Перикоронит: причины, симптомы и лечение
Добавил пользователь Евгений Кузнецов Обновлено: 31.10.2025
Перикоронарит – воспаление тканей десны, окружающих прорезывающиеся зубы (чаще зубы мудрости). Сопровождается сильной болью в зоне режущегося зуба, ограниченностью и болезненностью при открывании рта и глотании, отеком десны, неприятными запахом и привкусом во рту, нарушением общего самочувствия. Неправильно прорезающийся зуб мудрости может привести к разрушению соседнего, травмам десневой и костной тканей, развитию абсцесса в надкостнице. Такие зубы часто подлежат удалению.
Общие сведения
Перикоронарит – это воспаление окружающих зуб мудрости тканей. Воспаление при перикоронарите обусловлено скоплением зубного налета в отверстии десны, через которое прорезывается зуб мудрости. Второй причиной перикоронарита является затрудненное прорезывание зубов мудрости. Во время прорезывания зуб мудрости может оказывать значительное давление на соседний зуб, что влечет за собой повреждение костной ткани и десны.
Причины развития перикоронарита
Основной причиной перикоронарита является уменьшение ширины зубной дуги у современного человека на 10-12 мм, при сохранении размеров зубов. Изменением размеров и обусловлен недостаток места на челюсти для зубов мудрости, что проявляется затрудненным прорезыванием и перикоронаритом.
Второй причиной перикоронарита являются эмбриологические условия прорезывания зубов: прорезывание зубов мудрости затруднено из-за утолщенных стенок зубного мешочка, который окружает коронку зуба и из-за толстой слизистой оболочки десны. Пониженные ростообразующие факторы тоже занимают важное место в развитии перикоронарита.
В патогенезе перикоронарита имеет значение тот факт, что на момент прорезывания зубов положение зуба практически не меняется, но часть жевательной поверхности прикрыта слизистой оболочкой. И под этим капюшоном скапливаются остатки пищи, зубной налет и микроорганизмы, что в итоге и вызывает специфическое воспаление – перикоронарит. Травматизация слизистой жевательной поверхности зубами-антагонистами во время жевания обуславливает поддерживание воспалительного процесса. И, в результате при перикоронарите возникают рубцовые изменения капюшона и расширение периодонтольной щели.
Клинические проявления перикоронарита
Основным проявлением перикоронарита является болевой синдром в области прорезывающегося зуба. Часто боль иррадиирует в область виска или уха. В некоторых случаях затруднен процесс жевания и глотания пищи, а пациент испытывает трудности с открытием рта.
По мере развития перикоронарита воспалительный процесс переходит на окружающие ткани, болезненность в этом случае обусловлена вовлечением в воспалительный процесс капюшона десны, реже – неправильным положением прорезывающихся зубов. Если зуб мудрости прорезывается под наклоном, то перикоронарит имеет более выраженный характер, так как значительно повреждается десна и костная ткань, иногда давление на соседний зуб настолько велико, что может начаться его разрушение.
При перикоронарите повышается температура в области поражения, реже повышается температура тела, и увеличиваются регионарные лимфоузлы. Воспалительный процесс при перикоронарите является основной причиной неприятного запаха изо рта и неприятного привкуса во рту и во время еды.
Отсутствие лечения ведет к образованию поднадкостничного абсцесса, а также к постоянному гноетечению. При длительном течении перикоронарита болезненность в состоянии покоя и при открытии рта усиливается, иногда возникают осложнения в виде флегмон и остеомиелитов.
Диагностика и лечение перикоронаритов
Диагноз перикоронарита ставится стоматологом на основании клинических проявлений, жалоб пациента и инструментального осмотра. Иногда для определения направляющей роста проводят рентгенологическое исследование. Лечение перикоронарита направлено на предотвращение осложнений, а выбор лечебной методики зависит от особенностей течения заболевания и от состояния пациента. Если при перикоронарите воспалительный отек выражен значительно или отмечается сведение челюстей, то показана тригеминосимпатическая блокада. При течении без осложнений карман под капюшоном промывают слабым раствором фурацилина или перманганата калия.
При перикоронарите показано введение под капюшон йодоформного тампона и полоскание полости рта теплыми дезинфицирующими растворами. Для полосканий применят сульфаниламидные препараты, внутрь показан 10% раствор кальция хлорида по 15 мл 3 раза в день и обезболивающие препараты. При отсутствии результативности местного лечения показано хирургическое лечение - иссечение капюшона под местной анестезией. При иссечении открывается поверхность прорезающегося зуба, вследствие чего зубной налет и микроорганизмы не скапливаются под капюшоном.
Экстракция зуба мудрости показана в том случае, если он находится в положении, при котором прорезывание невозможно. Это подтверждается рентгенологическим исследованием, удаление зуба проводят после снятия острых симптомов перикоронарита, после экстракции лунка зуба очищается, и накладываются швы. Так как зуб мудрости не несет функциональной нагрузки, то при перикоронарите трудно поддающемуся лечению, зуб рекомендовано удалить. Рецидивирующий перикоронарит излечивается только после экстракции зуба мудрости.
Методика лечения перикоронарита с помощью лазерной терапии позволяет воздействовать инфракрасным лучом непосредственно через кожу. Инфракрасное лазерное излучение низкой интенсивности проникает глубоко под кожу и оказывает противовоспалительное и противоотечное действие, так же стимулируется обмен веществ и приток крови к пораженному участку. Лазерное излучение кроме прочего обладает достаточным обезболивающим эффектом, чтобы купировать болевой синдром при перикоронарите. Лазерная терапия длится 7-10 дней, противопоказанием является наличие онкологических процессов в полости рта.
Периодонтит - симптомы и лечение
Что такое периодонтит? Причины возникновения, диагностику и методы лечения разберем в статье доктора Козлова Владимира Игоревича, стоматолога со стажем в 17 лет.
Над статьей доктора Козлова Владимира Игоревича работали литературный редактор Маргарита Тихонова , научный редактор Сергей Федосов
Определение болезни. Причины заболевания
Периодонтит — это заболевание, вызванное бактериями, травмой или лекарственными препаратами, в результате которого происходит воспаление комплекса соединительной ткани (периодонта), расположенной между цементом зуба и зубной альвеолой. [9] [20]

В общей структуре стоматологических заболеваний периодонтит встречается во всех возрастных группах пациентов и составляет 25–30% от общего числа обращений в стоматологические учреждения. [3]
В зависимости от причин возникновения выделяют три типа периодонтита:
- Травматический периодонтит — может развиться как при однократном сильном механическом воздействии (ушиб, удар, попадание косточки), так и при неоднократных небольших механических повреждениях (например, при постоянном откусывании нитей швеёй).
- Медикаментозный периодонтит — возникает в результате выхода сильнодействующих препаратов из корневого канала в ткани периодонта (например, когда в зубе было оставлено лекарство, а следующий приём состоялся позже, чем это было показано по инструкции безопасного периода нахождения препарата в канале). [11]

Пути инфицирования тканей периодонта:
- внутризубной — выход токсинов и бактерий через систему корневого канала после инфицирования пульпы и её некротизации в ткани периодонта;
- внезубной — переход воспаления из окружающих тканей (остеомиелит, остит, гайморит, пародонтит и т. д.).
Крайне редко возможно инфицирование тканей периодонта гематогенным (через кровь) и лимфогенными путями.
При обнаружении схожих симптомов проконсультируйтесь у врача. Не занимайтесь самолечением - это опасно для вашего здоровья!
Симптомы периодонтита
Проявления заболевания напрямую зависят от его формы.
Хронические формы периодонтита в большинстве случаев протекают бессимптомно и выявляются во время рентгенологического исследования либо при обострении.
Признаки острого периодонтита и обострения его хронической формы:
- боль в зубе (причём чаще всего можно точно указать, какой именно зуб болит) — в начале заболевания боль слабо выраженная, ноющая, но позднее она становится более интенсивной, рвущей и пульсирующей;
- боль при жевании и прикосновении к зубу;
- чувство "выросшего зуба" — ощущение, что зуб стал длиннее других и первым смыкается с зубами-антагонистами;
- наличие большой кариозной полости в больном зубе или его предшествующее лечение по поводу глубокого кариеса или пульпита;
- иногда возникает отёк мягких тканей в области поражённого зуба — связано с выходом воспалительного экссудата (жидкости) из очага, находящегося в периодонте, в поднадкостничное пространство или мягкие ткани;
- открытие свищевого хода, чаще всего располагающегося на десне в проекции корня поражённого зуба (может возникнуть при обострении хронического периодонтита);
- отсутствие реакции больного зуба на холодное, горячее, сладкое или кислое;
- возможная подвижность зуба, связанная с инфильтрацией периодонта.

Патогенез периодонтита
Острый верхушечный периодонтит
После повреждения периодонта по одной из указанных выше причин возникает кратковременный интенсивный тканевый ответ. Этот процесс сопровождается клиническими симптомами острого периодонтита. [7]
Ответ ткани, как правило, ограничен периодонтальной связкой. Он приводит к типичным нервно-сосудистым реакциям воспаления, которые проявляются гиперемией (переполнением кровью), застоем сосудов, отёком периодонтальной связки и экстравазацией (вытеканием в ткани) нейтрофилов. Поскольку целостность кости, цемента и дентина ещё не нарушена, периапикальные изменения на этом этапе не обнаруживаются при рентгенологическом исследовании.
Если воспаление было вызвано неинфекционными раздражителями, то поражение может исчезнуть, а структура апикального периодонта восстанавливается. [13] [14]
Когда происходит инфицирование, нейтрофилы не только борются с микроорганизмами, но также выделяют лейкотриены и простагландины. Первые привлекают больше нейтрофилов и макрофагов в область поражения, а вторые активируют остеокласты — клетки, участвующие в разрушении костной ткани. Так, через несколько дней кость, окружающая периодонт, может резорбироваться (раствориться), тогда в области верхушки корня рентгенологически обнаруживается расширение периодонтальной щели. [15]

Нейтрофилы погибают в месте воспаления и высвобождают из своих гранул ферменты, которые вызывают разрушение внеклеточных матриксов и клеток. Такое "расщепление" тканей предотвращает распространение инфекции в другие части тела и обеспечивает пространство для проникновения защитных клеток.

Во время острой фазы макрофаги также появляются в периодонте. Они продуцируют провоспалительные и хемотаксические (аллергические) цитокины. Эти молекулы усиливают местный сосудистый ответ, разрушение кости и деградацию внеклеточных матриц, а также могут заставить гепатоциты повысить выработку белков острой фазы.
Острый первичный периодонтит имеет несколько возможных исходов:
- самопроизвольное заживление;
- дальнейшее усиление и распространение в кости (альвеолярный абсцесс);
- выход наружу (образование свищей или синусового тракта);
- хронизация процесса. [19]
Хронический периодонтит
Длительное присутствие микробных раздражителей приводит к сдвигу в сторону макрофагов, лимфоцитов (Т-клеток) и плазматических клеток, которые инкапсулировуются в коллагеновой соединительной ткани.
Провоспалительные цитокины (клетки иммунной системы) являются мощными стимуляторами лимфоцитов. Активированные Т-клетки продуцируют множество цитокинов, которые снижают выработку провоспалительных цитокинов, что приводит к подавлению процесса разрушения кости. Напротив, полученные из Т-клеток цитокины могут одновременно усиливать выработку факторов роста соединительной ткани, что оказывает стимулирующее и пролиферативное воздействие на фибробласты и микроциркуляторное русло.
Возможность подавления деструктивного процесса объясняет отсутствие или замедленную резорбцию кости и восстановление коллагеновой соединительной ткани во время хронической фазы заболевания. Следовательно, хронические поражения могут оставаться бессимптомными в течение длительного времени без существенных изменений на рентгенограмме. [21]
Равновесие, существующее в периодонте, может быть нарушено одним или несколькими факторами, например, микроорганизмами, «размещёнными» внутри корневого канала. Они продвигаются в периодонт, и поражение самопроизвольно становится острым с повторным появлением симптомов.
В результате во время этих острых эпизодов микроорганизмы могут быть обнаружены в костной ткани, окружающей периодонт, с быстрым увеличением рентгенологических проявлений. Эта рентгенографическая картина обусловлена разрушением апикальной кости, которое происходит быстро во время острых фаз и относительно неактивно на протяжении хронического периода. Следовательно, прогрессирование заболевания не является непрерывным, а происходит прерывистыми скачками после периодов "стабильности".
Цитологические исследования показывают, что около 45% всех хронических периодонтитов эпителизированы. Когда эпителиальные клетки начинают разрастаться, они могут делать это во всех направлениях случайным образом, образуя неправильную эпителиальную массу, в которую попадают сосудистая и инфильтрированная соединительная ткань. При некоторых поражениях эпителий может врастать во вход корневого канала, образуя пломбоподобное уплотнение на апикальном отверстии.
Классификация и стадии развития периодонтита
Классификация периодонтитов главным образом отображает причину воспаления, и что именно происходит в тканях пародонта. Самой распространённой классификацией, используемой на практике, является классификация И.Г. Лукомского: [17]
- Острый верхушечный (апикальный) периодонтит:
- серозный;
- гнойный.
- Хронический верхушечный (апикальный) периодонтит:
- фиброзный;
- гранулирующий;
- гранулематозный.
- Обострение хронического периодонтита.
Также при постановке диагноза используется классификация по МКБ-10:
K04.4 Острый апикальный периодонтит пульпарного происхождения:
K04.5 Хронический апикальный периодонтит:
- апикальная или периапикальная гранулема;
- апикальный периодонтит БДУ.
K04.6 Периапикальный абсцесс с полостью:
- зубной (дентальный) абсцесс с полостью;
- дентоальвеолярный абсцесс с полостью.
K04.7 Периапикальный абсцесс без полости:
- зубной (дентальный) абсцесс БДУ;
- дентоальвеолярный абсцесс БДУ;
- периaпикальный абсцесс БДУ.
K04.8 Корневая киста:
- апикальная (периодонтальная) киста;
- периaпикaльная киста;
- остаточная корневая киста.
Осложнения периодонтита
Осложнения периодонтита зависят от причинного зуба, локализации воспалительного очага, формы и стадии заболевания. Условно можно разделить все осложнения на несколько групп. [8]
Осложнения, вызванные распространением инфекции из периодонтального очага:
- Одонтогенный периостит — распространение воспалительного процесса на надкостницу альвеолярного отростка и тела челюсти из периодонтального (одонтогенного) очага.
- Одонтогенный абсцесс — формирование ограниченного полостного гнойного очага, возникающего в результате гнойного расплавления подслизистой, подкожной, межмышечной, межфасциальной клетчатки, лимфоузлов, мышечной ткани или кости. Формирование абсцессов преимущественно происходит в околочелюстных мягких тканях.
- Одонтогенная флегмона — формирование разлитого гнойного воспаления клетчатки, расположенной под кожей, слизистой оболочкой, между мышцами и фасциями.
- Одонтогенный гайморит — формирование воспаления в гайморовой пазухе, вызванное распространением инфекции из периодонтального (одонтогенного) очага.
- Одонтогенный лимфаденит — формирование воспаления в регионарных лимфатических узлах, вызванного распространением инфекции из периодонтального (одонтогенного) очага.
- Одонтогенный остеомиелит — гнойное воспаление челюстной кости (одновременно всех её структурных компонентов) с развитием участков остеонекроза.
Осложнение, вызванное деструктивными изменениями в перерадикулярной кости:
- Вторичная адентия — потеря одного или нескольких зубов, причиной которой служит разрушение костной ткани, окружающей корень зуба, препятствующее дальнейшему функционированию такого зуба.
Осложнение, вызванное формированием свищевого хода:
- Кожные свищи — образование свищевого хода, открывающегося на поверхность кожи.
Диагностика периодонтита
Диагностика периодонтита проводится на основании жалоб пациента, анамнеза заболевания, оценки общесоматического статуса, осмотра головы и шеи, полости рта, зуба, его перкуссии, зондирования и термопробы, электроодонтодиагностики (ЭОМ) и рентгенологического исследования. [10]
ЭОМ — это метод стоматологического исследования, основанный на определении порогового возбуждения болевых и тактильных рецепторов пульпы зуба при прохождении через неё электрического тока.

Диагностические признаки острого периодонтита:
Диагностические признаки хронического периодонтита:
Диагностические признаки обострения хронического периодонтита
Чаще всего клиническая картина соответствует острому периодонтиту, за исключением того, что всегда рентгенологически выявляются изменения в тканях периодонта, характерные для той или иной формы периодонтита. [12]
Лечение периодонтита
Лечение периодонтита направлено на устранение причин, механизмов и проявлений заболевания. Методы лечения бывают терапевтическими, хирургическими и комбинированными.
Терапевтическое лечение
Данный метод лечения нацелен на устранение патогенной микрофлоры, находящейся в эндодонте — комплексе поражённых тканей, включающем пульпу и дентин, которые связаны между собой морфологически и функционально. Поэтому иначе такое лечение называют эндодонтическим. [16]
Этапы эндодонтического лечения:
- адекватное обезболивание;
- изоляция зуба или нескольких зубов, в которых будут проводится манипуляции, от полости рта;
- создание эндодонтического доступа (иссечение твёрдых тканей зуба или пломбировочного материала, закрывающих доступ в систему корневого канала;
- прохождение и определение длинны корневого канала (это длинна от устья до верхушки корня);
- создание корневого канала определённого диаметра и формы;
- введение в корневой канал лекарственных препаратов;
- пломбирование корневого канала;
- восстановление анатомии и функции зуба с помощью пломбировочного материала или ортопедической конструкции.

Хирургическое лечение
К оперативному лечению прибегают только в случаях неэффективности или невозможности терапевтического лечения.
К хирургическим методам лечения относятся:
- удаление части корня зуба (резекция) — позволяет сохранить зуб, даже если у верхушки корня присуствовала киста;

- удаление зуба целиком, с последующим замещением утраченного зуба.

Прогноз. Профилактика
Течение и прогноз периодонтита, безусловно, зависят от своевременности обращения к стоматологу и качества проведенного им лечения. При эффективном лечении каналов происходит восстановление участка разрушенной кости, и зуб сохраняет свои функциональные свойства. При несвоевременном обращении пациента или безуспешном лечении высока вероятность потери зуба, а осложнения хронического периодонтита могут представлять серьёзную угрозу здоровью и жизни.
Для профилактики периодонтита необходимо тщательно ухаживать за полостью рта, регулярно проводить осмотры у врача-стоматолога и своевременно лечить одонтогенные очаги инфекции, такие как кариес и пульпит. [2] [5] [6]
Перикоронит зуба мудрости
Перикоронитом называется популярное стоматологическое заболевание, которое чаще всего затрагивает десны нижней челюсти рядом с зубом мудрости. Это воспаление десневых структур, которое появляется ввиду прорезывания зубов. Главное не путать пародонтозом Как правило, патология встречается у лиц старших возрастных групп и сопровождается весьма неприятными симптомами.
«Восьмерка» считается одним из самых проблемных зубов. Неудивительно, эти зубы появляются позже всех, места для них остается мало. Поэтому нередко зуб мудрости остается в челюсти не прорезываясь. Иногда «восьмерка» упирается в соседние зубы, щеки, растет под углом и причиняет множество неприятных ощущений.

 
Причины перикоронита
К заболеванию чаще всего приводят:
- травмы эпителия при затрудненном длительном прорезывании зуба;
- ретинированные (сформированные, но не прорезавшиеся наружу) зубы;
- атипичное расположенные корня зуба;
- уплотнение слизистой десен;
- скопление мягкого зубного налета под капюшоном и, соответственно, инфицирование тканей;
- уменьшение размеров зубной дуги, недостаток места для прорезывания зубов;
Катализатором перикоронита зубов мудрости зачастую является очаг инфекции в полости рта. Очень часто болезнь провоцирует кариес, стоматит или пародонтит. Иногда болезнь возникает на фоне игнорирования правил личной гигиены, длительного стресса, гиповитаминоза и других состояний, сопровождаемых снижением иммунитета.

 
Симптомы перикоронита зуба
Основными клиническими проявлениями перикоронита зубов могут быть следующие симптомы:
- отек мягких тканей десен в зоне растущего зуба;
- покраснение мягких тканей;
- боль, усиливающаяся при приеме пищи и чистке зубов;
- боль, отдающая в висок, ухо или глазницу (на стороне поражения);
- сложности при открывании рта и разговорах, связанные с болью и отеками;
- неприятный запах изо рта;
- гнойное отделяемое из-под десневого капюшона;
- повышение температуры тела до 37,5 градусов.
Если болезнь приобрела серьезную форму, наблюдаются и увеличение подчелюстных и околоушных лимфатических узлов (на стороне поражения), а также значительное ухудшение самочувствия больного.
Между тем, наиболее характерными проявлениями перикоронита зуба мудрости являются:
- отек десны;
- покраснение десен;
- болевые ощущения в зоне десны.
Зачастую, при остром перикороните, отек бывает настолько сильным, что у пациента возникают трудности с речью, становится сложно открывать и закрывать рот.

 
Виды перикоронита
В зависимости от сложности, локализации воспалений, перикоронит разделяют на:
Острый. Начальная стадия заболевания, для которой характерны болевые ощущения, гиперемия и отек десны. При остром перикороните зуба мудрости отсутствуют гнойные выделения и не страдает общее состояние пациента. Данный вид заболевания при грамотном своевременном лечении исчезает за 3-5 дней.
Язвенный. Болезнь развивается на фоне поврежденного фузоспирохетами эпителия. Характерным симптомом язвенного перикоронита является появление некротического ободка по краям десны. На слизистой образуются мелкие язвы. При удалении налета с поверхности десны начинается кровотечение.
Гнойный перикоронит, как правило, протекает в подострой форме и проявляется выраженными болевыми ощущениями. Из очага воспаления выделяется гной, температура поднимается. При отсутствии своевременного лечения болезнь может спровоцировать формирование абсцессов, флегмон и периостит.
Позадимолярный. Болезнь развивается при неправильном прорезывании моляров. Образуется десневой капюшон, который затем инфицируется из-за активного размножения бактерий.
Диагностика перикоронита
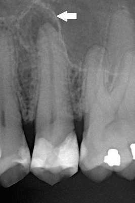
Диагноз перикоронит зуба мудрости может поставить только лечащий врач-стоматолог на основании жалоб пациента и осмотра его ротовой полости. Иногда специалист направляет пациента на рентген, чтобы определить положение растущего зуба, степень искривления ряда и оценить вовлечение костных структур в воспаление.
Лечение перикоронита
Лечение стоматолога и хирурга должно быть направлено не только на устранение симптомов болезни, но и на ликвидацию ее причин. Как правило, при перикороните зуба мудрости применяется медикаментозная терапия и хирургическое вмешательство.
Медикаментозное лечение — это борьба с микроорганизмами, которые вызвали развитие инфекционного процесса. Врач также назначает препараты, снижающие болевые ощущения и симптомы воспаления.
Как правило, для лечения перикоронита зуба мудрости используются следующие группы средств:
- антисептики, растворы для ополаскивания рта. Средства уменьшают микробную нагрузку, вымывают бактериальные и гнойные частицы.
- нестероидные противовоспалительные средства, например, Ибупрофен, Кеторолак.
- антимикробные, противовоспалительные средства широкого спектра действия, например, Амоксициллин, Амоксиклав, Азитромицин.
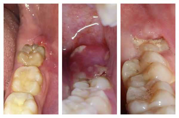
Хирургическое вмешательство при перикороните зуба мудрости, как правило, заключается в иссечении (удалении) капюшона десны над зубом мудрости. Такую тактику выбирают при частых рецидивах болезни, ярко выраженном болевом синдроме, распространении гнойного процесса на окружающие ткани. При иссечении участка мягких тканей над поверхностью коронки перестает скапливаться зубной налет, что предотвращает инфицирование и прогрессирование болезни.
Иссечение капюшона занимает не более 10-15 минут и проводится под местной анестезией.
Если снятие капюшона и консервативное лечение не приводят к улучшению состояния, возможно удаление зуба мудрости. Удаление также проводится в случае неправильного положения зуба или значительного отклонения «восьмерки» от ее физиологической оси. В редких случаях удаляется не только зуб мудрости, но и часть костной ткани. После удаления практически в 100% случаев наступает полное выздоровление пациента.
Стоит отметить, что многие пациенты зачастую настаивают на сохранении «восьмерки». Многие считают, что в будущем зуб мудрости может пригодиться при необходимости протезирования. Однако подобное мнение ошибочно. Зуб мудрости расположен дальше всех и не несет значительной функциональной нагрузки, забирая всего 2% всей нагрузки на зубной ряд. При установке коронки зуб мудрости не выдержит давления, и протез очень скоро придется менять.
Лазерная терапия
В качестве лечения перикоронита зуба мудрости может использоваться и лазерная терапия. Ее смысл заключается в воздействии на поврежденный участок лучом инфракрасного цвета, выраженного противовоспалительного, обезболивающего и бактериостатического действий. Луч стимулирует приток крови и, соответственно, ускоряет процесс регенерации тканей. Лазерную терапию пациенту назначают ежедневно, в течение 7-10 дней.
Полоскания
Снять болевые ощущения и отеки в домашних условиях помогут специальные полоскания. Однако, подобное лечение является симптоматическим. Если воспаление прогрессирует, ни в коем случае нельзя ограничиваться лишь полосканиями.
Рекомендованным стоматологами средством лечения воспалений является ополаскиватель для полости рта АСЕПТА Active. Это уникальное двухкомпонентное средство с комбинацией «хлоргексидин + бензидамин» оказывает противомикробное, противовоспалительное действие и обеспечивает мгновенный обезболивающий эффект.
Для устранения воспалений и снятия неприятных ощущений при перикороните зуба мудрости возможно использование и таких лекарственных трав, как:
Возможные последствия
Перикоронит зуба мудрости на нижней челюсти – это достаточно опасное заболевание, игнорирование которого может привести к очень неприятным последствиям.
Возможными осложнениям болезни могут быть:
- абсцессы, флегмоны преддверия рта, щечной области;
- периостит;
- остеомиелит челюсти;
- периодонтит;
- язвенный стоматит;
- актиномикоз;
- парадентальные кисты.
Кроме того, если перикоронит зуба мудрости затронет лимфоузлы, при развитии воспаления лимфатическая система может стать жертвой инфекции.
И, конечно, без надлежащего лечения, болезнь может перейти в хроническую форму и периодически «изводить» больного неприятными симптомами. Воспаления же могут перейти на соседние здоровые зубы. Поэтому, во избежание осложнений, лечение болезни стоит проводить как можно раньше.

 
Профилактика
Как известно, проще предупредить болезнь, чем лечить ее. Основными предупреждающими болезнь мерами профилактики являются:
- ежегодные осмотры стоматолога;
- своевременная диагностика и лечение ретинированных моляров;
- соблюдение гигиены полости рта;
- своевременное лечение кариеса, гингивита, пародонтита и других стоматологических заболеваний;
- регулярное (раз в полгода) проведение профессиональной чистки зубов в стоматологической клинике.
Клинические исследования
Многократно проведенные клинические исследования доказали, что двухкомпонентный ополаскиватель для полости рта АСЕПТА АКТИВ более эффективно борется причинами воспаления и кровоточивости по сравнению с однокомпонентными ополаскивателями – на 41% эффективнее снижает воспаление и на 43% снижает кровоточивость дёсен.
Роль противовоспалительного ополаскивателя в лечении заболеваний пародонта (Л.Ю. Орехова, А.А. Леонтьев, С.Б. Улитовский) 
Л.Ю. ОРЕХОВА, д.м.н., проф., завкафедрой; А.А. ЛЕОНТЬЕВ, врач-стоматолог; С.Б. УЛИТОВСКИЙ, д.м.н., проф. 
Кафедра терапевтической стоматологии СПб ГМУ им. акад. И. П. Павлова
Перикоронит - симптомы и лечение
Что такое перикоронит? Причины возникновения, диагностику и методы лечения разберем в статье доктора Строева Вадима Витальевича, стоматолога со стажем в 26 лет.
Над статьей доктора Строева Вадима Витальевича работали литературный редактор Маргарита Тихонова , научный редактор Сергей Федосов и шеф-редактор Лада Родчанина
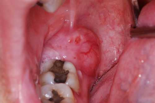
Перикоронит (перикоронарит) — это воспаление десны во время прорезывания зуба, связанное с развитием инфекции [11] . Сопровождается отёком мягких тканей и кровоточивостью.
Чаще возникает в 20-29 лет во время прорезывания зубов мудрости, так называемых восьмёрок [1] [10] . Иногда возникает при прорезывании соседнего жевательного зуба — семёрки [15] . У детей при смене молочных зубов на постоянные развивается редко.

Появление перикоронита связано с неправильным прорезыванием зубов. Есть несколько теорий развития данного нарушения. По одной из них, неправильное прорезывание зубов закладывается во время внутриутробного развития, когда формируется зубочелюстная система. Если ребёнок наследует от одного родителя небольшую челюсть, а от другого — крупные зубы, зачатки располагаются неправильно. При прорезывании таким зубам может не хватить места и они сместятся в сторону рядом стоящих зубов [3] .
Согласно другой теории, неправильное прорезывание зубов вызвано изменением зубочелюстной системы в процессе эволюции. Со временем ширина зубной дуги уменьшилась на 10 мм, однако количество зубов не изменилось [6] . В виду того, что зуб мудрости прорезается в последнюю очередь, ему часто не хватает места.
Сложности при прорезывании зубов мудрости отрицательно сказываются на состоянии окружающих мягких тканей. Десна, прилегающая к зубу, травмируется при пережёвывании пищи, воспаляется и рубцуется. Это затрудняет и даже останавливает прорезывание [7] .
К другим причинам, влияющим на прорезывание зубов мудрости, относят:
- "плотная" костная ткань в области прорезывания зубов;
- толстый биотип десны над прорезывающимся зубом;
- более плотная кортикальная пластина при аномалиях развития челюсти.

Симптомы перикоронита
Признаки перикоронита зависят от стадии заболевания. В 43 % случаев его развитию предшествует инфекция верхних дыхательных путей: ринит , фарингит , синусит, тонзиллит , отит, эпиглоттит и др. [14] . Другим предрасполагающим фактором является стресс [12] .
Вначале пациенты жалуются на тупые ноющие боли в области причинного зуба. В последующем боль становится сильнее, затрудняет пережёвывание пищи на проблемной стороне, усиливается при открывании рта [5] .
Со временем воспалительный процесс в области прорезающегося зуба нарастает:
- боль становится острой, иногда иррадиирует в близлежащие зоны;
- появляется покраснение и отёк десны;
- возникает асимметрия лица за счёт изменения контуров причинной области [4] .
Общее состояние в данный период остаётся удовлетворительным. Иногда температура тела поднимается до 37-37,5 °С, развивается головная боль.
Если пациент своевременно не обратился к врачу, то перикоронит переходит в хроническую форму. Симптомы болезни притупляются из-за оттока воспалительного экссудата, но в действительности процесс воспаления распространяется на мягкие ткани, окружающие причинный зуб.
При хронической перикороните наблюдается слабо выраженное покраснение десны. Образуется серозный или, как правило, гнойный экссудат, который сопровождается неприятным запахом изо рта. В поднижнечелюстной области с поражённой стороны можно нащупать воспалённые регионарные лимфоузлы. Эти симптомы сопровождаются болью при открывании рта.
Патогенез перикоронита
Зубы мудрости, как правило, прорезаются в 17-25 лет. Процесс их появления может затянуться на несколько недель или даже месяцев. При этом зуб не всегда прорезывается полностью: часть коронки остаётся под толстым слоем слизистой оболочки — капюшоном.
Между прорезывающимся зубом и нависающим капюшоном остаётся пространство — зубодесневой карман . В эту тёплую среду попадают остатки пищи, различные жидкости и анаэробные бактерии, такие как стрептококки, актиномицеты и пропионобактерии. Удалить их во время ежедневной гигиенической обработки довольно трудно, а иногда вовсе невозможно [2] . Со временем они приводят к воспалению и отёку нависающей десны, а также к развитию других заболеваний, из-за чего зуб мудрости часто прорезывается с кариесом, пульпитом или пародонтальной кистой.

В запущенных случаях из-за возникшего кариеса может разрушиться корень соседнего зуба [14] . А при полном разрушении костной межальвеолярной перегородки между зубом мудрости и вторым моляром после удаления зуба мудрости обнажается часть корня седьмого зуба — возникает рецессия десны.

Помимо воздействия патогенной микрофлоры, участок десны в области прорезывания постоянно травмируется противоположным зубом (антагонистом) во время пережёвывания пищи. В результате возникают хронические эрозии, снижается местный иммунитет. В случае многократного обострения процесса образуются зоны рубцовых изменений в области десны ретенированного зуба.
Данный процесс является цикличным состоянием: воспаление порождает отёк, отёк порождает травму, травма порождает эрозии и воспаление, которое сопровождается резкой болью [5] .
В дальнейшем, из-за распространения инфекции, воспаление протекает по типу маргинального хронического периодонтита: десна воспаляется не только в области коронки, но на всём протяжении корня причинного зуба. В этой области наблюдается атрофия костной ткани, отёк или хроническая гипертрофия близлежащих мягких тканей, лимфатические узлы могут увеличиться.
Классификация и стадии развития перикоронита
В клинической практике выделяют несколько классификаций перикоронита: по течению и по типу воспаления окружающих мягких тканей.
По течению перикоронит подразделяют на острый и хронический [10] .
Острая форма характеризуется резким началом, быстрым развитием воспаления и яркими симптомами, в частности острой болью в месте прорезывания. Пациенту становится больно и/или трудно открывать рот. При несвоевременном обращении данная форма может перейти в хронический перикоронит.
Хроническая форма протекает менее остро. Болевые ощущения не выражены. Наблюдается небольшое покраснение и отёк мягких тканей. Общее состояние удовлетворительное. Лимфатические узлы увеличены, но незначительно. Возможен неприятный запах изо рта.

Некоторые авторы выделяют третий тип течения — подострый перикоронит [12] . От острой формы его отличает менее яркие признаки болезни и отсутствие проблем с открыванием рта.
По типу воспаления перикоронит бывает катаральным, язвенным и гнойным [9] .
Катаральная форма — начальная стадия болезни, которая может перерасти в язвенный или гнойный перикоронит. Сопровождается болевыми ощущениями, которые усиливаются во время еды. Нависающий край десны воспалён, при пальпации вызывает боль. Региональные лимфоузлы на стороне поражения воспаляются, увеличиваются, становятся болезненными при пальпации. Гнойных выделений из-под капюшона нет. Открывание рта не затруднено. При своевременном лечении быстро проходит вместе с сопутствующими симптомами.
Язвенная форма . Развивается при разрушении мягких тканей на фоне воспаления. Отличается образованием язв на слизистой оболочке вокруг причинного зуба. При попытке удалить образовавшийся налёт возникает боль.
Гнойная форма — одна из самых тяжёлых форм перикоронита. Больной выглядит измученным, о бщее состояние резко ухудшается. Наблюдается стойкое повышение температуры до 38,0 °С , резкая боль при глотании и открывании рта, иррадиация в ухо или висок. Из причинной области в полость рта выделяется гной, причём при пальпации количество отделяемого и болезненные ощущения усиливаются. Регионарные лимфоузлы увеличены и подвижны. Отекает и краснеет не только капюшон и десна, но и нёбно-язычная дужка, слизистая щеки и мягкое нёбо [8] [13] .

Отдельной формой болезни является позадимолярный перикоронит. При этой форме воспаление локализуется ниже уровня коронки. Процесс начинается поверхностно, проникая глубже до вовлечения надкостницы. Если пациент не обращается за помощью своевременно, может возникнуть осложнение в виде ретромолярного абсцесса.
Осложнения перикоронита
Прорезывание зуба, сопровождающееся перикоронитом, может привести к серьёзным осложнениям:
- — образованию язв по краю десневой складки с последующим некрозом повреждённых участков;  
- околочелюстной флегмоне; ;
- остеомиелиту;
- ретромолярному абсцессу [13] .

Четыре последних осложнения являются наиболее грозными. Они затрагивают соседние структуры, вовлекая в процесс воспаления надкостницу и саму кость, переходя на подчелюстное пространство.
Эти осложнения сопровождаются серьёзными изменениями со стороны общего состояния организма: температура тела повышается до 37,1-38 °С, возникает слабость, озноб, головная боль. Слизистая оболочка краснеет, становится болезненной, отёчной. Появляется отёк челюстной области, который сопровождается асимметрией лица. Открытие рта затрудненно или вовсе невозможно. В особо тяжёлых случаях осложнения могут угрожать жизни пациента.
Отягощающими факторами, которые способствуют развитию осложнений, являются: ослабленный иммунитет, возраст пациента, сопутствующие заболевания и хронические очаги воспаления в полости рта.
Даже при самостоятельном снятии воспаления с помощью антибиотиков проблема не решается: антимикробное действие со временем пройдёт, а причина воспаления останется. Поэтому затягивать с визитом к стоматологу при появлении признаков острого или хронического перикоронита нельзя. В зависимости от формы болезни доктор подберёт эффективный метод лечения [8] [9] .
Чтобы поставить правильный диагноз, необходим комплексный подход. Он включает в себя сбор анамнеза (истории болезни), клинический осмотр с обследованием регионарных лимфоузлов и мягких тканей, а также визуализацию состояния полости рта [1] [13] .
В процессе сбора анамнеза врач задаёт пациенту вопросы, которые позволяют выяснить значимые детали болезни. Что важно знать доктору :
- как давно возникли неприятные ощущения в области прорезывания зуба;
- есть ли повышенная температура, слабость, боль при открывании рта;
- что сопровождает улучшение самочувствия, а что ухудшает;
- какие лекарства принимались, как они повлияли на течение болезни;
- были ли раньше подобные проблемы при прорезывании зубов;
- есть ли сопутствующие хронические болезни.
После сбора анамнеза доктор осматривает полость рта на предмет воспаления. Затем проводит пальпацию мягких тканей, чтобы выявить экссудат, выделяющийся из-под капюшона, или убедиться в его отсутствии.
Воспаление в позадимолярной области, как правило, сопровождается воспалением лимфоузлов. Поэтому после осмотра полости рта доктор прощупывает угол нижней челюсти и область шеи, а также оценивает степень открывания рта, появляется ли при этом боль.
Для визуализации неправильно расположенного зуба может потребоваться прицельная рентгенография, компьютерная томография или ортопантомография.

При обследовании очень важно выявить клиническую форму перикоронита, тяжесть течения и распространённость воспаления. От этих факторов зависит эффективность выбранной методики лечения. Определить форму можно по наличию/отсутствию гнойного экссудата или язв, степени выраженности симптомов и времени их появления.
Лечение перикоронита нужно начинать незамедлительно, за исключением следующих случаев:
- непереносимость лекарств и материалов, которые используются в процессе лечения;
- другие острые воспаления в полости рта;
- обострение хронической болезни [13] .
Наиболее эффективная тактика лечения — сочетание терапевтических и хирургических методик [2] . Первый этап направлен на купирование воспаления. Для этого врач промывает зубодесневой карман раствором антисептика через шприц или накладывает на проблемную зону специальную повязку. При необходимости назначает антибиотики и противовоспалительные средства. Как только воспаление стихает, доктор прибегает к удалению нависающего слизисто-надкостничного края или причинного зуба [13] .
План лечения зависит от решения вопроса: сохранять прорезающийся зуб или нет. Чтобы ответить на него, врачу необходимо изучить рентгеновский снимок проблемной зоны и оценить объективное состояние пациента на момент обращения.
Если прорезывание зуба затрудняется его неправильным положением, воспаление периодически обостряется и с трудом поддаётся лечению — такой зуб лучше удалить после снятия острых симптомов перикоронита. Отказ от удаления в этих случаях может привести к развитию кариеса и образованию абсцесса в области соседнего моляра, из-за чего придётся удалять уже не один, а сразу два зуба [14] .
Удаление зуба проходит под местной анестезией. Сначала отслаивают мягкие ткани. Затем при помощи щипцов или элеваторов удаляют зуб. Довольно часто его приходится распиливать: решение принимает хирург во время планирования или самой процедуры удаления.
В течение двух часов после операции рекомендуется воздержаться от приёма пищи, алкогольных напитков и курения, не прикладывать согревающие компрессы. Если удаление зуба было сложным из-за проблем с открыванием рта, пациенту может потребоваться больничный до полного стихания воспаления. Физические нагрузки в этот период противопоказаны [13] .

Иссечение образовавшегося капюшона — перикоронаротомия — позволяет улучшить гигиену проблемной области и предотвратить дальнейшее распространение воспаления, а в случае гнойного перикоронита улучшает отток гнойного экссудата [7] [9] . Операция выполняется стоматологом-хирургом при помощи скальпеля или ножниц. Проводится под местной анестезией.

Реабилитация после удаления зуба или нависшей десны длится от трёх дней до двух недель, в зависимости от сложности операции. Через день после удаления врач назначает полоскания растворами антисептиков, например хлоргексидина . При необходимости показаны обезболивающие препараты, медикаментозная поддержка в виде антибиотикотерапии и повторный приём-осмотр. Если со временем возникла припухлость, боль или другие неприятные ощущения, нужно обязательно обратиться к врачу [13] .
Чтобы воспаление не приняло патологический и хронический характер, при появлении первых признаков острого перикоронита, таких как боль в области прорезывания зуба, воспаление десны и увеличение лимфоузлов, важно срочно посетить стоматолога [5] . При своевременном обращении и проведённой терапии прогноз благоприятный.
Если в ходе лечения было принято решение сохранить зуб, пациенту рекомендуется раз в полгода посещать стоматолога для профилактического осмотра и профессиональной гигиены полости рта [13] . Чтобы избежать развития инфекции, после чистки зубов желательно использовать ополаскиватель [12] .
Исключить риск развития перикоронита можно во время профилактических осмотров с помощью ортопантомографии. Чётко сформированные зачатки будущих зубов появляются, как правило, уже после 16 лет. По результатам обследования можно определить, как расположен зачаток, и сделать вывод о вероятности появления проблем с прорезыванием того или иного зуба.
Нужно ли удалять неправильно прорезывающийся зуб мудрости без признаков перикоронита, кариеса и других осложнений? Единого мнения на этот счёт нет. Как правило, врачи не рекомендуют удалять такой зуб: достаточно регулярного обследования и качественной гигиены полости рта [16] . Однако с возрастом удаление зуба становится более сложной задачей из-за сопутствующих заболеваний, окончательно сформированных корней зубов мудрости и изменения костной ткани [17] .
Перикоронит
Мы перезвоним – для Вас звонок бесплатный! Напишите свои имя и номер телефона, чтобы мы могли связаться с Вами. 
Будем рады помочь Вам!

Перикоронарит, или перикоронит, — это воспалительное заболевание, которое распространяется на ткани вокруг прорезывающегося зуба. Механизм развития воспаления состоит в том, что зуб при прорезывании преодолевает массу препятствий: костную ткань, надкостницу, мягкие ткани. При трудном и длительном прорезывании над зубом формируется своеобразный капюшон, под который попадают болезнетворные бактерии и остатки пищи. В результате развивается воспалительный процесс.
Причины появления перикоронарита
По мере прорезывания зуб упирается в слизистую оболочку. Он не всегда сразу преодолевает этот барьер. Оставаться под десной зуб может от 4 недель до 6 месяцев и более, постепенно приподнимая и травмируя десну. Это приводит к тому, что десна перестает защищать ткани от попадания болезнетворных бактерий и мелких частиц пищи, они легко проникают под нее и провоцируют воспалительную реакцию.
Невозможность провести гигиену под капюшоном — основной механизм перикоронита. Но повысить риски воспаления или усугубить ситуацию могут и другие факторы:
- анатомические особенности строения костной ткани и десны — утолщенная надкостница или десна, нехватка места в челюсти;
- нарушения правил гигиены полости рта — бактериям в таком случае проще начать активно размножаться;
- травмирование — повреждение тканей пародонта твердыми частицами пищи, чрезмерно щеткой щетиной во время чистки;
- хронические заболевания полости рта — эрозии и язвы, стоматит, гингивит, кариес, пульпит, периодонтит, в том числе возле прорезывающегося зуба;
- дистопированный или ретинированный зуб, прорезывание под наклоном, невозможность полного прорезывания.
Чаще перикоронарит наблюдается в области прорезывающихся восьмерок или зубов мудрости. Это связано с тем, что они появляются уже во взрослом возрасте, тогда, когда зубной ряд сформирован, а челюсть перестала расти. В конце зубного ряда попросту не остается места для крупного зуба, в связи с чем восьмерка растет под наклоном или частично скрывается десной. Если зуб мудрости начинает прорезываться до 20 лет, обычно процесс протекает легко. В старшем возрасте процесс чаще осложняется перикоронаритом.
Симптомы перикоронарита
Перикоронарит зуба начинается с болезненности в области десны, усиливающейся при надавливании. Обычно заметить неприятные ощущения удается при жевании или чистке зубов. участок десны становится отечным и красным, впоследствии изо рта появляется неприятный запах.
При отсутствии своевременной врачебной помощи присоединяются и другие проявления:
- распространение болей, отдающих в ухо, висок;
- затруднения глотания, боли в горле;
- затруднения речи;
- ограничение открытия рта из-за отека окологлоточной области;
- увеличение лимфоузлов;
- субфебрильная температура;
- отечность щеки со стороны воспаления.
Человек испытывает трудности в пережевывании пищи, может страдать от общего ухудшения самочувствия, головной боли.
Симптомы могут стихнуть через некоторое время — это значит, что заболевание перешло в хроническую стадию. Могут возникнуть и гнойные осложнения, и в случае, если в десне открывается ход для выведения гнойного содержимого, то острая боль уходит. Однако воспалительный процесс при этом сохраняется.
Виды и формы заболевания
Выделяют острый и хронический перикоронарит. Острый, в свою очередь, классифицируется на следующие виды:
- Катаральный. Болезнь начинается с отека и красноты десны, болезненности, зуда. Это наиболее простая форма заболевания.
- Язвенный. Характеризуется образованием изъязвлений, покрытых белым налетом, на слизистой оболочке десны, некротизацией тканей по краям язвы.
- Гнойный. В области воспаления выделяется серозное, впоследствии гнойное содержимое. Характеризуется пульсирующей болью, общей интоксикацией организма, неприятным запахом изо рта.
Хронический перикоронарит — это следствие недолеченного острого периода. При нем симптомы становятся не столь выраженными, но продолжает образовываться серозное или гнойное содержимое. Может приводить к формированию патологического хода, через который содержимое выводится в полость рта. Хронический перикоронарит характеризуется периодическими обострениями, спровоцировать их может движение зуба и другие неблагоприятные факторы, общее снижение защитных сил организма.
При хронической форме нередко наблюдается лимфаденит. Слизистая оболочка даже при отсутствии неприятных симптомов отечна, имеет красноватый оттенок. Несмотря на отсутствие серьезных затруднений при речи, жевании, открывании рта важно получить помощь стоматолога, поскольку риск развития осложнений достаточно высок, а самостоятельно заболевание может не пройти.
Диагностика перикоронарита
Проявления острого перикоронита могут напоминать пульпит и периодонтит. Но отличить эти заболевания друг от друга под силу даже неподготовленному человеку. Так, при остром пульпите пульсирующая боль не мешает открытию рта, а десна часто остается спокойной, без отека и красноты.
При периодонтите отечность и краснота десны — частые симптомы. Но периодонтит развивается под полностью прорезавшимся зубом и чаще всего является следствием запущенного кариеса. При перикоронарите же зуб прорезался не полностью.
Поставить точный диагноз может врач-стоматолог. Обязательной является рентгенография — прицельный снимок поможет точно оценить состояние тканей, положение прорезывающегося зуба в челюсти, степень распространения воспалительного процесса, а также исключить заболевания с похожими симптомами.
Что будет, если не лечить перикоронарит
Важно понимать, что перикоронарит не пройдет самостоятельно. Даже в случае, если спустя 4−5 дней симптомы утихнут, это не значит, что воспалительный процесс закончился. Время от времени заболевание будет переходить в стадию обострения и доставлять немало неудобств. К тому же перикоронит может вызвать серьезные осложнения.
- Периостит, или флюс, а также остеомиелит. Распространение воспалительного процесса на надкостницу и костную ткань может объясняться снижением местных и общих защитных сил и другими факторами. Такие осложнения потребуют серьезного врачебного вмешательства.
- Подвижность соседних зубов.
- Флегмона, абсцесс, лимфаденит.
- Образование свищевого хода, кист. Появление язвенного стоматита.
- Поражение близлежащих тканей, отиты, фарингиты и другие воспалительные осложнения в области лор-органов.
- Сепсис.
Поэтому лечение перикоронарита является обязательным вне зависимости от того, в области какого зуба распространилось воспаление. Отсутствие своевременной врачебной помощи может привести к воспалительным последствиям и даже потере здоровых соседних зубов.
Хирургические методы лечения
Лечение перикоронарита практически всегда хирургическое. И если говорить о молярах и премолярах, стоматологи выбирают тактику иссечения десневого капюшона. А вот лечение в области восьмерок почти всегда выполняется путем удаления зубов мудрости, и дальше мы объясним почему.
Иссечение десневого капюшона открывает доступ растущему зубу, эта мера позволяет не только удалить лишние воспаленные ткани и тщательно промыть область, но и помочь зубу прорезаться окончательно и занять правильное место в зубном ряду. У этого метода существует несколько условий или показаний:
- целостность коронки и корневой системы прорезывающегося зуба;
- правильное расположение зуба в костной ткани челюсти;
- наличие достаточного места для полного прорезывания зуба в ряду.
То есть, такой подход используется во всех случаях, когда единственным препятствием к нормальному прорезыванию зуба выступает десна. Если же единица зубного ряда не слишком здорова, например, наблюдается кариес, нарушена целостность коронки или есть заболевания корневой системы, то решение принимается индивидуально. При целесообразности сохранения зуба врач также проведет вмешательство, а также примет меры по устранению патологии.
Ретинированные и дистопированные зубы, а также ситуации, при которых полное прорезывание зуба неизбежно повлечет за собой нарушения прикуса или смещение соседних зубов, — это показания к хирургическому лечению другого плана. Врач может предложить удаление зуба, а в случаях заболевания над «восьмеркой» это почти всегда единственный вариант решения проблемы.
Дело в том, что зубы мудрости не несут функциональной нагрузки, очень часто прорезываются под наклоном, мешают соседним зубам и повышают риск осложнений, в том числе дефектов прикуса. Поэтому целесообразным считается удаление «восьмерки» и дальнейшие мероприятия по устранению воспаления в мягких тканях.
Исключение составляют лишь случаи, когда «восьмерка» потенциально может быть использована в качестве опоры для протеза или иметь значение при планируемом ортодонтическом лечении.
В целом показаниями к удалению и капюшона, и зуба выступают следующие случаи и особенности:
- иссечение капюшона уже проведено ранее, но воспаление не прошло и/или усилилось, нет эффекта от проведенного лечения;
- зубу недостаточно места в зубном ряду;
- ретинированный, дистопированный зуб, сохранение которого ставит под угрозу здоровье соседних зубов и полости рта;
- десневой капюшон нарастает над прорезывающимся зубом повторно (это происходит редко);
- зуб поражен кариесом/разрушен, его лечение и сохранение нецелесообразны.
Поскольку требуется удаление еще не до конца прорезавшегося зуба, процедура считается сложным удалением. Чаще всего она требует предварительного рассечения десны и извлечения зуба из тканей, расположенных глубоко. Поэтому во многих случаях потребуется наложение швов на десну, что ускорит заживление тканей.
Хирургическое лечение перикоронарита проводится под местной анестезией, поэтому процедура не доставит неприятных ощущений. Обязательным этапом является промывание слизистой антисептическими растворами.
Удаление нависающих над зубом тканей может проводиться обычными инструментами или лазером.
Лазерное лечение
Иссечение капюшона с помощью лазера позволяет получить лучшие результаты. К основным преимуществам относят:
- меньший риск воспалительных осложнений, в том числе вторичного инфицирования раны;
- коагулирующее действие лазера — отсутствие вероятности кровотечения;
- короткий восстановительный период;
- уменьшение болевого синдрома после вмешательства;
- отсутствие необходимости дополнительно обрабатывать области вмешательства турундами и антисептиками.
Противопоказаний у лазерного вмешательства немного, одними из них являются онкологические заболевания.
Медикаментозное лечение
В подавляющем большинстве случаев медикаментозное лечение проводится лишь в качестве дополнения к основному — операции. Врач может назначить ряд средств для устранения неприятных симптомов, ускорения заживления, профилактики осложнений. С их помощью удается достичь выздоровления уже через 7–10 дней.
Одним из основных методов медикаментозного лечения является применение антисептических растворов. В тяжелых случаях потребуется применение антибактериальных препаратов внутрь, как правило, это необходимо при гнойных осложнениях, упорно протекающем лимфадените и др.
Среди местных средств особое значение имеют мази и гели, обладающие успокаивающим, противозудным, регенерирующим действием. Многокомпонентные средства позволяют одновременно уничтожить патогенную микрофлору и ускорить заживление, избавить от неприятных ощущений в восстановительном периоде.
Симптоматическим лечением выступают обезболивающие препараты, они также обладают жаропонижающим эффектом.
Важно понимать, что лечение перикоронарита только медикаментами, вероятнее всего, не приведет к нужному результату. Но при этом применение антисептиков и антибиотиков может замаскировать симптомы болезни, в то время как не устранена ее причина. Стертая картина заболевания может вызвать затруднения при диагностике, а отсутствие острых симптомов — стать поводом, чтобы не посещать стоматологию.
В результате вероятность развития осложнений хронического перикоронарита возрастает. Поэтому необходимо обратиться к специалисту при появлении первых же признаков и получить квалифицированную помощь.
Лечением перикоронарита занимаются стоматологи-хирурги клиник «СТОМА». Мы готовы оказать квалифицированную помощь в случаях любой сложности. Современное оснащение и профессионализм врачей — залог оказания качественных стоматологических услуг. Записаться на прием вы можете по указанному телефону или с помощью специальной формы на сайте.
Читайте также:
- Врожденные образования ушной раковины
- МРТ-артрограмма при повреждении треугольного фиброзно-хрящевого комплекса запястья
- Диагностика субэпендимальной гигантоклеточной астроцитомы по КТ, МРТ
- Опухоль наружного уха и ее лечение
- Гипертермический синдром. Причины гипертермического синдрома. Этиология гипертермического синдрома.
