Показания для расширенной левосторонней гемигепатэктомии
Добавил пользователь Дмитрий К. Обновлено: 22.12.2025
Кафедра факультетской хирургии Самарского государственного медицинского университета
ГБУЗ «Иркутская областная клиническая больница», Иркутск, Россия
ГБУЗ «Иркутская областная клиническая больница», Иркутск, Россия;
ФГБОУ ВО «Иркутский государственный медицинский университет», Иркутск, Россия
Комбинированная левая гемигепатэктомия в лечении мультиорганного альвеококкоза
Журнал: Хирургия. Журнал им. Н.И. Пирогова. 2019;(9): 52‑57
Описана запущенная мультиорганная паразитарная инвазия. Несмотря на поражение нескольких органов, тщательная оценка характера патологического процесса, хирургической анатомии, предоперационное планирование позволили выполнить радикальную операцию, включающую расширенную левостороннюю гемигепатэктомию, атипичную резекцию Sпечени и поджелудочной железы, удаление средостенного паразита с частью париетальной плевры и перикарда.
Альвеококк растет инфильтративно, разрушая ткань печени и соседних органов, способен к метастазированию [1, 6, 8]. Резекция печени — основной метод лечения этого заболевания [8—10]. Частота послеоперационных осложнений и летальность при альвеококкозе печени остаются высокими — 15—56% [6, 11]. Выраженность послеоперационной печеночной недостаточности определяют размер и особенности кровоснабжения печени, степень исходного стеатогепатоза, гемодинамическая стабильность пациента в интраоперационном и ближайшем послеоперационном периодах [12].
Приводим клиническое наблюдение.
В отделение портальной гипертензии Иркутской областной больницы 28.11.17 поступила женщина, 26 лет, с жалобами на боль в эпи- и мезогастрии, деформацию передней брюшной стенки, общую слабость. Из анамнеза установлено, что считает себя больной с февраля 2017 г., когда во время медицинского осмотра на обзорной рентгенографии грудной клетки выявили объемное образование в правом легком. Направлена для дообследования в консультативно-диагностическую поликлинику, где установлено объемное образование печени, средостения и поджелудочной железы.

При поступлении общее состояние удовлетворительное, сознание ясное, кожный покров и видимые слизистые оболочки бледно-розовые, обычной влажности. Аускультативно дыхание в легких везикулярное, проводится во все отделы, хрипов нет. Язык влажный. Живот асимметричный из-за объемного образования, занимающего область правого подреберья и эпигастрия. При пальпации образование плотной консистенции, бугристое, безболезненное, малоподвижное. В общем анализе крови повышенная СОЭ — 23 мм/ч, других изменений, в том числе эозинофилии, нет. Биохимические показатели крови в пределах нормы. Уровень антител к антигенам гельминтов (эхинококк) в 4 раза превышает допустимые показатели (коэффициент позитивности 3,37 при норме менее 0,9). Для оценки ангиоархитектоники печени, а также для уточнения локализации объемного образования относительно магистральных сосудов и желчевыводящих путей пациентке выполнены МСКТ и МРТ. МСКТ: печень с ровными контурами, умеренно увеличена в размерах, косой вертикальный размер 18 см, в левой доле визуализируется объемное образование неправильной формы размером 84×105 мм с кальцинатом 33,5×40 мм. В артериальную фазу не накапливает контрастное вещество, в венозную и паренхиматозную фазы сохраняет низкие денситометрические показатели и приобретает четкие бугристые контуры за счет контрастирования окружающей паренхимы печени. В SVI сегменте визуализируется образование низкой плотности (15—11 ед. Н), неправильно округлой формы размером 26×30 мм, не накапливает контрастное вещество во все фазы исследования. На остальных участках паренхима печени однородной структуры до (56 ед. Н). Внутри- и внепеченочные желчные протоки не расширены. Над телом железы визуализируется кальцинат размером 20 мм (рис. 1). Рис. 1. МСКТ-грамма брюшной полости. Патологические образования в печени (1), поджелудочной железе (2).

Для определения объема резекции произведена оценка МСК-ангиограмм. В первую очередь интересовала возможность сохранения афферентного и эфферентного кровотока в здоровой части печени. При детальном исследовании правая и срединная печеночные вены по отношению к патологическому образованию интактны, при этом левая печеночная вена полностью вовлечена в патологический процесс (рис. 2). Рис. 2. МСКТ-ангиограмма брюшной полости (артериальная фаза).

В артериальной фазе левая печеночная артерия не визуализируется, правая контрастируется на всем протяжении, с паразитом не контактирует (рис. 3). Рис. 3. МСКТ-ангиограмма брюшной полости (венозная фаза). 1 — патологический очаг в левой доле печени, 2 — фрагмент правой ветви воротной вены, 3 — устье левой ветви воротной вены.

В венозную фазу левая ветвь воротной вены прослеживается в начальном сегменте, в области бифуркации, далее вовлечена в патологический процесс. Также выявлен фрагмент правой ветви воротной вены, плотно прилежащий к паразиту (рис. 4). Рис. 4. МСКТ-ангиограммы брюшной полости (венозная фаза). 1 — правая печеночная вена, 2 — срединная печеночная вена.

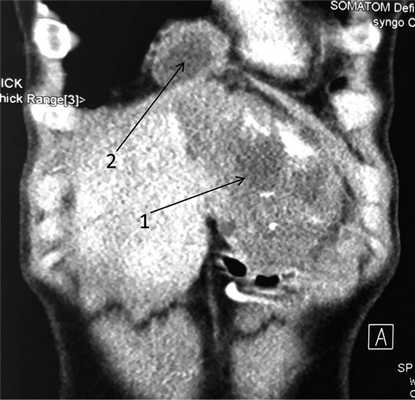
На МСК-томограмме грудной клетки справа в кардиодиафрагмальном углу, в переднем средостении, прилегая к грудной стенке и перикарду, определяется образование с включениями кальция, размером 42×32 мм (рис. 5). Рис. 5. МСКТ-ангиограмма грудной клетки и брюшной полости. Патологический очаг в левой доле печени (1) и кардиодиафрагмальном углу (2).
Патологических изменений головного мозга не выявлено.
С учетом большого размера паразита, мультиорганного поражения, молодого возраста, снижения качества жизни пациентке показано оперативное вмешательство.

04.12.17 выполнены расширенная левосторонняя гемигепатэктомия, атипичная резекция SVI печени, холецистэктомия, атипичная резекция поджелудочной железы, иссечение паразитарной опухоли переднего средостения с резекцией париетальной плевры и перикарда. Доступ типа «мерседес». Интраоперационная ситуация соответствовала данным МСК-ангиографии: пальпаторно и визуально выявлены все очаги альвеококка. Выделены элементы гепатодуоденальной связки (рис. 6). Рис. 6. Интраоперационное фото. Выделены элементы гепатодуоденальной связки. 1 — левая печеночная артерия, 2 — правая печеночная артерия, 3 — артерия SVI печени, 4 — гепатикохоледох.

Далее мобилизованы ретропеченочный сегмент нижней полой вены, печеночные вены (рис. 7). Рис. 7. Интраоперационное фото. Мобилизованы ретропеченочный сегмент нижней полой вены, печеночные вены. 1 — нижняя полая вена, 2 — правая печеночная вена.

Левые элементы портальных ворот лигированы, Изолированный афферентный и эфферентный кровоток в остающейся правой доле сохранен. Наметилась четкая линия демаркации. Выполнены расширенная гемигепатэктомия, холецистэктомия (рис. 8). Рис. 8. Интраоперационное фото. Правая доля печени с сохраненным афферентным и эфферентным кровотоком.
Атипично резецированы поджелудочная железа и SVI печени с очагами альвеококка. Выполнены проекционная сагиттальная диафрагмотомия и иссечение альвеококка с резекцией париетальной плевры и перикарда. Операция закончена оментагепаторафией, дренированием брюшной полости.
На патогистологическом исследовании установлено, что все 3 удаленные фрагмента являются альвеококковыми опухолями.
Ранний послеоперационный период протекал без осложнений, дренажи удалены на 5-е сутки после вмешательства. На 7-е сутки выполнена тонкоигольная пункция плевральной полости справа, эвакуировано до 600 мл серозно-геморрагического выпота. Пациентка выписана в удовлетворительном состоянии под наблюдение хирурга по месту жительства. Рекомендован курс противопаразитарной терапии.
Через 5 и 9 мес жалоб не предъявляет, общее состояние удовлетворительное, отмечает увеличение массы тела на 4 кг. На контрольной МСК-томограмме данных за рецидив болезни нет, оставшаяся часть печени без патологических очагов, однородная, равномерно накапливает контраст.
Заключение
Паразитарная инвазия печени не редкое заболевание. По мнению большинства специалистов, альвеококкоз печени требует активного хирургического вмешательства. Мы разделяем эту точку зрения. Радикальное удаление паразитарной опухоли является основной целью лечения таких пациентов. Ввиду бессимптомного течения в большинстве случаев диагноз устанавливают на поздних стадиях заболевания, когда в патологический процесс вовлечены крупные магистральные сосуды и выполнение радикальной операции затруднено или невозможно. Выполнение циторедуктивных вмешательств бесперспективно. При планировании операции прежде всего необходимо оценить возможность создания изолированного афферентного и эфферентного кровотока нормального остатка печени (правая доля). Интимное прилежание правой ветви воротной вены могло потребовать какого-либо варианта портальной венозной реконструкции. Интраоперационно удалось мобилизовать бифуркацию воротной вены, в том числе правую ее ветвь. Стремились в первую очередь не удалить патологический процесс любой ценой, а сохранить жизнеспособный фрагмент печени [6].
Участие авторов:
Концепция и дизайн исследования — А.В. Новожилов, М.О. Мовсисян
Сбор и обработка материала — А.В. Новожилов, М.О. Мовсисян, С.Е. Григорьев, О.В. Маголина, Н.С. Клейменова
Написание текста — А.В. Новожилов, М.О. Мовсисян
Редактирование — А.В. Новожилов, М.О. Мовсисян
Авторы заявляют об отсутствии конфликта интересов.
The authors declare no conflict of interest.
Сведения об авторах
Показания для расширенной левосторонней гемигепатэктомии
Доступ и ход операции левосторонней гемигепатэктомии
При левосторонней гемигепатэктомии выполняют анатомическую резекцию сегментов II, III и IV, в некоторых случаях вместе с хвостатой долей (I сегментом). Операция протекает в четыре основных этапа.
• Экспозиция и оценка поражения.
• Мобилизация печени и перевязка сосудов.
• Рассечение паренхимы печени.
• Обработка поверхности печени и завершение вмешательства.
Доступ для резекции левой доли печени существенно не отличается от доступов при других больших резекциях печени. Чаще всего применяют правосторонний подрёберный разрез. В отличие от резекций правой доли печени, при которых срединная лапаротомия может быть недостаточна для экспозиции, при резекции левой доли срединный доступ вполне удовлетворителен, особенно если резекцию печени комбинируют с другими операциями (например, левосторонней гемиколэктомией).

Фаза оценки продолжается тщательным осмотром остальных отделов брюшной полости, бимануальной пальпацией и осмотром печени, вслед за которыми проводят интраоперационное УЗИ. Следует обратить внимание на определение анатомических особенностей левой и средней печёночных вен, левой портальной ножки и соотношения опухоли с этими структурами. Нередко левая и средняя печёночные вены имеют общее устье, эту анатомическую особенность важно выявить на раннем этапе интраоперационного исследования.
Часто встречают добавочную или дистопическую левую печёночную артерию, отходящую от левой желудочной артерии, такие аномалии следует обнаружить до начала резекции печени.
Этапы мобилизации и сосудистого контроля левой доли печени во многом аналогичны проводимым при резекции правой доли. Пересекают центральные прикрепления доли (в т.ч. круглую и серповидную связки). При резекциях левой доли иногда полезно прошить круглую связку печени длинной лигатурой, за которую можно оттягивать щель круглой связки во время диссекции в воротах печени. Рассекают левую треугольную связку и мобилизуют левый латеральный сектор — с предосторожностями, чтобы не повредить селезёнку.

В большинстве случаев рассекают печёночно-желудочную связку (малый сальник) — для облегчения идентификации левой печёночной вены. В этот момент пересекают и перевязывают добавочные или дистопированные левые печёночные артерии.
Как и при больших резекциях правой доли, перевязывать сосуды, дренирующие печень, следует внепечёночно, если это возможно. Обычно гораздо труднее полностью контролировать левую печёночную вену, сливающуюся со средней веной. В этом случае не следует стремиться к перевязке вены вне печени. Необходимо избегать грубого препарирования в её зоне.
Как и при правосторонней гемигепатэктомии, диссекцию в воротах печени начинают с удаления желчного пузыря. Левую печёночную артерию и левую воротную вену можно перевязать по отдельности.

Можно выполнить либо пересечение с перевязкой каждой структуры в воротах печени, либо лигирование степлером всей портальной ножки. При левосторонней гемигепатэктомии относительно большое расстояние от бифуркации до щели круглой связки и возможность идентификации плоскости, отделяющей сегмент IVб, с последующим углублением в неё, позволяют выделить воротную ножку единым блоком. После перевязки путей притока крови к левой доле при помощи сосудистого степлера можно пересечь левую печёночную вену.
Линия пересечения печени при левосторонней гемигепатэктомии — та же, что и при удалении правой доли печени. Хирург ориентируется либо по демаркационной линии, либо по ходу средней печёночной вены, выявленной при интраоперационном УЗИ. Однако на представленной иллюстрации линия рассечения проходит чуть слева от средней вены. Как и при других гемигепатэктомиях, рассечь паренхиму можно различными способами, в их числе ультразвуковая диссекция, наложение раздавливающих зажимов или преаблятивная транссекция. На рисунке представлено использование диссектора-электрокоагулятора, эффект которого усиливается физиологическим раствором.
Более крупные ножки и сосуды пересекают при помощи сосудистого степлера. Как и при других обширных резекциях печени, следует продумать способ уменьшения кровопотери, например регулирование центрального венозного давления и временная полная окклюзия притока крови в остающуюся часть печени.

Обработка раневой поверхности печени после выполнения резекции не отличается от таковой при других резекциях. Следует применять прошивание с перевязкой основных кровоточащих участков, тщательно выявлять места желчеистечения и проводить электрохирургический гемостаз мелких кровоточащих точек при помощи аргонно-плазменного коагулятора. Проведение интраоперационного УЗИ помогает убедиться в достаточности кровотока в оставшейся части печени. При левосторонней гемигепатэктомии нет необходимости в подвешивании оставшейся доли.
Для подкрепления гемостаза и уменьшения риска просачивания желчи после операции на раневую поверхность можно нанести фибриновый клей. Как и при других резекциях печени, в большинстве случаев не рекомендуют подведение дренажных трубок к её культе.

Видео левосторонней резекции печени (гемигепатэктомии)
Редактор: Искандер Милевски. Дата обновления публикации: 18.3.2021
ГЕМИГЕПАТЭКТОМИЯ
Гемигепатэктомия (греч. hemi- полу + hepar, hepat[os] печень + ectome иссечение, удаление) — один из вариантов резекции печени — удаление анатомически обособленной половины печени. Впервые операцию Гемигепатэктомии произвел Вендель (W. Wendel) в 1911 г. Гемигепатэктомия относится к категории наиболее сложных оперативных вмешательств на органах брюшной полости и применяется крайне редко.
Выделение правой и левой половин печени производят соответственно бассейнам правой и левой ветвей воротной вены. Прочие элементы глиссоновой системы печени — ветви печеночной артерии и внутрипеченочные желчные протоки — относительно постоянно сопутствуют ветвям воротной вены. Классическое деление печени на правую и левую доли по серповидной связке и щели круглой связки не соответствует анатомическому делению бассейнов правой и левой ветвей воротной вены. Наибольшее признание получила схема Куино (см. Печень), согласно к-рой в печени различают 5 секторов (или долей) и 8 сегментов. Граница между анатомическими половинами печени проходит вправо от серповидной связки соответственно так наз. линии Рекса—Кантли — от левого края нижней полой вены к середине ложа желчного пузыря.
Анатомические половины печени имеют автономную кавальную систему вен. В толще паренхимы соответственно линии Рекса — Кантли залегает средняя печеночная вена, собирающая кровь от правого околосрединного сектора и IV сегмента левой половины печени.
Содержание
Показания
Показания: гл. обр. первичные злокачественные опухоли печени, реже альвеолярный эхинококк, поликистоз, множественные абсцессы, травматические повреждения.
При распространенном патологическом процессе может возникнуть необходимость резекции более половины печени. Такие операции называют расширенной гемигепатэктомией. Расширенная правосторонняя Г.— иссечение правой анатомической половины и IV сегмента левой половины печени. Расширенная левосторонняя Гемигепатэктомия может быть выполнена в двух вариантах: 1) иссечение левой половины с V сегментом правой половины печени и 2) иссечение всей левой половины и правого околосрединного сектора. Перед Г. необходимо установление точного нозологического и топического диагноза. Наиболее результативными для уточнения внутриорганной топографии патол, образования являются контрастные методы исследования портальной системы — спленопортография (см.) и трансумбиликальная гепатопортография.
Противопоказания
Противопоказания: общее тяжелое состояние больного и выраженные нарушения функции печени.
Предоперационная подготовка
Предоперационная подготовка включает коррекцию констатированных биохимических сдвигов, витаминотерапию и подготовку сердечно-сосудистой системы сердечными гликозидами. В предоперационном периоде с помощью биохимических исследований и функциональных проб должны быть оценены компенсаторные возможности непораженной паренхимы печени.
Техника операции
Обезболивание — эндотрахеальный наркоз с управляемым дыханием.
Хирургический доступ при Гемигепатэктомии должен обеспечивать возможность хорошего подхода к воротам печени, нижней полой и печеночным венам. Для левосторонней Г. обычно используют абдоминальные доступы: верхнюю срединную лапаротомию (при необходимости дополненную срединной стернотомией) или комбинированный разрез Брегадзе — параллельно левой реберной дуге с переходом на VIII межреберье справа. Правосторонняя Г. выполняется из торако-френо-абдоминального доступа. В зависимости от высоты стояния правого купола диафрагмы торакотомия (см.) производится по VI, VII или VIII межреберьям, а лапаротомия (см.) — от реберной дуги к пупку. Целесообразно произвести сначала абдоминальную часть разреза и из него осуществить ревизию брюшной полости. В случае операбельности разрез расширяют на грудную стенку.
Существуют три методики обработки сосудов печени при Г.: 1) перевязка в воротах без предварительного рассечения печени; 2) перевязка по мере их обнаружения, с подходом к ним через паренхиму печени в относительно бессосудистых участках (по линии Рекса — Кантли) — так наз. фиссуральный способ; при фиссуральном доступе к сосудам ножка печени временно пережимается; 3) промежуточная техника, объединяющая в себе элементы первых двух.
Хирурги в странах Европы, Америки и в СССР чаще применяют перевязку сосудов и желчных протоков в воротах печени и реже фиссуральный способ.
Хирурги некоторых стран Азии, имеющие наибольший опыт Г.,— Тон Тхат Тунг, Накаяма, Лин (K.Nakayama, Т. Lin) пользуются почти исключительно фиссуральным способом. К преимуществам этого метода они относят ускорение операции, меньшую кровопотери) и возможность безопасной обработки сосудов при многочисленных вариантах их ветвления в воротах. Лин (1960) опубликовал метод операции, заключающийся в пальцевом разделении паренхимы и контроле встречных сосудов. Накаяма (1958) пользуется специальным зажимом, который разрывает паренхиму печени, но задерживается на сосудах.
Правосторонняя гемигепатэктомия
Для мобилизации правой половины печени рассекают правую треугольную, серповидную, печеночно-диафрагмальную и печеночно-почечную связки. Тупо отпрепаровывают внебрюшинное поле печени от диафрагмы. В воротах печени перевязывают правые ветви воротной вены и печеночной артерии, затем правый печеночный проток. Правую ветвь печеночной артерии до перевязки временно пережимают и убеждаются, что она не снабжает левую половину печени.
После окончания воротного этапа операции перевязывают правую верхнюю, правую среднюю и нижнюю вены, правые притоки средней печеночной вены и отдельные мелкие печеночные вены.
После удаления правой доли осуществляют дополнительный гемостаз и холестаз по линии сечения. Для обнаружения мелких желчных протоков вводят р-р метиленового синего в печеночный или общий желчный проток.
Культю печени укрывают большим сальником, связками или лоскутом диафрагмы. Операцию завершают декомпрессией печеночного протока через культю пузырного (если производилась холецистэктомия) или через общий желчный проток по Керу, Вишневскому или Дольотти (см. Желчные протоки, операции). Резиновые дренажи подводят к культе печени и в правую плевральную полость.
Левосторонняя гемигепатэктомия
Операция является технически более простой, т. к. удаляется меньшая по объему и более доступная часть печени.
Мобилизация левой половины печени достигается пересечением малого сальника, левой треугольной и серповидной связок. Перевязывают в воротах левую ветвь воротной вены, левую ветвь печеночной артерии и левый печеночный проток, а из кавальной системы вен — левую печеночную вену и левые ветви средней печеночной вены. При типичных анатомических взаимоотношениях наиболее удобна следующая последовательность перевязки элементов глиссоновой системы: артерия, вена, проток. Печеночные вены перевязывают после окончания воротного этапа операции. При этом ориентируются на левый край нижней полой вены, чтобы не перевязать основной ствол средней печеночной вены, т. к. ее правые притоки относятся к правой половине печени. Обработку линии сечения паренхимы печени и дренирование желчевыводящих путей производят так же, как при правосторонней Г.
Осложнения
Наиболее тяжелыми осложнениями во время Гемигепатэктомии являются кровотечение в результате разрыва стенки нижней полой вены или фибринолиза, воздушная или опухолевая эмболия легочной артерии. Учитывая опасность разрыва нижней полой вены, под нее ниже и выше печени подводят провизорные турникеты. Возникший разрыв ушивают П-образными швами атравматической иглой. Во избежание воздушной эмболии во время обработки печеночных вен больного переводят в положение Тренделенбурга и повышают внутрилегочное давление в процессе искусственной вентиляции легких.
Послеоперационное ведение
Послеоперационное ведение направлено на предупреждение возникновения ограниченного и разлитого желчного перитонита, печеночно-почечной недостаточности, тромбоза притоков и ветвей воротной вены, эмболии легочной артерии, позднего фибринолиза, а также осложнений, возникающих и после других операций на органах брюшной полости. Правосторонняя Г. может осложняться также пневмотораксом, образованием желчно-плевральных и желчно-бронхиальных свищей.
Результаты операции
Послеоперационная летальность после Гемигепатэктомии высокая; она выше при правосторонних Гемигепатэктомиях и несколько ниже при левосторонних. По сборной статистике Бруншвига (G. Brunschwig) с соавт., летальность после Гемигепатэктомии составляет 25—35%. Отдаленные результаты Гемигепатэктомии описаны как единичные наблюдения.
Удаление доли или сегмента печени — см. Печень, операции.
Библиография: Боровков С. А. Операции на печени, М., 1968, библиогр.; Брегадзе И. Л. и Константинов В. М. Альвеолярный Эхинококкоз (альвеококкоз), М., 1963, библиогр.; Тон Тхат Тунг, Хирургия печени, пер. с франц., М., 1967, библиогр.; Шапкин В. С. Резекция печени, М., 1967, библиогр.; Bengmark S. u. a. Physiologie der Leberresektion, Zbl. Chir., S. 1642, 1973; Воurgeon R. et Guntz M. La place de Thepatectomie dans le traitement du kyste hydatique du foie, Rev., Int. Hepat., t. 10, p. 1021, 1960; Brunsсhwig G. Hepatic lobectomy, Amer. J. Surg., v. 97, p. 148, 1959; Couinaud С. Distribution de l’artere hepatique dans le foie, Acta anat. (Basel), t. 22, p. 49, 1954; он же, Le foie, P., 1957; Lin T. Y., Chen K. M. a. Liu T. K. Total right hepatic lobectomy for primary hepatoma, Surgery, v. 48, p. 1048, 1960; Nakayama K. Simplified hepatectomy, Brit. J. Surg., v. 45, p. 645, 1958; Reiffersсhei d M. Chirurgie der Leber, Stuttgart, 1957, Bibliogr.; Sсhweizer O. a. Howland W. S. Anesthetic management during total hepatic lobectomy, Surg. Gynec. Obstet., v. 110, p. 61,1960.
В хирургической практике гемигепатэктомия – это удаление анатомически обособленной половины печени. Различают правостороннюю и левостороннюю технику резекции в соответствии с бассейнами воротной вены. Является сложной операцией на органах брюшной полости, в связи, с чем применяется редко.

К основным показаниям для резекции относят:
- травмы печени;
- первичные злокачественные новообразования органа;
- множественные абсцессы;
- альвеолярный эхинококк;
- поликистоз;
- злокачественные образования на других органах, например, на толстой кишке.
Если патологический процесс распространен, требуется иссечение более половины органа. Такое оперативное вмешательство называется расширенной гемигепатэктомией. При правосторонней операции резецируют правую анатомическую долю органа и четвертый сегмент левой половины.
Расширенная левосторонняя гемигепатэктомия выполняется в двух вариантах:
- полное иссечение левой половины и правого около срединного сектора;
- резекция левой доли печени и пятого сегмента правой стороны.
Перед проведением операции требуется точно установить топический и нозологический диагнозы. Для этого проводят трансумбиликальную гепатопортографию и спленопортографию.
Оперативное вмешательство противопоказано:
- при аллергических реакциях на анестезию;
- при сахарном диабете;
В остальных случаях врач назначает гемигепатэктомию.
Подготовка перед операцией
Перед оперативным вмешательством хирург обсуждает с пациентом возможные осложнения для организма, а также убеждается в отсутствии противопоказаний для хирургического лечения. Проводится объективный осмотр, и назначаются УЗИ брюшной полости и МРТ. Это требуется для уточнения локализации патологического процесса и топографии печени.
Проводится коррекция биохимических сдвигов, если они были выявлены, витаминотерапия, а также подготавливается сердечно-сосудистая система к операции при помощи сердечных гликозидов.
Требуется оценить при помощи функциональных проб и биохимических исследований компенсаторные возможности той половины паренхимы печени, которая не поражена.
Проведение операции

Для обезболивания используют эндотрахеальный наркоз с управляемым дыханием.
- в мочевой пузырь – для наблюдения за диурезом;
- в центральную вену – для наблюдения за гемодинамикой;
- зонд в желудок – для разгрузки ЖКТ.
Оперативный доступ должен обеспечивать незатруднительный для хирурга путь к воротам печени, печеной вене и нижней полой. При левосторонней операции используют верхнюю срединную лапаротомию или разрез, параллельный реберной дуге с переходом на правое восьмое межреберье. Правосторонняя гемигепатэктомия проводится из торако-френо-абдоминального доступа.
Сосуды печени обрабатываются по схеме следующими способами:
- Перевязка сосудов, как только хирург их обнаружит. Подход осуществляется через паренхиму по бессосудистым участкам. Для остановки кровотечения ножка печени временно пережимается.
- Перевязка сосудов на уровне ворот органа. Не требует предварительного рассечения печени.
- Комбинированный способ. Объединяет элементы первых двух методов.
Оперативное вмешательство состоит из нескольких важных этапов:
Это стандартная схема. Однако существует несколько вариаций, незначительно отличающихся от основного поэтапного плана.
Правосторонняя гемигепатэктомия
Требует рассечения печеночно-почечной, правой треугольной, печеночно-диафрагмальной и серповидной связок. Правые ветви воротной вены, печеночной артерии и правый печеночный проток перевязывают.
Как только завершился воротный этап оперативного вмешательства, правая верхняя, срединная и нижняя вены, а также мелкие печеночные, правые притоки срединной печеночной вены также перевязываются хирургом.
В ходе операции после удаления доли печени обеспечивают дополнительный гемостаз и холестаз по линии иссечения. Для того, чтобы обнаружить маленькие по диаметру желчные протоки, в печеночный проток вводят раствор метиленового синего.
Культю органа укрывают большим сальником. Заключительный этап операции – декомпрессия печеночного протока через общий желчный или пузырный проток в зависимости от предыдущих поэтапных действий. Дренажи устанавливают в правую область плевры и в культю печени.
Левосторонняя гемигепатэктомия
Проведение левосторонней гемигепатэктомии заключается в пересечении малого сальника, серповидной и левой треугольной связок. В воротах требуется перевязать левую ветвь печеночной артерии, воротной вены и печеночный проток. Перевязка печеночных вен осуществляется после завершения воротного этапа оперативного вмешательства. Завершающие этапы проводятся аналогично правостороннему варианту. В отличие от последнего, рассматриваемый способ более простой, так как, требуется резецировать меньшую по объему и более доступную долю органа.
Период восстановления
После хирургического вмешательства пациент должен в течение 7 суток находиться на дневном стационаре. Это период восстановления организма. Если имеются послеоперационные осложнения, срок продлевают.
В дневном стационаре за пациентом ухаживают, оказывая следующие услуги:
- в первые несколько суток пациент получает питание через капельницу;
- ежедневно меняется повязка, наложенная на область раны;
- пациент должен употреблять болеутоляющие препараты и лекарственные вещества, позволяющие бороться с тошнотой;
- помощь в выполнении личной гигиены после оперативного вмешательства.
Возможные осложнения
Гемигепатэктомия имеет ряд возможных последствий:
- тошнота и рвота;
- снижение уровня сахара в крови;
- снижение оптимального функционирования гепатолиенальной системы;
- кровотечение;
- печеночная недостаточность.
Послеоперационное ведение направлено на то, чтобы предупредить возникновение разлитого и ограниченного перитонита, образование тромбов в ветвях воротной вены, эмболии легочной артерии и других осложнений, возникающих после оперативного вмешательства на органы брюшной полости.
Правосторонняя гемигепатэктомия может осложниться возникновением желчно-плевральных свищей, а также попаданием воздуха в область плевры. Левосторонний вариант проведения гемигепатэктомии безопаснее для пациента в послеоперационном периоде.
В широкопрофильной клинике, где работают квалифицированные хирурги, риск возникновения возможных осложнений стремится к нулю. Выбирая хороший медицинский центр, пациент выбирает высокое качество жизни без заболеваний.

Гемигепатэктомия – сложнейшая операция по удалению анатомически обособленной половины самой большой железы в организме человека, а именно – печени. Этот орган участвует во многих процессах жизнеобеспечения, в частности, регулирует обмен и накапливает углеводы, белки, гормоны, витамины и минеральные вещества, очищает организм от ядов и токсинов, участвует в процессе пищеварения и кроветворения у плода. Также она служит как резервуар для крови. Поэтому удаление доли печени проводится лишь в случаях, когда консервативные методы не были эффективны или патология органа представляет угрозу для жизни.
Методы резекции печени
Отдельные нервные окончания и кровеносные сосуды, которые подходят к печени, позволяют разделить ее на 5 секторов и 8 сегментов. Благодаря этому, а также наличию отдельных желчевыводящих протоков, есть возможность проводить операции по удалению одного или нескольких сегментов, не нарушая функционирование органа. Наиболее распространенным методом при разнообразных патологических изменениях печени является резекция, однако на сегодняшний день, в зависимости от необходимого объема вмешательства, существуют разные техники выполнения.
Так, разделяют две основные категории операций – это анатомическая или периферическая, которые еще называют типичной и атипичной резекцией. В первом случае учитывается структура железы, во втором – анатомическое строение роли не играет, поскольку удаление происходит у краев печени. Важной при проведении типичного оперативного вмешательства является перевязка магистральных сосудов и протоков в воротах печени, поэтому атипичные операции считаются менее сложными.
К первой группе операций относится так называемая сегментэктомия, когда делается резекция лишь одного сегмента, и секциоэктомия – она делается при необходимости удалить несколько сегментов. Если удаляется полностью левая или правая доля органа – это гемигепатэктомия, которая бывает также расширенной, когда вместе с одной половиной дополнительно вырезается сегмент другой.
Ко второй группе причисляют клиновидную, краевую, плоскостную и поперечную резекции, что зависит от того, возле какой поверхности или края расположена проблема.

Устранение патологии возможно и другими способами, не только при помощи скальпеля. Это:
- Лапароскопия с использованием радиочастотной абляции, когда паренхима иссекается с помощью радиочастотного излучения.
- Химиоэмболизация проводится при обнаружении злокачественного образования на ранней стадии. Суть метода заключается в введении химиопрепарата непосредственно в тот кровеносный сосуд, который снабжает проблемный сегмент, что позволяет убить клетки опухоли. При этом отток лекарств из секции блокируется.
- Алкоголизация предусматривает введение этанола с помощью шприца в нужный сегмент, что приводит к деструкции опасных клеток.
Показания для проведения гемигепатэктомии
Такое оперативное вмешательство является очень сложным, поэтому для проведения гемигепатэктомии нужны серьезные показания и тщательное обследование. Обязательными являются общий и биохимический анализ крови, а также на ВИЧ и СПИД, коагуло- и липидограммы, печеночные пробы и онкологические маркеры в крови, а также анализы на наличие вирусной природы В и С.
К тому же врач может назначить рентген органов грудной клетки, УЗИ, КТ или МРТ печени, ЭКГ. Вдобавок при наличии новообразований на органе проводят тонкоигольную биопсию, а для исследования сосудистого русла вводят контрастное вещество.
Проводить резекцию печени путем гемигепатэктомии необходимо при злокачественных опухолях и метастазах от новообразований в других органах, например, при раке желудка, матки, почек или простаты. Некоторые доброкачественные опухоли также являются показанием для оперативного вмешательства.
Аварии и бытовые травмы, когда повреждение печени сопровождается нарушением анатомической целостности тканей, требуют немедленного проведения гемигепатэктомии.
Также удаление части железы проводится при абсцессах, которые связаны с размножением инфекции или септическим поражением, поликистозе, аномальных развитиях органа и при необходимости трансплантации рассекаемой части печени.
Особенности право- и левосторонней гемигепатэктомии
Левосторонняя гемигепатэктомия технически считается более простой, поскольку большая по объему и более доступная доля печени остается. После мобилизации печени для начала также перевязывают левые ветви артерии, воротной вены и протоков в воротах печени. Только после этого этапа переходят к печеночным венам.
Важно не перевязать основной ствол средней печеночной вены, поскольку ее протоки снабжают правую половину печени. Последующий этап проводится так же, как и при правосторонней гемигепатэктомии.
В ходе правосторонней гемигепатэктомии удаляют с 5 по 8 сегменты печени, для чего орган перемещают в плевральную полость и перевязывают сосуды и печеночный проток. Когда становится видна стенка воротной вены, выделяют ее правый ствол и пережимают. После наблюдения за изменением цвета печени сосуды перевязывают и рассекают.
Далее находят нижнюю полую вену и разделяют ее брюшинный покров. Перевязываются правые печеночные вены, и печень разделяется по ходу срединной щели. Желчный пузырь отделяют в сторону оставшейся доли железы. Орган продолжают рассекать по фиссуре и перевязывают оставшиеся вены. После резекции органа закрывают рану, для чего используют большой сальник или желчный пузырь.
Последствия данного оперативного вмешательства
Во время операции, а также после процедуры гемигепатэктомии, часто возникают осложнения, которые несут риск для жизни пациента. Так, бывает сложно или невозможно остановить внутреннее кровотечение, а также разрыв печеночных вен, если во время процедуры туда попал воздух. Не исключена остановка сердца из-за применения анестезии.
В послеоперационный период возможны разнообразные воспаления внутренних органов, например, желчного пузыря и его протоков, а также формирования абсцесса. Ненадлежащий уход и обработка раны могут привести к ее нагноению. Кроме того, часто наблюдаются у больных нарушения работы желудочно-кишечного тракта, что проявляется в неустойчивом стуле, вздутии и болевых ощущениях.
Читайте также:
