МРТ фибролипомы терминальной нити
Добавил пользователь Алексей Ф. Обновлено: 26.10.2025
МРТ поясничного отдела позвоночника. Т2-взвешенная сагиттальная МРТ. Spina bifida и менингоцеле. Цветовая обработка изображения.
Синдром фиксированного спинного мозга (tethered cord syndrome) – объединяет группу неоднородных по происхождению, но близкий по патогенезу заболеваний, в основе которых лежит прогрессирующая диспропорция остео-неврального развития спинного мозга и позвоночного столба. Клинические проявления патологии обусловлены нарушением функции каудальных отделов спинного мозга и корешков конского хвоста и характеризуется мозаичным сочетанием двигательных, чувствительных, трофических и тазовых расстройств, костно-суставными деформациями нижних конечностей и различными дисфункциями внутренних органов.
Эмбриональная составляющая патогенеза связана с нарушением физиологических механизмов соразмерного развития позвоночника и спинного мозга. Известно, что у плода на третьем месяце внутриутробного развития спинной мозг занимает всю длину позвоночного канала. В последующие месяцы позвоночник растет быстрее, чем спинной мозг, в результате чего у новорожденного спинной мозг, заканчивается на уровне третьего поясничного позвонка, а к возрасту 12–18 месяцев, достигает нижнего края LI или верхнего края LII позвонка. В случаях расположения конуса спинного мозга ниже этого уровня и соответствующих клинико-неврологических симптомах патология расценивается как синдром фиксированного спинного мозга.
Причины заболевания многофакторные и включают как утолщение и постнатальное склерозирование терминальной нити, так и интрадуральные образования, определяемые при МРТ позвоночника (опухоли, липомы, myelomeningocele, lipomyelomeningocele, рубцовые ткани), которые фиксируют спинной мозг к его оболочкам или окружающим тканям, что в конечном итоге обуславливает ограничение подвижности, напряжение, и как следствие, повреждение нейронов и проводников спинного мозга.
Наиболее часто фиксация спинного мозга выявляется при МРТ в поясничном отделе, что обусловлено эмбриологией и анатомическими особенности его строения однако, не исключает наличия таковой и на любом другом уровне в позвоночном канале. И все же необходимо подчеркнуть, что термин «фиксированный спинной мозг» указывает на эмбрионально детерминированную патологию, однако симптомы и признаки заболевания нередко проявляются отсрочено.
Неврологические проявления заболевания характеризуются развитием периферических или смешанных параличей или парезов обеих стоп, отсутствием ахилловых рефлексов, нарушением чувствительности по задней поверхности бедер, голеней, наружной поверхности стоп. Таким образом, можно заключить, что описанный Минором синдром, характеризует один из вариантов симптоматики каудальной фиксации спинного мозга. Течение болезни вариабельно и подразделяется на прогредиентное, ремитирующее или стабильное. Прогредиентное течение заболевания имеет место у 70–75 % пациентов и характеризуется долговременным нарастанием неврологической симптоматики. Для клинической картины характерно наличие постоянных тупых или тянущих болей, локализованных в поясничной области и нижних конечностях, которые, как правило, интерпретируются как миофасциальные симптомы, либо расцениваются как проявления ювенильной спондилопатии. Однако детский возраст пациента, связь болевого синдрома со сгибанием в поясничном отделе и усилением во время гиперфлексии в шейном отделе в сочетании с прогрессирующей слабостью в ногах, асимметричной мышечной дистонией, сегментарными диссоциированными или корешковыми нарушениями чувствительности, дисфункцией сфинктеров прямой кишки и мочевого пузыря склоняют диагноз в пользу патологии конуса-эпиконуса и конечной нити.
Недержание мочи одно из основных проявлений нейрогенной дисфунциии мочевого пузыря, по поводу чего пациенты обращаются к врачу, более того до 15% детей и подростков в разное время получают лечение по поводу недержания мочи и крайне редко у них подозревается и выявляется взаимосвязь с патологией каудальных отделов спинного мозга. При повреждении конуса-эпиконуса спинного мозга и корешков конского хвоста нарушение функции мочевого пузыря может проявляться или вялым (гипотоничным), то есть невозможностью сокращаться должным образом и не опорожняться полностью, или, наоборот, спастичным (избыточно активным к сокращениям), когда утрачивается тормозящее влияние коры головного мозга. Гиперрефлекторный мочевой пузырь заполняется и опорожняется самопроизвольно (рефлекторно), при этом позывы к мочеиспусканию могут иметь различную выраженность, а иногда и полностью отсутствовать. Разнообразные костно-суставные деформации и мышечные атрофии нижних конечностей, сколиоз, косолапость, врожденный вывих бедер в сочетании с нарушениями ходьбы, встречаются более чем у 75% пациентов с фиксированным спинным мозгом. Развитие сколиоза, как и гиперлордоза является результатом нарушения иннервации аксиальной мускулатуры позвоночного столба, вследствие интрамедуллярной напряженности поясничных и грудных сегментов спинного мозга. Прогрессирующие деформации нижних конечностей и косолапость также связаны и с диссинергизмом и слабостью мышечных групп голени и стопы, в результате интрамедуллярного повреждения каудальных отделов невральной трубки, как и разрушением механизма разнонаправленного действия мышц антогонистов нижних конечностях.
Костные аномалии позвоночного столба, встречающиеся у большинства пациентов с синдромом фиксированного спинного мозга, и включают различные варианты расщепленного позвонка, количественные и качественные дефекты дуг и тел, сакральную агенезию, и в редких случаях синдром каудальной регрессии. Главным методом диагностики фиксированного конского хвоста является МРТ поясничного отдела позвоночника, оно позволяет выявить все варианты аномалий развития позвоночника, включая липомиелоцеле и фибролипому. При МРТ в СПб в наших клиниках при наличии аномалий мы рекомендуем комплексное МРТ исследование головного мозга, МРТ позвоночника и спинного мозга. Опыт показывает, что МРТ СПб при аномалиях развития лучше делать в центрах с большим подобным опытом, как у нас.
Диагностика опухолей и аномалий развития спинного мозга
Метод выбора при диагностике опухолей, повреждений и аномалий развития спинного мозга – МРТ. Спинной мозг начинается на уровне первого шейного позвонка (непосредственное начало – место отхождения первых корешков), заканчивается на уровне первого-второго поясничного позвонка (в среднем, у взрослых). Серое вещество в спинном мозге находится внутри, белое – снаружи. По мере роста корешки поясничного отдела приобретают косое вертикальное положение, формируя т. н. «конский хвост», так как рост позвоночника происходит быстрее, чем рост спинного мозга. Кровоснабжение спинного мозга следующее: верхние шейные сегменты кровоснабжают позвоночные артерии, грудные сегменты – межреберные артерии. Ток крови по межреберным артериям осуществляется следующим образом: передняя и задняя корешковые артерии – непарная передняя спинальная артерия, парные задние спинальные артерии, коллатеральные артерии (в основном между задними спинальными артериями). Венозный дренаж от спинного мозга осуществляется в вены, расположенные в эпидуральной клетчатке. Сужение межпозвонковых каналов может приводить к сдавлению данных вен и нарушению оттока крови. Выделяют следующие оболочки спинного мозга: эпидуральное пространство, содержащее клетчатку, вены внутреннего венозного кольца; твердая мозговая оболочка; паутинная оболочка (внутренний листок которой формирует дуральный мешок на уровне C1-S1); субарахноидальное пространство; мягкая оболочка мозга (сосудистая). Дуральный мешок формирует два латеральных канала, которые распространяются также в межпозвонковые каналы. Паутинная оболочка не крепится к ТМО, скользит по ней. Имеет место также лептоменингиальное пространство – это суммарное понятие, включающее в себя паутинную оболочку и субарахноидальное пространство.
Локализация опухолей спинного мозга
По месту расположения опухоли спинного мозга могут быть - Интрамедуллярные (расположенные внутри вещества спинного мозга); - Экстрамедуллярные интрадуральные (расположенные вне спинного мозга, но внутри дурального мешка); - Экстра-интрадуральные (по типу «песочных часов», часть образования при этом находится внутри дурального мешка, часть распространяется экстрадурально); - Экстрадуральные. Признаки интрамедуллярных опухолей на МРТ/КТ: утолщение спинного мозга, усиление интенсивности сигнала после внутривенного введения препаратов гадолиния (при МРТ), наличие кист (опухолевые кисты, располагающиеся непосредственно в опухолевой ткани, содержат ликвор, кровь, богатую белком жидкость; полюсные кисты, возникающие в результате расширения спинномозгового канала). Опухоли спинного мозга, которые встречаются наиболее часто, это астроцитома, гемангиобластома, эпендимома (до 60% от всех опухолей; имеют капсулу, растут экспансивно, сдавливая и раздвигая окружающие ткани); более редко встречающиеся – субэпендимома, параганглиома, лимфома, нейроцитома, метастазы.
Аномалии развития спинного мозга
В развитии спинного мозга у человека выделяют следующие этапы: нейруляция, канализация и прогрессивная дифференциация. Шейный, грудной и проксимальный поясничный отделы формируются при изгибе внутрь нейронального зачатка хорды с последующим формированием нервной трубки. На 15 день клетки эктодермы пролиферируют и формируют нервную пластинку. После нейруляции на 26-27 день дистальные отделы спинного мозга уже сформированы. При аномалиях нейруляции возможно формирование спинальных лимфом; миеломенингоцеле; дорсального дермального синуса (ход, выстланный эпителием, находящийся между кожей и нервной трубкой). При формировании позвоночника в случае незакрытия нервной трубки происходит образование spina bifida (на мезенхимальной стадии); в хрящевой стадии – формирование полупозвонков, в костной стадии – костных блоков. Классификация пороков развития спинного мозга следующая: выделяют spina bifida aperta (не покрытые кожей), например, миеломенингоцеле; spina bifida cystica (покрытые кожей), например, липомиелоцеле, миелоцистоцеле, менингоцеле (заднее); spina bifida occulta (сочетанные пороки развития позвонков и нервной ткани), например, дорсальный дермальный синус, фиксированная терминальная нить, синдром каудальной регрессии. Врожденные дистальные аномалии спинного мозга: синдром фиксированной терминальной нити, липома терминальной нити, крестцово-копчиковые тератомы, терминальный желудочек (спинальные дизрафизмы). Любой спинальный дизрафизм – дефект развития нервной трубки.
Методы диагностики аномалий развития спинного мозга
Методы исследования при пороках спинного мозга это: УЗИ, традиционная рентгенография позвоночника, компьютерная томография (преимущественно для костных аномалий), МРТ, КТ-миелография. Варианты развития спинного мозга: транзиторное расширение центрального канала; терминальный желудочек (кистозная структура овальной формы между верхушкой conus medullaris и filum terminale). Закрытый спинальный дизрафизм (с выбуханием и без выбухания). Миелоцеле: срединная нервная пластинка смещается и находится на одном уровне с тонким эпидермисом. Миеломенингоцеле. Большинстов пороков сочетаются с синдромом Арнольда-Киари. Сочетается чаще всего с миелоцеле и миеломенингоцеле (1:1000 новорожденных). Спинальные липомы: фиброзно-жировые образования позвоночного канала, фиксированные к терминальным отделам спинного мозга. Менингоцеле: протрузия ТМО и арахноидальной оболочки, покрытая интактной или дистрофически измененной кожей. Закрытый спинальный дизрафизм без выпячивания: простые формы – фибролипома концевой нити, утолщенная концевая нить, интрадуральная липома, дермальный синус. Имеют маркеры на коже: волосяное пятно, гемангиома, киста. Интрадуральная липома: 1% опухолей позвоночного канала, преимущественно торакальная и цервикальная локализация. Дорсальный дермальный синус – линейный ход, покрытый эпителием, идущий от кожи до спинного мозга. Встречается в пояснично-крестцовом отделе, имеет маркер на коже. Может сочетаться с дермоидом и эпидермоидом; спинной мозг смещается или сдавливается. Каудальные аномалии: если медуллярный конус на уровне L2-L3 или ниже, необходимо подозревать фиксированный спинной мозг, утолщенную терминальную нить (в норме не более 2 мм в диаметре). Диастоматомиелия может быть двух типов – стволы спинного мозга имеют общий дуральный мешок или отдельные. Синдром каудальной регрессии: сакральная и люмбосакральная агенезия, в сочетании с урогенитальными пороками (агенезия, удвоение), с пороками развития конечностей. Скошенность дистальных отделов эпиконуса на фоне его высокого расположения.
Другие статьи из раздела «КТ позвоночника»
Онлайн-консультация, Расшифровка снимков, Второе мнение - информационные, а не медицинские услуги.
Для постановки диагноза и назначения плана лечения следует записаться на очный прием к специалисту
Синдром фиксированного спинного мозга

Синдром фиксированного спинного мозга характеризуется прогрессирующей неврологической, урологической, ортопедической дисфункцией, обусловленной натяжением спинного мозга, вследствие фиксации оккультными формами спинального дизрафизма и вторично развившейся фиксации, у ранее оперированных детей (открытые пороки развития - миеломенингоцеле, менингорадикулоцеле, липомиеломенингоцеле и.т.д), с аномально низким расположением конуса спинного мозга ниже L1 – L2 позвонка и подтверждённое данными МРТ сканирования. Синдром фиксированного спинного мозга является функциональным заболеванием индуцированное фиксацией и натяжением каудальных отделов спинного мозга неэластическими структурами, приводящими к компрессии, ишемии и как следствие к нейрональной дисфункции.
Различают три патофизиологические группы:
- с истинным синдромом фиксированного спинного мозга, при котором неврологическая симптоматика коррелировала с тракцией спинного мозга и соответствовала нижележащим сегментам от последней пары зубовидных связок на уровне Th12 – L1. В данной категории дизрафизмы представлены в виде утолщённой конечной нити, каудальной и небольшой переходной липомам, сакральной менингоцеле.
- синдром фиксированного спинного мозга у пациентов с аномально низким расположением конуса (в промежутке L1 – S1). Спинальные дизрафизмы данной категории составили протяжённые дорзальные и переходные липомы, миеломенингоцеле
- Группа пациентов с синдромом фиксированного спинного мозга без признаков и симптомов натяжения, при низком расположении и фиксации конуса. Среди данной категории, часть пациентов страдают параплегией и тотальным недержанием с явной фиксацией в рубцовой ткани на грудном и поясничном уровнях, часть с липоматозным перерождением спинного мозга и очевидным отсутствием функциональной нервной ткани.
Клиническая картина
Синдром фиксированного спинного мозга лежит в основе симптоматики большинства скрытых и открытых пороков развития спинного мозга. В большинстве случаев проявление синдрома фиксированного спинного мозга возникает в периоды роста ребенка: 1-й от 0 до 3-4 лет (прирост 24 см в 1й год жизни) и 2-й от 11 – 15 лет у девочек и от 13 – 18 у мальчиков (прирост 10-12 см в год). Клинические симптомы характеризуются прогрессирующим течением с формированием четырех синдромов. Кожный синдром – 54 % (подкожная липома, кожный «хвостик», рубец, пигментация, гемангиома, гипертрихоз, дермальный синус Неврологический синдром - (нарушение походки – 93%; гипотрофия мышц – 63 %; чуствительные расстройства – 70 %; боли в ногах, спине – 37 %) Нейрогенная дисфункция тазовых органов - (мочевого пузыря - 40 %, прямой кишки - 30 %) Ортопедический синдром - (деформация стоп, укорочение конечностей - 63 %; сколиоз, кифоз - 29 %).
Диагностика
«Золотым стандартом» диагностики позвоночника и спинного мозга является магнитно – резонансная томография (МРТ), позволяющая определить анатомо–морфологические взаимоотношения в сложной анатомической системе «спинной мозг - позвоночный канал - мягкие ткани, выявить скрытые формы спинальных пороков и уточнить прямые и косвенные признаки «фиксации спинного мозга». Патогномоничный симптом синдрома фиксированного спинного мозга — опущение конуса спинного мозга ниже L1 – L2 позвонка, с признаками утолщения конечной нити.
Хирургическое лечение (высвобождение спинного мозга)
Используя современные нейрохирургические технологии (микроскоп, интраоперационный нейрофизиологический мониторинг, пластические материалы мировых производителей) позволяет достичь в хирургии аномалий позвоночника и спинного мозга высоких результатов, с минимальным риском операционных осложнений, тем самым улучшить качество жизни ребёнка в рамках имеющегося неврологического дефицита (обычно парапарез с тазовыми нарушениями) и профилактике возможных вторичных осложнений (ликворея, бульбарные расстройства, сирингомиелия, кифосколиоз).
При скрытых формах дизрафизма, своевременная хирургия позволяет предупредить появления неврологического дефицита, связанного с развитием "синдром фиксированного спинного мозга", и восстановление нормальных анатомических взаимоотношений (искусственная нейруляция, формирование нормального субарахноидального пространства, дурального мешка), коррекция факторов фиксации (конечная нить, липома, диастематомиелия, дермоид), что приводит к улучшению функции тазовых органов, неврологического статуса у симптомных больных.
Липома - диагностика, методы лечения

Доброкачественные новообразования, развивающиеся в жировой ткани, прежде всего, кожи, но бывают липомы молочной железы, головного и спинного мозга. Опухоли растут медленно и редко малигнизируются.
Липомы возникают у многих людей, по статистике они есть у каждого сотого человека. Мужчины и женщины одинаково подвержены заболеванию.
Что такое липома?
Липома – это мягкое на ощупь, округлое, заполненное жиром образование, которое чаще всего вырастает под кожей. В быту липомы нередко называют жировиками. В подавляющем большинстве случаев липомы безобидны, их относят к доброкачественным опухолям. На коже липом не бывает, они формируются в жировой ткани кожи или в подкожной клетчатке. Таким образом, липома может возникнуть на любой части тела, где есть жировая ткань. Обычно у человека возникает 1-2 образования. Очень редко встречаются липомы множественные, это состояние называют множественным семейным липоматозом, он чаще возникает у мужчин.
Как липома выглядит?

Медленно растущие мягкие образования под кожей — жировики — обычно являются липомами.
Выглядит липома как “шарик” или “комок” под кожей. Величина образования варьирует, оно может быть размером от горошины и до нескольких сантиметров в поперечнике. Липома при пальпации (ощупывании) мягкая, по плотности напоминает резину, не спаяна с нижележащими тканями.
Причины возникновения липомы
Обычно липомы возникают в среднем возрасте – между 40 и 60 годами, у детей это патология встречается редко.
Точные причины появления липом неизвестны. Но они чаще возникают
- у пациентов с редким наследственным заболеванием – синдромом Коудена
- при синдроме Гарднера
- при болезни Маделунга.
Нередко липомы находят у членов одной семьи, т.е. генетическая предрасположенность к ним передается по наследству. Ожирение не приводит к повышенному риску образования липом.
Классификация
По анатомическому признаку липомы подразделяют на:
- липомы головы, лица и шеи, которые, соответственно, располагаются на голове, на лице, на шее
- липомы туловища – на спине, животе
- липомы конечностей – на ногах и руках
- липомы грудной клетки – образованием затронуты легкие
- липомы внутри брюшных органов – новообразования могут затрагивать почки
- липомы семенного канатика
- липомы других локализаций.
Классификация липомы по МКБ-10
По международной классификации болезней липомы относят к разделу D17, т.е. к доброкачественным образованиям жировой ткани.
Механизм образования
Иногда триггером, запускающим образование липомы, считают повреждение кожи. Липома представляет собой новообразование из жировых клеток. Ее рост начинается из одной клетки, которая растет и делится быстрее, чем окружающие ее ткани. Под микроскопом липома представляет собой скопление узелков из зрелых жировых клеток (адипоцитов), разделенных фибромускулярными перегородками. Доброкачественность образования устанавливают при отсутствии атипии ядер или самих клеток.
Симптомы и признаки липом
Липомы растут очень медленно и обычно не вызывают никаких симптомов, кроме уплотнения в виде “шишки” или “шарика” под кожей. Внутренние липомы также обычно ничем себя не проявляют, т.е. бессимптомны.
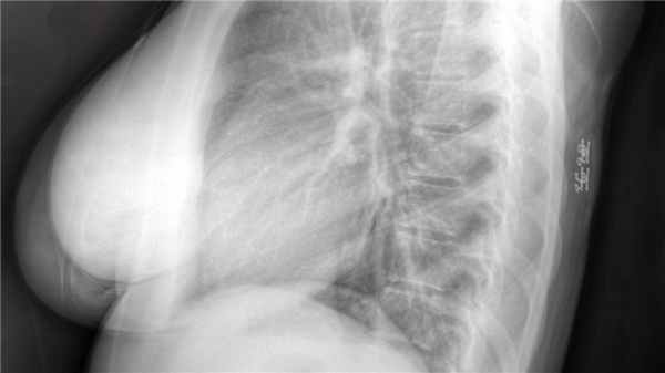
Липома молочной железы
Липома в молочной железе обычно возникает у женщин после наступления менопаузы. Как правило, это образование размером до 1 см, весом до нескольких граммов. Липому молочной железы размером более 5 см и весом более 500 г называют гигантской.
Основные признаки липомы молочной железы:
- безболезненность
- мягкость на ощупь
- возможность смещения под кожей. Т.е. она не спаяна плотно с окружающими тканями и не изменяет внешний вид кожи над ней.
Так как липомы часто располагаются в толще железы и не имеют никаких симптомов, то их нередко обнаруживают случайно, во время плановой маммографии или УЗИ.
Липома молочной железы не повышает риск рака молочной железы и очень редко трансформируется в злокачественную опухоль.

Липома молочной железы. Фото: © Nevit Dilmen / Wikipedia (Creative Commons Attribution-Share Alike 3.0 Unported license)
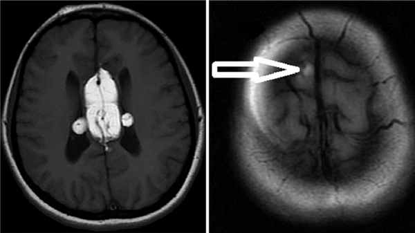
Липома головного и спинного мозга
Липомы головного мозга также выявляют случайно, когда у пациентов старшей возрастной группы проводят МРТ или КТ мозга по каким-то другим причинам, например, при нарушении когнитивных функций, эпилепсии. Липомы могут быть обнаружены в любом отделе мозга, тем не менее 50% – это перикалозальные липомы, в свою очередь 45% которых ассоциированы с агенезией мозолистого тела. 25% составляют липомы квадригименальной цистерны и 15% – липомы супраселлярной цистерны. Так как липомы мозга не имеют симптомов, хоть и часто сочетаются с какими-то пороками, например, агенезией мозолистого тела, то и лечения они не требуют. Хирургическое лечение сопряжено с большим риском осложнений и не имеет никаких преимуществ. Если возникают гидроцефалия или судорожный синдром, то лечение проводят по общим правилам.

Липома мозолистого тела головного мозга. Фото: Journal of neurosciences in rural practice / Open-i (Attribution-NonCommercial-ShareAlike 3.0 Unported)
Липома у детей
Липомы позвоночника составляют 35% всех новообразований спинного мозга, чаще встречаются у девочек.
Липома спинного мозга подразделяется на несколько клинических вариантов:
- липомиеломенингоцеле. Это врожденная патология, при которой жировые образования расположены вдоль позвоночника и проникают внутрь спинномозгового канала, соединяясь со спинным мозгом. Эта липома внешне выглядит как объемное образование внизу позвоночника. У ⅓ пациентов образование проявляет себя нарушениями мочеиспускания. Реже пациентов беспокоит искривление стоп, боль в спине. Лечение хирургическое.
- липома терминальной нити, при которой жировая ткань расположена в конечной нити спинного мозга. Иногда это состояние рассматривают как синдром натяжения концевой нити. Это редкое заболевание, которое эффективно лечат хирургической операцией, менее опасной, чем в предыдущем случае.
- липома спинного мозга (интрадуральная) встречается редко и составляет 4% от всех липом. Чаще ее выявляют в грудном отделе позвоночника у детей, патологии костей или кожи при ней не бывает. Если вырастает до больших размеров, то проявляет себя симптомами сдавления спинного мозга. Это одно из самых малоизученных новообразований.
Липома у взрослых
Кроме обычных подкожных липом, в зрелом возрасте могут быть:
- Эпидуральный липоматоз, который возникает при избыточном синтезе жира в эпидуральном пространстве, то есть между позвонками и твердой оболочкой спинного мозга. Это нередкое осложнение при синдроме Кушинга, тяжелом ожирении, приеме глюкокортикостероидов. Дебютирует патология синдромом “конского хвоста”, лечат его отменой стероидов или снижением веса.
- Ангиомиолипома, состоящая из аномально разросшихся сосудов и жировой ткани. Чаще всего ее обнаруживают в поясничном или грудном отделах позвоночника. Как правило, возникает в теле одного позвонка и может проявляться болью в спине, так как уменьшает высоту позвонка и приводит к сдавливанию нервных корешков. Образование обычно выявляют случайно у людей в возрасте 30-40 лет. При сильной компрессии, т.е. при сдавливании нервных структур, проводят лечение – пункционную вертебропластику (“цементирование” позвонка). Иногда ангиомиолипому обнаруживают в почке. При небольших размерах (до 1,0-1,5 см) лечения не требует, за образованием наблюдают, периодически выполняя ультразвуковое исследование.
Диагностика липом
Липому под кожей легко диагностируют при осмотре и прощупывании.
Липомы внутри организма выявляют с помощью:
В неясных случаях проводят биопсию, при которой небольшое количество ткани исследуют под микроскопом.
К какому врачу обратиться?
Так как липома может вырасти в любом месте организма, то её диагностируют и лечат врачи разных специальностей. Это зависит от места расположения образования. Липомами на коже занимаются хирург и дерматолог, липомами в области молочной железы – маммолог, липомами мозга или позвоночника – нейрохирург.
В чем отличие атеромы от липомы?
Липома представляет собой образование из жировой ткани, тогда как атерома – это скопление секрета сальной железы из-за закупорки ее протока. Соответственно, атерома не может возникнуть там, где нет сальных желез, т.е. в легких, мозге, брюшной полости, семенном канатике и т.д. Атерома чаще растет на волосистой части головы, имеет тенденцию к воспалению и нагноению, располагается более поверхностно. При воспалении атеромы она увеличивается в размерах, возникает покраснение, чего не бывает при липоме. Для того, чтобы выяснить, что имеется у пациента – атерома или липома – проводят УЗИ.
Методы лечения
Если липомы безболезненны и небольших размеров, то лечения не нужно. Липому молочной железы обычно наблюдают. Для этого маммографию проводят каждые 6 месяцев, и, если образование не растет, его не удаляют.
Надо ли удалять липому?
Вмешательство необходимо, если она:
- сдавливает нервные окончания
- вызывает дискомфорт
- изменяет свою консистенцию или размер
- рецидивирует после удаления
- растет.
Перед удалением внутрь липомы могут вводить кортикостероиды для того, чтобы уменьшить её размер.
Хирургическое удаление липомы
Используют следующие методы удаления:
- Хирургическим путем, когда измененную ткань иссекают скальпелем под местной анестезией. Затем проводят ушивание раны.
- Липосакцию. В липому вводят иглу и с помощью шприца удаляют содержимое.
- Удаление липомы лазером. Этот щадящий метод используют для удаления образований размером более 3 см. При вмешательстве практически нет риска травмирования здоровой ткани и минимальна вероятность кровотечения или инфицирования. После удаления лазером редко возникают шрамы или рубцы.
Лечение липомы народными средствами
Так как липому обычно не нужно лечить, то не стоит пытаться свести ее народными средствами. Прикладывание льда или прогревание бесполезны, так как эти процедуры не влияют на жировую ткань.
Профилактика
Обычно не имеет смысла, так как четкой причины возникновения патологии не выявлено. При эпидуральном липоматозе, причиной которого может быть ожирение, профилактикой считают поддержание нормального веса.
Хирургическое лечение врожденного кифоза на фоне множественных пороков развития позвонков

Представлен клинический случай успешного хирургического лечения врожденного кифоза на фоне множественных пороков развития тел позвонков нижнегрудного и поясничного отделов в сочетании с расщеплением задних структур, гидромиелией и диастематомиелией. По данным предоперационной компьютерной томографии выявлено отсутствие опороспособных костных структур в зоне порока. В связи с технической невозможностью установки металлоконструкции выполнен передний спондилодез без внутренней фиксации. В качестве пластического материа ла использована комбинация аутогенного реберного трансплантата, сульфата кальция (остеокондуктивная среда), аллогенного деминерализованного костного матрикса (остеоиндуктивная среда), пунктата костного мозга пациента (остеогенная среда). Через 18 месяцев после операции отмечено формирование сплошного костного блока, а также улучшение со стороны неврологического дефицита. Врожденный кифоз на фоне множественных пороков развития позвонков представляет собой малоизученную клиническую проблему, требующую индивидуализации лечебной тактики, тщательного планирования оперативного вмешательства, регулярных контрольных обследований до окончания костного роста. Отсутствие в зоне предполагаемой артродезирующей операции пригодных для установки опорных элементов металлоконструкции костных структур не является препятствием для успешного спондилодеза. Комбинация нескольких разнородных материалов, обладающих опорными, остеокондуктивными, остеоиндуктивными и остеогенными свойствами, позволяет получить костно-пластический материал с оптимальными характеристиками и обеспечить формирование костного блока в сложной клинической ситуации.
Ключевые слова
Полный текст
Клинический случай
Больная П., 2 года, поступила в клинику СПбГПМУ с кифотической деформацией поясничного отдела позвоночника. При рождении обнаружены гемангиома поясничной области, дермальный синус. При обследовании выявлен порок развития позвоночника и спинного мозга — диастематомиелия, фибролипома терминальной нити. Ранее оперирована: в возрасте 3 месяцев были удалены костная перегородка позвоночного канала и фибро-липома терминальной нити. В дальнейшем отмечена прогрессия кифотической деформации. Ходит с 12 месяцев. При неврологическом осмотре обращает на себя внимание нижний парапарез (больше справа; Frankel D). Нарушений функции тазовых органов нет. По данным компьютерной томографии деформация позвоночника обусловлена множественными пороками развития нижнегрудного, поясничного и крестцового отделов позвоночника. На уровне Th1-Th7 тела позвонков грудного отдела сформированы типично, нарушена сегментация задних структур. Ниже уровня Th7 счет позвонков затруднен, имеют место множественные дефекты формирования, слияния и сегментации тел позвонков, задние структуры расщеплены. Обращает на себя внимание полный поперечный дефект передних структур на уровне условной середины поясничного отдела позвоночника (рис. 1).

Рис. 1. Предоперационная компьютерная томография: a — множественные дефекты формирования, слияния и сегментации тел позвонков (вид спереди); b — полный поперечный дефект передних структур на уровне условной середины поясничного отдела (вид слева); c — расщепление задних структур нижнегрудного и поясничного отделов (вид сзади)
По данным магнитно-резонансной томографии имеют место гидромиелическая киста на уровне Th5-Th6, расщепление спинного мозга на два гемикорда ниже уровня Th7 (рис. 2). Прямых данных за компрессию спинного мозга нет. Деформация обладает значительным потенциалом прогрессии за счет поперечного дефекта передних структур. Первоочередной задачей хирургического лечения в настоящей ситуации является стабилизация позвоночника с дальнейшим рассмотрением вопроса о мобилизации и/или декомпрессии спинного мозга. Инструментальная фиксация не представляется возможной, так как на уровне порока отсутствуют пригодные к установке опорных элементов металлоконструкции как передние, так и задние структуры. Единственным применимым вариантом стабилизации является передний спондилодез без фиксации металлоконструкцией. Учитывая обусловленный отсутствием ригидной внутренней фиксации высокий риск несостоятельности костного блока, предпочтительно использование пластического материала, обладающего оптимальными прочностными, остеокондуктивными, остеоиндуктивными и остеогенными характеристиками. Принято решение выполнить спондилодез аутогенным реберным трансплантатом в сочетании с композитным материалом, состоящим из сульфата кальция (остеокондуктивная среда), деминерализованного костного матрикса (остеоиндуктивная среда) и аутогенного пунктата костного мозга (остеогенная среда).

Рис. 2. Предоперационная магнитно-резонансная томография: a — гидромиелическая киста на уровне Th5-Th6; b — расщепление спинного мозга на два гемикорда ниже уровня Th7
Ребенок подготовлен к операции. В положении на правом боку выполнена левосторонняя френолюмботомия с поднадкостничной резекцией 10-го и 11-го ребер. Осуществлен забрюшинный доступ к нижнегрудному и поясничному отделам позвоночника с мобилизаций подвздошно-поясничной мышцы. Поперечный дефект передних структур выполнен фиброзной тканью. Передняя продольная связка рассечена Н-образно. Скелетированы передние структуры выше и ниже зоны дефекта передних структур. Выполнен спондилодез аутогенным реберным трансплантатом в сочетании с композитным пластическим материалом. Наложен послойный шов на рану. Течение послеоперационного периода без особенностей. На 23-й день вертикализирована в жестком экстензионном корсете.
При контрольной компьютерной томографии через 18 месяцев выявлено приживление трансплантата и формирование сплошного костного блока в зоне вмешательства, обеспечивающее стабильность поясничного отдела позвоночника и низкий потенциал прогрессии кифоза (рис. 3). С точки зрения неврологического дефицита отмечено некоторое улучшение с сохранением нижнего парапареза (больше справа; Frankel D). По данным магнитно-резонансной томографии через 25 месяцев после операции признаков компрессии невральных структур не получено. Оперативное лечение, в том числе декомпрессия и/или мобилизация спинного мозга, в настоящее время не показано. Вместе с тем, учитывая возраст ребенка (5 лет) и потенциал роста, необходимы медицинское сопровождение и регулярные контрольные неврологические и лучевые обследования до окончания костного роста.

Рис. 3. Компьютерная томография через 18 месяцев после операции. Сформирован костный блок в зоне оперативного вмешательства: a — вид спереди; b — вид слева
Врожденный кифоз представляет собой порок развития позвоночного столба, сопровождающийся формированием соответствующей деформации в сагиттальной плоскости. Общепринятая классификация подразделяет сколиозогенные и кифозогенные пороки развития позвонков на три типа: тип 1 — нарушение формирования тел позвонков; тип 2 — нарушение сегментации; тип 3 — смешанный [10, 14]. Данная классификация не лишена недостатков: она в большей мере предназначена для описания пороков, протяженность которых не превышает нескольких смежных сегментов, и не учитывает нарушений развития задних структур позвонков [11, 17]. Первый и третий типы обладают наибольшим потенциалом прогрессии [9]. По сравнению с врожденными сколиозами врожденные кифозы встречаются более редко и характеризуются значительно более высоким риском развития компрессии спинного мозга с исходом в нижнюю параплегию [12, 14, 15]. Сочетаемость врожденных кифозов с дефектами формирования невральной трубки (фиксация спинного мозга, диастематомиелия, гидромиелия, миеломенингоцеле) достигает 20–40 % [8, 21]. В представленном наблюдении протяженный порок развития относится к третьему (смешанному) типу в сочетании с диастематомиелией и гидромиелией.
Эффективного консервативного лечения врожденного кифоза не существует [9, 14, 17]. Вопросы хирургического лечения протяженных пороков развития позвоночника мало освещены в литературе, публикации преимущественно рассматривают кифозы на фоне нарушений нескольких смежных сегментов [1–7, 14, 16, 18, 21]. Для определения хирургической тактики при множественных пороках предложен принцип выделения ведущего порока [5], предполагающий значительную индивидуализацию подхода при протяженных аномалиях.
Задачами оперативного лечения врожденного кифоза являются стабилизация позвоночника, коррекция деформации, при необходимости декомпрессия спинного мозга. Для стабилизации позвоночника, как правило, необходимы передний и задний спондилодез, блокирование только задних структур менее эффективно [9, 20]. Применение ригидной внутренней фиксации зоны формирующегося костного блока снижает частоту несостоятельности спондилодеза [12]. В случае невозможности установки металлоконструкции необходимо учитывать и использовать иные факторы, влияющие на вероятность успеха артродезирующей операции.
Эти факторы могут быть подразделены на следующие группы: факторы, связанные с хирургической подготовкой реципиентного ложа; факторы, связанные с пластическим материалом; системные факторы; местные факторы.
Техника подготовки тел позвонков к спондилодезу предполагает полное удаление малокровоснабжаемой фиброзной ткани в пределах зоны планируемой костной пластики; минимальную механическую и термическую травматизацию, предотвращение высыхания тканей в зоне вмешательства; обнажение кровоснабжаемого спонгиозного вещества тел позвонков, минимальное использование гемостатического воска. После окончания костно-пластического этапа рекомендуется тщательное ушивание мягких тканей над пластическим материалом [19].
Основными характеристиками костно-пластического материла являются остеокондуктивность (способность служить основой для врастания новообразующейся костной ткани), остеоиндуктивность (способность к стимуляции остеогенеза, опосредованная биологически активными молекулами) и остеогенность (содержание в материале живых остеогенных клеток). В определенных ситуациях (отсутствие ригидной фиксации) значение также имеет опороспособность материала. Костный аутотрансплантат из гребня подвздошной кости, обладающий выраженными остеогенными свойствами, считается «золотым стандартом» костно-пластического материала в хирургии позвоночника [19]. Принципиальные недостатки данного материала связаны с процедурой забора трансплантата и ее последствиями (болезни донорской зоны) [4]. Ауто генный кортикальный трансплантат (ребро) обладает меньшей остеогенной емкостью [19], однако характеризуется высокой опороспособностью и оптимален, если доступ к зоне пластики предполагает резекцию ребра. Для увеличения объема пластического материала возможно применение разнообразных синтетических материалов, обладающих остеокондуктивными свойствами [19], в том числе сульфата кальция [13]. Остеоиндуктивные свойства зависят от наличия в материале костных морфогенных белков. Наиболее широко применяемой остеоиндуктивной средой служит аллогенный деминерализованный костный матрикс. Добавление к синтетическому или аллогенному пластическому материалу пунктата костного мозга реципиента обеспечивает насыщение его живыми аутогенными клетками и придает материалу остеогенные свойства [19]. Комбинация различных сред, обладающих остеокондуктивными, остеоиндуктивными и остеогенными свойствами, позволяет получить композитный материал с оптимальными характеристиками.
К управляемым системным факторам, влияющим на вероятность несостоятельности костного блока, относятся состояние питания пациента, железодефицитная анемия, применение нестероидных противовоспалительных препаратов [19]. При наличии у больного гипотрофии и/или железодефицитной анемии эти состояния должны быть скорректированы до оперативного вмешательства. В послеоперационном периоде необходимо контролировать показатели красной крови и избегать, насколько возможно, применения нестероидных противовоспалительных препаратов.
Ключевым управляемым местным фактором, не связанным с техникой подготовки реципиентного ложа, является механическая стабильность [19]. При невозможности обеспечить стабильность ригидной внутренней фиксацией необходимо использовать опороспособный трансплантат и жесткий корсет.
Заключение
Врожденный кифоз на фоне множественных пороков развития позвонков представляет собой малоизученную клиническую проблему, требующую индивидуализации лечебной тактики, тщательного планирования оперативного вмешательства, регулярных контрольных обследований до окончания костного роста.
Отсутствие в зоне предполагаемой артродезирующей операции пригодных для установки опорных элементов металлоконструкции костных структур не является препятствием для успешного спондилодеза.
Комбинация нескольких разнородных материалов, обладающих опорными, остеокондуктивными, остеоиндуктивными и остеогенными свойствами, позволяет получить костно-пластический материал с оптимальными характеристиками и обеспечить формирование костного блока в сложной клинической ситуации.
Читайте также:
