Отсутствие фронтальных зубов. Артикуляционное равновесие.
Добавил пользователь Евгений Кузнецов Обновлено: 15.11.2025
Отсутствие фронтальных зубов. Артикуляционное равновесие.
При определении показаний к протезированию дефектов в области передних зубов учитывают фонетический и косметический факторы, а также влияние нарушения зубочелюстной системы на сохранение ее артикуляционного равновесия.
Слово, по выражению И. П. Павлова, является могущественным условным раздражителем. Речевые условные рефлексы играют большую роль в деятельности человеческого организма. Поэтому фонетический дефект у больного должен считаться абсолютным показанием к зубопротезированию.
В косметическом отношении даже отсутствие одного переднего зуба может причинить иногда много неприятностей больному: больной, особенно молодой человек, боится улыбнуться, чтобы не обнаружить этот дефект, или приучает себя во время разговора закрывать рот рукой. Такой косметический недостаток иногда депрессивно действует на психику больного; устранение же его путем протезирования повышает жизненный тонус такого больного.
При дефекте в области передних зубов должна быть принята также во внимание возможность капельной инфекции. При наличии промежутка между передними зубами во время разговора выбрасывается много слюны в виде капель; в связи с этим становится более возможным распространение инфекции капельным путем. Дефект в области передних зубов независимо от его величины является поэтому абсолютным показанием к протезированию.

Артикуляционное равновесие.
Нарушение непрерывности зубных рядов влияет на сохранение артикуляционного равновесия. По этому вопросу существуют разные мнения. Ряд авторов находит, что с целью предохранения нарушенной зубочелюстной системы от дальнейшего разрушения необходимо восстанавливать любой дефект, имеющийся в полости рта.
При интактной зубной дуге смещение зубов не происходит, несмотря на ряд действующих при жевании вертикальных и горизонтальных компонентов жевательного давления. Этому препятствует дистальная и мезиальная защита каждого зуба со стороны соседних зубов, правильное взаимоотношение зубных рядов, а также контрфорсы, траектории, анатомо-физиологические особенности перицемента, расположение корней и т. д.
Годон изображает взаимоотношение между верхними и нижними зубными рядами и между зубами одного и того же ряда в виде параллелограмма сил, которые, уравновешивая друг друга, создают так называемое артикуляционное равновесие. Вертикальное смещение предупреждается антагонистами и сопротивлением дна альвеолы, мезио-дистальное — соседними зубами. Поэтому при выпадении даже одного зуба, нарушается, как полагают сторонники замещения любого дефекта в зубной дуге, прочность всего зубного аппарата.
Начинается постепенное, но стойкое изменение артикуляционного равновесия. Зубы начинают смещаться, конвергировать, выдвигаться из альвеолы и т. д.
Однако теория Годона механистична, так как она рассматривает зубную систему изолированно от всего организма вообще и от зубочелюстно-лицевой системы в частности, и поэтому ряд советских авторов (М. Г. Лукомский, Б. Н. Бынин, А. Я. Катц, С. Е. Гельман, А. И. Бетельман) оспаривает ее.
Информация на сайте подлежит консультации лечащим врачом и не заменяет очной консультации с ним.
См. подробнее в пользовательском соглашении.
Глубокий прикус. Открытый прикус.
Кроме аномалий в сагиттальном направлении, различают еще, как сказано, смещение зубных рядов в вертикальном направлении. К ним относятся глубокий и открытый прикусы.
Б. Н. Бынин по глубине перекрытия верхними фронтальными зубами нижних различает глубокое перекрытие и глубокий прикус. Глубокое перекрытие является вариантом ортогнатического прикуса.
Обычно глубина перекрытия верхними зубами нижних достигает трети коронок. При глубоком перекрытии верхние зубы перекрывают нижние на большую глубину, но нижние фронтальные зубы не проскальзывают на зубные бугорки верхних, а только доходят до них. Глубокий прикус характеризуется глубоким перекрытием верхними фронтальными зубами нижних, при котором нижние зубы проскакивают мимо зубных бугорков (tuberculum dentale) верхних и достигают шеек зубов или слизистой оболочки неба.
При глубоком прикусе наблюдается чрезмерное развитие альвеолярного отростка в области фронтальных зубов, что характерно для супраокклюзии, или недоразвитие альвеолярного отростка в области жевательных зубов. Нижняя треть лица обычно укорочена. Носогубная и подбородочная складки резко выражены, нижняя губа несколько повернута кнаружи. Встречается различная степень глубины прикуса. Самые тяжелые формы наблюдаются обычно при патологической прогнатии в тех случаях, когда нижние передние зубы касаются слизистой оболочки верхней челюсти.

Открытый прикус. При открытом прикусе смыкаются только жевательные зубы, иногда одни моляры, остальные зубы разобщены. При открытом прикусе наблюдается чрезмерное развитие альвеолярных отростков в области жевательных зубов и недоразвитие передних участков, особенно в области межчелюстной кости. Функция жевания в таких случаях сильно нарушена. Пища не разрезается и очень долго пережевывается.
У детей жевательный акт так затруднен, что они не пользуются зубами, а растирают пищу языком и мягкими тканями. У больных, не пользующихся зубами для жевания, отлагается много зубного камня, который проникает глубоко под десневой край, что влечет за собой расшатывание зубов. Кроме того, продолжительное зияние ротовой щели служит причиной сухости во рту и воспаления слизистой оболочки.
Косой прикус. Косой прикус характеризуется отклонением от морфологии ортогнатического прикуса в трансверзальном направлении. Наблюдается односторонний и двусторонний косой прикус.
Состояние слизистой определяют в отношении патологических изменений, имеющих общее значение в характеристике мягких тканей полости рта, и в отношении податливости, имеющей специфическое значение при протезировании. На слизистой не должно быть никаких воспалительных явлений. При наличии патологических изменений она должна быть санирована до начала протезирования.
Относительное физиологическое равновесие зубов. Подготовка зубов к протезированию.
Под относительным физиологическим равновесием А. Я. Катц понимает всю сумму эндогенных и экзогенных факторов, действующих на жевательный аппарат. Неравномерное распределение жевательного давления, перегрузка отдельных участков зубочелюстной системы при всех видах окклюзии вызывают различную ответную реакцию со стороны зубочелюстной системы. Эта реакция проявляется возникновением различных нарушений функции жевательного аппарата, степень которых всегда зависит от общего состояния организма.
Такой взгляд на жевательный аппарат резко отличается от понимания артикуляционного равновесия Годоном. Рассматривая зубочелюстную систему как единое целое, он упускает из виду, что единство жевательного аппарата обусловливается единством всего организма и взаимозависимостью всех его частей. Отсюда следует, что незначительное нарушение целости зубной системы может быть компенсировано благодаря коррелирующим возможностям всего организма вообще и жевательного аппарата в частности. Поэтому А. Я. Катц в противовес «артикуляционному равновесию» выдвигает понятие «относительное физиологическое равновесие».
К компенсаторным механизмам в полости рта можно отнести гистологическую перестройку околозубных тканей оставшихся зубов, функциональное уплотнение слизистой оболочки полости рта, структурное изменение всех тканей полости рта и т. д. Такая компенсация предохраняет жевательный аппарат от нарушения артикуляционного равновесия, несмотря на нарушение его морфологической целости. Поэтому наличие небольших дефектов зубных рядов не может служить показанием к протезированию.
К местным противопоказаниям относятся: несанированная полость рта, незаживающие язвы любого происхождения (туберкулезные, сифилитические и т. д.), новообразования полости рта и предраковое состояние.

Подготовка зубов к протезированию.
Подготовка полости рта к протезированию является весьма важным этапом. От тщательности ее зависит успешность дальнейших действий врача-ортопеда. Плохая подготовка влечет за собой неблагоприятные отдаленные последствия протезирования и, кроме того, лишает врача возможности изготовить протез целесообразной конструкции.
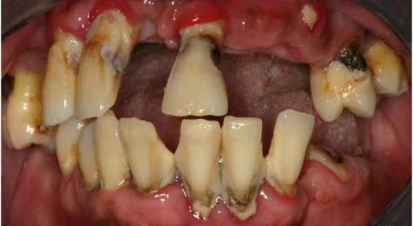
Для подготовки полости рта следует тщательно исследовать и привести в надлежащий порядок все ткани полости рта: зубные ряды, костную основу и слизистую. Начнем с установок, которых следует придерживаться при подготовке зубных рядов: все кариозные зубы, которые могут быть вылечены и запломбированы, необходимо запломбировать и оставить в полости рта. Зубы, не поддающиеся лечению, должны быть удалены. Что касается корней зубов, то даже те, которые могут быть вылечены и запломбированы, подлежат удалению, за исключением корней, которые могут быть использованы для фиксации протезов. Такие корни должны быть запломбированы.
Удаление корней зубов. По вопросу об удалении корней с целью протезирования имеются разные мнения. Одни высказываются за удаление корней жевательных зубов, но находят необходимым оставлять корни фронтальных зубов, другие считают возможным оставлять все без исключения корни. Разумеется, и те и другие авторы имеют в виду только такие корни, которые могут быть вылечены и запломбированы.
Однако рационально удалять все корни, кроме тех, которые могут быть использованы для протезирования, по следующим мотивам: во-первых, корни постоянно выдвигаются из лунок, в результате чего изменяется протезное ложе, для которого был первоначально изготовлен протез, а это неблагоприятно отражается на функциональной ценности протеза; во-вторых, очень редко удается пришлифовать искусственные зубы к краям корней так, чтобы протез плотно к ним прилегал; в-третьих, протез, сидящий на корнях, часто балансирует и ломается в месте прилегания к корням.
Имеются и другие серьезные показания к удалению корней. Если корни оставляют в полости рта, то десневой край оказывается между двумя твердыми телами: краем корня и протезной пластинкой, в результате чего он подвергается травме и воспаляется. Воспаление десневого края обусловливается также скоплением под протезом пищевых остатков, подвергающихся брожению и разложению.
Кроме того, всякий корень вследствие наличия некротических масс в дельтовидных разветвлениях микроканала и невозможности удаления их является инфекционным очагом, могущим привести к ротовой интоксикации. Поэтому в интересах предохранения организма больного от хрониосепсиса следует удалять все корни, за исключением тех, которые могут быть использованы для фиксации протеза. Однако следует отметить, что удаление корней обязательно только в тех случаях, когда по общему состоянию организма у больного нет противопоказаний к кровавым операциям.
У лиц, страдающих гемофилией, тромбопенией или другими заболеваниями, при которых операция удаления зуба сопряжена с опасностью для жизни, корни, наоборот, подлежат лечению и пломбированию и после соответствующего подпиливания их оставляют под протезом.
- Вернуться в оглавление раздела "Стоматология."
Адентия - симптомы и лечение
Что такое адентия? Причины возникновения, диагностику и методы лечения разберем в статье доктора Горожанцева Александра Сергеевича, стоматолога-ортопеда со стажем в 24 года.
Над статьей доктора Горожанцева Александра Сергеевича работали литературный редактор Маргарита Тихонова , научный редактор Сергей Федосов
Определение болезни. Причины заболевания
Адентия — это патология, которая характеризуется отсутствием одного или нескольких зубов. Также возможна полная потеря зубного ряда — полная адентия.
Причины адентии
Наследственное происхождение данного заболевания составляет 63,1% от общего числа людей с адентией. [3] Большинство исследователей пришло к выводу, что частота проявления данной аномалии зависит от факторов внешней среды: географии проживания, климатических условий, экологии и других.
По причинам возникновения выделяют две формы адентии:
- первичную (истинную) — составляет 0,9% от числа людей, обращающихся за стоматологической помощью;
- вторичную (приобретённую).
Первичная адентия
При первичной адентии с самого рождения отсутствует зачаток временного или постоянного зуба. Это связано с неправильным формированием самого зачатка. Так, по исследованию Н.В. Бондарец, у 92,46% пациентов с частичной адентией временных зубов отсутствовали зачатки соответствующих постоянных зубов. [1]
Вторичная адентия
Вторичная адентия возникает по причине травмы зачатка непрорезавшегося зуба в раннем возрасте, а также воспалительных заболеваний и травм прорезавшихся зубов.
Повреждение зачатка в детстве часто происходит из-за невнимательности и высокой активности ребёнка, его любопытства и неосторожности. Эти факторы могут привести к перелому корня, вколоченному зубу или его полному вывиху. [9]
Также у детей, которые проходят курс химиотерапии во время формирования зачатка зубов, часто встречается аплазия этих зачатков. [10]
Поражение возникает при вовлечении зачатков постоянных зубов в воспалительный процесс, возникающий как осложнение периодонтита временных зубов.
Во взрослом возрасте причины адентии постоянных зубов не менее разнообразны. К ним относятся:
- — потеря зуба/зубов в результате воспаления пародонта и твёрдых тканей зуба и челюстей;
- кариес, пульпит — в запущенных случаях, чтобы избежать распространения инфекционного процесса в окружающие ткани, приходится удалять зуб;
- дистрофические поражения периодонта (гингивит, периодонтит );
- травмирование зубов , различные травмы зубочелюстного аппарата (нерациональное ортопедическое лечение, механические и химические травмы);
- хронические заболевания (например, гипертония и сахарный диабет);
- вредные привычки (курение, жевание твёрдых предметов и прочие).
При обнаружении схожих симптомов проконсультируйтесь у врача. Не занимайтесь самолечением - это опасно для вашего здоровья!
Симптомы адентии
Главный симптом как первичной, так и вторичной адентии — это смещение зубов в зубной дуге после образования дефекта (отсутствия зубов), которое приводит к изменению окклюзионной кривой (условной линии, проходящей через точки смыкания зубов).
В основе деформации зубной дуги лежит единый процесс перестройки кости после потери обычной функциональной нагрузки, т.е. после потери зубов. Этот процесс известен как феномен Попова — Годона. С течением времени перестройка кости прогрессирует, отражаясь на пропорциях лица.

Без должного лечения полной адентии губы западают, носогубные и подбородочные складки становятся ярко выраженными, уголки рта опускаются вниз, появляется двойной подбородок, нижняя челюсть уменьшается, а на шее образуются морщины. При этом у детей чаще всего развивается зубоальвеолярная форма феномена Попова — Годона: недоразвитие альвеолярного отростка одной или обеих челюстей придаёт лицу ребёнка типичное старческое выражение, присущее беззубым взрослым пациентам. [5] [6] [24]

Даже при потере одного-трёх зубов нарушается жевательная функция. И хотя сам пациент может считать трудности, связанные с жеванием, незначительными, в зубочелюстной системе всё же начинают происходить вышеописанные изменения.
Нарушение смыкания зубов приводит к патологическому изменению височно-нижнечелюстного сустава, частым симптомом которого выступает синдром Костена, имеющий разнообразные клинические проявления: [7]
- головокружение;
- шум в ухе и его заложенность;
- нарушенное смыкание зубных рядов и движение височно-нижнечелюстного сустава;
- боли в области шеи.
Также адентия проявляется нарушением речеобразования, особенно при потере зубов фронтальной группы, играющих наиважнейшую роль в создании звуков. [8]
Патогенез адентии
Патогенез патологии заключается в изначальном нарушении закладки зачатка зуба — рассасывания его фолликулы (своеобразного защитного механизма) под влиянием общих, токсических заболеваний и воспалительных процессов в результате осложнений периодонтита молочных зубов.
Многие авторы во главу появления адентии ставят нарушение формирования зачатка в эмбриональном периоде. Это происходит в связи с наследственной предрасположенностью или заболеваниями эндокринной системы. [11]
Помимо этого существуют гипотезы о том, что врождённое отсутствие зубов может развиться вследствие ошибок в заложенной наследственной программе возникновения и развития зубных тканей. [12] [13]

В отечественной и зарубежной литературе многими исследователями [14] [15] проанализированы хромосомные ошибки, наличие которых может приводить к нарушению формирования зубного зачатка и развитию зубочелюстной системы. К ним относятся:
- хромосомные отклонения в определённых участках и генные мутации;
- совместное действие многих генов и факторов среды;
- нарушения минерального обмена.
Иногда первичная адентия является характерным признаком другого системного заболевания. Так, описаны случаи сопутствующей одиночной или системной адентии при:
- гипогидротической эктодермальной дисплазии — врождённом нарушении, проявляющемся пороками развития кожи, волос, зубов и потовых желёз;
- хондроэктодермальной дисплазии — наследственной аномалии хрящевого слоя костей и нарушении развития волос и зубов;
- синдроме Дауна. [16]
J. Parmanand в 2003 году зафиксировал отсутствие зачатков зубов при расщелинах нёба и губ — волчьей пасти и заячьей губе. [17] Причём, по данным Р.Р. Шакировой, первичная адентия постоянных зубов у детей с такой аномалией наблюдалась чаще (34,3%), чем адентия молочных зубов (16,8%). [18]
Классификация и стадии развития адентии
Согласно классификации МКБ-10, выделяют следующие виды адентии:
- К00.00 Частичная адентия — отсутствует часть зубов:
- гиподентия — отсутствие нескольких зубов;
- олигодентия — врождённое отсутствие большинства зубов;
- К00.01 Полная адентия — отсутствуют все зубы.
- К00.09 Неуточнённая адентия.
По мнению авторов И.М. Расулова и М.Г. Будайчиева, данная классификация адентии должна быть уточнена либо пересмотрена полностью, так как неуточнённая адентия является, скорее, не конкретным диагнозом или состоянием, а лишь ситуацией, при которой врач не сумел по разным причинам установить фактор возникновения болезни. [4]
Как говорилось ранее, по причинам появления на первичную и вторичную адентию. Установить причинно-следственные связи, приведшие к патологии, необходимо для точного подбора метода лечения.
По объёму дефекта разделяют частичную и полную адентию.
В зависимости от того, какое количество зубов отсутствует, выделяют три группы дефектов:
- малые — отсутствует один зуб;
- средние — отсутствует 2-3 зуба;
- большие — отсутствует более трёх зубов.
Чаще всего на практике используется классификация дефектов зубных рядов, которую ввёл американский дантист Э. Кеннеди. Он разделил адентию на четыре класса:
- I класс — потеря жевательных зубов с обеих сторон;
- II класс — дефект зубного ряда с одной стороны;
- III класс — дефект зубов с одной стороны при наличии дистальной (боковой) опоры;
- IV класс — отсутствие зубов во фронтальном участке зубного ряда.
Все перечисленные варианты систематизации позволяют охватить большое разнообразие дефектов зубных рядов, что облегчает постановку диагноза и планирование ортопедического лечения.
Осложнения адентии
Осложнений адентии носят психосоциальный, неврологический, стоматологический, а иногда и системный характер.
При полном отсутствии зубов прежде всего происходит атрофия альвеолярных отростков. Это приводит к нарушению эстетики улыбки, в результате чего у людей с данной болезнью развиваются психологические проблемы.

Почему при отсутствии зубов убывает костная ткань
При потере зубов жевательная нагрузка переносится на слизистую ткань и костную опору дёсен. Из-за нагрузки нарушается кровоснабжение этой части жевательного аппарата, происходит венозный застой и снижается тонус сосудов. Перераспределение давления также приводит к активации остеокластов (клеток, разрушающих костную ткань) и повреждению губчатого вещества кости.
При адентии на одной челюсти в зубном ряду антагонирующие (противоположные) зубы располагаются скученно или нагромаждаются друг на друга. При этом отдельные зубы размещены вне зубного ряда или ретенированны. [2]

- снижается скорость выделения слюны;
- изменяется реакция среды;
- падает количество белка в ротовой жидкости;
- изменяются показатели антибактериальной и антирадикальной защиты.
В 100% случаев вторичной адентии со временем возникает макроглоссия, т. е. увеличение языка: изменениям подвергается его микрососудистое русло. [20]
Пародонт оставшихся зубов испытывает функциональную перегрузку, в частности снижается выносливость пародонта зубов, ограничивающих дефект. [23] Это приводит к образованию патологических костных карманов, атрофии зубной альвеолы и локализованному гингивиту.

Нарушение смыкания зубных рядов вызывает патологические изменения в строении височно-нижнечелюстного сустава: ограничиваются движения суставных головок, изменяется гистологическое строение тканей.
Взаимное влияние структур жевательного аппарата создаёт предпосылки к формированию неврологических феноменов. Одним из самых разнообразных в проявлении является синдром Костена. Он может сопровождаться:
- болями, преимущественно в околоушной области;
- заложенностью в ухе и снижением слуха;
- головокружением;
- нарушением вкусовой чувствительности.
Из-за нехватки жевательных зубов и недостаточной механической обработки пищи формируются нарушения, связанные с пищеварением — гастрит, колит, язва желудка. [22]
При всём этом опыт показывает, что повышение медицинской грамотности населения снижает количество случаев возможных осложнений, что, очевидно, ведёт к повышению уровня стоматологического здоровья населения. [27]
Диагностика адентии
Диагностика адентии не составляет проблем, так как заболевание обнаруживается при обычном стоматологическом осмотре пациента.
Важно при постановке диагноза определить наличие или отсутствие зачатка зуба. Это можно установить при ортопантомографическом исследовании. Также проводится трактовка данных, полученных при компьютерной томографии, и изучение гипсовых моделей челюстей.

В норме прорезывание первых молочных зубов начинается в 6-8 месяцев, а появление постоянных зубов на месте выпавших молочных происходит в 7-13 лет. Если новые зубы у младенцев не появляются к 11-12 месяцам, а постоянный зуб не сменяет молочный спустя месяц после выпадения, то рекомендуется обратиться к стоматологу и сделать прицельный рентгеновский снимок проблемной зоны. Это позволит исключить или подтвердить адентию.
Ранняя диагностика адентии основывается на ранней диагностике заболеваний, которым обычно сопутствует врождённое отсутствие зубов:
- диагностика ангидротической эктодермальной дисплазии производится у генетика на основе ДНК-исследования и наследственного анамнеза;
- раннее выявление синдрома Дауна возможно ещё до рождения при помощи анализа околоплодных вод и скрининга венозной крови матери на наличие определённых маркеров заболевания.
Лечение адентии
Тактика лечения выбирается врачом-стоматологом исходя из данных тщательного обследования.
Мостовидные и бюгельные протезы
При частичной адентии используются традиционные мостовидные, бюгельные, пластиковые и нейлоновые пластинчатые протезы.

Протезирование на имплантах
Самой надёжной, эстетичной и перспективной методикой лечения является протезирование на имплантах. Одна из последних разработок в этой сфере — физиологичные зубные импланты, напечатанные на 3D-принтере. Так, на Международной стоматологической выставке в 2017 году продемонстрировали модель зубного импланта, напечатанного на 3D-принтере, которая полностью повторяла естественную форму зуба.
Опыт применения традиционных зубных имплантов за годы доказал их долгий срок службы. Несомненным плюсом является отсутствие необходимости удаления здоровых тканей соседних зубов (в отличии от традиционного мостовидного протезирования).
Протезирование при полной адентии
При полном отсутствии зубов предпочтение отдаётся съёмным и несъёмным конструкциям с опорой на импланты. Прогрессирующая атрофия альвеолярных гребней челюстей, связанная с отсутствием адекватной жевательной нагрузки, усложняет применение съёмных пластиночных протезов, особенно в отношении нижней челюсти.
Адентия у детей: особенности лечения
Наибольшую сложность в лечении представляют случаи детской адентии: рост и развитие зубочелюстной системы, продолжающиеся после рождения ребёнка, ограничивают применение имплантов.
Основными вопросами, возникающими при применении дентальных имплантов у детей и подростков, являются:
- влияние имплантов на рост и развитие отдельных участков челюстей, челюсти в целом и зубочелюстной системы;
- влияние роста на положение имплантов и изменения, связанные с этим.
После прорезывания постоянных зубов челюстные кости перестают увеличиваться, поэтому применение дентальных имплантов возможно у детей со всеми прорезавшимися постоянными зубами (кроме третьих моляров — зубов мудрости).
Так, в 1989 году организация DGZMK пришла к выводу, что применение дентальных имплантов у детей до 15 лет может нести опасность для нормального развития челюстей. Однако в некоторых ситуациях применение дентальной имплантации является единственным возможным методом лечения адентии (например, при такой патологии, как эктодермальная дисплазия). Поэтому для грамотной помощи таким юным пациентам врачу необходимо знать принципы роста и развития челюстей, понимать динамику взаимоотношений импланта и развивающихся челюстей.
Прогноз. Профилактика
Успешность лечения адентии напрямую зависит от качества диагностики в ходе выбора метода лечения. Предотвращение и устранение сопутствующих патологий — важная задача на пути к реабилитации пациента.
В целом, независимо от возраста и тяжести поражения, на сегодняшний день есть все необходимые инструменты, позволяющие минимизировать явления атрофии и появления сопутствующих патологий. При грамотном использовании этих инструментов устранения адентии прогноз будет благоприятный.
У детей и подростков о благополучном исходе лечения адентии может свидетельствовать пропорциональное развитие костей лицевого черепа, в первую очередь альвеолярных гребней и тел верхней и нижней челюстей.
В зрелом возрасте первоочередной задачей является сохранение высоты альвеолярного гребня, даже при утрате которого современные методы реконструктивной хирургии могут вернуть физиологичное строение зубочелюстной системы.
Восстановление функций жевания и артикуляции возможно в полной мере и будет свидетельствовать об успешности проведённого лечения. Важным показателем также является восстановление гомеостаза (саморегуляции) полости рта. [21]
Профилактика адентии заключается в предотвращении появления кариеса и иных поражений твёрдых тканей зубов, заболеваний пародонта и болезней, связанных с утратой костной ткани челюстей (злокачественные новообразования, остеопороз, остеонекроз и т.д.).
Основные профилактические меры выглядят так:
- регулярная и качественная гигиена зубов и полости рта;
- систематическое обследование у стоматолога;
- раннее лечение стоматологических заболеваний;
- рациональное питание.
Профилактика проводится на местном и общем уровнях.
Применение зубных паст с содержанием фтора (исключая население, которое проживает в районах с повышенной концентрацией фтора в воде) повышает устойчивость эмали к кариесу, особенно при применении паст с аминофторидом. Во время вторичной минерализации эмали — периода "созревания" эмали в течении 3-5 лет после прорезывания зубов — такие пасты нужно использовать в максимально безопасной концентрации. [25]
Профилактическое пломбирование постоянных зубов минимизирует риск появления кариеса в фиссурах (углублениях) зубов.
Тем не менее, наиболее важным в профилактике стоматологических патологий является правильное питание матери во время беременности. [26]
Адентия
Мы перезвоним – для Вас звонок бесплатный! Напишите свои имя и номер телефона, чтобы мы могли связаться с Вами.
Будем рады помочь Вам!

Полное или частичное отсутствие зубов в стоматологии называется адентией. Эта патология может быть врожденной (аномалия развития зубочелюстной системы) или приобретенной. Для заболевания характерно нарушение непрерывности зубных рядов. Человек не может жевать, нормально говорить и испытывает дискомфорт от косметического дефекта улыбки. Ухудшается его дикция и артикуляция, хуже работает ЖКТ.
И полная, и частичная адентия опасна тем, что вследствие потери зубов возможна деформация лицевого скелета, заболевания височно-нижнечелюстного сустава (ВНЧС).
Виды патологии
В стоматологии адентия рассматривается как первичный или вторичный дефект зубных рядов.
- Полная врожденная адентия встречается крайне редко, примерно в 1% случаев.
- Частичная вторичная адентия диагностируется в 45–75% случаев.
- Также полная адентия встречается у 25% людей старше 60 лет.
В зависимости от причин и времени возникновения патологии, стоматологи, как уже было сказано выше, разделяют врожденную и вторичную потерю зубов, а также адентию временных и постоянных рядов. Истинной адентией называется отсутствие зубного зачатка, а при слиянии соседних коронок и задержке в сроках их прорезывания стоматологи говорят о ложной адентии.
С учетом количества отсутствующих зубов выделяется частичная и полная адентия. Первая предполагает недостаток до 10 единиц зубного ряда, как правило, верхних боковых резцов, вторых премоляров и третьих моляров. При отсутствии более 10 зубов врачи диагностируют множественную адентию.
Причины
Основной и единственной причиной адентии является отсутствие или гибель зачатков зубов. Первичная патология может быть вызвана наследственностью или спровоцирована различными вредоносными факторами, действующими в период формирования зубной пластинки плода.
Полная врожденная адентия — чрезвычайно редкое явление. Формируется ввиду эктодермальной дисплазии. В этом случае наряду с отсутствием зубов у больных наблюдается недоразвитие волос, кожи, ногтей, а также сальных и потовых желез, хрусталиков глаз, нервов.
Среди других распространенных причин патологии выделяют следующие:
- нарушение обмена минеральных веществ в период внутриутробного развития плода на фоне заболеваний мамы при беременности;
- болезни в раннем детстве;
- наследственность;
- нарушение работы эндокринной системы;
- сбои в развитии эктодермы — наружного зародышевого листка эмбриона;
- лечение сопутствующих болезней, в том числе злокачественных новообразований;
- химиотерапия, лечение ионизирующим излучением;
- остеомиелиты и другие гнойные воспаления челюстей.
Причинами вторичной потери зубов в процессе жизнедеятельности могут быть невылеченный кариес, пульпит, периодонтит, травмы зубов, флегмоны, абсцессы, неграмотное оказание стоматологической или ортопедической помощи, а также другие патологии зубов и десен.
Осложнения
Адентия приводит к разнообразным физическим и эстетическим осложнениям:
- в зоне отсутствия зуба ненагружаемая кость постепенно атрофируется;
- лицо может становиться ассиметричным, нарушается смыкание губ, углубляются подбородочные и носогубные складки. Зачастую меняется положение уголков рта, они начинают западать;
- происходит недоразвитие челюстей. Оно выражается тем сильнее, чем больше зубов отсутствует, появляются различные зубочелюстные деформации;
- при множественной адентии нижней челюсти наблюдается ее сильный выступ, глубокий прикус;
- при аномалиях верхней челюсти нижний зубной ряд начинает перекрывать верхний;
Недоразвитие челюстей наблюдается не во всех случаях, и далеко не у всех детей и взрослых оно выражается одинаково. Однако во всех случаях адентия приводит к негативным изменениям внешности.
При полной или множественной адентии неправильно формируется прикус, нарушается функция ротового пищеварения. Пища плохо измельчается, и больной вынужден отказываться от многих вкусных блюд. Не стоит забывать и о том, что при этой патологии у человека снижается самооценка, он начинает переживать из-за того, что внешне выглядит непривлекательно, замыкается в себе и реже идет на контакт с людьми.
Адентия верхней челюсти
Верхняя челюсть чаще нижней подвергается разного рода аномалиям. Как правило, у пациентов наблюдается симметричная гиподентия двух зубов. А так как передние зубы участвуют в звукообразовании и формируют чистоту произношений, этот вид деформации является самым заметным. Речь пациента становится шепелявой, невнятной, «уползает» улыбка, происходит разбрызгивание слюны.
Адентия нижней челюсти
Нижняя челюсть отличается небольшим протезным ложем, поэтому при адентии язык начинает занимать место нижних зубов. В результате значительно меняется дикция больного, ухудшается его самочувствие.
Диагностика и лечение
Для диагностики заболевания стоматологу необходимо детальное обследование полости рта пациента. Врач выясняет у больного ряд моментов:
- причины и время потери зубов;
- информацию о перенесенных заболеваниях;
- данные о ранее использованных больным зубных протезов.
В ходе осмотра стоматолог отмечает асимметрию лица, выраженность подбородочных и носогубных складок, степень уменьшения высоты нижнего отдела лица, наличие заед, характер смыкания губ, топографию переходной складки, степень открывания рта, характер соотношения челюстей. Специалист также определяет наличие хруста в суставах, боли при движении нижней челюсти и диагностирует степень атрофии альвеолярных отростков.
Осмотр обязательно включает пальпацию полости рта и рентгенографию ВНЧС. На основании полученных данных врач определяет дальнейшую тактику лечения (протезирования), выбирает для пациента подходящий вид протеза, слепочный материал.
Лечение адентии у детей
Родителям важно понимать, что лечение детей, у которых наблюдается патологическая потеря зубов, необходимо проводить в обязательном порядке. Например, в случае отсутствия молочных зубов в переднем и боковом сегментах у ребенка, в подростковом возрасте ряд может сформироваться неправильно.
Для детской адентии характерны:
- задержка в смене постоянных зубов;
- асимметричное прорезывание зубов;
- одностороннее сохранение молочных зубов;
- невыпадение молочного зуба и сращение его с углублением в челюстной кости.
При обнаружении хотя бы одного из этих признаков ребенка обязательно следует показать ортодонту.
Выбор ортопедической конструкции зависит от вида патологии и состояния полости рта маленького пациента. Детям чаще всего устанавливают несъемные мостовидные протезы — консольные или раздвижные. Для фиксации конструкции монтируют коронки. Дети хорошо реагируют на протезирование и нормально адаптируются к новым конструкциям.
Маленьким пациентам также можно установить мостовидные протезы, однако такие конструкции больше подходят в период позднего сменного и постоянного прикуса. Наиболее удачными конструкциями считаются раздвижные мостовидные протезы. Единственным недостатком подобной системы является образование щели при раздвижении конструкции и попадание в нее пищи.
Мостовидные протезы иногда устанавливают в профилактических целях, чтобы сохранить место в зубном ряду.
В период раннего сменного и временного прикуса применяются съемные пластиночные протезы, которые не задерживают рост челюстных костей.
Лечение адентии у взрослых
Взрослым пациентам предлагают различные виды съемных и несъемных протезов. Возможно протезирование на имплантатах, установка мостовидных протезов на четырех имплантатах и другие варианты протезирования на выбор пациента. В зависимости от состояния его зубочелюстной системы, финансовых возможностей и пожеланий, стоматологи, как правило, предлагают на выбор несколько вариантов лечения.
При выборе метода лечения важно понимать особенности каждой конструкции. Врач, исходя из состояния полости рта пациента, предлагает ему на выбор несколько вариантов протезирования.

Съемные протезы
Частичные или полные протезы следует менять каждые 1,5–2 года. Поэтому даже при полной потере зубов стоматологи предлагают альтернативный вид протезирования с опорой на имплантаты.
Бюгельные протезы
Протезы на металлическом каркасе, на который устанавливается акриловая основа, а на нее — искусственные зубы. Такое решение позволяет значительно облегчить конструкцию протеза, сделать его тоньше и удобнее.
Мостовидные протезы
При частичной адентии возможна установка мостовидных протезов. Несъемная конструкция фиксируется на соседних нестачиваемых зубах.
Протезирование с опорой на имплантаты
Протезирование с опорой на имплантаты считается наиболее надежным и эстетичным способом восстановления зубного ряда. К основным преимуществам подобного вида костной имплантации можно отнести:
- долгий срок службы конструкции;
- эстетичный внешний вид;
- отсутствие необходимости в обточке соседних зубов.
Установленный на имплантаты зубной протез полностью заменяет отсутствующие зубы и выполняет функциональную и эстетическую задачу.
Профилактика адентии
Лучшей профилактикой является грамотный своевременный уход за полостью рта. Регулярная чистка зубов и десен, профилактические осмотры у стоматолога два раза в год, отказ от вредных привычек, переход на сбалансированное питание — все это позволит как можно дольше сохранить зубы здоровыми и крепкими.
Если вы или ваш ребенок столкнулись с этим заболеванием, не откладывайте визит к стоматологу. Опытные терапевты, ортопеды и имплантологи клиник «СТОМА» помогут решить проблему частичного или полного отсутствия зубов: подберут удобный и эстетичный протез, который значительно улучшит качество жизни, сделает вас увереннее в себе и красивее.
Читайте также:
