Показания и методика дефекографии при нарушении дефекации
Добавил пользователь Евгений Кузнецов Обновлено: 24.01.2026
Показания и методика дефекографии при нарушении дефекации
Исследование у больных с нарушениями дефекации: обструкция на выходе, дисфункция тазового дна, пролапс прямой кишки или органов таза, скопление рентгеноконтрастных меток в дистальных отделах при исследовании времени транзита по толстой кишке. Введение рентгеноконтрастной пасты с вязкостью, более близкой к вязкости стула, чем обычного контраста. Исследование со статическими снимками или видеодефекография во время опорожнения кишечника больным сидя на туалетном кресле. Оценка включает в себя динамическое наблюдение, структурные и функциональные изменения процесса дефекации и ее полноты.
Нормальная последовательность: правильное расположение аноректального отдела - над лобково-копчиковой линией; тонус лобково-прямокишечной мышцы обеспечивает тракцию кпереди с формированием аноректального угла (норма: 90-100° в покое); удерживание содержимого приводит к элевации тазового дна и уменьшению аноректального угла; напротив, натуживание приводит к увеличению аноректального угла (релаксация иуборектальной мышцы), возникновению эвакуаторных сил, раскрытию анального канала и полной эвакуации.
а) Преимущества дефекографии. Непрерывная оценка динамического взаимодействия прямой кишки и ее содержимого во время усилий, направленных на эвакуацию, полезна при диагностике инвагинации прямой кишки, ректоцеле с задержкой стула, диссинергии мышц тазового дна и определении степени опорожнения прямой кишки.
б) Ограничения дефекографии:
• В целом, неспецифические данные, непрямые доказательства. Параметры, в частности величина аноректального угла или частота выявления инвагинации и анизма, варьируют в зависимости от квалификации исследователя.
• Отсутствие информации о внекишечных патологических изменениях => МРТ дефекография или динамическая тазовая МРТ.
• Инконтиненция: потеря контраста до завершения исследования.
• Проблемы при диагностике у пациентов, плохо сотрудничающих с врачом.
Дефекография
а) Цель. Как описано выше: метод относительно прост, дешев, последовательность тестов не ограничена.
б) Оборудование и методика:
• Введение рентгеноконтрастной пасты, размещение пациента на прозрачном туалетном кресле (Brunswick) => последовательные действия: покой, удерживание, нату-живание, опорожнение.
• Визуализация: флуороскопия со статическими снимками, предпочтительнее видеодефекография.
в) Риск. Лучевая нагрузка: 450-700 мбэр (4,5-7,0 мЗв).
г) Интерпретация:
• Существенные патологические изменения: качественные изменения динамики, снижение эффективности эвакуации, опущение тазового дна (ниже лобково-копчиковой линии), расслабление лобково-прямокишечной мышцы или парадоксальное сокращение, ректоцеле, инвагинация, пролапс, энтероцеле, неполная эвакуация.
• Несущественные патологические изменения: величина аноректального угла (различные нормальные значения по данным различных исследователей!).
д) Трудности:
• Ложноотрицательный результат: выраженное недержание кала приводит к потере контраста и неадекватному заполнению ампулы прямой кишки.
• Гипердиагностика в бессимптомных случаях: например, ректоцеле в 25-50%.
• Переоценка значения данных: ректоцеле, угол, складки слизистой => всегда необходима корреляция с клиникой для определения соответствия выявленных находок жалобам больного.

Аноректальный угол при дефекографии в покое и при натуживании.
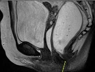
МРТ дефекография
а) Цель. При доступности, МРТ - предпочтительное исследование, поскольку позволяет визуализировать изменения внутри и вне просвета прямой кишки в течение всего времени опорожнения. В противоположность «динамической МРТ» (в положении больного лежа на спине), открытая интервенционная МРТ дефекография позволяет исследовать больного в естественном положении сидя во время естественного опорожнения кишечника.
б) Оборудование и методика:
• Требует очень дорогостоящей инфраструктуры и оборудования: сверхпроводниковая система МРТ при которой больной может сидеть.
Введение в прямую кишку МРТ контрастной пасты (гадолиний 2,5 ммоль/л): 300 мл синтетического «стула» (пюре из картофельного крахмала), смешанного с 1,5 мл гадопентата димеглюмина (377 мг/мл). Пациент садится на кресло, «прозрачное» для МРТ. Последовательность МРТ снимков: покой, удержание, натуживание, опорожнение (статические снимки или, предпочтительнее, видеодефекография).
в) Риск. Связанный с МРТ (противопоказания: металлические импланты и т.д.), побочные эффекты гадолиния.
г) Интерпретация:
• Существенные патологические изменения: качественные изменения в динамике, включая оценку состояния органов таза и брюшной полости, эффективность эвакуации, опущение тазового дна (ниже лобково-копчиковой линии), пролапс прямой кишки и органов таза, энтероцеле, расслабление лобково-прямокишечной мышцы или парадоксальное сокращение, ректоцеле, инвагинация, неполная эвакуация.
• Несущественные патологические изменения: величина аноректального угла (различные нормальные значения по данным различных исследователей!).
д) Трудности:
• Ограниченная доступность.
• Другие трудности: описаны выше.
е) Дальнейшие шаги зависят от клинических особенностей и рентгенологических данных:
• Анофизиологические исследования.
• Ирригоскопия.
• Динамическая МРТ.
Редактор: Искандер Милевски. Дата обновления публикации: 18.3.2021
Рентгенографическая дефекография

Рентгенографическая дефекография – это рентгенологическое исследование прямой кишки, которое может оценить, нормально ли происходит опорожнение кишечника (дефекация), и правильно ли функционируют мышцы области таза.
МРТ дефекография отличается от рентгеновской дефекографии возможностью увидеть изменения не только внутри, но и вокруг прямой кишки в течение всего времени опорожнения, а так же оценить состояние окружающих органов и тканей. Показания к проведению дефекографии:
- Задержки стула (запор)
- Недержание кала
- Выпадение прямой кишки
- Нарушение функции тазового
Противопоказания к проведению дефекографии:
- Беременность
- Тяжелое состояние
- Перфорация (разрыв) стенки прямой кишки
Подготовка к исследованию
Важно!
Достоверность результатов зависит от правильности подготовки к процедуре, а чтобы обследование получилось исчерпывающим, пищеварительный тракт освобождают от кала и проводят тщательное очищение кишечника, строго соблюдая предписанную диету.
В течение двух дней перед исследованием следует придерживаться бесшлаковой диеты. Из рациона исключаются жирная и жареная пища, кофе, свежие овощи и фрукты, а также еда, способствующая газообразованию (ржаной хлеб, бобовые, выпечка, каши из перловой и овсяной крупы, молоко и т. д.). Вместо свежего хлеба можно есть постное печенье и сухари из пшеничных булок.
Рекомендуется обильное питьё (до 2 л. в сутки, при отсутствии противопоказаний). В качестве питья разрешается употребление кисломолочных напитков, компота из сухофруктов, некрепкого зеленого или травяного чая.
За день до исследования завтрак и обед должны быть легкими. Так как дефекография должна проводиться натощак, то утром перед процедурой завтракать запрещено.
Следует провести очищение кишечника путем приема специального слабительного лекарственного препарата (фортранс или др.) начиная с 16:00 в день перед исследованием согласно предписаниям лечащего врача (препараты приобретаются самостоятельно).
При сахарном диабете голодание противопоказано. В этом случае необходимо предварительно получить консультацию у лечащего врача.
Для проведения исследования врачу необходимо предварительно изучить уже имеющуюся информацию о Вашем заболевании, поэтому просим Вас взять с собой на исследование историю болезни или амбулаторную карту.
Если в истории болезни или амбулаторной карте нет данных о течении заболевания, предоставить эту информацию можно в любом виде - в выписках, бланках исследований, копиях медицинских документов. Чем больше доктор будет знать о ситуации пациента, тем эффективнее будет диагностика.
Необходимо также принести с собой сухие и влажные салфетки (для гигиены после дефекации), два шприца Жане объемом 150 мл и одну чистую простыню. Простыни и катетер Фолея Вы можете попросить заранее у медицинских сестер в отделении, где Вы проходите лечение.
Как проходит исследование
Вам необходимо прийти в отделение лучевой диагностики (9 этаж) или в УКБ №3 за 10-15 минут до назначенного времени начала исследования и, обратившись в кабинет, сообщить о своем прибытии сотрудникам. Учитывая возможность экстренных исследований, есть вероятность ожидания процедуры в течение некоторого времени.
Опытные врачи и рентген-лаборанты сделают всё, чтобы Вы чувствовали себя комфортно и безопасно на протяжении всего исследования.
Врач попросит Вас раздеться и непосредственно перед осуществлением дефекографии при помощи специального шприца с небольшой пластиковой трубкой Вам в прямую кишку введут рентгенконтрастную пасту (до 250 миллилитров). Затем Вам будет предложено расположиться на «прозрачном» туалетном унитазе, который располагается рядом с флюороскопом, записывающим процесс дефекации. Процесс состоит из нескольких различных фаз: покой, удерживание стула, натуживание и опорожнение, в течение которых и производятся снимки.
Затем проводится стандартное исследование органов малого таза после которого выполняются программы динамического сканирования при спокойном дыхании, при глубоком дыхании и при форсированном выдохе с закрытым носом и ртом. Эти серии должны подготовить Вас к акту дефекации. После этого Вас попросят испражниться. Возможно, в лежачем положении сделать это бывает затруднительно, поэтому может быть произведено несколько попыток. Важно помнить, что акт дефекации в данном случае является наиболее важным моментом исследования.
Обследование в виде фильма записывается на диск. Этот фильм предоставляет врачу ценную информацию для диагностирования Вашей проблемы.
После процедуры Вы можете вернуться к своему обычному питанию и повседневной деятельности, если врач не дал Вам других рекомендаций.
Записаться на прием
Дисфункция тазового дна

Тазовое дно представляет собой совокупность мягких тканей. Его мышцы обеспечивают поддержку внутренних органов снизу. Дисфункцией тазового дна принято называть состояние, при котором работа мышц по каким-либо причинам нарушается, что приводит к проблемам с опорожнением кишечника. По-другому это состояние называется обструктивной дефекацией.
Обратиться для консультации к специалисту необходимо, если в течение длительного времени вы испытываете постоянные проблемы, выражающиеся в трудностях со стулом – запоре или возникновении ощущения неполного опорожнения. При дисфункции таза пациенты могут жаловаться на повторяющиеся многократные позывы после стула.
Причины возникновения дисфункции тазового дна
Дисфункция тазового дна – достаточно распространённое на сегодняшний день явление. Причины его возникновения могут лежать в разных плоскостях. Синдром обструктивной дефекации может развиться по психологическим причинам, из-за появления физиологических нарушений – вследствие заболеваний или травм или являться результатом совокупности неблагоприятных факторов.
Чтобы произошло нормальное опорожнение кишечника требуется скоординированная определённым образом работа мышц. В норме должно произойти расслабление мышц таза и напряжение мышц живота. При обструктивной дефекации эвакуация стула затрудняется по причине недостаточного расслабления мускулатуры тазового дна.
Способы лечения дисфункции таза
Прежде чем приступить к лечению дисфункции тазового дна врач проводит необходимые обследования. После опроса и осмотра назначают дефекографию. Она позволяет обнаружить и изучить возможные изменения прямой кишки, отследить особенности работы мышц при дисфункции таза непосредственно во время акта дефекации. При помощи введения в прямую кишку рентгеноконтрастного раствора можно отследить полностью ли и насколько свободно выходит её содержимое, а также исследовать её складчатость и наличие каких-либо искривлений.
После определения причин дисфункции тазового дна врач сможет выбрать оптимальную тактику лечения. В случае обнаружения признаков выпадения прямой кишки, заметных искривлений, влияющих на прохождение кала может потребоваться хирургическое вмешательство. Дисфункция тазового дна, вызванная спазмами мышц может потребовать применения медикаментозных и физиотерапевтических методов.
Лечение дисфункции тазового дна в нашей клинике
В нашей клинике вы можете пройти все необходимые обследования и получить качественное и современное лечение дисфункции таза, вызванной любыми причинами. К физиотерапии относится метод так называемого биофидбэка, основанный на принципе обратной биологической связи. Пациенту в прямую кишку вводится специальный баллончик или зонд с датчиками, закрепляемыми вокруг анального отверстия и на брюшине, и во время акта их изгнания врач фиксирует мышечную активность и помогает пациенту понять, в какое время и какие мышцы должны сокращаться и расслабляться. Эффективность этого метода достигает 75%.
Если при дефекографии были выявлены анатомические нарушения, такая дисфункция таза требует применения хирургических методов. Таким способом проводится лечение при выраженном ректоцеле, выпадении прямой кишки и других подобных состояниях.
Запись на прием
Показания и методика исследования транзита по толстой кишке
Качественное и отчасти количественное исследование времени транзита по толстой кишке без стимуляции. Полезное исследование у больных с запорами и метеоризмом для дифференцировки между этиопатогенетическими подтипами, которое служит руководством для дальнейших диагностических и лечебных мероприятий.
Классический метод: прием рентгеноконтрастных меток внутрь (готовый коммерческий продукт Sitzmarks или изготовленные самостоятельно - мелко нарезанные рентгеноконтрастные трубки) с рентгенологическим исследованием по графику: недорогой, безопасный и простой метод.
Альтернативный метод: сцинтиграфия с радиоизотопами per os.
а) Преимущества исследования транзита по толстой кишке. Оценка транзита по толстой кишке у больных с хроническими запорами для дифференцировки между:
• Медленнотранзитными запорами (инертная толстая кишка).
• Дисфункцией тазового дна/обструкцией выходного отдела.
• Нормальнотранзитными запорами, например, при СРК.
б) Ограничения исследования транзита по толстой кишке. Больной не сотрудничает с врачом: продолжает прием слабительных, не принимает добавки с клетчаткой.
Последовательное исследование транзита (3-х дневный вариант) по толстой кишке
а) Цель. Качественное и количественное исследование времени транзита по толстой кишке.
б) Оборудование и методика. Общий инструктаж больного:
• Временное прекращение приема любых слабительных средств или клизм в течение исследования.
• Прием добавок с клетчаткой 4 раза в день.
• По крайней мере, 6 стаканов (200 г) воды ежедневно.
• Обычная диета (без специальной коррекции).
• Капсулы Sitzmarks: одна капсула утром в первый, второй и третий дни.
• Рентгенография органов брюшной полости: на 4-й и 7-й дни.
в) Риск:
• Лучевая нагрузка: 140 мбэр (1,4 мЗв).
• Каловый завал.
г) Интерпретация. Три варианта распределения:
1. Все метки сконцентрированы в полости таза: => обструкция на выходе => дефекография.
2. Метки равномерно распределены по толстой кишке: медленнотранзитный запор.
3. Все метки эвакуировались: нормальный транзит, СРК с преобладанием запоров. Определение времени общего и сегментарного транзита.
д) Трудности:
• Ложноотрицательный результат: пациент не выполняет рекомендаций (например, не принимает капсулы, принимает слабительные) => результаты исследований могут быть расценены как нормальные: все метки эвакуированы.
• Ложноположительный результат: слишком короткий интервал между приемом меток и рентгенографией органов брюшной полости.

а - печеночный изгиб толстой кишки в норме. Синеватый оттенок обусловлен соседством печени. Колоноскопия
б - поперечно-ободочная кишка в норме. Видны треугольные полулунные складки. Колоноскопия
в - нормальная толстая кишка. Слепая кишка (С), поперечно-ободочная кишка (Т), сигмовидная кишка (S), находятся внутрибрюшинно. Часть восходящей (А), нисходящей (D) толстой кишок лежит забрюшинно. Видна прямая кишка (R).
Обнаружена гипермобильность нисходящей и сигмовидной кишок. Червеобразный отросток указан стрелкой. Рефлюкс бария и воздуха в терминальный отрезок подвздошной кишки (i). Клизма с барием, двойное контрастирование.
Рентгенограмма получена при положении больного на левом боку, пучок рентгеновских лучей направлен поперечно.
Упрощенное исследование транзита (однодневный вариант) по толстой кишке
а) Цель. Качественное исследование времени транзита по толстой кишке.
б) Оборудование и методика. Общий инструктаж больного:
• Временное прекращение приема любых слабительных или клизм в течение исследования.
• Прием добавок с клетчаткой 4 раза в день.
• По крайне мере, 6 стаканов (200 г) воды ежедневно.
• Обычная диета (без специальной коррекции).
• Капсулы Sitzmarks: одна капсула утром в первый день.
• Рентгенография органов брюшной полости: на 5-й день.
в) Риск:
• Лучевая нагрузка: 70 мбэр (0,7 мЗв).
• Каловый завал.
г) Интерпретация. Три варианта распределения (как описано выше).
д) Дальнейшие шаги:
• Дефекография.
• Анофизиологические исследования.
• Принятие решения о методе лечения, например, о субтотальной резекции?

а - Кольцевидный рак середины поперечно-ободочной кишки. Видно круговое сужение длиной 4 см с выступающими краями и узловатой слизистой оболочкой.
Клизма с барием, двойное контрастирование.
б - Сосуществующие аденокарцинома и тубулярная аденома. В области ректосигмо-идного соединения обнаружен полиповидный рак (показано большими белыми стрелками, контур белого цвета).
В проксимальной части сигмовидной кишки видна ножка (черная стрелка) и верхушка (маленькая белая стрелка) тубулярной аденомы. Клизма с барием, двойное контрастирование
в - Переходная форма между полипом и кольцевидной карциномой — «полукольцевой» или «седловидный» тип поражения.
На одном из снимков видно полиповидное образование в проксимальной части сигмовидной кишки. Противоположная от полиповидного образования стенка кишки (показана белыми стрелками) втянута в область частичной круговой инфильтрации опухоли.
На снимке в прямой проекции заметно новообразование (показано стрелкой), охватывающее толстую кишку по окружности. Клизма с барием, двойное контрастирование.
Информация на сайте подлежит консультации лечащим врачом и не заменяет очной консультации с ним.
См. подробнее в пользовательском соглашении.
Показания и методы обзорной рентгенографии в колопроктологии
Несмотря на быстрое развитие тонких методов медицинской визуализации, рутинная рентгенография (обзорные снимки) остается важным методом обследования вследствие повсеместной доступности, простоты и дешевизны. Лучевая нагрузка при единичном исследовании умеренная (сравнимая, например, с естественным радиационным фоном в 300 мбэр [3 мЗв]), но кумулятивная доза в результате серии медицинских исследований клинически значима.
Преимущества рентгенографии. Во многих случаях для постановки диагноза достаточно проведения базовых рентгенологических исследований, которые также могут служить ключом к последующему целенаправленному назначению более специфичных исследований. Серия снимков показана для выявления/исследования определенных патологических процессов (например, дилатации толстой кишки).
Ограничения рентгенографии. Неспецифичность исследования; недостаточная четкость анатомических деталей; наложение изображений трехмерных структур при их двухмерном отображении; эффект увеличения структур, расположенных на удалении от рентгеновской пленки; размытость соприкасающихся контуров.
Рентгенография органов грудной клетки
а) Цель:
1. Исследование легких, сердца, средостения.
2. Выявление пневмоперитонеума (снимок грудной клетки в вертикальном положении), например, при перфорации полого органа или несостоятельности анастомоза.
3. Исследование костных структур.
б) Оборудование и методика. Рентгенография органов грудной клетки в переднезадней (возможно боковой) проекции в вертикальном положении; если подвижность больного ограничена: рентгенография в переднезадней проекции в положении лежа.
в) Риск рентгенографии органов грудной клетки: Лучевая нагрузка: 6 мбэр (0,06 мЗв).
г) Интерпретация:
• Свободный газ: после неосложненной лапаротомии обычно «рассасывается» на 7-10 день; появление свободного газа в более поздние сроки - признак перфорации/несостоятельности.
• Образования в легких: воспалительные или опухолевые.
• Средостение: воздух, расширение, лимфаденопатия.
• Ателектазы, уплотнения в легких, выпот в плевральной полости, усиление сосудистого рисунка, отек легких, пневмоторакс и т.д.
д) Трудности:
• Синдром Хилаидити - расположение толстой кишки над печенью создает впечатление наличия свободного газа под диафрагмой.
• Ложноотрицательные результаты выявления свободного газа: могут наблюдаться при небольшой/ранней перфорации полого органа.
• Ложноположительные результаты: доброкачественные причины пневмоперитонеума.

Рентгенограммы органов брюшной полости
а) Цель. Оценка наличия газа в просвете кишки и его диаметра, газа вне кишки (например, при пневмобилии, перфорации полого органа или несостоятельности анастомоза с распространенным пневмоперитонеумом), жидкости вне кишки (расширение пространства между петлями). Рентгеноконтрастные образования (камни желчного пузыря, уролитиаз, кальцификаты в поджелудочной железе, сосуды, инородные тела).
В то же время, оценка скелета и мягкотканных структур (например, остеолиз, подкожная эмфизема и т.д.).
б) Оборудование и методика:
• Обзор органов брюшной полости от диафрагмы до таза в положении лежа и стоя.
• Если подвижность больного ограничена: рентгенография в положении лежа на спине и на левом боку.
в) Риск. Лучевая нагрузка: 70 мбэр (0,7 мЗв); 20-30% ложноотрицательных результатов.
г) Интерпретация:
• Свободный газ в брюшной полости: в положении лежа на левом боку (предпочтительнее рентгенография органов грудной клетки в положении стоя). Газ в забрюшинном пространстве. Газ в подкожной клетчатке или в субфасциальном пространстве.
• Уровни жидкости и растяжение толстой кишки: соответствуют уровню обструкции; «переходная точка» соответствует уровню механической обструкции: наличие воздуха, определяемого в прямой кишке, подозрительно в отношении псевдообструкции или энтерита.
• Симптом «двойного пузыря» (две структуры в эпигастрии, заполненные газом, при отсутствии воздуха в дистальных отделах): обструкция двенадцатиперстной кишки, незавершенный поворот кишечника, обструкция, обусловленная инвагинацией средней кишки или тяжами брюшины от слепой кишки к передней брюшной стенке, сдавливающими двенадцатиперстную кишку (синдром Ладда).
• Дилатация толстой кишки с симптомом «кофейного зерна»: заворот сигмовидной кишки (ось направлена к ЛВК) или слепой кишки (ось направлена к ПНК).
• Диффузное расширение толстой кишки: максимально до 6 см (1,5 позвонка) для поперечно-ободочной кишки, 12 см - для слепой. Критический диаметр зависит от скорости развивающейся дилатации.
• Пневматоз: интестинальная ишемия или pneumatosis cystoides intestinalis (кистозный пневматоз кишечника).
• Рентгенонегативное контрастирование толстой кишки: ограниченное количество газа в толстой кишке иногда позволяет четко визуализировать контуры ее стенок.
• Перемещение газа по толстой кишке => имитация опухоли.
• Кальцификаты: камни в желчном пузыре и в почках, атеросклероз, флеболиты, аппендиколиты, кальцификаты в брыжейке => гемангиомы.
• Инородные тела.
д) Трудности:
• Нормальные рентгенограммы органов брюшной полости не позволяют исключить наличие патологических изменений и процессов, например, обструкцию кишечника или перфорацию полого органа.
• Уровни газ - жидкость: соответствуют кишечной непроходимости, но не являются патогномоничными признаками, т.к. могут определяться при энтероколитах (диарея), послеоперационном парезе. • Воздух в прямой кишке может оставаться после предшествующих исследований.

Уровни газа и жидкости при кишечной непроходимости.
Рентгенография скелета
а) Цель:
• Оценка анатомических особенностей скелета и его целостности. В практике колопроктолога обычно не используется, однако в некоторых случаях изменения костей случайно выявляются при других исследованиях.
• Оборудование и методика
• В зависимости от цели, рентгенография в двух проекциях.
б) Риск. Лучевая нагрузка: череп - 3 мбэр (0,03 мЗв); конечности - 6 мбэр (0,06 мЗв); таз - 70 мбэр (0,7 мЗв); позвоночник 30-70 мбэр (0,3-0,7 мЗв).
в) Интерпретация:
• Остеома нижней челюсти, аномалии зубов (количество, форма) => синдром Гарднера.
• Деструкция/несращение крестца (тазовый симптом турецкой сабли) => менингоцеле, хордома.
• Анкилозирующий спондилит, сакроилиит => ВЗК.
г) Трудности. Отсутствуют.
д) Дальнейшие шаги зависят от клинических обстоятельств и радиологических находок:
• Исследования, позволяющие получить поперечные срезы: КТ или МРТ.
• Ультрасонография органов брюшной полости, грудной клетки.
• Специальные рентгенологические исследования с контрастированием.
• ПЭТ обычно не показана в качестве следующего этапа обследования (за исключением особых случаев).
Срочное хирургическое вмешательство без дальнейших исследований, например, при наличии свободного газа в брюшной полости.
Читайте также:
