Признаки травмы груди. Пневмоторакс
Добавил пользователь Евгений Кузнецов Обновлено: 28.10.2025
Признаки травмы груди. Пневмоторакс
Травмы груди относят к категории особенно опасных не только с точки зрения непосредственного повреждения внутригрудных органов. Обусловленные травмой нарушения осиовных физиологических механизмов (прежде всего дыхания и кровообращения) настолько серьезны и внезапны, что организм не всегда в состоянии их компенсировать. Пострадавший часто погибает не от разрушения органа, а вследствие вызванных травмой нарушений гемодинамики и вентиляции. Органы дыхания и кровообращения неразрывно связаны не только анатомически, но и функционально, поэтому в большинстве случаев травма груди сопровождается и дыхательными, и циркуляторнымн нарушениями.
В основе патогенеза названных нарушений лежат сдавление легких н средостения воздухом или кровью, попавшими в плевральную полость, патологические механизмы дыхания, мощные плевропульмональные рефлексы, анемия. Травма груди очень часто осложняется шоком, который усугубляют гипоксия и гиперкапния. Правильное понимание этих механизмов необходимо для точной диагностики и строго продуманной последовательности лечебных мероприятий.
В клинической практике наибольшее значение имеют три синдрома или симптомокомплекса, свойственных травме грудн: пневмоторакс, гемоторакс и эмфизема.
Пневмоторакс — проникновение атмосферного воздуха в плевральную, полость. Различают три вида пневмоторакса: закрытый, открытый и клапанный.
Внезапное полное или частичное выключение легкого из вентиляции вызывает выраженные нарушения газообмена. При закрытом пневмотораксе эти нарушения, как правило, кратковременны; быстро наступает адаптация к новым условиям вентиляции.

Небольшое количество воздуха (300—500 см3) рассасывается в течение 2—3 нед. Если легкое поджато более чем на 1/4 своего объема, следует произвести плевральную пункцию н максимально удалить воздух.
При зияющей ране на стороне поражения в плевральной полости устанавливается положительное давление. При вдохе здоровое легкое расширяется и присасывает средостение. Такое парадоксальное дыхание и флотация средостения вызывают не только дыхательные, но н тяжелые циркуляторные нарушения. В результате этих патологических механизмов у пострадавшего быстро развивается картина плевропульмонального шока. Этому способствует прямое действие атмосферного воздуха, который охлаждает, высушивает и раздражает высокочувствительный нервный аппарат плевры.
При открытом пневмотораксе необходимо как можно скорее восстановить герметичность грудной стенки. Первая помощь в таких случаях должна быть оказана уже на месте происшествия. С помощью любых подручных средств следует закрыть рану груди. Накладывают окклюзионную повязку и транспортируют пострадавшего в лечебное учреждение. В военно-полевых условиях первую помошь оказывает санитарный инструктор или фельдшер БМП. Первая врачебная помощь на ПМП заключается в проведении противошоковых мероприятий, после чего раненого направляют в МСБ, ОМО или ХППГ. На этих этапах окклюзионную повязку снимают н ушивают рану.
Без этого хирургического вмешательства дальнейшая транспортировка пострадавшего с открытым пневмотораксом недопустима.
Клапанный пневмоторакс представляет особую опасность. Этот вид пневмоторакса может возникнуть в результате ранения как грудной стенки, так и легкого. Наружный клапанный пневмоторакс образуется тогда, когда ткани раневого канала грудной стенки свободно пропускают воздух при вдохе. Во время выдоха края раны смыкаются и не выпускают воздух из плевральной полости. Внутренний клапанный пневмоторакс возникает при лоскутной ране легкого или повреждении бронха. И в этих условиях образуется клапан, который препятствует выхожденню воздуха из полости плевры. Каждый последующий вдох увеличивает объем пневмоторакса.
Легкое быстро полностью спадается, средостение сметается в здоровую сторону, диафрагма вдавливается в брюшную полость. Возникают условия, при которых вентиляция здорового лёгкого становится невозможной, наступает асфиксия.
Спасти раненого с клапанным пневмотораксом может только немедленный прокол грудной стенки для удаления из плевральной полости избыточного воздуха. Если причина заключается в ранении грудной стенки, следует после этого наложить окклюзионную повязку, чтобы прекратить доступ воздуха в полость плевры. Если же имеется внутренний клапан, следует осуществить дренирование (торакоцентез или пункцию толстой иглой), чтобы перевести клапанный пневмоторакс в открытый.
Открытый пневмоторакс
Открытый пневмоторакс – открытая коммуникация полости плевры с внешней средой, при которой атмосферный воздух во время дыхания свободно циркулирует через дефект в грудной стенке. Состояние больного с открытым пневмотораксом тяжелое: наблюдается возбуждение, учащенное поверхностное дыхание, цианоз, всасывание воздуха в рану во время вдоха и выделение во время выдоха, подкожная эмфизема. Диагностический минимум включает осмотр, аускультацию, перкуссию и рентгенографию грудной клетки. Алгоритм устранения открытого пневмоторакса подразумевает наложение окклюзионной повязки на рану, дренирование плевральной полости и хирургическую ликвидацию дефекта грудной стенки.
МКБ-10

Общие сведения
Открытый пневмоторакс может трансформироваться в закрытый в том случае, если рана грудной стенки спонтанно закрывается, и воздух перестает поступать в полость плевры. Если же проникновение воздуха через раневой канал продолжается только на вдохе, а на выдохе рана прикрывается кожным лоскутом, не позволяя воздуху покинуть плевральную полость, развивается клапанный пневмоторакс.
Причины открытого пневмоторакса
В подавляющем большинстве случаев открытый пневмоторакс становится следствием проникающих ранений (ножевых, огнестрельных) грудной клетки. В этом случае непрерывное поступление воздуха в плевральную полость и наружу осуществляется по раневому каналу через дефект грудной стенки. Реже причиной патологии выступают деструктивные процессы в легком (абсцесс легкого, кавернозный туберкулез, полостная форма рака легкого и др.), приводящие к повреждению стенки крупного бронха. При таком механизме плевральная полость сообщается с внешней средой непосредственно через бронхиальный свищ.
Патологическая физиология открытого пневмоторакса обусловлена нарушением легочной вентиляции, прямым воздействием атмосферного воздуха на плевру и гемодинамическими расстройствами. Положительнее давление в полости плевры на стороне повреждения приводит к коллапсу легкого и выключению его из дыхания. При этом на вдохе в здоровое легкое поступает не только атмосферный воздух, но и насыщенный углекислым газом воздух из спавшегося легкого. Во время выдоха небольшой объем воздуха из неповрежденного легкого «перекачивается» в коллабированное легкое, частично расправляя его. Т. о., возникает механизм парадоксального дыхания: спавшееся легкое совершает слабые дыхательные экскурсии, обратные неповрежденному легкому.
Глубина вдоха уменьшается, развиваются грубые вентиляционные нарушения, расстройства газообмена, острая дыхательная и сердечная недостаточность. Шунтирование крови из спавшегося легкого обусловливает быстро нарастающую гипоксемию и гиперкапнию. Колебание внутриплеврального давления может вызывать баллотирование средостения при вдохе и выдохе, что опасно смещением сердца, аорты, перегибом и сдавлением крупных сосудов и бронхов. Потоки входящего и выходящего атмосферного воздуха раздражают рецепторный аппарат плевры, вызывают ее высушивание и охлаждение. Без своевременной помощи пострадавшие с открытым пневмотораксом могут быстро погибнуть от кардиопульмонального шока.
Симптомы и диагностика открытого пневмоторакса
Общее состояние пациента с открытым пневмотораксом обычно тяжелое. Отмечается возбуждение и встревоженность. Беспокоит острая колющая боль в груди, усиливающаяся при вдохе и кашле. Дыхание становится учащенным, поверхностным; пульс частым, слабого наполнения, АД снижается. Кожные покровы приобретают бледный цвет с цианотичным оттенком.
При травматическом характере открытого пневмоторакса пострадавшие обычно принимают положение, лежа на поврежденной стороне груди. При осмотре видна зияющая рана в области грудной клетки, в которую при входе с шумом засасывается воздух, а во время выдоха со свистом и хлюпаньем наружу выходит воздух и пенистая кровь. Ища облегчения, больные инстинктивно стремятся прикрыть рану рукой, одеждой или другими подручными средствами. В случае выхода воздуха под кожу развивается подкожная эмфизема.
При наличии длинного узкого раневого канала может возникнуть так называемый «сосущий пневмоторакс» - в этом случае рана открывается только в момент глубокого дыхания или при кашле, а признаки сердечно-легочной недостаточности нарастают постепенно и достаточно долго не носят жизнеугрожающего характера. Травматический открытый пневмоторакс в большинстве случаев сочетается с гемотораксом (гемопневмоторакс), поэтому тяжесть состояния пациента зачастую усугубляется кровопотерей и гиповолемическим шоком.
Грудная клетка становится асимметричной за счет «выключения» пораженного легкого из акта дыхания. Перкуторно на стороне повреждения определяется тимпанит; аускультативно – резко ослабленное дыхание. По данным рентгенографии грудной клетки при открытом пневмотораксе выявляется газ в плевральной полости, коллапс легкого, флотация и смещение средостения. При сочетании клинико-рентгенологической картины с указанием на открытую травму грудной клетки диагноз становится очевиден. Для верификации диагноза может потребоваться проведение плевральной пункции.
Неотложная помощь и лечение открытого пневмоторакса
Первоочередной мерой, которая должна быть предпринята на месте происшествия, является перевод открытого пневмоторакса в закрытый. Это достигается закрытием раневого дефекта герметичной (окклюзионной) повязкой. Такая повязка должна удовлетворять ряду требований: ее размеры должны быть больше раны, она должна быть воздухонепроницаемой (для чего обычно используют клеенчатый материал, полиэтиленовую пленку, компрессную бумагу или толстую ватно-марлевую повязку) и надежно фиксироваться к поверхности кожи бинтом или липким пластырем. Одновременно с этим осуществляется обезболивание, медикаментозная поддержка сердечно-сосудистой и дыхательной систем, восполнение кровопотери, восстановление проходимости дыхательных путей, оксигенотерапия или ИВЛ.
В стационаре пациенту с открытым пневмотораксом производится первичная хирургическая обработка и ушивание раны. С целью декомпрессии плевральной полости осуществляется ее дренирование дренажом по Бюлау. В случае повреждения легкого показано проведение торакотомии с ревизией плевральной полости, ушивание раны легкого или резекционное вмешательство.
В ситуации, когда открытый пневмоторакс обусловлен не травмой, а деструктивными процессами в легочной ткани, лечение выстраивается, исходя из основного заболевания. С целью расправления легкого налаживается постоянная аспирация воздуха и экссудата. Если дефект в бронхе не закрывается самостоятельно, прибегают к временной обтурации (пломбированию) бронха специальной поролоновой пробкой. На этом фоне создаются условия для расправления легкого, либо происходит облитерация плевральной полости с ликвидацией пневмоторакса. В остальных случаях решается вопрос об оперативной тактике.
Открытый пневмоторакс всегда протекает тяжело, может осложняться плевропульмональным шоком, пневмонией, эмпиемой плевры, гангреной легкого. Прогноз заболевания всегда крайне серьезный, а при несвоевременном оказании помощи или двустороннем характере пневмоторакса - неблагоприятный.
2. Видеоторакоскопические методики в лечении пострадавших с посттравматическим пневмотораксом/ Бойко, Замятин П.Н., Лыхман В.Н., Гафт К.Л., Наконечный Е.В. – 2010.
Пневмоторакс
Пневмоторакс (греч. pnéuma —воздух, thorax — грудная клетка) – скопление газа в плевральной полости, ведущее к спадению ткани легкого, смещению средостения в здоровую сторону, сдавлению кровеносных сосудов средостения, опущению купола диафрагмы, что, в конечном итоге вызывает расстройство функции дыхания и кровообращения. При пневмотораксе воздух может проникать между листками висцеральной и париетальной плевры через любой дефект на поверхности легкого или в грудной клетке. Проникающий в полость плевры воздух вызывает повышение внутриплеврального давления (в норме оно ниже, чем атмосферное) и приводит к спадению части или целого легкого (частичному или полному коллапсу легкого).

Причины пневмоторакса
В основе механизма развития пневмоторакса лежат две группы причин:
- закрытые травмы грудной клетки, сопровождающиеся повреждением легкого отломками ребер;
- открытые травмы грудной клетки (проникающие ранения);
- ятрогенные повреждения (как осложнение лечебных или диагностических манипуляций - повреждение легкого при постановке подключичного катетера, межреберной блокаде нерва, пункции плевральной полости);
- искусственно вызванный пневмоторакс - искусственный пневмоторакс накладывается с целью лечения туберкулеза легких, с целью диагностики — при проведении торакоскопии.
2. Заболевания легких и органов грудной полости:
- неспецифического характера – вследствие разрыва воздушных кист при буллезной болезни (эмфиземе) легких, прорыва абсцесса легкого в полость плевры (пиопневмоторакс), спонтанного разрыва пищевода;
- специфического характера - пневмоторакс вследствие разрыва каверн, прорыва казеозных очагов при туберкулезе.
Классификация пневмоторакса
Предложены несколько видов классификаций пневмоторакса по ведущему фактору.
По происхождению
Травматический пневмоторакс возникает в результате закрытых (без повреждения целостности кожных покровов) или открытых (огнестрельных, ножевых) травм грудной клетки, ведущих к разрыву легкого.
- 2. Спонтанный.
- первичный (или идиопатический)
- вторичный (симптоматический)
- рецидивирующий
Спонтанный пневмоторакс возникает внезапно в результате самопроизвольного нарушения целостности ткани легкого. Чаще спонтанный пневмоторакс встречается у мужчин в возрасте от 20 до 40 лет. Спонтанный пневмотракс может быть первичным, вторичным и рецидивирующим. Первичный пневмоторакс развивается, как правило, в результате буллезной болезни легких, врожденной слабости плевры, которая может легко разрываться при смехе, сильном кашле, физическом усилии, глубоком дыхании. Также к развитию идиопатического пневмоторакса может приводить ныряние, глубокое погружение в воду, полет в самолете на большой высоте.
Вторичный пневмоторакс возникает вследствие деструкции ткани легкого при тяжелых патологических процессах (абсцессе, гангрене легкого, прорыве туберкулезных каверн и др.).
В случае повторного возникновения говорят о рецидивирующем спонтанном пневмотораксе.
При искусственном пневмотораксе воздух специально вводится в плевральную полость для лечебно-диагностических целей.
По объему содержащегося в плевральной полости воздуха и степени спадения легкого
- Ограниченный (парциальный, частичный).
- Полный (тотальный).
Ограниченный пневмоторакс характеризуется неполным спадением легкого, тотальный – полным поджатием.
По распространению
При одностороннем пневмотораксе происходит частичное либо полное спадение правого или левого легкого, при двустороннем – поджатие обоих легких. Развитие тотального двустороннего пневмоторакса вызывает критическое нарушение дыхательной функции и может привести к гибели пациента в короткие сроки.
По наличию осложнений
- Осложненный (плевритом, кровотечением, медиастинальной и подкожной эмфиземой).
- Неосложненный.
- Закрытый.
- Открытый.
- Напряженный (клапанный).
При напряженном пневмотораксе формируется клапанная структура, пропускающая воздух в плевральную полость в момент вдоха и препятствующая его выходу в окружающую среду на выдохе, при этом объем воздуха в полости плевры постепенно нарастает. Клапанный пневмоторакс характеризуется следующими признаками: положительным внутриплевральным давлением (больше атмосферного), приводящим к выключению легкого из дыхания; раздражением нервных окончаний плевры, вызывающим развитие плевропульмонального шока; стойким смещением органов средостения, ведущим к нарушению их функции и сдавлению крупных сосудов; острой дыхательной недостаточностью.
Клиника пневмоторакса
Выраженность симптомов пневмоторакса зависит от причины заболевания и степени сдавления легкого.
Пациент с открытым пневмотораксом принимает вынужденное положение, лежа на поврежденной стороне и плотно зажимая рану. Воздух засасывается в рану с шумом, из раны выделяется пенистая кровь с примесью воздуха, экскурсия грудной клетки асимметрична (пораженная сторона отстает при дыхании).
Развитие спонтанного пневмоторакса обычно острое: после приступа кашля, физического усилия либо без всяких видимых причин. При типичном начале пневмоторакса появляется пронзительная колющая боль на стороне пораженного легкого, иррадиирующая в руку, шею, за грудину. Боль усиливается при кашле, дыхании, малейшем движении. Нередко боль вызывает у пациента панический страх смерти. Болевой синдром при пневмотораксе сопровождается одышкой, степень выраженности которой зависит от объема спадения легкого (от учащенного дыхания до выраженной дыхательной недостаточности). Появляется бледность или цианоз лица, иногда - сухой кашель.
Спустя несколько часов интенсивность боли и одышки ослабевают: боль беспокоит в момент глубокого вдоха, одышка проявляется при физическом усилии. Возможно развитие подкожной или медиастинальной эмфиземы – выход воздуха в подкожную клетчатку лица, шеи, грудной клетки или средостения, сопровождающийся вздутием и характерным хрустом при пальпации. Аускультативно на стороне пневмоторакса дыхание ослаблено или не выслушивается.
Примерно в четверти случаев спонтанный пневмоторакс имеет атипичное начало и развиваться исподволь. Боль и одышка незначительные, по мере адаптации пациента к новым условиям дыхания становятся практически незаметными. Атипичная форма течения характерна для ограниченного пневмоторакса, при незначительном количестве воздуха в полости плевры.
Отчетливо клинические признаки пневмоторакса определяются при спадении легкого более, чем на 30-40% . Спустя 4-6 часов после развития спонтанного пневмоторакса присоединяется воспалительная реакция со стороны плевры. Через несколько суток плевральные листки утолщаются за счет фибриновых наложений и отека, что приводит впоследствии к формированию плевральные сращений, затрудняющих расправление легочной ткани.
Осложнения пневмоторакса
Осложненное течение пневмоторакса встречается у 50% пациентов. Наиболее частыми осложнениями пневмоторакса являются:
При спонтанном и особенно клапанном пневмотораксе может наблюдаться подкожная и медиастинальная эмфизема. Спонтанный пневмоторакс протекает с рецидивами почти у половины пациентов.
Диагностика пневмоторакса
Уже при осмотре пациента выявляются характерные признаки пневмоторакса:
- пациент принимает вынужденное сидячее или полусидячее положение;
- кожные покровы покрыты холодным потом, одышка, цианоз;
- расширение межреберных промежутков и грудной клетки, ограничение экскурсии грудной клетки на пораженной стороне;
- снижение артериального давления, тахикардия, смещение границ сердца в здоровую сторону.
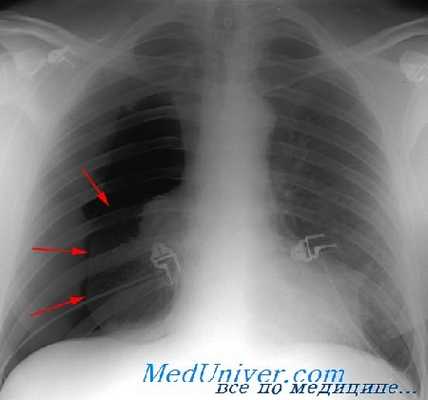
Специфические лабораторные изменения при пневмотораксе не определяются. Окончательное подтверждение диагноза происходит после проведения рентгенологического исследования. При рентгенографии легких на стороне пневмоторакса определяется зона просветления, лишенная легочного рисунка на периферии и отделенная четкой границей от спавшегося легкого; смещение органов средостения в здоровую сторону, а купола диафрагмы книзу. При поведении диагностической плевральной пункции получается воздух, давление в полости плевры колеблется в пределах нуля.

Лечение пневмоторакса
Первая помощь
Пневмоторакс является неотложным состоянием, требующим немедленной медицинской помощи. Любой человек должен быть готов оказать экстренную помощь пациенту с пневмотораксом: успокоить, обеспечить достаточный доступ кислорода, немедленно вызвать врача.
При открытом пневмотораксе первая помощь состоит в наложении окклюзионной повязки, герметично закрывающей дефект в стенке грудной клетки. Не пропускающую воздух повязку можно сделать из целлофана или полиэтилена, а также толстого ватно-марлевого слоя. При наличии клапанного пневмоторакса необходимо срочное проведение плевральной пункции с целью удаления свободного газа, расправления легкого и устранения смещения органов средостения.
Квалифицированная помощь
Пациенты с пневмотораксом госпитализируются в хирургический стационар (по возможности в специализированные отделения пульмонологии). Врачебная помощь при пневмотораксе состоит в проведении пункции плевральной полости, эвакуации воздуха и восстановлении в полости плевры отрицательного давления.
При закрытом пневмотораксе проводится аспирация воздуха через пункционную систему (длинную иглу с присоединенной трубкой) в условиях малой операционной с соблюдением асептики. Плевральная пункция при пневмотораксе проводится на стороне повреждения во втором межреберье по среднеключичной линии, по верхнему краю низлежащего ребра. При тотальном пневмотораксе во избежание быстрого расправления легкого и шоковой реакции пациента, а также при дефектах легочной ткани, в плевральную полость устанавливается дренаж с последующей пассивной аспирацией воздуха по Бюлау, либо активной аспирацией посредством электровакуумного аппарата.
Лечение открытого пневмоторакса начинается с его перевода в закрытый путем ушивания дефекта и прекращения поступления воздуха в полость плевры. В дальнейшем проводятся те же мероприятия, что и при закрытом пневмотораксе. Клапанный пневмоторакс с целью понижения внутриплеврального давления сначала превращают в открытый путем пункции толстой иглой, затем проводят его хирургическое лечение.
Важной составляющей лечения пневмоторакса является адекватное обезболивание как в период спадения легкого, так и в период его расправления. Для этого используют шейные вагосимпатические блокады. С целью профилактики рецидивов пневмоторакса проводят плевродез тальком, нитратом серебра, раствором глюкозы или другими склерозирующими препаратами, искусственно вызывая спаечный процесс в плевральной полости. При рецидивирующем спонтанном пневмотораксе, вызванном буллезной эмфиземой, показано хирургическое лечение (удаление воздушных кист).
Прогноз и профилактика
При неосложненных формах спонтанного пневмоторакса исход благоприятный, однако, возможны частые рецидивы заболевания при наличии патологии легких.
Специфических методов профилактики пневмоторакса не существует. Рекомендуется проведение своевременных лечебно-диагностических мероприятий при заболеваниях легких. Пациентам, перенесшим пневмоторакс, рекомендуется избегать физических нагрузок, обследоваться на ХНЗЛ и туберкулез. Профилактика рецидивирующего пневмоторакса состоит в хирургическом удалении источника заболевания.
2. Спонтанный пневмоторакс: причины его возникновения и лечение/ Фунлоэр И.С., Б.К. Жынжыров, М.А. Ашимов// Вестник КРСУ – 2016 – Т. 16, No11.
3. О спонтанном пневмотораксе/ Ясногородский О.О., Качикин А.С., Винарская В.А., Талдыкин И.М., Кернер Д.В.// Русский медицинский журнал. – 2014 - №13.
4. Спонтанный пневмоторакс: хирургическая тактика в современных условиях: Автореферат диссертации/ Письменный А.К. – 2002.
Повреждения грудной клетки ( Травмы грудной клетки )
Повреждения грудной клетки – травмы, при которых страдают кости, образующие каркас грудной клетки и/или органы, расположенные в грудной полости. Это – обширная и достаточно разнородная группа травматических повреждений, включающая в себя как переломы ребер, так и травмы жизненно важных органов (легких и сердца). Зачастую повреждения грудной клетки представляют непосредственную угрозу или потенциальную опасность для жизни пациента. Нередко сопровождаются кровопотерей различной тяжести и развитием острой дыхательной недостаточности, которые могут развиваться как сразу, так и спустя некоторое время после травмы. Поэтому все без исключения пациенты с повреждениями грудной клетки должны срочно направляться в специализированное мед. учреждение для обследования и дальнейшего лечения, которое, в зависимости от вида травмы, может быть либо консервативным, либо оперативным.
Повреждения грудной клетки – группа повреждений, включающая в себя травмы ребер, грудины и внутренних органов, расположенных в грудной полости. Такие травмы могут сильно различаться как по характеру, так и по тяжести, однако из-за потенциальной опасности для жизни пациента на начальном этапе всегда рассматриваются врачами, как серьезные, требующие детального обследования больного. Эта группа травм отличается высокой летальностью при отсутствии медицинской помощи и достаточно высоким процентом благоприятных исходов при своевременной доставке пациента в специализированное мед. учреждение. Смертность составляет 5-6%, при этом большинство смертельных случаев приходится на открытые повреждения (ранения), а также на множественные переломы ребер с разрывом легкого.
Классификация
Все повреждения грудной клетки подразделяются на две группы: закрытые и открытые. Отличительной особенностью закрытых повреждений является отсутствие раны. Такие повреждения делятся на:
- Сотрясения. Травмы, при которых видимые морфологические изменения грудной клетки отсутствуют.
- Ушибы. В эту группу включают ушибы ребер и мягких тканей, ушиб сердца, ушиб сосудов, ушибы и разрывы легких, гемоторакс и пневомоторакс, переломы грудины, ребер и грудных позвонков.
- Сдавления. Сюда относятся случаи травматической асфиксии, при которых грудь пациента сдавливается между двумя тупыми предметами, из-за чего возникает удушье.
При открытых повреждениях в области грудной клетки есть рана, которая может быть ножевой, огнестрельной и т. д. Открытые повреждения (ранения) подразделяются на:
- Непроникающие.
- Проникающие.
- Без повреждения внутренних органов, расположенных в грудной полости.
- С повреждением внутренних органов, расположенных в грудной полости.
- С повреждением костей (ребер, грудных позвонков или грудины).
- Без открытого пневмоторакса или с его наличием.
- Без открытого гемоторакса или с его наличием.
- Торакоабдоминальная травма (с одновременным нарушением целостности грудной полости, диафрагмы и брюшной полости).
С учетом характера повреждения также выделяют сквозные, слепые и касательные раны груди.
Причины
В мирное время закрытая травма грудной клетки встречается в травматологии намного чаще открытой. Ее основными причинами становятся автомобильные аварии (70%), падения с высоты (23%), производственные травмы, природные катастрофы, криминальные действия (избиение, драка) или бытовая травма. Чаще всего при закрытой травме выявляются повреждения легких (60%), ребер (45,4%), сердца (8%) и позвоночника (4,8%). Остальные органы страдают достаточно редко. Повреждения легких, межреберных сосудов, плевры, бронхов и легочных сосудов чаще имеет вторичный характер и развивается вследствие травматизации этих органов острыми концами сломанных ребер.
Открытые повреждения в мирное время встречаются нечасто и обычно возникают в результате ранения холодным оружием. Количество огнестрельных ранений резко увеличивается в военное время. Раны, нанесенные другим предметом (например, острым металлическим штырем или куском арматуры) могут возникнуть в результате производственной травмы, техногенной или природной катастрофы либо несчастного случая в быту.
Переломы ребер и грудины
Переломы ребер обычно возникают у взрослых пациентов. У детей и подростков наблюдаются очень редко вследствие чрезвычайной эластичности костных структур. С учетом механизма травмы все переломы ребер можно разделить на три группы: непрямые, прямые и отрывные. Наибольшее смещение отломков и, как следствие, высокая вероятность повреждения органов грудной полости острыми концами сломанных ребер, возникает при отрывных, двойных и множественных переломах.
Отломки ребер могут повреждать не только легкое и плевру, но и межреберные сосуды, вследствие чего возникает внутреннее кровотечение в плевральную полость и формируется гемоторакс. Если острый конец ребра протыкает легкое, воздух выходит в плевральную полость, и образуется пневмоторакс.
О переломе ребер свидетельствует резкая боль в месте повреждения и боль при сдавлении грудной клетки в переднезаднем направлении. Дыхание становится поверхностным. Пациенту легче находиться в сидячем, чем в лежачем положении. Основным методом инструментальной диагностики является рентгенография ребер. Лечение заключается в устранении болей, профилактике пневмонии и облегчении дыхания.
При неосложненном переломе одного ребра пациент находится на амбулаторном наблюдении. Перелом двух или более ребер является показанием для госпитализации. Больным назначают анальгетики и физиолечение, рекомендуют находиться в постели в положении полусидя. Для предупреждения застойных явлений в легких обязательно назначается дыхательная гимнастика. При множественных переломах ребер производится их оперативная иммобилизация.
Переломы грудины относительно редки. Сопровождаются болью, усиливающейся при кашле и глубоком дыхании. Пальпация резко болезненна. Для подтверждения диагноза выполняют боковую рентгенографию грудины. Лечение осуществляется в условиях стационара. При переломах без смещения назначается покой и обезболивающие препараты. При смещении выполняется репозиция на щите.
Ушибы, сотрясения и сдавления
Подобные повреждения грудной клетки встречаются реже, чем переломы ребер и возникают вследствие удара тупым предметом или форсированного сдавления между двумя крупными тупыми предметами. Ушиб грудной клетки сопровождается небольшой гематомой и умеренной болью. Обычно не требуют специального лечения. В отдельных случаях при сильном ушибе может возникнуть обширное кровоизлияние в ткани или полости грудной клетки, иногда сопровождающееся разрывом органов и тканей. Такая травма относится к категории тяжелых, требует неотложной госпитализации и может закончиться смертью больного.
При сотрясении грудной клетки наблюдается чрезвычайно тяжелый шок при отсутствии анатомических изменений. Состояние пациента тяжелое, дыхание неравномерное, болезненное, поверхностное. Пульс учащенный, неровный, едва уловимый. Конечности холодные, цианотичные. Необходима немедленная госпитализация, полный покой и вдыхание кислорода под давлением.
При сдавлении грудной клетки дыхательные движения нарушаются. Кровь оттекает от надплечий, верхней части груди, шеи и головы. Развивается удушье. Возможны нарушения сознания. Кожа перечисленных отделов тела синеет, на ней, а также на конъюнктиве и на слизистой полости рта образуются многочисленные мелкие кровоизлияния (экхимозы). Выявляется симптом декольте – отек и цианотичность верхней части туловища. Возможна временная потеря зрения и слуха, обусловленная кровоизлияниями и зрительный нерв, сетчатку, глазное яблоко и внутреннее ухо.
Пациента госпитализируют, рекомендуют находиться в покое в полусидячем положении. Для устранения болевого синдрома выполняют новокаиновые вагосимпатические блокады. Проводят санацию дыхательных путей, оксигенотерапию и, в некоторых случаях – искусственную вентиляцию легких.
Открытые повреждения
При непроникающих повреждениях грудной клетки состояние больных удовлетворительное. Лечение заключается в наложении повязки или ушивании раны. При проникающих ранениях состояние пациентов может значительно варьироваться и зависит от отсутствия или наличия гемопневмоторакса и сопутствующих повреждений внутренних органов и костного каркаса.
Гемоторакс при таких травмах развивается вследствие кровотечения в плевральную полость из поврежденных сосудов легкого и грудной стенки, пневмоторакс – из-за проникновения в плевральную полость воздуха из раненого легкого. При ранении легкого наблюдается кровохарканье, гемоторакс и подкожная эмфизема. Для уточнения диагноза выполняется рентгенография грудной клетки. Лечение хирургическое. Пациентов госпитализируют в специализированное отделение, где торакальные хирурги в экстренном порядке выполняют операцию и ушивание раны. Объем вмешательства зависит от характера травмы.
Гемоторакс
Гемоторакс (скопление крови в плевральной полости) образуется при кровотечении вследствие повреждения межреберных сосудов, легкого или внутренней грудной артерии. Выделяют малый (менее 500 мл), средний (от 500 до 1000 мл) и большой (более 1000 мл) гемоторакс. При малом состояние пациента не страдает или страдает незначительно. Возможно консервативное лечение. При среднем гемотораксе состояние больного умеренно или незначительно ухудшается, дыхание учащается. Может потребоваться как консервативное лечение, так и плевральная пункция.
При большом гемотораксе наблюдается шок, нарушение гемодинамики, сморщивание легкого и смещение органов средостения. Кожа больного цианотична, пульс учащен, дыхание тоже учащенное, поверхностное. Положение тела – вынужденное, сидячее, с опорой на руки. Необходима плевральная пункция, либо, если гемоторакс нарастает, – торакотомия для выявления и устранения источника кровотечения. Все пациенты с гемотораксом в обязательном порядке госпитализируются. Наблюдение включает в себя повторные рентгеноскопические или рентгенографические исследования для оценки динамики и определения дальнейшей тактики лечения.
Пневмоторакс – это скопление воздуха, проникающего в плевральную полость из поврежденного легкого или из внешней среды. Выделяют три вида пневмоторакса: закрытый, открытый и клапанный. При закрытом пневмотораксе рана закрывается мягкими тканями. Количество воздуха ограничено и не увеличивается. Небольшое количество воздуха рассасывается самостоятельно, при умеренном может потребоваться плевральная пункция.
Помимо сдавления легкого на стороне повреждения пневмоторакс вызывает баллотирование средостения – маятникообразное движение органов при вдохах и выдохах. Сердце и сосуды смещаются, приток крови к сердцу уменьшается. Это еще больше утяжеляет состояние пациента. Все больные госпитализируются. Принимаются экстренные меры для устранения пневмоторакса. В последующем осуществляется динамическое наблюдение, выполняются повторные рентгеноскопии легких или рентгенографии.
Травматический пневмоторакс. Диагностика, тактика
Пневмоторакс — одно из наиболее распространенных состояний при обширной травме, с распространенностью более 20% у пациентов, прибывающих живыми в травматологические центры. Пневмоторакс определяется как скопление воздуха в плевральной полости. Есть три подтипа пневмотораксов: простой, открытый и напряженный. Простой пневмоторакс — просто скопление воздуха, задержавшегося в плевральной полости. Наиболее распространенная причина пневмоторакса — выход воздуха из поврежденного легкого в плевральную полость.
Открытые пневмотораксы развиваются, когда раны грудной стенки позволяют воздуху входить в плевральную полость снаружи. Напряженный пневмоторакс развивается, когда воздух собирается в плевральной полости под давлением, превышающим атмосферное давление. Это давление затем передается на средостение, что может закончиться смещением сердца и крупных сосудов в противоположную от пневмоторакса сторону. Как при большинстве повреждений, патогенез пневмоторакса изменяется при тупых или проникающих механизмах.
Пневмотораксы после тупой травмы могут развиться вследствие нескольких механизмов:
1) внезапное увеличение внутригрудного давления может разорвать альвеолы, что приведет к утечке воздуха,
2) отломки ребер могут сместиться внутрь и разорвать легкое непосредственно,
3) повреждения от резкого торможения могут порвать легкое, вызывая утечку воздуха, и
4) тупые силы могут непосредственно раздавить и разрушить альвеолы. Напротив, этиология пневмотораксов после проникающей травмы почти всегда связана с прямым разрывом паренхимы легкого.
Окончательный диагноз пневмоторакса делается по рентгенограмме, хотя его можно часто заподозрить при физикальном исследовании. Обнаружение подкожной эмфиземы после тупой или проникающей травмы указывает на пневмоторакс. В то время как ослабленные дыхательные звуки — полезная находка, при их наличии, относительно сильный окружающий шум в большинстве травматологических смотровых и факт, что звуки дыхания часто хорошо передаются от другого легкого, лишают этот признак универсальности, а наш опыт показывает, что звуки дыхания могут присутствовать даже при наличии существенного пневмоторакса. Открытая рана на грудной стенке с очевидным выходом воздуха, безусловно, говорит об открытом пневмотораксе.

Как уже сказано, диагноз пневмоторакса обычно ставится по рентгенограмме в переднезадней проекции, выполненной на портативном аппарате. Хотя недавно было показано, что УЗИ имеет значение в диагностике гемопневмоторакса. Это особенно верно при тех передних пневмотораксах, которые плохо видны при рентгенограмме в переднезадней проекции в положении лежа на спине. Предполагалось, что исследование обеих половин грудной клетки должно быть частью прицельной сонографии живота при травме (FAST). Ультразвуковой диагноз пневмоторакса может быть поставлен при визуализации плевры между эхогенными реберными окнами и поиске характерных признаков пневмоторакса.
Часто оценка объема пневмоторакса используется для определения его клинического значения. Это выполняется определением расстояния от поджатого края легкого до грудной стенки в процентном отношении к общему размеру половины грудной клетки. Поскольку КТ живота стало более обычным для оценки пациентов в стабильном состоянии после тупой травмы, выяснилось, что у многих пациентов с тупой травмой есть значительные передние пневмотораксы, которые не видны при обзорной рентгенографии грудной клетки. Частота пропущенных при рентгенограмме в переднезадней проекции в положении лежа на спине пневмотораксов оценивалась в 20-35%.
Фактически, неспособность обзорной рентгенограммы дать действительно трехмерную картину грудной полости делает часто используемые «процентные» описания пневмотораксов очень неточными и малоценными. С клинической точки зрения эти недостатки обзорной рентгенографии служат объяснением причины значительной одышки при многих пневмотораксах, выглядящих достаточно безвредными на рентгенограмме. Это также помогает в понимании того, почему небольшой на вид объем плевральной жидкости на рентгенограмме может дать большое выделение жидкости через плевральную дренажную трубку. Таким образом, симптомы у отдельного пациента и физиологические данные будут намного более важны для обоснования безотлагательного лечения, чем определяемый при рентгенограмме объем пневмоторакса. Опытные врачи наблюдали пациентов с полным коллапсом легкого, у которых не было одышки, показатели газов крови в покое были нормальными.
Напротив, у других пациентов может быть тяжелая одышка и гипоксия при значительно меньшем спадении легкого.
Ретроспективно, вероятно, что у некоторых пациентов из последней группы при КТ груди можно было бы найти пневмоторакс большего объема.
Эта дилемма привела к дискуссии по поводу диагностики и лечения пневмоторакса, а именно, адекватность лечения пациентов, пневмоторакс у которых видим только при КТ груди и/или живота. Сообщается, что встречаемость этих скрытых пневмотораксов составляет 2-8% всех случаев тупой травмы. В то время как диагностика скрытого пневмоторакса расширяется, оптимальное лечение этих пациентов еще не определено. В ретроспективном исследовании размер скрытого пневмоторакса соотносился с установкой торакостомической трубки, а торакостомия трубкой предлагалась при всех пневмотораксах более 5x80 мм. Кроме того, эти авторы считают, что перелом двух или более ребер также предопределяет потребность в торакостомии трубкой.
Enderson et al. проспективно установили, что у 8 из 15 пациентов со скрытыми пневмотораксами на вентиляции с положительным давлением потребовалась торакостомия трубкой, и в трех случаях развился напряженный пневмоторакс. Авторы рекомендовали, чтобы при всех скрытых пневмотораксах у больных, требующих вентиляции с положительным давлением, выполнялась торакостомия трубкой. Напротив, в проспективном исследовании 44 подобных пациентов, Brasel et al. нашли, что ни размер, ни вентиляция с положительным давлением не коррелировали с развитием клинически значительного пневмоторакса, который потребовал бы торакостомии трубкой.
Таким образом, из доступной литературы следует, что приблизительно в 20% случаев скрытого пневмоторакса потребуется торакостомия трубкой, но такие пневмотораксы лечат в соответствии с конкретной ситуацией. Пациенты с множественными повреждениями, геморрагическим шоком или травмой головного мозга могут не перенести небольшого, но вполне вероятного увеличения пневмоторакса в размере. Точно так же в случаях необходимости ведения такими узкими специалистами как ортопеды и нейрохирурги наблюдение за развитием пневмоторакса будет не столь тщательным, как в травматологическом отделении интенсивной терапии. В этих обстоятельствах мы считаем, что соотношение выгода/риск смещается в сторону лечения с помощью плевральной дренажной трубки. При возможности тактики безопасного наблюдения дополнительная рентгенография должна выполняться через 6 и 24 часа после установки диагноза, чтобы гарантировать, что пневмоторакс не прогрессирует.
Редактор: Искандер Милевски. Дата обновления публикации: 18.3.2021
Читайте также:
