Признаки травмы приводящих мышц бедра
Добавил пользователь Владимир З. Обновлено: 29.01.2026
Растяжения и разрывы мышц бедра. Диагностика и лечение
Растяжение приводящих мышц бедра обычно возникает по механизму «оседлания», например при сильном разведении бедер, и часто наблюдается у бегунов с препятствиями и спортсменов, выполняющих упражнения подобного типа.
Пострадавший жалуется на боль в области лона. При неполном разрыве боль усиливается при пассивном разведении бедер и активном приведении против сопротивления. При полном разрыве врач может увидеть выпячивание мышцы на внутренней поверхности бедра около паха.
Лечение растяжений приводящих мышц бедра. Лечение при неполном разрыве включает прикладывание льда, постельный режим в течение 3—6 нед и ходьбу на костылях. Этим больным всегда следует делать рентгенографию, чтобы выяснить, не произошел ли отрыв от места прикрепления длинной приводящей мышцы, которая чаще всего страдает при этом повреждении. Если врач подозревает полный разрыв, показано направление к ортопеду для решения вопроса о необходимости оперативного лечения.
Растяжение сгибателей бедра
Эта группа мышц травмируется довольно часто, особенно у бегунов и игроков в баскетбол. Пострадавший жалуется на боль и обычно поступает в отделение неотложной помощи со спазмом мышц, ограничивающих сгибание бедра. При опросе часто выясняется, что больной после травмы продолжал бежать.
Лечение растяжений сгибательных мышц бедра. Больному важно подчеркнуть, чтобы он не возобновлял спортивных занятий до стихания болей. Возвращаться к бегу следует постепенно, ориентируясь на болевые ощущения. Лечение такое же, как и при растяжении мышц бедра.

Симптомы мышечно-сухожильных повреждений паховой области у 53 спортсменов.
Данные Ренстрём и Петерсон.
Разрывы мышц бедра
Прямая мышца бедра и длинная приводящая мышца могут подвергнуться разрыву в любом месте, от начала до места своего прикрепления. Больному часто ставят ошибочный диагноз ушиба, и только через несколько дней обнаруживается опухолевидное образование, представляющее собой сократившуюся, выбухающую мышцу. Во многих случаях диагноз поставить трудно, что подчеркивает необходимость тщательного наблюдения за всеми больными с растяжениями и ушибами мышц бедра.
Лечение разрывов мышц бедра. Для заживления неполного разрыва мышц бедра требуется как минимум 6 нед. Активность допускается по мере переносимости боли, однако занятия спортом или любые чрезмерные нагрузки недопустимы. Больному рекомендуют ходить с помощью костылей и возвращаться к физической активности постепенно. Больных с полным разрывом мышцы следует шинировать и направлять к ортопеду.
Фасциальная грыжа
Мышцы бедра покрыты фасциальными футлярами. Последние по передней и наружной поверхности бедра утончаются впереди подвздош-но-большеберцового тракта. Больной может обратиться в отделение неотложной помощи с жалобой на небольшое пальпируемое образование, появляющееся при сокращении и исчезающее при расслаблении четырехглавой мышцы. Лечения обычно не требуется, однако в зависимости от симптомов может быть показано хирургическое лечение.
а - Наиболее травмируемые мышцы и сухожилия паховой области.
б - Для футбола характерно большое количество травм паховой области.
Редактор: Искандер Милевски. Дата обновления публикации: 18.3.2021
Информация на сайте подлежит консультации лечащим врачом и не заменяет очной консультации с ним.
См. подробнее в пользовательском соглашении.
Большая приводящая мышца

Большая приводящая мышца — одна из шести мышц медиального компартмента бедра. Большая приводящая мышца — это широкая треугольная мышца образующая перегородку, которая отделяет мышцы передней поверхности бедра от мышц задней поверхности бедра. Это самая большая из медиальных мышц бедра. Она лежит глубже, чем короткая и длинная приводящие мышцы.
Анатомия

Анатомия большой приводящей мышцы
Начало и прикрепление. Мышца начинается от нижней ветви лобковой кости, ветви седалищной кости (передние волокна) и седалищного бугра (задние волокна). Прикрепляется мышца к ягодичной бугристости, середине шероховатой линии, медиальной надмыщелковой линии и медиальному надмыщелку бедренной кости.
Друзья, 21 августа в Москве состоится семинар Георгия Темичева «Функциональная анатомия в тренировках на гибкость». Узнать подробнее…
Большая приводящая мышца кровоснабжается:
- запирательной артерией,
- бедренной артерией,
- медиальной огибающей бедренной артерией,
- прямыми и перфорирующими ветвями глубокой бедренной артерии.
Иннервация: Запирательный нерв (L2, 3, 4) и седалищный нерв (L4, 5, S1).
Действие
- Приведение бедра.
- Передние волокна, идущие от ветви лобковой и седалищной костей, могут способствовать сгибанию, а задние волокна, идущие от седалищного бугра, могут способствовать разгибанию бедра. У большой приводящей мышцы большое плечо момента разгибания бедра, что делает его недооцененным разгибателем бедра. Длина плеча момента разгибания бедра большой приводящей мышцы меняется в зависимости от угла наклона бедра, и данная мышца является более эффективным разгибателем бедра, чем хамстринги или большая ягодичная мышца при сгибании бедра. Пиковые сокращения мышцы наблюдаются в положении сгибания бедра, например, при полном приседании.
- В некоторых руководствах активность большой приводящей мышцы сопровождается активностью других аддукторов, правда не совсем понятно, какая ротация им свойственна в большей степени, — внутренняя или наружная. Анализ ЭМГ-активности аддукторов бедра и кинематики во время ходьбы представляет функциональную модель в поддержку наружной ротации. Она подразумевает, что в поперечной плоскости:
- Во время реакции на нагрузку: аддукторы могут эксцентрично контролировать внутреннее вращение бедренной кости в тазобедренном суставе, а не играть роль концентрических внутренних ротаторов, как сообщалось ранее.
- Во время фазы окончания опоры и фазы препереноса: эти мышцы могут также концентрически производить наружное вращение бедренной кости в тазобедренном суставе.
Большая приводящая мышца является основным стабилизатором таза. Во время ходьбы и бега аддукторы стабилизируют бедренную кость и нижние конечности в целом, чтобы избежать чрезмерного внутреннего вращения.
Приводящий канал
![]()
Приводящий канал
Приводящий канал также известен как канал Хантера или бедренной-подколенный канал. Это узкий конический туннель, расположенный в бедре. Его длина составляет 15 см, он простирается от вершины бедренного треугольника до hiatus adductorius большой приводящей мышцы (сухожильная щель) . Канал служит проходом для структур, залегающих между передней и задней частями бедра — бедренной артерии, вены и нерва.
Клиническая значимость
Повреждения паховой области
Самым распространенным видом растяжения или травмы паховой области считается растяжение или травма большой приводящей мышцы. Данная проблема встречаются в основном у легкоатлетов, хоккеистов и футболистов (т.е. преимущественно у мужчин-спортсменов). Источник боли в паху трудно диагностировать из-за вовлечения многих мышц: подвздошной, приводящих мышц и ягодичных мышц, а также из-за близости к тазу, тазобедренному суставу и крестцу.
Механизм травмы
- Предполагается, что механизм возникновения растяжения приводящих мышц связан с необходимостью быстрого замедления нижней конечности при быстром отведении и внешней ротации, как это происходит при катании на коньках или при быстрой смене направления движения. При катании на коньках тело испытывает повышенную потребность в стабилизации в области бедра и тазобедренного сустава из-за тонкого лезвия, на котором конькобежцы должны балансировать. В дополнение к нестабильности, присущей езде на коньках, эти спортсмены используют взрывные движения на разгибание, отведение и вращение в бедре, полагаясь на эксцентрическое сокращение приводящих мышц для замедления ноги во время шага. Эти повторяющиеся эксцентрические сокращения аддукторов во время быстрой и медленной езды на коньках могут привести к воспалению аддукторов.
- Основными симптомами после травмы являются: боль, отечность, любое действие, которое предполагает сведение коленей вместе, будет болезненным, а движение бедра наружу будет ограничено спазмом и болью.
- Полные разрывы встречаются редко.
Боль в суставе
Напряженные аддукторы могут вызывать боль в колене, особенно у бегунов. Функция приводящих мышц заключается в том, чтобы сводить бедра вместе и вращать верхнюю часть ноги вовнутрь, а также стабилизировать бедро. Большая приводящая мышца имеет относительно смешанное соотношение типов мышечных волокон, хотя и с большей долей мышечных волокон типа I. Постуральные волокна (тип 1) имеют тенденцию к укорочению при хронической перегрузке. Эти мышцы могут быть разорваны в месте их начала от костей таза или в их основной части.
Синдром приводящего канала
Это нечастая причина острой артериальной окклюзии у молодых мужчин. Это результат сдавливания артерии (поверхностной бедренной артерии) аномальным мышечно-сухожильным тяжем, возникающим из большой приводящей мышцы и лежащей рядом и выше сухожилия аддуктора. Патогенетический механизм этого синдрома напоминает таковой при защемлении подколенной ямки и может проявиться после физической нагрузки.
Поскольку этот синдром встречается у молодых мужчин, у которых острая артериальная окклюзия может привести к потере конечности, важно распознать наличие явных ишемических симптомов после физической нагрузки у здорового молодого человека. Лечение заключается в разделении этого аномального тяжа и восстановлении артериального кровообращения с помощью соответствующих средств. Поиск двусторонних поражений может помочь избежать проблем в будущем, даже если симптомы односторонние.
Оценка
Пальпация
Сухожилие большой приводящей является самым проксимальным сухожилием среди аддукторов бедра, тонкая мышца располагается медиально по отношению к длинной приводящей мышце. Большая приводящая мышца лежит кзади от мышцы тонкой мышцы. Большая приводящая мышца пальпируется на медиальной стороне бедра при сопротивлении приведению бедра.
Положение пациента: в положении лежа на боку. Отведение нижней конечности от стола без ротации, сгибания или разгибания бедра, а также наклона таза. Сила оценивается по давлению на медиальную поверхность бедра в направлении отведения, т.е. По направлению к бедру.
Длина
Недостаточная длина мышц приводит к деформации самих мышц и контрактуре при отведении бедра.
В положении стоя таз наклонен латерально, он находится высоко на стороне контрактуры, что делает необходимым выполнить сгибание стопы на той же стороне, чтобы пальцы ног касались земли. В качестве альтернативы, если стопа стоит на полу, противоположную конечность либо сгибают в тазобедренном суставе, либо отводят, чтобы компенсировать кажущуюся укороченность приведенной стороны.
Лечение
Упражнения на растяжку для поддержания нормальной длины мышцы. Пример упражнения:
- Встаньте в широкую стойку.
- Сгибайте противоположное колено, наклоняясь в эту же сторону, пока не почувствуете растяжение внутренней поверхности противоположного бедра.
- Удерживайте это положение в течение 20-30 секунд.
Также можно использовать миофасциальный релиз.
Укрепляющие упражнения
Различные упражнения помогут укрепить большую приводящую мышцу.
В одном из исследований Lovell и соавт. (2012) изучили ряд распространенных реабилитационных тестов для аддукторов и обнаружили, что изометрическая аддукция бедра в положении лежа на спине при 0 или 45 градусах сгибания бедра и колена являются наилучшей позицией для получения максимальной амплитуды ЭМГ в большой приводящей мышце.
Концентрические упражнения (упражнения с сопротивлением)
Согласно результатам исследования, опубликованным в Британском журнале спортивной медицины, простая программа укрепления приводящих мышц бедра, основанная на выполнении Копенгагенских приведений, снижает риск травмы паховой области у футболистов.
Тендинопатия приводящих мышц бедра
![тендинопатия приводящих мышц бедра]()
Тендинопатия приводящих мышц бедра (ТПМБ) описывает ряд состояний, которые развиваются в сухожилии и вокруг него в ответ на хронически чрезмерное использование сухожилия. На гистопатологическом уровне происходят изменения в молекулярной структуре сухожилия, как правило это — сепарация и дегенерация коллагена, а на макроскопическом уровне обычно наблюдается утолщение сухожилия, потеря механических свойств и боль. Роль воспаления все чаще ставится под сомнение, поскольку исследования показали, что вокруг зоны поражения нет воспалительных клеток, поэтому термин «тендинит» устарел.
Клинически значимая анатомия
Приводящие мышцы бедра состоят из 5 мышц, которые можно разделить на длинные (тонкая мышца и большая приводящая мышца) и короткие (гребенчатая мышца, короткая приводящая мышца и длинная приводящая мышца) аддукторы. Эти мышцы помогают стабилизировать таз и приводят бедра к средней линии.
Приводящие мышцы начинаются от нижней части тазовой кости и прикрепляются к бедренной кости, располагаясь между сгибателями и разгибателями бедра. Они используются, когда мы скрещиваем ноги, или, что более важно, при балансировке таза в положении стоя и при ходьбе.
Большая приводящая мышца — самая большая мышца из этой группы, находящаяся позади всех остальных. Существуют 2 части этой мышцы – часть, функционально принадлежащая аддукторам и часть, принадлежащая хамстрингам. Аддукторная часть простирается от нижней ветви лобковой кости и ветви седалищной кости, прикрепляясь к шероховатой линии бедренной кости и медиальному надмыщелку (к его сухожильному креплению). Часть, относящаяся к хамстрингам, простирается от бугристости седалищной кости до приводящего бугорка и медиальной надмыщелковой линии. Функция большой приводящей мышцы — приведение, помощь в сгибании бедра (аддукторная часть) и в разгибании бедра (часть, относящаяся к хамстрингам).
Длинная приводящая мышца простирается от верхней ветви лобковой кости и лобкового симфиза и прикрепляются к шероховатой линии бедренной кости. Это большая и плоская веерообразная мышца, которая образует часть медиальной границы бедренного треугольника. Она также образует апоневроз в месте ее дистального прикрепления, который распространяется на медиальную широкую мышцу бедра. Длинная приводящая мышца приводит и медиально ротирует бедро.
Короткая приводящая мышца располагается под длинной и простирается от нижней ветви лобковой кости к задней части шероховатой линии бедренной кости. Короткая мышца приводит бедро.
Тонкая мышца — единственная двусуставная мышца, простирающаяся от ее прикрепления на нижнем крае лобкового симфиза до медиальной поверхности большеберцовой кости, вставляющаяся в «гусиную лапку» между сухожилиями портняжной мышцы и полусухожильной мышцы. Это самая поверхностная мышца из группы приводящих мышц, функция которой заключается в приведении бедра и сгибании колена.
Этиология
Приводящие мышцы бедра активны во многих видах спорта, таких как бег, футбол, верховая езда, гимнастика и плавание. Повторяющийся характер движений в некоторых из этих видов спорта и постоянная смена направления предъявляют повышенные требования к сухожилиям приводящих мышц. Это делает спортсменов более уязвимыми в отношении развития ТПМБ, а также возникновения боли в области паха. Другими причинами могут быть чрезмерное растяжение сухожилий приводящих мышц бедра или внезапное увеличение количества тренировок или их интенсивности.
Развитие ТПМБ зависит от множества причин. Одним из таких факторов является значительное несоответствие длины ног, которое влияет на характер походки (хотя нет никаких разъяснений относительно того, что является существенным). Плохие или измененные паттерны движений во время физической активности могут также чрезмерно напрягать сухожилия приводящих мышц бедра. Различия в длине мышц, дисбаланс силы или мышечная слабость в нижней конечности также могут влиять на развитие тендинопатии. Другими факторами могут быть недостаток разминки, гиподинамия, усталость, избыточная масса тела, дегенерация или генетика.
Клиническая картина
ТПМБ обычно ощущается как боль в паху при пальпации сухожилий приводящих мышц, приведении ног и/или поврежденной ноги. Боль может развиваться постепенно или проявляться как острая, резкая боль.
Может также ощущаться отек или уплотнения в приводящей мышце (мышцах), скованность в паховой области или неспособность сокращать или растягивать приводящие мышцы. В тяжелых случаях физические нагрузки будут ограничены, так как сухожилие больше не может выдерживать повторяющиеся нагрузки.
Дифференциальная диагностика
Причины боли в паху могут быть многочисленными: мышечно-сухожильные, неврологические или структурные (например, остеит лонных костей). Другие состояния: спортивная или паховая грыжа, подвздошно-поясничный бурсит, стресс-перелом, авульсионный перелом или хронический простатит.
Диагностические процедуры
Физиотерапевт может поставить объективный диагноз после тщательной оценки. Также могут быть проведены дополнительные исследования, такие как УЗИ, МРТ или КТ.
Профилактика
Чтобы предотвратить развитие ТПМБ, спортсмен должен постоянно работать над такими факторами, как сила и координация. Вместе с тем ему необходимо соблюдать все требования для восстановления и адаптации в промежутках между тренировками.
Спортсмен должен развивать мышечную силу для поддержания стабильности таза, занимаясь конкретными упражнениями, соответствующими требованиям его деятельности/вида спорта и имеющими различные уровни сложности (например, тренировка для увеличения скорости и прыжки). Еще одним важным аспектом является мышечная гибкость. Рекомендуются регулярные растяжки.
Медикаментозное лечение
Обезболивание рекомендуется в первую очередь, хотя НПВП могут быть неэффективны из-за невоспалительного характера травмы. Стероидные инъекции не всегда показаны из-за возможности повреждения сухожилия (если они вводятся непосредственно в сухожилие).
Физическая терапия
Физиотерапия рекомендуется для лечения ТПМБ. Активная терапия с помощью программы упражнений превосходит более пассивный подход к лечению. Восстановление сильно варьируется между людьми, поскольку заболевание может быть дегенеративным. В целом пациенты могут хорошо реагировать на реабилитационные программы, но в некоторых случаях сухожилия могут быть невосприимчивы к целому ряду методов лечения.
Рекомендуется укрепление мышц брюшного пресса для поддержки аддукторов во время выполнения упражнений, а также упражнений на сгибание бедра. Упражнения должны быть адаптированы к конкретному виду спорта, чтобы избежать повторения травмы. В большинстве случаев возвращение к нормальной функции может произойти в течение нескольких недель, но в более тяжелых случаях реабилитация может занять несколько месяцев, прежде чем произойдет возвращение к нормальной, безболезненной активности.
Тактика ведения
В первые 48 часов после травмы необходим отдых. Применяйте концепцию RICE (покой, лед, компрессия и приподнятое положение конечности) 3 раза в день в течение 10-20 минут, чтобы помочь уменьшить отек и воспаление. Когда отечность уменьшилась, можно начать терапию стимуляции кровотока, чтобы увеличить процесс заживления. Затем показано активное лечение для максимизации реабилитации. Ее целью является восстановление свойств мышц и сухожилий, поскольку силовые тренировки благотворно влияют на структуру сухожильного матрикса, свойства мышц и биомеханику конечностей. Последние данные свидетельствуют о том, что эксцентрическая программа упражнений является наиболее эффективной. Также можно медленно выполнять эксцентрические и концентрические упражнения с большим отягощением для улучшения в плане боли и функции сухожилия. Однако, Cook и соавт. предложили новую, 3-ступенчатую модель тендинопатии, где лечение физическими упражнениями отличается между этапами. Они предполагают, что текущий протокол лечения посредством добавления эксцентрической нагрузки, используемый для стадий 2 и 3, может быть вредным для тендинопатии стадии 1. Для эффективного лечения определение стадии тендинопатии имеет решающее значение.
Нагрузка обеспечивает положительный стимул как для сухожильных, так и для мышечных тканей, однако не существует единого эффективного метода реабилитации сухожилия, с вариациями повторений, подходов и нагрузки, применяемой в зависимости от стадии реабилитации и реакции мышц-сухожилий пациента на тренировки. Упражнения направлены на устранение нервно-мышечных и сухожильных изменений (силы и функциональный способности) при тендинопатии.
Cтадии, которые предлагают Cook и соавт.: реактивная тендинопатия, повреждение сухожилия (неудачное заживление) и дегенеративная тендинопатия. На ранних, реактивных стадиях ключевым моментом является изменение нагрузки до приемлемого уровня, при котором сухожилие может восстанавливаться и заживать. Cook предполагает, однако, что сухожилия могут иметь скрытую реакцию около 24 часов. Это означает, что то, что кажется нереактивным сразу после активности, может обостриться через 24 часа. На данном этапе применение нестероидных противовоспалительных препаратов не является однозначным, но предполагается, что их применение может принести пользу. Всегда консультируйтесь со своим врачом, прежде чем принимать какие-либо лекарства.
Растяжка также не показана во время реактивной стадии, поскольку она может вызвать сжимающую нагрузку на пораженном сухожилии, усугубляя симптомы. Одним из вариантов является массаж для поддержания длины мышц. В этой острой стадии рекомендуется лечение изометрическими упражнениями (вместо эксцентрических) наряду с отдыхом от чрезмерной физической активности. Т.е. необходимо отдохнуть от действий, которые могут включать такие параметры как скорость, расстояние и интенсивность, и быть осторожным с любой болью, которая может появиться через 24 часа. Симптомы и болевая реакция должны быть руководством, поэтому рекомендуется перекрестная тренировка для поддержания физической формы и функции. На этом этапе возможны обратные изменения в сухожилии.
Тендинопатия в стадии 2 обычно характеризуется постоянным дискомфортом при локальном утолщении сухожилия от хронической перегрузки и может наблюдаться у пациентов разного возраста в зависимости от продолжительности воздействия, частоты и интенсивности нагрузки. Стадия 2 может быть трудно различима клинически.
При дегенеративной тендинопатии в стадии 3 клеточные изменения и изменения матрицы прогрессируют до необратимого уровня, поэтому лечение ориентировано на долгосрочную перспективу, что включает эксцентрическую нагрузку, а также упражнения на укрепление и стабилизацию. Дегенеративное сухожилие обычно наблюдается у пожилых спортсменов и иногда у молодых в зависимости от степени хронической перегрузки. Там могут быть участки утолщения, и острые приступы боли могут указывать на участки тендинопатии в стадии 1. В случае сильно дегенерации сухожилия существует риск его разрыва. Поэтому лечение должно учитывать симптомы в соответствии с этапом 1, пока острая боль не утихнет, затем следует долгосрочная программа упражнений.
Malliarus и соавт. предполагают, что существует мало доказательств для выделения эксцентрического компонента в реабилитации тендинопатии ахиллова сухожилия и надколенника. По их мнению, программа реабилитации, включающая эксцентрические, концентрические и изометрические упражнения дает наилучшие результаты.
Существует не один способ лечения тендинопатии, поэтому рекомендуется работать с физиотерапевтом для управления симптомами, а также использовать отдых наряду с постепенным возвращением к активности. Как только симптомы разрешатся, возможен постепенный возврат к нормальной растяжке. Однако, растяжка никогда не должна вызывать боль.
Вот несколько примеров растяжек приводящих мышц бедра:
- Короткие приводящие мышцы:
- сядьте в положение, как показано ниже (избегайте ссутуливания в нижней части спины);
- мягко прижмите локти к коленям, пока не почувствуете растяжение мышц;
- задержитесь в этом положении на 20-30 секунд, повторите 3-4 раза.
![тендинопатия приводящих мышц бедра]()
Растяжка коротких приводящих мышц
- Длинные приводящие мышцы:
- встаньте и разведите ноги в широкую стойку;
- согните противоположное колено, наклоняясь в ту же сторону, пока не почувствуете растяжение;
- удерживайте это положение в течение 20-30 секунд, повторите 3-4 раза.
Примеры упражнений
Пример изометрического упражнения: сядьте на стул с резинкой, расположенной выше колена, и держите ногу в приведенном положении (против сопротивления резинки); удерживайте это положение до тех пор, пока это удобно; сопротивление может быть отрегулировано путем большего или меньшего растяжения резинки.
Пример упражнения, укрепляющего приводящие мышцы бедра: встаньте возле стола с резинкой, расположенной на голени; встаньте на степ-платформу здоровой ногой так, чтобы больная нога могла свободно качаться; держа спину и колено прямыми, медленно отведите ногу от средней линии, затем приведите ногу.
Заключение
Понимание стадии тендинопатии является ключом к эффективному лечению и долгосрочному управлению симптомами. Существует вероятность обратимости симптомов на ранних стадиях, но дегенеративное сухожилие требует больших усилий (чтобы избежать разрыва или необходимости полностью минимизировать физическую активность). Не существует единого подхода к лечению и работы с тендинопатией у людей с различной реакцией. Медикаментозное лечение может применяться там, где физическая нагрузка не оказывает никакого эффекта для облегчения боли, но следует с осторожностью применять стероиды.
Признаки травмы приводящих мышц бедра
Рентгенограмма, МРТ, УЗИ при травме приводящих мышц бедра
а) Терминология:
1. Синонимы:
• Синдром приводящей мышцы, растяжение паха, натяжение паха
2. Определение:
• Травма приводящих или внутренних вращательных мышц с сохранением прямой мышцы животаб) Визуализация:
1. Общая характеристика:
• Основные диагностические критерии:
о Отек мягких тканей в ложе приводящих мышц на МРТ:
- Может быть слабовыраженным или обширным
- Односторонний или двусторонний
о Жидкость, отделяющая длинную приводящую мышцу в месте ее начала, что указывает на частичный отрыв
• Локализация:
о Область начала приводящей мышцы > сухожильно-мышечное сочленение и брюшко мышцы
• Размер:
о От растяжения легкой степени до полного отрыва2. Рентгенография при травме приводящих мышцы бедра:
• Обычно признаки на рентгенограммах отсутствуют
• Оторванный осколок в области лобкового бугорка (редко)
• Сопутствующий остеит лобковой кости3. Рентгеноскопия:
• Вторичный признак расщелины на артрографии лобкового симфиза:
о Контраст, распространяющийся в косом направлении вдоль лобковой кости в месте начала длинной приводящей мышцы о Взаимосвязь с местом боли при односторонней локализации4. КТ при травме приводящих мышцы бедра:
• Признаки на КТ обычно отсутствуют
• Лучший метод для выявления оторванных осколков и остеита лобковой кости
• Асимметричная гематома ложа бедра![Рентгенограмма, МРТ, УЗИ при травме приводящих мышц бедра]()
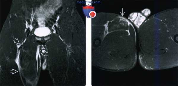
(Слева) МРТ, STIR, коронарный срез: у профессионального хоккеиста с ноющей болью в паху определяется околомышечный отек всего ложа приводящих мышц, что указывает на повторное растяжение.
(Справа) МРТ Т2ВИ, режим подавления сигнала от жира, аксиальный срез: у этого же пациента определяется отсутствие дифференцировки переднемедиальной поверхности оболочки длинной приводящей мышцы. Было выполнено оперативное лечение, поскольку часть длинной приводящей мышцы выпячивалась через эпимизий, что характерно для синдрома бейсбольного питчера/хоккейного вратаря.5. МРТ при травме приводящих мышцы бедра:
• Т1ВИ:
о Гиперинтенсивные продукты крови при острой/подострой гематоме
о Оторванный костный осколок
о Эрозии, гипоинтенсивный костный мозг при сопутствующем остеите лобковой кости
о Энтезофиты бугорка лобковой кости• Т2ВИ, режим подавления сигнала от жира:
о Острая травма: определение центра патологического сигнала на Т2:
- Жидкость под местом начала сухожилия = отрыв/частич-ный разрыв
- Более дистально от сухожильно-мышечного сочленения
- Перистый отек в середине брюшка мышцы или по всему ложу
- Направление ↑ сигнала на Т2 указывает на первичное поражение сухожилия/мышцы
- Градация травмы на Т2 или STIR:
1 степень = растяжение: околосухожильный/внутримышечный отек с отсутствием видимого разрыва
2 степень = частичный разрыв: неполный разрыв волокон или отрыв сухожилия; или промежутки заполненные жидкостью/гематома в брюшке мышцы
3 степень = полный разрыв сухожилия или мышцы, иногда с ретракцией
- Вторичная расщелина указывает на травму приводящей мышцы в области ее начала:
Нижнебоковое распространение гиперинтенсивного сигнала от симфиза
Может указывать на травму апоневроза: апоневроз прямой и приводящей мышцы спаиваются в месте начала приводящей мышцы
о Хроническая травма: выявление асимметрии мышцы или сухожилия:
- Увеличение, атрофия, образование узлов
- Околосухожильный гиперинтенсивный сигнал на Т2 = перитендинит или растяжение
- Крупная гипоинтенсивная на всех последовательностях = гипоксическая тендинопатия
- Очаговое ↓↓ сигнала может отражать кальцинозную тендинопатию• STIR:
о Двусторонний отек многих мышц может быть признаком позднего начала синдрома отсроченной мышечной болезненности (СОМБ), могут возникать симметричные растяжения:
- СОМБ редко возникает в приводящих мышцах6. УЗИ при травме приводящих мышцы бедра:
• Чувствительно в отношении травмы сухожилия приводящей мышцы
• Не чувствительно по отношению к сопутствующим патологическим изменениям лобкового симфиза
• Проведение полноценного исследования может быть затруднительным:
о У пациентов с болью в паху иногда могут быть множественные патологические изменения, в таких случаях может потребоваться полное обследование
о Ультрасонография позволяет провести дополнительную динамическую оценку паховых/бедренных грыж7. Рекомендации по визуализации:
• Лучший метод визуализации:
о МРТ
• Советы по протоколу исследования:
о Протокол исследования костного таза или пубалгии спортсменов
о МРТ бедер для оценки более дистальной травмы:
- Одновременная визуализации бедер в аксиальном срезе для симметрии
- Маркер в области боли
- При растяжении тонкой мышцы необходима одновременная визуализация средней и дистальной третей бедра![Рентгенограмма, МРТ, УЗИ при травме приводящих мышц бедра]()
(Слева) МРТ Т1ВИ, косой коронарный срез: у профессионального баскетболиста после травмы при отведении бедра во время отскакивания визуализируется костный осколок, оторванный от бугорка лобковой кости. Костные отрывы длинной приводящей мышцы встречаются редко.
(Справа) На традиционной конусовидной артрографии перед введением глюкокортикостероидов определяется распространение контраста от лобкового симфиза в косом и нижнем направлении под местом начала длинной приводящей мышцы. Это признак вторичной расщелины, указывающий на частичный разрыв.в) Дифференциальная диагностика травмы приводящих мышцы бедра:
1. Травма апоневроза прямой и приводящей мышц (спортивная грыжа):
• Так как волокна прямой мышцы прикрепляются к лобковому симфизу, волокна апоневроза идут над телом лобковой кости и соединяются в области начала длинной приводящей мышцы
• Чаще чем при изолированной травме приводящей мышцы
• Травма прямой мышцы живота может быть показанием к хирургическому вмешательству:
о Такие травмы с одном случае называются «отрывы приводящей мышцы», в другом случае «травма апоневроза»
о Осторожная оценка слабовыраженной травмы прямой мышцы живота
• Сопутствующий остеит лобковой кости2. Травма костей:
• Стрессовый перелом нижней ветви лобковой кости или падение с высоты
• Травма подвздошно-лобковой зоны роста у молодых пациентов
• Остеит лобковой кости при травмах приводящей мышцы или апоневроза3. Травмы сгибателя бедра:
• Сопротивление сгибанию в большей степени чем приведению
• Дополнительная травма сгибателя бедра может вызывать сложности при клинической оценке:
о Портняжная, подвздошно-поясничная мышцы
• Апофизит сгибателя в области ее начала у молодых пациентов4. Внутренняя дисфункция тазобедренного сустава:
• Рекомендуется артрография под анестезией5. Грыжа:
• Бедренная грыжа у женщин может вызвать синдром приводящих мышц6. Миозит и мионекроз приводящих мышц:
• Состояние после лучевой терапии таза
• Хронические пролежни крестца![Рентгенограмма, МРТ, УЗИ при травме приводящих мышц бедра]()
(Слева) МРТ Т2ВИ, режим подавления сигнала от жира, аксиальный срез: у наездника с ноющей правосторонней болью в паховой области определяется заметное увеличение правой длинной приводящей мышцы в области ее начала и гребешковой мышцы. Гипоксическая тендинопатия может быть проявлением дегенеративного синдрома.
(Справа) МРТ Т2ВИ, режим подавления сигнала от жира, аксиальный срез: у бегуна с усугубляющейся болью в бедре после частичного разрыва сухожильно-мышечного сочленения длинной приводящей мышцы, который был диагностирован на МРТ за четыре недели до исследования, определяется организующаяся гематома. создающая масс-эффект в области длинной приводящей мышцы.г) Патология:
1. Общая характеристика:
• Сопутствующие состояния:
о Гематома ложа приводящих мышц:
- При разрывах апоневроза тяжелой степени
- Может быть источником отсроченного заживления
- При крупном размере может быть следствием синдрома ложа
- Может кальцинироваться, формируя хроническое болезненное образование
• Многие варианты травм приводящих мышц подробно описаны в литературе по спортивной медицине:
о Отрывы приводящих мышц:
- Обычно отрыв длинной приводящей мышца от бугорка лобковой кости
- Силовое приведение бедра при разгибании таза:
Прыжки при занятии баскетболом, беге и работе в поле
о Сухожильно-мышечные растяжения приводящих мышц:
- Обычно поражается > одной мышцы:
Длинная приводящая > гребешковая > короткая приводящая > тонкая
- Может быть хронической при синдроме чрезмерной нагрузки:
Хоккейные вратари
Наездники
- Рекомендуется заподозрить сопутствующую травму ипси-латерального апоневроза
- Наиболее частая причина боли спустя 2-6 месяцев после восстановления тазового дна:
ЛФК после оперативного лечения используется для увеличения гибкости приводящих мышц
о Хроническая тендинопатия в месте начала приводящей мышцы:
- Травма при чрезмерной нагрузке
- Гребешковая и короткая приводящие мышцы травмируются реже
о Синдром бейсбольного питчера/хоккейного вратаря:
- Растяжение сухожильно-мышечного сочленения с травмой эпимизия (оболочки мышцы), которое мешает заживлению
- Часто возникает после восстановления тазового дна и сопровождается болью в паху
- Требуется хирургическое лечение
о Вариант кальцинирования приводящей мышцы:
- Отложение гидроксиапатита в сухожилии, подвергнутом дегенерации
- Кикбоксинг, бег с барьерами
• Разрыв сухожилия вследствие длительной терапии ципрофлок-сацином (редко)2. Макроскопические и хирургические особенности:
• Расположение мышц спереди-назад: гребешковая, длинная приводящая, короткая приводящая, тонкая
• Большая приводящая мышца начинается латеральнее:
о Бугристость седалищной кости, медиальнее мышц задней поверхности бедрад) Клинические особенности:
1. Проявления:
• Типичные признаки/симптомы:
о Частота травматизации: длинная приводящая > гребешковая > короткая приводящая > тонкая
о Односторонняя боль в проксимальном и медиальном отделах бедра
о Сопротивление приведению
о Ноющая, острая боль при дегенеративной тендинопатии
о Дифференцировка травм апоневроза и изолированных травм приводящих мышц может представлять сложность:
- Тендинопатия приводящих мышц может прогрессировать к травме апоневроза
- Вторичная расщелина, ассоциированная с травмами костей
- Пациенты изначально лечатся консервативно и зачастую в итоге подвергаются восстановлению тазового дна
• Острая: молодые атлеты
• Хроническая: средней возрастной группы, у ослабленных атлетов, занимающихся боевыми искусствами2. Лечение травмы приводящих мышцы бедра:
• Лечение варьирует от консервативного до оперативного:
о Первичное восстановление сухожилия приводящей мышцы редко:
- Повторное прикрепление оторванных костных осколков
о Эвакуация гематомы приводящих мышц и хирургическая обработка сухожилия:
- Иногда в сочетании со стабилизацией прямой мышцы живота
- Чрескожное катетерное дренирование
о Прямое введение глюкокортикостероидов при хронической тендинопатии
о Тенотомия под контролем ультрасонографии; необходимость хирургического лечения
о Программы по усилению и повышению гибкости
• Более вероятен ответ на консервативное лечение, чем на травму апоневрозае) Диагностическая памятка:
1. Следует учесть:
• Более обширная травма прямой мышцы живота/апоневроза приводящих мышц:
о Оценка сливного образования, распространяющегося над и под симфиз
• При отсутствии травмы или чрезмерной нагрузки, следует заподозрить новообразование мягких тканей
• Гипоксическая тендинопатия при крупном гипоинтенсивном сухожилии
• Оценка сопутствующего остеита лобковой кости, стрессового перелома лобковой кости2. Советы по интерпретации изображений:
• Следует дополнить описание данными клинического анамнеза
• Необходимо сохранять настороженность в отношении травмы мышцы сгибателя/сухожилия3. Рекомендации по отчетности:
• Измерение ретракции сухожилия приводящей мышцы
• Необходимо описать все травмированные мышцыРастяжение мышц бедра
![Фото]()
Среди всех повреждений мягких тканей наиболее часто встречается растяжение мышц. Такая травма в области бедра может возникнуть, если при разгибании колена или же вследствие удара одновременно сокращаются задние мышцы. Она характерна не только для спортсменов, но и для людей, которые ведут активный образ жизни, много двигаются. Предположить растяжение довольно легко, благодаря выраженной симптоматике. В зависимости от степени тяжести недуга, различают несколько его стадий. В большинстве случаев лечение растяжения мышц бедра происходит в довольно короткий срок и без осложнений.
Информацию из данного раздела нельзя использовать для самодиагностики и самолечения. В случае боли или иного обострения заболевания диагностические исследования должен назначать только лечащий врач. Для постановки диагноза и правильного назначения лечения следует обратиться к профильному специалисту.
![Онлайн-консультация врача в Московской клинике]()
Симптомы травмы
Среди мышц бедра выделяют заднюю группу, четырехглавую и приводящую мышцу. Наиболее часто травмируется именно четырехглавая, особенно у спортсменов. Повреждение данного участка имеет ряд особенностей, благодаря которым его можно определить. Чаще всего растяжение происходит из-за неправильных, аномальных резких движений, физических упражнений с чрезмерно большим весом. Если случилось растяжение, то человек почувствует:
- резкую сильную боль;
- возможно, щелчок в ноге;
- судорогу или онемение.
Характерным признаком выступает тот факт, что человек не сможет сделать повторно то упражнение, при котором случилось растяжение. Определить самостоятельно стадию недуга практически невозможно. Растяжения нередко сопровождаются вывихами, суставными смещениями, переломами, поэтому стоит посетить профильного врача как можно раньше. Проявление клинической картины во многом зависит от степени поражения, которая может быть легкой, средней или тяжелой и иметь соответствующие признаки:
- сильная боль, отсутствие гематом;
- интенсивная боль, наличие кровоподтеков;
- множественные гематомы, разрыв мышцы.
При растяжении задних мышц нередко возникает припухлость и наблюдается ограниченная подвижность суставов. При возникновении резкой боли нужно сразу же прекратить выполнять упражнения и обеспечить ноге покой.
![Фото Растяжение мышц бедра]()
Причины растяжения четырехглавой мышцы бедра
Растяжение четырехглавой мышцы бедра чаще происходит вследствие прямого воздействия, то есть удара. Травма характерна для таких видов спорта, как футбол, хоккей, регби, восточные единоборства и др. Также растяжение может произойти случайно во время активных игр. Еще одна причина — недостаточно разогретые мышцы перед тренировкой. Они тесно связаны с сухожилиями и суставами, поэтому обильная нагрузка без должной предварительной подготовки легко может спровоцировать травму. Итак, возможные причины:
- прямые и касательные удары;
- отсутствие физической подготовки;
- неаккуратное резкое движение ногой;
- бытовая травма при падении;
- подвертывание ноги, боковые завороты.
Для тех, кто занимается тяжелой атлетикой, тема растяжений особо актуальна. У них оно может случиться из-за:
- слишком быстрого выполнения упражнений;
- чрезмерной весовой нагрузки;
- некорректной амплитуды движений;
- несоблюдения правил выполнения;
- отсутствия должной разминки.
Известно, что мышцы лучше всего функционируют, если достаточно разогреты. Именно поэтому так важно делать предварительную растяжку, разминку, а во время занятий давать ногам отдых. Это значительно снижает риск повреждений.
К какому врачу идти?
Чтобы диагностировать и начать лечение растяжения мышц бедра, нужно обратиться за консультацией к такому врачу как:
Читайте также:









