Обзор идиопатических интерстициальных пневмоний
Добавил пользователь Владимир З. Обновлено: 11.12.2025
Идиопатические интерстициальные пневмонии представляют собой интерстициальные заболевания легких, которые не имеют известной причины, имеют некоторую схожесть симптомов и поражают легкие сходным образом.
Некоторые типы этих заболеваний являются гораздо более серьезными, чем другие.
Для постановки диагноза требуется рентгенологическое исследование органов грудной клетки, компьютерная томография и обычно анализ образца легочной ткани (биопсия).
Лечение зависит от типа заболевания.
Слово «идиопатический» означает «неизвестной причины», поэтому, когда причина интерстициальной заболевания легких не определена, ставится диагноз «идиопатическая интерстициальная пневмония». В качестве причины пневмоний часто предполагают инфекции, но, видимо, эти заболевания не являются результатом инфекции.
Существует восемь типов идиопатических интерстициальных пневмоний. В порядке убывания частоты это:
Все типы вызывают кашель и одышку и поражают легкие сходным образом. Кончики пальцев могут стать утолщенными или принять форму барабанных палочек (см. рисунок Распознавание утолщения концевых фаланг пальцев ). С помощью стетоскопа врачи часто слышат звуки, напоминающие потрескивание. Несмотря на то, что симптомы могут быть похожими, заболевания отличаются быстротой развития симптомов, способами их лечения и серьезностью.
Диагностика идиопатических интерстициальных пневмоний
Компьютерная томография органов грудной клетки
Компьютерная томография (КТ) органов грудной клетки является основным инструментом визуализации, используемым при оценке идиопатических интерстициальных пневмоний. КТ может дать врачам возможность поставить диагноз. Если нет, врачи берут небольшой образец легочной ткани для исследования под микроскопом (биопсия легких). Обычно биопсию проводят хирургическим путем с использованием торакоскопа Торакоскопия Торакоскопия — это визуальный осмотр поверхности легких и плевральной полости с помощью трубки для проведения осмотра (торакоскопа). Торакоскопия используется для осмотра легких и пространства. Прочитайте дополнительные сведения .
Как правило, делают анализы крови. Как правило, они не могут подтвердить диагноз, но выполняются в рамках поиска других заболеваний. Врачи могут также проводить электрокардиографию Электрокардиография Электрокардиография (ЭКГ) представляет собой быструю, простую и безболезненную процедуру, в ходе которой электрические импульсы сердца усиливаются и записываются. Эта запись, электрокардиограмма. Прочитайте дополнительные сведения , чтобы определить, повлияло ли заболевание легких на сердце.
Лечение идиопатических интерстициальных пневмоний
Отказ от курения
Часто лекарственные препараты (кортикостероиды или новейшие противофиброзные препараты), в зависимости от заболевания.
В некоторых случаях — трансплантация легких.
Другие методы лечения зависят от типа идиопатической интерстициальной пневмонии, но могут включать кортикостероиды или другие лекарственные препараты, например, новейшие противофиброзные препараты.
ПРИМЕЧАНИЕ: Это — пользовательская версия ВРАЧИ: Нажмите здесь, чтобы перейти к профессиональной версии
Авторское право © 2022 Merck & Co., Inc., Rahway, NJ, США и ее аффилированные лица. Все права сохранены.
Интерстициальные болезни легких
Интерстициальные болезни легких – группа заболеваний, протекающих с развитием диффузного воспаления стромы легких, главным образом бронхиол и альвеол. Отражением подобных изменений являются лихорадка, общее недомогание, потеря массы тела, непродуктивный кашель, сухие инспираторные хрипы, легочная недостаточность (одышка, тахипноэ), правожелудочковая сердечная недостаточность. Диагноз интерстициальных болезней подтверждается данными рентгенографии и КТ легких, исследования ФВД, биопсии легкого. В качестве лечения назначается стероидная терапия (или цитостатики), бронходилататоры, оксигенотерапия.
МКБ-10

Общие сведения
Интерстициальные болезни легких (ИБЛ) – различные поражения легких, патоморфологической основой которых являются хроническая диффузная воспалительная инфильтрация альвеол, мелких бронхов, легочных капилляров с исходом в фиброз. В число ИБЛ входят 130 заболеваний ясной и неясной этиологии. У пациентов, госпитализируемых в отделения пульмонологии, те или иные интерстициальные болезни легких диагностируются в 10-15% случаев. Преобладающим контингентом больных являются мужчины в возрасте 40-70 лет, в большинстве случаев курящие. Одни заболевания этой группы имеют обратимый характер течения и относительно благоприятный прогноз, другие рано приводят к инвалидизации и даже летальным исходам.
Классификация интерстициальных болезней легких
В настоящее время за основу принята классификация ИБЛ, выработанная в 2002 г. Американским торакальным обществом (ATS) и Европейским респираторным обществом (ERS). Согласно данной классификации выделяют интерстициальные болезни легких:
1. С установленной этиологией:
- лекарственные, лучевые, токсические ИБЛ
- пневмомикозы, ассоциированные с ВИЧ-инфекций
- ИБЛ на фоне коллагенозов (склеродермии, дерматомиозита, ревматоидного артрита, СКВ) и пневмокониозов (асбестоза, силикоза, бериллиоза)
- ИБЛ на фоне инфекций (атипичной пневмонии, диссеминированного туберкулеза легких, пневмоцистной пневмонии и пр.)
- ИБЛ на фоне экзогенного аллергического альвеолита
2. Идиопатические интерстициальные пневмонии:
- неспецифическая, десвамативная, острая, лимфоидная, криптогенная организующаяся;
- идиопатический легочный фиброз
3. Гранулематозные:
- ИБЛ на фоне саркоидоза, гранулематоза Вегенера, гемосидероза легких, экзогенного аллергического альвеолита
4. Ассоциированные с другими заболеваниями:
- патологией печени (хроническим гепатитом, первичным билиарным циррозом печени), кишечника (НЯК, болезнь Крона), ХПН
- наследственными заболеваниями (нейрофиброматозом)
- злокачественными опухолями
- ассоциированные с гистиоцитозом Х, лимфангиолейомиоматозом, легочным протеинозом, первичным амилоидозом легких.
Патоморфологическая классификация интерстициальных болезней легких различает следующие виды интерстициального фиброза: простой, десквамативный, лимфоцитарный, гигантоклеточный, а также облитерирующий бронхиолит с пневмонией.
Причины интерстициальных болезней легких
На сегодняшний день этиологические механизмы большинства ИБЛ остаются невыясненными. Достоверно можно говорить лишь о причинах интерстициальных болезней легких с известной этиологией. В их числе – ингалирование неорганических веществ, органической пыли, паров ртути; прием токсичных лекарственных средств (циклофосфамида, пеницилламина, блеомицина и др.), лучевая терапия.
В основе развития ИБЛ могут лежать рецидивирующие бактериальные, грибковые и вирусные пневмонии, туберкулез органов дыхания, респираторный дистресс-синдром, бронхоальвеолярный рак. Кроме этого, интерстициальные болезни легких могут сопутствовать коллагенозам, болезням крови (гемолитической анемии, тромбоцитопенической пурпуре, хроническому лимфолейкозу), наследственным заболеваниям и др. Самым значимым фактором риска ИБЛ является курение.
В патогенезе интерстициальных болезней легких выделяют острую, хроническую и терминальную стадии. В острую стадию поражение затрагивает легочные капилляры и альвеолярный эпителий, развивается внутриальвеолярный отек. В этот период может иметь место полная обратимость изменений или их прогрессирование. При переходе ИБЛ в хроническое течение отмечаются обширные повреждения легких (распространённый фиброз). В терминальную стадию происходит полное замещение альвеол и капиллярной сети фиброзной тканью с формированием расширенных полостей (легкое в виде «пчелиных сот»).
Симптомы интерстициальных болезней легких
Несмотря на многообразие этиологических форм ИБЛ, их клиническое течение во многом похоже и характеризуется общими и респираторными симптомами. Часто заболевание начинается исподволь, а проявления носят нечеткий, неспецифический характер.
Общая симптоматика может включать лихорадку, недомогание и быструю утомляемость, потерю массы тела. Определяющую роль в клинической картине интерстициальных болезней легких играют признаки дыхательной недостаточности. Наиболее ранним и постоянным симптомом служит одышка: вначале она возникает или усиливается только при нагрузке, затем становится постоянной и прогрессирующей. Одышка обычно носит инспираторный характер и сопровождается свистящими хрипами, что может быть ошибочно принято за бронхиальную астму.
Характерным симптомом ИБЛ является непродуктивный кашель – сухой или со скудной слизистой мокротой. К более поздним признакам ИБЛ относятся цианоз и формирование «пальцев Гиппократа». С большой частотой встречаются деформации грудной клетки. При тяжелых формах развивается легочно-сердечная недостаточность.
У детей интерстициальные болезни легких протекают с постоянным кашлем, стридором, часто сопровождаются формированием бронхоэктазов. Лица старше 70 лет болеют крайне редко, однако в старшем возрасте ИБЛ часто сопровождаются аритмиями, инфарктом миокарда, ОНМК.
Диагностика интерстициальных болезней легких
При осмотре больного пульмонологом обращает внимание тахипноэ, несоответствие выраженности одышки физикальным изменениям в легких. Во время аускультации на вдохе прослушиваются крепитирующие хрипы различной локализации. В крови – умеренный лейкоцитоз и повышение СОЭ; по данным ИФА – отрицательные серологические тесты на наличие Ат к микоплазме, легионеллам, риккетсиям. Проводится анализ газового состава крови и КЩС (артериальная гипоксемия на ранних этапах сменяется гиперкапнией в терминальной стадии).
Большую информационную ценность в диагностики интерстициальных болезней легких представляют рентгенологические методы (рентгенография и КТ легких). На ранних стадиях на рентгено- и томограммах можно увидеть деформацию и усиление легочного рисунка, мелкоочаговые тени, снижение прозрачности легочных полей ( феномен «матового стекла»); в дальнейшем развивается рентгенологическая картина интерстициального фиброза и картина «сотового легкого».
По данным спирометрии чаще обнаруживается рестриктивный тип нарушений легочной вентиляции, снижение легочных объемов. При развитии легочной гипертензии на ЭКГ обнаруживается гипертрофия миокарда правых отделов сердца. Диагностическая бронхоскопия позволяет провести бронхоальвеолярный лаваж; при ИБЛ в промывных вод бронхов преобладают нейтрофилы. Кроме этого, в ходе эндоскопического исследования может быть выполнена трансбронхиальная биопсия легких. Также в отдельных случаях прибегают к открытой или трансторакальной биопсии легочной ткани.
Лечение и прогноз интерстициальных болезней легких
Первым шагом в лечении ИБЛ должен стать отказ от курения, взаимодействия с вредными производственными факторами, токсическими лекарственными препаратами. Вся последующая терапия проводится параллельно с лечением основного заболевания.
В большинстве случаев препаратами первой линии при интерстициальных болезнях легких являются кортикостероиды (преднизолон), которые в течение 1–3 мес. назначаются в высоких дозировках с последующим переходом на поддерживающую дозу. При отсутствии положительной динамики в течение года назначаются цитостатики (циклофосфамид, азатиоприн, хлорамбуцил). Из других фармпрепаратов используются бронходилататоры (внутрь и в виде ингаляций), однако они эффективны только на стадии обратимой бронхиальной обструкции. При артериальной гипоксемии (РаО2
Исходами ИБЛ могут быть улучшение, стабилизация состояния, прогрессирование легочного фиброза, летальный исход, реже – спонтанный регресс изменений (например, при неспецифической интерстициальной пневмонии). Средняя продолжительность жизни пациентов колеблется от 1 года при болезни Хаммана-Рича до 10 и более лет при респираторном бронхиолите. Профилактика интерстициальных болезней легких возможна только в случае известной этиологии.
1. Интерстициальные заболевания легких: точка зрения практического врача/ Петров Д.В., Овсянников Н.В., Капралов Э.А., Капустьян О.В.// Практическая пульмонология. – 2014 - №1.
2. Интерстициальные заболевания легких: вопросы терминологии, классификации и эпидемиологии/ Гаврисюк В.К.
3. Патоморфология интерстициальных болезней легких: Учебно-методическое пособие/ Костылева О.А., Тусупбекова М.М., Ким Н.Б., Косицын Д.Л. – 2012.
Интерстициальная пневмония
Интерстициальная пневмония - прогрессирующий воспалительный процесс, затрагивающий стенки альвеол и соединительную ткань паренхимы, с возможной вторичной внутриальвеолярной экссудацией и исходом в фиброзную перестройку легочных структур. Заболевание сопровождается усиливающейся одышкой, сухим или с незначительной мокротой кашлем, болью в груди, субфебрилитетом, «теплым» цианозом, сердечно-легочной недостаточностью. Диагностика интерстициальной пневмонии включает анализ данных рентгенографии и КТ легких, дыхательных тестов, биопсии легких. При интерстициальной пневмонии применяются кортикостероиды, цитостатики, оксигенотерапия, ИВЛ.

Интерстициальная (идиопатическая интерстициальная) пневмония – первичное острое или хроническое воспаление межуточной ткани легких неясной этиологии, характеризующееся ее фибропролиферативными изменениями и снижением дыхательной функции. Клинико-патологическая классификация выделяет идиопатические интерстициальные пневмонии как отдельную группу интерстициальных болезней легких (ИБЛ), точную распространенность которых сложно оценить из-за редкого установления правильного диагноза.
Среди множества проблем пульмонологии интерстициальная пневмония занимает особое место, т. к. характеризуется длительным тяжелым течением, нередко неблагоприятным исходом из-за неуклонно прогрессирующей фиброзной и склеротической трансформации легких. При интерстициальной пневмонии почти всегда отмечается снижение качества жизни и инвалидизация больных.
Причины
Этиология идиопатической интерстициальной пневмонии до конца не изучена. К заболеванию может быть причастно нарушение иммунологического гомеостаза, а пусковым фактором выступает некий антиген, к которому организм начинает вырабатывать антитела. Развитие данной патологии могут провоцировать инфекционные агенты (микоплазмы, хламидии, пневмоцисты, легионеллы, риккетсии, респираторные вирусы, CMV, вирус герпеса) и определенные виды пыли.
Склонны к интерстициальной пневмонии курящие или ранее курившие лица, ВИЧ-инфицированные и больные СПИДом (преимущественно дети). Лимфоидная форма может сочетаться с аутоиммунными заболеваниями (синдромом Шегрена), иммунопатиями (гипо- и гипергаммаглобулинемиями). Курение – одна из главных причин десквамативной пневмонии и респираторного бронхиолита. Криптогенная организующаяся пневмония имеет обычно идиопатический характер, но возможна связь с коллагенозами или медикаментозной терапией амиодароном, препаратами золота.
Патогенез
Воспаление при интерстициальной пневмонии протекает по типу пневмонита (альвеолита), носит чаще всего иммунный неинфекционный характер, затрагивая, главным образом, альвеолярные стенки и внеальвеолярную соединительную ткань легких, иногда с вторичной организацией экссудата внутри альвеол. Для интерстициальной пневмонии характерно первичное воспаление интерстициальной ткани с накоплением в ней иммунокомпетентных клеток, выделяющих различные повреждающие медиаторы (оксиданты, интерлейкин-1 и др.) на ранней стадии и фиброгенные факторы, вызывающие развитие фибропролиферативных реакций, на поздней стадии.
Классификация
Группа интерстициальных пневмоний включает в себя различные патоморфологические формы заболевания. К ним относятся:
- обычная интерстициальная пневмония (идиопатический легочный фиброз/фиброзирующий альвеолит)
- неспецифическая
- острая (синдром Хаммена–Рича)
- десквамативная (макрофагальная)
- лимфоидная (лимфоцитарная)
- криптогенная организующаяся
- респираторный бронхиолит, ассоциированный с ИБЛ.
Поражение при интерстициальной пневмонии может быть очаговым или диффузным, а по объему может охватывать целую долю или все легкое.
Все варианты интерстициальной пневмонии имеют некоторые патогенетические, морфологические и клинические отличия, особенности течения и прогноза:
- Идиопатический легочный фиброз (ИЛФ). Типичны нарушение архитектоники легких гетерогенного характера, рубцевание интерстициальной ткани, «сотовая» трансформация легких с множеством тонкостенных полостей без содержимого и инфильтрации, фокусы фибробластов.
- Неспецифическая интерстициальная пневмония (НСИП) имеет картину однородных воспалительных изменений интерстиция и фиброза с редким возникновением фибробластических фокусов. При острой интерстициальной пневмонии (ОИП) наблюдаются резкий отек альвеолярных стенок, образование внутри альвеол экссудата и гиалиновых мембран, частое развитие интерстициального фиброза.
- Криптогенная организующаяся пневмония (КОП), или облитерирующий бронхиолит с организующейся пневмонией протекает с сохранением легочной архитектоники, организованным внутриальвеолярным экссудатом и диффузными полипообразными грануляциями в бронхиолах.
- Десквамативная интерстициальная пневмония (ДИП). При десквамативной форме возникает незначительное равномерное воспаление интерстиция легочной паренхимы со скоплением альвеолярных макрофагов в выстилке альвеол.
- Лимфоидная интестициальная пневмония (ЛИП) проявляется сочетанием гомогенной выраженной лимфоцитарной инфильтрации интерстиция и перибронхиальных лимфоидных фолликулов.
- Респираторный бронхиолит. Типична бронхоцентричная миграция альвеолярных макрофагов при минимальных признаках воспаления и фиброза альвеол и интерстиция.
Наиболее часто встречаются идиопатический легочный фиброз и неспецифическая форма интерстициальной пневмонии. ИЛФ более характерен для пожилых мужчин (средний возраст 65 лет), прочие формы ИИП чаще выявляются у пациенток женского пола (35-55 лет), а неспецифическая и десквамативная иногда возникают у детей.
Симптомы интерстициальной пневмонии
Хроническое течение (более 12 месяцев) свойственно ИЛФ и ЛИП; подострое/хроническое – НСИП; подострое (месяцы и годы) – ДИП и РБ; острое/подострое – КОП; внезапное – ОИП. Клинические формы интерстициальной пневмонии сопровождаются малопродуктивным (сухим или с незначительной мокротой) кашлем, затруднением дыхания (ощущением «неполного вдоха») и нарастающей одышкой, сначала выраженной при нагрузках, затем в покое. Возникают боли в груди, эпизоды внезапной нехватки воздуха по ночам. Одышка ограничивает активность пациента, сопровождается быстрой утомляемостью, плохим сном, иногда потерей веса.
Симптомы бронхиальной обструкции при ИЛФ наблюдаются только у 4 % больных, значительно чаще они отмечаются при десквамативной форме. У больных может обнаруживаться «теплый» цианоз кожных покровов, который постепенно охватывает все тело. При КОП, НСИП, ЛИП возможна лихорадка. Проявления криптогенной формы часто напоминают симптомы бактериальной пневмонии. Для ИЛФ, неспецифической, десквамативной и лимфоцитарной интерстициальных пневмоний типичны «пальцы Гиппократа».
ИЛФ имеет незаметное начало с медленным нарастанием одышки и кашля, общей слабости, болей в мышцах и суставах, отсутствием лихорадки и кровохарканья. Прогрессирование этой формы сопровождается похуданием (вплоть до кахексии), развитием дыхательных нарушений, первичной легочной гипертензии. Тяжелая дыхательная недостаточность с проявлениями легочного сердца при ИЛФ может сформироваться за период от 2-х месяцев до 2-х лет.
Симптомы острой интерстициальной пневмонии (синдрома Хаммена–Рича) схожи с клиникой гриппа и острого респираторного дистресс-синдрома. Наблюдается молниеносное течение с быстро прогрессирующей дыхательной недостаточностью и высоким процентом летальных исходов.
Осложнения
Осложнениями интерстициальной пневмонии могут быть карнификация легкого с формированием пневмосклероза, развитие «сотового» легкого, дыхательной и сердечной недостаточности, присоединение вторичной бактериальной инфекции. Стадию «сотового» легкого при интерстициальной пневмонии определяют как прогностически неблагоприятную в плане возникновения рака легкого.
Диагностика
Диагностика интерстициальной пневмонии затруднена, основана на результатах анамнеза, физикального осмотра, рентгенографии и КТ легких, исследования ФВД (спирометрии, бодиплетизмографии); торакоскопической или открытой биопсии легких.
При интерстициальной пневмонии выявляется мягкая крепитация: на ранней стадии, в основном, в прикорневых сегментах легких, на поздней - по всем легочным полям и в верхушках легких. Для ИЛФ типична инспираторная крепитация по типу «треска целлофана». Отмечаются жесткое дыхание, влажные или сухие мелкопузырчатые хрипы в легких. При перкуссии имеется небольшое укорочение звука, соответствующее области поражения. Инструментальная диагностика включает:
- Функциональные дыхательные тесты. Выявляют нарушение вентиляции и расстройства диффузионной способности легких (при ИЛФ - рестриктивного типа с резким и крайне резким снижением легочных объемов).
- Рентгенография. Рентгенологическими признаками интерстициальной пневмонии могут являться симметричные полупрозрачные затемнения по типу «матового стекла», в основном в нижних отделах легких; утолщение междолькового и внутридолькового интерстиция; кистозно-фиброзные изменения, периваскулярная и перибронхиальная инфильтрация и тракционные бронхоэктазы.
- КТ высокого разрешения. Помогает уточнить распространенность поражения легочной ткани, оценить стадию, активность и темпы прогрессирования фиброзного процесса.
- Биопсия. Важным этапом диагностики интерстициальной пневмонии является биопсия легкого с гистологическим анализом биоптатов легочной ткани.
- ЭхоКГ. Эхокардиографические симптомы нарушения гемодинамики в малом круге кровообращения отмечаются только при достаточно высоких показателях площади фиброзных изменений в легких.
Дифференциальная диагностика интерстициальной пневмонии проводится с бактериальной пневмонией, туберкулезом, другими ИБЛ. Лечебно-диагностические мероприятия при интерстициальной пневмонии подразумевают взаимодействие пульмонолога, торакального хирурга, врача-рентгенолога, патоморфолога.

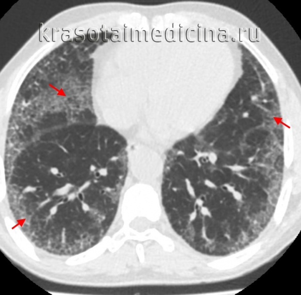
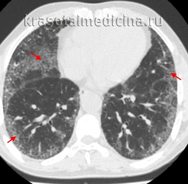
КТ ОГК. Интерстициальная пневмония, участки «матового стекла» (красная стрелка) и ретикулярные изменения.
Лечение интерстициальной пневмонии
Ранняя диагностика интерстициальной пневмонии положительно влияет на эффективность лечения и прогноз. В случае острой формы интерстициальной пневмонии поддержание дыхательной функции осуществляется с помощью оксигенотерапии и искусственной вентиляции легких. Лечение других форм базируется на применении глюкокортикостероидов (ГКС) и цитостатиков, способных оказывать выраженное противовоспалительное и иммуносупрессивное действие.
При НСИП, КОП, РБ-ИБЛ, ДИП и ЛИП показаны высокие или средние дозы преднизолона длительным курсом, при необходимости добавление цитостатических препаратов. Отказ от курения - обязательное условие разрешения десквамативной интерстициальной пневмонии и респираторного бронхиолита, ассоциированного с ИБЛ. При ИЛФ используют ГКС-монотерапию и более предпочтительные комбинации с азатиоприном или циклофосфамидом на протяжении как минимум 6 мес. с тщательным мониторингом состояния больного.
В качестве дополнительных применяются антифиброзные препараты (D-пеницилламин, колхицин, интерферон γ-1b). При развитии гипоксемии рекомендована кислородотерапия, при легочной гипертензии – вазодилататоры. Эффективно применение препаратов, влияющих на функциональную активность эндотелия - простагландинов, антиагрегантов, ингибиторов эндотелина-1, антиоксидантов. При формировании «сотового легкого» единственным методом лечения интерстициальной пневмонии является трансплантация легких.
Прогноз
Исход интерстициальной пневмонии зависит от формы заболевания и выраженности фиброза легких. Выживаемость больных в среднем составляет 5-6 лет, при ИЛФ с развитием пневмосклероза и сердечно-легочной недостаточности продолжительность жизни не превышает 3 лет. Острая интерстициальная пневмония даже при своевременном лечении имеет очень высокие показатели смертности - до 50-70%.
Клиническое улучшение и стабилизация состояния пациента в результате лечения неспецифической интерстициальной пневмонии наступает примерно в 75% случаев; около 35% больных имеют 10-летнюю выживаемость. При десквамативной форме улучшение/стабилизация наблюдаются в 2/3 случаев, а 5- и 10-летняя выживаемость достигает 93 и 69%, возможна полная ремиссия.
Большинство случаев лимфоцитарной интерстициальной и криптогенной организующейся пневмонии имеют благоприятный прогноз. РБ-ИБЛ часто разрешается при прекращении курения, в некоторых случаях имеет место упорное прогрессирование с рецидивами. Больным ИЛФ регулярно проводится вакцинация против гриппа и пневмококковой инфекции.
1. Неспецифическая интерстициальная пневмония/ Авдеев С.Н., Авдеева О.Е.// Практическая пульмонология. – 2007.
2. Морфологические особенности и механизмы прогрессирования идиопатических хронических интерстициальных пневмоний: Автореферат диссертации/ Мануйлова Т.Ю. – 2005.
3. Компьютерная томография высокого разрешения в дифференциальной диагностике интерстициальных пневмоний: Автореферат диссертации/ Абович Ю.А. – 2003.
Общее описание идиопатических интерстициальных пневмоний (Overview of Idiopathic Interstitial Pneumonias)
Идиопатические интерстициальные пневмонии (ИИП) – это интерстициальные заболевания легких Обзор интерстициальных заболеваний легких (Overview of Interstitial Lung Disease) Интерстициальные заболевания легких – это гетерогенная группа заболеваний, которые характеризуются утолщением межальвеолярных перегородок, пролиферацией фибробластов, отложением коллагена и. Прочитайте дополнительные сведения неизвестной этиологии, которые имеют сходную клиническую и рентгенологическую картину; их можно дифференцировать только при гистологическом исследовании. ИИП делятся на 8 гистологических подтипов, которые характеризуются различной степенью воспалительной реакции и фиброза и сопровождаются одышкой. Диагноз устанавливается при анализе данных анамнеза, объективного обследования, КТ высокого разрешения, результатов лучевых методов исследований, исследования функции легких и биопсии легкого. Лечение зависит от подтипа. Прогноз зависит от подтипа и варьирует в широких пределах.
8 гистологических подтипов IIP, в порядке убывания частоты встречаемости
Идиопатический легочный фиброз Идиопатический легочный фиброз Идиопатический легочный фиброз (ИЛФ), наиболее распространенная форма идиопатической интерстициальной пневмонии, вызывает прогрессирующий фиброз легких. Жалобы и симптомы появляются постепенно. Прочитайте дополнительные сведенияПодтипы характеризуются различной степенью интерстициального воспаления и фиброза ( 1 Общие справочные материалы Идиопатические интерстициальные пневмонии (ИИП) – это интерстициальные заболевания легких неизвестной этиологии, которые имеют сходную клиническую и рентгенологическую картину; их можно дифференцировать. Прочитайте дополнительные сведения ). Все они вызывают одышку; на КТ высокого разрешения (КТВР) наблюдается диффузные аномалии, а при биопсии – воспаление и/или фиброз. Тем не менее подтипы необходимо дифференцировать, поскольку они имеют разную клиническую картину (см. таблицу Особенности идиопатических интерстициальных пневмоний Особенности идиопатических интерстициальных пневмоний* ) и по-разному отвечают на лечение.
Общие справочные материалы
1. Travis WD, Costabel U, Hansell DM, et al: An Official American Thoracic Society/European Respiratory Society Statement: Update of the International Multidisciplinary Classification of the Idiopathic Interstitial Pneumonias. Am J Respir Crit Care Med 188 (6):733–748, 2013.
Симптомы и признаки идиопатических интерстициальных пневмоний
Симптомы и признаки идиопатической интерстициальной пневмонии, как правило, неспецифичны. При физической нагрузке типичны кашель и одышка, с вариьрующими началом и прогрессированием. Распространенные признаки включают тахипноэ, сниженную экскурсию грудной клетки, сухие хрипы в нижних отделах в конце вдоха и дискретное пощелкивание.
КТ высокого разрешения (КТВР)
Исследование функции легких
Иногда хирургическая биопсия легки
Идиопатическую интерстициальную пневмонию следует заподозрить у любого пациента с интерстистициальным заболеванием легких неясной этиологии. Для постановки диагноза требуется участие клиницистов, рентгенологов и патоморфологов. Проводится системная оценка возможных причин (см. таблицу Причины интерстициальных заболеваний легких Причины интерстициальных заболеваний легких ). Информативность диагностических исследований зависит от правильного сбора анамнеза:
Семейный анамнез заболеваний легких, особенно фиброза легких
Курение (поскольку некоторые заболевания развиваются в основном у настоящих или бывших курильщиков)
Прием препаратов в настоящее время и в прошлом
Детальный опрос относительно производственных и бытовых условий, в том числе у членов семьи
Получают хронологический перечень полной истории трудоустройств пациента, включая специальные обязанности и известные случаи воздействия органических или неорганических агентов (см. таблицу Причины интерстициальных заболеваний легких Причины интерстициальных заболеваний легких ). Если воздействие имело место, необходимо определить его степень и продолжительность, узнать, сколько времени прошло от момента воздействия до начала заболевания, и пользовался ли пациент средствами защиты.
Выполняют ренгеноскопическое исследование грудной клетки, которое обычно является аномальным, однако наблюдения не являются достаточно специфичными для дифференцирования между различными типами.
Часто выполняют исследования функции легких Исследование функции легких (Overview of Tests of Pulmonary Function) При исследовании функции легких определяются скоростные и объемные показатели, показатели газообмена и функции дыхательных мышц. Основные функциональные легочные тесты, доступные в амбулаторных. Прочитайте дополнительные сведения для оценки тяжести физиологического нарушения, однако они не помогают дифференцировать различные типы. К типичными результатами относится рестриктивная физиология со сниженными объемом и диффузионной способностью легких. Гипоксемия часто проявляется во время физических упражнений и может присутствовать также во время покоя.
КТВР, которая позволяет отличить воздушное пространство от интерстициального заболевания, является наиболее полезным анализом и выполняется всегда. Он позволяет точно судить о потенциальной этиологии, степени и распространения заболевания и с большей вероятностью позволяет обнаружить основное или сопутствующее заболевание (например, скрытую медиастинальную лимфаденопатию, рак, эмфизему). КТВР следует выполнять при положении пациента лежа на спине и на животе, и должна включать динамическую дыхательную визуализацию для того, чтобы подчеркнуть данные, свидетельствующие о вовлечение небольших дыхательных путей.
Лабораторные параметры анализируют у пациентов, имеющих клинические проявления заболевания соединительной ткани, васкулита или воздействия факторов окружающей среды. Такие анализы могут включать тесты на антинуклеарные антитела, ревматоидный фактор и другие более специфические серологические тесты для заболеваний соединительной ткани (например, рибонуклеопротеин [RNP], антитела к антигенам Ro [SSA], антитела к антигенам LA [SSB], склеродермальные антитела [scl70], антитела к Jo-1).
Бронхоскопическая трансбронхиальная биопсия может помочь дифференцировать интерстициальное заболевание легких (например саркоидоз Саркоидоз Саркоидоз – это воспалительное заболевание, которое приводит к образованию неказеозных гранулем в одном или более органах и тканях; его этиология неизвестна. Чаще всего поражаются легкие и лимфатическая. Прочитайте дополнительные сведенияКриобиопсия – методика, при которой легочная ткань быстро замораживается непосредственно перед удалением, рассматривается в качестве вспомогательного средства для диагностики некоторых интерстициальных заболеваний легких. Количество полученной ткани больше, чем при трансбронхиальной биопсии, но меньше, чем при хирургической биопсии легких. Основными осложнениями вмешательства являются кровотечение и пневмоторакс Метод криобиопсии в настоящее время находится в состоянии исследования и его применение не рекомендуется международными стандартами; место данного метода в диагностике еще предстоит установить.
Если анализ истории и КТВР не являются информативными для постановки диагноза, для его подтверждения требуется хирургическая биопсия легкого. Предпочтительна биопсия из нескольких участков с помощью процедуры ВАТС (видеоторакоскопия, видеоассистированная торакоскопическая операция).
Читайте также:
