Патогенез митральной недостаточности. Формирование недостаточности митрального клапана
Добавил пользователь Владимир З. Обновлено: 02.11.2025
Что такое недостаточность митрального клапана? Причины возникновения, диагностику и методы лечения разберем в статье доктора Верещагиной Натальи Валентиновны, терапевта со стажем в 29 лет.
Над статьей доктора Верещагиной Натальи Валентиновны работали литературный редактор Вера Васина , научный редактор Сергей Федосов и шеф-редактор Лада Родчанина
Определение болезни. Причины заболевания
Недостаточность митрального клапана — порок, при котором из-за неполного смыкания створок клапана возникает обратный ток крови (регургитация) из левого желудочка в левое предсердие [8] .

Патология проявляется слабостью, головокружением, ощущением нехватки кислорода и утомлением, так как при заболевании нарушается кровоснабжение головного мозга. Без лечения тяжёлая регургитация митрального клапана может стать причиной сердечной недостаточности и нарушений сердечного ритма (аритмии).
Причины митральной недостаточности:
- ;
- бактериальный эндокардит;
- отложение солей кальция в тканях клапана;
- заболевания соединительной ткани — ревматоидный артрит, системная красная волчанка, склеродермия, синдромы Марфана и Элерса-Данло;
- травматический отрыв створок клапана при тяжёлой физической нагрузке;
- травмы при хирургических операциях на клапане;
- утолщение створок клапана;
- опухоли предсердия;
- лучевая терапия [8] .
Митральная недостаточность находится на первом месте среди всех приобретённых клапанных пороков сердца. Патология редко встречается изолированно, зачастую она сочетается с митральным стенозом и с пороками аортального клапана. Распространённость недостаточности митрального клапана в сочетании с пролапсом митрального клапана среди населения составляет 2–6 % [15] .
При обнаружении схожих симптомов проконсультируйтесь у врача. Не занимайтесь самолечением - это опасно для вашего здоровья!
Симптомы недостаточности митрального клапана
Симптомы заболевания:
- общая слабость и головокружение;
- учащённое сердцебиение;
- одышка, возникающая даже при незначительных нагрузках;
- ноющие, давящие и колющие боли в сердце, которые могут отдавать в левое плечо и руку;
- "неудовлетворённость вдохом" — больной делает один вдох за другим, но ощущает нехватку воздуха и впадает в панику;
- частые простудные заболевания;
- кровотечения из носа и дёсен, длительные менструации у женщин;
- ухудшение памяти, панические атаки, тревога, мнительность (это связано с нехваткой снабжения головного мозга кислорода, нарушением обменных процессов и замедлением передачи импульсов между нейронами);
- дрожь в теле;
- частое появление синяков;
- дискомфорт при нахождении в закрытом и душном помещении, возможны обмороки;
Постоянная тревога часто приводит пациента на консультацию к психиатру или неврологу. Очень важно не допустить таких больных в профессиональный спорт, так как чрезмерные нагрузки могут вызвать смерть на тренировках и соревнованиях.
У пациенток с митральной недостаточностью во время беременности возможны перебои в работе сердца, особенно нежелательные при родах, но в основном беременность протекает без осложнений [3] [4] .
Патогенез недостаточности митрального клапана
Сердце человека состоит из четырёх камер: правое и левое предсердия, правый и левый желудочки. Между предсердиями и желудочками расположены входные клапаны — трикуспидальный и митральный. На выходе из желудочков находятся похожие по строению выходные клапаны — лёгочный и аортальный.

Клапаны имеют створки, которые открываются и закрываются во время сердечных сокращений. Иногда клапаны не открываются или не закрываются должным образом, при этом нарушается ток крови.
Митральный клапан состоит из двух створок и открывается, позволяя крови течь в левый желудочек. Затем клапан закрывается, чтобы кровь не текла обратно в левое предсердие. При митральной недостаточности этот клапан закрывается неплотно, в результате чего кровь попадает обратно в левое предсердие.
В патогенезе первичной или врождённой недостаточности митрального клапана важную роль играет хронический дефицит ионов магния. Нехватка магния приводит к тому, что фибробласты вырабатывают неполноценные эластин, коллаген и фибронектин, а также к нарушению свойств ферментов, регулирующих обмен коллагена. В результате нарушается строение и функции соединительных тканей сердца [14] .
Вторичная форма митральной недостаточности возникает в результате перенесённых заболеваний и травм. При патологии происходит расширение полости левого желудочка, прогибание створок митрального клапана, дисфункция сосочков мышц и разрыв сухожильных хорд, соединяющих клапаны с сосочковыми мышцами. Иногда причиной развития вторичной недостаточности митрального клапана становится кальциноз клапанного фиброзного кольца. Кальциноз митрального кольца — это хронический дегенеративный процесс, при котором происходит отложение кальция в кольце клапана. Митральное кольцо при кальцификации становится утолщённым и менее гибким. Хотя изначально кальциноз митрального клапана считался возрастным дегенеративным процессом, накапливаются данные о том, что его развитию способствуют атеросклероз и генетически обусловленные нарушения кальций-фосфорного обмена [16] .

Классификация и стадии развития недостаточности митрального клапана
В течении заболевания выделяют три периода:
- Компенсация дефекта клапана усиленной работой левого предсердия и левого желудочка. Это продолжительный период хорошего самочувствия, но уже на этой стадии начинают появляться первые характерные симптомы: слабость, головокружение, частые простудные заболевания, чувство нехватки воздуха, перебои в работе сердца, одышка.
- Развитие венозной митральной недостаточности. Больные жалуются на одышку и учащённое сердцебиение. При интенсивной физической нагрузке наблюдаются приступы сильной одышки и кровохарканье.
- Одышка уменьшается, но пациент ощущает тяжесть в правом подреберье. Появляются отёки, уменьшается количество мочи, набухают шейные вены. Кровохарканье усиливается, развивается отёк лёгких, возникают нарушения сердечного ритма (мерцательная аритмия и наджелудочковая экстрасистолия) и тромбоэмболические осложнения.
С учётом выраженности обратного тока крови выделяют четыре степени митральной недостаточности: с незначительной митральной регургитацией, с умеренной, выраженной и тяжёлой.
Стадии митральной недостаточности:
- Митральный возврат крови составляет 20-25 %. На этой стадии пациент здоров.
- Митральный возврат крови в пределах 25-50 % от систолического объёма крови. Развивается застой крови в лёгких второй степени. Появляются кашель, одышка, перебои в работе сердца.
- Выраженная недостаточность митрального клапана. Возврат крови в левое предсердие составляет 50-90 %. Возникают кашель, кровохарканье, приступы удушья, увеличивается печень, появляются отёки [8] .
Осложнения недостаточности митрального клапана
Осложнения порока:
- Кровохарканье и отёк лёгких. Проявляется одышкой, затруднённым вдохом, влажным кашлем. В мокроте появляется кровь. Температура тела повышается до субфебрильных ( 37–38 °C ) и фебрильных ( 38–39 °C ) значений. Необходима срочная госпитализация в отделение реанимации.
- Нарушения сердечного ритма в виде мерцательной аритмии и наджелудочковой экстрасистолии. Проявляются перебоями в работе сердца, головокружением, слабостью, обмороками. Требуется госпитализация в отделение кардиологии.
- Тромбоэмболические осложнения (тромбоз левого предсердия, сосудов кишечника, почек, головного мозга). Последствия будут зависеть от локализации тромба. При тромбозе сосудов головного мозга возможен инсульт. Если тромб находится в почках и сосудах кишечника, то пациент испытывает острые боли в животе. Необходима госпитализация в отделение реанимации [8][9] .

Диагностика недостаточности митрального клапана
При сборе анамнеза кардиолог уточняет:
- ощущает ли пациент нехватку воздуха при вдохе;
- беспокоят ли перебои в работе сердца;
- возникает ли одышка при незначительных физических нагрузках;
- мучает ли тревога, страх смерти, панические атаки.
При аускультации ("выслушивании" сердца) выявляется систолический шум у верхушки и над основанием сердца. Важное значение для диагностики митральной недостаточности имеет фонокардиография (ФКГ). ФКГ – это метод исследования работы сердечной мышцы, который основан на регистрации и последующем анализе звуков, возникающих во время работы сердца .
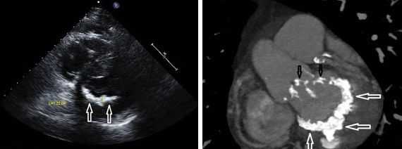
Другой важный инструментальный метод диагностики — эхокардиография (Эхо-КГ) . Эхо-КГ — это безболезненное ультразвуковое исследование, которое позволяет исследовать работу сердца в реальном времени. Эхокардиография покажет уменьшение эластичности клапана, его повреждение, размер отверстия митрального клапана и расстояние между его створками. Также при исследовании можно увидеть разрыв папиллярной мышцы и провисание клапанных створок в полость левого предсердия [4] [8] [9] .

Лечение недостаточности митрального клапана
При обострении заболевания необходим постельный режим. Также следует принимать препараты, содержащие магний и B6 по две таблетки три раза в день (например, "Магнелис").
Обязательно следует проводить лечение и профилактику осложнений. Для предупреждения тромбоэмболии пациентам старше 30-40 лет назначают препарат "Тромбо АСС", препятствующий тромбообразованию .
Если беспокоит частый пульс (более 80 ударов в минуту), то назначаются бета-адреноблокаторы, диуретики, антикоагулянты, нитроглицерин.
Если пациент страдает от приступов тревоги, то в качестве симптоматической терапии можно рекомендовать короткий курс феназепама на ночь.
Если развивается сердечная недостаточность и нарушается сердечный ритм, то проводят лечение бета-адреноблокаторами, диуретиками, ингибиторами ангиотензинпревращающего фермента, антикоагулянтами, блокаторами кальциевых каналов.
При значительной недостаточности митрального клапана показано оперативное лечение.
Основные хирургические методы коррекции митральной недостаточности:
- пластика митрального клапана;
- протезирование с частичным или полным сохранением хордального аппарата;
- протезирование без сохранения хордального аппарата.
Своевременное хирургическое вмешательство позволяет достичь хороших результатов и не допустить развитие осложнений.

Прогноз. Профилактика
При соблюдении рекомендаций врача прогноз благоприятный.
Для профилактики осложнений следует:
- ежегодно проходить осмотр у терапевта и кардиолога и проводить эхокардиографию сердца (Эхо-КГ);
- принимать препараты магния, а для предупреждения тромбоэмболии — антикоагулянты;
- исключить тяжёлые физические нагрузки, переохлаждение и перегрев;
- снизить эмоциональные перегрузки;
- отдыхать в дневные часы;
- при тревожных расстройствах принимать успокоительные препараты, освоить методы аутотренинга и расслабления мышц;
- проходить санаторно-курортное лечение [4] .
При ревматизме и после перенесённой ангины для профилактики недостаточности митрального клапана назначают антибиотик "Бициллин-3". Препарат подавляет развитие стрептококковой и стафилококковой инфекций.
После 40 лет всем пациентам, страдающим недостаточностью митрального клапана, необходимо контролировать уровни фибриногена, РФМК (растворимых фибринмономерных комплексов), D-димера (продукта распада фибрина). Эти анализы нужны для предотвращения тромбоэмболии лёгочной артерии и артерий внутренних органов. При повышении вышеуказанных показателей назначают антикоагулянты.
Если недостаточность митрального клапана обнаружена у ребёнка и его беспокоит слабость, головокружение, расстройство внимания, то рекомендуется временно перейти на домашнее обучение. Таким детям следует избегать чрезмерных физических нагрузок, им разрешена только лечебная физкультура.
Если при проведении Эхо-КГ обнаружено сильное прогибание створок клапана, то необходима консультация у кардиохирурга. Восстановление клапана или его замена могут потребоваться при эндокардите, сердечной недостаточности, нарушениях ритма, сильных болях в грудной клетке, признаках застоя в лёгочной системе (одышке, уменьшении объёма вдоха и ощущении нехватки воздуха).
Ревматическая недостаточность митрального клапана (I05.1)

"Vena contracta" шириной более 0,7 см с большим центральным потоком митральной регургитации (>40% площади левого предсердия) или эксцентричный поток митральной регургитации, поступающей в левое предсердие
"Vena contracta", ширина (см)
Количественные (полученные при эхоскопии или катетеризации полостей сердца) критерии
Объем регургитации (мл/сокращение)
Площадь потока регургитации, (см 2 )
Увеличение размеров левого желудочка
Увеличение размеров левого предсердия
Этиология и патогенез
Гемодинамические нарушения при митральной недостаточности обусловлены возвратом части крови из левого желудочка в левое предсердие. Регургитация до 5 мл крови при каждом сокращении практически не отражается на общей и внутрисердечной гемодинамике, возврат до 10 мл рассматривается как незначительный, более 10 мл - как существенный, а 25- 30 мл - как тяжелый. Количество возвратившейся крови зависит от величины клапанного дефекта и состояния сократительной функции миокарда левого желудочка.
Ввиду высокого сопротивления току крови в зоне дефекта клапана обратный ток в начале систолы отсутствует, появляется в фазу систолического изгнания и продолжается в фазу изометрического расслабления (в эти периоды давление в левом желудочке превышает давление в левом предсердии).
Регургитация крови вызывает объемную перегрузку левого желудочка и левого предсердия, вследствие чего развивается гиперфункция, а затем и гипертрофия левых отделов сердца.
Порок длительное время компенсируется мощным левым желудочком. В дальнейшем, при ослаблении левого предсердия под влиянием мощных толчков регургитационной волны, развивается дилатация левого предсердия и оно начинает функционировать как полость с низким сопротивлением.
Повышенное давление в левом предсердии передается на легочные вены, что приводит к легочной гипертензии (рефлекс Китаева) и в более поздних стадиях - к гипертрофии правого желудочка. С декомпенсацией последнего развивается относительная недостаточность трехстворчатого клапана и появляются признаки правосердечной недостаточности. Длительные нарушения кровообращения приводят к стойким изменениям в легких, печени, почках и других органах.
Эпидемиология
Встречаемость митральной регургитации составляет от 11 до 19%. Заболеваемость митральными пороками среди мужчин и женщин одинакова.
На долю ревматической болезни сердца приходится около 14% среди всех причин митральной регургитации.
Клиническая картина
Cимптомы, течение
В стадии компенсации митральной недостаточности субъективных ощущений не бывает. Больные могут выполнять значительную физическую нагрузку, и порок может быть выявлен случайно при медицинском осмотре.
Основные проявления:
1. Одышка при физической нагрузке и сердцебиение - возникают при снижении сократительной функции левого желудочка и повышении давления в малом круге кровообращения.
2. Приступы сердечной астмы и одышка в покое - возможны при нарастании застойных явлений в малом круге (капиллярах).
3. Кашель (сухой или с отделением небольшого количества мокроты, часто с примесью крови) - появляется при развитии хронических застойных явлений в легких.
4. Отеки на ногах и боль в правом подреберье (вследствие увеличения печени и растяжения ее капсулы - появляются при нарастании симптомов правожелудочковой недостаточности.
5. При недостаточности митрального клапана чаще, чем при митральном стенозе, больных беспокоит ноющая, давящая, колющая боль в области сердца, не всегда связанная с физической нагрузкой.
При аускультации сердца определяется:
1. Ослабление или полное отсутствие I тона сердца, что обусловлено нарушением механизма захлопывания митрального клапана (отсутствием "периода замкнутых клапанов"), а также волной регургитации.
2. Акцент II тона над легочной артерией обычно выражен умеренно и возникает при развитии застойных явлений в малом круге кровообращения. Часто над легочной артерией выслушивается также расщепление II тона, связанное с запаздыванием аортального компонента тона, так как период изгнания увеличенного количества крови из левого желудочка становится более продолжительным.
3. Часто на верхушке сердца определяется глухой III тон, возникающий вследствие того, что увеличенное количество крови из левого предсердия усиливает колебания стенок желудочка.
4. Систолический шум - наиболее характерный аускультативный симптом при митральной недостаточности. Он возникает в результатепрохождения волны регургитации из левого желудочка в левое предсердие через относительно узкое отверстие между неплотно сомкнутыми створками митрального клапана.
Шум хорошо выслушивается на верхушке сердца, проводится в левую подмышечную область и вдоль левого края грудины, интенсивность его варьирует в широких пределах.
Тембр шума различный - мягкий, дующий или грубый, что может сочетаться с пальпаторно ощутимым систолическим дрожанием на верхушке.
Систолический шум может занимать часть систолы или всю систолу (пансистолический шум). Чем громче и продолжительнее систолический шум, тем тяжелее митральная недостаточность.
Диагностика
1. На электрокардиограмме при выраженной недостаточности митрального клапана наблюдаются признаки гипертрофии левого предсердия и левого желудочка в виде увеличенной амплитуды зубцов комплекса QRS в соответствующих отведениях, чаще в сочетании с измененной конечной частью желудочкового комплекса (уплощение, инверсия зубца Т, снижение сегмента ST) в тех же отведениях.
При развитии легочной гипертензии появляются признаки гипертрофии правого желудочка и правого предсердия. Мерцание предсердий выявляется у 30- 35% больных.
2. Фонокардиограмма. При записи с верхушки сердца амплитуда I тона значительно уменьшена. Интервал Q-I тон увеличивается до 0,07-0,08 с в результате повышения давления в левом предсердии и некоторого запаздывания захлопывания створок митрального клапана. Систолический шум записывается сразу после I тона и занимает всю систолу или большую ее часть. Амплитуда шума тем больше, чем более выражена недостаточность клапана.
3. Рентгенологическая картина недостаточности митрального клапана складывается из изменений самого сердца и легочного рисунка. Сердце приобретает митральную форму - его талия сглаживается, а правый сердечно-сосудистый угол располагается выше обычного уровня.
Вторая и третья дуги левого контура сердечной тени выступают в легочное поле в связи с расширением легочного конуса и ствола легочной артерии. Четвертая дуга этого контура удлиняется и приближается к срединно-ключичной линии.
При выраженной недостаточности клапана определяется расширение легочных вен как проявление венозного полнокровия легких. На снимках в косых проекциях вырисовывается увеличение правого желудочка и левого предсердия, которое оттесняет кзади пищевод по дуге большого радиуса.
5. При допплер-ЭхоКГ возможна оценка степени выраженности митральной регургитации. Прямой признак порока - турбулентный систолический поток крови в полости левого предсердия, коррелирующий с выраженностью регургитации.
6. Катетеризация полостей сердца позволяет выявить ряд ценных диагностических признаков. Давление в легочной артерии обычно повышено. На кривой легочно-капиллярного давления видна характерная картина недостаточности митрального клапана в виде увеличения волны V более 15 мм рт. ст. с быстрым и крутым падением после нее, что является признаком регургитации крови через отверстие митрального клапана.
При вентрикулографии Вентрикулография – метод рентгенологического исследования желудочков головного мозга или сердца с использованием контрастного вещества
можно наблюдать как контрастное вещество во время систолы левого желудочка заполняет полость левого предсердия. Интенсивность контрастирования последнего зависит от степени недостаточности митрального клапана.
Дифференциальный диагноз
Митральную регургитацию дифференцируют со следующими заболеваниями:
1. Гипертрофическая кардиомиопатия. При гипертрофической кардиомиопатии выслушивается систолический шум на верхушке сердца, что при поверхностном обследовании больного может послужить поводом для диагностики недостаточности митрального клапана. Вероятность диагностической ошибки увеличивается, если систолический шум у больных гипертрофической кардиомиопатией сочетается с ослаблением 1-го тона и экстратонами. Как и при недостаточности митрального клапана, эпицентр шума может располагаться на верхушке сердца и в точке Боткина. Однако при митральной недостаточности шум проводится в подмышечную впадину, а при кардиомиопатии усиливается при вставании, при проведении пробы Вальсальвы. Диагностические сомнения разрешает эхокардиография, которая выявляет важный признак гипертрофической кардиомиопатии - асимметричную гипертрофию межжелудочковой перегородки.
ЭхоКГ - метод выбора в дифференциации рассматриваемых заболеваний. Исследование доказывает отсутствие анатомических изменений клапана при дилатационной кардиомиопатии и их наличие при органической недостаточности митрального клапана.
3. Легочная или трикуспидальная регургитация.
4. Дефект межжелудочковой перегородки. При дефекте межжелудочковой перегородки шум обычно грубый, занимает всю систолу; punctum maximum - в 3-м межреберье слева, хорошо проводится не только влево, но и вправо, за грудину. Определяется увеличение границ сердца влево, вверх и вправо.
У 70% детей с дефектом межжелудочковой перегородки наблюдается систолическое дрожание в третьем-четвертом межреберье слева от грудины. В анамнезе таких больных нередки указания на наличие симптомов недостаточности кровообращения на первом году жизни.
На ЭКГ может присутствовать отклонение электрической оси сердца влево, вправо или отмечается нормальное ее расположение. Определяются признаки гипертрофии правого и левого желудочков, правого предсердия.
На фонокардиограмме регистрируется пансистолический, высокочастотный, лентовидный шум с punctum maximum в точке Боткина.
Рентгенологически отмечаются признаки увеличения обоих желудочков, симптомы гипертензии малого круга кровообращения.
5. Дефект межпредсердной перегородки. Для дефекта межпредсердной перегородки характерны указания в анамнезе на повторные пневмонии. Систолический шум выслушивается слева от грудины во втором-третьем межреберье, проводится лучше к основанию сердца и на сосуды. ЭКГ определяет отклонение электрической оси сердца вправо, выявляются гипертрофия правого предсердия и правого желудочка. Часто отмечается неполная блокада правой ножки предсердно-желудочкового пучка. Гипертрофия правого предсердия и правого желудочка обнаруживается и при рентгенологическом исследовании.
6. Кальцинированный аортальный стеноз - у пожилых больных.
Осложнения
Осложнения при митральной недостаточности разнообразны и принципиально не отличаются от осложнений митрального стеноза:
1. Кровохарканье и сердечная астма - наблюдаются относительно редко, течение последней более легкое.
2. Фибрилляция предсердий - частое осложнение митральной недостаточности, поскольку значительно выражена дилатация левого предсердия.
3. Тромбоэмболические осложнения - развиваются реже, чем при митральном стенозе.
Лечение
Специфические консервативные методы лечения митральной недостаточности отсутствуют. Развивающуюся сердечную недостаточность лечат общепринятыми методами.
По показаниям назначают мочегонные препараты, периферические вазодилататоры (в том числе ингибиторы АПФ), блокаторы β-адренорецепторов (в том числе карведилол), сердечные гликозиды, антикоагулянты.
Показано ограничение физических нагрузок, ограничение потребления натрия.
В поздних стадиях для уменьшения вероятности венозного тромбоза и легочной эмболии назначают антикоагулянты и рекомендуют бинтовать ноги эластичными бинтами.
Хирургическая коррекция недостаточности левого предсердно-желудочкового клапана предполагает замену клапана подходящим протезом или клапанной тканью.
Показания к операции при тяжелой хронической митральной регургитации, обусловленной органическим поражением клапана
| Показания | Класс |
|---|---|
| "Симптомные" пациенты с фракцией выброса (ФВ) левого желудочка > 30% и конечно-систолическим размером (КСР) < 55 мм | IB |
| "Бессимптомные" пациенты с дисфункцией левого желудочка (КСР > 45 мм* и/или ФВ левого желудочка < 60%) | IC |
| "Бессимптомные" пациенты с сохраненной функцией левого желудочка и фибрилляцией предсердий (ФП) или легочной гипертензией (систолическое давление в легочной артерии > 50 мм рт. ст. в состоянии покоя) | IIaC |
| Пациенты с тяжелой дисфункцией левого желудочка (ФВ левого желудочка < 30% и/или КСР >55 мм) | IIaC |
| "Бессимптомные" пациенты с сохраненной функцией левого желудочка, высокой вероятностью стойкого эффекта клапанносберегающей операции с низким риском хирургического вмешательства | IIbB |
| Пациенты с тяжелой дисфункцией левого желудочка (ФВ левого желудочка < 30% и/или КСР >55 мм), рефрактерные к медикаментозной терапии с низкой вероятностью выполнения клапанносберегающей операции, без тяжелых сопутствующих заболеваний | IIbC |
Лечение бессимптомных больных остается областью различных противоречий, где показания к хирургическому лечению зависят от стратификации риска, возможности восстановления клапана.
1. Протезирование митрального клапана (при ревматическом пороке с сильно деформированными и обызвествленными створками).
2. Пластика митрального кольца (при расширении митрального кольца, молотящей створке, пролапсе митрального клапана, разрыве хорд, инфекционном эндокардите ).
Прогноз
Прогноз при митральной недостаточности зависит от степени выраженности клапанного дефекта и от состояния миокарда. При умеренной митральной недостаточности, редких ревматических атаках компенсация состояния и трудоспособность сохраняются длительное время. К концу 12-летнего периода после появления первых симптомов заболевания умирают 86% больных с ревматической недостаточностью митрального клапана.
Госпитализация
Показания к госпитализации:
1. Подозрение на острую митральную регургитацию. Госпитализация показана для определения тяжести и этиологии клапанной дисфункции, исключения сопутствующего инфекционного эндокардита и острой ишемии миокарда и для начала лечения.
2. Клинические проявления митрального порока, не поддающиеся адекватному контролю в амбулаторных условиях.
3. Больные без клинических проявлений, но с прогрессирующим увеличением сердца или снижением его сократительной способности.
Профилактика
По данным Американской кардиологической ассоциации, все пациенты с ревматическим пороком сердца входят в группу умеренного риска по развитию инфекционного эндокардита. Таким пациентам необходимо профилактическое назначение антибиотиков при осуществлении медицинских манипуляций, связанных с риском развития бактериемии Бактериемия - наличие бактерий в циркулирующей крови; часто возникает при инфекционных болезнях в результате проникновения возбудителей в кровь через естественные барьеры макроорганизма
(например, при экстракции зуба, операциях на желчных путях или кишечнике, тонзиллэктомии и прочих).
При манипуляциях в полости рта, пищеводе, дыхательных путях:
- за 1 час до процедуры показан амоксициллин: взрослым внутрь 2 г однокрактно, детям до 12 лет - из расчета 50 мг\кг;
- при аллергии к пенициллину за 1 час до процедуры: взрослые - внутрь клиндамицин 600 мг или азитромицин 500 мг, или кларитромицин 500 мг, или цефалексин 2 г; дети до 12 лет - клиндамицин 20 мг\кг или азитромицин 15 мг\кг, или кларитромицин 15 мг\кг, или цефалексин 50 мг\кг.
При манипуляциях на желудочно-кишечном и урогенитальном трактах:
- взрослые: амоксициллин 2 г внутрь за 1 час до процедуры или ампициллин 2 г в\в или в\м, введение закончить за 30 минут до процедуры; дети до 12 лет: амоксициллин 50 мг\кг или ампициллин 50 мг\кг в\в или в\м за 30 минут до процедуры;
- при аллергии к пенициллину: взрослые - ванкомицин 1 г в\в в течение 1-2 часов, введение закончить за 30 минут до процедуры; дети до 12 лет - ванкомицин 20 мг\кг в\в в течение 1-2 часов, введение закончить за 30 минут до процедуры.
Вторичная профилактика острой ревматической лихорадки направлена на предотвращение рецидивов заболевания. Применяют препараты пролонгированного действия: бициллин-1 (бензатинпенициллин, экстенциллин) и бициллин-5.
Бициллин-1 является менее аллергичным и дольше сохраняется в необходимой концентрации (21 день против 7-14 дней у бициллина-5).
Бициллин-1 вводят в/м:
- взрослым и подросткам - 2,4 млн ЕД;
- детям при массе тела менее 25 кг - 600 000 ЕД;
- детям с массой тела более 25 кг -1,2 млн ЕД.
Бициллинопрофилактика проводится круглогодично. Для больных с ревматическим пороком сердца проводится пожизненно.
Митральная (клапанная) недостаточность (I34.0)
Хроническая митральная регургитация (недостаточность) - поражение аппарата митрального клапана (створок, сухожильных хорд, папиллярных мышц), при котором возникает обратный ток крови из левого желудочка в левое предсердие во время систолы.
Среди наиболее часто встречаемых поражений клапанов сердца митральная регургитация занимает второе место после аортального стеноза.
Автоматизация клиники: быстро и недорого!
- Подключено 300 клиник из 4 стран
- 800 RUB / 4500 KZT / 27 BYN - 1 рабочее место в месяц

Автоматизация клиники: быстро и недорого!
- Подключено 300 клиник из 4 стран
- 1 место - 800 RUB / 4500 KZT / 27 BYN в месяц
Мне интересно! Свяжитесь со мной

13-15 октября, Алматы, "Атакент"
600 брендов, более 150 компаний-участников из 20 стран.
Новинки рынка стоматологии. Цены от производителей
Классификация
Классификация митральной регургитации - критерии АСС/АНА (Американский кардиологический колледж/ Американская ассоциация сердца)
| Признак | Легкий | Умеренный | Тяжелый |
| Качественные критерии | |||
| Степень по данным ангиографии | 1+ | 2+ | 3-4+ |
| Площадь потока митральной регургитации при цветовом допплеровском картировании | Небольшой поток центральной регургитации (менее 4 см2 или менее 20% отверстия левого предсердия) | Промежуточные значения между легкой и тяжелой степенью митральной регургитации | "Vena contracta", шириной более 0,7 см с большим центральным потоком митральной регургитации (>40% площади левого предсердия) или эксцентричный поток митральной регургитации, поступающей в левое предсердие |
| "Vena contracta", ширина (см) | менее 0,3 | 0,3-0,69 | более 0,7 |
| Количественные (полученные при эхоскопии или катетеризации полостей сердца) критерии | |||
| Объем регургитации (мл/сокращение) | менее 30 | 30-59 | более 60 |
| Фракция регургитации (%) | менее 30 | 30-49 | более 50 |
| Площадь потока регургитации, (см2) | менее 0,2 | 0,2-0,39 | более 0,40 |
| Дополнительные критерии | |||
| Увеличение размеров левого желудочка | + | ||
| Увеличение размеров левого предсердия | + | ||
Органическая митральная регургитация включает все причины, при которых аномалия клапана является первичной причиной болезни, в отличие от ишемической и функциональной митральной регургитации, которая является следствием заболеваний левого желудочка.
2. Воспалительные поражения: ревмaтизм, инфекционный эндокардит, гиперэозинофильный эндокардит Леффлера, системная красная волчанка и др.
Гемодинамические нарушения при митральной недостаточности обусловлены возвратом части крови из левого желудочка в левое предсердие. Когда регургитация при каждом сокращении составляет до 5 мл крови, это практически не отражается на общей и внутрисердечной гемодинамике. Возврат до 10 мл считается незначительным, более 10 мл - существенным, 25- 30 мл - тяжелым.
Встречаемость митральной регургитации составляет от 11 до 19%. Заболеваемость митральными пороками среди мужчин и женщин одинакова. Выявлена сильная корреляционная связь между появлением митральной недостаточности и увеличением возраста. Среди других, менее значимых, факторов риска митральной недостаточности присутствуют сердечная недостаточность, инфаркт миокарда, артериальная гипертензия, низкий индекс массы тела.
В стадии компенсации у больных не отмечается субъективных ощущений и они могут выполнять значительную физическую нагрузку. Порок может быть выявлен случайно при медицинском осмотре.
В дальнейшем по мере прогрессирования заболевания могут отмечаться следующие проявления:
1. Одышка при физической нагрузке и сердцебиение - при снижении сократительной функции левого желудочка и повышении давления в малом круге кровообращения.
2. Приступы сердечной астмы и одышка в покое - при нарастании застойных явлений в малом круге (капиллярах).
3. При развитии хронических застойных явлений в легких появляется кашель, сухой или с отделением небольшого количества мокроты, часто с примесью крови (кровохарканье).
4. При нарастании симптомов правожелудочковой недостаточности наблюдаются отеки на ногах и боль в правом подреберье, возникающая из-за увеличения печени и растяжения ее капсулы.
5. Больных беспокоит ноющая, давящая, колющая боль в области сердца, не всегда связанная с физической нагрузкой. При недостаточности митрального клапана подобная боль встречается чаще, чем при митральном стенозе.
7. При значительной регургитации слева от грудины наблюдается сердечный горб, являющийся следствием выраженной гипертрофии левого желудочка (в особенности при развитии порока в детском возрасте). Определяется усиленный и разлитой верхушечный толчок, который локализуется в пятом межреберье кнаружи от среднеключичной линии и свидетельствует о гипертрофии и усиленной работе левого желудочка.
При аускультации сердца определяется ослабление или полное отсутствие I тона сердца в результате нарушения механизма захлопывания митрального клапана (отсутствия "периода замкнутых клапанов"), а также волны регургитации.
Акцент II тона над легочной артерией, как правило, выражен умеренно и возникает при развитии застойных явлений в малом круге кровообращения. Также над легочной артерией часто выслушивается расщепление II тона, которое связано с запаздыванием аортального компонента тона (увеличивается продолжительность периода изгнания крови из левого желудочка).
Вследствие того, что увеличенное количество крови из левого предсердия усиливает колебания стенок желудочка, на верхушке сердца часто определяется глухой III тон.
Систолический шум - наиболее характерный аускультативный симптом при митральной недостаточности. Он появляется в результате прохождения волны регургитации из левого желудочка в левое предсердие через относительно узкое отверстие между неплотно сомкнутыми створками митрального клапана. Шум хорошо выслушивается на верхушке сердца, проводится в левую подмышечную область и вдоль левого края грудины. Интенсивность варьирует в широких пределах. Тембр шума может быть различным - мягким, дующим, грубым, что может сочетаться с пальпаторно ощутимым систолическим дрожанием на верхушке. Систолический шум может занимать часть систолы или всю систолу (пансистолический шум). Чем громче и продолжительнее систолический шум, тем сильнее выражена митральная недостаточность.
1. Электрокардиограмма. При выраженной недостаточности митрального клапана выявляются признаки гипертрофии левого предсердия и левого желудочка: увеличенная амплитуда зубцов комплекса QRS в соответствующих отведениях, более часто - в сочетании с измененной конечной частью желудочкового комплекса (уплощение, инверсия зубца Т, снижение сегмента ST) в тех же отведениях.
В случае развития легочной гипертензии отмечаются признаки гипертрофии правого желудочка и правого предсердия. В 30-35% случаев выявляется мерцание предсердий.
2. Фонокардиограмма. При записи с верхушки сердца амплитуда I тона значительно уменьшена. Интервал Q - I тон увеличивается до 0,07-0,08 с. вследствие повышения давления в левом предсердии и некоторого запаздывания захлопывания створок митрального клапана. Систолический шум записывается сразу после I тона и занимает всю систолу или большую ее часть. Чем сильнее выражена недостаточность клапана, тем больше амплитуда шума.
3. Рентгенологическое исследование. Картина недостаточности митрального клапана складывается из изменений самого сердца и легочного рисунка. Сердце приобретает митральную форму: его талия сглаживается, правый сердечно-сосудистый угол располагается выше обычного уровня. В связи с расширением легочного конуса и ствола легочной артерии вторая и третья дуги левого контура сердечной тени выступают в легочное поле; четвертая дуга удлиняется и приближается к срединно-ключичной линии.
При выраженной недостаточности клапана отмечается расширение легочных вен (проявление венозного полнокровия легких). На снимках в косых проекциях вырисовывается увеличение правого желудочка и левого предсердия, которое оттесняет пищевод кзади по дуге большого радиуса.
4. ЭхоКГ специфических признаков нарушения движения створок клапана не выявляет. Основные признаки митральной недостаточности:
- дилатация левых отделов сердца;
- избыточная экскурсия межжелудочковой перегородки;
- разнонаправленное движение митральных створок во время диастолы;
- отсутствие диастолического смыкания створок митрального клапана;
- признаки фиброза (кальциноза) передней створки;
- увеличение полости правого желудочка.
5. Допплер-ЭхоКГ дает возможность оценить степень выраженности митральной регургитации. Турбулентный систолический поток крови в полости левого предсердия, коррелирующий с выраженностью регургитации, является прямым признаком порока .
6. Катетеризация полостей сердца позволяет выявить важные диагностические признаки. Давление в легочной артерии, как правило, повышено. На кривой легочно-капиллярного давления видна типичная картина недостаточности митрального клапана: увеличение волны V более 15 мм рт. ст. с быстрым и крутым падением после нее. Это является признаком регургитации крови через отверстие митрального клапана.
При вентрикулографии Вентрикулография – метод рентгенологического исследования желудочков головного мозга или сердца с использованием контрастного вещества
можно наблюдать, как контрастное вещество во время систолы левого желудочка заполняет полость левого предсердия (интенсивность его контрастирования зависит от степени недостаточности митрального клапана).
Митральную регургитацию дифференцируют со следующими состояниями:
- гипертрофическая кардиомиопатия;
- легочная или трикуспидальная регургитация;
- дефект межжелудочковой перегородки;
- у пожилых больных необходимо дифференцировать митральную регургитацию с кальцинированным аортальным стенозом.
1. Гипертрофическая кардиомиопатия. При данном заболевании на верхушке сердца выслушивается систолический шум. Это может стать поводом для диагностики недостаточности митрального клапана при поверхностном обследовании больного. Вероятность диагностической ошибки возрастает в тех случаях, когда у больных гипертрофической кардиомиопатией систолический шум сочетается с ослаблением 1-го тона и экстратонами. Эпицентр шума, как и при недостаточности митрального клапана, может располагаться на верхушке сердца и в точке Боткина.
Различие заключается в том, что при кардиомиопатии шум усиливается при вставании и при проведении пробы Вальсальвы, а при митральной недостаточности он проводится в подмышечную впадину.
При гипертрофической кардиомиопатии ЭхоКГ выявляет асимметричную гипертрофию межжелудочковой перегородки (важный признак заболевания).
3. Другие приобретенные пороки сердца.
При дефекте межжелудочковой перегородки отмечаются следующие проявления:
- шум обычно грубый, занимает всю систолу; punctum maximum - в 3-м межреберье слева, хорошо проводится не только влево, но и вправо, за грудину;
- определяется увеличение границ сердца влево, вверх и вправо;
- у 70% детей с дефектом межжелудочковой перегородки отмечается систолическое дрожание в третьем - четвертом межреберье слева от грудины (в анамнезе зачастую присутствуют указания на наличие симптомов недостаточности кровообращения на первом году жизни).
Электрокардиограмма:
- возможно отклонение электрической оси сердца влево, вправо или нормальное ее расположение;
- признаки гипертрофии правого и левого желудочков, правого предсердия.
Фонокардиограмма: пансистолический, высокочастотный, лентовидный шум с punctum maximum в точке Боткина.
Рентгенологически наблюдаются признаки увеличения обоих желудочков, симптомы гипертензии малого круга кровообращения.
При дефекте межпредсердной перегородки характерно наличие в анамнезе указаний на повторные пневмонии. Систолический шум выслушивается слева от грудины во втором - третьем межреберье, лучше проводится к основанию сердца и на сосуды.
Электрокардиография: отмечается отклонение электрической оси сердца вправо, выявляются гипертрофия правого предсердия и правого желудочка. Часто определяется неполная блокада правой ножки предсердно-желудочкового пучка.
При рентгенологическом исследовании также выявляется гипертрофия правого предсердия и правого желудочка.
Осложнения при митральной недостаточности разнообразны и схожи с таковыми при митральном стенозе:
- фибрилляция предсердий - частое осложнение вследствие значительно выраженной дилатации левого предсердия;
- кровохарканье (встречается относительно редко);
- сердечная астма - имеет более легкое течение, чем при митральном стенозе; встречается относительно редко;
- тромбоэмболические осложнения (встречаются реже, чем при митральном стенозе).
Отсутствуют специфические консервативные методы лечения митральной недостаточности.
Развивающуюся сердечную недостаточность лечат общепринятыми методами. По показаниям назначают:
- мочегонные препараты;
- периферические вазодилататоры (в том числе ингибиторы АПФ);
- блокаторы β-адренорецепторов (в том числе - карведилол);
- сердечные гликозиды;
- антикоагулянты.
Показано ограничение физических нагрузок, ограничение потребления натрия. В поздних стадиях для уменьшения вероятности венозного тромбоза и легочной эмболии назначают антикоагулянты и рекомендуют бинтовать ноги эластичными бинтами.
Хирургическое лечение недостаточности левого предсердно-желудочкового клапана предполагает замену клапана подходящим протезом или клапанной тканью.
Показания к операции при тяжелой хронической митральной регургитации, обусловленной органическим поражением клапана
"Симптомные" пациенты с фракцией выброса (ФВ) левого желудочка > 30% и конечносистолическим размером (КСР) < 55 мм
"Бессимптомные" пациенты с дисфункцией левого желудочка (КСР > 45 мм и/или ФВ левого желудочка < 60%
"Бессимптомные" пациенты с сохраненной функцией левого желудочка и фибрилляцией предсердий (ФП) или легочной гипертензией (систолическое давление в легочной артерии > 50 мм рт. ст. в состоянии покоя
Пациенты с тяжелой дисфункцией левого желудочка (ФВ левого желудочка < 30% и/или КСР >55 мм)
"Бессимптомные" пациенты с сохраненной функцией левого желудочка, высокой вероятностью стойкого эффекта клапаноберегающей операции с низким риском хирургического вмешательства
Пациенты с тяжелой дисфункцией левого желудочка (ФВ левого желудочка < 30% и/или КСР >55 мм), рефрактерные к медикаментозной терапии с низкой вероятностью выполнения клапаносберегающей операции, без тяжелых сопутствующих заболеваний
Лечение бессимптомных больных является областью различных противоречий. В таких случаях показания к хирургическому лечению зависят от стратификации риска и возможности восстановления клапана.
Методы оперативного лечения митральной недостаточности:
2. Пластика митрального кольца (при расширении митрального кольца, молотящей створке, пролапсе митрального клапана, разрыве хорд, инфекционном эндокардите).
Прогноз зависит от степени выраженности клапанного дефекта и от состояния миокарда.
При умеренной митральной недостаточности и редких ревматических атаках компенсация состояния и трудоспособность сохраняются в течение длительного времени.
К концу 12-летнего периода после появления первых симптомов заболевания 86% больных с ревматической недостаточностью митрального клапана умирают.
Показания к госпитализации:
1. Подозрение на острую митральную регургитацию. Госпитализация требуется для определения тяжести и этиологии клапанной дисфункции, а также с целью исключения сопутствующего инфекционного эндокардита и острой ишемии миокарда, для начала лечения.
Митральная недостаточность
Митральная недостаточность – клапанный порок сердца, характеризующийся неполным смыканием или пролабированием створок левого атриовентрикулярного клапана во время систолы, что сопровождается обратным патологическим током крови из левого желудочка в левое предсердие. Митральная недостаточность приводит к появлению одышки, утомляемости, сердцебиения, кашля, кровохарканья, отеков на ногах, асцита. Диагностический алгоритм выявления митральной недостаточности подразумевает сопоставление данных аускультации, ЭКГ, ФКГ, рентгенографии, эхокардиографии, катетеризации сердца, вентрикулографии. При митральной недостаточности проводится медикаментозная терапия и кардиохирургическое лечение (протезирование или пластика митрального клапана).

Общие сведения
Недостаточность митрального клапана – врожденный или приобретенный порок сердца, обусловленный поражением створок клапана, подклапанных структур, хорд или перерастяжением клапанного кольца, приводящим к митральной регургитации. Изолированная митральная недостаточность в кардиологии диагностируется редко, однако в структуре комбинированных и сочетанных пороков сердца встречается в половине наблюдений.
В большинстве случаев приобретенная митральная недостаточность сочетается с митральным стенозом (комбинированный митральный порок сердца) и аортальными пороками. Изолированная врожденная митральная недостаточность составляет 0,6% всех врожденных пороков сердца; в сложных пороках обычно сочетается с ДМПП, ДМЖП, открытым артериальным протоком, коарктацией аорты. У 5-6% здоровых лиц с помощью ЭхоКГ выявляется та или иная степень митральной регургитации.

Причины
Острая митральная недостаточность может развиваться вследствие разрывов сосочковых мышц, сухожильных хорд, отрыва створок митрального клапана при остром инфаркте миокарда, тупой травме сердца, инфекционном эндокардите. Разрыв сосочковых мышц вследствие инфаркта миокарда сопровождается летальным исходом в 80–90% случаев.
Развитие хронической митральной недостаточности может быть обусловлено поражением клапана при системных заболеваниях: ревматизме, склеродермии, системной красной волчанке, эозинофильном эндокардите Леффлера. Ревматическая болезнь сердца обусловливает около 14% всех случаев изолированной митральной недостаточности.
Ишемическая дисфункция митрального комплекса наблюдается у 10% пациентов с постинфарктным кардиосклерозом. К митральной недостаточности может приводить пролапс митрального клапана, надрыв, укорочение или удлинение сухожильных хорд и папиллярных мышц. В ряде случаев митральная недостаточность является следствием системных дефектов соединительной ткани при синдромах Марфана и Элерса-Данлоса.
Относительная митральная недостаточность развивается в отсутствие повреждения клапанного аппарата при дилатации полости левого желудочка и расширении фиброзного кольца. Такие изменения встречаются при дилатационной кардиомиопатии, прогрессирующем течении артериальной гипертензии и ИБС, миокардитах, аортальных пороках сердца. К более редким причинам развития митральной недостаточности относят кальциноз створок, гипертрофическую кардиомиопатию и др.
Врожденная митральная недостаточность встречается при фенестрации, расщеплении митральных створок, парашютовидной деформации клапана.
По течению митральная недостаточность бывает острая и хроническая; по этиологии – ишемическая и неишемическая. Также различают органическую и функциональную (относительную) митральную недостаточность. Органическая недостаточность развивается при структурном изменении самого митрального клапана либо удерживающих его сухожильных нитей. Функциональная митральная недостаточность обычно является следствием расширения (митрализации) полости левого желудочка при его гемодинамической перегрузки, обусловленной заболеваниями миокарда.
С учетом выраженности регургитации выделяют 4 степени митральной недостаточности: с незначительной митральной регургитацией, умеренной, выраженной и тяжелой митральной регургитацией.
В клиническом течении митральной недостаточности выделяют 3 стадии:
I (компенсированная стадия) - незначительная недостаточность митрального клапана; митральная регургитация составляет 20-25% от систолического объема крови. Митральная недостаточность компенсируется за счет гиперфункции левых отделов сердца.
II (субкомпенсированная стадия) - митральная регургитация составляет 25-50% от систолического объема крови. Развивается застой крови в легких и медленное нарастание бивентрикулярной перегрузки.
III (декомпенсированная стадия) - резко выраженная недостаточность митрального клапана. Возврат крови в левое предсердие в систолу составляет 50-90% от систолического объема. Развивается тотальная сердечная недостаточность.
Особенности гемодинамики при митральной недостаточности
Вследствие неполного смыкания створок митрального клапана в период систолы возникает регургитационная волна из левого желудочка в левое предсердие. Если обратный ток крови незначителен, митральная недостаточность компенсируется усилением работы сердца с развитием адаптационной дилатации и гиперфункции левого желудочка и левого предсердия изотонического типа. Этот механизм может достаточно длительно сдерживать повышение давления в малом круге кровообращения.
Компенсированная гемодинамика при митральной недостаточности выражается адекватным увеличением ударного и минутного объемов, уменьшение конечного систолического объема и отсутствием легочной гипертензии.
При тяжелой форме митральной недостаточности объем регургитации преобладает над ударным объемом, минутный объем сердца резко снижен. Правый желудочек, испытывая повышенную нагрузку, быстро гипертрофируется и дилатируется, вследствие чего развивается тяжелая правожелудочковая недостаточность.
При остро возникшей митральной недостаточности адекватная компенсаторная дилатация левых отделов сердца не успевает развиться. При этом быстрое и значительное повышение давления в малом круге кровообращения нередко сопровождается фатальным отеком легких.
Симптомы митральной недостаточности
В периоде компенсации, который может длиться несколько лет, возможно бессимптомное течение митральной недостаточности. В стадии субкомпенсации появляются субъективные симптомы, выражающиеся одышкой, быстрой утомляемостью, тахикардией, ангинозными болями, кашлем, кровохарканьем. При нарастании венозного застоя в малом круге могут возникать приступы ночной сердечной астмы.
Развитие правожелудочковой недостаточности сопровождается появлением акроцианоза, периферических отеков, увеличением печени, набуханием шейных вен, асцитом. При компрессии возвратного гортанного нерва расширенным левым предсердием или легочным стволом возникает осиплость голоса или афония (синдром Ортнера). В стадии декомпенсации более чем у половины пациентов с митральной недостаточностью выявляется мерцательная аритмия.
Основные диагностические данные, свидетельствующие о митральной недостаточности, получают в ходе тщательного физикального обследования, подтвержденного электрокардиографией, фонокардиографией, рентгенографией и рентгеноскопией грудной клетки, ЭхоКГ и допплеровским исследованием сердца.
Вследствие гипертрофии и дилатации левого желудочка у больных с митральной недостаточностью развивается сердечный горб, появляется усиленный разлитой верхушечный толчок в V-VI межреберье от среднеключичной линии, пульсация в эпигастрии. Перкуторно определяется расширение границ сердечной тупости влево, вверх и вправо (при тотальной сердечной недостаточности). Аускультативными признаками митральной недостаточности служат ослабление, иногда полное отсутствие I тона на верхушке, систолический шум над верхушкой сердца, акцент и расщепление II тона над легочной артерией и др.
Информативность фонокардиограммы заключается в возможности подробно охарактеризовать систолический шум. ЭКГ-изменения при митральной недостаточности указывают на гипертрофию левого предсердия и желудочка, при легочной гипертензии – на гипертрофию правого желудочка. На рентгенограммах отмечается увеличение левых контуров сердца, вследствие чего тень сердца приобретает треугольную форму, застойные корни легких.
Эхокардиография позволяет определиться с этиологией митральной недостаточности, оценить ее тяжесть, наличие осложнений. С помощью допплерэхокардиографии выявляется регургитация через митральное отверстие, определяется ее интенсивность и величина, что в совокупности позволяет судить о степени митральной недостаточности. При наличии фибрилляции предсердий прибегают к чреспищеводной ЭхоКГ с целью выявления тромбов в левом предсердии. Для оценки тяжести митральной недостаточности применяется зондирование полостей сердца и левая вентрикулография.
Лечение митральной недостаточности
При острой митральной недостаточности требует введение диуретиков и периферических вазодилататоров. Для стабилизации гемодинамики может выполняться внутриаортальная баллонная контрпульсация. Специального лечения легкой бессимптомной хронической митральной недостаточности не требуется. В субкомпенсированной стадии назначаются ингибиторы АПФ, бета-адреноблокаторы, вазодилататоры, сердечные гликозиды, мочегонные препараты. При развитии фибрилляции предсердий применяются непрямые антикоагулянты.
При митральной недостаточности средней и тяжелой степени выраженности, а также наличии жалоб показано кардиохирургическое вмешательство. Отсутствие кальциноза створок и сохранная подвижность клапанного аппарата позволяет прибегнуть к клапансохраняющим вмешательствам – пластике митрального клапана, аннулопластике, укорачивающей пластика хорд и др. Несмотря на низкий риск развития инфекционного эндокардита и тромбозов, клапансохраняющие операции часто сопровождаются рецидивом митральной недостаточности, что ограничивает их выполнение достаточно узким кругом показаний (пролапс митрального клапана, разрывы клапанных структур, относительная недостаточность клапана, дилатация кольца клапана, планируемая беременность).
При наличии кальцификации клапана, выраженного утолщения хорд показано протезирование митрального клапана биологическим или механическим протезом. Специфическими послеоперационными осложнениями в этих случаях могут служить тромбоэмболии, атриовентрикулярная блокада, вторичный инфекционный эндокардит протезов, дегенеративные изменения биопротезов.
Прогноз и профилактика
Прогрессирование регургитации при митральной недостаточности наблюдается у 5–10% пациентов. Пятилетняя выживаемость составляет 80%, десятилетняя – 60%. Ишемическая природа митральной недостаточности быстро приводит к тяжелому нарушению кровообращения, ухудшает прогноз и выживаемость. Возможны послеоперационные рецидивы митральной недостаточности.
Митральная недостаточность легкой и умеренной степени не является противопоказанием к беременности и родам. При высокой степени недостаточности необходимо дополнительное обследование с всесторонней оценкой риска. Больные с митральной недостаточностью должны наблюдаться у кардиохирурга, кардиолога и ревматолога. Профилактика приобретенной недостаточности митрального клапана заключается в предупреждении заболеваний, приводящих к развитию порока, главным образом, ревматизма.
Читайте также:
