Псевдомиксома брюшины - характеристика
Добавил пользователь Владимир З. Обновлено: 18.11.2025
Лучевая диагностика псевдомиксомы брюшины
а) Терминология:
• Диффузное накопление в полости брюшины студенистых включений муцина вследствие разрыва муцинозной опухоли червеобразного отростка
• Приведенное выше определение является спорным, т. к. некоторые авторы используют термин «псевдомиксома брюшины» при состояниях, проявляющихся муцинозной диссеминацией в результате разрыва других опухолей, продуцирующих муцин (ободочной кишки, яичника и др.)
б) Визуализация:
• КТ: объемные образования низкой плотности (обычно меньше +20 ед. Хаунсфилда), рассеянные по всей брюшине:
о Часто сочетаются с наличием отграниченной асцитической жидкости, плотность которой соответствует плотности вторичных очагов
о Очаги могут оказывать местное объемное воздействие на печень и селезенку, обусловливая «фестончатый» вид их краев о В метастазах могут обнаруживаться кальцинаты извитой формы
о В области предположительной локализации червеобразного отростка (в нижних отделах справа) часто обнаруживается доминирующее объемное образование кистозного характера
о В связи с большой частотой метастатического поражения яичников, обнаружение в них кистозных образований не всегда отражает наличие первичной опухоли яичника
о Признаки обструкции кишечника
(Слева) На аксиальной КТ с контрастным усилением у пациента с разрывом опухоли червеобразного отростка визуализируются большие гиподенсные музцинозные метастазы, из-за которых края печени выглядят «фестончатыми» — типичные изменения при псевдомиксоме брюшины. В периферических отделах (как минимум одного из них определяется обызвествление).
(Справа) На корональной КТ с контрастом (объемный рендеринг) у этого же пациента можно рассмотреть весь объем распространенного поражения при псевдомиксоме; очаги окружают печень и желудок, обнаруживаются также в полости таза. (Слева) На аксиальной КТ с контрастным усилением у пациента с псевдомиксомой брюшины после разрыва опухоли аппендикса определяются множественные кистозные очаги, занимающие значительную часть объема верхних отделов брюшной полости, в некоторых очагах визуализируются тонкие кальцинаты извитой формы.
(Справа) На корональной КТ с контрастным усилением (объемный рендеринг) лучше определяется распространенный характер процесса, с наличием вторичных очагов, заполняющих практически весь объем брюшной полости. У пациента периодически возникала обструкция кишечника; ему потребовалось несколько различных циторедуктивных операций.
в) Патология:
• Опухоли аппендикса, продуцирующие муцин, приводят к растяжению червеобразного отростка, а затем к его перфорации и диффузному распространению содержимого внутри полости брюшины
г) Клинические особенности:
• Медленно прогрессирующий процесс, проявляющийся накоплением в брюшине частиц муцинозной опухоли и возникновением множественной обструкции в различных отделах кишечника
• Основными методами лечения являются циторедуктивное оперативное вмешательство и гипертермическая интраперитонеальная химиотерапия
• Выживаемость увеличивается при дополнении циторедуктивного оперативного вмешательства введением в полость брюшины подогретых растворов химиопрепаратов, пятилетняя выживаемость при этом возрастает до 77%, а десятилетняя до 57%
• Терапия направлена не на излечение пациента, а на устранение симптоматики и увеличение продолжительности жизни
Псевдомиксома брюшины - характеристика
КТ, МРТ, УЗИ при псевдомиксоме брюшины
а) Терминология:
1. Аббревиатуры:
• Псевдомиксома брюшины (ПМВ)
2. Определения:
• Распространенное скопление в полости брюшины студенистых включений муцина из-за разрыва муцинозной опухоли червеобразного отростка
• Не существует однозначного мнения по поводу терминологии, некоторые авторы используют термин «псевдомиксома брюшины» при состояниях, проявляющихся муцинозной диссеминацией в результате разрыва других опухолей, продуцирующих муцин (ободочной кишки, желудка, маточной трубы, яичника, урахуса и др.)
б) Визуализация:
1. Общая характеристика:
• Лучший диагностический критерий:
о «Фестончатый» контур печени и селезенки из-за наличия возле них гиподенсных образований
• Локализация:
о Диффузное поражение брюшины, значительная распространенность очагов
о Наиболее типичной локализацией опухоли является область большого сальника и поддиафрагмальные пространства (око-лопеченочные/околоселезеночные) о Метастазы в серозной оболочке кишечника встречаются значительно реже, чем в брюшине
о Обычно не метастазирует в отдаленные органы (за исключением яичников) и в лимфоузлы
• Размер:
о Могут обнаруживаться очаги различных размеров: от самых маленьких до огромных
2. КТ при псевдомиксоме брюшины:
• Гиподенсные объемные образования (меньше +20 ед. Хаунсфилда), «рассыпанные» по всей брюшине, вызывающие смещение петель кишечника к центру:
о Часто сочетаются с отграниченными скоплениями жидкости такой же плотности, как и у очагов
• Метастазы оказывают характерное объемное воздействие на печень и селезенку, обусловливая «фестончатый» внешний вид их краев
• Нижняя поверхность диафрагмы часто может выглядеть неравномерно утолщенной из-за наличия метастазов в поддиафрагмальных пространствах
• По периферии вторичных очагов могут обнаруживаться кальцинаты извитой формы
• Доминирующее кистозное либо солидное образование часто визуализируется в нижних отделах справа (в области предположительного нахождения аппендикса)
• Часто вторично поражаются яичники, таким образом, кистозные образования в одном или обоих яичниках не обязательно отражают первичную опухоль
• Признаки кишечной обструкции (дилятация тонкой кишки, наличие «точки перехода» между растянутыми и не растянутыми петлями кишечника, сужение дистальных отделов кишечника)

(Слева) На корональной КТ с контрастным усилением - самые ранние признаки псевдомиксомы брюшины, которые включают в себя наличие доминирующего муцинозного очага в нижних отделах справа, возникшего в результате разрыва мукоцеле аппендикса. Других вторичных очагов не определяется.
(Справа) На УЗИ в сагиттальной плоскости у пациента с псевдомиксомой брюшины визуализируется вторичный очаг возле печени. Несмотря на то, что очаги выглядят кистозными на КТ, на УЗИ они определяются как эхогенные образования солидного характера.
3. МРТ при псевдомиксоме брюшины:
• Муцинозные очаги обычно проявляются гилоинтенсивным сигналом на Т1 ВИ и гиперинтенсивным на Т2 ВИ:
о Сигнальные характеристики могут отличаться в каждом конкретном случае в зависимости от содержания муцина в очаге
о Участки, дающие более интенсивный сигнал, могут обнаруживаться внутри поражений на Т1 ВИ после введения контраста (на МРТ они более очевидны, чем на КТ)
• Типичный «фестончатый» вид печени и селезенки, обусловленный наличием очагов возле этих органов
• Большие отграниченные скопления жидкости, дающей гиперинтенсивный сигнал на Т2-взвешенных последовательностях, часто сопутствуют кистозным очагам
4. Радионуклидная диагностика:
• ПЭТ/КТ:
о Обычно наблюдается фиксация ФДГ, выраженная в различной степени: более «агрессивные» по своему гистологическому строению опухоли имеют тенденцию к повышенному захвату ФДГ, в то время как менее «агрессивные» захватывают радиофармпрепрепарат не столь интенсивно
о Ограниченная чувствительность для мелких очагов (особенно меньше 1 см)
5. Рентгенография:
о Множественные косвенные признаки асцита или вторичных очагов поражения брюшины:
- Центральное смещение петель кишечника
- Наружное смещение края печени и слепой кишки
- Симптом «собачьих ушек»: скопления жидкости в полости таза с обеих сторон от мочевого пузыря
6. УЗИ при псевдомиксоме брюшины:
• Муцинозные образования внутри полости брюшины могут выглядеть гипоэхогенными или гиперэхогенными, без признаков наличия внутреннего кровотока:
о Конгломераты образований в сальнике могут выглядеть эхогенными и солидными на УЗИ (несмотря на то, что на КТ они имеют типичную кистозную структуру)
• Распространенный асцит со сложной структурой характеризуется наличием эхогенных включений в жидкости (которые, вероятно, обусловлены наличием желатинозного содержимого)
7. Рекомендации по визуализации:
• Лучший метод диагностики:
о КТ с контрастным усилением
• Наиболее оптимальная техника исследования:
о Позитивное пероральное контрастирование позволяет более достоверно различить вторичные муцинозные очаги в брюшине и петли кишечника

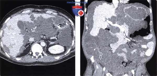
(Слева) На аксиальной КТ с контрастным усилением визуализируется печень, имеющая характерный «фестончатый» вид за счет наличия по периферии неболь -ших вторичных очагов. Эти очаги имеют низкую плотность (около +20 ед. Хаунсфилда), немного превышающую плотность «простой» жидкости.
(Справа) На корональной КТ с контрастным усилением у этого же пациента визуализируются множественные вторичные очаги низкой плотности, занимающие большую часть объема брюшной полости. Не удивительно, что у пациента часто возникают симптомы кишечной обструкции.
в) Дифференциальная диагностика псевдомиксомы брюшины:
1. Канцероматоз брюшины без муцинозного асцита:
• Метастазы по брюшине чаще всего дают первичные опухоли яичника и ЖКТ
• Опухолевые поражения не сливного характера, которые определяются на диагностических изображениях, чаще выглядят солидными и сопровождаются асцитом:
о Солидные очаги могут сливаться и образовывать конгломераты большого размера в сальнике (утолщение сальника)
• В редких случаях провоцируют появление «фестончатых» краев печени и селезенки, однако плотность очагов и наличие известной первичной опухоли являются ключами к правильному диагнозу
2. Канцероматоз брюшины с муцинозным асцитом:
• Некоторые авторы используют термин «псевдомиксома брюшины» для описания диссеминированных процессов, обусловленных любыми опухолями, продуцирующими муцин (а не только опухолью аппендикса)
• Очаги могут выглядеть гиподенсными (обусловливающими «фестончатую» форму краев печени и селезенки) и не отличимыми от «классической» псевдомиксомы брюшины, обусловленной первичной опухолью аппендикса
• Первичная муцинозная опухоль яичника обычно выглядит как одностороннее доминирующее объемное образование в полости таза, в то же время достоверно отличить ее от ПМБ можно только при лапароскопии
• Отсутствие патологических изменений аппендикса на КТ может стать ключом к правильному диагнозу
• Во время оперативного вмешательства по поводу предполагаемого рака яичника или распространенного муцинозного поражения, если не известна первичная опухоль, обычно производится также и аппендэктомия с целью не допустить развитие псевдомиксомы брюшины
3. Туберкулезный перитонит:
• Различные количества свободной или отграниченной жидкости со сложной структурой, а также инфильтрация сальника ± объемные образования, не имеющие сливного характера
• Часто имеются и другие признаки туберкулеза внутрибрюшной локализации, в т.ч. брыжеечные лимфоузлы низкой плотности, утолщение слепой кишки и терминальных отделов подвздошной кишки
4. Бактериальный перитонит:
• Асцит ± отграниченные скопления жидкости или абсцессы на фоне легкого утолщения и контрастного усиления брюшины
• Жидкость может быть слегка более плотной по сравнению с выпотом, иметь комплексную структуру (перегородки, дебрис)
5. Мезотелиома брюшины:
• Редкое первичное злокачественное новообразование брюшины
• Повышение плотности сальника и брюшины, выявление на КТ узлов и объемных образований, не имеющих тенденции к слиянию, а также вариабельного количества асцитической жидкости (обычно меньшего, чем при канцероматозе)
• Опухоль выглядит солидной, в то время как для псевдомиксомы брюшины характерны кистозные поражения

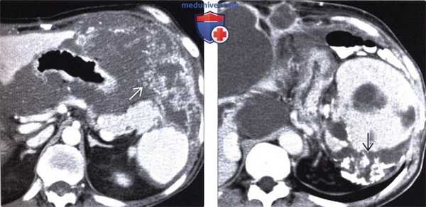
(Слева) На аксиальной КТ с контрастом у пациента с псевдомиксомой брюшины выявлено диффузное поражение брюшины с наличием гиподенсных студенистых образований, распространяющихся в сальниковую сумку и окружающих желудок, а также с более выраженной мягкотканной узловой инфильтрацией с латеральной стороны.
(Справа) На аксиальной КТ с контрастным усилением у пациента с наличием вторичных кистозных очагов (псевдомиксома брюшины), визуализируются вторичные опухолевые очаги содержащие кальцинаты, расположенные возле селезенки. Кальцинаты, чаще всего извитой формы, располагающиеся по периферии очагов, не являются типичным признаком вторичных поражений брюшины при псевдомиксоме.
г) Патология:
1. Общая характеристика:
• Этиология:
о В результате наличия опухоли червеобразного отростка, продуцирующей муцин, происходит растяжение аппендикса, а затем его перфорация с распространением муцинозного содержимого в полости брюшины
о Термин «псевдомиксома брюшины» подразумевает муцинозную диссеминацию только из первичной опухоли аппендикса (строго)
о Существует множество недоразумений касательно терминологии, так как многие авторы используют термин «псевдомиксома брюшины» по отношению к интраперитонеальному распространению муцина, обусловленному любыми муцинпродуцирующими аденокарциномами (аппендикса, яичника, маточной трубы, ЖКТ, легкого и др.)
• Генетические нарушения:
о Не существует связи с известными генетическими нарушениями
2. Стадирование, градация и классификация псевдомиксомы брюшины:
• Классифкация Ronnet (1995 г.):
о Тип I: аденомуциноз (также называемый диссеминированным перитонеальным аденомуцинозом):
- Цитологически умеренная аденоматозная пролиферация с включениями муцина без явных признаков аденокарциномы; характеризуется более благоприятным прогнозом:
Некоторые авторы расценивают аденомуциноз не как истинный доброкачественный процесс, а как высокодифференцированную аденокарциному
о Тип II: муцинозная аденокарцинома (называемая также перитонеальным муцинозным канцерматозом):
- Явная аденокарцинома с наличием муцина, характеризующаяся худшим прогнозом
о Тип III: промежуточный:
- Сочетание типов I и II с комбинацией клеток аденомы и аденокарциномы, наличием муцина
• Всемирная организация здравоохранения (ВОЗ) и Объединенный американский комитет по раку (АОКР) выделяют два типа псевдомиксомы брюшины: аденокарцинома низкой степени и высокой степени злокачественности
д) Клинические особенности:
1. Проявления псевдомиксомы брюшины:
• Наиболее частые признаки/симптомы:
о Увеличение живота, возникновение паховых грыж
о Боль в животе, потеря веса
о У пациентов с более распространенным заболеванием могут наблюдаться симптомы кишечной обструкции
о Признаки псевдомиксомы брюшины иногда выявляются во время операции, выполняемой по другому поводу (например, при аппендиците), и они не являются нетипичной или неожиданной находкой
• Клинический профиль:
о Увеличение уровня РЭА (раковый эмбриональный антиген) и онкомаркера СА19-9
2. Демография:
• Возраст:
о Взрослые; средний возраст 53 года
• Пол:
о Ж>М (в 2-3 раза чаще заболевают женщины)
• Этническая принадлежность:
о Нет известной предрасположенности
• Эпидемиология:
о Редкое заболевание: частота составляет один случай на 1 млн
3. Течение и прогноз:
• Медленно прогрессирующий процесс постепенного накопления опухолевых частиц и формирования отграниченных скоплений жидкости, который характеризуется также возникновением множественной обструкции кишечника
• Выживаемость увеличивается при использовании гипертермической интраперитонеальной терапии в дополнение к стандартному циторедуктивному оперативному вмешательству, пятилетняя выживаемость достигает при этом 77%, а десятилетняя 57%
• Заболевание приводит к летальному исходу у всех пациентов
е) Диагностическая памятка. Следует учесть:
• Нужно предполагать псевдомиксому брюшины у пациентов с наличием гиподенсных очагов по всей брюшной полости и «фестончатых» краев печени и селезенки
• Наличие доминирующего объемного образования яичника с одной стороны в сочетании с муцинозными очагами в брюшине делает диагноз метастазов рака яичника более вероятным по сравнению с псевдомиксомой брюшины
ж) Список использованной литературы:
1. Carr NJ: Current concepts in pseudomyxoma peritonei. Ann Pathol. 34(1):9-13, 2014
2. Que Y et al: Pseudomyxoma peritonei: some different sonographic findings. Abdom Imaging. 37(5):843-8, 2012
Опухоли брюшины
Опухоли брюшины – группа доброкачественных и злокачественных новообразований серозной оболочки, покрывающей внутренние органы и внутренние стенки брюшной полости. Злокачественные опухоли могут быть как первичными, так и вторичными, но чаще имеют метастатический характер. Доброкачественные новообразования протекают бессимптомно либо сопровождаются признаками сдавления близлежащих органов. Злокачественные опухоли брюшины проявляются болями и асцитом. Диагноз выставляется на основании жалоб, данных осмотра, результатов анализа на онкомаркеры, КТ, лапароскопии, иммуногистохимического и гистологического исследования. Лечение – операция, лучевая терапия, химиотерапия.

Общие сведения
Опухоли брюшины – новообразования различного происхождения, локализующиеся в области висцерального и париетального листков брюшины, малого сальника, большого сальника и брыжеек полых органов. Доброкачественные и первичные злокачественные новообразования брюшины диагностируются редко. Вторичные опухоли брюшины являются более распространенной патологией, возникают при онкологическом поражении органов брюшной полости и забрюшинного пространства, внутренних женских и мужских половых органов. Прогноз при доброкачественных поражениях обычно благоприятный, при злокачественных – неблагоприятный. Лечение осуществляют специалисты в области онкологии и абдоминальной хирургии.

Классификация опухолей брюшины
Различают три основные группы новообразований брюшины:
- Доброкачественные опухоли брюшины (ангиомы, нейрофибромы, фибромы, липомы, лимфангиомы)
- Первичные злокачественные опухоли брюшины (мезотелиомы)
- Вторичные злокачественные опухоли брюшины, возникающие при распространении злокачественных клеток из другого органа.
Существуют также слизеобразующие новообразования (псевдомиксомы), которые одни исследователи рассматривают, как первичные, а другие – как вторичные опухоли брюшины различной степени злокачественности. В большинстве случаев вторичное поражение брюшины развивается в результате агрессивного местного роста новообразований и имплантационного распространения раковых клеток из органов, расположенных интраперитонеально, мезоперитонеально или экстраперитонеально.
Опухоли брюшины, возникшие в результате имплантационного метастазирования, могут выявляться при раке желудка, тонкого и толстого кишечника, печени, поджелудочной железы, желчного пузыря, почки, тела матки, шейки матки, яичников, предстательной железы, передней брюшной стенки и т. д. Реже наблюдается лимфогенное распространение метастазов опухолей грудной клетки (например, рака легких), обусловленное ретроградным движением лимфы по лимфатическим путям.
Виды опухолевого поражения брюшины
Доброкачественные опухоли брюшины
Являются очень редкой патологией. Причины развития неизвестны. Болезнь может годами протекать бессимптомно. В отдельных случаях опухоли брюшины достигают огромных размеров, не оказывая существенного влияния на состояние пациента. В литературе описан случай удаления липомы сальника весом 22 килограмма. При крупных узлах выявляется увеличение живота. Иногда доброкачественные опухоли брюшины становятся причиной сдавления близлежащих органов. Боли нехарактерны. Асцит возникает исключительно редко. Диагноз устанавливается по результатам лапароскопии. Показанием к операции является компрессионное воздействие новообразования на соседние органы.
Первичные злокачественные опухоли брюшины
Мезотелиомы брюшины встречаются редко. Обычно обнаруживаются у мужчин старше 50 лет. Фактором риска является длительный контакт с асбестом. Проявляются болевым синдромом, снижением массы тела и симптомами сдавления близлежащих органов. При достаточно крупных опухолях брюшины может выявляться асимметричное выпячивание в области живота. При пальпации обнаруживаются одиночные или множественные опухолевидные образования различного размера.
Характерно быстрое прогрессирование симптоматики. При сдавлении воротной вены развивается асцит. Из-за отсутствия специфических признаков диагностика злокачественных опухолей брюшины затруднительна. Нередко диагноз выставляется только после иссечения новообразования и последующего гистологического исследования удаленных тканей. Прогноз неблагоприятный. Радикальное удаление возможно только при ограниченных процессах. В остальных случаях пациенты с опухолями брюшины погибают от кахексии или от осложнений, обусловленных нарушением функций органов брюшной полости.
Псевдомиксома брюшины
Возникает при разрыве цистаденомы яичника, псевдомуцинозной кисты аппендикса или дивертикула кишечника. Слизеобразующие эпителиальные клетки распространяются по поверхности брюшины и начинают производить густую желеобразную жидкость, заполняющую брюшную полость. Обычно темпы развития этой опухоли брюшины соответствуют низкой степени злокачественности. Болезнь прогрессирует в течение нескольких лет. Желеобразная жидкость постепенно вызывает фиброзные изменения тканей. Наличие слизи и опухолевидного образования препятствует деятельности внутренних органов.
Реже выявляются опухоли брюшины высокой степени злокачественности, способные к лимфогенному и гематогенному метастазированию. При отсутствии лечения во всех случаях наступает летальный исход. Причиной гибели пациентов становятся кишечная непроходимость, истощение и другие осложнения. О наличии слизеобразующей опухоли брюшины свидетельствует увеличение размеров живота при снижении массы тела, нарушения пищеварения и желеобразные выделения из пупка.
Диагноз устанавливается на основании КТ, лапароскопии, гистологического и иммуногистохимического исследования. При злокачественных опухолях брюшины может использоваться позитронно-эмиссионная томография. При доброкачественном варианте болезни данное исследование неинформативно. Тактика лечения опухолей брюшины определяется индивидуально. В ряде случаев возможно хирургическое иссечение пораженных участков в сочетании с интраперитонеальной внутриполостной химиотерапией. При своевременном начале лечения прогноз достаточно благоприятный, особенно – при опухолях брюшины низкой степени злокачественности.
Одиночные вторичные злокачественные опухоли брюшины
Поражение возникает при прорастании злокачественных опухолей, расположенных в органах, частично или полностью покрытых брюшиной. Появление опухолей брюшины сопровождается усилением болевого синдрома и ухудшением состояния больного. При пальпации живота могут выявляться опухолевидные образования. При распаде очага в полом органе (желудке, кишечнике) наблюдаются явления прободного перитонита. В отдельных случаях первичная опухоль одновременно прорастает стенку полого органа, листки брюшины и переднюю брюшную стенку. При распаде образовавшегося конгломерата возникает флегмона мягких тканей.
Опухоли брюшины диагностируются на основании анамнеза (имеется злокачественное новообразование органа, покрытого брюшиной), клинических проявлений, данных УЗИ брюшной полости и других исследований. При ограниченном процессе возможно радикальное иссечение первичной опухоли вместе с пораженным участком брюшины. При наличии отдаленных метастазов проводится симптоматическая терапия. Пациентам с опухолями брюшины назначают обезболивающие препараты, при накоплении жидкости в брюшной полости выполняют лапароцентез и т. д. Прогноз зависит от распространенности процесса.
Канцероматоз брюшины
Злокачественные клетки, попадающие в брюшную полость, быстро распространяются по брюшине и образуют множественные мелкие очаги. На момент постановки диагноза «рак желудка» канцероматоз брюшины выявляется у 30-40% пациентов. При раке яичников вторичные опухоли брюшины обнаруживаются у 70% больных. Патология сопровождается появлением обильного выпота в брюшной полости. Больные истощены, выявляются слабость, утомляемость, нарушения стула, тошнота и рвота. Крупные опухоли брюшины могут пальпироваться через брюшную стенку.
Различают три степени канцероматоза: локальный (выявляется одна зона поражения), с поражением нескольких участков (очаги поражения чередуются с зонами неизмененной брюшины) и распространенный (обнаруживаются множественные вторичные опухоли брюшины). При недиагностированной первичной опухоли и множественных узлах брюшины клиническая диагностика в ряде случаев представляет затруднения из-за сходства с картиной туберкулезного перитонита. В пользу вторичных опухолей брюшины свидетельствует геморрагический характер выпота и быстрое повторное возникновение асцита после проведения лапароцентеза.
Диагноз устанавливается с учетом анамнеза, клинических проявлений, данных УЗИ органов брюшной полости, МСКТ брюшной полости с контрастированием, цитология асцитической жидкости, полученной при проведении лапароцентеза, и гистологического исследования образца ткани опухоли брюшины, взятого в ходе лапароскопии. В качестве дополнительной диагностической методики может применяться тест на онкомаркеры, позволяющий более точно определять прогноз, своевременно выявлять рецидивы и оценивать эффективность терапии.
При возможности полного удаления первичного новообразования и опухолей брюшины выполняют радикальные операции. В зависимости от локализации первичного очага осуществляют перитонэктомию в сочетании с колэктомией, резекцией желудка или гастрэктомией, пангистерэктомией и другими хирургическими вмешательствами. Из-за опасности обсеменения брюшной полости раковыми клетками и возможного наличия визуально неопределяемых опухолей брюшины в процессе операции или после ее окончания осуществляют интреперитонеальную гипертермическую химиотерапию. Процедура позволяет обеспечить мощное локальное воздействие на раковые клетки при минимальном токсическом действии химиопрепаратов на организм пациента.
Несмотря на использование новых методов лечения, прогноз при диссеминированных вторичных опухолях брюшины пока остается неблагоприятным. Канцероматоз является одной из основных причин гибели больных с онкологическими поражениями брюшной полости и малого таза. Средняя выживаемость больных с раком желудка в сочетании с опухолями брюшины составляет около 5 месяцев. Рецидивы после радикальных хирургических вмешательств по поводу вторичных новообразований брюшины возникают у 34% больных. Специалисты продолжают поиск новых, более эффективных методов лечения вторичных опухолей брюшины. Используются новые химиопрепараты, иммунохимиотерапия, радиоиммунотерапия, генная антисенс-терапия, фотодинамическая терапия и другие методики.
Псевдомиксома брюшины
Псевдомиксома брюшины – это диффузный муцинозный канцероматоз, который возникает при метастазировании разных типов интраабдоминальных опухолей. Чаще всего патология ассоциирована со злокачественными новообразованиями аппендикса и развивается на терминальной стадии онкопатологии. Болезнь проявляется асцитом, разнообразными болями в животе, синдромом интоксикации. Для диагностики псевдомиксомы назначают УЗИ, КТ и МРТ органов брюшной полости, диагностическую лапароскопию, гистологическое исследование. Лечение предполагает комбинацию циторедуктивных операций с гипертермической регионарной химиотерапией.
МКБ-10



В практической онкологии псевдомиксома брюшины (ПМБ) рассматривается как один из вариантов паранеопластического процесса. Опухоль возникает вторично и имеет разную степень злокачественности, которая соответствует таковой в первичном злокачественном очаге. Заболевание встречается редко, статистически достоверные данные о его распространенности отсутствуют. Первое описание болезни было сделано австрийским патологоанатомом К. Рокитанским в 1842 году у пациента с доброкачественной слизистой опухолью аппендикса.

Причины
Псевдомиксома развивается по типу канцероматоза – диссеминированного метастазирования опухоли, которое распространяется на разные отделы брюшины. Основной причиной ее развития называют муцин-продуцирующие злокачественные новообразования червеобразного отростка (аппендикса). Этот вариант псевдомиксомы брюшины многие авторы называют «классическим».
По мнению ряда исследователей, формирование муцинозного канцероматоза может быть следствием любых опухолей интраабдоминальной локализации. Среди этиологических факторов выделяют рак желудка и кишечника, поджелудочной железы, яичников у женщин. Изредка причиной новообразования выступают злокачественные опухоли мочеточников, желчного пузыря и протоков.
Патогенез
Наибольшую значимость в механизме развития канцероматоза играет имплантационная теория. Согласно ей, отдельные муцин-продуцирующие клетки первичной опухоли отрываются от основного очага, распространяются по серозной оболочке и внутрибрюшной жидкости. Пусковым фактором такого состояния является мутация злокачественных клеток и утрата ними факторов межклеточной адгезии, которые обеспечивают целостность опухолевого очага.
Процесс слизеобразования в псевдомиксоме связывают с мутациями 12-го кодона гена KRAS. Генетические аномалии влияют только на интенсивность продукции муцина и не имеют значения для прогноза выживаемости пациентов. Однако прогностическую ценность имеют исследования слизистого компонента ПМБ: увеличенная экспрессия протеина PINCH ассоциируется с высокой злокачественностью и плохим прогнозом для продолжительности жизни.

Классификация
Вопросы систематизации псевдомиксомы пока недостаточно изучены. Ранее в клинической онкологии использовали классификацию Ronnett (1995), в которой опухоли подразделялись на 3 варианта: диссеминированный перитонеальный аденомуциноз (DPAM), перитонеальный муцинозный канцероматоз (PMCA), промежуточная группа новообразований (IG). На сегодня во врачебной практике чаще применяют следующие классификации:
- Индекс перитонеального канцероматоза. Показатель определяется во время ревизии брюшной полости и оценки размеров опухолевых отсевов в 13 областях брюшины. Для каждой из зон определяют максимальный размер псевдомиксомы (от 0 до 3), после чего суммируют цифры и получают индекс канцероматоза.
- Классификация Gilly. Она предполагает деление псевдомиксом брюшины на 4 категории, согласно размерам наибольшего из выявленных очагов и их локализации относительно зон брюшной полости.
Симптомы псевдомиксомы брюшины
Заболевание имеет неспецифическую клиническую картину, которая в основном определяется признаками первичного опухолевого очага. Пациентов могут беспокоить боли в правой подвздошной области (при аппендикулярном новообразовании) или во всех отделах живота. Наблюдается интоксикационный синдром, представленный тошнотой, рвотой, слабостью и отсутствием аппетита. Крупные отсевы и увеличенные лимфоузлы могут пальпироваться через брюшную стенку.
Одним из ключевых проявлений псевдомиксомы брюшины является асцит – скопление свободной жидкости в брюшной полости. Он проявляется увеличением окружности живота, причем в положении стоя живот отвисает, в положении лежа становится распластанным. Пациенты испытывают неудобства при ходьбе, увеличение веса, невозможность застегнуть брюки или ремень. На коже живота хорошо контурируются поверхностные вены.
Осложнения
Псевдомиксома отличается неблагоприятным течением. Даже при адекватной хирургической или комбинированной терапии риск рецидивов составляет до 80% в течение последующих 2-х лет. Одной из основных проблем онкологических пациентов является механическая кишечная непроходимость, вызванная сдавлением петель кишечника извне. Как и другие виды онкопатологии, псевдомиксома становится причиной кахексии, полиорганной недостаточности.
Серьезную проблему представляют осложнения комбинированной онкотерапии, которая требуется при псевдомиксоме брюшины. Около 23% пациентов сталкиваются с легочными осложнениями: пневмотораксом, гидротораксом, плевритом. Возможно нагноение послеоперационной раны, несостоятельность швов на коже и кишечных анастомозах. Агрессивные химиопрепараты становятся причиной нефротоксичности, что без адекватной коррекции чревато почечной недостаточностью.
Диагностика
Обследование проводится лечащим врачом-онкологом, который курирует пациента по поводу первичной опухоли органов живота, вызвавшей канцероматоз. В редких случаях псевдомиксома брюшины диагностируется первично при запоздалом обращении больного к врачу с жалобами на увеличение живота и признаками онкопатологии. Для постановки диагноза муцинозного канцероматоза используются следующие методы обследования:
- УЗИ брюшной полости. Ультразвуковая диагностика проводится как скрининговый метод для выявления первичного опухолевого роста и отсевов в области брюшины. Исследование обязательно включает эхосонографию забрюшинного пространства и органов малого таза.
- КТ брюшной полости. Компьютерная томография с контрастированием – информативный неинвазивный метод диагностики псевдомиксомы брюшины. Методика дает возможность осмотреть серозную оболочку брюшной полости в разных отделах и провести 3D-реконструкцию.
- МРТ брюшной полости. Магнитно-резонансная томография признана методом выбора при диагностике псевдомиксом небольшого размера (до 5 мм) и сложной анатомической локализации. Для повышения информативности используют режимы жироподавления, динамического контрастирования.
- Диагностическая лапароскопия. Исследование направлено на визуальное определение степени муцинозного канцероматоза. Данные лапароскопии необходимы для выбора оптимальной тактики лечения и прогноза выживаемости для пациента.
- Гистологический анализ. Исследование тканей псевдомиксомы брюшины в основном проводится после ее хирургического удаления. При исследовании определяются муцин-продуцирующие клетки и выясняется степень их злокачественности. По показаниям гистологию дополняют иммуногистохимическими и молекулярно-генетическими методами исследования.
Дифференциальная диагностика
Учитывая отсутствие патогномоничной симптоматики, постановка диагноза псевдомиксомы брюшины достаточно сложна. До получения результатов инструментальной визуализации необходимо исключить экстренную хирургическую патологию, проявляющуюся синдромом «острого живота», и воспалительные заболевания кишечника. Углубленная диагностика требует дифференцировки между разными вариантами перитонеального канцероматоза.

Лечение псевдомиксомы брюшины
Хирургическое лечение
Основу терапии опухоли любой локализации и размера составляют циторедуктивные операции – удаление максимально возможного объема злокачественных клеток. С учетом диффузного характера отсевов псевдомиксомы хирургическая тактика подбирается индивидуально. Зачастую пациентам требуется несколько последовательных операций для удаления пораженных участков брюшины, большого и малого сальника, регионарных лимфатических узлов.
Поскольку муцинозный канцероматоз отражает терминальные стадии первичного очага малигнизации, пациентам могут выполняться паллиативные операции для ликвидации симптомов. При раке аппендикса и других отделов кишечника, сопровождающихся кишечной непроходимостью, показано удаление пораженной части ЖКТ с выведением стомы и последующим наложением анастомоза. При неоперабельной опухоли применяются обходные анастомозы кишечных петель.
Консервативная терапия
Перспективным направлением лечения псевдомиксомы признана локо-регионарная химиотерапия – гипертермическая интраперитонеальная химиоперфузия. Цитостатики подавляют рост и прогрессирование оставшихся после операции муцин-продуцирующих клеток, повышая шансы на длительную ремиссию. Гипертермия на температурах 40-45°С создает высокую концентрацию препаратов в очаге, уменьшает системную токсичность, усиливает действие лекарств.
Прогноз и профилактика
Несмотря на усовершенствование методов лечения, псевдомиксома брюшины представляет серьезную угрозу жизни пациентов. Если канцероматоз представлен клетками с низкой степенью злокачественности, уровень 5-летней выживаемости составляет 75%. При высокозлокачественных вариантах опухоли только 14% больных живут дольше 5 лет после постановки диагноза. Профилактика заключается в ранней диагностике и лечении интраабдоминальных опухолей.
1. Проблема выбора тактики лечения при продолженном росте псевдомиксомы брюшины/ А.Г. Абдуллаев, М.И. Давыдов, Н.А. Козлов// Сибирский онкологический журнал. – 2019. – №3.
2. Муцинозная цистаденома червеобразного отростка как причина псевдомиксомы брюшины (клинический случай)/ С.В. Жарко// Актуальные проблемы медицины. – 2019. – №1.
3. Современные подходы к лечению псевдомиксомы брюшины/ А.Г. Абдуллаев, Б.Е. Полоцкий, М.И. Давыдов// Российский онкологический журнал. – 2013. – №6.
4. Псевдомиксома брюшины А.Г. Абдуллаев, Б.Е. Полоцкий, Ю.Г. Паяниди// Онкогинекология. – 2012. – №4.
Опухоль Абрикосова ( Зернисто-клеточная опухоль )
Опухоль Абрикосова – это зернисто-клеточное новообразование, которое поражает кожу, подкожную клетчатку и внутренние органы. Гистологическое происхождение и этиологические факторы заболевания пока точно не установлены. Доброкачественные варианты патологии имеют малосимптомное течение, опухоли поверхностной локализации проявляются в виде плотного безболезненного узла. Для диагностики патологии Абрикосова назначают микроскопический и иммуногистохимический анализ, инструментальные методы визуализации. Лечение предполагает хирургическое иссечение опухолевой ткани, в стандартных случаях медикаментозная терапия не применяется.


Опухоль получила свое название в честь российского патологоанатома А.И. Абрикосова, который детально изучил особенности новообразования и в 1926 году выделил его в отдельную нозологическую единицу. Зернисто-клеточные опухоли (ЗКО) составляют до 10% среди всех доброкачественных новообразований. Они в основном диагностируются у пациентов 30-50 лет, женщины болеют 3 раза чаще мужчин. Актуальность проблемы в практической онкологии связана с частым рецидивированием новообразования после его удаления, риском злокачественной трансформации.
Природа развития опухоли Абрикосова пока точно не установлена. Ранее считалось, что новообразование возникает из миобластов – молодых веретеновидных мышечных клеток. По современным представлениям, патология имеет гистиоцитарное или нейрогенное происхождение. Источником для ее развития выступают шванновские клетки (леммоциты), которые входят в состав миелиновой оболочки периферических нервов.
Патанатомия
Несмотря на неясность этиопатогенеза, ЗКО имеют характерную микроскопическую структуру, которая облегчает диагностику. Объемное образование состоит из крупных многоугольных клеток, в цитоплазме которых расположены множественные включения. Клетки формируют отдельные гнезда, ленты и пучки. Клеточные ядра мелкие, имеют округлую форму и интенсивную окраску. Между зернистыми клетками располагаются «угловатые тельца» – гистиоциты треугольной формы.
Покрывающие ЗКО эпителиальные клетки также имеют особое микроскопическое строение. Эпителий подвергается метаплазии и псевдоэпителиоматозной гиперплазии. При беглом осмотре клеток под микроскопом создается картина плоскоклеточного рака кожи, однако отсутствие ядерной атипии и множественных митозов позволяет опровергнуть этот диагноз. Активную гиперплазию связывают с гиперэкспрессией эпидермального и трансформирующего факторов роста.

Согласно международной классификации заболеваний (МКБ-10), опухоль Абрикосова относят к доброкачественным новообразованиям рта и ротоглотки. Особое внимание врачей привлекают злокачественные виды ЗКО, которые составляют около 2% от всех случаев заболевания. Они в основном располагаются в мягких тканях нижних конечностей. По гистологическим признакам выделяют 2 варианта злокачественных опухолей:
- Первый тип. Злокачественные клетки не имеют резко выраженных признаков атипии, число митозов составляет не более 2 на 10 полей зрения. Присутствуют явные клинические симптомы инвазивного роста, такие как быстрое увеличение образования в размерах, изъязвление, кровотечение.
- Второй тип. Новообразование имеет явные признаки злокачественности и зачастую выявляется на этапе метастазирования. При иммунологической диагностике определяется большое число маркеров пролиферации Ki-67 и выраженная экспрессия р53.
Симптомы опухоли Абрикосова
Более 70% случаев локализованы в области головы и шеи, до 30% пациентов имеют ЗКО в толще языка. К менее типичным локализациям относят кожу и подкожную клетчатку на конечностях, область молочных желез у женщин. Изредка опухоль Абрикосова поражает внутренние органы, чаще всего дыхательную систему — гортань, трахею, бронхи, пищеварительную систему — пищевод и толстую кишку. До 10% случаев проявляются множественными узлами в коже и внутренних органах.
Доброкачественное образование в коже и подкожной клетчатке представлено узлом плотноэластической консистенции и не доставляет дискомфорта больному. При злокачественном течении кожной опухоли Абрикосова клинические симптомы более выражены. Пациенты замечают бляшку или узел на коже, который быстро увеличивается в размерах, покрывается язвами и кровоточит. Патология сопровождается болями, которые усиливаются при прикосновениях и надавливании на пораженную зону.
Клинические проявления связаны с расположением новообразования в определенном участке внутреннего органа. Симптоматика будет зависеть от размера ЗКО. При опухоли Абрикосова в органах дыхания пациенты жалуются на одышку, приступы удушья, сухой кашель. Нарушение вентиляции становится причиной частых и затяжных пневмоний. Поражение желудочно-кишечного тракта появляется болями в животе, задержкой стула, признаками кишечной непроходимости.
Доброкачественные варианты опухоли Абрикосова имеют благоприятное течение, при небольших и средних размерах они не нарушают работу организма. Вызывают опасения крупные новообразования, которые перекрывают просвет дыхательных путей или пищеварительного тракта, становятся причиной серьезных функциональных нарушений в организме. Несмотря на доброкачественный характер, после хирургического лечения зернисто-клеточная опухоль может рецидивировать.
Злокачественные ЗКО отличаются осложненным течением. Они многократно рецидивируют после удаления, вызывают множественные метастазы в течение первых 2-х лет от начала заболевания. Метастазы способны поражать все органы и ткани, нарушая их функции и затрудняя подбор эффективных методов терапии. Около 60% пациентов со злокачественными опухолями Абрикосова погибают в течение первых 3-х лет от онкологических осложнений.
За первичной консультацией пациенты обращаются к дерматологу, терапевту или пульмонологу, что зависит от локализации новообразования и клинических симптомов. Далее проводится расширенное обследование у врача-онколога, чтобы подтвердить диагноз ЗКО Абрикосова, исключить другие варианты злокачественных процессов. Диагностическая программа состоит из следующих методов:
- Инструментальная визуализация. При кожной локализации новообразования основную роль играет цифровая дерматоскопия. Для выявления опухоли во внутренних органах назначается рентгенография легких и ЖКТ, эндоскопические методы (бронхоскопия, ЭФГДС, колоноскопия). Для уточнения диагноза используют компьютерную и магнитно-резонансную томографию пораженной зоны тела.
- Электронная микроскопия. Ценную информацию для постановки диагноза дает выявление многоугольных клеток, «угловатых телец», типичных патологий эпителиального слоя. При опухоли Абрикосова в клетках визуализируются осмиофильные гранулы, которые содержат разрушенные клеточные фрагменты.
- Иммуногистохимическое исследование. Диагностика назначается для определения происхождения опухолевых клеток, идентификации ряда протеинов и нейроспецифических маркеров. Зачастую в клетках одновременно присутствуют признаки дифференцировки в гистиоцитарном и нейрогенном направлениях.
При постановке диагноза необходимо отличать ЗКО от метастазов рака молочной железы, меланомы кожи, неврилеммомы. Необходимо исключить малакоплакию, онкоцитарный карциноид и онкоцитому. Дифференцировку проводят с новообразованиями мягких тканей: дерматофибромой, лейомиомой. Диагностические сложности возникают при сочетании опухоли Абрикосова с другими новообразованиями, в частности с герминогенным раком яичка, лимфомой Ходжкина, раком бронхов.

Лечение опухоли Абрикосова
По возможности всем пациентам проводится оперативное удаление новообразования. При отсутствии явных признаков озлокачествления выполняется щадящий вариант операции с иссечением в пределах здоровых тканей. При локализации опухоли в стенке пищеварительного или дыхательного тракта применяют эндоскопические методы удаления, которые имеют лучший функциональный результат и короткий реабилитационный период.
Вероятность развития рецидивов в течение 4-х лет после проведения операции составляет 9-15%. Максимальному риску подвергаются люди, у которых проводилась экономная резекция тканей с сохранением части опухолевых клеток по краям операционного поля. При множественных очагах ЗКО Абрикосова проводятся внутриочаговые инъекции глюкокортикостероидов. Применение химиотерапии и лучевой терапии неэффективно, поэтому лечение злокачественных форм пока отсутствует.
При доброкачественных зернисто-клеточных опухолях продолжительность и качество жизни пациентов существенно не страдают, хотя возможны нарушения дыхания и пищеварения при соответствующих локализациях новообразования. Злокачественная форма ЗКО Абрикосова имеет крайне неблагоприятный прогноз, уровень 5-летней выживаемости составляет 35%. Профилактика заболевания не разработана ввиду отсутствия четких этиологических факторов.
1. Эндоскопическое лечение зернисто-клеточной опухоли пищевода (клинический случай)/ А.М. Гасанов// Доказательная гастроэнтерология. – 2020. – №3.
3. Зернисто-клеточная опухоль дыхательных путей/ И.В. Двораковская, Б.М. Ариэль, А.Н. Орлов, Л.В. Качан// Архив патологии. – 2013. – №3.
4. Наблюдение опухоли Абрикосова у ребенка/ В.К. Литовка, И.П. Журило, К.В. Латышов// Здоровье ребенка. – 2007. – №4.
Читайте также:
