Несекретирующие и гликопротеин-секретирующие опухоли гипофиза. Диагностика и лечение
Добавил пользователь Владимир З. Обновлено: 28.11.2025
Пролактинома. Клиника, диагностика и дифференциация причин гиперолактинемии
Приблизительно 50% аденом гипофиза составляют пролактиномы, 5% — аденомы, синтезирующие СТГ, 10% — кортикотропин-синтезирующие, менее 1% — секретирующие ТТГ. Нефункционирующие аденомы гипофиза, то есть несекретирующие, составляют около 25% опухолей гипофиза. При морфологическом исследовании в большинстве этих аденом можно обнаружить гранулы, содержащие гормоны, обычно компоненты гликопротеиновых гормонов. Результаты изучения аутопсийного материала позволяют предположить, что до 20% здоровых людей имеют незначительные микроаденомы гипофиза, которые (структурно) патогистологически сходны с клинически проявляющимися опухолями.
Воздействие патологии гипофиза на зрительный перекрест или его ветви может проявляться дефектами полей зрения, чаще всего битемпоральной гемианопсией. Латеральное увеличение гипофиза до кавернозных синусов может приводить к диплопии, птозу или изменениям чувствительности лица. Из расстройств черепных нервов чаще всего встречается паралич III пары.
У женщин в периоде пременопаузы нередко обнаруживают опухоли гипофиза минимальных размеров, так как пациентки обращаются за медицинской помощью при первых изменениях менструального цикла. Начальные исследования в большинстве случаев подозрений на аденому должны ограничиваться определением содержания пролактина и ИРФ-I. Другие скрининг-тесты назначают в зависимости от клинических особенностей.
Содержание пролактина в гипофизе составляет приблизительно 100 мкг, но может увеличиваться в 10-20 раз во время беременности и лактации. Хотя молочные железы являются самым важным органом-мишенью для пролактина, пролактиновые рецепторы были найдены в различных тканях, включая печень, почки, яичники, яички, простату, семенные пузырьки.

Дофамин — главный ингибитор секреции пролактина, и любой механизм, препятствующий транспорту дофамина из гипоталамуса или уменьшающий активность дофамина в гипофизе, может приводить к возрастанию количества сывороточного пролактина. Эстрогены, ТРГ и серотонин повышают содержание пролактина. Стимуляция Н2-рецепторов ингибирует секрецию пролактина, а H1-рецепторов — усиливает ее.
Гиперпролактинемия. Гиперпролактинемия — самое распространенное нарушение функций гипофиза. В прошлом предполагали, что лечение эстрогенами вызывает образование пролактином, но при тщательном изучении данного вопроса не было найдено никаких доказательств того, что пероральные контрацептивы способствуют развитию этого вида опухолей. Клональный анализ ДНК опухолей показывает, что по своему происхождению пролактиномы моноклональны.
При гиперпролактинемии уменьшается периодический выброс гонадотропных гормонов (ЛГ и ФСГ), что происходит, по всей видимости, из-за изменения секреции люлиберина в гипоталамусе. У женщин репродуктивного возраста обычно возникают олигоменорея, аменорея, галакторея и бесплодие. Появление вторичной галактореи при продолжительной аменорее менее вероятно, чем при продолжительном дефиците эстрогенов. Женщины в постменопаузе и мужчины, как правило, обращаются за медицинской помощью из-за симптомов эффекта сдавления — головных болей и нарушения полей зрения.

Дифференциация причин гиперпролактинемии
Многие мужчины с гиперпролактинемией не предъявляют каких-либо жалоб на расстройство половой функции, но, пройдя однажды эффективное лечение, большинство из них признают существование таких проблем, как снижение полового влечения и эректильная дисфункция. При длительном гипогонадизме может ухудшаться рост бороды и волос на теле, яички мягкие, но обычно нормального размера. Если гипогонадизм развивается до завершения пубертатного периода, яички останутся маленькими. Пациенты с микроаденомами чаще страдают от головных болей по сравнению с контрольной группой.
Лекарственный анамнез — важная часть первичного обследования больных с повышенным содержанием пролактина, поскольку некоторые медикаменты способствуют развитию гиперпролактинемии, и прекращение их приема (если это возможно) позволит избежать дальнейших, часто дорогостоящих исследований. Другие распространенные причины повышения количества пролактина включают беременность и гипотиреоз.
Обычно количество пролактина довольно точно соответствует размеру опухоли. Концентрация сывороточного пролактина свыше 200 мкг/л почти всегда указывает на пролактин-синтезирующую опухоль гипофиза. Однако показатели ниже 200 мкг/л возможны при большой аденоме, так как она может сдавливать ножку гипофиза и вызывать гиперпролактинемию.
Чтобы определить, является ли повышение содержания пролактина результатом пролактиномы, проводят стимулирующие пробы, втом числе ТРГ-стимулирующий тест. Однако они неспецифичны, их нельзя использовать для постановки диагноза или исключения опухоли. При больших пролактиномах содержание пролактина может быть ложнонизким. В этом случае его заметное изменение проявится при разведении сыворотки.
Наблюдение за пациентами с микроаденомами показывает, что лишь у малой группы из них концентрация сывороточного пролактина или размер аденомы со временем увеличиваются. У большинства больных содержание пролактина в сыворотке крови со временем снижается.
Опухоли гипофиза
Опухоли гипофиза – группа доброкачественных, реже – злокачественных новообразований передней доли (аденогипофиза) или задней доли (нейрогипофиза) железы. Опухоли гипофиза, по статистике, составляют около 15% новообразований внутричерепной локализации. Они одинаково часто диагностируются у лиц обоих полов, обычно в возрасте 30-40 лет. Подавляющее большинство опухолей гипофиза составляют аденомы, которые подразделяются на несколько видов в зависимости от размеров и гормональной активности. Симптомы опухоли гипофиза представляют собой сочетание признаков объемного внутримозгового процесса и гормональных нарушений. Диагностика опухоли гипофиза осуществляется проведением целого ряда клинических и гормональных исследований, ангиографии и МРТ головного мозга.

Общие сведения
Опухоли гипофиза – группа доброкачественных, реже – злокачественных новообразований передней доли (аденогипофиза) или задней доли (нейрогипофиза) железы. Опухоли гипофиза, по статистике, составляют около 15% новообразований внутричерепной локализации. Они одинаково часто диагностируются у лиц обоих полов, обычно в возрасте 30-40 лет.
Гипофиз является железой внутренней секреции, осуществляющей регулятивно-координирующую функцию в отношении некоторых других эндокринных желез. Гипофиз расположен в ямке турецкого седла клиновидной кости черепа, анатомически и функционально связан с отделом головного мозга – гипоталамусом. Вместе с гипоталамусом гипофиз составляет единую нейроэндокринную систему, обеспечивающую постоянство гомеостаза организма.
В гипофизе выделяют две доли: переднюю – аденогипофиз и заднюю – нейрогипофиз. Гормонами передней доли, вырабатываемыми аденогипофизом, являются: пролактин, стимулирующий секрецию молока; соматотропный гормон, влияющий на рост организма через регуляцию белкового обмена; тиреотропный гормон, стимулирующий метаболические процессы в щитовидной железе; АКТГ, регулирующий функцию надпочечников; гонадотропные гормоны, влияющие на развитие и функцию половых желез. В нейрогипофизе образуются окситоцин, стимулирующий сократительную способность матки, и антидиуретический гормон, регулирующий процесс реабсорбции воды в канальцах почек.
Аномальное разрастание клеток железы приводит к образованию опухолей переднего или заднего отдела гипофиза и нарушению гормонального баланса. Иногда в область гипофиза прорастают менингиомы – опухоли мозговых оболочек; реже железа поражается метастатическими отсевами злокачественных новообразований других локализаций.

Причины опухолей гипофиза
Достоверные причины развития опухолей гипофиза до конца не изучены, хотя известно, что некоторые виды новообразований могут быть обусловлены генетически.
В число факторов, предрасполагающих к развитию опухолей гипофиза, входят нейроинфекции, хронические синуситы, черепно-мозговые травмы, гормональные изменения (в том числе вследствие длительного применения гормональных препаратов), неблагоприятное воздействие на плод в период беременности.
Классификация опухолей гипофиза
Опухоли гипофиза классифицируются с учетом их размеров, анатомического расположения, эндокринных функций, особенностей микроскопического окрашивания и т. д. В зависимости от размера новообразования выделяют микроаденомы (менее 10 мм в максимальном диаметре) и макроаденомы (при наибольшем диаметре более 10 мм) гипофиза.
По локализации в железе различают опухоли аденогипофиза и нейрогипофиза. Опухоли гипофиза по топографии относительно турецкого седла и окружающих его структур бывают эндоселлярными (выходящими за границы турецкого седла) и интраселлярными (расположенными в пределах турецкого седла). С учетом гистологической структуры опухоли гипофиза подразделяются на злокачественные и доброкачественные новообразования (аденомы). Аденомы исходят из железистой ткани передней доли гипофиза (аденогипофиза).
По функциональной активности опухоли гипофиза делятся на гормонально-неактивные («немые», инсиденталомы) и гормонально-активные аденомы (вырабатывающие тот или иной гормон), которые встречаются в 75% случаев. Среди гормонально-активных опухолей гипофиза выделяют:
- соматотропная аденома
- соматотропинома – опухоль гипофиза, синтезирующая соматотропин - гормон роста;
- пролактиновая аденома
- пролактинома – опухоль гипофиза, синтезирующая гормон пролактин;
- кортикотропная аденома
- кортикотропинома - опухоль гипофиза, секретирующая АКТГ, стимулирующий функцию коры надпочечников;
- тиротропная аденома
- тиротропинома - опухоль гипофиза, секретирующая тиротропный гормон, стимулирующий функцию щитовидной железы;
Фоллтропинпродуцирующие или лютропинпродуцирующие аденомы (гонадотропные). Эти опухоли гипофиза секретируют гонадотропины, стимулирующие функцию половых желез.
Гормонально-неактивные опухоли гипофиза и пролактиномы встречаются наиболее часто (в 35% случаев соответственно), соматотропинпродуцирующие и АКТГ-продуцирующие аденомы – в 10-15% случаев от всех опухолей гипофиза, другие виды опухолей образуются редко. По особенностям микроскопии различают хромофобные опухоли гипофиза (гормонально-неактивные аденомы), ацидофилиные (пролактиномы, тиротропиномы, соматотропиномы) и базофильные (гонадотропиномы, кортикотропиномы).
Развитие гормонально-активных опухолей гипофиза, продуцирующих один или несколько гормонов, может приводить к развитию центрального гипотиреоза, синдрома Кушинга, акромегалии или гигантизма и т. д. Повреждение гормонопродуцирующих клеткок при росте аденомы может вызывать состояние гипопитуаризма (гипофизарной недостаточности). У 20% пациентов отмечается бессимптомное течение опухолей гипофиза, которые обнаруживаются лишь при аутопсии. Клинические проявления опухолей гипофиза зависят от гиперсекреции того или иного гормона, размеров и скорости роста аденомы.
Симптомы опухолей гипофиза
По мере увеличения опухоли гипофиза развиваются симптомы со стороны эндокринной и нервной систем. Соматотропинпродуцирующие аденомы гипофиза приводят к возникновению акромегалии у взрослых пациентов или гигантизма, если они развиваются у детей. Пролактинсекретирующие аденомы характеризуются медленным ростом, проявляются аменореей, гинекомастией и галактореей. Если такие опухоли гипофиза продуцируют неполноценный пролактин, то клинические проявления могут отсутствовать.
АКТГ-продуцирующие аденомы стимулируют секрецию гормонов коры надпочечников и ведут к развитию гиперкортицизма (болезни Кушинга). Обычно такие аденомы растут медленно. Тиротропинпродуцирующие аденомы нередко сопровождают течение гипотиреоза (функциональной недостаточности щитовидной железы). Они могут вызывать упорный тиреотоксикоз, чрезвычайно устойчивый к медикаментозному и хирургическому лечению. Гонадотропные аденомы, синтезирующие половые гормоны, у мужчин приводят к развитию гинекомастии и импотенции, у женщин – к нарушению менструального цикла и маточным кровотечениям.
Увеличение размеров опухоли гипофиза ведет к развитию проявлений со стороны нервной системы. Поскольку гипофиз анатомически соседствует с перекрестом зрительных нервов (хиазмом), то при увеличении размеров аденомы до 2 см в диаметре развиваются зрительные нарушения: сужение полей зрения, отек сосочков зрительного нерва и его атрофия, ведущие к падению зрения, вплоть до слепоты.
Аденомы гипофиза больших размеров вызывают сдавление черепных нервов, сопровождающееся симптомами поражения нервной системы: головные боли; двоение в глазах, птоз, нистагм, ограничение движений глазных яблок; судороги; упорный насморк; деменцию и изменения личности; повышение внутричерепного давления; кровоизлияния в гипофиз с развитием острой сердечно-сосудистой недостаточности. При вовлеченности в процесс гипоталамуса могут наблюдаться эпизоды нарушения сознания. Злокачественные опухоли гипофиза встречаются крайне редко.
Диагностика опухолей гипофиза
Необходимыми исследованиями при подозрении на опухоль гипофиза являются тщательное офтальмологическое и гормональное обследования, нейровизуализация аденомы. Исследование мочи и крови на содержание гормонов позволяет установить вид опухоли гипофиза и степень ее активности. Офтальмологическое обследование включает оценку остроты и полей зрения, позволяющих судить о вовлеченности в процесс зрительных нервов.
Нейровизуализацию опухоли гипофиза позволяет осуществить рентгенография черепа и зоны турецкого седла, МРТ и КТ головного мозга. Рентгенологически могут определяться увеличение размеров турецкого седла и эрозия его дна, а также увеличение нижней челюсти и пазух носа, утолщение костей черепа, и расширение межзубных промежутков. С помощью МРТ головного мозга возможно увидеть опухоли гипофиза диаметром менее 5 мм. Компьютерная томография подтверждает наличие аденомы и ее точные размеры.
При макроаденомах ангиография сосудов головного мозга указывает на смещение сонной артерии и позволяет дифференцировать опухоль гипофиза с внутричерепной аневризмой. В анализе спинномозговой жидкости может определяться повышенный уровень протеинов.
Лечение опухолей гипофиза
На сегодняшний день в лечении опухолей гипофиза эндокринология применяет хирургический, лучевой и лекарственный методы. Для каждого вида опухолей гипофиза существует специфический, наиболее оптимальный вариант лечения, который подбирается эндокринологом и нейрохирургом. Наиболее эффективным считается хирургическое удаление опухоли гипофиза. В зависимости от размеров и локализации аденомы проводится либо ее фронтальное удаление через оптический прибор, либо резекция через клиновидную кость черепа. Оперативное удаление опухолей гипофиза дополняется лучевой терапией.
Гормонально-неактивные микроаденомы лечатся с помощью лучевой терапии. Проведение лучевой терапии показано при наличии противопоказаний к оперативному лечению, а также пожилым пациентам. В послеоперационном периоде проводится гормонозаместительная терапия (кортизоном, тиреоидными или половыми гормонами), при необходимости - коррекция электролитного обмена и инсулинотерапия.
Из лекарственных препаратов используют агонисты дофамина (каберголин, бромокриптин), вызывающие сморщивание пролактин- и АКТГ-секретирующих опухолей гипофиза, а также ципрогептадин, понижающий уровень кортикостероидов у пациентов с синдромом Кушинга. Альтернативным методом лечения опухолей гипофиза является замораживание участка ткани железы при помощи зонда, введенного через клиновидную кость.
Прогноз при опухолях гипофиза
Дальнейший прогноз при опухолях гипофиза во многом определяется размерами аденом, возможностью их радикального удаления и гормональной активностью. У пациентов с пролактиномами и соматотропиномами полное восстановление гормональной функции наблюдается в четверти случаев, при адренокортикотропинпродуцирующих аденомах - в 70-80% случаев.
Макроаденомы гипофиза размером более 2 см полностью удалить невозможно, поэтому возможны их рецидивы в течение 5-летнего срока после операции.
Аденома гипофиза
Аденома гипофиза — это опухолевое образование доброкачественного характера, исходящее из железистой ткани передней доли гипофиза. Клинически аденома гипофиза характеризуется офтальмо-неврологическим синдромом (головная боль, глазодвигательные нарушения, двоение, сужение полей зрения) и эндокринно-обменным синдромом, при котором в зависимости от вида аденомы гипофиза могут наблюдаться гигантизм и акромегалия, галакторея, нарушение половой функции, гиперкортицизм, гипо- или гипертиреоз, гипогонадизм. Диагноз «аденома гипофиза» устанавливается на основании данных рентгенографии и КТ турецкого седла, МРТ и ангиографии головного мозга, гормональных исследований и офтальмологического обследования. Лечится аденома гипофиза лучевым воздействием, радиохирургическим методом, а также путем трансназального или транскраниального удаления.
МКБ-10


Аденома гипофиза - опухоль гипофиза, берущая свое начало в тканях его передней доли. Она продуцирует 6 гормонов, регулирующих функцию эндокринных желез: тиреотропин (ТТГ), соматотропин (СТГ), фоллитропин, пролактин, лютропин и адренокортикотропный гормон (АКТГ). По данным статистики аденома гипофиза составляет около 10% от всех внутричерепных опухолей, встречающихся в неврологической практике. Наиболее часто аденома гипофиза возникает у лиц среднего возраста (30-40 лет).
Причины
Этиология и патогенез аденомы гипофиза в современной медицине остаются предметом исследований. Считается, что новообразование может возникать при воздействии таких провоцирующих факторов, как черепно-мозговые травмы, нейроинфекции (туберкулез, нейросифилис, бруцеллез, полиомиелит, энцефалит, менингит, абсцесс головного мозга, церебральная малярия и др.), неблагоприятные воздействия на плод в период его внутриутробного развития. Последнее время отмечается, что аденома гипофиза у женщин бывает связана с длительным применением препаратов оральной контрацепции.
Исследования показали, что в некоторых случаях аденома гипофиза возникает в результате повышенной гипоталамической стимуляции гипофиза, которая является реакцией на первичное снижение гормональной активности периферических эндокринных желез. Подобный механизм возникновения аденомы может наблюдаться, например, при первичном гипогонадизме и гипотиреозе.
Классификация
Клиническая неврология подразделяет аденомы гипофиза на две большие группы: гормонально неактивные и гормонально активные. Аденома гипофиза первой группы не обладает способностью продуцировать гормоны и поэтому остается в ведении исключительно неврологии. Аденома гипофиза второй группы, подобно тканям гипофиза, продуцирует гипофизарные гормоны и является также предметом изучения для эндокринологии. В зависимости от секретируемых гормонов гормонально активные аденомы гипофиза классифицируются на:
- соматотропные (соматотропиномы)
- пролактиновые (пролактиномы)
- кортикотропные (кортикотропиномы)
- тиреотропные (тиреотропиномы)
- гонадотропные (гонадотропиномы).
В зависимости от своего размера аденома гипофиза может относиться к микроаденомам — опухолям диаметром до 2 см или макроаденомам, имеющим диаметр более 2 см.

Симптомы аденомы гипофиза
Клинически аденома гипофиза проявляется комплексом офтальмо-неврологических симптомов, связанных с давлением растущей опухоли на внутричерепные структуры, расположенные в области турецкого седла. Если аденома гипофиза является гормонально активной, то в ее клинической картине на первый план может выходить эндокринно-обменный синдром.
Изменения в состоянии пациента зачастую связаны не с самой гиперпродукцией тропного гипофизарного гормона, а с активацией органа-мишени, на который он действует. Проявления эндокринно-обменного синдрома напрямую зависят от характера опухоли. С другой стороны, аденома гипофиза может сопровождаться симптомами пангипопитуитаризма, который развивается за счет разрушения тканей гипофиза растущей опухолью.
Офтальмо-неврологический синдром
Офтальмо-неврологические симптомы, которыми сопровождается аденома гипофиза, во многом зависят от направления и распространенности ее роста. Как правило, к ним относятся головная боль, изменение полей зрения, диплопия и глазодвигательные нарушения. Головная боль обусловлена давлением, которое аденома гипофиза оказывает на турецкое седло. Она имеет тупой характер, не зависит от положения тела и не сопровождается тошнотой.
Имеющие аденому гипофиза пациенты зачастую жалуются на то, что им не всегда удается снимать головную боль при помощи анальгетиков. Головная боль, сопровождающая аденому гипофиза, обычно локализуется в лобной и височной областях, а также позади глазницы. Возможно резкое усиление головной боли, которое связано либо с кровоизлиянием в ткани опухоли, либо с ее интенсивным ростом.
Ограничение полей зрения вызвано сдавлением растущей аденомой перекреста зрительных нервов, находящегося в области турецкого седла под гипофизом. Длительно существующая аденома гипофиза может привести к развитию атрофии зрительного нерва. Если аденома гипофиза растет в боковом направлении, то со временем она сдавливает ветви III, IV, VI и V черепных нервов.
В результате возникает нарушение глазодвигательной функции (офтальмоплегия) и двоение (диплопия). Возможно снижение остроты зрения. Если аденома гипофиза прорастает дно турецкого седла и распространяется на решетчатую или клиновидную пазуху, то у пациента возникает заложенность носа, имитирующая клинику синусита или опухолей носа. Рост аденомы гипофиза кверху вызывает повреждение структур гипоталамуса и может приводить к развитию нарушений сознания.
Эндокринно-обменный синдром
Метаболические и эндокринные нарушения характерны для аденом, активно продуцирующих гормоны. Клинические проявления соответствуют тому, какой вид гипофизарного гормона продуцируется опухолью. Возможны следующие клинические варианты:
- Соматотропинома — аденома гипофиза, продуцирующая СТГ, у детей проявляется симптомами гигантизма, у взрослых — акромегалией. Кроме характерных изменений скелета, у пациентов могут развиваться сахарный диабет и ожирение, увеличение щитовидной железы (диффузный или узловой зоб), обычно не сопровождающееся ее функциональными нарушениями. Часто наблюдается гирсутизм, гипергидроз, повышенная сальность кожи и появление на ней бородавок, папиллом и невусов. Возможно развитие полиневропатии, сопровождающейся болями, парестезиями и снижением чувствительности периферических отделов конечностей.
- Пролактинома — аденома гипофиза, секретирующая пролактин. У женщин она сопровождается нарушением менструального цикла, галактореей, аменореей и бесплодием. Эти симптомы могут возникать в комплексе или наблюдаться изолированно. Около 30% женщин с пролактиномой страдают себореей, акне, гипертрихозом, умеренно выраженным ожирением, аноргазмией. У мужчин на первый план обычно выходят офтальмо-неврологические симптомы, на фоне которых наблюдается галакторея, гинекомастия, импотенция и снижение либидо.
- Кортикотропинома — аденома гипофиза, вырабатывающая АКТГ, выявляется практически в 100% случаев болезни Иценко-Кушинга. Проявляется опухоль классическими симптомами гиперкортицизма, усиленной пигментацией кожи в результате повышенной продукции наряду с АКТГ и меланоцитостимулирующего гормона. Возможны психические отклонения. Особенностью этого вида аденом гипофиза является склонность к злокачественной трансформации с последующим метастазированием. Раннее развитие серьезных эндокринных нарушений способствует выявлению опухоли до появления офтальмо-неврологических симптомов, связанных с ее увеличением.
- Тиреотропинома — аденома гипофиза, секретирующая ТТГ. Если она носит первичный характер, то проявляется симптомами гипертиреоза. Если возникает вторично, то наблюдается гипотиреоз.
- Гонадотропинома — аденома гипофиза, продуцирующая гонадотропные гормоны, имеет неспецифические симптомы и выявляется в основном по наличию типичной офтальмо-неврологической симптоматики. В ее клинической картине гипогонадизм может сочетаться с галактореей, вызванной гиперсекрецией пролактина окружающими аденому тканями гипофиза.
Диагностика
Пациенты, у которых аденома гипофиза сопровождается выраженным офтальмо-неврологическим синдромом, как правило, обращаются за помощью к неврологу или офтальмологу. Пациенты, у которых аденома гипофиза проявляется эндокринно-обменным синдромом, чаще приходят на прием к эндокринологу. В любом случае пациенты с подозрением на аденому гипофиза должны быть осмотрены всеми тремя специалистами.
С целью визуализации аденомы проводят рентгенографию турецкого седла, которая выявляет костные признаки: остеопороз с разрушением спинки турецкого седла, типичную двуконтурность его дна. Дополнительно используют пневмоцистернографию, которая определяет смещение хиазмальных цистерн от их нормального положения.
Более точные данные могут быть получены в ходе КТ черепа и МРТ головного мозга, КТ турецкого седла. Однако около 25-35% аденом гипофиза имеют настолько малый размер, что их визуализация не удается даже при современных возможностях томографии. Если есть основания считать, что аденома гипофиза растет в сторону кавернозного синуса, назначают проведение ангиографии головного мозга.

Важное значение в диагностике имеют гормональные исследования. Определение концентрации гормонов гипофиза в крови производится специфичным радиологическим методом. В зависимости от симптоматики проводят также определение гормонов, продуцируемых периферическими эндокринными железами: кортизола, Т3, Т4, пролактина, эстрадиола, тестостерона.
Офтальмологические нарушения, которыми сопровождается аденома гипофиза, выявляют при офтальмологическом осмотре, периметрии, проверке остроты зрения. Для исключения заболеваний глаз производят офтальмоскопию.
Лечение аденомы гипофиза
Консервативное лечение может применяться в основном в отношении пролактином маленького размера. Оно проводится антагонистами пролактина, например, бромкриптином. При небольших аденомах возможно применение лучевых способов воздействия на опухоль: гамма-терапии, дистанционной лучевой или протонной терапии, стереотаксической радиохирургии — введения радиоактивного вещества непосредственно в ткани опухоли.
Пациенты, у которых аденома гипофиза имеет большие размеры и/или сопровождается осложнениями (кровоизлияние, нарушение зрения, образование кисты головного мозга), должны пройти консультацию нейрохирурга для рассмотрения возможности хирургического лечения. Операция по удалению аденомы может быть выполнена трансназальным способом с применением эндоскопической техники. Макроаденомы подлежат удалению транскраниальным способом — путем трепанации черепа.
Прогноз
Аденома гипофиза относится к доброкачественным новообразованиям, однако при увеличении размера она, как и другие опухоли головного мозга, принимает злокачественное течение за счет сдавления окружающих ее анатомических образований. Размером опухоли также обусловлена возможность ее полного удаления. Аденома гипофиза диаметром более 2 см сопряжена с вероятностью послеоперационного рецидива, который может произойти в течение 5-ти лет после удаления.
Прогноз аденомы также зависит от ее вида. Так при микрокортикотропиномах у 85% пациентов наблюдается полное восстановление эндокринной функции после проведенного хирургического лечения. У пациентов с соматотропиномой и пролактиномой этот показатель значительно ниже — 20-25%. По некоторым данным в среднем после хирургического лечения выздоровление наблюдается у 67% больных, а количество рецидивов составляет около 12%. В некоторых случаях при кровоизлиянии в аденому происходит самоизлечение, что наиболее часто наблюдается при пролактиномах.
2. Эндоскопическая эндоназальная хирургия аденом гипофиза/ Калинин П.Л., Фомичев Д.В., Кутин М.А., с соавт. // Журнал вопросы нейpохиpуpгии им. академика Н.Н. Буpденко. – 2012 - N 3.
3. Клиника и диагностика гипоталамо гипофизарных заболеваний/ Мельниченко Г.А., Пронин В.С., Романцова Т. и др. - 2005.
Пролактинома
Пролактинома – гормонально активная опухоль передней доли гипофиза, вырабатывающая избыточное количество гормона пролактина. Проявляется патологической секрецией молока, не связанной с родами (галактореей), нерегулярными менструациями или их отсутствием у женщин, снижением потенции и полового влечения у мужчин, при прогрессировании опухоли - головными болями, нарушением зрения и сознания. В зависимости от степени активности опухоли лечение консервативное или хирургическое, возможны рецидивы, полное выздоровление наступает лишь в четверти случаев.
Пролактиномы относятся к группе доброкачественных аденом, наиболее часто встречающихся среди опухолей гипофиза (до 30%), крайне редко озлокачествляются и наблюдаются у женщин детородной возрастной группы в 6-10 раз чаще, чем у мужчин. Размеры пролактином обычно не превышают 2-3 мм, однако у мужчин, как правило, встречаются крупные аденомы более 1 см в диаметре.
Пролактиномы являются гормонально-активными аденомами гипофиза, секретирующими пролактин – «молочный гормон», стимулирующий послеродовую лактацию у женщин. В норме в меньших количествах пролактин вырабатывается и мужчин. Вместе с лютеинизирующим и фолликулостимулирующим гормонами пролактин оказывает регулирующее действие на размножение и половую функцию. У женщин эти гормоны обеспечивают синтез эстрогенов, регуляцию менструального цикла и овуляцию, у мужчин – выработку тестостерона и активность сперматозоидов.
Избыток пролактина, секретируемого пролактиномой (гиперпролактинемия), подавляет эстрогеногенез у женщин и приводит к ановуляции и бесплодию. У мужчин пролактинсекретирующая аденома вызывает эректильную дисфункцию, гинекомастию и потерю полового влечения.
Причины развития пролактиномы
Причины развития пролактиномы достоверно неизвестны. Однако, у части пациентов с аденомами гипофиза (в т. ч. пролактиномой) отмечается наличие генетических нарушений – множественной эндокринной неоплазии I типа – наследственного заболевания, характеризующегося избыточной секрецией гормонов паращитовидной, поджелудочной железами, гипофизом и множественными пептическими язвами. В ряде случаев, прослеживается тенденция к наследственному развитию пролактиномы.
Современная эндокринология совместно с генетикой продолжает исследования по выявлению генов, отвечающих за возникновение пролактиномы.
Классификация пролактином
По своим размерам и расположению в пределах гипофизарной ямки пролактиномы делятся на две группы:
- интраселлярные микропролактиномы – пролактинсекретирующие аденомы диаметром до 1 см, не выходящие за пределы турецкого седла;
- экстраселлярные макропролактиномы - пролактинсекретирующие аденомы диаметром более 1 см, распространяющиеся за пределы турецкого седла.
Размеры пролактиномы оказывают влияние на симптоматику, обусловленную местной деформацией, и определяют выбор метода терапии.
Симптомы пролактиномы
Проявления пролактиномы могут быть обусловлены как повышенным уровнем пролактина, так и сдавлением опухолью окружающих тканей мозга. Выраженность симптоматики напрямую зависит от размеров пролактиномы. При макропролактиномах, сдавливающих глазные нервы, отмечаются зрительные нарушения (сужение полей зрения, трудности в распознавании боковых предметов, двоение в глазах). Сдавление макропролактиномой зрительного перекреста может приводить к слепоте.
Большие пролактиномы вызывают симптоматику со стороны центральной нервной системы: головные боли, депрессию, чувство тревоги, раздражительность, эмоциональную неустойчивость. Кроме того, макропролактиномы, оказывая давление на гипофиз, вызывают нарушение продукции других гормонов этой железы.
У женщин
Ранним проявлением пролактиномы у женщин служит изменение ритма менструального цикла от олиго- и опсоменореи до аменореи. Нарушение образования фолликулостимулирующего и лютеинизирующего гормонов приводит к отсутствию овуляции и невозможности зачатия.
Физиологический эффект пролактина проявляется в выработке и выделении из молочных желез молока (галакторее) при отсутствии беременности. Молоко может выделяться по каплям при надавливании на сосок, или самостоятельно – периодически либо постоянно. Галакторея при пролактиноме никак не связана с заболеваниями молочных желез, в т. ч. раком груди, однако нередко вызывает последующее развитие мастопатии.
Гиперпролактинемия, сопровождающая развитие пролактиномы, приводит к вымыванию минеральных веществ из костной ткани и развитию остеопороза. Остеопороз, обусловленный изменением структуры костной ткани, вызывает повышение ломкости костей. Эстрогенный дефицит вызывает задержку жидкости и увеличение массы тела. Если течение пролактиномы сопровождает гиперандрогения, то у женщины развивается гирсутизм и угревая сыпь. У женщин чаще встречаются микропролактиномы.
У мужчин
Влияние пролактиномы на мужской организм выражается в уменьшении уровня тестостерона и нарушении сперматогенеза. В результате происходит ослабление полового желания, потенции, нарушение эрекции, развивается бесплодие. Грудные железы увеличиваются в размерах (гинекомастия), иногда развивается галакторея. Среди прочих проявлений пролактиномы у мужчин отмечается атрофия яичек, уменьшение роста волос на лице, остеопороз и мышечная слабость.
У мужчин пролактиномы часто достигают больших размеров (макропролактиномы).
Диагностика пролактиномы
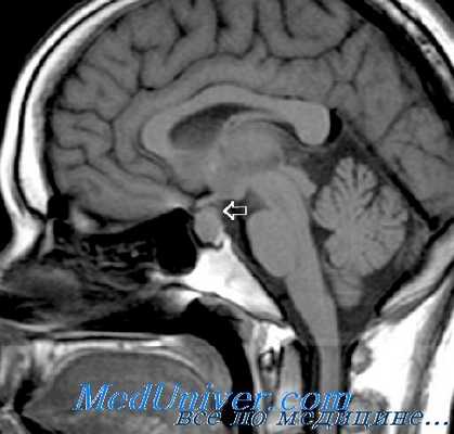
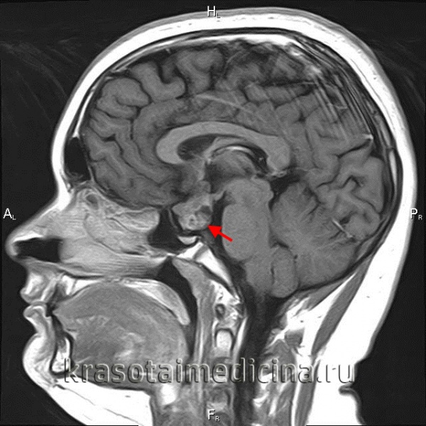
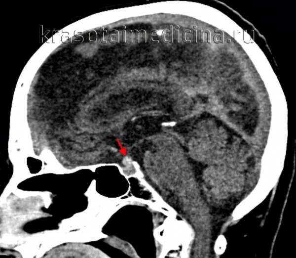
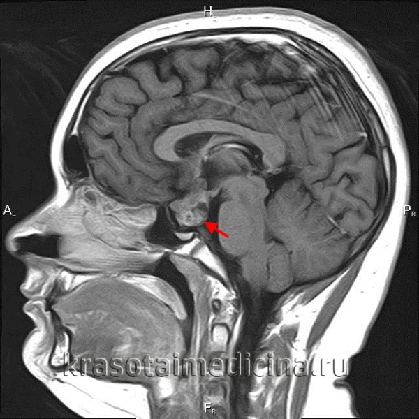
Высокоинформативным методом при подозрении на пролактиному является МРТ головного мозга с прицельным исследованием гипофиза контрастирующим веществом гадолиниумом. Магнитно-резонансное сканирование позволяет выявить очертания небольших аденом, их интраселлярное или экстраселлярное расположение, а также опухоли, расположенные в мягкотканных образованиях (кавернозном синусе, в области сонных артерий и т д.).
При макропролактиномах более применимо КТ головного мозга, т. к. хорошо визуализирует костные структуры (основание турецкого седла – анатомическую область расположения гипофиза).
Лабораторное определение в сыворотке крови уровня пролактина рекомендуется проводить трижды, в разные дни для исключения случайных или возникших в связи со стрессом колебаний его значений. Показатель уровня пролактина > 200 нг/мл (или > 9,1 нмоль/л) свидетельствует в пользу пролактиномы (норма пролактина для женщин -
При повышении концентрации пролактина до 40 - 100 нг/мл (гипотиреоз, травмы грудной клетки, недостаточность функций почек и печени, прием лекарственных препаратов, стимулирующих выработку пролактина, функциональные нарушения гипоталамо-гипофизарной системы.
Из стимуляционных проб наиболее показателен тест с тиролиберином. В норме после внутривенного введения препарата уже через 15-30 минут происходит усиление выработки пролактина, и его концентрация не менее чем в 2 раза превышает исходный уровень. У пациентов с пролактиномой после стимуляции синтез пролактина либо остается прежним, либо усиливается менее чем в 2 раза. При гиперпролактинемии неопухолевого генеза наблюдается реакция на тиролиберин, близкая к нормальной.
При наличии жалоб со стороны органов зрения пациенту проводится исследование полей зрения и консультация офтальмолога. Для исключения остеопороза проводится определение плотности костной ткани - денситометрия.
Лечение пролактиномы
Обычно лечение пролактиномы медикаментозное, направленное на снижение уровня пролактина. Подбор схемы лечения и оптимальных доз препаратов осуществляет эндокринолог в соответствии с данными дополнительных методов исследования. Применяются препараты: бромокриптин, леводопа, ципрогептадин, каберголин. Прием бромокриптина вызывает снижение концентрации пролактина до нормы в течение нескольких недель у 85% пациентов. Преимуществами каберголина служат пролонгированное действие (достаточно 1-2 приемов в неделю), наименьшее, чем у бромокриптина, количество побочных эффектов.
По мере приема препаратов уменьшаются размеры пролактиномы и секреция пролактина, улучшается зрение; мелкие микроаденомы могут исчезнуть совсем. У женщин нормализуется менструальный цикл, восстанавливается фертильность (способность зачать ребенка). У мужчин повышается уровень тестостерона, нормализуется половая функция, происходит улучшение спермограммы.
При макропролактиномах лекарственная терапия осуществляется под контролем томографии опухоли в динамике. Если размеры макропролактиномы не уменьшаются на фоне приема препаратов, и прогрессирует ухудшение зрения, решается вопрос об оперативном удалении аденомы. Удаление пролактиномы (аденомэктомия) осуществляется через транссфеноидальный доступ – микроразрез в области носовых пазух.
В ряде случаев для лечения пролактиномы прибегают к лучевой терапии, позволяющей прекратить прием лекарственных препаратов. Эффект от лучевой терапии постепенный, полностью проявляется спустя несколько лет, поэтому облучение не применяют у молодых женщин, планирующих беременность. Побочным результатом лучевой терапии следует считать развитие гипофизарной недостаточности. В этом случае пациенту необходима заместительная терапия: глюкокортикоидами при развитии недостаточности надпочечников, L-тироксином – при недостаточности функции щитовидной железы (развитии гипотиреоза), половыми гормонами (тестостероном мужчинам и эстрогенами женщинам).
Прогноз и профилактика
Прогностические данные при пролактиноме обусловлены величиной, гормональной активностью и клиническим течением заболевания. Рецидив пролактиномы и возобновление гиперпролактинемии в 5-летнем послеоперационном периоде наступает у 20-50% пациентов. Послеоперационное улучшение при макропролактиномах отмечается всего в 10-30% случаев.
Лекарственная терапия пролактиномы рассчитана на длительный срок. При микропролактиномах перерыв в лечении устраивается 1 раз в 2 года на несколько недель. У части пациентов опухоль исчезает за этот период. При макропролактиномах проводится многолетнее медикаментозное лечение, т. к. возможно прогрессирование роста аденомы при перерывах в лечении. Прогностически неблагоприятны озлокачествленные пролактиномы.
Поскольку этиология развития пролактином не определена, профилактика предусматривает, прежде всего, предупреждение рецидивов опухоли. За пациентами устанавливается диспансерный контроль: ежегодно проводится компьютерная томография и осмотр офтальмолога, дважды в год определяется уровень пролактина в крови.
Несекретирующие и гликопротеин-секретирующие опухоли гипофиза. Диагностика и лечение
Болезнь Кушинга: клиника, диагностика и лечение
Наиболее распространенной причиной эндогенного синдрома Кушинга бывает кортикотропинсекретирующая аденома гипофиза (60%), а также надпочечники (25%) или эктопические очаги (15%). Термин «болезнь Кушинга» связан именно с опухолью гипофиза как причиной ее возникновения. Многие симптомы болезни Кушинга неспецифичны и включают артериальную гипертензию, нарушение толерантности к глюкозе, нарушения менструального цикла и психические расстройства, в том числе депрессии. У большинства женщин, страдающих болезнью Кушинга, снижена фертильность. Для них типично появление тонких волосков на лице и акне, а также временное выпадение волос на головы вследствие возрастания секреции андрогенов надпочечниками.
Как правило, диагноз «болезнь Кушинга» ставят с опозданием от 3 до 6 лет, и отследить начало заболевания можно по стриям и пигментациям, появляющимся из-за избытка секреции кортикотропина и других мела-нотропинов.
Диагностика болезни Кушинга
Единственным надежным и в целом наилучшим исследованием для постановки диагноза «синдром Кушинга» служит суточное определение содержания свободного кортизола в моче. Ввиду значительного расхождения в показателях содержания сывороточного кортизола у здоровых людей его единичное измерение не играет роли в постановке диагноза. Проба с дексаметазоном (1 мг на ночь) указывает на наличие заболевания, если содержание кортизола на следующее утро ниже 1,8 мкг/дл, однако это исследование дает до 40% ложноположительных результатов.
По данным Национального института здравоохранения, комбинация подавляющего теста с низкой дозой дексаметазона и стимулирующего теста с кортиколиберином показал 100% диагностическую достоверность. Этот двойной тест может иметь огромную ценность для дифференциальной диагностики при псевдосиндроме Кушинга и повышенном суточном количестве свободного кортизола в моче. Также будет полезным определение концентрации кортизола в сыворотке крови и слюне в полночь.

После диагностики синдрома Кушинга следующим шагом будет выяснение, зависит ли гиперсекреция кортизола от кортикотропина. Хотя неопределяемый или низкий уровень кортикотропина всегда имеет надпочечниковое происхождение, низкие или нормальные показатели возможны при эктопическом синдроме Кушинга и кортикотропин-секретирующей опухоли гипофиза, для уточнения этого используют кортиколиберин-стимулирующий тест. При этом показатели кортикотропина в первом случае будут выше, хотя во многом данные остаются схожими. Затем может помочь тест с высокой дозой дексаметазона (8 мг) или кортиколиберин-стимуляция.
При синдроме эктопической секреции АКТГ не происходит подавления синтеза кортизола дексаметазоном или его увеличения при стимуляции. «Золотым стандартом» дифференциальной диагностики между гипофизарной и эктопической опухолью служит взятие проб в нижнем каменистом синусе. Это исследование должен проводить опытный нейрорадиолог, и оно не предназначено для диагностирования синдрома Кушинга.
Болезнь Кушинга необходимо дифференцировать прежде всего с синдромом эктопической секреции АКТГ — наиболее распространенным и лучше всего изученным из синдромов эктопической секреции гормонов. Чаще всего связанные с ним опухоли бывают карциномами, и прогноз неутешителен. Обычно быстро, в течение 6 мес, развиваются резко выраженная мышечная слабость, гиперпигментация, артериальная гипертензия, гипокалиемия и отеки. Предполагают, что причина гиперпигментации — эффекты меланокортинов, синтезируемых одновременно с кортикотропином.
Иногда причинами синдрома эктопической секреции АКТГ становятся доброкачественные опухоли — карциноиды или опухоли островковых клеток поджелудочной железы. Их трудно дифференцировать от гипофизарных, так как радиологические исследования турецкого седла часто дают негативные результаты или показывают микроаденомы, которые присутствуют у 20% здоровых людей (по данным аутопсии).

Лечение болезни Кушинга
В лечении кортикотропин-секретирующей гипофизарной опухоли отдают предпочтение ее хирургическому (транссфеноидальному) удалению. У опытного хирурга положительные результаты достигают 80-90%. Если после операции у больного, не принимающего стероидные гормоны, кортизол не определяется, это превосходный признак долговременного излечения. После удачной операции наступает период временной надпочечниковой недостаточности, обычно длящийся 6-8 мес, иногда до 2 лет. В случае неудачного результата могут быть предложены повторная операция и лучевая терапия.
Если такое лечение не принесло успеха, применяют медикаментозную или хирургическую адреналэктомию. Эктопические кортикотропин-секретирующие опухоли должны быть по возможности удалены. Октреотид может ингибировать эктопическую секрецию. Митотан служит, пожалуй, наилучшим адренолитиком. Другие препараты, такие как аминоглютетимид (цитадрен), кетоконазол (низорал) или метирапон (метапирон), оказывают лишь временное воздействие. Антагонист глюкокортикоидов мифепристон (RU-486) — многообещающий препарат, но с некоторыми побочными эффектами. Одна из проблем состоит в том, что его действие нельзя отследить с помощью определения концентрации кортизола.
Мифепристон блокирует его активность, хотя в действительности количество циркулирующего кортизола может быть высоким.
Читайте также:
- Гормональная регуляция простаты. Возрастные изменения яичек
- Лучевая диагностика травматической грыжи брюшной стенки
- Лучевая диагностика туберкулеза печени и грибковой инфекции печени
- Контрактура Фолькмана и киста влагалища сухожилия (ганглий). Диагностика и лечение
- Микробиологическая диагностика эпидемического сыпного тифа. Лечение эпидемического сыпного тифа. Профилактика эпидемического сыпного тифа.
