Показания для артроскопической резекции дистального конца ключицы
Добавил пользователь Валентин П. Обновлено: 29.12.2025
а) Показания:
- Клинически значимый болевой синдром в акромиально-ключичном суставе (АКС) при неэффективности проводимого консервативного лечения
- Патологические состояния, включающие артрит, посттравматический артрит, остеолиз дистального конца ключицы и синовит АКС (Flatow et al., 1995; Gartsman, 1993; Snyder et al., 1995; Zawadsky et al., 2000)
Ошибки при выборе показаний:
• Лучевые признаки дегенеративных изменений АКС часто встречаются у пациентов старших возрастных групп
• Перед резекцией дистального конца ключицы необходимо точно установить, является ли и насколько является АКС источником боли в плечевом суставе
Спорные вопросы:
• Артроскопическая и открытая резекция дистального конца ключицы (Robertson et al., 2011)
• Резекция дистального конца ключицы во время вмешательства на ротаторной манжете у пациентов с разрывами ротаторной манжеты и болью в области АКС, а также признаками артрита АКС по данным лучевых методов исследования (Park et al., 2015)
Варианты лечения:
- Консервативное лечение, включающее покой, модификацию активности, нестероидные противовоспалительные средства, локальное введение кортикостероидов и физиотерапию, может быть вполне эффективным методом лечения болевого синдрома в АКС
- Открытая резекция дистального конца ключицы
- Артроскопическая резекция дистального конца ключицы:
• Непрямой доступ (Kay et al., 2003; Levine et al., 1998; Martin et al., 2001)
• Прямой доступ (Flatow et al., 1995; Levine et al., 2006)
б) Обследование и лучевая диагностика:
- АКС располагается непосредственно под кожей, и локальные симптомы поражения этого сустава обычно легко выявляются при физикальном исследовании:
• Обследование обычно начинается с осмотра плечевого пояса целиком. Обращают внимание на наличие отека, деформации и качество кожи в области АКС
• Болезненность при пальпации является основным симптомом поражения АКС, также при пальпации могут быть выявлены гипертрофированные остеофиты
• Приведение плеча поперек тела в положении сгибания 90° является классическим провокационным тестом для АКС. Боль и другие симптомы при выполнении этого теста должны локализоваться в области АКС. Исчезновение болевого синдрома после введения местного анестетика служит подтверждением поражения АКС

Рисунок 1
1. Стандартная рентгенография:
- Выполняется стандартное исследование плечевого сустава, включающее рентгенограммы в передне-задней проекции плечевого сустава, истинной передне-задней проекции плечелопаточного сустава, Y-лопаточную и подмышечную проекции
- Проекция Zanca является оптимальным методом визуализации АКС. Это модифицированная передне-задняя проекция, при выполнении которой луч направляется краниально под углом 15°, а стандартная доза излучения уменьшается до 50% (рис. 1)
- Видимые рентгенологически дегенеративные изменения АКС являются частью нормального процесса старения, поэтому рентгенологические находки всегда должны коррелировать с результатами физикального обследования

Рисунок 2
2. Магнитно-резонансная томография:
- В назначении подобных методов исследования для оценки состояния АКС обычно нет необходимости. На Т2-взвешенных MP-изображениях нередко определяется отек костного мозга ключицы, а также, возможно, и акромиона (рис. 2)
- Как и рентгенологические изменения, MP-находки могут не коррелировать с данными физикального исследования
- Хотя МРТ и не требуется для диагностики патологии АКС, она остается одним из наиболее информативных методов диагностики других возможных причин боли в плечевом суставе — патологии ротаторной манжеты, сухожилия двуглавой мышцы и плечелопаточного сустава. По данным МРТ может быть выявлен нижний импинджмент остеофитами ключицы, который может быть устранен за счет резекции дистального конца ключицы

Рисунок 3
в) Хирургическая анатомия:
- АКС образован дистальным концом ключицы и медиальной фасеткой акромиона
- Между покрытыми гиалиновым хрящом концом ключицы и медиальной фасеткой акромиона располагается фиброзно-хрящевой диск. Дегенерация этого диска и суставного хряща является частью патогенеза клинически значимого поражения АКС
- Капсульные связки, окружающие сустав сверху, сзади, сверху и снизу, обеспечивают стабилизацию АКС (рис. 3). Ятрогенная резекция верхней, задней и/или нижней капсульных связок во время прямой или непрямой резекции дистального конца ключицы может привести к горизонтальной нестабильности АКС
Показания для артроскопической резекции дистального конца ключицы
Техника, этапы артроскопической резекции дистального конца ключицы
а) Положение пациента:
- Пациент укладывается в положение пляжного кресла
- Оперируемый плечевой сустав и плечо обрабатываются и отграничиваются стерильным бельем
- Кисть и предплечье фиксируются с помощью тракционного чулка
- Эта операция также может быть выполнена в положении на боку
- На коже маркируются костные ориентиры в области плечевого сустава (рис. 4)
- Передняя и задняя границы АКО используются в качестве ориентиров при формировании портов (рис. 4: А, передний АК/плечелопаточный порт; ACJ, АК сустав; L, латеральный субакромиальный порт; Р, задний АК порт; *, задний плечелопаточный/субакромиальный порт)
Рисунок 4 Рисунок 5
Оснащение:
• Держатель конечности эффективно позволяет сохранять положение конечности во время операции, придавая ей необходимый объем сгибания/разгибания, отведения/приведения и ротации
Нюансы укладки пациента:
• Точное расположение линии сустава при использовании любого доступа можно определить с помощью спинальной иглы 18G, которая вводится в сустав сверху (рис. 5)
Ошибки укладки пациента:
• При использовании прямого доступа для предотвращения ятрогенного повреждения верхней или нижней АК связок при формировании порта скальпелем следует рассекать только кожу
б) Порты и доступы:
1. Прямой доступ:
- Передний и задний АК порты формируются продольными разрезами кожи на одной линии с суставом
- Для точной локализации измененного и ригидного АКС можно воспользоваться одной или двумя спинальными иглами 18G
- После локализации суставной щели переднюю и заднюю АК связки проходят обтуратором
2. Непрямой доступ:
- Для работы в плечелопаточном суставе и субакромиальном пространстве формируется стандартный задний порт
- Передний плечелопаточный и АК порт формируется ниже и по линии АКС несколько медиальнее, чем при стандартной артроскопии плечелопаточного сустава
- Латеральный субакромиальный порт формируется на 1 см позади и 1 см ниже переднего угла акромиона с использованием техники «снаружи-внутрь» и спинальной иглы под артроскопическим контролем
Нюансы техники:
• Если при использовании прямого доступа возникают сложности с входом в сустав, используйте 2,7-мм артроскоп и боры меньшего диаметра
• Визуализацию АКС можно улучшить за счет резекции минимального объема медиального края акромиона
Ошибки техники:
• Во избежание горизонтальной нестабильности ключицы сохраняйте целостность верхней и нижней АК связок
Оснащение:
• Обычно используется стандартный 4,0-мм 30° артроскоп, однако в случае сложностей с визуализацией наготове должен быть 2,7-мм артроскоп. Если объем пространства позволяет, можно использовать канюлю (редко)
• Артроскопический радиочастотный зонд, 4,5-мм артроскопический полнорадиусный и/или агрессивный шейвер используются для удаления костного дебриса и очищения костных поверхностей. Для резекции дистального конца ключицы используется 4,0- или 5,0-мм круглый или цилиндрической бор, а для сглаживания поверхности опила — артроскопический рашпиль. Качественная артроскопическая помпа обеспечит возможность контроля гемостаза и позволит эффективно удалять костный дебрис
в) Техника операции: прямой доступ:
1 этап:
- Артроскоп сначала вводится в задний АК порт. Под прямым визуальным контролем через передний порт вводится тупоконечный металлический обтуратор
- Мениск и остальной внутрисуставной дебрис мобилизуется качательными движениями обтуратора. С помощью радиочастотного зонда локализуется дистальный конец ключицы и медиальная поверхность акромиона, которые освобождаются поднадкостнично. Целостность передней и задней АК связок должна быть сохранена
2 этап:
- Через передний АК порт вводится цилиндрический бор
- Под артроскопическим контролем со стороны заднего порта выполняется резекция дистального конца ключицы в направлении спереди назад и снизу вверх
- У мужчин объем резекции составляет 6-8 мм, у женщин — 4-7 мм

Рисунок 6
3 этап:
- По завершении резекции передней части дистального конца ключицы артроскоп перемещается в передний порт, и через задний порт выполняется резекция задней части дистального конца ключицы. Поскольку дистальный конец ключицы ориентирован косо, объем его резекции в задней части должен быть несколько больше, чем в передней
- Края опила сглаживаются артроскопическим рашпилем
- Объем резекции можно измерить зажимом или калиброванным щупом
- Адекватность объема выполненной резекция оценивается по рентгенограмме в проекции по Zanca, при этом послеоперационная рентгенограмма сравнивается с предоперационной (рис. 6)
Нюансы 3 этапа операции:
• Оцените объем резекции, особенно в верхней и задней части ключицы, со стороны обоих портов
• Диаметр цилиндрического бора (обычно 4-5 мм) может использоваться в качестве измерителя для оценки объема выполненной резекции
Ошибки 3 этапа операции:
• Старайтесь не оставлять костный гребешок в области верхнего края акромиона
• Убедитесь в полноте резекции задней части ключицы, в противном случае болезненный импинджмент может сохраниться
г) Техника операции: непрямой доступ:

Рисунок 7
1 этап:
- Перед переходом в субакромиальное пространство следует выполнить необходимые вмешательства в плечелопаточном суставе
- С помощью шейвера и радиочастотного зонда из латерального порта выполняется субакромиальная бурсэктомия. Ткань сумки удаляется с медиальной стороны настолько, чтобы стал виден АКС. Для его локализации можно использовать иглу 18G (рис. 7)
Оснащение 1 этапа операции:
• Оснащение, используемое при прямом доступе, может использоваться и для артроскопической резекции дистального конца ключицы из непрямого доступа
Нюансы 1 этапа операции:
• Для адекватной визуализации дистального конца ключицы в дополнение к субакромиальной бурсэктомии нередко необходима декомпрессия медиальной фасетки акромиона
Рисунок 8 Рисунок 9
2 этап:
- С помощью тупоконечного обтуратора в АКС мобилизуется фиброзно-хрящевой диск и другой дебрис (рис. 8)
- Под контролем артроскопа из заднего порта в передний АК порт вводится радиочастотный зонд, с помощью которого дистальный конец ключицы и медиальный край акромиона выделяются поднадкостнично (рис. 9)
Нюансы 2 этапа операции:
• Для введения артроскопического инструментария необходим полный релиз передней АК связки/капсулы, особенно вверху
• Контролируйте адекватность выполняемых манипуляций (доступ, подготовка и резекция) из всех портов (переднего, заднего, латерального)
Рисунок 10 Рисунок 11 Рисунок 12 Рисунок 13 Рисунок 14
3 этап:
- После локализации интервала между дистальным концом ключицы и акромионом через передний порт вводится цилиндрический бор и выполняется резекция дистального конца ключицы в направлении спереди и снизу вверх и назад (рис. 10)
- У мужчин объем резекции составляет 6-8 мм, у женщин — 4-7 мм
- По достижении середины ключицы артроскоп перемещается в латеральный порт для улучшения визуализации задней части ключицы и упрощения резекции оставшейся ее части (рис. 11)
- Края опила сглаживаются рашпилем (рис. 12), и с помощью прямого зажима измеряется объем выполненной резекции (рис. 13). На рисунке 14 представлена артроскопическая картина после резекции
Техника, этапы операции резекции дистального конца ключицы
а) Положение пациента:
- Положение пляжного кресла с приподнятым до 20-30° головным концом стола
- Обработайте и отграничьте стерильным бельем конечность целиком для адекватного доступа к ключице
- Для стабилизации конечности можно использовать позиционирующее устройство
Рисунок 7 Рисунок 8
б) Порты и доступы:
- После введения в наркоз выполняется обследование в условиях анестезии для оценки объема движений и выявления признаков нестабильности
- На коже маркируются клювовидный отросток и АКС
- На рисунке 6 маркированы клювовидный отросток (черная стрелка) и АКС (белая стрелка). На уровне АКС выполняется вертикальный «сабельный» разрез кожи длиной 3-4 см (рис. 7)
- Кожа и подкожная клетчатка разводятся в стороны с помощью небольших крючков
- Над АКС мобилизуются мягкие ткани, обеспечивая возможность осмотреть и пропал ьпировать сустав. На рисунке 8 представлена интраоперационная картина интактного АКС
- Дельтовидно-трапециевидная фасция рассекается по ходу волокон дельтовидной мышцы и мобилизуется поднадкостнично
Ошибки техники:
• Избегайте смещения доступа в сустав слишком кзади или кпереди, поскольку мягких тканей для последующего закрытия артротомной раны может оказаться слишком мало
в) Техника операции:

Рисунок 9
1 этап: доступ и локализация сустава:
- Локализация АКС подтверждается с помощью спинальной иглы (рис. 9)
- Для защиты мягких тканей спереди и сзади сустава устанавливаются тонкие ретракторы Хоманна
Рисунок 10
2 этап: резекция:
- С помощью осциллирующей пилы выполняется резекция около 10 мм дистального конца ключицы. На рисунке 10, А полотно пилы находится на синей линии, расположенной в 10 мм от края ключицы. Обратите внимание, что полотно несколько отклонено латерально, чтобы резецируемый фрагмент имел клиновидную форму
- Резецируемый фрагмент захватывается цапкой для облегчения мобилизации (см. рис. 10, Б)
- Выполняется полный объем движений в плечевом суставе, в т.ч. приведение поперек тела, чтобы убедиться в устранении контакта между акромионом и ключицей
- На рисунке 11 представлен препарат (вид сверху) после резекции 10 мм дистального конца ключицы (А, акромион; В, ключица; Г, отведенная дельтовидная мышца). Обратите внимание на интактную трапециевидную связку (Т)
Нюансы 2 этапа операции:
• Адекватность выполненной резекции подтверждается помещением пальца в сформированное после резекции пространство во время движений в плечевом суставе
• После резекции ключицы может появиться возможность мануально или визуально оценить состояние ротаторной манжеты
Ошибки 2 этапа операции:
• Трапециевидная связка располагается медиальнее линии резекции и во избежание нестабильности должна быть сохранена
Спорные вопросы 2 этапа операции:
• Согласно данным литературы, объем резекции дистального конца ключицы для купирования симптомов и предотвращения нестабильности АКС должен составлять 5-10 мм (Branch et al., 1996)
• Объем резекции может отличаться в зависимости от анатомии пациента и степени гипертрофии кости
3 этап: закрытие раны:
- С целью гемостаза резецированный конец ключицы обрабатывается воском
- Рана ушивается послойно: надкостница, дельтовидно-трапециевидная фасция, подкожная клетчатка и кожа
Нюансы 3 этапа операции:
• Это технически несложная и недолгая операция, выполняемая из небольшого косметичного доступа
Показания для резекции дистального конца ключицы
а) Показания:
- Артрит акромиально-ключичного сустава (АКС)
- Остеолиз дистального конца ключицы
- Перелом дистального конца ключицы
- Повреждения АКС IV, V, VI типа в сочетании с реконструкцией клювовидно-ключичной связки
- Хроническая нестабильность АКС в сочетании с реконструкцией клювовидно-ключичной связки
Спорные вопросы:
• Показано, что открытая и артроскопическая резекция дистального конца ключицы при болевом синдроме в АКС характеризуются схожими результатами в отношении функции плечевого сустава и удовлетворенности пациентов, однако пациенты после артроскопических вмешательств через пять лет после операции отмечают менее выраженный остаточный болевой синдром (Robertson et al., 2011)
• Артроскопическая техника дает хирургу возможность диагностировать и устранить менее клинически значимые сопутствующие внутрисуставные патологические изменения плечевого сустава. Открытая резекция может выполняться с использованием одного и того же доступа во время артропластики плечевого сустава или открытого восстановления ротаторной манжеты
• Показания к лечению переломов дистального конца ключицы ограничены лишь клинически значимыми ложными суставами или неправильно консолидированными переломами, линия которых проходит дистальнее интактной клювовидно-ключичной связки
Варианты лечения:
• Консервативное лечение: на начальном этапе лечения ограничивается назначением противовоспалительных препаратов и модификацией физической активности. Введение кортикостероидов обеспечивает купирование болевого синдрома и используется в т.ч. с диагностической целью. В связи с поверхностным расположением АКС введение сюда кортикостероидов может вызвать депигментацию кожи или атрофию жировой ткани. После шести месяцев консервативного лечения и его неэффективности можно думать о хирургическом лечении
• Артроскопическая резекция дистального конца ключицы
Рисунок 1 Рисунок 2 Рисунок 3 Рисунок 4
б) Обследование и лучевая диагностика:
- Визуальный осмотр на предмет асимметрии АКС за счет выстояния дистального конца ключицы
- Пальпация АКС с целью выявления локальной болезненности и сравнение с противоположной стороной
- Провокационные тесты включают стресс-тест с приведением конечности поперек тела (рис. 1), разгибание АКС с сопротивлением и тест активной компрессии (Chronopoulos et al., 2004). Аналогично пальпаторному исследованию провокационные тесты необходимо проводить в сравнении с противоположной конечностью
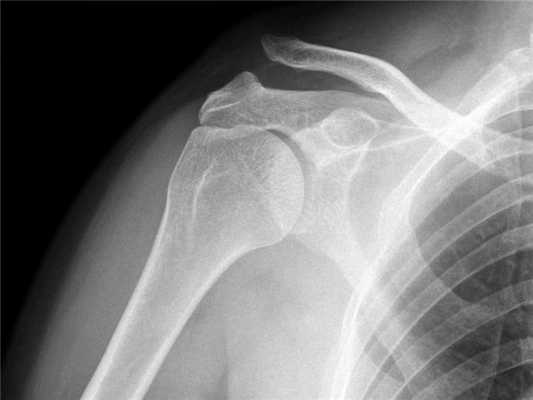
- Первичное рентгенологическое исследование должно включать рентгенограммы в передне-задней проекции, проекции по Grashey, боковой Y-лопаточной проекции и подмышечной проекции. Эти рентгенограммы позволят оценить состояние плечелопаточного и АК суставов
- Проекция по Zanca информативна для оценки состояния АКС и представляет собой передне-заднюю проекцию с краниальным наклоном луча до 10-15° (рис. 2) и снижением напряжения на трубке до 50% (Zanca, 1971). Признаками артрита АКС являются подвывих, склероз, сужение суставной щели, формирование субхондральных кист и остеофитов (рис. 3)
- В литературе описана достаточно высокая встречаемость дегенеративных изменений АКС у бессимптомных пациентов (75%), особенно в возрасте старше 50 лет (Needell et al., 1996; Petersson, 1983)
- Магнитно-резонансная томография (MPT) является чувствительным методом диагностики артрита АКС, однако специфичность этого метода низкая, поэтому рутинное его применение для диагностики не рекомендуется. На рисунках 4, А и Б видны признаки отека капсулы АКС, соответственно, у пациентов с клинически выраженным и бессимптомным артритом

Рисунок 5
в) Хирургическая анатомия:
- Дистальный конец ключицы соединяется с акромионом с образованием диартроидного АКС, обеспечивающего три типа движений: ротация ключицы, наклон акромиона и передне-заднее скольжение акромиона
- Средний размер АКС взрослого человека составляет 9x19 мм (Bosworth, 1949)
- АКС стабилизируется динамическими (дельтовидная и трапециевидная мышцы) и статическими (АК и клювовидно-ключичные связки) стабилизаторами (рис. 5, А)
- АК связка отвечает за горизонтальную стабильность и является наиболее важным связочным стабилизатором при повседневной активности
- Клювовидно-ключичные (трапециевидная и конусовидная) связки обеспечивают вертикальную стабильность (см. рис. 5, Б, разрыв клювовидно-ключичных связок, черная стрелка; клюво-акромиальная связка, белая стрелка)
Методика MINAR® — малоинвазивный метод хирургического лечения вывиха акромиального конца ключицы в Клинике на Комарова

Вывих акромиального конца ключицы – достаточно частая травма. Известно, что еще Гиппократ впервые разделил понятия «вывих плеча» и «вывих акромиального конца ключицы», которые до него считались одной и той же травмой. Конечно же, с точки зрения неспециалиста эти две проблемы на первый взгляд не отличаются друг от друга и воспринимаются просто как «травма плеча» или часто можно услышать выражение «выбил плечо». Мы специально сделали такое филологическое отступление для того, чтобы вы понимали, что травмы плечевого сустава и соседних с ним структур – отдельное и очень сложное направление в травматологии. Например, одна из лучших медицинских книг, посвященная только плечевому суставу и окружающим его структурам – двухтомник на 1704 страницах! Поэтому в случае травм этой области чрезвычайно важно лечиться у компетентного специалиста.
Немного анатомии
Ключица — небольшая, S-образно изогнутая трубчатая кость, которая одним концом соединяется с грудиной (грудино-ключичный сустав), а вторым концом – с акромиальным отростком лопатки (акромиально-ключичный сустав). Традиционно в ключице выделяют три части: грудинный конец, диафиз (средняя часть) и акромиальный конец.
Основные травмы ключицы – это переломы и вывихи. Поскольку у ключицы два конца (акромиальный и ключичный) то и вывихи могут быть как акромиального, так и грудинного конца. Чаще бывают вывихи акромиального конца. К ключице прикрепляется несколько связок, которые соединяют ее с лопаткой.
Почему происходит вывих ключицы?
Классический пример травмы, при которой происходит вывих акромиального конца ключицы – падение на плечо. При этом рвутся связки, соединяющие ключицу и лопатку, и после этого, ключица под действием тяги мышц смещается кверху.

Конечно же, поскольку связок, прикрепляющихся к ключице несколько, то возможны различные варианты их разрывов. Например, может разорваться только капсула акромиально-ключичного сустава – в таком случае вывиха не произойдет или будет подвывих, поскольку ключицу будут держать другие связки. Если разорвутся другие связки (коническая и трапециевидная связки), произойдет уже вывих ключицы.
Вывих акромиального конца ключицы: слева – неполный (подвывих), клювовидно-ключичная связка цела; справа – полный, порваны коническая и трапециевидная связки, которые образуют единую клювовидно-ключичную связку.

Мы описали самую простую классификацию, но на самом деле все гораздо сложнее. Среди специалистов, занимающихся лечением травм плеча, принято использовать классификацию Роквуда, которая выделяет шесть типов вывиха.
Симптомы вывиха акромиального конца ключицы
Сразу после травмы возникает боль в надплечье. Если вывих полный – то ключица выпирает, и, в некоторых случаях, удается выявить симптом клавиши пианино: при нажатии на ключицу она вправляется на вместо (опускается вниз), но если прекратить давление она тотчас вывихнется снова. Отсутствие симптома клавиши не означает, что с ключицей все в порядке. Во-первых, этот симптом не всегда возможно просто проверить ввиду того, что у некоторых пациентов нажимание на ключицу вызывает сильную боль. Во-вторых, через несколько часов после травмы возникает отек. В-третьих, у полных людей ключица вообще может плохо контурироваться.
При вывихах акромиального конца ключицы нарушается функция руки – чаще всего невозможно поднять руку выше плеча, отвести руку в сторону.
Вокруг ключицы возникает синяк (его ошибочно называют гематомой, но на самом деле это просто синяк – подкожножировая клетчатка пропитывается кровью из разорванных связок). В течение нескольких дней или даже недель этот синяк может увеличиваться в размерах и «сползать» вниз.
Боль, как правило, в течение нескольких дней уменьшается, но мы советуем вам не ждать, а обратиться к врачу сразу.
Диагноз вывиха акромиального конца ключицы
Диагноз вывиха акромиального конца ключицы иногда очень прост и все очевидно при осмотре, а иногда приходится решать целую головоломку. Наиболее оптимальным и распространенным способом диагностики является рентгенография. Стоит сказать, что, как не бывает одинаковых людей, так и не бывает одинаковых ключиц. Чаще всего причиной ложного диагноза индивидуальные особенности акромиально-ключичного сустава.
Поэтому целесообразно выполнять рентгенограмму не одного плеча, а двух сразу – что позволит оценить нормальное строение противоположной ключицы.

В сомнительных случаях иногда выполняют функциональную рентгенографию – в руку берут груз, который оттягивает ее вниз и вывих становится более очевидным.
Лечение вывиха акромиального конца ключицы
Оптимальный способ лечения зависит от типа вывиха. Раньше в подавляющем большинстве случаев применяли консервативное лечение, то есть не оперировали. Суть такого лечения сводилась к тому, что на несколько недель пациента заковывали в громоздкие и тяжелые устройства, которые вправляли и удерживали ключицу в нужном положении.
Сейчас консервативное лечение показано при неполных вывихах (подвывихах), т.е. при 1 или 2 типе вывиха по Роквуд. При этом достаточно легкой, эстетичной и удобной слинг-повязки, которую носят в течение 3-5 недель в зависимости от варианта повреждения капсулы акромиально-ключичного сустава. Далее выполняют контрольную рентгенографию и принимают решение о реабилитации – повязку снимают и приступают к физическим упражнениям.

В первые сутки после травмы прикладывают холод, который уменьшает отек и боль. Обездвиживание слинг-повязкой само по себе значительно снизит боль, но если она останется – не нужно терпеть, сообщите об этом врачу и он назначит обезболивающие препараты.
Впоследствии, по решению врача, слинг-повязка может быть заменена на тейп, который позволяет пользоваться рукой, но удерживает ключицу. Тейп-повязка должна накладываться только специалистом. При повреждениях I типа тейп-повязка может использоваться с самого начала.
Хирургическое лечение вывиха акромиального конца ключицы
Прежде чем рассказать об операциях, нужно поговорить о том, зачем вообще оперировать. Как мы уже отмечали, при 1 и 2 типе вывиха показано консервативное лечение, так как оперировать (за редкими исключениями) можно сказать нечего – ключица и так на месте. Но при 3 типе вывиха, когда ключица полностью вышла вверх, необходимо рассматривать возможность операции. Конечно же, вы можете задать вопрос – что будет, если не оперировать? Боль в покое уйдет, гематома рассосется.
Но возможны следующие проблемы:
- Боль при физической нагрузке
- Снижение силы руки
Невправленная ключица будет все время выпирать вверх, что представляет собой не только косметическую проблему, но и может ограничивать движения, в частности может возникнуть:
- Ограничение отведения руки, т.е. руку часто нельзя поднять выше плеча.
Все эти проблемы могут привести к нарушению осанки.
Для кого-то все эти возможные последствия вообще не представляют никакой проблемы, так как бывают люди с крайне небольшими физическими запросами. В любом случае операция по вправлению ключицы не направлена на спасение жизни, поэтому рассматривать целесообразность хирургического лечения необходимо исходя из профессии, стиля жизни и запросов пациента.
В целом максимальное восстановление при полном вывихе акромиального конца ключицы (3,4,5 и 6 типы вывихов) возможно только при оперативном лечении, в ходе которого ключицу вправляют и фиксируют ее.
Ряд последних научных исследований показал, что у спортсменов и людей с высокими физическими запросами целесообразно не просто оперативное лечение, а максимально раннее оперативное лечение, что позволяет получить наилучшие результаты.
В большинстве случаев операцию выполняют под наркозом.
В практике врачей достаточно большое количество вариантов операций, но остановимся только на самых малотравматичных и современных методах. Именно они и применяются в нашей клинике при оперативной помощи.
Методика MINAR® Mинимально Инвазивная Aкромиально-ключичная Реконструкция — малоинвазивный метод хирургического лечения вывиха акромиального конца ключицы в Клинике на Комарова.
Методика MINAR является наиболее ярким представителем целого направления операций, в которых используется один и тот же принцип: фиксатор располагают так, чтобы вектор силы повторял ход порванных связок. Раньше эту операцию выполняли с использованием лавсановых нитей (лавсанопластика), но сейчас появились более современные материалы. Например, возможна пространственная реконструкция с помощью якорных фиксаторов.
Данный метод сохраняет нормальную подвижности ключицы и обеспечивает высокий стабилизирующий эффект. В послеоперационном периоде необходима иммобилизация руки косыночной повязкой в течении 3-х недель. Так же пациент получает физиотерапевтическое лечение, реабилитационные мероприятия.

Операции можно выполнять под артроскопическим контролем, который означает, что точное расположение фиксатора врач контролирует через тонкую видеокамеру (артроскоп).
Преимущества метода MINAR при оперативном лечении вывиха акромиального конца ключицы
- Снижены до минимума травматичность и время выполнения операции.
- Снижен риск повреждения во время операции жизненно важных структур.
- Минимальные послеоперационные инфекционные осложнения.
- Отсутствует необходимость удаления имплантата.
- Возможность начала ранней функциональной реабилитации, в следствии чего более раннее восстановление функции верхней конечности.
Еще один вариант операций – синтез крючкообразной пластиной
Такая фиксация очень надежна, но и она не лишена недостатков.
- Во-первых, для данной операции требуется большой разрез (7-10 сантиметров).
- Во-вторых, при установке пластины, крючок заводят под акромиальный отросток, располагая рядом с вращательной манжеткой. В дальнейшем, при движении плечом, сухожилия травмируются о пластину, вызывая дискомфорт, болевые ощущения, ограничение движения. В результате это может привести к повреждению сухожилий вращательной манжетки (сухожилия надостной мышцы).
- В-третьих, известны случаи, когда происходил перелом ключицы по внутреннему краю пластины.

В связи с этим пластину рекомендуется удалять через 4-6 месяцев. А это повторная операция.
Фиксация ключицы крючкообразной пластиной (hook plate)
Существуют и несколько десятков других операций. При застарелых и повторных вывихах выполняют другие операции (резекция акромиального конца ключицы, пластика связочного аппарата ключицы с помощью других связок и т.д.).
После операции руку обездвиживают косыночной повязкой или слинг-повязкой на некоторое время (при разных операциях и надежности фиксации это время варьирует), после чего начинают реабилитацию.
Вопросы, которые стоит обсудить с врачом на консультации.
- Какое лечение (оперативное или консервативное) возможно при моем типе вывиха?
- Какое лечение целесообразно при моем уровне физических запросов (профессия, занятия спортом)?
- Какая операция предпочтительна в моем случае?
- Как долго после операции придется носить косыночную повязку?
- Возникнет ли необходимость удалять имплант и как скоро?
Читайте также:
- Препараты для химиотерапии болезни Ходжкина
- Порочные круги респираторного дистресс-синдрома.
- Отбор пациентов с травмами селезенки для консервативного лечения. Критерии
- Глюкагон как антидот - противоядие адреноблокаторов, блокаторов кальциевых каналов
- Образование метанефроса эмбриона. Формирование почки плода
