Примеры энуклеации при ретинобластоме
Добавил пользователь Евгений Кузнецов Обновлено: 24.01.2026
Ретинобластома (РБ) – наиболее распространенная внутриглазная злокачественная опухоль оптической части сетчатки нейроэктодермального происхождения. Опухоль развивается внутриутробно или в раннем возрасте и характеризуется высокой степенью злокачественности, инвазивностью, способностью быстро метастазировать в соседние органы и ткани. В последние годы наблюдается рост частоты РБ в популяции: в настоящее время она составляет 1:10000-20000 живых новорожденных [2,7,16], хотя еще 20 лет назад частота опухоли оценивалась как 1:30000 [1,3]. Участие генетических факторов в процессе канцерогенеза в настоящее время не подвергается сомнению. Многочисленными исследованиями подтверждено, что злокачественная опухоль развивается в результате как структурных, так и функциональных (эпигенетичеких) мутаций генов.
Ретинобластома – наследственное заболевание, и предрасположенность к ней обусловлена герминальной мутацией в одном из аллелей гена RB1, который относится к классу генов-супрессоров опухолевого роста и расположен в проксимальном районе длинного плеча хромосомы 13 (q14.1). Передается потомству по аутосомно-доминантному типу с варьированием экспрессивности и достаточно высокой пенетрантностью (90%) [5,6]. РБ – первое онкологическое заболевание, на примере которого была сформулирована двухударная теория канцерогенеза, предполагающая, что для перехода нормальной клетки в опухолевую необходимы два последовательных мутационных события [5,10]. При наследственной форме РБ вторая мутация может появиться в любой соматической клетке организма, поэтому у больных с герминальной мутацией в гене RB1 существует большой риск развития различных злокачественных опухолей, таких как остеосаркома, рак молочной железы и другие. Существует спорадическая и наследственная форма заболевания. Спорадическая форма встречается в 60% случаев и проявляется как монолатеральная, монофокальная опухоль у детей после года. Наследственная форма встречается в 40% случаев, выявляется преимущественно на первом году жизни и сопровождается двусторонним поражением с мультицентричным характером роста.
РБ развивается в возрасте от 0 до 9 лет. У подавляющего большинства детей РБ развивается в возрасте до 3 лет. Однако в последние 10 лет наблюдается увеличение заболеваемости у детей старше 5 лет. Выявление опухоли в юношеском возрасте считается раритетом [6,10]. Оба глаза поражаются одинаково часто. Различий по половому признаку, расовой принадлежности не установлено. В начале 20 века дети, страдающие от ретинобластомы, имели мало шансов на выживание. Прогресс в лечении этого заболевания позволил повысить выживаемость с 30% в 1930 году, до 80% в 1960 г. В настоящее время, благодаря внедрению в практику различных комбинированных методов лечения, эта цифра достигает 95% в развитых странах [10,16]. Ключевую роль в революционном снижении смертности сыграли усовершенствование лучевых технологий и внедрение новых лекарственных препаратов, которые были включены в протоколы лечения детей [3].
Целью настоящего исследования является анализ эффективности проводимого комбинированного лечения больных с различными формами ретинобластомы.
Материал и методы
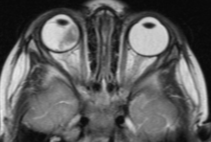
Проведен ретроспективный анализ эффективности лечения детей с различными формами РБ, поступившими в стационар отдела офтальмоонкологии и радиологии МНИИ ГБ им. Гельмгольца с января 2002 г. по декабрь 2006 г. Под наблюдением находились 164 ребенка (79 девочек и 85 мальчиков) с первичной ретинобластомой. Монокулярная форма выявлена у 110 больных (67.0%), бинокулярная – у 54 детей (32.9%), у 1 ребенка выявлена трилатеральная ретинобластома. Наследственная РБ отмечена в 9 случаях (5.5%). Средний возраст больных с монокулярной формой заболевания при обращении составил 28±2.4 мес., при бинокулярном поражении – 14.5±1.5 мес. До госпитализации дети проходили полноценное общеклиническое обследование на предмет исключения регионарных и отдаленных метастазов. Всем детям после года проводили КТ орбит и головного мозга, дети до года подвергались этому обследованию в случае подозрения на экстрабульбарный рост или наличие метастазов в головной мозг. В стационаре все больные были обследованы в условиях медикаментозного сна с максимальным мидриазом, во время которого проводилось полное офтальмологическое обследование, включающее в себя, помимо рутинных методов, осмотр глазного дна ретинальной педиатрической камерой (RetCam), УЗИ, УЗДГ и ОСТ. Согласно классификации ВОЗ, III стадия заболевания была выявлена у 80% детей, IV стадия – в 11% случаев, а I-II стадия присутствовала только у 9% больных. Согласно принятой в западных странах классификации Reese-Ellsworth, построенной по прогностическому принципу, 75% больных отнесены к 4-5 группе (плохой прогноз), а 25% – к 1-3 группе.
В клинической картине монокулярных РБ преобладали больные со смешанным (рис.1) и эндофитным характером роста (74%), а при бинокулярном поражении – в лучших глазах наблюдался экзофитный (рис.2) или эндофитный (рис.3) характер роста (93%). У 36 из 54 больных (66.7%) с бинокулярной РБ имело место мультифокальное поражение сетчатки (рис.4). Количество опухолевых очагов колебалось от 2 до 5. У большинства больных с монокулярным поражением (82%) параметры опухоли определить было невозможно, так как опухоль выполняла практически весь глаз, помимо этого, отслойка сетчатки, кровоизлияния препятствовали детальному осмотру опухоли. Кальцификаты выявлялись в 76% случаев. При бинокулярном поражении толщина опухоли в «лучших» глазах варьировала от 1.2 до 8.5 мм (в среднем 5.3±0.7мм), а диаметр основания – от 3.5 до 14.5 мм (в среднем 7.5±1.2 мм).
Всем больным проведено комбинированное лечение с обязательной полихимиотерапией. Ликвидационные операции при монокулярном поражении сопровождались адъювантной полихимиотерапией по дробно-протяженной схеме, которая проводилась 1 раз в 3 недели в течение года под контролем гематологов и педиатров. Протокол включал внутривенное введение винкристина в дозе 0.05 мг/кг веса и циклофосфана из расчета 30 мг/кг веса. При проведении органосохраняющих операций лечение начинали с неадъювантной полихимиотерапии, предложенной нами, включающей цитостатик платинового ряда – карбоплатин (доза 18.7 мг/кг веса) и винкристин (0.05 мг/кг веса) в/в 1 раз в 3 недели с соблюдением всех норм введения. Количество курсов колебалось от 3 до 11 (стандартный блок – 6 курсов), зависело от параметров опухоли и ее чувствительности. После уменьшения параметров опухоли переходили к одному из видов локального разрушения опухоли (лазеркоагуляция, криодеструкция, брахитерапия Ru 106 +Rh 106 или Sr 90 +Y 90 ). Сроки наблюдения за больными составили от 12 до 60 мес., в среднем 42.5 мес. При оценке эффективности проведенной терапии из исследования были исключены 8 детей с бинокулярной РБ, наблюдение за которыми по не зависящим от нас причинам было прервано на разных этапах лечения.
Результаты и обсуждение
Анализ полученных результатов показал, что единственным методом лечения, который можно было предложить 91% больных (100 детей) с монокулярной ретинобластомой, являлась энуклеация. Во всех случаях опухоль или выполняла практически всю полость глаза, или имелись вторичные осложнения в виде тотально отслоенной сетчатки, вторичной глаукомы, гемофтальма, диссеминации опухолевых клеток в стекловидное тело или инвазия в ДЗН (рис.5), распространение опухоли в переднюю камеру (рис.6). Объясняется это, во-первых, поздним обращением больных к врачу, а во-вторых, отсутствием системы активного выявления врожденной патологии у детей младшего возраста. Известно, что самой распространенной жалобой является свечение зрачка (симптом «кошачьего глаза», лейкокория – 68%) однако этот признак свидетельствует о поздней стадии заболевания, при которой сохранение глаза практически невозможно. Анализ предъявляемых родителями жалоб свидетельствует о том, что второй основной жалобой у детей младшего возраста является косоглазие (32%). Но, к сожалению, врачи, как правило, не обращают на него внимания, в то время как косоглазие может возникать на ранней стадии развития центрально расположенной опухоли. Об отсутствии настороженности у офтальмопедиатров в плане выявления РБ говорит тот факт, что даже в семьях с высоким риском появления больного ребенка к врачу с просьбой об обследовании обращались родители [6].
В некоторых работах дискутируется вопрос о необходимости проведения адъювантной ПХТ после ликвидационных операций [7]. Основанием для исключения ПХТ из протокола лечения является отсутствие прорастания опухоли в хориоидею. Однако согласно полученным в нашем исследовании патоморфологическим результатам у 89% больных с рТ3с стадией развития опухоли наблюдались признаки инвазии опухоли в подлежащую хориоидею, что, как известно, резко повышает риск метастазирования опухоли и считается плохим прогностическим признаком [9]. Следовательно, включение в протокол лечения адъювантной полихимиотерапи, направленной на эрадикацию микрометастазов и профилактику рецидивов заболевания, является вполне обоснованным и необходимым принципом. В 10 случаях (9.09%), несмотря на большие размеры опухоли (более 8 мм), была предпринята попытка органосохраняющего лечения, которое начинали с неоадъювантной ПХТ. Глаза удалось сохранить у 8 больных, что составило 7.2% от общего числа больных с монокулярной формой опухоли.
Основной группой больных, среди которых развернулась борьба за сохранение глаза и зрения, были дети с бинокулярным поражением. После исключения 8 детей анализ эффективности лечения был проведен среди 46 детей с двухсторонней ретинобластомой. Необходимо отметить, что после тщательного обследования у 3 детей было выявлено полное поражение обоих глаз с развитием вторичной глаукомы, в связи с чем произведена одномоментная бинокулярная энуклеация. Еще у четырех детей была предпринята попытка сохранения второго глаза, однако, несмотря на временный эффект после неоадъювантной ПХТ, брахитерапии и лазеркоагуляции, возникли рецидивы опухоли и новые очаги, которые вынудили нас провести энуклеацию и второго глаза. Таким образом, на фоне лечения было удалены оба глаза в 8.7% случаев. У двух детей, благодаря предпринятым мерам, удалось сохранить оба глаза (4.3%). У 39 больных после обследования худшие глаза были удалены (Т3сm). Парный «лучший» глаз был подвергнут комбинированному лечению, на первом этапе которого применялась НХТ, разрушающая первичную опухоль до размеров, позволяющих проводить один из методов локального разрушения. Во всех случаях вторым этапом проводилась брахитерапия. При этом у 8 детей (20.5%) на фоне лечения возникли рецидивы или новые очаги, по поводу которых производилась повторная брахитерапия или разрушающая лазеркоагуляция. Помимо локального облучения, в случаях с мультицентричным поражением, при небольших размерах (толщиной до 1.5 мм), очаги, расположенные постэкваториально, разрушались с помощью диодного лазера (18 детей – 46.2%), а преэкваториальные – с помощью криодеструкции (3 больных). Таким образом, благодаря многофакторному воздействию на мультицентричные опухолевые очаги удалось сохранить 39 из 46 глаз (84.8%), а предметное зрение – у 35 детей (рис.7).
Анализ результатов комбинированного лечения больных с РБ еще раз доказал, что разрушение опухоли с помощью локального облучения офтальмоаппликаторами является наиболее эффективным методом. Известно, что брахитерапия для лечения ретинобластомы впервые была использована Stallard and Moore в 1920 г. в виде капсул с радоном. Затем радиоактивные источники неоднократно пересматривались. Сейчас в мире используются в основном офтальмоаппликаторы с радиоактивным йодом ( 125 I) и рутением 106 Ru. Локальное облучение рутениевыми аппликаторами впервые было применено в 1960 г. немецкими офтальмологами Lommatzsch and Vollmar. У нас в стране брахитерапия при РБ впервые использована Г.Д. Зарубеем в 1978 г. в отделении патологии глаз у детей МНИИ ГБ им. Гельмгольца (руководитель – проф. А.В. Хватова). Несмотря на то, что радиоактивный йод обладает большей проникающей способностью, чем рутений, применение его ограничено быстрым распадом частиц (одноразовое применение), большим количеством осложнений и дороговизной. Рутениевые офтальмоаппликаторы зарекомендовали себя как надежные, хорошо переносимые при правильном расчете дозы источники. В нашем исследовании не было ни одного случая склеромаляции, несмотря на то, что в 8 случаях аппликатор был использован повторно.
Хорошие результаты, полученные при лечении детей с тяжелой формой поражения, объясняются включением в комплекс лечения обязательной полихимиотерапии. Протокол адъювантной полихимиотерапии, применяемой в отделе офтальмоонкологии и радиологии МНИИ ГБ им. Гельмгольца, разработан в 1989 г. Международным комитетом по изучению ретинобластомы во главе с J. Shields. Почти 20-летний опыт использования подтвердил его высокую эффективность и хорошую переносимость. Внедрение в практику в 1995 г. неоадъювантной терапии произвело революцию в лечении больших и мультицентричных опухолей, так как основной компонент ПХТ – карбоплатин – обладает способностью разрушать первичную опухоль внутри глаза. Необходимо отметить, что приведенный нами протокол можно и нужно использовать только при локальных формах опухоли. При наличии признаков экстрабульбарного роста или генерализации процесса дети направляются в общеонкологические клиники для проведения высокодозной химиотерапии [3,7,13].
Благодаря карбоплатину стало возможным сохранять глаза, которые ранее однозначно подлежали удалению или подвергались наружному облучению в виде дистанционной гамматерапии. Безусловно, рентгенотерапия позволила в середине прошлого века резко повысить непосредственные результаты лечения детей с ретинобластомой и уменьшить смертность от заболевания. Однако уже в 1969 г. Sagerman [14] показал высокую зависимость развития вторичных опухолей от облучения. В последующие годы многие авторы подтверждали эту взаимосвязь. Так, Abramson [8] описал многочисленные случаи развития вторых, третьих и четвертых опухолей у выживших после РБ больных, причем количество вторых опухолей увеличивалось с каждым прожитым десятилетием, а смертность возрастала. Основываясь на этих данных, мы резко сократили показания к облучению детей. К сожалению, полностью исключить дистанционную гамма-терапию из протокола лечения невозможно, так как вероятность рецидива опухоли в орбиту или продолженного роста в полость мозга при экстрабульбарном росте очень велика. В связи с этим при наличии клеток в ретробульбарном пространстве или на срезе зрительного нерва больные направлялись на наружное облучение. В нашей серии мы не наблюдали развития вторых или вторичных опухолей, но косметические дефекты развились у всех 7 детей, направленных на облучение.
За исследуемый период (январь 2002 – декабрь 2006 гг., 5 лет) в общей группе погибло 4 ребенка, что составило 2.6%. Во всех случаях дети погибли от прорастания опухоли в головной мозг. Смертность в группе с монокулярным поражением составила 1.8%, а смертность в группе с бинокулярным поражением – 4.3%.
Таким образом, благодаря проведению адекватного индивидуального комбинированного и многофакторного лечения различных форм ретинобластомы выживаемость детей с бинокулярной ретинобластомой составила 95.7%, а вторые глаза и зрение сохранены в 84.7% случаев.
Все выжившие дети, несмотря на то, что являются инвалидами с детства, благодаря даже частично сохраненному зрению полностью адаптированы в окружающую общественно-социальную среду. Они посещают детские и средние образовательные учреждения, что свидетельствует о большой медико-социальной значимости разработанного комплекса комбинированного лечения больных с разными формами РБ и повышения качества жизни не только самих детей, но и их родителей.
Выявляемость ретинобластомы на ранних стадиях развития остается чрезвычайно низкой (4%). Своевременная диагностика ретинобластомы позволяет сохранить не только глаз, но и зрение. С целью выявления опухоли на ранних стадиях следует проводить офтальмоскопию с широким зрачком всем детям при рождении, в 3, 6 и 12 мес. Далее не реже, чем раз в год. Дети из группы риска должны находиться под постоянным динамическим наблюдением и обследоваться каждые 3 мес. Внедрение в клинику протокола неоадъювантной полихимиотерапии и многофакторного воздействия на опухоль позволило расширить показания к органосохранному лечению больших и мультицентричных ретинобластом, повысило выживаемость и качество жизни детей и их семей.
Согласен Данный веб-сайт содержит информацию для специалистов в области медицины. В соответствии с действующим законодательством доступ к такой информации может быть предоставлен только медицинским и фармацевтическим работникам. Нажимая «Согласен», вы подтверждаете, что являетесь медицинским или фармацевтическим работником и берете на себя ответственность за последствия, вызванные возможным нарушением указанного ограничения. Информация на данном сайте не должна использоваться пациентами для самостоятельной диагностики и лечения и не может быть заменой очной консультации врача.
Примеры энуклеации при ретинобластоме
Ретинобластома: признаки, гистология, лечение, прогноз
Ретинобластома - наиболее часто встречающаяся внутриглазная злокачественная опухоль детского возраста (1-45), развивающаяся приблизительно у 1 из 15000 живых новорожденных. Эта злокачественная опухоль развивается скрыто, проявляется лишь безболезненной лейкокорией и приводит к гибели пациента (1,2). При отсутствии лечения летальный исход наступает в течение 1-2 лет. Массивные опухоли, прорастающие окружающие ткани, характеризуются наибольшим риском метастазирования. Во всем мире выживаемость при ретинобластоме коррелирует с уровнем экономического развития: в Африке она составляет приблизительно 30%, 60% - в Азии, 80% - Латинской Америке, и от 95% до 97% в Европе и Северной Америке (1).
а) Генетика. Причиной ретинобластомы является соматическая или зародышевая мутация 13 хромосомы (3-8). При всех двусторонних и семейных формах ретинобластомы имеются зародышевые мутации. При односторонней ретинобластоме зародышевая мутация выявляется в 15% случаев и соматическая мутация - в 85% случаев. У пациентов с зародышевой мутацией может присутствовать видимые клинические проявления синдрома 13q хромосомы; также у них отмечается высокий риск развития пинеа-лобластомы и других злокачественных опухолей.
Пинеалобластома и другие параселлярные опухоли с точки зрения анатомии, эмбриологии и иммунологии идентичны ретинобластоме (9-16). У пациентов с зародышевой мутацией отмечена тенденция к развитию этих злокачественных опухолей, обычно они возникают в течение года после диагностики ретинобластомы и почти всегда в возрасте моложе пяти лет (14). Сочетание двусторонней ретинобластомы и пинеалобластомы получило название трилатеральной ретинобластомы. Но этот термин не совсем точен, поскольку у некоторых пациентов с пинеалобластомой ретинобластома развивается только с одной стороны или не развивается вовсе.
С другой стороны, другие злокачественные опухоли у таких больных могут развиваться в течение всей жизни (17-21), наиболее часто это остеосаркома длинных костей, саркома мягких тканей и меланома кожи. Если пациенты с зародышевой мутацией выживают после второй злокачественной опухоли, у них также сохраняется риск развития третьей, четвертой и пятой опухолей. У детей, получавших системную химиотерапию по поводу ретинобластомы, отмечается снижение риска развития других злокачественных опухолей в отдаленном периоде (21).
б) Клиническая картина. Клинические признаки ретинобластомы варьируют в зависимости от распространенности опухоли (22-45). В большинстве случаев опухоль выявляется у детей в возрасте младше трех лет. Однако эта опухоль может диагностироваться и в более старшем возрасте, у подростков или даже у взрослых (29, 30). В Соединенных Штатах первыми симптомами опухоли чаще всего являются лейкокория (56%), косоглазие (24%) и низкие зрительные функции (8%) (22). В более позднем исследовании другой группы пациентов, проведенном в США и включавшем в себя около 1200 глаз, средний возраст на момент манифестации заболевания составил 15 месяцев, 51% составили пациенты мужского пола, 49% - женского, одностороннее поражение наблюдалось в 53% случаев, в 47% диагностирована двусторонняя опухоль (23). Другие крайние цифры были получены в некоторых областях Африки, где опухоль чаще всего манифестирует буфтальмом (56%) и лейкокорией (32%), при этом отмечается высокий риск двусторонней энуклеации и летального исхода (24).
Клинически ретинобластома возникает в виде мелкого прозрачного новообразования сенсорной сетчатки, которое можно легко не заметить при офтальмоскопии. По мере увеличения опухоли она становится матово-белой, появляются расширенные ретинальные питающая артерия и дренирующая вена, может развиваться вторичная отслойка сетчатки. Среди первых симптомов наиболее известен белый зрачковый рефлекс, получивший название лейкокория. По мере роста опухоли она перестает быть исключительно интраретинальным новообразованием и демонстрирует экзофитный рост, эндофитный рост, или комбинацию этих двух типов роста. Экзофитный рост характеризуется увеличением опухоли кнаружи, в субретинальное пространство, что вызывает отслойку вышележащей сетчатки. Эндофитный рост характеризуется появлением в стекловидном теле отсевов опухолевых клеток, иногда препятствующих визуализации сетчатки. Изредка в ткани ретинобластомы может формироваться внутренняя полость, что указывает на высокую дифференцировку опухоли (36).
Реже наблюдается диффузный инфильтративный рост, характеризуемый развитием плоской или минимально проминирующей опухоли (31); хотя диффузная ретинобластома обычно локализуется в задних отделах сетчатки, изредка она развивается вблизи ora serrata и над цилиарным телом и не прорастает расположенные сзади структуры (32). Ретинобластома становится причиной вторичной глаукомы приблизительно в 17% случаев, обычно вследствие неоваскуляризации радужки и вторичного закрытия угла передней камеры (33). Неоваскуляризация радужки может сопровождаться спонтанными гифемами, которые изредка являются первым симптомом опухоли. Воспаление, вызванное некротической внутриглазной ре-тинобластомой, может симулировать или провоцировать целлюлит глазницы (34). Хотя обычно сохраняются прозрачность и правильное положение хрусталика, в редких случаях развиваются катаракта и подвывих хрусталика. В далекозашедших случаях наблюдается экстрасклераль-ное распространение опухоли, которая выглядит как объемная эрозивная масса.
РЕТИНОБЛАСТОМА: КЛИНИЧЕСКАЯ КАРТИНА
На ранних стадиях ретинобластома представляет собой мелкое прозрачное новообразование сетчатки. Несколько увеличившись, она становится матовой и более заметной, со временем появляются расширенные сосуды - питающая ретинальная артерия и дренирующая вена. Иногда при офтальмоскопии в ткани опухоли визуализируются очаги кальциноза «мелового» белого цвета. Опухоли фовеолярной области вызывают нарушение фиксации взора и развитие косоглазия, как эзотропии, так и экзотропии. Со временем развивается характерный белый зрачковый рефлекс (лейкокория). В большинстве случаев опухоль диагностируется уже после развития лейкокории.
Мелкая ретинобластома снизу от центральной ямки правого глаза. Несколько более крупная ретинобластома сверху от диска зрительного нерва. Обратите внимание на расширенные сосуды - питающую артерию и дренирующую вену. Более крупная ретинобластома в верхней части макулярной зоны. Обратите внимание на расширение сосудов верхней аркады, идущих от диска зрительного нерва, при этом сосуды нижней аркады не расширены. Две ретинобластомы, прилегающие к диску зрительного нерва. Верхняя опухоль диссеминирует в вышележащее стекловидное тело (эндофитный рост), нижняя опухоль все еще лежит в плоскости сетчатки. Массивная ретинобластома эндофитного типа. Массивная ретинобластома экзофитного типа.
в) Спонтанный регресс. Приблизительно в 3% случаев отмечается тенденция к спонтанному регрессу ретинобластомы (37-40). Первоначально была описана спонтанно регрессировавшая ретинобластома, имевшая достаточно типичные клинические признаки. Впоследствии был описан доброкачественный вариант ретинобластомы, названный рети-ноцитомой или ретиномой. Для обозначения сначала увеличивавшейся до определенного размера, а затем самостоятельно регрессировавшей опухоли мы предпочитаем пользоваться термином спонтанно регрессировавшая ретинобластома. Доброкачественный вариант опухоли, увеличивавшейся до определенного размера, а затем стабилизировавшейся, мы называем спонтанно стабилизировавшаяся ретинобластома (1).
г) Международная классификация ретинобластомы. В настоящее время в крупных лечебных центрах, занимающихся лечением таких пациентов используется Международная классификация ретинобластомы (41-43) (табл. 15.1). Нюансы этой классификации и их использование для прогнозирования и оценки перспектив сохранения глаза после проведения хеморедукции и интраартериальной химиотерапии обсуждаются в соответствующих публикациях (44, 45). Классификация сведена в таблицу, которую мы приводим ниже.
Ниже описаны и проиллюстрированы клинические варианты, диагностика, лечение и дифференциальная диагностика ретинобластомы.

Клинические примеры ретинобластомы:
Редактор: Искандер Милевски. Дата публикации: 17.6.2020
Информация на сайте подлежит консультации лечащим врачом и не заменяет очной консультации с ним.
См. подробнее в пользовательском соглашении.
4 метода лечения и симптомы ретинобластомы глаза
Злокачественные опухоли могут проявляться в самых разных формах и поражать разные органы, в том числе глаза. Рак сетчатки – ретинобластома – при ранней диагностике не так опасен, как другие виды онкологии. Если правильно скомбинировать методы, можно добиться полного выздоровления и отсутствия рецидивов в 95% случаев.

Главное о ретинобластоме
Ретинобластома – злокачественное образование, состоящее из клеток нейроэктодермы сетчатки. Болезнь поражает сетчатку, сосудистую оболочку и орбиту. Опухоли сетчатки растут очень быстро, метастазы через зрительный нерв проникают в головной мозг, откуда через кровь попадают в костный мозг и трубчатые кости.
- Опухоль занимает 25% глазного дна (Т1).
- Новообразование занимает 25-50% поверхности сетчатки (Т2).
- Охватывает больше половины сетчатки и распространяется за ее пределы, но внутриглазное расположение сохраняется (Т3).
- Опухоль выходит за границы орбиты (Т4).
- Метастазы в региональных лимфоузлах (N1).
- Метастазы в мозге, костях и внутренних органах (MI).
Ретинобластомы составляют 2-4% от всех случаев злокачественных образований у пациентов до 15 лет. Опухоль развивается преимущественно у детей до 5 лет, большая часть больных – дети в возрасте 2-3 года. Риск возникновения не зависит от пола.
Эта опухоль представляет собой типичный наследственный рак. У многих людей, которые имели ретинобластому, рождаются дети с аналогичным диагнозом. Вероятность развития опухоли у второго ребенка, когда ретинобластома была диагностирована у первого, составляет 6%. Если в одной семье есть несколько больных детей, опасность возрастает до 50%. Несмотря на злокачественную природу, болезнь излечима. Своевременное лечение обеспечивает выживаемость подавляющего большинства пациентов.
Структура ретинобластомы
Глаза человека начинают формироваться на раннем этапе внутриутробного развития. В этот период появляются клетки ретинобласты, которые способны быстро делиться. Из них образуются клетки сетчатки, но мутации в генах мешают ретинобластам формировать зрелые клетки. Вместо этого незрелые ретинобласты продолжают множиться, образуя опухоль.
Название опухоли обусловлено тем, что она формируется из ретинобластов, а точнее из зачатков нервной ткани сетчатки (нейроэктодерма). Ретинобластома может образоваться из клеток любого ядерного слоя сетчатки. В такой опухоли нет стромы, имеются очаги некроза и кальцификаты.

Причины ретинобластомы
Основная причина развития односторонних ретинобластом – соматические мутации. Двусторонние появляются вследствие мутаций хромосом в половых клетках.
В 40% случаев диагностируют врожденную ретинобластому, и болезнь проявляется в первые 30 месяцев жизни ребенка. Нередко врожденная опухоль сочетается с другими аномалиями развития (порок сердца, кортикальный детский гиперостоз, расщелина неба). Повышается риск возникновения злокачественных очагов в других органах.
Причины приобретенной ретинобластомы не выяснены. К факторам риска врачи относят поздний возраст деторождения, работу на металлургических фабриках, загрязнение экологии. У взрослых приобретенную форму диагностируют очень редко, чаще у детей дошкольного возраста.
Классификация опухолей сетчатки
Ретинобластомы делят на наследственные и спорадические (случайные). Наследственные опухоли поражают оба глаза, а случайные обычно имеют форму единичного узла в одном глазу.
- дифференцированная (ретиноцитома);
- недифференцированная (ретинобластома);
- смешанная.
Ретинобластома – более злокачественная форма – встречается гораздо чаще. Ее клетки группируются преимущественно вокруг сосудов, образуя псевдорозетки. А вот клетки ретиноцитомы образуют истинные розетки (опухоль формируется вокруг светлого пространства), эта форма имеет более благоприятное течение.
Как растет ретинобластома
Существует несколько типов роста рака сетчатки. Рост опухоли может быть направлен внутрь сетчатки или наружу. В редких случаях ретинобластома прорастает в окружающие ткани так хаотично, что определить ее границы не удается.
- Эндофитный. Опухоль распространяется на внутренний слой сетчатки и стекловидное тело, прорастая в направлении глазного яблока. Узлы бугристые, большое количество новообразованных сосудов. Быстрый рост ретинобластомы вызывает помутнение стекловидного тела.
- Экзофитный. Опухоль формируется в подсетчаточном пространстве (между сенсорной частью и пигментным эпителием). Рост ретинобластомы вызывает субтотальную отслойку сетчатки и накоплении транссудата.
- Смешанный. Состояние, при котором сочетаются признаки двух предыдущих типов. Клоны клеток опухоли распространяются и в стекловидное тело, и в подсетчаточное пространство. Для этого типа характерны кровоизлияния в переднюю камеру и стекловидное тело.
- Диффузный. Этот тип диагностируют редко. При диффузной форме инфильтрируются все слои сетчатки, опухоль прорастает в переднюю камеру глаза и симулирует воспаление. В этом случае границы ретинобластомы определить сложно, развивается диффузное истончение сетчатки, а в передней камере глаза скапливается экссудат. Возникают передние спайки и псевдогипопионы (кристаллы холестерина). Наблюдается ишемия сетчатки и неоваскуляризация радужки, степень которых зависит от стадии заболевания. Новообразованные сосуды могут блокировать отток внутриглазной жидкости и вызывать повышение внутриглазного давления (вторичная глаукома).
При распространении за пределы глазного яблока происходит смещение глаза и развивается экзофтальм. Ретинобластома может проникнуть в орбиту, околоносовые пазухи и нос, в полость черепа. Обширное метастазирование опухоли приводит к гибели пациента.

Симптомы ретинобластомы
Проявления ретинобластомы напрямую зависят от размеров опухоли, ее локализации и типа роста. Небольшие очаги, которые не дают выраженных симптомов, можно обнаружить во время профилактического осмотра. У 20-40% больных заболевание захватывает оба глаза. Опухоль во втором глазу может проявиться не сразу, иногда разница по времени составляет несколько лет.
Лейкокория является первым симптомом, который замечают даже родители. Это беловато-желтый отсвет, возникающий при отражении света от опухолевой массы. Если ретинобластома расположена в центре глаза, одним из ранних симптомов может быть косоглазие.
- Покой. Для этой стадии характерно отсутствие субъективных симптомов. Во время осмотра может быть выявлен синдром «кошачьего глаза» (зрачковый рефлекс, просвечивание опухоли через зрачок). Ранним признаком ретинобластомы выступает потеря центрального и бинокулярного зрения, что нередко становится причиной косоглазия у ребенка.
- Глаукома. На этой стадии отмечается воспаление в глазу, сопровождаемое светобоязнью, слезотечением, покраснением слизистой. Часто развиваются увеиты и иридоциклиты. Поскольку начинается распространение опухолевых клеток, возникает болевой синдром. Когда опухоль поражает трабекулярный аппарат, развивается вторичная глаукома. Пациенты начинают жаловаться на боль.
- Прорастание. Эта стадия начинается с экзофтальма (выпячивание глаз). Опухоль врастает в мягкие ткани орбиты и разрушает ее стенки, позже проникает в придаточные пазухи и между оболочками мозга.
- Метастазирование. Очаги опухоли формируются в костном мозге, печени, костях, головном мозге и даже костях черепа. Распространение начинается с мягкой мозговой оболочки по зрительному нерву, а дальше лимфогенными и гематогенными путями (через лимфу и кровь). На четвертой стадии развития ретинобластомы ухудшается общее самочувствие пациента (слабость, интоксикация, тошнота, головные боли).

Полная диагностика рака сетчатки
Если в семейном анамнезе есть случаи ретинобластомы, детей нужно регулярно показывать офтальмологу. У ретинобластомы есть своя триада симптомов: лейкокория (белый цвет зрачка), косоглазие и расширение зрачка при слабой реакции на свет. Пациентов с опухолью консультирует офтальмолог, возможно подключение невролога и отоларинголога.
- биомикроскопия (изучение переднего отдела глаза при помощи щелевой лампы);
- офтальмоскопия (осмотр глазного дна);
- визометрия (определение остроты зрения);
- тонометрия (измерение внутриглазного давления);
- гониоскопия (визуальное исследование переднего отрезка глазного яблока);
- экзофтальмометрия (определение выстояния глазного яблока из орбиты);
- проверка бинокулярного зрения;
- определение угла косоглазия;
- УЗИ глазного яблока (помогает при помутнении оптических сред).
Интраокулярная биопсия нежелательна, поскольку она может спровоцировать распространение клеток по лимфатическому и кровеносному руслу. К этому методу прибегают только в крайнем случае, когда опухоль не просматривается другими способами.
- рентгенография орбиты и пазух носа;
- КТ и МРТ головного мозга;
- остеосцинтиграфия (визуализация костно-суставного аппарата);
- сцинтиграфия печени (лучевой метод визуализации органов и тканей).
Чтобы выявить отдаленное метастазирование, проводят люмбальную пункцию и дальнейшее исследование цереброспинальной жидкости и костного мозга. Дополнительно делают миелограмму (мазок пунктата костного мозга, который отражает состав клеток миелоидной ткани).
- рубцовая ретинопатия;
- ретинит Коутса;
- гамартома (доброкачественная аномалия тканевого развития);
- эндофтальмит;
- дисплазия сетчатки;
- отслойка сетчатки;
- мягкотканная саркома;
- ретролентальная фиброплазия;
- фиброз стекловидного тела;
- метастазы нейробластомы;
- метастатическая офтальмия;
- поражение орбиты при лейкемии и лимфоме;
- болезнь Гиппеля-Линдау;
- паразитарные заболевания (личиночный гранулематоз, токсоплазмоз).
Принципы лечения ретинобластомы
План лечения разрабатывается врачом в зависимости от стадии ретинобластомы. Если имеется двустороннее поражение, тактику лечения разрабатывают для каждого глаза отдельно.
Что нужно учитывать при выборе лечения:
- поражен один глаза или оба;
- степень ухудшения зрительной функции;
- выход опухоли за пределы глазного яблока;
- распространение на зрительный нерв;
- влияние на центральную нервную систему;
- наличие метастазов.
В ходе лечения может быть использовано несколько разных методов, их правильное сочетание во многом определяет шансы на сохранение зрения и глаза. Современные методы диагностики позволяют выявить ретинобластому на ранней стадии, когда для успешного лечения еще достаточно криотерапии, фотокоагуляции и лучевого воздействия.

- хирургическое вмешательство;
- лучевая химиотерапия;
- лекарственная химиотерапия;
- криотерапия;
- лазерная коагуляция;
- термотерапия.
Современная медицина предпочитает консервативное лечение ретинобластомы. Такая тактика эффективна только при наличии небольших единичных образований, которые остаются в пределах глаза, но за границами макулярной и перипапиллярной зон.
Для лечения рака глаза активно применяют криотерапию и фотокоагуляцию, позволяющие сохранить зрение и редко дающие осложнения. Криотерапия воздействует на поражения в передней камере глазного яблока, а фотокоагуляция – в задней. Контроль за ходом лечения осуществляют при помощи офтальмоскопии и ультразвукового исследования.
- Брахитерапия. Техника локального облучения опухолей, которая заключается в подшивании к глазу офтальмоаппликатора (радиоактивная пластинка). Преимущество метода заключается в том, что можно подводить максимальные дозы излучения непосредственно к очагу без воздействия на здоровые ткани глаза и организм.
- Криодеструкция. Метод воздействия низкими температурами. При замораживании клетки опухоли перестают расти и разрушаются. Лечение осуществляют при помощи аппарата с наконечником в несколько миллиметров. Криодеструкция применима к опухолям в переднем отделе сетчатки, которые не превышают 7 мм в диаметре.
- Фотокоагуляция. Лечение с применением лазерного луча. Эффективно при размерах ретинобластомы до 4 мм и расположении в заднем отделе сетчатки.
- Транспупиллярная диод-лазерная термотерапия (ТТТ). Бесконтактное лечение внутриглазных опухолей, основанное на инфракрасном излучении. Метод заключается в длительном прогревании ретинобластомы до 45-55°С.
Лучевая терапия для лечения рака сетчатки
К лучевой терапии обращаются с целью сохранить зрительные функции. Ретинобластома очень чувствительна к лучевой терапии: 75% пациентов справляются с болезнью исключительно при помощи этого метода, но для закрепления эффекта рекомендована криотерапия.
Возможно применение разных лучевых методик при лечении ретинобластомы, но обычно прибегают к наружному облучению с двумя латеральными полями, включающими сетчатую оболочку. Это обусловлено тем, что у большинства пациентов имеются множественные опухоли мультифокального происхождения.
Поле облучения захватывает также стекловидное тело и 10 мм доступной части зрительного нерва. Дозы лучевой терапии варьируются в высоких пределах (3500 Гр при I-III группе, 4500 Гр при IV-V группе). Детей до трех лет облучают под наркозом на специальном столе для фиксации.
Для лечения ретинобластомы можно применять радиоактивные пластинки. Их применение ограничено, но они хорошо воздействуют на маленькие опухоли вне оптического диска. Методика не рекомендована при врожденных ретинобластомах, поскольку высок риск сосудистых повреждений и кровотечений ввиду мультифокального поражения.
Чтобы предотвратить развитие постлучевой катаракты, используют специальные блоки. Поскольку есть риск рецидива опухоли в передней части сетчатки, после лучевой терапии рекомендованы дополнительные криопроцедуры.
Локальная и системная химиотерапия при ретинобластоме
Хирургическое лечение и лучевая терапия эффекты в 80-90% случаев ретинобластомы. Химиотерапия показана при массивном поражении, затрагивании зрительного нерва и орбиты, а также при наличии региональных метастазов.
В случае ретинобластомы самым эффективным комплексом химиотерапевтических препаратов признаны Винкристин, Вепезид и Карбоплатин. Возможно применение Винкристина, Доксорубицина и Циклофосфана, но практика показывает, что последний цитостатик повышает риск рецидива и приводит к стерилизации.
Химиотерапия может быть системной и локальной. К локальным методам относят интраартериальный и интравитреальный. Первый подразумевает введение препаратов в артерию, которая снабжает кровью зону расположения ретинобластомы. Второй – введение препаратов в стекловидное тело, когда оно поражено опухолью или соприкасается с ее очагами на сетчатке.
Энуклеация при ретинобластоме
Самым эффективным методом лечения рака глаза является энуклеация – удаление глазного яблока. В ходе операции зрительный нерв отсекают максимально далеко, поэтому этот метод показывает наилучшие результаты при лечении ретинобластомы. Через 6 недель после операции можно осуществить протезирование для устранения визуального дефекта. Поскольку пациенты с ретинобластомой чаще всего дети, энуклеация сопряжена с некоторыми сложностями. После удаления глазного яблока кости орбиты начинают расти активнее, вызывая сильный дефект.
- обширное поражение и отсутствие возможности восстановить зрение;
- массивное обсеменение стекловидного тела;
- опухоль поражает заднюю камеру глаза и достигает задней капсулы хрусталика;
- локализуется вблизи цилиарного тела или занимает большую часть переднего отдела глаза;
- глаукома на фоне разрастания сосудов;
- запущенные вторичные осложнения (увеит, катаракта, гемофтальм, гифема);
- наступление слепоты с невозможностью восстановить зрение.

После энуклеации глаз отправляют на гистологический анализ. Если опухоль поразила зрительный нерв и сосудистую оболочку или вышла за пределы склеры, это указывает на плохой прогноз для пациента. Когда ретинобластома выходит за границы орбиты, рекомендована экзентерация орбиты (удаление содержимого орбиты).
- прорастание ретинобластомы в зрительный нерв;
- поражение склеры;
- экстрабульбарное распространение опухоли;
- расположение в перипапиллярной зоне;
- наличие больших и множественных опухолевых узлов;
- проникновение очагов в стекловидное тело, радужку, передний отрезок глаза;
- вовлечение хориоидеи.
Прогноз и профилактика рака сетчатки
Правильная диагностика ретинобластомы на ранней стадии – залог успешного лечения. Пока опухоль не распространилась, возможно органосохраняющее лечение (фотокоагуляция, криотерапия, лучевое воздействие). Обеспечить выживаемость пациента может энуклеация, но результатом будет потеря зрения и образование визуального дефекта.
- проникновение опухоли в зрительный нерв;
- поражение хориоидальной оболочки;
- распространение ретинобластомы за пределы глазного яблока;
- опухоли в обоих глазах.
Поскольку в подавляющем большинстве случаев заболевание имеет врожденную природу, профилактикой будет генетическое консультирование семей, в которых были случаи рака сетчатки. Очень важно регулярно обследовать детей из групп риска и соответствующих по возрасту.
Ретинобластома
Ретинобластома – злокачественное внутриглазное новообразование, развивающееся из нейроэктодермы сетчатки и встречающееся преимущественно у детей раннего возраста. Для клиники ретинобластомы характерна потеря центрального и бинокулярного зрения, боль, лейкокория, развитие косоглазия, экзофтальма, вторичного воспаления и глаукомы. Обследование при подозрении на ретинобластому включает исследование зрения, измерение внутриглазного давления, осмотр глазного дна, проведение УЗИ глаза, рентгенографии орбиты и придаточных пазух носа, КТ головного мозга, люмбальной пункции. Пациентам с ретинобластомой выполняется фотокоагуляция, криотерапия опухоли; при невозможности сохранения органа зрения - энуклеация пораженного глаза с последующим глазопротезированием.

Общие сведения
Ретинобластома – злокачественное новообразование детского возраста, поражающее сетчатку, сосудистую оболочку глаза, орбиту и часто дающее отдаленные метастазы. На долю ретинобластомы приходится 2,5-4,5% случаев всех злокачественных новообразований у детей до 15 лет. В большинстве случаев ретинобластома развивается в возрасте до 5 лет, пик заболеваемости приходится на 2-3 года. В офтальмологии опухоль с одинаковой частотой встречается у девочек и мальчиков.

В 50-60% случаев ретинобластомы имеют генетическое (врожденное) происхождение. Более половины детей с ретинобластомой рождается от родителей, имевших в детстве аналогичное заболевание. Врожденная ретинобластома обычно выявляется у детей в возрасте до 30 месяцев. В этом случае ретинобластома, как правило, сочетается с другими врожденными аномалиями – пороками сердца, расщелинами неба («волчьей пастью»), кортикальным детским гиперостозом и др. У больных с генетической формой ретинобластомы имеется повышенный риск развития злокачественных новообразований другой локализации.
Спорадические случаи ретинобластомы встречаются реже и возникают по неизвестным причинам. К числу факторов риска негенетической формы ретинобластомы принято относить высокий возраст родителей, их занятость на металлургических производствах, неблагоприятные экологические и алиментарные факторы, вызывающие аберрации в хромосомах ретинальных и половых клеток. Данная форма опухоли проявляется у детей более старшего возраста и крайне редко - у взрослых.
Современные воззрения на гистогенез ретинобластомы позволяют ее отнести к опухолям нейроэктодермального происхождения. Ретинобластома может исходить из клеток любого ядерного (зернистого) слоя сетчатки. При микроскопическом исследовании определяются отсутствие стромы, очаги некроза и кальцификаты, разная степень дифференцировки опухолевых клеток.
Для ретинобластомы характерен быстрый рост, метастазирование по зрительному нерву в головной мозг, а также гематогенное распространение в костный мозг и трубчатые кости.
Классификация ретинобластомы
По происхождению ретинобластомы делятся на наследственные и спорадические. Наследственные ретинобластомы обычно поражают одновременно оба глаза. Спорадические ретинобластомы, как правило, поражают один глаз и развиваются локально, с образованием единичного (унилатерального) опухолевого узла.
По степени дифференцировки опухолевых клеток различают дифференцированную форму опухоли – ретиноцитому и недифференцированную форму – ретинобластому, которая встречается чаще и является более злокачественной.
Ретинобластома может иметь эндофитный тип роста в направлении центра глазного яблока: при этом происходит разрушение слоев сетчатки и стекловидного тела. При другом варианте роста – экзофитном, ретинобластома инфильтрирует сетчатку, распространяясь в субретинальное пространство. Экзофитные опухоли могут вызывать отслойку сетчатки и скопление транссудата в субретинальном пространстве. В редких случаях (1-2%) встречается инфильтративная форма ретинобластомы, которая ведет к диффузному истончению сетчатки, накоплению экссудата в передних отделах глаза, развитию передних спаек и псевдогипопиона.
Согласно клинической классификации ретинобластомы по системе TNM, выделяют степени развития первичной опухоли:
- Т1 – ретинобластома занимает до 25% глазного дна
- Т2 – ретинобластома распространяется на площадь более 25%, но менее 50% поверхности сетчатки
- ТЗ – ретинобластома распространяется более чем на половину сетчатки или выходит за ее пределы, но сохраняет интраокулярное расположение
- Т4 – ретинобластома выходит за пределы орбиты.
- N1 – имеются метастазы в регионарных (околоушных, подчелюстных, шейных) лимфоузлах.
- Ml - определяются отдаленные метастазы ретинобластомы в головном мозге, костном мозге, костях, печени и др. органах.
В клиническом течении ретинобластомы различают четыре последовательные стадии.
I – стадия покоя. В этом периоде субъективные симптомы отсутствуют. При осмотре пораженного глаза выявляется лейкокория (симптом «кошачьего глаза») – белый зрачковый рефлекс, обусловленный просвечиванием опухолевой массы через зрачок. К ранним признакам ретинобластомы относят потерю центрального и бинокулярного зрения, вследствие чего может развиваться косоглазие.
II – стадия глаукомы. Сопровождается воспалительными явлениями в глазу – гиперемией, светобоязнью, слезотечением, развитием иридоциклита и увеита. На фоне опухолевой инвазии отмечается локальный болевой синдром. Разрушение ретинобластомой трабекулярного аппарата приводит к затруднению оттока ВГЖ, увеличению внутриглазного давления и возникновению вторичной глаукомы.
III - стадия прорастания. Характеризуется развитием экзофтальма различной степени выраженности, инвазией мягких тканей орбиты и разрушением ее стенок, прорастанием ретинобластомы в придаточные пазухи и субарахноидальное пространство.
IV – стадия метастазирования. Протекает с выявлением отдаленных диссеминированных очагов в костном мозге, печени, трубчатых костях, головном мозге, костях черепа. Распространение ретинобластомы происходит по мягкой мозговой оболочке, зрительному нерву, лимфогенным и гематогенным путем. На этой стадии страдает общее состояние пациента: развивается интоксикация, слабость, мозговые симптомы (тошнота, рвота, головная боль).
Диагностика ретинобластомы
Дети с семейным анамнезом ретинобластомы должны находиться под постоянным наблюдением офтальмолога. На развитие ретинобластомы обычно указывает триада симптомов: лейкокория, косоглазие, расширение зрачка с ослаблением его реакции на свет. При появлении данных признаков проводится тщательное офтальмологическое обследование ребенка, включающее биомикроскопию, прямую и обратную офтальмоскопию, визометрию, тонометрию, гониоскопию, исследование бинокулярного зрения, экзофтальмометрию, измерение угла косоглазия. При помутнении оптических сред важная роль в выявлении ретинобластомы принадлежит УЗИ глаза.
Интраокулярная биопсия может привести к диссеминации злокачественных клеток внутри глаза, поэтому к ее проведению прибегают только при наличии абсолютных показаний. Для оценки распространенности ретинобластомы используются рентгенография орбиты, рентгенография околоносовых пазух, КТ и МРТ головного мозга, сцинтиграфия печени, остеосцинтиграфия. Для оценки возможного отдаленного метастазирования прибегают к выполнению люмбальной пункции с исследованием цереброспинальной жидкости; пункции костного мозга и исследованию миелограммы.
В процессе диагностики ретинобластому следует дифференцировать от рубцовой ретинопатии, дисплазии сетчатки, гамартом, мягкотканных сарком, метастазов нейробластомы, поражений орбиты при лимфоме и лейкемии.
Дети с ретинобластомой должны быть проконсультированы неврологом и отоларингологом.
Лечение ретинобластомы
Лечение ретинобластомы проводится с учетом стадии опухолевого поражения. При этом может использоваться хирургическое вмешательство, лучевая и лекарственная химиотерапия, лазеркоагуляция, криотерапия, термотерапия. Правильное сочетание этих методов во многих случаях позволяет сохранить глаз и зрение. В случает двусторонней ретинобластомы, в отношении каждого глаза определяется дифференцированная тактика в зависимости от степени его поражения опухолью.
В настоящее время офтальмохирурги и офтальмоонкологи стремятся придерживаться максимально консервативного ведения ретинобластомы. При поражениях переднего участка сетчатки и диаметре опухоли до 7 мм прибегают к криодеструкции ретинобластомы; при поражении задних отделов и размерах опухоли до 4 мм показана фотокоагуляция. Возможно проведение термотерапии – комплексного воздействия на опухоль с помощью микроволновой терапии, ультразвукового и инфракрасного излучения.
При массивном внутриглазном поражении, развитии глаукомы, утрате и невозможности восстановления зрения прибегают к энуклеации глаза с последующим глазопротезированием. При экстраокулярном распространении ретинобластомы показана экзентерация глазницы.
Ретинобластома чрезвычайно чувствительна к лучевому лечению. Лучевая терапия при ретинобластоме позволяет добиться хороших результатов в сочетании с органосохраняющими и хирургическими методами лечения. При этом возможно как наружное дистанционное, так и контактное облучение с помощью аппликаций радиоактивных веществ. Осложнением лучевой терапии может являться развитие постлучевой катаракты, лучевого кератита, ксероза.
Химиотерапия в лечении ретинобластомы используется при массивном внутриглазном поражении, опухолевой инвазии зрительного нерва, региональных метастазах. Наиболее эффективным признано сочетание нескольких цитостатиков (винкристина, этопозида, карбоплатина).
Прогноз и профилактика ретинобластомы
При своевременной диагностике и выявлении ретинобластомы на ранней стадии возможно стойкое излечение пациента с помощью органосохраняющих методов – фотокоагуляции, криотерапии, лучевой терапии. При энуклеации глаза также наблюдается высокая выживаемость, однако данная операция сопровождается потерей глаза как органа зрения и образованием косметического дефекта. Факторами неблагоприятного прогноза ретинобластомы служат прорастание опухоли в зрительный нерв, инвазия хориоидальной оболочки, экстрасклеральное распространение опухоли, двустороннее поражение.
Для профилактики ретинобластомы необходимо медико-генетическое консультирование семей с наследственными случаями рака сетчатки, обследование детей раннего возраста из групп риска.
Читайте также:
- Заразительный моллюск (эпителиома) века. Клиника и дифференциация
- Перинатальная полицитемия и синдром повышенной вязкости
- Лабораторная диагностика туберкулеза. Выявление бактерий туберкулеза.
- Механизмы перехода протоонкогена в онкоген. Иммуноморфология опухолей.
- Причины неудач лечения сходящегося косоглазия (инфантильной эзотропии)
