МРТ мениско-крестообразной связки коленного сустава
Добавил пользователь Владимир З. Обновлено: 07.11.2025
МРТ – высокоточное неинвазивное исследование, основанное на явлении магнитного резонанса.
Его суть состоит в том, что ядра химических элементов в любых тканях организма можно представить как быстро вращающиеся вокруг своей оси магниты. Если эти ядра поместить во внешнее магнитное поле, то их оси вращения смещаются, поглощая при этом часть энергии радиоволны (эффект резонанса). После прекращения действия внешнего поля ядра атомов принимают исходное положение (релаксируют). Накопленная при этом энергия высвобождается в виде электромагнитных колебаний, которые можно зафиксировать специальной аппаратурой.
В медицинских томографах регистрируют резонанс протонов водорода, входящих в состав молекулы воды. В силу того, что этот метод очень чувствителен даже к незначительным изменениям концентрации водорода, он дает возможность не только визуализировать ткани, но и отличать их нормальное строение от патологии.
Как делают МРТ коленного сустава
Обследуя коленный сустав, важно учитывать то, что он имеет очень сложное строение, включающее:
- эпифизы бедренной и большеберцовой костей;
- мышцы, крепящиеся в области сочленения;
- сухожилия и связки, обеспечивающие движения в суставе;
- мениски и хрящевые поверхности;
- синовиальную жидкость.

Строение коленного сустава, вид спереди
Для установления причины нарушения работы сустава необходимо тщательно изучить состояние всех этих тканей. Даже самое незначительное повреждение любой из них может существенно повлиять на функцию всей нижней конечности.
МРТ точно визуализирует все степени изменения хряща от отека до истончения, разволокнения и растрескивания. Оценивается состояние подхрящевой костной ткани, изменения в менисках, воспаление синовиальной оболочки и так далее.
Возможен расчет общего объема пораженного хряща и измененных участков кости, оценивается состояние крестообразных связок.
МРТ коленного сустава – показания
Одна из основных причин ограничения трудоспособности активной части людей – заболевания суставов. Популяризация сложных видов спорта приводит к увеличению количества травм и ортопедических проблем, которые возникают уже в молодом возрасте. Поэтому так важно, чтобы их диагностика была безопасной, точной и как можно более ранней.
Этим требованиям полностью отвечает метод магнитно-резонансной томографии.
Обычно МРТ делают после консультации с врачом-ортопедом, который проводит специальные тесты и ставит предварительный диагноз. Чаще всего томограмму рекомендуют в следующих случаях:
- травматические повреждения;
- подготовка к оперативному вмешательству;
- признаки воспаления сустава;
- подозрение на дистрофические изменения;
- врожденные аномалии развития;
- необходимость исключить опухоли, метастазы;
- сомнительные данные, полученные при проведении УЗИ, КТ или рентгенографии.
Наиболее распространенной формой суставной патологии является остеоартоз. Это заболевание, при котором в патологический процесс вовлекается весь сустав, включая подхрящевой участок кости, капсулу, связки, синовиальную оболочку, околосуставные мышцы.
Гонартроз
Это остеоартроз коленного сустава. Болезнь обычно развивается так незаметно, что пациент затрудняется указать давность заболевания. Отмечаются периодический хруст при сгибании, эпизодические тупые боли после выраженной и длительной нагрузки на сустав, которые быстро проходят после её прекращения. Постепенно их интенсивность усиливается, плохо переносится уже любая нагрузка, боли могут появляться ночью.
Клинические проявления гонартроза начинаются обычно в старшем возрасте, после 40-50 лет, у женщин чаще во время менопаузы. Он может быть:
- Первичный – дегенерация изначально интактных суставных поверхностей. Обычно связан с чрезмерной перегрузкой колена.
- Вторичный – патология развивается после травмы, воспаления, сосудистых или метаболических нарушений.
В ряде случаях имеется сочетание сразу нескольких этиологических факторов. Поэтому основная причина – несоответствие между нагрузкой и возможностью сустава ее выдержать.
Изменения хряща при остеоартрозе аналогичны тем, которые происходят вследствие старения. В их основе находится изменение процессов обмена веществ в суставном хряще и уменьшение содержания главного его компонента – протеогликанов. Снижение их количества приводит к усыханию и дегенерации хрящевой ткани.
Но при возрастных процессах дегенерация развивается очень постепенно и не приводит к выраженным нарушениям структуры близлежащих тканей. В случае остеоартроза патология прогрессирует гораздо быстрее, имеет начало в более раннем возрасте, сочетается с изменением суставных поверхностей костей и синовиокапсульного аппарата. Это позволяет отличать гонартроз от старческих изменений и выделять его в самостоятельное заболевание.
На МРТ хорошо прослеживаются все стадии этого процесса. На томограмме определяется выпот синовиальной жидкости и подхрящевая костная киста при остеоартрозе коленного сустава.
Сначала появляется неровность поверхности хряща, так как он теряет свою упругость и эластичность. Далее он становится менее компактным, разделяется на отдельные волокна, обнажая участок подлежащей кости. От хряща могут отделяться фрагменты, которые попадают внутрь сустава, это явление называют «суставные мыши». В случае их попадания и сдавления между суставными поверхностями у человека возникает внезапная острая боль. При каком-то определенном смещении в колене «суставная мышь» изменяет своё положение и боль заканчивается так же внезапно, как началась.

Фронтальный срез МРТ коленного сустава
Все эти изменения наиболее выражены в средней части суставной поверхности, так как она сильнее нагружена. Уменьшение эластичности хряща приводит к тому, что он уже не защищает подлежащую кость, формируется остеосклероз. Также возможно появление кист, которые вскрываются, образуя костные эрозии. На боковых участках суставных поверхностей хрящ компенсаторно разрастается и замещается костной тканью – образуются остеофиты.
При отсутствии своевременного лечения в дальнейшем происходит фиброзное изменение синовиальной оболочки и капсулы сустава, что существенно ограничивает его функцию.
Ювенильный идиопатический артрит
Это хроническое воспалительное заболевание, развивается у детей в возрасте до 16 лет.
Сопровождается поражением суставов, часто именно коленных. Может приводить к необратимому разрушению хряща и подхрящевого отдела кости, вплоть до последующей инвалидизации.
Эффективность лечения напрямую зависит от возможности ранней диагностики (до того, как сформируются костные эрозии) и правильной оценки степени активности процесса.
Важная особенность этой болезни заключается в том, что около 70% больных с ранним ювенильным артритом не имеют видимых изменений на рентгенограммах. То есть если у ребенка болит колено без видимых изменений на обычном рентгене, лучше не откладывать и сделать МРТ, а не надеяться, что это пройдет само со временем. Иначе можно упустить время, необходимое для того, чтобы остановить процесс.
В данном случае преимущество МРТ в том, что она дает возможность оценить состояние синовиальной оболочки. Чаще всего – это признаки синовиита в виде наличия жидкости в полости сустава, утолщение синовиальной оболочки.
Важным является то, что на основании анализа толщины синовиальной оболочки и объема выпота можно отличить активный процесс от стадии ремиссии. Это кардинально меняет тактику лечения.
Киста Бейкера
На начальной стадии видна только на МРТ. При прогрессировании может определяться визуально как округлое плотное образование в подколенной области. На этом этапе она уже может вызывать боль при физических нагрузках и дискомфорт при сгибании ноги в колене.

МРТ коленного сустава показывает наличие кисты Бейкера в подколенной ямке (обозначена стрелкой)
Возможно ее обратное развитие вплоть до полного исчезновения, но при условии своевременной диагностики и лечения. При длительном её существовании содержимое кисты затвердевает, формируется спаечный процесс. Возможен ее разрыв, приводящий к появлению острых болей, отеку в подколенной ямке и области голени. В таком случае особое значение приобретает МРТ, которая дает возможность провести дифдиагностику с другими патологиями.
Противопоказания к МРТ коленного сустава
Основные ограничения связаны с наличием в организме несъемных металлических конструкций и инородных тел.
Основываясь на их свойствах, различают:
- Ферромагнетики. Они обладают собственной намагниченностью и, попадая в мощное внешнее магнитное поле, могут вести себя непредсказуемо. К ним относится железо, никель, кобальт, некоторые сплавы. Проведение МРТ при их наличии в теле запрещено.
- Парамагнетики. При отсутствии внешнего магнитного поля не обладают магнитными свойствами. Например, титан, платина. Опасности они не представляют, но могут создавать помехи, если находятся в зоне исследования.
Окончательное решение принимает врач после изучения документов, описывающих состав изделия.
Абсолютным противопоказанием для проведения МРТ является:
- наличие электронных устройств – кардиостимулятор, кохлеарный имплант, инсулиновая помпа и другие;
- первый триместр беременности;
- выраженная клаустрофобия.
Наш медицинский центр не обследует детей в возрасте младше 5 лет, родителям нужно обращаться в специализированное детское учреждение для выполнения МРТ коленного сустава под наркозом. При весе более 150 кг выполнение МРТ коленного сустава также затруднено из-за конструктивных особенностей томографа.
Подготовка к МРТ коленного сустава
Особенной подготовки не требуется, попасть на процедуру томографии в нашем медицинском центре можно уже в день записи.
Перед тем, как приступить к томографии, вас попросят снять все аксессуары и элементы одежды, содержащие металл, убрать банковские и другие магнитные карты.
Обязательно нужно предоставить врачу вашу историю болезни и результаты исследований, сделанных ранее. Это позволит уделить особое внимание спорным моментам, выбрать оптимальный протокол проведения процедуры.
Сколько по времени делается МРТ коленного сустава
Исследование занимает около 20 минут. Пациента укладывают на подвижный стол, который перемещается внутри магнита. Врач на момент процедуры находится в соседнем кабинете, но может поддерживать контакт через переговорное устройство, наблюдать за пациентом по монитору.
Внутри томографа создается комфортная температура и освещение. Для лучшей релаксации предлагаются наушники с приятной музыкой. Сразу после обследования можно возвращаться к привычному ритму жизни.
Расшифровка МРТ коленного сустава
Описанием снимков в медицинском центре “ДиМагнит” занимаются врачи с опытом работы более 7 лет. Наши врачи специализируются именно на МРТ-диагностике, поэтому их заключениям можно доверять.
Методика МРТ может выявить самые ранние изменения различных структур сустава. Например, она незаменима при оценке состояния менисков. Степени их изменения на МРТ:
- 0 степень – нормальное состояние мениска;
- I степень – в теле мениска есть очаговый сигнал усиленной интенсивности, который еще не доходит до края мениска;
- II степень – появление в мениске линейного сигнала усиленной интенсивности, не доходящего до его краев;
- III степень – сигнал усиленной интенсивности достигает крайней части мениска.
О разрыве мениска говорят только изменения III степени.

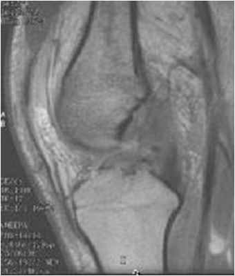
На снимке – разрыв крестообразной связки и мениска вследствие травмы колена
Для диагностики важна еще и форма мениска. В норме он в определенной плоскости имеет форму бабочки. Любые отклонения могут указывать на возможный разрыв.
Повреждение мениска нередко обнаруживается на МРТ на этапе отсутствия у человека существенных жалоб, такие случаи нередки у возрастных пациентов.
МРТ или КТ коленного сустава – что лучше?
Эти два метода исследования принципиально различаются тем, что при КТ используется рентгеновское излучение, а при МРТ – безопасное магнитное поле. Из-за наличия лучевой нагрузки врачи рекомендуют не проводить КТ чаще, чем 2 раза в год. Количество сеансов МРТ не ограничивается.
Начальные изменения мягких тканей на КТ могут не отображаться, поэтому диагностика ранних этапов патологии ненадежна. В этом случае более информативна МРТ, которая дает возможность выявить болезнь на самой начальной стадии.
Только магнитно-резонансное обследование может визуализировать сосуды, которые не видны на КТ.
В особо сложных случаях для уточнения диагноза пациентам предлагается артроскопия. Это эндоскопическая операция, которая проводится как с диагностической, так и с лечебной целью. Требует особой подготовки и реабилитации. Только МРТ позволяет с высокой точностью определить, насколько необходимо артроскопическое вмешательство на коленном суставе.
Точная и своевременная диагностика позволяет сократить сроки лечения, выбрать оптимальный подход и существенно улучшить качество жизни пациента.
МРТ в диагностике заболеваний и повреждений коленного сустава
В жизни мы часто сталкиваемся с болевыми ощущениями в коленных суставах. Они могут быть связаны с перенесенной травмой или же возникнуть «на ровном месте», когда кажется, что никаких неблагоприятных воздействий на сустав не было. Коленный сустав принимает на себя существенную нагрузку от веса человеческого тела, поэтому проблемы с суставом ограничивают нашу двигательную активность и заставляют обращаться к врачам.
В большинстве случаев при обращении к травматологу с жалобами на боли в области коленного сустава, врач назначит выполнение магнитно-резонансной томографии. МРТ позволяет оценить повреждения мягких тканей, включая связки, мениски, суставная капсула и прилежащие ткани.
Также МР-томография оказывается полезной для диагностики состояния суставного хряща и костей, образующих коленный сустав.
Магнитно-резонансная томография – это метод исследования, основанный на магнитном поле, он не подвергает пациента воздействию ионизирующего излучения, поэтому считается безвредным. Исследование выполняется в положении лежа на спине. Коленный сустав располагается внутри специальной радиочастотной катушки, после чего погружается в томограф. Обследование не требует специальной подготовки и может быть выполнено в любое время дня.
МРТ коленного сустава чаще всего не требует введения контрастных препаратов. Для исследования связок и менисков стандартная МРТ так же информативна, как и исследование с контрастированием. Однако, в редких случаях, когда речь идет об опухолевом поражении сустава, использование контрастного средства может дать дополнительную важную диагностическую информацию.
Выбор томографа с оптимальной напряженностью магнитного поля для исследования суставов является важным фактором получения правильного диагноза. Лучших результатов для исследования коленного сустава удается добиться на высокопольных томографах с напряженностью поля 1,5 Тесла и 3,0 Тесла.
Возможность диагностики разрывов и повреждений крестовидных и коллатеральных связок коленного сустава – большое преимущество МРТ. Травмы этих связок можно исследовать также с помощью УЗИ, однако его информативность уступает томографии. Рентгеновские методы исследования (КТ, рентгеновское исследование) хоть и информативны для выявления переломов костей, но для диагностики патологии связок оказываются бессильными.
Важной спортивной травмой является повреждение менисков. Наиболее часто разрывы менисков встречаются в футболе. При подозрении на патологию менисков не обойтись без МРТ коленного сустава. Латеральный и медиальный мениски одинаково хорошо видны во время исследования.
Кроме первичной травмы, МРТ используется в диагностике изменений после выполненных оперативных вмешательств, включая резекцию менисков и протезирование передней крестовидной связки.
Помимо связок, при МРТ коленного сустава исследуются изменения костей, образующих сустав. Деформация суставных поверхностей отложениями кальция – остеофитами – встречается при артрозе. Дефекты и повреждения суставного хряща, участки субхондрального склероза важны для постановки диагноза и определения тактики лечения. МР-исследование позволяет выявить отек и асептический некроз в костях и определить их выраженность. Отломки остеофитов или хондромные тела в полости сустава (в народе называемые «суставной мышью») могут доставлять существенные неудобства, однако при их своевременном выявлении при МРТ врач-травматолог сможет предложить лечение, направленное на устранение причины боли, а не просто обезболивающие препараты.
МРТ также является ведущим методом диагностики воспалительных заболеваний коленного сустава. Исследование отлично показывает патологическое скопление жидкости в полости сустава при бурсите, а также утолщение и разрастание синовиальной оболочки при синовите. Реже встречается воспалительное поражение костей, что также успешно выявляется с помощью МРТ.
Исследование коленного сустава – наиболее частая процедура среди МРТ суставов, выполняемых в Национальном медицинском исследовательском центре кардиологии. Врачи нашего центра имеют большой опыт выполнения таких исследований, начинающийся с самых первых томографических обследований в нашей стране.
Магнитно-резонансная томография в диагностике травматических повреждений коленного сустава
Цель исследования: изучение достоверности МРТ-признаков повреждений структур коленного сустава в сравнении с данными артроскопии коленных суставов.
Материал и методы. Было обследовано 59 пациентов (59 коленных суставов: 41 (69,5%) правый и 18 (30,5%) левый) с различными травмами коленного сустава в возрасте от 17 до 49 лет (средний возраст 33,6 года). Всем пациентам были проведены МРТ и лечебно-диагностическая артроскопия.
Результаты. Чувствительность МРТ в диагностике разрывов менисков оказалось наиболее высокой и составила для латерального мениска 91,7% и для медиального мениска 95,4%. В то же время при диагностике разрывов передней крестообразной связки, МРТ-исследование не обладает столь высокой чувствительностью (88,2%). Кроме вышеописанных признаков, МРТ дает возможность определения повреждений костных и хрящевых структур. Также по данным МРТ можно определить план хирургического вмешательства при разрывах менисков и крестообразных связок.
Заключение. Полученные данные свидетельствуют о достаточной эффективности МРТ для диагностики повреждений структур коленного сустава. Дальнейшее совершенствование методов и увеличение опыта интерпретации изображений, вероятно, уменьшит количество ложноположительных и ложноотрицательных результатов в будущем.
Ключевые слова
Об авторах
Абдушарипов Махмуджон Атабаевич – ассистент кафедры акушерства, гинекологии и онкологии
Для корреспонденции: Абдушарипов Махмуджон Атабаевич – Узбекистан 220100, Хорезмская область, г. Ургенч, ул Ал-Хоразмий, д. 28.
Матризаева Гульнара Джуманиязовна – кандидат медицинских наук, доцент кафедры акушерства, гинекологии и онкологии
Gulnara Ju. Matrizayeva – cand. of med. sci., associate professor of the Department of Obstetrics, gynecology and oncology and the head of this department
Абдуллаева Дилноза Кузибаевна – ассистент кафедры акушерства, гинекологии и онкологии
Ургенчский филиал Ташкентской медицинской академии; Хорезмский областной многопрофильный медицинский центр
Узбекистан
Худайберганов Джамшид Гуломович – врач отделения травматологии и ортопедии Хорезмского областного многопрофильного медицинского центра
Список литературы
1. Vincken P.W.J., ter Braak B.P.M., van Erkel A.R., Coerkamp E.G., de Rooy T.P.W., Mallens W.M.C., Bloem J.L. Magnetic Resonance Imaging of the Knee: a review. Imaging Decisions . 2006; 10 (1): 24–30. DOI: 10.1111/j.1617-0830.2006.00065.x.
2. Зайцева Е.М., Алексеева Л.И., Смирнов А.В., Насонов Е.Л. Магнитно-резонансная томография при остеоартрозе. Научно-практическая ревматология . 2006; 5: 59–75. Zaytseva Y.M., Alekseeva L.I., Smirnov A.V., Nasonov Y.L. Magnetic resonance imaging in osteoarthritis. Nauchnoprakticheskaya reumatologiya . 2006; 5: 59–75. (In Russian)
3. Bredella M.A., Tirman P.F.J., Peterfy C.G. Accuracy of T2 Weighted Fast Spin Echo MR Imaging with fat Saturation in Detecting Cartilage Defects in the Knee: Comparison with Arthroscopy in 130 Patients. Am. J. Roentgenol. 1999; 172: 1073–1080. DOI: 10.2214/ajr.167.1.8659356.
4. Герасименко М.А. Шестилетний опыт артроскопического лечения патологии коленного сустава в детскоюношеском возрасте. Вісник ортопедії, травматології та протезування . 2010; 4: 27–31. Gerasimenko M.A. Six-year experience of arthroscopic treatment of pathology of the knee joint in childhood and adolescence. J. Orthoped. Traumatol. Prosthetics. 2010; 4: 27–31. (In Russian)
5. Cullen K.A., Hall M.J., Golosinskiy A. Ambulatory surgery in the United States, 2006. Natl. Health Stat. Report . 2009; 11: 1–25.
6. Venkateshwaran A., Ganesan R.G., Paarthipan N. MRI Evaluation of Acute Internal Derangement of Knee. Open J. Radiol . 2015; 5: 66–71. DOI: 10.4236/ojrad.2015.52011.
7. Maurer E.J., Kaplan P.A., Dussault R.G. Acutely Injured Knee: Effect of MR Imaging on Diagnostic and Therapeutic Decision. Radiology . 1997; 204: 799–805.
8. Ruwe P.A., Wright J., Randall R.L. Can MR Imaging Effectively Replace Diagnostic Arthroscopy? Radiology . 1992; 183: 335–339.
9. Rakesh. M., Lawrens M., Ali N., Pitfalls and pearls in MRI of the knee. Am. J. Roentgenol . 2014; 203: 516–530. DOI: 10.2214/AJR.14.12969
10. Berquist T.H. MRI of Musculoskeletal System. 6th Ed. Philadelphia: Lippincott Williams and Wilkins, 2013: 319– 460.
12. Jung J.Y., Yoon Y.C., Kwon J.W. Diagnosis of Internal Derangement of the Knee at 3.0-T MR Imaging: 3D Isotropic Intermediate-weighted versus 2D Sequences. Radiology. 2009; 253: 781–787. DOI: 10.1148/radiol.2533090457.
13. Orlando N. Jr., de Souza Le ã o M.G., Carvalho de Oliveira N.H. Diagnosis of knee injuries: comparison of the physical examination and magnetic resonance imaging with the findings from arthroscopy. Rev. Bras. Ortop. 2015; 50 (6): 712–719. DOI: 10.1016/j.rboe.2015.10.007.
14. Singh J.P., Garg L., Shrimali R., Setia V., Gupta V. MR Imaging of the Knee with Arthroscopic Correlations in Twisting Injuries. Indian J. Radiol. Imaging . 2004; 14: 33–40.
Что покажет магнитно-резонансная томография коленного сустава

Магнитно-резонансная томография коленного сустава – это метод аппаратной диагностики суставных тканей при помощи сильных радиоволн и магнитного поля. Для получения высококачественных снимков коленного сустава при МРТ пациент не получает никакой лучевой нагрузки на организм, в отличие от рентгена и КТ колена. МРТ коленного сустава хорошо покажет состояние связок, мениска, суставной капсулы, мышц и сухожилий, сосудистой системы и костей.
Показания
Колено является уязвимой частью организма человека, так как на него приходится повышенная нагрузка сгибание-разгибание, необходимость смягчать нагрузку при движениях, ходьбе, беге, прыжках. В группу риска травмы коленного сустава входят люди с избыточным весом. В повседневной жизни каждый человек может столкнуться с такими проблемами, как растяжения связок, разрыв, надрыв сухожилий, повреждение мениска. С возрастом увеличиваются шансы на переломы костей, истончение хрящей коленного сустава. Если эти проблемы пришли в Вашу жизнь, то томография колена позволяет быстро получить полную картину патологии. На МРТ снимках врач увидит все аномалии и решит, каким способом её лучше устранить – консервативными методами или проведением хирургического вмешательства.
Врачи-ортопеды, травматологи обязательно посоветуют сделать МРТ колена при возникновении болей в коленном суставе, усиливающихся при движениях, подъеме тяжестей, а также при ухудшении погоды. Для постановки любого диагноза, связанного с воспалительными процессами в коленном суставе, им также потребуются данные магнитно-резонансной томографии.
Чаще всего томографию колена проводится в следующих случаях:
- при подозрении на изменения структуры хрящевых и костных тканей сустава;
- при накоплении синовиальной жидкости в коленном суставе;
- при выявлении кисты под коленкой;
- при наличии хруста в суставах и ограничении их подвижности;
- при симптомах разрыва, надрыва или полного отрыва сухожилий и связок;
- при травме мышц.
Что видно на томографии колена
МР-томограммы коленного сустава обычно выполняются в аксиальной, корональной и сагиттальной плоскостях. В ходе исследования рентгенолог оценивает:
- соотношения в коленном и пателло-феморальном суставах;
- передние и задние крестообразные, латеральная и медиальная коллатеральные связки, связка надколенника;
- качество бедренной, большеберцовой и малоберцовой костей;
- состояние суставного хряща
- латеральный и медиальный мениски;
- суставную капсулу.
от 3350 руб. + консультация ортопеда
от 3350 руб. + консультация ортопеда
от 3350 руб. + консультация ортопеда
от 3350 руб. + консультация ортопеда
от 3350 руб. + консультация ортопеда
МРТ сакроилеальных сочленений
от 3350 руб. + консультация невролога
МРТ плечевого сплетения (МРТ шейный отдел позвоночника и плечевого сустава)
от 4600 руб. + консультация ортопеда
Что покажет МРТ коленного сустава
МРТ коленного сустава позволяет диагностировать следующие заболевания:
- разрыв связок коленного сустава;
- разрыв мениска;
- синомиома коленного сустава;
- гемартроз коленного сустава;
- васкулиты и синдром Шегрена.
- суставная травма;
- хондромаляция коленного сустава;
- опухоли колена различного генезиса;
- синовиома, подколенная киста;
- сложные вывихи и переломы;
- воспалительные процессы в мягких тканях колена.
В последнем случае МРТ коленного сустава иногда делают с контрастом. Из-за повышенной контрастности тканей на контрастных изображениях МР картина абсцессов коленного сустава и гемартроза очень хорошо видна.
Подготовка к процедуре
В отличие от рентгена и КТ, магнитно-резонансная диагностика отличается безопасностью, поэтому может проводиться многократно как взрослым, так и детям. Основным серьезным противопоказанием к проведению МРТ колена является наличие у пациента ферромагнитного металла в теле и кардиостимулятор, которые не совместимы с МР томографией.
Обследуемому не требуется каким-либо образом готовиться к процедуре. Нужно просто записаться на диагностику и прийти в указанный час.
Как проходит томография
В медицински центрах СПб МРТ коленного сустава проходит по предварительной записи. В клинику нужно прийти за 10 минут до назначенного времени, чтобы оформить все документы. Пациента перед процедурой МРТ коленного сустава попросят снять все металлические предметы и украшения. Любые устройства: мобильный телефон, планшет или часы также придется снять и оставить сопровождающему или в специальном шкафчике, которыЙ имеЕт индивидуальныЙ ключ. В карманах также не должно быть ключей, монет, магнитных карт. После этого пациента проводят в специальную комнату, где находится аппарат МРТ, и помогают удобно расположиться на подвижном столе томографа. Нужно принять наиболее удобное положение тела, так как лежать неподвижно придется все время сканирования. Любое, даже самое маленькое, движение может снизить качество МРТ снимков, и диагностика может не дать нужных результатов. После того, как пациент разместился на столе, его задвигают в томографический аппарат, где и начинается сканирование. В случае болевых ощущений в области колена для проведения диагностики, возможно, потребуется обезболивание коленного сустава или введение седативных препаратов.
Сколько по времени делается МРТ коленного сустава
Проводится такая процедура в течение 20 минут в стандартном режиме и 40 минут в режиме МРТ колена с контрастированием. На длительность диагностики также оказывает влияние мощность магнита томографа. По времени быстрее всего сканирование структур коленного сустав происходит на томографе 3 Тесла. Она займет всего 10-15 минут. Более продолжительна будет МРТ коленного сустава на открытом томографе, однако это самый недорогой способ сделать сканирование.
Результаты
Результатом МРТ колена станет серия объемных изображений черно-белого цвета и заключение врача-рентгенолога обо всех выявленных аномалиях и патологиях в коленных структурах. Далее по данным томографии лечащий врач может поставить окончательный диагноз и назначить правильное лечение.
Пример заключения по результатам МРТ коленного сустава
На серии МР-томограмм, взвешенных по Т1, Т2 и протонной плотности с подавлением сигнала от жировой ткани в сагиттальной, аксиальной и корональной плоскостях, визуализируются структуры левого коленного сустава.
Соотношение в коленном и пателло-феморальном суставе правильные.
Суставная щель умеренно сужена, конгруэнтность суставных поверхностей сохранена. Суставной хрящ в медиальных отделах неравномерно истончен, без хондральных дефектов. Межмыщелковые возвышения умеренно заострены. Отмечаются невыраженные краевые костные заострения большеберцовой и бедренной кости, надколенника.
Надколенник (I тип по классификации Wiberg). Хондромаляция 1 степени по системе Outerbridge на уровне латеральной фасетки. Собственная связка надколенника однородного МР-сигнала, ход физиологичный. Поддерживающие связки надколенника прослеживаются, волокна не изменены.
Медиальная и латеральная коллатеральные связки без грубых изменений.
МР-сигнал от передней крестообразной связки неоднородный, ход волокон прослеживается, волокна умеренно разволокнены. Ход задней крестообразной связки прослеживается на всем протяжении, МР-сигнал однородный.
В области заднего рога и тела медиального мениска отмечается горизонтальный разрыв (Stoller IIIa). Латеральный мениск с умеренными дегенеративными изменениями (до Stoller II).
В полости сустава и в супрапателлярной сумке выявляется небольшое количество жидкости. Суставная капсула не утолщена.
В медиальных отделах подвколенной ямки отмечается локальное скопление однородной жидкости, размером 14х9х6 мм.
ЗАКЛЮЧЕНИЕ: МР-признаки горизонтального разрыва заднего рога и тела медиального мениска, дегенеративных изменений левого коленного сустава, передней крестообразной связки. Киста Бейкера. Незначительный синовит, супрапателлярный бурсит.
Рекомендовано: консультация травматолога-ортопеда.
Противопоказания
Магнитно-резонансная томография – это достаточно удобный и высокоинформативный метод исследования. Но, как и в других методиках, магнитно-резонансная томография имеет свои противопоказания и ряд ограничений
Томография не будет проводиться при наличии у человека в теле металлических конструкций, клипс, имплантов, штифтов, винтов, скоб и других металлических компонентов. Противопоказано сканирование будет людям с кардиостимуляторами, водителями сердечного ритма и другими электронными приспособлениями.
Что лучше МРТ или КТ коленного сустава?
В зону области колена входят ткани разного характера:
- костные ткани: головка бедренной кости, головки малой и большеберцовой костей
- хрящи и мениск;
- мягкие ткани: связки, мышцы, сухожилия, сосудисто-нервные пучки, жировые ткани.
Кости лучше всего визуализируются на КТ коленного сустава, а вот мягкие ткани и хрящевые образования лучше смотреть с помощью МРТ коленного сустава.
Если у пациента нет направления от лечащего врача с точным указанием необходимого исследования, при записи на томографию следует уточнить характер симптомов, побудивших человека самостоятельно принять решение о необходимости в том или ином обследовании. Обычно при травме колена с подозрением на перелом назначается рентген или КТ колена. При опухолевых и воспалительных поражениях или болевом синдроме в колене начинать свой диагностический путь следует с МРТ коленного сустава.
Итак, если была травма, удар, падение, можно заподозрить микротрещину, нарост, вывих – отдаем предпочтение КТ. Если физического воздействия не было, но есть стойкий болевой синдром, то на МРТ лучше будет видны поражения мениска, воспаление суставной сумки, кисты, опухолевые образования, отрыв, разрыв мягких тканей. Так же следует уточнить о возможных противопоказаниях к обследованиям и на основе всех этих данных принять окончательное решение.
Как сделать качественную МРТ в Санкт-Петербурге
МРТ изображения должны быть выполнены в электронной форме в формате DICOM и обязательно записаны на электронный носитель - CD диск или флешку!
МРТ исследование должно быть проведено в соотвествии с техническим стандартом и минимальным шагом сканирования 2-4 мм!
При подозрении на онкологию обязательно должно быть проведено МРТ с контрастным усилением на аппарате мощностью не менее 1,5 Тесла!
На МРТ снимках не должно быть артефактов от металла и движения!
Низкопольный аппарат - Напряженность томографа составляет 0,3 – 0,5 Тесла
- удобен для пациента, поскольку это аппарат открытого типа
- исследование стоит дешево
Высокопольный аппарат - Напряженность томографа 1,0 – 1,5 Тесла
- высокое качество снимков
- обширный список исследований
- возможность онкопоиска
- данные МРТ очень информативны и позволяют принимать правильные решения в области хирургии и нейрохирургии.
- более высокая стоимость исследования
- шумный аппарат закрытого типа, поэтому и не всегда подходит клаустрофобам и детям
- томограф очень чувствителен к движению, поэтому не всегда подходит пациентам с гиперподвижностью.
Сверхвысокопольный аппарат - Напряженность томографа 3,0 Тесла и выше
Это очень высокоточный МРТ аппарат, который применяется в научно–исследовательской деятельности, передовой диагностике и хирургии для разработки точного плана операционного вмешательства.
МРТ коленного сустава

МРТ коленного сустава. Т2-взвешенная сагиттальная МРТ. Цветовая обработка изображения.
Показания
- Острая травма коленного сустава с клиническим подозрением на разрыв мениска (менисков) и (или) связок.
- Рецидивные боли у пациентов оперированных по поводу травмы коленного сустава.
- Боли и (или) неприятные ощущения в суставе без травмы или после консервативно (без операции) леченной травмы
Травма коленного сустава встречается относительно часто. Примерно половина всех случаев составляет спортивная травма.
МРТ коленного сустава необходима для подтверждения разрывов менисков и связок, выявления сопутствующих травматических изменений и уточнения локализации и степени повреждения.
МРТ СПб ставит исследование коленного сустава среди наиболее массовых. Считается, что МРТ позволяет в 2 раза сократить число артроскопий. МРТ в СПб в наших клиниках проводится по самой современной усовершенствованной технологии.
Анатомия менисков и связок
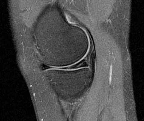
Важнейшую функцию амортизации (поглощения и перераспределения нагрузки), обеспечение стабильности, а также смазку и питание сустава выполняет мениск. Повреждения менисков чаще всего наблюдаются у спортсменов. Мениск представляет собой С-образную фиброзно-хрящевую структуру, прикреплённую к мыщелковым поверхностям большеберцовой кости. Концы «С» направлены к центру, верхняя поверхность мениска вогнутая, что улучшает контакт с головкой бедренной кости. Нижняя поверхность мениска плоская. При МРТ коленного сустава в сагиттальной плоскости видно, что наружная часть мениска выпуклая и толще центральной. Толстая внешняя часть мениска даёт возможность плотного его прилегания к суставной капсуле. У детей мениск имеет сосуды. Большая часть мениска у взрослых бессосудистое образование и только самая периферическая часть имеет сосуды. Высота мениска в норме 3-5 мм. Делится мениск на передний рог, тело и задний рог.
Медиальный мениск (ММ) больше латерального (ЛМ), имеет форму лунного серпа, занимает около 50% суставной поверхности медиального отдела сустава. Задний рог ММ толще заднего рога ЛМ. В ширину ММ от 6 мм в области переднего рога до 12 мм в области заднего рога. Поперечная (межменисковая) связка соединяет передние рога ММ и ЛМ. У 40% людей она отсутствует, что видно при МРТ коленного сустава.

МРТ коленного сустава. Т2-взвешенная сагиттальная МРТ. Медиальный мениск в норме.
ЛМ более округлый, чем медиальный и покрывает большую часть плато большеберцовой кости. Он более равномерный по ширине, чем ММ, примерно 10 мм.
Переднее-задняя подвижность ЛМ составляет около 1 см, что делает его травмы менее вероятными, чем ММ.
У 1,4-15,5% людей наблюдаются дисковидные мениски (ДМ) – это диспластическое их состояние. Обычно наблюдаются двухстороннее ДМ или дисковидный ЛМ. Форма их полулунная, а не серповидная как в норме, они толще обычных менисков. Критерий ДМ на МРТ – горизонтальный диаметр тела мениска на корональных срезах при измерении от капсулы до свободного края больше 13-15 мм.
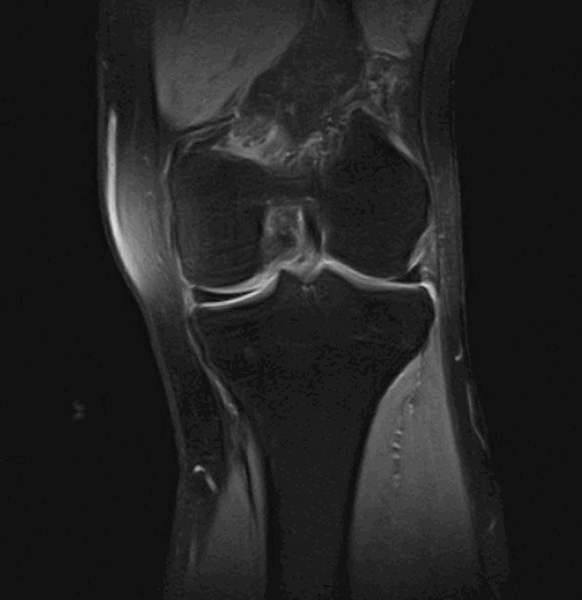
Крестообразные и коллатеральные связки
Крестообразные связки расположены внутри сустава. При МРТ коленного сустава можно проследить, что ПКС начинается от задне-медиального края латерального мыщелка бедренной кости и прикрепляется к большеберцовой кости кзади от её переднего края, сразу кпереди и латеральнее медиального межмыщелкого выступа. Длина ПКС около 3,5 см, диаметр около 1 см.
ЗКС, как видно при МРТ коленного сустава, начинается от латеральной поверхности медиального мыщелка бедренной кости и крепится к суставной поверхности плато большеберцовой кости. Как и ПКС, она расположена внутри сустава, но вне синовиальной оболочки. Связка в 2 раза мощнее ПКС и тесно связана с мениско-феморальными связками (Ризберга и Хамфри)

МРТ коленного сустава. Т1-взвешенная сагиттальная МРТ. Крестообразные связки в норме.
Методика МРТ коленного сустава
Исследование проводится в положении пациента на спине, ноги помещаются в магнит, а голова остаётся снаружи. Травмированная нога располагается внутри радиочастотной катушки с центрацией на середину надколенника а здоровая остаётся параллельно ей. Для наилучшей визуализации крестообразных связок придаётся небольшой (10-15°) разворот исследуемой ноги наружу и сгиб в колене до 30º с помощью небольшого валика.
С помощью МРТ удается точно определить наличие и полноту разрыва крестообразных связок(свыше 90%) и хорошей в плане выявления разрывов менисков (80-85%).

МРТ коленного сустава. Т2-взвешенная сагиттальная МРТ с подавлением сигнала от жира. Разрыв медиального мениска

МРТ коленного сустава. Т1-взвешенная сагиттальная МРТ. Разрыв крестообразных связок

МРТ коленного сустава. Т2-взвешенная сагиттальная МРТ. Разрыв медиальной коллатеральной связки. Синовит.
Чувствительность МРТ коленного сустава при подозрении на нестабильность остатка мениска после операции составляет 50-65%.
При хронических травмах на МРТ выявляются дегенеративные изменения менисков (частичные разрывы), жидкость в суставных сумках и костные повреждения.
УЗИ не пригодно для исследования острых травм, так как практически совсем не выявляет разрывов менисков и крестообразных связок. При хронической травме и воспалительных процессах УЗИ может быть полезной, так как показывает кисты, изменения сухожилий и мышц. Недостатком УЗИ является плохое документальное подтверждение результата исследования. Отпечатки на бумаге, выдаваемые вместе с заключением, понятны только специалистам.
Читайте также:
