Парагонимоз печени. Патоморфология церебрального парагонимоза
Добавил пользователь Евгений Кузнецов Обновлено: 23.11.2025
Передача паразитов и бремя инвазий
Трематодозы пищевого происхождения являются зоонозами, и их возбудители могут передаваться человеку только после завершения сложного жизненного цикла, некоторые стадии которого протекают в организме промежуточного животного хозяина.
Первыми промежуточными хозяевами всех видов трематод являются пресноводные улитки. Второй хозяин бывает разным в зависимости от вида: в случае клонорхоза и описторхоза это пресноводные рыбы, а в случае парагонимоза — ракообразные. Заражение возбудителем парагонимоза может также происходить в результате употребления в пищу животных, питающихся ракообразными, например сырого мяса дикого кабана. В случае фасциолеза второй промежуточный хозяин не требуется, и заражение человека может происходить при употреблении содержащих личинки пресноводных растений. Окончательными хозяевами паразита всегда являются млекопитающие (см. таблицу 1).
Заражение человека происходит при употреблении в пищу инвазированного паразитом второго промежуточного хозяина или, в случае фасциолеза – водной растительности, к которой прикрепляется личинка паразита.
Внутри стран инвазии обычно происходят в границах определенных очагов и связаны с привычками населения и особенностями местных экосистем. Риск заражения может повышаться при неудовлетворительном состоянии санитарных систем и несоблюдении гигиены питания, ограниченной доступности безопасной питьевой воды и определенных культурно обусловленных пищевых предпочтениях населения. Традиции совместного принятия пищи могут способствовать возникновению кластеров заражения в семьях или среди знакомых.
Истинные показатели бремени таких инвазий неясны, поскольку поражаемые ими группы населения зачастую мало о них знают и не всегда имеют возможность обращаться за медицинской помощью. В ходе расчетов, выполненных Справочной группой ВОЗ по эпидемиологии бремени болезней пищевого происхождения (2015 г.), было определено четыре вида передаваемых с пищей трематод, которые являются значимыми причинами инвалидности и, согласно оценкам, ежегодно вызывают в общей сложности 200 000 случаев болезни и более 7000 случаев смерти, приводя к утрате более 2 миллионов лет жизни, скорректированных по инвалидности, во всем мире.
Трематодозы пищевого происхождения также наносят значительный экономический ущерб животноводству и рыбоводству в результате снижения продуктивности животных, а также введения ограничений на экспорт продукции и сокращения потребительского спроса.
Таблица 1. Эпидемиологические характеристики трематодозов пищевого происхождения
| Болезнь | Возбудитель | Приобретается при потреблении | Естественные окончательные хозяева |
| Клонорхоз | Clonorchis sinensis | пресноводной рыбы | собаки и другие питающиеся рыбой хищники |
| Описторхоз | Opisthorchis viverrini, O. felineus | пресноводной рыбы | кошки и другие питающиеся рыбой хищники |
| Фасциолез | Fasciola hepatica, F. gigantica | водных растений | овцы, крупный рогатый скот и другие травоядные |
| Парагонимоз | Paragonimus spp. | пресноводных ракообразных (крабов и раков) | кошки, собаки и другие питающиеся рыбой хищники |
Симптомы
Бремя трематодозов пищевого происхождения для общественного здравоохранения выражается скорее в заболеваемости, нежели в смертности, при этом инвазии на ранних стадиях и в легкой форме часто остаются незамеченными. Хронические инвазии, как правило, сопровождаются тяжелой симптоматикой, затрагивающей конкретный орган, в котором локализуются взрослые особи гельминтов.
Легкая инвазия Opisthorchis spp и Clonorchis sinensis может протекать бессимптомно в острой фазе, однако при высокой паразитарной нагрузке вследствие обструкции желчных протоков гельминтами могут наблюдаться такие клинические проявления, как лихорадка и боль в верхнем правом отделе живота. Наиболее тяжело может протекать хроническая инвазия O. viverrini и C. sinensis, вызванная растянутыми во времени эпизодами повторного заражения, когда хроническое воспаление приводит к фиброзу желчных протоков и повреждению сопредельной печеночной паренхимы. Такие патологические изменения могут привести к развитию холангиокарциномы – тяжелой и нередко смертельной форме рака желчных протоков. По этой причине как O. viverrini, так и C. sinensis признаны канцерогенами. Имеющихся данных о хронических инвазиях O. felineus недостаточно для того, чтобы данный паразит был отнесен к канцерогенам.
Фасциолез протекает в виде бессимптомного острого периода после попадания паразита в организм, за которым следуют острый период и хроническая фаза заболевания. Острый период заражения фасциолами начинается при разрушении молодыми сосальщиками ткани стенок кишечника и брюшины и их внедрении через оболочку печени в желчные протоки. Этот процесс сопровождается разрушением клеток печени и приводит к внутреннему кровотечению. Симптомы могут включать в себя лихорадку, тошноту, увеличение печени, крапивницу и острую боль в животе. Хроническая фаза заболевания начинается, когда гельминты проникают в желчные протоки, достигают половозрелости и начинают откладывать яйца. Яйца попадают сначала в желчь, затем в кишечник и с калом выделяются во внешнюю среду. Это может проявляться такими симптомами, как периодическая боль, желтуха, анемия, панкреатит и желчекаменная болезнь. Вследствие хронического воспалительного поражения тканей хронические инвазии приводят к циррозу печени.
Парагонимоз на ранних стадиях может протекать бессимптомно. После проникновения паразита в легкие заболевание может сопровождаться выраженными клиническими проявлениями, в частности постоянным кашлем с выделением окрашенной кровью мокроты, болью в грудной клетке, одышкой и лихорадкой, которые могут приводить к таким осложнениям, как плевральный выпот и пневмоторакс. Симптомы и проявления заболевания можно спутать с туберкулезом, и это необходимо учитывать при отсутствии улучшений в процессе лечения больных с подозрением на туберкулез. Также довольно часто встречается эктопический парагонимоз, наиболее распространенной формой которого является церебральный парагонимоз. Его клиническими проявлениями могут быть головная боль, ухудшение зрения, эпилептические судороги и кровоизлияние в мозг.
Диагностика
Случаи с подозрением на трематодозы пищевого происхождения выявляются на основании анализа клинической картины, оценки пищевого анамнеза на предмет факторов риска (употребление в пищу сырой рыбы, ракообразных, не прошедших термическую обработку водных растений), наличия эозионофилии и характерных изменений, видимых при выполнении ультразвукового исследования, компьютерной томографии (КТ) или магниторезонансной томографии (МРТ). Для подтверждения диагноза применяются различные диагностические методы.
- Паразитологические методы обнаружения яиц в образцах кала при подозрении на клонорхоз, описторхоз и фасциолез и прямое микроскопическое исследование мазков мокроты при подозрении на парагонимоз. Эти методы применяются чаще всего и характеризуются низкой чувствительностью при легкой паразитарной нагрузке, но при соответствующей квалификации лаборанта позволяют получить точный результат, хотя дифференциация морфологических особенностей яиц паразита при этом может быть затруднена. Исследование методом мазка по Като-Кац рекомендуется проводить дважды.
- Иммунологические методы для выявления паразит-специфических антител в образцах сыворотки или паразит-специфических антигенов в образцах сыворотки или кала. Данные методы нередко оказываются более чувствительными, однако выявление антител не позволяет различать текущие, недавно перенесенные или прошлые инвазии. Также возможны перекрестные реакции с антигенами других трематод.
- Такие молекулярные методы, как метод полимеразной цепной реакции, могут оказаться полезными и в настоящее время находятся на этапе экспериментальной разработки.
Лечение, профилактика и борьба
Борьба с трематодозами пищевого происхождения направлена на снижение риска заражения и уменьшение связанной с этим заболеваемости. При этом следует применять всеобъемлющий подход к вопросам здоровья, позволяющий учитывать взаимосвязи между здоровьем животных и человека и состоянием окружающей среды. Для сокращения интенсивности и риска инвазий следует осуществлять комплекс мер, включающий информационно-разъяснительную и просветительскую работу среди населения по вопросам обеспечения безопасности пищевых продуктов, совершенствование санитарных систем и ведение санитарного и ветеринарного надзора.
В целях уменьшения заболеваемости ВОЗ рекомендует повышать доступность лечения с применением безопасных и эффективных противогельминтных средств.
- Лечение клонорхоза и описторхоза проводят празиквантелом дозами по 25 мг/кг три раза в день на протяжении двух–трех дней подряд либо однократной дозой 40 мг/кг.
- Лечение фасциолеза проводят однократной дозой триклабендазола 10 мг/кг. При отсутствии лечебного эффекта дозировку можно увеличить до 20 мг/кг в виде двух раздельных доз с интервалом 12–24 часа.
- Лечение парагонимоза может осуществляться триклабендазолом 20 мг/кг в виде двух раздельных доз по 10 мг/кг, назначаемых в один день, либо празиквантелом 25 мг/кг три раза в день на протяжении трех дней. Лечение триклабендазолом является предпочтительным в силу простоты данной схемы и, соответственно, более четкого соблюдения режима лечения.
В целях контроля за состоянием здоровья населения ВОЗ рекомендует проводить обследования населения на районном уровне и обеспечивать массовой химиопрофилактикой соответствующие группы населения в районах с большим количеством пораженных инвазиями лиц. Оказание индивидуальной помощи путем лечения пациентов с подтвержденной или подозреваемой инвазией является целесообразным в условиях меньшей концентрации случаев заболевания и доступности медицинских учреждений.
Распространенность инвазий не может быть снижена исключительно методами профилактической химиотерапии невозможно. Такие факторы, как антисанитария и несоблюдение гигиены питания, наличие животных резервуаров паразитов и традиционные пищевые привычки населения, могут повышать показатели повторного заражения среди населения после лечения. При этом программы массовой химиопрофилактики должны осуществляться в рамках более широкого подхода к охране здоровья, предполагающего санитарное просвещение населения, ветеринарный и фитосанитарный надзор, обеспечение безопасности пищевых продуктов и совершенствование систем водоснабжения, санитарии и гигиены.
Рекомендуемые схемы лечения и стратегии обобщенно представлены в таблице 2.
Таблица 2. Рекомендуемые схемы и стратегии лечения
| Болезнь | Рекомендуемый препарат и дозировка | Рекомендуемая стратегия |
| Клонорхоз и описторхоз | Ведение отдельных случаев | |
| Празиквантел: 25 мг/кг три раза в день в течение 2–3 дней подряд | - Лечение всех подтвержденных случаев - В эндемичных районах: лечение всех подозрительных случаев | |
| Профилактическая химиотерапия | ||
| Празиквантел: 40 мг/кг однократно | - В районах, сельских населенных пунктах или общинах, где имеются признаки очагов групповой заболеваемости: лечение всех жителей каждые 12 месяцев | |
| Фасциолез | Ведение отдельных случаев | |
| Триклабендазол: 10 мг/кг однократно (в случае отсутствия лечебного эффекта возможна двойная доза 20 мл/кг в два раздельных приема с интервалом 12–24 часа) | - Лечение всех подтвержденных случаев - В эндемичных районах: лечение всех подозрительных случаев | |
| Профилактическая химиотерапия | ||
| Триклабендазол: 10 мг/кг однократно | В районах, сельских населенных пунктах или общинах, где имеются признаки очагов групповой заболеваемости: лечение всех детей школьного возраста (5–14 лет) или всех жителей каждые 12 месяцев | |
| Парагонимоз | Ведение отдельных случаев | |
| Триклабендазол: 2 х 10 мг/кг в течение одного дня или празиквантел: 25 мг/кг три раза в день в течение трех дней | - Лечение всех подтвержденных случаев - В эндемичных районах: лечение всех подозрительных случаев | |
| Профилактическая химиотерапия | ||
| Триклабендазол: 20 мг/кг однократно | В районах, сельских населенных пунктах или общинах, где имеются признаки очагов групповой заболеваемости: лечение всех жителей каждые 12 месяцев | |
Наша деятельность
Содействие усилиям стран по борьбе с трематодозами пищевого происхождения
ВОЗ активно выступает за включение трематодозов пищевого происхождения в число заболеваний, подлежащих профилактической химиотерапии. В целях обеспечения доступа к качественным лекарственным препаратам ВОЗ согласовала порядок обеспечения эндемичных стран триклабендазолом для лечения фасциолеза и парагонимоза, а также празиквантелом для лечения клонорхоза и описторхоза. ВОЗ получает заявки от министерств здравоохранения, которые получают данные лекарственные средства бесплатно.
Укрепление профилактики с трематодозами пищевого происхождения и борьбы с ними на основе концепции «Единое здоровье»
Трематодозы пищевого происхождения характеризуются сложным зоонозным жизненным циклом и тесно связаны с ненадлежащим состоянием санитарных систем, несоблюдением правил гигиены питания и присутствием животных резервуаров в непосредственной близости от мест проживания людей. Решающее значение для борьбы с трематодными инвазиями пищевого происхождения имеет концепция «Единое здоровье», предусматривающая принятие комплексных мер в ветеринарном и сельскохозяйственном секторе, улучшение санитарных систем и повышение доступности безопасной воды, а также ведение разъяснительной работы о необходимости более строгого обеспечения безопасности продуктов питания и соблюдения правил гигиены.
Для укрепления междисциплинарного сотрудничество ВОЗ осуществляет тесное взаимодействие с такими партнерскими учреждениями, как Всемирная организация по охране здоровья животных (МЭБ) и Продовольственная и сельскохозяйственная организация Объединенных Наций (ФАО). В целях активизации мер с участием различных секторов и коллективного содействия странам в укреплении потенциала для эффективной борьбы с паразитарными заболеваниями пищевого происхождения организуются совместные трехсторонние совещания, примером которых является проведенное в Лаосской Народно-Демократической Республике в 2018 г. совещание по ускорению профилактики и сдерживания забытых паразитарных зоонозов пищевого происхождения в азиатских странах. Кроме того, в рамках трехстороннего сотрудничества подготовлена и опубликована серия информационных и рекомендательных документов, предназначенных для представителей различных секторов, а именно специалистов общественного здравоохранения, органов по контролю за безопасностью пищевых продуктов и ветеринарных врачей.
Содействие комплексному осуществлению мер борьбы с трематодозами пищевого происхождения и другими ЗТБ
Эффективное межсекторальное сотрудничество в рамках сети по ЗТБ повышает качество и экономическую эффективность мероприятий и сводит к минимуму дублирование работы. Трематодозы пищевого происхождения нередко сосуществуют со многими другими эндемическими заболеваниями, в частности поражающими уязвимые группы населения.
ВОЗ содействует интеграции мероприятий по эпиднадзору за трематодозами пищевого происхождения в состав программ по ВСГ и другим связанным с ВСГ заболеваниям, а также совместному проведению профилактической химиотерапии среди затронутого ими групп населения наряду с соответствующими программами поставки продовольствия и проведения иммунизации. Параллельное выявление парагонимоза и туберкулеза может повысить эффективность эпиднадзора и обеспечить точную диагностику этих заболеваний и лечение пациентов.
Парагонимоз печени. Патоморфология церебрального парагонимоза
ГБОУ ВПО «Волгоградский государственный медицинский университет», Павших Борцов пл., 1, Волгоград, Российская федерация, 400131
Волгоградский государственный медицинский университет, Волгоград, Россия
Кафедры патологической анатомии, судебной медицины, биологии ФГБОУ ВО «Волгоградский государственный медицинский университет» Минздрава России, Волгоград, Россия
Кафедры патологической анатомии, судебной медицины, биологии ФГБОУ ВО «Волгоградский государственный медицинский университет» Минздрава России, Волгоград, Россия
ГБОУ ВПО «Воронежский государственный медицинский университет им. Н.Н. Бурденко», Воронеж, Россия
Легочный ларвальный парагонимоз, имитирующий рак легкого
Журнал: Архив патологии. 2018;80(2): 60‑63
ГБОУ ВПО «Волгоградский государственный медицинский университет», Павших Борцов пл., 1, Волгоград, Российская федерация, 400131
Ларвальный парагонимоз — паразитарное заболевание, вызываемое личинками легочного сосальщика. В отличие от классического варианта парагонимоз ларвальный протекает с большим количеством клинических проявлений, что усложняет диагностику ларвального парагонимоза, так как обилие клинических проявлений приводит к ложной диагностике других заболеваний. Еще одной отличительной чертой данной формы парагонимоза является склонность к генерализации и имитации клинической картины злокачественных новообразований. Приведен пример ларвальной формы парагонимоза с поражением легких, плевры, сердца, печени, правой почки, селезенки, желудка и малого сальника. Диагностические мероприятия не дали точного представления о природе заболевания, поэтому была выполнена диагностическая торакоскопия и взята биопсия из субплевральных диссеминатов с последующим срочным гистологическим заключением, указавшим на наличие железистого рака. Это обстоятельство стало причиной для атипической резекции пораженной доли, однако на 2-е сутки послеоперационного периода пациент умер в результате тромбоэмболии легочной артерии. Посмертно поставлен основной диагноз: хронический, легочный генерализованный парагонимоз (кистозная и пневмосклеротические фазы) с синдромом опухоли.
ГБОУ ВПО «Волгоградский государственный медицинский университет», Павших Борцов пл., 1, Волгоград, Российская федерация, 400131
Волгоградский государственный медицинский университет, Волгоград, Россия
Кафедры патологической анатомии, судебной медицины, биологии ФГБОУ ВО «Волгоградский государственный медицинский университет» Минздрава России, Волгоград, Россия
Кафедры патологической анатомии, судебной медицины, биологии ФГБОУ ВО «Волгоградский государственный медицинский университет» Минздрава России, Волгоград, Россия
ГБОУ ВПО «Воронежский государственный медицинский университет им. Н.Н. Бурденко», Воронеж, Россия
Парагонимоз — паразитарное заболевание человека из группы трематодозов, вызываемое чаще всего легочным сосальщиком Paragonimus Westermani (легочная двуустка). Взрослый легочный сосальщик — гельминт буро-красного цвета, тело яйцевидной формы, выпуклое со стороны спинки и сплюснутое на брюшной стороне, с развитой мускулатурой. Имеет хорошо видимые невооруженным глазом присоски и шипики, с помощью которых крепится в организме хозяина. Яйца золотисто-коричневого цвета, овальной формы, снабжены крышечкой [1].
Эндемичными регионами парагонимоза являются Азия, Африка и Южная Америка [2, 3]. В Российской Федерации данный вид парагонимоза характерен для территории Дальнего Востока (низовье реки Амура и южное побережье Охотского моря) [4].
Заражение человека происходит чаще всего при употреблении в пищу сырых или недостаточно проваренных, слабопросоленных крабов, раков или креветок. Известно 48 видов легочного сосальщика, из них 16 способны заражать человека и вызывать парагонимоз [4, 5]. Все сосальщики поражают человека, находясь в стадии метацеркариев. С помощью стилетов они пронизывают стенку начального отдела тонкой кишки и попадают в брюшную полость. Затем личинки мигрируют через диафрагму в плевральную полость, попутно инвазируя некоторые органы брюшной полости, в частности поджелудочную железу, печень, малый сальник, селезенку и желудок. После попадания в плевральную полость личинки некоторое время проводят на париетальной плевре, затем, проникая на висцеральную, внедряются в легочную ткань, где достигают зрелости. Однако, согласно проведенным исследованиям [6, 7], не все виды парагонимов в организме человека способны достигать половой зрелости. Именно в таком случае следует говорить о ларвальном (личиночный) парагонимозе. Это обусловлено тем, что отдельные виды легочного сосальщика, такие как P. westermani ichunensis, P. miyazakii, P. huatungensis, могут использовать человека и некоторые виды животных как резервуарных хозяев, и если у животных нет никакой реакции на инвазию, то у человека формируется редкая, труднодиагностируемая патология.
В легочной паренхиме вокруг паразитов развивается гранулематозное воспаление с последующей фиброзной инкапсуляцией с формированием кист и возможным проникновением гельминтов в просвет бронхиол. Диаметр кист может достигать 2 см, их количество варьирует в зависимости от тяжести инфекционного процесса [8].
Редкость данной патологии, а также нетипичная клиническая картина затрудняют дифференциальную диагностику и приводят к ложной диагностике других патологий. В литературе описаны случаи выявления легочной формы парагонимоза, имитирующих симптомы туберкулеза легких и плевры [9—12], рецидивирующего рака легких [13] или опухолевых метастазов в легких [4, 14], церебральной формы с начальной клиникой геморрагического инсульта и лихорадочным синдромом и судорогами [15], абдоминальной формы с поражением двуусткой поджелудочной железы (рассмотренные как кистозно-солидная опухоль) [16].
Для диагностики ларвального парагонимоза большое значение имеют общий анализ крови, который выявляет эозинофилию [1—5], положительные результаты иммуноферментного анализа и полимеразной цепной реакции [3, 4, 17], рентгенография и компьютерная томография (КТ) грудной клетки, при которых выявляются очаговые уплотнения, а также результаты позитронно-эмиссионной томографии [3, 14, 17].
В качестве диагностического примера в связи со сложностями клинической и патоморфологической диагностики из-за нетипичной клинической картины приводим случай заболевания парагонимозом больного, который находился на лечении в областном онкологическом диспансере в 2016 г.
Больной Б., 66 лет, поступил в онкологический диспансер с предварительным диагнозом: диссеминированное злокачественное новообразование легких, правосторонний рецидивирующий плеврит, дыхательная недостаточность (НД) II—III степени; ишемическая болезнь сердца; кардиосклероз (Н-I); хроническая обструктивная болезнь легких (ХОБЛ); стадия опухолевого процесса IV; клиническая группа II.
При поступлении больной жаловался на одышку при минимальной физической нагрузке, ощущение тяжести и тянущую боль в правой половине грудной клетки. Состояние больного средней степени тяжести. Отставаний грудной клетки в акте дыхания нет, дыхание ритмичное, перкуторный легочный звук тимпанический, притуплен в нижних отделах справа. Аускультативно: дыхание везикулярное, ослабленное, в нижних отделах слева не прослушивается. Общий анализ крови: Нb 122 г/л, эр. 4,28·10 12 /л, тр. 203·10 9 /л, л. 8,3·10 9 /л; СОЭ 41 мм/ч. Биохимический анализ крови: мочевина 9,1 ммоль/л, креатинин 132,3 мкмоль/л, общий билирубин 20 мкмоль/л, общий белок крови 62,8 г/л, АЛТ 183,4 ед/л. Для уточнения диагноза и определения тактики лечения проведена КТ грудной клетки, при которой обнаружены осумкованный плеврит левого легкого, правосторонний пневмоторакс с явлением компрессии нижней доли правого легкого, а также выраженный пневмосклероз. Сравнительный анализ с предыдущим результатом КТ подтвердил отсутствие динамики изменений в легких. На основании общего осмотра, лабораторных анализов и данных КТ грудной клетки выставлен основной диагноз: подозрение на рак легкого. Сопутствующие заболевания: специфический плеврит слева; ХОБЛ; пневмосклероз; ДН II—III степени; ишемическая болезнь сердца; кардиосклероз Н-I.
Назначена плановая операция в объеме диагностической торакоскопии справа и плевродеза. В ходе операции при осмотре плевральной полости: плевра покрыта фибрином, контактно кровоточит. Нижняя доля правого легкого в спавшемся состоянии, в дыхании практически не участвует, отмечаются множественные субплевральные диссеминаты. В проекции слияния верхней полой и непарной вены визуализируется лимфатический узел диаметром до 1 см. Произведено вскрытие плевры, взята биопсия лимфатического узла и при срочном гистологическом исследовании поставлен диагноз: лимфаденит. Принято решение выполнить атипичную резекцию нижней доли правого легкого. В ходе операции дополнительно установлен торакопорт в пятом межреберье, атипически удален участок нижней доли с отсевами, при срочном гистологическом исследовании биоптата обнаружены единичные железистые структуры, идентифицированные как железистый рак. Под аэростатическим контролем введено 10 г мелкодисперсного талька (плевродез). Плевральная полость дренирована в третьем и седьмом межреберье по Бюлау. Рана ушита послойно. На следующие сутки после операции пациент жаловался лишь на общую слабость и на боль в послеоперационной ране. По дренажам из плевральной полости отделялась светлая жидкость. Больной переведен из отделения реанимации в хирургическое отделение. В 5 ч утра на 2-е сутки после операции пациент внезапно потерял сознание. Для проведения реанимационных мероприятий он в срочном порядке был переведен в отделение реанимации, где была констатирована смерть.
При патолого-анатомическом исследовании в плевре, легочной паренхиме, миокарде, печени, селезенке, почке, стенке желудка и малом сальнике обнаружены множественные кисты различных размеров. Макроскопические признаки тромбоэмболии правой ветви легочной артерии с геморрагическим инфарктом в правой нижней доле. Резкое полнокровие головного мозга и внутренних органов. Изменения, характерные для ХОБЛ. Утолщение стенок бронхов разного калибра со слизистым содержимым, множественные очаги пониженной воздушности в паренхиме легких. Толщина стенки правого желудочка 1,3 см, левого 2 см. Масса сердца 600 г (легочное сердце).

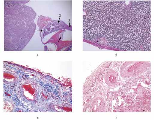
При гистологическом исследовании материала в головном мозге определяется выраженный периваскулярный и перицеллюлярный отек, в миокарде — выраженный интерстициальный отек с воспалительными инфильтратами, содержавшими лимфоциты, плазматические клетки, эозинофилы. Гипертрофированные мышечные волокна с множественными кистами и наличием в них личиночных форм паразита со сформировавшимися соединительнотканными капсулами. В области перикарда определяются прилегающие к нему фрагменты метацеркарии легочной двуустки со скоплениями эритроцитов (см. рисунок, Кистозно-пневмосклеротическая фаза генерализованного ларвального парагонимоза. а — погибшая метацеркария легочной двуустки у перикарда: 1 — кутикула личинки, 2 — тело личинки, 3 — хвост личинки, 4 — cкопление эритроцитов. ШИК-реакция, ×100; б — паразитарная киста в капсуле печени с выраженным фиброзом. Окраска по ван Гизону, ×200; в— соединительнотканные кисты легочной двуустки, располагающиеся под плеврой. Окраска по Маллори, ×400; г— соединительнотканные кисты легочной двуустки, располагающиеся под плеврой. Окраска орсеином, ×400. а). В печени (см. рисунок, б) непосредственно под капсулой и в паренхиме множественные паразитарные кисты с наличием погибших паразитов. В паренхиме правой почки паразитарные кисты, дистрофические изменения эпителия канальцев, очаговая лимфоидно-клеточная инфильтрация по периферии кист и в интерстиции. В ткани легкого (см. рисунок, в, г) множество паразитарных кист, часть из которых замещена фиброзной тканью. Межальвеолярные перегородки утолщены, с очаговой лимфоидно-плазмоцитарной инфильтрацией преимущественно вокруг кист. В селезенке умеренная гиперплазия белой пульпы, паразитарные кисты с наличием эритроцитов в центральной части. В желудке слизистая оболочка с диффузной воспалительной инфильтрацией и тенденцией к формированию эрозии, с участками фиброзирования и дискомплексации желез, обнаружены паразитарные кисты на серозной оболочке и в ней. В жировой ткани малого сальника множественные паразитарные кисты.
Данное наблюдение демонстрирует сложности диагностики кистозно-пневмосклеротической фазы генерализованного ларвального парагонимоза, протекавшего с опухолевым синдромом. Особенность наблюдения заключается в том, что у больного диссеминированный парагонимоз был с полиорганным поражением и образованием множественных фиброзирующихся кист в пораженных органах. Парагонимоз не диагностирован своевременно, специфическая терапия не проводилась, что способствовало прогрессированию воспалительного процесса в легких с вовлечением многих органов, развитием легочного сердца, тромбоэмболии легочной артерии, послужившей непосредственной причиной смерти. Расхождение диагнозов обусловлено редкой патологией с нетипичной клинической картиной (категория II).
Парагонимоз печени. Патоморфология церебрального парагонимоза
Парагонимоз печени. Патоморфология церебрального парагонимоза
В литературе имеется единственное описание случая парагонимоза с клиникой быстропрогрессирующего билиарного цирроза печени. На аутопсии были найдены множественные паразитарные кисты, располагавшиеся вдоль общего желчного протока, в воротах печени, сальнике и брыжейке. В части кист обнаруживались зрелые трематоды и яйца в густой шоколадного цвета жидкости, несколько кист подверглось обызвествлению, и одна киста в брыжейке нагноилась (К. Okuda et al., 1969).
Патоморфология церебрального парагонимоза также обусловлена воздействием продуктов жизнедеятельности паразита и механическими повреждениями тканей. Наиболее вероятными путями инвазии здесь может считаться миграция метацеркариев. По данным А. А. Смирновой (1960), в головном мозге развиваются массивные оболочечные сращения, возникают участки размягчения мозговой ткани вокруг паразитарных кист. Кисты, как правило, локализуются в белом веществе ближе к основанию мозга и могут сообщаться с субарахноидальным пространством и желудочками.
Поражение спинного мозга во многом аналогично патоморфологии церебрального парагонимоза, но кроме кист здесь описаны и гранулематозные процессы, связанные либо с самими кистами, либо с отложениями яиц парагонима (A. Diaconita, P. Nagi, 1957). Кисты и гранулемы, как правило, располагаются в виде цепочки вдоль нескольких сегментов позвоночника, вероятно, по пути миграции паразита.
В заключение следует отметить, что патологическая анатомия типичного парагонимоза меньше всего зависит от подвида возбудителя и в основном обусловлена стадиями жизненного цикла данного паразита: миграция личинок, кистозная стадия, организация. Клеточные реакции также лишь относительно специфичны и отражают последовательные стадии воспаления со сменой альтеративно-экссудативных процессов на пролиферативно-склеротические при наличии высокой эозинофилии, характерной для большинства) паразитарных инвазий.

Патоморфология церебрального парагонимоза
Клинические проявления типичного парагонимоза человека, вызываемого различными видами возбудителя, достаточно однотипны и обусловлены прежде всего двумя общими для них стадиями жизнедеятельности паразита: стадией миграции личинок и стадией взрослого сосальщика (кистозной). Большинство клинических классификаций парагонимоза, таким образом, связаны с локализацией паразитарных кист.
Первая классификация, предложенная еще в начале XX века, включала в себя легочную, абдоминальную, церебральную и генерализованную формы парагонимоза (W. E. Musgrave, 1907).
Чжун Хун Лан (1959) выделял грудной, брюшной и мозговой типы клиники парагонимоза. В монографии М. В. Даниленко (1963) определены:
1. Острый абдоминальный парагонимоз,
2. Острый плевролегочный парагонимоз,
3. Хронический парагонимоз легких,
4. Осложненный парагонимоз.
В последнюю форму автор включил парагонимоз мозга и кистозные поражения других органов, подчеркнув, что кисты эктопичной локализации обычно возникают при субклинически протекающем поражении легких.
Парагонимоз может рассматриваться как вариант географической патологии, имеющей определенные этническую (традиции кулинарии) и эндемическую характеристики. Так, в 32 случаях типичного парагонимоза, описанных в нашей стране с 1927 по 1993 г., 15 больных были корейцами, причем 8 из них ранее проживали в Корее, где скорее всего и заразились. В одном наблюдении фигурировала жительница Сибири, которая заболела после употребления блюда корейской национальной кухни, включавшего сырых раков (В. Н. Шпилько, 1965).
В 17 случаях заражение произошло на Дальнем Востоке нашей страны, преимущественно в Приморском крае.
Информация на сайте подлежит консультации лечащим врачом и не заменяет очной консультации с ним.
См. подробнее в пользовательском соглашении.
Парагонимоз
(инвазия восточного легочного плоского червя; эндемическое кровохарканье)
, PhD, University of Virginia;
, MD, PhD, University of Virginia School of Medicine
Парагонимоз – инвазия легочного плоского червя Paragonimus westermani и похожих разновидностей. Люди заражаются при употреблении сырых, маринованных или термически не обработанных пресноводных ракообразных. Большинство инфекций протекает бессимптомно, но могут возникнуть легочные симптомы, включая хронический кашель, боль в груди, одышку и кровохарканье. Характерны аллергические реакции со стороны кожи и отклонения по центральной нервной системе из-за эктопических трематод, включая приступы, афазию, парез и визуальные нарушения зрения. Диагноз ставится по обнаружению яиц в слюне, кале или плевральной (перитонеальной) жидкости. Разработаны тест-системы для серологической диагностики. Празиквантел является препаратом выбора.
Сосальщики представляют собой паразитических плоских червей, которые заражают различные части тела (например, кровеносных сосудов, желудочно-кишечный тракт, легкие, печень), в зависимости от вида.
Несмотря на то, что существует > 30 видов Paragonimus, и согласно данным 10 из них могут инфицировать человека, P. westermani является наиболее частой причиной заболевания.
Наиболее значимые эндемичные области находятся в Азии, преимущественно в Корее, Японии, Тайване, на возвышенностях Китая и Филиппинах.
Эндемичные очаги с другими представителями видов Paragonimus spp существуют также в Западной Африке и в отдельных районах Южной и Центральной Америки. P. kellicotti вызывает инфекцию у человека в Северной Америке.
Патофизиология парагонимоза
Яйца, выделяемые через слюну или экскременты, развиваются 2–3 недель в пресной воде до мирацидий (первая личиночная стадия). Мирацидии поражают улиток; там они развиваются, размножаются и в конечном счете превращаются в церкарии (свободно плавающие личинки). Церкарии поражают пресноводных крабов или речных раков и в их организме превращаются в метацеркарии. Люди заражаются при употреблении в пищу сырых, засоленных или плохо приготовленных ракообразных. Метацеркарии выходят из цисты в желудочно-кишечном тракте человека, проникают через стенку кишечника и продвигаются в брюшную полость, затем через диафрагму в плевральную полость; они проникают в ткани легкого, инкапсулируются и развиваются в гермафродитных взрослых червей, которые откладывают яйца. Взрослые черви вырастают до 7,5-12 мм в длину и 4-6 мм в диаметре. Из легких яйца попадают в окружающую среду вместе с мокротой при ее откашливании и сплевывании или при заглатывании мокроты и выведении из организма с калом.
Во время миграции личинки парагонимусов могут попасть в головной мозг, печень, лимфоузлы, кожу и спинной мозг и там развиваться. Однако в этих случаях их жизненный цикл оказывается незавершенным, поскольку яйца не способны покинуть пределы человеческого организма. Взрослые трематоды могут существовать в течение от 20 до 25 лет.
Другие хозяева включают свиней, собак и множество подвидов кошачьих.
Симптомы и признаки парагонимоза
Большинство людей с парагонимозом являются бессимптомными; однако во время инвазии и миграции трематод могут развиваться диарея, боль в животе, лихорадка, кашель, крапивница, гепатоспленомегалия, легочные аномалии и эозинофилия.
В хронической фазе наиболее повреждены легкие, но могут быть вовлечены и другие органы. Проявления легочной инфекции развиваются медленно и включают хронический кашель, боль в груди, кровохарканье и одышку; клиническая картина напоминает туберкулез Туберкулез (ТБ) Туберкулез (ТБ) является хронической прогрессирующей микобактериальной инфекцией, часто имеющей латентный период после начального инфицирования. Чаще всего ТБ поражает легкие. Симптомы включают. Прочитайте дополнительные сведенияЦеребральные поражения проявляются, как правило, в течение года после начала легочного заболевания. Случаются приступы судорог, афазия, парез и нарушения зрения.
Аллергические поражения кожи похожи на поражения, вызываемые мигрирующей кожной личинкой Мигрирующая кожная личинка Мигрирующая кожная личинка является кожным проявлением инфицирования анкилостомой. Мигрирующая кожная личинка вызывают виды Ancylostoma, чаще всего кошачья или собачья анкилостома Ancylostoma. Прочитайте дополнительные сведения P. skrjabini и возникающих также при инвазиях, вызванных другими видами.
Диагностика парагонимоза
Микроскопическое исследование мокроты и анализ кала
Серологические тесты для выявления антител
Диагноз парагонимоз ставится по обнаружению характерных больших яиц с крышечкой в мокроте или кале. Иногда яйца можно обнаружить в плевральной или брюшной жидкости. Яйца бывает трудно выявить, потому что они образуются периодически и в небольшом количестве. Методы концентрации увеличивают чувствительность диагностики.
Серологические тесты для выявления антител полезны при легких инфекциях и при диагностике внелегочного парагонимоза.
При рентгенографическом исследовании можно получить дополнительную информацию, но она не всегда является диагностически ценной; рентген грудной клетки и КT могут показать диффузный инфильтрат, узелки, кольцевые теневые поражения, кавитации, линейные помутнения, абсцессы легкого, плевральный выпот и/или пневмоторакс.
Лечение парагонимоза
Предпочтительным лекарственным средством при парагомниозе является празиквантел, 25 мг/кг перорально три раза в день в течение 2 дней.
Триклабендазол является приемлемым методом лечения в тех регионах, где он доступен; доза составляет 10 мг/кг перорально однократно после приема пищи или для серьезных инфекций – 2 дозы с интервалом в 12 часов по 10 мг/кг после приема пищи.
Празиквантел также используется для лечения внелегочных поражений, при этом могут потребоваться многократные курсы.
При мозговых инфекциях, короткий курс кортикостероидов может быть назначен в сочетании с празиквантелом, чтобы уменьшить воспалительную реакцию, вызванную умирающими трематодами.
Оперативное лечение может потребоваться для удаления поражений кожи или, реже, кист головного мозга.
Лучшая профилактика – исключить из пищи употребление сырых или недоваренных пресноводных крабов и речных раков, пойманных в водоемах на эндемичной территории.
Авторское право © 2022 Merck & Co., Inc., Rahway, NJ, США и ее аффилированные лица. Все права сохранены.
Биология и медицина
Легочные сосальщики - трематоды рода Paragonimus - паразитируют в легких. Всего описано более 30 видов, и многие из них служат паразитами человека. Возможна и внелегочная локализация взрослых гельминтов.
У людей чаще всего встречается Paragonimus westermani , обитающий на Дальнем Востоке, а также Paragonimus skrjabini (в Китае), Paragonimus heterotremus (в Юго-Восточной Азии), Paragonimus philippinensis (на Филиппинах), Paragonimus mexicanus (в Центральной Америке и ряде стран Южной Америки), Paragonimus africanus (в Нигерии и Камеруне) и Paragonimus uterobilateralis (в Нигерии и других странах Западной Африки). На территории США обитает Paragonimus kellicotti , однако поражение людей этим гельминтом встречается редко.
Этиология и эпидемиология. Человек обычно заражается при употреблении крабов и раков - сырых или маринованных. В двенадцатиперстной кишке метацеркарии (см. " Трематодозы: этиология и эпидемиология ") освобождаются от оболочки и уже через час проникают сквозь стенку кишки в брюшную полость. Через 3-6 ч они попадают в брюшную стенку, а затем проходят сквозь диафрагму, внедряясь в плевру и паренхиму легких. Там паразиты инкапсулируются (обычно попарно или по три). До начала отложения яиц проходит 65-90 сут, однако клинические проявления могут возникнуть и раньше.
Отложенные яйца скапливаются в капсуле рядом с гельминтами. При вскрытии инкапсулированной кисты в бронхиолу яйца попадают в мокроту и откашливаются либо вместе с мокротой проглатываются и выходят с калом.
Продольный размер взрослого паразита составляет 7,5-12 мм, поперечный - 4-6 мм, толщина - 3,5-5 мм. Продолжительность жизни достигает 20 лет.
Патогенез и патологическая анатомия. В основе патогенеза лежат воспаление и склероз ткани легких (иногда - других органов) под воздействием гельминтов. Клинические проявления зависят от давности заболевания и, возможно, от интенсивности инвазии, хотя это и не доказано. Сначала вокруг взрослых паразитов и их яиц развивается острая воспалительная реакция, при этом в инфильтрате преобладают эозинофилы. В дальнейшем вокруг очага формируется фиброзная капсула. Кисты, расположенные в легочной паренхиме, прорываются в бронхиолы. Их содержимое представлено кровью, яйцами гельминтов и воспалительным экссудатом. Если киста расположена субплеврально, может сформироваться эмпиема плевры , содержащая большое количество эозинофилов. Со временем в очагах поражения усиливаются склеротические процессы, а воспаление стихает. Некоторые очаги обызвествляются.
Легочные сосальщики помимо паренхимы легких нередко проникают в другие ткани - плевру, брюшную стенку, органы брюшной полости, головной мозг, вызывая там воспалительные изменения и склероз. Особенно опасно поражение головного мозга.
Сообщалось о частом развитии на фоне парагонимоза тяжелых бактериальных инфекций.
Поражение брюшной стенки и печени характерно для инвазии, вызванной Paragonimus skrjabini .
Клиническая картина. Различают острую и хроническую стадии заболевания.
В острой стадии могут наблюдаться лихорадка , гепатоспленомегалия , кашель , эозинофилия , плевральный выпот , одышка , хрипы , пневмоторакс , а также симптомы, связанные с внелегочной локализацией гельминтов. Тем не менее на острой стадии заболевание диагностируют редко.
Рентгенологические изменения разнообразны и непатогномоничны; заболевание нередко принимают за туберкулез . Чаще находят затемнение одного или нескольких сегментов легких, обычно размытое, однако поражение может быть представлено очаговыми и кольцевидными тенями . Возможны также плевральный выпот , эмпиема плевры , утолщение плевры и обызвествление очагов. В отличие от туберкулеза , для парагонимоза нехарактерно поражение верхушек легких, границы кольцевидных теней гладкие и ровные, а затемнения менее четкие, облаковидные.
Поражение легких редко приводит к смерти, однако при внелегочной локализации гельминтов частота осложнений и летальность высоки. Согласно одному исследованию, внелегочные очаги поражения отмечались у 30,7% госпитализированных больных парагонимозом, поражение головного мозга - у 8,4%.
Различают острое и хроническое поражение головного мозга . Для острого характерно внезапное развитие неврологической симптоматики , обычно на фоне легочной патологии. При хроническом нередки эпилептические припадки и стойкие неврологические нарушения ; при рентгенографии черепа обнаруживают кальцификаты в виде "мыльных пузырей".
Разработаны и серологические методы диагностики. Они особенно эффективны при легкой инвазии и при внелегочной локализации гельминтов.
В первые 2-3 мес после заражения яйца иногда не обнаруживают.
Препарат выбора - празиквантел (25 мг/кг внутрь 3 раза в сутки в течение 2 сут). Битионол тоже эффективен, но более токсичен.
Читайте также:
