Острая зубная боль. Терапия острой зубной боли
Добавил пользователь Владимир З. Обновлено: 30.10.2025
Вы знали, что боль никогда не возникает на пустом месте? Особенно, когда речь идет о пульсирующей боли в зубе. У нее всегда есть симптомы, которые указывают на скорое ухудшение ситуации.
Когда пульсирует зуб, это означает, что воспалительный процесс зашел достаточно далеко, и простой прием обезболивающих препаратов уже не поможет.
Болезненные пульсации в зубе предупреждают человека о том, что в нем протекает процесс воспаления. В зависимости от характера, интенсивности и периодичности приступов, стоматолог определяет, что это означает и ставит диагноз.
Пульсирующая боль зуба: характер, причины и лечение
В человеческом организме все взаимосвязано, и боль никогда не появляется просто так. Если начинает болеть какой-то орган, это означает, что в нем уже начались процессы, когда необходимо вмешательство доктора. Никакую боль, даже самую легкую, нельзя терпеть и надеяться, что «все само пройдет». Зубная боль в данном случае – не исключение, а если она к тому же сопровождается пульсациями, то это сигнал о серьезном воспалительном процессе в теле зуба или десны.
Важно: Чаще всего боль появляется ближе к ночи, или при принятии больным горизонтального положения.
Характер и интенсивность приступов пульсирующей боли могут быть различными, в зависимости от источника ее возникновения. Нередко она сопровождается повышением температуры до 39 градусов. Изучив все показатели боли, врач стоматолог определяет причины заболевания и принимает меры по его устранению.
Виды основных зубных болезней
Как мы уже выяснили, боль в зубе сопровождается пульсациями различной интенсивности при уже текущем воспалительном процессе. В каких случаях и при каких заболеваниях зубов может начаться воспаление?
Стоматолог тщательно изучает все симптомы, периодичность приступов и их силу, чтобы диагностировать одно из характерных заболеваний:
- Кариес
- Острый пульпит
- Острый периодонтит
Чем характерны данные заболевания, а также каковы причины их возникновения? Чтобы понять это, стоит рассмотреть каждое из них подробнее.
Симптомы, причины, действия врача
Опухание десны, болезненные пульсирующие ощущения в зубе являются сигналом о том, что воспалительный процесс уже запущен. Каждому патологическому процессу, связанному с зубами, характерны определенные признаки.
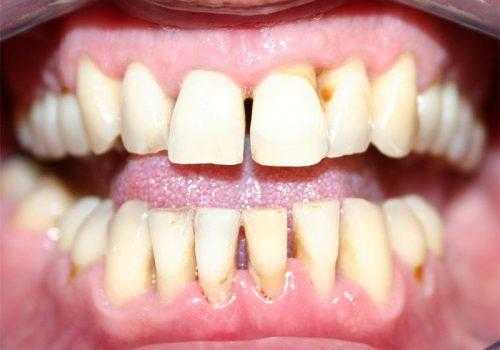
Кариес
Возникновение пульсирующих приступов характерно для средней и прогрессирующей стадий развития кариеса. При этом под действием внешних раздражителей возникают сильные боли кратковременного характера. Это бывает при употреблении горячей или холодной пищи, а также кислых и сладких продуктов.
Основная причина возникновения кариеса – активный рост бактерий, колонии которых живут на зубной поверхности. Они приводят к разрушению зубной эмали и проникновению инфекции в тело зуба. Благоприятной средой для их размножения служит зубной налет, образующийся из-за несоблюдения гигиены и неправильного ухода за полостью рта.
Острый пульпит
Заболевание, связанное с поражением мягких тканей зуба, или пульпы. Что такое пульпа? Это ткань, пронизанная сеткой нервных окончаний и мелких кровеносных сосудов.
Ошибочно думать, что повреждение мягкой пульпы может возникнуть вследствие развития кариеса. Даже внешне целый зуб может быть поражен инфекцией, проникающей через корневой канал.
При попадании болезнетворных бактерий в зубные каналы наблюдается ухудшение общего самочувствия, сопровождающееся продолжительными приступами боли с кратковременными «просветлениями».
В самом начале заболевания боль ноющего характера, острые приступы возникают преимущественно при термическом дискомфорте – употреблении горячей или холодной пищи и напитков. При восстановлении нормальной температуры в полости рта острые приступы прекращаются, и остается боль ноющего характера.
В активной стадии пульпита ноющая боль сменяется острыми пульсирующими приступами, которые невозможно перенести без анальгетиков.
Как и при кариесе, пульсация чаще всего начинается при принятии больным лежачего положения во время ночного или дневного отдыха.
При диагностировании пульпита врач принимает решение о вскрытии пульпарной камеры – это позволяет определить степень поражения пульпы и при остром воспалении принять решение о ее удалении. Затем необходимо сделать очистку корневых каналов и заложить в них противовоспалительных антимикробных препаратов. Спустя несколько дней, при отсутствии признаков продолжающейся инфекции, производится герметизация каналов корня и устанавливается постоянная пломба.
Важно: Если пульпит не лечить своевременно, или произведена некачественная очистка зубных каналов, это может привести к нагноению зубного корня.
Острый периодонтит
Этот вид зубных заболеваний хорошо известен тем, кто испытал его на себе. Воспаление костных тканей – периодонта – сопровождается образованием кисты или абсцесса на верхушке корня зуба. Течение болезни в зависимости от степени поражения характеризуется различными симптомами.
При остром периодонтите:
- Тянущие боли
- При нагноении появляется болезненная пульсация;
- Пораженный зуб становится подвижным, он остро реагирует на любое прикосновение
- Наблюдаются ухудшение сна, повышенная температура.
Часто острый периодонтит развивается при несвоевременном лечении, когда болезнь принимает хронический характер. К появлению первых признаков, таких как:
- слабая терпимая боль;
- болезненная реакция зуба на постукивание или надкусывание;
- образование свища с небольшим выделением гнойного экссудата на поверхности десны около больного зуба –
следует отнестись со всей серьезностью. Длительное бессимптомное (при отсутствии острой боли) течение болезни часто перерастает в острую стадию, когда спасти пораженный зуб практически невозможно.
Для обнаружения абсцесса стоматолог направляет пациента на рентгеновское обследование.
Причиной периодонтита может быть проникшая в костную ткань инфекция, чему способствует отсутствие должного лечения при пульпитах, некачественно запломбированные каналы или инфекция зуба, закрытого коронкой.
Не исключено травматическое происхождение периодонтита, например, в результате удара при падении или в драке. Нельзя перекусывать зубами твердые предметы – это приводит к хроническому травматизму корня зуба и образованию гранулемы на его поверхности.
Периодонтит может возникнуть при аллергии на отдельные лекарственные препараты, а также в случаях проникновения в ткани периодонта сильнодействующих препаратов мышьяка и фенола при некачественном лечении воспаления зубного нерва.
Важно: Периодонтит опасен возможностью возникновения осложнений, таких как появление абсцессов и флегмон, развития гайморита, остеомиелита челюсти и других опасных заболеваний.
Для больных с периодонтитом единственным условием восстановления хорошего самочувствия и сохранения зуба является вовремя оказанная помощь стоматолога.
Помимо перечисленных основных заболеваний, существует еще ряд воспалений, сопровождающихся пульсирующими болями.
Острая зубная боль: срочное лечение

Острая зубная боль (денталгия) – это неприятное явление, которое может возникнуть в любое время суток и нарушить привычный темп жизни. Заниматься самолечением или игнорировать боль не рекомендуется, так как денталгия обычно связана с заболеванием зубов и сигнализирует о патологическом процессе ротовой полости. Для сохранения зуба и предотвращения различных осложнений любая зубная боль требует обязательного обращения в стоматологическую клинику.
Ситуации, когда болит зуб, являются самым частым поводом для обращения за стоматологической помощью.
Виды острой зубной боли
В зависимости от характера и длительности различают следующие виды денталгии:
кратковременная зубная боль – обычно связана с употреблением сладких продуктов, проходит самостоятельно после прекращения воздействия провоцирующего фактора или снимается полосканием. Она является симптомом начала развития кариеса;
проходящая – возникает при прогрессировании кариозного процесса и проявляется при воздействии горячих и холодных температур. Отсутствие лечения на данном этапе может привести к воспалительному процессу сосудисто-нервного пучка и развитию пульпита;
боль, возникающая при гигиенической обработке зубов, воздействии горячей и холодной пищи – сигнал наличия эрозии или оголения шейной части зуба;
длительная ноющая или пульсирующая боль обычно свидетельствует о воспалении пульпы зуба или тканей, его удерживающих (периодонтит);
боль при давлении на зуб указывает на формирование кистозного образования или гранулемы;
острая боль во всей челюсти обычно является признаком острого воспалительного процесса зубного нерва. Она может распространяться в область уха или в висок.
Это деление зубной боли достаточно условное, только врач может установить точную причину ее возникновения.
Причины острой зубной боли

Среди стоматологических причин, вызывающих денталгию, выделяют:
кариес – при погрешностях в питании с преобладанием быстрых углеводов, отложении плотного зубного налета и некачественной гигиене ротовой полости формируются поверхностные эрозии и дефекты эмали, что делает возможным присоединение воспалительного процесса и острой зубной боли;
пульпит – отсутствие адекватного и своевременного лечения поверхностного кариеса приводит к его прогрессированию и повреждению внутреннего пространства зуба, где расположен сосудисто-нервный пучок (пульпа);
пародонтит – при возникновении патологического процесса в зубодесневых карманах патогенная флора проникает через корень в пульпу зуба, повреждают ее и вызывает воспалительную реакцию;
пародонтоз – заболевание невоспалительного характера, связанное с нарушением питания и восстановления тканей, окружающих и удерживающих зуб. Проявляется рецессией десен и резкой повышением чувствительности зубов;
периодонтит – при распространении патологических микроорганизмов в область верхушечного пародонта возникает воспаление комплекса соединительной ткани между цементом зуба и зубной альвеолой (периодонта);
механическое повреждение эмали – раскусывание орехов, семечек, сухарей, травмы приводят к появлению незаметных сколов и трещин, что проявляется в усилении болевой и температурной чувствительности зубов;
абсцесс – прогрессирование воспалительного процесса пульпы или тканей периодонта приводит к нарастанию отека, резкой болезненности, покраснению пораженной области с формированием полости с гнойным содержимым. При отсутствии хирургического лечения образуется свищевой ход с выходом содержимого наружу и временным облегчением состояния пациента;
клиновидный дефект – нарушение минерализации и избыточное внешнее воздействие при гигиенических процедурах могут приводить к разрушению и деструкции тканей зуба в виде клина, что проявляется денталгией;
естественная смена зубных единиц – у детей связано с прорезыванием сначала молочных (приблизительно с 6 месяцев), а и затем постоянных зубов (с 5-6 лет). У взрослых – с появлением «зубов мудрости».
Справка! Не стоматологическими факторами, вызывающими денталгию, являются острый синусит, отит, респираторные заболевания, воспаление тройничного нерва, патология височно-челюстного сустава, новообразования в челюстно-лицевой области и хронический стресс.
Иногда зубная боль возникает после проведенного стоматологического лечения или установки коронок. Такая реакция является закономерным ответом организма на медицинские манипуляции и внешнее воздействие. Она проходит самостоятельно в течение нескольких суток и не сопровождается усилением болевых ощущений. При сохранении боли более 3-4 дней после лечения, появлении отека, припухлости, пульсации или патологического отделяемого требуется незамедлительная консультация специалиста.
Симптомы острой зубной боли

Симптомы, сопровождающие острую зубную боль, обычно связаны с основным заболеванием, ее вызвавшим. Если причиной являются воспалительный процесс пульпы, то пациента беспокоит острая зубная пульсирующая боль, которая практически ничем не снимается. Ее могут спровоцировать прикосновение к поврежденному зубу, прием пищи, температурное воздействие.
При пародонтозе денталгия связана с воздействием сладкой, горячей и холодной пищи, сопровождается рецессией десен и повышенной подвижностью зубов.
При гингивите боль невыраженная, ноющая, ей сопутствуют неприятный запах изо рта, отечность и повышенная кровоточивость десен.
Периодонтит проявляется выраженной постоянной болью в пораженной области, процесс жевания и артикуляции нарушается, слизистая оболочка становится отечной и чувствительной.
Абсцесс зуба характеризуется постепенно нарастающей местной болезненностью, отеком, припухлостью, могут увеличиться регионарные лимфатические узлы, повысится температура тела. Жевание и артикуляция затруднены. При осмотре выявляется инфильтрация тканей.
Возникновение острой зубной боли у ребенка при прорезывании зубов часто сопровождается общими симптомами: раздражительностью, повышенной температурой тела, недомоганием. При более тщательном стоматологическом осмотре можно обнаружить набухание, отечность и покраснение десен, повышенное слюноотделение.
Важно! Зубная боль, вызванная респираторными инфекциями, отитом, синуситом, сопровождается нарушением носового дыхания, ринитом, снижением слуха, общим недомоганием, повышением температуры тела, головной болью.
При воспалении тройничного нерва боль распространяется по альвеолярной челюстной дуге, отдает в глаза, уши, шею, усиливается при пальпации точек выхода данного нерва.
Заболевания височно-нижнечелюстного сустава (артрит, артроз, травма) проявляются ограничением объема движения поврежденного сустава или наоборот, патологической подвижностью, чувством хруста или щелчка при жевании, отечностью и болезненностью. При отсутствии нагрузки на сустав боль стихает.
При новообразованиях пациента могут беспокоить как общие симптомы (слабость, бледность кожи и слизистых), так и только местные проявления: кровоточащие полипозные образования, язвочки, пятна на слизистой оболочке ротовой полости.
Диагностика острой зубной боли
При возникновении острой зубной боли у некоторых пациентов возникает вопрос, куда и к какому специалисту следует обратиться? При появлении неприятных ощущений и боли в ротовой полости обязательно необходимо посетить врача-стоматолога. Это может быть как специалист в территориально-поликлиническом учреждении здравоохранения, так и доктор стоматологического медицинского центра. Обычно первичный осмотр проводит врач стоматолог-терапевт. При необходимости может быть рекомендованы консультации смежных специалистов (стоматолога-хирурга, пародонтолога, имплантолога).
При обращении пациента с острой зубной болью стоматолог проводит комплексную диагностику состояния ротовой полости. Вначале доктор тщательно опрашивает пациента, выясняет характер, длительность, время появления зубной боли и провоцирующие ее факторы, чувствительность при воздействии сладкой, горячей и холодной пищи, наличие неприятного запаха изо рта, дискомфорта при жевании, глотании, артикуляции.
Затем стоматолог проводит оценку гигиены и осмотр слизистой оболочки ротовой полости, языка, десен, тканей периодонта и зубов, определяет цвет слизистых и эмали, наличие воспалительных проявлений, изъязвлений, кариозных повреждений зубов, исследует правильность прикуса и составляет зубную формулу.
Интересно! Для уточнения источника зубной боли, определения наличия инфильтрата, образований и отека специалист проводит сначала пальпацию мягких и твердых тканей, а затем перкуссию (простукивание) зубных единиц ручкой стоматологического зеркала или зонда. Пальпацию и перкуссию начинают со здоровых участков, постепенно продвигаясь к месту повышенной болезненности.
Для выявления кариозных полостей зуба, определения стадии и объема патологического повреждения, исследования глубины зубодесневых карманов, контроля прочности зубной эмали применяют метод зондирования стоматологическим зондом.
Дополнительные методы исследования состояния ротовой полости при острой зубной боли:
электродиагностика – при помощи воздействия слабых электрических импульсов на пульпу определяют ее чувствительность и жизнеспособность;
тест на температурные раздражители – позволяет оценить состояние пульпы. Болевая реакция воспаленной пульпы более выражена и длительнее, чем здоровой;
прицельный рентгеновский снимок зубов – высоко информативный и широко распространенный метод, позволяет провести диагностику сразу нескольких зубных единиц, обычно от 1 до 4;
панорамный рентгеновский снимок (ортопантомограмма) – с ее помощью можно визуализировать и изучить расположение зубов верхней и нижней челюсти, оценить их положение к соседним структурам, обнаружить аномалии твердых тканей и зубных зачатков, метод широко распространенный и достаточно информативный;
компьютерная томография – послойное изучение тканей и структур зубочелюстной области с визуализацией в 3Д-изображение при помощи рентгеновских лучей;
телерентгенограмма – разновидность рентгеновского снимка, но, в отличие от прицельного, проводится на удаленном расстоянии от пациента для уменьшения дефектов съемки. Позволяет получить снимок черепа в нескольких проекциях и оценить состояние костей и мягких тканей;
магнитно-резонансная томография – при помощи магнитного поля и радиочастотных импульсов исследуют состояние зубов, тканей и костных структур и выявляют патологические образования. Противопоказание для проведения МРТ – наличие в организме металлических конструкций и электронных устройств (инсулиновые помпы, кардиостимулятор);
ультразвуковое исследование челюстно-лицевой области – позволяет визуализировать состояние мягких и костных тканей, слюнных желез, лимфатических узлов, слизистой оболочки ротовой полости, наличие патологических образований. Исследование доступно, безопасно и не имеет противопоказаний;
лазерная и световая флюоресценции – флюоресцирующее лазерное излучение и световой поток помогают выявить деминерализованные участки зубов и кариозные полости. Эти методы безопасны в использовании, но ограничены в диагностике из-за затрудненного контакта датчика и межзубных промежутков.
Важно! Методы инструментальной диагностики с применением ионизирующего рентгеновского излучения противопоказаны на ранних сроках беременности. При их назначении необходимо оценивать потенциальный риск от проведения исследования и пользу.
Данные методы диагностики острой зубной боли позволяют выявить кариес и другие заболевания ротовой полости на ранних стадиях, они дополняют друг друга и применяются комплексно по назначению лечащего врача.
Лечение острой зубной боли

При возникновении острой зубной боли встает вопрос, как от нее избавится самостоятельно. Снизить болевую чувствительность в домашних условиях можно, но эффект будет временным и не решит основную проблему, которая вызвала денталгию. Для предотвращения прогрессирования заболевания и развития осложнений необходимо обязательно посетить стоматолога.
Если болит зуб, снять боль быстро можно как при помощи аптечных препаратов, так и народных методов. Самыми действенными симптоматическими средствами являются обезболивающие и противовоспалительные нестероидные лекарственные препараты. Они имеют удобные способы применения (суспензии, суппозитории, таблетированные и инъекционные формы), что делает возможным их использование как у взрослых, так и у детей. Действие препаратов наступает быстро и сохраняется в течение 3-4 часов.
Среди народных методов уменьшения боли можно выделить полоскание ротовой полости и примочки к болезненному месту теплым раствором соды, отваров трав, обладающих противовоспалительным и регенерирующим действием (кора дуба, цветки ромашки и календулы, трава череды и шалфея). Эти средства снижают чувствительность, отек и способствуют восстановлению поврежденных тканей. Зачастую они применяются в комплексной терапии заболеваний ротовой полости наряду с медикаментозным лечением.
Такие способы, как прикладывание зубчика чеснока, лука или обезболивающих препаратов к больному месту, использовать категорически не рекомендуется, так как они не решают основную проблему, а вызывают ожог слизистой оболочки.
Самым оптимальным решением, если начал болеть зуб, является посещение стоматолога, он проведет тщательное обследование и порекомендует, что делать для решения данной проблемы.
Методы, применяемые и назначаемые специалистом при острой зубной боли, зависят от ее причины и включают:
лечение основного заболевания. Кариес и повреждения эмали нуждаются во вскрытии и пломбировании кариозных полостей. При пульпите после определения степени жизнеспособности пульпы сохраняют или удаляют сосудисто-нервный пучок с последующей пломбировкой каналов. Абсцесс зуба требует незамедлительного хирургического лечения со вскрытием гнойной полости и установкой временного дренажа для оттока патологического отделяемого. При возникновении проблем с деснами и отложении зубного камня требуется проведение профессиональной гигиены ротовой полости, а иногда и пародонтологической чистки. Если причина денталгии: ОРВИ, отит, невралгия, новообразование или травма, то необходима консультация узкого специалиста (лора, невролога, травматолога или онколога);
вспомогательные медикаментозные способы терапии – применение антибактериальных, обезболивающих и противовоспалительных препаратов, средств, улучшающих регенерацию и заживление тканей, витаминно-минеральных комплексов. Их использование должно проходить только под контролем лечащего доктора;
физиотерапевтические методы – электрофорез с анестетиком, гелиево-неоновый лазер, магнито- и ультразвуковая терапия. Они улучшают кровообращение и поступление кислорода в ткани пародонта, нормализуют местные трофические и регенеративные процессы, снижают болевую чувствительность и воспалительную реакцию и способствуют скорейшему восстановлению поврежденных участков;
применение отваров лекарственных растений позволяет уменьшить воспалительную реакцию и ускорить выздоровление.
Лечение острой зубной боли основывается на индивидуальном подходе с применением комплексных методов терапии.
Профилактика острой зубной боли
Чтобы предупредить развитие заболеваний ротовой полости и избежать появления острой зубной боли, врачи-стоматологи рекомендуют придерживаться некоторых правил. Основные из них:
соблюдение тщательной ежедневной гигиены ротовой полости – чистить зубы 2 раза в день с использованием специального ополаскивателя, качественной зубной пасты, щетки, ершика и нити;
профилактическое посещение стоматолога 2 раза в год даже при отсутствии симптомов заболеваний полости рта;
отказ от вредных привычек (курения, употребления алкоголя и наркотических средств);
периодическое проведение у специалиста профессиональной гигиены ротовой полости, в ходе которой удаляется зубной налет и камень, очищаются зубодесневые карманы;
своевременное и качественное лечение заболеваний полости рта;
исключение использования зубочисток и других острых травмирующих предметов в ротовой полости;
разнообразное качественное питание с употреблением достаточного количества белка, овощей и фруктов и сокращение в рационе сахара и быстрых углеводов;
санирование и лечение очагов хронической инфекции (тонзиллит, отит, пиелонефрит);
своевременное адекватное лечение сопутствующих острых и хронических соматических заболеваний;
по возможности избегать травм и ушибов челюстно-лицевой области, в зависимости от ситуаций применять капы, шлемы и другие защитные приспособления.
Придерживаясь этих правил, можно обезопасить себя от развития многих стоматологических заболеваний и их осложнений.
28 Февраль 2022
2019 © Хорошая стоматология — сеть стоматологических клиник. 
Стоматологические услуги около м. Верхние Лихоборы, м. Митино, м. Тушинская, м. Речной вокзал, м. Отрадное, м. Щелковская
Данная страница носит информационно-справочный характер и не является публичной офертой. 
Острая зубная боль
Острая зубная боль возникает внезапно, нарушая привычный ритм жизни. Временами острая боль застает человека врасплох, не позволяя выполнять обычные дела. В таком случае, нужно незамедлительно обратиться к дантисту.

Зачастую острая зубная боль появляется не без повода, вот основные предпосылки:
Острая боль сопровождается такими симптомами:
- пульсация в зубе;
- повышение температуры;
- появляется неприятный запах изо рта;
- иногда боль отдает в грудную клетку, лопатку, руку;
- кашель;
- снижение остроты слуха;
- вялость, раздражительность.
Как правило, болевые ощущения не стихают даже на фоне приема обезболивающих лекарств.

Возможные причины острой зубной боли
Острая зубная боль может возникнуть из-за развития таких патологий:
- кариес (разрушение зуба путем размножения бактерий);
- пульпит (воспаление внутренних тканей зуба);
- пародонтит (воспалительное заболевание тканей пародонта);
- флюса (опухание десны);
- периодонтит (воспаление корня зуба);
- ОРВИ, гайморит, синусит;
- переохлаждение лицевых нервов.
Зубная боль также может возникнуть в результате травмы, резкого повышения чувствительности на горячее, холодное, соленое, сладкое, кислое. Появление острой зубной боли может быть вызвано неправильным лечением зуба, понижением иммунитета, недостатком каких-либо витаминов или же общими заболеваниями организма.
Определить причину по таблице
Ниже размещена таблица, по которой можно определить примерную причину заболевания по характеру боли:
Монотонная, которая возникает при попадании пищи на моляр, реакция на перепады температур, а также на кислое и сладкое
Острая зубная боль у детей

Молочные зубы отличаются низкой прочностью эмали, поэтому возникновение острой зубной боли у детей – частое затруднение. Родители не всегда могут заметить образование кариозных отложений, что приводит к болевым ощущениям у ребенка.
Младенцы также страдают острой болью по естественной причине – прорезывание молочных зубов. Это сопровождается такими симптомами:
- повышение температуры тела;
- покраснение, отечность десен;
- там, где прорезается зуб, просматривается полоска;
- сильное слюноотделение; 
 зуд в деснах.
Острая зубная боль у беременных

В период беременности организм женщины испытывает сильнейшую нагрузку. Появляется необходимость в повышении количества витаминов и минералов. Если по какому-то обстоятельству кальций поступает в недостаточном объеме, то кости становятся более хрупкими.
Состояние зубов, естественно, тоже ухудшается. Это может привести к развитию таких болезней:
- Кариес.
- Пульпит.
- Воспаление корня зуба.
Первая помощь при острой зубной боли
- тщательно почистить зубы мягкой зубной щеткой;
 прополоскать ротовую полость теплым раствором, состоящим из ложки соды, соли и одного стакана воды;
- принять обезболивающие таблетки (Нурофен, МИГ, Фаспик, Кетанов, Кеторол, Кеторолак, Санапрокс, Наприос, Флугалин, Дексалгин);
- прополоскать рот травяным отваром, который обладает антисептическим действием;
- точечный массаж.
Что делать нельзя при острой зубной боли?
- делать горячие компрессы или полоскания;
- употреблять кофе;
- пить алкоголь;
- есть твердые продукты;
- курить.
Острая зубная боль требует незамедлительного выяснения ее причины. К сожалению, пациент не в состоянии самостоятельно поставить диагноз, поэтому требуется сбор анамнеза и лечение в стоматологической клинике. Ниже представлены этапы процедуры по лечению острой зубной боли:
- внимательный осмотр ротовой полости;
- уточнение жалоб клиента;
- рентген;
- выявление оснований для острой зубной боли;
- обозначение плана терапии;
- обезболивание;
- проведение лечения.
Внимание! Острая зубная боль не возникает просто так. Всегда есть причина ее появления. В интересах больного вовремя записаться к врачу, устранить боль и предотвратить последствия.
Осложнения острой зубной боли
Несвоевременное обращение влечет за собой негативные последствия:
- развитие гнойного пульпита;
- образование кист, гранулем, абсцесса, что приведет к заражению крови;
- потеря одного или нескольких зубов.
Сколько можно терпеть?
Профилактика болезней полости рта
Для того чтобы Вы не сталкивались с острой зубной болью, нужно скрупулезно подходить к уходу ротовой полости, следить за общим состоянием здоровья, посещать стоматолога не реже двух раз в год. А также немаловажно правильно питаться и поддерживать необходимый уровень витаминов.
Мнение эксперта
Шейхов Саид Ахмедович 
Стоматолог-терапевт 
«В нашу клинику часто обращаются пациенты с острой зубной болью. К счастью, наши специалисты помогут в этой ситуации в любое время суток. Нам важно выявить причину возникновения боли в ближайшее время, чтобы предотвратить негативные последствия». 

Отзывы
Отзыв: Артем Петров, 23 года. 
Болел у меня зуб так, что таблетки вообще не помогали. Всю ночь не спал. Вычитал в интернете, что надо прополоскать рот водкой. Я так и сделал. Все, правда, прекратилось. Но следующим вечером опять возобновилась. Позвонил в клинику «Имплант Эксперт» по номеру, который нашел у них на сайте. Записался на прием, через час был уже там. При осмотре выяснилось, что у меня пульпит. Назначили лечение, сказали, чтоб больше так не затягивал и не прибегал к народной медицине. Зуб больше не болит. Спасибо Имплант Эксперт за качественную помощь.
Отзыв: Таисия Салова, 37 лет. 
Приехала я один раз к родителям домой, мама угостила борщом. На горячее сразу же отреагировал зуб острой болью. Выпила обезболивающее, все прошло. Но я понимала, что здоровые зубы на горячее так не реагируют. Почитала отзывы в интернете об Имплант Эксперт, решила записаться, выяснить, что не так с моим зубом. В кабинете врача мне сказали, что я повредила каким-то образом зуб, и он отреагировал так на еду. Пришлось лечить. Но все закончилось хорошо, работой специалистов довольна.
Отзыв: Ирина, Семенова, 24 года. 
Рекомендую клинику «Имплант Эксперт» так как только она в Москве согласилась принять меня ночью с острой зубной болью. А случилось вот что. Ночью стал очень сильно болеть зуб. Не знала, что делать, выпила обезболивающее, боль только усилилась. Начала судорожно гуглить стоматологию, которая работает в столь позднее время. Первая, вторая, третья – отказ. Из-за боли наворачивались слезы. Добралась до вас, позвонила, ответили. Пригласили в клинику. Разбудила мужа, приехали в стоматологию. Дежурный врач принял меня, сделал сразу рентген. Обнаружился пульпит. Лечить нужно было срочно. Я не ожидала такой скорости. Спустя час все было в порядке! Благодарю работников Имплант Эксперт за такой подход к каждому человеку. Приятно, что они идут навстречу пациентам. Еще раз спасибо!
Почему стоит обратиться в нашу клинику при острой зубной боли?

Стоматологическая клиника «Имплант Эксперт» немало лет занимается лечением всех видов недугов ротовой полости. Острая зубная боль – не исключение. Мы горды тем, что можем принять Вас в любое время дня и ночи. Такой график работы идет на пользу пациентам, которые нуждаются в нашей срочной помощи. Затягивать с лечением нельзя, особенно при острой зубной боли.
Резко заболел зуб, что делать
Пронзительная зубная боль, возникающая внезапно, способна вывести больного из равновесия, нарушить планы. Если у вас резко заболел зуб, что делать знает не каждый. Первые намеки на сильную боль должны устремить все усилия на облегчение страданий, ослабление болевого синдрома. Нужно осознавать, что у такой боли имеются причины, которые требуется выявить и устранить.

Причины и сопутствующая симптоматика
Предлогом резкой боли в зубе могут стать множество факторов:
- воспаление нерва зуба;
- глубокий кариес – болевой синдром наступает при попадании остатков еды в диапазон кариозного очага, при влиянии раздражающих агентов;
- пульпит – сильная внезапная боль, появляющаяся в результате воспаленной пульпы; боль может быть самопроизвольной, появляться в ночное время, в спокойном состоянии, под воздействием раздражающих явлений, чаще имеет приступообразный тип;
- пародонтит – болевой синдром бывает ноющий, зачастую обостряется при прикосновении к зубу;
- периодонтит – явное болезненное осязание интенсивной природы, связанное с последствиями механических нарушений, вовлечены ткани зуба и кости.



Под влиянием на зуб раздражающих агентов неожиданно возникают невыносимые болевые чувства. При различных болезнях боль имеет определенный характер: ноющая, острая, дергающая. Любое болезненное ощущение вызывается определенными факторами. Они оказывают давление на нервы и раздражают их. Нездоровый зуб может резко заболеть даже от проникновения холодного воздуха.
Резкая зубная боль провоцируется при:
- Перфорации стенок, дна камеры пульпы. Обычно, до резкого болевого синдрома бывает слабая ноющая боль или просто дискомфортное состояние. Она может быть спровоцирована кариесом. Нарушенная целостность зубного элемента открывает доступ к тканям дентина, чувствительным к любым раздражителям. Полость в зубе при углублении близится к перегородке между коронковой и корневой зонами. Пища, попавшая в кариозную полость, со временем превращается в твердое образование. При жевательных движениях оно повреждает зубное дно, открывая нерв. Во время еды, гигиены рта резко начинает болеть зуб.

- Травмировании зуба. В момент получения травмы возникает острая боль. Синдром вызывается сдавливанием нерва поврежденной пульпой, либо осколками зуба. Даже визуальная целостность зубной единицы не говорит об отсутствии повреждения корня, тканей.
- Невралгических болезнях. Болевой синдром провоцируется не стоматологическим происхождением, а заболеванием нервной системы. Охватывает он не только зубную единицу, а и лицо, глаз, ухо. Проблемой часто становится невралгия тройничного нерва. Болезненность присутствует постоянно. Но в определенные моменты, к примеру, при переохлаждении, пережевывании продуктов, мимике – резко обостряется.
Возможные осложнения
Болевой синдром – это сигнал организма, оповещающий о наличии патологического процесса. Высококвалифицированные доктора стоматологии Имплант эксперт предупреждают о том, что если не принять меры при резкой зубной боли, то это приведет к таким осложнениям:
- Инфицированию десен.
- Некрозу – отмиранию десневых мягких тканей.
- Острому пульпиту – воспаленной пульпе.
- Зарождению кисты.
- Образованию в корне зуба гранулемы.
- Разрушению челюстных костных тканей.
- Поражению здоровых зубных единиц.
Оставив проблему без стоматологического внимания, повышается вероятность ухудшения общего состояния больного. × Отклонить предупреждение
Диагностирование и необходимое лечение
Для того, чтобы поставить точный диагноз пациентам с резкой болью зубов, нужно ознакомиться с жалобами заболевшего, провести объективное исследование области поражения. При этом для установления причины боли допускается использование данных рентгена, интраорального радиовизиографа.
Важно дифференцировать боль зуба от возможных прочих заболеваний. Например, воспаленные гайморовы пазухи провоцируют болевые ощущения, которые схожи с зубными при периодонтите, кариесе.
При обращении клиентов в клинику Имплант эксперт с жалобой на резкую зубную боль, врачи диагностируют патологию, назначают терапию с учетом установленного диагноза и этиологии заболевания. Методика лечения избирается индивидуально для каждого посетителя.

Применяются следующие виды лечения:
- При перфорации стенок камеры пульпы в камеру закладывается лекарство. Если прогрессирует воспалительный процесс, пульпа имеет значительные повреждения, то проводится ее полное удаление.
- После травмы изучается степень повреждения зуба, опорно-удерживающего аппарата. При отсутствующих критических разрушениях применяется шинирование. Травмированная зубная единица фиксируется специальным ортопедическим устройством, закрепленным к соседним зубным элементам. Если нарушения четко выражены, то зачастую зуб удаляют, проводят лечение пародонтита.
- Терапевтическое лечение при резкой боли невралгического характера проводится невропатологом. Когда боль средствами консервативной медицины не устраняется, боль сохраняет устойчивость, то для устранения болевого синдрома выполняется иссечение нерва.
Для лечения резкой боли при пульпите медиками проводятся такие манипуляции:
Мы расскажем вам, как снять зубную боль легко и быстро! И это важно, ведь такое крайне неприятное явление знакомо практически каждому человеку. Она характеризуется разной локализацией и периодичностью (постоянная,эпизодическая). Причины и механизм ее возникновения также разнообразны. В этой статье поговорим об острой зубной боли, причинах ее развития, о том, какие доступные средства из домашней аптечки принять, чтобы облегчить тягостное состояние, и о возможных последствиях затягивания обращения к стоматологу.
Содержание
Можно ли терпеть зубную боль
При кратковременной острой боли в зубе или десне, спровоцированной попаданием в кариесную полость кислой или сладкой пищи, проходящей после полоскания и прекращения действия раздражителя, посещение стоматолога можно отложить на пару дней. Такая боль характерна при неглубоком кариесе, эрозии эмали.
Но случается, что зуб болел, а потом перестал и человек не обращается за медицинской помощью. На самом деле заболевание, спровоцировавшее появление неприятных ощущений, переходит в хроническую форму, и прекращение боли в зубе острого характера может свидетельствовать о гибели пульпы, переходе патологического процесса за пределы зуба (бессимптомный процесс). Часто зуб впоследствии приходится удалять, а воспалительный процесс переходит на другие органы и ткани, в сложных и запущенных ситуациях консервативное лечение неэффективно и без оперативного вмешательства уже не обойтись.

Временное стухание острой зубной боли не является признаком выздоровления
Осложнения
Откладывая прием к стоматологу, вы рискуете вместо одного больного зуба получить серьезные осложнения:
- некроз пульпы – гибель и разрушение клеток соединительной ткани, заполняющая полость зуба;
- периодонтит – после гибели пульпы процесс распространяется за пределы зуба и начинается воспаление тканей пульпозной камеры;
- абсцесс – гнойный процесс мягких тканей полости рта или тела челюсти;
- флегмона – разлитой гнойный процесс, который распространяется по межклеточным пространствам мягких тканей лица, шеи и грудной клетки.
Когда точно нужно срочно бежать к врачу
Консультация стоматолога требуется, если у вас:
- острые болевые ощущения не проходят в течение суток (в течение 2х суток, если боль появилась после удаления, имплантации, выполнения хирургических манипуляций, например, после чистки каналов, возникает болевой синдром при нажатии на зуб);
- если болевой синдром любой интенсивности в челюсти сопровождается лихорадкой и/или общим недомоганием;
- при самостоятельном осмотре ротовой полости обнаружен десневой капюшон (покраснение, набухание десны) или гнойное воспаление;
- постепенно нарастает интенсивность болевого синдрома в зубе;
- кровоточивость дёсен и болезненность.
Потемнение зуба указывает на разрушение его структуры изнутри. Об истинных масштабах повреждения может судить только специалист. В стоматологической клинике «ЮлиСТОМ» осуществляется приём пациентов без выходных по записи, а при острой зубной боли оказывается неотложная помощь в день звонка, примем без очереди.
Чем снять острую зубную боль
Для лечения острой боли в зубе в домашних условиях можно использовать следующие группы лекарственных средств:
- Нестероидные противовоспалительные препараты(НПВС) – (Нимесил, Найз, Нимесулид и др.). Можно принимать не более 2 раз в день.
- Ненаркотические анальгетики центрального и периферического действия – (Анальгин, Пенталгин, Парацетамол, Кеторол, Кетанов и др.).
- Местные анестетики – (Лидокаин, Новокаин и др.). Считаются самыми сильными лекарственными средствами для снятия зубной боли.
Таблетки от острой зубной боли
Таблетки надолго и быстро снимают острую зубную боль. Многие такие обезболивающие лекарства отпускаются без рецепта и есть в домашних аптечках.
Нимесулид

Упаковка Нимесулида
Нимесулид — НПВС, подгруппа сульфонанилидов. Имеет противовоспалительный, обезболивающий, жаропонижающий эффект. С осторожностью принимать лицам с заболеваниями желудочно-кишечного тракта.
- Как принимать: 1 таблетка после еды или содержимое 1 пакетика растворить в ½ стакана воды, принять после еды. Не более 2 раз в сутки.
- Стоимость: от 40 руб. (10 таблеток) и от 120 руб. (4 пакетика).
- Производитель: Дарница, ОЗОН Фарм, Акрихин ХФК АО и др.
- Форма выпуска и дозировка: таблетки по 100 мг 10, 30 шт. в упаковке, гранулы для приготовления суспензии 4, 10 и 30 пакетов по 2 г в упаковке. Для перорального приёма.
- Противопоказания: аллергические и другие реакции на препарат в прошлом, воспалительные заболевания кишечника в стадии обострения, сопутствующий приём других средств из группы НПВС, внутренние кровотечения в анамнезе, нарушения свёртывания крови, почечная, печёночная, сердечная недостаточность, дети до 12 лет, беременность и период лактации, непереносимость компонентов.
- Отпускается: без рецепта.
Парацетамол

Упаковка Парацетамола
Парацетамол — анальгетик-антипиретик. Обладает обезболивающим, жаропонижающим эффектом.
- Как принимать: 1 таблетка после еды, не более 4 раз в сутки.
- Стоимость: от 10 руб.(10 таблеток).
- Производитель: Обновление ПФК, Фармстандарт-Лексредства и др.
- Форма выпуска и дозоровка: таблетки по 500 мг 10, 12, 20 шт. в упаковке.
- Противопоказания: аллергические и другие реакции на препарат в прошлом, непереносимость компонентов, дети до 6 лет, острая почечная, печёночная недостаточность.
- Отпускается: без рецепта.
Анальгин

Упаковка Анальгина
Анальгин — анальгетик-антипиретик периферического действия, производный пиразолона. Обладает обезболивающим, жаропонижающим эффектом.
- Как принимать: 1 таблетка после еды, не более 2-3 раз в сутки.
- Стоимость: от 50 руб.(10 таблеток) и от 100 руб. (10 ампул).
- Производитель: RENEWAL, Обновление ПФК АО, Авексима Сибирь ООО и др.
- Форма выпуска и дозировка: таблетки по 500 мг 10, 12, 20, 30, 50 шт. в упаковке, ампулы по 2 мл 10 шт. упаковке.
- Противопоказания: аллергические реакции и другие реакции на препарат в анамнезе, индивидуальная непереносимость, нарушения кроветворения, беременность и лактация, дети до 15 лет, в зависимости от возрастной категории и пути введения, острая почечная, печёночная недостаточность.
- Отпускается: без рецепта.
Кеторол

Упаковка Кеторола
Кеторол — анальгетик-антипиретик центрального действия, производный пирролизин-карбоксиловой кислоты. Обладает обезболивающим, жаропонижающим действием.
- Как принимать: 1-2 таблетки после еды, не более 3-4 раз в день.
- Цена: от 30 руб. (20 таблеток) и от 90 руб. (10 ампул).
- Производитель: МАКИЗ-ФАРМА ООО, Д-р Редди , с Лабораторис ЛТД (Индия) и др.
- Форма выпуска и дозировка: таблетки в оболочке по 10 мг 20 шт. в упаковке, ампулы по 1 мл 10 шт. упаковке.
- Противопоказания: аллергические реакции и другие реакции на препарат в прошлом, непереносимость компонентов, нарушения кроветворения, беременность и лактационный период, заболевания желудочно-кишечного тракта в стадии обострения, дети до 16 лет, в зависимости от пути введения и возрастной категории, острая печёночная, почечная недостаточность.
- Отпускается: по рецепту.
Что еще помогает при острой зубной боли
При приступах сильной острой боли можно принимать другие сильнодействующие препараты в виде порошка или спрея местного действия.
Нимесил

Пакетики Нимесила
Нимесил — НПВС, подгруппа сульфонамидов. Имеет противовоспалительный, обезболивающий, жаропонижающий эффект. С осторожностью принимать лицам с заболеваниями желудочно-кишечного тракта.
- Как принимать: содержимое 1 пакетика растворить в половине стакана воды, принимать после еды. Не более 2 раз в сутки.
- Стоимость: от 700 руб. (30 пакетов), от 300 руб. (9 пакетиков).
- Производитель: BERLIN-CHEMIE.
- Форма выпуска идозировка: гранулы для приготовления суспензии. Для перорального употребления. В упаковке 9, 30 пакетов по 2 г.
- Противопоказания: аллергические реакции и другие реакции на препарат в прошлом, воспалительные заболевания кишечника в стадии обострения, сопутствующий приём других средств из группы НПВС, внутренние кровотечения в анамнезе, нарушения свёртывания крови, почечная, печёночная, сердечная недостаточность, дети до 12 лет, беременность и лактационный период, непереносимость компонентов.
- Отпускается: без рецепта.
Лидокаин

Спрей Лидокаин
Лидокаин — местный анестетик.
- Как принимать: 1 доза = 1 распыление, местно не более 1-2 распылений или смочить тампон в растворе спрея или ампулы и положить в кариозную полость. Детям до 2 лет обезболивать ТОЛЬКО с помощью тампона!
- Цена: от 20 руб.(ампулы) и от 300 руб. (спрей).
- Производитель: Эгис Фармацевтический завод (Венгрия), Эллара, Фармасинтез и др.
- Форма выпуска и дозировка: спрей 50 мл для местного применения, ампулы по 2 мл 10 шт. упаковке.
- Противопоказания: аллергические реакции и другие реакции на препарат в прошлом, тяжёлые кровотечения, индивидуальная непереносимость, гипотония, брадикардия, беременность и лактационный период, патологии сердечно-сосудистой системы, дети до 16 лет, в зависимости от пути введения и возрастной категории, пожилой возраст старше 65 лет.
- Отпускается: по рецепту.
Какие таблетки нельзя принимать
Принимать любые препараты следует строго по инструкции. Бесконтрольный приём препаратов может повлечь за собой такие осложнения, как язва желудка, гастрит, нарушения в работе печени, почек, кроветворной системы. Перед приёмом лекарственных средств необходимо проверить их срок годности.
Нельзя принимать любые обезболивающие препараты перед посещением врача, потому что лекарственное средство изменит симптоматику и затруднит постановку правильного диагноза.

Не принимайте обезболивающие таблетки перед приемом у врача!
Лечение острой зубной боли в домашних условиях
Заниматься самолечением и применять методы народной медицины для купирования даже сильной боли в зубе нежелательно, поскольку они приносят больше вреда, чем пользы. Использование некоторых методик может вызвать развитие осложнений. Яркий пример – появление абсцесса и флегмоны после использования тепла («прогревание» больного места) при воспалительном процессе.
Лучший выход из положения – посещение стоматолога в кратчайшие сроки, в крайнем случае – приём лекарственного препарата для облегчения боли с последующим обращением к врачу.
Некоторые народные методы, которые можно применять:
- прикладывание холодного компресса к щеке или кусочка льда к больному зубу на непродолжительное время несколько уменьшит болевые ощущения (холод сузит сосуды, задержит скорость распространения воспаления). Будьте бдительны: нельзя допускать соприкосновения холода с кожей, особенно длительно время, чтобы избежать обморожения;
- полоскание раствором 3% перекиси водорода с водой эффективно борется с болезнетворной микрофлорой и помогает убрать налёт, размягчая его. С этой же целью результативно полоскание раствором хлоргексидина, мирамистина;
- спиртовой компресс на полость зуба несколько уменьшает болезненность на короткое время благодаря анальгезирующему эффекту и дезинфекции. Кусочек ваты, смоченный в спирте или водке, помещаем внутрь кариозной полости;
- полоскание раствором соды (1 ч.л. на стакан воды) и/или соли (1 ч.л. на стакан воды) уменьшает отёк и сдавление нерва, благодаря уменьшению осмотического давления в тканях. Действенно при дискомфорте, возникшем при приёме пищи. Полоскать в течение 5-10 минут;
- полоскание настоем ромашки, шалфея уменьшает воспалительный процесс и отёк дёсен. 2 ст.л. травы залить 1 стаканом кипятка и настаивать в течение 15-20 минут. Тёплым настоем полоскать 4-6 раз в день.
Острая зубная боль при заболеваниях
Болевой синдром может появляться на фоне заболеваний. Если не лечить их, они приведут к осложнениям. Наиболее частые заболевания, вызывающие болевой синдром:
- Кариес. При глубоком поражении появляется острая боль при воздействии горячей, холодной пищи или воды. Болезненные ощущения при температурном воздействии свидетельствуют об истончении стенки кариесной полости и возможном развитии пульпита.
- Пульпит. Сильнейшая острая боль часто усиливается в вечернее и ночное время, имеет пульсирующий характер без чёткой локализации с иррадиацией в висок или ухо.
- Периодонтит. Острая боль при надкусывании – чаще свидетельствует о развитии этой болезни. Медикаментозные и народные средства при данной патологии не помогут. Лечение будет длительным, трудоёмким и проходить в несколько этапов.
- Флюс или абсцесс. Для них свойственна острая пульсирующая боль, свидетельствующая о развитии гнойного процесса. Имеется припухлость в полости рта, в тяжёлых случаях может быть припухшей щека.
Иногда бывают ситуации, когда зубы здоровы, но продолжают «болеть». Такое возможно при наличии патологических состояний, не связанных с полостью рта:
- Оонкологические заболевания челюстно-лицевой области. Боль покалывающая, с возможным онемением, мышечной слабостью.
- ЛОР-заболевания, в том числе на фоне вирусной инфекции.. Боль иррадиирует в заднюю часть верхней и нижней челюсти. Больше о причинах и характере боли после простуды читайте здесь.
- Челюстно-лицевая невралгия.
- Патологии сердечно-сосудистой системы (стенокардия, инфаркт миокарда). Боль иррадиирует в угол нижней челюсти слева.
- Мигренозные, кластерные и другие виды головной боли. Острая приступообразная боль в верхней челюсти с одной стороны, позади глазницы, часто провоцируется приёмом алкоголя.
- Патологии височно-челюстного сустава. Рот открывается не полностью, при движении челюстью слышны щёлкающие, скрипящие звуки, боль впереди от козелка уха.
При выявлении ложных, иррадиирующих болей, мы направляем пациента к соответствующему смежному специалисту, который после обследования определит дальнейшую тактику лечения.
Из-за повышенного уровня кислотности в ротовой полости и нехватки питательных веществ зубы быстрее поддаются разрушению во время беременности и лактации. Но в такие периоды при появлении острой боли крайне нежелательно принимать лекарственные препараты в связи с их токсическим воздействием на организм плода или ребёнка вплоть до пороков развития. Необходимо срочное обращение к врачу для постановки диагноза и выбора тактики лечения. Для облегчения зубной боли во время беременности возможно применение народных методов лечения.
Причиной появления острой зубной боли у ребенка может быть как просто реакция на сладкую, кислую, холодную и горячую пищу, так и пульпит или кариес. Необходимо срочное обращение к врачу. Для облегчения состояния можно дать ребенку Парацетамол или Ибупрофен в дозировке, соответствующей возрастной норме, детский Нурофен. Приём других медикаментозных обезболивающих препаратов крайне нежелателен в связи с большим количеством побочных явлений.

Острая зубная боль ночью усиливается
Острая зубная боль после удаления зуба
Возникновение боли после экстракции зуба – нормальная реакция организма в первое время. Если болезненность не стихает, необходимо принять обезболивающие препараты. Если через 2 дня и более боль будет нарастать, обратитесь к стоматологу, проводившему удаление зуба – скорее всего, развился альвеолит.
Острая боль и зуб мудрости
Чтобы предотвратить появление острой зубной боли, требуется соблюдение профилактических мер, а при появлении первых признаков дискомфорта или видимых изменений внешнего вида зуба или слизистой ротовой полости надо получить консультацию врача.
К профилактическим мерам относится:
- чистка зубов дважды в день;
- использование зубной нити, ёршика или ирригатора;
- профилактическое посещение стоматолога каждые полгода. Это позволит вылечить кариес на начальной стадии и не допустить развития осложнений;
- отказ от курения – табачный дым изменяет биохимический состав слюны, способствует образованию зубного налёта;
- отказ от сладкой и мягкой пищи: сахар является субстратом для питания микроорганизмов, а при употреблении мягкой пищи не происходит естественного очищения зубов.
Соблюдение этих простых правил и своевременно обращение к врачам нашей клиники сохранит здоровье и сэкономит ваш бюджет. Ведь проще и финансово выгоднее предупредить заболевание, чем потом его лечить! И вопрос, чем снять острую зубную боль, больше не возникнет.
Частые вопросы
Нет. Анальгетики и НПВС в виде таблеток имеют центральное и периферическое действие, попадая к месту приложения с током крови.
Если максимальная допустимая доза, указанная в инструкции, не помогает, нужно срочно обратиться к врачу.
Для купирования острой зубной боли ночью рекомендуется обратиться в круглосуточную стоматологическую клинику. Полноценное лечение ночью провести, безусловно, не удастся, но паллиативную помощь, облегчающую боль, вы получите. При отсутствии круглосуточной клиники, необходимо принять минимальную дозу обезболивающего лекарственного средства, а утром непременно обратиться к врачу.
Помните, что обезболивающие препараты не устраняют причину острой боли. Они снимают симптом. Для устранения причины болезненности необходим визит к врачу и надлежащее лечение. Обращайтесь к нашим специалистам!
Читайте также:
- Разрывы связок колена и сопутствующие травмы
- Внутрипросветное шунтирование сосудов конечностей. Преимущества, недостатки
- Нейрохирургия невриномы слухового нерва - диагностика, лечение
- Венесекция для венозной катетеризации сердца. Показания к артериальной катетеризации сердца
- Диагностика туберкулеза предстательной железы. Обследование при туберкулезном простатите
