коронки из прочного пластика оказывающие достаточное давление на зуб в заданном векторе. Например, коронки Катца хорошо корректируют фронтальную группу до 6 зубов. Коронки снабжены петлей в лингвальной зоне, ее длина зависит от количества единиц для смещения.

- остеотомия. Хирургическая операция, в ходе которой делается распил челюсти, установка в правильное положение и фиксация спецконструкцией. После чего все равно пациенту назначат брекеты или другую систему для закрепления результата. Используется при скелетной асимметрии, когда другие методы здесь бессильны.
Профилактика
Для предотвращения появления любого аномального прикуса, перекрестного, в том числе, необходимо тщательно следить за здоровьем еще во время беременности матери. Ее болезни, прием сильных лекарств, стресс могут повлиять на патологию развития челюстной системы ребенка в утробе.
После появления малыша не допускать долго сосать пальцы, игрушки. Сохранять грудное вскармливание. Следить за своевременным лечением ЛОР-заболеваний, чтобы не было ротового дыхания.
При обнаружении признаков перекрестного прикуса обратиться к врачу и начать лечение так скоро, как будет возможно.
Читайте также:
