Проявления и причины родовых травм
Добавил пользователь Евгений Кузнецов Обновлено: 20.11.2025
Роды — это крайне важный и ответственный процесс. Любопытно, как природа устроила все таким образом, чтобы они протекали как можно более благополучно и ребенок не получил травм. Однако, далеко не всегда все идет по плану, и в таком случае может потребоваться медицинская помощь.
Несмотря на достижения современной медицины, вероятность получения травмы ребенком во время родов довольно велика, и она не всегда связана с акушерскими ошибками. Наша клиника предлагает услуги по лечению и реабилитации ребенка после родовых травм. В арсенале наших опытных врачей передовые методы диагностики и эффективные способы лечения.
Часто задаваемые вопросы
Существует достаточно много разных видов родовых травм, их можно разделить на несколько групп по их отношению к разным частям организма. Так, выделяют следующие виды родовых травм:
- Черепа и шейного отдела позвоночника (черепно-мозговая травма)
- Мягких тканей (кожи, подкожно-жировой клетчатки, родовая опухоль, кривошея)
- Костей и суставов (трещины, переломы без и со смещением ключиц, плечевых и бедренных костей, подвывих суставов первого и второго шейных позвонков, повреждения костей черепа, эпифизеолиз плечевой кости)
- Внутренних органов (кровоизлияния в печень, селезенку, надпочечники)
- Нервной системы (внутричерепные родовые травмы, представленные кровоизлияниями в различные части и структуры головного мозга, повреждения спинного мозга, заключающиеся в кровоизлиянии в него и его оболочки, нарушения работы периферической нервной системы, в частности парез или паралич Дюшена-Эрба, Дежерин-Клюмпке, полный паралич, парез диафрагмы, повреждение лицевого нерва и пр.)
К акушерским причинам относятся травмы, обусловленные использованием определенных техник родовспоможения. Как правило, такие травмы являются более серьезными. Факторы, способствующие получению акушерской травмы, таковы:
- Приемы выдавливания ребенка, наложение щипцов, вакуума
- Применение стимуляторов родовой деятельности, снотворных, обезболивающих
- Принуждение женщины принимать неподходящую позу во время потугов
Часть родовых травм удается выявить в первые часы после родов. Среди них повреждения мягких тканей и серьезные травмы, такие, как кривошея, асимметрия головы, косолапость и переломы. Однако, большая часть травм никак не проявляет себя в первые дни жизни ребенка, а их симптомы дают о себе знать позже. Симптомы родовых травм можно разделить на три группы по возрасту ребенка, в котором они проявляются. Так, родителям стоит обратить внимание, если у грудного ребенка в возрасте до одного года наблюдаются следующие явления:
- Обширные, частые срыгивания
- Слабый набор веса
- Кишечные колики
- Частый плач
- Беспокойный сон
- Повышенная возбудимость, беспокойное поведение
- Задержка моторного развития
В возрасте 2-3 лет для родовых травм характерны следующие проявления:
- Повышенная нервная возбудимость, гиперактивность
- Задержка речи и ее нарушения разного характера
- Задержка развития
- Энурез
- Нервные тики
- Косоглазие
Наконец, поводом для беспокойства родителей в школьном возрасте должны стать:
- Аномалии поведения, внимания, памяти, мышления
- Сложности с учебой
- Головные боли
- Повышенная утомляемость
- Частые инфекционные заболевания, вызванные по причине слабого иммунитета
Лечение зависит от вида травмы и индивидуальных особенностей организма ребенка. Так, незначительные повреждения мягких тканей рассасываются сами, в случае перелома младенцу накладывают гипс, а при травмах головного и спинного мозга прописывают фармакологическую терапию.
Однако, для полного избавления ребенка от травмы и ее последствий необходимо воздействовать непосредственно на само повреждение. Для этого и существуют сеансы краниосакральной мануальной терапии с элементами остеопатии. Они не имеют возрастных ограничений и абсолютно безопасны для ребенка, при условии, что их выполняет опытный специалист. Поэтому родителям следует максимально ответственно подойти к выбору мануального терапевта.
Многие родовые травмы никак не проявляют себя в первые дни жизни ребенка, поэтому для выявления таких травм не будет лишним показать ребенка специалисту, который сможет определить невидимые невооруженным глазом нарушения. Мануальная терапия при наличии родовых травм является максимально результативной в грудном возрасте, поэтому чем раньше опытный специалист осмотрит ребенка и в случае необходимости начнет лечебные процедуры, тем более благоприятным будет прогноз.
Более того, пройти курс мануальной терапии рекомендуется всем беременным женщинам, потому что она является действенным средством предупреждения родовых травм. Грамотно осуществленные сеансы мануальной терапии благотворно влияют на течение беременности и общее состояние женщины.
Родовая травма
Родовая травма – собирательное понятие, включающее различные повреждения тканей и органов роженицы или новорожденного, вызванные действием родовых сил. Среди родовых травм матери встречаются гематомы, разрывы вульвы, промежности и влагалища, повреждения матки, образование мочеполовых и кишечно-половых свищей, деформации тазовых костей. Многие из родовых травм могут носить угрожающий для жизни характер. Диагностика родовых травм производится на основе наружного осмотра, гинекологического исследования, инструментальных методов. Лечение родовых травм матери, как правило, требует экстренного оперативного пособия и привлечения узких специалистов (урологов, проктологов, травматологов).
МКБ-10
Общие сведения
Роды являются сложным испытанием для рождающегося плода и матери. Поэтому после появления ребенка специалисты нередко констатируют наличие различных родовых травм и послеродовых нарушений у роженицы и новорожденного. В акушерстве и гинекологии различают материнский и детский родовой травматизм. К родовым травмам новорожденного относятся различные по характеру и выраженности повреждения периферической и центральной нервной системы, травмы костей и мягких тканей, внутренних органов. В рамках данного обзора будут рассмотрены основные родовые травмы, встречающиеся у женщин.
Значительное растяжение родовых путей матери в процессе родового акта нередко приводит к их повреждению. Эти повреждения – родовые травмы, могут иметь поверхностный, негрубый характер (например, ссадины, трещины) и самостоятельно заживать в раннем послеродовом периоде, так и оставаясь нераспознанными. В некоторых случаях родовые травмы бывают столь значительными, что могут приводить к серьезным послеродовым осложнениям, инвалидности и даже гибели женщины. Среди родовых травм матери встречаются гематомы; разрывы вульвы, промежности, влагалища, тела и шейки матки; выворот матки; растяжения и разрывы сочленений таза; урогенитальные и кишечно-генитальные свищи.
Общие причины родовых травм матери
Многообразие вариантов родовых травм матери может вызываться различными механическими и гистопатическими причинами. К механическим факторам возникновения родовых травм относятся бурная или дискоординированная родовая деятельность, оказание оперативных пособий в родах (наложение щипцов, проведение вакуум-экстракции плода, ручного отделения последа, плодоразрушающих операций), чрезмерная родостимуляция, нерациональное ведение потужного периода, неадекватная защита промежности и т. д. Способствовать родовым травмам может переношенная беременность, поперечное положение плода, тазовое предлежание плода, преждевременные роды, узкий таз, многоводие, многоплодие, предлежание плаценты.
Гистопатические причины родовых травм обусловлены отягощенным акушерско-гинекологическим анамнезом роженицы. Так, причинами родовых повреждений матки могут служить оперативные вмешательства в прошлом (кесарево сечение, метропластика, консервативная миомэктомия, полная или частичная перфорация матки при аборте и др.), которые приводят к образованию рубца на матке и, как следствие, неполноценной сократительной способности миометрия в родах.
Вероятность возникновения травм родовых путей возрастает при наличии анатомических дефектов гениталий (внутриматочной перегородки, гипоплазии матки, двурогой матки), ригидности шейки матки у поздно первородящих, гиперантефлексии матки. Также родовые травмы могут быть обусловлены цервицитами, аденомиозом, эндометритами, кольпитами, пузырным заносом и хорионэпителиомой. В этиопатогенезе родовой травмы чаще присутствуют несколько отягощающих факторов.
Родовые травмы вульвы и влагалища
Гематомы вульвы и влагалища
Гематомы вульвы и влагалища обусловлены растяжением и разрывом сосудов в толще мягких тканей при неповрежденных покровах. При этом кровь, изливающаяся из поврежденного сосуда, скапливается в клетчатке и под слизистой, образуя гематому.
При родовых травмах мягких тканей в области вульвы и влагалища появляется опухоль сине-багрового цвета, размер которой может достигать головки новорожденного. Гематомы вызывают чувство дискомфорта (распирания, давления), болезненность. Большие прогрессирующие гематомы распространяются на клетчатку малого таза и могут сопровождаться развитием геморрагического шока. Мелкие кровоизлияния обычно самостоятельно рассасываются; при крупных гематомах возможно их нагноение. Распознавание родовых травм мягких тканей происходит при наружном осмотре и гинекологическом исследовании.
Хирургическая тактика показана в отношении крупных (диаметром более 4-5 см) и прогрессирующих гематом. При этом ткани над гематомой вскрывают, удаляют скопившуюся кровь, выделяют и перевязывают кровоточащий сосуд, рану зашивают наглухо. При инфицированной гематоме ушивание раны не производится. При прогрессирующей гематоме иногда требуется чревосечение.
Разрывы вульвы и влагалища
Родовые травмы вульвы и влагалища наиболее часто встречаются у первородящих. Легкие трещины и надрывы обычно протекают бессимптомно и не требуют вмешательства. Разрывы в области клитора, уретры, влагалища сопровождаются образованием гематом, массивным кровотечением, геморрагическим шоком.
Родовые травмы влагалища могут носить самопроизвольный и насильственный характер. В последнем случае причинами родовых травм служат различные акушерские операции. Разрывы влагалища могут происходить в его верхних, средних или нижних отделах; носить поверхностных или глубокий характер, достигая клетчатки малого таза и брюшной полости.
Родовые травмы тканей вульвы выявляются при осмотре. Для исключения внутренних разрывов необходим осмотр стенок влагалища с помощью зеркал.
Лечение родовых травм вульвы и влагалища исключительно хирургическое. После катетеризации мочевого пузыря металлическим катетером производят ушивание разрывов кетгутовыми швами. В постоперационном периоде назначается противомикробная терапия и влагалищные ванночки с антисептиками. Нераспознанные разрывы влагалища могут заживать неосложненно или инфицироваться. Глубокие разрывы впоследствии могут приводить к вторичной атрезии влагалища, диктуя необходимость выполнения вагинопластики.
Родовые травмы промежности
К родовым травмам промежности относятся насильственные или самопроизвольные разрывы кожи, клетчатки и мышечно-фасцильных тканей тазового дна. Родовые травмы промежности встречаются у 7-15% рожениц, причем значительно чаще у первородящих. Разрывы промежности часто сочетаются с родовыми травмами влагалища.
Об угрозе родовой травмы промежности свидетельствуют выпячивание и цианоз тканей тазового дна, отечность и блеск тканей, трещины. При наличии угрозы родовой травмы промежности прибегают к срединному рассечению тканей – перинеотомии или боковому разрезу – эпизиотомии с последующим ушиванием.
Симптомы разрыва промежности
В зависимости от глубины родовой травмы выделяют 3 степени разрывов промежности.
При разрыве промежности I степени нарушается целостность кожи и подкожной клетчатки в области задней спайки. II степень разрыва промежности характеризуется дополнительными травмами мышц тазового дна (в т. ч., мышцы, поднимающей задний проход), задней или боковых стенок влагалища. При родовой травме промежности III степени к вышеперечисленным повреждениям присоединяется разрыв наружного сфинктера, а иногда и стенок прямой кишки.
Родовые травмы промежности проявляются нарушением целостности тканей и кровотечением.
Диагностика и лечение разрывов промежности
Родовые травмы промежности распознаются после рождения плаценты. Для этого акушер-гинеколог разводит половую щель, осматривает стенки влагалища и шейку матки. Чаще повреждение промежности в родах происходит не по срединной линии, а экстрамедиально, однако встречается и центральный разрыв между задней спайкой и мышцей, поднимающей задний проход.
Восстановление целостности тканей промежности производится путем ушивания под местной инфильтрационной или общей анестезией. Отдельные кетгутовые швы накладываются на поврежденные стенки влагалища и прямой кишки, мышцы тазового дна, подкожную клетчатку и кожу промежности. В послеродовом периоде производится обработка швов, тщательный туалет раны после каждой дефекации и мочеиспускания, профилактика запоров.
Родовые травмы матки
Разрывы матки
Разрыв матки относится к тяжелейшим родовым травмам и встречается в 0,015%-0,1% от общего количества родов. При разрыве матки происходит нарушение целостности стенок ее тела. Летальность женщин при родовой травме матки от шока, анемии и септических осложнений достигает 3-4%. У многих женщин, перенесших разрыв матки, в дальнейшем развивается гипоксическая энцефалопатия. Гибель плода при разрывах матки близка к 100%.
Классификация разрывов матки
Различают разрывы матки, произошедшие в процессе беременности и в течение родов. По патогенетическим признакам родовой травмы выделяют самопроизвольные (механические, гистопатические и механическо-гистопатичесике) и насильственные (травматические, смешанные) разрывы матки. По клинике родовой травмы разрывы матки могут носить угрожающий, начавшийся, совершившийся характер.
По степени повреждения стенок матки родовая травма может иметь форму трещины, неполного разрыва и полного разрыва, проникающего в брюшную полость. По локализации различают разрыв дна матки, ее тела, нижнего сегмента, а также полный отрыв матки от влагалищных сводов (кольпопорексис) при поперечном положении плода.
Симптомы разрыва матки
Клиника родовой травмы матки зависит от причин, стадии, степени, локализации разрыва. Тяжесть проявлений и последствия во многом обусловлены сопутствующим фоном – при наличии соматических заболеваний роженицы, гестозов, физического и психического истощения, инфекции и пр. в организме быстро развиваются необратимые изменения.
Для угрожающего разрыва матки типична чрезмерная родовая деятельность с болезненными сильными схватками, деформация матки в виде песочных часов, развитие отека шейки матки, влагалища и вульвы, затруднение мочеиспускания, беспокойство роженицы. При начавшемся разрыве матки в перечисленные симптомы дополняются судорожными схватками, появлением сукровичных или кровяных выделений из влагалища, гематурии.
При свершившемся разрыве матки после резкой боли и жжения в животе прекращается родовая активность, роженица затихает, становится угнетенной, апатичной. Вследствие развития геморрагического и болевого шока быстро нарастают бледность кожи, гипотония, тахикардия, появляется холодный пот, тошнота и рвота. После разрыва матки части плода частично или полностью пальпируются в брюшной полости, сердцебиение плода отсутствует. Наружное кровотечение при данной родовой травме может быть значительным или скудным в зависимости от размеров и локализации разрыва матки.
Неотложная помощь при разрывах матки
При угрозе разрыва матки необходимо немедленное прекращение родовой деятельности и завершение родов оперативным путем – кесаревым сечением или плодоразрушающей операцией. При начавшемся или свершившемся разрыве матки выполняется чревосечение, извлечение плода и последа, удаление околоплодных вод и крови, производится гемостаз. Объем вмешательства при данных родовых травмах – от надвлагалищной ампутации до гистерэктомии. Ушивание матки возможно у молодых пациенток при недавних и небольших разрывах линейного характера, отсутствии инфекции.
Одновременно необходимо проведение адекватного восполнения кровопотери, противошоковой инфузионно-трансфузионной терапии, коррекции гемокоагуляции. Если родовые травмы матки не были распознаны, может развиться кровотечение или перитонит, а также наступить гибель родильницы. При инфекционных осложнениях предпринимается лапаротомия, удаление матки с придатками (пангистерэктомия), дренирование брюшной полости, массивная антибактериальная терапия.
Разрывы шейки матки
Данный тип родовой травмы встречается по данным различных авторов у 3-60% рожениц. Разрывы шейки матки (насильственные или самопроизвольные) по глубине повреждения делятся на 3 степени: I – дефект не более 2 см; II - дефект более 2 см, но не доходящий до влагалищных сводов; III – дефект, доходящий до сводов и переходящий на них. Разрывы шейки матки обычно локализуются в боковых отделах, чаще слева.
Симптомы разрывов шейки матки
Родовые травмы шейки матки проявляются послеродовым кровотечением из влагалища после рождения последа и сокращения матки. Кровь, вытекающая из половых путей, имеет алый цвет, выделяется непрерывной струей или в виде большого количества сгустков при отсутствии наружных повреждений родовых путей. Иногда кровотечение бывает незначительным или совсем отсутствует. При повреждении ветвей маточных артерий наблюдается массивное излитие крови или образование гематом в парацервикальной клетчатке, клиника геморрагического шока.
Если разрывы шейки матки остаются нераспознанными, в дальнейшем это может привести к развитию послеродовой язвы, параметрита, пельвиоперитонита, самопроизвольным абортам, дисплазии шейки матки.
Диагностика и лечение разрывов шейки матки
Для распознавания родовых травм шейки матки всем родильницам необходимо проведение осмотра с помощью зеркал сразу после завершения родов, а также через 6-48 часов после уменьшения отека и растяжения тканей.
Обнаруженные разрывы шейки матки подлежат ушиванию сразу же или отсроченно, не позднее 2-х суток после родов. Швы на разрывы шейки накладывают через все слои тканей, начиная от верхнего угла дефекта в направлении наружного зева. Ввиду неблагоприятных условий (наличия лохий, отека, размозжения тканей) родовые травмы шейки матки нередко заживают вторичным натяжением.
Прочие родовые травмы
Выворот матки
Развитие острого выворота матки бывает обусловлено неправильным ведением последового периода, слабостью маточных связок, атонией матки. Различают частичный и полный выворот матки. Данная родовая травма протекает с явлениями болевого шока.
Лечение выворота матки состоит в проведении противошоковых мероприятий и вправлении матки на ее анатомическое место в условиях общего наркоза.
Растяжение и разрывы тазовых сочленений
Данные родовые травмы развиваются при чрезмерном размягчении сочленений таза (симфизиопатии, симфизите), родах переношенным или крупным плодом, акушерских пособиях. При этом происходит растяжение и расхождение лонных костей на расстояние более 0,5 см друг от друга. Разрыв лонного сочленения часто сопровождается смещением костей, повреждением мочевого пузыря, уретры, клитора. Растяжение крестцово-подвздошных сочленений приводит к кровоизлияниям и последующим воспалениям суставов.
Клиника родовых травм тазовых сочленений проявляется болями в области лона, копчика, крестца, усиливающимися при отведении ног, ходьбе; нарушением походки, гиперемией кожи и отеком окружающих тканей.
Родовые травмы тазовой области выявляются в ходе консультации травматолога при осмотре, пальпации, рентгенографии лонного, крестцово-подвздошного сочленения, таза. Лечение растяжений тазовых сочленений требует покоя, тугого бинтования, ношения специальных корсетов. Разрыв лонного сочленения или значительное расхождение костей таза требует хирургического вмешательства.
Урогенитальные и влагалищно-прямокишечные свищи
Родовые травмы с образованием свищей вызваны длительным (более 2 часов) стоянием головки ребенка в одной плоскости, вследствие чего развивается нарушение циркуляции крови тканях с их последующим некрозом. Иногда мочеполовые и влагалищно-прямокишечные свищи образуются в результате интраоперационного повреждения стенок мочевого пузыря или прямой кишки.
Фистулы проявляются выделением мочи либо газов и кала через влагалища вне актов мочеиспускания и дефекации. Такие нарушения всегда сопровождаются развитием местной воспалительной реакции во влагалище (кольпитом).
Диагностика урогенитальных свищей производится в ходе гинекологического осмотра, цистоскопии; влагалищно-прямокишечные свищи распознаются при пальцевом ректальном исследовании, ирригоскопии, фистулографии, ректоскопии. При выявлении мочеполовых и влагалищно-прямокишечных свищей обычно требуется их хирургическое закрытие (фистулопластика).
Профилактика родовых травм
Профилактика родовых травм матки требует изучения гинекологического анамнеза беременной на ранних сроках, проведения УЗИ-контроля состояния рубцов на матке в течение ведения беременности, госпитализации беременных с угрозой травматизма в родах.
Предупреждение родовых травм требует отказа от форсированного родоразрешения, применения акушерских пособий строго по показаниям.
Родовая травма новорожденных
Родовая травма новорожденных – различные повреждения плода, возникающие в процессе родового акта. Среди родовых травм новорожденных встречаются повреждения мягких тканей (кожи, подкожной клетчатки, мышц), костной системы, внутренних органов, центральной и периферической нервной системы. Родовая травма новорожденных диагностируется с учетом акушерско-гинекологического анамнеза матери, особенностей течения родов, данных осмотра новорожденного и дополнительных исследований (ЭЭГ, УЗИ, рентгенографии, офтальмоскопии и др.). Лечение родовых травм новорожденных проводится дифференцированно с учетом вида и тяжести повреждения.
Классификация родовых травм новорожденных
В зависимости от локализации повреждения и преимущественного нарушения функций выделяют следующие виды родовой травмы новорожденных:
1. Родовые травмы мягких тканей (кожи, подкожной клетчатки, мышц, родовая опухоль, кефалогематома).
2. Родовые травмы костно-суставной системы (трещины и переломы ключицы, плечевых и бедренных костей; травматический эпифизеолиз плечевой кости, подвывих суставов С1 и С2, повреждение костей черепа и др.).
3. Родовые травмы внутренних органов (кровоизлияния во внутренние органы: печень, селезенку, надпочечники).
4. Родовые травмы центральной и периферической нервной системы у новорожденных:
- внутричерепная родовая травма (эпидуральные, субдуральные, субарахноидальные, интравентрикулярные кровоизлияния)
- родовая травма спинного мозга (кровоизлияния в спинной мозг и его оболочки)
- родовая травма периферической нервной системы (повреждение плечевого сплетения - парез/паралич Дюшена-Эрба или паралич Дежерин-Клюмпке, тотальный паралич, парез диафрагмы, повреждение лицевого нерва и др.).
Причины
Анализ причин родовой травмы новорожденных позволяет выделить три группы факторов, повышающих вероятность ее возникновения: относящихся к матери, к плоду, а также к течению и ведению родов.
Предрасполагающими «материнскими» факторами могут выступать ранний или поздний репродуктивный возраст, гестозы, узкий таз, гипоплазия или гиперантефлексия матки, заболевания беременной (сердечно-сосудистые, эндокринные, гинекологические и др.), переношенная беременность, профессиональные вредности и т. д.
Наиболее обширную группу причин, приводящих к родовой травме новорожденных, составляют обстоятельства, связанные с плодом. Провоцировать родовую травму может тазовое предлежание плода, маловодие, неправильное (асинклитическое или разгибательное вставление головки), недоношенность, крупные размеры плода, аномалии развития плода, внутриутробная гипоксия и асфиксия и др.
К возникновению родовой травмы новорожденного могут приводить аномалии родовой деятельности: затяжные или быстрые роды, родостимуляция при слабой родовой деятельности, дискоординированная или чрезмерно сильная родовая деятельность. Серьезную группу причин родовых травм новорожденных составляет неправильное или необоснованное применение акушерских пособий (поворота плода на ножку, наложение акушерских щипцов, использование вакуум-экстрактора, проведение кесарева сечения и др.).
Как правило, при возникновении родовых травм новорожденных имеет место сочетание ряда неблагоприятных факторов, нарушающих нормальную биомеханику родов.
Различные виды травм новорожденных
Родовые травмы мягких тканей
Самыми частыми проявлениями родового травматизма новорожденных являются повреждения кожи и подкожной клетчатки. К ним относятся царапины, ссадины, петехии, экхимозы на различных участках тела. Такие повреждения выявляются при визуальном осмотре новорожденного неонатологом; обычно они не опасны и требуют лишь местной антисептической обработки и наложения асептической повязки. Незначительные родовые травмы мягких тканей исчезают к исходу первой недели жизни новорожденного.
Разновидностью родовой травмы новорожденных является родовая опухоль, которая характеризуется локальной припухлостью мягких тканей головы. Родовая опухоль имеет мягкоэластическую консистенцию, синюшный цвет с множественными петехиями и экхимозами. Ее возникновение обычно связано с затяжными родами в головном предлежании или наложением акушерских щипцов. Родовая опухоль лечения не требует, исчезает самостоятельно через 1-3 суток.
Более тяжелым видом родовой травмы новорожденных служит повреждение (кровоизлияние, разрыв) грудино-ключично-сосцевидной мышцы, обычно ее нижней трети. В этом случае в месте повреждения определяется небольшая опухоль умеренно плотной или тестоватой консистенции. Повреждение грудино-ключично-сосцевидной мышцы может быть выявлено не сразу, а примерно через неделю, когда у ребенка развивается кривошея. В лечении родовой травмы грудино-ключично-сосцевидной мышцы у новорожденных используется корригирующее положение головы с помощью валиков, сухое тепло, электрофорез йодистого калия, массаж; при неэффективности – хирургическая коррекция.
Кефалогематома, как разновидность родовой травмы новорожденных, характеризуется кровоизлиянием под надкостницу теменных или затылочной костей черепа. Типичными признаками кефалогематомы служат упругая консистенция, отсутствие пульсации, безболезненность, флюктуация, наличие валика по периферии. В дальнейшем у новорожденных с кефалогематомой может отмечаться желтуха, вызванная повышенным внесосудистым образованием билирубина. Кефалогематома уменьшается в размерах к 2-3 неделе жизни, а полностью рассасывается к исходу 6-8 недели. К осложнениям поднадкостничной родовой травмы новорожденных относится анемия, обызвествление и нагноение кефалогематомы. Дети с большими (более 6 см в диаметре) кефалогематомами нуждаются в проведении рентгенографии черепа для исключения трещин костей. Поскольку у недоношенных детей кефалогематомы часто ассоциированы с внутриутробным микоплазмозом, требуется проведение ПЦР или ИФА диагностики.
В большинстве случаев родовые травмы мягких тканей у новорожденных проходят без последствий.
Родовые травмы костной системы
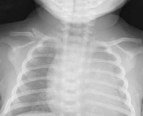
Среди родовых травм костно-суставной системы у новорожденных чаще встречаются повреждения ключицы и костей конечностей. Они всегда относятся к чисто акушерским видам повреждений. Поднадкостничные переломы ключицы без смещения обычно обнаруживаются через 3-4 дня после родов по наличию веретенообразной плотной припухлости - формирующейся костной мозоли. Перелом ключиц со смещением сопровождается невозможностью выполнения активных движений, болью, плачем при пассивном движении руки, припухлостью и крепитацией над местом перелома.
При переломе плечевой или бедренной кости отсутствуют активные движения в конечностях, возникает болевая реакция на пассивные движения, имеется отек, деформация и укорочение поврежденной конечности. При любых видах переломов новорожденные нуждаются в консультации детского травматолога, проведении рентгенологической диагностики (рентгенографии ключицы, рентгенографии трубчатых костей). При переломе ключицы проводится кратковременная иммобилизация руки путем наложения повязки Дезо или плотного пеленания. При переломах плечевой и бедренной костей выполняется репозиция костей верхней или нижней конечности и наложение гипсовой повязки (при необходимости – вытяжение).
Разновидностью родовой травмы костной системы новорожденных является травматический эпифизеолиз плечевой кости. Его проявлениями служат болезненность, припухлость и крепитация в области плечевого или локтевого суставов, ограничение объема движений в пораженной руке. Исходом подобной травмы может являться парез лучевого нерва, формирование сгибательной контрактуры в суставах. Лечение состоит в иммобилизации конечности, проведении физиотерапевтических процедур, массажа.
Родовые травмы внутренних органов
Повреждения внутренних органов возникают вследствие механического воздействия на плод при аномальном течении родов. Наиболее часто встречаются кровоизлияния в печень, селезенку и надпочечники. Клинические проявления родовой травмы внутренних органов у новорожденных развиваются на 3-5 сутки в связи с внутренним кровотечением. При разрыве гематомы возникает вздутие живота, развивается парез кишечника, мышечная гипотония (или атония), угнетение физиологических рефлексов, артериальная гипотония, упорные срыгивания и рвота.
При подозрении на родовую травму внутренних органов новорожденным производится обзорная рентгенография брюшной полости, УЗИ органов брюшной полости и УЗИ надпочечников. Лечение заключается в проведении гемостатической и симптоматической терапии; при необходимости – лапароскопии или лапаротомии с ревизией внутренних органов.
При кровоизлиянии в надпочечники у ребенка может развиться острая или хроническая надпочечниковая недостаточность. Прогноз при родовой травме внутренних органов у новорожденных определяется объемом и тяжестью поражения, своевременностью выявления повреждения.
Родовые травмы центральной и периферической нервной системы
Повреждения нервной системы у новорожденных составляют наиболее обширную группу родовых травм. В рамках данного обзора остановимся на родовой травме спинного мозга и периферической нервной системы; подробная характеристика внутричерепных родовых травм новорожденных будет дана в соответствующей статье.
Родовые травмы спинного мозга у новорожденных могут включать кровоизлияние, растяжение, сдавление или разрыв спинного мозга на различном уровне, связанные с переломом позвоночника или возникающие без него. Тяжелые повреждения характеризуются клиникой спинального шока: вялостью, мышечной гипотонией, арефлексией, слабым криком, диафрагмальным дыханием. Гибель детей может наступить от дыхательной недостаточности. В более благоприятных случаях происходит постепенный регресс явлений спинального шока; на смену гипотонии приходит спастика; развиваются вегетативные нарушения (вазомоторные реакции, потливость), трофические изменения в мышечной и костной ткани. Родовые травмы легкой степени у новорожденных сопровождаются преходящей неврологической симптоматикой: изменением тонуса мышц, рефлекторных и двигательных реакций.
Постановке диагноза способствует осмотр ребенка детским неврологом, проведение рентгенографии или МРТ позвоночника, электромиографии, люмбальной пункции и исследования цереброспинальной жидкости. Лечение родовой травмы спинного мозга у новорожденных включает иммобилизацию области повреждения, проведение дегидратационной и противогеморрагической терапии, восстановительных мероприятий (ортопедического массажа, ЛФК, электростимуляции, физиотерапии).
Родовые травмы периферической нервной системы у новорожденных объединяют повреждения корешков, сплетений, периферических и черепных нервов.
С учетом локализации парез плечевого сплетения (акушерский парез) может быть верхним (проксимальным), нижним (дистальным) или тотальным. Верхний парез Дюшенна–Эрба связан с повреждением сплетений и корешков, берущих начало в сегментах С5-С6, что сопровождается нарушением функции проксимального отдела верхней конечности. В этом случае ребенок принимает характерное положение с рукой, приведенной к туловищу, разогнутой в локтевом суставе, повернутой внутрь в плече и пронированной в предплечье; согнутой в ладони кистью и головой, наклоненной к больному плечу.
При нижнем акушерском парезе Дежерина-Клюмпке поражаются сплетения или корешки, берущие начало от С7-Т1, следствием чего служит нарушение функции дистального отдела руки. Проявления включают мышечную гипотонию, гипестезии, ограничение движений в лучезапястном и локтевом суставах, пальцах руки, симптом «когтистой лапы». При тотальном типе акушерского пареза рука полностью бездействует, резко выражена мышечная гипотония, рано развивается атрофия мышц.
Диагноз и локализация повреждения уточняется с помощью электромиографии. Лечение родовой травмы плечевого сплетения у новорожденных состоит в иммобилизации руки с помощью лонгеты, проведении массажа, ЛФК, физиопроцедур (аппликаций озокерита, парафина, электростимуляции, электрофореза), лекарственной терапии.
При парезе диафрагмы у новорожденного развивается одышка, парадоксальное дыхание, цианоз, выбухание грудной клети на пораженной стороне. Выявлению пареза способствует рентгеноскопия и рентгенография грудной клетки, при которых определяется высокое стояние и малоподвижность купола диафрагмы. На этом фоне у детей может развиться застойная пневмония. Лечение родовой травмы заключается в чрескожной стимуляции диафрагмального нерва; при необходимости – ИВЛ до восстановления адекватного самостоятельного дыхания.
Парез лицевого нерва связан с повреждение ствола или ветвей лицевого нерва. В этом случае у ребенка отмечается асимметрия лица, лагофтальм, смещение глазного яблока вверх при крике, асимметрия рта, затруднение сосания. Родовая травма у новорожденных диагностируется на основании клинических признаков, электронейрографии, регистрации вызванных потенциалов. Нередко парез лицевого нерва проходит без специального лечения; в других случаях проводится теплолечение, медикаментозная терапия.
К более редким видам родовых травм новорожденных относятся травмы глоточного, срединного, лучевого, седалищного, перонеального нерва, пояснично-крестцового сплетения.
Профилактика
Профилактика родовых травм у новорожденных предполагает оценку степени риска их возникновения еще на этапе ведения беременности, максимально бережное отношение к ребенку в процессе родов, отказ от необоснованного использования пособий по извлечению плода и оперативного родоразрешения.
Внутричерепная родовая травма
Внутричерепная родовая травма – это травматическое повреждение ЦНС плода и новорожденного, приводящее к кровоизлияниям и деструкции ткани головного мозга. Внутричерепная родовая травма может включать эпидуральное, субдуральное, внутрижелудочковое, паренхиматозное, субарахноидальное кровоизлияние; характеризуется общемозговыми и очаговыми симптомами. При постановке диагноза принимается во внимание течение беременности и родов, данные осмотра новорожденного, результаты инструментальной диагностики (спинномозговой пункции, офтальмоскопии, ЭЭГ, ЭхоЭГ, РЭГ). Лечение внутричерепной родовой травмы включает физический покой, краниоцеребральную гипотермию, оксигенотерапию, гемостатическую, дегидратационную, метаболическую терапию.
Внутричерепная родовая травма - разновидность родовой травмы новорожденных, обусловленная механическим фактором и сочетающаяся с вторичным геморрагическим повреждением мозга. На долю повреждений ЦНС приходится около 70% всех родовых травм ребенка. Несмотря на определенные успехи, достигнутые в области родовспоможения и неонатологии, частота внутричерепной родовой травмы остается высокой, что делает ее ведущей причиной нежизнеспособности и ранней гибели новорожденных (24-54%). Многие выжившие дети в дальнейшем страдают физической и умственной отсталостью, детским церебральным параличом, судорожными припадками, обусловливающими глубокую инвалидизацию. Внутричерепная родовая травма в 2,5 раза чаще встречается у недоношенных детей.
Причины внутричерепной родовой травмы
Специалистам в области педиатрии и детской неврологии известно, что ведущей причиной внутричерепной родовой травмы является хроническая внутриутробная гипоксия плода и асфиксия новорожденных. Существуют научно подтверждено данные, свидетельствующие о том, что наличие гипоксии (даже при отсутствии какого-либо механического воздействия на мозг) может послужить причиной поражения сосудистой системы плода и множественных внутримозговых кровоизлияний.
Вследствие гипоксии в организме плода развиваются глубокие метаболические и функциональные изменения, сопровождающиеся отеком тканей мозга, венозным застоем, нарушением регуляции внутричерепного давления, повышением проницаемости сосудистых стенок и возникновением мелкоочаговых диапедезных кровоизлияний.
В свою очередь, внутриутробная гипоксия плода является следствием отягощенного соматического и акушерско-гинекологического анамнеза женщины, неблагополучного течения беременности. Предрасполагающими к развитию внутричерепной родовой травмы факторами выступают анатомо-физиологические особенности новорожденных: тонкие и податливые кости черепа, широкие черепные швы, слабая резистентность стенок сосудов, несовершенная регуляция сосудистого тонуса, функциональная незрелость свертывающей системы крови (физиологическая гипопротромбинемия, дефицит витамина К).
Дополнительное повреждение ткани мозга обусловлено механическим воздействием на головку плода в процессе родового акта. Механизм происхождения внутричерепной родовой травмы может быть вызван несоответствием между родовыми путями и размерами головки плода (узкий таз, крупный плод), тракцией плода за головку, применением травмирующих плод акушерских пособий, неправильным вставлением головки или чрезмерными поворотами при ее выведении, затяжными родами, чрезмерно сильной родовой деятельностью и др.
Классификация внутричерепной родовой травмы
По тяжести повреждения внутричерепная родовая травма может быть легкой, среднетяжелой и тяжелой. С учетом воздействующего фактора и распространенности повреждения выделяют изолированную внутричерепную родовую травму (при механическом повреждении головы плода), сочетанную (при механическом повреждении головы и других частей тела плода – краниоабдоминальная, краниоспинальная травма) и комбинированную внутричерепную родовую травму (при воздействии механических и других факторов - гипоксических, инфекционных, токсических).
В зависимости от локализации выделяют следующие виды внутричерепных кровоизлияний, обусловленных родовой травмой:
- эпидуральные (внутренние кефалогематомы), расположенные между твердой мозговой оболочкой и внутренней поверхностью черепных костей и вызванные повреждением свода черепа, разрывом ствола и ветвей средней оболочечной артерии;
- субдуральные, расположенные между твердой и паутинной мозговыми оболочками и связанные с разрывом серпа мозга, прямого и поперечного синусов, намета мозжечка либо большой мозговой вены;
- субарахноидальные, расположенные в подпаутиннном пространстве и обусловленные разрывом мелких вен, впадающих в верхний сагиттальный и поперечный синусы;
- интравентрикулярные, распространяющиеся в полость боковых, реже – III и IV желудочков и происходящие из собственных сосудистых сплетений;
- паренхиматозные - кровоизлияние в вещество головного мозга, носящие характер гематомы или пропитывания;
- смешанные - множественные кровоизлияния в оболочки мозга, желудочки, мозговое вещество.
Тяжелые нетипичные внутричерепные кровоизлияния могут отмечаться даже при минимальной родовой травме у новорожденных с артериальными аневризмами, коарктацией аорты, опухолями головного мозга (тератомой, глиомой, медуллобластомой), геморрагическими диатезами (К-витаминодефицитным геморрагическим синдромом, гемофилией А, тромбоцитопенической пурпурой).
В течении внутричерепной родовой травмы выделяют период ранних проявлений (от рождения до 7-10 суток), репарации (с 7-10 суток до 1-1,5 месяцев) и ближайших последствий (после 1,5 месяцев).
Симптомы внутричерепной родовой травмы
Внутричерепная родовая травма характеризуется многообразными клиническими проявлениями, которые зависят от локализации и размеров области поражении.
Симптоматика эпи- и субдуральных кровоизлияний обусловлена увеличением внутричерепного давления, сдавлением жизненно важных центров, расположенных в стволе, подкорковых образованиях и коре мозга, смещением ликворных путей образовавшейся гематомой. При данных видах внутричерепной родовой травмы после кратковременного «светлого промежутка» (3-6 часов) возникает рвота, судороги, аритмичное учащенное дыхание, брадикардия, мышечная гипотония, птоз. Отмечается быстрое увеличение размеров головы, выбухание родничков, иногда - расхождение черепных швов, кровоизлияние в сетчатку глаза. Без своевременного хирургического удаления гематомы ребенок может погибнуть в считанные дни.
Внутричерепная родовая травма, сопровождающаяся субарахноидальным кровоизлиянием, может проявляться нерегулярным поверхностным дыханием, приступами апноэ, аритмичным пульсом, нарушением сна, косоглазием, судорогами, вялым сосанием, мышечной гипотонией. Ребенок, как правило, беспокоен, лежит с открытыми глазами и напряженным выражением лица. Данный вид внутричерепной родовой травмы при своевременном лечении совместим с жизнью.
Внутричерепные родовые травмы, осложненные внутрижелудочковым или паренхиматозным кровоизлиянием, как правило, возникают у недоношенных новорожденных. Большие внутрижелудочковые кровоизлияния могут вызывать цианоз, апноэ, внезапный коллапс, гипертермию, глубокое расстройство сердечной деятельности и кому. Мелкоточечные внутримозговые геморрагии проявляются слабо выраженной симптоматикой: срыгиваниями, вялостью, снижением рефлексов и мышечного тонуса, нистагмом, симптомом Грефе. Крупные внутримозговые гематомы дают отчетливую клинику, характерную для периинтравентрикулярных кровоизлияний.
Кроме повреждения ЦНС, при тяжелой внутричерепной родовой травме может отмечаться полиорганное поражение (сердечно-сосудистая, дыхательная, надпочечниковая недостаточность), нарушение КЩС, водно-солевого обмена, иммунитета и т. д.
Диагностика внутричерепной родовой травмы
Диагноз внутричерепной родовой травмы основывается на тщательном изучении акушерского анамнеза, данных обследования ребенка неонатологом, детским неврологом, детским офтальмологом, при необходимости – нейрохирургом. Внутричерепная родовая травма, осложненную кровоизлиянием, подтверждается результатами нейросонографии, рентгенографии черепа, диафаноскопии черепа, эхоэнцефалографии, ЭЭГ, реоэнцефалографии, КТ или МРТ головного мозга. При сомнительном диагнозе прибегают к спинномозговой пункции и исследованию ликвора для обнаружения эритроцитов. При офтальмоскопии выявляется отек сетчатки и кровоизлияния.
Расширенное обследование ребенка с внутричерепной родовой травмой включает исследование коагулограммы, тромбоцитов, биохимического анализа крови, КОС и газов крови. При подозрении на внутричерепную родовую травму следует исключить внутриутробный энцефалит, менингит, наследственные нарушения обмена веществ (фенилкетонурию, галактоземию), краниостеноз и др.
Лечение внутричерепной родовой травмы
При эпидуральных и субдуральных кровоизлияниях показано экстренное хирургическое вмешательство – субдуральная пункция и аспирация, эндоскопическое или транскраниальное удаление гематомы. Выжидательная консервативная тактика может быть оправдана при отсутствии данных за нарастание неврологической симптоматики по данным динамического мониторинга внутричерепного состояния.
В остальных случаях в остром периоде внутричерепной родовой травмы ребенок нуждается в полном физическом покое, ингаляциях кислорода или гипербарической оксигенации, краниоцеребральной гипотермии. Медикаментозное лечение включает проведение гемостатической, дегидратационной, противосудорожной терапии; коррекцию метаболического ацидоза, дефицита калия, дыхательных расстройств. При развитии реактивного менингита проводится антибактериальная терапия. С целью снижения внутричерепного давления прибегают к люмбальной пункции. При прогрессировании гидроцефалии решается вопрос о проведении шунтирующей операции.
В восстановительном периоде детям с внутричерепной родовой травмой назначается массаж и ЛФК.
Прогноз и профилактика внутричерепной родовой травмы
На исход и прогноз внутричерепных родовых травм влияет тяжесть поражения, адекватность терапии, организация последующей реабилитационной работы. Тяжелые внутричерепные родовые травмы несовместимы с жизнью. В легкой и среднетяжелой степени, учитывая высокие компенсаторные возможности детского организма, в большинстве случаев можно рассчитывать на восстановление утраченных функций в той или иной степени. Последствия внутричерепных родовых травм могут заявить о себе спустя месяцы и даже годы развитием гидроцефалии, детского церебрального паралича, энцефалопатии, эпилепсии, гиперактивности, нарушений речи (алалии, заикания), ЗПР, олигифрении.
Дети, перенесшие внутричерепные родовые травмы, относятся к категории часто болеющих и на первом году жизни должны каждые 2-3 мес. осматриваться педиатром и детским неврологом. При нарушении речевого развития они нуждаются в помощи логопеда с раннего возраста. Дети с внутричерепной родовой травмой в анамнезе имеют индивидуальный календарь вакцинации или освобождение от профилактических прививок. Профилактика внутричерепной родовой травмы заключается в предупреждении патологии беременности, гипоксии плода, рациональном ведении родов с учетом состояния и гестационного возраста плода.
Родовая травма - симптомы и лечение
Что такое родовая травма? Причины возникновения, диагностику и методы лечения разберем в статье доктора Курышова Олега Сергеевича, остеопата со стажем в 26 лет.
Над статьей доктора Курышова Олега Сергеевича работали литературный редактор Маргарита Тихонова , научный редактор Сергей Федосов
Определение болезни. Причины заболевания
Родовая травма — это повреждения тканей и органов ребёнка, вызванные механическими силами во время родов, и целостная реакция организма на эти повреждения, сопровождающаяся нарушением механизмов компенсации и приспособления [1] .
Во время родов маме и малышу приходится вместе преодолевать возникающие трудности. Мир, в котором рос, развивался и жил малыш внутриутробно, вдруг становится каким-то маленьким, тесным, сдавливающим, подталкивающим куда-то в страшную неизвестность. И двери в этот Новый мир не всегда открываются легко и непринуждённо. Поэтому в процессе родов может случится повреждение. Чаще всего его сразу замечают и принимают необходимые меры, а иногда возникает минимальная, скрытая травма, которая проявится только в дальнейшем.
Спрогнозировать течение родов и их последствия, к сожалению, очень трудно. Никто не застрахован от внезапных проблем и ошибок. Даже спокойные роды, прошедшие нормально и обошедшиеся без травм, оказывают влияние на организм новорождённого, так как тело ребёнка подвергается давлению, да и сам малыш проводит колоссальную работу, пробираясь на свет.
Причин травмирования младенца при рождении множество. К травмам может привести образ жизни мамы, неблагополучное течение беременности, инфекции, аномалии развития плода, несоответствие размера головки ребёнка и таза мамы, вмешательство врачей, введение роженице препаратов для ускорения родов или обезболивания, операция кесарева сечения и вмешательство природы, случая [12] .
По статистике, около 18 % малышей получают различные повреждения при рождении. Но статисты полагают, что показатель существенно занижен, поскольку диагностика родовых повреждений в роддомах России проводится очень редко. Зачастую педиатры и неонатологи списывают тревожные симптомы на врождённые патологии и неверный уход за младенцем.
Дело в том, что для диагностирования родовой травмы необходим комплекс обследований и анализов, которые назначаются чаще всего только при очевидных повреждениях. На деле же показатель травм различной степени очень высок: более 80 % новорождённых получают как микроповреждения, так и серьёзные травмы.
При обнаружении схожих симптомов проконсультируйтесь у врача. Не занимайтесь самолечением - это опасно для вашего здоровья!
Симптомы родовой травмы
Травмироваться во время родов могут как головка младенца, так и позвоночник, внутренние органы, мягкие ткани, кости и суставы.
Серьёзные травмы приводят к внешне заметным нарушениям, которые видны врачам и персоналу роддома сразу после рождения. Микротравмы и скрытые повреждения, не очевидные на первый взгляд, таят в себе ещё большую опасность, поскольку могут остаться незамеченными и стать незаподозренной первопричиной дальнейших проблем со здоровьем малыша.
Есть несколько групп признаков, которые указывают на наличие родовой травмы:
- Признаки травмирования мягких тканей: царапины, ссадины, синяки, опухлость, отсутствие пульсации и безболезненность родничка, желтуха и анемия.
- Признаки травмирования костной системы: отёк, припухлость, малоактивность повреждённой конечности, боль, беспокоящая ребёнка и выливающаяся в постоянный сильный плач.
- Признаки внутричерепной травмы: слабость, скачки температуры, удушье, спонтанное движение конечностей и глаз, судороги, выпячивание родничка, сонливость, тихий крик, деформации, укорочение рук и ног.
- Признаки травм внутренних органов: вздутие живота, слабость в мышцах, слабые рефлексы, частые срыгивания и рвота, низкое давление, артериальная гипотония.
- Признаки нарушений центральной нервной системы (ЦНС): вялость, слабость рефлексов и мышц, тихий крик, потливость, одышка, выгнутость груди, воспаление лёгких, искривление рта, затруднение сосания, смещение глазного яблока.
Если обнаруживаются несколько симптомов одной из этих групп, а хуже того — нескольких групп, то это повод заподозрить родовую травму и как можно скорее принять меры для её диагностирования и лечения. Их нельзя игнорировать, особенно когда состояние малыша не улучшается даже после вмешательств врачей. Ведь в таком случае устранять нужно не симптомы, а первопричину.
Чаще всего в процессе родов возникают повреждения головы младенца, приводящие к поражениям ЦНС: головного и спинного мозга, периферической нервной системы. При обнаружении подобных патологий у ребёнка требуется уточнить и доказать, что именно травма во время родов привела к появлению нарушений. Только при подтверждении данного факта можно выставлять диагноз "родовая травма" [2] .
Патогенез родовой травмы
По причине возникновения родовые травмы принято делить на неонатальные, спонтанные и акушерские.
Неонатальная родовая травма возникает из-за аномалий и патологий плода, которые можно диагностировать ещё на этапе беременности с помощью УЗИ, что позволяет предотвратить травму при появлении малыша на свет. Этот тип травмы также может появиться из-за проблем со здоровьем мамы во время вынашивания плода, быстрых или затяжных родов и т. д.
Спонтанная родовая травма наступает при обычных физиологических родах. Она связана со сбоями в родовом процессе или внешними факторами.

К травме зачастую приводит совокупность этих факторов, которые нарушают нормальное течение родов, и застраховаться от возможного сбоя биомеханики процесса рождения, к сожалению, невозможно.
Родовые травмы нередко возникают во время родов при тазовом предлежании плода, причём как у малыша (разрывы мозжечкового намёта, кровоизлияния, субдуральные гематомы, повреждение органов брюшной полости, спинного мозга и других), так и у матери (разрывы шейки матки, влагалища и промежности, повреждение костного таза) [3] [11] .

Отдельно стоит сказать о методах стимуляции родов и популярной в последнее время эпидуральной анестезии. Применение различных стимуляций не может не вносить коррективы в родовой процесс. Например, введение окситоцина делает схватки интенсивнее, что сказывается на младенце, который получает тройную нагрузку давления, проходя родовые пути. А эпидуральная анестезия ослабляет мышцы таза, уменьшая опору для головки малыша и заставляя его проделывать ещё более сложный путь к рождению.
Любое вмешательство, любая деталь имеет значение в процессе рождения и пройти незаметно, увы, не может. Тем более грубое или необоснованное вмешательство, например, такое, как кесарево сечение без серьёзных показаний.
Данная операция нарушает естественный, заложенный природой механизм появления ребёнка на свет. Младенец лишается возможности плавно войти в этот мир: его резко вырывают из привычной тёплой водной среды в непривычный воздушный мир, и это, безусловно, приводит к последствиям для дальнейшей жизни.
Классификация и стадии развития родовой травмы
Родовые травмы условно делят на два вида:
- механические — вызванные действиями акушера или внешними факторами;
- гипоксические — связаны с повреждением, вызвавшим гипоксию (кислородное голодание).
По месту локализации различают четыре вида родовых травм:
- Травмы нервной системы (центральной и периферической). К ним относят внутричерепные и спинальные кровоизлияния, причём последние возникают чаще [11] . К внутричерепным родовым травмам относят эпидуральные, субдуральные кровотечения и разрыв намёта мозжечка с кровоизлиянием в заднюю черепную ямку. При присоединении к таким нарушениям соматической и инфекционной патологии прогноз травмы ухудшается. К спинальной родовой травме относят кровоизлияния в спинной мозг и его оболочки, эпидуральную клетчатку при надрыве или повышенной проницаемости сосудов, частичный или полный разрыв спинного мозга.
- Травмы мягких тканей (родовая опухоль и кефалогематома). Родовая опухоль образуется из-за разницы между внутриматочным и атмосферным давлением, в связи с чем участок мягкой ткани отекает и возникают мелкие петехиальные кровоизлияния. Через 1-2 дня такая опухоль рассасывается. Кефалогематома возникает при кровоизлиянии под надкостницу черепа, она ограничена пределами одной кости. Рассасывается медленно. При проникновении инфекции и нагноении может развиться гнойный менингит.

- Травма костной системы (переломы, вывихи). Кости черепа в основном повреждаются в области темени, где можно обнаружить впадины, трещины, и иногда переломы. Частой травмой костей скелета является перелом ключицы.
- Травма внутренних органов (сдавления, разрывы). Чаще всего травмируются печень, селезёнка и надпочечники [4] .
Осложнения родовой травмы
При неблагоприятном течении родов травма плода может привести к серьёзным поражениям головного и спинного мозга, костей и позвоночника. В результате этого возникают тяжёлые неврологические заболевания (ДЦП), отставание в умственном развитии, наступает инвалидность и даже смерть [6] .
В целом все болезни, возникающие в детстве, юности, зрелости и старости, не спонтанны. В 98 % случаев они являются закономерными этапами развития единого патологического процесса, начало которому положено ещё во младенчестве при появлении родовой травмы [5] .
Изначальные деформации укрепляются в организме, приводя к ещё большим проблемам, которые углубляются, усугубляются и со временем становятся необратимыми. Так, первичные нарушения зрения приводят к слепоте, а детское нарушения осанки — к вегетососудистой дистонии, сколиозу, проблемам со зрением и слухом, головным болям и хроническим заболеваниям.
Психологи и психоаналитики говорят также о психологических последствиях родовой травмы, которые сопровождают людей и во взрослой жизни. Отсюда — наши страхи, комплексы, депрессии, тревожность. Рождение само по себе является шоком, стрессом, болью для нового человека, из-за чего оно отпечатывается на подсознательном уровне, оказывая влияние на нашу жизнь, отношения с собой и окружающим миром, заставляя мозг как бы переживать эти ощущения снова и снова, пытаясь освободиться от замкнутого круга.
Поэтому стоит говорить о совокупности последствий, которые отпечатываются на самом глубинном уровне и неизбежно отражаются на физическом здоровье.
Только вовремя распознав и приняв необходимые меры, можно минимизировать или устранить последствия родовых травм, а в идеале — их предупредить. И чем раньше родители обнаружат симптомы родовой травмы и обратятся к специалистам для установления первопричины нарушений у малыша, тем легче будет преодолеть последствия болезни, обеспечить ребёнку, а значит и будущему взрослому, здоровую жизнь.
Диагностика родовой травмы
Для диагностики врач первым делом должен выяснить, поговорив с мамой и проверив лично, руками, не получил ли ребёнок родовой травмы, а если да, то где она локализована и насколько тяжела. При необходимости назначаются дополнительные обследования — УЗИ, ЭЭГ, рентгенографию, офтальмоскопию и другие. Однако они не всегда позволяют обнаружить повреждения. Например, небольшое смещение косточки невозможно увидеть и диагностировать, но эта вроде бы мелочь нарушает целостную работу организма, приносит ребёнку беспокойство и боли. Такие небольшие нарушения редко связывают с проблемами во время родов, а относят к другим факторам или к норме, не обращая должного внимания ("перерастёт"). В связи с этим большинство травм не фиксируется в карточке малыша.

Чаще всего специалисты диагностируют и лечат такие последствия родовой травмы, как кривошея, сколиоз, нарушения речи, сна, аппетита, чрезмерная возбудимость и т. д. Но не устранив истинную, изначальную причину этих симптомов, помочь организму трудно.
Диагностикой и лечением родовой травмы занимаются не только педиатры и неонатологи, но и остеопаты. Они могут обнаружить механические повреждения черепа и головного мозга, в том числе незначительное смещение костей черепа, которое осталось незамеченным при обследованиях, а также снять физические и психосоматические последствия травмы.
Лечение родовой травмы
Помимо хирургических и медикаментозных методов лечения, а также любви и заботы, огромную роль в устранении и минимизации последствий родовой травмы, особенно тяжёлой, играет физическое воздействие на тело — массаж, лечебная физкультура, мануальные техники, работа остеопата. Это процедуры укрепляют мышцы, налаживают обменные процессы и кровообращение, помогают восстановить скоординированность движений и подвижность конечностей, исправляют сколиоз, а также в целом укрепляют тело и организм.
Остеопатия рассматривает организм, как единое целое, систему, малейшее повреждение в которой нарушает работу всего организма, а родовые травмы — как первопричину большинства проблем с самочувствием и развитием детей.
Чем раньше малыш окажется в руках остеопата, тем больше вероятность того, что травма ещё не оказала необратимое влияние на организм и развитие ЦНС и можно устранить или как минимум сгладить её последствия.
С помощью профессиональных манипуляций врач выявляет место смещения косточки, помогает восстановить её положение в черепе и кровообращение мозга. Методы воздействия — немедикаментозные, щадящие, бережные, а действия врача не приносят ребёнку стресса и боли, что также оказывает положительное влияние на процесс восстановления [7] .
Если случай нетяжёлый, то после курса лечения поставленный диагноз снимается, но прежде это нужно подтвердить при помощи инструментального исследования (например, МРТ). При тяжёлой травме или несвоевременном обращении за помощью сеансы помогут значительно улучшить состояние маленького пациента.
Травмы при родах часто получают и роженицы, поэтому им также необходима помощь в устранении последствий.
Прогноз. Профилактика
Прогноз выздоровления после родовой травмы зависит от тяжести повреждений, а также от своевременно оказанной помощи, грамотной диагностики и терапии. Полностью избежать последствий при правильном лечении удаётся у 70-80 % детей. Могут оставаться небольшие проявления — отголоски травмы, отдельно поддающиеся лечению: беспокойство, энурез, головные боли, проблемы с аппетитом и т. п.
Если травмы не поддаются лечению или помощь была оказана поздно или неквалифицированно, то возможны и более страшные последствия: ДЦП, эпилепсия, задержки развития, умственная отсталость и летальный исход.
К мерам профилактики родовых травм можно отнести:
- грамотное ведение беременности;
- оценка и предотвращение возможных проблем, связанных с внутриутробными патологиями плода, анамнезом матери и возможными рисками;
- серьёзное и внимательное отношение будущей матери к беременности, отказ от вредных привычек;
- комфортное ведение родов, заботливое и аккуратное отношение к матери и ребёнку в процессе родоразрешения, недопущение необоснованного акушерского вмешательства и отказ от операций кесарева сечения без веских показаний [12] ;
- внимательность педиатра к симптомам и жалобам в первые дни после родов и его подготовленность в данном вопросе [9] .
Читайте также:
- Нефрогенный несахарный диабет. Регуляция осмолярности внеклеточной жидкости
- Острая сердечно-сосудистая недостаточность при острых отравлениях. Шок при отравлении
- Генетическая оценка
- Задачи ЛОР экспертизы. Актиническая травма уха
- Меланоз кожи при тепловом воздействии Бушке-Эйхорна (мраморная пигментация кожи)
