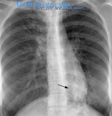
Первичный туберкулезный комплекс. Формирование первичного туберкулезного комплекса.
Добавил пользователь Евгений Кузнецов Обновлено: 28.10.2025
Пути заражения первичным туберкулезом. Этиология первичного туберкулеза.
Как известно, многие исследователи полагали раньше, а некоторые утверждают теперь, что в результате аэрогенного заражения сначала, как правило, образуется первичный аффект в легких. В дальнейшем инфекция распространяется по лимфатическим путям, вызывая образование лимфангита в легких и специфических изменений в регионарных бронхиальных и медиастинальных лимфатических узлах. Но эта точка зрения уже давно оспаривалась рядом авторов. Costantini (1952), например, утверждал, что при заражении микобактерии могут проникнуть в перибронхиальную лимфатическую систему, не повреждая слизистую оболочку дыхательных путей, и длительно вегетируют, оставаясь в латентном состоянии. Возможность такой латентной или препаренхиматозной фазы воспаления подтверждается исследованиями 3. А. Лебедевой (1952), А. И. Каграманова (1945) и В. И. Пузик (1944).
По мнению Calmette (1922), туберкулезу легких предшествует поражение глоточного лимфогландулярного кольца, шейных лимфатических узлов. Вначале образуется железисто-плевральный туберкулезный комплекс в виде паравертебрально-медиастинального плеврита и бронхоаденита, а отсюда процесс распространяется в парагилярпую область легкого (Б. П. Александровский, В. В. Лауэр и Н. С. Морозовский, 1936).
Основываясь на результатах рентгенотомографических и бронхоскопических исследований. Kourilsky и соавт. (1951) только у 1/3 из наблюдавшихся ими 200 больных первичным туберкулезом отметили сначала формирование первичного очага в легочной ткани, а затем поражение регионарных лимфатических узлов. Такой путь развития болезни имел место главным образом при массивной первичной инфекции и преимущественно у детей раннего возраста. Значительно чаще (в 2/з случаев), по мнению авторов, первоначально поражаются внутригрудные лимфатические узлы. После перехода процесса на прилежащие бронхи и образования бронхо-нодулярных свищей у одних больных возникает ателектаз легкого, у других формируются бронхогенные очаги.

И в том, и в другом случае может определяться рентгенологическая картина, напоминающая первичный комплекс, но патогенетически не идентичная той, которую описывали сначала Parrot (1876), позже Ktiss (1898), Ghon (1912 и Ranke (1916), а вслед за ними многие патологоанатомы и клиницисты.
Следует отметить, что бронхо-легочный, а точнее лимфобронхолегочный генез не только первичного комплекса, но и ряда других форм первичного туберкулеза получил в последнее время широкое признание многих педиатров (С. В. Рачинский, В. К. Таточенко, 1970; Т. И. Виноградова, 1971, и др.). Такое явление, очевидно, имеет место и при первичном туберкулезе у взрослых. Однако, признавая обоснованным это положение, не следует, но нашему мнению, его абсолютизировать. Микобактерии туберкулеза проникают в организм различными путями. При небольшом их количестве, слабой вирулентности и при достаточной устойчивости организма они могут и не вызывать специфических изменений на месте внедрения, а также и при лимфо-гематогеином рассеивании. Так возникает состояние скрытого микробизма.
При других условиях в результате первичного заражения образуются туберкулезные очаги в том или ином органе. Их локализация, характер и исход различны. В одних случаях они подвергаются полной инволюции, в других прогрессируют. Но отнюдь не всегда при этом формируется типичный первичный комплекс, для которого характерно образование очага, например, в легких, а затем регионарного лимфаденита. Но при определенных условиях может иметь место такой путь развития болезни. Весьма важную роль в этих случаях играет массивность инфекции. Значение этого фактора подтверждается не только экспериментальными исследованиями, по и клиническими наблюдениями. Напомним, например, данные о результатах энтерального заражения новорожденных детей в Любеке массивной дозой вирулентных микобактерий туберкулеза. При патоморфологическом исследовании умерших и при клинико-рентгенологическом исследовании оставшихся в живых детей наиболее крупные очаги творожистого некроза были обнаружены преимущественно в полости рта, глотке, в кишечнике и в регионарных лимфатических узлах, т. е. на месте проникновения инфекции, и как исключение—в бронхиальных лимфатических узлах.
Определенную роль играет также характер сенсибилизации организма, которая возникает в результате заражения и зависит от врожденной резистентности и иммунитета, приобретенного после вакцинации БЦЖ. Важное значение имеют величина, локализация, способ обнаружения и динамика первичного аффекта. Из 64 взрослых, у которых Uehlinger (1961) при патоморфологическом исследовании обнаружил первичные очаги в легких, на рентгенограммах, произведенных незадолго до летального исхода, они были установлены только у 31 больного (47%). При этом очаги размером до 1 см удалось при жизни определить у 36%, размером 1—2 см — у 73%, 2 см и более — у 88%. Между тем у взрослых людей, особенно в последнее время, первичные очаги большей частью бывают небольшими, редко — средними и крупными. При томографии возможность выявления очагов возрастает, но мелкие и даже обызвествленные очаги порой остаются не замеченными и при этом методе исследования.
Первичный аффект может рассосаться или превратиться в небольшой и тонкий рубец, трудно выявляемый даже при тщательном гистологическом исследовании. Этими причинами следует объяснить наличие так называемых неполных первичных комплексов в виде казеозного лимфаденита без отчетливо определяемых специфических изменений в легких. На патологоанатомическом материале такие изолированные бронхоадениты раньше встречались, по сводным литературным данным, у 11—40% умерших, а в последние годы обнаруживаются значительно чаще. Так, Terplan (1951) находил их в 1932—1935 гг. в 13%, а в 1946-1955 гг. - в 59% случаев.
Все реже встречается теперь типичный первичный комплекс у детей и подростков. Подобное явление наблюдается и у взрослых. До 1960 г. первичный комплекс среди 300 взрослых, больных первичным туберкулезом, был обнаружен нами у 32%, а в последующие годы, по материалам клиники туберкулеза ЦОЛИУ врачей, он определялся у 18% больных с впервые выявленным первичным туберкулезом и лишь у 1,5% — при хронических -его формах, а в среднем у 9% (М. М. Чаусовская, 1960). Между тем на долю бронхоаденита приходится около 40% всех форм первичного туберкулеза. Вместе с тем возрос удельный вес легочных форм туберкулеза периода первичной инфекции у взрослых (с 17 до 45,6%).
Редко встречаются теперь генерализованные и галопирующие формы первичного туберкулеза. Своевременно выявленный процесс при правильном и достаточно длительном лечении туберкулостатическими препаратами и другими методами в подавляющем большинстве случаев характеризуется гладким течением, благоприятным исходом и сравнительно редко сопровождается различными осложнениями, в частности гематогенной диссеминацией и множественным поражением различных органов. Все эти факты свидетельствуют о значительном патоморфозе первичного туберкулеза не только у детей и подростков, но и у взрослых. Тем не менее на клинической структуре различных форм первичного туберкулеза не могли не сказаться изменившиеся с течением времени представления об их генезе, что связано прежде всего с усовершенствованием методов диагностики и, в частности, с широким внедрением в практику рентгенотомографического и бронхологического способов исследования. Отчасти этой причиной следует объяснить более правильную современную интерпретацию жервичного комплекса, который нередко является одной из форм бронхолегочного туберкулеза.
Информация на сайте подлежит консультации лечащим врачом и не заменяет очной консультации с ним.
См. подробнее в пользовательском соглашении.
Первичный туберкулезный комплекс. Формирование первичного туберкулезного комплекса.
Эта форма болезни органов дыхания развивается в результате аэрогенного заражения микобактериями туберкулеза. В дальнейшем, независимо от того, проникли они сначала непосредственно в легкие или из внутригрудных лимфатических узлов, под влиянием их экзо- и эндотоксинов в альвеолах образуется воспалительный экссудат с примесью фибрина, небольшого количества лейкоцитов, лимфоцитов, моноцитов и моноцитоидных клеток.
Этот процесс протекает вначале по типу бронхиолита, а в выраженной форме в виде экссудативно-десквамативной пневмонии и захватывает один или несколько ацинусов. В межуточной ткани скапливаются лейкоциты, лимфоциты, моноциты, гистиоциты, эндотелиальные клетки и происходит разволокнение междольковых перегородок. По периферии образовавшегося воспалительного очага появляется зона перифокального неспецифического воспаления, или так называемая первичная легочная инфильтрация.
В зависимости от реактивности организма, массивности инфекции и вирулентности микобактерий туберкулеза образовавшийся первичный аффект в легких имеет различный характер. Если доза и вирулентность микробов невелики и нет повышенной чувствительности организма, то он бывает столь малой величины, что не обнаруживается не только рентгенологически, но и при макроскопическом исследовании. В таких случаях может наступить рассасывание1 воспалительного очага или его фибротизация и образование рубчика. При более массивной инфекции под влиянием токсических продуктов жизнедеятельности микобактерий происходят дегенерация и распад клеток, кариолизис и образуется мелкозернистая аморфная масса — творожистый некроз.

Крайне редко процесс приобретает характер казеозной пневмонии. В большинстве случаев одновременно с экссудативно-казеозным воспалением возникают пролиферативные реакции, которые характеризуются развитием специфической грануляционной ткапи. Вокруг центрального участка казеозного некроза формируется вал из палисадообразно расположенных эиителиоидных клеток с овальным ядром и многоядерных гигантских клеток Пирогова—Лангханса.
В результате соединительнотканного превращения эпителиоидных клеток и образования коллагеновых волокон вокруг первичного очага формируется капсула. Во внутренних ее слоях, а затем и во всем очаге выпадают мелкие или более крупные кристаллы извести, из которых в дальнейшем иногда образуются кольца Лизеганга.
С течением времени обызвествленные очаги могут подвергнуться окостенению. При этом в зону обызвествленного казеозного некроза врастает сосудосодержащая грануляционная ткань, из которой образуются тонкие костные балки, а между ними появляется жировой или клеточный костный мозг. Так образуется очаг Гона. Микобактерий в них иногда гибнут или распадаются на мелкие зерна и обломки и становятся слабовирулентными и малопатогенными.
Одновременно с формированием первичного фокуса поражаются близлежащие лимфатические сосуды в межлобулярных перегородках, по ходу бронхов и кровеносных сосудов. Здесь возникают туберкулезные бугорки или более крупные очаги.
Специфический процесс распространяется на регионарные лимфатические узлы, патоморфологические изменения в которых характеризуются сначала круглоклеточной гиперплазией и образованием отдельных туберкулезных бугорков, а затем творожистым перерождением грануляционной лимфоидной ткани. При этом лимфатические узлы увеличиваются в размерах за счет гиперплазии лимфаденоидной ткани, а иногда принимают характер более массивных образований. Такого рода специфические изменения образуются главным образом в лимфатических узлах, регионарных к первичному очагу, и в меньшей степени в других группах внутригрудных лимфатических узлов.
Первичный туберкулез. Эпидемиология первичного туберкулеза.
Близкие к этим данные приводит М. С. Греймер (1973). Среди 1020 впервые заболевших активным туберкулезом органов дыхания в возрасте 18—29 лет первичный комплекс и бронхоаденит были выявлены у 3,6%, другие формы туберкулеза органов дыхания периода первичной инфекции — у 8,2%, а всего, следовательно, у 11,8%.
Однако следует учесть, что клиническая структура первичного туберкулеза отнюдь не ограничивается первичным комплексом, бронхоаденитом и отчасти экссудативным плевритом. Процесс может протекать также по типу очагового, инфильтративиого или диссеминированного туберкулеза легких. С первичной инфекцией часто связано также поражение различных групп лимфатических узлов, серозных оболочек глаз, костей и других органов. О принадлежности этих форм к первичному туберкулезу свидетельствует их развитие у лиц, незадолго до заболевания не реагировавших на туберкулин, после недавнего или одновременно возникшего у них виража туберкулиновых реакций или вскоре после вакцинации БЦЖ. В таких случаях отсутствуют клинические и рентгенологические признаки перенесенного в прошлом туберкулеза легких и лимфатических узлов и в то же время нередко наблюдается сравнительно высокая чувствительность к туберкулину. Характерно для первичного туберкулеза фистулезное поражение крупных бронхов. Важным признаком является обнаружение в мокроте или в промывных водах бронхов микобактерий, первично устойчивых к отдельным туберкулостатическим препаратам.

Помимо ранних форм, наблюдается хронический и своеобразно протекающий первичный туберкулез, истоки которого относятся обычно к подростковому или детскому возрасту.
Диапазон клинических проявлений первичного туберкулеза, кроме того, расширяется за счет некоторых синдромов, обусловленных образованием в различных органах так называемых параспецифических изменений. Они проявляются в виде фликтен, кератоконъюнктивита, узловатой эритемы, острого диффузного нефрита, ревматоида Понсе. В части случаев при этом может развиться очаговый или диффузный склероз межуточного вещества соединительной ткани. Тогда возникает картина гепатита, фибропластического серозита, появляются изменения, весьма напоминающие различные симптомы коллагеноза. Не все эти проявления так называемого терапевтического и хирургического туберкулеза учитываются фтизиатрами, так как такие больные обычно находятся под наблюдением врачей других специальностей.
Наконец, следует принимать во внимание и последствия первичного туберкулеза в виде хронической рецидивирующей пневмонии, эмфиземы, бронхита, иногда инфекционно-аллергической формы бронхиальной астмы. Первопричиной этих процессов является перенесенный в прошлом бронхоаденит, осложненный специфическим поражением бронхов и ателектазом легкого или гематогенпой диссеминацией с последующим развитием интерстициального склероза в легких.
Все эти клинические проявления значительно расширяют рамки первичного туберкулеза у взрослых. Вместе с тем следует иметь в виду, что различные формы болезни неодинаково часто встречаются в отдельных районах страны, несмотря на наступивший в последние годы значительно выраженный ее патоморфоз. В Казахстане, например, и теперь туберкулез лимфатических узлов, особенно периферических, — нередкое явление. По данным К. М. Маскеева (1971), он наблюдается здесь у 19% всех впервые выявленных больных туберкулезом, причем более чем в половине случаев отмечается поражение не только периферических, но и внутригрудных лимфатических узлов и легких. В Якутской АССР еще не так давно (1946—1950) активный первичный комплекс и распространенный лимфаденит можно было обнаружить у 62—69,7% умерших от туберкулеза. Но и в последующие годы (1963—1967) такие формы процесса отмечались на аутопсии еще у 29,9% коренных жителей республики и у 4,5% приезжих (К. Г. Башарин, 1969). Правда, за эти годы изменился его патоморфологический характер. Если раньше лимфаденит, как правило, был генерализованным и протекал по типу сплошного казеозного поражения лимфатических узлов, то теперь он стал более ограниченным с выраженными репаративными изменениями.
В Чечено-Ингушской АССР значительно чаще, чем в других местностях, первичный туберкулез протекает в виде ревматоида Понсе и острого диффузного гломерулонефрита (Н. М. Уткина, 1973; Г. П. Яковлева, 1968).
В районах Крайнего Севера, где и теперь еще относительно высок удельный вес первичных форм в структуре заболеваемости туберкулезом, сравнительно часто встречаются диссеминированные процессы, включая милиарный туберкулез, менингит и другие внелегочные поражения (С. М. Княжецкий и др., 1974).
Все эти особенности первичного туберкулеза, обусловленные различными указанными выше причинами, естественно, должны приниматься во внимание в клинике и диспансерной практике в современных условиях изменяющегося течения болезни и побуждают к их тщательному и всестороннему изучению. Последнее тем более важно в связи с ревизией взглядов на патогенез первичного туберкулеза.
Туберкулез у детей
Туберкулез у детей – специфическое инфекционно-воспалительное поражение различных тканей и органов, вызываемое микобактериями туберкулеза. Основными клиническими формами туберкулеза у детей служат ранняя и хроническая туберкулезная интоксикация, первичный туберкулезный комплекс, туберкулезный бронхоаденит, острый милиарный туберкулез; реже встречаются туберкулезный менингит, мезаденит, туберкулез периферических лимфоузлов, кожи, почек, глаз, костно-суставной системы. Диагностика туберкулеза у детей включает микроскопию, бакпосев, ПЦР исследование биологических сред; постановку туберкулиновых проб, рентгенографию, томографию, бронхоскопию и пр. При туберкулезе у детей показано назначение туберкулостатических препаратов.
МКБ-10

Общие сведения
Туберкулез у детей – инфекционное заболевание, протекающее с образованием специфических воспалительных очагов (туберкулезных гранулем) в различных органах. Туберкулез относится к группе социально опасных заболеваний, поскольку в последние десятилетия отмечается неуклонный рост заболеваемости не только среди взрослых, но также среди детей и подростков. Заболеваемость детей туберкулезом в целом по России в последние годы составила 16-19 случаев на 100 тыс. человек, а инфицированность детей в возрасте до 14 лет микобактериями туберкулеза – от 15 до 60%, что отражает общую неблагоприятную эпидемическую ситуацию и наличие большого «резервуара» тубинфекции. Первостепенную задачу педиатрии и фтизиатрии на настоящем этапе представляют профилактика и раннее выявление туберкулеза у детей.
Причины
Микобактерия туберкулеза (туберкулезная палочка, палочка Коха) благодаря наличию кислотоустойчивой стенки может сохранять жизнеспособность и вирулентность в различных условиях внешней среды – при высушивании, замораживании, воздействии кислот, щелочей, антибиотиков и т. п. Способность к образованию L-форм обусловливает широкий диапазон изменчивости морфологических свойств и приспосабливаемость к существованию в различных условиях. Высокопатогенными для человека являются 2 вида возбудителя: Mycobacterium tuberculosis humans (человеческого типа) и Mycobacterium bovis (бычьего типа).
Микобактерии туберкулеза могут попадать в организм ребенка аэрогенным, алиментарным, контактным, смешанным путем, в соответствии с чем образуется первичный очаг воспаления. У детей может иметь место внутриутробное трансплацентарное инфицирование туберкулезом или итранатальное, во время родов при аспирации околоплодных вод.
К группе повышенного риска по заболеваемости туберкулезом принадлежат дети:
- не получившие вакцинацию БЦЖ в период новорождённости;
- ВИЧ-инфицированные;
- длительно получающие лечение гормонами, цитостатиками, антибиотиками;
- проживающие в неблагоприятных санитарно-эпидемиологических и социальных условиях;
- часто болеющие дети;
- страдающие сахарным диабетом и др.
В большинстве случае дети заражаются туберкулезом дома и в семье, однако возможны эпидемические вспышки в детских садах и школах, внутрибольничное инфицирование, заражение в других общественных местах. Наиболее восприимчивыми к туберкулезу оказываются дети в возрасте до 2-х лет – для них характерны генерализованные формы инфекции (милиарный туберкулез, туберкулезный сепсис). Среди детей старше 2-х лет чаще встречается туберкулез органов дыхания (75% случаев), значительно реже – все другие формы.
Патогенез
Вначале туберкулез у детей манифестирует как общая инфекция, затем при благоприятных для возбудителя условиях развиваются очаги поражения (туберкулезные бугорки) в том или ином органе. Исходом первичного туберкулезного процесса может служить полное рассасывание, фиброзная трансформация и кальцинация очагов, где нередко сохраняются живые микобактерии туберкулеза. При реинфицировании происходит обострение и прогрессирование туберкулезного процесса, нередко с диссеминацией микобактерий и образованием множественных очагов в других органах (вторичный туберкулез).
Классификация
Классификация форм туберкулеза у детей учитывает клинико–рентгенологические признаки, течение, протяженность (локализацию) процесса:
I. Ранняя и хроническая туберкулезная интоксикация детей и подростков.
II.Туберкулезное поражение органов дыхания у детей:
- первичный туберкулезный комплекс
- туберкулезный бронхоаденит (туберкулез внутригрудных лимфатических узлов)
- туберкулез легких (милиарный, диссеминированный, инфильтративный, очаговый, кавернозный, фиброзно-кавернозный, цирротический, туберкулема)
- туберкулезный плеврит
- туберкулез трахеи, туберкулез бронхов, верхних дыхательных путей и др.
III.Туберкулез других локализаций у детей:
- туберкулез нервной системы (туберкулезный менингит, миелит, лептоменингит, менингоэнцефалит)
- костно-суставной туберкулез
- туберкулез органов мочеполовой системы
- туберкулез кожи и подкожной клетчатки
- туберкулез кишечника, брюшины и брыжеечных лимфоузлов
- туберкулез периферических лимфоузлов
- туберкулез глаз (кератит, кератоконъюнктивит, эписклерит, хориоретинит, иридоциклит)
По периоду течения туберкулезного процесса различают фазу инфильтрации, распада, обсеменения, рассасывания, уплотнения, рубцевания, обызвествления. По факту бацилловыделения различают туберкулезный процесс с выделением M. tuberculosis (БК+) и без выделения M. tuberculosis (БК ).
В рамках данного обзора остановимся на основных формах туберкулеза органов дыхания у детей. Туберкулез почек, туберкулез гортани, генитальный туберкулез рассмотрены в соответствующих самостоятельных статьях.
Симптомы туберкулеза у детей
Ранний период первичной туберкулезной инфекции
Начальная фаза взаимодействия возбудителя и макроорганизма длится от 6 до 12 месяцев от момента инфицирования ребенка микобактериями туберкулеза. В этом периоде выделяют бессимптомный этап (около 6-8 недель) и вираж туберкулиновых проб - переход реакции Манту из отрицательной во впервые положительную. Ребенок с виражом туберкулиновых реакций подлежит направлению к фтизиатру и наблюдению специалистом в течение года. В дальнейшем у таких детей сохраняется состояние инфицированности микобактериями туберкулеза либо, при неблагоприятных условиях, развивается та или иная локальная форма туберкулеза.
Туберкулезная интоксикация детей и подростков
Представляет собой промежуточную форму между первичным инфицированием и развитием локального туберкулезного процесса, определяемого рентгенологическими и другими методами. Клиническое течение данной формы туберкулеза у детей характеризуется неспецифическими проявлениями: недомоганием, раздражительностью, ухудшением аппетита, головной болью, тахикардией, диспепсией, остановкой или снижением массы тела, склонностью к интеркуррентным заболеваниям (ОРВИ, бронхитам).
Если признаки туберкулезной интоксикации у детей сохраняются более 1 года, состояние расценивается как хроническое.
Первичный туберкулезный комплекс
Данная форма туберкулеза у детей характеризуется триадой признаков: развитием специфической реакции воспаления в очаге внедрения инфекции, лимфангитом и поражением региональных лимфоузлов. Развивается при сочетании массивности и высокой вирулентности туберкулезной инфекции со снижением иммунобиологических свойств организма. Первичный туберкулезный комплекс может локализоваться в легочной ткани (95%), кишечнике, реже – в коже, миндалинах, слизистой оболочке носа, в среднем ухе.
Заболевание может начинаться остро или подостро; маскироваться под грипп, острую пневмонию, плеврит либо протекать бессимптомно. Клинические проявления включают интоксикационный синдром, субфебрилитет, кашель, одышку. Изменения в первичном очаге проходят инфильтративную фазу, фазу рассасывания, уплотнения и кальцинации (формирования очага Гона).
Туберкулезный бронхоаденит
Бронхоаденит или туберкулез внутригрудных лимфатических узлов у детей протекает со специфическими изменениями лимфоузлов корня легкого и средостения. Частота этой клинической формы туберкулеза у детей достигает 75-80%.
Кроме субфебрилитета и симптомов интоксикации, у ребенка появляется боль между лопаток, коклюшеподобный или битональный кашель, экспираторный стридор, обусловленные сдавлением увеличенными внутригрудными лимфоузлами трахеи и бронхов. При осмотре обращает внимание расширение подкожной венозной сети в верхних отделах груди и спины.
Осложнениями туберкулезного бронхоаденита у детей могут являться эндобронхит, ателектазы или эмфизема легких. Данный клинический вариант туберкулеза у детей требует дифференциации с саркоидозом Бека, лимфогранулематозом, лимфосаркомой, неспецифическими воспалительными аденопатиями.
Диагностика
Многообразие клинических «масок» и проявлений туберкулеза у детей создает определенные трудности в своевременной диагностике заболевания. Поэтому дети с подозрением на туберкулез в обязательном порядке должны направляться педиатром на консультацию к фтизиатру. В специализированном противотуберкулезном учреждении проводится комплексная диагностика, включающая сбор анамнеза с выявлением возможных источников и путей заражения, физикальное, инструментальное и лабораторное обследование.
- Скрининг на туберкулез. В настоящее время для массового выявление туберкулеза среди детей в качестве основных скрининг-тестов используются проба Манту с 2 ТЕ и диаскин-тест. При желании родителей они могут быть заменены на исследования крови на туберкулез (T-spot, квантиферон-тест). В возрасте 15 и 17 лет подросткам выполняется профилактическая флюорография.
- Рентгенография грудной клетки. При различных формах туберкулеза органов дыхания у детей позволяет визуализировать изменения во внутригрудных лимфоузлах или легких. При необходимости исследование дополняется линейной или компьютерной томографией органов грудной полости.
- Эндоскопия.Бронхоскопия ребенку необходима для оценки косвенных признаков туберкулезного процесса (выявления признаков эндобронхита, деформации трахеи и бронхов увеличенными лимфоузлами) и получения смывов для исследований.
- Лабораторная диагностика. Для выделения возбудителя из различных биологических сред (мокроты, мочи, испражнений, крови, плевральной жидкости, промывных вод бронхов, отделяемого костных секвестров, спинномозговой жидкости, мазка из зева и мазка с конъюнктивы) осуществляется микроскопическое, бактериологическое, ИФА, ПЦР-исследование. Забор и исследование материала на КУБ производится не менее 3 раз.
- Специфическая диагностика. В условиях диспансера детям с подозрением на инфицированность или туберкулез проводится индивидуальная туберкулинодиагностика (повторная реакция Манту, проба Пирке, проба Коха).
Лечение туберкулеза у детей
Принципы терапии туберкулеза у детей подразумевают поэтапность, преемственность и комплексность. Основные этапы включают лечение в условиях стационара, специализированного санатория и противотуберкулезного диспансера. Длительность курса терапии составляет в среднем 1,5-2 года. Важная роль в организации лечения туберкулеза у детей отводится санитарно-диетическим мероприятиям (высококалорийному питанию, пребыванию на свежем воздухе, обучению режиму кашля).
Комплексная терапия туберкулеза у детей включает химиотерапевтическое, хирургическое и реабилитационное воздействие. Режим специфического противотуберкулезного лечения (комбинация препаратов, длительность приема, необходимость госпитализации) определяется детским фтизиатром на основании формы заболевания и наличия бацилловыделения.
Дети с виражом туберкулезных реакций не нуждаются в госпитализации и лечатся амбулаторно одним противотуберкулезным препаратом (изониазидом, фтивазидом) в течение 3-х месяцев. Диспансерное наблюдение продолжается 1 год, после чего при отрицательных данных клинико-лабораторного обследования ребенок может быть снят с учета. В остальных случаях в соответствии с индивидуальными показаниями используются комбинации из 2-х, 3-х и 4-х и более противотуберкулезных препаратов, основными из которых являются стрептомицин, рифампицин, изониазид, пиразинамид и этамбутол. Курс лечения туберкулеза у детей подразделяется на фазу интенсивной терапии и фазу поддерживающей терапии.
В случае сохранения выраженных остаточных явлений через 6-8 месяцев после активной терапии туберкулеза у детей решается вопрос о хирургическом вмешательстве.
Прогноз и профилактика
Исходом и лечения может являться значительное улучшение, улучшение, отсутствие перемен, ухудшение течения туберкулеза у детей. В большинстве случаев при правильном лечении достигается полное выздоровление. Серьезный прогноз туберкулеза может ожидаться у детей раннего возраста, при диссеминации процесса, развитии туберкулезного менингита.
Специфическая профилактика туберкулеза у детей начинается в период новорожденности и продолжается в подростковом возрасте (см. Вакцинация против туберкулеза). Большую роль в вопросе профилактики туберкулеза у детей играет систематическая туберкулинодиагностика, улучшение санитарно-гигиенических условий, рациональное вскармливание, физическое закаливание детей, выявление взрослых больных туберкулезом.
Туберкулез легких
Туберкулез легких – это инфекционная патология, вызываемая бациллой Коха, характеризующаяся различными в клинико-морфологическом отношении вариантами поражения легочной ткани. Многообразие форм туберкулеза легких обусловливает вариабельность симптоматики. Наиболее типичны для туберкулеза легких респираторные нарушения (кашель, кровохарканье, одышка) и симптомы интоксикации (длительный субфебрилитет, потливость, слабость). Для подтверждения диагноза используются лучевые, лабораторные исследования, туберкулинодиагностика. Химиотерапия туберкулеза легких проводится специальными туберкулостатическими препаратами; при деструктивных формах показано хирургическое лечение.

Туберкулез легких – заболевание инфекционной этиологии, протекающее с образованием в легких специфических воспалительных очагов и общеинтоксикационным синдромом. Заболеваемость туберкулезом легких имеет древнейшую историю: туберкулезная инфекция была известна еще представителям ранних цивилизаций. Прежнее название заболевания «рhtisis» в переводе с греческого обозначает «чахотка, истощение», а учение о туберкулезе получило название «фтизиатрии».
На сегодняшний день туберкулез легких представляет не только медико-биологическую, но и серьезную социально-экономическую проблему. По данным ВОЗ, туберкулезом инфицирован каждый третий житель планеты, смертность от инфекции превышает 3 млн. человек в год. Легочный туберкулез является самой частой формой туберкулезной инфекции. Удельный вес туберкулеза других локализаций (суставов, костей и позвоночника, гениталий, кишечника, серозных оболочек, ЦНС, глаз, кожи) в структуре заболеваемости значительно ниже.
Характеристика возбудителя
Отличительной чертой МБТ является их высокая устойчивость к внешним воздействиям (высоким и низким температурам, влажности, воздействию кислот, щелочей, дезинфектантов). Наименьшую стойкость возбудители туберкулеза легких демонстрируют к солнечному свету. Для человека опасность представляют туберкулезные бактерии человеческого и бычьего типа; случаи инфицирования птичьим типом микобактерий крайне редки.
Пути заражения
Основной путь заражения при первичном туберкулезе легких – аэрогенный: от больного открытой формой человека микобактерии распространяются с частичками слизи, выделяемыми в окружающую среду при разговоре, чихании, кашле; могут высыхать и разноситься с пылью на значительные расстояния. В дыхательные пути здорового человека инфекция чаще попадает воздушно-капельным или пылевым путем.
Меньшую роль в инфицировании играют алиментарный (при употреблении зараженных продуктов), контактный (при использовании общих предметов гигиены и посуды) и трансплацентарный (внутриутробный) пути. Причиной вторичного туберкулеза легких выступает повторная активация ранее перенесенной инфекции либо повторное заражение.
Факторы риска
Однако попадание МБТ в организм не всегда приводит к заболеванию. Факторами, на фоне которых туберкулез легких развивается особенно часто, считаются:
- неблагоприятные социально-бытовые условия
- курение и другие химические зависимости
- недостаточное питание
- иммуносупрессия (ВИЧ-инфекция, прием глюкокортикоидов, состояние после трансплантации органов)
- онкологические заболевания и др.
В группе риска по развитию туберкулеза легких находятся мигранты, заключенные, лица, страдающие наркотической и алкогольной зависимостью. Также имеет значение вирулентность инфекции и длительность контакта с больным человеком.
При снижении местных и общих факторов защиты микобактерии беспрепятственно проникают в бронхиолы, а затем в альвеолы, вызывая специфическое воспаление в виде отдельных или множественных туберкулезных бугорков или очагов творожистого некроза. В этот период появляется положительная реакция на туберкулин - вираж туберкулиновой пробы. Клинические проявления туберкулеза легких на этой стадии часто остаются нераспознанными. Небольшие очажки могут самостоятельно рассасываться, рубцеваться или обызвествляться, однако МБТ в них длительно сохраняются.
«Пробуждение» инфекции в старых туберкулезных очагах происходит при столкновении с экзогенной суперинфекцией либо под влиянием неблагоприятных эндо- и экзогенных факторов. Вторичный туберкулез легких может протекать в экссудативной или продуктивной форме. В первом случае вокруг первоначального очага развивается перифокальное воспаление; в дальнейшем инфильтраты могут подвергаться распаду, расплавлению с отторжением казеозных масс и формированию каверн. При продуктивных формах туберкулезного процесса в легких разрастается соединительная ткань, что приводит к легочному фиброзу, деформации бронхов, формированию бронхоэктазов.
Первичный туберкулез легких - это впервые развившаяся инфильтрация легочной ткани у лиц, не имеющих специфического иммунитета. Диагностируется преимущественно в детском и подростковом возрасте; реже возникает у лиц старшего и пожилого возраста, которые в прошлом перенесли первичную инфекцию, закончившуюся полным излечением. Первичный туберкулез легких может принимать форму:
- первичного туберкулезного комплекса (ПТК)
- туберкулеза внутригрудных лимфоузлов (ВГЛУ)
- хронически текущего туберкулеза.
Вторичный туберкулез легких развивается при повторном контакте с МБТ или в результате реактивации инфекции в первичном очаге. Основные вторичные клинические формы представлены:
Отдельно различают кониотуберкулез (туберкулез, развивающийся на фоне пневмокониозов), туберкулез верхних дыхательных путей, трахеи, бронхов; туберкулезный плеврит. При выделении больным МБТ в окружающую среду с мокротой говорят об открытой форме (ВК+) туберкулеза легких; при отсутствии бацилловыделения – о закрытой форме (ВК–). Также возможно периодическое бацилловыделение (ВК±).
Течение туберкулеза легких характеризуется последовательной сменной фаз развития:
- 1) инфильтративной
- 2) распада и обсеменения
- 3) рассасывания очага
- 4) уплотнения и обызвествления.
Симптомы туберкулеза легких
Первичный туберкулезный комплекс сочетает в себе признаки специфического воспаления в легком и регионарный бронхоаденит. Может протекать бессимптомно или под маской простудных заболеваний, поэтому выявлению первичного туберкулеза легких способствуют массовые скрининги детей (проба Манту) и взрослых (профилактическая флюорография).
Чаще возникает подостро: больного беспокоит сухой кашель, субфебрилитет, утомляемость, потливость. При острой манифестации клиника напоминает неспецифическую пневмонию (высокая лихорадка, кашель, боль в груди, одышка). В результате лечения происходит рассасывание или обызвествление ПТК (очаг Гона). В неблагоприятных случаях может осложняться казеозной пневмонией, образованием каверн, туберкулезным плевритом, милиарным туберкулезом, диссеминацией микобактерий с поражением почек, костей, мозговых оболочек.
Туберкулез внутригрудных лимфоузлов
При туберкулезе ВГЛУ симптоматика обусловлена сдавлением крупных бронхов и органов средостения увеличенными лимфоузлами. Для данной формы характерны сухой кашель (коклюшеподобный, битональный), увеличение шейных и подмышечных узлов. У детей раннего возраста нередко возникает затрудненный выдох - экспираторный стридор. Температура субфебрильная, могут иметь место фебрильные «свечки».
Признаки туберкулезной интоксикации включают отсутствие аппетита, снижение массы тела, утомляемость, бледность кожи, темные круги под глазами. На венозный застой в грудной полости может указывать расширение венозной сети на коже грудной клетки. Данная форма нередко осложняется туберкулезом бронхов, сегментарными или долевыми ателектазами легких, хронической пневмонией, экссудативным плевритом. При прорыве казеозных масс из лимфоузлов через стенку бронхов могут формироваться легочные очаги туберкулеза.
Очаговый туберкулез легких
Клиническая картина очагового туберкулеза малосимптомна. Кашель отсутствует или возникает редко, иногда сопровождается выделением скудной мокроты, болями в боку. В редких случаях отмечается кровохарканье. Чаще больные обращают внимание на симптомы интоксикации: непостоянный субфебрилитет, недомогание, апатию, пониженную работоспособность. В зависимости от давности туберкулезного процесса различают свежий и хронический очаговый туберкулез легких.
Течение очагового туберкулеза легких относительно доброкачественное. У больных с нарушенной иммунной реактивностью заболевание может прогрессировать в деструктивные формы туберкулеза легких.
Инфильтративный туберкулез легких
Клиническая картина инфильтративного туберкулеза легких зависит от величины инфильтрата и может варьировать от нерезко выраженных симптомов до острого лихорадочного состояния, напоминающего грипп или пневмонию. В последнем случае отмечается выраженная высокая температура тела, ознобы, ночная потливость, общая слабость. Со стороны органов дыхания беспокоит кашель с мокротой и прожилками крови.
В воспалительный процесс при инфильтративной форме туберкулеза легких часто вовлекается плевра, что обусловливает появление болей в боку, плеврального выпота, отставание пораженной половины грудной клетки при дыхании. Осложнениями инфильтративного туберкулеза легких могут стать казеозная пневмония, ателектаз легкого, легочное кровотечение и др.
Диссеминированный туберкулез легких
Может манифестировать в острой (милиарной), подострой и хронической форме. Тифоидная форма милиарного туберкулеза легких отличается преобладанием интоксикационного синдрома над бронхолегочной симптоматикой. Начинается остро, с нарастания температуры до 39-40 °С, головной боли, диспепсических расстройств, резкой слабости, тахикардии. При усилении токсикоза может возникать нарушение сознания, бред.
При легочной форме милиарного туберкулеза легких с самого начала более выражены дыхательные нарушения, включающие сухой кашель, одышку, цианоз. В тяжелых случаях развивается острая сердечно-легочная недостаточность. Менингеальной форме соответствуют симптомы поражения мозговых оболочек.
Подострое течение диссеминированного туберкулеза легких сопровождается умеренной слабостью, понижением работоспособности, ухудшением аппетита, похуданием. Эпизодически возникают подъемы температуры. Кашель продуктивный, не сильно беспокоит больного. Иногда первым признаком заболевания становится легочное кровотечение.
Хронический диссеминированный туберкулез легких при отсутствии обострения бессимптомен. Во время вспышки процесса клиническая картина близка к подострой форме. Диссеминированный туберкулеза легких опасен развитием внелегочного туберкулеза, спонтанного пневмоторакса, тяжелых легочных кровотечений, амилоидоза внутренних органов.
Кавернозный и фиброзно-кавернозный туберкулез легких
Характер течения кавернозного туберкулезного процесса волнообразный. В фазу распада нарастают интоксикационные симптомы, гипертермия, усиливается кашель и увеличивается количество мокроты, возникает кровохарканье. Часто присоединяется туберкулез бронхов и неспецифический бронхит.
Фиброзно-кавернозный туберкулез легких отличается формированием каверн с выраженным фиброзным слоем и фиброзными изменениями легочной ткани вокруг каверны. Протекает длительно, с периодическими обострениями общеинфекционной симптоматики. При частых вспышках развивается дыхательная недостаточность II-III степени.
Осложнениями, связанными с деструкцией легочной ткани, являются профузное легочное кровотечение, бронхоплевральный свищ, гнойный плеврит. Прогрессирование кавернозного туберкулеза легких сопровождается эндокринными расстройствами, кахексией, амилоидозом почек, туберкулезным менингитом, сердечно-легочной недостаточностью – в этом случае прогноз становится неблагоприятным.
Цирротический туберкулез легких
Является исходом различных форм туберкулеза легких при неполной инволюции специфического процесса и развитии на его месте фиброзно-склеротических изменений. При пневмоциррозе бронхи деформированы, легкое резко уменьшено в размерах, плевра утолщена и нередко обызвествлена.
Изменения, происходящие при цирротическом туберкулезе легких, обусловливают ведущие симптомы: выраженную одышку, тянущую боль в груди, кашель с гнойной мокротой, кровохарканье. При обострении присоединятся признаки туберкулезной интоксикации и бацилловыделение. Характерным внешним признаком пневмоцирроза служит уплощение грудной клетки на стороне поражения, сужение и втянутость межреберных промежутков. При прогрессирующем течении постепенно развивается легочное сердце. Цирротические изменения в легких необратимы.
Туберкулома легкого
Представляет собой инкапсулированный казеозный очаг, сформировавшийся в исходе инфильтративного, очагового или диссеминированного процесса. При стабильном течении симптомы не возникают, образование выявляется при рентгенографии легких случайно. В случае прогрессирующей туберкуломы легкого нарастает интоксикация, появляется субфебрилитет, боль в груди, кашель с отделением мокроты, возможно кровохарканье. При распаде очага туберкулома может трансформироваться в кавернозный или фиброзно-кавернозный туберкулез легких. Реже отмечается регрессирующее течение туберкуломы.
Диагноз той или иной формы туберкулеза легких выставляется врачом-фтизиатром на основании совокупности клинических, лучевых, лабораторных и иммунологических данных. Для распознавания вторичного туберкулеза большое значение имеет подробный сбор анамнеза. Для подтверждения диагноза проводится:
- Лучевая диагностика.Рентгенография легких является обязательным диагностической процедурой, позволяющей выявить характер изменений в легочной ткани (инфильтративный, очаговый, кавернозный, диссеминированный и т. д.), определить локализацию и распространенность патологического процесса. Выявление кальцинированных очагов указывает на ранее перенесенный туберкулезный процесс и требует уточнения данных с помощью КТ или МРТ легких.
- Анализы. Обнаружение МБТ достигается неоднократным исследованием мокроты (в т. ч. с помощью ПЦР), промывных вод бронхов, плеврального экссудата. Но сам по себе факт отсутствия бацилловыделения не является основанием для исключения туберкулеза легких. Современные иммунологические тесты позволяют выявить туберкулезную инфекцию почти со 100%-ной вероятностью. К ним относятся QuantiFERON и Т-спот. ТБ.
- Туберкулинодиагностика. К методам туберкулинодиагностики относятся диаскин-тест, пробы Пирке и Манту, однако сами по себе данные методы могут давать ложные результаты. Иногда для подтверждения туберкулеза легких приходится прибегать к пробному лечению противотуберкулезными препаратами с оценкой динамики рентгенологической картины.
По результатам проведенной диагностики туберкулез легких дифференцируют с пневмонией, саркоидозом легких, периферическим раком легкого, доброкачественными и метастатическими опухолями, пневмомикозами, кистами легких, абсцессом, силикозом, аномалиями развития легких и сосудов. Дополнительные методы диагностического поиска могут включать бронхоскопию, плевральную пункцию, биопсию легкого.

Лечение туберкулеза легких
Во фтизиатрической практике сформировался комплексный подход к лечению туберкулеза легких, включающий медикаментозную терапию, при необходимости - хирургическое вмешательство и реабилитационные мероприятия. Лечение проводится поэтапно: сначала в тубстационаре, затем в санаториях и, наконец, амбулаторно. Режимные моменты требуют организации лечебного питания, физического и эмоционального покоя.
- Противотуберкулезная терапия. Ведущая роль отводится специфической химиотерапии с помощью препаратов с противотуберкулезной активностью. Для терапии различных форм туберкулеза легких разработаны и применяются 3-х, 4-х и 5-тикомпонентные схемы (в зависимости от количества используемых препаратов). К туберкулостатикам первой линии (обязательным) относятся изониазид и его производные, пиразинамид, стрептомицин, рифампицин, этамбутол; средствами второго ряда (дополнительными) служат аминогликозиды, фторхинолоны, циклосерин, этионамид и др. Способы введения препаратов различны: перорально, внутримышечно, внутривенно, эндобронхиально, внутриплеврально, ингаляторно. Курсы противотуберкулезной терапии проводят длительно (в среднем 1 год и дольше).
- Патогенетическая терапия. При туберкулезе легких включает прием противовоспалительных средств, витаминов, гепатопротекторов, инфузионную терапию и пр. В случае лекарственной резистентности, непереносимости противотуберкулезных средств, при легочных кровотечениях используется коллапсотерапия.
- Хирургическое лечение. При соответствующих показаниях (деструктивных формах туберкулеза легких, эмпиеме, циррозе и ряде др.) применяются различные оперативные вмешательства: кавернотомию, торакопластику, плеврэктомию, резекцию легких.
Профилактика
Профилактика туберкулеза легких является важнейшей социальной проблемой и приоритетной государственной задачей. Первым шагом на этом пути является обязательная вакцинация новорожденных, детей и подростков. При массовых обследованиях в дошкольных и школьных учреждениях используется постановка внутрикожных туберкулиновых проб Манту. Скрининг взрослого населения осуществляется путем проведения профилактической флюорографии.
Читайте также:
- Париетальная брюшина. Круглая связка печени. Складки брюшины. Паховые ямки. Надпузырная ямка.
- Сердце. Эндокард. Миокард. Строение сердца.
- Отравление углекислым газом (двуокисью углерода) и его лечение
- Носительство микробов в конъюнктиве глаза. Конъюнктивальный мешок не стерилен?
- Лучевая диагностика опухоли верхней борозды
