Морфология и патологическая анатомия вестибулярной шванномы
Добавил пользователь Евгений Кузнецов Обновлено: 14.12.2025
Невринома слухового нерва (вестибулярная шваннома, акустическая невринома, акустическая шваннома) — доброкачественная опухоль-невринома, растущая из шванновских клеток слухового нерва, VIII пары черепных нервов. Ежегодно данная патология выявляется у 1 человека на 100 тысяч населения [1] [2] .
Клинически проявляется снижением слуха на одно ухо, головокружением, болью в соответствующей половине лица, парезом лицевого и отводящего нервов, нарушением глотания, фонации и артикуляции. Эти симптомы связаны с поражением соответствующих нервных структур вследствие сдавления их растущей опухолью [3] [4] [5] . Возникновение двусторонних неврином слуховых нервов является проявлением нейрофиброматоза II типа.
Лечение состоит либо в хирургическом удалении новообразования, либо в его облучении. В ряде случаев требует лишь динамического наблюдения [6] .
Содержание
История изучения
Большинство специалистов [7] согласны с утверждением основоположника американской нейрохирургии Х. Кушинга, что описанное в 1777 году Сендифортом (англ. Sandifort ) после вскрытия новообразование являлось невриномой слухового нерва [8] [9] . Таким образом, впервые невринома слухового нерва была обнаружена во второй половине XVIII столетия.
Сендифорт описал плотную опухоль правого слухового нерва, сращённую со стволом мозга в месте выхода лицевого и преддверно-улиткового нервов. Он также отметил её распространение во внутренний слуховой проход височной кости. Сендифорт предположил, что именно это образование явилось причиной прижизненной глухоты [9] .
Харви Кушинг — основоположник американской нейрохирургии, который внёс большой вклад в развитие хирургии неврином слуховых нервов
Патологию неврином слухового нерва исследовал французский патологоанатом XIX столетия Крювелье [10] .
Шотландский физиолог и анатом Чарльз Белл в 1830 году впервые поставил прижизненный диагноз опухоли слухового нерва [11] . У больного отмечались тригеминальная невралгия, утрата вкусовой чувствительности, частые головные боли, а также глухота. Через 1 год больной умер. На вскрытии была обнаружена кистозная опухоль мостомозжечкового угла, распространяющаяся в область внутреннего слухового прохода. Аутопсия подтвердила правильность диагноза Белла [7] .
Впервые оперативное удаление невриномы слухового нерва произвёл английский хирург Чарльз Балланс в 1894 году [8] [12] . Больной после операции прожил не менее 12 лет. Балланс удалил инкапсулированную опухоль мостомозжечкового угла. Клиническое описание свидетельствует о том, что опухоль являлась невриномой слухового нерва. У больного после оперативного вмешательства возникло осложнение, потребовавшее энуклеации глаза. Также было отмечено повреждение тройничного и лицевого нервов [7] .
Большой вклад в лечение неврином слуховых нервов внёс Х. Кушинг. Первая его операция по удалению данного типа опухоли в 1906 году закончилась смертью больного [8] . Кушинг пришёл к выводу, что с использованием хирургического инструментария начала XX столетия осуществить полное удаление невозможно. В связи с этим он начал производить частичное удаление опухоли. Вначале смертность после таких операций оставалась крайне высокой, достигая 40 % в течение 5 лет. Дальнейшие нововведения Кушинга позволили значительно улучшить результаты операций. Суммарно Кушингом было удалено 176 неврином слуховых нервов (в 13 случаях ему удалось достичь тотального удаления). Послеоперационная летальность составила 7,7 % [13] [14] [15] .
В 1917 году бывший ученик Кушинга У. Денди продемонстрировал успешный случай тотального удаления опухоли [16] . В течение 1917—1941 годов, используя односторонний субокципитальный доступ — удаление нижнебоковой части затылочной кости [17] , Денди значительно усовершенствовал технику удаления. В последних 41 случае уровень летальности составил 2,4 % [18] [19] . До классических работ Кушинга и Денди уровень смертности больных у хирургов, которые брались за операции подобного рода, составлял около 75 % [20] [21] [22] [23] [24] [25] .
После внедрения шведским нейрохирургом Ларсом Лекселлом радиохирургии она стала широко использоваться в лечении неврином слуховых нервов [1] [26] [27] .
Эпидемиология
Невриномы слухового нерва встречаются у пациентов двух различных групп. Односторонние опухоли возникают спорадически, не наследуются и не связаны с другими новообразованиями ЦНС. Двусторонние невриномы слухового нерва встречаются у больных с нейрофиброматозом II-го типа. У людей с данным заболеванием имеется семейная предрасположенность. Также у больных нейрофиброматозом II типа возникают и другие внутричерепные и спинальные опухоли [6] .
Невриномы слухового нерва составляют 1 /3 всех опухолей задней черепной ямки. У женщин встречаются в 2—3 раза чаще, чем у мужчин. Частота относительно общего числа опухолей головного мозга от 4,9 % (3 % у мужчин и 6 % у женщин) [6] до 10 % [5] . Ежегодно выявляется у 1 человека на 100 тысяч населения [1] [2] .
Патологическая анатомия

Макроскопически невринома имеет вид плотного, ограниченного узла округлой, овальной или неправильной формы. Поверхность узла неровная, бугристая. Невринома покрыта соединительнотканной капсулой. Ткань опухоли на разрезе бледно-серая, с участками, имеющими жёлтый, ржавый оттенок за счёт жировых отложений либо буро-коричневый цвет (следы старых кровоизлияний). Окраска ткани может меняться в зависимости от условий кровоснабжения опухоли; при венозном застое она приобретает синюшный оттенок. В ткани опухоли часто встречаются кисты различных размеров, заполненные буро-коричневой жидкостью. Кистозное перерождение может отмечаться во всей опухоли либо её части. Часто наблюдаются обширные поля фиброза [28] .
Невринома состоит из веретенообразных клеток с палочкоподобными ядрами. Клетки и волокна опухоли образуют «палисадные» структуры (ядерные палисады, тельца Верокаи) с участками, состоящими из волокон [29] .
Традиционно различают два гистологических типа неврином: тип Верокаи, или тип А, и тип Антони, или тип Б. Данное разделение условно и практического значения для диагностики не имеет. Советский нейрохирург, академик АМН СССР Б. Г. Егоров при исследовании неврином слухового нерва обнаружил, что их структурное многообразие зависит не от изначальных свойств опухолевой ткани, а от деструктивных и рубцовых процессов [28] .
Микроскопическое строение опухоли на разных стадиях роста может быть различным в зависимости от интенсивности дистрофических процессов и нарушений кровообращения. Нарушения кровообращения сопровождаются скоплением гемосидерина и разрастанием фиброзной ткани. Всё это создаёт пёструю гистологическую картину [28] .
Количество сосудов в ткани опухоли значительно колеблется. Периферические отделы обычно окружены богатой сосудистой сетью: в центральных участках их количество варьирует от одиночных, до сосудистых клубков, напоминающих по строению кавернозную ангиому. Стенки сосудов тонкие, иногда образованы одним слоем эндотелия, но могут встречаться сосуды с резко утолщёнными гиалинизированными стенками [28] .
Клиническая картина

Верхняя схема — расположение черепных нервов (обозначены слева) по отношению к отверстиям (обозначены справа), через которые они выходят из полости черепа. Нижняя схема — расположение тех же нервов, смещённых невриномой правого слухового нерва
1. Верхняя глазничная щель
2. Круглое отверстие
3. Овальное отверстие
4. Внутренний слуховой проход
5. Рваное отверстие
6. Канал подъязычного нерва
В типичных случаях первым симптомом невриномы является нарушение слуха или, реже, головокружение. Снижение слуха может быть единственным симптомом заболевания, особенно на начальных этапах. В первое время эти нарушения обычно проявляются признаками раздражения слуха на стороне опухоли: больные слышат различные шумы и звуки. Появление шумов обычно предшествует появлению других симптомов. Ощущение шума может прекращаться. Больные иногда долго не замечают ослабления слуха, особенно при отсутствии шума в ушах [3] [4] [5] .
Головокружения у больных с невриномами слуховых нервов развиваются и нарастают постепенно. В ряде случаев они носят характер вестибулярных кризов, сопровождающихся тошнотой и рвотой. При объективном обследовании обнаруживают горизонтальный нистагм, более выраженный при взгляде в сторону опухоли. Кохлеарная (несущая слуховые импульсы) и вестибулярная части слухового нерва обычно поражаются одновременно. В некоторых случаях отмечается поражение лишь одной из частей нерва [3] [4] .
Следующим по времени возникновения симптомом являются парестезии и боли в половине лица на стороне опухоли. Боли обычно носят ноющий, тупой характер; в первый период болезни они могут временами усиливаться и затихать. Они являются результатом сдавления невриномой тройничного нерва, проходящего рядом со слуховым. Реже боли носят пароксизмальный характер и в первое время могут ошибочно приниматься за невралгию тройничного нерва или связываться с заболеваниями зубов. По мере того, как нарастает сдавление нерва растущим новообразованием, тригеминальные боли приобретают постоянный характер. Одновременно могут появиться боли в соответствующей половине затылка. Несмотря на сдавление опухолью тройничного нерва, упорные тригеминальные боли наблюдаются редко [3] [4] [5] .
С поражением тройничного нерва также связывают угнетение роговичного рефлекса, слабость и атрофию жевательных мышц. Одновременно либо несколько позже появляются периферический парез лицевого и отводящего нервов на стороне опухоли. Раннее появление периферического пареза лицевого нерва наблюдается при невриномах, располагающихся во внутреннем слуховом проходе. Растущая опухоль встречает сопротивление костей слухового канала, что приводит к усиленному давлению на лицевой нерв. Клинически это сопровождается появлением пареза, потерей вкуса на передних двух третях языка и расстройствами слюноотделения [3] [4] .
Диплопия (двоение в глазах) за счёт поражения отводящего нерва первое время носит преходящий характер и только в дальнейшем становится стойкой [3] .
Дальнейшее развёртывание клинической картины зависит от того, в каком направлении растёт опухоль [3] .
При росте опухоли вверх и кзади возникают симптомы поражения мозжечка. При росте вниз и кзади присоединяются симптомы поражения языкоглоточного и блуждающего нервов (расстройства фонации, глотания, угнетение глоточного рефлекса, а также чувствительности на задней трети языка). В запущенных случаях могут появляться дизартрия, дисфагия, атрофия мышц соответствующей половины языка, парез добавочного нерва [3] .
Несмотря на сдавление прилежащих отделов мозгового ствола и оттеснение его в противоположную сторону, проводниковые двигательные и чувствительные нарушения выражены слабо. Поражение пирамидной системы выражается в повышении рефлексов, появлении патологических стопных рефлексов на противоположной стороне. Выраженные парезы наблюдаются крайне редко [3] [4] .
Повышение внутричерепного давления является поздним симптомом заболевания. Как проявление внутричерепной гипертензии развивается застой сосков зрительных нервов. Вследствие давления на хиазму или зрительные тракты расширенного III желудочка возникают изменения полей зрения (битемпоральная или биназальная гемианопсия, скотомы). С появлением повышенного внутричерепного давления головная боль приобретает общий характер, сосредоточиваясь главным образом во лбу и затылке. К ней присоединяется рвота [3] [5] .
Диагностика

Особенности КТ-картины неврином слухового нерва зависят от величины опухоли. Невриномы размером менее 1 см определяются с трудом. На начальных стадиях основными методами являются отоневрологическое обследование и рентгенография височных костей по Стенверсу. На рентгенограммах признаком невриномы слухового нерва является расширение внутреннего слухового прохода. До 40 % новообразований размером 2 см в диаметре при обычной КТ без введения контрастных веществ остаются нераспознанными [30] .
Данные новообразования хорошо поглощают введенные в кровь контрастные вещества. В большинстве случаев рентгеновская плотность возрастает с 45 до 110 единиц Хаунсфилда. Невриномы, как правило, имеют округлую форму и гладкие очерченные контуры [30] .
На МРТ выявляется ровный контур опухоли и по её периферии полоска сигнала так называемой «ликворной щели», деформация мозжечка и ствола головного мозга. При распространении невриномы во внутренний слуховой проход, внекананальная её часть имеет вид «свисающей капли» [30] .
Приблизительно 2 /3 неврином выглядят гипоинтенсивными, а одна треть изоинтенсивными на Т1-взвешенных томограммах. На Т2-взвешенных томограммах невриномы характеризуются повышением сигнала, степень которого варьирует. Участки гетерогенно изменённого сигнала (вследствие образования кист) характерны для новообразований больших размеров (как правило более 3 см). Все невриномы интенсивно накапливают контрастные вещества, более чем в 70 % случаев их накопление гетерогенно [30] .
Лечение
Лечение состоит либо в хирургическом удалении новообразования, либо в его облучении. В ряде случаев требует лишь динамического наблюдения [6] . Прогноз во многом зависит от размеров опухоли [31] . При небольших размерах её облучение на радиохирургических установках приводит к прекращению роста в 95 %. При микрохирургическом удалении в преобладающем количестве случаев новообразование удаётся удалить полностью. При этом имеется высокий риск утраты слуха на одно ухо, а также повреждения лицевого нерва. Послеоперационная летальность менее 1 % [32] .
Показания к выбору метода лечения
Показания к хирургическому удалению
- Появление новых или нарастание существующих симптомов у молодых людей [6]
- Увеличение размеров опухоли на контрольных снимках [6]
- Продолженный рост после субтотального удаления у молодых пациентов [6]
- Увеличение опухоли после радиохирургии[6]
Показания для лучевой терапии или радиохирургии
- Увеличение опухолей малых или средних размеров у пожилых больных с нерезко выраженными симптомами [6]
- Продолженный рост после субтотального удаления у пожилых больных [6]
- Общесоматические заболевания, значительно увеличивающие риск операции [6]
Показания для наблюдения
- Длительный анамнез нарушений слуха [6]
- Слабо выраженные симптомы у пожилых пациентов [6]
- Случайная находка при проведении компьютерной или магнитно-резонансной томографий[6]
Хирургия
Выбор метода хирургического удаления зависит от целого ряда факторов, среди которых особо важными являются возраст больного, степень утраты слуха, размер опухоли и степень владения хирургом тем или иным оперативным доступом [33] [34] [35] [36] [37] .
В настоящее время в хирургии неврином слуховых нервов используются 3 вида доступов: доступ к средней черепной ямке, транслабиринтный и субокципитальный доступы. Каждый из доступов имеет свои преимущества и недостатки.
Радиотерапия и радиохирургия
При облучении опухоли не достигается её удаление. Однако в большинстве случаев данные методы лечения позволяют предотвратить дальнейший рост новообразования, избежать оперативного вмешательства (особо актуально у лиц с сопутствующими соматическими патологиями) [1] . При небольших размерах невриномы данные методы предпочтительнее хирургических [38] .
Прогноз
Прогноз заболевания условно благоприятный, в начальной стадии заболевания, при адекватном и своевременном лечении трудоспособность полностью восстанавливается.
Примечания
папиллома • аденома, фиброаденома, цистаденома, аденоматозный полип • неинвазивная карцинома • базалиома • плоскоклеточный рак • аденокарцинома • коллоидный рак • солидный рак • мелкоклеточный рак • фиброзный рак • медуллярный рак • саркома • карцинома
астроцитома • астробластома • гемангиобластома • олигодендроглиома • олигодендроглиобластома • пинеалома • эпендимома • эпендимобластома • опухоли сосудистого сплетения ( хориоидпапиллома • хориоидкарцинома) • ганглионеврома • ганглионейробластома • нейробластома • медуллобластома • глиобластома • менингиома • менингиальная саркома • симпатобластома • ганглионейробластома • хемодектома • невринома ( Невринома слухового нерва) • нейрофиброматоз ( Нейрофиброматоз I типа • Нейрофиброматоз II типа) • нейрогенная саркома • краниофарингиома
Морфология и патологическая анатомия вестибулярной шванномы
Морфология и патологическая анатомия вестибулярной шванномы
Вестибулярные шванномы — это доброкачественные, четко ограниченные, неинкапсулированные опухоли, которые происходят из шванновских клеток вестибулярного нерва, откуда и берет происхождение термин вестибулярная шваннома или вестибулярная неврилеммома. В течение длительного времени считалось, что волокна верхнего вестибулярного нерва являются местом возникновения опухоли приблизительно в 2/3 случаев опухолей.
Наши последние наблюдения и данные других авторов показали, что в участии возникновения первичного очага этих опухолей преобладает нижний вестибулярный нерв. Источник опухоли идентифицируется в 33-74% случаев, показывая нам, что опухоли, происходящие из нижнего вестибулярного нерва встречаются более чем в два раза чаще и составляют по некоторым данным до 94%. Реже местом происхождения шванномы является кохлеарная порция восьмого черепно-мозгового нерва или лицевого нерва.
Доказано, что вестибулярные шванномы происходят из соединительнотканной области Оберстайнера-Редлиха нерва, места где встречаются шванновские клетки и глиальные клетки. Шванновские клетки имеют тенденцию к аккумулированию в соединительнотканной области, их развитие в сторону ствола головного мозга замедляется посредством нейроглиальных клеток. Prisig et al. в своих работах по диссекциям височных костей описали, что в соединительнотканной зоне обнаруживаются гнезда шванновских клеток, похожие на «завитки», также как и эозинофильные тельца, и нервные клетки.
Они высказали предположение, что гнезда шванновских клеток могут быть предшественниками вестибулярных шванном. Эта теория была признана не всеми. Рентгеновское изображение и хирургическое изучение опухолей на начальных стадиях показали, что наиболее часто они происходят из области дна ВСК, латераль-нее соединительнотканной зоны. Примечательно, что при исследовании височных костей вестибулярные шванномы выявляются в 2,4-3,5% случаев. Такая высокая распространенность, скорее всего, отражает необъективность отбора, потому что у 0,2% населения на МРТ случайно выявляются шванномы без сопутствующих симптомов.
Скрининг пациентов с ассиметричной сенсоневральной потерей слуха и/или односторонним шумом в ухе выявил патологию у 14% пациентов, а патология, включающая слуховые симптомы, составила от 4,5 до 5,5%, опухоли ВСК диагностированы в 3,1% из 1080 симптоматических пациентов. В других работах при скрининге пациентов опухоли ВСК составляли 2,5-3,5% (2,5% из 152 пациентов).

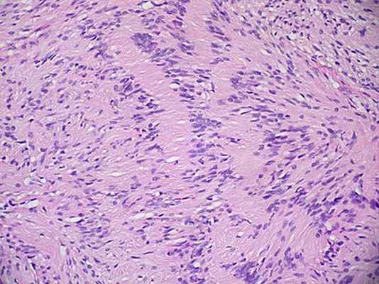
Слева (а) более клеточный тип «Antoni А» с окружающими ядро розовыми полями (тельца Верокая (Verocay)).
Справа (б) тип «Antoni В» с обедненной стромой, меньшим количеством клеток и миксоматозными изменениями.
Большинство вестибулярных шванном происходят из области ВСК, расширяя внутреннее отверстие и распространяясь на мостомозжечковый угол. Цвет и консистенция шванном зависит от размера и степени перерождения опухоли. Обычно, опухоли либо желтого, либо розовато-серого цвета, эластической консистенции. Опухоли больших размеров обычно имеют пятнистую поверхность за счет кровоизлияния и фиброзирования, также они могут иметь кистозные области, которые формируются в результате некроза и перерождения в пределах опухоли.
Однако некоторые опухоли имеют истинную кистозную природу, независимую от некроза. Истинные кистозные опухоли составляют 4% от всех вестибулярных шванном. Литературные данные о том, что прогноз функционирования лицевого нерва хуже именно при кистозных шванномах, разнятся. Наш опыт показал, что кистозные опухоли трудно поддаются как хирургическому, так и лучевому лечению, в отличие от солидных опухолей.
Микроскопическое исследование вестибулярной шванномы показывает наличие опухоли с четкими краями, неинкапсулированной, происходящей из нерва и сдавливающей его у периферии. По структуре вестибулярные шванномы подразделяются на два гистологических типа: Antoni А и Antoni В. Новообразования Antoni А уплотненные с удлиненными веретенообразными клетками, окруженные ядрами, выстроенными в ряд (тельца Верокая (Verocay)). Гистология типа Antoni В менее компактна, с меньшим количеством клеток, губчатой и пористой структурой. Большинство вестибулярных шванном состоят из типа А в сочетании с типом В, их пропорции могут варьировать.
Кровеносные сосуды отчетливо выражены, типичны утолщенные и гиалинизированные стенки сосудов. По мере роста опухоли становятся также видны миксоидные области, гистиоцитарная инфильтрация, а также участки некроза и фиброза.
Первоначально медленный рост опухоли, заполняющей ВСК, течет без клинических проявлений. Со временем опухоль начинает оказывать давление на улитковый, преддверный и лицевой нервы, а также на лабиринтные сосуды. При прогрессирующем давлении на вестибулярный нерв клинические проявления опухоли манифестируют шумом в ушах и невральной потерей слуха. Причиной внезапно развившейся сенсоневральной потери слуха могут быть острая компрессия лабиринтного сосуда или его спазм. Нарушение функций вестибулярного нерва в связи с медленно растущей опухолью и вестибулярная симптоматика часто бывают замаскированы компенсаторной способностью контралатеральной стороны.
По мере роста опухоли ВСК постепенно растягивается. Лицевой нерв (двигательный) наиболее стоек к компрессии опухоли, и поэтому нарушения со стороны лицевого нерва будут проявляться только при больших размерах опухоли, либо маленьких опухолях, но происходящих из самого лицевого нерва. В некоторых случаях лицевой нерв бывает даже натянут на поверхности опухоли в виде паутинки, но при этом его функции не нарушены.
По мере вторжения в мостомозжечковый угол опухоль может принимать грушевидную форму. Продолжающийся рост опухоли приводит к сдавлению пятого черепно-мозгового нерва, что проявляется отсутствием чувствительности на пораженной стороне (к примеру, отсутствие роговичного рефлекса). Большие опухоли могут также сдавливать и нижележащие черепно-мозговые нервы, что будет проявляться нейропатией девятого, десятого, одиннадцатого и даже двенадцатого нерва. В том случае, если опухоль не будет обнаружена и удалена, могут наблюдаться явления гидроцефалии, нарушения зрения, и смерти от вклинения миндалин мозжечка.
Редактор: Искандер Милевски. Дата обновления публикации: 18.3.2021
Морфология и патологическая анатомия вестибулярной шванномы
Телефон регистратуры поликлиники:
Телефон регистратуры лучевой диагностики:
Гамма-нож
![]() |
Вестибулярная шваннома (невринома VIII нерва, акустическая невринома) представляет собой доброкачественное новообразование, возникающее из шванновских клеток вестибулярной порции VIII нерва.
Заболеваемость невриномами слухового нерва составляет примерно 1 случай на 100000 населения в год. Каждый год в Российской Федерации появляется 1500 новых случаев неврином слухового нерва. Среди первичных интракраниальных опухолей вестибулярные шванномы вестибулярные шванномы занимают 4-е место (после глиом, менингиом и аденом гипофиза), составляя до 6-10% всех верифицированных опухолей мозга и поражая преимущественно лиц работоспособного возраста (30-60 лет), на который приходится более 80% случаев. Вестибулярные шванномы составляют около 30% опухолей задней черепной ямки и до 90% новообразований мосто-мозжечкового угла. Несколько чаще встречаются у женщин, чем у мужчин, примерное соотношение 3:2.
Клиническая картина зависит от размеров опухоли. При небольших размерах симптоматики может не быть вовсе. По мере увеличения опухоли в размерах появляется симптоматика, зависящая от того, какие структуры сдавливает опухоль:
- Поражения нервов.
- Нарушение слуховой и вестибулярной функции.
- Расстройства функции вкуса на передней 2/3 языка и слюноотделения (XIII нерв).
- Расстройства функций каудальной группы нервов.
- Расстройства функции мимической мускулатуры.
- Глазодвигательные нарушения.
- Симптомы раздражении/компрессии ствола головного мозга.
- Различные виды нистагма.
- Пирамидная симптоматика.
- Мозжечковая симптоматика.
- Гипертензионно-дислокационный синдром.
Диагностика
Наиболее информативным методом выявления вестибулярных шванном является МРТ головного мозга с контрастным усилением в режиме Т1 и Т2. Это исследование позволяет определить размеры опухоли, наличие перитуморозного отека, наличие признаков окклюзионной гидроцефалии, которая может быть следствием сдавления опухолью IV желудочка. Кроме этого МРТ позволяет провести дифференциальную диагностику с другими опухолями схожей локализации (чаще с менингиомой задней грани пирамиды височной кости). Еще одним стандартом диагностики является КТ в костном режиме. Независимо от снижения слуха стандартом является проведение аппаратной аудиографии.
Классификация KOOS
I стадия: опухоль находится в пределах внутреннего слухового прохода, диаметр экстраканальной части составляет 1-10 мм.
II стадия: опухоль вызывает расширение канала внутреннего слухового прохода, и выходит в мостомозжечковый угол, ее диаметр составляет, 11-20 мм.
III стадия: опухоль распространяется до ствола головного мозга без его компрессии, диаметр составляет 21 - 30 мм.
IV стадия: опухоль вызывает компрессию ствола головного мозга, ее диаметр более 30 мм.
Классификация M. Samii
Т1 – интрамеатальная опухоль.
Т2 – интра-экстрамеатальная опухоль.
Т3а – опухоль заполняет мостомозжечковую цистерну.
Т3b – опухоль распространяется до ствола головного мозга.
Т4а – опухоль вызывает компрессию ствола.
Т4b – опухоль грубо деформирует ствол мозга и IV желудочек.
Тактика лечения
В зависимости от размеров опухоли, клинической симптоматики, возраста больного, тяжести его состояния, наличия сопутствующей патологии возможны 3 варианта тактики лечения:
- динамическое наблюдение;
- хирургическое лечение;
- стереотаксическая радиохирургия.
Динамическое наблюдение
Учитывая, что вестибулярная шваннома является доброкачественной опухолью с невысокими темпами роста, при небольших ее размерах, отсутствии или минимальном неврологическом дефиците возможен выбор выжидательной тактики. Особенно такой подход оправдан у пожилых людей, или у пациентов с выраженной декомпенсированной соматической патологией. Однако, в большинстве случаев, учитывая риски, связанные с возможным ростом опухоли, более оправданным считается выбор активной тактики.
Хирургическое лечение
Наличие у пациента вестибулярной шванномы является показанием к хирургическому лечению. Большие и гигантские размеры опухоли (более 3,5 см.) являются абсолютным показанием к хирургическому лечению. При меньших размерах возможно проведение радиохирургического лечения.
Для удаления вестибулярных шванном в настоящее время используются три основных доступа: транслабиринтный, ретросигмовидный (наиболее часто используемый) и доступ через среднюю черепную ямку. Каждый из них обладает своими преимуществами и своими же недостатками. В последние годы в связи с развитием микрохирургической техники результаты хирургического лечения пациентов значительно улучшились. Летальность после удаления вестибулярных шванном колеблется в пределах (0-3%), рецидивы опухоли наблюдаются в 5-10%.
В настоящее время превалирующим фактором результативности хирургического лечения считается качество жизни пациента, поэтому интраоперационная тактика в большей степени должна быть нацелена на достижение именно этой цели. Такие послеоперационные осложнения как паралич лицевого нерва (до 25%), нарушения глотания, глазодвигательные нарушения, несут существенную угрозу инвалидизации, поэтому проведение таких операций диктуют высокие требования к профессиональной подготовке оперирующего нейрохирурга. Из послеоперационных осложнений также следует отметить ликворею у 2-20% пациентов, которая иногда может потребовать проведение повторной операции для закрытия ликворного свища; кровоизлияние в ложе операции (1-2%); отек мозжечка и ствола мозга; гемипарез; менингит (1,2%); раневую инфекцию (1,2%); парез VI черепного нерва (1-2%) и парезы других, ниже расположенных черепных нервов; подкожную гематому (3%).
Стереотаксическая радиохирургия
Целью радиохирургического метода является контроль роста опухоли. Стабилизация процесса и даже уменьшение размеров наблюдается в 85-94% случаев, что соответствует мировым данным. Другим критерием эффективности лучевой терапии является высокий (до 98%) показатель отсутствия операции после проведения облучения. Важным также является сохранение функции улиткового и других черепных нервов в случаях, когда это возможно, а также улучшение неврологического статуса пациента. Эффективность применения Гамма-ножа при лечении больных с вестибулярными шванномами создало реальную альтернативу хирургическому лечению при опухолях, размеры которых не превышают 3,5 см, при этом метод радиохирургии лишен недостатков хирургического метода лечения.
После облучения опухоли гамма-ножом возможно как уменьшение ее размеров, так и временное их увеличение. Третьим возможным вариантом развития событий может быть продолженный рост опухоли, однако, это происходит нечасто (от 0 до 7% в течение 10 лет).
Версия для слабовидящих Карта сайта
Вестибулярная шваннома
(Акустическая неврома; акустическая невринома; опухоль VIII нерва)
, MD, Columbia University Medical Center and New York Presbyterian Hospital
Вестибулярные шванномы происходят из вестибулярной порции VIII пары черепных нервов и на ее долю приходится около 7% всех внутричерепных опухолей. Акустическая невринома происходит из вестибулярной порции 8 пары черепных нервов и по мере роста сдавливает 7 и 8 пары черепных нервов в области мостомозжечкового угла. По мере роста происходит сдавление мозжечка, спинного мозга, близлежащих черепных нервов (5, 9 и 12 пары).
Двусторонняя вестибулярная шваннома характерна для нейрофиброматоза Нейрофиброматоз Нейрофиброматоз - это группа заболеваний, которые имеют однотипные клинические проявления, но, как предполагают в настоящее время, вызваны различными генетическими причинами. Это заболевание. Прочитайте дополнительные сведенияСимптомы и признаки невриномы слухового нерва
Основным симптомом вестибулярной шванномы является медленно прогрессирующая односторонняя нейросенсорная тугоухость ПатофизиологияДиагностика невриномы слухового нерва
При асимметричной тугоухости МРТ с контрастированием гадолинием
Наиболее часто аудиограмма Обследование Во всем мире около полумиллиарда человек (почти 8% мирового населения) страдают от потери слуха ( 1). У более 10% жителей США отмечается тугоухость определенной степени, которая создает им проблемы. Прочитайте дополнительные сведенияДругие данные включают в себя наличие затухания акустического рефлекса при тимпанометрии. Тестирование ответа ствола мозга на слуховые раздражители позволяет выявить отсутствие сигнала и/или увеличение задержки 5-й волны. Хотя при стандартном обследовании по поводу асимметричной нейросенсорной тугоухости калорическую пробу обычно проводить не требуется, ее результаты показывают выраженную вестибулярную гипоактивность (парез канала) на пораженной стороне.
Лечение невриномы слухового нерва
В отобранных случаях хирургическое удаление или стереотаксическая лучевая терапия
Мелкие бессимптомные (т.е. обнаруженные случайно) и не растущие вестибулярные шванномы лечения не требуют; за такими опухолями можно проводить динамическое наблюдение с помощью МРТ и лечить в случае, если они начинают расти или вызывают симптомы. Выбор между стереотаксической лучевой терапией (например, гамма-нож или кибернож радиотерапия) и консервативной микрохирургией зависит от многих факторов, включая степень снижения слуха, размер опухоли, возраст и общее состояние больного. Стереотаксическую лучевую терапию применяют у более молодых пациентов, при небольших размерах опухоли либо при наличии противопоказаний к операционному вмешательству. Микрохирургия может проводиться через подход, сохраняющий слух (подход через среднюю черепную ямку или ретросигмоидальный подход) или, если слух полностью утерян, то используют транслабиринтный микрохирургический подход.
Основные положения
Обычно, вестибулярная шваннома односторонняя, однако при фиброматозе 2 типа может быть билатеральной.
Часто развивается односторонняя тугоухость, иногда с шумом в ушах и головокружением.
При больших размерах опухоли или тяжелом течении заболевания используют стереотаксическую радиохирургию или микрохирургию.
На серийных МРТ-снимках могут выявляться небольшие асимптоматические или нерастущие опухоли.
Авторское право © 2022 Merck & Co., Inc., Rahway, NJ, США и ее аффилированные лица. Все права сохранены.
Невринома VIII пары черепно-мозговых нервов
1. Невринома VIII пары черепно-мозговых нервов
ФГАОУ ВО Первый МГМУ им. И.М.
Сеченова Минздрава России.
Кафедра болезней уха, горла и носа
(зав. кафедрой – проф., д.м.н.
Свистушкин В.М.)
Невринома VIII пары
черепно-мозговых
нервов
Выполнила: студентка 5 курса,
8 группы, ИКМ
Ярметова Лейла Халиддиновна
2. Определение
Вестибулярная шваннома (акустическая неврома,
невринома, неврилеммома) — это доброкачественная,
четко ограниченная, неинкапсулированная опухоль,
которая происходит из шванновских клеток
вестибулярного нерва.
МКБ/О 9560/0 (G I)
4. Эпидемиология
8% всех внутричерепных образований, до 30% опухолей задней
черепной ямки и 85% опухолей мосто-мозжечкового угла.
Заболеваемость невриномами слухового нерва составляет
примерно 1 случай на 100000 населения в год, т.е. каждый год в
Российской Федерации появляется 1500 новых случаев неврином
слухового нерва.
Более часто невриномы встречаются у женщин, чем у мужчин,
примерное соотношение 3:2.
Истинные невриномы слухового нерва развиваются наиболее
часто на 4-5 десятилетии жизни, двусторонние невриномы,
обусловленные НФ-2, проявляются значительно раньше, во 2-3
десятилетии жизни.
5. Патологическая анатомия
6. Патологическая анатомия
7. Молекулярная биология
Ген, отвечающий за
нейрофиброматоз 2 типа,
расположен на хромосоме 22q12.
Он кодирует цитоскелетный
протеин, названный шванномин
(или мерлин).
Функции мерлина: моделирование
подвижности, пролиферации и
адгезии клеток.
8. Клиническая картина
I. Признаки поражения черепно-мозговых нервов:
снижение слуховой функции (95% наблюдений)
- постепенное снижение слуха – 80-90%
- резкое снижение слуха – 10-20%
головокружения (61% наблюдений);
звон в ушах (60% наблюдений);
cимптомы поражения тройничного нерва (16%
наблюдений);
- гипестезия лица – 58 – 72%
- снижение роговичного рефлекса – 85 – 91%
нарушение функции лицевого нерва (2,5 – 15%
наблюдений);
нарушение функции каудальных нервов (4-5%
наблюдений);
9. Клиническая картина
II. Стволовые симптомы поражения
выпадение оптонистагма (30-80% наблюдений)
спонтанный горизонтальный нистагм (9-38%
наблюдений);
пирамидные симптомы (3 – 12% наблюдений).
III. Мозжечковые нарушения (8 – 62% наблюдений).
IV. Гипертензионно-гидроцефальный синдром (30 –
60% наблюдений)
10. Диагностика
a. Тщательный сбор анамнеза заболевания,
b. Объективное обследование,
c. Стандартные аудиометрические исследования
d. Компьютерная томография в костном режиме и
магнитно-резонансная томография с контрастным
усилением в режимах Т1 и Т2
+ специальные аудиометрические и вестибулярные
исследования
11. Сбор анамнеза
Классические жалобы пациента:
• односторонний шум в ухе, за которым следует медленно
прогрессирующая сенсоневральная потеря слуха либо внезапная
потеря слуха;
• истинное головокружение;
• умеренное нарушение равновесия;
• заложенность уха;
• при наличии опухоли больших размеров: уменьшение лицевой,
корнеальной или слуховой чувствительности, головная боль,
тремор, атаксия, нарушение походки, потеря зрения, дисфагия,
аспирация, осиплость, слабость плечевого пояса и слабость языка.
При оценке семейного анамнеза необходимо акцентировать внимание
на НФ2.
12. Объективное обследование
Нистагм;
Расстройства координации движений;
Нарушение устойчивости;
Дисфункция VIII пары ч.-м. нервов (шум в ухе, потеря
или снижение слуха, вестибулярная симптоматика);
• Дисфункция VII пары ч.-м. нервов
(снижение/отсутствие вкусовой чувствительности на
предней части языка, сухость глаза или слезотечение,
парез мимической мускулатуры)
• Дисфункция V пары ч.-м. нервов
(снижение/отсутствие роговичного рефлекса,
ипсилатеральная лицевая гипестезия)
13. Аудиометрия
14. Аудиометрия
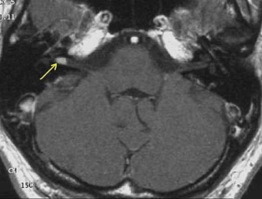
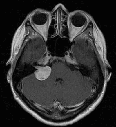
15. МРТ
16. МРТ
17. МРТ
Двусторонние, асимметричного размера (S>D) акустические
шванномы, ассоциированные с нейрофиброматозом II типа.
На рис.818 визуализируются менингиомы, также
ассоциированные с НФ II.
18. КТ
Изоденсное образование в области левого мостомозжечкового угла,
растущее во внутренний слуховой канал и приводящее к расширению
его диаметра.
19. Дифференциальная диагностика
1.Менингиомы
2.Первичные холестеатомы
3.Арахноидальные кисты
4.Шванномы из улитковой части восьмого
нерва и из седьмого нерва
5.Липомы внутреннего слухового канала
(ВСК)
6.Гемангиомы
7.Сдавление сосудистой петлей
20. Лечение вестибулярных шванном
21. Наблюдение
Три фактора учитывается при принятии решения о наблюдении за
больным.
1. ФАКТОР ПАЦИЕНТА: его возраст, неврологический и
соматический статус, мотивация (боязнь операции или облучения),
ожидаемый результат.
2. ФАКТОР ОПУХОЛИ: её размер, морфология, биология,
склонность к быстрой прогрессии, наличие гидроцефалии, наличие
других опухолей головного и спинного мозга
3. ФАКТОР ВРАЧА: предпочтения врача относительно
существующих методов лечения (хирургического
илирадиохирургического), доступность хирургического метода
лечения.
22. Стереотаксическая лучевая терапия
Преимущества
стереотаксической
лучевой терапии
• сокращение сроков
госпитализации,
• быстрое восстановление
трудоспособности,
• может быть применена у
пожилых или соматически
ослабленных пациентов с
подтвержденным ростом
опухоли
Недостатки
стереотаксической
лучевой терапии
• длительного контроля (МРТ) и
высокой стоимостью
длительного наблюдения,
• потенциальная опасность
внезапной потери слуха,
• риск появления отсроченных
невропатий чаще всего лицевого
и тройничного нерва
23. Хирургическое лечение
Хирургические доступы:
o через среднюю черепную ямку,
o транслабиринтный,
o субокципитальный (ретросигмовидный)
o комбинированный
24. Доступ через среднюю черепную ямку
Показания:
• Слух сохранен
• Размер опухоли не
более 1-1,5 см
• Расположение опухоли
преимущественно
интраканаликулярное
25. Транслабиринтный доступ
Показания:
• отсутствие слуха,
• опухоль любых размеров.
Преимущества:
o позволяет широко выделить лицевой
нерв,
o возможность визуализации
прилежащих черепно-мозговых
нервов,
o возможность избежать ретракции
мозжечковой или височной долей.
Недостатки:
o более высокая частота
послеоперационной ликвореи,
o может потребовать больше врмени
по сравнению с другими
доступами.
26. Субокципитальный доступ (ретросигмоидный)
Преимущества:
• возможность сохранить слух
• можно удалить опухоль любых
размеров
• лучше доступ к мосто-мозжечковому
углу
Недостатки:
• необходима мозжечковая ретракция
• Лицевой нерв обычно расположен в
слепой зоне (на передней поверхности
опухоли) и достичь его удается позже
• Риск воздушной эмболии
27. Осложнения хирургического метода лечения
1) Послеоперационная ликворрея – до 10% наблюдений;
2) Менингит – до 3% наблюдений;
3) Послеоперационные кровоизлияния (гематомы) - до 2%
случаев;
4) Инфаркты ствола мозга и мозжечка отмечаются у 1-3%
больных;
5) Послеоперационные головные боли - у 5% больных.
Уровень летальности при хирургическом удалении вестибулярных
шванном менее 1% ( по Glasscock)
Читайте также:

