Операция при амелобластоме. Одонтома
Добавил пользователь Евгений Кузнецов Обновлено: 27.01.2026
В стационаре проводится комплексное обследование пациентов с использованием компьютерной томографии, ультразвукового исследования, рентгенографии.
В отделении ЧЛРВиПХ осуществляется консультация и лечение пациентов от 18 лет.
Госпитализация и лечение проводится:
по ВМП ( высокотехнологичная медицинская помощь),
ОМС (в рамках программы обязательного медицинского страхования)
на платной основе
Медицинская помощь оказывается высококлассными специалистами в современных операционных, с применением инновационных технологий и материалов. Большинство врачей-специалистов Клинического Центра «Челюстно-лицевой, реконструктивно-восстановительной и пластической хирургии» Клиники МГМСУ им. А.И. Евдокимова имеют квалификационную категорию и ученую степень, одновременно являясь сотрудниками кафедр МГМСУ, расположенных в здании Клинического центра, они занимаются не только лечебной работой, но также и научно-педагогической деятельностью.
Пациентам проводят операции по следующим заболеваниям:
Лечение воспалительных заболеваний челюстно-лицевой области.
Вскрытие абсцессов и флегмон ЧЛО
Лечение сиалоаденита подчелюстной слюнной железы, паротита
Синусотомия (при синусите верхнечелюстной пазухи)
Синусотомия с пластикой свища альвеолярного отростка
Лечение травматические повреждения челюстно-лицевой области.
Пластика мыщелкового отростка нижней челюсти конструкциями их титана
Лечение врожденных аномалий челюстно-лицевой области.
Устранение дефектов и деформаций ЧЛО
Лечение болезней нервной системы челюстно-лицевой области.
Лечение доброкачественных опухолевидных образований челюстно-лицевой. области.
Косметическое эндопротезирование орбиты,
Устранение приобретенных дефектов и деформаций ЧЛО,
Свободная пересадка тканей,
Коррекция анофтальмического синдрома,
Эндоназальная эндоскопическая микрохирургическая коррекция нарушения слезоотведения,
Реканализация по Ритленгу,
Пластика верхних век,
Удаление избытков кожи,
Удаление избытков кожи и грыж,
Формирование складки верхнего века,
Пластика лица (face-lifting),
Стандартная подтяжка кожи лица,
Подтяжка кожи лица и верхних отделов шеи,
Подтяжка кожи лица и верхних отделов шеи с перемещением поверхностного мышечно-
Контурная пластика индивидуальными имплантатами височной, щечной, скуловой областей,
Липосакция подбородочной области,
Подтяжка кожи в области шеи с отслойкой и пластикой подкожной мышцы шеи,
Пластика нижних век,
Удаление избытков кожи и грыж,
Удаление грыж трансконъюнктивально (без разрезов кожи),
Пластика нижних век с устранением слезной борозды,
Пластика нижних век в одновременным подъемом тканей щек и расправлением носогубных складок,
Операция при амелобластоме. Одонтома
Операция при амелобластоме. Одонтома
Различные авторы рекомендуют в случае монокистозной опухоли аккуратное вылущивание, в случае же поликистозной опухоли — во всех без исключения случаях удаление опухоли в пределах здоровой костной ткани.
Операция как монокистозной, так и поликистозной опухоли может быть произведена амбулаторно при местном обезболивании в том случае, если внутриротовой рентгеновский снимок показывает, что опухоль нижней челюсти не доходит до границы нижнечелюстного канала или что опухоль верхней челюсти не приближается к основанию верхнечелюстной пазухи.
Небольшую блок-резекцию выполняют следующим образом. При локализации опухоли в области, соответствующей альвеолярному сегменту нижнего первого большого коренного зуба, производят два параллельных вертикальных разреза как со стороны преддверия, так и с язычной стороны, проходящих по продольной оси второго малого и второго большого коренных зубов до переходной складки. После этого на обеих поверхностях концы вертикальных разрезов соединяют горизонтальным разрезом. Из полученных углов в медиальном и дистальном направлениях делают по полуторасантиметровому наклонному разрезу.
Затем мягкие ткани по обеим сторонам альвеолярного отростка отсепаровывают так, чтобы слизистая оболочка, покрывающая опухоль, осталась невредимой. После удаления второго малого и второго большого коренных зубов небольшой шаровидной хирургической фрезой по двум вертикальным и одной горизонтальной линиям в здоровой костной ткани просверливают отверстия. Ограниченный отверстиями костный участок (блок) удаляют выдалбливанием. Артериальное или значительное венозное кровотечение из костной ткани останавливают ударами молотка по инструменту с тупым концом. Острые края кости удаляют костными кусачками Луэра и большой хирургической фрезой. Костную рану закрывают путем соединения краев мягких тканей узловатыми швами.
Опухоль, ввиду ее инфильтрирующего роста, склонна к рецидиву. Поэтому в послеоперационный период необходим систематический контроль.

Одонтома
Одонтома имеет две стадии развития: безызвестковую (мягкую) и созревшую с содержанием извести (твердую). По существу, одонтобластома — опухоль, содержащая известь, накапливающуюся в результате истощения зубообразующей активности клеток.
Odontoma complex — такое сочетание обызвествленных эмаледентинных и цементных тканей округлой формы, которое не напоминает анатомическую форму зуба. Так как новообразование препятствует прорезанию соседнего зубного зародыша, оно очень часто сопровождается ретенцией зуба нормальных размеров. Опухоль от величины горошины может вырасти до больших размеров. Как правило, ее окружает капсула из соединительной ткани. Иногда ее нельзя отличить от окружающей костной ткани (odontoma ankyloticum Thoma) ни на рентгеновском снимке, ни при операции.
Опухоль растет в теле челюсти, нередко — в ткани угла челюсти. В процессе роста она вызывает рассасывание и в компактной ткани челюсти, особенно в язычном направлении. Над твердой частью опухоли, покрытой лишь мягкими тканями (надкостницей, слизистой оболочкой), в результате травмы и инфицирования со стороны полости рта может образоваться гнойный периостит и даже периодонтомный остеомиелит. В ходе последнего одонтома может проявиться в качестве секвестра.
На рентгеновском снимке хорошо видны: узкая темная опоясывающая линия, соответствующая капсуле вокруг опухоли, с большим содержанием извести, а также ретинированный зуб. Если на внутриротовом рентгеновском снимке виден лишь один сегмент одонтомы, то необходимо сделать большее число внутриротовых снимков. При опухоли нижней челюсти необходим также внеротовой снимок.
Опухоль обычно удаляют внутриротовым путем при местном обезболивании. Если из-за большой распространенности и локализации опухоли для ее удаления потребуется внеротовая операция, то она должна производиться в стационаре.
При внутриротовой операции делают вспомогательный вертикальный разрез от области опухоли медиально на ширину, соответствующую альвеолярному сегменту, по крайней мере, одного зуба. Затем производят разрез по краю десны. При опухоли верхней челюсти, если она расположена близко к верхнечелюстной пазухе, вертикальный разрез делают по продольной оси бокового резца, производя тем самым разрез края десны для предупреждения возможной перфорации гайморовой полости с образованием свища между нею и преддверием полости рта. Не только близ пазухи, но и вообще опухоль после удаления слоя покрывающей ее кости удаляют по частям костной фрезой Линдемана. В случае более распространенной опухоли нижней челюсти путем удаления кускованием предупреждают перелом челюсти.
Информация на сайте подлежит консультации лечащим врачом и не заменяет очной консультации с ним.
См. подробнее в пользовательском соглашении.
Рецидивирующая амелобластома: клинический случай
Амелобластома является распространенной локализированной агрессивной доброкачественной одонтогенной опухолью ротовой полости эпителиального происхождения. Впервые данная патология была описана Cusack в 1827 году, а имя ей дали Ivy and Churchill в 1930.

Согласно классификации ВОЗ от 2005 года, выделяют 4 подтипа доброкачественной амелобластомы: (1) солидные / многокистовые, (2) десмопластические, (3) однокистовые и (4) экстракостные / периферические. Гистологически можно продифференцировать 6 подтипов опухоли, серди которых фолликулярная, плексиформная, акантоматозная, базальная, однокистовая и десмопластическая. Лечение проводиться либо консервативным путём, либо радикально, в зависимости от типа, локализации и размера поражения, а также с учетом возраста пациента. Систематический обзор Almaida и коллег позволил установить, что 50% рецидивов опухоли отмечаются именно при фолликулярном ее подтипе, а частота развития таковых сокращается при реализации радикального алгоритма лечения. В данной статье описаны два случая рецидива амелобластомы у пациентов, которым была проведена сегментарная резекция челюсти.
Клинический случай 1
46-летний пациент обратился за помощью в частную стоматологическую клинику с жалобами на припухлость в области предварительно проведенной операции, охватывающей участок нижней челюсти справа. По данным медицинской документации было установлено, что около 15 лет назад пациенту была проведена сегментарная резекция челюсти с дальнейшей аугментацией сформированного дефекта аугментатом из области ребер. Данных о гистопатологических характеристиках поражения в медицинской карте пациента указано не было. После проведения КТ-сканирования и ортопантомографии было обнаружено мультилокулярное рентгенпрозрачное поражение в области предварительно проведенного оперативного вмешательства (фото 1).
Фото 1: 3-мерная реконструкция КТ-скана, демонстрирующего рецидивирующую опухоль в области аугментата с поражением суставного отростка.

Клинически был поставлен диагноз рецидивирующей амелобластомы мультикистозного типа с поражением костного аугментата. Разрез в области опухоли проводили на расстоянии 1 мм от края непораженных патологией мягких тканей через уже имеющийся от предварительной операции контур шрама (фото 2-3). Образец, забранный для гистологии, позволил поставить диагноз фолликулярной амелобластомы с акантоматозными изменениями и свободным краями. Через 1 год после операции признаков рецидива не отмечалось. Таким образом, планировалось провести аллопластическую реконструкцию нижней челюсти с правой стороны, учитывая доброкачественную природу опухоли.
Фото 2: Вид обнаженной опухоли во время операции.

Фото 3: Хирургический образец.

Клинический случай 2
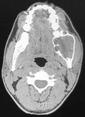
45-летний пациент обратился за помощью в отделение челюстно-лицевой хирургии с жалобами на отек в правой височной области. Припухлость не провоцировала болевых ощущений и развивалась на протяжении месяца, увеличиваясь в размерах. Признаков инфицирования в области поражения отмечено не было. В 2012 году пациент уже обращался с аналогичной проблемой в частную стоматологическую клинику. На ортопантомограмме и КТ-срезах было идентифицировано мультикистозное поражение. После биопсии стало понятно, что проблемная опухоль является амелобластомой. Пациенту была проведена процедура гемимандибулектомии. Прямо во время операции была проведена рентгенография хирургического образца опухоли для анализа состояния тканей на расстояние 1,5 см от визуализированного клинически края опухоли. Гистологический анализ подтвердил диагноз амелобластомы с атипичными признаками и мультиклеточной структурой. В 2016 году у пациента опять была отмечено припухлость в правой височной области. На МРТ было идентифицировано неоднородное усиление сигнала в данному участке размером 4,4 см × 3,7 см × 4,6 см с наличием крошечных кистозных включений (фото 4). Через доступ по скуловой кости было проведено удаление опухоли с определенным объемом окружающих тканей (фото 5-6). Сформировавшийся дефект восстановили посредством височной мышцы. После гисотоанализа хирургического образца тканей был подтверждён диагноз амелобластомы с неинвазивными краями. В данное время пациент находиться на этапе мониторинга.
Фото 4: КТ-срез, сделанный до проведения операции: визуализация рецидивирующей амелобластомы в подвисочной ямке.

Фото 5: Визуализация костного дефекта после удаления опухоли, который затем был восстановлен посредством височной мышцы.

Фото 6: Иссеченный образец тканей.

Ahlem и коллеги установили, что активность биомаркеров Ki67 и CD10 была значительно выше в рецидивирующих типах опухолей по сравнению с первичными. Как правило, амелобластома поражает задние участки нижней челюсти. Инфильтрация поражения происходит в губчатую часть кости с меньшим вовлечением кортикальной составляющей. Метод КТ-сканирования для диагностики опухоли является наиболее информативным при поражении кортикальной структуры кости и распространении поражения уже и на окружающие мягкие ткани. Лечение опухоли может быть консервативным или радикальным. Консервативный подход предусматривает энуклеацию новообразования с дальнейшей химической каутеризацией или периферической остеоэктомией с расширением границ иссечения на 1-1,5 см от визуализированного края опухоли. Консервативный подход лечения является более эффективным в случаях монокистозного типа образования. Согласно данным Pogrel и Montes, однокистозные амелобластомы лучше всего поддаются консервативному лечению с использованием Carnoy или принципов криотерапии. Радикальный подход показан в случаях больших амелобластом при распространении поражения на область нижнего альвеолярного нерва, или же в случаях агрессивной природы опухоли. Радикальный метод лечения предусматривает проведение маргинальной или сегментарной резекции с удалением объема смежных костных тканей на 1,5-2 см от визуализированного края опухоли. Для подтверждения факта распространения опухоли на смежные ткани рекомендуется проводить контрольную рентгенографию прямо во время хирургического вмешательства. В случаях амелобластной карциномы иссечение костных тканей рекомендуется проводить на расстоянии 2-3 см от визуализированного края опухоли. Рецидив амелобластомы чаще всего связан с гистологическим типом поражения и ее локализацией. Солидный вариант новообразования является наиболее агрессивным. Чаще всего амелобластома встречается в дистальных участках нижней челюсти и поражает губчатую составляющую кости по механизму инвазии, достигая кортикальной пластинки и провоцируя ее перфорацию. После проникновения опухоли в периост, повышается риск ее дальнейшего распространения на окружающие мягкие ткани. Неадекватная резекция поражения повышает риск ее возможного рецидива во время дальнейшего наблюдения. Случаи рецидивов амелобластомы уже были описаны Grafft, Carvalho, Dolan, Marinelli, Stea, Zacharides, Vasan, Bianchi, Martins и Favaro,Su, Choi, Вasat.
В большинстве описанных рецидивов восстановление участка дефекта после операции проводилось посредством подвздошного трансплантата. Случаи рецидива амелобластомы после радикального лечения были описаны в исследованиях Sehdev, Shatkin и Hoffmeister, Mehlisch, Muller и Slootweg, Olaitan, Ueno, Eckhardt, Nakamura. Известно, что частота рецидивов при консервативном лечении значительно выше (60%), чем при радикальном (13%). Риск развития рецидивов при хирургическом иссечении амелобластомы может быть связан с ретенцией эпителиальных конгломератов новообразования в структуре окружающих мягких тканей. В описанном первом клиническом случае ткань аугментата поддалась туморогенезу, очевидно, из-за оставшихся клеток опухоли в области проведенной остеоэктомии. Поэтому перед началом реконструкции солидных амелобластом рекомендовано проводить контроль чистоты края иссеченных тканей посредством контрольной рентгенографии. Еще лучше дождаться результатов гистологического анализа образца тканей, забранных в ходе операции. Опухоли в области инфрависочной ямки, как правило, являются бессимптомными, и основной жалобой пациентов остаются лишь признаки припухлости и деформации лица. Подвисочная ямка является пирамидообразной структурой, которая находиться на латеральной поверхности основы черепа, глубже височной дуги, жевательной мышцы и ветви нижней челюсти. Медиальная часть ветви нижней челюсти и дно черепа формируют верхнюю поверхность пирамидообразной структуры. Переднемедиальная часть подвисочной ямки соответствуют задней поверхности верхней челюсти, а задненижняя часть сформирована крыловидной фасцией. По сути, подвисочная ямка является анатомически недоступной, поэтому промониторить неопластической рост в ее структуре практически невозможно.
Диагностика и планирование лечения при локализация амелобластом в подвисочной ямке должно включать использованием методов КТ та МРТ, которые позволяют установить объективный уровень распространения опухоли. Обычная рентгенография в подобных случаях не является достаточно информативной. Доступ к подвисочной ямке может быть сформирован трансорально, трансназально, транспалатинально, через скуловую кость, трансцервикально, и даже через расширенный верхнечелюстной доступ. Доступ через область скуловой кости является одним из наиболее подходящим как для резекции неоплазии, так и для формирования височного лоскута. Выбор хирургического подхода зависит от типа опухоли, клинических признаков, гистологического подтипа, степени распространения и локализации.
Во втором клиническом случае рецидив может быть связан с сохранением периоста во время предварительно выполненной операции. Именно в надкостнице могли и сохранится конгломераты неопластических клеток. Более расширенная резекция позволяет удалить все поддавшиеся неопластической инвазии ткани, и, таким образом, минимизировать риск развития рецидива. Carlson и Marx описали необходимость удаления всех анатомических структур, смежных с областью опухоли с профилактической целью. Такой подход является обоснованным при подтверждении инвазии опухоли в окружающие мягкие и тверды ткани, поскольку случаи рецидивов амелобластом сообщались даже через 30 лет после первичного удаления поражения. Laborde и Becelli описали, что в случаях 7 пациентов признаков рецидива опухоли после лечения не наблюдалось, при этом врачи использовали подход с обширным иссечением окружающих тканей.
Подобные отчеты были предоставлены также Vayvada, Chaine и Basat. Vaishampayan предполагал, что рецидив амелобластомы после ее иссечения из области подвисочной ямки связан с ретенцией ослабленного отростка нижней челюсти после выполнения процедур сегментарной резекции. Peacock и коллеги пришли к выводу, что полноту иссечения опухоли можно проверить не только посредством гистологического исследования, но и с помощью обычной рентгенографии. Хотя в нескольких публикациях указывается на резистентность амелобластом к брахитерапии, однако облучение рецидивирующих типов поражения высокыми дозами облучения в 110 Гр характеризовалось достаточно успешным результатом.
Во время лечения амелобластом мы рекомендуем придерживаться следующих рекомендаций:
- С целью контроля степени инвазии больших амелобластом в окружающие мягкие ткани необходимо использовать метод МРТ-исследования.
- Для контроля полноты иссечения неопластических тканей в ходе операции необходимо использовать контрольную рентгенографию.
- Края резекции опухоли должны быть расширены для минимизации риска рецидива опухоли в будущем.
- После подтверждения чистоты рабочего поля необходимо проводить хирургическую реконструкцию костного дефекта, сформировавшегося после удаления опухоли.
- Мониторинг за областью предварительной локализации амелобластом после их резекции является обязательным и должен предусматривать использование методом КТ и МРТ контроля.
Выводы
По данным анализа двух клинических случаев мы может резюмировать, что солидный тип амелобластом является крайне агрессивным и характеризуется высоким уровнем рецидива. Во время лечения необходимо учитывать риск инвазии опухоли в окружающие мягкие ткани, а также то, что опухоль в процессе прогрессирования может спровоцировать эрозию кортикального шара нижней челюсти. Для более глубокого понимания природы развития амелобластом необходимо провести ряд дополнительных клинических и гистологических исследований.
Авторы: Chithra Aramanadka, Abhay Taranath Kamath, Adarsh Kudva (Индия)
Амелобластома челюсти

В клинике Ассута лечением амелобластомы занимается многопрофильная врачебная команда, включающая в себя: отоларинголога, челюстно-лицевого хирурга, патолога и онколога, а также при необходимости экспертов в других областях медицины.
Клиницисты больницы Ассута обладают большим опытом первичной и дифференциальной диагностики редких опухолей. Располагая мощным лабораторным оборудованием, патологи исследуют образцы клеток опухоли, чтобы определить ее гистологический тип (существуют различные виды амелобластом) и характер (доброкачественный или злокачественный). Эта ценная информация необходима врачу для выбора эффективной стратегии лечения.
Во всех случаях, когда у пациента диагностируется амелобластома челюсти, лечение в Израиле предполагает персонализированный подход. При составлении терапевтического протокола врачи клиники Ассута учитывают такие факторы, как размер, местоположение и степень распространения опухоли, а также индивидуальные особенности пациента и его личные предпочтения.
Лечение, как правило, хирургическое. Поскольку удаление амелобластомы может негативно повлиять на внешний вид, а также функцию глотания и речи, пациентам часто требуются реконструктивные операции. Известные на весь мир своим мастерством израильские пластические хирурги проводят уникальные операции, позволяющие восстановить внешность и функциональные способности. В клинике Ассута с перенесшими операцию пациентами работают врачи: диетологи, логопеды, стоматологи-ортопеды, физиотерапевты и реабилитологи,
Методы лечения амелобластомы в Израиле

Химиотерапия и лучевая терапия, по всей видимости, не оказывают никакого значимого влияния на большинство видов незлокачественных амелобластом, поэтому их обычно лечат хирургическим путем. Несмотря на доброкачественный характер, амелобластомы челюсти неуклонно проникают в окружающие ткани, разрушая их. Обычная амелобластома прорастает в окружающую кость и выходит за видимые рентгенологические границы. Частота рецидивов колеблется от 20 до 90%. Планируя лечение, израильские врачи учитывают стандартные характеристики опухоли (размер, локализация), гистопатологию, а также ее клинические и рентгенологические проявления.
Учитывая личный практический опыт и данные клинических исследований, израильские хирурги не прибегают к лечению амелобластомы кюретажем (выскабливанием), так как это может привести к образованию небольших островков опухоли в кости. Поэтому наиболее эффективным и распространенным методом лечения этого заболевания является хирургическое удаление опухоли. Операция может быть либо щадящей, когда врач стремится сохранить как можно больше тканей, расположенных вблизи очага поражения, либо радикальной – более инвазивной процедурой, после которой требуется реконструкция оперируемой области.
Поскольку амелобластомы склонны к распространению в окружающие ткани израильские врачи чаще всего прибегают к агрессивной хирургии или резекции единым блоком. Например, амелобластома верхнечелюстной кости особенно опасна из-за костной архитектуры – опухоль растет вверх, вовлекая синоназальные проходы, крыловидно-нижнечелюстную складку, орбиты, череп и мозг. Поэтому верхнечелюстные амелобластомы требуют радикального удаления, так как из-за близости опухоли к жизненно -важным структурам прогноз при рецидиве заболевания крайне неблагоприятный.
Оперативное лечение амелобластом требует «большого хирургического края» для достижения лучшего терапевтического эффекта. Израильские хирурги рекомендуют, чтобы края эксцизии включали в себя 1,5 см нормальной кости. Такой подход обеспечивает удаление всех раковых клеток и снижает риск рецидива заболевания. Если опухоль все же снова начинает расти не исключена повторная операция с последующей лучевой терапией.
Поскольку хирургическое лечение амелобластом может подразумевать удаление челюсти, мягких тканей, а также лицевых артерий и нервов, после операции израильские хирурги проводят реконструктивное вмешательство. Челюсть восстанавливается с помощью металлического имплантата или костного аутотрансплантата, взятого из другой части тела. Для реконструкции часто используется малоберцовая кость, так как часть ее можно задействовать без ущерба для функции нижней конечности. Если операция затронула такие важные функции, как жевание, глотание или речь, на помощь приходят опытные врачи-реабилитологи клиники Ассута, профессионализм которых доказывают многочисленные положительные отзывы пациентов.
После операции выполняется компьютерная томография, чтобы врач убедился в том, что опухоль удалена полностью. В течение последующих 5 лет пациентам необходимо проходить регулярные сканирования. Рецидив амелобластомы во многих случаях приводит к развитию рака. Врачи будут искать признаки злокачественного процесса, чтобы своевременно начать лечение.
Диагностика амелобластомы в Израиле
Поскольку амелобластомы челюсти относятся к достаточно редким опухолям, качественная диагностика имеет очень большое значение. Если вы не уверены в диагнозе, который поставили вам врачи на родине, в клинике Ассута есть эксперты, специализирующиеся на выявлении и лечении рака кости, поэтому вы всегда можете воспользоваться услугой «второе мнение».
Сегодня для того, чтобы пообщаться с израильскими профильными врачами, не обязательно тратить деньги на перелет и проживание в чужой стране. С помощью услуги «видеоконсультация» вы сможете задать доктору все интересующие вопросы в комфортной обстановке. Дополнительным плюсом этой услуги является то, что она дает вам право на одну бесплатную очную консультацию врача, если таковая понадобится.
Диагностический процесс в клинике Ассута четко скоординирован и занимает всего 3 дня.
Консультация профильного онколога
Многие амелобластомы обнаруживаются случайно во время рутинных стоматологических процедур. Врачи часто принимают опухоль за инфекцию и назначают курс антибиотиков. И, как правило, когда симптомы не исчезают после антибактериальной терапии, выполняется рентгенография и возникает подозрение на амелобластому.
При наличии таких подозрений израильский врач проведет физическое обследование пациента, составит историю болезни, выяснит факторы риска и возможные причины развития заболевания, после чего назначит дополнительные исследования.
Инструментальные и лабораторные исследования
Чтобы уточнить диагноз, а также собрать дополнительную информацию о состоянии здоровья пациента, необходимую для составления эффективного плана терапии, назначаются следующие дополнительные диагностические тесты:
- КТ. Это исследование не может окончательно подтвердить или опровергнуть диагноз. Однако компьютерная томография предоставляет врачу важную информацию о точном местонахождении опухоли и ее размере. Кроме того, КТ-сканы полезны для планирования лечения пациентов и выбора наилучшего способа хирургического удаления опухоли.
- МРТ. Это наиболее эффективный и точный неинвазивный метод диагностики амелобластомы. МРТ не только помогает выявить разницу между амелобластомой и другими схожими новообразованиями, но и может определить специфический тип опухоли.
- Биопсия. Взятие биопсии необходимо для подтверждения диагноза. В ходе процедуры врач берет небольшой участок ткани, после чего патолог проводит гистологический анализ на наличие специфических клеток.
Врачебный консилиум
После того, как результаты всех диагностических исследований будут готовы, лечащий врач представит их на врачебном консилиуме. Эксперты в различных областях медицины внимательно изучат медицинскую историю и результаты диагностики, после чего подтвердят или опровергнут диагноз и составят персонализированный план лечения, максимально адаптированный под уникальные потребности пациента.
Сколько стоит лечение амелобластомы в Израиле
Окончательная стоимость диагностики и лечения будет зависеть от нескольких факторов, таких как специфика диагноза, сложность хирургического лечения, длительность госпитализации, необходимость в реконструктивной операции и реабилитации и др. Поэтому предварительные цифры вы сможете узнать после консультации онколога и первичной диагностики. Но если говорить в среднем, то цена лечения амелобластомы в израильских клиниках примерно на треть, а иногда и вполовину ниже, чем в медицинских центрах других развитых стран.
Лечение амлобластомы челюсти — современные методы хирургического удаления и пластики
Амелобластома является чаще всего встречающейся в практике челюстно-лицевой хирургии опухолью кости челюсти доброкачественного характера. Успешное лечение и благоприятный прогноз требуют высокого уровня квалификации и большого практического опыта специалистов-стоматологов. Лечение амелобластомы челюсти в Израиле проводится исключительно хирургическим способом, ведущими челюстно-лицевыми хирургами, в совершенстве владеющими современными методиками терапии данной патологии. Применяемые методы в большинстве случаев позволяют сохранить целостность и функциональную активность челюсти, избежать утраты привлекательности лица. При необходимости удаления или частичной резекции челюсти впоследствии проводится пластическая операция, направленная на полное восстановление функций и внешнего вида.

Для полноценного лечения с отсутствием внешних дефектов и наименьшим риском осложнений необходимо проведение терапевтического курса на начальном этапе заболевания. Необходимость удаления опухоли на ранней стадии обусловлена также вероятностью ее злокачественного перерождения. Современное лечебно-диагностическое оборудование израильских клиник позволяет в кратчайшие сроки выявить новообразование, установить его характерные признаки, требующиеся для разработки эффективной схемы терапии. Отзывы пациентов подчеркивают точность диагностики, эффективность и разумную стоимость лечения, комфортные условия прохождения лечебных процедур и последующей реабилитации.
Методы лечения заболевания
Амелобластома доброкачественным одонтогенным новообразованием, диагностирующимся у значительного числа пациентов. Как правило, патология развивается в возрасте 20-50 лет, одинаково часто встречаясь у мужчин и у женщин. В отдельных случаях заболевание выявляется в детском и подростковом возрасте, составляя около 6% всех опухолей челюсти доброкачественной природы. Примерно у 80-83% пациентов новообразование поражает нижнюю челюсть, чаще локализуясь в области ее угла, гораздо реже развиваясь в кости верхней челюсти.
По данным статистических исследований, в большинстве случаев амелобластома обнаруживается на начальных этапах развития, на протяжении около полугода с момента возникновения. Часто данная патология выявляется случайно, при рентгенографии, проводимой по причине другого заболевания зубов. Отдельные пациенты обращаются к стоматологу с этой проблемой, когда заболевание длится уже более года, и опухоль успевает поразить обширный участок челюсти. Достаточно часто диагностируется рецидив амелобластомы, в некоторых случаях развиваясь спустя годы после хирургического лечения. а при запущенности патологического процесса, неблагоприятном его течении и отсутствии адекватной терапии существует вероятность злокачественного перерождения (малигнизации) опухоли.
Проведение глубоких исследований заболевания позволили специалистам выдвинуть несколько гипотез, связанных с причинами его возникновения. Предполагается, что стимулирующими факторами являются нарушения формирования зуба, травмы различного характера, однако на сегодняшний причины развития болезни окончательно не выяснены.
Амелобластома развивается очень медленно, на протяжении длительного времени не причиняя пациенту дискомфорта. По мере развития заболевания проявляется деформация челюсти: становится заметной асимметрия лица, припухлость в области поражения. Характерно, что степень асимметричности варьирует от едва заметной до выраженной. Симптомы встречающейся значительно реже амелобластомы верхней челюсти визуально проявляются еще слабее, что объясняется распространением опухолевого процесса в верхнечелюстную пазуху.
Возникновение болевого синдрома свидетельствует о вовлечении в патологический процесс костной ткани, причем часто пациенты принимают эту боль за зубную. С этого момента начинает развиваться смещение и расшатывание зубов, а истончение кости челюсти при дальнейшем прогрессировании заболевания проявляется в характерном похрустывании. Развитие верхнечелюстной амелобластомы представляет еще большую угрозу, поскольку с большой вероятностью опухоль распространяется в полость носа и глазницу. На запущенных стадиях патологии пациент жалуется на интенсивную боль, в ротовой полости развиваются свищи, из которых выделяется гнойный экссудат.
Лечение амелобластомы предполагает оперативное удаление пораженной зоны челюсти в границах неизмененных тканей. На объем операции влияет размеры, расположение и стадия развития новообразования.
Поскольку амелобластома в большинстве случаев диагностируется на ранней стадии, новообразование не успевает достигнуть значительных размеров. Таким пациентам не требуется выполнять резекцию или частичное удаление челюсти, оперативное вмешательство не сопровождается нарушением непрерывности челюстной кости и образованием косметических дефектов, часто проводится с сохранением функций. После удаления опухоли, в целях профилактики рецидивирования, образовавшаяся полость обрабатывается раствором фенола высокой концентрации, в результате чего патологически измененные эпителиальные клетки некротизируются.
При выявлении амелобластомы большого размера показана резекция челюстной кости или частичное удаление челюсти. В случае развития очага гнойного воспаления параллельно с удалением опухоли проводится его оперативное устранение. Перед процедурой, которая выполняется под общей анестезией или местным обезболиванием, в обязательном порядке санируется полость рта.
В период послеоперационного восстановления пациенту назначаются курсы антибиотиков, симптоматическая медикаментозная терапия. Из рациона больного исключаются грубые и твердые, требующие тщательного пережевывания продукты и блюда. После каждого приема пищи пациент должен промывать образовавшуюся после операции полость. В случае удаления значительного участка кости челюсти для восстановления утраченных функций и устранения косметических дефектов показана операция костной пластики, с применением индивидуально изготовленных ортопедических конструкций.
Как диагностируется заболевание
Обследование пациента, постановка диагноза и разработка лечебной схемы занимает в израильских клиниках около трех дней.
В первый день пребывания в медицинском центре пациент проходит консультацию ведущего стоматолога. На приеме врач знакомится с историей болезни, уточняет беспокоящие больного симптомы, проводит осмотр ротовой полости. На завершительном этапе консультации специалист назначает требующиеся обследования.
На следующий день выполняются указанные в списке назначений виды диагностических процедур:
- рентгенологическое исследование (обзорный рентгеновский снимок верхней и нижней челюсти,
- боковая проекция, осевая рентгенография);
- компьютерная томография (КТ);
- пункция новообразования с последующим лабораторным цитологическим анализом полученного материала (наиболее информативный способ диагностики).
Результаты исследований рассматриваются врачебной комиссией, в состав которой входят стоматолог и узкопрофильные специалисты. Врачи коллегиально ставят диагноз и выстраивают схему лечения.
Сколько стоит лечение заболевания
Окончательная цена терапии, волнующая большинство медицинских туристов, определяется после назначения лечебных процедур. Лечение в Израиле позволяет пациенту сэкономить около 30% суммы, необходимой в странах Западной Европы, и стоит примерно на 50% дешевле, чем в США.
Преимущества лечения в Израиле
- Высокий уровень квалификации и большой опыт врачей.
- Наличие современной лечебно-диагностической аппаратуры.
- Быстро проведение точной диагностики.
- Применение современных методов терапии.
- Демократичные цены.
Успешность терапии и наименьшее число осложнений напрямую зависят от проведения лечебного курса на ранней стадии заболевания. Не тяните время, обращайтесь в выбранную израильскую клинику и как можно скорее начинайте лечение.
Читайте также:
