Остеохондропатия бугристости большеберцовой кости - болезнь Осгуда-Шлаттера. Деформирующий артроз колена
Добавил пользователь Владимир З. Обновлено: 28.01.2026
Остеохондропатии – группа заболеваний не воспалительного генеза у детей и подростков, характеризующееся наличием дегенеративно-дистрофического процесса в апофизах костей.
Остеохондропатия бугристости большой берцовой кости в медицине носит также названия: асептический некроз бугристости большеберцовой кости (болезнь Осгуда-Шлаттера). Встречается, как правило, в детском и юношеском возрасте. Это связано с тем, что у детей и подростков в костях имеются зоны роста, необходимые для их удлинения, а бугристости являются участками окостенения. В ранние годы они ещё недостаточно прикреплены к основным частям костей. У мальчиков этот недуг проявляется намного чаще, чем у девочек. Связано это с повышенной активностью в «подвижном возрасте», следствием которой зачастую становится травматизация. У взрослых людей бугристости полностью срастаются с костями, а зоны роста затягиваются костной тканью, поэтому риски возникновения апофизита у них практически отсутствуют.
Болезнь Осгуда-Шлаттера характеризуется, как мы уже говорили, развитием неинфекционного воспаления кости и её некрозом. Бугристости на большеберцовых костях располагаются в их верхних частях, потому для этой патологии характерны боли в коленных суставах. Воспалительным процессом, как правило, бывают затронуты обе кости (одностороннее поражение – явление более редкое). Иногда происходит сочетанное поражение большеберцовых костей и позвоночника. Местом возникновения заболевания является связочный аппарат коленей, в связи с чем оно может осложниться появлением тендинита.
Форма течения болезни – хроническая, но в большинстве случаев носит доброкачественный характер. Зачастую оно продолжается несколько лет и завершается выздоровлением, так как в возрасте примерно 18 лет у человека завершается окончательное формирование костного скелета.
Причины возникновения патологии
Выделяют два фактора:
- механическая травма колена (например, переломом большой берцовой кости или вывих коленного сустава);
- постоянные тяжелые физические нагрузки, чреватые микротравмами бугристостей – их рыхлые зоны не выдерживают ударов или непрерывного давления, в результате чего и происходит разрушение;
- нарушение кровообращения в костях.
Нагрузки на незрелые бугристости приводят к сбою в их питании. Вследствие дефицита питательных веществ образуется некроз костной ткани с разрушением и разрывами последней, что и приводит к появлению воспаления.
Итак, основным этиологическим фактором развития заболевания является травматизация, которая возникает вследствие:
- активных занятий различными видами спорта;
- занятий хореографией;
- регулярных ударов или давления на голень.
Группа риска
Симптомы и течение
Для остеохондропатии большеберцовой кости характерна достаточно скудная симптоматика, а на ранних стадиях её может не быть вовсе. К начальным клиническим проявлениям можно отнести слабые ноющие болезненные ощущения в поражённом сегменте, появляющиеся при наличии физической нагрузки и прекращающиеся в состоянии покоя. Со временем эти проявления приобретают более выраженный характер: боли становятся режущими и начинают беспокоить уже постоянно, в особенности – при ходьбе, с постепенным формированием шиповидных выступов на коленях (т.е. «костных шишек», не приносящих, впрочем, неудобств и не нарушающих двигательной активности сочленений), а также бурсит с последующей деформацией на передней большеберцовой кости ниже надколенника у детей.
Боли при апофизите:
- локализуются в области ближе к колену;
- вначале бывают незначительные, но с течением времени постепенно усиливаются;
- становятся более интенсивными в процессе активных движений;
- усиливаются в положении стоя на коленях;
- стихают в состоянии покоя во время отдыха.
Иногда болевые ощущения сочетаются с припухлостями в области коленных суставов и со спазмами в бедренных мышцах. Они сопровождаются нарушением двигательной активности соответствующих сочленений.
Кроме того, объективными клиническими признаками патологии являются отёки мягких тканей, а также болезненность в кости при пальпации. Так как болезнь не инфекционной природы, то отсутствует как локальная, так и общая гипертермия организма. Также не отмечается и выраженной гиперемии в зоне поражения костей. В ряде случаев течение заболевания бывает волнообразным, а провокатором обострения болевых ощущений могут стать интенсивные физические нагрузки.
Диагностика
Точное диагностирование болезни Осгуда-Шлаттера может быть осуществлено исключительно специалистом, поэтому ребёнка необходимо показать врачу незамедлительно, при появлении самых первых её признаков. Обследование и лечение проводится врачами травматологами-ортопедами. Наличие патологии выявляется после опроса пациента и родителей и внешнего осмотра с составлением анамнеза, а также на основании полученных клинических данных и рентгенограммы.
Диагностические мероприятия:
- сбор общих сведений;
- внешний осмотр и пальпация нижних конечностей;
- рентгенография;
- УЗИ;
- общий и биохимический анализ крови.
В наше время для выявления заболеваний костных структур нередко применяют также компьютерную и магнитно-резонансную томографию. Инструментальное исследование выполняется, как правило, неоднократно, для выявления прогрессирования болезни. Лабораторное исследование проводится для исключения сопутствующих или первичных патологий, например – ревматоидного артрита (характеризующегося присутствием в крови ревматоидного фактора, C-реактивного белка). Также при необходимости не исключено проведение ПЦР-исследования с целью исключить поражение суставов инфекционного генеза. Кроме того, осуществляется дифференциальная диагностика с такими недугами как остеомиелит, ревматоидный артрит, переломы и др.
Лечение остеохондропатии бугристости большеберцовой кости в нашей клинике:
Лечением патологии занимается врач-ортопед. Чаще всего болезнь Осгуда-Шлаттера быстро и легко поддается терапии, а симптомы постепенно пропадают по мере роста скелета. Если же симптомы достаточно выражены, то необходимы:
- медикаментозная терапия – НПВП для снятия болевого синдрома и воспалительного процесса, короткими курсами;
- фармакопунктура – инъекции гомеопатических препаратов в область биологически активных точек или в триггерные точки (в данном случае это гомеопатические препараты – цель, траумель, дискус композитум, лимфомиозот и т.д.). Метод позволяет обеспечить малую инвазивность вмешательства, максимально быстро купировать основные проявления нарушения и быстро восстановить структуры поражённого участка кости;
- физиотерапия – лазеротерапия, ультразвук с гидрокортизоном, фокусированная УВТ для уменьшения отёчности, снятия воспаления и уменьшения боли;
- кинезиотейпирование.
По завершении лечения пациентам рекомендуется время от времени посещать специалиста нашей клиники (ортопеда) с целью проведения профилактического осмотра и ряда мероприятий, способных предотвратить рецидив.
Болезнь Осгуда — Шляттера - симптомы и лечение
Что такое болезнь Осгуда — Шляттера? Причины возникновения, диагностику и методы лечения разберем в статье доктора Коршуновой Светланы Михайловны, детского ортопеда со стажем в 4 года.
Над статьей доктора Коршуновой Светланы Михайловны работали литературный редактор Елизавета Цыганок , научный редактор Матвей Шильцин и шеф-редактор Маргарита Тихонова
Определение болезни. Причины заболевания
Болезнь Осгуда — Шляттера (Osgood — Schlatter disease) — это воспаление тканей в верхней части большой берцовой кости, которое развивается у детей и подростков [1] [3] [6] .

Болезнь Осгуда — Шляттера поражает сухожилие надколенника в том месте, где оно крепится к бугристости большеберцовой кости. Довольно часто встречается у подростков, особенно у юных спортсменов [3] [14] . Основной симптом — боль под коленом, которая длится от нескольких недель до месяцев [16] .
Распространённость болезни Осгуда — Шляттера
Обычно развивается у детей в период активного развития костной ткани, т. е. при всплеске роста: у мальчиков в 10–15 лет, у девочек в 8–12 лет [2] [12] . Болезнь встречается у 20 % молодых спортсменов и у 5 % подростков, которые не занимаются спортом. При этом мальчики болеют чаще.
В 25 % случаев оба колена вовлечены в патологический процесс, хотя болезнь обычно асимметричная [10] .
Причины развития болезни Осгуда — Шляттера
Среди основных причин болезни выделяют:
- интенсивные занятия спортом, связанные с частым сгибанием колена — баскетболом, волейболом, спринтерским бегом, гимнастикой, футболом [1][2][3][6][8][9][12] ;
- частые сгибания в коленном суставе — ходьба, бег, приседания, салочки, прыжки на скакалках, лазание по деревьям и турникетам;
- врождённые аномалии надколенника и его связки — высокое прикрепление связки надколенника или её прикрепление к широкой области большеберцовой кости, высокое стояние надколенника [10][12][17] ;
- болезнь Шинца в анамнезе;
- наследственная предрасположенность к высокому стоянию надколенника и гипермобильному синдрому (повышенной подвижности суставов).
Повреждение связок коленного сустава, вывих, перелом голени и надколенника или хронические микротравмы колена не могут вызвать болезнь Шляттера, так как она развивается из-за частых нагрузок.
Основные факторы риска:
- возраст 9–14 лет;
- мужской пол;
- чрезмерные физические нагрузки;
- резкий скачок роста [10][12][13] .
При обнаружении схожих симптомов проконсультируйтесь у врача. Не занимайтесь самолечением - это опасно для вашего здоровья!
Симптомы болезни Осгуда — Шляттера
Среди основных симптомов выделяют:
- тупую боль чуть ниже колена, особенно при прыжках и подъёме по лестнице;
- болезненность в области большеберцовой кости при ходьбе, беге и прыжках;
- хромоту при ходьбе;
- боль при стоянии на коленях;
- жар в коленном суставе;
- болезненность при прощупывании бугристости большеберцовой кости;
- отёк под надколенником и в области большеберцовой кости [2][10][11] .
Сначала боль слабая и появляется только при интенсивных нагрузках, но со временем она нарастает и иногда беспокоит пациента даже в спокойном состоянии. Впоследствии к боли присоединяется отёк, который мешает вести привычный образ жизни. Обычно пациенты обращаются к врачу, когда боль становится интенсивной (5 баллов по 10-бальной шкале боли).
Как правило, болезнь не ограничивает движения в колене, но при сгибании возникает боль в месте прикрепления связки надколенника. Если мышца бедра напряжена и укорочена, коленный сустав может сгибаться не полностью, при этом в передней поверхности бедра возникают болезненные ощущения.
Симптомы усиливаются при занятиях спортом, включающих прыжки, и/или при давлении на колени [2] .
Боль возрастает при ходьбе, сгибании и разгибании ног или подъёме по лестнице, но может стихать в покое [10] . При этом болезнь проходит сама после 16 лет, когда закрываются ростковые зоны [12] .
Патогенез болезни Осгуда — Шляттера
Бугристость большеберцовой кости представляет собой перевернутый треугольник, к которой крепится связка надколенника — продолжение сухожилия прямой мышцы бедра (части четырёхглавой мышцы) [8] [9] .

Нормальное развитие бугристости большеберцовой кости происходит в следующей последовательности:
- до 11 лет большеберцовый бугорок полностью хрящевой;
- с 11 до 14 лет формируются ядра окостенения (апофизарные формы);
- с 14 до 18 лет апофиз срастается с верхним концом кости (эпифизом);
- после 18 лет эпифиз кости и апофиз бугорка срастаются с остальной верхней частью большеберцовой кости [13] .
Когда сгибается коленный сустав, прямая мышца бедра напрягается и укорачивается, а связка надколенника тянет ткань, окружающую кость (надкостницу), в месте своего прикрепления — бугристости большеберцовой кости, после чего у подростка появляется отёк и тупая боль под коленным суставом, которая усиливается при активности.
Из-за постоянных микротравм обрывается много капилляров, но кровоснабжение в большеберцовой кости не нарушается. Это приводит к кровоизлиянию, и у пациентов появляются синяки диаметром 1–3 см. Если не прекратить тренировки, начинается отрыв надкостницы вместе с костным фрагментом (апофизом). На месте отрыва формируется костная мозоль и бугристость становится заметной [10] [12] .

Классификация и стадии развития болезни Осгуда — Шляттера
При болезни Осгуда — Шляттера выделяют 3 типа отрывного перелома:
- Тип I — фрагмент смещён незначительно. Пациента беспокоит умеренная боль (3–4 балла по 10-бальной шкале боли) во время спортивных занятий. Операция не требуется, достаточно консервативного лечения: не сгибать колено и принимать обезболивающие препараты (НПВС) при болях, уменьшить физические нагрузки, скорректировать питание и увеличить потребление витамина D.
- Тип II — небольшой отрыв в области бугристости большеберцовой кости. Пациент жалуется на умеренную боль (5–6 баллов) во время спортивных занятий и подвижных игр, боль сохраняется и после нагрузки. Если НПВС не приносят облегчения, может потребоваться операция.
- Тип III — отрыв апофиза большеберцовой кости. В этом случае консервативное лечение не помогает, поэтому требуется операция [16] . Пациента беспокоит умеренная боль (5–6 баллов) при небольшой нагрузке, например 15-минутной прогулке или подвижных играх. Пациент может опираться на ногу, но боль не проходит даже после приёма обезболивающих. Травмы или обширной гематомы в месте прикрепления связки надколенника нет.

Для болезни характерны 3 стадии тяжести:
- острая стадия — края собственной связки надколенника становятся нечёткими из-за отёка мягких тканей, через 3–4 месяца бугристость меняет форму, а её омертвевшие участки начинают рассасываться;
- подострая стадия — отёк мягких тканей рассасывается, но изменения бугристости остаются;
- хроническая стадия — фрагмент кости может срастись с нормальной частью бугристости [13] .
Осложнения болезни Осгуда — Шляттера
При частых сгибаниях коленного сустава в месте бугристисти большеберцовой кости может появиться твёрдый на ощупь бугорок. Кроме выпячивания пациента ничего не беспокоит.
![Бугорок под коленом [18]](/pimg3/osteoxondropatiya-bugristosti-bolshebert-E72429.jpeg)
Болезнь Шляттера приводит к перестройке бугристости, нестабильности коленного сустава и напряжению мягких тканей ног, из-за чего у людей возникает боль под коленным суставом уже во взрослом возрасте.
Если вовремя не начать лечение острой стадии, часть кости может оторваться. Отрывной перелом сопровождается резкой болью в коленном суставе, отёком и гематомой [10] [13] [15] .
Диагностика болезни Осгуда — Шляттера
Диагностика в первую очередь основывается на клинической картине, внешнем осмотре и рентгене в двух проекциях, после чего врач назначает дополнительные методы диагностики.
Сбор анамнеза и осмотр
Врач может заподозрить болезнь Шляттера, если пациент жалуется на боль в коленном суставе при ходьбе и занятиях спортом. При этом доктор уточняет:
- возраст пациента;
- когда появилась боль;
- принимает ли пациент обезболивающие;
- как часто и каким спортом занимается;
- были ли травмы за последний год.
При осмотре врач обращает внимание на отёк и болезненность в области бугристости большеберцовой кости. У пациента также появляется боль в коленном суставе, когда он разгибает колено с сопротивлением и напряжением четырёхглавой мышцы или приседает с полностью согнутым коленом.
Поднятие прямой ноги обычно безболезненно. Если боль появляется в сухожилии надколенника, а не в костном выступе, это признак тендинопатии надколенника (колене прыгуна).
Тест Эли проводят лёжа на животе. В этом положении при сгибании колена также сгибается тазобедренный сустав. У здорового человека такое движение не вызывает неудобств, но у пациента с болезнью Шляттера появляется болезненность в мышцах передней поверхности бедра.
При осмотре врач также обращает внимание на укорочение подколенных сухожилий и напряжение четырёхглавой мышцы бедра, оценивает диапазон движения бедра, чтобы убедиться, что боль в колене не связана с другой патологией (например, с соскальзыванием эпифиза головки бедренной кости, болезни Легга — Кальве — Пертеса) [10] .
Инструментальная диагностика
Основным методом инструментальной диагностики является рентген коленных суставов в двух проекциях, который позволяет увидеть структурные изменения бугристости [4] .
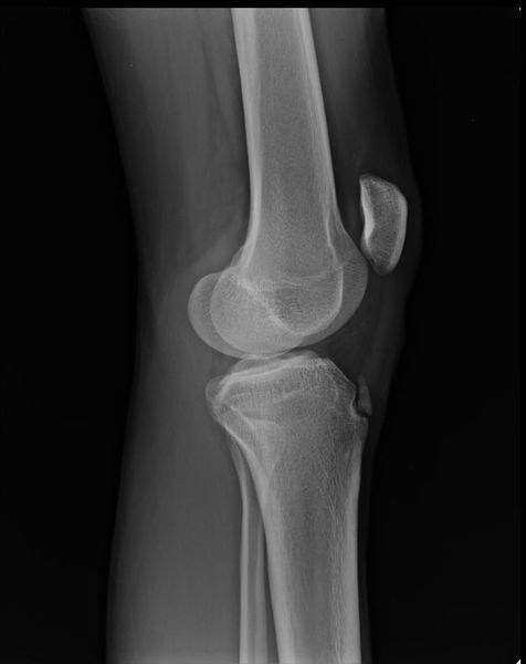
Фрагментацию с отрывом костного фрагмента лучше всего видно на боковой рентгенограмме [10] .
![Отрыв фрагмента кости [17]](/pimg3/osteoxondropatiya-bugristosti-bolshebert-21973C.jpeg)
К дополнительным методам диагностики относятся:
- УЗИ коленного сустава — даёт полную информацию о состоянии связки надколенника, поражении бугристости и окружающих мягких тканей. УЗИ также подходит для периодического наблюдения за течением болезни [3] . Иногда ультразвуковое исследование делают до рентгена, но УЗИ менее информативно.
- МСКТ (мультиспиральная компьютерная томография) — послойный рентген костных структур. Описывает состояние бугристости. На снимках врач смотрит костное состояние надколенника и верхнего отдела большеберцовой кости. Есть возможность сделать 3D-снимок кости [16] . МСКТ проводят при подозрении на фрагментацию бугристости или отрыв части кости.
- МРТ (магнитно-резонансная томография) — единственный метод диагностики состояния мягкотканных структур коленного сустава: мышц, сухожилий и связок. Врач оценивает состояние бугристости, отёк связки надколенника, повреждение менисков, отсутствие или наличие свободной жидкости в полости коленного сустава. МРТ назначают при отёке коленного сустава и боли в спокойном состоянии [16] . Этот способ позволяет исключить внутренние повреждения коленного сустава (повреждение крестообразных связок, менисков, коллатеральных связок коленного сустава, изменения тела Гоффа).
Дифференциальная диагнстика
Болезнь Шляттера дифференцируют:
- с опухолями костей — боль появляется ночью и редко возникает в области бугристости большеберцовой кости, она также не связана с нагрузками;
- тендинитом надколенника — характеризуется ноющей болью в области надколенника, обычно беспокоит вечером;
- остеомиелитом большеберцовой кости — повышается температура, ночью появляется боль, не связанная с нагрузкой;
- болезнью Пертеса — болит вся нога, но рентгенограмма не показывает никаких отклонений, на рентгене таза видны изменения головок бедренных костей;
- повреждением синовиальной складки — коленный сустав отекает и не сгибается полностью, появляется ноющая боль, которая не зависит от нагрузки;
- инфекционным апофизитом — повышается температура, коленный сустав краснеет и болит весь день даже без нагрузок [11][12][16] .
Лечение болезни Осгуда — Шляттера
Болезнь Осгуда — Шляттера проходит сама по мере созревания скелета [4] [11] . Чтобы облегчить боль, назначают консервативное лечение, которое помогает примерно 90 % пациентов [2] . В других случаях проводят операцию.
Консервативное лечение
- исключить физические нагрузки;
- делать специальные упражнения на растяжение мышц передней поверхности бедра;
- использовать противовоспалительные средства (НПВС) или накладывать лёд на 5–7 минут при отёке и сильной боли (пакет со льдом нужно обернуть в полотенце и приложить к болезненному участку) [2][4][6][12] ;
- пройти ударно-волновую терапию при стойкой боли и отсутствии на рентгене фрагментации кости [7] ;
- не садиться на корточки и не стоять на коленях, пока не пройдут симптомы болезни;
- продолжать занятия спортом при условии, что боль терпима и проходит в течение суток после тренировки [12] .
Если все вышеперечисленные методы борьбы с болью не помогают, назначают операцию [2] [4] [5] [10] .
Хирургическое лечение
Хирургические процедуры включают открытую и артроскопическую технику [4] .
Преимущества артроскопии над открытой операцией:
- минимальный риск повреждения сухожилия надколенника;
- более быстрое восстановление;
- отсутствие рубца на бугристости, который будет болеть при давлении на колено;
- нет шрамов [12] .
При артроскопии врач прокалывает кожу на разогнутом коленном суставе и убирает костные фрагменты от мягких тканей.
В период реабилитации пациенту рекомендуют пройти физиопроцедуры и заняться лечебной физкультурой, после чего он сможет вернуться к полноценному тренировочному режиму [5] .
Открытую операцию проводят при других повреждениях коленного сустава или в случае гнойных осложнений после артроскопии.
Прогноз. Профилактика
Болезнь проходит самостоятельно, когда заканчивается период активного роста, т. е. в 14–18 лет [10] [12] . В целом прогноз при синдроме Осгуда — Шляттера благоприятный, за исключением некоторого дискомфорта при стоянии на коленях на твёрдой поверхности, хотя у многих он есть и без болезни Шляттера [2] [10] [14] .
Примерно у 10 % пациентов симптомы сохраняются во взрослом возрасте. Такое случается, когда человек не обращается за медицинской помощью или плохо соблюдает рекомендуемое лечение [12] .
Профилактика болезни Осгуда — Шляттера
Чтобы предотвратить развитие патологии, нужно растягивать четырёхглавую мышцу бедра, так как растяжка помогает уменьшить сокращение мышц. Во время занятия может появиться болезненность по передней поверхности бедра, но со временем она проходит.

Растяжение с помощью валика также используют на первых этапах лечения, чтобы мягко расслабить четырёхглавую мышцу бедра.

Подъём прямых ног помогает укрепить квадрицепсы, не сгибая колени. Колено нужно держать прямо, ноги поднимать и опускать медленно, повторять подъём нужно в течение 3–5 секунд [16] .
Артроз коленных суставов (гонартроз) - симптомы и лечение
Что такое артроз коленных суставов (гонартроз)? Причины возникновения, диагностику и методы лечения разберем в статье доктора Саковича Никиты Валерьевича, ортопеда со стажем в 9 лет.
Над статьей доктора Саковича Никиты Валерьевича работали литературный редактор Елена Бережная , научный редактор Сергей Федосов
Артроз коленного сустава (гонартроз) — это прогрессирующее хроническое заболевание коленных суставов с повреждением, истончением и разрушением его хрящевой части (суставные поверхности бедренной и большеберцовой костей), а также поражением субхондральной кости. [2] [5] [16] Доказано исследованиями (артроскопия и МРТ), что помимо поражения суставного хряща в процесс вовлекаются мениски и синовиальная оболочка. Гонартроз — одна из самых распространенных ортопедических патологий. [4] [6] [9] [22] Существуют его синонимы — остеоартроз (ОА), деформирующий артроз. Заболевание является важной социально-экономической проблемой, так как широко распространено и значительно ухудшает качество жизни больных из-за постоянного болевого синдрома и, кроме того, становится причиной высокой инвалидизации. [15] [27]

До середины восьмидесятых годов прошлого века не было унифицированного определения заболевания. Только к 1995 году комитетом по остеоартрозу Американского колледжа ревматологии заболевание было охарактеризовано как результат действия механического и биологического факторов, приводящих к дисбалансу между процессами деградации и синтеза внеклеточного матрикса суставного хряща. [11] [19] В итоге происходит его разволокнение и дегенерация, образуются трещины, остеосклероз и уплотнение кортикального слоя субхондральной кости, растут остеофиты и формируются субхондральные кисты. [12] [29]
Почему возникает артроз коленного сустава
К факторам риска артроза относятся:
- хроническая травматизация (нарушение режима физических нагрузок, лишний вес);
- эндокринные, воспалительные, метаболические и ишемические заболевания;
- наличие врождённых или приобретённых нарушений соотношений, формы или структурной организации суставных концов. [22]
Симптомы артроза коленных суставов
Артроз коленного сустава характеризуется:
- постепенным началом;
- неинтенсивными болями в суставе при движении, особенно — при спуске и подъеме по лестнице; [5][21]
- «стягиванием», скованностью и «стартовой болью», возникающей во время первых шагов и уменьшающейся или исчезающей, если пациент «расходится», после значительной физической нагрузки она возобновляется. [6]
- внешний вид колена остается прежним. Иногда отмечается небольшая отечность, или в суставе происходит скопление жидкости. При этом колено увеличивается в объеме, раздувается, становится сглаженным, чувствуется ограничение движений и тяжесть.
Болевые ощущения
При прогрессировании болезни болевые ощущения приобретают более интенсивный характер, появляясь уже при незначительных нагрузках и длительной ходьбе. Локализуются по передне-внутренней поверхности сустава. [22] Продолжительный отдых обычно способствует исчезновению боли.
Ограничение подвижности коленного сустава и характерный хруст
При артрозе может уменьшаться объём суставных движений, появляться хруст, и при максимальном сгибании ноги появляется резкая боль.
Деформация коленного сустава
Конфигурация сустава изменяется, он как будто расширяется.
Синовит
Синовит коленного сустава — это воспаление оболочки внутренней полости сустава. Заболевание проявляется в виде отёка колена, покраснения кожного покрова, ограниченной подвижности сустава. С развитием артроза синовиты беспокоят чаще, более длительно протекают и с большим количеством жидкости.
Последняя стадия гонартроза отличается тем, что боли приобретают практически постоянный характер, вызывая беспокойство уже не только во время ходьбы, но и в покое, и даже ночью, [10] [18] когда больным приходится искать удобное положение для сна. Движения более ограничены: трудно сгибать и разгибать ногу до конца. Сустав деформируется и увеличивается в объеме. Нередко наблюдается возникновение вальгусной (Х-образная) или варусной (О-образная) деформации ног. [8] [24] Походка становится неустойчивой, переваливающейся. В тяжелых случаях необходима трость или костыли.

По данным исследователей, у 76% пожилых людей, предъявляющих жалобы на боль в коленях, на рентгенограммах обнаруживается гонартроз. [2] [7] [17] По статистике, чаще заболеванием страдают женщины, что связано с гормональной перестройкой после 45 лет. [12] [19]
Патогенез артроза коленных суставов
Выделяют первичный и вторичный остеоартроз. [8] [15] [20]
Первичный артроз коленного сустава
- суставной хрящ постоянно разрушается и обновляется, в норме эти процессы уравновешены. С возрастом обновление хряща замедляется и начинает преобладать разрушение, которое называют процессом деградации или дегенерации. [12] Важную роль играет вес человека, так как с массой 70 кг за 20 шагов мы переносим на каждой ноге по 700 кг (70 кг х 10 шагов), а при массе 120 кг на ногу приходится уже 1200 кг. Поэтому, слабый хрящ изнашивается в разы быстрее;
- необходимо помнить: сустав получает питательные вещества и восстанавливается, пока двигается; Малоподвижный образ жизни снижает обменные процессы, и до хряща не доходят необходимые элементы; [18]
- имеются спорные данные о наследственной роли в возникновении заболевания. Если у родителей был артроз, то вероятность его возникновения у детей повышается;
- возникает вследствие аутоиммунного синовиального воспаления.
Вторичный артроз коленного сустава
- травмы (переломы, разрыв менисков и передней крестообразной связки). [15][19] К сожалению, у любого человека, независимо от возраста, данные повреждения приводят к излишней нагрузке на хрящ. Перелом любых участков костей, покрытых хрящом, сопровождается образованием неровности — «ступеньки». [26] В этой зоне при движении происходит истирание, и формируется артроз;
- ревматоидный артрит, болезнь Кёнига (рассекающий остеохондрит), последствия гнойного воспаления в суставе (гонит) и т. д.;
- регионарные сосудистые нарушения;
- хронические экссудативно-пролиферативные и рубцово-спаечные процессы в суставе.

При артрозе (остеоартрозе) кроме прогрессивного разрушения хряща, потери его эластичности и амортизирующих свойств, в процесс постепенно вовлекаются кости. [7] [29] Под нагрузкой возникают заострения по краям (экзостозы), которые по ошибке считают "отложениями солей" — при классическом артрозе никакого отложения солей не происходит. Прогрессируя, артроз продолжает «съедать» хрящ. Затем деформируется кость, там происходит образование кист, поражаются все структуры сустава, и нога искривляется. [11] [17]
Помимо внутреннего или наружного отдела колена артроз может поражать и поверхности между надколенником и межмыщелковой бороздой бедренной кости. Такой вариант называется пателло-феморальный артроз. [16]
Его причиной, как правило, становится подвывих, перелом или латерализация надколенника.

Классификация и стадии развития артроза коленных суставов
Независимо от причины возникновения выделяют три стадии заболевания гонартроза, или деформирующего артроза коленного сустава.
Гонартроз, I стадия
Первая стадия заболевания характеризуется первичными изменениями в гиалиновом хряще. [12] [18] Костные структуры не затрагиваются. Во внутрикостных сосудах и капиллярах нарушается кровоснабжение. Становится сухой поверхность хряща, и он утрачивает свою гладкость. Если заболевание сопровождается постоянным напряженным синовитом, то развивается киста Бейкера (грыжевое выпячивание капсулы сустава подколенной области). [15] После значительной нагрузки на сустав возникают тупые боли. Возможна небольшая отечность, которая проходит после отдыха. Деформации нет.
Гонартроз, II стадия
На второй стадии хрящевая прослойка резко истончается, а местами и вовсе отсутствует. [22] Появляются остеофиты по краям суставных поверхностей. Изменяются качественные и количественные характеристики синовиальной жидкости сустава — она становится гуще, более вязкой, что приводит к ухудшению питающих и смазывающих свойств. [14] [16] Боли более продолжительные и интенсивные, часто при движении появляется хруст. Отмечается незначительное или умеренное ограничение движений и небольшая деформация сустава. Прием анальгетиков помогает снять болевой синдром.
Гонартроз, III стадия
Отсутствие хряща на большинстве поражённых участков, выраженный склероз (уплотнение) кости, множество остеофитов и резкое сужение или отсутствие суставной щели. [8] [15] Боли практически постоянные, походка нарушена. Подвижность резко ограничена, заметна деформация сустава. Препараты НПВС, физиопроцедуры и другие стандартные методы лечения артроза коленного сустава неэффективны. [11]
Виды гонартроза
В зависимости от количества поражённых суставов выделяют односторонний и двусторонний гонартроз.
Осложнения артроза коленных суставов
Наиболее частым осложнением II и III стадии является тендовагинит приводящей группы мышц бедра. [22] [24] Это проявляется болью по внутренней поверхности сустава, которая усиливается при движении. Причиной является мышечный дисбаланс и деформация. При длительном снижении объема движений развивается контрактура. [11] [14] Кроме того, нередко возникает синовит.
Последствия запущенного гонартроза
Гонартроз затрагивает весь опорно-двигательный аппарат, нарушая биомеханику позвоночного столба и других крупных суставов нижних конечностей. Это может привести к грыже межпозвоночных дисков и артритам прочих суставов. [16] Перегружается второй коленный сустав (если заболевание одностороннее), так как пациент щадит больную ногу, перенося вес на другую, здоровую.
Диагностика артроза коленных суставов
Инструментальная диагностика артроза коленного сустава
В подавляющем большинстве случаев достаточно осмотра и рентгенограммы коленного сустава в двух проекциях (прямой и боковой). [2] [19] Клинические данные и снимки позволяют определить стадию заболевания.

На ранних стадиях заболевания, при незначительных изменениях в костной ткани, рентгенологическое обследование не настолько ценно. [5] [8] На этом этапе гонартроз возможно диагностировать благодаря артроскопии. [5] [8] Точность метода очень высока, останавливать может только его инвазивный характер и цена.
УЗИ не позволяет произвести четкую визуализацию изменений суставного хряща и внутрисуставных структур. [15] С помощью МРТ можно с 85% точностью выявить изменения костных, хрящевых и мягкотканых структур сустава, а также субхондральной кости. [15] С помощью сцинтиграфии можно оценить метаболическую активность периартикулярной костной ткани.
Лабораторная диагностика артроза коленного сустава
Повышенное содержание фосфора и кальция в дегидратированной синовиальной жидкости является свидетельством деструкции костно-хрящевой ткани сустава и накопления продуктов деградации. Также исследуют кровь — общий анализ и скорость оседания эритроцитов (СОЭ); определяют уровень фибриногена, мочевины и других биохимических показателей крови и мочи. [16]
Можно ли полностью вылечить деформирующий артроз коленного сустава
Гонартроз вылечить полностью можно только на самой ранней стадии заболевания.
Какой врач лечит деформирующий артроз коленного сустава
Устанавливает диагноз и назначает лечение травматолог-ортопед или ревматолог.
Лечение артроза коленных суставов
Консервативное — противовоспалительные препараты, обезболивающие, миорелаксанты, сосудистые, хондропротекторы, компрессы, кинезотейпирование, лечебная физкультура, физиолечение, ортезы.
Малоинвазивное — параартикулярные блокады (новокаин + лекарственный препарат снимают боль и воспаление), введение искусственной смазки в сам сустав, плазмолифтинг.
Хирургическое — артроскопия (малотравматичный метод лечения внутрисуставных патологий и удаления поврежденных структур), эндопротезирование.
Медикаментозное лечение (препараты для лечения артроза коленного сустава)
Консервативные методы наиболее эффективны на начальной стадии заболевания. [9] [16] Они способствуют уменьшению болей и временному замедлению разрушения хряща. При II стадии необходимы более действенные методы. [8] [23] Введение в полость сустава препаратов гиалуроновой кислоты используется для уменьшения трения и травматизации хряща. Однозначных данных за восстановление хряща нет, но для смазывания поверхностей подходит хорошо. “PRP-терапия” (плазмолифтинг) — введение в коленный сустав обогащенной тромбоцитами плазмы, которую получают из собственной крови пациента путем центрифугирования. [4] [13] [18] Она питает хрящ и способствует его восстановлению, так как в тромбоцитах аутоплазмы содержатся многочисленные факторы роста и цитокины, которые способствуют регенерации поврежденных тканей.
Хирургическое лечение и эндопротезирование
Эндопротезирование — распространённый и эффективный хирургический метод лечения тяжелого гонартроза, [16] [24] [25] который позволяет сохранить подвижность конечности и возможность ведения полноценной жизни впоследствии. Это высокотехнологичная операция длительностью примерно полтора часа. В послеоперационном периоде необходима длительная реабилитация и разработка сустава. [16] [18] Через 25-30 лет, когда искусственный сустав изнашивается, нужно снова производить его замену.

Физиотерапия и кинезитерапия
Методы физиотерапии и кинезитерапии для лечения артроза коленного сустава малоэффективны.
Диетотерапия
Диета нужна только для поддержания нормального веса, ограничений на употребление определённых продуктов при гонартрозе нет.
Помогает ли блокада при гонартрозе
При артрозе коленного сустава применяется параартикулярная блокада — инъекция препарата в мягкие ткани вокруг сустава. При проведении процедуры определяется область воспаления и болевые точки возле сустава, кожа обрабатывается спиртом и в эту область вводится гидрокортизон с анестетиком.
Лечебная гимнастика при артрозе
Лечебная гимнастика полезна и для пациентов, страдающих гонартрозом, и для профилактики этого заболевания. Эффективные упражнения:
- полное сгибание и разгибание ноги, лёжа на спине;
- поднятие прямой ноги вверх, лёжа на спине.
Нужно понимать, что если артроз начал развиваться, то его нужно сразу начинать лечить. [6] [18] [22] Если вы относитесь к группе риска данного заболевания, можно отсрочить начало, для этого рекомендуется:
- снизить нагрузки на коленный сустав;
- плавать — вода снимает нагрузку;
- самостоятельно делать массаж мышц голени и бедра;
- избегать переохлаждения и переутомления;
- поддерживать нормальный вес;
- отказаться от курения и алкоголя;
- женщинам носить удобную обувь на низком каблуке;
- заниматься лечебной физкультурой
Перед началом лечебной гимнастики обязательно нужно проконсультироваться с врачом. Упражнения выполняются в медленном темпе. При возникновении боли или дискомфорта во время гимнастики занятия нужно прекратить.
Необходимо использовать только эффективные препараты. Малоэффективны растирки, компрессы и другие народные методы, которые не действуют на причину заболевания, а лишь помогают отвлечься от боли. Избегать травм и перегрузок — прыгать, носить тяжести, подолгу стоять или сидеть в неудобной позе. [2] [20] [21] Это ускоряет прогрессирование болезни.
Также необходимо вовремя диагностировать и лечить ревматоидный артрит, подагру и системные заболевания.
Какие факторы влияют на долгосрочный прогноз артроза коленного сустава
Прогноз зависит от стадии, в которой пациент обратился к врачу, и правильно проводимой терапии. [23] Чем раньше начать грамотное лечение, тем выше шансы избежать операции.
Остеохондропатия бугристости большеберцовой кости - болезнь Осгуда-Шлаттера. Деформирующий артроз колена
Остеохондропатия бугристости большеберцовой кости (болезнь Осгуда-Шлаттера) стречается у учащихся хореографических училищ в возрасте 13—17 лет, причем мальчики болеют чаще девочек.
Клинически заболевание протекает с. появления болей и припухлости в области бугристости болыиеберцовой кости после физической нагрузки. Покой и тепловые процедуры снимают боли.
У танцовщиков со стажем приходится встречаться с последствиями болезни Осгуда — Шлаттера в виде постоянных болей, возникновения бурситов в области прикрепления связки надколенника к бугристости больше-берцовой кости, которая у них постоянно увеличена.
Рентгенологически отмечается характерная картина для этого заболевания. У молодых людей, когда еще не закрылась зона роста, видны неслившийся апофиз бугристости и отдельные костные фрагменты. Часто можно видеть значительную деформацию бугристости в виде «хобота». У более старших танцовщиков эта бугристость может иметь вид отдельных костных фрагментов.
Лечение болезни консервативное. Для улучшения местного кровообращения требуется предоставить покой на 2—3 нед, назначают тепловые процедуры (УФО, теплые ванны, парафино-озокеритовые аппликации, полуспиртовые компрессы), электрофорез с йодидом калия или хлоридом кальция. Хирургическое лечение при этом заболевании в молодом возрасте не показано; оно показано в более старшем возрасте при условии отсутствия эффекта от консервативного лечения, наличии болей, невозможности заниматься танцевальной деятельностью и если при рентгенологическом обследовании отмечается фрагментация бугристости большеберцовой кости и отдельно лежащих фрагментов, которые могут травмировать связку надколенника.

Болезнь Осгуда-Шлаттера
Деформирующий артроз коленного сустава
Это тяжелое дегенеративно-дистрофическое заболевание коленного сустава. У артистов балета коленный сустав часто подвержен этому заболеванию и занимает второе место после деформирующего артроза I плюснефалангового сустава.
Причины развития деформирующего артроза коленного сустава самые разнообразные. Наиболее частыми являются травмы коленного сустава, хроническая микротравматизация, воспалительные явления, несвоевременно удаленные поврежденные мениски. В результате перегрузок нарушается питание суставного хряща, возникает гипоксия тканей, окружающих коленный сустав.
У ведущих солистов балета, имеющих большую нагрузку и занятость в спектаклях, рано отмечаются явления деформирующего артроза коленного сустава различной степени. Наиболее выраженные явления деформирующего артроза коленного сустава наблюдаются у исполнителей прыжковых партий, у артистов балета в течение многих лет, танцующих с поврежденным мениском, у танцовщиков с большим стажем работы. Причиной артроза может быть поздняя диагностика и неправильное лечение различных внутрисуставных повреждений коленного сустава.
Диагностика деформирующегося артроза коленного сустава несложна. Многие авторы выделяют триаду основных рентгенологических признаков, которым сопутствует соответствующая клиническая картина: неравномерное сужение суставной щели, склероз (уплотнение) субхондральных пластинок, краевые костные разрастания в области эпифизов костей и заострение межмыщелковых возвышений.
Выделяют три степени развития деформирующего артроза.
I степень — это склероз субхондральных пластинок, заострение межмыщелковых возвышений, умеренные боли в суставе после физической нагрузки, нежный хруст при движениях в суставе.
II степень - клинически определяется деформация коленного сустава, периодически возникает синовит, боль по суставной щели, пальпируются костные образования по суставным поверхностям, хромота возникает после физической нагрузки или при длительной ходьбе. Рентгенологически определяется сужение суставной щели, склероз субхондральных пластинок, заострение межмыщелковых возвышений и значительные костные разрастания. У артистов балета костные разрастания раньше возникают на надколеннике.
III степень — самая тяжелая степень развития деформирующего артроза. Клинически отмечается ограничение подвижности в коленном суставе, боли как после физической нагрузки, так и в покое, деформация сустава, выраженный хруст. В этой стадии синовиты бывают уже реже и сустав почти «сухой». Отмечается атрофия мышц бедра. На рентгенограмме суставная щель узкая, массивные костные разрастания, дегенеративные кисты в субхондральной зоне, суставные поверхности резко деформированы, явления подвывиха в суставе.
Артисты балета выносливы и постоянно находятся в высокой тренированной форме. Из-за деформирующего артроза артисты балета не теряют трудоспособности на длительный срок. У них редко развиваются запущенные формы артроза.
Лечение больных с деформирующим артрозом коленного сустава может быть самым разнообразным. Широкое применение находят физические и бальнеологические методы лечения. Методика лечения больных, страдающих деформирующим артрозом, сопровождающимся синовитом, заключается в следующем: всем больным проводится пункция коленного сустава, удаляется жидкость, в полость сустава вводится гидрокортизон, кена-лог, или артепарон. У ряда больных одновременно проводится оксигенотерапия, т. е. вводится кислород в количестве 60—80 см3.
В промежутках между введениями кислорода больные занимаются лечебной гимнастикой и получают массаж для улучшения кровообращения и питания в тканях. Хороший эффект дает санаторно-курортное лечение на бальнеологических (Цхалтубо, Сочи — Мацеста, Пятигорск) и грязевых (Саки, Евпатория, Одесса) курортах.
Болезнь Кёнига (рассекающий остеохондрит) - симптомы и лечение
Что такое болезнь Кёнига (рассекающий остеохондрит)? Причины возникновения, диагностику и методы лечения разберем в статье доктора Коновалова Евгения Александровича, ортопеда со стажем в 13 лет.
Над статьей доктора Коновалова Евгения Александровича работали литературный редактор Маргарита Тихонова , научный редактор Сергей Федосов
Болезнь Кёнига (рассекающий остеохондрит коленного сустава) — это очаговое идиопатическое изменение субхондральной кости, при котором примыкающей к ней суставной хрящ становится нестабильным или разрушается, приводя к изменениям самой кости. Это ортопедическое заболевание может спровоцировать преждевременное развитие остеоартрита [1] .

Болезнь Кёнига может возникнуть в любом возрасте. В большинстве случаев она развивается у молодых людей, обычно в подростковом возрасте [16] . Встречается заболевание относительно редко. По данным литературы, его распространённость в среднем достигает 21 человека на 100 000 населения [15] [16] .
Рассекающий остеохондрит развивается в одном или нескольких местах формирования кости (центрах оссификации). Ему свойственна постепенная дегенерация или асептический некроз — отмирание участков костной ткани. В этот патологический процесс вовлекается как кость, так и суставной хрящ, однако в первую очередь поражается субхондральная кость [11] .
Описание рассекающего остеохондрита впервые встречается во второй половине XIX века. В 1840 году французский хирург Malgaigne первыми описали удаление свободных костно-хрящевых тел из коленного сустава [2] , а в 1870 году английский хирург Paget дал определение этому состоянию — "тихий некроз" [3] .
В 1888 году немецкий врач Kӧnig предположил, что формирование свободных внутрисуставных тел происходит под влиянием различных факторов [4] . Основная причина — идиопатическое воспаление, вызывающее отделение фрагмента от здоровой кости, прогрессию которого он именовал термином "рассекающий остеохондрит".
Точная причина развития этой патологии доподлинно неизвестна до сих пор. Сегодня существуют различные теории возникновения болезни Кёнгиа, включая острые травмы, повторяющиеся микротравмы, генетический фактор, ишемию и нарушение остеохондральной оссификации [5] . Чаще всего развитие заболевания провоцируют неоднократное травмирование [17] . Поэтому к факторам риска заболевания относятся занятия такими видами спорта, которые чаще всего приводят к повреждениям колена — футбол, баскетбол, гимнастика, дзюдо, вольная борьба, тхэквондо, самбо и другие [16] .
На практике Болезнь Кёнига часто обнаруживается у пациентов, профессионально занимающихся танцами, а также курсантов военных училищ.
Симптомы болезни Кёнига
При рассекающем остеохондрите возможно поражение различных суставов — локтевых, голеностопных и тазобедренных. При болезни Кёнига повреждаются только коленные суставы.
Клиническая картина болезни Кёнига может сильно варьироваться. Как правило, дети и подростки предъявляют жалобы на диффузную, неспецифическую боль в переднем отделе коленного сустава. Некоторые пациенты сталкиваются с перемежающимися болезненными ощущениями в колене, которые сопровождаются блокированием сустава и его периодичной отёчностью.
Подобные признаки заболевания могут возникать в обоих коленных суставах, но, как показывает практика, симптоматика возникает поочерёдно: сначала беспокоит один сустав, и через какое-то время присоединяется второй.
В начале заболевания боль и отёк в поражённом суставе проявляют себя более ярко при физической активности [17] . В запущенной стадии эти симптомы беспокоят пациента постоянно, боли становятся ноющими.
Lefort и другие авторы отмечают, что болевая симптоматика встречается более чем у 80% пациентов [6] . Если фрагмент кости нестабилен, у пациентов отмечаются такие механические признаки болезни, как неустойчивость, блок и хруст. При физикальном осмотре наблюдается хромота при ходьбе или беге.
Отёчность, боль, ограничение движений могут также указывать на синовит. Однако при болезни Кёнига у части пациентов боль в области поражённого сустава возникает при пальпации (прощупывания) во время проведения теста Вильсона. При рассекающем остеохондрите этот тест положителен в 25 % наблюдений, а при прекращении воспалительного процесса его результат становится отрицательным.
Иногда при длительно прогрессирующей симптоматике может развиваться атрофия четырёхглавой мышцы бедра, в результате которого бедро становится более худым.

Патогенез болезни Кёнига
Патогенез рассекающего остеохондрита до настоящего времени полностью не изучен. Специалистами были предложены различные теории, но ни одна из них не является основной. Поэтому рассмотрим подробнее каждую.
Воспаление
Многие авторы описывали признаки воспаления в гистологических образцах. Так, в течение шести лет King описал 24 подобных случая рассекающего остеохондрита, а Lavner — 42 случая за два года.
При микроскопическом изучении медиального бедренного мыщелка поражение можно охарактеризовать, как некротическое, неспецифическое, асептическое (негниющее) продуктивное воспалительное изменение. Другие гистологические анализы и вовсе не обнаружили схожие виды воспалительных изменений. Несмотря на имеющиеся доказательства, эта теория развития болезни Кёнига не подкрепляется литературой.
Острая травма
Ray и Coughlin описали 14 случаев рассекающего остеохондрита и предположили, что хроническая или острая травма, совмещённая с ишемией, вызывает прогрессирующее ухудшение и формирование свободных костно-хрящевых тел [7] . Изменения начинаются в субхондральной кости со сниженной массой, которая обнаруживается только с помощью МРТ и выглядит как трабекулярный отёк. В дальнейшем трабекулы костной ткани разрушаются, и формируется склеротическое кольцо — на этой стадии изменений в хрящевой ткани нет. Впоследствии склероз субхондральной кости нарастает, развивается микронестабильность фрагмента, что влечёт за собой изменения хрящевой ткани и приводит к отслоению костно-хрящевого фрагмента или фрагментов.
Повторяющиеся микротравмы
Одной из важных причин развития болезни Кёнига являются повторяющиеся микротравмы. Fairbank предположил, что удары мыщелков голени о мыщелки бедренной кости могут вызвать рассекающий остеохондрит в классической локации, т.е. в коленном суставе [8] .
Другие авторы описывали различные причины возникновения рассекающего остеохондрита и заключили, что травма, особенно повторяющаяся микротравма, может быть основным фактором развития заболевания. В частности, Cahill предположил, что рассекающий остеохондрит, особенно у детей, возник в результате длительного воздействия на субхондральную кость [9] . К такому мнению на сегодняшний день склоняется большинство учёных.
Генетические факторы
Нередко в научной литературе говорится о влиянии генетического фактора на возникновение и развитие болезни Кёнига, но точных данных о связи формирования рассекающего остеохондрита и генетической предрасположенности нет.
Ишемия
Невозможность спонтанного излечения рассекающего остеохондрита долгое время объяснялось ишемией или снижением сосудистого питания в месте поражения. Так, в итоге многих гистологических анализов поражений субхондральной кости был обнаружен некроз или снижение количества сосудов. Теоретически нарушить поступление крови в вовлечённый участок может сочетанная травма.
В связи с этим Enneking предположил, что недостаточность артериального разветвления в субхондральной кости может стать причиной нарушения и последующего образования рассекающего остеохондрита.

Классификация и стадии развития болезни Кёнига
Существует несколько классификаций заболевания. Они основываются на возрасте, в котором возникают первые проявления заболевания, рентгенологических признаках, патологической анатомии и артроскопической оценке коленного сустава [11] .
Smillie различает две формы рассекающего остеохондрита: ювенальную и взрослую. Считается, что ювенальная форма связана с нарушением развития эпифиза — концевого отдела трубчатой кости, а патология у взрослых — с прямой травмой.
Предложенная Conway и дополненная Guhl патологоанатомическая классификация учитывает анатомические характеристики очага поражения и выделяет четыре стадии заболевания:
- I стадия — отображение очаговых поражений на рентгенограммах, КТ- или МРТ-изображениях в виде склерозированной линии, при этом хрящ интактен, т. е. не повреждён;
- II и III стадии — появление на хряще трещин и частично отщеплённого фрагмента;
- IV стадия — смещение костно-хрящевого фрагмента и признаки дегенеративного поражения хряща.
Международное общество восстановления хряща, классифицируя рассекающий остеохондрит по данным артроскопии, также выделяет четыре стадии болезни [12] :
- I стадия — стабильное повреждение с непрерывной, но размягчённой зоной, покрытой интактным хрящом;
- II стадия — повреждение с частичным нарушением целостности хряща, стабильное при исследовании зондом;
- III стадия — повреждение с нестабильным, но не смещённым фрагментом;
- IV стадия — пустой дефект со смещенным фрагментом.
Dipaola и другие авторы создали классификацию рассекающего остеохондрита на основании МРТ-признаков:
- поражение I класса — отсутствуют повреждения пластинки суставного хряща, но в нём отмечаются утолщения;
- поражение II класса — имеются нарушения в суставном хряще с сигналом низкой интенсивности по краям позади фрагмента;
- поражения III класса — имеются повреждение в суставном хряще с сигналом высокой интенсивности, меняющимся позади фрагмента (в частоте Т-2), предполагая наличие жидкости позади поражения;
- поражения IV класса — запущенная форма заболевания, при котором отмечается наличие свободного костно-хрящевого тела с дефектом поверхностного суставного хряща [10] .
Осложнения болезни Кёнига
Крайняя степень осложнения данного заболевания — это деформирующий артроз с нарушением двигательной активности (блокадой сустава) и изменением оси конечности в целом.
Нарушение биомеханики сустава из-за асептического некроза субхондральной кости и наличие свободных тел внутри сустава приводят к развитию деформирующего гонартроза. Его первым клиническим симптомом является боль, усиливающаяся при физической нагрузке, хромота, особенно при спуске по лестнице. Пациенты отмечают "блоки" коленного сустава и чувство инородного тела в нём. На рентгенограммах можно обнаружить сужение суставной щели, внутрисуставные тела и остеосклероз.

По мере прогрессирования заболевания:
- развивается контрактура (ограничение движений) и крепитация (ощущение хруста при пальпации);
- возникает деформация контуров сустава из-за изменения костной ткани и потери суставного хряща, а также гипотрофия мышц бедра;
- суставная щель в поражённом коленном суставе становится в 2-3 раза уже, чем та же щель в другом колене;
- по краям суставной щели и в зоне межмыщелкового возвышения появляются костные разрастания.
В более тяжёлых стадиях болезни пациент не может до конца выпрямить или согнуть ногу в колене, его беспокоят резко выраженные боли и хромота, а конечности деформируются во внешнюю или внутреннюю сторону. На рентгенограмме суставные поверхности значительно деформированы и склерозированы, отмечается субхондральный некроз, суставной щели практически нет, костные разрастания становятся обширными, появляются свободные суставные тела.
В клетках и сосудах синовиальной оболочки сустава развиваются реакции гиперчувствительности замедленного типа, в результате чего в полости сустава накапливается экссудат (жидкость, возникающая при воспалении) и нарушается функция синовиальной жидкости, которая обычно выполняет роль внутрисуставной смазки.
Диагностика болезни Кёнига
По характеру боли во время осмотра можно определить область поражения:
- при вовлечении внутреннего мыщелка бедра болевая зона располагается по передненаружной поверхности сустава;
- при поражении надколенника возникают фронтальные боли;
- при отшнуровавшемся внутрисуставном теле беспокоят острые болезненные ощущения, локализация которых зависит от расположения ущемлённого фрагмента.
Инструментальная диагностика начинается с рентгенографии сустава в прямой и боковой проекциях, а также в специальных укладках — рентгенография в заднепередней проекции при сгибании в колене до 45 ° и аксиальная (осевая) рентгенограмма надколеннико-бедренного сустава. Рекомендуется проводить рентгенографию обоих коленных суставов, если даже признаки нарушения наблюдаются только в одном, так как в практике около 25 % случаев приходится на билатеральное поражения суставов.

Также необходимо проводить билатеральную полноразмерную рентгенографию нижних конечностей, потому как их оси могут быть связаны с локализацией рассекающего остеохондрита и влиять на методы и успешность лечения.
МРТ обычно используется для точного установления размеров поражения, прогнозирования стабильности фрагмента, соответствия формы суставной поверхности, определения размеров костного отёка и наличия свободных костно-хрящевых тел. Это обследование следует проводить в случаях, когда у пациента есть стойкие симптомы заболевания, но на рентгенограммах никаких признаков рассекающего остеохондрита не обнаруживается [16] .
Дифференциальная диагностика проводиться с деформирующим гонартрозом и повреждение мениска.
Лечение болезни Кёнига
Лечение зависит от нескольких факторов: возраста, размера патологического очага и стабильности фрагмента. В лечении используется, как консервативная терапия, так и хирургические методы лечения.
К консервативной терапии прибегают при лечении отдельных групп пациентов. Её цель — стимулирование регенерации повреждённого очага и предотвращение смещения фрагмента. Добиться этого удаётся в 50-94 % случаев [14] . У пациентов с незрелым скелетом прогноз обычно лучше, чем у других. Лечение патологических очагов более 1 см оказывается неэффективным.
Основным принципом консервативной терапии является прекращение нагрузок на срок до 6-12 недель и ежедневное выполнение упражнений, направленных на поддержание объёма движений в суставе. Производится коррекция повседневной нагрузки, прекращаются занятия спортом и производится иммобилизация. Если после 12 недель пациент не предъявляет жалоб на болевой синдром, а на контрольных рентгенограммах и МРТ отмечается регресс процесса, то разрешается постепенное увеличение физической нагрузки до полной.
Хирургическое вмешательство следует рассматривать при отсутствии на рентгенограмме признаков регенерации после 6-12 месяцев консервативной терапии [13] .
К методам оперативного лечения относятся:
- антеградное и ретроградное рассверливание;
- удаление внутрисуставного тела;
- удаление внутрисуставного тела с микрофрактурированием (перфорированием);
- фиксация внутрисуставного тела;
- пересадка остеохондральных аутотранс-плантатов (OATS);
- имплантация аутологичных хондроцитов (ACI);
- применение аллографтов.
Выбор метода зависит от стадии развития патологического процесса и размеров очага.

Болезнь Кёнига — сложная лечебно-диагностическая задача для ортопедов, так как ни одна из методик выявления и устранения патологии не является абсолютно эффективной. И хотя современные методы лечения с помощью биоматериалов показывают хорошие промежуточные результаты, всё же они требуют анализа на протяжении десятков лет.
В целом, подходы консервативного и хирургического лечения принимают во внимание зрелость зон роста, расположение, стабильность и размеры фрагмента, а также целостность хряща. Чем младше пациент и чем раньше произведена диагностика и установлен диагноз, тем лучше отдалённые результаты лечения.
По результатам 30-летнего наблюдения стало известно, что у пациентов с формированными зонами роста деформирующий гонартроз развивается в 50 % случаев и на 10 лет раньше, чем у населения в целом. Это исследованин также показало, что худшим прогнозом обладают люди с поражением латерального мыщелка бедренной кости [18] .
Читайте также:
