Паралич диафрагмы при пневмотораксе. Двусторонний искусственный паралич диафрагмы
Добавил пользователь Алексей Ф. Обновлено: 30.10.2025
Механизм искусственного паралича диафрагмы. Модель искусственного паралича диафрагмы
Несмотря на то что операция искусственного паралича диафрагмы применяется уже свыше 35 лет, вопрос о механизме действия этой операции остается до настоящего времени спорным. И действительно, невзирая на огромное количество операций на диафрагмальном нерве и многочисленные клинические и экспериментальные наблюдения, мы должны признать, что о сущности действия этой операции мы знаем еще далеко не все.
Когда Штюрц предложил операцию френикотомии, то он считал, что она должна оказывать влияние только на процессы, локализующиеся в нижней доле легкого, предполагая, что главное действие этой операции заключается в той компрессии, которую оказывает на легкое поднявшаяся диафрагма, и в создании известного покоя для легкого.
Штюрц, как и ряд других авторов, находил, что диафрагмальный нерв представляет собой нерв двигательный, а поэтому после нарушения его целости должна изменяться функция диафрагмы, с чем и связаны получаемые после операции результаты. Эти авторы считали, что чем выше поднимается после операции диафрагма, тем сильнее она сдавливает пораженную часть легкого и тем лучших результатов можно ожидать после создания искусственного паралича диафрагмы.
Следует сказать, что эта точка зрения долгое время разделялась большинством клиницистов. Так, например, Варштедт полагал, что операция искусственного паралича диафрагмы при туберкулезе легких не может иметь широкого применения, так как она оказывает влияние на дыхательную деятельность нижней доли легкого и, следовательно, может производиться только при заболевании этой доли, тогда как туберкулез поражает преимущественно верхнюю долю легкого.
 
На этом основании Варштедт предлагал применять в дополнение к искусственному параличу диафрагмы выключение интеркостальных нервов путем их экзереза, чтобы таким образом парализовать определенные части мускулатуры грудной клетки, а следовательно, исключить из дыхательной деятельности соответствующие части грудной стенки. Этот автор произвел экспериментальные исследования на кроликах и в 2 случаях операцию на людях, причем считает, что операция эта чрезвычайно проста и дает вполне удовлетворительные результаты.
Многочисленные клинические наблюдения уже в более позднее время показали, что искусственный паралич диафрагмы во многих случаях оказывает благотворное действие не только при нижнедолевых процессах, но и в тех случаях, когда процесс локализуется в верхней доле и даже в самой верхушке легкого. Вместе с тем далеко не редки случаи, когда операция не оказывает никакого влияния на течение туберкулезного процесса при нижнедолевой его локализации, а также при кавернах, расположенных над самой диафрагмой.
Необходимо упомянуть еще один факт, подмеченный очень многими клиницистами; иногда при очень высоком поднятии диафрагмы отсутствует какой-либо положительный эффект от операции, и в то же время нередки случаи, когда при ничтожном подъеме диафрагмы, а иногда даже при полном отсутствии ее подъема получается полный клинический эффект. Эти факты как будто не подтверждают взглядов сторонников теории механического действия искусственного паралича диафрагмы.
Орзос построил резиновую модель, на которой изучал влияние движений диафрагмы на легочную ткань. На основании своих опытов Орзос доказывал, что верхушечное дыхание есть в значительной степени дыхание диафрагмальное, а поэтому паралич диафрагмы должен оказывать свое действие и при верхушечных процессах. Выводы Орзоса пользовались некоторое время общим признанием.
Информация на сайте подлежит консультации лечащим врачом и не заменяет очной консультации с ним. 
См. подробнее в пользовательском соглашении.
Паралич диафрагмы при пневмотораксе. Двусторонний искусственный паралич диафрагмы
В сочетании с искусственным пневмотораксом на противоположной стороне операция искусственного паралича диафрагмы показана: 
1. При двустороннем туберкулезе легких, когда по характеру процесса имеются показания к применению двустороннего искусственного пневмоторакса, но наложение его возможно только на одной стороне. Вмешательство всегда следует начинать с искусственного пневмоторакса. 
2. При двустороннем туберкулезе легких, когда на одной стороне уже имеется искусственный пневмоторакс, а на противоположной стороне, несмотря на наличие показаний, искусственный пневмоторакс нельзя применить из-за облитерации плевральной полости. Необходимо учитывать размеры воздушного пузыря на стороне пневмоторакса, и если он велик, то его следует перед операцией уменьшить.
Операция искусственного паралича диафрагмы противопоказана: 
1. При гематогенно-диссеминированных процессах. 
2. При хронических фиброзно-кавернозных процессах с выраженным фиброзом. В тех случаях, когда при фиброзно-кавернозном процессе, показанном для торакопластики, имеется инфильтративная вспышка, мешающая применению торакопластики, искусственный паралич диафрагмы является вполне уместным вмешательством. Торакопластика может быть произведена не раньше чем через 3—4 месяца после создания искусственного паралича диафрагмы. 
3. При казеозных пневмониях. 
4. При цирротических процессах.
 
5. При наличии экссудативного плеврита на стороне предполагаемой операции или на противоположной стороне. 
6. При неподвижности или значительном ограничении подвижности диафрагмы на стороне, противоположной предполагаемой операции. 
7. При наклонности к легочным кровотечениям или кровохарканиям. В тех случаях, когда при наличии искусственного пневмоторакса кровотечение происходит из каверны, растянутой плевральными сращениями, операция искусственного паралича диафрагмы при невозможности пережечь сращения является показанным вмешательством. 
8. При выраженной одышке, связанной с ограничением дыхательной поверхности или с изменениями сердечно - сосудистой системы, при эмфиземе легких, бронхите, бронхиальной астме.
В возрасте старше 40 лет операция допустима при односторонних процессах, отсутствии одышки и хороших функциональных показателях. После 45 лет операция в подавляющем большинстве случаев противопоказана.
Двусторонний искусственный паралич диафрагмы
Опыты Алешевского с двусторонней перерезкой диафрагмального нерва у кроликов показали, что при одномоментной перерезке обоих диафрагмальных нервов кролик неизменно погибал от удушья, если оставался в положении на спине. Если же его быстро переворачивали на живот, он растопыривал лапки, стараясь прижаться животом к столу, и продолжал дышать, но, как только его снова переворачивали на спину, опять переставал дышать. Если перерезка второго нерва производилась через 3—4 недели после первой операции, таких грозных явлений не наступало. Эти опыты показывают, насколько значительно выключается легкое при перерезке диафрагмального нерва.
Наблюдений, касающихся применения двустороннего искусственного паралича диафрагмы у людей, очень немного. Ланге указывает, что при двусторонней операции каких-либо серьезных расстройств со стороны дыхания он не отмечал; они наступали только при сильных физических движениях. По мнению Ланге, у молодых субъектов с подвижной грудной клеткой двусторонняя перерезка диафрагмального нерва безопасна, тогда как у пожилых людей с неподатливой грудной клеткой возникает опасность очень серьезных и даже смертельных расстройств дыхания.
Гонигман отмечает, что, согласно клиническим наблюдениям, двусторонний паралич диафрагмы может переноситься без больших расстройств. Понятно, что при двустороннем параличе диафрагмы изменения больше выражены, чем при одностороннем; в покойном состоянии большей частью никаких расстройств не отмечается, но при движениях они могут быть довольно значительно выражены: обычно на первый план выступает одышка, затрудненная, тихая, прерывающаяся речь. У одного больного, который был обследован через 3,5 года после двусторонней френикотомии, не оказалось никаких клинических расстройств, несмотря на то, что рентгенологическое исследование обнаружило с обеих сторон очень высокое стояние диафрагмы, которая едва заметно опускалась при вдохе.
Искусственный паралич диафрагмы. Торакопластика с искусственным параличом диафрагмы
Искусственный паралич диафрагмы, являющийся дополнением к пневмотораксу, иногда довольно быстро дает результаты — в некоторых случаях уже через несколько дней после операции. При рентгеноскопии, а еще лучше на рентгенограмме, видны совершенно ясные изменения величины и контуров каверны, и нередко через 2—3 недели можно уже констатировать полное исчезновение каверны, которая при длительном применении искусственного пневмоторакса не поддавалась сжатию.
В других случаях результат выявляется медленнее, иногда даже через несколько месяцев после операции. Здесь снова следует подчеркнуть, что чем свежее заболевание, чем меньше выражен фиброз стенки каверны, тем больше оснований для получения быстрого результата при комбинированном применении пневмоторакса и искусственного паралича диафрагмы. Поэтому, если искусственный пневмоторакс, вследствие наличия сращений, остается неэффективным, несмотря на достаточно хороший пузырь, никогда не следует надолго откладывать решение вопроса о дополнительном применении искусственного паралича диафрагмы. 
Сочетание искусственного паралича диафрагмы с торакопластикой нашло очень большое количество последователей. Это сочетание предлагалось Зауербрухом в следующих вариантах.
Искусственный паралич диафрагмы применяется за 2—3 недели перед торакопластикой как предварительная операция, имеющая целью постепенно приспособить организм к предстоящему коллапсу легкого. В течение ряда лет операция искусственного паралича диафрагмы перед торакопластикой очень широко применялась почти всеми хирургами. Однако в дальнейшем многочисленные наблюдения показали, что легочные осложнения и нарушения функции сердечно-сосудистой системы после торакопластики чаще всего наступают именно в тех случах, когда торакопластика производится при наличии парализованной диафрагмы.
 
Лапин на 18 случаев верхней торакопластики при наличии парализованной диафрагмы в 8 случаях наблюдал пневмонию. По данным Харьковского туберкулезного института (Руденко и Фоненштиль), легочные осложнения после торакопластики при нормально функционирующей диафрагме наблюдались в 11%, в то время какпри парализованной диафрагме эта цифра достигала 47%. По данным Море и Роллана, послеоперационные пневмонии в случаях без предшествующего выключения диафрагмы наблюдались в 7%, торакопластика же при наличии парализованной диафрагмы сопровождалась легочными осложнениями в 47%.
Наш материал, охватывающий свыше 900 случаев торакопластики, также подтверждает несравненно большую частоту легочных осложнений после торакопластики при наличии парализованной диафрагмы. Все эти вполне убедительные факты заставили совершенно отказаться от выключения диафрагмы перед торакопластикой.
Чем же объяснить, что при наличии парализованной диафрагмы так резко повышается процент пневмоний после торакопластики? Мутти усматривает одну из причин этого в увеличении количества мокроты после выключения диафрагмы, что создает более благоприятные условия для аспирации. С таким объяснением едва ли можно согласиться, так как увеличение количества мокроты наблюдается обычно только в первые 7—8 дней после выключения диафрагмы, а затем количество ее начинает уменьшаться и к моменту торакопластики, т. е. через 2—3 недели, бывает обычно меньше, чем до выключения диафрагмы.
Объяснение, по-видимому, следует искать в том извращении механизма дыхания, которое наступает после торакопластики, произведенной при наличии парализованной диафрагмы: на месте резецированных ребер получается ясно выраженное парадоксальное дыхание, так как во время вдоха часть грудной клетки, лишенная ребер, не расширяется, а, наоборот, спадается. В то же время парализованная диафрагма совершает парадоксальные движения. Такая особенность механизма дыхания при отсутствии тонуса диафрагмы должна способствовать аспирации мокроты и недостаточно удовлетворительному откашливанию ее. 
В настоящее время общепризнано, что создаваемый перед торакопластикой искусственный паралич диафрагмы является не только нецелесообразным, но даже вредным и опасным.
Паралич диафрагмы при искусственном пневмотораксе. Плевральные сращения при искусственном пневмотораксе
Применение искусственного паралича диафрагмы в дополнение к неэффективному или недостаточно эффективному искусственному пневмотораксу является в настоящее время общепризнанным методом. Каждому фтизиатру известно, что нередки случаи неполного успеха при лечении искусственным пневмотораксом. Несмотря на длительное его применение и иногда обширный воздушный пузырь, каверна нередко остается неподжатой и больной продолжает выделять бациллы Коха.
В таких случаях никоим образом нельзя стремиться к тому, чтобы сдавить каверну путем форсированных поддуваний с доведением внутриплеврального давления иногда до положительных цифр, ибо это связано с различными, иногда тяжелыми осложнениями, как пневмоплеврит, спонтанный пневмоторакс, смещение средостения с развитием тяжелой одышки. К тому же каверна все равно остается неподжатой. Чем же объясняется то, что, несмотря на хороший воздушный пузырь, когда легкое в достаточной степени сдавлено, каверна, изменяя свою форму и величину, все-таки окончательно не спадается.
Если мы проанализируем целый ряд рентгеновских снимков больных с такими неэффективными пневмотораксами, то увидим, что причина этого заключается в тех сращениях или, вернее, в таком расположении сращений, которое препятствует полному уничтожению эластического напряжения легочной ткани, а следовательно, и каверны. Обычно это наблюдается в тех случаях, когда от верхушки легкого идут сращения к куполу плевры, основание же легкого на всем протяжении или частично сращено с диафрагмой. Диафрагма, опускаясь при вдохе и поднимаясь при выдохе, все время травмирует легкое, растягивая его при вдохе и расслабляя при выдохе, и таким образом устраняется один из важнейших факторов полезного действия искусственного пневмоторакса, а именно покой легкого.
 
Если верхушечные сращения таковы, что могут быть устранены путем каустики, то при спадении верхушки эластическое напряжение в апико-каудальном направлении устраняется и создаются благоприятные условия для спадения и заживления каверны. Если же верхушечные сращения не могут быть устранены путем каустики, то, как бы хорошо ни было сжато легкое в боковом направлении, каверна может превратиться в узкую щель, но заживления ее не наступит, ибо эластическое напряжение в легком не будет устранено. В подобных случаях применение искусственного паралича диафрагмы в дополнение к пневмотораксу является совершенно незаменимым вмешательством, благодаря которому в короткий срок может измениться вся картина, так как при подъеме диафрагмы сразу расслабляется легочная ткань и, следовательно, создаются благоприятные условия для спадения каверны.
Непременным условием для сочетания искусственного паралича диафрагмы с пневмотораксом является сращение основания легкого с диафрагмой. Если же основание легкого отделено от диафрагмы воздушным пузырем, то операция искусственного паралича диафрагмы будет бесполезным добавлением к пневмотораксу. В тех случаях, когда имеется один или несколько тяжей, идущих от основания легкого к диафрагме, применение искусственного паралича диафрагмы в дополнение к пневмотораксу также может дать эффект.
Второе условие, необходимое при комбинированном применении искусственного паралича диафрагмы с пневмотораксом, это наличие в плевральной полости отрицательного давления. Если в плевральной полости имеется положительное давление, парализованная диафрагма будет оттесняться вниз, так как давление в плевральной полости будет превышать внутрибрюшное давление.
После создания искусственного паралича диафрагмы пневмоторакс прекращать не следует, ибо весь успех основан именно на сочетании этих двух методов, но очередные поддувания могут делаться несколько реже, чем раньше, так как при уменьшенной плевральной полости рассасывание воздуха будет происходить медленнее.
Релаксация диафрагмы
Релаксация диафрагмы – это тотальное или ограниченное расслабление и высокое стояние купола грудобрюшной перегородки с пролабированием прилегающих к ней органов брюшной полости в грудную клетку. Клинически проявляется кардиоваскулярными, респираторными, диспепсическими нарушениями. Преобладание тех или иных симптомов зависит от локализации и выраженности патологического процесса. Ведущими методами диагностики являются рентгенологическое исследование и компьютерная томография органов грудной полости. Единственным способом лечения выступает ауто- или аллопластика диафрагмального купола или его части.
МКБ-10


Общие сведения
Релаксация диафрагмы (паралич диафрагмы, мегафрения, первичная диафрагма) обусловлена резкими дистрофическими изменениями мышечной части органа или нарушением его иннервации. Бывает врождённой или приобретённой. Полная (тотальная) релаксация грудобрюшной перегородки чаще встречается слева. Ограниченное выпячивание её участка (дивертикул диафрагмы) обычно локализуется в передней медиальной части правого купола. У детей релаксация диафрагмы возникает очень редко, нарушения формируются постепенно по мере роста человека и под влиянием внешних факторов. Первые симптомы появляются в 25-30-летнем возрасте. Чаще страдают мужчины, занятые тяжёлым физическим трудом.
Причины релаксации диафрагмы
К высокому стоянию диафрагмального купола приводит выраженное истончение, вплоть до полного отсутствия, его мышечного слоя. Такое строение грудобрюшной преграды чаще обусловлено нарушением развития органа во внутриутробном периоде. Другой распространённой причиной является паралич диафрагмальной мускулатуры. Выделяют следующие группы этиологических факторов, ведущих к релаксации свода диафрагмы:
- Нарушения эмбриогенеза. Сюда относятся дефекты закладки миотомов и дальнейшей дифференцировки мышечных элементов, недоразвитие или внутриутробное повреждение диафрагмального нерва. Врождённая релаксация диафрагмы нередко сочетается с другими пороками развития внутренних органов.
- Повреждение диафрагмальной мышцы. Бывает воспалительного и травматического характера. Различают самостоятельное воспаление (диафрагматит) и вторичное поражение диафрагмы. Последнее появляется при распространении патологического процесса с прилегающих органов, например, при поддиафрагмальных абсцессах, эмпиеме плевры.
- Паралич диафрагмального купола. Возникает при различного рода нарушениях иннервации диафрагмы. К повреждению нерва приводят травматические процессы, в том числе при хирургических вмешательствах. Тотальный паралич вызывают тяжёлые системные неврологические заболевания (полиомиелит, сирингомиелия). Локальные поражения возникают в результате прорастания опухолью нервного ствола.
Патогенез
При врождённой аномалии, ведущей к релаксации грудобрюшной перегородки, выявляется практически полное отсутствие мышечной ткани. Тонкая диафрагма состоит из плевральных и перитонеальных листков. При приобретённой патологии наблюдается дистрофия мускулатуры разной степени выраженности. Отсутствие мышечного тонуса приводит к утрате части функциональных способностей диафрагмального свода. Из-за разницы давления в грудной и брюшной полостях внутренние органы растягивают диафрагму, способствуют её полному или частичному выпячиванию в область грудной клетки.
Патологический процесс сопровождается сдавлением лёгкого и развитием ателектаза на стороне поражения, смещением средостения в противоположном направлении. Релаксация левого купола поднимает вверх органы брюшной полости. Возникают завороты желудка, селезёночного изгиба толстой кишки. Появляются перегибы пищевода, кровеносных сосудов поджелудочной железы и селезёнки, приводящие к преходящей ишемии органов. Из-за нарушения венозного оттока вены пищевода расширяются, возникают кровотечения. Релаксация правого купола (обычно частичная) вызывает локальную деформацию печени.
Классификация
Патологические изменения внутренних органов и нарушения их функций зависят от причин, распространённости и локализации выпячивания диафрагмальной перегородки. По времени возникновения и этиологическим факторам релаксация диафрагмы делится на врождённую и приобретённую. Процесс может располагаться справа или слева, бывает тотальным или частичным. В зависимости от клинического течения выделяют 4 варианта релаксации диафрагмального свода:
- Бессимптомный. Проявления болезни отсутствуют. Релаксация выявляется случайно при рентгенографии грудной клетки.
- Со стёртыми клиническими симптомами. Такая форма характерна для ограниченного, чаще правостороннего процесса. Пациент обычно не придаёт значения непостоянным, слабо выраженным симптомам болезни.
- С развёрнутой клинической картиной. Проявляется разнообразной симптоматикой, зависящей от степени повреждения дыхательной, пищеварительной, сердечно-сосудистой систем.
- Осложнённый. Характеризуется развитием серьёзных осложнений (завороты, язвы желудка и кишечника, желудочно-кишечные кровотечения и другие).
Симптомы релаксации диафрагмы
Клинические проявления релаксации диафрагмального купола разнообразны. Симптомы более выражены при врождённой патологии. Ограниченная релаксация участка диафрагмы может протекать латентно или с минимальными жалобами. При тотальном отсутствии тонуса грудобрюшной перегородки заболевание сопровождается респираторным, кардиоваскулярным, диспепсическим синдромами. Большинство пациентов предъявляют общие жалобы на эпизоды слабости, немотивированное снижение веса.
Дыхательные нарушения проявляются приступами одышки и сухого непродуктивного мучительного кашля при небольшой физической нагрузке, изменении положения тела, после еды. Чёткая связь симптомов с приёмом пищи является патогномоничным признаком заболеваний диафрагмального купола. Страдает сердечная деятельность. Возникает тахикардия, нарушения ритма работы сердца и ощущение сердцебиения. Периодически пациента беспокоит загрудинная боль давящего, сжимающего характера, напоминающая кардиалгию при стенокардии.
Ведущими признаками патологии диафрагмы являются расстройства пищеварения. Приступы острых болей в эпигастральной области, правом или левом подреберьях тоже возникают после еды. Болевые ощущения достаточно интенсивны, продолжаются от 20-30 минут до 2-3 часов, затем самостоятельно купируются. При перегибе пищевода нарушается глотание. В некоторых случаях больной способен проглотить большие куски твёрдой пищи, а жидкостью поперхивается (парадоксальная дисфагия). Пациенты часто предъявляют жалобы на изжогу, икоту, отрыжку, тошноту, реже – рвоту. Больных беспокоят метеоризм и периодические запоры.
Осложнения
Под влиянием ряда факторов, повышающих внутрибрюшное давление, релаксация диафрагмы, особенно врождённая, постепенно прогрессирует. Купол грудобрюшной преграды может достигать уровня второго ребра. При этом происходит выраженное смещение внутренних органов. Лёгкое поджимается, образуются участки ателектаза. Подтянутые кверху желудок и кишечник занимают неправильную позицию. Из-за этого развиваются тяжёлые осложнения со стороны органов пищеварения. Самыми частыми из них являются завороты желудка, кишечника, язвенные процессы, кровотечения. Ведущие специалисты в области хирургии описывают единичные случаи гангрены желудка.
Диагностика
При подозрении на релаксацию диафрагмального купола диагностическим поиском занимается врач-хирург. Опрашивая пациента, он уточняет наличие в анамнезе травм и операций в области грудной клетки и живота, воспалительных процессов лёгких, плевры, средостения, верхнего этажа брюшной полости. Для подтверждения диагноза выполняются следующие исследования:
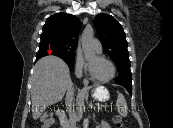
- Осмотр. Иногда визуально удаётся определить парадоксальное движение одного из диафрагмальных куполов. Диафрагма поднимается во время вдоха и опускается на выдохе. Присутствует положительный симптом Гувера – подъём одной из рёберных дуг и смещение кнаружи при глубоком вдохе.
- Перкуссия. Определяется расширение кверху поддиафрагмального пространства Траубе. Нижняя граница лёгкого располагается на уровне II-IV ребра по передней поверхности грудной стенки. Границы абсолютной и относительной сердечной тупости смещаются в противоположную сторону.
- Аускультация. В базальных отделах лёгких выслушивается ослабленное дыхание. При аускультации сердца выявляется приглушение тонов, учащение частоты сердечных сокращений, нарушение ритма. В нижней части грудной клетки спереди можно услышать кишечную перистальтику, шум плеска.
- Функциональные исследования. Спирометрия даёт возможность выявить рестриктивные нарушения функции внешнего дыхания, значительное снижение жизненной ёмкости лёгких. На ЭКГ определяются замедление внутрижелудочковой проводимости, экстрасистолия, признаки ишемии миокарда.
- Лучевая диагностика. Рентгенография и КТ грудной клетки являются наиболее информативными методами исследования диафрагмы. На рентгенограмме визуализируется высокое расположение одного из куполов (уровень II–V ребра). При рентгеноскопии обнаруживается парадоксальное движение диафрагмального свода. Использование контраста позволяет выявить перегибы пищевода, желудка, смещение органов пищеварения кверху. КТ наиболее точно определяет степень релаксации, помогает распознать вторичную патологию внутренних органов.

Полную релаксацию грудобрюшной преграды следует дифференцировать с её разрывом и диафрагмальными грыжами. Иногда высокое стояние одного из сводов может скрывать базальный спонтанный пневмоторакс. Частичная релаксация нередко маскирует неопластические и воспалительные процессы внутренних органов, плевры и брюшины, кисты печени и перикарда.
Лечение релаксации диафрагмы
Единственный метод лечения полной или частичной релаксации – хирургический. Пациенты с латентной формой заболевания и стёртой клинической картиной подлежат динамическому наблюдению. Им рекомендуется избегать чрезмерных физических нагрузок, питаться часто малыми порциями, не допускать переедания. При прогрессировании процесса, наличии выраженных кардиоваскулярных, респираторных или диспепсических нарушений показано оперативное вмешательство. Релаксация диафрагмы, осложнённая разрывом органа, заворотом желудка, кишки, кровотечением подлежит экстренной хирургической коррекции.
С учётом локализации патологического процесса выполняется лапаротомия или торакотомия. Разработан малоинвазивный торакоскопический доступ. При умеренной релаксации с частичным сохранением мышечного тонуса возможна френопликация – иссечение истончённой части органа с последующим её удвоением или утроением собственными диафрагмальными тканями. Полная релаксация правого или левого купола является показанием для пластики синтетическим материалом (тефлоном, поливинилалкоголем, териленом). В детской хирургии применяется прошивание грудобрюшной преграды параллельными рядами гофрирующих швов, которые затем стягиваются, образуют складки и низводят диафрагму.
Прогноз и профилактика
Своевременная диагностика и правильная хирургическая тактика приводят к полному выздоровлению. Прогноз ухудшают жизнеугрожающие осложнения и тяжёлая сопутствующая патология. Пренатальное ультразвуковое исследование позволяет выявить отсутствие диафрагмальной мускулатуры у плода. Выявленную релаксацию необходимо корригировать до развития осложнений. Профилактика травматизма, диагностика и адекватное лечение воспалительных процессов лёгочной паренхимы, плевры, средостения, дренирование поддиафрагмальных абсцессов помогают избежать приобретённого паралича диафрагмы.
2. Релаксация диафрагмы после кардиохирургических вмешательств у детей: Автореферат диссертации/ Замотин И.Д., Житкова Н. С.
3. Применение торакоскопии в лечении релаксации диафрагмы/ Белов С.А., Григорюк А.А., Шульга И.В.// Тихоокеанский медицинский журнал. – 2018 - №1(71).
Читайте также:
