Персонал и оборудование для катетеризации с целью экстракорпоральной мембранной оксигенации (ЭКМО)
Добавил пользователь Евгений Кузнецов Обновлено: 25.12.2025
Экстракорпоральная мембранная оксигенация (ЭКМО) является методикой жизнеобеспечения, при которой используется видоизмененный экстракорпоральный контур для искусственного кровообращения. Первый аппарат искусственного кровообращения был разработан Gibbon в 1951 году. Он позволял проводить ИК, продолжительностью, достаточной для выполнения вмешательств на сердце [1]. Длительное замещение оксигенирующей функции легких стало возможным после разработки качественно новых видов оксигенаторов. Хотя Rashkind в 1965 году применял пузырьковые оксигенаторы для замещения оксигенирующей функции легких, адекватное долговременное проведение ЭКМО стало возможным лишь после внедрения в клиническую практику мембранных оксигенаторов. Оксигенаторы, в которых за счет использования силиконовой мембраны происходит разделение газовой и кровяной фаз, впервые применили Kolobow и другие исследователи 3. При использовании мембранных оксигенаторов травма крови ограничивалась минимальным разрушением тромбоцитов. Выраженного повреждения эритроцитов не наблюдалось. Оксигенаторы, разработанные Kolobow, стали коммерчески доступными и применяются в клинической практике с 1970-х годов. В Европе оксигенаторы для ЭКМО производились фирмой Jostra, при этом их устройство существенно не отличалось от оксигенаторов, разработанных Kolobow. ЭКМО впервые была использована при лечении выраженной дыхательной недостаточности (ДН) у взрослых в 1970 - х годах. В 1972 году Hill и соавт. впервые успешно применили ЭКМО у взрослого пациента [7]. Несмотря на то, что ЭКМО считалась перспективным методом для лечения ДН у взрослых, многоцентровое исследование, проведенное Национальным Институтом Здоровья США, показало, что ее использование существенно не влияет на исход у этой категории больных [8]. По этой причине ЭКМО перестала широко использоваться у взрослых. Итальянский исследователь Gattinoni отмечает, что ЭКМО является вспомогательным методом для удаления углекислого газа при использовании низкочастотной ИВЛ с низким пиковым давлением [9]. Однако, в исследовании, проведенном Gattinoni и соавт., положительные эффекты от применения ЭКМО не являлись статистически значимыми.
Одновременно с попытками оценить значение ЭКМО при лечении ДН у взрослых были проведены исследования у детей 11. Bartlett и соавт. из Ирвина (Калифорния) сообщают о первом успешном использовании ЭКМО у новорожденных [12]. Позже эта исследовательская группа продолжила изучение ЭКМО у новорожденных в Ирвине и Клинике Мичиганского Университета [13]. Несмотря на то, что это исследование показало статистически значимые результаты, многие авторы считают их сомнительными [14]. Другое исследование было проведено в Бостоне, но полученные данные также остаются предметом спора. В настоящее время ЭКМО считается стандартом лечения ДН у новорожденных в Северной Америке, однако, европейские и австралийские неонатологи продолжают относиться к данному методу скептически [15]. В Великобритании перед широким внедрением ЭКМО в клиническую практику с 1992 по 1995 была проведена статистическая оценка этого метода, которая показала, что ЭКМО имеет полезное значение при лечении ДН во всех группах больных [16,17]. Хотя многие исследования показали,что ЭКМО является полезной при лечении ДН у новорожденных и детей ранних возрастных групп, ее значение для детей старших возрастных групп и взрослых остается неясным [18,19].
Показания к ЭКМО
Теоретически, ЭКМО может быть показана любому больному с потенциально обратимой формой дыхательной, сердечной или сердечно - легочной недостаточности. Очень важным является отбор пациентов для проведения ЭКМО. С одной стороны необходимо правильно оценить степень снижения сердечно - легочного резерва с целью определения показаний для применения этого метода, а с другой стороны исключить группу больных, у которых прогноз является явно безнадежным и для которых проведение ЭКМО не имеет смысла. Основным критерием для отбора новорожденных, которым необходимо проведение ЭКМО, является индекс оксигенации. Для старших возрастных групп больных показания для ЭКМО остаются неясными и требуют более тщательного исследования. В целом, принципы отбора больных существенно не отличаются для различных возрастных групп:
1) Является ли имеющаяся у больного легочная, сердечная или сердечно - легочная недостаточность потенциально обратимой?
2) Позволяет ли неврологический статус или функциональное состояние органов и систем надеяться на благополучный исход?
3) Имеются ли противопоказания для использования даже минимального уровня гепаринизации?
4) Можно ли достигнуть благополучного исхода, применяя консервативное или хирургическое лечение?
Важно учитывать повреждающее действие ИВЛ с высоким пиковым давлением. Мы и другие исследователи полагают, что длительность ИВЛ является важным критерием для отбора больных [20]. Мы считаем, что максимально допустимая продолжительность ИВЛ у новорожденных составляет 10 дней, а у старших детей и взрослых - 7 дней. Проведение ИВЛ с большей продолжительностью часто сопровождается неблагоприятными исходами [21].
Если ЭКМО используется при сердечной недостаточности, то она более эффективна в случае, когда у больного имеет место правожелудочковая недостаточность, которая является следствием легочной гипертензии и сопутствующей гипоксии. На практике ЭКМО часто используется в качестве метода вспомогательного кровообращения:
1)после операций на сердце, обычно после хирургической коррекции врожденных пороков сердца,
2)при трансплантации сердца или легких,
3)при миокардите или при реакции отторжения трансплантата.
Перед отбором больных для выполнения ЭКМО в качестве метода вспомогательного кровообращения, важно правильно оценить возможность восстановления функции сердца. С развитием современных кардиохирургических методик случаи послеоперационной сердечной недостаточности, рефрактерной к инотропным препаратам, стали довольно редкими. Поэтому ЭКМО в качестве метода вспомогательного кровообращения чаще применяется при кардиальной патологии, по поводу которой не проводилось какого-либо лечения.
Экстракорпоральный контур для ЭКМО
Хотя основные составляющие экстракорпорального контура для ИК и ЭКМО не отличаются, компоненты контура для ЭКМО имеют свои технические особенности. Эти компоненты способны поддерживать нормотермию и функционировать длительное время. Магистрали контура для ЭКМО разработаны таким образом, что в них отсутствуют области застоя крови и они позволяют применять минимальный уровень гепаринизации.
Наиболее важным компонентом экстракорпорального контура для ЭКМО является газообменное устройство или оксигенатор, остальные составляющие контура служат для обеспечения его работы. В настоящее время стандартные оксигенаторы, выпускаемые компанией Avecor существенно не отличаются от оксигенаторов, разработанных Kolobow в 1970 годах. Имеются оксигенаторы для ЭКМО с поверхностью газопереноса от 0.4 до 4.5 м2. Обычно мы используем оксигенаторы типа Ultrox Series (а также и Avecor) с различной поверхностью газопереноса. При подборе оксгенатора обязательно необходимо учитывать антропометрические данные больного и вид предполагаемой перфузии: веновенозная или веноартериальная. Обычно при веновенозной ЭКМО применяют оксигенаторы с поверхностью газопереноса вдвое большей, чем при веноартериальном виде ЭКМО. Jostra производит силиконовые мембранные половолоконные оксигенаторы, которые широко применяются в Европе при ЭКМО у новорожденных. Medtronic выпускает мембранные оксигенаторы с гепариновым покрытием, часто использующиеся при ЭКМО у взрослых. Однако проблема пропотевания плазмы при применении мембранных оксигенаторов остается неразрешенной. По этой причине мы стараемся не использовать оксигенаторы этого типа.
При необходимости, теплообменник включается в контур для ЭКМО для поддержания температуры больного. Теплообменник предпочтительнее расположить после оксигенатора, как можно ближе к больному. Лучше использовать теплообменник из нержавеющей стали, чем алюминиевый, поскольку алюминий со временем окисляется и начинает разрушаться. Теплообмен осуществляется между кровью и водой, циркулирующей в противоположном кровотоку направлении.
Большинство центров при ЭКМО применяют роликовые насосы такие, как Cobe Stockert. Некоторые клиники используют центрифужные насосы, обычно это Biomedicus (Medtronic). При использовании роликовых насосов важно, чтобы насосный сегмент был прочным. Единственным полимером, подходящим для длительного использования, является поливинилхлорид (ПВХ) типа Supertygon S65HL (Norton Performance Plastics). Необходимо правильно отрегулировать степень оклюзии роликового насоса, поскольку избыточная оклюзия сопровождается высоким сдвиговым напряжением полимера насосного сегмента и увеличивает его износ. Важно, чтобы насосный сегмент был достаточной длины, так как во время работы насоса с большой частотой оборотов, например у взрослых больных, происходит постепенное перемещение насосного сегмента в сторону вращения роликового насоса. При этом необходимо помнить, что смещенный насосный сегмент нельзя возвращать в исходное положение, его необходимо заменить.
При использовании центрифужного насоса необходимо осуществлять контроль давления в приточной линии. Если происходит снижение притока, а насос работает с высокой частотой оборотов, может возникать выраженное разрежение в головке насоса, сопровождающееся гемолизом. Другой тип насосов - насосы перистальтического типа. Перистальтические насосы Sofracob широко применялись во Франции, в настоящее время они доступны во всем мире. Недавно разработан насос Avecor M Pump, действующий по тем же принципам, но имеющий другое устройство насосного ложа. Этот насос можно применять при длительной ЭКМО.
Когда используют роликовые насосы, в экстракорпоральный контур включают небольшой резервуар, который облегчает заправку контура. Этот резервуар должен быть устроен таким образом, чтобы при его использовании не возникало областей застоя крови. Такие силиконовые резервуары производятся Avecor.
Большинство центров применяют собранные по определенной схеме стерильные системы для ЭКМО. В каждом центре имеется аппарат для ЭКМО, в состав которого входит аккумуляторный блок, а также штативы для инфузии, освещение и полки.
Протоколы заполнения экстракорпорального контура
Существует множество способов заполнения экстракорпорального контура для ЭКМО. Однако, необходимо обратить внимание на некоторые особенности. Перед заполнением контура растворами, необходимо произвести его вентиляцию углекислым газом. Это в значительной мере снизит степень образования пузырьков при последующем заполнении контура различными растворами. Заполнение осуществляют в три этапа. Сначала контур заполняют 20% раствором альбумина. При этом на стенках магистралей из ПВХ образуется белковый слой, который уменьшит нежелательную реакцию организма больного на синтетические материалы, из которых изготовлен экстракорпоральный контур. Затем контур заполняют растворами кристаллоидов (таких, как Plasmalyte A, Hartmann's Solution). После того, как контур полностью заполнен и произведено удаление пузырьков воздуха, в него добавляют кровь вместе с гепарином. Примерно 250 мл крови требуется для заполнения контура для ЭКМО у новорожденных и детей младших возрастных групп. Для заполнения контуров с большим объемом заполнения, применяемых у детей старших возрастных групп и у взрослых, требуется около 500 мл крови. Кислотно-основное состояние больного корригируется добавлением 8.4% раствора бикарбоната натрия или трисамина (ТНАМ). Дополнительно в заправочный объем включают раствор кальция, который предупреждает развитие гиперкалиемии.
Каннюляция для ЭКМО
Существует два вида ЭКМО - веновенозная (ВВЭКМО) и веноартериальная (ВАЭКМО). ВА-ЭКМО используется, когда существует, по крайней мере, частичная необходимость в проведении вспомогательного кровообращения. ВВЭКМО применяют, когда имеет место изолированная ДН. Правильная постановка канюль необходима для обеспечения адекватной перфузии и предотвращения гемолиза. В настоящее время используются тонкостенные канюли, стенки которых усилены металлической спиралью, что предотвращает возникновение перегибов канюли. Для проведения ВАЭКМО у новорожденных применяют усиленные металлической спиралью катетеры Biomedicus (Medtronic), диаметром от 8 Fr до 14 Fr. Для ВВЭКМО используют двухпросветные каннюли, выпускаемые фирмой Jostra, диаметром 12 Fr и 15 Fr. Часто канюляция для ВВЭКМО у новорожденных представляет собой небольшую хирургическую операцию. Однако можно произвести катетеризацию вены двухпросветной канюлей при помощи проводника. У старших возрастных групп канюли для ВВЭКМО часто устанавливают чрескожно при помощи проводника. Когда требуется канюляция артерии (при ВАЭКМО), чрескожная пункция сосуда и введение каннюли с помощью проводника невозможны, для этого необходимо хирургическое выделение артерии. Важно учитывать, что необходим тщательный гемостаз при выполнении канюляции, поскольку это предотвратит кровопотерю. Если после операции невозможно перевести больного с ИК на самостоятельное дыхание, то ЭКМО проводят при открытой грудной полости. В этом случае не всегда удается избежать кровопотери.
Удаление канюли требует хирургического вмешательства, если применялась ВАЭКМО. Если канюляция была произведена с помощью проводника и без лигирования сосуда, то после удаления канюли необходимо лишь наложить кожный шов.
Газообмен и гемодинамика
Гемодинамические эффекты ВВЭКМО и ВАЭКМО отличаются. При ВАЭКМО сердечный выброс представляет собой сумму собственного сердечного выброса больного и объемной скорости ЭКМО. Поскольку существует смешивание крови в периферической артерии, наиболее точным методом оценки адекватности доставки кислорода является измерение насыщения кислородом смешанной венозной крови. Насыщение крови кислородом, взятой из венозной линии, более 70% указывает на адекватную оксигенацию. ВВЭКМО не влияет на сердечный выброс больного. При этом типе ЭКМО происходит рециркуляция и смешивание венозной крови в большей степени, чем при ВАЭКМО. Поэтому для оценки адекватности ВВЭКМО необходимо производить анализ газового состава артериальной крови больного.
При увеличении скорости кровотока через оксигенатор возрастает количество кислорода, доставляемого больному. Чтобы удалить больший объем СО2 необходимо увеличить поток газовой смеси. Одним из основных отличий между современной и ранее применявшейся методикой ЭКМО является принцип сохранения функционального покоя легких. Во время ЭКМО легкие больного раздуты, но не перерастянуты. Более того, важно, чтобы ИВЛ осуществлялась при низком пиковом давлении, с низкой частотой и низкой фракциональной концентрацией кислорода во вдыхаемой смеси. Обычно при ЭКМО используют следующий режим ИВЛ:
- частота вентиляции - 10 в минуту,
- FiO2 - 0.3
- пиковое давление - 20 см. вод. ст.
- РЕЕР (ПДКВ) около +10 см. вод. ст.
Протоколы ведения больных при ЭКМО
Во время ЭКМО необходимо производить точный мониторинг водного баланса больного. Важно максимально уменьшить поступление жидкости, что достигается ограничением внутривенных назначений, применением диуретиков и гемофильтрации.
Для предотвращения свертывания крови в экстракорпоральном контуре необходима инфузия гепарина, при этом ориентируются на значения АСТ, производя забор проб каждый час. При ЭКМО, если у больного нет кровотечения, АСТ обычно поддерживают в пределах 160 - 200 с. В случае кровотечения АСТ должно поддерживаться на меньших значениях. При необходимости назначают апротинин (трасилол) - нагрузочная доза- 1 мл/кг, после чего проводят постоянную инфузию из расчета 1 мл/кг в час. Гемоглобин у больного поддерживают на высоких значениях. Обычно во время ЭКМО мы поддерживаем концентрацию гемоглобина около 14 г/дл. Основной причиной кровопотери при ЭКМО является взятие проб крови, поэтому объем заборов крови должен быть минимальным. Во время ЭКМО происходит разрушение тромбоцитов в экстракорпоральном контуре, что делает необходимым их постоянное возмещение. Обычно при ЭКМО число тромбоцитов поддерживают выше 75000 в мм3. Если у больного имеет место кровотечение, необходимо придерживаться более высоких значений концентрации тромбоцитов.
Персонал и оборудование для катетеризации с целью экстракорпоральной мембранной оксигенации (ЭКМО)
Методика венозно-венозной катетеризации с целью экстракорпоральной мембранной оксигенации (ЭКМО)
Более 60% пациентам с ЭКМО в неонатальной практике в регистре ELSO (Extracorporeal Life Support Organisation) проведено лечение с помощью венозно-артериального шунтирования. При дыхательной недостаточности венозно-артериальная ЭКМО постепенно замещается вено-венозной методикой с использованием одного двухпросветного катетера.
Катетер устанавливают в правое предсердие. Кровь забирается из этой камеры сердца и возвращается сюда же. В таком случае необходима катетеризация только правой яремной вены, что позволяет избежать манипуляций с сонной артерией.
К преимуществам вено-венозной ЭКМО также относят поддержание нормального пульсирующего кровотока и возврат клеток крови, проходящие через контур ЭКМО, в малый круг кровообращения, а не большой (теоретическое преимущество). Устройство оригинального вено-венозного катетера приводит к существенной рециркуляции, что ограничивает его использование при скорости потока в ЭКМО более 350 мл/мин.
Rais-Bahrami разработал новую конструкцию катетера, в которой степень рециркуляции существенно ниже. Двухпросветный катетер устанавливают в правое предсердие, направляя оксигенированную кровь из возвращающего просвета через трехстворчатый клапан для минимизации рециркуляции. Выпускают такие катетеры размерами 12, 15 и 18 Fr. В таком случае возможно проведение вено-венозной ЭКМО у большего количества новорожденных.
Двухпросветные вено-венозные катетеры:
1. Катетер «Kendall», размер 14 Fr («Kendall» Health Care Products, Mansfield, MA, USA).
2. Катетеры «OriGen», размеры 12, 15 и 18 Fr («OriGen» Biomedical, Austin, TX, USA).

Схематичное изображение катетера для вено-венозной экстракорпоральной мембранной оксигенации, введенного в среднюю часть правого предсердия.
Преимущества вено-венозного шунтирования при ЭКМО:
1. Обеспечивают превосходную поддержку функции дыхания.
2. Помогают избежать лигирования сонной артерии.
3. Оксигенированная кровь попадает в малый круг кровообращения.
4. Клетки крови из контура ЭКМО возвращаются в малый круг кровообращения, а не в большой.
Недостатки вено-венозного шунтирования при ЭКМО:
1. Отсутствует поддержка деятельности сердца.
2. ЭКМО зависит от состояния функций сердца пациента.
3. Положение и вращение катетера имеют крайне важное значение.
4. Зависит от величины рециркуляции.

Схема перевода венозно-артериальной (а) в вено-венозную (б) ЭКМО.
Двухпросветный вено-венозный катетер соединяют с Y-образным переходником для объединения просветов.
Методика катетеризации при вено-венозном шунтировании при ЭКМО
Методика катетеризации для вено-венозной ЭКМО по существу аналогична таковой для венозно-артериальной, за исключением следующих особенностей.
1. Определяют и выделяют как внутреннюю яремную вену, так и сонную артерию, но двухпросветный катетер вводят только во внутреннюю яремную вену. Можно наложить свободную силиконовую петлю на сонную артерию для облегчения быстрого перехода на венозно-артерильный доступ.
2. Катетер продвигают артериальной стороной вверх и вперед по отношению к венозному колену двухпросветного катетера. Необходимо избегать изгибания катетера или формирования завитка в нем. Правильному расположению катетера помогает направление оксигенированной крови к трехстворчатому клапану. Таким образом, сводится к минимуму рециркуляция оксигенированной крови обратно в контур ЭКМО.
3. Проксимальный конец внутренней яремной вены также катетеризируют для дренирования крови, оттекающей от головы, путем введения катетера в луковицу яремной вены.
Катетер соединяют с венозной трубкой контура ЭКМО через переходник Люэра. Для этого применяют самодельный, покрытый гепарином венозный катетер Кармеды «Bio-Medicus», сделанный специально для использования в качестве краниального катетера.
Такая методика позволяет выполнить дополнительное венозное дренирование для контура ЭКМО, предотвращая застой венозной крови, а также измерять сатурацию венозной крови, поступающей от головного мозга.
4. В случае использования катетера луковицы яремной вены для измерения церебральной сатурации следует внимательно подключаться к контуру; воздух быстро всасывается в венозную часть контура, если запорный краник плохо закрыт или оставлен открытым.
Редактор: Искандер Милевски. Дата обновления публикации: 18.3.2021
Методика венозно-артериальной катетеризации с целью экстракорпоральной мембранной оксигенации (ЭКМО)
Методика:
1. Укладывают новорожденного, обеспечив тепло к ногам.
2. Вводят фентанил (10-20 мкг/кг).
3. В целях миорелаксации вводят панкуроний (0,1 мг/кг).
4. Для разгибания шеи подкладывают под плечи валик и поворачивают голову влево. Следует проверить, что подушка Боуи также уложена. Следует обратить внимание на предотвращение гипотензии.
5. Проводят мониторинг витальных функций, при необходимости дополнительно вводят фентанил и/или панкуроний.
6. Широко обрабатывают кожу в области шеи справа, грудную клетку и околоушную область раствором бетадина.
7. Закрывают стерильными пеленками всю кроватку.
8. Для фиксации пеленок к коже используют материал «Steri-Drape» (3M Health Care, St. Paul, MN, USA).
9. В месте разреза кожу инфильтрируют ксилокаином 0,25% с адреналином (AstraZeneca, Wayne, PA, USA).
10. Ждут в течение 3 мин наступления анестезии.

а - Новорожденный, уложенный для катетеризации, с подложенным под плечи валиком и головой, повернутой влево. Обозначено место разреза в области шеи.
б - Анатомические ориентиры над грудино-ключично-сосцевидной мышцей для выполнения разреза электрокаутером.
11. Выполняют вертикальный разрез длиной 1-2 см над правой грудино-ключично-сосцевидной мышцей примерно на 1 см выше правой ключичной головки с помощью электрокаутера.
12. Продолжают использовать электрокаутер для рассечения подкожно-жировой клетчатки.
13. Коагулируют все видимые кровоточащие участки.
14. Разделяют волокна грудино-ключично-сосцевидной мышцы кровоостанавливающим зажимом и с помощью наложенных на мышцу кровоостанавливающих зажимов разводят в стороны.
15. Вскрывают влагалище сонной артерии, стараясь не повредить блуждающий нерв.
16. Орошают общую сонную артерию и внутреннюю яремную вену 1% раствором лидокаина для дилатации сосудов.
17. Под артерией проводят силиконовую петлю, а проксимально и дистально накладывают шелковые лигатуры 2-0 на зажимы, но не затягивают их. Избегают врезания лигатур в артерию.
18. Стараются не проводить избыточные манипуляции с внутренней яремной веной. Некоторые специалисты предпочитают выделять вену после катетеризации артерии во избежание спазма вены.
19. Определяют необходимую длину катетера:
а. Идентифицируют яремную вырезку и мечевидный отросток грудины.
б. Артериальный катетер вводят примерно на одну треть расстояния между яремной вырезкой и мечевидным отростком, обычно это 3-4 см.
в. Венозный катетер вводят примерно наполовину расстояния между яремной вырезкой и мечевидным отростком, обычно это 7-7,5 см.
г. Расстояния отмечают на катетерах с помощью петли шовного материала 2-0 или с помощью имеющихся меток.
д. Проводят гепаринизацию путем болюсного введения 75-150 ЕД/кг гепарина (в зависимости от оцененного риска кровотечения), выжидают 60-90 с, перед тем как продолжить катетеризацию.
Катетеризация артерии
1. Затягивают дистальную лигатуру на сонной артерии и накладывают зажим типа «Бульдог» на проксимальную часть артерии. Перед наложением зажима ожидают, пока кровь расширит артерию.
2. Выполняют артериотомию с помощью лезвия скальпеля № 11 и накладывают два шва-держалки проленом 6-0 (Ethicon, Somerville, NJ, USA) на проксимальной стороне артериотомии. Всегда используют швы-держалки для предотвращения разрывов внутренней оболочки артерии.
3. По желанию наносят лубрикант на расширитель «Гарретта» и расширяют артерию до соответствующего размера катетера.
4. Накладывают стерильный зажим для трубок на катетер. Наносят на катетер лубрикант и вставляют катетер в сосуд после удаления зажима типа «Бульдог».
5. Фиксируют катетер, затягивая шелковую лигатуру (2-0) над петлей в 0,5-1 см от сосуда («тапочек») (рис. 32-6).
6. Накладывают вторую шелковую лигатуру (2-0). Затягивают дистальный узел вокруг катетера и затем связывают дистальную и проксимальную лигатуры вместе. Некоторые хирурги делают два узла проксимальнее и один дистальнее для дополнительной безопасности.
7. Дают крови заполнить катетер, чтобы она вытеснила воздух.

а - Разделение волокон грудино-ключично-сосцевидной мышцы и вскрытие влагалища сонной артерии.
б - сонную артерию выделяют вместе с наложенным зажимом.
Показано место артериотомии с наложенными проленовыми (6-0) швамидержалками; ниже - увеличенный фрагмент рисунка а (вставка).
в - фиксируют катетер проксимальной и дистальной лигатурами на «тапочке»; ниже — увеличенный фрагмент рисунка а (вставка).
Катетеризация вены
1. Выделяют вену и фиксируют двумя шелковыми (2-0) лигатурами. За лигатуры, наложенные на вену, не следует тянуть во избежание спазма вены.
2. Накладывают зажим типа «Бульдог» на проксимальный конец вены, чтобы кровь наполнила вену и растянула ее. Затем лигируют дистальный конец вены шелковой лигатурой (2-0).
3. Выполняют венотомию лезвием скальпеля № 11 и накладывают два анкерных шва проленом (6-0), как швы-держалки при катетеризации артерии.
4. Наносят лубрикант на венозный катетер, накладывают стерильный зажим для трубок на катетер и расширяют венотомическое отверстие.
5. Вводят катетер, при этом ассистент тянет за проксимальную лигатуру и нажимает на область печени для увеличения обратного тока крови через катетер (для снижения риска воздушной эмболии).
Возможно легкое сопротивление продвижению катетера при прохождении через верхнюю апертуру грудной клетки, если продвигать катетер с усилием (может привести к разрыву вены). Осторожно продвигают катетер по направлению вниз и кзади.
6. Фиксируют так же, как и артерию. Стимулируют ток крови обратно в катетер путем осторожного надавливания на область печени.

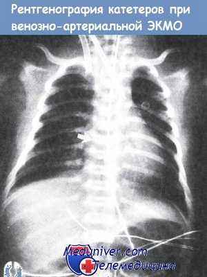
Правильное расположение артериального и венозного катетеров при рентгенографии.
Видна рентгеноконтрастная точка, обозначающая кончик катетера для экстракорпоральной мембранной оксигенациии марки «Bio-Medicus» (указана стрелкой).
7. По желанию рану тампонируют рассасывающейся желатиновой губкой, смоченной в тромбине для местного применения или выпускаемом с местным фибриновым уплотнителем в целях гемостаза.
Криопреципитат и тромбин применяют местно для формирования фибринового сгустка. Для этого их капают на операционное поле из отдельных шприцев (отношение 1:1). Примечание. При смешивании в одном шприце образуется плотный сгусток. В настоящее время подобные препараты выпускаются фармакологическими компаниями и известны как «Tisseel HV Fibrin Sealant» (Baxter Hyland Division, Glendale, CA, USA)
8. Проверяют положение катетера с помощью рентгенографии органов грудной клетки и/или ЭхоКГ, если пациент находится в стабильном состоянии. В случае нестабильного состояния пациента, переведенного на ЭКМО, исследование проводят после достижения адекватной оксигенации, но перед ушиванием операционной раны.
Персонал для катетеризации с целью экстракорпоральной мембранной оксигенации (ЭКМО):
1. Хирургическая бригада.
а. Старший хирург (детский, сердечнососудистый или торакальный) и ассистент.
б. Операционная и медицинская сестра, выполняющая задачи в нестерильной зоне операционной.
2. Медицинская бригада.
а. Врач, имеющий подготовку по ведению пациентов при проведении ЭКМО и владеющий методикой катетеризации (оказывает анестезиологическое пособие новорожденному в течение вмешательства).
б. Медицинская сестра палаты интенсивной терапии (отделения интенсивной терапии новорожденных или детского отделения), которая следит за витальными показателями на мониторах, записывает данные и набирает препараты согласно указаниям специалиста по ЭКМО.
в. Специалист по ИВЛ (изменяет режимы ИВЛ при необходимости).
3. Специалисты по искусственному кровообращению.
а. Специалист по сердечно-сосудистой перфузии, медицинская сестра и специалист по ИВЛ, имеющие специальную подготовку к этой процедуре (начинают работу с аппаратом ЭКМО).
б. Палатные специалисты по ЭКМО (медицинская сестра, врач — специалист по ИВЛ, специалист по сердечно-сосудистой перфузии, специально подготовленные в области лечения с помощью ЭКМО), которые будут заниматься аппаратом ЭКМО после перевода пациента на искусственную трансмембранную оксигенацию.

Схема контура венозно-артериальной экстракорпоральной мембранной оксигенации.
Отток крови из правого предсердия в мешок контура с током через мембранное легкое, теплообменник и возврат крови в дугу аорты через катетер сонной артерии.
Стерильное оборудование для катетеризации с целью экстракорпоральной мембранной оксигенации (ЭКМО)
2. Необходимые хирургические инструменты перечислены в таблицах ниже.

3. Стерильные хирургические халаты и перчатки.
4. Стерильный физиологический раствор для инъекций.
5. Шприцы (1-20 мл) и иглы (19-26-го размера).
6. Раствор повидон-йода.
7. Мазь с повидон-йодом.
8. Полупроницаемый прозрачный перевязочный материал.
9. Абсорбирующая желатиновая губка, например «Gelfoam» (Upjohn, Kalamazoo, MI, USA).
10. Хирургический лубрикант, бактериостатик.

Нестерильное оборудование для катетеризации с целью экстракорпоральной мембранной оксигенации (ЭКМО):
1. Хирургические шапочка и маска.
2. Пульсоксиметр.
3. Хирургический головной фонарь.
4. Электрокаутер.
5. Отсос.
6. Валик под плечевой пояс (например, маленькое одеяльце, которое помещают под плечики новорожденного).
7. Зажимы для трубок.
Лекарственные средства для катетеризации с целью экстракорпоральной мембранной оксигенации (ЭКМО)
1. Миорелаксант длительного действия, например панкурония бромид (0,1 мг/кг).
2. Фентанила цитрат (10-20 мкг/кг).
3. Гепарин натрия (75-150 ЕД/кг).
4. Тромбин для местного применения или «Gelfoam».
5. Ксилокаин 0,25% с адреналином.
6. Ксилокаин 1% простой (без адреналина).
7. Криопреципитат размороженный или выпускаемый медицинской промышленностью фибриновый уплотнитель (по желанию).
Видео ЭКМО - история, показания, методика к.м.н, доцент И.И Афуков
Информация на сайте подлежит консультации лечащим врачом и не заменяет очной консультации с ним.
См. подробнее в пользовательском соглашении.
Как ЭКМО спасает жизни

В медицине тяжелые болезни нередко создают ситуацию, при которой сердце или легкие не могут функционировать правильно или выполнять свою функцию в полном объеме. В некоторых случаях помогают реанимационные мероприятия с соответствующей терапией и искусственной вентиляцией легких.
Но бывает и наоборот: традиционная терапия вместе с ИВЛ не эффективна. До 70-х годов прошлого века это означало бы неминуемую гибель для больного. Да, в начале 50-х уже стали проводиться первые операции на сердце с искусственной перфузией и оксигенацией крови, но системы были далеки от того, что есть сейчас и не могли поддерживать организм на длительный период времени.
Сейчас все иначе. Благодаря ЭКМО.
ЭКМО или ECMO — это ЭкстраКорпоральная Мембранная Оксигенация. Иногда ее ещё называют ECLS — ExtraCorporeal Life Support.
ЭКМО называют методом лечения, при котором для временного поддержания жизни человека и функционирования органов, к телу подключаются искусственные сердце и легкое, которые находятся вне организма. По сути, это «временная» функциональная замена легких и сердца.
Как все это работает?
Как и аппараты искусственного кровообращения, которые используются при открытых операциях на сердце, ЭКМО работает на насосе, который перекачивает кровь. Циркулирующая кровь подводится к мембранному оксигенатору, который производит газообмен: добавляется кислород и удаляется углекислый газ, после кровь согревается. Вся система-контур соединяется с больным при помощи пары канюль, помещаемых в крупные сосуды, чаще в бедренные, а иногда и напрямую в камеры сердца. В зависимости от болезни и нарушения функций врачи определяют тип используемой ЭКМО.
Важно понимать, что контур и его компоненты различаются по биосовместимости, вероятности агрегации тромбоцитов и истощению необходимых для организма циркулирующих элементов. Как правило, ЭКМО не так хорошо переносится в течение продолжительных периодов времени. Потому количество циклов и время подключения постоянно мониторируются. С другой стороны, современные схемы могут позволить использование системы в течение нескольких дней и даже недель с целью поддержания приемлемого гематологического профиля.
ЭКМО бывает двух типов: вено-артериальный и вено-венозный. Первый задействуется при наличии у больного дыхательной и сердечной недостаточности. Вено-венозный используется в основном для пациентов с респираторной недостаточностью.
Особенность вено-артериального типа ЭКМО в том, что кровь больного перемещается по системе в обход сердца: насос полностью забирает на себя его функцию. Так сердце может лучше и быстрее восстановиться, да и медикаментозная терапия становится эффективнее.
Гемодинамический особенности
ЭКМО обладает уникальными гемодинамическими особенностями. Во-первых, венозный дренаж приводит к уменьшению потока через легкие и снижению напряжения на правые отделы сердца, но из-за этого мы ожидаем увеличение постнагрузки в области аортального клапана, соизмеримое с потоком ЭКМО. Практическое значение такой постнагрузки заключается в том, что в случаях асистолии или дисфункции левого желудочка аортальный клапан может не открыться, что может привести к повышению диастолического давления и застою в легких. Потому помимо самой ЭКМО, требуется изотропная терапия или размещение внутриарортального баллонного насоса. Во-вторых, у больных с вено-артериальным ЭКМО может развиться «синдром Арлекина» (не путать с ихтиозом) — он возникает, когда дезоксигенированная кровь, выброшенная сердцем, приводит к синюшному оттенку верхней половины тела с относительно «румяной» нижней половиной. Такое наблюдение может потребовать переноса канюли из бедренных артерий в правую подмышечную или подключичную артерию.
Что происходит с больным?
Жизнь пациента на ЭКМО требует больших усилий и подготовки различных специалистов, включая хирургов, реаниматологов, физиотерапевтов и прочих. Анальгезия, седация, постоянное обновление лабораторных данных, медикаментозная терапия и физиотерапия — это малая часть того, что ожидает пациента на ЭКМО.
Риски и осложнения
Трудностей, которые могут возникнуть во время ЭКМО также множество. Но самых частых всего 2:
- Кровотечения — самое распространенное осложнение при ЭКМО. Все из-за гепарина, который должен постоянно добавляться в контур для профилактики тромбообразования.
- Тромбоз — при несостоятельности антиагрегантной и антикоагуляционной терапии.
Отключения от ЭКМО
Вопрос сложный: несмотря на все исследования, есть вероятность неэффективной деятельности сердца и/ или легких.
Потому делается так: когда пациент восстанавливается до такой степени, когда от аппарата ЭКМО требуется минимальная поддержка, врачи выполняют пробную остановку, т. е. аппаратура выключается, канюли остаются на месте. Эта манипуляция дает представление о работе организма пациента без поддерживающей системы.
Если команда, ведущая больного, уверена в безопасности отключения ЭКМО, канюли убираются и пациент переходит на ИВЛ, пока он не сможет дышать самостоятельно.
После этого пациент переводится на полное самостоятельное жизнеобеспечение.
Читайте также:
