Невромы слухового нерва и невральная глухота
Добавил пользователь Валентин П. Обновлено: 02.11.2025
Невринома слухового нерва — это доброкачественная, медленно растущая опухоль головного мозга. Опухоль развивается из оболочки слухового нерва (VIII пара черепно-мозговых нервов), идущего от ствола мозга к вестибуло-слуховому аппарату. Этот нерв обеспечивает слух и поддержание равновесия.
Невриномы слухового нерва растут довольно медленно. Эта опухоль имеет и другие названия (акустическая невринома, акустическая шваннома, акустическая неврома, неврома слухового нерва, вестибулярная шваннома), но все они означают одно – доброкачественную опухоль слухового нерва. Однако симптомы, которыми проявляется данное новообразование в организме, в большинстве случаев означает, что пациенту требуется лечение акустической невромы.
Чаще употребляется термин «невринома». Терминами «неврома» и «шваннома» обозначают медленно развивающиеся доброкачественные опухоли, которые присоединяются к любому нерву в теле.
Причина возникновения невриномы слухового нерва неизвестна. Очень часто невриномы сопровождают болезнь Реклингхаузена (нейрофиброматоз). Часто эти опухоли могут никак не проявляться до тех пор, пока размер опухолей существенно не увеличится. Когда опухоли затрагивают нервы — боль становится индикатором заболевания.
Лечение акустической невромы
Хирургическое вмешательство для удаления невриномы слухового нерва сопряжено со значительными рисками: как в плане готовности организма перенести радикальное лечение и восстановление после него, так и с возможными последствиями традиционной нейрохирургии, связанными с повреждением функциональных тканей головного мозга в процессе доступа к удаляемой акустической невриноме.
Наиболее прогрессивным методом лечения невриномы слухового нерва (акустической невромы), учитывая небольшие размеры данной опухоли, является бесконтактная радиохирургия на КиберНоже, позволяющая разрушить клетки опухоли, не прибегая к операции.
Лечение невриномы на системе КиберНож

Радиохирургическая система КиберНож (CyberKnife G4)
КиберНож действует дистанционно, без контакта с кожей, без нарушения целостности тканей организма, при радиохирургическом лечении не требуется применение анестезии. Именно поэтому во всем мире радиохирургическое лечение акустической невриномы является предпочтительным в большинстве случаев. Наиболее точным из методов радиохирургии невриномы слухового нерва является КиберНож.
В процессе подготовки лечения на КиберНоже с помощью средств инструментальной диагностики формируется пространственная модель взаимного расположения опухоли и здоровых тканей, которая и будет являться тем объемом, в котором с помощью многочисленных отдельных тонких лучей ионизирующего излучения будет сформирована разрушающая акустическую невриному доза излучения. За доставку дозы отвечает высокоточный программно-аппаратный комплекс, который действует строго по заданному плану лечения, что позволяет максимально защитить здоровые ткани от облучения и равномерно подать значительную дозу в объем акустической невриномы.

Акустическая неврома (невринома слухового нерва): план радиохирургического лечения на КиберНоже. Красным цветом выделен объем опухоли — сюда будет подана максимальная доза ионизирующего излучения
В отдельных случаях может быть показано нейрохирургическое вмешательство. Часто нейрохирургическая операция может быть дополнена лучевой терапией объема опухоли, который не может быть удален без значительного риска. Также, лучевое лечение акустической невромы может применяться в виде самостоятельного метода.
Лучевая терапия IMRT в лечении невриномы

Линейный ускоритель Elekta
Учитывая небольшие размеры такой опухоли как акустическая невринома, точность подведения дозы имеет решающее значение для исключения прогрессирования опухоли и сохранения окружающих ее здоровых тканей. Наиболее эффективным является лучевое лечение по принципу IMRT (моделированная по интенсивности лучевая терапия), базирующееся на системе 3D-визуализации (IGRT).
В отличии от линейных ускорителей устаревшей конструкции, такая система позволяет доставить требуемую дозу ионизирующего излучения точно в объем опухоли, не задевая при этом соседствующие с образованием здоровые ткани. Тем самым достигается повышение разовой дозы излучения, что позволяет сократить количество сеансов, а значит и время лечения.
План лучевого лечения рассчитывается на мощном компьютере, а процедура лечения предусматривает многоуровневый контроль качества лечения со стороны медицинского физика, лучевого терапевта и лечащего врача. Кроме эффективности, преимуществом лучевого лечения при акустической невроме является отсутствие необходимости в наркозе.
Альтернативные методы лечения
Современные методики лучевого лечения позволяют использовать для лечения опухолей головного мозга КиберНож, Гамма-нож и линейные ускорители, в которых применяется принцип подведения в опухоль высокой дозы ионизирующего излучения, которое приводит к разрушению опухоли без нарушения целостности биологических тканей.
Не все из этих способов лечения являются полностью неинвазивными — Гамма-нож, требует обеспечить жесткое крепление металлической рамы винтами к костям черепа. Кроме того применение Гамма-Ножа ограничено ввиду того, что акустические невромы имеют форму отличную от шарообразной зоны, в которой Гамма-Нож может сформировать равномерную дозу излучения. Эта особенность грозит неполному облучению опухоли, либо к подаче высокой дозы на здоровые части головного мозга.
По этой причине в мировой практике для лечения акустической невромы чаще используются лучевая терапия и радиохирургия на КиберНоже.
Диагностика
При отсутствии достаточно чувствительных и точных методов диагностики невринома обычно диагностируется лишь при достижении ею существенных размеров. Рентгенологическое исследование не является информативным для диагностики шванном, поскольку шванномы на рентгеновском снимке не видны. Рентгеновское исследование указывает на то участвует ли костная ткань в образовании опухоли. Для диагностики также часто осуществляют МРТ головного мозга, УЗИ и биопсию опухоли.
Факторы риска:
- возраст: от 30 до 60 лет (средний возраст — 50 лет);
- в анамнезе — нейрофиброматоз 2-го типа (только для двусторонних неврином, которые очень редки)
- пол: невринома слухового нерва чаще встречается у женщин.
Первые симптомы:
- постепенная потеря слуха на одно ухо наряду с нормальным слухом в другом ухе;
- ослабление возможности распознавать звук, особенно при разговоре по телефону (многие пациенты жалуются, что, разговаривая по телефону, они не могут разобрать значения слов собеседника);
- звон и свист в пострадавшем ухе
Симптомы растущей шванномы могут быть болезненным или полностью безболезненными. Некоторые пациенты чувствуют ощущения подобные небольшому электрическому шоку, когда область опухоли пальпируется. Часто неврологические проблемы не возникают, если опухоль не разовьется около ключевого моторного или сенсорного нерва, как, к примеру, опухоль во внутреннем ухе.
Когда невринома слухового нерва постепенно увеличивается в размерах – симптоматика расширяется:
Невромы слухового нерва и невральная глухота
Невромы слухового нерва и невральная глухота
В 1930 г. Gardner и Frazier сообщили о семье, в которой в пяти поколениях передавалась двусторонняя неврома слухового нерва, поразившая 38 членов семьи. Патоморфологические изменения были описаны Gardner и Turner у 4 дополнительных членов семьи. Последнее исследование этой семьи, проведенное Young, Eldridge и Gardner, показало, что теперь уже около 100 лиц были поражены точно установленными или предполагаемыми двусторонними невромами слухового нерва. Foiling и Ward еще раньше сообщили о семье, три поколения которой были поражены невромами слухового нерва.
Еще одну семью с встретившимися у 14 человек в четырех поколениях невромами слухового нерва описал Moyes. О некоторых других семьях сообщили Hitselbergcr и Hughes, а также Lee и Abbott.
Этот синдром встречается почти у 4% лиц с невромами слухового нерва.
Клинические данные. Нервная система. Young с соавт. имели клинические данные о 97 вероятно или определенно больных. Средний возраст выявления болезни составил примерно 20 лет. Симптомы болезни редко проявляются в детстве (Rosenberg et al.). Врачебный осмотр не обнаружил данных, свидетельствующих о наличии неврофиброматоза Реклингхаузена.
Со стороны нервной системы развивается три типа симптомов:
1) те, причиной которых является вторжение невромы слухового нерва на смежные черепно-мозговые нервы;
2) те, причиной которых является повышение внутричерепного давления, и 3) те, которые возникают в связи с другими опухолями нервной системы.

У некоторых больных развились параличи V, VI, VII, IX и X пар черепно-мозговых нервов, а также мозжечковая атаксия. В связи с повышением внутричерепного давления у больных обычно наблюдаются резкие головные боли и прогрессирующая потеря зрения. Встречаются также спинномозговые корешковые невромы, эпендимомы, астроцитомы и мепингиомы (Hitselberger, Hughes, Lee, Abbott, Perez De Moura et al., Young et al.).
Орган зрения. Постоянным симптомом является прогрессирующая потеря зрения. Несколько более 50% умерших от этого заболевания были слепыми и у 8% отмечалось выраженное снижение остроты зрения (Young et al.). Потеря зрения являлась следствием нарастающего внутричерепного давления и отека соска зрительных нервов. Ни одно из посмертных исследований не выявило опухоли, охватывающей зрительные нервы.
Орган слуха. Нарушения слуха замечались впервые во втором или третьем десятилетии жизни и заключались в двусторонней прогрессирующей невральной глухоте, которая в течение 5—10 лет приводила к полной глухоте. Почти у 50% больных нарушения слуха являлись первыми симптомами болезни. Примерно у 30% больных заболевание манифестировалось шумом в ушах, у 10%—нарушениями равновесия и у 5% — подергиваниями мышц лица.
Чисто тональные аудиограммы обычно не обнаруживали изменений или выявляли слабые изменения, прогрессирующую утрату способности различать речь и резче выраженное нарушение восприятия на высоких частотах (Hitselberger, Highes, Perez De Moura et al.).
Вестибулярная система. Патологические изменения вестибулярного аппарата характерны дли этого заболевания и они были выявлены у всех 7 больных, обследованных Gardner и Frazier. Young с соавторами отметили, что патология вестибулярной функции выявляется обычно до появления аудиометрических изменений. Несколько больных из семьи, описанной Young с соавторами, едва не утонули, так как потеряли под водой направление, трое других членов семьи утонули. Были ли они больны, неизвестно. Возможно, у них была ранняя стадия болезни и имелись только вестибулярные расстройства.
Лабораторные данные. Несколько описанных рентгенологических исследований показали неврому слухового нерва с расширением внутреннего слухового прохода.
Внезапная сенсоневральная тугоухость
Внезапная сенсоневральная тугоухость (ВСНТ) — острая потеря слуха, возникающая в течение 72 часов и почти всегда носящая односторонний характер.
Большинство случаев являются идиопатическими, иначе говоря, их причина остается невыясненной. Точная частота идиопатической ВСНТ неизвестна, поскольку выздоровление может быть спонтанным, и многие пациенты не обращаются за медицинской помощью.
Идиопатическая ВСНТ может возникать в любом возрасте, но чаще всего поражает людей от 43 до 53 лет, мужчины и женщины болеют одинаково часто.
ВСНТ может быть следствием неопластических, инфекционных, аутоиммунных, неврологических, отологических, метаболических или сосудистых заболеваний. К внезапной потере слуха также может привести применение ототоксических препаратов.
Клиническая картина
Пациенты с идиопатической ВСНТ обычно отмечают очень быструю потерю слуха или сообщают о потере слуха при пробуждении. При этом сначала многие из них могут замечать только ощущение заложенности уха, чувство «полноты» в нем, не осознавая, что они потеряли слух. Поскольку заложенность уха является обычным явлением, она ошибочно может быть отнесена к ряду менее серьезных заболеваний, и пациенты могут не обращаться за немедленной помощью.
Диагностика
Все пациенты, которые жалуются на внезапную потерю слуха или просыпаются с потерей слуха, должны быть обследованы на предмет ВСНТ в течение первых нескольких дней после появления симптомов. Кроме того, всем пациентам, сообщающим о внезапной заложенности уха, особенно при отсутствии симптомов инфекции верхних дыхательных путей, должна быть проведена та же диагностика.
Для оценки слуха необходимо провести проверку шепотной речи, камертональные пробы, а также исследование слуха — аудиометрию.
Аудиометрия выполняется всем пациентам с подозрением на ВСНТ не позднее 14 дней после появления симптомов. Точная аудиометрическая оценка важна для подтверждения первоначального диагноза, а также для оценки динамики. Если аудиометрия недоступна, а вероятность ВСНТ высока, лечение следует начинать незамедлительно.
При ВСНТ требуется тщательный сбор анамнеза с исключением возможных причин потери слуха. К ним относятся:
- недавняя травма головы, воздействие громкого шума или баротравма;
- недавняя боль или покраснение глаз (потеря слуха в сочетании с острым кератитом может указывать на синдром Когана);
- потеря слуха или колеблющаяся потеря слуха в анамнезе в прошлом, особенно сопровождающаяся головокружением или шумом в ушах (симптомы могут указывать на болезнь Меньера);
- очаговые неврологические симптомы, которые могут указывать на цереброваскулярную ишемию или новообразования, такие как менингиома, невринома слухового нерва;
- симптомы, соответствующие аутоиммунным заболеваниям или васкулиту;
- факторы риска или недавний контакт с болезнью Лайма (например, поездка в эндемичный регион или проживание в нем, недавний укус клеща);
- боль в ушах, выделения из ушей, лихорадка или другие симптомы, указывающие на острый средний отит, хронический средний отит или мастоидит;
- воздействие ототоксичных лекарств (например, применение аминогликозидов, петлевых диуретиков, химиотерапии на основе платины, салицилатов).
Лучевая диагностика
Всем пациентам, у которых не найдена причина потери слуха, рекомендуется проведение магнитно-резонансной томографии (МРТ), по результатам которой исключаются такие заболевания, как акустическая неврома, менингеальный карциноматоз, ишемическая цереброваскулярная болезнь, рассеянный склероз. МРТ следует проводить в течение трех месяцев с момента появления симптомов.
Если МРТ выполнить невозможно (из-за наличия противопоказаний у конкретного пациента), следует провести компьютерную томографию (КТ). Однако не следует забывать, что КТ не имеет достаточного разрешения для обнаружения небольших опухолей мостомозжечкового угла или небольших инфарктов ствола мозга.
Лабораторная диагностика
Рутинные анализы крови не рекомендуются, но могут быть назначены при подозрении на ту или иную этиологию потери слуха: исключение заболеваний щитовидной железы, аутоиммунных заболеваний, васкулита и других.
Лечение внезапной сенсоневральной тугоухости
Всем пациентам с идиопатической ВСНТ показана системная гормональная терапия (глюкокортикоиды — дексаметазон, преднизолон, метилпреднизолон). Лечение следует начинать как можно раньше — желательно не позднее, чем через две недели с начала симптомов.
Для пациентов с идентифицируемой первопричиной ВСНТ — в дополнение к лечению глюкокортикоидами — показана терапия, направленная на ее устранение.
Лечение глюкокортикоидами предполагает либо введение лекарств внутривенно, либо назначение таблетированных форм. При плохой переносимости может быть рассмотрен вариант интратимпанального (через барабанную перепонку) введения лекарств.
Так как процент спонтанного самоизлечения очень высок, ни одно исследование не может однозначно ответить на вопрос об эффективности глюкокортикоидов в сравнении с плацебо, тем не менее эти препараты включены во все рекомендации как основной вид лечения.
Повторная аудиометрия выполняется по окончании начального курса лечения.
Контрольная аудиометрия проводится примерно через шесть месяцев с целью количественной оценки степени стойкой потери слуха. По прошествии полугода дальнейшего улучшения слуха не ожидается.
Людям с любой степенью стойкой потери слуха рекомендуется консультация сурдолога для рассмотрения возможности использования вспомогательного слухового аппарата. Кроме того, пациенты должны быть направлены на слуховую реабилитацию.
Шум в ушах, который может сопровождать идиопатическую ВСНТ, трудно поддается лечению и может влиять на качество жизни. При улучшении слуха обычно уменьшается и шум в ушах, но полностью исчезает не всегда.
Общий прогноз идиопатической ВСНТ благоприятный: приблизительно у 2/3 пациентов слух улучшается или полностью восстанавливается.
Как проходит лечение внезапной сенсоневральной тугоухости в клинике Рассвет?
Пациентам с жалобами на одностороннюю потерю слуха мы проводим стандартный ЛОР-осмотр, эндоскопию носоглотки, тимпанометрию, а также направляем на аудиометрическое исследование, МРТ головного мозга и мостомозжечкового угла в специализированные центры наших партнеров.
Пациентам с жалобой на заложенность уха обследование проводится поэтапно, по тому же алгоритму. Диагностированная кондуктивная потеря слуха (например, экссудативный отит, евстахеит, адгезивный отит) не исключает ВСНТ и требует полноценного обследования.
В клинике Рассвет не назначаются препараты, не показавшие эффективность при ВСНТ:
Невринома слухового нерва (вестибулярная шваннома)
Невринома слухового нерва — редкая доброкачественная опухоль. Она медленно растет из-за перепроизводства клеток оболочек нерва: шванновские клетки поэтому другое ее название — вестибулярная шваннома. Шванновские клетки обычно окружают нервные волокна и поддерживают их.
Опухоль небольших размеров раздражает слуховой нерв и вестибулярный нерв (воспринимающий изменения положения головы и тела в пространстве). При этом у больного человека может появиться шум в ухе, или нарушения координации походки. Когда опухоль достигает больших размеров она способна сдавить эти нервы в жестком костном канале внутреннего уха из-за чего слух снижается иногда до полной утраты. Сам больной долгое время этого может не замечать, так как опухоль растет годами и человек привыкает слышать другим ухом. Большая опухоль может давить на лицевой нерв, растягивая его и вызываю асимметрию лица. Потенциально опасна ситуация, когда опухоль больших размеров сдавливает ствол мозга. Это тот отдел мозга, где расположены жизненно важные структуры, которые контролируют дыхание и частоту сердечных сокращений. Эта ситуация угоржает жизни больного человека.
Существует 2 типа неврином слухового нерв:
1) Односторонние невриномы. Это наиболее распространенный тип. Эта опухоль может развиться в любом возрасте. Чаще всего это происходит в возрасте от 30 до 60 лет. В настоящий момент нет доказательств того, что травмы, пользование мобильным телефоном или другие факторы окружающей среды вызывают односторнние невриномы слухового нерва.
2) Двусторонние невриномы слухового нерва. При этом опухоль поражает нервы с двух сторон. Это заболевание передается по наследству и вызвано генетической проблемой, называемой нейрофиброматозом 2 типа.
- Потеря слуха на одно ухо, не слышны высокие звуки
- Звон в ухе на стороне опухоли
- Головокружение
- Проблемы с балансом или неустойчивость
- Онемение лица и покалывание с возможной, хотя и редкой, асимметрией мышц лица
- Симптомы невриномы слухового нерва могут выглядеть как другие состояния или проблемы со здоровьем. Всегда необходимо консультироваться с врачом для постановки диагноза.
Как диагностируется невринома слухового нерва (вестибулярная шваннома)?
Поскольку симптомы этих опухолей напоминают другие болезни уха, их может быть трудно диагностировать. Предварительные диагностические процедуры включают осмотр ушей и проверку слуха. Компьютерная томография (КТ) и магнитно-резонансная томография (МРТ) помогают определить местоположение и размер опухоли.
Проверка слуха (аудиометрия): проверка функции слуха, которая измеряет, насколько хорошо пациент слышит звуки и речь, обычно является первым тестом, выполняемым для диагностики невриномы.
Сканирование головы: если другие тесты показывают, что у пациента может быть вестибулярная шваннома, для подтверждения диагноза используется магнитно-резонансная томография (МРТ). МРТ использует магнитные поля и радиоволны, а не рентгеновские лучи для создания подробных изображений мозга. Томография показывает «срезы» мозга, которые можно объединить для создания трехмерного изображения опухоли. Часто пациенту вводят контрастный краситель. Опухоль впитывает больше красителя, чем нормальная ткань мозга, и будет четко видна на сканировании. МРТ обычно показывает опухоль во внутреннем слуховом проходе.
Лечение неврином слухового нерва (вестибулярных шванном)
Эти опухоли часто можно полностью удалить хирургическим путем. Однако многие из них настолько малы, что могут не нуждаться в немедленном лечении.
Лечение невриномы слухового нерва зависит от размера опухоли и возраста пациента, общего состояния здоровья и предпочтений самого больного и может включать хирургическое вмешательство, радиохирургию и иногда наблюдение.
Микрохирургическое удаление является основной методикой для всех опухолей среднего и большого размера, а также опухолей увеличивающихся при повторных сканированиях. Часто опухоль удалима полностью. Но иногда с целью сохранения сращенного с опухолевой капсулой лицевого нерва хирург оставляет фрагмент капсулы. Риски того, что опухоль вновь вырастет не превышают 5-10%
Операция проводится под наркозом (общей анестезией). Кожный разрез, выполняемый позади ушной раковины, не заметен, а трепанация не оставляет дефектов в костях черепа.
Каковы риски операции?
Каждый случай индивидуален, для некоторых людей риски будут низкими, а для других — более высокими. Хирурги подробно это обсуждают с каждым пациентом, прежде чем продолжить лечение. Ниже перечислены некоторые из возможных рисков.
1) Потеря слуха на стороне опухоли
2) Слабость лица из-за повреждения лицевого нерва. Лицевой нерв очень легко повредить, потому что он очень маленький и часто растягивается опухолью. Растяжение или нарушение лицевого нерва могут вызвать слабость мышц лица. В очень редких случаях, обычно когда опухоль большая и ее трудно удалить, может развиться необратимый паралич лицевого нерва. Существуют различные хирургические процедуры для восстановления некоторых движений, таких как закрытие глаз и улыбка.
3) Потеря чувствительности или онемение лица на стороне опухоли
4) Нарушения баланса
Другой вариант лечения — радиохирургия, при которой используется тщательно сфокусированное излучение для ограничения роста опухоли. Облучение как правило выполняется на аппаратах Гамма-нож или Кибер-нож. Эта методика применима не для всех случаев: важным ограничением служит большой размер опухоли .
Для некоторых медленно растущих неврином слухового нерва может быть приемлемым наблюдение с отсроченным принятием решения. Это распространенный вариант лечения для пожилых или ослабленных пациентов с легкими симптомами, когда риски хирургического лечения могут быть выше и в тех случаях когда опухоль может не расти в течение их жизни.
Что необходимо знать?
Это доброкачественные опухоли, которые влияют на слух и равновесие, когда сдавливают нервы во внутреннем ухе. Оба термина «невринома слухового нерва» и «вестибулярная шваннома» означают одно и то же. Это редкая опухоль, которая часто поражает людей среднего возраста. Невринома слухового нерва (вестибулярная шваннома) диагностируется с помощью тестов на слух и при сканировании головного мозга (магнитно-резонансная томография, компьютерная томография).
Лечение может включать наблюдение (наблюдение и ожидание), операцию или облучение.
Невриномы слухового нерва
Ежегодно невринома слухового нерва выявляется примерно у одного из 100 тысяч человек. На долю этого заболевания приходится 11 – 12 % всех опухолей головного мозга. Болезнь может развиться как у молодых, так и у пожилых людей, но чаще всего обнаруживается в возрасте от 30 до 50 лет. У детей опухоли этого типа не встречаются вовсе. Женщины страдают данным недугом втрое чаще, чем мужчины. В последние годы количество диагностированных случаев невриномы слухового нерва увеличивается. Впрочем, не в последнюю очередь это объясняется количественным и качественным ростом МРТ-диагностики.
Что такое невринома слухового нерва?
Невринома слухового нерва - это доброкачественная (нераковая) опухоль. Несмотря на название, она не затрагивает собственно слуховой нерв, который состоит из двух корешков с разными функциями: улитковый отвечает за проведение слуховых импульсов в головной мозг, а вестибулярный связан с равновесием. Невриномы образуются в вестибулярном корешке, а именно – в его шванновских (оболочковых) клетках. Отсюда их второе название неврином – шванномы.
Внешне невринома слухового нерва (вестибулярная шваннома, акустическая невринома, акустическая шваннома) выглядит как плотный узел округлой, овальной или неправильной формы с бугристой поверхностью. В ее ткань нередко вкраплены кисты различных размеров, заполненные жидкостью. Опухоли обычно растут медленно и не распространяются на другие органы. Однако нередко ухудшают качество жизни человека: он теряет слух, возможность держать равновесие, поражаются лицевые нервы. Хотя невринома слухового нерва не является раком, она может быть опасна: вырастая до большого размера, новообразование начинает давить на головной мозг или его ствол, что приводит к постоянным головным болям, в редких случаях – к нарушению ясности сознания.
Типы невриномы слухового нерва
Невриномы слухового нерва бывают двух видов
- односторонние. Возникают спорадически, не наследуются и не связаны с другими новообразованиями центральной нервной системы;
- двусторонние. Встречаются у больных с нейрофиброматозом второго типа, который является генетической патологией и передается от родителей детям. У страдающих данным заболеванием людей, помимо шванном, как правило, развиваются также другие опухоли внутри головы и в позвоночнике.
Причины и группы риска
Причина развития невриномы слухового нерва на сегодня неизвестна. Также не выявлены какие-либо факторы риска развития невриномы, помимо предрасположенности к их возникновению в связи с генетически наследуемым заболеванием
Симптомы
Данное заболевание развивается по разным сценариям. В одних случаях новообразование остается небольшим, до полутора сантиметров в диаметре, никак себя не проявляет и не мешает жизни человека. Такая невринома не требует оперативного вмешательства, достаточно будет наблюдать за ее состоянием, посещая врача раз в год.
В других случаях опухоль разрастается и начинает давить на улитковый корешок слухового нерва, а при особо больших размерах – на ствол головного мозга. В связи с этим возникают следующие симптомы:
- постепенно развивающаяся или внезапная потеря слуха на одно ухо;
- тиннитус (звон в ухе). Он отмечается у 60 % пациентов;
- ощущение заложенности уха;
- проблемы с равновесием, головокружение и неустойчивость при резких поворотах головы или наклонах. Встречается у 60% заболевших;
- рвота, тошнота, вызванные нарушениями в работе вестибулярного аппарата. Встречаются крайне редко;
- онемение, чувство покалывания на пораженной опухолью стороне лица. В запущенных случаях болезнь приводит к парезу (ослаблению или параличу) лицевого и отводящего нервов;
- тупые, ноющие боли в голове, возникающие из-за сдавливания невриномой ствола головного мозга. Возникают на поздних стадиях;
- к симптомам поздней стадии относятся также расстройство зрения, трудности с жеванием и глотанием.
Симптомы невриномы слухового нерва нарастают медленно и часто ошибочно принимаются за нормальные возрастные изменения. Надо быть внимательным: если звон в ухе длится более двух месяцев, вам следует обратиться к врачу.
Диагностика
Заболевание выявляется в результате проверки слуха и последующей инструментальной диагностики. Как правило, врач проводит ряд исследований:
- проверка слуха. Во время обычного осмотра врач-отоларинголог может заметить снижение слуха у пациента. В этом случае будет назначен специальный тест, который называется аудиограмма для оценки слуха в обоих ушах;
- слуховой тест на ответную реакцию ствола мозга. В ходе этого исследования измеряется скорость электрических импульсов, проходящих от внутреннего уха к мозгу. Замедление или отсутствии импульса почти всегда указывает на наличие шванномы;
- электронистагмография. Тест, который позволяет выявить наличие проблемы по нистагму - непроизвольному движению глазных яблок. В ушной канал вводятся холодная и теплая вода, а специальный прибор фиксирует и анализирует движение глаз;
- Магнитно-резонансная томография (МРТ).
Если предыдущие исследования с большой долей вероятности указывают на шванному, наиболее информативным инструментальным методом визуализации считается МРТ. Это современное высокоточное неинвазивное исследование, которое позволяет определить размер и локализацию опухоли, а также увидеть состояние окружающих ее органов и тканей. Магнитно-резонансная томография проводится по назначению лечащего врача или по желанию пациента при наличии головных болей, головокружений, при подозрении на опухоль (ухудшение зрения, слуха, нарушение речи, чувствительности и движений в конечностях).
После проведения основной МР томографии может понадобиться уточняющее исследование для постановки дифференциального диагноза, уточнения размеров опухолевого процесса и степени вовлечения окружающих органов и структур. В таком случае назначается МРТ с контрастным усилением, в ходе которого в вену пациента вводится контрастное вещество. Изображения, полученные с применением контраста, дают не только точное представление о размере и границах невриномы, но позволяют оценить функциональные нарушения в органах.
Стадии заболевания
- 1-я стадия. Размеры опухоли не превышает 2,5 см. Отмечаются симптомы поражения слуха и вестибулярного аппарата, например, глухота на одно ухо. Возможны также частичное нарушение вкуса, легкий парез лицевого нерва;
- 2-я стадия. Невринома выросла до 2,5- 3,5 см. Симптомы усиливаются: возникает неконтролируемое движение глазных яблок, нарушается равновесие и координация движений;
- 3-я стадия. Размеры опухоли превысили 4 см. Она уже сильно давит на головной мозг, вследствие чего нистагм становится более заметным, возможны нарушения зрения. Скапливание жидкости в желудочках головного мозга (гидроцефалия) может привести к изменению сознания и нарушению психики пациента.
Лечение невриномы слухового нерва
На данный момент существует три основных вида лечения – выжидательная тактика (наблюдение), хирургическая операция и лучевая терапия. Выбор метода зависит от параметров конкретного случая. Врач определит оптимальное лечение, ориентируясь на следующие показатели:
- размер и место опухоли;
- возраст пациента;
- общее состояние здоровья;
- уровень слуха;
- предпочтение больного.
Выжидательная тактика. Показана в тех случаях, когда опухоль мала, расположена таким образом, что не сдавливает близлежащие нервы. Либо, несмотря на достаточно крупный размер, ничем себя не проявляет и не беспокоит пациента. Наблюдение также выбирается в качестве метода, если пациенту противопоказано оперативное вмешательство в силу пожилого возраста или ослабленности организма.
Врач порекомендует наблюдать за развитием процесса, ежегодно делать МР исследование и приходить на консультацию;
Хирургическая операция. Хирургия невриномы слухового нерва – очень сложная и тонкая операция. Показана людям молодого возраста в тех случаях, когда опухоль растет, симптомы усиливаются, а радиохирургия не дает ожидаемого результата. Проводится для сохранения зрения, слуха, лицевого нерва. Хирургическая операция может быть проведена через различные доступы: сосцевидный отросток (транслабиринтный доступ); за ухом (ретросигмоидный доступ); над ухом (средняя ямка).
Операция идет под анестезией, предполагает трепанацию черепа. Восстановительный период длиться от полгода до года.
Лучевая терапия
Гамма-нож
Операции на установке Гамма-нож представляют собой неинвазивный (бескровный) метод лечения неврином слухового нерва, по своей эффективности не уступающий открытой хирургии и значительно снижающим риск послеоперационных осложнений. На сегодняшний день в мире известно более чем о 28 тысяч пациентов с невриномами слухового нерва, пролеченных с помощью Гамма-ножа, и их количество продолжает возрастать.
Целью радиохирургического лечения является предотвращение дальнейшего роста опухоли с минимизацией риска осложнений со стороны прилегающих невральных структур. Биолологические эффекты радиохирургического лечения неврином слухового нерва связаны с разрушением опухолевой ДНК и тромбозом сосудов, питающих опухоль.
Операции на Гамма-ноже показаны больным, у которых наибольший размер опухоли не превышает 3 см. А также - пациентам с остаточными и рецидивирующими опухолями после проведенного микрохирургического удаления.
До начала радиохирургического лечения проводится обследование, позволяющее определить точное положение опухоли и прилегающих нервных образований. Выполняется трехмерная реконструкция, отображающая детальную микрохирургическую анатомию этой области. Для этой цели с помощью МРТ получают четкую визуализацию опухоли и нервов во внутреннем слуховом проходе и области мосто-мозжечкового угла.
С помощью планирующей системы Gamma Planи автоматической позиционирующей системывозможно проводить очень точное облучение опухоли (точность 0,5 мм), избегаяповреждения черепных нервов и других важных отделов мозга.

Преимуществами лечения на Гамма-ноже являются высокая степень сохранения функции лицевого нерва (в 98%) и слуха (в 80%). Полностью отсутствуют осложнения, связанные с открытой операцией (менингит, ликворея). Лечение проводится за один день. Госпитализации и послеоперационного восстановительного периода не требуется. Большинство пациентов возвращаются к своему обычному образу жизни на следующий деньпосле операции.

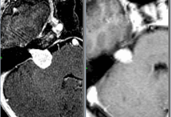
Слева - МРТпациентки М., 65 лет. Обратилась в радиохирургический центр МИБС с диагнозом-невринома правого VIII нерва. Проведено радиохирургическое лечение, доза по краю невриномы составила 13 Грей, в изоцентре опухоли 21,7 Грей.
Справа - контрольное МРТ через 1,5 года после операции. Отмечается уменьшение объёма опухоли на 47%.
Кибер-нож
Роботизированная радиохирургическая система Кибер-нож, предназначенная для лечения доброкачественных и злокачественных опухолей. В отличие от Гамма-ножа, не имеет ограничений, связанных с размером новообразования. Принцип воздействия радиации на невриному, а также преимущества перед хирургическом вмешательством аналогичны описанным выше, а разделе о Гамма-ноже.
Отдаленные результаты радиохирургического лечения хорошо изучены на протяжении более 50 лет. Уровень контроля за опухолью (отсутствие роста после радиохирургического лечения) составляет 95%. Безопасность лечения и отсутствие побочных эффектов подтверждены длительными периодами наблюдения. На МРТ исследовании, выполненном через 6-12 месяцев после операции, видно, что контраст перестает накапливаться в центре опухоли. После чего новообразование начинает замещаться соединительной тканью. радиационный ответ обычно проявляется через 6-12 месяцев ввидепотери контрастного усиления в центре опухоли, после чего опухоль начинает замещаться соединительной тканью.
Читайте также:
